Spandidos Publications Logo
  • About
    • About Spandidos
    • Aims and Scopes
    • Abstracting and Indexing
    • Editorial Policies
    • Reprints and Permissions
    • Job Opportunities
    • Terms and Conditions
    • Contact
  • Journals
    • All Journals
    • Oncology Letters
      • Oncology Letters
      • Information for Authors
      • Editorial Policies
      • Editorial Board
      • Aims and Scope
      • Abstracting and Indexing
      • Bibliographic Information
      • Archive
    • International Journal of Oncology
      • International Journal of Oncology
      • Information for Authors
      • Editorial Policies
      • Editorial Board
      • Aims and Scope
      • Abstracting and Indexing
      • Bibliographic Information
      • Archive
    • Molecular and Clinical Oncology
      • Molecular and Clinical Oncology
      • Information for Authors
      • Editorial Policies
      • Editorial Board
      • Aims and Scope
      • Abstracting and Indexing
      • Bibliographic Information
      • Archive
    • Experimental and Therapeutic Medicine
      • Experimental and Therapeutic Medicine
      • Information for Authors
      • Editorial Policies
      • Editorial Board
      • Aims and Scope
      • Abstracting and Indexing
      • Bibliographic Information
      • Archive
    • International Journal of Molecular Medicine
      • International Journal of Molecular Medicine
      • Information for Authors
      • Editorial Policies
      • Editorial Board
      • Aims and Scope
      • Abstracting and Indexing
      • Bibliographic Information
      • Archive
    • Biomedical Reports
      • Biomedical Reports
      • Information for Authors
      • Editorial Policies
      • Editorial Board
      • Aims and Scope
      • Abstracting and Indexing
      • Bibliographic Information
      • Archive
    • Oncology Reports
      • Oncology Reports
      • Information for Authors
      • Editorial Policies
      • Editorial Board
      • Aims and Scope
      • Abstracting and Indexing
      • Bibliographic Information
      • Archive
    • Molecular Medicine Reports
      • Molecular Medicine Reports
      • Information for Authors
      • Editorial Policies
      • Editorial Board
      • Aims and Scope
      • Abstracting and Indexing
      • Bibliographic Information
      • Archive
    • World Academy of Sciences Journal
      • World Academy of Sciences Journal
      • Information for Authors
      • Editorial Policies
      • Editorial Board
      • Aims and Scope
      • Abstracting and Indexing
      • Bibliographic Information
      • Archive
    • International Journal of Functional Nutrition
      • International Journal of Functional Nutrition
      • Information for Authors
      • Editorial Policies
      • Editorial Board
      • Aims and Scope
      • Abstracting and Indexing
      • Bibliographic Information
      • Archive
    • International Journal of Epigenetics
      • International Journal of Epigenetics
      • Information for Authors
      • Editorial Policies
      • Editorial Board
      • Aims and Scope
      • Abstracting and Indexing
      • Bibliographic Information
      • Archive
    • Medicine International
      • Medicine International
      • Information for Authors
      • Editorial Policies
      • Editorial Board
      • Aims and Scope
      • Abstracting and Indexing
      • Bibliographic Information
      • Archive
  • Articles
  • Information
    • Information for Authors
    • Information for Reviewers
    • Information for Librarians
    • Information for Advertisers
    • Conferences
  • Language Editing
Spandidos Publications Logo
  • About
    • About Spandidos
    • Aims and Scopes
    • Abstracting and Indexing
    • Editorial Policies
    • Reprints and Permissions
    • Job Opportunities
    • Terms and Conditions
    • Contact
  • Journals
    • All Journals
    • Biomedical Reports
      • Information for Authors
      • Editorial Policies
      • Editorial Board
      • Aims and Scope
      • Abstracting and Indexing
      • Bibliographic Information
      • Archive
    • Experimental and Therapeutic Medicine
      • Information for Authors
      • Editorial Policies
      • Editorial Board
      • Aims and Scope
      • Abstracting and Indexing
      • Bibliographic Information
      • Archive
    • International Journal of Epigenetics
      • Information for Authors
      • Editorial Policies
      • Editorial Board
      • Aims and Scope
      • Abstracting and Indexing
      • Bibliographic Information
      • Archive
    • International Journal of Functional Nutrition
      • Information for Authors
      • Editorial Policies
      • Editorial Board
      • Aims and Scope
      • Abstracting and Indexing
      • Bibliographic Information
      • Archive
    • International Journal of Molecular Medicine
      • Information for Authors
      • Editorial Policies
      • Editorial Board
      • Aims and Scope
      • Abstracting and Indexing
      • Bibliographic Information
      • Archive
    • International Journal of Oncology
      • Information for Authors
      • Editorial Policies
      • Editorial Board
      • Aims and Scope
      • Abstracting and Indexing
      • Bibliographic Information
      • Archive
    • Medicine International
      • Information for Authors
      • Editorial Policies
      • Editorial Board
      • Aims and Scope
      • Abstracting and Indexing
      • Bibliographic Information
      • Archive
    • Molecular and Clinical Oncology
      • Information for Authors
      • Editorial Policies
      • Editorial Board
      • Aims and Scope
      • Abstracting and Indexing
      • Bibliographic Information
      • Archive
    • Molecular Medicine Reports
      • Information for Authors
      • Editorial Policies
      • Editorial Board
      • Aims and Scope
      • Abstracting and Indexing
      • Bibliographic Information
      • Archive
    • Oncology Letters
      • Information for Authors
      • Editorial Policies
      • Editorial Board
      • Aims and Scope
      • Abstracting and Indexing
      • Bibliographic Information
      • Archive
    • Oncology Reports
      • Information for Authors
      • Editorial Policies
      • Editorial Board
      • Aims and Scope
      • Abstracting and Indexing
      • Bibliographic Information
      • Archive
    • World Academy of Sciences Journal
      • Information for Authors
      • Editorial Policies
      • Editorial Board
      • Aims and Scope
      • Abstracting and Indexing
      • Bibliographic Information
      • Archive
  • Articles
  • Information
    • For Authors
    • For Reviewers
    • For Librarians
    • For Advertisers
    • Conferences
  • Language Editing
Login Register Submit
  • This site uses cookies
  • You can change your cookie settings at any time by following the instructions in our Cookie Policy. To find out more, you may read our Privacy Policy.

    I agree
Search articles by DOI, keyword, author or affiliation
Search
Advanced Search
presentation
Oncology Letters
Join Editorial Board Propose a Special Issue
Print ISSN: 1792-1074 Online ISSN: 1792-1082
Journal Cover
April-2015 Volume 9 Issue 4

Full Size Image

Sign up for eToc alerts
Recommend to Library

Journals

International Journal of Molecular Medicine

International Journal of Molecular Medicine

International Journal of Molecular Medicine is an international journal devoted to molecular mechanisms of human disease.

International Journal of Oncology

International Journal of Oncology

International Journal of Oncology is an international journal devoted to oncology research and cancer treatment.

Molecular Medicine Reports

Molecular Medicine Reports

Covers molecular medicine topics such as pharmacology, pathology, genetics, neuroscience, infectious diseases, molecular cardiology, and molecular surgery.

Oncology Reports

Oncology Reports

Oncology Reports is an international journal devoted to fundamental and applied research in Oncology.

Experimental and Therapeutic Medicine

Experimental and Therapeutic Medicine

Experimental and Therapeutic Medicine is an international journal devoted to laboratory and clinical medicine.

Oncology Letters

Oncology Letters

Oncology Letters is an international journal devoted to Experimental and Clinical Oncology.

Biomedical Reports

Biomedical Reports

Explores a wide range of biological and medical fields, including pharmacology, genetics, microbiology, neuroscience, and molecular cardiology.

Molecular and Clinical Oncology

Molecular and Clinical Oncology

International journal addressing all aspects of oncology research, from tumorigenesis and oncogenes to chemotherapy and metastasis.

World Academy of Sciences Journal

World Academy of Sciences Journal

Multidisciplinary open-access journal spanning biochemistry, genetics, neuroscience, environmental health, and synthetic biology.

International Journal of Functional Nutrition

International Journal of Functional Nutrition

Open-access journal combining biochemistry, pharmacology, immunology, and genetics to advance health through functional nutrition.

International Journal of Epigenetics

International Journal of Epigenetics

Publishes open-access research on using epigenetics to advance understanding and treatment of human disease.

Medicine International

Medicine International

An International Open Access Journal Devoted to General Medicine.

Journal Cover
April-2015 Volume 9 Issue 4

Full Size Image

Sign up for eToc alerts
Recommend to Library

  • Article
  • Citations
    • Cite This Article
    • Download Citation
    • Create Citation Alert
    • Remove Citation Alert
    • Cited By
  • Similar Articles
    • Related Articles (in Spandidos Publications)
    • Similar Articles (Google Scholar)
    • Similar Articles (PubMed)
  • Download PDF
  • Download XML
  • View XML
Article

Chemoresistance is associated with Beclin-1 and PTEN expression in epithelial ovarian cancers

  • Authors:
    • Huanchun Ying
    • Donghui Qu
    • Chuan Liu
    • Tianshu Ying
    • Jing Lv
    • Shanshan Jin
    • Hongying Xu
  • View Affiliations / Copyright

    Affiliations: Department of Gynecology and Obstetrics, Shengjing Hospital of China Medical University, Shenyang, Liaoning 110004, P.R. China, Department of Gynecology and Obstetrics, Affiliated Hospital of Chengde Medical College, Chengde, Hebei 067000, P.R. China, Department of Oncology, The Fifth Hospital of Shenyang, Shenyang, Liaoning 110023, P.R. China, Department of Gynecology and Obstetrics, The Ninth Hospital of Shenyang, Shenyang, Liaoning 10024, P.R. China
  • Pages: 1759-1763
    |
    Published online on: February 10, 2015
       https://doi.org/10.3892/ol.2015.2950
  • Expand metrics +
Metrics: Total Views: 0 (Spandidos Publications: | PMC Statistics: )
Metrics: Total PDF Downloads: 0 (Spandidos Publications: | PMC Statistics: )
Cited By (CrossRef): 0 citations Loading Articles...

This article is mentioned in:



Abstract

The aim of the present study was to investigate the protein expression of the autophagy‑related genes, BECN1 and PTEN, and the association with drug resistance in epithelial ovarian cancers. In total, 40 patients with pathologically diagnosed epithelial ovarian cancer were divided into a chemotherapy‑sensitive group (n=20) and a chemotherapy‑resistant group (n=20), according to the results of the pre‑ or post‑operative normative chemotherapy and the ­post‑operative follow‑up. The protein expression of the phosphatase and tensin homolog (PTEN) and the BECN1 gene product, Beclin‑1, was analyzed using immunohistochemistry in the 40 patients with ovarian carcinoma. The positive rate of Beclin‑1 expression was significantly lower in the resistant group (35.0%) compared with the sensitive group (50.0%). The positive rate of PTEN expression was also significantly lower in the resistant group (30.0%) compared with the sensitive group (65.0%). Furthermore, the differences in the expression rates were revealed to be significant (P<0.05). The expression of Beclin‑1 was identified to be positively correlated with the expression of PTEN (rs=0.816; P<0.0001). The low expression of the Beclin‑1 and PTEN proteins in the ovarian cancer tissues was revealed to be closely associated with drug resistance. Therefore, Beclin‑1 may interact with PTEN to participate in the mechanism of drug resistance and the changes in macrophage activity observed in cases of drug‑resistant ovarian cancer.

Introduction

Ovarian cancer is a gynecological malignancy with a high rate of mortality. Due to a lack of notable symptoms in the early stages, 60% of patients present with advanced-stage disease at diagnosis (1). The primary clinical treatment for ovarian cancer is cytoreductive surgery combined with platinum-based chemotherapy. Chemotherapy is a significant part of the radical treatment approach for ovarian cancers, however, platinum-based chemotherapies are prone to drug resistance; a factor that affects treatment efficacy and contributes to poor prognoses. At present, the five-year survival rate for ovarian cancer is 30–50% (2). Therefore, in order to improve the prognoses of these patients, the issue of drug-resistance must be addressed. Previous studies have identified that the abnormal regulation of autophagy is directly associated with tumorigenesis (3–5). Therefore, autophagy has become a novel target for the investigation of tumorigenesis, the inhibition of tumor growth and for determining how to overcome chemotherapy-associated drug resistance. However, the mechanism involved in the regulation of autophagy is complex.

BECN1, an autophagy-related gene located on human chromosome 17q21, encodes the protein Beclin-1, which participates in the formation of phages and can inhibit tumor growth by increasing the rate of autophagy. BECN1 has therefore been identified as a candidate tumor suppressor gene for ovarian cancer (6). Previous studies have revealed that the expression of Beclin-1 is downregulated in breast (7), prostate (8) and nasopharyngeal (9) carcinomas. Further studies have revealed that a loss of Beclin-1 expression results in reduced autophagy activity and increased tumorigenesis (10). The PTEN gene, located on chromosome 10, is a tumor suppressor gene with dual specificity phosphatase activity. The phosphatase and tensin homolog (PTEN) protein is involved in the regulation of a variety of cellular signal transduction pathways, and is closely associated with cell growth and differentiation, and with tumorigenesis. Furthermore, PTEN is able to initiate autophagy and therefore inhibit tumor growth. In the present study, the protein expression of Beclin-1 and PTEN in ovarian cancer tissues was detected using immunohistochemistry. The study aimed to investigate the role of Beclin-1 and PTEN, and the association with resistance in ovarian cancer. The effect of autophagic changes in cases of drug-resistant ovarian cancer was also examined, in order to further elucidate on the mechanism of drug resistance and aid in the eventual overcoming of ovarian cancer.

Materials and methods

Patient characteristics

In total, 40 tissue samples were obtained from patients with ovarian cancer who had undergone cytoreductive surgical resection at the Shengjing Hospital of China Medical University (Shenyang, China) between January 2007 and May 2012. The cases were classified as serous carcinoma (n=24), mucinous carcinoma (n=8), clear cell carcinoma (n=4), endometrial carcinoma (n=2) or undifferentiated carcinoma (n=2). The age range of the patients was 35 to 58 years old, with a median age of 48 years old. The pathological surgical staging was performed according to the 2009 International Federation of Gynecology and Obstetrics system as follows: Stage I, two cases; stage II, 10 cases; stage III, 24 cases; and stage IV, four cases (11).

The telephone or hospital examination follow-ups of the 40 cases of ovarian cancer began at diagnosis and ended on December 31, 2012. The patients were pathologically diagnosed with ovarian cancer and divided into a chemotherapy-sensitive (n=20) or chemotherapy-resistant (n=20) group, according to the results of the pre- or post-operative normative chemotherapy and the post-operative follow-up. The grouping standards were as follows: i) Achievement of clinical remission following the initial platinum-based chemotherapy was necessary for study inclusion; and ii) cases with relapse at six months or more following the end of the chemotherapy program were taken as the chemotherapy-sensitive group, and cases with relapse within six months were used as the chemotherapy-resistant group. This study was approved by the ethics committee of Shengjing Hospital of China Medical University and written informed consent was obtained from all patients.

Immunohistochemical analysis

The Beclin-1 polyclonal rabbit (1:100 dilution) and PTEN monoclonal mouse (1:75 dilution) antigen solutions were purchased from Proteintech (Chicago, IL, USA). The immunohistochemistry Power Vision kit and 3,3′-diaminobenzidine reagent were purchased from Beijing Golden Bridge Zhongshan Biotechnology Co., Ltd. (Beijing, China).

Phosphate-buffered saline solution was used for the negative control, and normal known-positive ovarian tissue samples were used for the positive control. Using the Power Vision kit, the experimental procedure was performed according to the manufacturer’s instructions. A total of 10 randomly selected high-magnification fields were analyzed under an optical microscope (AX70; Olympus Corporation, Tokyo, Japan) 48 h after sealing. PTEN-positive cells were identified by clear-brown granules located in the nucleus or cytoplasm, and Beclin-1-positive cells were identified by brown particles distributed throughout the cytoplasm. The percentage of positive cells to total cells was counted and awarded points according to the following criteria: <10%, 0 points; 10–20%, 1 point; 21–50%, 2 points; and >50%, 3 points. The intensity of staining was also awarded points according to the following system: no color, 0 points; pale yellow, 1 point; brown, 2 points; and tan, 3 points. The total score for each case was the sum of the points for the percentage of positive cells and the staining intensity. A score of ≤3 was regarded as negative for PTEN/Beclin-1 expression, whereas a score of >3 was regarded as positive for PTEN/Beclin-1 expression.

Statistical analysis

The statistical analysis was performed using SPSS 11.0 (SPSS, Inc., Chicago, IL, USA). The association between the clinicopathological parameters and the protein expression of Beclin-1 and PTEN was analyzed using Student’s t-test. The Spearman’s ρ test was used for the correlation analysis.

Results

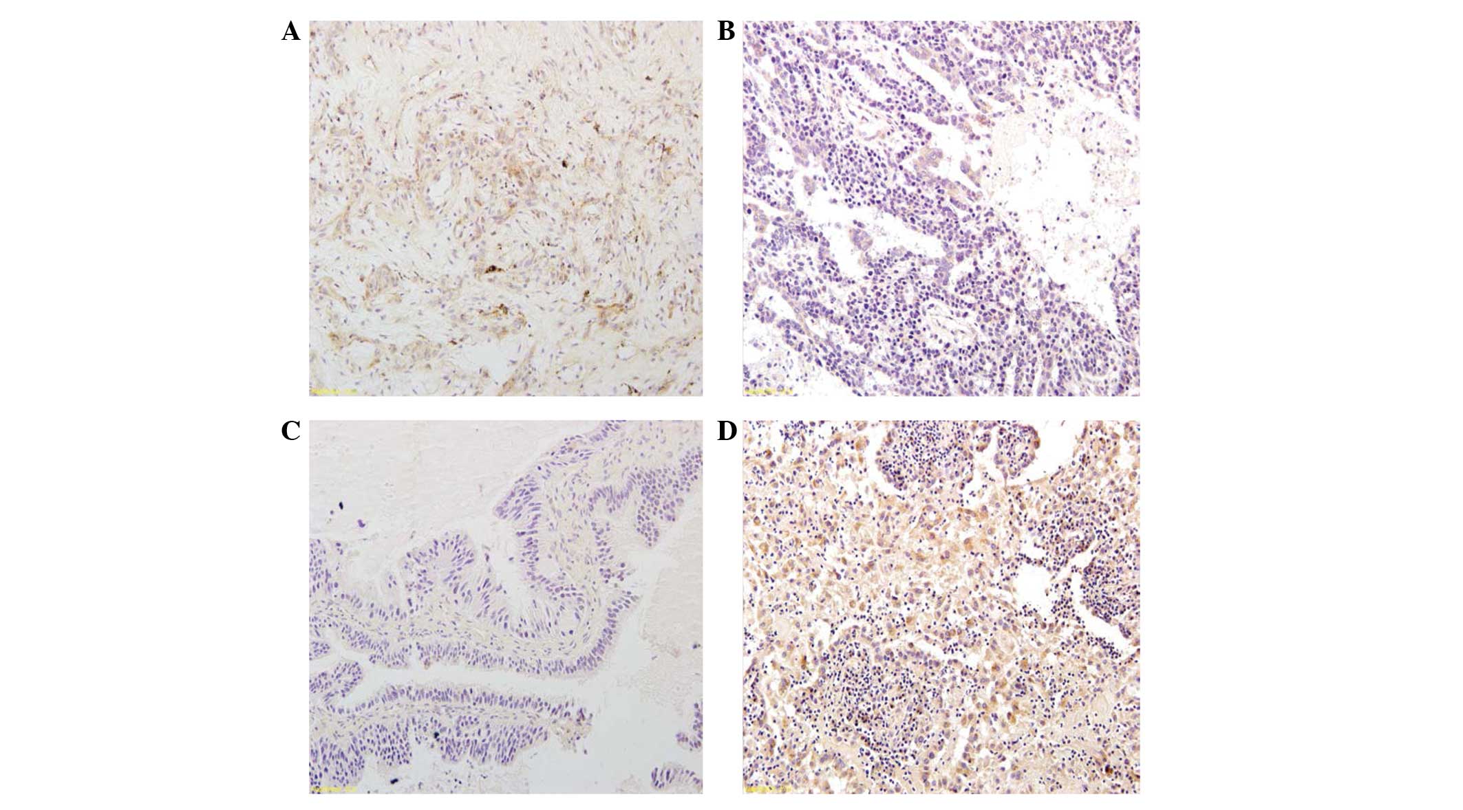
In the 40 cases of ovarian cancer included in the present study, the expression of Beclin-1 was revealed to be primarily located in the cytoplasm. The positive rate of Beclin-1 expression was significantly lower in the chemotherapy-resistant group (35.0%) compared with the chemotherapy-sensitive group (50.0%) (P<0.05). The expression of PTEN was identified to be primarily located in the nucleus or cytoplasm. The positive rate of PTEN expression was significantly lower in the chemotherapy-resistant group (30.0%) compared with the chemotherapy-sensitive group (65.0%) (P<0.05; Table I; Fig. 1).

Figure 1

Immunohistochemistry revealing clear-brown nuclear and cytoplasmic granules in phosphatase and tensin homolog (PTEN)-positive cells, and brown cytoplasmic particles in Beclin-1-positive cells (magnification, ×200). Chemotherapy-sensitive group; (A) PTEN and (B) Beclin-1. Chemotherapy-resistant group; (C) PTEN and (D) Beclin-1.

Table I

Expression of Beclin-1 and PTEN in chemoresistant and chemosensitive groups.

Table I

Expression of Beclin-1 and PTEN in chemoresistant and chemosensitive groups.

Beclin-1PTEN


Groupn−+% positive−+% positive
Resistant2013735.014630.0
Sensitive20101050.071365.0

[i] PTEN, phosphatase and tensin homolog.

The correlation analysis revealed that the intensity of Beclin-1 expression was positively correlated with the expression of PTEN in the 40 cases of ovarian cancer (P<0.05; Table II).

Table II

Association between Beclin-1 and PTEN expression.

Table II

Association between Beclin-1 and PTEN expression.

Beclin-1

Protein+−
PTEN
 +125
 −716

[i] PTEN, phosphatase and tensin homolog.

Discussion

Autophagy is a lysosomal degradation process for cellular macromolecules and damaged organelles, and an alternative form of programmed cell death to apoptosis in eukaryotes. Changes in the activity of signaling, transport and negative regulatory pathways of macrophages have been revealed to be associated with tumor occurrence and development. Furthermore, the abnormal expression of autophagy genes has been identified to activate or inhibit the formation of certain tumors (12).

The PTEN protein is encoded by the PTEN tumor suppressor gene located on chromosome 10 (13). Since the discovery of the gene in 1997, PTEN has gained particular attention for its role in cancer (14). Previous studies have demonstrated that the gene is associated with endometrial (15) and prostate cancers (16), and with malignant gliomas (17). According to the literature, genetic alterations in PTEN, such as mutation, loss of heterozygosity, hypermethylation, microsatellite instability or translational modifications result in the ‘silencing’ of gene expression (18). Previous studies revealed that the inhibition of autophagy was removed by inhibiting the change of PTEN 4,5-phosphatidylinositol diphosphate (PIP2) to 3,4,5-triphosphate phosphatidylinositol (PIP3) to participate in autophagy regulation. It has been demonstrated that PTEN and other autophagy-related genes are expressed in normal ovarian tissues, benign ovarian tumors and borderline ovarian tumors, but are downregulated in cases of ovarian cancer. This suggests that the decreased expression of autophagy-related proteins, such as PTEN, may be closely correlated with the development of ovarian cancer (19,20). In addition, PTEN protein expression has been identified to be positively correlated with the differentiation state of ovarian cancers (21). A previous study demonstrated that a chemical, EF24, conferred sensitivity to drug-resistant ovarian cancer cells via the upregulation of PTEN expression (22). Furthermore, Wu et al (23) upregulated PTEN protein expression in a cisplatin-resistant ovarian cancer C13K cell line via the in vitro liposomal transfection of the PTEN gene. The C13K cells exhibited increased sensitivity to cisplatin-induced apoptosis compared with empty vector-transfected cells. An in vitro study by Yan et al (24) demonstrated that PTEN protein overexpression increased the sensitivity of the chemoresistant cell lines, CI3* and A2780cp, to cisplatin-induced apoptosis through the upregulation of p53, rather than the inhibition of Akt protein activation. It was further revealed that low PTEN expression was apparent in the OVCAR-3/CDDP drug-resistant ovarian cancer cell line compared with the normal OVCAR-3 ovarian cancer cell line. The phosphoinositide 3-kinase (PI3K)/Akt pathway is an important pathway involved in the regulation of autophagy, and has been revealed to be inhibited by PTEN. The study identified that PTEN protein expression was significantly lower in the drug-resistant ovarian cancer tissues compared with the drug-sensitive group. This suggested that PTEN was involved in the mechanism of drug resistance in ovarian cancer tissues via the process of autophagy.

The ~150-kb human BECN1 gene is a homolog of the atg6/vps30 yeast gene and is located on chromosome 17q21. BECN1 has been revealed to be involved in the development of tumors by the regulation of autophagy (25). At present, autophagy as a barrier for impeding tumorigenesis or tumor adaptive responses remains controversial (26). On the one hand, tumor cells are often restricted due to rapid growth, and therefore autophagy offers an adaptive response for tumor cell survival. On the other hand, certain studies have demonstrated that tumor progression is inhibited by the stimulation of non-apoptotic cell death processes, namely autophagy (27). Therefore, autophagy both inhibits tumor formation and promotes tumor development, and this association remains controversial. Recently, the dynamic role of autophagy in cancer was proposed by Kimmelman (28). The study suggested that autophagy initially acts as a barrier to prevent the initiation of tumors, but that following the formation of lesions, it positively affects malignancy and tumor maintenance. A recent study revealed that Beclin-1 expression levels differed between types of tumor cell. The expression of Beclin-1 was identified to be downregulated in a variety of tumor cells, such as those of breast, ovarian and prostate cancers, and gliomas (4). Despite this, high levels of autophagy activity were maintained in other cancer cells. In a study by Ahn et al (29), samples from 103 patients with colorectal cancer, and 60 with gastric cancer, were immunohistochemically analyzed. Beclin-1 expression was observed in 95 and 83% of the colorectal and gastric cancer samples, respectively. By contrast, little or no expression was revealed in the normal gastric and colorectal tissues. Tang et al (30) identified that the mRNA and protein expression levels of Beclin-1 were upregulated in hepatitis B virus-mediated liver cancer, which suggested a role for Beclin-1 in tumor formation. The present study revealed that Beclin-1 protein expression was significantly lower in the drug-resistant group of ovarian cancer tissues compared with the drug-sensitive group. Furthermore, the differences in expression were significant, which suggested that decreased Beclin-1 expression, and the activity of macrophages, may be associated with chemotherapy resistance and poor prognoses in patients with ovarian cancer. Conversely, an upregulation in the expression of the Beclin-1 protein may increase the sensitivity of ovarian cancers to chemotherapy, which could improve treatment efficiency and prognoses.

The present study indicated that Beclin-1 and PTEN may be co-involved in the regulation of autophagy, and therefore affect the occurrence and development of cancer. Autophagic protein turnover is regulated by type I and III PI3Ks. Type I PI3K, and the downstream signal conversion components Akt and target of rapomycin, can inhibit autophagy. PTEN induces autophagy by negative regulation of the type I PI3K. By contrast, the type III PI3K is necessary for the autophagic formation of lysosomal vacuoles. Beclin-1 regulates autophagic activity by modulating the precursor structure of Apg proteins, primarily by the formation of complexes with the type III PI3K. Therefore, Beclin-1 and PTEN may possess similar roles in the self-regulation of macrophage activity (31). The results of the present study revealed that the protein expression of Beclin-1 and PTEN exhibited a significant correlation. This indicated that the proteins may participate together in the mechanism of drug resistance observed in platinum-resistant ovarian cancers.

In summary, the protein expression of Beclin-1 and PTEN was downregulated, which suggested that a decrease in autophagic activity may be associated with drug-resistant ovarian cancers. At present, the specific mechanisms that regulate autophagy remain unclear. Further study will aid in clarifying the role of autophagy, which may provide novel solutions for treating chemotherapy-resistant ovarian cancers, and establish a reliable theoretical basis for the development of novel drugs.

The expression of the Beclin-1 and PTEN proteins, in drug-resistant and drug-sensitive ovarian cancers, was detected using immunohistochemistry and analyzed for potential correlations. The results revealed that Beclin-1 and PTEN protein expression was significantly lower in the chemotherapy-resistant group compared with the chemotherapy-sensitive group. Furthermore, the difference in expression was identified to be significant and positively correlated. The results suggested that Beclin-1 and PTEN protein expression decreased in the drug-resistant ovarian cancer tissues. Therefore, it was concluded that the occurrence of drug resistance in ovarian cancers was closely associated with a low expression of PTEN and Beclin-1. In conclusion, a reduction in autophagic activity, induced by the interaction between Beclin-1 and PTEN, may lead to drug resistance in cases of ovarian cancer.

Acknowledgements

This study was funded by the Doctor Started Natural Science Foundation (no. 20071047), the Higher Education Department Research Program (no. 2009A724), the Liaoning Science and Technology Program (no. 2010225032) and the National Natural Science Foundation of China (nos. 81372486 and 81302270).

References

1 

Jemal A, Siegel R, Xu J and Ward E: Cancer statistics, 2010. CA Cancer J Clin. 60:277–300. 2010. View Article : Google Scholar : PubMed/NCBI

2 

Lee S, Choi EJ, Jin C and Kim DH: Activation of PI3K/Akt pathway by PTEN reduction and PIK3CA mRNA amplification contributes to cisplatin resistance in an ovarian cancer cell line. Gynecol Oncol. 97:26–34. 2005. View Article : Google Scholar : PubMed/NCBI

3 

Hara T, Nakamura K, Matsui M, et al: Suppression of basal autophagy in neural cells causes neurodegenerative disease in mice. Nature. 441:885–889. 2006. View Article : Google Scholar : PubMed/NCBI

4 

Huang X, Bai HM, Chen I, Li B and Lu YC: Reduced expression of LC3B-II and Beclin 1 in glioblastoma multiforme indicates a down-regulated autophagic capacity that relates to the progression of astrocytic tumors. J Clin Neurosci. 17:1515–1519. 2010. View Article : Google Scholar : PubMed/NCBI

5 

Koren I and Kimchi A: Cell biology. Promoting tumorigenesis by suppressing autophagy. Science. 338:889–890. 2012. View Article : Google Scholar : PubMed/NCBI

6 

Lin HX, Qiu HJ, Zeng F, et al: Decreased expression of Beclin 1 correlates closely with Bcl-xL expression and poor prognosis of ovarian carcinoma. PLoS One. 8:e605162013. View Article : Google Scholar : PubMed/NCBI

7 

Yao Q, Chen J, Lv Y, et al: The significance of expression of autophagy-related gene Beclin, Bcl-2, and Bax in breast cancer tissues. Tumour Biol. 32:1163–1171. 2011. View Article : Google Scholar : PubMed/NCBI

8 

Xu LW, Qian M, Jia RP, et al: Expression and significance of microsomal prostaglandin synthase-1 (mPGES-1) and Beclin-1 in the development of prostate cancer. Asian Pac J Cancer Prev. 13:1639–1644. 2012. View Article : Google Scholar : PubMed/NCBI

9 

Wan XB, Fan XJ, Chen MY, et al: Elevated Beclin 1 expression is correlated with HIF-1alpha in predicting poor prognosis of nasopharyngeal carcinoma. Autophagy. 6:395–404. 2010. View Article : Google Scholar : PubMed/NCBI

10 

Yue Z, Jin S, Yang C, Levine AJ and Heintz N: Beclin 1, an autophagy gene essential for early embryonic development, is a haploinsufficient tumor suppressor. Proc Natl Acad Sci USA. 100:15077–15082. 2003. View Article : Google Scholar : PubMed/NCBI

11 

Pecorelli S: Revised FIGO staging for carcinoma of the vulva, cervix, and endometrium. Int J Gyneeol Obstet. 105:103–111. 2009. View Article : Google Scholar

12 

Kondo Y and Kondo S: Autophagy and cancer therapy. Autophagy. 2:85–90. 2006. View Article : Google Scholar : PubMed/NCBI

13 

Li DM and Sun H: TEP1, encoded by a candidate tumor suppressor locus, is a novel protein tyrosine phosphatase regulated by transforming growth factor beta. Cancer Res. 57:2124–2129. 1997.PubMed/NCBI

14 

Li DM and Sun H: TEP1, encoded by a candidate tumor suppressor locus, is a novel protein tyrosine phosphatase regulated by transforming growth factor beta. Cancer Res. 57:2124–2129. 1997.PubMed/NCBI

15 

Lee H, Choi HJ, Kang CS, Lee HJ, Lee WS and Park CS: Expression of miRNAs and PTEN in endometrial specimens ranging from histologically normal to hyperplasia and endometrial adenocarcinoma. Mod Pathol. 25:1508–1515. 2012. View Article : Google Scholar : PubMed/NCBI

16 

Patel R, Gao M, Ahmad I, Fleming J, Singh LB, Rai TS, McKie AB, Seywright M, Barnetson RJ, Edwards J, et al: Sprouty2, PTEN, and PP2A interact to regulate prostate cancer progression. J Clin Invest. 123:1157–1175. 2013. View Article : Google Scholar : PubMed/NCBI

17 

Molina JR, Agarwal NK, Morales FC, Hayashi Y, Aldape KD, Cote G and Georgescu MM: PTEN, NHERF1 and PHLPP form a tumor suppressor network that is disabled in glioblastoma. Oncogene. 31:1264–1274. 2012. View Article : Google Scholar

18 

Yang L, Kuang LG, Zheng HC, et al: PTEN encoding product: a marker for tumorigenesis and progression of gastric carcinoma. World J Gastroenterol. 9:35–39. 2003.PubMed/NCBI

19 

Laudański P, Kowalczuk O, Klasa-Mazurkiewicz D, et al: Selective gene expression profiling of mTOR-associated tumor suppressor and oncogenes in ovarian cancer. Folia Histochem Cytobiol. 49:317–324. 2011. View Article : Google Scholar

20 

Skírnisdóttir I and Seidal T: Prognostic impact of concomitant p53 and PTEN on outcome in early stage (FIGO I-II) epithelial ovarian cancer. Int J Gynecol Cancer. 21:1024–1031. 2011. View Article : Google Scholar : PubMed/NCBI

21 

Gadducci A, Guerrieri ME and Genazzani AR: New insights on the pathogenesis of ovarian carcinoma: molecular basis and clinical implications. Gynecol Endocrinol. 28:582–586. 2012. View Article : Google Scholar : PubMed/NCBI

22 

Selvendiran K, Tong L, Vishwanath S, et al: EF24 induces G2/M arrest and apoptosis in cisplatin-resistant human ovarian cancer cells by increasing PTEN expression. J Biol Chem. 282:28609–28618. 2007. View Article : Google Scholar : PubMed/NCBI

23 

Wu HJ, Wu HT, Weng DH, et al: Reversal of drug resistance in human ovarian cancer ceils by wild-type PTEN gene and its mechanisms. Zhonghua Fu Chan Ke Za Zhi. 42:612–616. 2007.(In Chinese). PubMed/NCBI

24 

Yan X, Fraser M, Qiu Q and Tsang BK: Over-expression of PTEN sensitizes human ovarian cancer cells to cisplatin-induced apoptosis in a p53-dependent manner. Gynecol Oncol. 102:348–355. 2006. View Article : Google Scholar : PubMed/NCBI

25 

Scarlatti F, Maffei R, Beau I, Codogno P and Ghidoni R: Role of non-canonical Beclin 1-independent autophagy in cell death induced by resveratrol in human breast cancer cells. Cell Death Differ. 15:1318–1329. 2008. View Article : Google Scholar : PubMed/NCBI

26 

Sun Y, Liu JH, Jin L, et al: Over-expression of the Beclin1 gene upregulates chemosensitivity to anti-cancer drugs by enhancing therapy-induced apoptosis in cervix squamous carcinoma CaSki cells. Cancer Lett. 294:204–210. 2010. View Article : Google Scholar : PubMed/NCBI

27 

Levine B and Kroemer G: Autophagy in the pathogenesis of disease. Cell. 132:27–42. 2008. View Article : Google Scholar : PubMed/NCBI

28 

Kimmelman AC: The dynamic nature of autophagy in cancer. Genes Dev. 25:1999–2010. 2011. View Article : Google Scholar : PubMed/NCBI

29 

Ahn CH, Jeong EG, Lee JW, et al: Expression of beclin-l, an autophagy-related protein, in gastric and colorectal cancers. APMIS. 115:1344–1349. 2007. View Article : Google Scholar

30 

Tang H, Da L, Mao Y, et al: Hepatitis B virus X protein sensitizes cells to starvation-induced autophagy via up-regulation of beclin 1 expression. Hepatology. 49:60–71. 2009. View Article : Google Scholar

31 

Edinger AL and Thompson CB: Defective autophagy leads to cancer. Cancer Cell. 4:422–424. 2003. View Article : Google Scholar

Related Articles

  • Abstract
  • View
  • Download
  • Twitter
Copy and paste a formatted citation
Spandidos Publications style
Ying H, Qu D, Liu C, Ying T, Lv J, Jin S and Xu H: Chemoresistance is associated with Beclin-1 and PTEN expression in epithelial ovarian cancers. Oncol Lett 9: 1759-1763, 2015.
APA
Ying, H., Qu, D., Liu, C., Ying, T., Lv, J., Jin, S., & Xu, H. (2015). Chemoresistance is associated with Beclin-1 and PTEN expression in epithelial ovarian cancers. Oncology Letters, 9, 1759-1763. https://doi.org/10.3892/ol.2015.2950
MLA
Ying, H., Qu, D., Liu, C., Ying, T., Lv, J., Jin, S., Xu, H."Chemoresistance is associated with Beclin-1 and PTEN expression in epithelial ovarian cancers". Oncology Letters 9.4 (2015): 1759-1763.
Chicago
Ying, H., Qu, D., Liu, C., Ying, T., Lv, J., Jin, S., Xu, H."Chemoresistance is associated with Beclin-1 and PTEN expression in epithelial ovarian cancers". Oncology Letters 9, no. 4 (2015): 1759-1763. https://doi.org/10.3892/ol.2015.2950
Copy and paste a formatted citation
x
Spandidos Publications style
Ying H, Qu D, Liu C, Ying T, Lv J, Jin S and Xu H: Chemoresistance is associated with Beclin-1 and PTEN expression in epithelial ovarian cancers. Oncol Lett 9: 1759-1763, 2015.
APA
Ying, H., Qu, D., Liu, C., Ying, T., Lv, J., Jin, S., & Xu, H. (2015). Chemoresistance is associated with Beclin-1 and PTEN expression in epithelial ovarian cancers. Oncology Letters, 9, 1759-1763. https://doi.org/10.3892/ol.2015.2950
MLA
Ying, H., Qu, D., Liu, C., Ying, T., Lv, J., Jin, S., Xu, H."Chemoresistance is associated with Beclin-1 and PTEN expression in epithelial ovarian cancers". Oncology Letters 9.4 (2015): 1759-1763.
Chicago
Ying, H., Qu, D., Liu, C., Ying, T., Lv, J., Jin, S., Xu, H."Chemoresistance is associated with Beclin-1 and PTEN expression in epithelial ovarian cancers". Oncology Letters 9, no. 4 (2015): 1759-1763. https://doi.org/10.3892/ol.2015.2950
Follow us
  • Twitter
  • LinkedIn
  • Facebook
About
  • Spandidos Publications
  • Careers
  • Cookie Policy
  • Privacy Policy
How can we help?
  • Help
  • Live Chat
  • Contact
  • Email to our Support Team