Spandidos Publications Logo
  • About
    • About Spandidos
    • Aims and Scopes
    • Abstracting and Indexing
    • Editorial Policies
    • Reprints and Permissions
    • Job Opportunities
    • Terms and Conditions
    • Contact
  • Journals
    • All Journals
    • Oncology Letters
      • Oncology Letters
      • Information for Authors
      • Editorial Policies
      • Editorial Board
      • Aims and Scope
      • Abstracting and Indexing
      • Bibliographic Information
      • Archive
    • International Journal of Oncology
      • International Journal of Oncology
      • Information for Authors
      • Editorial Policies
      • Editorial Board
      • Aims and Scope
      • Abstracting and Indexing
      • Bibliographic Information
      • Archive
    • Molecular and Clinical Oncology
      • Molecular and Clinical Oncology
      • Information for Authors
      • Editorial Policies
      • Editorial Board
      • Aims and Scope
      • Abstracting and Indexing
      • Bibliographic Information
      • Archive
    • Experimental and Therapeutic Medicine
      • Experimental and Therapeutic Medicine
      • Information for Authors
      • Editorial Policies
      • Editorial Board
      • Aims and Scope
      • Abstracting and Indexing
      • Bibliographic Information
      • Archive
    • International Journal of Molecular Medicine
      • International Journal of Molecular Medicine
      • Information for Authors
      • Editorial Policies
      • Editorial Board
      • Aims and Scope
      • Abstracting and Indexing
      • Bibliographic Information
      • Archive
    • Biomedical Reports
      • Biomedical Reports
      • Information for Authors
      • Editorial Policies
      • Editorial Board
      • Aims and Scope
      • Abstracting and Indexing
      • Bibliographic Information
      • Archive
    • Oncology Reports
      • Oncology Reports
      • Information for Authors
      • Editorial Policies
      • Editorial Board
      • Aims and Scope
      • Abstracting and Indexing
      • Bibliographic Information
      • Archive
    • Molecular Medicine Reports
      • Molecular Medicine Reports
      • Information for Authors
      • Editorial Policies
      • Editorial Board
      • Aims and Scope
      • Abstracting and Indexing
      • Bibliographic Information
      • Archive
    • World Academy of Sciences Journal
      • World Academy of Sciences Journal
      • Information for Authors
      • Editorial Policies
      • Editorial Board
      • Aims and Scope
      • Abstracting and Indexing
      • Bibliographic Information
      • Archive
    • International Journal of Functional Nutrition
      • International Journal of Functional Nutrition
      • Information for Authors
      • Editorial Policies
      • Editorial Board
      • Aims and Scope
      • Abstracting and Indexing
      • Bibliographic Information
      • Archive
    • International Journal of Epigenetics
      • International Journal of Epigenetics
      • Information for Authors
      • Editorial Policies
      • Editorial Board
      • Aims and Scope
      • Abstracting and Indexing
      • Bibliographic Information
      • Archive
    • Medicine International
      • Medicine International
      • Information for Authors
      • Editorial Policies
      • Editorial Board
      • Aims and Scope
      • Abstracting and Indexing
      • Bibliographic Information
      • Archive
  • Articles
  • Information
    • Information for Authors
    • Information for Reviewers
    • Information for Librarians
    • Information for Advertisers
    • Conferences
  • Language Editing
Spandidos Publications Logo
  • About
    • About Spandidos
    • Aims and Scopes
    • Abstracting and Indexing
    • Editorial Policies
    • Reprints and Permissions
    • Job Opportunities
    • Terms and Conditions
    • Contact
  • Journals
    • All Journals
    • Biomedical Reports
      • Information for Authors
      • Editorial Policies
      • Editorial Board
      • Aims and Scope
      • Abstracting and Indexing
      • Bibliographic Information
      • Archive
    • Experimental and Therapeutic Medicine
      • Information for Authors
      • Editorial Policies
      • Editorial Board
      • Aims and Scope
      • Abstracting and Indexing
      • Bibliographic Information
      • Archive
    • International Journal of Epigenetics
      • Information for Authors
      • Editorial Policies
      • Editorial Board
      • Aims and Scope
      • Abstracting and Indexing
      • Bibliographic Information
      • Archive
    • International Journal of Functional Nutrition
      • Information for Authors
      • Editorial Policies
      • Editorial Board
      • Aims and Scope
      • Abstracting and Indexing
      • Bibliographic Information
      • Archive
    • International Journal of Molecular Medicine
      • Information for Authors
      • Editorial Policies
      • Editorial Board
      • Aims and Scope
      • Abstracting and Indexing
      • Bibliographic Information
      • Archive
    • International Journal of Oncology
      • Information for Authors
      • Editorial Policies
      • Editorial Board
      • Aims and Scope
      • Abstracting and Indexing
      • Bibliographic Information
      • Archive
    • Medicine International
      • Information for Authors
      • Editorial Policies
      • Editorial Board
      • Aims and Scope
      • Abstracting and Indexing
      • Bibliographic Information
      • Archive
    • Molecular and Clinical Oncology
      • Information for Authors
      • Editorial Policies
      • Editorial Board
      • Aims and Scope
      • Abstracting and Indexing
      • Bibliographic Information
      • Archive
    • Molecular Medicine Reports
      • Information for Authors
      • Editorial Policies
      • Editorial Board
      • Aims and Scope
      • Abstracting and Indexing
      • Bibliographic Information
      • Archive
    • Oncology Letters
      • Information for Authors
      • Editorial Policies
      • Editorial Board
      • Aims and Scope
      • Abstracting and Indexing
      • Bibliographic Information
      • Archive
    • Oncology Reports
      • Information for Authors
      • Editorial Policies
      • Editorial Board
      • Aims and Scope
      • Abstracting and Indexing
      • Bibliographic Information
      • Archive
    • World Academy of Sciences Journal
      • Information for Authors
      • Editorial Policies
      • Editorial Board
      • Aims and Scope
      • Abstracting and Indexing
      • Bibliographic Information
      • Archive
  • Articles
  • Information
    • For Authors
    • For Reviewers
    • For Librarians
    • For Advertisers
    • Conferences
  • Language Editing
Login Register Submit
  • This site uses cookies
  • You can change your cookie settings at any time by following the instructions in our Cookie Policy. To find out more, you may read our Privacy Policy.

    I agree
Search articles by DOI, keyword, author or affiliation
Search
Advanced Search
presentation
Oncology Letters
Join Editorial Board Propose a Special Issue
Print ISSN: 1792-1074 Online ISSN: 1792-1082
Journal Cover
January-2016 Volume 11 Issue 1

Full Size Image

Sign up for eToc alerts
Recommend to Library

Journals

International Journal of Molecular Medicine

International Journal of Molecular Medicine

International Journal of Molecular Medicine is an international journal devoted to molecular mechanisms of human disease.

International Journal of Oncology

International Journal of Oncology

International Journal of Oncology is an international journal devoted to oncology research and cancer treatment.

Molecular Medicine Reports

Molecular Medicine Reports

Covers molecular medicine topics such as pharmacology, pathology, genetics, neuroscience, infectious diseases, molecular cardiology, and molecular surgery.

Oncology Reports

Oncology Reports

Oncology Reports is an international journal devoted to fundamental and applied research in Oncology.

Experimental and Therapeutic Medicine

Experimental and Therapeutic Medicine

Experimental and Therapeutic Medicine is an international journal devoted to laboratory and clinical medicine.

Oncology Letters

Oncology Letters

Oncology Letters is an international journal devoted to Experimental and Clinical Oncology.

Biomedical Reports

Biomedical Reports

Explores a wide range of biological and medical fields, including pharmacology, genetics, microbiology, neuroscience, and molecular cardiology.

Molecular and Clinical Oncology

Molecular and Clinical Oncology

International journal addressing all aspects of oncology research, from tumorigenesis and oncogenes to chemotherapy and metastasis.

World Academy of Sciences Journal

World Academy of Sciences Journal

Multidisciplinary open-access journal spanning biochemistry, genetics, neuroscience, environmental health, and synthetic biology.

International Journal of Functional Nutrition

International Journal of Functional Nutrition

Open-access journal combining biochemistry, pharmacology, immunology, and genetics to advance health through functional nutrition.

International Journal of Epigenetics

International Journal of Epigenetics

Publishes open-access research on using epigenetics to advance understanding and treatment of human disease.

Medicine International

Medicine International

An International Open Access Journal Devoted to General Medicine.

Journal Cover
January-2016 Volume 11 Issue 1

Full Size Image

Sign up for eToc alerts
Recommend to Library

  • Article
  • Citations
    • Cite This Article
    • Download Citation
    • Create Citation Alert
    • Remove Citation Alert
    • Cited By
  • Similar Articles
    • Related Articles (in Spandidos Publications)
    • Similar Articles (Google Scholar)
    • Similar Articles (PubMed)
  • Download PDF
  • Download XML
  • View XML
Article Open Access

Loss of epidermal growth factor receptor expression in oral squamous cell carcinoma is associated with invasiveness and epithelial-mesenchymal transition

  • Authors:
    • Iyo Kimura
    • Hiroko Kitahara
    • Kazuhiro Ooi
    • Koroku Kato
    • Natuyo Noguchi
    • Kunio Yoshizawa
    • Hiroyuki Nakamura
    • Shuichi Kawashiri
  • View Affiliations / Copyright

    Affiliations: Department of Oral and Maxillofacial Surgery, Division of Cancer Medicine, Kanazawa University Graduate School of Medical Science, Kanazawa, Ishikawa 920‑8640, Japan
    Copyright: © Kimura et al. This is an open access article distributed under the terms of Creative Commons Attribution License.
  • Pages: 201-207
    |
    Published online on: October 27, 2015
       https://doi.org/10.3892/ol.2015.3833
  • Expand metrics +
Metrics: Total Views: 0 (Spandidos Publications: | PMC Statistics: )
Metrics: Total PDF Downloads: 0 (Spandidos Publications: | PMC Statistics: )
Cited By (CrossRef): 0 citations Loading Articles...

This article is mentioned in:



Abstract

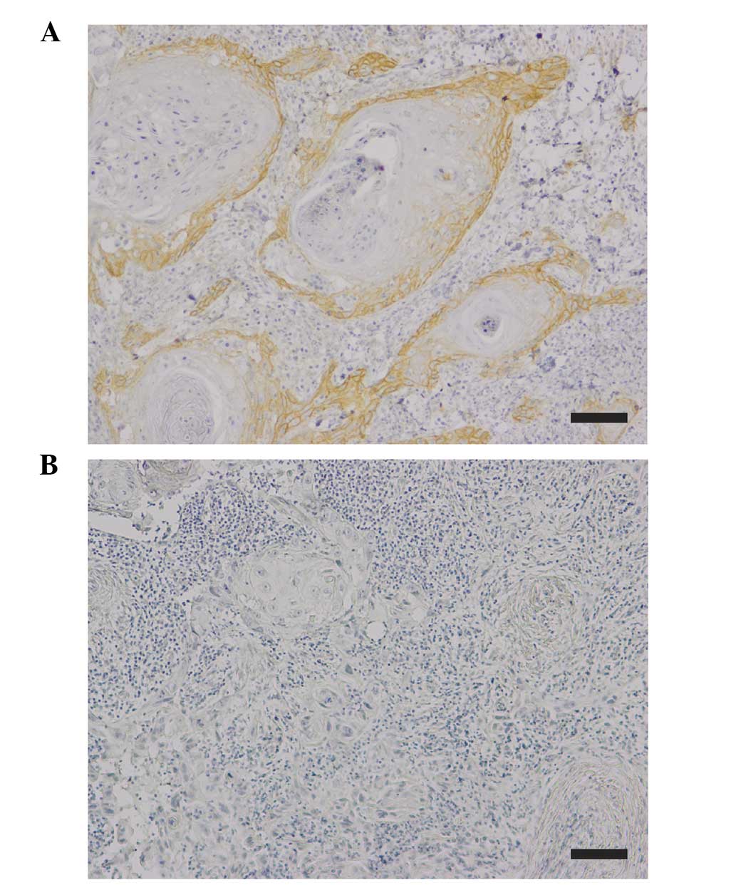
Inhibition of epidermal growth factor receptor (EGFR) signaling has emerged as a novel therapeutic strategy for the treatment of oral squamous cell carcinoma (OSCC). The EGFR-directed inhibitor cetuximab is currently the only approved targeted therapy for the treatment of OSCC. EGFR status may affect the patient response to cetuximab treatment. In the present study, via analysis of the immunomarker for EGFR, it was revealed that 58.3% of the total cases investigated stained positively for EGFR expression, and furthermore, that invasiveness was inversely correlated with EGFR expression. Expression levels of EGFR were quantified, and the correlation between EGFR expression and cetuximab sensitivity was investigated using three varying grades of invasive human OSCC line. EGFR expression in high‑grade invasive cells was significantly downregulated compared with that of low‑grade invasive cells. There was no significant antiproliferative effect in the high‑grade invasive cells treated with various concentrations of cetuximab. The EMT‑associated genes, N‑cadherin, vimentin and Snail, were upregulated in the high‑grade invasive cells. The low‑grade invasive cells exhibited characteristics of typical epithelial cells, including the expression of E‑cadherin and absence of the expression of N‑cadherin, vimentin and Snail. Transforming growth factor‑β induced low‑grade invasive cells to undergo an epithelial‑mesenchymal transition (EMT)‑associated gene switch, which resulted in low levels of EGFR expression. The results of the present study suggested that loss of EGFR expression in OSCC was associated with EMT, and may have functional implications with regard to tumor invasiveness and the resistance to cetuximab treatment.
View Figures

Figure 1

Figure 2

Figure 3

Figure 4

View References

1 

Ang KK, Berkey BA, Tu X, Zhang HZ, Katz R, Hammond EH, Fu KK and Milas L: Impact of epidermal growth factor receptor expression on survival and pattern of relapse in patients with advanced head and neck carcinoma. Cancer Res. 62:7350–7356. 2002.PubMed/NCBI

2 

Mahipal A, Kothari N and Gupta S: Epidermal growth factor receptor inhibitors: coming of age. Cancer Control. 21:74–79. 2014.PubMed/NCBI

3 

Loeffler-Ragg J, Schwentner I, Sprinzl GM and Zwierzina H: EGFR inhibition as a therapy for head and neck squamous cell carcinoma. Expert Opin Investig Drugs. 17:1517–1531. 2008. View Article : Google Scholar : PubMed/NCBI

4 

Bourhis J, Rivera F, Mesia R, Awada A, Geoffrois L, Borel C, Humblet Y, Lopez-Pousa A, Hitt R, Vega Villegas ME, et al: Phase I/II study of cetuximab in combination with cisplatin or carboplatin and fluorouracil in patients with recurrent or metastatic squamous cell carcinoma of the head and neck. J Clin Oncol. 24:2866–2872. 2006. View Article : Google Scholar : PubMed/NCBI

5 

Burtness B, Goldwasser MA, Flood W, Mattar B and Forastiere AA: Eastern Cooperative Oncology Group: Phase III randomized trial of cisplatin plus placebo compared with cisplatin plus cetuximab in metastatic/recurrent head and neck cancer: An eastern cooperative oncology group study. J Clin Oncol. 23:8646–8654. 2005. View Article : Google Scholar : PubMed/NCBI

6 

Shin DM, Donato NJ, Perez-Soler R, Shin HJ, Wu JY, Zhang P, Lawhorn K, Khuri FR, Glisson BS, Myers J, et al: Epidermal growth factor receptor-targeted therapy with C225 and cisplatin in patients with head and neck cancer. Clin Cancer Res. 7:1204–1213. 2001.PubMed/NCBI

7 

Vermorken JB, Mesia R, Rivera F, Remenar E, Kawecki A, Rottey S, Erfan J, Zabolotnyy D, Kienzer HR, Cupissol D, et al: Platinum-based chemotherapy plus cetuximab in head and neck cancer. N Engl J Med. 359:1116–1127. 2008. View Article : Google Scholar : PubMed/NCBI

8 

Baselga J, Trigo JM, Bourhis J, et al: Phase II multicenter study of the antiepidermal growth factor receptor monoclonal antibody cetuximab in combination with platinum-based chemotherapy in patients with platinum-refractory metastatic and/or recurrent squamous cell carcinoma of the head and neck. J Clin Oncol. 23:5568–5577. 2005. View Article : Google Scholar : PubMed/NCBI

9 

Herbst RS, Arquette M, Shin DM, et al: Phase II multicenter study of the epidermal growth factor receptor antibody cetuximab and cisplatin for recurrent and refractory squamous cell carcinoma of the head and neck. J Clin Oncol. 23:5578–5587. 2005. View Article : Google Scholar : PubMed/NCBI

10 

Vermorken JB, Trigo J, Hitt R, et al: Open-label, uncontrolled, multicenter phase II study to evaluate the efficacy and toxicity of cetuximab as a single agent in patients with recurrent and/or metastatic squamous cell carcinoma of the head and neck who failed to respond to platinum-based therapy. J Clin Oncol. 25:2171–2177. 2007. View Article : Google Scholar : PubMed/NCBI

11 

O-charoenrat P, Rhys-Evans PH, Archer DJ and Eccles SA: C-erbB receptors in squamous cell carcinomas of the head and neck: Clinical significance and correlation with matrix metalloproteinases and vascular endothelial growth factors. Oral Oncol. 38:73–80. 2002. View Article : Google Scholar : PubMed/NCBI

12 

O-charoenrat P, Rhys-Evans PH, Modjtahedi H and Eccles SA: The role of c-erbB receptors and ligands in head and neck squamous cell carcinoma. Oral Oncol. 38:627–640. 2002.

13 

Sarkis SA, Abdullah BH, Abdul Majeed BA and Talabani NG: Immunohistochemical expression of epidermal growth factor receptor (EGFR) in oral squamous cell carcinoma in relation to proliferation, apoptosis, angiogenesis and lymphangiogenesis. Head Neck Oncol. 2:132010. View Article : Google Scholar : PubMed/NCBI

14 

Ryott M, Wangsa D, Heselmeyer-Haddad K, Lindholm J, Elmberger G, Auer G, Avall Lundqvist E, Ried T and Munck-Wikland E: EGFR protein overexpression and gene copy number increases in oral tongue squamous cell carcinoma. Eur J Cancer. 45:1700–1708. 2009. View Article : Google Scholar : PubMed/NCBI

15 

Bonner JA, Harari PM, Giralt J, Azarnia N, Shin DM, Cohen RB, Jones CU, Sur R, Raben D, Jassem J, et al: Radiotherapy plus cetuximab for squamous-cell carcinoma of the head and neck. N Engl J Med. 354:567–578. 2006. View Article : Google Scholar : PubMed/NCBI

16 

Lynch TJ, Bell DW, Sordella R, Gurubhagavatula S, Okimoto RA, Brannigan BW, Harris PL, Haserlat SM, Supko JG, Haluska FG, et al: Activating mutations in the epidermal growth factor receptor underlying responsiveness of non-small-cell lung cancer to gefitinib. N Engl J Med. 350:2129–2139. 2004. View Article : Google Scholar : PubMed/NCBI

17 

Paez JG, Jänne PA, Lee JC, Tracy S, Greulich H, Gabriel S, Herman P, Kaye FJ, Lindeman N, Boggon TJ, et al: EGFR mutations in lung cancer: Correlation with clinical response to gefitinib therapy. Science. 304:1497–1500. 2004. View Article : Google Scholar : PubMed/NCBI

18 

Lemos-González Y, de la Páez Cadena M, Rodríguez-Berrocal FJ, Rodríguez-Piñeiro AM, Pallas E and Valverde D: Absence of activating mutations in the EGFR kinase domain in Spanish head and neck cancer patients. Tumour Biol. 28:273–279. 2007. View Article : Google Scholar : PubMed/NCBI

19 

Nantajit D, Lin D and Li JJ: The network of epithelial-mesenchymal transition: Potential new targets for tumor resistance. J Cancer Res Clin Oncol. 141:1697–1713. 2015. View Article : Google Scholar : PubMed/NCBI

20 

Banyard J and Bielenberg DR: The role of EMT and MET in cancer dissemination. Connect Tissue Res. 1–11. 2015.

21 

Hsu DS, Lan HY, Huang CH, Tai SK, Chang SY, Tsai TL, Chang CC, Tzeng CH, Wu KJ, Kao JY and Yang MH: Regulation of excision repair cross-complementation group 1 by Snail contributes to cisplatin resistance in head and neck cancer. Clin Cancer Res. 16:4561–4571. 2010. View Article : Google Scholar : PubMed/NCBI

22 

Skvortsova I, Skvortsov S, Raju U, Stasyk T, Riesterer O, Schottdorf EM, Popper BA, Schiestl B, Eichberger P, Debbage P, et al: Epithelial-to-mesenchymal transition and c-myc expression are the determinants of cetuximab-induced enhancement of squamous cell carcinoma radioresponse. Radiother Oncol. 96:108–115. 2010. View Article : Google Scholar : PubMed/NCBI

23 

Greene FL and Sobin LH: A worldwide approach to the TNM staging system: collaborative efforts of the AJCC and UICC. J Surg Oncol. 99:269–272. 2009. View Article : Google Scholar : PubMed/NCBI

24 

Thompson L: World Health Organization classification of tumours: pathology and genetics of head and neck tumours. Ear Nose Throat J. 85:742006.PubMed/NCBI

25 

Yamamoto E, Kohama G, Sunakawa H, Iwai M and Hiratsuka H: Mode of invasion, bleomycin sensitivity and clinical course in squamous cell carcinoma of the oral cavity. Cancer. 51:2175–2180. 1983. View Article : Google Scholar : PubMed/NCBI

26 

Bernardes VF, Gleber-Netto FO, Sousa SF, Silva TA and Aguiar MC: Clinical significance of EGFR, Her-2 and EGF in oral squamous cell carcinoma: A case control study. J Exp Clin Cancer Res. 29:402010. View Article : Google Scholar : PubMed/NCBI

27 

Yokoi T, Hirata S, Nishimura F, Miyakawa A, Odajima T and Kohama G: Some properties of a newly established human cell line derived from an oral squamous carcinoma. Tumor Res. 25:93–103. 1990.

28 

Yokoi T, Homma H and Odajima T: Establishment and characterization of OSC-19 cell line in serum- and protein-free culture. Tumor Res. 24:1–17. 1988.

29 

Ishisaki A, Oida S, Momose F, Amagasa T, Rikimaru K, Ichijo H and Sasaki S: Identification and characterization of autocrine-motility-factor-like activity in oral squamous-cell-carcinoma cells. Int J Cancer. 59:783–788. 1994. View Article : Google Scholar : PubMed/NCBI

30 

Oliveira S, van Bergen en Henegouwen PM, Storm G and Schiffelers RM: Molecular biology of epidermal growth factor receptor inhibition for cancer therapy. Expert Opin Biol Ther. 6:605–617. 2006. View Article : Google Scholar : PubMed/NCBI

31 

Pernas FG, Allen CT, Winters ME, Yan B, Friedman J, Dabir B, Saigal K, Mundinger GS, Xu X, Morris JC, et al: Proteomic signatures of epidermal growth factor receptor and survival signal pathways correspond to gefitinib sensitivity in head and neck cancer. Clin Cancer Res. 15:2361–2372. 2009. View Article : Google Scholar : PubMed/NCBI

32 

Hamakawa H, Nakashiro K, Sumida T, Shintani S, Myers JN, Takes RP, Rinaldo A and Ferlito A: Basic evidence of molecular targeted therapy for oral cancer and salivary gland cancer. Head Neck. 30:800–809. 2008. View Article : Google Scholar : PubMed/NCBI

33 

Yauch RL, Januario T, Eberhard DA, Cavet G, Zhu W, Fu L, Pham TQ, Soriano R, Stinson J, Seshagiri S, et al: Epithelial versus mesenchymal phenotype determines in vitro sensitivity and predicts clinical activity of erlotinib in lung cancer patients. Clin Cancer Res. 11:8686–8698. 2005. View Article : Google Scholar : PubMed/NCBI

34 

Thomson S, Petti F, Sujka-Kwok I, Epstein D and Haley JD: Kinase switching in mesenchymal-like non-small cell lung cancer lines contributes to EGFR inhibitor resistance through pathway redundancy. Clin Exp Metastasis. 25:843–854. 2008. View Article : Google Scholar : PubMed/NCBI

35 

Thomson S, Buck E, Petti F, Griffin G, Brown E, Ramnarine N, Iwata KK, Gibson N and Haley JD: Epithelial to mesenchymal transition is a determinant of sensitivity of non-small-cell lung carcinoma cell lines and xenografts to epidermal growth factor receptor inhibition. Cancer Res. 65:9455–9462. 2005. View Article : Google Scholar : PubMed/NCBI

36 

Adam L, Zhong M, Choi W, Qi W, Nicoloso M, Arora A, Calin G, Wang H, Siefker-Radtke A, McConkey D, et al: miR-200 expression regulates epithelial-to-mesenchymal transition in bladder cancer cells and reverses resistance to epidermal growth factor receptor therapy. Clin Cancer Res. 15:5060–5072. 2009. View Article : Google Scholar : PubMed/NCBI

37 

Barr S, Thomson S, Buck E, Russo S, Petti F, Sujka-Kwok I, Eyzaguirre A, Rosenfeld-Franklin M, Gibson NW, Miglarese M, et al: Bypassing cellular EGF receptor dependence through epithelial-to-mesenchymal-like transitions. Clin Exp Metastasis. 25:685–693. 2008. View Article : Google Scholar : PubMed/NCBI

Related Articles

  • Abstract
  • View
  • Download
  • Twitter
Copy and paste a formatted citation
Spandidos Publications style
Kimura I, Kitahara H, Ooi K, Kato K, Noguchi N, Yoshizawa K, Nakamura H and Kawashiri S: Loss of epidermal growth factor receptor expression in oral squamous cell carcinoma is associated with invasiveness and epithelial-mesenchymal transition. Oncol Lett 11: 201-207, 2016.
APA
Kimura, I., Kitahara, H., Ooi, K., Kato, K., Noguchi, N., Yoshizawa, K. ... Kawashiri, S. (2016). Loss of epidermal growth factor receptor expression in oral squamous cell carcinoma is associated with invasiveness and epithelial-mesenchymal transition. Oncology Letters, 11, 201-207. https://doi.org/10.3892/ol.2015.3833
MLA
Kimura, I., Kitahara, H., Ooi, K., Kato, K., Noguchi, N., Yoshizawa, K., Nakamura, H., Kawashiri, S."Loss of epidermal growth factor receptor expression in oral squamous cell carcinoma is associated with invasiveness and epithelial-mesenchymal transition". Oncology Letters 11.1 (2016): 201-207.
Chicago
Kimura, I., Kitahara, H., Ooi, K., Kato, K., Noguchi, N., Yoshizawa, K., Nakamura, H., Kawashiri, S."Loss of epidermal growth factor receptor expression in oral squamous cell carcinoma is associated with invasiveness and epithelial-mesenchymal transition". Oncology Letters 11, no. 1 (2016): 201-207. https://doi.org/10.3892/ol.2015.3833
Copy and paste a formatted citation
x
Spandidos Publications style
Kimura I, Kitahara H, Ooi K, Kato K, Noguchi N, Yoshizawa K, Nakamura H and Kawashiri S: Loss of epidermal growth factor receptor expression in oral squamous cell carcinoma is associated with invasiveness and epithelial-mesenchymal transition. Oncol Lett 11: 201-207, 2016.
APA
Kimura, I., Kitahara, H., Ooi, K., Kato, K., Noguchi, N., Yoshizawa, K. ... Kawashiri, S. (2016). Loss of epidermal growth factor receptor expression in oral squamous cell carcinoma is associated with invasiveness and epithelial-mesenchymal transition. Oncology Letters, 11, 201-207. https://doi.org/10.3892/ol.2015.3833
MLA
Kimura, I., Kitahara, H., Ooi, K., Kato, K., Noguchi, N., Yoshizawa, K., Nakamura, H., Kawashiri, S."Loss of epidermal growth factor receptor expression in oral squamous cell carcinoma is associated with invasiveness and epithelial-mesenchymal transition". Oncology Letters 11.1 (2016): 201-207.
Chicago
Kimura, I., Kitahara, H., Ooi, K., Kato, K., Noguchi, N., Yoshizawa, K., Nakamura, H., Kawashiri, S."Loss of epidermal growth factor receptor expression in oral squamous cell carcinoma is associated with invasiveness and epithelial-mesenchymal transition". Oncology Letters 11, no. 1 (2016): 201-207. https://doi.org/10.3892/ol.2015.3833
Follow us
  • Twitter
  • LinkedIn
  • Facebook
About
  • Spandidos Publications
  • Careers
  • Cookie Policy
  • Privacy Policy
How can we help?
  • Help
  • Live Chat
  • Contact
  • Email to our Support Team