Spandidos Publications Logo
  • About
    • About Spandidos
    • Aims and Scopes
    • Abstracting and Indexing
    • Editorial Policies
    • Reprints and Permissions
    • Job Opportunities
    • Terms and Conditions
    • Contact
  • Journals
    • All Journals
    • Oncology Letters
      • Oncology Letters
      • Information for Authors
      • Editorial Policies
      • Editorial Board
      • Aims and Scope
      • Abstracting and Indexing
      • Bibliographic Information
      • Archive
    • International Journal of Oncology
      • International Journal of Oncology
      • Information for Authors
      • Editorial Policies
      • Editorial Board
      • Aims and Scope
      • Abstracting and Indexing
      • Bibliographic Information
      • Archive
    • Molecular and Clinical Oncology
      • Molecular and Clinical Oncology
      • Information for Authors
      • Editorial Policies
      • Editorial Board
      • Aims and Scope
      • Abstracting and Indexing
      • Bibliographic Information
      • Archive
    • Experimental and Therapeutic Medicine
      • Experimental and Therapeutic Medicine
      • Information for Authors
      • Editorial Policies
      • Editorial Board
      • Aims and Scope
      • Abstracting and Indexing
      • Bibliographic Information
      • Archive
    • International Journal of Molecular Medicine
      • International Journal of Molecular Medicine
      • Information for Authors
      • Editorial Policies
      • Editorial Board
      • Aims and Scope
      • Abstracting and Indexing
      • Bibliographic Information
      • Archive
    • Biomedical Reports
      • Biomedical Reports
      • Information for Authors
      • Editorial Policies
      • Editorial Board
      • Aims and Scope
      • Abstracting and Indexing
      • Bibliographic Information
      • Archive
    • Oncology Reports
      • Oncology Reports
      • Information for Authors
      • Editorial Policies
      • Editorial Board
      • Aims and Scope
      • Abstracting and Indexing
      • Bibliographic Information
      • Archive
    • Molecular Medicine Reports
      • Molecular Medicine Reports
      • Information for Authors
      • Editorial Policies
      • Editorial Board
      • Aims and Scope
      • Abstracting and Indexing
      • Bibliographic Information
      • Archive
    • World Academy of Sciences Journal
      • World Academy of Sciences Journal
      • Information for Authors
      • Editorial Policies
      • Editorial Board
      • Aims and Scope
      • Abstracting and Indexing
      • Bibliographic Information
      • Archive
    • International Journal of Functional Nutrition
      • International Journal of Functional Nutrition
      • Information for Authors
      • Editorial Policies
      • Editorial Board
      • Aims and Scope
      • Abstracting and Indexing
      • Bibliographic Information
      • Archive
    • International Journal of Epigenetics
      • International Journal of Epigenetics
      • Information for Authors
      • Editorial Policies
      • Editorial Board
      • Aims and Scope
      • Abstracting and Indexing
      • Bibliographic Information
      • Archive
    • Medicine International
      • Medicine International
      • Information for Authors
      • Editorial Policies
      • Editorial Board
      • Aims and Scope
      • Abstracting and Indexing
      • Bibliographic Information
      • Archive
  • Articles
  • Information
    • Information for Authors
    • Information for Reviewers
    • Information for Librarians
    • Information for Advertisers
    • Conferences
  • Language Editing
Spandidos Publications Logo
  • About
    • About Spandidos
    • Aims and Scopes
    • Abstracting and Indexing
    • Editorial Policies
    • Reprints and Permissions
    • Job Opportunities
    • Terms and Conditions
    • Contact
  • Journals
    • All Journals
    • Biomedical Reports
      • Information for Authors
      • Editorial Policies
      • Editorial Board
      • Aims and Scope
      • Abstracting and Indexing
      • Bibliographic Information
      • Archive
    • Experimental and Therapeutic Medicine
      • Information for Authors
      • Editorial Policies
      • Editorial Board
      • Aims and Scope
      • Abstracting and Indexing
      • Bibliographic Information
      • Archive
    • International Journal of Epigenetics
      • Information for Authors
      • Editorial Policies
      • Editorial Board
      • Aims and Scope
      • Abstracting and Indexing
      • Bibliographic Information
      • Archive
    • International Journal of Functional Nutrition
      • Information for Authors
      • Editorial Policies
      • Editorial Board
      • Aims and Scope
      • Abstracting and Indexing
      • Bibliographic Information
      • Archive
    • International Journal of Molecular Medicine
      • Information for Authors
      • Editorial Policies
      • Editorial Board
      • Aims and Scope
      • Abstracting and Indexing
      • Bibliographic Information
      • Archive
    • International Journal of Oncology
      • Information for Authors
      • Editorial Policies
      • Editorial Board
      • Aims and Scope
      • Abstracting and Indexing
      • Bibliographic Information
      • Archive
    • Medicine International
      • Information for Authors
      • Editorial Policies
      • Editorial Board
      • Aims and Scope
      • Abstracting and Indexing
      • Bibliographic Information
      • Archive
    • Molecular and Clinical Oncology
      • Information for Authors
      • Editorial Policies
      • Editorial Board
      • Aims and Scope
      • Abstracting and Indexing
      • Bibliographic Information
      • Archive
    • Molecular Medicine Reports
      • Information for Authors
      • Editorial Policies
      • Editorial Board
      • Aims and Scope
      • Abstracting and Indexing
      • Bibliographic Information
      • Archive
    • Oncology Letters
      • Information for Authors
      • Editorial Policies
      • Editorial Board
      • Aims and Scope
      • Abstracting and Indexing
      • Bibliographic Information
      • Archive
    • Oncology Reports
      • Information for Authors
      • Editorial Policies
      • Editorial Board
      • Aims and Scope
      • Abstracting and Indexing
      • Bibliographic Information
      • Archive
    • World Academy of Sciences Journal
      • Information for Authors
      • Editorial Policies
      • Editorial Board
      • Aims and Scope
      • Abstracting and Indexing
      • Bibliographic Information
      • Archive
  • Articles
  • Information
    • For Authors
    • For Reviewers
    • For Librarians
    • For Advertisers
    • Conferences
  • Language Editing
Login Register Submit
  • This site uses cookies
  • You can change your cookie settings at any time by following the instructions in our Cookie Policy. To find out more, you may read our Privacy Policy.

    I agree
Search articles by DOI, keyword, author or affiliation
Search
Advanced Search
presentation
Oncology Letters
Join Editorial Board Propose a Special Issue
Print ISSN: 1792-1074 Online ISSN: 1792-1082
Journal Cover
December-2014 Volume 8 Issue 6

Full Size Image

Sign up for eToc alerts
Recommend to Library

Journals

International Journal of Molecular Medicine

International Journal of Molecular Medicine

International Journal of Molecular Medicine is an international journal devoted to molecular mechanisms of human disease.

International Journal of Oncology

International Journal of Oncology

International Journal of Oncology is an international journal devoted to oncology research and cancer treatment.

Molecular Medicine Reports

Molecular Medicine Reports

Covers molecular medicine topics such as pharmacology, pathology, genetics, neuroscience, infectious diseases, molecular cardiology, and molecular surgery.

Oncology Reports

Oncology Reports

Oncology Reports is an international journal devoted to fundamental and applied research in Oncology.

Experimental and Therapeutic Medicine

Experimental and Therapeutic Medicine

Experimental and Therapeutic Medicine is an international journal devoted to laboratory and clinical medicine.

Oncology Letters

Oncology Letters

Oncology Letters is an international journal devoted to Experimental and Clinical Oncology.

Biomedical Reports

Biomedical Reports

Explores a wide range of biological and medical fields, including pharmacology, genetics, microbiology, neuroscience, and molecular cardiology.

Molecular and Clinical Oncology

Molecular and Clinical Oncology

International journal addressing all aspects of oncology research, from tumorigenesis and oncogenes to chemotherapy and metastasis.

World Academy of Sciences Journal

World Academy of Sciences Journal

Multidisciplinary open-access journal spanning biochemistry, genetics, neuroscience, environmental health, and synthetic biology.

International Journal of Functional Nutrition

International Journal of Functional Nutrition

Open-access journal combining biochemistry, pharmacology, immunology, and genetics to advance health through functional nutrition.

International Journal of Epigenetics

International Journal of Epigenetics

Publishes open-access research on using epigenetics to advance understanding and treatment of human disease.

Medicine International

Medicine International

An International Open Access Journal Devoted to General Medicine.

Journal Cover
December-2014 Volume 8 Issue 6

Full Size Image

Sign up for eToc alerts
Recommend to Library

  • Article
  • Citations
    • Cite This Article
    • Download Citation
    • Create Citation Alert
    • Remove Citation Alert
    • Cited By
  • Similar Articles
    • Related Articles (in Spandidos Publications)
    • Similar Articles (Google Scholar)
    • Similar Articles (PubMed)
  • Download PDF
  • Download XML
  • View XML
Case Report

Bifocal juvenile papillomatosis as a marker of breast cancer: A case report and review of the literature

  • Authors:
    • Tong Wang
    • Ya‑Qing Li
    • Hong Liu
    • Xi-Lin Fu
    • Shou‑Ching Tang
  • View Affiliations / Copyright

    Affiliations: Second Department of Breast Cancer, Tianjin Medical University Cancer Institute and Hospital, Ministry of Education, Tianjin 300060, P.R. China, Department of Breast Cancer Pathology and Research Laboratory, National Clinical Research Center for Cancer, Key Laboratories of Breast Cancer Prevention and Therapy, Tianjin Medical University Cancer Institute and Hospital, Ministry of Education, Tianjin 300060, P.R. China
  • Pages: 2587-2590
    |
    Published online on: October 10, 2014
       https://doi.org/10.3892/ol.2014.2600
  • Expand metrics +
Metrics: Total Views: 0 (Spandidos Publications: | PMC Statistics: )
Metrics: Total PDF Downloads: 0 (Spandidos Publications: | PMC Statistics: )
Cited By (CrossRef): 0 citations Loading Articles...

This article is mentioned in:



Abstract

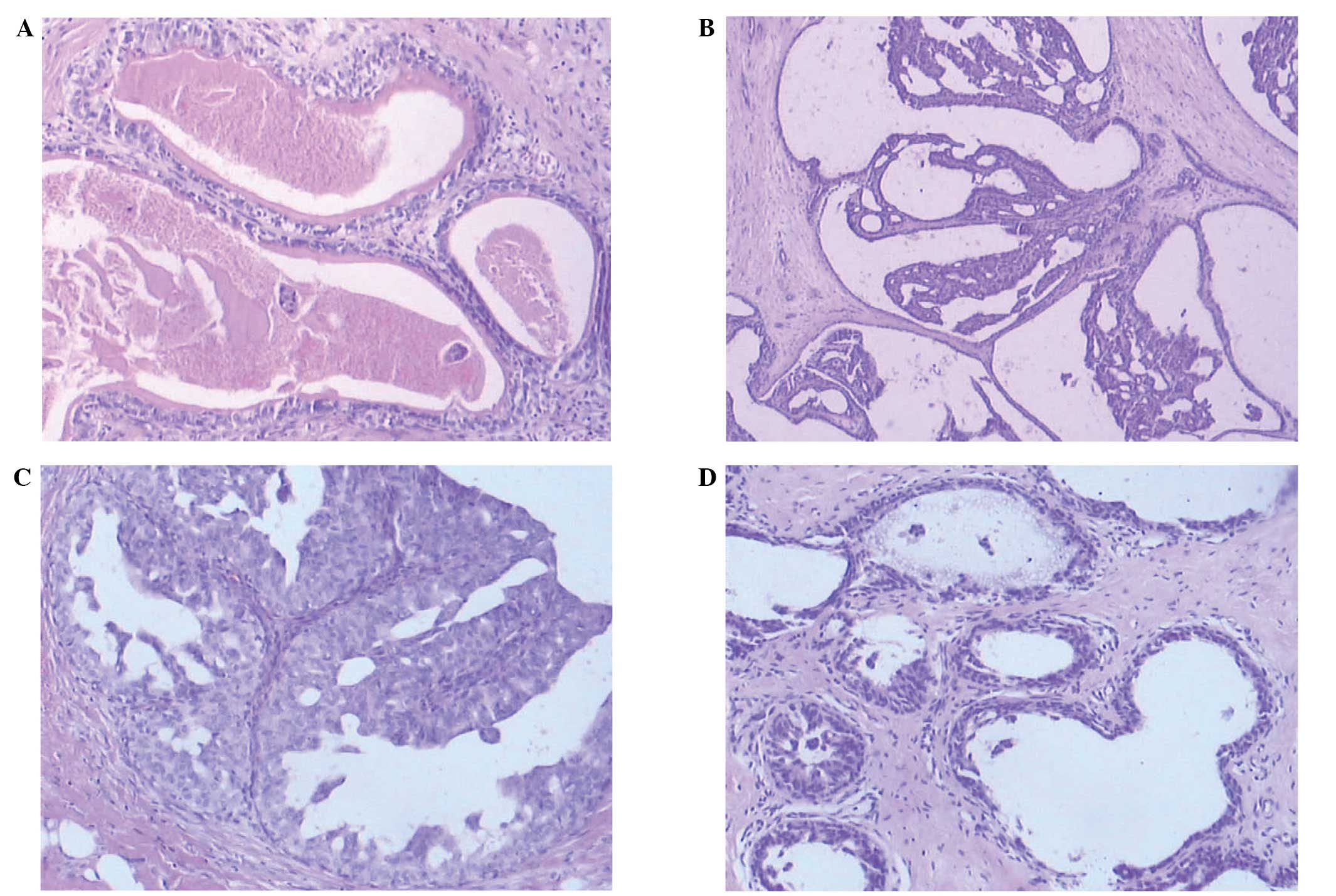
Juvenile papillomatosis (JP), also termed Swiss cheese disease, is a rare and benign type of proliferative breast tumor that is specifically observed in children and adolescents. The majority of JP patients are Caucasian and exhibit a single breast mass. The current report presents an unusual case of bifocal JP in an 11‑year‑old Chinese female. The patient presented with a slow‑growing palpable mass in the upper outer quadrant of the left breast. Ultrasonography identified a further impalpable lesion in the lower outer quadrant of the ipsilateral breast. The preoperative clinical diagnosis of the two masses was fibroadenoma, however, following complete excision of the two tumors, histopathology revealed JP. Furthermore, the patient had a family history of breast cancer. The current report describes a review of the literature regarding the presentation, pathology, diagnosis, and treatment of JP and its association with breast carcinoma. In the current case, JP was associated with an increased risk of breast cancer in the patient, as well as the patient's elder female relatives; therefore, a more thorough medical follow‑up may prove prudent for those individuals with a high risk of developing breast cancer.
View Figures

Figure 1

View References

1 

Rosen PP, Cantrell B, Mullen DL and DePalo A: Juvenile papillomatosis (Swiss cheese disease) of the breast. Am J Surg Pathol. 4:3–12. 1980.

2 

Ibarra JA: Papillary lesions of the breast. Breast J. 12:237–251. 2006.

3 

Gill J and Greenall M: Juvenile papillomatosis and breast cancer. J Surg Educ. 64:234–236. 2007.

4 

Hsieh SC, Chen KC, Chu CC and Chou JM: Juvenile papillomatosis of the breast in a 9-year-old girl. Pediatr Surg Int. 17:206–208. 2001.

5 

Rosen PP, Lyngholm B, Kinne DW and Beattie EJ Jr: Juvenile papillomatosis of the breast and family history of breast carcinoma. Cancer. 49:2591–2595. 1982.

6 

Rosen PP: Papillary duct hyperplasia of the breast in children and young adults. Cancer. 56:1611–1617. 1985.

7 

Bazzocchi F, Santini D, Martinelli G, Piccaluga A, Taffurelli M, Grassigli A and Marrano D: Juvenile papillomatosis (epitheliosis) of the breast. A clinical and pathologic study of 13 cases. Am J Clin Pathol. 86:745–748. 1986.

8 

Rosen PP and Kimmel M: Juvenile papillomatosis of the breast. A follow-up study of 41 patients having biopsies before 1979. Am J Clin Pathol. 93:599–603. 1990.

9 

Sund BS, Topstad TK and Nesland JM: A case of juvenile papillomatosis of the male breast. Cancer. 70:126–128. 1992.

10 

Pacilli M, Sebire NJ, Thambapillai E and Pierro A: Juvenile papillomatosis of the breast in a male infant with Noonan Syndrome, café au lait spots, and family history of breast carcinoma. Pediatr Blood Cancer. 45:991–993. 2005.

11 

Tan TY, Amor DJ and Chow CW: Juvenile papillomatosis of the breast associated with neurofibromatosis 1. Pediatr Blood Cancer. 49:363–364. 2007.

12 

Sanguinetti A, Fioriti L, Brugia M, Roila F, Farabi R, Sidoni A and Avenia N: Juvenile papillomatosis of the breast in young male: a case report. G Chir. 32:374–375. 2011.

13 

Taffurelli M, Santini D, Martinelli G, et al: Juvenile papillomatosis of the breast: A multidisciplinary study. Pathol Annu. 26:25–35. 1991.

14 

Ohlinger R, Schwesinger G, Schimming A, Köhler G and Frese H: Juvenile papillomatosis (JP) of the female breast (Swiss Cheese Disease) - role of breast ultrasonography. Ultraschall Med. 26:42–45. 2005.

15 

Kersschot EA, Hermans ME, Pauwels C, et al: Juvenile papillomatosis of the breast: sonographic appearance. Radiology. 169:631–633. 1988.

16 

Ostrzega N: Fine-needle aspiration cytology of juvenile papillomatosis of breast: a case report. Diagn Cytopathol. 9:457–460. 1993.

17 

Batchelor JS, Farah G and Fisher C: Multiple breast papillomas in adolescence. J Surg Oncol. 54:64–66. 1993.

18 

Buchino JJ, Moore GD and Bond SJ: Secretory carcinoma in a 9-year-old girl. Diagn Cytopathol. 31:430–431. 2004.

19 

Serour F, Gilad A, Kopolovic J and Krispin M: Secretory breast cancer in childhood and adolescence: report of a case and review of the literature. Med Pediatr Oncol. 20:341–344. 1992.

Related Articles

  • Abstract
  • View
  • Download
  • Twitter
Copy and paste a formatted citation
Spandidos Publications style
Wang T, Li YQ, Liu H, Fu X and Tang SC: Bifocal juvenile papillomatosis as a marker of breast cancer: A case report and review of the literature. Oncol Lett 8: 2587-2590, 2014.
APA
Wang, T., Li, Y., Liu, H., Fu, X., & Tang, S. (2014). Bifocal juvenile papillomatosis as a marker of breast cancer: A case report and review of the literature. Oncology Letters, 8, 2587-2590. https://doi.org/10.3892/ol.2014.2600
MLA
Wang, T., Li, Y., Liu, H., Fu, X., Tang, S."Bifocal juvenile papillomatosis as a marker of breast cancer: A case report and review of the literature". Oncology Letters 8.6 (2014): 2587-2590.
Chicago
Wang, T., Li, Y., Liu, H., Fu, X., Tang, S."Bifocal juvenile papillomatosis as a marker of breast cancer: A case report and review of the literature". Oncology Letters 8, no. 6 (2014): 2587-2590. https://doi.org/10.3892/ol.2014.2600
Copy and paste a formatted citation
x
Spandidos Publications style
Wang T, Li YQ, Liu H, Fu X and Tang SC: Bifocal juvenile papillomatosis as a marker of breast cancer: A case report and review of the literature. Oncol Lett 8: 2587-2590, 2014.
APA
Wang, T., Li, Y., Liu, H., Fu, X., & Tang, S. (2014). Bifocal juvenile papillomatosis as a marker of breast cancer: A case report and review of the literature. Oncology Letters, 8, 2587-2590. https://doi.org/10.3892/ol.2014.2600
MLA
Wang, T., Li, Y., Liu, H., Fu, X., Tang, S."Bifocal juvenile papillomatosis as a marker of breast cancer: A case report and review of the literature". Oncology Letters 8.6 (2014): 2587-2590.
Chicago
Wang, T., Li, Y., Liu, H., Fu, X., Tang, S."Bifocal juvenile papillomatosis as a marker of breast cancer: A case report and review of the literature". Oncology Letters 8, no. 6 (2014): 2587-2590. https://doi.org/10.3892/ol.2014.2600
Follow us
  • Twitter
  • LinkedIn
  • Facebook
About
  • Spandidos Publications
  • Careers
  • Cookie Policy
  • Privacy Policy
How can we help?
  • Help
  • Live Chat
  • Contact
  • Email to our Support Team