Spandidos Publications Logo
  • About
    • About Spandidos
    • Aims and Scopes
    • Abstracting and Indexing
    • Editorial Policies
    • Reprints and Permissions
    • Job Opportunities
    • Terms and Conditions
    • Contact
  • Journals
    • All Journals
    • Oncology Letters
      • Oncology Letters
      • Information for Authors
      • Editorial Policies
      • Editorial Board
      • Aims and Scope
      • Abstracting and Indexing
      • Bibliographic Information
      • Archive
    • International Journal of Oncology
      • International Journal of Oncology
      • Information for Authors
      • Editorial Policies
      • Editorial Board
      • Aims and Scope
      • Abstracting and Indexing
      • Bibliographic Information
      • Archive
    • Molecular and Clinical Oncology
      • Molecular and Clinical Oncology
      • Information for Authors
      • Editorial Policies
      • Editorial Board
      • Aims and Scope
      • Abstracting and Indexing
      • Bibliographic Information
      • Archive
    • Experimental and Therapeutic Medicine
      • Experimental and Therapeutic Medicine
      • Information for Authors
      • Editorial Policies
      • Editorial Board
      • Aims and Scope
      • Abstracting and Indexing
      • Bibliographic Information
      • Archive
    • International Journal of Molecular Medicine
      • International Journal of Molecular Medicine
      • Information for Authors
      • Editorial Policies
      • Editorial Board
      • Aims and Scope
      • Abstracting and Indexing
      • Bibliographic Information
      • Archive
    • Biomedical Reports
      • Biomedical Reports
      • Information for Authors
      • Editorial Policies
      • Editorial Board
      • Aims and Scope
      • Abstracting and Indexing
      • Bibliographic Information
      • Archive
    • Oncology Reports
      • Oncology Reports
      • Information for Authors
      • Editorial Policies
      • Editorial Board
      • Aims and Scope
      • Abstracting and Indexing
      • Bibliographic Information
      • Archive
    • Molecular Medicine Reports
      • Molecular Medicine Reports
      • Information for Authors
      • Editorial Policies
      • Editorial Board
      • Aims and Scope
      • Abstracting and Indexing
      • Bibliographic Information
      • Archive
    • World Academy of Sciences Journal
      • World Academy of Sciences Journal
      • Information for Authors
      • Editorial Policies
      • Editorial Board
      • Aims and Scope
      • Abstracting and Indexing
      • Bibliographic Information
      • Archive
    • International Journal of Functional Nutrition
      • International Journal of Functional Nutrition
      • Information for Authors
      • Editorial Policies
      • Editorial Board
      • Aims and Scope
      • Abstracting and Indexing
      • Bibliographic Information
      • Archive
    • International Journal of Epigenetics
      • International Journal of Epigenetics
      • Information for Authors
      • Editorial Policies
      • Editorial Board
      • Aims and Scope
      • Abstracting and Indexing
      • Bibliographic Information
      • Archive
    • Medicine International
      • Medicine International
      • Information for Authors
      • Editorial Policies
      • Editorial Board
      • Aims and Scope
      • Abstracting and Indexing
      • Bibliographic Information
      • Archive
  • Articles
  • Information
    • Information for Authors
    • Information for Reviewers
    • Information for Librarians
    • Information for Advertisers
    • Conferences
  • Language Editing
Spandidos Publications Logo
  • About
    • About Spandidos
    • Aims and Scopes
    • Abstracting and Indexing
    • Editorial Policies
    • Reprints and Permissions
    • Job Opportunities
    • Terms and Conditions
    • Contact
  • Journals
    • All Journals
    • Biomedical Reports
      • Information for Authors
      • Editorial Policies
      • Editorial Board
      • Aims and Scope
      • Abstracting and Indexing
      • Bibliographic Information
      • Archive
    • Experimental and Therapeutic Medicine
      • Information for Authors
      • Editorial Policies
      • Editorial Board
      • Aims and Scope
      • Abstracting and Indexing
      • Bibliographic Information
      • Archive
    • International Journal of Epigenetics
      • Information for Authors
      • Editorial Policies
      • Editorial Board
      • Aims and Scope
      • Abstracting and Indexing
      • Bibliographic Information
      • Archive
    • International Journal of Functional Nutrition
      • Information for Authors
      • Editorial Policies
      • Editorial Board
      • Aims and Scope
      • Abstracting and Indexing
      • Bibliographic Information
      • Archive
    • International Journal of Molecular Medicine
      • Information for Authors
      • Editorial Policies
      • Editorial Board
      • Aims and Scope
      • Abstracting and Indexing
      • Bibliographic Information
      • Archive
    • International Journal of Oncology
      • Information for Authors
      • Editorial Policies
      • Editorial Board
      • Aims and Scope
      • Abstracting and Indexing
      • Bibliographic Information
      • Archive
    • Medicine International
      • Information for Authors
      • Editorial Policies
      • Editorial Board
      • Aims and Scope
      • Abstracting and Indexing
      • Bibliographic Information
      • Archive
    • Molecular and Clinical Oncology
      • Information for Authors
      • Editorial Policies
      • Editorial Board
      • Aims and Scope
      • Abstracting and Indexing
      • Bibliographic Information
      • Archive
    • Molecular Medicine Reports
      • Information for Authors
      • Editorial Policies
      • Editorial Board
      • Aims and Scope
      • Abstracting and Indexing
      • Bibliographic Information
      • Archive
    • Oncology Letters
      • Information for Authors
      • Editorial Policies
      • Editorial Board
      • Aims and Scope
      • Abstracting and Indexing
      • Bibliographic Information
      • Archive
    • Oncology Reports
      • Information for Authors
      • Editorial Policies
      • Editorial Board
      • Aims and Scope
      • Abstracting and Indexing
      • Bibliographic Information
      • Archive
    • World Academy of Sciences Journal
      • Information for Authors
      • Editorial Policies
      • Editorial Board
      • Aims and Scope
      • Abstracting and Indexing
      • Bibliographic Information
      • Archive
  • Articles
  • Information
    • For Authors
    • For Reviewers
    • For Librarians
    • For Advertisers
    • Conferences
  • Language Editing
Login Register Submit
  • This site uses cookies
  • You can change your cookie settings at any time by following the instructions in our Cookie Policy. To find out more, you may read our Privacy Policy.

    I agree
Search articles by DOI, keyword, author or affiliation
Search
Advanced Search
presentation
Oncology Letters
Join Editorial Board Propose a Special Issue
Print ISSN: 1792-1074 Online ISSN: 1792-1082
Journal Cover
May-2015 Volume 9 Issue 5

Full Size Image

Sign up for eToc alerts
Recommend to Library

Journals

International Journal of Molecular Medicine

International Journal of Molecular Medicine

International Journal of Molecular Medicine is an international journal devoted to molecular mechanisms of human disease.

International Journal of Oncology

International Journal of Oncology

International Journal of Oncology is an international journal devoted to oncology research and cancer treatment.

Molecular Medicine Reports

Molecular Medicine Reports

Covers molecular medicine topics such as pharmacology, pathology, genetics, neuroscience, infectious diseases, molecular cardiology, and molecular surgery.

Oncology Reports

Oncology Reports

Oncology Reports is an international journal devoted to fundamental and applied research in Oncology.

Experimental and Therapeutic Medicine

Experimental and Therapeutic Medicine

Experimental and Therapeutic Medicine is an international journal devoted to laboratory and clinical medicine.

Oncology Letters

Oncology Letters

Oncology Letters is an international journal devoted to Experimental and Clinical Oncology.

Biomedical Reports

Biomedical Reports

Explores a wide range of biological and medical fields, including pharmacology, genetics, microbiology, neuroscience, and molecular cardiology.

Molecular and Clinical Oncology

Molecular and Clinical Oncology

International journal addressing all aspects of oncology research, from tumorigenesis and oncogenes to chemotherapy and metastasis.

World Academy of Sciences Journal

World Academy of Sciences Journal

Multidisciplinary open-access journal spanning biochemistry, genetics, neuroscience, environmental health, and synthetic biology.

International Journal of Functional Nutrition

International Journal of Functional Nutrition

Open-access journal combining biochemistry, pharmacology, immunology, and genetics to advance health through functional nutrition.

International Journal of Epigenetics

International Journal of Epigenetics

Publishes open-access research on using epigenetics to advance understanding and treatment of human disease.

Medicine International

Medicine International

An International Open Access Journal Devoted to General Medicine.

Journal Cover
May-2015 Volume 9 Issue 5

Full Size Image

Sign up for eToc alerts
Recommend to Library

  • Article
  • Citations
    • Cite This Article
    • Download Citation
    • Create Citation Alert
    • Remove Citation Alert
    • Cited By
  • Similar Articles
    • Related Articles (in Spandidos Publications)
    • Similar Articles (Google Scholar)
    • Similar Articles (PubMed)
  • Download PDF
  • Download XML
  • View XML
Case Report

Carcinoid tumor of the appendix: A case report

  • Authors:
    • Yuqing Gu
    • Naichao Wang
    • Hongxing Xu
  • View Affiliations / Copyright

    Affiliations: Department of General Surgery, Taicang Hospital Affiliated to Soochow University, Taicang, Suzhou 215400, P.R. China
  • Pages: 2401-2403
    |
    Published online on: February 27, 2015
       https://doi.org/10.3892/ol.2015.2997
  • Expand metrics +
Metrics: Total Views: 0 (Spandidos Publications: | PMC Statistics: )
Metrics: Total PDF Downloads: 0 (Spandidos Publications: | PMC Statistics: )
Cited By (CrossRef): 0 citations Loading Articles...

This article is mentioned in:


Abstract

Carcinoid tumors are the most common neoplasm of the appendix. The clinical presentation of these lesions is often similar to that of acute appendicitis, or the tumors are asymptomatic. The carcinoids are commonly found incidentally during histopathological examination of the resected appendix following appendectomy or other abdominal procedures. Appendiceal carcinoids usually behave as benign tumors and appendicectomy alone is a sufficient treatment in the majority of cases, while for larger lesions, right colectomy should be performed. The prognosis of patients with local appendiceal carcinoids is excellent. The present study reports the case of a 22‑year‑old female patient that presented with recurrent right lower abdominal pain of a three‑year duration. The patient underwent successful appendectomy and recovered four days later. Subsequently, an appendiceal carcinoid tumor located at the tip of the appendix was diagnosed by histopathological examination. Follow‑up examination one year after surgery revealed that the patient was well with no discomfort.

Introduction

Acute appendicitis is the most common abdominal emergency encountered by the general surgeon (1). Subsequent to diagnosis by histopathological examination, primary neoplasms of the appendix are identified in ~0.5% of all surgically-removed appendices, with carcinoid tumors representing >50% of all appendix neoplasms (2,3). Carcinoid tumors arise from the neuroendocrine cells of the diffuse neuroendocrine system, which are identified in numerous locations, including the lung (25.1%), ovaries (0.5%), biliary system (0.2%) and throughout the gastrointestinal tract (73.4%) (4). Appendiceal carcinoid tumors are rare neuroendocrine neoplasms that usually behave as benign tumors, while certain lesions possess the potential for malignancy and are therefore able to metastasize (5). The probability of metastasis of appendiceal carcinoid tumors is low, ~4.7% of all appendiceal carcinoid tumors (6). Lymphatic spread is the primary route, and hepatic metastases are rare (2). Although not a common occurrence, primary carcinoid tumors of the appendix should be considered as a cause of acute appendicitis during appendectomy. Surgical resection is recommended for the treatment of appendiceal carcinoid tumors, and the long-term prognosis of patients with appendiceal carcinoids is good (6). The present study reports the case of a 22-year-old female patient diagnosed with a carcinoid tumor located at the tip of the appendix. Written informed consent was obtained from the patient.

Case report

A 22-year-old female patient was admitted to Taicang Hospital Affiliated to Soochow University (Taicang, Suzhou, China) with the complaint of recurrent right lower abdominal pain of a three-year duration, and an additional exacerbated attack of pain that had lasted for the three days prior to presentation.

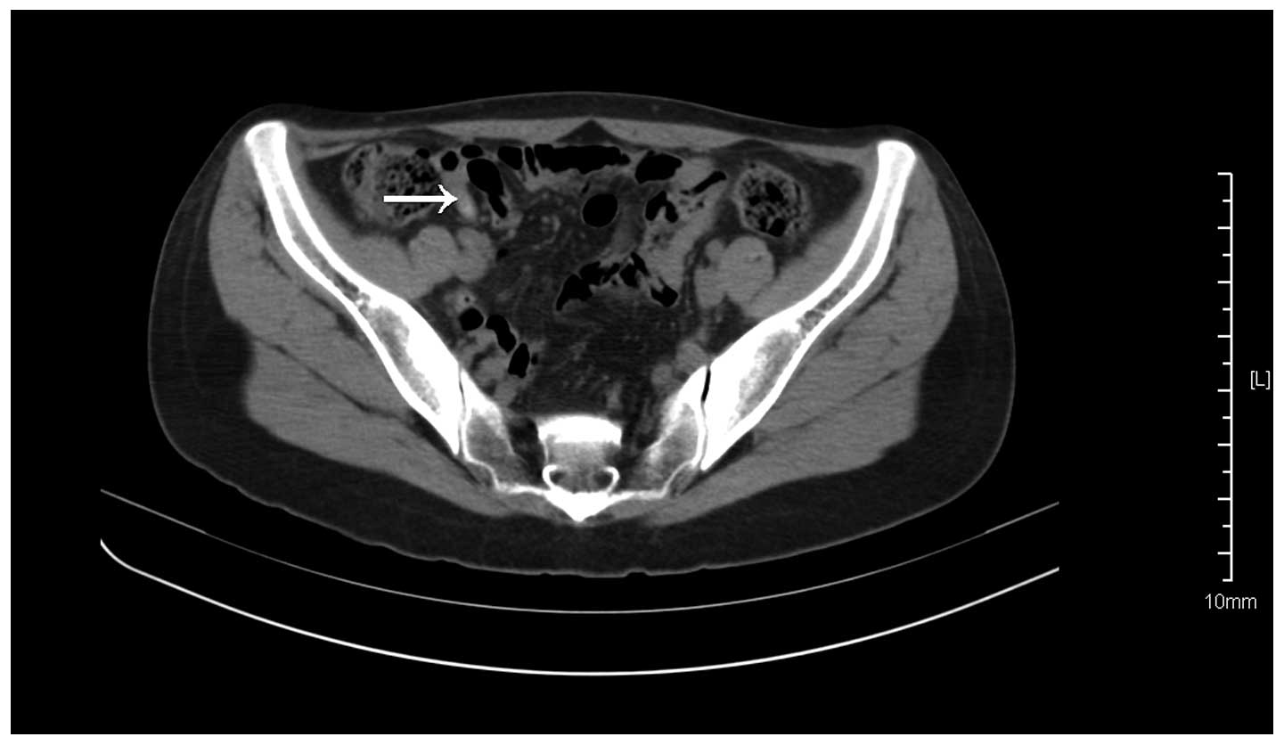
The patient reported a three-year history of recurrent dull right lower abdominal pain that had not been considered serious enough to obtain medical assistance. Three days prior to admittance, the aforementioned symptoms became aggravated and the patient presented to the Taicang Hospital Affiliated to Soochow University. Physical examination revealed a body temperature of 36.5°C, blood pressure of 111/78 mmHg and a pulse rate of 95 beats/min. During assessment, the patient experienced light direct tenderness, but no rebound tenderness, in the right lower abdomen. No palpable masses were observed in the abdomen. Laboratory tests were performed, yielding the following results: White blood cell count, 4.4×109 cells/l (normal range, 4–10×109 cells/l); neutrophil proportion, 46.8% (normal range, 45–80%); hemoglobin level, 130 g/l (normal range, 110–150 g/l); platelet count, 177×109 platelets/l (normal range, 100–300×109 platelets/l). In addition, abdominal computed tomography revealed appendiceal inflammation, while the tumor was too small to identify (Fig. 1). The patient possessed no previous medical history and no family medical history of appendicitis.

Figure 1.

Computed tomography scan revealing the appendix, with the tumor being too small to identify, as indicated by the arrow.

The patient underwent surgery for the treatment of the acute attack of chronic appendicitis. The appendix was identified as 7 cm long and 0.8 cm in diameter, demonstrating hyperemia and edema. The resection of the appendix was completed without complications and the patient recovered four days later. The specimen was examined by physiological analysis and stained using hematoxylin and eosin. At the tip of the appendix, there was a well-differentiated grade I neuroendocrine tumor (Fig. 2), measuring 5 mm at the maximum dimension, that had infiltrated few regions of the muscular layer. The mitotic activity of the lesion was not notable. Assessment of the Ki-67 proliferative index revealed nuclear staining in ~1% of cells. The diagnosis of appendiceal carcinoid tumor was confirmed by positive immunostaining for the neuroendocrine markers chromogranin A and synaptophysin. Coexisting acute purulent appendicitis was also present. No further treatment was administered. Follow-up examination one year after surgery revealed that the patient was well, with no discomfort.

Figure 2.

Photomicrograph of a hematoxylin and eosin-stained tissue section revealing the neuroendocrine tumor cells.

Discussion

Carcinoid tumors of the appendix are relatively uncommon neoplasms. It has been previously reported that the incidence of appendiceal carcinoids ranges between 0.3 and 0.9%, as determined using histopathological examination performed on excised appendectomy specimens (7,8). However, appendiceal carcinoids are the most frequent tumors arising from the appendix, comprising between 32 and 57% of all appendiceal tumors (9). Carcinoid tumors are neoplasms derived from the subepithelial neuroendocrine cells of the appendix (10) that rarely cause metastatic disease.

There is no specific pre-operative clinical presentation for appendiceal carcinoids. In general, appendiceal carcinoids are either asymptomatic or present as acute appendicitis, which is then diagnosed incidentally as appendiceal carcinoids during surgery (11). In addition, the carcinoids can result in recurrent episodes of abdominal pain due to partial obstruction of the appendiceal lumen by a tumor. The presence of neuroendocrine symptoms, including flushing, diarrhea and cardiac disease, are rarely reported (12). In the case of the present patient, the tumor was located at the tip of the appendix, and the patient experienced recurrent right lower abdominal pain that had been present for three years. The surgical procedure was performed for the treatment of appendicitis, and the carcinoid tumor was identified incidentally during the histological examination of the excised surgical specimen.

Appendiceal carcinoids grow slowly, and the overall prognosis is excellent (13). At present, tumor size is the most reliable indicator for the assessment of the malignant potential of lesions. In the majority of patients with appendiceal carcinoids, the tumor diameter is <1 cm and appendectomy alone is a sufficient treatment as carcinoids rarely metastasize. However, tumors measuring ≥2 cm in diameter may possess the potential for metastasis, and patients with tumors of this size require right hemicolectomy. For tumors measuring 1–2 cm in diameter, the surgical options depend on mesoappendiceal involvement and the histological subtype of the lesion. Suitable candidates for right hemicolectomy include lesions where there is histological evidence of mesoappendiceal extension, tumors that are located at the base of the appendix with positive margins or involvement of the caecum, and high-grade malignant carcinoids (14,15). In the present patient, the tumor was 0.5 cm in diameter and therefore appendectomy alone was performed.

Post-operative follow-up was recommended by the National Comprehensive Cancer Network 2013 Guidelines following the excision of appendiceal carcinoids in for patients with tumors that are >2 cm in diameter. This follow-up procedure comprises a history and physical examination every 3–12 months post-resection and every 6–12 months thereafter for ≤10 years, with consideration of follow-up imaging or laboratory markers, such as 5-hydroxyindoleacetic acid or chromogranin A (16).

Overall, the long-term prognosis of appendiceal carcinoids is extremely good. Sandor and Modlin evaluated 1570 carcinoid tumors of the appendix that were treated at the American National Cancer Institute between 1973 and 1991. It was reported that the five-year survival rates of patients with localized, regional metastases and distant metastases in appendiceal carcinoids were 94.0, 84.6 and 33.7%, respectively, and the overall five-year survival rate was 85.9% (9). Another study with a large cohort performed by Modlin et al reported that patients with local disease demonstrate a five-year survival rate of 92%, those with regional metastases demonstrated a five-year survival rate of 81% and the few with distant metastases demonstrated a five-year survival rate of 31% (10).

Carcinoid tumors are the most common neoplasms of the appendix, but demonstrate no specific clinical presentation. The presence of these tumors should be considered, particularly during surgical procedures.

References

1 

Ruffolo C, Fiorot A, Pagura G, Antoniutti M, Massani M, Caratozzolo E, Bonariol L, Calia di Pinto F and Bassi N: Acute appendicitis: what is the gold standard of treatment? World J Gastroenterol. 19:8799–8807. 2013. View Article : Google Scholar : PubMed/NCBI

2 

Deans GT and Spence RA: Neoplastic lesions of the appendix. Br J Surg. 82:299–306. 1995. View Article : Google Scholar : PubMed/NCBI

3 

Pickhardt PJ, Levy AD, Rohrmann CA Jr and Kende AI: Primary neoplasms of the appendix manifesting as acute appendicitis: CT findings with pathologic comparison. Radiology. 224:775–781. 2002. View Article : Google Scholar : PubMed/NCBI

4 

Modlin IM and Sandor A: An analysis of 8305 cases of carcinoid tumors. Cancer. 79:813–829. 1997. View Article : Google Scholar : PubMed/NCBI

5 

Parkes SE, Muir KR, al Sheyyab M II, Cameron AH, Pincott JR, Raafat F and Mann JR: Carcinoid tumours of the appendix in children 1957–1986: Incidence, treatment and outcome. Br J Surg. 80:502–504. 1993. View Article : Google Scholar : PubMed/NCBI

6 

Moertel CG, Weiland LH, Nagorney DM and Dockerty MB: Carcinoid tumor of the appendix: treatment and prognosis. N Eng J Med. 317:1699–1701. 1987. View Article : Google Scholar

7 

Moertel CG, Dockerty MB and Judd ES: Carcinoid tumors of the vermiform appendix. Cancer. 21:270–278. 1968. View Article : Google Scholar : PubMed/NCBI

8 

Connor SJ, Hanna GB and Frizelle FA: Appendiceal tumors: Retrospective clinicopathologic analysis of appendiceal tumors from 7,970 appendectomies. Dis Colon Rectum. 41:75–80. 1998. View Article : Google Scholar : PubMed/NCBI

9 

Sandor A and Modlin IM: A retrospective analysis of 1570 appendiceal carcinoids. Am J Gastroenterol. 93:422–428. 1998. View Article : Google Scholar : PubMed/NCBI

10 

Modlin IM, Lye KD and Kidd M: A 5-decade analysis of 13,715 carcinoid tumors. Cancer. 97:934–959. 2003. View Article : Google Scholar : PubMed/NCBI

11 

Roggo A, Wood WC and Ottinger LW: Carcinoid tumors of the appendix. Ann Surg. 217:385–390. 1993. View Article : Google Scholar : PubMed/NCBI

12 

Markgraf WH and Dunn TM: Appendiceal carcinoid with carcinoid syndrome. Am J Surg. 107:730–732. 1964. View Article : Google Scholar : PubMed/NCBI

13 

Thirlby RC, Kasper CS and Jones RC: Metastatic carcinoid tumor of the appendix. Report of a case and review of the literature. Dis Colon Rectum. 27:42–46. 1984. View Article : Google Scholar : PubMed/NCBI

14 

Syracuse DC, Perzin KH, Price JB, Wiedel PD and Mesa-Tejada R: Carcinoid tumors of the appendix. Mesoappendiceal extension and nodal metastases. Ann Surg. 190:58–63. 1979. View Article : Google Scholar : PubMed/NCBI

15 

Gouzi JL, Laigneau P, Delalande JP, Flamant Y, Bloom E, Oberlin P and Fingerhut A: The French Associations for Surgical Research: Indications for right hemicolectomy in carcinoid tumors of the appendix. Surg Gynecol Obstet. 176:543–547. 1993.PubMed/NCBI

16 

National Comprehensive Cancer Network (NCCN), . NCCN Clinical Practice Guidelines v2.2013. Neuroendocrine tumors. http://www.nccn.org/professionals/physician_gls/pdf/neuroendocrine.pdfAccessed. May 15–2013

Related Articles

  • Abstract
  • View
  • Download
  • Twitter
Copy and paste a formatted citation
Spandidos Publications style
Gu Y, Wang N and Xu H: Carcinoid tumor of the appendix: A case report. Oncol Lett 9: 2401-2403, 2015.
APA
Gu, Y., Wang, N., & Xu, H. (2015). Carcinoid tumor of the appendix: A case report. Oncology Letters, 9, 2401-2403. https://doi.org/10.3892/ol.2015.2997
MLA
Gu, Y., Wang, N., Xu, H."Carcinoid tumor of the appendix: A case report". Oncology Letters 9.5 (2015): 2401-2403.
Chicago
Gu, Y., Wang, N., Xu, H."Carcinoid tumor of the appendix: A case report". Oncology Letters 9, no. 5 (2015): 2401-2403. https://doi.org/10.3892/ol.2015.2997
Copy and paste a formatted citation
x
Spandidos Publications style
Gu Y, Wang N and Xu H: Carcinoid tumor of the appendix: A case report. Oncol Lett 9: 2401-2403, 2015.
APA
Gu, Y., Wang, N., & Xu, H. (2015). Carcinoid tumor of the appendix: A case report. Oncology Letters, 9, 2401-2403. https://doi.org/10.3892/ol.2015.2997
MLA
Gu, Y., Wang, N., Xu, H."Carcinoid tumor of the appendix: A case report". Oncology Letters 9.5 (2015): 2401-2403.
Chicago
Gu, Y., Wang, N., Xu, H."Carcinoid tumor of the appendix: A case report". Oncology Letters 9, no. 5 (2015): 2401-2403. https://doi.org/10.3892/ol.2015.2997
Follow us
  • Twitter
  • LinkedIn
  • Facebook
About
  • Spandidos Publications
  • Careers
  • Cookie Policy
  • Privacy Policy
How can we help?
  • Help
  • Live Chat
  • Contact
  • Email to our Support Team