Spandidos Publications Logo
  • About
    • About Spandidos
    • Aims and Scopes
    • Abstracting and Indexing
    • Editorial Policies
    • Reprints and Permissions
    • Job Opportunities
    • Terms and Conditions
    • Contact
  • Journals
    • All Journals
    • Oncology Letters
      • Oncology Letters
      • Information for Authors
      • Editorial Policies
      • Editorial Board
      • Aims and Scope
      • Abstracting and Indexing
      • Bibliographic Information
      • Archive
    • International Journal of Oncology
      • International Journal of Oncology
      • Information for Authors
      • Editorial Policies
      • Editorial Board
      • Aims and Scope
      • Abstracting and Indexing
      • Bibliographic Information
      • Archive
    • Molecular and Clinical Oncology
      • Molecular and Clinical Oncology
      • Information for Authors
      • Editorial Policies
      • Editorial Board
      • Aims and Scope
      • Abstracting and Indexing
      • Bibliographic Information
      • Archive
    • Experimental and Therapeutic Medicine
      • Experimental and Therapeutic Medicine
      • Information for Authors
      • Editorial Policies
      • Editorial Board
      • Aims and Scope
      • Abstracting and Indexing
      • Bibliographic Information
      • Archive
    • International Journal of Molecular Medicine
      • International Journal of Molecular Medicine
      • Information for Authors
      • Editorial Policies
      • Editorial Board
      • Aims and Scope
      • Abstracting and Indexing
      • Bibliographic Information
      • Archive
    • Biomedical Reports
      • Biomedical Reports
      • Information for Authors
      • Editorial Policies
      • Editorial Board
      • Aims and Scope
      • Abstracting and Indexing
      • Bibliographic Information
      • Archive
    • Oncology Reports
      • Oncology Reports
      • Information for Authors
      • Editorial Policies
      • Editorial Board
      • Aims and Scope
      • Abstracting and Indexing
      • Bibliographic Information
      • Archive
    • Molecular Medicine Reports
      • Molecular Medicine Reports
      • Information for Authors
      • Editorial Policies
      • Editorial Board
      • Aims and Scope
      • Abstracting and Indexing
      • Bibliographic Information
      • Archive
    • World Academy of Sciences Journal
      • World Academy of Sciences Journal
      • Information for Authors
      • Editorial Policies
      • Editorial Board
      • Aims and Scope
      • Abstracting and Indexing
      • Bibliographic Information
      • Archive
    • International Journal of Functional Nutrition
      • International Journal of Functional Nutrition
      • Information for Authors
      • Editorial Policies
      • Editorial Board
      • Aims and Scope
      • Abstracting and Indexing
      • Bibliographic Information
      • Archive
    • International Journal of Epigenetics
      • International Journal of Epigenetics
      • Information for Authors
      • Editorial Policies
      • Editorial Board
      • Aims and Scope
      • Abstracting and Indexing
      • Bibliographic Information
      • Archive
    • Medicine International
      • Medicine International
      • Information for Authors
      • Editorial Policies
      • Editorial Board
      • Aims and Scope
      • Abstracting and Indexing
      • Bibliographic Information
      • Archive
  • Articles
  • Information
    • Information for Authors
    • Information for Reviewers
    • Information for Librarians
    • Information for Advertisers
    • Conferences
  • Language Editing
Spandidos Publications Logo
  • About
    • About Spandidos
    • Aims and Scopes
    • Abstracting and Indexing
    • Editorial Policies
    • Reprints and Permissions
    • Job Opportunities
    • Terms and Conditions
    • Contact
  • Journals
    • All Journals
    • Biomedical Reports
      • Information for Authors
      • Editorial Policies
      • Editorial Board
      • Aims and Scope
      • Abstracting and Indexing
      • Bibliographic Information
      • Archive
    • Experimental and Therapeutic Medicine
      • Information for Authors
      • Editorial Policies
      • Editorial Board
      • Aims and Scope
      • Abstracting and Indexing
      • Bibliographic Information
      • Archive
    • International Journal of Epigenetics
      • Information for Authors
      • Editorial Policies
      • Editorial Board
      • Aims and Scope
      • Abstracting and Indexing
      • Bibliographic Information
      • Archive
    • International Journal of Functional Nutrition
      • Information for Authors
      • Editorial Policies
      • Editorial Board
      • Aims and Scope
      • Abstracting and Indexing
      • Bibliographic Information
      • Archive
    • International Journal of Molecular Medicine
      • Information for Authors
      • Editorial Policies
      • Editorial Board
      • Aims and Scope
      • Abstracting and Indexing
      • Bibliographic Information
      • Archive
    • International Journal of Oncology
      • Information for Authors
      • Editorial Policies
      • Editorial Board
      • Aims and Scope
      • Abstracting and Indexing
      • Bibliographic Information
      • Archive
    • Medicine International
      • Information for Authors
      • Editorial Policies
      • Editorial Board
      • Aims and Scope
      • Abstracting and Indexing
      • Bibliographic Information
      • Archive
    • Molecular and Clinical Oncology
      • Information for Authors
      • Editorial Policies
      • Editorial Board
      • Aims and Scope
      • Abstracting and Indexing
      • Bibliographic Information
      • Archive
    • Molecular Medicine Reports
      • Information for Authors
      • Editorial Policies
      • Editorial Board
      • Aims and Scope
      • Abstracting and Indexing
      • Bibliographic Information
      • Archive
    • Oncology Letters
      • Information for Authors
      • Editorial Policies
      • Editorial Board
      • Aims and Scope
      • Abstracting and Indexing
      • Bibliographic Information
      • Archive
    • Oncology Reports
      • Information for Authors
      • Editorial Policies
      • Editorial Board
      • Aims and Scope
      • Abstracting and Indexing
      • Bibliographic Information
      • Archive
    • World Academy of Sciences Journal
      • Information for Authors
      • Editorial Policies
      • Editorial Board
      • Aims and Scope
      • Abstracting and Indexing
      • Bibliographic Information
      • Archive
  • Articles
  • Information
    • For Authors
    • For Reviewers
    • For Librarians
    • For Advertisers
    • Conferences
  • Language Editing
Login Register Submit
  • This site uses cookies
  • You can change your cookie settings at any time by following the instructions in our Cookie Policy. To find out more, you may read our Privacy Policy.

    I agree
Search articles by DOI, keyword, author or affiliation
Search
Advanced Search
presentation
Oncology Letters
Join Editorial Board Propose a Special Issue
Print ISSN: 1792-1074 Online ISSN: 1792-1082
Journal Cover
December-2016 Volume 12 Issue 6

Full Size Image

Sign up for eToc alerts
Recommend to Library

Journals

International Journal of Molecular Medicine

International Journal of Molecular Medicine

International Journal of Molecular Medicine is an international journal devoted to molecular mechanisms of human disease.

International Journal of Oncology

International Journal of Oncology

International Journal of Oncology is an international journal devoted to oncology research and cancer treatment.

Molecular Medicine Reports

Molecular Medicine Reports

Covers molecular medicine topics such as pharmacology, pathology, genetics, neuroscience, infectious diseases, molecular cardiology, and molecular surgery.

Oncology Reports

Oncology Reports

Oncology Reports is an international journal devoted to fundamental and applied research in Oncology.

Experimental and Therapeutic Medicine

Experimental and Therapeutic Medicine

Experimental and Therapeutic Medicine is an international journal devoted to laboratory and clinical medicine.

Oncology Letters

Oncology Letters

Oncology Letters is an international journal devoted to Experimental and Clinical Oncology.

Biomedical Reports

Biomedical Reports

Explores a wide range of biological and medical fields, including pharmacology, genetics, microbiology, neuroscience, and molecular cardiology.

Molecular and Clinical Oncology

Molecular and Clinical Oncology

International journal addressing all aspects of oncology research, from tumorigenesis and oncogenes to chemotherapy and metastasis.

World Academy of Sciences Journal

World Academy of Sciences Journal

Multidisciplinary open-access journal spanning biochemistry, genetics, neuroscience, environmental health, and synthetic biology.

International Journal of Functional Nutrition

International Journal of Functional Nutrition

Open-access journal combining biochemistry, pharmacology, immunology, and genetics to advance health through functional nutrition.

International Journal of Epigenetics

International Journal of Epigenetics

Publishes open-access research on using epigenetics to advance understanding and treatment of human disease.

Medicine International

Medicine International

An International Open Access Journal Devoted to General Medicine.

Journal Cover
December-2016 Volume 12 Issue 6

Full Size Image

Sign up for eToc alerts
Recommend to Library

  • Article
  • Citations
    • Cite This Article
    • Download Citation
    • Create Citation Alert
    • Remove Citation Alert
    • Cited By
  • Similar Articles
    • Related Articles (in Spandidos Publications)
    • Similar Articles (Google Scholar)
    • Similar Articles (PubMed)
  • Download PDF
  • Download XML
  • View XML
Article Open Access

Cadherin-11 expression is upregulated in invasive human breast cancer

  • Authors:
    • Kamil Pohlodek
    • Yen Y. Tan
    • Christian F. Singer
    • Daphne Gschwantler‑Kaulich
  • View Affiliations / Copyright

    Affiliations: Second Department of Gynecology and Obstetrics, Faculty of Medicine, Comenius University of Bratislava, 82606 Bratislava, Slovakia, Department of Obstetrics and Gynecology, Comprehensive Cancer Center, Medical University of Vienna, A‑1090 Vienna, Austria
    Copyright: © Pohlodek et al. This is an open access article distributed under the terms of Creative Commons Attribution License.
  • Pages: 4393-4398
    |
    Published online on: October 10, 2016
       https://doi.org/10.3892/ol.2016.5236
  • Expand metrics +
Metrics: Total Views: 0 (Spandidos Publications: | PMC Statistics: )
Metrics: Total PDF Downloads: 0 (Spandidos Publications: | PMC Statistics: )
Cited By (CrossRef): 0 citations Loading Articles...

This article is mentioned in:



Abstract

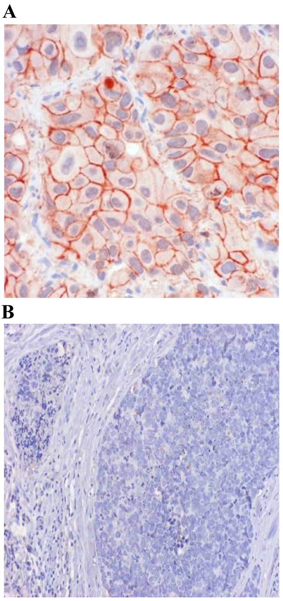
Loss of expression of cadherin-11 protein is correlated with a loss of epithelial phenotype and a gain in tumor cell proliferation and invasion. It has been hypothesized that cadherin-11 may be a molecular marker for a more aggressive subtype of breast cancer. The present study examined the expression of the mesenchymal gene/protein cadherin‑11 in malignant, benign and healthy breast cancer samples. A paraffin‑embedded tissue microarray of both malignant and benign/healthy breast tumor was used. Clinicopathological parameters, including age, grading, tumor size, hormone receptors and HER2 receptors status were obtained from patient medical records. Expression of cadherin‑11 was analyzed using the monoclonal mouse anti cadherin‑11 IgG2B clone. Total RNA was extracted from each breast cancer sample and subjected to semi‑quantitative RT‑PCR analysis for cadherin‑11. Cadherin‑11 was detected in 80/82 malignant breast cancer samples and in 33/70 non‑malignant tissue samples. Cadherin‑11 expression was observed to be predominantly localized to the membrane of tumor cells. When compared to healthy breast tissue biopsies, both cadherin‑11 mRNA and protein were demonstrated to be significantly overexpressed in breast carcinoma (P=0.040 and P<0.0001, respectively). Within malignant tumors, however, protein expression was not identified to be associated with other clinicopathological parameters. Our results indicate that cadherin‑11 expression is upregulated in malignant human breast cancer.
View Figures

Figure 1

Figure 2

View References

1 

Knudsen KA and Wheelock MJ: Cadherins and the mammary gland. J Cell Biochem. 95:488–496. 2005. View Article : Google Scholar : PubMed/NCBI

2 

Andrews JL, Kim AC and Hens JR: The role ad function of cadherins in the mammary gland. Breast Cancer Res. 14:2032012. View Article : Google Scholar : PubMed/NCBI

3 

Farina AK, Bong YS, Feltes CM and Byers SW: Post-transcriptional regulation of cadherin-11 expression by GSK-3 and beta-catenin in prostate and breast cancer cells. PLoS One. 4:e47972009. View Article : Google Scholar : PubMed/NCBI

4 

Albergaria A, Ribeiro AS, Vieira AF, Sousa B, Nobre AR, Seruca R, Schmitt FC and Paredes J: P-cadherin role in normal breast development and cancer. Int J Dev Biol. 55:811–822. 2011. View Article : Google Scholar : PubMed/NCBI

5 

Tamura D, Hiraga T, Myoui A, Yoshikawa H and Yoneda T: Cadherin-11-mediated interactions with bone marrow stromal/osteoblastic cells support selective colonization of breast cancer cells in bone. Int J Oncol. 33:17–24. 2008.PubMed/NCBI

6 

Pishvaian MJ, Feltes CM, Thompson P, Bussemakers MJ, Schalken JA and Byers SW: Cadherin-11 is expressed in invasive breast cancer cell lines. Cancer Res. 59:947–952. 1999.PubMed/NCBI

7 

Berx G and van Roy F: Involvement of members of the cadherin superfamily in cancer. Cold Spring Harb Perspect Biol. 1:a0031292009. View Article : Google Scholar : PubMed/NCBI

8 

Maeda M, Johnson KR and Wheelock MJ: Cadherin switching: Essential for behavioral but not morphological changes during epithelium-to-mesenchyme transition. J Cell Sci. 118:873–887. 2005. View Article : Google Scholar : PubMed/NCBI

9 

Kalluri R and Weinberg RA: The basics of epithelial-mesenchymal transition. J Clin Invest. 119:1420–1428. 2009. View Article : Google Scholar : PubMed/NCBI

10 

Lee DM, Kiener HP, Agarwal SK, Noss EH, Watts GF, Chisaka O, Takeichi M and Brenner MB: Cadherin-11 in synovial lining formation and pathology in arthritis. Science. 315:1006–1010. 2007. View Article : Google Scholar : PubMed/NCBI

11 

Huang CF, Lira C, Chu K, Bilen MA, Lee YC, Ye X, Kim SM, Ortiz A, Wu FL, Logothetis CJ, et al: Cadherin-11 increases migration and invasion of prostate cancer cells and enhances their interaction with osteoblasts. Cancer Res. 70:4580–4589. 2010. View Article : Google Scholar : PubMed/NCBI

12 

Nieto MA: Epithelial-mesenchymal transitions in development and disease: Old views and new perspectives. Int J Dev Biol. 53:1541–1547. 2009. View Article : Google Scholar : PubMed/NCBI

13 

Sarrió D, Rodriguez-Pinilla SM, Hardisson D, Cano A, Moreno-Bueno G and Palacios J: Epithelial-mesenchymal transition in breast cancer relates to the basal-like phenotype. Cancer Res. 68:989–997. 2008. View Article : Google Scholar : PubMed/NCBI

14 

Chao YL, Shepard CR and Wells A: Breast carcinoma cells re-express E-cadherin during mesenchymal to epithelial reverting transition. Mol Cancer. 9:1792010. View Article : Google Scholar : PubMed/NCBI

15 

Clevers H and Nusse R: Wnt/ß-catenin signaling and disease. Cell. 149:1192–1205. 2012. View Article : Google Scholar : PubMed/NCBI

16 

Dubois-Marshall S, Thomas JS, Faratian D, Harrison DJ and Katz E: Two possible mechanisms of epithelial to mesenchymal transition in invasive ductal breast cancer. Clin Exp Metastasis. 28:811–818. 2011. View Article : Google Scholar : PubMed/NCBI

17 

Aceto N, Toner M, Maheswaran S and Haber D: En route to metastasis: Circulating tumor cell clusters and epithelial-to-mesenchymal transition. Trends in Cancer. 1:44–52. 2015. View Article : Google Scholar

18 

Satcher RL, Pan T, Cheng CJ, Lee YC, Lin SC, Yu G, Li X, Hoang AG, Tamboli P, Jonasch E, et al: Cadherin-11 in renal cell carcinoma bone metastasis. PLoS One. 9:e898802014. View Article : Google Scholar : PubMed/NCBI

19 

Li Y, Chao F, Huang B, Liu D, Kim J and Huang S: HOXC8 promotes breast tumorigenesis by transcriptionally facilitating cadherin-11 expression. Oncotarget. 5:2596–2607. 2014. View Article : Google Scholar : PubMed/NCBI

20 

Alimperti S and Andreadis ST: CDH2 and CDH11 act as regulators of stem cell fate decisions. Stem Cell Res. 14:270–282. 2015. View Article : Google Scholar : PubMed/NCBI

21 

Assefnia S, Dakshanamurthy S, Auvil JM Guidry, Hampel C, Anastasiadis PZ, Kallakury B, Uren A, Foley DW, Brown ML, Shapiro L, et al: Cadherin-11 in poor prognosis malignancies and rheumatoid arthritis: Common target, common therapies. Oncotarget. 5:1458–1474. 2014. View Article : Google Scholar : PubMed/NCBI

22 

Dakshanamurthy S, Issa NT, Assefnia S, Seshasayee A, Peters OJ, Madhavan S, Uren A, Brown ML and Byers SW: Predicting new indications for approved drugs using a proteochemometric method. J Med Chem. 55:6832–6848. 2012. View Article : Google Scholar : PubMed/NCBI

23 

Remmele W and Schicketanz KH: Immunohistochemical determination of estrogen and progesterone receptor content in human breast cancer. Computer-assisted image analysis (QIC score) vs. subjective grading (IRS). Pathol Res Pract. 189:862–866. 1993. View Article : Google Scholar : PubMed/NCBI

24 

Hicks DG and Schiffhauer L: Standardized assessment of the HER2 status in breast cancer by immunohistochemistry. Lab Med. 42:459–467. 2011. View Article : Google Scholar

25 

Savci-Heijink CD, Halfwerk H, Hooijer GK, Horlings HM, Wesseling J and van de Vijver MJ: Retrospective analysis of metastatic behaviour of breast cancer subtypes. Breast Cancer Res Treat. 150:547–557. 2015. View Article : Google Scholar : PubMed/NCBI

26 

Salmen J, Neugebauer J, Fasching PA, Haeberle L, Huober J, Wöckel A, Rauh C, Schuetz F, Weissenbacher T, Kost B, et al: Pooled analysis of the prognostic relevance of progesterone receptor status in five German cohort studies. Breast Cancer Res Treat. 148:143–151. 2014. View Article : Google Scholar : PubMed/NCBI

27 

Sun JY, Wu SG, Li FY, Lin HX and He ZY: Progesterone receptor loss identifies hormone receptor-positive and HER2-negative breast cancer subgroups at higher risk of relapse: A retrospective cohort study. Onco Targets Ther. 9:1707–1713. 2016.PubMed/NCBI

28 

van Roy F: Beyond E-cadherin: Roles of other cadherin superfamily members in cancer. Nat Rev Cancer. 14:121–134. 2014. View Article : Google Scholar : PubMed/NCBI

Related Articles

  • Abstract
  • View
  • Download
  • Twitter
Copy and paste a formatted citation
Spandidos Publications style
Pohlodek K, Tan YY, Singer CF and Gschwantler‑Kaulich D: Cadherin-11 expression is upregulated in invasive human breast cancer. Oncol Lett 12: 4393-4398, 2016.
APA
Pohlodek, K., Tan, Y.Y., Singer, C.F., & Gschwantler‑Kaulich, D. (2016). Cadherin-11 expression is upregulated in invasive human breast cancer. Oncology Letters, 12, 4393-4398. https://doi.org/10.3892/ol.2016.5236
MLA
Pohlodek, K., Tan, Y. Y., Singer, C. F., Gschwantler‑Kaulich, D."Cadherin-11 expression is upregulated in invasive human breast cancer". Oncology Letters 12.6 (2016): 4393-4398.
Chicago
Pohlodek, K., Tan, Y. Y., Singer, C. F., Gschwantler‑Kaulich, D."Cadherin-11 expression is upregulated in invasive human breast cancer". Oncology Letters 12, no. 6 (2016): 4393-4398. https://doi.org/10.3892/ol.2016.5236
Copy and paste a formatted citation
x
Spandidos Publications style
Pohlodek K, Tan YY, Singer CF and Gschwantler‑Kaulich D: Cadherin-11 expression is upregulated in invasive human breast cancer. Oncol Lett 12: 4393-4398, 2016.
APA
Pohlodek, K., Tan, Y.Y., Singer, C.F., & Gschwantler‑Kaulich, D. (2016). Cadherin-11 expression is upregulated in invasive human breast cancer. Oncology Letters, 12, 4393-4398. https://doi.org/10.3892/ol.2016.5236
MLA
Pohlodek, K., Tan, Y. Y., Singer, C. F., Gschwantler‑Kaulich, D."Cadherin-11 expression is upregulated in invasive human breast cancer". Oncology Letters 12.6 (2016): 4393-4398.
Chicago
Pohlodek, K., Tan, Y. Y., Singer, C. F., Gschwantler‑Kaulich, D."Cadherin-11 expression is upregulated in invasive human breast cancer". Oncology Letters 12, no. 6 (2016): 4393-4398. https://doi.org/10.3892/ol.2016.5236
Follow us
  • Twitter
  • LinkedIn
  • Facebook
About
  • Spandidos Publications
  • Careers
  • Cookie Policy
  • Privacy Policy
How can we help?
  • Help
  • Live Chat
  • Contact
  • Email to our Support Team