Spandidos Publications Logo
  • About
    • About Spandidos
    • Aims and Scopes
    • Abstracting and Indexing
    • Editorial Policies
    • Reprints and Permissions
    • Job Opportunities
    • Terms and Conditions
    • Contact
  • Journals
    • All Journals
    • Oncology Letters
      • Oncology Letters
      • Information for Authors
      • Editorial Policies
      • Editorial Board
      • Aims and Scope
      • Abstracting and Indexing
      • Bibliographic Information
      • Archive
    • International Journal of Oncology
      • International Journal of Oncology
      • Information for Authors
      • Editorial Policies
      • Editorial Board
      • Aims and Scope
      • Abstracting and Indexing
      • Bibliographic Information
      • Archive
    • Molecular and Clinical Oncology
      • Molecular and Clinical Oncology
      • Information for Authors
      • Editorial Policies
      • Editorial Board
      • Aims and Scope
      • Abstracting and Indexing
      • Bibliographic Information
      • Archive
    • Experimental and Therapeutic Medicine
      • Experimental and Therapeutic Medicine
      • Information for Authors
      • Editorial Policies
      • Editorial Board
      • Aims and Scope
      • Abstracting and Indexing
      • Bibliographic Information
      • Archive
    • International Journal of Molecular Medicine
      • International Journal of Molecular Medicine
      • Information for Authors
      • Editorial Policies
      • Editorial Board
      • Aims and Scope
      • Abstracting and Indexing
      • Bibliographic Information
      • Archive
    • Biomedical Reports
      • Biomedical Reports
      • Information for Authors
      • Editorial Policies
      • Editorial Board
      • Aims and Scope
      • Abstracting and Indexing
      • Bibliographic Information
      • Archive
    • Oncology Reports
      • Oncology Reports
      • Information for Authors
      • Editorial Policies
      • Editorial Board
      • Aims and Scope
      • Abstracting and Indexing
      • Bibliographic Information
      • Archive
    • Molecular Medicine Reports
      • Molecular Medicine Reports
      • Information for Authors
      • Editorial Policies
      • Editorial Board
      • Aims and Scope
      • Abstracting and Indexing
      • Bibliographic Information
      • Archive
    • World Academy of Sciences Journal
      • World Academy of Sciences Journal
      • Information for Authors
      • Editorial Policies
      • Editorial Board
      • Aims and Scope
      • Abstracting and Indexing
      • Bibliographic Information
      • Archive
    • International Journal of Functional Nutrition
      • International Journal of Functional Nutrition
      • Information for Authors
      • Editorial Policies
      • Editorial Board
      • Aims and Scope
      • Abstracting and Indexing
      • Bibliographic Information
      • Archive
    • International Journal of Epigenetics
      • International Journal of Epigenetics
      • Information for Authors
      • Editorial Policies
      • Editorial Board
      • Aims and Scope
      • Abstracting and Indexing
      • Bibliographic Information
      • Archive
    • Medicine International
      • Medicine International
      • Information for Authors
      • Editorial Policies
      • Editorial Board
      • Aims and Scope
      • Abstracting and Indexing
      • Bibliographic Information
      • Archive
  • Articles
  • Information
    • Information for Authors
    • Information for Reviewers
    • Information for Librarians
    • Information for Advertisers
    • Conferences
  • Language Editing
Spandidos Publications Logo
  • About
    • About Spandidos
    • Aims and Scopes
    • Abstracting and Indexing
    • Editorial Policies
    • Reprints and Permissions
    • Job Opportunities
    • Terms and Conditions
    • Contact
  • Journals
    • All Journals
    • Biomedical Reports
      • Information for Authors
      • Editorial Policies
      • Editorial Board
      • Aims and Scope
      • Abstracting and Indexing
      • Bibliographic Information
      • Archive
    • Experimental and Therapeutic Medicine
      • Information for Authors
      • Editorial Policies
      • Editorial Board
      • Aims and Scope
      • Abstracting and Indexing
      • Bibliographic Information
      • Archive
    • International Journal of Epigenetics
      • Information for Authors
      • Editorial Policies
      • Editorial Board
      • Aims and Scope
      • Abstracting and Indexing
      • Bibliographic Information
      • Archive
    • International Journal of Functional Nutrition
      • Information for Authors
      • Editorial Policies
      • Editorial Board
      • Aims and Scope
      • Abstracting and Indexing
      • Bibliographic Information
      • Archive
    • International Journal of Molecular Medicine
      • Information for Authors
      • Editorial Policies
      • Editorial Board
      • Aims and Scope
      • Abstracting and Indexing
      • Bibliographic Information
      • Archive
    • International Journal of Oncology
      • Information for Authors
      • Editorial Policies
      • Editorial Board
      • Aims and Scope
      • Abstracting and Indexing
      • Bibliographic Information
      • Archive
    • Medicine International
      • Information for Authors
      • Editorial Policies
      • Editorial Board
      • Aims and Scope
      • Abstracting and Indexing
      • Bibliographic Information
      • Archive
    • Molecular and Clinical Oncology
      • Information for Authors
      • Editorial Policies
      • Editorial Board
      • Aims and Scope
      • Abstracting and Indexing
      • Bibliographic Information
      • Archive
    • Molecular Medicine Reports
      • Information for Authors
      • Editorial Policies
      • Editorial Board
      • Aims and Scope
      • Abstracting and Indexing
      • Bibliographic Information
      • Archive
    • Oncology Letters
      • Information for Authors
      • Editorial Policies
      • Editorial Board
      • Aims and Scope
      • Abstracting and Indexing
      • Bibliographic Information
      • Archive
    • Oncology Reports
      • Information for Authors
      • Editorial Policies
      • Editorial Board
      • Aims and Scope
      • Abstracting and Indexing
      • Bibliographic Information
      • Archive
    • World Academy of Sciences Journal
      • Information for Authors
      • Editorial Policies
      • Editorial Board
      • Aims and Scope
      • Abstracting and Indexing
      • Bibliographic Information
      • Archive
  • Articles
  • Information
    • For Authors
    • For Reviewers
    • For Librarians
    • For Advertisers
    • Conferences
  • Language Editing
Login Register Submit
  • This site uses cookies
  • You can change your cookie settings at any time by following the instructions in our Cookie Policy. To find out more, you may read our Privacy Policy.

    I agree
Search articles by DOI, keyword, author or affiliation
Search
Advanced Search
presentation
Oncology Letters
Join Editorial Board Propose a Special Issue
Print ISSN: 1792-1074 Online ISSN: 1792-1082
Journal Cover
April-2015 Volume 9 Issue 4

Full Size Image

Sign up for eToc alerts
Recommend to Library

Journals

International Journal of Molecular Medicine

International Journal of Molecular Medicine

International Journal of Molecular Medicine is an international journal devoted to molecular mechanisms of human disease.

International Journal of Oncology

International Journal of Oncology

International Journal of Oncology is an international journal devoted to oncology research and cancer treatment.

Molecular Medicine Reports

Molecular Medicine Reports

Covers molecular medicine topics such as pharmacology, pathology, genetics, neuroscience, infectious diseases, molecular cardiology, and molecular surgery.

Oncology Reports

Oncology Reports

Oncology Reports is an international journal devoted to fundamental and applied research in Oncology.

Experimental and Therapeutic Medicine

Experimental and Therapeutic Medicine

Experimental and Therapeutic Medicine is an international journal devoted to laboratory and clinical medicine.

Oncology Letters

Oncology Letters

Oncology Letters is an international journal devoted to Experimental and Clinical Oncology.

Biomedical Reports

Biomedical Reports

Explores a wide range of biological and medical fields, including pharmacology, genetics, microbiology, neuroscience, and molecular cardiology.

Molecular and Clinical Oncology

Molecular and Clinical Oncology

International journal addressing all aspects of oncology research, from tumorigenesis and oncogenes to chemotherapy and metastasis.

World Academy of Sciences Journal

World Academy of Sciences Journal

Multidisciplinary open-access journal spanning biochemistry, genetics, neuroscience, environmental health, and synthetic biology.

International Journal of Functional Nutrition

International Journal of Functional Nutrition

Open-access journal combining biochemistry, pharmacology, immunology, and genetics to advance health through functional nutrition.

International Journal of Epigenetics

International Journal of Epigenetics

Publishes open-access research on using epigenetics to advance understanding and treatment of human disease.

Medicine International

Medicine International

An International Open Access Journal Devoted to General Medicine.

Journal Cover
April-2015 Volume 9 Issue 4

Full Size Image

Sign up for eToc alerts
Recommend to Library

  • Article
  • Citations
    • Cite This Article
    • Download Citation
    • Create Citation Alert
    • Remove Citation Alert
    • Cited By
  • Similar Articles
    • Related Articles (in Spandidos Publications)
    • Similar Articles (Google Scholar)
    • Similar Articles (PubMed)
  • Download PDF
  • Download XML
  • View XML
Article

Clinical significance of KAI1/CD82 protein expression in nasopharyngeal carcinoma

  • Authors:
    • Gengming Wang
    • Hao Jiang
    • Hongbo Xu
    • Qian Sun
    • Yan Zhou
    • Ping Xiang
    • Zenong Cheng
    • Yajun Zhang
    • Yufu Zhou
    • Qing Guo
    • Xinglong Du
    • Shuxiu Xu
    • Shiyin Ma
    • Zhendong Chen
  • View Affiliations / Copyright

    Affiliations: Department of Oncology, The Second Affiliated Hospital of Anhui Medical University, Hefei, Anhui 230601, P.R. China, Department of Radiotherapy, The First Affiliated Hospital of Bengbu Medical College, Bengbu, Anhui 233004, P.R. China, Central Laboratory, The First Affiliated Hospital of Bengbu Medical College, Bengbu, Anhui 233004, P.R. China, Department of Pathology, The First Affiliated Hospital of Bengbu Medical College, Bengbu, Anhui 233004, P.R. China, Department of Radiotherapy, Taizhou People's Hospital, Taizhou, Zhejiang 225300, P.R. China, Department of Radiotherapy, The Second People's Hospital of Chuzhou, Chuzhou, Anhui 239000, P.R. China, Department of Otolaryngology, The First Affiliated Hospital of Bengbu Medical College, Bengbu, Anhui 233004, P.R. China
  • Pages: 1681-1686
    |
    Published online on: January 23, 2015
       https://doi.org/10.3892/ol.2015.2891
  • Expand metrics +
Metrics: Total Views: 0 (Spandidos Publications: | PMC Statistics: )
Metrics: Total PDF Downloads: 0 (Spandidos Publications: | PMC Statistics: )
Cited By (CrossRef): 0 citations Loading Articles...

This article is mentioned in:



Abstract

The aim of this study was to investigate KAI1/CD82 protein expression in human nasopharyngeal carcinoma (NPC) cell lines and human NPC tissues. Immunohistochemistry and western blot analysis were used to detect the localization and expression levels of the KAI1/CD82 protein in five human NPC cell lines. Immunohistochemistry was also conducted to detect the expression of the KAI1/CD82 protein in 70 NPC tissues and 30 non‑neoplastic nasopharyngeal tissues. The levels of KAI1/CD82 protein expression were found to decrease as the metastatic potential of cells increased. The expression rate of KAI1/CD82 protein in the NPC tissues (44.3%) was significantly lower than that in the non‑neoplastic nasopharyngeal tissues (70.0%) (P<0.05). KAI1/CD82 protein expression in the NPC tissues was not associated with clinical parameters, including gender, age, histological type and T stage, and the positive expression of KAI1/CD82 decreased with increased N staging. The level of KAI1/CD82 protein expression was increased in different human NPC cell lines. The KAI1/CD82 gene was highly expressed in cells with low metastatic potential, while low expression was observed in cells with a high metastatic potential. In addition, the KAI1/CD82 gene was expressed at low levels in nasopharyngeal carcinoma tissues, while high expression was identified in non‑neoplastic nasopharyngeal tissues, and was associated with lymph node metastasis. These results indicated that the KAI1/CD82 gene may be involved in the occurrence, development and metastasis of nasopharyngeal carcinoma.

Introduction

Nasopharyngeal carcinoma (NPC) is a highly invasive malignant tumor, which occurs in the nasopharynx. Although it is rare in the majority of countries (1), the incidence and mortality rates of NPC are markedly high among Southern Chinese populations. The five-year survival rate following combined treatment with radiotherapy and adjuvant cisplatin chemotherapy is 50–60% and the rates of five-year cumulative local relapse and distant metastasis are 20–30 and 20–25%, respectively (2). Therefore, investigating distant metastasis in NPC, and minimizing the occurrence of distant metastasis have become key to further improve the efficacy of NPC treatment and, thus, have important practical significance. The KAI1/CD82 gene, which belongs to the transmembrane 4 superfamily (TM4SF), was identified by Dong et al (3) in 1995. The inhibitory effects of the TM4SF protein on tumor metastasis have been demonstrated (4); its cell-membrane location and extensive glycosylation leads to cell-cell and cell-extracellular matrix interactions, which subsequently affect tumor metastasis. These interactions are extremely important with regard to the invasion and metastasis of tumors. In this study, immunohistochemistry and western blot analysis were used to detect the levels of KAI1/CD82 protein expression in five different human NPC cell lines, CNE-1, CNE-2Z, SUNE-1, SUNE-1-5-8F and SUNE -1-6-10B, and immunohistochemistry was also performed to detect the KAI1/CD82 protein expression in NPC and non-neoplastic nasopharyngeal tissues. The association between abnormal KAI1/CD82 gene expression in NPC and patient age, gender, histological type, T staging and lymph node staging were analyzed. The aim of this study was to investigate novel methods, which may improve the treatment efficacy and the prognosis, as well as reduce the occurrence of metastasis.

Materials and methods

Specimens

The human NPC cell lines, CNE-1, CNE-2Z, SUNE-1, SUNE-1-5-8F and SUNE -1-6-10B, with various metastatic characteristics were purchased from Hefei Shengmai Reagent Co., Ltd (Hefei, China). The detailed metastatic characteristics and levels of differentiation are shown in Table I.

Table I

Differentiation status and metastatic characteristics of the five cell lines used in this study.

Table I

Differentiation status and metastatic characteristics of the five cell lines used in this study.

Cell lineLevel of differentiationMetastatic characteristics
SUNE-1Poorly differentiatedSqCa high
CEN-2ZPoorly differentiatedSqCa high
SUNE-1-5-8FPoorly differentiatedSqCa extremely high
SUNE-1-6-10BPoorly differentiatedSqCa low
CEN-1Highly differentiatedSqCa middle

[i] Extremely high, high, middle and low refer to the degree of metastasis. SqCa, squamous cell carcinoma.

A total of 70 archived paraffin-embedded NPC specimens were obtained from the Department of Pathology. The First Affiliated Hospital of Bengbu Medical College (Bengbu, China) between February 2007 and August 2010. The clinical data of all patients were complete and no patients had received radiotherapy or chemotherapy prior to biopsy. In addition, 30 archived paraffin-embedded non-neoplastic nasopharyngeal tissue specimens served as the control group, which were all samples of nasopharyngeal chronic mucosal inflammation, with or without the lymphoid hyperplasia. This study was conducted in accordance with the Declaration of Helsinki and with approval from the ethics committee of The First Affiliated Hospital of Bengbu Medical College. Written informed consent was obtained from all participants.

Immunohistochemical detection of KAI1/CD82 expression in human NPC cell lines

After anabiosis, medium-changing and three passages, the five NPC cell lines were seeded in the pre-sterile-coverslip-paved six-well plates at a density of ~5×104 cells/ml. Following incubation at 37°C in an atmosphere of 5% CO2 for 48 h, the coverslips were removed and immunohistochemical staining with Histostain™-Plus kits (Beijing Zhongshan Biotechnology Co., Ltd., Beijing, China) was performed at room temperature. The appearance of brown granules on the cell surface and inside the cytoplasm was considered to indicate positive KAI1/CD82 expression. A total of four cell-attached coverslips of the KAI1/CD82 protein from each cell line were randomly selected, and 500 cells in each cell-attached coverslip were randomly selected under a microscope (BX50; Olympus, Tokyo, Japan; magnification, ×400); the total number of cells in the four cell-attached coverslips was 2,000. The number of positive cells among the 500 randomly selected cells in each of the above four cell-attached coverslips was counted to calculate the positive KAI1/CD82 expression rate, with the following formula: Positive rate of KAI1/CD82 expression (%) = number of positive cells / total number of cells counted. According to the number of cells and the percentage of positive cells, the results were classified into four grades: No expression (−), no positive cells in the cell-attached coverslip; low expression (+), >0% and <24% positive cells; moderate expression (++), 25–50% positive cells; and high expression (+++), >50% positive cells.

The χ2 test was used to compare the positive rates of KAI1/CD82 protein among the cell line with the lowest metastatic potential (SUNE-1-6-10B) and the other cell lines with higher metastatic potentials.

Western blot analysis

A total of 1×107 cells of each of the five NPC cell lines, which were wall-adherent, were collected. Next, 200 μl cell lysate was added for the 30 min lysis on ice, followed by centrifugation at 2,862 × g for 30 min at 4°C (5810R, Eppendorf, Hamburg, Germany). The supernatant was obtained, and the protein concentration was determined using the Coomassie Brilliant Blue assay (G-250, Beijing Zhongshan Biotechnology Co., Ltd.). The protein concentration was then adjusted to 50 μg/μl. Next, 10% SDS-PAGE electrophoresis was performed for 3 h to separate the proteins, which were then transferred to nitrocellulose membranes. After three washes with phosphate buffered-saline (PBS; Fuzhou Maixin Biotechnology Development Co., Ltd., Fuzhou, China) for 15 min each, l% bovine serum albumin (Fuzhou Maixin Biotechnology Development Co., Ltd.) was used to block non-specific antigen activity for 2 h. After blocking, the membranes were incubated with mouse anti-human KAI1/CD82 monoclonal primary antibody (l:250; sc-17752; Santa Cruz Biotechnology, Inc., CA, USA) overnight at 4°C, followed by washing with PBS. The alkaline goat anti-rat polyclonal phosphatase-labeled secondary antibody (l:200; PV6002, Beijing Zhongshan Biotechnology Co., Ltd.; general-type kit; Fuzhou Maixin Biotechnology Development Co., Ltd.) was added, followed by incubation at room temperature for 2 h. NBT/BCIP coloration was conducted for 15 min (kits were provided by Fuzhou Maixin Biotechnology Development Co., Ltd., Fuzhou, China). When clear brown bands, which indicate positive staining, were observed on the membranes, the coloration was terminated, followed by rinsing, drying and preservation of the membranes.

Immunohistochemical detection of KAI1/CD82 protein expression

All NPC and non-neoplastic nasopharyngeal tissue specimens were fixed in 10% formalin, embedded in paraffin and cut into 4 μm-thick serial sections. After dewaxing and hydration, antigen retrieval in potassium citrate buffer was performed on the sections using a microwave. Horseradish peroxidase (Fuzhou Maxim Bioengineering Co. Ltd., Fuzhou, China) was then added to label the avidin, followed by staining with 3,3′-Dimethylbenzidine (Fuzhou Maixin Biotechnology Development Co., Ltd.). After rinsing with water, the specimens were re-stained with hematoxylin (Fuzhou Maixin Biotechnology Development Co., Ltd.), followed by an additional rinse with water. The specimens were then dehydrated in ethanol and cleared in xylene (Wuxi Jingke Chemical Co., Ltd., Wuxi, China), followed by mounting with neutral gum (Fuzhou Maixin Biotechnology Development Co., Ltd.). PBS was used to replace the primary antibody for the blank control group. The nasopharyngeal tissues were observed under a microscope (BX50; Olympus), and the appearance of brown particles in the cytoplasm was considered to indicate positive expression. A total of four different views at high magnification were performed to count 100 cells in each view, which were divided into (+) to (+++) according to the percentage of positive cells, which was scored as follows: no positive cells (−); 1–9% positive cells (+); 10–50% positive cells (++); >50% positive cells (+++). The (+) to (+++) scores were classified as positive expression, while (−) score was considered as negative expression.

Statistical analysis

The western blotting data were analyzed using one-factor analysis of variance and the immunohistochemistry data were analyzed by the χ2 test. All data were analyzed using SPSS software, version 17.0 (SPSS, Inc., Chicago, IL, USA) and P<0.05 was considered to indicate a statistically significant difference.

Results

Immunohistochemical detection of KAI1/CD82 protein levels in the five NPC cell lines

The immunohistochemical results showed that the KAI1/CD82 protein was significantly expressed in the membrane and/or cytoplasm of all five NPC cell lines, with the positive signal of brown particles. The results revealed that the KAI1/CD82 protein was located in the membrane and/or cytoplasm in all five cell lines. KAI1/CD82 was highly expressed in the cytoplasm and membrane of the SUNE-1-6-10B cell line (tumorigenesis and low metastatic potential), while low expression was exhibited in the cytoplasm and membrane of the SUNE-1-5-8F cell line (high tumorigenesis and metastatic potential). In the remaining cell lines, the expression varied (Fig. 1). The positive rate of KAI1/CD82 protein expression in each cell line was calculated and the χ2 test was performed, which revealed that the positive expression rate of KAI1/CD82 protein in the SUNE-1-6-10B cells (tumorigenesis and low metastatic potential) was significantly higher than that in the cell lines with a higher metastatic potential (P<0.01).

Figure 1

KAI1/CD82 protein expression in human nasopharyngeal carcinoma in (A) SUNE-1-6-10B, (B) CNE-1, (C) CNE-2Z, (D) SUNE-1 and (E) SUNE-1-5-8F cell lines with different metastatic potentials (magnification, ×100).

SPSS 17.0 software was used to perform the completely randomized-design χ2 test, which revealed that the positive expression rate in the SUNE-1-6-10B cells was significantly different when compared with the other groups (P<0.05) (Table II). Furthermore a significant difference in expression rate was identified between the CNE-1 and SUNE-1 cell lines, and between the CNE-2Z and SUNE-1-5-8F cell lines (P<0.05), while no significant difference was identified between the SUNE-1 and CNE-2Z cell lines (P>0.05).

Table II

Comparison of KAI1/CD82 protein positive expression rates in five cell lines.

Table II

Comparison of KAI1/CD82 protein positive expression rates in five cell lines.

Cell lineCells, nPositive cells, nPositive rate (%)aχ2P-value
SUNE-1-6-10B2000141070.5--
CNE-1a200081440.7459 4.89×10−83
CNE-2Za200080340.2467 1.29×10−101
SUNE-1a200073636.8526 6.77×10−100
SUNE-1-5-8Fa200039419.71196 6.41×10−248

a Compared with SUNE-1-6-10B (tumorigenesis and low metastatic), P<0.05.

Western blot analysis of KAI1/CD82 protein levels in the five NPC cell lines

Western blot analysis revealed that the KAI1/CD82 protein expression levels differed in the five NPC cell lines (Fig. 2). β-actin was used as the internal reference. The results revealed that compared with the SUNE-1-5-8F cell line, the protein expression of KAI1/CD82 in the SUNE-1-6-10B and CNE-1 cell lines was significantly increased (P<0.05) (Table III).

Figure 2

KAI1/CD82 gene expression in different human nasopharyngeal carcinoma cell lines. (A) SUNE-1-5-8F, (B) CNE-2Z, (C) SUNE-1, (D) CNE-1 and (E) SUNE-1-6-10B.

Table III

Expression level changes of KAI1/CD82 gene in different human nasopharyngeal carcinoma cell lines.

Table III

Expression level changes of KAI1/CD82 gene in different human nasopharyngeal carcinoma cell lines.

GroupnODa
SUNE-1-6-10B31594+13.95
CNE-131453+11.34
CNE-2Z31326+11.78
SUNE-131314+9.09
SUNE-1-5-8F31245+10.42

a Mean ± SD.

{ label (or @symbol) needed for fn[@id='tfn4-ol-09-04-1681'] } n, number of experimental repeats; OD, optical density.

SPSS 17.0 software was used to perform the LEVENE homogeneity of variance test, the results of which were F=0.485 and P=0.747 (P>0.05), indicating that the data of the five groups exhibited homogeneity of variance. Furthermore, the completely randomized-design analysis of variance results were P=0.000 (P<0.05) and F=315.775; therefore, it was considered in general that the data obtained from the five groups were different. The pairwise comparison with least significant difference and Student-Newman-Keuls methods identified no significant difference in the protein expression between the CNE-2Z and SUNE-1 cell lines (P=0.195 and P>0.05, respectively); however, the pairwise comparisons between the other groups identified a significant difference (P<0.05).

Expression of the KAI1/CD82 protein in NPC and non-neoplastic nasopharyngeal tissues

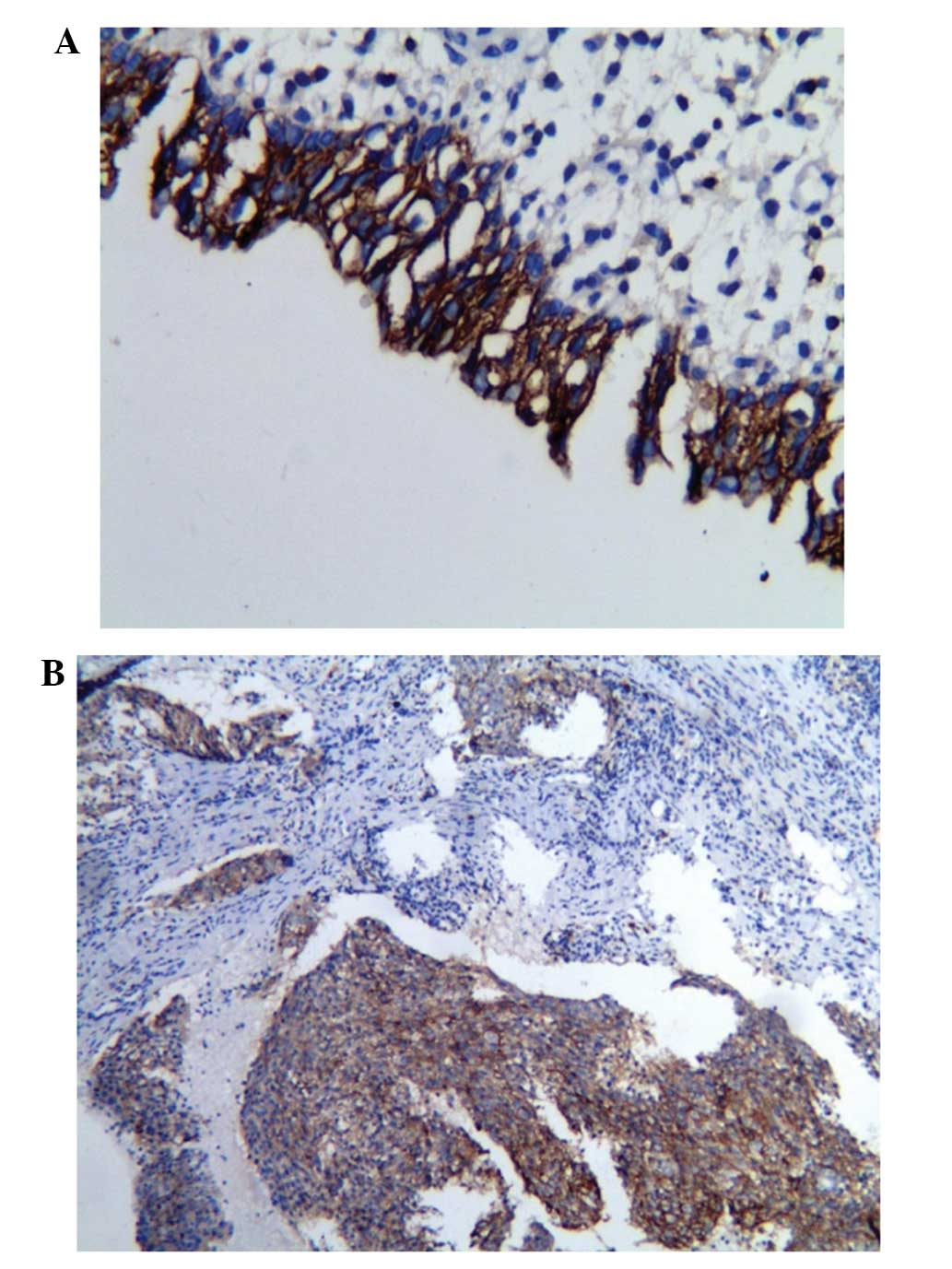
The immunohistochemical detection of the KAI1/CD82 protein expression in the two groups revealed that the positive expression rate of the KAI1/CD82 protein in the non-neoplastic nasopharyngeal tissues (21/30; 70.0%) was significantly higher than that of NPC group (31/70; 44.3%), and the χ2 test revealed a statistically significant difference in KAI1/CD82 protein expression between the two groups (Fig. 3) (P<0.05).

Figure 3

Positive KAI1/CD82 protein expression was identified in (A) non-neoplastic nasopharyngeal and (B) NPC tissues by immunohistochemistry. (magnification: A, ×40; B, ×10).

Association between KAI1/CD82 protein expression and clinical factors

The expression of KAI1/CD82 protein in NPC was not found to correlate with the clinical characteristics of patients, including age, histological type and T staging, which was determined according to the International Union Against Cancer’s (UICC) TNM staging system (5). However, the expression of KAI1/CD82 protein expression was found to correlate with lymph node metastasis. The positive expression rate of KAI1/CD82 protein in patients without lymph node metastasis (N0), according to the UICC TNM staging system (5), was 68.4% (13/19), which was higher than that (35.3%, 18/51) in the patients with the cervical lymph node metastasis (N1–3), and this difference was statistically significant (P<0.05). With increased N staging, the KAI1/CD82 protein expression decreased (N0, 68.4%; N1, 43.8%; N2, 33.3%; and N3, 25.0%) (Table IV).

Table IV

Association between KAI1/CD82 protein expression and patient clinical parameters.

Table IV

Association between KAI1/CD82 protein expression and patient clinical parameters.

KAI-1/CD82 protein expression

Clinical parametern (%)+−χ2P-value
Gender0.3200.572
 Male32 (45.7)1319
 Female38 (54.3)1820
Age, years0.1700.681
 ≤5041 (58.6)1922
 >5029 (41.4)1217
Pathological type0.8541.000
 Squamous cell carcinoma69 (98.6)3237
 Adenocarcinoma1 (1.4)01
T staging0.7970.372
 T1–T221 (30.0)1110
 T3–T449 (70.0)2029
N staging6.1570.013
 N019 (27.1)136
 N116 (22.9)79
 N227 (38.6)918
 N38 (11.4)26

Discussion

Metastasis refers to the process by which malignant cells detach from the primary tumor and migrate to a secondary tissue or organ via a variety of mechanisms. The cells continue to proliferate and grow, finally forming a secondary tumor that exhibits the same features as the primary tumor. Metastasis is one of the basic biological characteristics of malignant tumors, and the reason for the failure of treatment in the majority of cancer patients. Therefore, controlling metastasis is the key to improving the prognosis of cancer patients (6).

The KAI1/CD82 gene is located on the human chromosome 11p11.2 (3), which consists of 10 exons and nine introns (~80 kb) (3). The structure of the product of the KAI1 gene is the same as CD82 and, thus, KAI1 is a member of the TM4SF family. The KAI1/CD82 gene exhibits an inhibitory function with regard to tumor metastasis, and this inhibition has been confirmed in a number of studies investigating malignant cancer (7–10). However, this inhibitory mechanism remains unclear, and previous studies have shown that multiple factors are involved, which may exert effects on their own or in combination, including the integrin family (11), epidermal growth factor receptor (12), EW12/PGRL (13), KITENIN (14,15) and protein kinase C (16).

An initial study indicated that the KAI1/CD82 gene exhibited the inhibition specifically towards the metastasis of prostate cancer (17); however, later studies have revealed that the inactivation of this gene occurs in a number of other malignant tumors, including thyroid (14), breast (18–20), endometrial (16), laryngeal (21), colon (22), gastric (7,23), gallbladder (24), liver (25), kidney (26), bladder (27) and prostate (28) cancer. In addition, these studies also demonstrated that the inactivation of the KAI1/CD82 gene was associated with tumor metastasis.

Although the KAI1/CD82 gene has been reported to be involved in numerous other cancer types, its involvement in NPC is largely unclear. In the present study, immunohistochemistry and western blot analysis were performed to investigate the expression levels of the KAI1/CD82 gene in five different NPC cell lines, which exhibited different metastatic characteristics. The KAI1/CD82 protein levels were found to correlate with the metastatic characteristics of the NPC cell lines. The positive expression rate of KAI1/CD82 in NPC was lower than that in the normal nasopharyngeal tissues, indicating that the KAI1/CD82 gene may be involved in the occurrence and development of NPC. In NPC, the underexpression of the KAI1/CD82 protein was found to correlate with lymph node metastasis. Furthermore, with the progression of N staging, the expression rate of KAI1/CD82 protein was found to gradually decline, indicating that the underexpression of KAI1/CD82 protein was associated with NPC metastasis, and that KAI1/CD82 may be involved in the metastasis of NPC.

Controlling tumor metastasis is a major focus of cancer research; tumor metastasis is the main reason for treatment failure and patient mortality, and there are currently difficulties with regard to the treatment of malignant cancer. Therefore, future studies investigating the tumor metastasis-related genes are required to improve the efficacy of tumor treatment. Since the follow-up period in the present study was short, the association between KAI1/CD82 gene expression and the treatment and prognosis of NPC was not analyzed. Further study is required to elucidate the true association between KAI1/CD82 expression and the biological behaviors of NPC.

References

1 

Lo KW, To KF and Huang DP: Focus on nasopharyngeal carcinoma. Cancer Cell. 5:423–428. 2004. View Article : Google Scholar : PubMed/NCBI

2 

Siddique MA, Sabur MA, Kundu SC, et al: Difficulty in diagnosis of nasopharyngeal carcinoma. Mymensingh Med J. 21:158–161. 2012.PubMed/NCBI

3 

Dong JT, Lamb PW, Rinker-Schaefer CW, et al: KAI-1, a metastasis suppressor gene for prostate cancer on human chromosome 11p11.2. Science. 268:884–886. 1995. View Article : Google Scholar : PubMed/NCBI

4 

Takeda T, Hattori N, Tokuhara T, et al: Adenoviral transduction of MRP-1/CD9 and KAI-1/CD82 inhibits lymph node metastasis in orthotropic lung cancer model. Cancer Res. 67:1744–1749. 2007. View Article : Google Scholar : PubMed/NCBI

5 

Teo PM, Leung SF, Yu P, Tsao SY, Foo W and Shiu W: A comparison of Ho’s, International Union Against Cancer, and American Joint Committee stage classifications for nasopharyngeal carcinoma. Cancer. 67:434–439. 1991. View Article : Google Scholar : PubMed/NCBI

6 

Brierly JD, Catton PA, O’Sullivan B, et al: Accuracy of recorded tumor, node, and metastasis stage in a comprehensive cancer center. J Clin Oncol. 20:413–419. 2002. View Article : Google Scholar

7 

Tsutsumi S, Shimura T, Morinaga N, et al: Loss of KAI-1 expression in gastric cancer. Hepatogastroenterology. 52:281–284. 2005.PubMed/NCBI

8 

Yang X, Wei LL, Tang C, Slack R, Mueller S and Lippman ME: Overexpression of KAI1 suppresses in vitro invasiveness and in vivo metastasis in breast cancer cells. Cancer Res. 61:5284–5288. 2001.PubMed/NCBI

9 

Huang CI, Kohno N, Ogawa E, Adachi M, Taki T and Miyake M: Correlation of reduction in MRP-l/CD9 and KAIl/CD82 expression with recurrences in breast cancer patients. Am J Pathol. 153:973–983. 1998. View Article : Google Scholar : PubMed/NCBI

10 

Takaoka A, Hinoda Y, Sato S, Itoh F, Adachi M, Hareyama M and Imai K: Reduced invasive and metastatic potentials of KAI-1 transfected melanoma cells. Jpn J Cancer Res. 89:397–404. 1998. View Article : Google Scholar : PubMed/NCBI

11 

He B, Liu L, Cook GA, et al: Tetraspanin CD82 attenuates cellular morphogenesis through down-regulating integrin alpha6-mediated cell adhesion. J Biol Chem. 280:3346–3354. 2005. View Article : Google Scholar

12 

Charrin S, Manie S, Oualid M, et al: Differential stability of tetraspanin/tetraspanin interactions: role of palmitoylation. FEBS Lett. 516:139–144. 2002. View Article : Google Scholar : PubMed/NCBI

13 

Zhou B, Liu L, Reddivari M and Zhang XA: The palmitoylation of metastasis suppressor KAI-1/CD 82 is important for its motility-and invasiveness-inhibitory activity. Cancer Res. 64:7455–7463. 2004. View Article : Google Scholar : PubMed/NCBI

14 

Ito Y, Yoshida H, Uruno T, et al: KAI-1 expression in tlyroidneoplasmg: its linkage with clinic opathologic features in papillary carcinoma. Pathol Res Pract. 199:79–83. 2003. View Article : Google Scholar

15 

Chen Z, Mustafa T, Trojanowicz B, et al: CD82 and CD63 in thyroid cancer. Int J Mol Med. 14:517–527. 2004.PubMed/NCBI

16 

Liu FS, Dong JT, Chen JT, et al: KAI1 metastasis suppressor protein is down-regulated during the progression of human endometrial cancer. Clin Cancer Res. 9:1393–1398. 2003.PubMed/NCBI

17 

Lijovic M, Somers G and Frauman AG: KAIl/CD82 Protein expression in primary prostate cancer and in BPH associated with cancer. Cancer Detect Prev. 26:69–77. 2002. View Article : Google Scholar

18 

Christgen M, Bruchhardt H, Ballmaier M, et al: KAI-1/CD82 is a novel target of estrogen receptor-mediated gene repression and down regulated in primary human breast cancer. Int J Cancer. 123:2239–2246. 2008. View Article : Google Scholar : PubMed/NCBI

19 

Christgen M, Christgen H, Heil C, et al: Expression of KAI1/CD82 in distant metastases from estrogen receptor-negative breast cancer, Inhibitory effect of KAI-1 gene on breast cancer cell growth in vitro. Cancer Sci. 100:1767–1771. 2009. View Article : Google Scholar : PubMed/NCBI

20 

Malik FA, Sanders AJ, Kayani MA and Jiang WG: Effect of expressional alteration of KAI-1 on breast cancer cell growth, adhesion, migration and invasion. Cancer Genomics Proteomics. 6:205–213. 2009.PubMed/NCBI

21 

Zhang BH, Liu W, Li L, et al: KAI1/CD82 and MRP1/CD9 serve as markers of infiltration, metastasis, and prognosis in laryngeal squamous cell carcinomas. Asian Pac J Cancer Prev. 14:3521–3526. 2013. View Article : Google Scholar : PubMed/NCBI

22 

Ma ZB, Li K, Wang J and Guo GH: Role of KAI1/CD82 polymorphisms in colon cancer risk in Han Chinese population. Med Oncol. 30:668–672. 2013. View Article : Google Scholar : PubMed/NCBI

23 

Knoener M, Krech T, Puls F, et al: Limited value of KAI1/CD82 protein expression as a prognostic marker in human gastric cancer. Dis Markers. 32:337–342. 2012. View Article : Google Scholar : PubMed/NCBI

24 

Jiang WX, Song BG and Wang PJ: Expression of nm23, KAI1 and spiral computed tomography findings in primary gallbladder carcinoma. Chin Med J. 122:2666–2668. 2009.PubMed/NCBI

25 

Guo C, Liu QG, Zhang L, Song T and Yang X: Expression and clinical significance of p53, JunB and KAI1/CD82 in human hepatocellular carcinoma. Hepatobiliary Pancreat Dis Int. 8:389–396. 2009.PubMed/NCBI

26 

Yusenko MV and Kovacs G: Identifying CD82 (KAI1) as a marker for human chromophobe renal cell carcinoma. Histopathology. 55:687–695. 2009. View Article : Google Scholar : PubMed/NCBI

27 

You J, Madigan MC, Rowe A, et al: An inverse relationship between KAI1 expression, invasive ability, and MMP-2 expression and activity in bladder cancer cell lines. Urol Oncol. 9:1324–1330. 2010.

28 

Lee HA, Park I, Byun HJ, et al: Metastasis suppressor KAI1/CD82 attenuates the matrix adhesion of human prostate cancer cells by suppressing fibronectin expression and β1 integrin activation. Cell Physiol Biochem. 27:575–586. 2011. View Article : Google Scholar

Related Articles

  • Abstract
  • View
  • Download
  • Twitter
Copy and paste a formatted citation
Spandidos Publications style
Wang G, Jiang H, Xu H, Sun Q, Zhou Y, Xiang P, Cheng Z, Zhang Y, Zhou Y, Guo Q, Guo Q, et al: Clinical significance of KAI1/CD82 protein expression in nasopharyngeal carcinoma. Oncol Lett 9: 1681-1686, 2015.
APA
Wang, G., Jiang, H., Xu, H., Sun, Q., Zhou, Y., Xiang, P. ... Chen, Z. (2015). Clinical significance of KAI1/CD82 protein expression in nasopharyngeal carcinoma. Oncology Letters, 9, 1681-1686. https://doi.org/10.3892/ol.2015.2891
MLA
Wang, G., Jiang, H., Xu, H., Sun, Q., Zhou, Y., Xiang, P., Cheng, Z., Zhang, Y., Zhou, Y., Guo, Q., Du, X., Xu, S., Ma, S., Chen, Z."Clinical significance of KAI1/CD82 protein expression in nasopharyngeal carcinoma". Oncology Letters 9.4 (2015): 1681-1686.
Chicago
Wang, G., Jiang, H., Xu, H., Sun, Q., Zhou, Y., Xiang, P., Cheng, Z., Zhang, Y., Zhou, Y., Guo, Q., Du, X., Xu, S., Ma, S., Chen, Z."Clinical significance of KAI1/CD82 protein expression in nasopharyngeal carcinoma". Oncology Letters 9, no. 4 (2015): 1681-1686. https://doi.org/10.3892/ol.2015.2891
Copy and paste a formatted citation
x
Spandidos Publications style
Wang G, Jiang H, Xu H, Sun Q, Zhou Y, Xiang P, Cheng Z, Zhang Y, Zhou Y, Guo Q, Guo Q, et al: Clinical significance of KAI1/CD82 protein expression in nasopharyngeal carcinoma. Oncol Lett 9: 1681-1686, 2015.
APA
Wang, G., Jiang, H., Xu, H., Sun, Q., Zhou, Y., Xiang, P. ... Chen, Z. (2015). Clinical significance of KAI1/CD82 protein expression in nasopharyngeal carcinoma. Oncology Letters, 9, 1681-1686. https://doi.org/10.3892/ol.2015.2891
MLA
Wang, G., Jiang, H., Xu, H., Sun, Q., Zhou, Y., Xiang, P., Cheng, Z., Zhang, Y., Zhou, Y., Guo, Q., Du, X., Xu, S., Ma, S., Chen, Z."Clinical significance of KAI1/CD82 protein expression in nasopharyngeal carcinoma". Oncology Letters 9.4 (2015): 1681-1686.
Chicago
Wang, G., Jiang, H., Xu, H., Sun, Q., Zhou, Y., Xiang, P., Cheng, Z., Zhang, Y., Zhou, Y., Guo, Q., Du, X., Xu, S., Ma, S., Chen, Z."Clinical significance of KAI1/CD82 protein expression in nasopharyngeal carcinoma". Oncology Letters 9, no. 4 (2015): 1681-1686. https://doi.org/10.3892/ol.2015.2891
Follow us
  • Twitter
  • LinkedIn
  • Facebook
About
  • Spandidos Publications
  • Careers
  • Cookie Policy
  • Privacy Policy
How can we help?
  • Help
  • Live Chat
  • Contact
  • Email to our Support Team