Spandidos Publications Logo
  • About
    • About Spandidos
    • Aims and Scopes
    • Abstracting and Indexing
    • Editorial Policies
    • Reprints and Permissions
    • Job Opportunities
    • Terms and Conditions
    • Contact
  • Journals
    • All Journals
    • Oncology Letters
      • Oncology Letters
      • Information for Authors
      • Editorial Policies
      • Editorial Board
      • Aims and Scope
      • Abstracting and Indexing
      • Bibliographic Information
      • Archive
    • International Journal of Oncology
      • International Journal of Oncology
      • Information for Authors
      • Editorial Policies
      • Editorial Board
      • Aims and Scope
      • Abstracting and Indexing
      • Bibliographic Information
      • Archive
    • Molecular and Clinical Oncology
      • Molecular and Clinical Oncology
      • Information for Authors
      • Editorial Policies
      • Editorial Board
      • Aims and Scope
      • Abstracting and Indexing
      • Bibliographic Information
      • Archive
    • Experimental and Therapeutic Medicine
      • Experimental and Therapeutic Medicine
      • Information for Authors
      • Editorial Policies
      • Editorial Board
      • Aims and Scope
      • Abstracting and Indexing
      • Bibliographic Information
      • Archive
    • International Journal of Molecular Medicine
      • International Journal of Molecular Medicine
      • Information for Authors
      • Editorial Policies
      • Editorial Board
      • Aims and Scope
      • Abstracting and Indexing
      • Bibliographic Information
      • Archive
    • Biomedical Reports
      • Biomedical Reports
      • Information for Authors
      • Editorial Policies
      • Editorial Board
      • Aims and Scope
      • Abstracting and Indexing
      • Bibliographic Information
      • Archive
    • Oncology Reports
      • Oncology Reports
      • Information for Authors
      • Editorial Policies
      • Editorial Board
      • Aims and Scope
      • Abstracting and Indexing
      • Bibliographic Information
      • Archive
    • Molecular Medicine Reports
      • Molecular Medicine Reports
      • Information for Authors
      • Editorial Policies
      • Editorial Board
      • Aims and Scope
      • Abstracting and Indexing
      • Bibliographic Information
      • Archive
    • World Academy of Sciences Journal
      • World Academy of Sciences Journal
      • Information for Authors
      • Editorial Policies
      • Editorial Board
      • Aims and Scope
      • Abstracting and Indexing
      • Bibliographic Information
      • Archive
    • International Journal of Functional Nutrition
      • International Journal of Functional Nutrition
      • Information for Authors
      • Editorial Policies
      • Editorial Board
      • Aims and Scope
      • Abstracting and Indexing
      • Bibliographic Information
      • Archive
    • International Journal of Epigenetics
      • International Journal of Epigenetics
      • Information for Authors
      • Editorial Policies
      • Editorial Board
      • Aims and Scope
      • Abstracting and Indexing
      • Bibliographic Information
      • Archive
    • Medicine International
      • Medicine International
      • Information for Authors
      • Editorial Policies
      • Editorial Board
      • Aims and Scope
      • Abstracting and Indexing
      • Bibliographic Information
      • Archive
  • Articles
  • Information
    • Information for Authors
    • Information for Reviewers
    • Information for Librarians
    • Information for Advertisers
    • Conferences
  • Language Editing
Spandidos Publications Logo
  • About
    • About Spandidos
    • Aims and Scopes
    • Abstracting and Indexing
    • Editorial Policies
    • Reprints and Permissions
    • Job Opportunities
    • Terms and Conditions
    • Contact
  • Journals
    • All Journals
    • Biomedical Reports
      • Information for Authors
      • Editorial Policies
      • Editorial Board
      • Aims and Scope
      • Abstracting and Indexing
      • Bibliographic Information
      • Archive
    • Experimental and Therapeutic Medicine
      • Information for Authors
      • Editorial Policies
      • Editorial Board
      • Aims and Scope
      • Abstracting and Indexing
      • Bibliographic Information
      • Archive
    • International Journal of Epigenetics
      • Information for Authors
      • Editorial Policies
      • Editorial Board
      • Aims and Scope
      • Abstracting and Indexing
      • Bibliographic Information
      • Archive
    • International Journal of Functional Nutrition
      • Information for Authors
      • Editorial Policies
      • Editorial Board
      • Aims and Scope
      • Abstracting and Indexing
      • Bibliographic Information
      • Archive
    • International Journal of Molecular Medicine
      • Information for Authors
      • Editorial Policies
      • Editorial Board
      • Aims and Scope
      • Abstracting and Indexing
      • Bibliographic Information
      • Archive
    • International Journal of Oncology
      • Information for Authors
      • Editorial Policies
      • Editorial Board
      • Aims and Scope
      • Abstracting and Indexing
      • Bibliographic Information
      • Archive
    • Medicine International
      • Information for Authors
      • Editorial Policies
      • Editorial Board
      • Aims and Scope
      • Abstracting and Indexing
      • Bibliographic Information
      • Archive
    • Molecular and Clinical Oncology
      • Information for Authors
      • Editorial Policies
      • Editorial Board
      • Aims and Scope
      • Abstracting and Indexing
      • Bibliographic Information
      • Archive
    • Molecular Medicine Reports
      • Information for Authors
      • Editorial Policies
      • Editorial Board
      • Aims and Scope
      • Abstracting and Indexing
      • Bibliographic Information
      • Archive
    • Oncology Letters
      • Information for Authors
      • Editorial Policies
      • Editorial Board
      • Aims and Scope
      • Abstracting and Indexing
      • Bibliographic Information
      • Archive
    • Oncology Reports
      • Information for Authors
      • Editorial Policies
      • Editorial Board
      • Aims and Scope
      • Abstracting and Indexing
      • Bibliographic Information
      • Archive
    • World Academy of Sciences Journal
      • Information for Authors
      • Editorial Policies
      • Editorial Board
      • Aims and Scope
      • Abstracting and Indexing
      • Bibliographic Information
      • Archive
  • Articles
  • Information
    • For Authors
    • For Reviewers
    • For Librarians
    • For Advertisers
    • Conferences
  • Language Editing
Login Register Submit
  • This site uses cookies
  • You can change your cookie settings at any time by following the instructions in our Cookie Policy. To find out more, you may read our Privacy Policy.

    I agree
Search articles by DOI, keyword, author or affiliation
Search
Advanced Search
presentation
Oncology Letters
Join Editorial Board Propose a Special Issue
Print ISSN: 1792-1074 Online ISSN: 1792-1082
Journal Cover
October-2015 Volume 10 Issue 4

Full Size Image

Sign up for eToc alerts
Recommend to Library

Journals

International Journal of Molecular Medicine

International Journal of Molecular Medicine

International Journal of Molecular Medicine is an international journal devoted to molecular mechanisms of human disease.

International Journal of Oncology

International Journal of Oncology

International Journal of Oncology is an international journal devoted to oncology research and cancer treatment.

Molecular Medicine Reports

Molecular Medicine Reports

Covers molecular medicine topics such as pharmacology, pathology, genetics, neuroscience, infectious diseases, molecular cardiology, and molecular surgery.

Oncology Reports

Oncology Reports

Oncology Reports is an international journal devoted to fundamental and applied research in Oncology.

Experimental and Therapeutic Medicine

Experimental and Therapeutic Medicine

Experimental and Therapeutic Medicine is an international journal devoted to laboratory and clinical medicine.

Oncology Letters

Oncology Letters

Oncology Letters is an international journal devoted to Experimental and Clinical Oncology.

Biomedical Reports

Biomedical Reports

Explores a wide range of biological and medical fields, including pharmacology, genetics, microbiology, neuroscience, and molecular cardiology.

Molecular and Clinical Oncology

Molecular and Clinical Oncology

International journal addressing all aspects of oncology research, from tumorigenesis and oncogenes to chemotherapy and metastasis.

World Academy of Sciences Journal

World Academy of Sciences Journal

Multidisciplinary open-access journal spanning biochemistry, genetics, neuroscience, environmental health, and synthetic biology.

International Journal of Functional Nutrition

International Journal of Functional Nutrition

Open-access journal combining biochemistry, pharmacology, immunology, and genetics to advance health through functional nutrition.

International Journal of Epigenetics

International Journal of Epigenetics

Publishes open-access research on using epigenetics to advance understanding and treatment of human disease.

Medicine International

Medicine International

An International Open Access Journal Devoted to General Medicine.

Journal Cover
October-2015 Volume 10 Issue 4

Full Size Image

Sign up for eToc alerts
Recommend to Library

  • Article
  • Citations
    • Cite This Article
    • Download Citation
    • Create Citation Alert
    • Remove Citation Alert
    • Cited By
  • Similar Articles
    • Related Articles (in Spandidos Publications)
    • Similar Articles (Google Scholar)
    • Similar Articles (PubMed)
  • Download PDF
  • Download XML
  • View XML
Case Report

Rare presentation of a right retroperitoneal accessory spleen: A case report

  • Authors:
    • Jian‑Song Zhou
    • Hai‑Ping Hu
    • Yuan‑Yuan Chen
    • Jian‑Di Yu
  • View Affiliations / Copyright

    Affiliations: Department of Gynecologic Oncology, Zhejiang Cancer Hospital, Hangzhou, Zhejiang 310062, P.R. China, Department of Urology, Zhejiang Hospital, Hangzhou, Zhejiang 310013, P.R. China, Department of Radiation Oncology, Hangzhou Cancer Hospital, Hangzhou, Zhejiang 310002, P.R. China
  • Pages: 2400-2402
    |
    Published online on: August 18, 2015
       https://doi.org/10.3892/ol.2015.3622
  • Expand metrics +
Metrics: Total Views: 0 (Spandidos Publications: | PMC Statistics: )
Metrics: Total PDF Downloads: 0 (Spandidos Publications: | PMC Statistics: )
Cited By (CrossRef): 0 citations Loading Articles...

This article is mentioned in:



Abstract

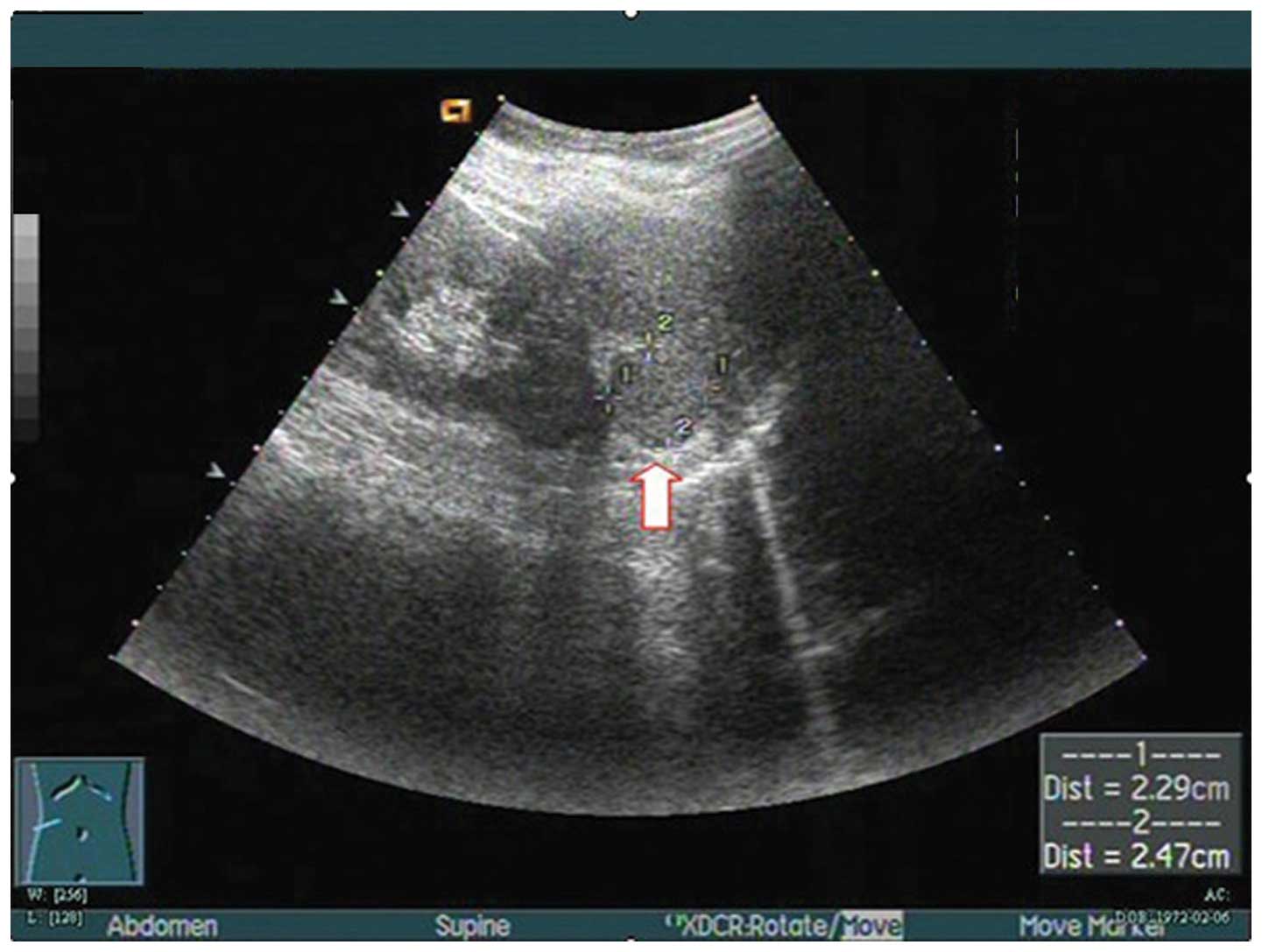
An accessory spleen is a congenital malformation, which is defined as ectopic splenic parenchyma. Here, an extremely rare case of a right retroperitoneal accessory spleen, mimicking a retroperitoneal neoplasm, is reported. A 40-year-old woman was referred following the incidental detection of a retroperitoneal neoplasm. Computed tomography and magnetic resonance imaging scans confirmed the presence of a retroperitoneal neoplasm at the hepatorenal recess. Retroperitoneoscopic excision was conducted, with excellent results. Pathological examination of the resected specimen revealed splenic tissue. In conjunction with a review of the literature and a discussion of the salient radiological features, the present case highlights the requirement for accurate preoperative diagnosis of an accessory spleen in the right retroperitoneal space, in order to avoid unnecessary surgical intervention.
View Figures

Figure 1

Figure 2

Figure 3

View References

1 

Osman S, Lehnert BE, Elojeimy S, Cruite I, Mannelli L, Bhargava P and Moshiri M: A comprehensive review of the retroperitoneal anatomy, neoplasms, and pattern of disease spread. Curr Probl Diagn Radiol. 42:191–208. 2013. View Article : Google Scholar : PubMed/NCBI

2 

Tambo M, Fujimoto K, Miyake M, Hoshiyama F, Matsushita C and Hirao Y: Clinicopathological review of 46 primary retroperitoneal tumors. Int J Urol. 14:785–788. 2007. View Article : Google Scholar : PubMed/NCBI

3 

Shah JD, Kirshenbaum M and Shah KD: CT characteristics of primary retroperitoneal tumors and the importance of differentiation from secondary retroperitoneal tumors. Contemp Diagn Radiol. 31:1–5. 2008. View Article : Google Scholar

4 

Zhang C and Zhang XF: Accessory spleen in the greater omentum. Am J Surg. 202:e28–e30. 2011. View Article : Google Scholar : PubMed/NCBI

5 

Kim MK, Im CM, Oh SH, Kwon DD, Park K and Ryu SB: Unusual presentation of right-side accessory spleen mimicking a retroperitoneal tumor. Int J Urol. 15:739–740. 2008. View Article : Google Scholar : PubMed/NCBI

6 

Gardikis S, Pitiakoudis M, Sigalas I, Theocharous E and Simopoulos C: Infarction of an accessory spleen presenting as acute abdomen in a neonate. Eur J Pediatr Surg. 15:203–205. 2005. View Article : Google Scholar : PubMed/NCBI

7 

Zhang KR and Jia HM: Symptomatic accessory spleen. Surgery. 144:476–477. 2008. View Article : Google Scholar : PubMed/NCBI

8 

Cowles RA and Lazar EL: Symptomatic pelvic accessory spleen. Am J Surg. 194:225–226. 2007. View Article : Google Scholar : PubMed/NCBI

9 

Lee HJ, Kim YT, Kang CH and Kim JH: An accessory spleen misrecognized as an intrathoracic mass. Eur J Cardiothorac Surg. 28:6402005. View Article : Google Scholar : PubMed/NCBI

10 

Lhuaire M, Sommacale D, Piardi T, Grenier P, Diebold MD, Avisse C and Kianmanesh R: A rare cause of chronic abdominal pain: Recurrent sub-torsions of an accessory spleen. J Gastrointest Surg. 17:1893–1896. 2013. View Article : Google Scholar : PubMed/NCBI

11 

Rodriguez E, Netto G and Li QK: Intrapancreatic accessory spleen: A case report and review of literature. Diagn Cytopathol. 41:466–469. 2013. View Article : Google Scholar : PubMed/NCBI

12 

Izzo L, Caputo M and Galati G: Intrahepatic accessory spleen: Imaging features. Liver Int. 24:216–217. 2004. View Article : Google Scholar : PubMed/NCBI

Related Articles

  • Abstract
  • View
  • Download
  • Twitter
Copy and paste a formatted citation
Spandidos Publications style
Zhou JS, Hu HP, Chen YY and Yu JD: Rare presentation of a right retroperitoneal accessory spleen: A case report. Oncol Lett 10: 2400-2402, 2015.
APA
Zhou, J., Hu, H., Chen, Y., & Yu, J. (2015). Rare presentation of a right retroperitoneal accessory spleen: A case report. Oncology Letters, 10, 2400-2402. https://doi.org/10.3892/ol.2015.3622
MLA
Zhou, J., Hu, H., Chen, Y., Yu, J."Rare presentation of a right retroperitoneal accessory spleen: A case report". Oncology Letters 10.4 (2015): 2400-2402.
Chicago
Zhou, J., Hu, H., Chen, Y., Yu, J."Rare presentation of a right retroperitoneal accessory spleen: A case report". Oncology Letters 10, no. 4 (2015): 2400-2402. https://doi.org/10.3892/ol.2015.3622
Copy and paste a formatted citation
x
Spandidos Publications style
Zhou JS, Hu HP, Chen YY and Yu JD: Rare presentation of a right retroperitoneal accessory spleen: A case report. Oncol Lett 10: 2400-2402, 2015.
APA
Zhou, J., Hu, H., Chen, Y., & Yu, J. (2015). Rare presentation of a right retroperitoneal accessory spleen: A case report. Oncology Letters, 10, 2400-2402. https://doi.org/10.3892/ol.2015.3622
MLA
Zhou, J., Hu, H., Chen, Y., Yu, J."Rare presentation of a right retroperitoneal accessory spleen: A case report". Oncology Letters 10.4 (2015): 2400-2402.
Chicago
Zhou, J., Hu, H., Chen, Y., Yu, J."Rare presentation of a right retroperitoneal accessory spleen: A case report". Oncology Letters 10, no. 4 (2015): 2400-2402. https://doi.org/10.3892/ol.2015.3622
Follow us
  • Twitter
  • LinkedIn
  • Facebook
About
  • Spandidos Publications
  • Careers
  • Cookie Policy
  • Privacy Policy
How can we help?
  • Help
  • Live Chat
  • Contact
  • Email to our Support Team