Spandidos Publications Logo
  • About
    • About Spandidos
    • Aims and Scopes
    • Abstracting and Indexing
    • Editorial Policies
    • Reprints and Permissions
    • Job Opportunities
    • Terms and Conditions
    • Contact
  • Journals
    • All Journals
    • Oncology Letters
      • Oncology Letters
      • Information for Authors
      • Editorial Policies
      • Editorial Board
      • Aims and Scope
      • Abstracting and Indexing
      • Bibliographic Information
      • Archive
    • International Journal of Oncology
      • International Journal of Oncology
      • Information for Authors
      • Editorial Policies
      • Editorial Board
      • Aims and Scope
      • Abstracting and Indexing
      • Bibliographic Information
      • Archive
    • Molecular and Clinical Oncology
      • Molecular and Clinical Oncology
      • Information for Authors
      • Editorial Policies
      • Editorial Board
      • Aims and Scope
      • Abstracting and Indexing
      • Bibliographic Information
      • Archive
    • Experimental and Therapeutic Medicine
      • Experimental and Therapeutic Medicine
      • Information for Authors
      • Editorial Policies
      • Editorial Board
      • Aims and Scope
      • Abstracting and Indexing
      • Bibliographic Information
      • Archive
    • International Journal of Molecular Medicine
      • International Journal of Molecular Medicine
      • Information for Authors
      • Editorial Policies
      • Editorial Board
      • Aims and Scope
      • Abstracting and Indexing
      • Bibliographic Information
      • Archive
    • Biomedical Reports
      • Biomedical Reports
      • Information for Authors
      • Editorial Policies
      • Editorial Board
      • Aims and Scope
      • Abstracting and Indexing
      • Bibliographic Information
      • Archive
    • Oncology Reports
      • Oncology Reports
      • Information for Authors
      • Editorial Policies
      • Editorial Board
      • Aims and Scope
      • Abstracting and Indexing
      • Bibliographic Information
      • Archive
    • Molecular Medicine Reports
      • Molecular Medicine Reports
      • Information for Authors
      • Editorial Policies
      • Editorial Board
      • Aims and Scope
      • Abstracting and Indexing
      • Bibliographic Information
      • Archive
    • World Academy of Sciences Journal
      • World Academy of Sciences Journal
      • Information for Authors
      • Editorial Policies
      • Editorial Board
      • Aims and Scope
      • Abstracting and Indexing
      • Bibliographic Information
      • Archive
    • International Journal of Functional Nutrition
      • International Journal of Functional Nutrition
      • Information for Authors
      • Editorial Policies
      • Editorial Board
      • Aims and Scope
      • Abstracting and Indexing
      • Bibliographic Information
      • Archive
    • International Journal of Epigenetics
      • International Journal of Epigenetics
      • Information for Authors
      • Editorial Policies
      • Editorial Board
      • Aims and Scope
      • Abstracting and Indexing
      • Bibliographic Information
      • Archive
    • Medicine International
      • Medicine International
      • Information for Authors
      • Editorial Policies
      • Editorial Board
      • Aims and Scope
      • Abstracting and Indexing
      • Bibliographic Information
      • Archive
  • Articles
  • Information
    • Information for Authors
    • Information for Reviewers
    • Information for Librarians
    • Information for Advertisers
    • Conferences
  • Language Editing
Spandidos Publications Logo
  • About
    • About Spandidos
    • Aims and Scopes
    • Abstracting and Indexing
    • Editorial Policies
    • Reprints and Permissions
    • Job Opportunities
    • Terms and Conditions
    • Contact
  • Journals
    • All Journals
    • Biomedical Reports
      • Information for Authors
      • Editorial Policies
      • Editorial Board
      • Aims and Scope
      • Abstracting and Indexing
      • Bibliographic Information
      • Archive
    • Experimental and Therapeutic Medicine
      • Information for Authors
      • Editorial Policies
      • Editorial Board
      • Aims and Scope
      • Abstracting and Indexing
      • Bibliographic Information
      • Archive
    • International Journal of Epigenetics
      • Information for Authors
      • Editorial Policies
      • Editorial Board
      • Aims and Scope
      • Abstracting and Indexing
      • Bibliographic Information
      • Archive
    • International Journal of Functional Nutrition
      • Information for Authors
      • Editorial Policies
      • Editorial Board
      • Aims and Scope
      • Abstracting and Indexing
      • Bibliographic Information
      • Archive
    • International Journal of Molecular Medicine
      • Information for Authors
      • Editorial Policies
      • Editorial Board
      • Aims and Scope
      • Abstracting and Indexing
      • Bibliographic Information
      • Archive
    • International Journal of Oncology
      • Information for Authors
      • Editorial Policies
      • Editorial Board
      • Aims and Scope
      • Abstracting and Indexing
      • Bibliographic Information
      • Archive
    • Medicine International
      • Information for Authors
      • Editorial Policies
      • Editorial Board
      • Aims and Scope
      • Abstracting and Indexing
      • Bibliographic Information
      • Archive
    • Molecular and Clinical Oncology
      • Information for Authors
      • Editorial Policies
      • Editorial Board
      • Aims and Scope
      • Abstracting and Indexing
      • Bibliographic Information
      • Archive
    • Molecular Medicine Reports
      • Information for Authors
      • Editorial Policies
      • Editorial Board
      • Aims and Scope
      • Abstracting and Indexing
      • Bibliographic Information
      • Archive
    • Oncology Letters
      • Information for Authors
      • Editorial Policies
      • Editorial Board
      • Aims and Scope
      • Abstracting and Indexing
      • Bibliographic Information
      • Archive
    • Oncology Reports
      • Information for Authors
      • Editorial Policies
      • Editorial Board
      • Aims and Scope
      • Abstracting and Indexing
      • Bibliographic Information
      • Archive
    • World Academy of Sciences Journal
      • Information for Authors
      • Editorial Policies
      • Editorial Board
      • Aims and Scope
      • Abstracting and Indexing
      • Bibliographic Information
      • Archive
  • Articles
  • Information
    • For Authors
    • For Reviewers
    • For Librarians
    • For Advertisers
    • Conferences
  • Language Editing
Login Register Submit
  • This site uses cookies
  • You can change your cookie settings at any time by following the instructions in our Cookie Policy. To find out more, you may read our Privacy Policy.

    I agree
Search articles by DOI, keyword, author or affiliation
Search
Advanced Search
presentation
Oncology Letters
Join Editorial Board Propose a Special Issue
Print ISSN: 1792-1074 Online ISSN: 1792-1082
Journal Cover
March-2016 Volume 11 Issue 3

Full Size Image

Sign up for eToc alerts
Recommend to Library

Journals

International Journal of Molecular Medicine

International Journal of Molecular Medicine

International Journal of Molecular Medicine is an international journal devoted to molecular mechanisms of human disease.

International Journal of Oncology

International Journal of Oncology

International Journal of Oncology is an international journal devoted to oncology research and cancer treatment.

Molecular Medicine Reports

Molecular Medicine Reports

Covers molecular medicine topics such as pharmacology, pathology, genetics, neuroscience, infectious diseases, molecular cardiology, and molecular surgery.

Oncology Reports

Oncology Reports

Oncology Reports is an international journal devoted to fundamental and applied research in Oncology.

Experimental and Therapeutic Medicine

Experimental and Therapeutic Medicine

Experimental and Therapeutic Medicine is an international journal devoted to laboratory and clinical medicine.

Oncology Letters

Oncology Letters

Oncology Letters is an international journal devoted to Experimental and Clinical Oncology.

Biomedical Reports

Biomedical Reports

Explores a wide range of biological and medical fields, including pharmacology, genetics, microbiology, neuroscience, and molecular cardiology.

Molecular and Clinical Oncology

Molecular and Clinical Oncology

International journal addressing all aspects of oncology research, from tumorigenesis and oncogenes to chemotherapy and metastasis.

World Academy of Sciences Journal

World Academy of Sciences Journal

Multidisciplinary open-access journal spanning biochemistry, genetics, neuroscience, environmental health, and synthetic biology.

International Journal of Functional Nutrition

International Journal of Functional Nutrition

Open-access journal combining biochemistry, pharmacology, immunology, and genetics to advance health through functional nutrition.

International Journal of Epigenetics

International Journal of Epigenetics

Publishes open-access research on using epigenetics to advance understanding and treatment of human disease.

Medicine International

Medicine International

An International Open Access Journal Devoted to General Medicine.

Journal Cover
March-2016 Volume 11 Issue 3

Full Size Image

Sign up for eToc alerts
Recommend to Library

  • Article
  • Citations
    • Cite This Article
    • Download Citation
    • Create Citation Alert
    • Remove Citation Alert
    • Cited By
  • Similar Articles
    • Related Articles (in Spandidos Publications)
    • Similar Articles (Google Scholar)
    • Similar Articles (PubMed)
  • Download PDF
  • Download XML
  • View XML
Article

Reduced expression of caspase-8 and cleaved caspase-3 in pancreatic ductal adenocarcinoma cells

  • Authors:
    • Katarzyna Jakubowska
    • Katarzyna Guzińska‑Ustymowicz
    • Waldemar Famulski
    • Dariusz Cepowicz
    • Dorota Jagodzińska
    • Anna Pryczynicz
  • View Affiliations / Copyright

    Affiliations: Department of General Pathomorphology, Medical University of Białystok, Białystok 15‑276, Poland, Department of Medical Pathomorphology, Medical University of Białystok, Białystok 15‑276, Poland, Department of General Surgery and Gastroenterology, Medical University of Białystok, Białystok 15‑276, Poland
  • Pages: 1879-1884
    |
    Published online on: January 19, 2016
       https://doi.org/10.3892/ol.2016.4125
  • Expand metrics +
Metrics: Total Views: 0 (Spandidos Publications: | PMC Statistics: )
Metrics: Total PDF Downloads: 0 (Spandidos Publications: | PMC Statistics: )
Cited By (CrossRef): 0 citations Loading Articles...

This article is mentioned in:



Abstract

Pancreatic ductal adenocarcinoma (PDAC) is a rare neoplasm that affects the gastrointestinal system, and is characterized by a high mortality rate. It has been demonstrated that apoptosis has a significant role in the regulation of cancer cells. Therefore, the aim of the present study was to immunohistochemically assess the expression of proteins belonging to the caspase family, namely caspase‑8, pro‑caspase‑3 and cleaved (active) caspase‑3 in pancreatic cancer. The study group consisted of 29 patients exhibiting PDAC. Protein expression was evaluated by immunohistochemical methods. The expression of caspase‑8 in normal cells was negative in 17.2% of cases and positive in 82.8% of cases. All cases demonstrated pro‑caspase‑3 expression in normal pancreatic cells, compared with 93.1% of cancer cells. Staining for activated caspase‑3 was positive in 27 normal tissue cases, compared with positivity in only 10 cancer cases. Caspase‑8 expression positively correlated with cleaved caspase‑3 expression in the cytoplasm of cancer cells (P<0.002). Caspase‑3 expression was identified to correlate with inflammatory peritumoral infiltration (P<0.015). No correlation was observed between caspase expression and any other clinicopathological parameters. The results of the present study demonstrated aberrant initiation of cancer cell apoptosis in PDAC via a decrease in caspase‑8 expression, which may lead to disorders in the activation of effector caspase‑3.

Introduction

Pancreatic cancer is a malignancy with a particularly poor prognosis (1). Pancreatic ductal adenocarcinoma (PDAC) accounts for 85% of all cases of pancreatic cancer, and is the most frequently observed type of malignancy derived primarily from pancreatic cells (2). It is equally common in men and women, and mainly involves the head of the pancreas (2). In the majority of cases, the tumor already infiltrates the adjacent structures at the time of diagnosis, including the common bile duct, duodenum and ampulla (1). Lesions are typically irreversible, and the 5-year survival rate is 1–2% (1). The low percentage of survival in pancreatic cancer cases results principally from the weak response of cancer cells to treatment, which is mainly due to their high level of resistance to apoptotic stimuli (1).

Apoptosis, also known as programmed cell death, is involved in the physiological maintenance of normal cell homeostasis, as well as having a role in pathological lesions that accompany the course of various diseases (3,4). The caspase activation mechanism is a major signaling pathway leading to apoptosis (1). Caspases constitute a group of cysteine proteases that occur in an inactive and an activated form (4). They become activated via the action of proteases, including their mutual activation. Caspases may be divided into effectors (caspase-3, −6 and −7) and initiators (caspase-8 and −9) (4). Two mechanisms that lead to the activation of the caspase initiators have been proposed: i) A mechanism by which the inactive form of caspase-8 is activated upon binding of its death receptor to a protein containing a death domain, and whereby the activated protein directly stimulates effector caspases such as caspase-3 (1,3,4); ii) and an alternative B-cell lymphoma 2 (Bcl-2) family-dependent mechanism that involves the cytosol and is associated with the permeabilization of the mitochondrial outer membrane and subsequent release of cytochrome c, apoptotic protease activating factor 1 and additional apoptotic agents. This leads to the formation of apoptosomes that activate caspase-9, which subsequently triggers a cascade of effector caspases (caspase-3 and −7) that induce the process of apoptosis (5). Disorders in these signaling pathways are associated with cancer cell immortality (5).

Therefore, the aim of the present study was the immunohistochemical assessment of the expression of caspase-8 and the inactive and cleaved (active) forms of caspase-3 in the tissues of patients exhibiting PDAC, and the subsequent analysis of the association of caspase expression in these patients with specific clinicopathological parameters.

Materials and methods

Patients and tumors

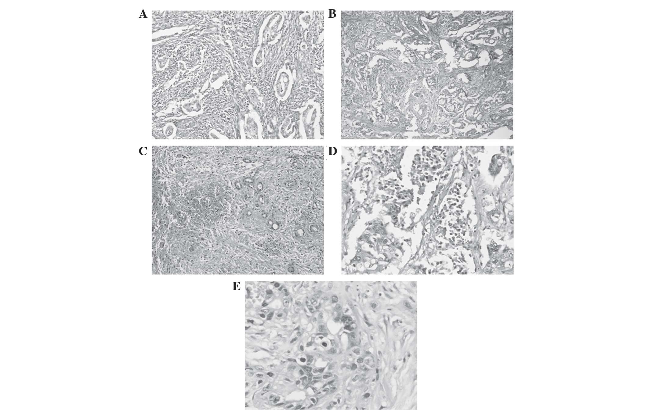
The present study group comprised 29 patients exhibiting PDAC, who underwent surgery at the Department of General Surgery and Gastroenterology at the Medical University of Białystok (Białystok, Poland). The present study included 6 female and 23 male patients, whose ages ranged from 41 to 75 years. Sections (4-µm) were cut from paraffin blocks and stained using hematoxylin and eosin. Routine histopathological assessment of the sections referred to the histological type, malignancy grade (G), clinicopathological TNM status, regional lymph node involvement and presence of distant metastases. Pancreatic adenocarcinomas were moderately differentiated (G2) in 25/29 cases and poorly differentiated (G3) in 4/29 cases. Adenocarcinomas were classified as mucinous in 3/29 cases and non-mucinous in 26/29 cases. Lymph node involvement was noted in 12/29 cases and metastasis to distant organs (including liver and intestine) was observed in 9/29 cases. In addition, the degrees of inflammation, desmoplasia, necrosis and foci of hemorrhage were assessed. A weak inflammatory response was observed in 9 cases, a moderate response in 10 cases and a strong response in 10 cases. Numerous foci of hemorrhage were observed in 5 cases, a single focus of hemorrhage was observed in 10 cases and foci of hemorrhage were absent in 14 cases. Pancreatic adenocarcinoma was associated with weak or moderate necrosis in 14 cases. Low- and high-grade desmoplastic tumors were noted in 12 and 17 cases, respectively. The histological features of pancreatic adenocarcinoma are presented in Fig. 1.

Figure 1.

Histopathological characteristics of pancreatic cancer tissue. (A) A moderate grade of intratumoral inflammation was observed in the stroma. Magnification, ×20. (B) A high grade of desmoplasia (magnification, ×20), (C) single focus of hemorrhage (magnification, ×20), (D) weak or moderate tumor necrosis (magnification, ×40), (E) low mitotic index and apoptotic bodies (magnification, ×40) were observed in the majority of cases. Hematoxylin and eosin staining.

The present study was performed in accordance with the Declaration of Helsinki for human experimentation and received approval from the local bioethics committee of the Medical University of Białystok.

Mitotic index (MI) and apoptotic bodies examination

MI was counted as the number of mitotic figures/10 high-power fields (magnification, ×40), and samples were categorized into two groups with cut-off values of <5 and >5 MI. Apoptotic bodies were identified as fragmented nuclear debris with cytoplasmic vacuoles, and counted as described above for MI. Samples were classified into two groups with cut-off values of <5 and >5 apoptotic bodies.

Immunohistochemical analysis

Formalin-fixed and paraffin-embedded tissue specimens were cut on a microtome into 4-µm sections, which were subsequently deparaffinized with xylene (Chempur, Piekary Śląskie, Poland) and hydrated in graded alcohol (Chempur). In order to visualize the antigens of pro-caspase-3 and caspase-8, the sections were heated in a microwave oven (LAZNIE-WLS-084; Adverti, Lodz, Poland) for 20 min in citrate buffer (pH 6.0; Sigma-Aldrich, St. Louis, MO, USA). The antigen of cleaved caspase-3 was visualized by heating the sections for 20 min in ethylenediaminetetraacetic acid buffer (pH 9.0; Sigma-Aldrich). Sections were incubated with 3% hydrogen peroxide solution (Chempur) for 20 min in order to block endogenous peroxidase activity. Subsequently, incubation was performed with rabbit monoclonal antibody against human pro-caspase-3 (cat. no. ab32150; Abcam, Cambridge, UK; incubated for 1 h, dilution, 1:500), rabbit polyclonal immunoglobulin G against human/mouse cleaved caspase-3 (cat. no. AF835; R&D Systems, Inc., Minneapolis, MN, USA; incubated for 30 min, dilution, 1:400) and rabbit monoclonal antibody against human caspase-8 (cat. no. sc-56070; Santa Cruz Biotechnology, Inc., Dallas, TX, USA; incubated for 1 h; dilution, 1:60). The reaction was performed using Novostain Super ABC Kit (universal) (Leica Microsystems, Inc.) at room temperature. A color reaction for peroxidase was developed with DAB Chromogen Solution (Dako, Glostrup, Denmark). Negative control sections were incubated without primary antibody in citrate buffer. All sections were counterstained with hematoxylin.

Immunohistochemical staining was evaluated by two independent pathologists who were blinded to the clinical information. The expression of the investigated proteins was observed in the cytoplasm of normal ductal epithelial and tumor cells in all the cases analyzed. Caspase-8, pro-caspase-3 and cleaved caspase-3 expression was determined using a semiquantitative method, and was defined in relation to the intensity of staining (0, absent; 1, weak; 2, moderate; and 3, strong) and the percentage of positive tumor cells. H-score was derived by adding the percentages of stained cells at each intensity and multiplying by the weighted intensity of staining, according to the following formula: H-score = (% unstained cells × 0) + (% weakly stained cells × 1) + (% moderately stained cells × 2) + (% strongly stained cells × 3). Scores ranged from 0 to 300. The study group was divided into negative (H-score <150) and positive cases (H-score >150).

Statistical analysis

Statistical analysis was performed using STATISTICA version 10.0 software (StatSoft, Inc., Tulsa, OK, USA). Correlations between the clinicopathological parameters and the expression levels of caspases exhibited by the patients were calculated using the Spearman's rank correlation test. P<0.05 was considered to indicate a statistically significant difference. Missing data were removed in pairs when one of the clinicopathological parameters were unavailable.

Results

Expression of caspase-8, pro-caspase-3 and cleaved caspase-3 is observed in normal pancreas and cancerous cells

Color reaction corresponding to positive protein expression of caspase-8, pro-caspase-3 and active caspase-3 was detected in the cytoplasm of normal pancreatic cells (including ductal epithelial, lobular and single pancreatic cells of the islets of Langerhans) and in PDAC cells. Due to the origin of PDAC, only the normal glandular epithelium of the ducts was precisely analyzed and used in the statistical analysis. Furthermore, no expression of the investigated proteins was identified in normal pancreatic stroma.

The expression of caspase-8 in normal cells was negative in 17.2% and positive in 82.8% of cases. However, PDAC cells demonstrated positivity for caspase-8 expression in ~50% of cases. All cases demonstrated pro-caspase-3 expression in normal pancreatic cells, compared with 93.1% of cancer cells. Activated caspase-3 was expressed in normal tissue in 27 cases, compared with only 10 cases in PDAC cells. A substantial decrease was observed in the expression of caspase-8 and active caspase-3 in cancer cells, compared with the high expression levels of these proteins in normal pancreatic cells. The expression of caspase-8, pro-caspase-3 and active caspase-3 in normal and cancerous cells is summarized in Table I and Fig. 2.

Figure 2.

Expression of caspase-8, pro-caspase-3 and active caspase-3 in normal and cancerous pancreatic ductal cells. (A) Positive expression of caspase-8 in ductal cells was observed in the majority of cases. (B) Positive expression of pro-caspase-3 was observed in normal tissues. (C) Strong expression of cleaved caspase-3 was observed in normal cells. (D) Caspase-8 expression was negative in ~50% of cancer cell cases. (E) Positive expression of pro-caspase-3 was observed in cancerous tissues. (F) A lack of expression of cleaved caspase-3 was observed in pancreatic ductal adenocarcinoma. Immunohistochemical staining. Magnification, ×60 (A-C) and ×40 (D-F).

Table I.

Immunohistochemical characteristics of caspase expression in normal and pancreatic tumor cells.

Table I.

Immunohistochemical characteristics of caspase expression in normal and pancreatic tumor cells.

Normal ductal cells, n (%)Pancreatic ductal cancer cells, n (%)


Protein expressionNegativePositiveNegativePositive
Caspase-85 (17.2)24 (82.8)14 (48.3)15 (51.7)
Pro-caspase-30 (0.0)29 (100.0)2 (6.9)27 (93.1)
Active caspase-32 (6.9)27 (93.1)19 (65.5)10 (34.5)
A correlation exists between the protein expression levels of the investigated caspases and certain clinicopathological parameters

Statistical analysis revealed a strong positive correlation between the expression of caspase-8 and active caspase-3 in cancer cells (P<0.002). A reduction in caspase-8 expression was accompanied by a decrease in the levels of active caspase-3. Expression of caspase-3 was identified to correlate with inflammatory peritumoral infiltration (P<0.015). No correlation was observed between the expression levels of the investigated proteins and any other clinicopathological parameters of the patients, including gender, age, type of cancer, malignancy grade, presence of metastasis to lymph nodes or distant organs, grade of desmoplasia, foci of hemorrhage, necrosis, MI and apoptotic bodies (Table II).

Table II.

Clinicopathological characteristics of patients exhibiting pancreatic ductal adenocarcinoma.

Table II.

Clinicopathological characteristics of patients exhibiting pancreatic ductal adenocarcinoma.

Caspase-8Pro-caspase-3Active caspase-3



ParameterPatients, n (%)RP-valueRP-valueRP-value
Age, years
  ≤6014 (48.3)
  >6015 (51.7)−0.0170.890−0.1650.6780.1880.342
Gender
  Male23 (79.3)
  Female6 (20.7)0.2150.574−0.0160.0760.1990.886
Adenocarcinoma type
  Non-mucinous26 (89.7)
  Mucinous3 (10.3)0.1930.2950.1350.512−0.0790.637
Grade of malignancy
  G225 (86.2)
  G34 (13.8)−0.0130.9850.1590.439−0.0950.578
Lymph node metastasis
  Absent17 (58.6)
  Present12 (41.4)0.0360.8730.0790.7010.0080.863
Distant metastasis
  Absent20 (69.0)
  Present9 (31.0)−0.0830.6610.0230.911−0.1460.389
Inflammation in peritumoral stroma
  Absent2 (6.9)
  Weak9 (31.0)
  Moderate10 (34.5)
  Strong8 (27.6)0.3200.0820.1430.1950.404<0.015
Grade of desmoplasia
  Low12 (41.4)
  High17 (58.6)−0.2420.193−0.1280.679−0.3160.068
Foci of hemorrhage
  Absent14 (48.3)
  Single10 (34.5)
Numerous5 (17.2)0.1340.4870.0320.8680.0080.964
Necrosis
  Absent16 (55.2)
  Weak7 (24.1)
  Moderate6 (20.7)
  Strong0 (0.0)−0.0400.837−0.2940.1210.0890.643
Mitotic index
  <527 (93.1)
  >52 (6.9)0.2480.735−0.0870.9700.1300.873
Apoptotic bodies
  <525 (86.2)
  >54 (13.8)0.1460.267−0.0930.927−0.0340.055
Protein expression in cancer cells
  Caspase-827 (93.1). ––0.1950.3080.542<0.002
  Pro-caspase-326 (86.7)0.1950.308. ––−0.2120.269
  Active caspase-321 (72.4)0.542<0.002−0.2120.269. ––

[i] R, Spearman's Rank correlation coefficient; -, not available.

Discussion

Normal pancreatic cells, identical to other body cells, undergo the physiological process of controlled cell death, known as apoptosis (6). This mechanism conditions normal cell function and enables maintenance of homeostasis (7). The process of apoptosis involves the Bcl-2 family-dependent signaling pathway and the caspase-regulated signaling pathway (7). It has been previously demonstrated that the action of these proteins is disrupted in pancreatic cells affected by various pathologies (6–8).

In normal pancreatic tissue, positive expression of caspase-8 has been identified in the cytoplasm of glandular cells, single islets of Langerhans and ductal epithelial cells (8). The results of the present study are consistent with the observations reported by Virkajärvi et al (9), who described the expression of caspase-8 in all types of structural cells in the pancreas, as well as strong expression of caspase-8 in inflamed areas surrounding the islets of Langerhans. Analysis of caspase-8 expression in cancer cells confirmed its presence in 74% of patients exhibiting pancreatic adenocarcinoma, and strong expression was observed in a small percentage of cases (9). In the present study, ~93% of cases exhibiting PDAC demonstrated positive expression of caspase-8. Similar results have been reported in other gastrointestinal tumors, including gastric or colorectal cancer. Sträter et al (10) reported moderate or strong caspase-8 expression in the cancer cells of a small number of colon tumors. Shintani et al (11) observed immunopositive cells for caspase-8 in ~50% of gastric and colorectal adenocarcinoma cases. Previous studies have indicated that this may be due to disturbances in apoptosis induction within the Fas/Fas ligand system, or alternative death ligands, including tumor necrosis factor (TNF) or TNF-related apoptosis-inducing ligand, which may cause dysfunction in initiator caspases such as caspase-8 and inhibition of apoptosis during its initial stage (12,13).

The present study additionally focused on the expression of caspase-3 in its precursor and activated forms in normal pancreatic and cancer cells. A positive pro-caspase-3 color reaction was identified by immunohistochemistry in the cytoplasm of normal and cancerous cells in the majority of cases analyzed. Thus, it was speculated that PDAC cells may retain the potential to produce the precursor form of caspase-3. To the best of our knowledge, the present study is the first to assess the expression of the two forms of caspase-3 separately. Virkajärvi et al (9) evaluated the expression of the precursor and active forms of caspase-3 using one antibody. Expression of caspase-3 was observed in 80% of patients exhibiting pancreatic adenocarcinoma. However, no correlation was identified between apoptotic index and caspase-3 expression, which may indicate the expression of the inactive form of caspase-3 in the cancer cells of these patients (9). Satoh et al (14) observed high expression levels of caspase-3 in PDAC cells in the majority of cases evaluated, and suggested that the precursor form of caspase-3 may have contributed to the color observed upon immunohistochemical staining (14). In that study, caspase-3 expression was assessed in the cytoplasm and nuclei of PDAC cells, and a correlation was observed between cytoplasmic expression of caspase-3 and malignant tumor stage. In addition, an association was observed between nuclear reaction and benign tumor phenotype (14).

The present study particularly focused on the expression of activated caspase-3. More frequent expression of cleaved caspase-3 was observed in normal pancreatic cells, compared with pancreatic duct cell tumors. In the present study, a statistically significant correlation was identified between caspase-8 and active caspase-3 expression in the tumor mass. A decrease in the expression levels of caspase-8 or −3 caused a reduction in the expression levels of the other, which confirmed the involvement of these two proteins in the common apoptotic signaling pathway of PDAC cells. Meggiato et al (15) noted an increased percentage of positive expression of cleaved caspase-3 in the cytoplasm of tumor cells, compared with the cytoplasm of epithelial cells that lined the pancreatic ducts. It was suggested that the strong expression of active caspase-3 in pancreatic tumor cells, as opposed to normal ductal cells, indicated stimulation of the apoptosis-inducing mechanisms (15). Similarly, Luo et al (16) reported an increase in the expression of cleaved caspase-3 in PDAC tissue (43.9%), compared with normal tissue (3.5%). Furthermore, statistically significant correlations were noted between caspase-3 expression and high tumor grade, tumor location in the head of the pancreas, cyclin D1 gene amplification and presence of polysomy of chromosome 11 (16). A detailed analysis of these patients additionally revealed an association between positive expression of active caspase-3 and shorter survival time in patients exhibiting PDAC, and the expression of active caspase-3 was identified as an independent risk factor (16). In contrast to PDAC, high expression levels of cleaved caspase-3 have been associated with positive prognosis in patients diagnosed with colorectal cancer (17). The previously mentioned reports are not consistent with the results of the present study, which may be due to the small size of the current patient cohort. However, reduced expression of effector cleaved caspase-3 may be associated with a lack of adequate agents to trigger the activation of the protein, including caspase-8, or may result from disorders in the Bcl-2 family-dependent signaling pathway of apoptosis, which conditions the levels of cytochrome c present in the cytosol (18). In contrast with normal cells, pancreatic cancer cells demonstrate a reduced ability to activate caspases via cytochrome c (18). It has been suggested that cancer cells may require increased levels of cytochrome c in order to activate the apoptotic signaling pathway of caspases (1). The reduced capacity of caspase-3 stimulation in PDAC cells may induce their resistance to apoptosis, as well as determining their longevity and invasiveness (18). In consequence, PDAC belongs to a group of tumors characterized by short survival times and poor prognoses (18).

Despite the small size of the patient cohort in the current study, the findings of the present study suggest that pancreatic cancer may involve disturbances to the initiation of cancer cell apoptosis via a decrease in the expression of caspase-8, which may cause dysregulation in the activation of effector caspase-3. Therefore, assessment of the expression of caspase-8 and cleaved caspase-3 in the tissues of patients exhibiting PDAC may aid the determination of the degree of apoptotic activity in pancreatic cancer cells. This may be utilized in the future to develop targeted therapies for the treatment of PDA using activators of the proteins investigated in the present study.

References

1 

Gukovskaya AS and Pandol SJ: Cell death pathways in pancreatitis and pancreatic cancer. Pancreatology. 4:567–586. 2004. View Article : Google Scholar : PubMed/NCBI

2 

Reid MD, Bagci P and Adsay NV: Histopathologic assessment of pancreatic cancer: Does one size fit all? J Surg Oncol. 107:67–77. 2013. View Article : Google Scholar : PubMed/NCBI

3 

Adams JM: Ways of dying: Multiple pathways to apoptosis. Genes Dev. 17:2481–2495. 2003. View Article : Google Scholar : PubMed/NCBI

4 

Schultz DR and Harrington WJ Jr: Apoptosis: Programmed cell death at a molecular level. Semin Arthritis Rheum. 32:345–369. 2003. View Article : Google Scholar : PubMed/NCBI

5 

Li P, Nijhawan D, Budihardjo I, Srinivasula SM, Ahmad M, Alnemri ES and Wang X: Cytochrome c and dATP-dependent formation of Apaf-1/caspase-9 complex initiates an apoptotic protease cascade. Cell. 91:479–489. 1997. View Article : Google Scholar : PubMed/NCBI

6 

Steer ML: Early events in acute pancreatitis. Baillieres Best Pract Res Clin Gastroenterol. 13:213–225. 1999. View Article : Google Scholar : PubMed/NCBI

7 

Tomita T: Cleaved caspase-3 immunocytochemical staining for pancreatic islets and pancreatic endocrine tumors: A potential marker for biological malignancy. Islets. 2:82–88. 2010. View Article : Google Scholar : PubMed/NCBI

8 

Butler AE, Janson J, Bonner-Weir S, Ritzel R, Rizza RA and Butler PC: Beta-cell deficit and increased beta-cell apoptosis in humans with type 2 diabetes. Diabetes. 52:102–110. 2003. View Article : Google Scholar : PubMed/NCBI

9 

Virkajärvi N, Pääkkö P and Soini Y: Apoptotic index and apoptosis influencing proteins bcl-2, mcl-1, bax and caspases 3, 6 and 8 in pancreatic carcinoma. Histopathology. 33:432–439. 1998. View Article : Google Scholar : PubMed/NCBI

10 

Sträter J, Herter I, Merkel G, Hinz U, Weitz J and Möller P: Expression and prognostic significance of APAF-1, caspase-8 and caspase-9 in stage II/III colon carcinoma: Caspase-8 and caspase-9 is associated with poor prognosis. Int J Cancer. 127:873–880. 2010.PubMed/NCBI

11 

Shintani M, Sangawa A, Yamao N, Miyake T and Kamoshida S: Immunohistochemical analysis of cell death pathways in gastrointestinal adenocarcinoma. Biomed Res. 32:379–386. 2011. View Article : Google Scholar : PubMed/NCBI

12 

Kornmann M, Ishiwata T, Kleeff J, Beger HG and Korc M: Fas and Fas-ligand expression in human pancreatic cancer. Ann Surg. 231:368–379. 2000. View Article : Google Scholar : PubMed/NCBI

13 

Tsuji S, Hosotani R, Yonehara S, Masui T, Tulachan SS, Nakajima S, Kobayashi H, Koizumi M, Toyoda E, Ito D, et al: Endogenous decoy receptor 3 blocks the growth inhibition signals mediated by Fas ligand in human pancreatic adenocarcinoma. Int J Cancer. 106:17–25. 2003. View Article : Google Scholar : PubMed/NCBI

14 

Satoh K, Kaneko K, Hirota M, Toyota T and Shimosegawa T: The pattern of CPP32/caspase-3 expression reflects the biological behavior of the human pancreatic duct cell tumors. Pancreas. 21:352–357. 2000. View Article : Google Scholar : PubMed/NCBI

15 

Meggiato T, Calabrese F, De Cesare CM, Baliello E, Valente M and Del Favero G: C-JUN and CPP32 (CASPASE 3) in human pancreatic cancer: Relation to cell proliferation and death. Pancreas. 26:65–70. 2003. View Article : Google Scholar : PubMed/NCBI

16 

Luo Y, Qiu Z, Tian L, Zhu G, Feng Y, Yi M, Chen X, Wang L, Li C and Huang Q: Identification of novel predictive markers for the prognosis of pancreatic ductal adenocarcinoma. Hum Pathol. 44:69–76. 2013. View Article : Google Scholar : PubMed/NCBI

17 

Noble P, Vyas M, Al-Attar A, Durrant S, Scholefield J and Durrant L: High levels of cleaved caspase-3 in colorectal tumour stroma predict good survival. Br J Cancer. 108:2097–2105. 2013. View Article : Google Scholar : PubMed/NCBI

18 

Vaquero EC, Edderkaoui M, Nam KJ, Gukovsky I, Pandol SJ and Gukovskaya AS: Extracellular matrix proteins protect pancreatic cancer cells from death via mitochondrial and nonmitochondrial pathways. Gastroenterology. 125:1188–1202. 2003. View Article : Google Scholar : PubMed/NCBI

Related Articles

  • Abstract
  • View
  • Download
  • Twitter
Copy and paste a formatted citation
Spandidos Publications style
Jakubowska K, Guzińska‑Ustymowicz K, Famulski W, Cepowicz D, Jagodzińska D and Pryczynicz A: Reduced expression of caspase-8 and cleaved caspase-3 in pancreatic ductal adenocarcinoma cells. Oncol Lett 11: 1879-1884, 2016.
APA
Jakubowska, K., Guzińska‑Ustymowicz, K., Famulski, W., Cepowicz, D., Jagodzińska, D., & Pryczynicz, A. (2016). Reduced expression of caspase-8 and cleaved caspase-3 in pancreatic ductal adenocarcinoma cells. Oncology Letters, 11, 1879-1884. https://doi.org/10.3892/ol.2016.4125
MLA
Jakubowska, K., Guzińska‑Ustymowicz, K., Famulski, W., Cepowicz, D., Jagodzińska, D., Pryczynicz, A."Reduced expression of caspase-8 and cleaved caspase-3 in pancreatic ductal adenocarcinoma cells". Oncology Letters 11.3 (2016): 1879-1884.
Chicago
Jakubowska, K., Guzińska‑Ustymowicz, K., Famulski, W., Cepowicz, D., Jagodzińska, D., Pryczynicz, A."Reduced expression of caspase-8 and cleaved caspase-3 in pancreatic ductal adenocarcinoma cells". Oncology Letters 11, no. 3 (2016): 1879-1884. https://doi.org/10.3892/ol.2016.4125
Copy and paste a formatted citation
x
Spandidos Publications style
Jakubowska K, Guzińska‑Ustymowicz K, Famulski W, Cepowicz D, Jagodzińska D and Pryczynicz A: Reduced expression of caspase-8 and cleaved caspase-3 in pancreatic ductal adenocarcinoma cells. Oncol Lett 11: 1879-1884, 2016.
APA
Jakubowska, K., Guzińska‑Ustymowicz, K., Famulski, W., Cepowicz, D., Jagodzińska, D., & Pryczynicz, A. (2016). Reduced expression of caspase-8 and cleaved caspase-3 in pancreatic ductal adenocarcinoma cells. Oncology Letters, 11, 1879-1884. https://doi.org/10.3892/ol.2016.4125
MLA
Jakubowska, K., Guzińska‑Ustymowicz, K., Famulski, W., Cepowicz, D., Jagodzińska, D., Pryczynicz, A."Reduced expression of caspase-8 and cleaved caspase-3 in pancreatic ductal adenocarcinoma cells". Oncology Letters 11.3 (2016): 1879-1884.
Chicago
Jakubowska, K., Guzińska‑Ustymowicz, K., Famulski, W., Cepowicz, D., Jagodzińska, D., Pryczynicz, A."Reduced expression of caspase-8 and cleaved caspase-3 in pancreatic ductal adenocarcinoma cells". Oncology Letters 11, no. 3 (2016): 1879-1884. https://doi.org/10.3892/ol.2016.4125
Follow us
  • Twitter
  • LinkedIn
  • Facebook
About
  • Spandidos Publications
  • Careers
  • Cookie Policy
  • Privacy Policy
How can we help?
  • Help
  • Live Chat
  • Contact
  • Email to our Support Team