Spandidos Publications Logo
  • About
    • About Spandidos
    • Aims and Scopes
    • Abstracting and Indexing
    • Editorial Policies
    • Reprints and Permissions
    • Job Opportunities
    • Terms and Conditions
    • Contact
  • Journals
    • All Journals
    • Oncology Letters
      • Oncology Letters
      • Information for Authors
      • Editorial Policies
      • Editorial Board
      • Aims and Scope
      • Abstracting and Indexing
      • Bibliographic Information
      • Archive
    • International Journal of Oncology
      • International Journal of Oncology
      • Information for Authors
      • Editorial Policies
      • Editorial Board
      • Aims and Scope
      • Abstracting and Indexing
      • Bibliographic Information
      • Archive
    • Molecular and Clinical Oncology
      • Molecular and Clinical Oncology
      • Information for Authors
      • Editorial Policies
      • Editorial Board
      • Aims and Scope
      • Abstracting and Indexing
      • Bibliographic Information
      • Archive
    • Experimental and Therapeutic Medicine
      • Experimental and Therapeutic Medicine
      • Information for Authors
      • Editorial Policies
      • Editorial Board
      • Aims and Scope
      • Abstracting and Indexing
      • Bibliographic Information
      • Archive
    • International Journal of Molecular Medicine
      • International Journal of Molecular Medicine
      • Information for Authors
      • Editorial Policies
      • Editorial Board
      • Aims and Scope
      • Abstracting and Indexing
      • Bibliographic Information
      • Archive
    • Biomedical Reports
      • Biomedical Reports
      • Information for Authors
      • Editorial Policies
      • Editorial Board
      • Aims and Scope
      • Abstracting and Indexing
      • Bibliographic Information
      • Archive
    • Oncology Reports
      • Oncology Reports
      • Information for Authors
      • Editorial Policies
      • Editorial Board
      • Aims and Scope
      • Abstracting and Indexing
      • Bibliographic Information
      • Archive
    • Molecular Medicine Reports
      • Molecular Medicine Reports
      • Information for Authors
      • Editorial Policies
      • Editorial Board
      • Aims and Scope
      • Abstracting and Indexing
      • Bibliographic Information
      • Archive
    • World Academy of Sciences Journal
      • World Academy of Sciences Journal
      • Information for Authors
      • Editorial Policies
      • Editorial Board
      • Aims and Scope
      • Abstracting and Indexing
      • Bibliographic Information
      • Archive
    • International Journal of Functional Nutrition
      • International Journal of Functional Nutrition
      • Information for Authors
      • Editorial Policies
      • Editorial Board
      • Aims and Scope
      • Abstracting and Indexing
      • Bibliographic Information
      • Archive
    • International Journal of Epigenetics
      • International Journal of Epigenetics
      • Information for Authors
      • Editorial Policies
      • Editorial Board
      • Aims and Scope
      • Abstracting and Indexing
      • Bibliographic Information
      • Archive
    • Medicine International
      • Medicine International
      • Information for Authors
      • Editorial Policies
      • Editorial Board
      • Aims and Scope
      • Abstracting and Indexing
      • Bibliographic Information
      • Archive
  • Articles
  • Information
    • Information for Authors
    • Information for Reviewers
    • Information for Librarians
    • Information for Advertisers
    • Conferences
  • Language Editing
Spandidos Publications Logo
  • About
    • About Spandidos
    • Aims and Scopes
    • Abstracting and Indexing
    • Editorial Policies
    • Reprints and Permissions
    • Job Opportunities
    • Terms and Conditions
    • Contact
  • Journals
    • All Journals
    • Biomedical Reports
      • Information for Authors
      • Editorial Policies
      • Editorial Board
      • Aims and Scope
      • Abstracting and Indexing
      • Bibliographic Information
      • Archive
    • Experimental and Therapeutic Medicine
      • Information for Authors
      • Editorial Policies
      • Editorial Board
      • Aims and Scope
      • Abstracting and Indexing
      • Bibliographic Information
      • Archive
    • International Journal of Epigenetics
      • Information for Authors
      • Editorial Policies
      • Editorial Board
      • Aims and Scope
      • Abstracting and Indexing
      • Bibliographic Information
      • Archive
    • International Journal of Functional Nutrition
      • Information for Authors
      • Editorial Policies
      • Editorial Board
      • Aims and Scope
      • Abstracting and Indexing
      • Bibliographic Information
      • Archive
    • International Journal of Molecular Medicine
      • Information for Authors
      • Editorial Policies
      • Editorial Board
      • Aims and Scope
      • Abstracting and Indexing
      • Bibliographic Information
      • Archive
    • International Journal of Oncology
      • Information for Authors
      • Editorial Policies
      • Editorial Board
      • Aims and Scope
      • Abstracting and Indexing
      • Bibliographic Information
      • Archive
    • Medicine International
      • Information for Authors
      • Editorial Policies
      • Editorial Board
      • Aims and Scope
      • Abstracting and Indexing
      • Bibliographic Information
      • Archive
    • Molecular and Clinical Oncology
      • Information for Authors
      • Editorial Policies
      • Editorial Board
      • Aims and Scope
      • Abstracting and Indexing
      • Bibliographic Information
      • Archive
    • Molecular Medicine Reports
      • Information for Authors
      • Editorial Policies
      • Editorial Board
      • Aims and Scope
      • Abstracting and Indexing
      • Bibliographic Information
      • Archive
    • Oncology Letters
      • Information for Authors
      • Editorial Policies
      • Editorial Board
      • Aims and Scope
      • Abstracting and Indexing
      • Bibliographic Information
      • Archive
    • Oncology Reports
      • Information for Authors
      • Editorial Policies
      • Editorial Board
      • Aims and Scope
      • Abstracting and Indexing
      • Bibliographic Information
      • Archive
    • World Academy of Sciences Journal
      • Information for Authors
      • Editorial Policies
      • Editorial Board
      • Aims and Scope
      • Abstracting and Indexing
      • Bibliographic Information
      • Archive
  • Articles
  • Information
    • For Authors
    • For Reviewers
    • For Librarians
    • For Advertisers
    • Conferences
  • Language Editing
Login Register Submit
  • This site uses cookies
  • You can change your cookie settings at any time by following the instructions in our Cookie Policy. To find out more, you may read our Privacy Policy.

    I agree
Search articles by DOI, keyword, author or affiliation
Search
Advanced Search
presentation
Oncology Letters
Join Editorial Board Propose a Special Issue
Print ISSN: 1792-1074 Online ISSN: 1792-1082
Journal Cover
May-2016 Volume 11 Issue 5

Full Size Image

Sign up for eToc alerts
Recommend to Library

Journals

International Journal of Molecular Medicine

International Journal of Molecular Medicine

International Journal of Molecular Medicine is an international journal devoted to molecular mechanisms of human disease.

International Journal of Oncology

International Journal of Oncology

International Journal of Oncology is an international journal devoted to oncology research and cancer treatment.

Molecular Medicine Reports

Molecular Medicine Reports

Covers molecular medicine topics such as pharmacology, pathology, genetics, neuroscience, infectious diseases, molecular cardiology, and molecular surgery.

Oncology Reports

Oncology Reports

Oncology Reports is an international journal devoted to fundamental and applied research in Oncology.

Experimental and Therapeutic Medicine

Experimental and Therapeutic Medicine

Experimental and Therapeutic Medicine is an international journal devoted to laboratory and clinical medicine.

Oncology Letters

Oncology Letters

Oncology Letters is an international journal devoted to Experimental and Clinical Oncology.

Biomedical Reports

Biomedical Reports

Explores a wide range of biological and medical fields, including pharmacology, genetics, microbiology, neuroscience, and molecular cardiology.

Molecular and Clinical Oncology

Molecular and Clinical Oncology

International journal addressing all aspects of oncology research, from tumorigenesis and oncogenes to chemotherapy and metastasis.

World Academy of Sciences Journal

World Academy of Sciences Journal

Multidisciplinary open-access journal spanning biochemistry, genetics, neuroscience, environmental health, and synthetic biology.

International Journal of Functional Nutrition

International Journal of Functional Nutrition

Open-access journal combining biochemistry, pharmacology, immunology, and genetics to advance health through functional nutrition.

International Journal of Epigenetics

International Journal of Epigenetics

Publishes open-access research on using epigenetics to advance understanding and treatment of human disease.

Medicine International

Medicine International

An International Open Access Journal Devoted to General Medicine.

Journal Cover
May-2016 Volume 11 Issue 5

Full Size Image

Sign up for eToc alerts
Recommend to Library

  • Article
  • Citations
    • Cite This Article
    • Download Citation
    • Create Citation Alert
    • Remove Citation Alert
    • Cited By
  • Similar Articles
    • Related Articles (in Spandidos Publications)
    • Similar Articles (Google Scholar)
    • Similar Articles (PubMed)
  • Download PDF
  • Download XML
  • View XML
Case Report

Clinical treatment of gastrinoma: A case report and review of the literature

  • Authors:
    • Wei‑Dong Zhang
    • Da‑Ren Liu
    • Pei Wang
    • Jian‑Gang Zhao
    • Zhe‑Fang Wang
    • Li Chen
  • View Affiliations / Copyright

    Affiliations: Department of Surgery, The Second Affiliated Hospital, College of Medicine, Zhejiang University, Hangzhou, Zhejiang 310009, P.R. China, Department of Pathology, Dongyang People's Hospital, Dongyang, Zhejiang 322103, P.R. China
  • Pages: 3433-3437
    |
    Published online on: March 31, 2016
       https://doi.org/10.3892/ol.2016.4397
  • Expand metrics +
Metrics: Total Views: 0 (Spandidos Publications: | PMC Statistics: )
Metrics: Total PDF Downloads: 0 (Spandidos Publications: | PMC Statistics: )
Cited By (CrossRef): 0 citations Loading Articles...

This article is mentioned in:



Abstract

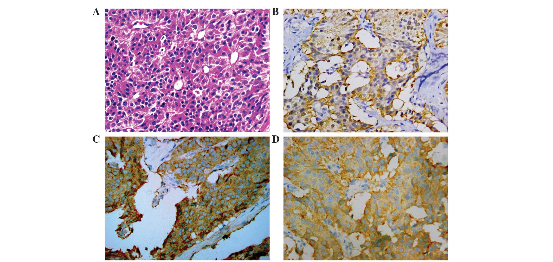
Gastrinoma is a gastrin-secreting tumor that is associated with Zollinger-Ellison syndrome. The majority of cases occur in the pancreas, followed by the duodenum. Early diagnosis is difficult due to the relative rarity of the tumor and the lack of specific symptoms. In the current study, a 68-year-old female patient presented at the Second Affiliated Hospital, Zhejiang University (Hangzhou, China) due to intermittent abdominal pain and watery diarrhea. The patient was treated by surgical resection and was pathologically diagnosed with a well-differentiated pancreatic neuroendocrine tumor (gastrinoma; grade 1). No evidence of recurrence was observed during 1 year of follow-up. Furthermore, a review of the Chinese literature was performed, which analyzed an additional 17 published cases of gastrinoma. The tumor size ranged between 0.5x0.5 cm and 7.5x6.3x5.1 cm. The pancreas was the most common site of occurrence, accounting for 72% (13/18) of cases, followed by the duodenum (28%; 5/18). The most common initial symptom was abdominal pain (89%; 16/18), followed by diarrhea (56%; 10/18). In 18 cases, including the present case and 17 previous cases, the level of gastrin ranged between 137 and 1,550 pg/ml (normal range, 5‑100 pg/ml). Of the 17 previous cases, 11 patients underwent surgery and 6 patients received conservative therapy due to metastasis or patient choice. Overall, gastrinoma remains a rare disease. Complete removal of the lesion is the standard curative treatment and conservative treatment is only recommended for patients unsuitable for surgery or for those with widespread metastasis.
View Figures

Figure 1

Figure 2

View References

1 

Hung PD, Schubert ML and Mihas AA: Zollinger-Ellison Syndrome. Curr Treat Options Gastroenterol. 6:163–170. 2003. View Article : Google Scholar : PubMed/NCBI

2 

Andersen DK: Current diagnosis and management of Zollinger-Ellison syndrome. Ann Surg. 210:685–703. 1989. View Article : Google Scholar : PubMed/NCBI

3 

Zollinger RM and Ellison EH: Primary peptic ulcerations of the jejunum associated with islet cell tumors of the pancreas. 1955. CA Cancer J Clin. 39:231–247. 1989. View Article : Google Scholar : PubMed/NCBI

4 

Roy PK, Venzon DJ, Shojamanesh H, Abou-Saif A, Peghini P, Doppman JL, Gibril F and Jensen RT: Zollinger-Ellison syndrome. Clinical presentation in 261 patients. Medicine (Baltimore). 79:379–411. 2000. View Article : Google Scholar : PubMed/NCBI

5 

Norton JA, Fraker DL, Alexander HR, Venzon DJ, Doppman JL, Serrano J, Goebel SU, Peghini PL, Roy PK, Gibril F and Jensen RT: Surgery to cure the Zollinger-Ellison syndrome. N Engl J Med. 341:635–644. 1999. View Article : Google Scholar : PubMed/NCBI

6 

Rindi G, Arnold R, Bosman FT, Capella C, Klimstra DS, Klöppel G, Komminoth P and Solcia E: Nomenclature and classification of neuroendocrine neoplasms of the digestive system. WHO Classification of Tumours of the Digestiva System. Bosman FT, Carneiro F, Hruban RH and Theise ND: 3:(4th). IARC Press. (Lyon). 13–14. 2010.

7 

Wang F, Wen MR, Li Y and Wang M: A case report of gastrinoma in duodenum diagnosed by ultrasound. Lin Chuang Chao Sheng Yi Xue Za Zhi. 10(475): 4842008.(In Chinese).

8 

Wang D, Peng L and Wang XL: Report of 2 cases of gastrinoma and literature review. Zhong Guo Pu Wai Ji Chu Yu Lin Chuang Za Zhi. 17:81–82. 2010.(In Chinese).

9 

Li FQ, Li XZ and Zeng QD: Two case reports of gastrinoma. Zhong Guo Pu Tong Wai Ke Za Zhi. 15:1602006.(In Chinese).

10 

Hou MH, Yan HJ, Lu SC and Ma K: Analysis of misdiagnosis of 2 cases of gastrinoma. Shan Dong Yi Yao. 49:1032009.(In Chinese).

11 

Zhan YG, Ji YT and Liu H: Gastrinoma with hepatic metastasis: A case report. Zhong Yi Yao Lin Chuang Za Zhi. 24:766–767. 2012.(In Chinese).

12 

Yang J and Wang Z: Gastrinoma with hepatic metastasis: A case report and research status. Lin Chuang Yi Yao Shi Jian. 17:148–149. 2008.(In Chinese).

13 

Hou XL, Qin YT and Qi S: Repeated perforation of digestive tract caused by gastrinoma: A case report. Lin Chuang Wai Ke Za Zhi. 13:1002005.(In Chinese).

14 

Dai JJ, Qian JQ, Ke GX and Wang WJ: Gastrinoma without peptic ulcer: A case report. Zhong Guo Shi Yong Nei Ke Za Zhi. 4:369–370, 393. 2010.(In Chinese).

15 

Zhang YY and Liu JM: Hepatic encephalopathy and death caused by gastrinoma and hepatic metastasis: One case report. Zhong Hua Nei Fen Mi Dai Xie Za Zhi. 27:690–691. 2011.(In Chinese).

16 

Rajiv PK, Wang W and Zhou ZW: Gastrinoma at pancreatic tail with hepatic metastasis: A case report. Guang Dong Yi Yao. 30:8902009.(In Chinese).

17 

Wang YF: A case report of gastrinoma. Zhong Guo Yi Shi Za Zhi. 10:14091411. 2008.(In Chinese).

18 

Chen X and Wang ZW: Gastrinoma with hepatic metastasis: A case report. Zhong Guo Zhong Liu Lin Chuang. 31:8962004.(In Chinese).

19 

Wu X, Shi J, Liu H and Xu S: A case report of gastrinoma. Shi Jie Zhong Liu Za Zhi. 4:3322003.(In Chinese).

20 

Wang CY: A case report of gastrinoma. Han Shao Ji Bing Za Zhi. 10:27–28. 2003.(In Chinese).

21 

Shen J, Wang HY, Zhou CP and Liang BL: Pancreatic gastrinoma with hepatic metastasis. Zhong Hua Fang She Xue Za Zhi. 41:436–437. 2007.(In Chinese).

22 

Saclarides TJ: Gastrinoma. Common Surgical Diseases: An Algorithmic Approach to Problem Solving. Millikan KW and Saclarides TJ: (1st). Springer Science and Business Media. (New York, NY). 135–138. 1998. View Article : Google Scholar

23 

Brandi ML, Gagel RF, Angeli A, Bilezikian JP, Beck-Peccoz P, Bordi C, Conte-Devolx B, Falchetti A, Gheri RG, Libroia A, et al: Guidelines for diagnosis and therapy of MEN type 1 and type 2. J Clin Endocrinol Metab. 86:5658–5671. 2001. View Article : Google Scholar : PubMed/NCBI

24 

Fendrich V, Langer P, Waldmann J, Bartsch DK and Rothmund M: Management of sporadic and multiple endocrine neoplasia type 1 gastrinomas. Br J Surg. 94:1331–1341. 2007. View Article : Google Scholar : PubMed/NCBI

25 

Kiernan PD, ReMine SG, Kiernan PC and ReMine WH: Annular pancreas: Mayo clinic experience from 1957 to 1976 with review of the literature. Arch Surg. 115:46–50. 1980. View Article : Google Scholar : PubMed/NCBI

26 

Alahmadi R and Almuhammadi S: Annular pancreas: A cause of gastric outlet obstruction in a 20-year-old patient. Am J Case Rep. 15:437–440. 2014. View Article : Google Scholar : PubMed/NCBI

27 

Urayama S, Kozarek R, Ball T, Brandabur J, Traverso L, Ryan J and Wechter D: Presentation and treatment of annular pancreas in an adult population. Am J Gastroenterol. 90:995–999. 1995.PubMed/NCBI

28 

Imamura M, Nakamoto Y, Uose S, Komoto I, Awane M and Taki Y: Diagnosis of functioning pancreaticoduodenal neuroendocrine tumors. J Hepatobiliary Pancreat Sci. 22:602–609. 2015. View Article : Google Scholar : PubMed/NCBI

29 

Nehar D, Lombard-Bohas C, Olivieri S, Claustrat B, Chayvialle JA, Penes MC, Sassolas G and Borson-Chazot F: Interest of Chromogranin A for diagnosis and follow-up of endocrine tumours. Clin Endocrinol (Oxf). 60:644–652. 2004. View Article : Google Scholar : PubMed/NCBI

30 

Stabile BE, Morrow DJ and Passaro E Jr: The gastrinoma triangle: Operative implications. Am J Surg. 147:25–31. 1984. View Article : Google Scholar : PubMed/NCBI

31 

Alexander HR, Fraker DL, Norton JA, Bartlett DL, Tio L, Benjamin SB, Doppman JL, Goebel SU, Serrano J, Gibril F and Jensen RT: Prospective study of somatostatin receptor scintigraphy and its effect on operative outcome in patients with Zollinger-Ellison syndrome. Ann Surg. 228:228–238. 1998. View Article : Google Scholar : PubMed/NCBI

32 

Norton JA, Alexander HR, Fraker DL, Venzon DJ, Gibril F and Jensen RT: Does the use of routine duodenotomy (DUODX) affect rate of cure, development of liver metastases, or survival in patients with Zollinger-Ellison syndrome? Ann Surg. 239:617–626. 2004. View Article : Google Scholar : PubMed/NCBI

33 

Fraker DL, Norton JA, Alexander HR, Venzon DJ and Jensen RT: Surgery in Zollinger-Ellison syndrome alters the natural history of gastrinoma. Ann Surg. 220:320–330. 1994. View Article : Google Scholar : PubMed/NCBI

34 

Norton JA and Jensen RT: Resolved and unresolved controversies in the surgical management of patients with Zollinger-Ellison syndrome. Ann Surg. 240:757–773. 2004. View Article : Google Scholar : PubMed/NCBI

35 

Norton JA, Alexander HR, Fraker DL, Venzon DJ, Gibril F and Jensen RT: Possible primary lymph node gastrinoma: Occurrence, natural history, and predictive factors: A prospective study. Ann Surg. 237:650–659. 2003. View Article : Google Scholar : PubMed/NCBI

36 

Metz DC, Pisegna JR, Fishbeyn VA, Benya RV and Jensen RT: Control of gastric acid hypersecretion in the management of patients with Zollinger-Ellison syndrome. World J Surg. 17:468–480. 1993. View Article : Google Scholar : PubMed/NCBI

37 

de Herder WW and Lamberts SW: Clinical endocrinology and metabolism. Gut endocrine tumours. Best Pract Res Clin Endocrinol Metab. 18:477–495. 2004. View Article : Google Scholar : PubMed/NCBI

38 

Arnold R, Rinke A, Schmidt Ch and Hofbauer L: Endocrine tumours of the gastrointestinal tract: Chemotherapy. Best Pract Res Clin Gastroenterol. 19:649–656. 2005. View Article : Google Scholar : PubMed/NCBI

Related Articles

  • Abstract
  • View
  • Download
  • Twitter
Copy and paste a formatted citation
Spandidos Publications style
Zhang WD, Liu DR, Wang P, Zhao JG, Wang ZF and Chen L: Clinical treatment of gastrinoma: A case report and review of the literature. Oncol Lett 11: 3433-3437, 2016.
APA
Zhang, W., Liu, D., Wang, P., Zhao, J., Wang, Z., & Chen, L. (2016). Clinical treatment of gastrinoma: A case report and review of the literature. Oncology Letters, 11, 3433-3437. https://doi.org/10.3892/ol.2016.4397
MLA
Zhang, W., Liu, D., Wang, P., Zhao, J., Wang, Z., Chen, L."Clinical treatment of gastrinoma: A case report and review of the literature". Oncology Letters 11.5 (2016): 3433-3437.
Chicago
Zhang, W., Liu, D., Wang, P., Zhao, J., Wang, Z., Chen, L."Clinical treatment of gastrinoma: A case report and review of the literature". Oncology Letters 11, no. 5 (2016): 3433-3437. https://doi.org/10.3892/ol.2016.4397
Copy and paste a formatted citation
x
Spandidos Publications style
Zhang WD, Liu DR, Wang P, Zhao JG, Wang ZF and Chen L: Clinical treatment of gastrinoma: A case report and review of the literature. Oncol Lett 11: 3433-3437, 2016.
APA
Zhang, W., Liu, D., Wang, P., Zhao, J., Wang, Z., & Chen, L. (2016). Clinical treatment of gastrinoma: A case report and review of the literature. Oncology Letters, 11, 3433-3437. https://doi.org/10.3892/ol.2016.4397
MLA
Zhang, W., Liu, D., Wang, P., Zhao, J., Wang, Z., Chen, L."Clinical treatment of gastrinoma: A case report and review of the literature". Oncology Letters 11.5 (2016): 3433-3437.
Chicago
Zhang, W., Liu, D., Wang, P., Zhao, J., Wang, Z., Chen, L."Clinical treatment of gastrinoma: A case report and review of the literature". Oncology Letters 11, no. 5 (2016): 3433-3437. https://doi.org/10.3892/ol.2016.4397
Follow us
  • Twitter
  • LinkedIn
  • Facebook
About
  • Spandidos Publications
  • Careers
  • Cookie Policy
  • Privacy Policy
How can we help?
  • Help
  • Live Chat
  • Contact
  • Email to our Support Team