Spandidos Publications Logo
  • About
    • About Spandidos
    • Aims and Scopes
    • Abstracting and Indexing
    • Editorial Policies
    • Reprints and Permissions
    • Job Opportunities
    • Terms and Conditions
    • Contact
  • Journals
    • All Journals
    • Oncology Letters
      • Oncology Letters
      • Information for Authors
      • Editorial Policies
      • Editorial Board
      • Aims and Scope
      • Abstracting and Indexing
      • Bibliographic Information
      • Archive
    • International Journal of Oncology
      • International Journal of Oncology
      • Information for Authors
      • Editorial Policies
      • Editorial Board
      • Aims and Scope
      • Abstracting and Indexing
      • Bibliographic Information
      • Archive
    • Molecular and Clinical Oncology
      • Molecular and Clinical Oncology
      • Information for Authors
      • Editorial Policies
      • Editorial Board
      • Aims and Scope
      • Abstracting and Indexing
      • Bibliographic Information
      • Archive
    • Experimental and Therapeutic Medicine
      • Experimental and Therapeutic Medicine
      • Information for Authors
      • Editorial Policies
      • Editorial Board
      • Aims and Scope
      • Abstracting and Indexing
      • Bibliographic Information
      • Archive
    • International Journal of Molecular Medicine
      • International Journal of Molecular Medicine
      • Information for Authors
      • Editorial Policies
      • Editorial Board
      • Aims and Scope
      • Abstracting and Indexing
      • Bibliographic Information
      • Archive
    • Biomedical Reports
      • Biomedical Reports
      • Information for Authors
      • Editorial Policies
      • Editorial Board
      • Aims and Scope
      • Abstracting and Indexing
      • Bibliographic Information
      • Archive
    • Oncology Reports
      • Oncology Reports
      • Information for Authors
      • Editorial Policies
      • Editorial Board
      • Aims and Scope
      • Abstracting and Indexing
      • Bibliographic Information
      • Archive
    • Molecular Medicine Reports
      • Molecular Medicine Reports
      • Information for Authors
      • Editorial Policies
      • Editorial Board
      • Aims and Scope
      • Abstracting and Indexing
      • Bibliographic Information
      • Archive
    • World Academy of Sciences Journal
      • World Academy of Sciences Journal
      • Information for Authors
      • Editorial Policies
      • Editorial Board
      • Aims and Scope
      • Abstracting and Indexing
      • Bibliographic Information
      • Archive
    • International Journal of Functional Nutrition
      • International Journal of Functional Nutrition
      • Information for Authors
      • Editorial Policies
      • Editorial Board
      • Aims and Scope
      • Abstracting and Indexing
      • Bibliographic Information
      • Archive
    • International Journal of Epigenetics
      • International Journal of Epigenetics
      • Information for Authors
      • Editorial Policies
      • Editorial Board
      • Aims and Scope
      • Abstracting and Indexing
      • Bibliographic Information
      • Archive
    • Medicine International
      • Medicine International
      • Information for Authors
      • Editorial Policies
      • Editorial Board
      • Aims and Scope
      • Abstracting and Indexing
      • Bibliographic Information
      • Archive
  • Articles
  • Information
    • Information for Authors
    • Information for Reviewers
    • Information for Librarians
    • Information for Advertisers
    • Conferences
  • Language Editing
Spandidos Publications Logo
  • About
    • About Spandidos
    • Aims and Scopes
    • Abstracting and Indexing
    • Editorial Policies
    • Reprints and Permissions
    • Job Opportunities
    • Terms and Conditions
    • Contact
  • Journals
    • All Journals
    • Biomedical Reports
      • Information for Authors
      • Editorial Policies
      • Editorial Board
      • Aims and Scope
      • Abstracting and Indexing
      • Bibliographic Information
      • Archive
    • Experimental and Therapeutic Medicine
      • Information for Authors
      • Editorial Policies
      • Editorial Board
      • Aims and Scope
      • Abstracting and Indexing
      • Bibliographic Information
      • Archive
    • International Journal of Epigenetics
      • Information for Authors
      • Editorial Policies
      • Editorial Board
      • Aims and Scope
      • Abstracting and Indexing
      • Bibliographic Information
      • Archive
    • International Journal of Functional Nutrition
      • Information for Authors
      • Editorial Policies
      • Editorial Board
      • Aims and Scope
      • Abstracting and Indexing
      • Bibliographic Information
      • Archive
    • International Journal of Molecular Medicine
      • Information for Authors
      • Editorial Policies
      • Editorial Board
      • Aims and Scope
      • Abstracting and Indexing
      • Bibliographic Information
      • Archive
    • International Journal of Oncology
      • Information for Authors
      • Editorial Policies
      • Editorial Board
      • Aims and Scope
      • Abstracting and Indexing
      • Bibliographic Information
      • Archive
    • Medicine International
      • Information for Authors
      • Editorial Policies
      • Editorial Board
      • Aims and Scope
      • Abstracting and Indexing
      • Bibliographic Information
      • Archive
    • Molecular and Clinical Oncology
      • Information for Authors
      • Editorial Policies
      • Editorial Board
      • Aims and Scope
      • Abstracting and Indexing
      • Bibliographic Information
      • Archive
    • Molecular Medicine Reports
      • Information for Authors
      • Editorial Policies
      • Editorial Board
      • Aims and Scope
      • Abstracting and Indexing
      • Bibliographic Information
      • Archive
    • Oncology Letters
      • Information for Authors
      • Editorial Policies
      • Editorial Board
      • Aims and Scope
      • Abstracting and Indexing
      • Bibliographic Information
      • Archive
    • Oncology Reports
      • Information for Authors
      • Editorial Policies
      • Editorial Board
      • Aims and Scope
      • Abstracting and Indexing
      • Bibliographic Information
      • Archive
    • World Academy of Sciences Journal
      • Information for Authors
      • Editorial Policies
      • Editorial Board
      • Aims and Scope
      • Abstracting and Indexing
      • Bibliographic Information
      • Archive
  • Articles
  • Information
    • For Authors
    • For Reviewers
    • For Librarians
    • For Advertisers
    • Conferences
  • Language Editing
Login Register Submit
  • This site uses cookies
  • You can change your cookie settings at any time by following the instructions in our Cookie Policy. To find out more, you may read our Privacy Policy.

    I agree
Search articles by DOI, keyword, author or affiliation
Search
Advanced Search
presentation
Oncology Letters
Join Editorial Board Propose a Special Issue
Print ISSN: 1792-1074 Online ISSN: 1792-1082
Journal Cover
September-2015 Volume 10 Issue 3

Full Size Image

Sign up for eToc alerts
Recommend to Library

Journals

International Journal of Molecular Medicine

International Journal of Molecular Medicine

International Journal of Molecular Medicine is an international journal devoted to molecular mechanisms of human disease.

International Journal of Oncology

International Journal of Oncology

International Journal of Oncology is an international journal devoted to oncology research and cancer treatment.

Molecular Medicine Reports

Molecular Medicine Reports

Covers molecular medicine topics such as pharmacology, pathology, genetics, neuroscience, infectious diseases, molecular cardiology, and molecular surgery.

Oncology Reports

Oncology Reports

Oncology Reports is an international journal devoted to fundamental and applied research in Oncology.

Experimental and Therapeutic Medicine

Experimental and Therapeutic Medicine

Experimental and Therapeutic Medicine is an international journal devoted to laboratory and clinical medicine.

Oncology Letters

Oncology Letters

Oncology Letters is an international journal devoted to Experimental and Clinical Oncology.

Biomedical Reports

Biomedical Reports

Explores a wide range of biological and medical fields, including pharmacology, genetics, microbiology, neuroscience, and molecular cardiology.

Molecular and Clinical Oncology

Molecular and Clinical Oncology

International journal addressing all aspects of oncology research, from tumorigenesis and oncogenes to chemotherapy and metastasis.

World Academy of Sciences Journal

World Academy of Sciences Journal

Multidisciplinary open-access journal spanning biochemistry, genetics, neuroscience, environmental health, and synthetic biology.

International Journal of Functional Nutrition

International Journal of Functional Nutrition

Open-access journal combining biochemistry, pharmacology, immunology, and genetics to advance health through functional nutrition.

International Journal of Epigenetics

International Journal of Epigenetics

Publishes open-access research on using epigenetics to advance understanding and treatment of human disease.

Medicine International

Medicine International

An International Open Access Journal Devoted to General Medicine.

Journal Cover
September-2015 Volume 10 Issue 3

Full Size Image

Sign up for eToc alerts
Recommend to Library

  • Article
  • Citations
    • Cite This Article
    • Download Citation
    • Create Citation Alert
    • Remove Citation Alert
    • Cited By
  • Similar Articles
    • Related Articles (in Spandidos Publications)
    • Similar Articles (Google Scholar)
    • Similar Articles (PubMed)
  • Download PDF
  • Download XML
  • View XML
Article

Cerebral tumefactive demyelinating lesions

  • Authors:
    • Wei Qi
    • Ge Jia
    • Xinsheng Wang
    • Maozhi Zhang
    • Zhenyu Ma
  • View Affiliations / Copyright

    Affiliations: Department of Neurosurgery, Beijing Tiantan Hospital Affiliated to Capital Medical University, Beijing 100050, P.R. China
  • Pages: 1763-1768
    |
    Published online on: July 10, 2015
       https://doi.org/10.3892/ol.2015.3481
  • Expand metrics +
Metrics: Total Views: 0 (Spandidos Publications: | PMC Statistics: )
Metrics: Total PDF Downloads: 0 (Spandidos Publications: | PMC Statistics: )
Cited By (CrossRef): 0 citations Loading Articles...

This article is mentioned in:



Abstract

Tumefactive demyelinating lesions (TDLs), are a rare demyelinating pathological disease in the central neurological system, which have been proven to be a diagnostic dilemma to neurosurgeons. The clinical presentation and radiographic appearance of these lesions often results in their misdiagnosis as intracranial tumors, such as gliomas, which leads to unnecessary surgical resection and adjunct radiation. In the present study, the clinical and radiographic features of 14 patients with cerebral TDLs who underwent surgical treatment between January 2004 and January 2009 were reviewed and analyzed. The surgical methods used included biopsy and resection, while steroid therapy was indicated when TDLs were confirmed by histopathological analysis. The patients were followed‑up and the outcomes were evaluated using the Karnofsky performance scale (KPS). The main clinical presentations included: Hemiplegia (8 cases), increased intracranial pressure (4 cases) and seizures (general in 1 case; partial in 3 cases). On magnetic resonance imaging scans, 12/14 TDL cases demonstrated an isolated local subcortical mass and 6/14 cases (42.9%) demonstrated enhancing veins coursing undistorted through the lesion. The postoperative complications included: Hemiplegia (2 cases) and mortality (1 case). A total of 9 cases underwent microsurgical total resection, and 5 cases received stereotactic biopsy that was followed with high‑dose methylprednisolone therapy. The follow‑up study demonstrated that 2 cases presented recurrence with multiple sclerosis and the KPS scores for 13/14 patients (92.9%) were ≥80. In conclusion, the clinical and radiographic features of TDLs may help to establish the correct diagnosis prior to surgery, in order to avoid unnecessary resection or adjunctive therapy. Using steroid therapy, the majority of patients with TDLs appeared to achieve satisfactory prognosis.

Introduction

Demyelinating diseases, are neuropathological entities most frequently observed in the central nervous system with a preferential involvement of the major white matter tracts in a periventricular distribution. These diseases are often difficult to diagnose, since they do not exhibit a typical appearance on magnetic resonance imaging (MRI) scans (1–3). Tumefactive demyelinating lesions (TDLs), also referred to as ‘demyelinating pseudo tumors’, are a rare type of demyelinating disease. They manifest as solitary lesions or a few separate lesions that result in a mass effect, edema on the surrounding tissue and enhancement (4,5). The correct diagnosis is often not established by radiological study, but only after surgical biopsy or resection (6–8). TDLs were first reported by van der Velden et al (9) in 1979. Pathologically, TDLs are considered to be intermediate lesions between multiple sclerosis and acute disseminated encephalomyelitis (8). The clinical presentation and radiographic appearance of these lesions often result in the diagnosis of intracranial tumors, including gliomas (8,10–12,13). Since the majority of patients with TDLs respond favorably to corticosteroid treatment, surgical resection is not required; therefore, it is important for neurosurgeons to improve their understanding of this uncommon pathological process in order to avoid unnecessary resection or adjunctive therapy. The present study analyzed the data of 14 patients with TDLs who underwent surgical treatment in the Department of Neurosurgery, Beijing Tiantan Hospital (Beijing, China) between January 2004 and January 2009 to help to establish the correct diagnosis prior to surgery, in order to avoid unnecessary resection or adjunctive therapy in future cases of TDLs.

Materials and methods

Patients

Between January 2004 and January 2009, 14 patients (male, 9; female, 5) with cerebral TDLs were admitted and received surgical treatment at the Department of Neurosurgery of the Beijing Tiantan Hospital. The median age was 24 years (range, 4–51 years). The diagnosis of TDLs was established following pathological analysis. All the patients were examined neurologically and radiologically, including the use of computed tomography (CT) and MRI, prior to and following surgery. The clinical presentations, imaging features and postoperative neurological deficits were recorded. The study was approved by the Ethics Committee of Beijing Tiantan Hospital Affiliated to Capital Medical University (Beijing, China). Written informed consent was obtained from the patients/patients' families.

Treatment

The surgical approach was decided according to the preoperative diagnosis, which was performed based on the result of medical history, presentations and the radiology examination (CT and MRI scans). When the preoperative diagnosis was considered to be a tumor, craniotomy and microsurgical resection were performed with the aim of complete or partial resection depending on what was feasible. However, in cases where it was not possible to affirm a certain preoperative diagnosis, biopsy was indicated. Biopsy of suspicious lesions was approached stereo tactically in order to minimize tissue injury. In order to improve the positive rate and accuracy of the biopsy, 9–12 targets were selected during stereotactic biopsy. Immunohistopathological analysis was performed for all cases, while the frozen-section procedure was performed only in cases of surgical resection. For the cases that received biopsy, corticosteroid therapy using high-dose methylprednisolone was administered once the diagnosis of TDL was confirmed by histopathological examination. The treatment regimen was as follows: 500–1,000 mg of methylprednisolone within 500 ml of 0.9% NaCl or 5% glucose was administrated intravenously by dropping in 3 h per day for 5 days, which was followed by oral administration of 60–80 mg per day for 1 week. Subsequently, 10 mg methylprednisolone was administered every 5 days to allow withdrawal. Postoperatively, patients with a history of seizure were treated continuously with anticonvulsant therapy until 1–2 years free of seizures was achieved. By contrast, for patients with no history of seizures, 3 months of prophylactic anticonvulsant therapy was routinely administered.

Follow-up

Follow-up study was conducted for all the patients by routine outpatient appointments with neurological and neuroradiological examinations at 3–6 months following discharge, and later by interview, telephone or post. The Karnofsky performance scale (KPS) was used to evaluate the patients' status (15).

Data presentation

Continuous variables were expressed as the mean ± standard deviation or the median (range), and categorical variables were expressed as proportions.

Results

Clinical presentations

From the available data of 14 patients, the male-to-female ratio was ~1.8, with a male preponderance (Table I).

Table I.

Clinical presentations of 14 patients with tumefactive demyelinating lesions.

Table I.

Clinical presentations of 14 patients with tumefactive demyelinating lesions.

Clinical presentationCases, nProportion, %
Severity
  Acute428.6
  Subacure642.8
  Chronic428.6
Symptoms and sings
  ICP428.6
Local neurological deficits
  Hemiplegia857.2
  Partial aphasia1  7.1
Seizures
  General1  7.1
  Local321.4
Vaccination history1  7.1
Infection history0  0.0

[i] ICP, increased intracranial pressure.

TDLs were considered to have an acute (4 cases), sub-acute (6 cases) or chronic (4 cases) onset with a duration (defined as the time between onset and admission) of 10 days to 7 years. The main symptoms and signs of the TDLs included the following: Increased intracranial pressure (ICP, 4 cases); local neurological deficits, including hemiplegia (8 cases) and partial aphasia (1 case); seizures, including general (1 case) and local (3 cases). Only 1 case had a history of vaccination and no cases were observed to have an associated infection history.

Radiographic features

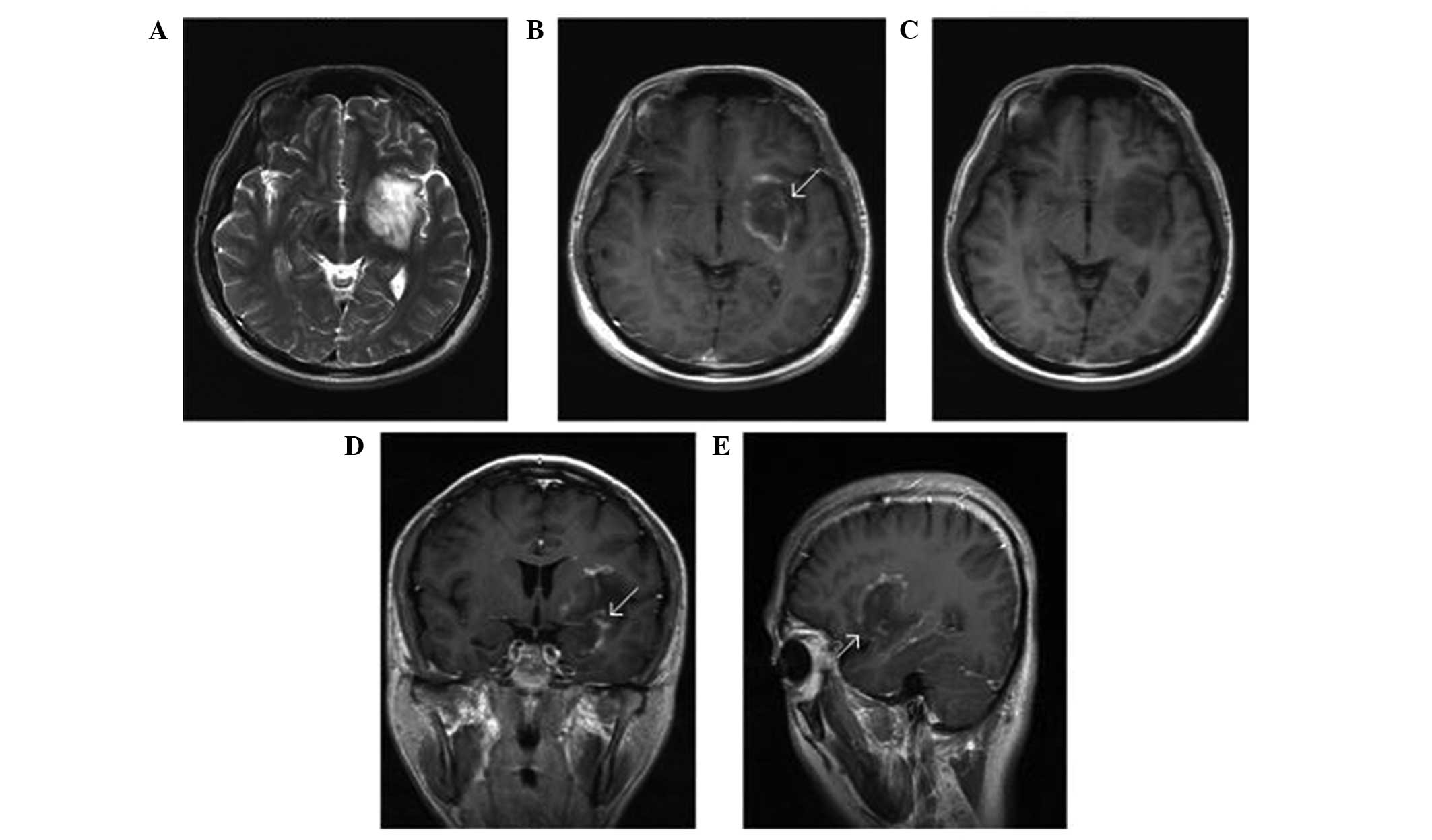
The radiographic features observed in the 14 TDL cases are listed in Table II. The locations of solitary lesions (12 cases) included the following: Frontal lobe (3 cases), temporal lobe (4 cases), parietal lobe (3 cases), insular lobe (1 case) and basilar ganglia area (1 case). Regarding the 2 cases with multiple lesions, in 1 case the lesions were located at the frontal lobe and parietal lobe, while in the other case the lesions were located in the frontal lobe and the pons. The size of the lesions ranged between 2 and 5 cm. On the CT scans, the TDLs were hypodense (9 cases) or heterogeneously dense (5 cases) masses with a well-defined margin and little surrounding edema. On the MRI scans, 12 cases demonstrated local subcortical masses which were hypo-intense on T1-weighted images and hyper-intense on T2-weighted images and fluid-attenuated inversion recovery images, with the exception of 2 cases with heterogeneous signal intensity. A total of 6 cases had a relatively sharp margin and 8 cases had a poorly defined margin, with light to moderate surrounding edema. Following Gd-DTPA administration, all the cases presented variable enhancement, including 5 cases (35.7%) of patchy, 6 cases of open ring-like (42.9%) and 3 cases of ring-like (21.4%) enhancement. In addition, 6 cases demonstrated enhancing vein coursing undistorted through the lesion (Fig. 1).

Figure 1.

Magnetic resonance imaging scans of tumefactive demyelinating lesion. (A) Non-enhanced axial T2-weighted image demonstrating a lesion located within left basal ganglion area. (B) Enhanced axial T1-weighted image revealing ring-like enhancement. (C) Non-enhanced axial T1-weighted image. of the lesion (D) Enhanced coronal T1-weighted image of the lesion. (E) Enhanced coronal T1-weighted image of the lesion. The arrows indicate the area of the lesion.

Table II.

Radiographic features of tumefactive demyelinating lesions patients.

Table II.

Radiographic features of tumefactive demyelinating lesions patients.

FeatureCases, nProportion, %
Solitary lesions
  Frontal lobe321.4
  Temporal lobe428.6
  Parietal lobe321.4
  Insular lobe17.2
  Basilar ganglia area17.2
Multiple lesionsa
  Frontal lobe + parietal lobe17.2
  Frontal lobe + pons17.2
  Computed tomography scan
  Hypodenseb964.3
  Heterogeneous density535.7
Magnetic resonance imagingc
  Local subcortical mass1285.7
  Heterogeneous intensity214.3
  Relative sharp margind642.9
  Poor defined margin857.1
Variable enhancement
  Patchy535.7
  Open ring-like642.9
  Ring-like321.4
  Vein coursing642.9

a Size range, 2–5 cm.

b Well-defined margin and little surrounding edema.

c Hypointense on T1-weighted images; hyperintense on T2-weighted and fluid-attenuated inversion recovery images.

d Light to moderate surrounding edema.

Diagnosis, treatments and outcomes

Among the 14 cases examined, 8 cases were misdiagnosed preoperatively as gliomas and 1 case as metastasis (Table III). In 5 cases, no certain diagnosis was established. Microsurgical resection was performed in 9 cases, while 5 cases were approached by stereotactic biopsy. Gross complete resection was achieved in 8 patients and partial resection in 1 patient, which was suspicious of TDL by frozen-section (Table IV). For the 9 patients that underwent resection, the ICP was relieved completely in 4 patients following surgery. The postoperative complications included hemiplegia in 2 cases and mortality in 1 case (due to postoperative intracranial infection). For all the biopsy cases, there were no surgical complications in the present study. All the biopsy cases received high-dose methylprednisolone therapy after the diagnosis of TDLs was confirmed by histopathological examination. Following steroid therapy, the preoperative symptoms and signs improved (4 cases) or totally relieved (2 cases) for all 6 patients (improved and relieved) in 1–4 weeks (Table IV).

Table III.

Diagnosis of patients with tumefactive demyelinating lesions.

Table III.

Diagnosis of patients with tumefactive demyelinating lesions.

DiagnosisCases, nProportion, %
Certain diagnosis
  Gliomas857.1
  Metastasis1   7.1
No certain diagnosis535.8

Table IV.

Therapy methods and outcomes of patients with tumefactive demyelinating lesions.

Table IV.

Therapy methods and outcomes of patients with tumefactive demyelinating lesions.

ParameterCases, nProportion, %
Resection
  Total857.1
  Subtotal (frozen-section)1   7.1
Intracranial hypotension428.6
Complication
  Hemiplegia214.3
  Mortality1   7.1
Biopsy535.7
Symptoms and signs
  Improved428.6
  Relieved214.3
Follow-up study

The follow-up study (range, 17–72 months; mean, 41 months) was successfully completed in all 14 cases, with the exception of 1 mortality case. Among them, 2 resection cases and 2 biopsy cases still had hemiplegia, which was improved compared with that at discharge (Table V). A total of 2 cases with seizures were improved and the other 2 cases achieved total seizure-control. The partial aphasia was completely relieved in 3 months following biopsy. There were 2 recurrence cases (14.3%) identified by MRI, at 26 and 51 months postoperatively, which presented as multiple sclerosis and were improved by steroid therapy. The KPS assessment demonstrated a score of 100 for 7 cases (50%), 90 for 3 cases (21.4%), 80 for 3 cases (21.4%), and 0 for 1 case (7.1%) (16).

Table V.

Follow-up study.

Table V.

Follow-up study.

OutcomeCases, n (%)Notes
Complications
  Hemiplegia4 (28.6)2 resection cases; 2 biopsy cases
  Seizures4 (28.6)2 cases improved; 2 cases achieved total seizure-control
  Aphasia1Totally relieved 3 months after biopsy
Recurrent cases2 (14.3)Identified by MRI, 26 and 51 months postoperatively
KPS
  1007 (50.0)–
  903 (21.4)–
  803 (21.4)–
  01 (7.1)Mortality

[i] MRI, magnetic resonance imaging; KPS, Karnofsky performance scale.

Discussion

The exact pathogenesis of TDLs is not clearly understood. These lesions are considered to be an isolated middle type between multiple sclerosis and acute-disseminated encephalomyelitis plaques, which are the two common types of demyelinating diseases in the central nervous system (1,8). Pathological features demonstrated by demyelinated diseases include hyper cellular lesions with confluent demyelination, abundant foamy macrophages containing myelin debris, reactive astrogliosis, ‘relative’ axonal preservation and variable perivascular and parenchymal lymphocytic inflammation. Infiltration by macrophages and lymphocytes (in particular T cells) is a main pathological feature of TDLs, which implies an association between TDLs and virus infection. A number of previous reports support the hypothesis that the pathogenesis of TDLs may be associated with infections or vaccination, similar to other demyelinating disorders (12–14). In the present study, only one case presented a history of hepatitis B vaccination and no cases were associated with infection, which may imply that TDLs is pathogenically heterogeneous.

TDLs may occur at any age groups, but are most commonly observed in adult patients in the second and third decades of their life, as observed in previous studies (12–15). It has also previously been reported that TDLs had a female prevalence similar to that of multiple sclerosis, although no gender predilection was reported (16,17). However, a slight male prevalence was observed in the present study. The common presentations of TDLs mimic tumors rather than other demyelinating disorders, including increased ICP (headache and vomiting), local neurological deficits (hemiplegia and aphasia) and seizures (18). In the present study, with the exception of the TDL patients with a history of seizures, the onset of TDLs was found to be acute or sub-acute and the neurological deficits progressed faster compared with the time course for intracranial tumors, which may be as a result of the different pathological processes. The duration between onset and admission also depended on the clinical presentations. For patients with increased ICP and local neurological deficits, the duration usually ranged between days and weeks, or between months and years for patients with seizures.

For radiological analysis, MRI is generally the most sensitive imaging technique for depicting a demyelinating disease. However, TDLs present a diagnostic challenge, since they usually presents a subcortical mass in the hemisphere mimicking gliomas as a solitary lesion or metastasis as a few separate lesions (7,8,12–14,17). A number of features have previously been reported to aid diagnosis, including ringlike or open-ring enhancement and central dilated veins within the lesions (4,5,19). In the present study, 9 cases (64.3%; Table II) presented with ring like or open-ring enhancement. The enhancement patterns of TDLs presented in the form of an open ring with the incomplete portion of the ring on the gray matter side of the lesion, while most typical active multiple sclerosis plaques exhibited this open-ring or arc-like pattern of enhancement only in 9% of cases (20). The enhancing portion of the ring was considered to represent the leading edge of demyelination and thus favored the white matter side of the lesion. The central non-enhancing core represented a more chronic phase of the inflammatory process. In a proportion of the TDL cases in the present study, a dilated vascular structure was observed running centrally within the lesions on the T2-weighted and Gd-DTPA enhanced images; in total, 6 such cases (42.9%) were identified in the present study. These vascular structures have been hypothesized to represent dilated veins draining towards the distended subependymal veins (16,18,20). The former sign is also observed in certain cases of glioma and metastasis, while the latter sign appears to be more specific to TDLs. The pathological diagnosis may also be challenging simply based on the quality of the initial frozen-section specimen (4). In the present study, only 1 case was diagnosed as a TDL based on the initial frozen-section specimen result. The final diagnosis relies on the findings of immunohistopathological analysis.

Clinically, TDLs have proven to be a diagnostic dilemma for neurosurgeons. Among the spectrum of brain tumors, TDLs are misdiagnosed as gliomas, which are common neoplastic lesions. In general, gliomas with increased ICP or local neurological deficits have a longer duration between onset and admission, usually weeks to months. TDLs usually present with a more acute onset and a shorter duration compared with gliomas (21). On an MRI scan, low-grade glioma usually appears as a subcortical mass with little mass effect and surrounding edema, but with no enhancement following Gd-DTPA administration (22). However, the majority of TDLs demonstrate enhancement. High-grade gliomas present with enhancement, and with evident mass effect and surrounding edema. Therefore, cerebral isolated masses with clinical features including acute or subacute onset, neurological deficits, enhancement (particularly ring like or open-ring enhancement) with little mass effect and surrounding edema on an MRI scans should alert neurosurgeons of the possible diagnosis of TDLs.

The majority of patients with TDLs have been reported to respond favorably to corticosteroid therapy and not progress to multiple sclerosis (8). However, a number of patients presented reduced response to steroid therapy and in those cases plasma exchange was indicated (23–25). In the present study, 5 patients with biopsy received high-dose methylprednisolone therapy, demonstrating symptomatic improvement or even total relief within 1–4 weeks. On the MRI scans, all the patients demonstrated reduction or disappearance of radiographic abnormalities following steroid therapy. In patients that underwent resection, the lesions had disappeared in the neuroradiological follow-up. In the follow-up results of the current study, ≥90% of patients achieved a satisfactory prognosis (KPS≥80). However, surgical complications occurred in 3 cases: Hemiplegia in 2 patients, while 1 patient succumbed to the disease. In comparison with the confirmed positive effects and safety profile of steroid therapy, resection resulted in further unnecessary trauma in patients. Therefore, once TDLs is considered to be a possible diagnosis, biopsy or trial steroid therapy may be indicated to avoid unnecessary resection or adjunctive therapy. In the present study, no trial steroid therapy was administrated prior to surgery due to the lack of knowledge of TDLs.

A previous study has reported that TDLs are usually isolated and rarely progress to typical multiple sclerosis (9). However, a number of studies have reported that the majority of TDL patients ultimately develop clinically definite multiple sclerosis and that a minority subset developed only TDLs at last follow-up. The median time to a second clinical episode was ~2–5 years in 45–70% of patients (9,26,27). In the present study, 2 patients (15.4%) experienced recurrence and all the cases presented with the radiological features of multiple sclerosis following 2–4 years. However, the natural progression of TDLs remains uncertain. Further studies with larger sample sizes and longer follow-up are required.

In conclusion, TDLs are a rare demyelinating disorder in the central nervous system, resembling brain tumors in their clinical and radiological features and usually responding well to steroid therapy. By improving the understanding on the clinical and radiographical features of these lesions, more patients with TDLs may be correctly diagnosed prior to resection and receive reasonable treatment, which may result in an improved and satisfactory prognosis.

References

1 

Love S: Demyelinating diseases. J Clin Pathol. 59:1151–1159. 2006. View Article : Google Scholar : PubMed/NCBI

2 

Barkhof F, Rocca M, Francis G, et al: Validation of diagnostic magnetic resonance imaging criteria for multiple sclerosis and response to interferon beta-1a. Ann Neurol. 53:718–724. 2003. View Article : Google Scholar : PubMed/NCBI

3 

Triulzi F and Scotti G: Differential diagnosis of multiple sclerosis: contribution of magnetic resonance techniques. J Neurol Neurosurg Psychiatry. 64 (Suppl 1):S6–S14. 1998.PubMed/NCBI

4 

Masdeu JC, Quinto C, Olivera C, Tenner M, Leslie D and Visintainer P: Open-ring imaging sign: Highly specific for atypical brain demyelination. Neurology. 54:1427–1433. 2000. View Article : Google Scholar : PubMed/NCBI

5 

Klawiter EC, Benzinger T, Roy A, Naismith RT, Parks BJ and Cross AH: Spinal cord ring enhancement in multiple sclerosis. Arch Neurol. 67:1395–1398. 2010. View Article : Google Scholar : PubMed/NCBI

6 

Di Patre PL, Castillo V, Delavelle J, Vuillemoz S, Picard F and Landis T: ‘Tumor-mimicking’ multiple sclerosis. Clin Neuropathol. 22:235–239. 2003.PubMed/NCBI

7 

Dagher AP and Smirniotopoulos J: Tumefactive demyelinating lesions. Neuroradiology. 38:560–565. 1996. View Article : Google Scholar : PubMed/NCBI

8 

Lucchinetti CF, Gavrilova RH, Metz I, et al: Clinical and radiographic spectrum of pathologically confirmed tumefactive multiple sclerosis. Brain. 131:1759–1775. 2008. View Article : Google Scholar : PubMed/NCBI

9 

van der Velden M, Bots GT and Endtz LJ: Cranial CT in multiple sclerosis showing a mass effect. Surg Neurol. 12:307–310. 1979.PubMed/NCBI

10 

Wurm G, Parsaei B, Silye R and Fellner FA: Distinct supratentorial lesions mimicking cerebral gliomas. Acta Neurochir (Wien). 146:19–26. 2004. View Article : Google Scholar : PubMed/NCBI

11 

Iwamoto K, Oka H, Utsuki S, Ozawa T and Fujii K: Late-onset multiple sclerosis mimicking brain tumor: A case report. Brain Tumor Pathol. 21:83–86. 2004. View Article : Google Scholar : PubMed/NCBI

12 

Zagzag D, Miller DC, Kleinman GM, Abati A, Donnenfeld H and Budzilovich GN: Demyelinating disease versus tumor in surgical neuropathology. Clues to a correct pathological diagnosis. Am J Surg Pathol. 17:537–545. 1993. View Article : Google Scholar : PubMed/NCBI

13 

Peterson K, Rosenblum MK, Powers JM, Alvord E, Walker RW and Posner JB: Effect of brain irradiation on demyelinating lesions. Neurology. 43:2105–2112. 1993. View Article : Google Scholar : PubMed/NCBI

14 

Hunter SB, Ballinger WE Jr and Rubin JJ: Multiple sclerosis mimicking primary brain tumor. Arch Pathol Lab Med. 111:464–468. 1987.PubMed/NCBI

15 

Lucchinetti CF, Gavrilova RH, Metz I, Parisi JE, Scheithauer BW, Weigand S, et al: Clinical and radiographic spectrum of pathologically confirmed tumefactive multiple sclerosis. Brain. 131:1759–1775. 2008. View Article : Google Scholar : PubMed/NCBI

16 

Crooks V, Waller S, Smith T and Hahn TJ: The use of the Karnofsky Performance Scale in determining outcomes and risk in geriatric outpatients. J Gerontol. 46:M139–M144. 1991. View Article : Google Scholar : PubMed/NCBI

17 

Comi G: Mutiple sclerosis: Pseudotumoral forms. Neurol Sci. 25 (Suppl 4):S374–S379. 2004. View Article : Google Scholar : PubMed/NCBI

18 

Mitha AP, Scott JN, George D, Hanson A, MacRae ME and Bell RB: Tumefactive demyelinating lesions. Can J Neurol Sci. 34:362–364. 2007. View Article : Google Scholar : PubMed/NCBI

19 

Given CA II, Stevens BS and Lee C: The MRI appearance of tumefactive demyelinating lesions. AJR Am J Roentgenol. 182:195–199. 2004. View Article : Google Scholar : PubMed/NCBI

20 

He J, Grossman RI, Ge Y and Mannon LJ: Enhancing patterns in multiple sclerosis: evolution and persistence. AJNR Am J Neuroradiol. 22:664–669. 2001.PubMed/NCBI

21 

Kim DS, Na DG, Kim KH, et al: Distinguishing tumefactive demyelinating lesions from glioma or central nervous system lymphoma: Added value of unenhanced CT compared with conventional contrast-enhanced MR Imaging. Radiology. 251:467–475. 2009. View Article : Google Scholar : PubMed/NCBI

22 

Enzinger C, Strasser-Fuchs S, Ropele S, et al: Tumefactive demyelinating lesions: Conventional and advanced magnetic resonance imaging. Mult Scler. 11:135–139. 2005. View Article : Google Scholar : PubMed/NCBI

23 

Cha S, Pierce S, Knopp EA, et al: Dynamic contrast-enhanced T2-weighted MR imaging of tumefactive demyelinating lesions. AJNR Am J Neuroradiol. 22:1109–1116. 2001.PubMed/NCBI

24 

Weinshenker BG: Therapeutic plasma exchange for acute inflammatory demyelinating syndromes of the central nervous system. J Clin Apheresis. 14:144–148. 1999. View Article : Google Scholar : PubMed/NCBI

25 

Keegan M, Pineda AA, McClelland RL, Darby CH, Rodriguez M and Weinshenker BG: Plasma exchange for severe attacks of CNS demyelination: predictors of response. Neurology. 58:143–146. 2002. View Article : Google Scholar : PubMed/NCBI

26 

Champs Study Group, . Interferon beta-1a for optic neuritis patients at high risk for multiple sclerosis. Am J Ophthalmol. 132:463–471. 2001. View Article : Google Scholar : PubMed/NCBI

27 

Confavreux C and Vukusic S: Natural history of multiple sclerosis: implications for counselling and therapy. Curr Opin Neurol. 15:257–266. 2002. View Article : Google Scholar : PubMed/NCBI

Related Articles

  • Abstract
  • View
  • Download
  • Twitter
Copy and paste a formatted citation
Spandidos Publications style
Qi W, Jia G, Wang X, Zhang M and Ma Z: Cerebral tumefactive demyelinating lesions. Oncol Lett 10: 1763-1768, 2015.
APA
Qi, W., Jia, G., Wang, X., Zhang, M., & Ma, Z. (2015). Cerebral tumefactive demyelinating lesions. Oncology Letters, 10, 1763-1768. https://doi.org/10.3892/ol.2015.3481
MLA
Qi, W., Jia, G., Wang, X., Zhang, M., Ma, Z."Cerebral tumefactive demyelinating lesions". Oncology Letters 10.3 (2015): 1763-1768.
Chicago
Qi, W., Jia, G., Wang, X., Zhang, M., Ma, Z."Cerebral tumefactive demyelinating lesions". Oncology Letters 10, no. 3 (2015): 1763-1768. https://doi.org/10.3892/ol.2015.3481
Copy and paste a formatted citation
x
Spandidos Publications style
Qi W, Jia G, Wang X, Zhang M and Ma Z: Cerebral tumefactive demyelinating lesions. Oncol Lett 10: 1763-1768, 2015.
APA
Qi, W., Jia, G., Wang, X., Zhang, M., & Ma, Z. (2015). Cerebral tumefactive demyelinating lesions. Oncology Letters, 10, 1763-1768. https://doi.org/10.3892/ol.2015.3481
MLA
Qi, W., Jia, G., Wang, X., Zhang, M., Ma, Z."Cerebral tumefactive demyelinating lesions". Oncology Letters 10.3 (2015): 1763-1768.
Chicago
Qi, W., Jia, G., Wang, X., Zhang, M., Ma, Z."Cerebral tumefactive demyelinating lesions". Oncology Letters 10, no. 3 (2015): 1763-1768. https://doi.org/10.3892/ol.2015.3481
Follow us
  • Twitter
  • LinkedIn
  • Facebook
About
  • Spandidos Publications
  • Careers
  • Cookie Policy
  • Privacy Policy
How can we help?
  • Help
  • Live Chat
  • Contact
  • Email to our Support Team