Spandidos Publications Logo
  • About
    • About Spandidos
    • Aims and Scopes
    • Abstracting and Indexing
    • Editorial Policies
    • Reprints and Permissions
    • Job Opportunities
    • Terms and Conditions
    • Contact
  • Journals
    • All Journals
    • Oncology Letters
      • Oncology Letters
      • Information for Authors
      • Editorial Policies
      • Editorial Board
      • Aims and Scope
      • Abstracting and Indexing
      • Bibliographic Information
      • Archive
    • International Journal of Oncology
      • International Journal of Oncology
      • Information for Authors
      • Editorial Policies
      • Editorial Board
      • Aims and Scope
      • Abstracting and Indexing
      • Bibliographic Information
      • Archive
    • Molecular and Clinical Oncology
      • Molecular and Clinical Oncology
      • Information for Authors
      • Editorial Policies
      • Editorial Board
      • Aims and Scope
      • Abstracting and Indexing
      • Bibliographic Information
      • Archive
    • Experimental and Therapeutic Medicine
      • Experimental and Therapeutic Medicine
      • Information for Authors
      • Editorial Policies
      • Editorial Board
      • Aims and Scope
      • Abstracting and Indexing
      • Bibliographic Information
      • Archive
    • International Journal of Molecular Medicine
      • International Journal of Molecular Medicine
      • Information for Authors
      • Editorial Policies
      • Editorial Board
      • Aims and Scope
      • Abstracting and Indexing
      • Bibliographic Information
      • Archive
    • Biomedical Reports
      • Biomedical Reports
      • Information for Authors
      • Editorial Policies
      • Editorial Board
      • Aims and Scope
      • Abstracting and Indexing
      • Bibliographic Information
      • Archive
    • Oncology Reports
      • Oncology Reports
      • Information for Authors
      • Editorial Policies
      • Editorial Board
      • Aims and Scope
      • Abstracting and Indexing
      • Bibliographic Information
      • Archive
    • Molecular Medicine Reports
      • Molecular Medicine Reports
      • Information for Authors
      • Editorial Policies
      • Editorial Board
      • Aims and Scope
      • Abstracting and Indexing
      • Bibliographic Information
      • Archive
    • World Academy of Sciences Journal
      • World Academy of Sciences Journal
      • Information for Authors
      • Editorial Policies
      • Editorial Board
      • Aims and Scope
      • Abstracting and Indexing
      • Bibliographic Information
      • Archive
    • International Journal of Functional Nutrition
      • International Journal of Functional Nutrition
      • Information for Authors
      • Editorial Policies
      • Editorial Board
      • Aims and Scope
      • Abstracting and Indexing
      • Bibliographic Information
      • Archive
    • International Journal of Epigenetics
      • International Journal of Epigenetics
      • Information for Authors
      • Editorial Policies
      • Editorial Board
      • Aims and Scope
      • Abstracting and Indexing
      • Bibliographic Information
      • Archive
    • Medicine International
      • Medicine International
      • Information for Authors
      • Editorial Policies
      • Editorial Board
      • Aims and Scope
      • Abstracting and Indexing
      • Bibliographic Information
      • Archive
  • Articles
  • Information
    • Information for Authors
    • Information for Reviewers
    • Information for Librarians
    • Information for Advertisers
    • Conferences
  • Language Editing
Spandidos Publications Logo
  • About
    • About Spandidos
    • Aims and Scopes
    • Abstracting and Indexing
    • Editorial Policies
    • Reprints and Permissions
    • Job Opportunities
    • Terms and Conditions
    • Contact
  • Journals
    • All Journals
    • Biomedical Reports
      • Information for Authors
      • Editorial Policies
      • Editorial Board
      • Aims and Scope
      • Abstracting and Indexing
      • Bibliographic Information
      • Archive
    • Experimental and Therapeutic Medicine
      • Information for Authors
      • Editorial Policies
      • Editorial Board
      • Aims and Scope
      • Abstracting and Indexing
      • Bibliographic Information
      • Archive
    • International Journal of Epigenetics
      • Information for Authors
      • Editorial Policies
      • Editorial Board
      • Aims and Scope
      • Abstracting and Indexing
      • Bibliographic Information
      • Archive
    • International Journal of Functional Nutrition
      • Information for Authors
      • Editorial Policies
      • Editorial Board
      • Aims and Scope
      • Abstracting and Indexing
      • Bibliographic Information
      • Archive
    • International Journal of Molecular Medicine
      • Information for Authors
      • Editorial Policies
      • Editorial Board
      • Aims and Scope
      • Abstracting and Indexing
      • Bibliographic Information
      • Archive
    • International Journal of Oncology
      • Information for Authors
      • Editorial Policies
      • Editorial Board
      • Aims and Scope
      • Abstracting and Indexing
      • Bibliographic Information
      • Archive
    • Medicine International
      • Information for Authors
      • Editorial Policies
      • Editorial Board
      • Aims and Scope
      • Abstracting and Indexing
      • Bibliographic Information
      • Archive
    • Molecular and Clinical Oncology
      • Information for Authors
      • Editorial Policies
      • Editorial Board
      • Aims and Scope
      • Abstracting and Indexing
      • Bibliographic Information
      • Archive
    • Molecular Medicine Reports
      • Information for Authors
      • Editorial Policies
      • Editorial Board
      • Aims and Scope
      • Abstracting and Indexing
      • Bibliographic Information
      • Archive
    • Oncology Letters
      • Information for Authors
      • Editorial Policies
      • Editorial Board
      • Aims and Scope
      • Abstracting and Indexing
      • Bibliographic Information
      • Archive
    • Oncology Reports
      • Information for Authors
      • Editorial Policies
      • Editorial Board
      • Aims and Scope
      • Abstracting and Indexing
      • Bibliographic Information
      • Archive
    • World Academy of Sciences Journal
      • Information for Authors
      • Editorial Policies
      • Editorial Board
      • Aims and Scope
      • Abstracting and Indexing
      • Bibliographic Information
      • Archive
  • Articles
  • Information
    • For Authors
    • For Reviewers
    • For Librarians
    • For Advertisers
    • Conferences
  • Language Editing
Login Register Submit
  • This site uses cookies
  • You can change your cookie settings at any time by following the instructions in our Cookie Policy. To find out more, you may read our Privacy Policy.

    I agree
Search articles by DOI, keyword, author or affiliation
Search
Advanced Search
presentation
Oncology Letters
Join Editorial Board Propose a Special Issue
Print ISSN: 1792-1074 Online ISSN: 1792-1082
Journal Cover
December-2015 Volume 10 Issue 6

Full Size Image

Sign up for eToc alerts
Recommend to Library

Journals

International Journal of Molecular Medicine

International Journal of Molecular Medicine

International Journal of Molecular Medicine is an international journal devoted to molecular mechanisms of human disease.

International Journal of Oncology

International Journal of Oncology

International Journal of Oncology is an international journal devoted to oncology research and cancer treatment.

Molecular Medicine Reports

Molecular Medicine Reports

Covers molecular medicine topics such as pharmacology, pathology, genetics, neuroscience, infectious diseases, molecular cardiology, and molecular surgery.

Oncology Reports

Oncology Reports

Oncology Reports is an international journal devoted to fundamental and applied research in Oncology.

Experimental and Therapeutic Medicine

Experimental and Therapeutic Medicine

Experimental and Therapeutic Medicine is an international journal devoted to laboratory and clinical medicine.

Oncology Letters

Oncology Letters

Oncology Letters is an international journal devoted to Experimental and Clinical Oncology.

Biomedical Reports

Biomedical Reports

Explores a wide range of biological and medical fields, including pharmacology, genetics, microbiology, neuroscience, and molecular cardiology.

Molecular and Clinical Oncology

Molecular and Clinical Oncology

International journal addressing all aspects of oncology research, from tumorigenesis and oncogenes to chemotherapy and metastasis.

World Academy of Sciences Journal

World Academy of Sciences Journal

Multidisciplinary open-access journal spanning biochemistry, genetics, neuroscience, environmental health, and synthetic biology.

International Journal of Functional Nutrition

International Journal of Functional Nutrition

Open-access journal combining biochemistry, pharmacology, immunology, and genetics to advance health through functional nutrition.

International Journal of Epigenetics

International Journal of Epigenetics

Publishes open-access research on using epigenetics to advance understanding and treatment of human disease.

Medicine International

Medicine International

An International Open Access Journal Devoted to General Medicine.

Journal Cover
December-2015 Volume 10 Issue 6

Full Size Image

Sign up for eToc alerts
Recommend to Library

  • Article
  • Citations
    • Cite This Article
    • Download Citation
    • Create Citation Alert
    • Remove Citation Alert
    • Cited By
  • Similar Articles
    • Related Articles (in Spandidos Publications)
    • Similar Articles (Google Scholar)
    • Similar Articles (PubMed)
  • Download PDF
  • Download XML
  • View XML
Case Report

Painful neuropathy in a diabetic patient resulting from lung cancer and not diabetes: A case report

  • Authors:
    • He‑Bin Yao
    • Ya‑Ning Chen
    • Jian Shang
    • Qiao‑Jun Han
  • View Affiliations / Copyright

    Affiliations: Department of Endocrinology, Chinese People's Liberation Army Navy General Hospital, Beijing 100048, P.R. China
  • Pages: 3850-3852
    |
    Published online on: October 15, 2015
       https://doi.org/10.3892/ol.2015.3808
  • Expand metrics +
Metrics: Total Views: 0 (Spandidos Publications: | PMC Statistics: )
Metrics: Total PDF Downloads: 0 (Spandidos Publications: | PMC Statistics: )
Cited By (CrossRef): 0 citations Loading Articles...

This article is mentioned in:



Abstract

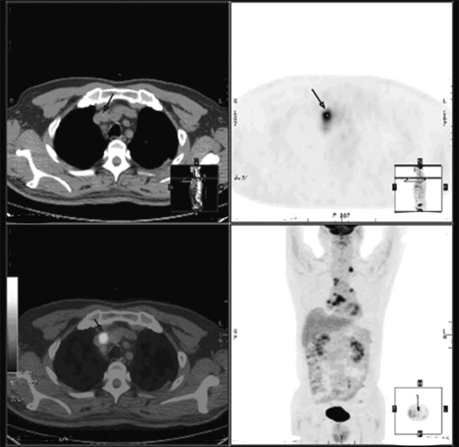
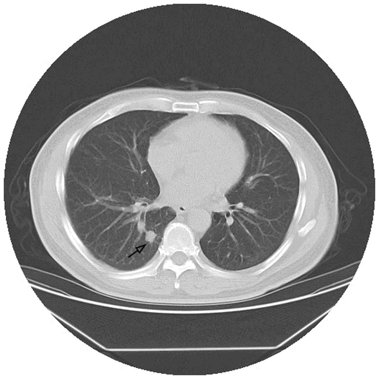
The current study reports the case of a 61‑year‑old man with diabetes who was suffering from generalized pain over the whole body and gradually progressive numbness. The patient was initially diagnosed with diabetic peripheral neuropathy and received treatment, however, the symptoms persisted. In October 2010, the patient was admitted to the Chinese People's Liberation Army Navy General Hospital (Beijing, China) for the treatment of diabetes, however, a full‑body sharp pain was also described, which was relieved upon massaging the area. Causes, other than diabetes, were investigated for these symptoms. Chest computed tomography and positron emission tomography‑computed tomography scans revealed a mass shadow in the right lower lobe of the lung, with multiple lymphatic metastases. Lung cancer was diagnosed with a tumor‑node‑metastasis stage of T1N3Mx. Following treatment of the cancer with chemotherapy and radiotherapy, the patient's symptoms were significantly improved. The present study reports a rare case of a paraneoplastic neurological syndrome (PNS) that presented as painful neuropathy resulting from lung cancer, which mimicked diabetic peripheral neuropathy.
View Figures

Figure 1

Figure 2

View References

1 

Guariguata L, Whiting D, Hambleton I, Beagley J, Linnenkamp U and Shaw J: Global estimates of diabetes prevalence for 2013 and projections for 2035. Diabetes Res Clin Pract. 103:137–149. 2014. View Article : Google Scholar : PubMed/NCBI

2 

Vinik AI and Casellini CM: Guidelines in the management of diabetic nerve pain: Clinical utility of pregabalin. Diabetes Metab Syndr Obes. 6:57–78. 2013. View Article : Google Scholar : PubMed/NCBI

3 

Hartemann A, Attal N, Bouhassira D, Dumont I, Gin H, Jeanne S, Said G and Richard JL: Working Group on the Diabetic Foot from the French-speaking Society of Diabetology: Painful diabetic neuropathy: Diagnosis and management. Diabetes Metab. 37:377–388. 2011. View Article : Google Scholar : PubMed/NCBI

4 

Freeman R: Not all neuropathy in diabetes is of diabetic etiology: Differential diagnosis of diabetic neuropathy. Curr Diab Rep. 9:423–431. 2009. View Article : Google Scholar : PubMed/NCBI

5 

Hirschfeld G, von Glischinski M, Blankenburg M and Zernikow B: Screening for peripheral neuropathies in children with diabetes: A systematic review. Pediatrics. 133:e1324–e1330. 2014. View Article : Google Scholar : PubMed/NCBI

6 

Shehab DK, Al-Jarallah KF, Abraham M, Mojiminiyi OA, Al-Mohamedy H and Abdella NA: Back to basics: Ankle reflex in the evaluation of peripheral neuropathy in type 2 diabetes mellitus. QJM. 105:315–320. 2012. View Article : Google Scholar : PubMed/NCBI

7 

Feng Y, Schlösser FJ and Sumpio BE: The Semmes Weinstein monofilament examination as a screening tool for diabetic peripheral neuropathy. J Vasc Surg. 50:675–682. 2009. View Article : Google Scholar : PubMed/NCBI

8 

Zhang PH, Chen ZW, Lv D, Xu YY, Gu WL, Zhang XH, Le YL, Zhu HH and Zhu YM: Increased risk of cancer in patients with type 2 diabetes mellitus: A retrospective cohort study in China. BMC Public Health. 12:5672012. View Article : Google Scholar : PubMed/NCBI

9 

Wohlschläger J, Wittekind C and Theegarten D: New TNM classification of malignant lung tumours. Pathologe. 31:355–360. 2010. View Article : Google Scholar : PubMed/NCBI

10 

Azulay JP and Pouget J: Diabetic neuropathies. Rev Prat. 51:1783–1787. 2001.(Article in French). PubMed/NCBI

11 

Wang D, Couture R and Hong Y: Activated microglia in the spinal cord underlies diabetic neuropathic pain. Eur J Pharmacol. 728:59–66. 2014. View Article : Google Scholar : PubMed/NCBI

12 

Tesfaye S, Vileikyte L, Rayman G, Sindrup SH, Perkins BA, Baconja M, Vinik AI and Boulton AJ: Toronto Expert Panel on Diabetic Neuropathy: Painful diabetic peripheral neuropathy: Consensus recommendations on diagnosis, assessment and management. Diabetes Metab Res Rev. 27:629–638. 2011. View Article : Google Scholar : PubMed/NCBI

13 

Kanaji N, Watanabe N, Kita N, Bandoh S, Tadokoro A, Ishii T, Dobashi H and Matsunaga T: Paraneoplastic syndromes associated with lung cancer. World J Clin Oncol. 5:197–223. 2014. View Article : Google Scholar : PubMed/NCBI

14 

Honnorat J and Antoine JC: Paraneoplastic neurological syndromes. Orphanet J Rare Dis. 2:222007. View Article : Google Scholar : PubMed/NCBI

15 

Graus F, Delattre JY, Antoine JC, Dalmau J, Giometto B, Grisold W, Honnorat J, Smitt PS, Vedeler Ch, Verschuuren JJ, et al: Recommended diagnostic criteria for paraneoplastic neurological syndromes. J Neurol Neurosurg Psychiatry. 75:1135–1140. 2004. View Article : Google Scholar : PubMed/NCBI

Related Articles

  • Abstract
  • View
  • Download
  • Twitter
Copy and paste a formatted citation
Spandidos Publications style
Yao HB, Chen YN, Shang J and Han QJ: Painful neuropathy in a diabetic patient resulting from lung cancer and not diabetes: A case report. Oncol Lett 10: 3850-3852, 2015.
APA
Yao, H., Chen, Y., Shang, J., & Han, Q. (2015). Painful neuropathy in a diabetic patient resulting from lung cancer and not diabetes: A case report. Oncology Letters, 10, 3850-3852. https://doi.org/10.3892/ol.2015.3808
MLA
Yao, H., Chen, Y., Shang, J., Han, Q."Painful neuropathy in a diabetic patient resulting from lung cancer and not diabetes: A case report". Oncology Letters 10.6 (2015): 3850-3852.
Chicago
Yao, H., Chen, Y., Shang, J., Han, Q."Painful neuropathy in a diabetic patient resulting from lung cancer and not diabetes: A case report". Oncology Letters 10, no. 6 (2015): 3850-3852. https://doi.org/10.3892/ol.2015.3808
Copy and paste a formatted citation
x
Spandidos Publications style
Yao HB, Chen YN, Shang J and Han QJ: Painful neuropathy in a diabetic patient resulting from lung cancer and not diabetes: A case report. Oncol Lett 10: 3850-3852, 2015.
APA
Yao, H., Chen, Y., Shang, J., & Han, Q. (2015). Painful neuropathy in a diabetic patient resulting from lung cancer and not diabetes: A case report. Oncology Letters, 10, 3850-3852. https://doi.org/10.3892/ol.2015.3808
MLA
Yao, H., Chen, Y., Shang, J., Han, Q."Painful neuropathy in a diabetic patient resulting from lung cancer and not diabetes: A case report". Oncology Letters 10.6 (2015): 3850-3852.
Chicago
Yao, H., Chen, Y., Shang, J., Han, Q."Painful neuropathy in a diabetic patient resulting from lung cancer and not diabetes: A case report". Oncology Letters 10, no. 6 (2015): 3850-3852. https://doi.org/10.3892/ol.2015.3808
Follow us
  • Twitter
  • LinkedIn
  • Facebook
About
  • Spandidos Publications
  • Careers
  • Cookie Policy
  • Privacy Policy
How can we help?
  • Help
  • Live Chat
  • Contact
  • Email to our Support Team