Sarcomatoid carcinoma of the stomach: A case report and literature review
- Authors:
- Published online on: July 6, 2015 https://doi.org/10.3892/ol.2015.3460
- Pages: 1385-1389
-
Copyright: © Zhu et al. This is an open access article distributed under the terms of Creative Commons Attribution License.
Abstract
Introduction
Sarcomatoid carcinomas are a rare type of tumor, particularly in the stomach (1). Snover et al (2) first described the features of sarcomatoid carcinoma. A diagnosis of sarcomatoid carcinoma should be made when the sarcomatous component of the tumor mainly consists of spinal cells, but the cells are morphologically or immunologically identifiable as epithelial cells (3). Occasionally the tumors exhibit specific, notable differentiation, for example osteoclastic-like giant cells (4). Due to the poor efficacy of chemotherapy and radiotherapy, surgery remains the most effective treatment (5,6). The present report presents details of a large-size sarcomatoid carcinoma in the stomach, which was completely resected by surgery. In addition, complete clinical data is included.
Case report
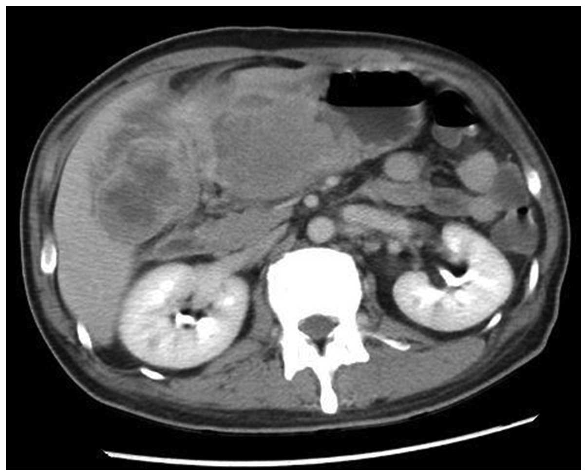
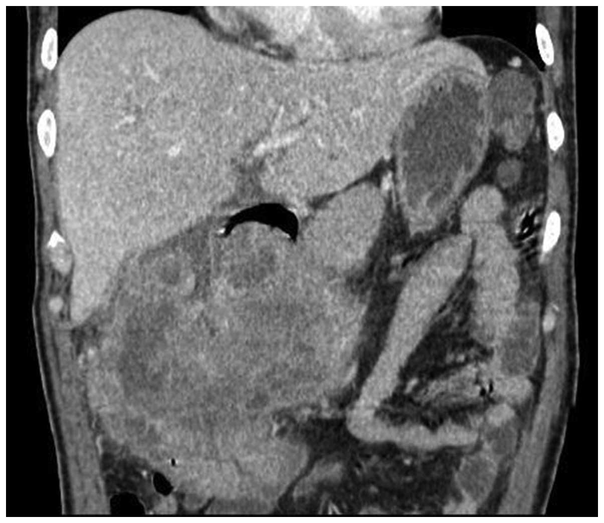
A 49-year-old Chinese male with melena, anemia and fatigue visited the Emergency Room at Ren Ji Hospital Affiliated to Shanghai Jiao Tong University School of Medicine (Shanghai, China), on July 22, 2013. The proband's hemoglobin was 39 g/l upon entering the ward. Abdominal ultrasonography revealed a mass with mixed echogenicity in the right upper quadrant of the abdomen. A computed tomography (CT) scan revealed a 14 cm-diameter mass in the gastric antrum and gastric body, which infiltrated the serosa of the stomach. The gallbladder and hepatic flexure of the colon were also involved. CT contrast enhancement was evident in the two lesions (Figs. 1 and 2). A positron emission tomography (PET)-CT scan revealed a large irregular mass with abnormally high fluorodeoxyglucose (FDG) metabolism in the region of the distal stomach, gallbladder fossa and hepatic tissue in the vicinity (Fig. 3). A lymph node with high FDG metabolism was observed in the region of the pancreatic head (Fig. 4). Endoscopic investigation of the upper gastrointestinal tract identified an irregularly shaped lesion on the gastric antrum and body (Fig. 5). The histopathological section of the endoscopic biopsy revealed that the majority of the tumor cells were spindle shaped in morphology. Following a primary diagnosis of gastric malignancy, the patient received surgery on August 3, 2013. A 14×13×8 cm, solid mass with an irregular surface was identified during surgery. In addition, the No. 13 lymph nodes were markedly enlarged and fused, measuring 20×35 mm. The distal stomach, gallbladder and right hemicolon were resected in order to completely remove the tumor. In addition, an extended D2 lymphadenectomy was also performed. Reconstruction was conducted with the gastrojejunum Roux-en-Y anastomosis (7). Histopathological diagnosis was as follows: Sarcomatoid carcinoma of the gastric antrum and body (14×13×8 cm in size, with serosa invasion), the gallbladder and adjacent colon wall were also involved and No. 13 lymph node metastasis was observed.
Following surgery, the patient recovered successfully and was discharged from hospital on August 19, 2013. However, the tumor recurred and the patient succumbed to the disease in February 2015.
Pathological findings
Macropathological analysis of the resected specimen revealed a mass with an irregular surface, measuring 14×13×8 cm (Fig. 6). The cross-sectional surface of the tumor was gray-white in appearance. Paraffin-embedded, 4–6-µm-thick specimens were mounted on microscopic slides. Following deparaffinization, tissue samples were postfixed in buffered osmium tetroxide, dehydrated in ethanol and embedded. Ultrathin sections were prepared and examined using a transmission electron microscope (Axio Imager A1; Carl Zeiss, Ltd., Cambridge, UK).
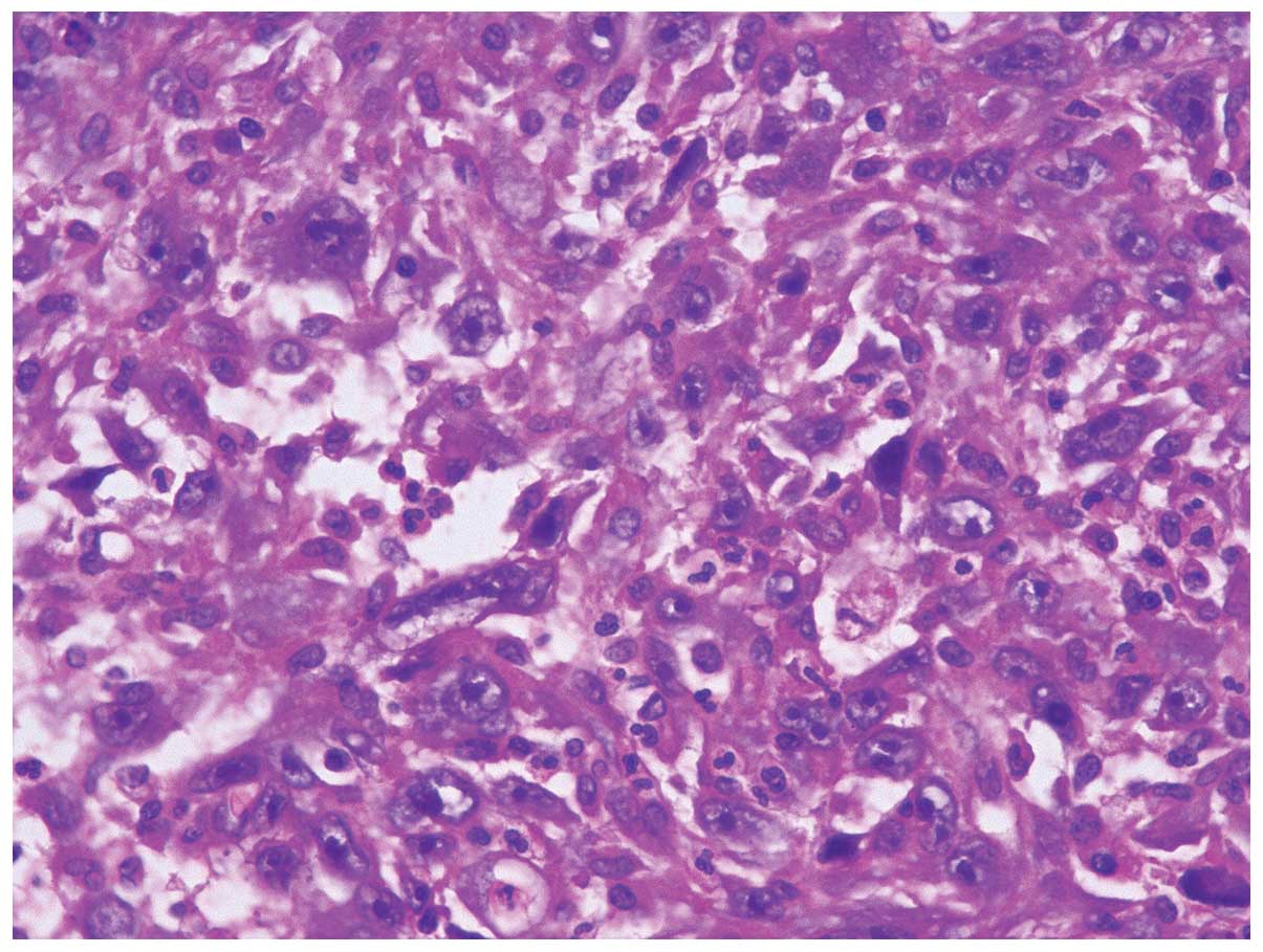
Micropathologically, the tumor cells of the stomach demonstrated infiltrative growth. The cytological characteristics of the tumor cells revealed overtly malignant features. Microscopic observation identified mainly spindle-shaped cell structures with significantly atypical, pleomorphic and giant nuclei. In addition, a minority area of adenocarcinoma, with papillary and tubular growth of cancer cells, was also detected. The sarcomatous and carcinomatous elements were frequently closely admixed with each other throughout the tumor. There were >50 mitoses per 10 high-power fields (Fig. 7).
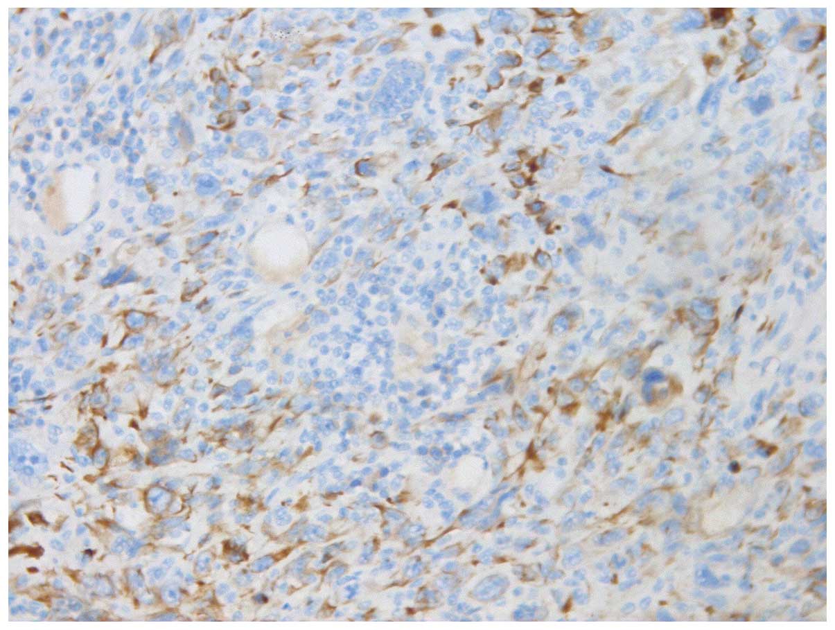
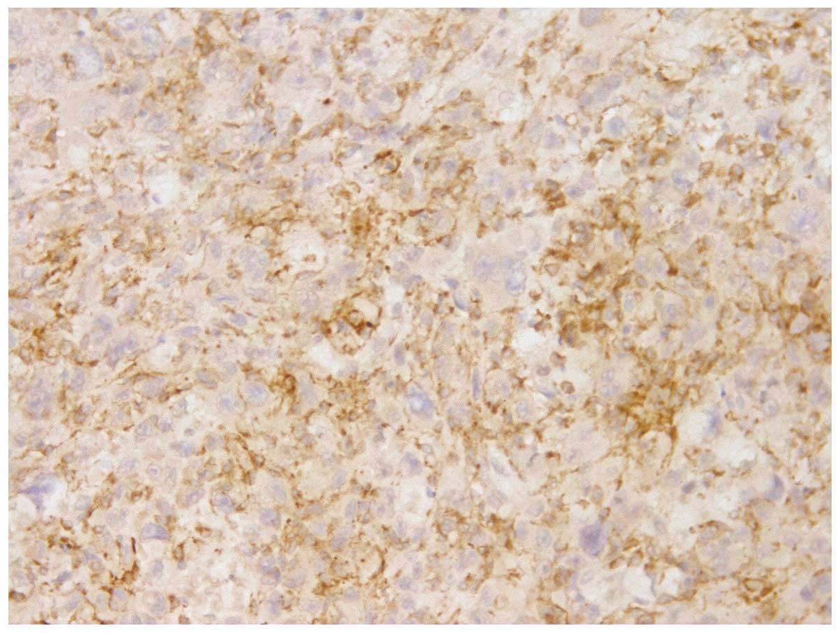
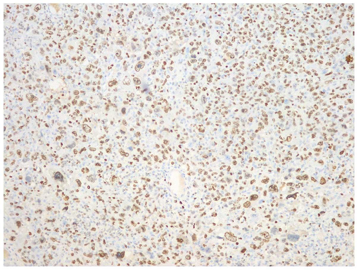
Immunohistochemical (IHC) examination of the sections was performed using a standard avidin-biotin-peroxidase complex method (8). The antibodies used and the results obtained are summarized in Table I. The tumor cells were positive for Vimentin (Fig. 8), cytokeratin (CK), CK7 (Fig. 9) and CD68 (Fig. 10). Expression of the proliferation marker Ki-67 reached 80% (Fig. 11). The cells were negative for Desmin, CD20, CD31, CD34, CD117, discovered on GIST-1 (DOG-1), S-100, ALDOG-1, P63, Melan-A and human melanoma black 45 (Table I).
Table I.Primary antibodies and their marked cells, dilution, source, system and results in tumor cells. |
Diagnosis of sarcomatoid carcinoma of the stomach was confirmed by these histomorphological and IHC findings.
Discussion
Adenocarcinoma, adenosquamous carcinoma and squamous carcinoma are more common types of tumor in stomach (9). Sarcomatoid carcinoma is a rare type of primary gastric tumor, and it is difficult to make a definitive pre-operative diagnosis in such cases. Reviewing the clinical data of the present case, further characters of gastric sarcomatoid carcinoma have been identified. The histopathological section of endoscopic biopsy revealed that the majority of the tumor cells were spindle shaped in morphology. In addition, minor elements with adenocarcinoma were also observed. In terms of radiography, PET-CT scans provided greater clarity in concluding correct diagnosis.
However, final diagnosis remains dependent on the results of the IHC exam (6,10). The present tumor was finally diagnosed as sarcomatoid carcinoma, since IHC analysis was positive for epithelial markers in the mesenchymal elements of the tumor. Reviewing the current case and 5 previously reported cases from the literature (11–13), the characteristics of all reported cases are summarized in Table II. The age of the patients ranged from 47–78 years old (mean, 62.7 years). All previously reported tumors were located close to the gastroesophageal junction, whereas the present tumor was located in the distal stomach. A total of 5 out of the 6 patients from the literature, including the case reported in the present study, underwent surgical resection. The size of the tumor in the present case was the largest. In the sixth case, the patient with a 20-cm diameter tumor died prior to surgical intervention due to respiratory failure. A total of 4 out of the 5 resectable cases, except for the present case, developed recurrence within several months, indicating that the prognosis of this disease is relatively poor.
The understanding of sarcomatoid carcinoma has been hindered by variations in nomenclature and classification. Multiple nomenclatures have been used in the previous literature, including carcinosarcoma, pseudosarcoma, pseudocarcinoma and spindle cell carcinoma. The multiple names demonstrate the varied understandings of this disease, which have resulted in complex definitions regarding this type of tumor.
It is highlighted in the current literature that sarcomatoid carcinomas display malignant epithelial and stromal components, and sarcoma components which occupy >50% of the elements involved. Sarcomatoid cancer is able to develop in numerous locations, including the nasopharynx, lung, digestive tract, urinary and genital system (3,5,10,14). Sarcomatoid cancer, in the skin or mucous membrane, presents similarly to polypus under a microscope, and IHC may be used to detect the presence of various types of sarcomatoid properties, for example clusters of well-differentiated cells, and demonstration of intraepithelial neoplasia without the element of cancer. The sarcomatoid cancer has elements of both cancer and sarcoma. In the immune phenotype analysis, the properties of the cancer part remain constant in CK and epithelial membrane antigen (EMA). By contrast, the phenotypes of sarcoma part vary. The positive rates of CK and EMA are 26% and 17.9%, respectively (10).
The pathogenic mechanisms underlying sarcomatoid carcinoma remain to be elucidated. P53 mutations have been observed in this kind of tumor. Certain scientists have hypothesized that sarcomatoid carcinoma may be differentiated from stem cells (15), as the carcinomatous and sarcomatoid elements are monoclonal. Two of the previous cases of sarcomatoid carcinoma were discovered on remnant stomach. Studies have reported that a large proportion of sarcomatoid carcinomas developed in various organs following treatment for other diseases (16). For example, these tumors were found in the urinary system following transurethal resection or chemotheraphy, and in the liver following arterial embolization or radiofrequency ablation.
The prognosis of sarcomatoid carcinoma is poor, therefore the patient in the present case may present with an unfavorable prognosis. Furthermore, the large size of the tumor and the involvement of No. 13 lymph node metastases and adjacent organs decrease the probability of a favorable prognosis. The thoroughness of surgical resection is the most significant factor underlying patient survival. Although sarcomatoid carcinoma is insensitive to chemotherapeutic drugs (5), certain patients were demonstrated to benefit from chemotherapy with a carbopaltin and gemcitabine regime (17). However, whether or not to treat gastric sarcomatoid carcinoma with chemotherapy remains a controversial issue.
Reports on giant sarcomatoid carcinoma are infrequent. The present case of sarcomatoid carcinoma of the stomach therefore presented a rare opportunity for study. Resection of such a large size tumor presented difficulties, and it was a challenge to completely resect. The curative effect of adjuvant therapies for gastric sarcomatoid carcinoma remains unclear, and therefore follow-up of this patient is important for enhancing understanding of the disease.
Acknowledgements
The present study was supported by the Project of Science and Technology Commission of Shanghai Municipality (no. 13ZR1425200) and the Project of Shanghai Municipal Health Bureau (no. 20114241).
References
|
Carboni F, Levi Sandri GB, Valle M, Covello R and Garofalo A: Gastric sarcomatoid carcinoma. J Gastrointest Surg. 17:2025–2027. 2013. View Article : Google Scholar : PubMed/NCBI | |
|
Snover DC, Levine GD and Rosai J: Thymic carcinoma. Five distinctive histological variants. Am J Surg Pathol. 6:451–470. 1982. View Article : Google Scholar : PubMed/NCBI | |
|
Cheng L, Huang WB and Rao Q: Molecular pathology, histopathologic features and differential diagnosis of sarcomatoid carcinoma of urinary bladder. Zhonghua Bing Li Xue Za Zhi. 42:416–419. 2013.(In Chinese). PubMed/NCBI | |
|
Yozu M, Glengarry J and Ahmed SS: Cutaneous squamous cell carcinoma associated with proliferation of osteoclast-like giant cells. J Pak Med Assoc. 61:922–925. 2011.PubMed/NCBI | |
|
Huang SY, Shen SJ and Li XY: Pulmonary sarcomatoid carcinoma: A clinicopathologic study and prognostic analysis of 51 cases. World J Surg Oncol. 11:2522013. View Article : Google Scholar : PubMed/NCBI | |
|
Chien T, Chou J, Chang T and Lin C: Successful treatment of biphasic metaplastic sarcomatoid carcinoma of the breast by evaluation of immunohistochemical markers. Hematol Oncol Stem Cell Ther. 3:89–93. 2010. View Article : Google Scholar : PubMed/NCBI | |
|
Langhans P, Schönleben K and Bünte H: The routine use of Roux-en-Y anastomosis in gastric surgery. Scand J Gastroenterol Suppl. 67:247–249. 1981.PubMed/NCBI | |
|
Charpin C, Martin PM, Lissitzky JC, Lavaut MN, Kopp F, Pourreau-Schneider N, Jacquemier J and Toga M: Immunocytochemical antigens detection in human breast carcinomas: A light and electron microscopy study using avidin biotin peroxidase and preembedding method. Cancer Detect Prev. 8:77–85. 1985.PubMed/NCBI | |
|
Corso G, Seruca R and Roviello F: Gastric cancer carcinogenesis and tumor progression. Ann Ital Chir. 83:172–176. 2012.PubMed/NCBI | |
|
Viswanathan S, Rahman K, Pallavi S, Sachin J, Patil A, Chaturvedi P, D'Cruz A, Agarwal J and Kane SV: Sarcomatoid (spindle cell) carcinoma of the head and neck mucosal region: A clinicopathologic review of 103 cases from a tertiary referral cancer centre. Head Neck Pathol. 4:265–275. 2010. View Article : Google Scholar : PubMed/NCBI | |
|
Nakayama Y, Murayaama H, Iwasaki H, Iwanaga S, Kikuchi M, Ikeda S, Okada M, Iizuka Y and Iwashita A: Gastric carcinosarcoma (sarcomatoid carcinoma) with rhacdomyoblastic and osteoblastic differentation. Pathol Int. 47:557–653. 1997. View Article : Google Scholar : PubMed/NCBI | |
|
Robey-Cafferty SS, Grignon DJ, RoJ Y, Cleary KR, Ayala AG, Ordonez NG and Mackay B: Sarcomatoid carcinoma of the stomach. A report of three cases with immunohistochemical and ultrastructural observations. Cancer. 65:1601–1606. 1990. View Article : Google Scholar : PubMed/NCBI | |
|
Sato A, Oki E, Kohso H, Endo Y, Uchida H, Hiroshige S, Ishida M, Saito G, Matsumoto T, Takeuchi H, Kusumoto T, Yoshikawa Y and Muto Y: Sarcomatoid carcinoma of the remnant stomach: report of a case. Surg Today. 43:308–312. 2013. View Article : Google Scholar : PubMed/NCBI | |
|
Ren CL, Jin P, Han CX, Xiao Q, Wang DR, Shi L, Wang DX and Chen H: Unusual early-stage pancreatic sarcomatoid carcinoma. World J Gastroenterol. 19:7820–7824. 2013. View Article : Google Scholar : PubMed/NCBI | |
|
Znati K, Tadlaoui N, Bernoussi Z, Mikou A, Mahassini N, Jahid A, Mansouri F and Hachimi A: Biphasic sarcomatoid carcinoma of the thyroid: An exceptional localization of a rare tumor. Ann Endocrinol (Paris). 67:64–68. 2006.(In French). View Article : Google Scholar : PubMed/NCBI | |
|
Badhiwala N, Chan R, Zhou HJ, Shen S and Coburn M: Sarcomatoid carcinoma of male urethra with bone and lung metastases presenting as urethral stricture. Case Rep Urol. 2013:9318932013.PubMed/NCBI | |
|
Sugano T, Mori M, Namba Y, Uenami T, Kagami S and Yokota S: A case of sarcomatoid carcinoma of the lung successfully treated with carboplatin, paclitaxel and bevacizumab. Nihon Kokyuki Gakkai Zasshi. 49:304–308. 2011.(In Japanese). PubMed/NCBI |














