Spandidos Publications Logo
  • About
    • About Spandidos
    • Aims and Scopes
    • Abstracting and Indexing
    • Editorial Policies
    • Reprints and Permissions
    • Job Opportunities
    • Terms and Conditions
    • Contact
  • Journals
    • All Journals
    • Oncology Letters
      • Oncology Letters
      • Information for Authors
      • Editorial Policies
      • Editorial Board
      • Aims and Scope
      • Abstracting and Indexing
      • Bibliographic Information
      • Archive
    • International Journal of Oncology
      • International Journal of Oncology
      • Information for Authors
      • Editorial Policies
      • Editorial Board
      • Aims and Scope
      • Abstracting and Indexing
      • Bibliographic Information
      • Archive
    • Molecular and Clinical Oncology
      • Molecular and Clinical Oncology
      • Information for Authors
      • Editorial Policies
      • Editorial Board
      • Aims and Scope
      • Abstracting and Indexing
      • Bibliographic Information
      • Archive
    • Experimental and Therapeutic Medicine
      • Experimental and Therapeutic Medicine
      • Information for Authors
      • Editorial Policies
      • Editorial Board
      • Aims and Scope
      • Abstracting and Indexing
      • Bibliographic Information
      • Archive
    • International Journal of Molecular Medicine
      • International Journal of Molecular Medicine
      • Information for Authors
      • Editorial Policies
      • Editorial Board
      • Aims and Scope
      • Abstracting and Indexing
      • Bibliographic Information
      • Archive
    • Biomedical Reports
      • Biomedical Reports
      • Information for Authors
      • Editorial Policies
      • Editorial Board
      • Aims and Scope
      • Abstracting and Indexing
      • Bibliographic Information
      • Archive
    • Oncology Reports
      • Oncology Reports
      • Information for Authors
      • Editorial Policies
      • Editorial Board
      • Aims and Scope
      • Abstracting and Indexing
      • Bibliographic Information
      • Archive
    • Molecular Medicine Reports
      • Molecular Medicine Reports
      • Information for Authors
      • Editorial Policies
      • Editorial Board
      • Aims and Scope
      • Abstracting and Indexing
      • Bibliographic Information
      • Archive
    • World Academy of Sciences Journal
      • World Academy of Sciences Journal
      • Information for Authors
      • Editorial Policies
      • Editorial Board
      • Aims and Scope
      • Abstracting and Indexing
      • Bibliographic Information
      • Archive
    • International Journal of Functional Nutrition
      • International Journal of Functional Nutrition
      • Information for Authors
      • Editorial Policies
      • Editorial Board
      • Aims and Scope
      • Abstracting and Indexing
      • Bibliographic Information
      • Archive
    • International Journal of Epigenetics
      • International Journal of Epigenetics
      • Information for Authors
      • Editorial Policies
      • Editorial Board
      • Aims and Scope
      • Abstracting and Indexing
      • Bibliographic Information
      • Archive
    • Medicine International
      • Medicine International
      • Information for Authors
      • Editorial Policies
      • Editorial Board
      • Aims and Scope
      • Abstracting and Indexing
      • Bibliographic Information
      • Archive
  • Articles
  • Information
    • Information for Authors
    • Information for Reviewers
    • Information for Librarians
    • Information for Advertisers
    • Conferences
  • Language Editing
Spandidos Publications Logo
  • About
    • About Spandidos
    • Aims and Scopes
    • Abstracting and Indexing
    • Editorial Policies
    • Reprints and Permissions
    • Job Opportunities
    • Terms and Conditions
    • Contact
  • Journals
    • All Journals
    • Biomedical Reports
      • Information for Authors
      • Editorial Policies
      • Editorial Board
      • Aims and Scope
      • Abstracting and Indexing
      • Bibliographic Information
      • Archive
    • Experimental and Therapeutic Medicine
      • Information for Authors
      • Editorial Policies
      • Editorial Board
      • Aims and Scope
      • Abstracting and Indexing
      • Bibliographic Information
      • Archive
    • International Journal of Epigenetics
      • Information for Authors
      • Editorial Policies
      • Editorial Board
      • Aims and Scope
      • Abstracting and Indexing
      • Bibliographic Information
      • Archive
    • International Journal of Functional Nutrition
      • Information for Authors
      • Editorial Policies
      • Editorial Board
      • Aims and Scope
      • Abstracting and Indexing
      • Bibliographic Information
      • Archive
    • International Journal of Molecular Medicine
      • Information for Authors
      • Editorial Policies
      • Editorial Board
      • Aims and Scope
      • Abstracting and Indexing
      • Bibliographic Information
      • Archive
    • International Journal of Oncology
      • Information for Authors
      • Editorial Policies
      • Editorial Board
      • Aims and Scope
      • Abstracting and Indexing
      • Bibliographic Information
      • Archive
    • Medicine International
      • Information for Authors
      • Editorial Policies
      • Editorial Board
      • Aims and Scope
      • Abstracting and Indexing
      • Bibliographic Information
      • Archive
    • Molecular and Clinical Oncology
      • Information for Authors
      • Editorial Policies
      • Editorial Board
      • Aims and Scope
      • Abstracting and Indexing
      • Bibliographic Information
      • Archive
    • Molecular Medicine Reports
      • Information for Authors
      • Editorial Policies
      • Editorial Board
      • Aims and Scope
      • Abstracting and Indexing
      • Bibliographic Information
      • Archive
    • Oncology Letters
      • Information for Authors
      • Editorial Policies
      • Editorial Board
      • Aims and Scope
      • Abstracting and Indexing
      • Bibliographic Information
      • Archive
    • Oncology Reports
      • Information for Authors
      • Editorial Policies
      • Editorial Board
      • Aims and Scope
      • Abstracting and Indexing
      • Bibliographic Information
      • Archive
    • World Academy of Sciences Journal
      • Information for Authors
      • Editorial Policies
      • Editorial Board
      • Aims and Scope
      • Abstracting and Indexing
      • Bibliographic Information
      • Archive
  • Articles
  • Information
    • For Authors
    • For Reviewers
    • For Librarians
    • For Advertisers
    • Conferences
  • Language Editing
Login Register Submit
  • This site uses cookies
  • You can change your cookie settings at any time by following the instructions in our Cookie Policy. To find out more, you may read our Privacy Policy.

    I agree
Search articles by DOI, keyword, author or affiliation
Search
Advanced Search
presentation
Oncology Letters
Join Editorial Board Propose a Special Issue
Print ISSN: 1792-1074 Online ISSN: 1792-1082
Journal Cover
September-2015 Volume 10 Issue 3

Full Size Image

Sign up for eToc alerts
Recommend to Library

Journals

International Journal of Molecular Medicine

International Journal of Molecular Medicine

International Journal of Molecular Medicine is an international journal devoted to molecular mechanisms of human disease.

International Journal of Oncology

International Journal of Oncology

International Journal of Oncology is an international journal devoted to oncology research and cancer treatment.

Molecular Medicine Reports

Molecular Medicine Reports

Covers molecular medicine topics such as pharmacology, pathology, genetics, neuroscience, infectious diseases, molecular cardiology, and molecular surgery.

Oncology Reports

Oncology Reports

Oncology Reports is an international journal devoted to fundamental and applied research in Oncology.

Experimental and Therapeutic Medicine

Experimental and Therapeutic Medicine

Experimental and Therapeutic Medicine is an international journal devoted to laboratory and clinical medicine.

Oncology Letters

Oncology Letters

Oncology Letters is an international journal devoted to Experimental and Clinical Oncology.

Biomedical Reports

Biomedical Reports

Explores a wide range of biological and medical fields, including pharmacology, genetics, microbiology, neuroscience, and molecular cardiology.

Molecular and Clinical Oncology

Molecular and Clinical Oncology

International journal addressing all aspects of oncology research, from tumorigenesis and oncogenes to chemotherapy and metastasis.

World Academy of Sciences Journal

World Academy of Sciences Journal

Multidisciplinary open-access journal spanning biochemistry, genetics, neuroscience, environmental health, and synthetic biology.

International Journal of Functional Nutrition

International Journal of Functional Nutrition

Open-access journal combining biochemistry, pharmacology, immunology, and genetics to advance health through functional nutrition.

International Journal of Epigenetics

International Journal of Epigenetics

Publishes open-access research on using epigenetics to advance understanding and treatment of human disease.

Medicine International

Medicine International

An International Open Access Journal Devoted to General Medicine.

Journal Cover
September-2015 Volume 10 Issue 3

Full Size Image

Sign up for eToc alerts
Recommend to Library

  • Article
  • Citations
    • Cite This Article
    • Download Citation
    • Create Citation Alert
    • Remove Citation Alert
    • Cited By
  • Similar Articles
    • Related Articles (in Spandidos Publications)
    • Similar Articles (Google Scholar)
    • Similar Articles (PubMed)
  • Download PDF
  • Download XML
  • View XML
Article

T-box 2 expression predicts poor prognosis in gastric cancer

  • Authors:
    • Haihua Yu
    • Bo Liu
    • Aiwu Liu
    • Kai Li
    • Hongpeng Zhao
  • View Affiliations / Copyright

    Affiliations: Department of Gastrointestinal Surgery, Shandong Provincial Qianfoshan Hospital, Jinan, Shandong 250014, P.R. China
  • Pages: 1689-1693
    |
    Published online on: June 26, 2015
       https://doi.org/10.3892/ol.2015.3428
  • Expand metrics +
Metrics: Total Views: 0 (Spandidos Publications: | PMC Statistics: )
Metrics: Total PDF Downloads: 0 (Spandidos Publications: | PMC Statistics: )
Cited By (CrossRef): 0 citations Loading Articles...

This article is mentioned in:


Abstract

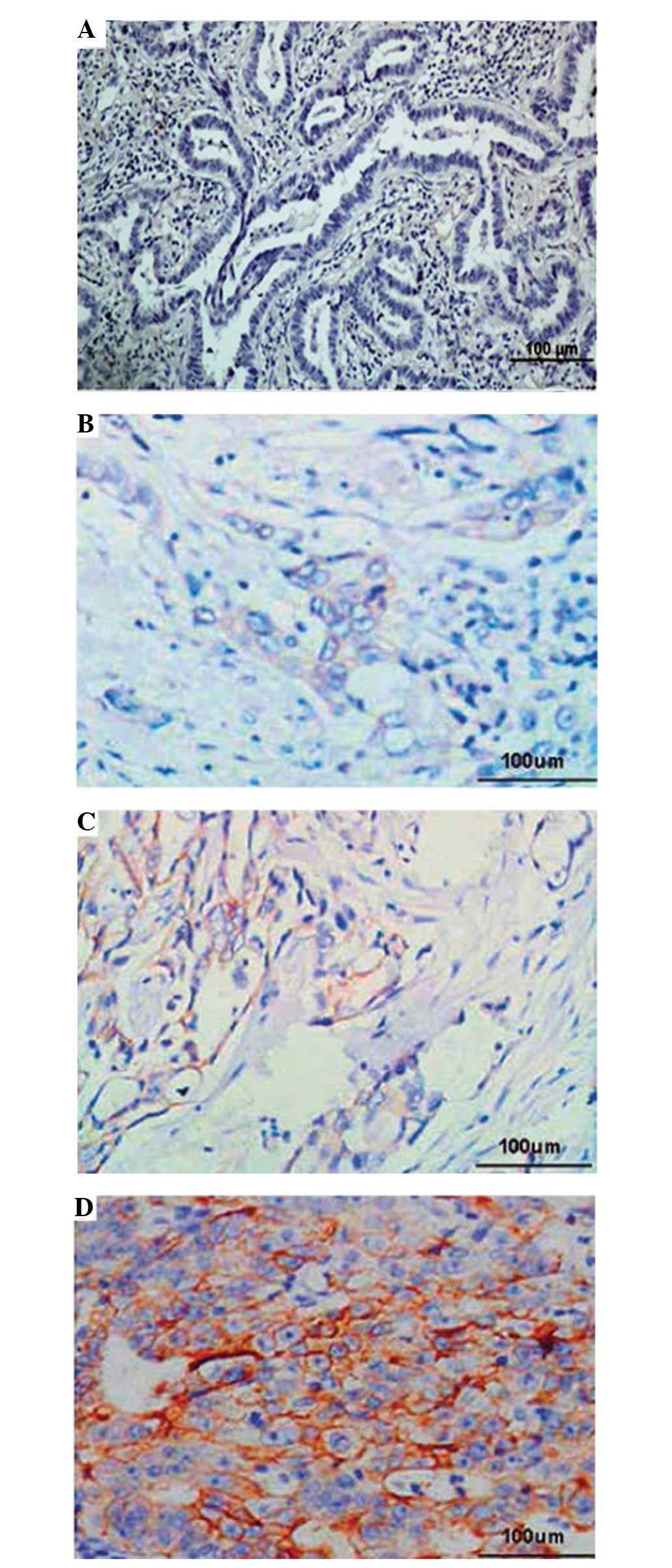
T-Box 2 (TBX2) plays a critical role in embryonic development. Previously, TBX2 has been suggested to be involved in malignancies. However, the role of TBX2 in gastric cancer (GC) remains unclear. In the present study, TBX2 expression was found to be evidently upregulated in GC compared with the expression in the corresponding adjacent non‑cancerous tissues at the mRNA and protein levels. Using immunohistochemical analysis on the tissue samples obtained from 266 patients with GC, TBX2 expression was found to be significantly associated with the clinical stage and incidence of vascular invasion and metastasis. Patients with GC that expressed TBX2 demonstrated a shorter overall survival time compared with the patients without TBX2 expression. Multivariate analysis revealed that TBX2 expression was an independent prognostic factor for overall survival (hazard ratio, 3.930; 95% confidence interval, 2.041‑7.917; P=0.009). These results indicated that TBX2 is a prognostic marker for patients with GC.
View Figures

Figure 1

Figure 2

Figure 3

Figure 4

View References

1 

Liang JW, Gao P, Wang ZN, Song YX, Xu YY, Wang MX, Dong YL and Xu HM: The integration of macroscopic tumor invasion of adjacent organs into TNM staging system for colorectal cancer. PLoS One. 7:e522692012. View Article : Google Scholar : PubMed/NCBI

2 

Jemal A, Bray F, Center MM, Ferlay J, Ward E and Forman D: Global cancer statistics. CA Cancer J Clin. 61:69–90. 2011. View Article : Google Scholar : PubMed/NCBI

3 

Sun J, Jiang T, Qiu Z, Cen G, Cao J, Huang K, Pu Y, Liang H, Huang R and Chen S: Short-term and medium-term clinical outcomes of laparoscopic-assisted and open surgery for colorectal cancer: A single center retrospective case-control study. BMC Gastroenterol. 11:852011. View Article : Google Scholar : PubMed/NCBI

4 

Popa F, Bratucu M and Radu P: Present and future tense in operable rectal cancer. Chirurgia (Bucur). 106:11–16. 2011.PubMed/NCBI

5 

Rowley M, Grothey E and Couch FJ: The role of Tbx2 and Tbx3 in mammary development and tumorigenesis. J Mammary Gland Biol Neoplasia. 9:109–118. 2004. View Article : Google Scholar : PubMed/NCBI

6 

Abrahams A, Parker MI and Prince S: The T-box transcription factor Tbx2: Its role in development and possible implication in cancer. IUBMB Life. 62:92–102. 2010.PubMed/NCBI

7 

Jacobs JJ, Keblusek P, Robanus-Maandag E, Kristel P, Lingbeek M, Nederlof PM, van Welsem T, van de Vijver MJ, Koh EY, Daley GQ and van Lohuizen M: Senescence bypass screen identifies TBX2, which represses Cdkn2a (p19(ARF)) and is amplified in a subset of human breast cancers. Nat Genet. 26:291–299. 2000. View Article : Google Scholar : PubMed/NCBI

8 

Vance KW, Carreira S, Brosch G and Goding CR: Tbx2 is overexpressed and plays an important role in maintaining proliferation and suppression of senescence in melanomas. Cancer Res. 65:2260–2268. 2005. View Article : Google Scholar : PubMed/NCBI

9 

Mahlamäki EH, Bärlund M, Tanner M, Gorunova L, Höglund M, Karhu R and Kallioniemi A: Frequent amplification of 8q24, 11q, 17q and 20q-specific genes in pancreatic cancer. Genes Chromosomes Cancer. 35:353–358. 2002. View Article : Google Scholar : PubMed/NCBI

10 

Salako SE: The declaration of Helsinki 2000: Ethical principles and the dignity of difference. Med Law. 25:341–354. 2006.PubMed/NCBI

11 

Wansleben S, Peres J, Hare S, Goding CR and Prince S: T-box transcription factors in cancer biology. Biochim Biophys Acta. 1846:380–391. 2014.PubMed/NCBI

12 

Bärlund M, Monni O, Kononen J, Cornelison R, Torhorst J, Sauter G, Kallioniemi OLLI-P and Kallioniemi A: Multiple genes at 17q23 undergo amplification and overexpression in breast cancer. Cancer Res. 60:5340–5344. 2000.PubMed/NCBI

13 

Vance KW, Carreira S, Brosch G and Goding CR: Tbx2 is overexpressed and plays an important role in maintaining proliferation and suppression of senescence in melanomas. Cancer Res. 65:2260–2268. 2005. View Article : Google Scholar : PubMed/NCBI

14 

Duo S, Tiao-Dong T, Lei Z, Wei W, Hong-Li S and Xian-Wei D: Expression and clinical significance of tbx2 in pancreatic cancer. Asian Pac J Cancer Prev. 10:118–122. 2009.PubMed/NCBI

15 

Dimova I, Orsetti B, Negre V, Rouge C, Ursule L, Lasorsa L, Dimitrov R, Doganov N, Toncheva D and Theillet C: Genomic markers for ovarian cancer at chromosomes 1, 8 and 17 revealed by array CGH analysis. Tumori. 95:357–366. 2009.PubMed/NCBI

16 

Kandimalla R, van Tilborg AA, Kompier LC, Stumpel DJ, Stam RW, Bangma CH and Zwarthoff EC: Genome-wide analysis of CpG island methylation in bladder cancer identified TBX2, TBX3, GATA2 and ZIC4 as pTa-specific prognostic markers. Eur Urol. 61:1245–1256. 2012. View Article : Google Scholar : PubMed/NCBI

Related Articles

  • Abstract
  • View
  • Download
  • Twitter
Copy and paste a formatted citation
Spandidos Publications style
Yu H, Liu B, Liu A, Li K and Zhao H: T-box 2 expression predicts poor prognosis in gastric cancer. Oncol Lett 10: 1689-1693, 2015.
APA
Yu, H., Liu, B., Liu, A., Li, K., & Zhao, H. (2015). T-box 2 expression predicts poor prognosis in gastric cancer. Oncology Letters, 10, 1689-1693. https://doi.org/10.3892/ol.2015.3428
MLA
Yu, H., Liu, B., Liu, A., Li, K., Zhao, H."T-box 2 expression predicts poor prognosis in gastric cancer". Oncology Letters 10.3 (2015): 1689-1693.
Chicago
Yu, H., Liu, B., Liu, A., Li, K., Zhao, H."T-box 2 expression predicts poor prognosis in gastric cancer". Oncology Letters 10, no. 3 (2015): 1689-1693. https://doi.org/10.3892/ol.2015.3428
Copy and paste a formatted citation
x
Spandidos Publications style
Yu H, Liu B, Liu A, Li K and Zhao H: T-box 2 expression predicts poor prognosis in gastric cancer. Oncol Lett 10: 1689-1693, 2015.
APA
Yu, H., Liu, B., Liu, A., Li, K., & Zhao, H. (2015). T-box 2 expression predicts poor prognosis in gastric cancer. Oncology Letters, 10, 1689-1693. https://doi.org/10.3892/ol.2015.3428
MLA
Yu, H., Liu, B., Liu, A., Li, K., Zhao, H."T-box 2 expression predicts poor prognosis in gastric cancer". Oncology Letters 10.3 (2015): 1689-1693.
Chicago
Yu, H., Liu, B., Liu, A., Li, K., Zhao, H."T-box 2 expression predicts poor prognosis in gastric cancer". Oncology Letters 10, no. 3 (2015): 1689-1693. https://doi.org/10.3892/ol.2015.3428
Follow us
  • Twitter
  • LinkedIn
  • Facebook
About
  • Spandidos Publications
  • Careers
  • Cookie Policy
  • Privacy Policy
How can we help?
  • Help
  • Live Chat
  • Contact
  • Email to our Support Team