Spandidos Publications Logo
  • About
    • About Spandidos
    • Aims and Scopes
    • Abstracting and Indexing
    • Editorial Policies
    • Reprints and Permissions
    • Job Opportunities
    • Terms and Conditions
    • Contact
  • Journals
    • All Journals
    • Oncology Letters
      • Oncology Letters
      • Information for Authors
      • Editorial Policies
      • Editorial Board
      • Aims and Scope
      • Abstracting and Indexing
      • Bibliographic Information
      • Archive
    • International Journal of Oncology
      • International Journal of Oncology
      • Information for Authors
      • Editorial Policies
      • Editorial Board
      • Aims and Scope
      • Abstracting and Indexing
      • Bibliographic Information
      • Archive
    • Molecular and Clinical Oncology
      • Molecular and Clinical Oncology
      • Information for Authors
      • Editorial Policies
      • Editorial Board
      • Aims and Scope
      • Abstracting and Indexing
      • Bibliographic Information
      • Archive
    • Experimental and Therapeutic Medicine
      • Experimental and Therapeutic Medicine
      • Information for Authors
      • Editorial Policies
      • Editorial Board
      • Aims and Scope
      • Abstracting and Indexing
      • Bibliographic Information
      • Archive
    • International Journal of Molecular Medicine
      • International Journal of Molecular Medicine
      • Information for Authors
      • Editorial Policies
      • Editorial Board
      • Aims and Scope
      • Abstracting and Indexing
      • Bibliographic Information
      • Archive
    • Biomedical Reports
      • Biomedical Reports
      • Information for Authors
      • Editorial Policies
      • Editorial Board
      • Aims and Scope
      • Abstracting and Indexing
      • Bibliographic Information
      • Archive
    • Oncology Reports
      • Oncology Reports
      • Information for Authors
      • Editorial Policies
      • Editorial Board
      • Aims and Scope
      • Abstracting and Indexing
      • Bibliographic Information
      • Archive
    • Molecular Medicine Reports
      • Molecular Medicine Reports
      • Information for Authors
      • Editorial Policies
      • Editorial Board
      • Aims and Scope
      • Abstracting and Indexing
      • Bibliographic Information
      • Archive
    • World Academy of Sciences Journal
      • World Academy of Sciences Journal
      • Information for Authors
      • Editorial Policies
      • Editorial Board
      • Aims and Scope
      • Abstracting and Indexing
      • Bibliographic Information
      • Archive
    • International Journal of Functional Nutrition
      • International Journal of Functional Nutrition
      • Information for Authors
      • Editorial Policies
      • Editorial Board
      • Aims and Scope
      • Abstracting and Indexing
      • Bibliographic Information
      • Archive
    • International Journal of Epigenetics
      • International Journal of Epigenetics
      • Information for Authors
      • Editorial Policies
      • Editorial Board
      • Aims and Scope
      • Abstracting and Indexing
      • Bibliographic Information
      • Archive
    • Medicine International
      • Medicine International
      • Information for Authors
      • Editorial Policies
      • Editorial Board
      • Aims and Scope
      • Abstracting and Indexing
      • Bibliographic Information
      • Archive
  • Articles
  • Information
    • Information for Authors
    • Information for Reviewers
    • Information for Librarians
    • Information for Advertisers
    • Conferences
  • Language Editing
Spandidos Publications Logo
  • About
    • About Spandidos
    • Aims and Scopes
    • Abstracting and Indexing
    • Editorial Policies
    • Reprints and Permissions
    • Job Opportunities
    • Terms and Conditions
    • Contact
  • Journals
    • All Journals
    • Biomedical Reports
      • Information for Authors
      • Editorial Policies
      • Editorial Board
      • Aims and Scope
      • Abstracting and Indexing
      • Bibliographic Information
      • Archive
    • Experimental and Therapeutic Medicine
      • Information for Authors
      • Editorial Policies
      • Editorial Board
      • Aims and Scope
      • Abstracting and Indexing
      • Bibliographic Information
      • Archive
    • International Journal of Epigenetics
      • Information for Authors
      • Editorial Policies
      • Editorial Board
      • Aims and Scope
      • Abstracting and Indexing
      • Bibliographic Information
      • Archive
    • International Journal of Functional Nutrition
      • Information for Authors
      • Editorial Policies
      • Editorial Board
      • Aims and Scope
      • Abstracting and Indexing
      • Bibliographic Information
      • Archive
    • International Journal of Molecular Medicine
      • Information for Authors
      • Editorial Policies
      • Editorial Board
      • Aims and Scope
      • Abstracting and Indexing
      • Bibliographic Information
      • Archive
    • International Journal of Oncology
      • Information for Authors
      • Editorial Policies
      • Editorial Board
      • Aims and Scope
      • Abstracting and Indexing
      • Bibliographic Information
      • Archive
    • Medicine International
      • Information for Authors
      • Editorial Policies
      • Editorial Board
      • Aims and Scope
      • Abstracting and Indexing
      • Bibliographic Information
      • Archive
    • Molecular and Clinical Oncology
      • Information for Authors
      • Editorial Policies
      • Editorial Board
      • Aims and Scope
      • Abstracting and Indexing
      • Bibliographic Information
      • Archive
    • Molecular Medicine Reports
      • Information for Authors
      • Editorial Policies
      • Editorial Board
      • Aims and Scope
      • Abstracting and Indexing
      • Bibliographic Information
      • Archive
    • Oncology Letters
      • Information for Authors
      • Editorial Policies
      • Editorial Board
      • Aims and Scope
      • Abstracting and Indexing
      • Bibliographic Information
      • Archive
    • Oncology Reports
      • Information for Authors
      • Editorial Policies
      • Editorial Board
      • Aims and Scope
      • Abstracting and Indexing
      • Bibliographic Information
      • Archive
    • World Academy of Sciences Journal
      • Information for Authors
      • Editorial Policies
      • Editorial Board
      • Aims and Scope
      • Abstracting and Indexing
      • Bibliographic Information
      • Archive
  • Articles
  • Information
    • For Authors
    • For Reviewers
    • For Librarians
    • For Advertisers
    • Conferences
  • Language Editing
Login Register Submit
  • This site uses cookies
  • You can change your cookie settings at any time by following the instructions in our Cookie Policy. To find out more, you may read our Privacy Policy.

    I agree
Search articles by DOI, keyword, author or affiliation
Search
Advanced Search
presentation
Oncology Letters
Join Editorial Board Propose a Special Issue
Print ISSN: 1792-1074 Online ISSN: 1792-1082
Journal Cover
September-2015 Volume 10 Issue 3

Full Size Image

Sign up for eToc alerts
Recommend to Library

Journals

International Journal of Molecular Medicine

International Journal of Molecular Medicine

International Journal of Molecular Medicine is an international journal devoted to molecular mechanisms of human disease.

International Journal of Oncology

International Journal of Oncology

International Journal of Oncology is an international journal devoted to oncology research and cancer treatment.

Molecular Medicine Reports

Molecular Medicine Reports

Covers molecular medicine topics such as pharmacology, pathology, genetics, neuroscience, infectious diseases, molecular cardiology, and molecular surgery.

Oncology Reports

Oncology Reports

Oncology Reports is an international journal devoted to fundamental and applied research in Oncology.

Experimental and Therapeutic Medicine

Experimental and Therapeutic Medicine

Experimental and Therapeutic Medicine is an international journal devoted to laboratory and clinical medicine.

Oncology Letters

Oncology Letters

Oncology Letters is an international journal devoted to Experimental and Clinical Oncology.

Biomedical Reports

Biomedical Reports

Explores a wide range of biological and medical fields, including pharmacology, genetics, microbiology, neuroscience, and molecular cardiology.

Molecular and Clinical Oncology

Molecular and Clinical Oncology

International journal addressing all aspects of oncology research, from tumorigenesis and oncogenes to chemotherapy and metastasis.

World Academy of Sciences Journal

World Academy of Sciences Journal

Multidisciplinary open-access journal spanning biochemistry, genetics, neuroscience, environmental health, and synthetic biology.

International Journal of Functional Nutrition

International Journal of Functional Nutrition

Open-access journal combining biochemistry, pharmacology, immunology, and genetics to advance health through functional nutrition.

International Journal of Epigenetics

International Journal of Epigenetics

Publishes open-access research on using epigenetics to advance understanding and treatment of human disease.

Medicine International

Medicine International

An International Open Access Journal Devoted to General Medicine.

Journal Cover
September-2015 Volume 10 Issue 3

Full Size Image

Sign up for eToc alerts
Recommend to Library

  • Article
  • Citations
    • Cite This Article
    • Download Citation
    • Create Citation Alert
    • Remove Citation Alert
    • Cited By
  • Similar Articles
    • Related Articles (in Spandidos Publications)
    • Similar Articles (Google Scholar)
    • Similar Articles (PubMed)
  • Download PDF
  • Download XML
  • View XML
Case Report Open Access

Fibroadenoma with an unexpected lobular carcinoma in situ: A case report and review of the literature

  • Authors:
    • Bin Hua
    • Jing‑Yong Xu
    • Lei Jiang
    • Zheng Wang
  • View Affiliations / Copyright

    Affiliations: Department of General Surgery, Beijing Hospital, The Ministry of Health, Beijing 100730, P.R. China, Department of Radiology, Beijing Hospital, The Ministry of Health, Beijing 100730, P.R. China, Department of Pathology, Beijing Hospital, The Ministry of Health, Beijing 100730, P.R. China
    Copyright: © Hua et al. This is an open access article distributed under the terms of Creative Commons Attribution License.
  • Pages: 1397-1401
    |
    Published online on: July 14, 2015
       https://doi.org/10.3892/ol.2015.3488
  • Expand metrics +
Metrics: Total Views: 0 (Spandidos Publications: | PMC Statistics: )
Metrics: Total PDF Downloads: 0 (Spandidos Publications: | PMC Statistics: )
Cited By (CrossRef): 0 citations Loading Articles...

This article is mentioned in:



Abstract

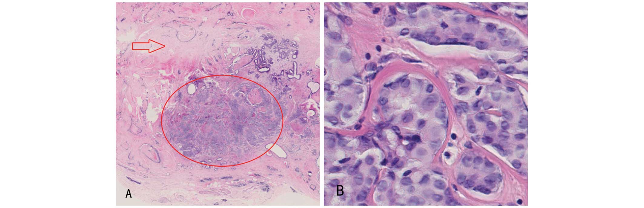
Fibroadenoma (FA) is the most common type of breast lesion in young female individuals. Although malignant transformation in FA is rare, there is evidence of an association with breast carcinoma, particularly in middle‑aged females with associated risk factors, such as a strong family history and/or BRCA‑1/2 mutations. The current study presents the case of a 44‑year‑old female exhibiting lobular carcinoma in situ (LCIS) arising within an FA. Over the previous 20 years, numerous lumps were detected in the patient's breasts, all of which were clinically diagnosed as FA and expectantly managed. One year prior to presentation, the patient's father was diagnosed with esophageal cancer, older sister with kidney cancer and the patient herself with a benign ovarian teratoma. The patient presented with one lump in each breast and monitoring was performed using ultrasonography (US). US detected an increase in the size of the two lumps and analysis of the images was used to propose a diagnosis of FA. Therefore, a lumpectomy was performed. Analysis of the frozen section indicated a diagnosis of FA in the right breast, however, a 5‑mm LCIS was identified within the FA of the left breast. Subsequent to the identification of three additional lumps in the left breast, a left mastectomy was performed. During a five‑year follow‑up period, no local recurrence or contralateral breast carcinoma occurred. The present study showed that FAs containing foci of carcinoma in situ can be indistinguishable from benign lesions following imaging, therefore, despite the incidence of carcinoma within FA is estimated at 0.1‑0.3%, it should be considered a long‑term risk factor for invasive breast cancer. The present describes a case of LCIS arising within an FA and conducts a review of the relevant literature.
View Figures

Figure 1

Figure 2

Figure 3

Figure 4

View References

1 

Kuijper A, Mommers EC, van der Wall E and van Diest PJ: Histopathology of the fibroadenomas of the breast. Am J Clin Pathol. 115:736–742. 2001. View Article : Google Scholar : PubMed/NCBI

2 

Kuijper A, Preisler-Adams SS, Rahusen FD, et al: Multiple fibroadenomas harboring carcinoma in situ in a woman with a family history of breast/ovarian cancer. J Clin Pathol. 55:795–797. 2002. View Article : Google Scholar : PubMed/NCBI

3 

Azzopardi JG Ahmed and Mills RR: Problems in breast pathologyMajor Problems in Pathology. Bennington JC: WB Saunders Company Ltd; Edinburgh: pp. 325–328. 1979

4 

Drukker BH: Breast disease: a primer on diagnosis and management. Int J Fertil Womens Med. 42:278–287. 1997.PubMed/NCBI

5 

Foster ME, Garrahan N and Williams S: Fibroadenoma of the breast: a clinical and pathological study. J R Coll Surg Edinb. 33:16–19. 1988.PubMed/NCBI

6 

Greenberg R, Skornick Y and Kaplan O: Management of breast fibroadenomas. J Gen Intern Med. 13:640–645. 1998. View Article : Google Scholar : PubMed/NCBI

7 

Buzanowski-Konakry K, Harrison EG Jr and Payne WS: Lobular carcinoma arising in fibroadenomas of the breast. Cancer. 35:450–456. 1975. View Article : Google Scholar : PubMed/NCBI

8 

Iyengar KR, Peh SC, Yip CH and Vijayananthan A: Infiltrating duct carcinoma within a fibroadenoma. Indian J Cancer. 46:244–246. 2009. View Article : Google Scholar : PubMed/NCBI

9 

Abe H, Hanasawa K, Naitoh H, et al: Invasive ductal carcinoma within a fibroadenoma of the breast. Int J Clin Oncol. 9:334–338. 2004. View Article : Google Scholar : PubMed/NCBI

10 

Lakhani SR, Ellis LO, Schnitt SJ, et al: WHO classification of tumours of the breastLobular neoplasia. Lakhani SR, Schnitt SJ, Malley FO, van de Vijver MJ, Simpson PT and Palacios J: IARC Press; Lyon: pp. 77–80. 2012

11 

Dixon JM and Mansel RE: ABC of breast diseases. Congenital problems and aberrations of normal breast development and involution. BMJ. 309:797–800. 1994. View Article : Google Scholar : PubMed/NCBI

12 

Tissier F, De Roquancourt A, Astier B, Espie M, Clot P, Marty M and Janin A: Carcinoma arising within mammary fibroadenomas. A study of six patients. Ann Pathol. 20:110–114. 2000.PubMed/NCBI

13 

Sklair-Levy M, Sella T, Alweiss T, Craciun I, Libson E and Mally B: Incidence and management of complex fibroadenomas. AJR Am J Roentgenol. 190:214–218. 2008. View Article : Google Scholar : PubMed/NCBI

14 

Netto D, Satchidanand SK and Gaeta JF: Carcinomas arising in fibroadenomas: a report of two cases and a review of literature. J Surg Oncol. 13:367–372. 1980. View Article : Google Scholar : PubMed/NCBI

15 

Diaz NM, Palmer JO and McDivitt RW: Carcinoma arising within fibroadenomas of the breast. A clinicopathologic study of 105 patients. Am J Clin Pathol. 95:614–622. 1991.PubMed/NCBI

16 

Pick PW and Iossifides IA: Occurrence of breast carcinoma within a fibroadenoma. A review. Arch Pathol Lab Med. 108:590–594. 1984.PubMed/NCBI

17 

Dent DM and Cant PJ: Fibroadenoma. World J Surg. 13:706–710. 1989. View Article : Google Scholar : PubMed/NCBI

18 

Dupont WD, Page DL, Parl FF, Vnencak-Jones CL, Plummer WD Jr, Rados MS and Schuyler PA: Long-term risk of breast cancer in women with fibroadenoma. N Engl J Med. 331:10–15. 1994. View Article : Google Scholar : PubMed/NCBI

19 

McDivitt RW, Stevens JA, Lee NC, Wingo PA, Rubin GL and Gersell D: Histologic types of benign breast disease and the risk for breast cancer. The Cancer and Steroid Hormone Study Group. Cancer. 69:1408–1414. 1992. View Article : Google Scholar : PubMed/NCBI

20 

Hughes LE, Mansel RE and Webster DJ: Aberrations of normal development and involution (ANDI): a new perspective on pathogenesis and nomenclature of benign breast disorders. Lancet. 2:1316–1319. 1987. View Article : Google Scholar : PubMed/NCBI

21 

Carty NJ, Carter C, Rubin C, Ravichandran D, Royle GT and Taylor I: Management of fibroadenoma of the breast. Ann R Coll Surg Engl. 77:127–130. 1995.PubMed/NCBI

22 

Goldman RL and Friedman NB: Carcinoma of the breast arising in fibroadenoma, with emphasis on lobular carcinoma. A clinicopathologic study. Cancer. 23:544–550. 1969. View Article : Google Scholar : PubMed/NCBI

23 

Cant PJ, Madden MV, Close PM, Learmonth GM, Hacking EA and Dent DM: Case for conservative management of selected fibro-adenomas of the breast. Br J Surg. 74:857–859. 1987. View Article : Google Scholar : PubMed/NCBI

24 

Sainsbury JR, Nicholson S, Needham GK, Wadehra V and Farndon JR: Natural history of the benign breast lump. Br J Surg. 75:1080–1082. 1988. View Article : Google Scholar : PubMed/NCBI

25 

Wilkinson S, Anderson TJ, Rifkind E, Chetty U and Forrest AP: Fibroadenoma of the breast: a follow-up of conservative management. Br J Surg. 76:390–391. 1989. View Article : Google Scholar : PubMed/NCBI

26 

Dixon JM, Dobie V, Lamb J, Walsh JS and Chetty U: Assessment of the acceptability of conservative management of fibroadenoma of the breast. Br J Surg. 83:264–265. 1996. View Article : Google Scholar : PubMed/NCBI

Related Articles

  • Abstract
  • View
  • Download
  • Twitter
Copy and paste a formatted citation
Spandidos Publications style
Hua B, Xu JY, Jiang L and Wang Z: Fibroadenoma with an unexpected lobular carcinoma in situ: A case report and review of the literature. Oncol Lett 10: 1397-1401, 2015.
APA
Hua, B., Xu, J., Jiang, L., & Wang, Z. (2015). Fibroadenoma with an unexpected lobular carcinoma in situ: A case report and review of the literature. Oncology Letters, 10, 1397-1401. https://doi.org/10.3892/ol.2015.3488
MLA
Hua, B., Xu, J., Jiang, L., Wang, Z."Fibroadenoma with an unexpected lobular carcinoma in situ: A case report and review of the literature". Oncology Letters 10.3 (2015): 1397-1401.
Chicago
Hua, B., Xu, J., Jiang, L., Wang, Z."Fibroadenoma with an unexpected lobular carcinoma in situ: A case report and review of the literature". Oncology Letters 10, no. 3 (2015): 1397-1401. https://doi.org/10.3892/ol.2015.3488
Copy and paste a formatted citation
x
Spandidos Publications style
Hua B, Xu JY, Jiang L and Wang Z: Fibroadenoma with an unexpected lobular carcinoma in situ: A case report and review of the literature. Oncol Lett 10: 1397-1401, 2015.
APA
Hua, B., Xu, J., Jiang, L., & Wang, Z. (2015). Fibroadenoma with an unexpected lobular carcinoma in situ: A case report and review of the literature. Oncology Letters, 10, 1397-1401. https://doi.org/10.3892/ol.2015.3488
MLA
Hua, B., Xu, J., Jiang, L., Wang, Z."Fibroadenoma with an unexpected lobular carcinoma in situ: A case report and review of the literature". Oncology Letters 10.3 (2015): 1397-1401.
Chicago
Hua, B., Xu, J., Jiang, L., Wang, Z."Fibroadenoma with an unexpected lobular carcinoma in situ: A case report and review of the literature". Oncology Letters 10, no. 3 (2015): 1397-1401. https://doi.org/10.3892/ol.2015.3488
Follow us
  • Twitter
  • LinkedIn
  • Facebook
About
  • Spandidos Publications
  • Careers
  • Cookie Policy
  • Privacy Policy
How can we help?
  • Help
  • Live Chat
  • Contact
  • Email to our Support Team