Spandidos Publications Logo
  • About
    • About Spandidos
    • Aims and Scopes
    • Abstracting and Indexing
    • Editorial Policies
    • Reprints and Permissions
    • Job Opportunities
    • Terms and Conditions
    • Contact
  • Journals
    • All Journals
    • Oncology Letters
      • Oncology Letters
      • Information for Authors
      • Editorial Policies
      • Editorial Board
      • Aims and Scope
      • Abstracting and Indexing
      • Bibliographic Information
      • Archive
    • International Journal of Oncology
      • International Journal of Oncology
      • Information for Authors
      • Editorial Policies
      • Editorial Board
      • Aims and Scope
      • Abstracting and Indexing
      • Bibliographic Information
      • Archive
    • Molecular and Clinical Oncology
      • Molecular and Clinical Oncology
      • Information for Authors
      • Editorial Policies
      • Editorial Board
      • Aims and Scope
      • Abstracting and Indexing
      • Bibliographic Information
      • Archive
    • Experimental and Therapeutic Medicine
      • Experimental and Therapeutic Medicine
      • Information for Authors
      • Editorial Policies
      • Editorial Board
      • Aims and Scope
      • Abstracting and Indexing
      • Bibliographic Information
      • Archive
    • International Journal of Molecular Medicine
      • International Journal of Molecular Medicine
      • Information for Authors
      • Editorial Policies
      • Editorial Board
      • Aims and Scope
      • Abstracting and Indexing
      • Bibliographic Information
      • Archive
    • Biomedical Reports
      • Biomedical Reports
      • Information for Authors
      • Editorial Policies
      • Editorial Board
      • Aims and Scope
      • Abstracting and Indexing
      • Bibliographic Information
      • Archive
    • Oncology Reports
      • Oncology Reports
      • Information for Authors
      • Editorial Policies
      • Editorial Board
      • Aims and Scope
      • Abstracting and Indexing
      • Bibliographic Information
      • Archive
    • Molecular Medicine Reports
      • Molecular Medicine Reports
      • Information for Authors
      • Editorial Policies
      • Editorial Board
      • Aims and Scope
      • Abstracting and Indexing
      • Bibliographic Information
      • Archive
    • World Academy of Sciences Journal
      • World Academy of Sciences Journal
      • Information for Authors
      • Editorial Policies
      • Editorial Board
      • Aims and Scope
      • Abstracting and Indexing
      • Bibliographic Information
      • Archive
    • International Journal of Functional Nutrition
      • International Journal of Functional Nutrition
      • Information for Authors
      • Editorial Policies
      • Editorial Board
      • Aims and Scope
      • Abstracting and Indexing
      • Bibliographic Information
      • Archive
    • International Journal of Epigenetics
      • International Journal of Epigenetics
      • Information for Authors
      • Editorial Policies
      • Editorial Board
      • Aims and Scope
      • Abstracting and Indexing
      • Bibliographic Information
      • Archive
    • Medicine International
      • Medicine International
      • Information for Authors
      • Editorial Policies
      • Editorial Board
      • Aims and Scope
      • Abstracting and Indexing
      • Bibliographic Information
      • Archive
  • Articles
  • Information
    • Information for Authors
    • Information for Reviewers
    • Information for Librarians
    • Information for Advertisers
    • Conferences
  • Language Editing
Spandidos Publications Logo
  • About
    • About Spandidos
    • Aims and Scopes
    • Abstracting and Indexing
    • Editorial Policies
    • Reprints and Permissions
    • Job Opportunities
    • Terms and Conditions
    • Contact
  • Journals
    • All Journals
    • Biomedical Reports
      • Information for Authors
      • Editorial Policies
      • Editorial Board
      • Aims and Scope
      • Abstracting and Indexing
      • Bibliographic Information
      • Archive
    • Experimental and Therapeutic Medicine
      • Information for Authors
      • Editorial Policies
      • Editorial Board
      • Aims and Scope
      • Abstracting and Indexing
      • Bibliographic Information
      • Archive
    • International Journal of Epigenetics
      • Information for Authors
      • Editorial Policies
      • Editorial Board
      • Aims and Scope
      • Abstracting and Indexing
      • Bibliographic Information
      • Archive
    • International Journal of Functional Nutrition
      • Information for Authors
      • Editorial Policies
      • Editorial Board
      • Aims and Scope
      • Abstracting and Indexing
      • Bibliographic Information
      • Archive
    • International Journal of Molecular Medicine
      • Information for Authors
      • Editorial Policies
      • Editorial Board
      • Aims and Scope
      • Abstracting and Indexing
      • Bibliographic Information
      • Archive
    • International Journal of Oncology
      • Information for Authors
      • Editorial Policies
      • Editorial Board
      • Aims and Scope
      • Abstracting and Indexing
      • Bibliographic Information
      • Archive
    • Medicine International
      • Information for Authors
      • Editorial Policies
      • Editorial Board
      • Aims and Scope
      • Abstracting and Indexing
      • Bibliographic Information
      • Archive
    • Molecular and Clinical Oncology
      • Information for Authors
      • Editorial Policies
      • Editorial Board
      • Aims and Scope
      • Abstracting and Indexing
      • Bibliographic Information
      • Archive
    • Molecular Medicine Reports
      • Information for Authors
      • Editorial Policies
      • Editorial Board
      • Aims and Scope
      • Abstracting and Indexing
      • Bibliographic Information
      • Archive
    • Oncology Letters
      • Information for Authors
      • Editorial Policies
      • Editorial Board
      • Aims and Scope
      • Abstracting and Indexing
      • Bibliographic Information
      • Archive
    • Oncology Reports
      • Information for Authors
      • Editorial Policies
      • Editorial Board
      • Aims and Scope
      • Abstracting and Indexing
      • Bibliographic Information
      • Archive
    • World Academy of Sciences Journal
      • Information for Authors
      • Editorial Policies
      • Editorial Board
      • Aims and Scope
      • Abstracting and Indexing
      • Bibliographic Information
      • Archive
  • Articles
  • Information
    • For Authors
    • For Reviewers
    • For Librarians
    • For Advertisers
    • Conferences
  • Language Editing
Login Register Submit
  • This site uses cookies
  • You can change your cookie settings at any time by following the instructions in our Cookie Policy. To find out more, you may read our Privacy Policy.

    I agree
Search articles by DOI, keyword, author or affiliation
Search
Advanced Search
presentation
Oncology Letters
Join Editorial Board Propose a Special Issue
Print ISSN: 1792-1074 Online ISSN: 1792-1082
Journal Cover
March-2017 Volume 13 Issue 3

Full Size Image

Sign up for eToc alerts
Recommend to Library

Journals

International Journal of Molecular Medicine

International Journal of Molecular Medicine

International Journal of Molecular Medicine is an international journal devoted to molecular mechanisms of human disease.

International Journal of Oncology

International Journal of Oncology

International Journal of Oncology is an international journal devoted to oncology research and cancer treatment.

Molecular Medicine Reports

Molecular Medicine Reports

Covers molecular medicine topics such as pharmacology, pathology, genetics, neuroscience, infectious diseases, molecular cardiology, and molecular surgery.

Oncology Reports

Oncology Reports

Oncology Reports is an international journal devoted to fundamental and applied research in Oncology.

Experimental and Therapeutic Medicine

Experimental and Therapeutic Medicine

Experimental and Therapeutic Medicine is an international journal devoted to laboratory and clinical medicine.

Oncology Letters

Oncology Letters

Oncology Letters is an international journal devoted to Experimental and Clinical Oncology.

Biomedical Reports

Biomedical Reports

Explores a wide range of biological and medical fields, including pharmacology, genetics, microbiology, neuroscience, and molecular cardiology.

Molecular and Clinical Oncology

Molecular and Clinical Oncology

International journal addressing all aspects of oncology research, from tumorigenesis and oncogenes to chemotherapy and metastasis.

World Academy of Sciences Journal

World Academy of Sciences Journal

Multidisciplinary open-access journal spanning biochemistry, genetics, neuroscience, environmental health, and synthetic biology.

International Journal of Functional Nutrition

International Journal of Functional Nutrition

Open-access journal combining biochemistry, pharmacology, immunology, and genetics to advance health through functional nutrition.

International Journal of Epigenetics

International Journal of Epigenetics

Publishes open-access research on using epigenetics to advance understanding and treatment of human disease.

Medicine International

Medicine International

An International Open Access Journal Devoted to General Medicine.

Journal Cover
March-2017 Volume 13 Issue 3

Full Size Image

Sign up for eToc alerts
Recommend to Library

  • Article
  • Citations
    • Cite This Article
    • Download Citation
    • Create Citation Alert
    • Remove Citation Alert
    • Cited By
  • Similar Articles
    • Related Articles (in Spandidos Publications)
    • Similar Articles (Google Scholar)
    • Similar Articles (PubMed)
  • Download PDF
  • Download XML
  • View XML
Case Report

Sarcomatoid urothelial carcinoma with chondrosarcomatous differentiation of the ureter: A case report and review of the literature

  • Authors:
    • Wei Lu
    • Yanjun Wang
    • Yonghong Li
    • Yun Cao
    • Hui Han
    • Fangjian Zhou
  • View Affiliations / Copyright

    Affiliations: Department of Urology, State Key Laboratory of Oncology in Southern China, Sun Yat‑Sen University Cancer Center, Guangzhou, Guangdong 510060, P.R. China, Department of Pathology, State Key Laboratory of Oncology in Southern China, Sun Yat‑sen University Cancer Center, Guangzhou, Guangdong 510060, P.R. China
  • Pages: 1331-1337
    |
    Published online on: January 5, 2017
       https://doi.org/10.3892/ol.2017.5575
  • Expand metrics +
Metrics: Total Views: 0 (Spandidos Publications: | PMC Statistics: )
Metrics: Total PDF Downloads: 0 (Spandidos Publications: | PMC Statistics: )
Cited By (CrossRef): 0 citations Loading Articles...

This article is mentioned in:



Abstract

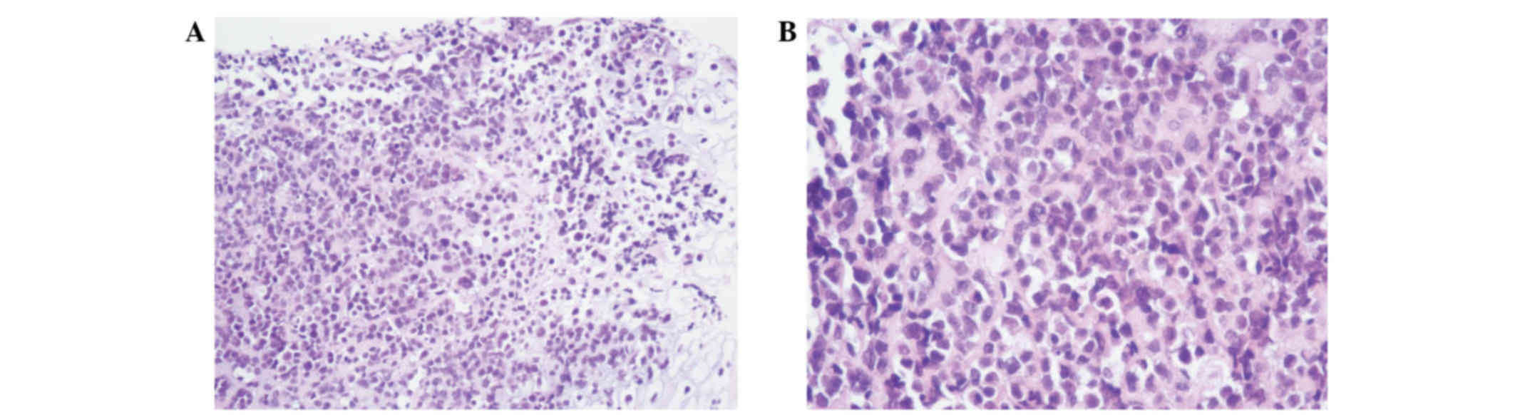
Sarcomatoid urothelial carcinoma of the urinary tract is associated with poor prognosis. The majority of sarcomatoid urothelial carcinomas are found in the urinary bladder, while a small minority have been shown to arise from the ureter. In the present case, a 72‑year‑old male patient was diagnosed with sarcomatoid urothelial carcinoma with chondrosarcomatous differentiation of the left ureter, and subsequently underwent nephroureterectomy and retroperitoneal lymph node dissection. Two lymph nodes from the renal hilum and one paraaortic lymph node were also found to have metastatic involvement; however, the patient refused to receive chemotherapy or radiotherapy and succumbed to bone and omentum metastasis at 6 months after the initial diagnosis. Sarcomatoid urothelial carcinoma of the ureter is uncommon. Even rarer is the presence of malignant heterologous elements, such as chondrosarcoma. The present study reports a rare case of sarcomatoid urothelial carcinoma with chondrosarcomatous differentiation of the ureter, as well as a review of the literature, in order to demonstrate the aggressive nature of this particular malignancy.
View Figures

Figure 1

Figure 2

Figure 3

View References

1 

Beltran A Lopez, Sauter G, Gasser T, et al: Infiltrating urothelial carcinoma. World Health Organization Classification of Tumors. Pathology And GeneticsTumours of the Urinary System and Male Genital Organs. Eble JN, Sauter G, Epstein JI and Sesterhenn IA: IARC Press; Lyon: pp. 93–109. 2004

2 

Tanaka MF and Sonpavde G: Diagnosis and management of urothelial carcinoma of the bladder. Postgrad Med. 123:43–55. 2011. View Article : Google Scholar : PubMed/NCBI

3 

Renner MJ: Primary malignant tumors of the ureter. Surg Gynecol Obstet. 52:793–803. 1931.

4 

Yano S, Arita M, Ueno F, Yoshida M, Ikegami K and Fukuda S: Carcinosarcoma of the ureter. Eur Urol. 10:711984.PubMed/NCBI

5 

Byard RW, Bell ME and Alkan MK: Primary carcinosarcoma: A rare cause of unilateral ureteral obstruction. J Urol. 137:732–733. 1987.PubMed/NCBI

6 

Fukuda T, Ohnishi Y, Sato K, Tachikawa S, Tamura T, Uehara T and Emura I: Transitional cell carcinoma with sarcomatous elements in the urinary tract. Six cases examined by immunohistochemistry. Acta Pathol Jpn. 41:143–149. 1991.PubMed/NCBI

7 

Tsutsumi M, Kamiya M, Sakamoto M, Tobisu K and Kakizoe T: A ureteral small cell carcinoma mixed with malignant mesodermal and ectodermal elements: A clinicopathological, morphological and immunohistochemical study. Jpn J Clin Oncol. 23:325–329. 1993.PubMed/NCBI

8 

Ishikura H, Kumagai F and Yoshiki T: Carcinosarcoma of the ureter with unusual histologic features. Jpn J Clin Oncol. 24:175–180. 1994.PubMed/NCBI

9 

Ichiyanagi N, Yamada T and Sakai Y: Carcinosarcoma of the ureter: A case report. (Abstract). Rinsho Hinyokika. 52:965–967. 1998.

10 

Maeda D, Fujii A, Yamaguchi K, Tominaga T, Fukayama M and Mori M: Sarcomatoid carcinoma with a predominant basaloid squamous carcinoma component: The first report of an unusual biphasic tumor of the ureter. Jpn J Clin Oncol. 37:878–883. 2007. View Article : Google Scholar : PubMed/NCBI

11 

Völker HU, Zettl A, Schön G, Heller V, Heinrich E, Rosenwald A, Handwerker M, Müller-Hermelink HK, Marx A and Ströbel P: Molecular genetic findings in two cases of sarcomatoid carcinoma of the ureter: Evidence for evolution from a common pluripotent progenitor cell? Virchows Arch. 452:457–463. 2008. View Article : Google Scholar : PubMed/NCBI

12 

McDade HB, Armstrong EM and Graham AG: Proceedings: A case of carcinosarcoma of ureter. J Clin Pathol. 27:5141974. View Article : Google Scholar : PubMed/NCBI

13 

Murata T, Soga T, Tajima K, Saito K, Komeda Y, Ioshii SO, Shiraishi T, Sakakura T and Yatani R: Sarcomatoid carcinoma of the urinary tract. Pathol Int. 44:138–144. 1994. View Article : Google Scholar : PubMed/NCBI

14 

Burt JD, Murphy D and Heffernan EB: Carcinosarcoma of the ureter presenting as biliary colic. Aust N Z J Surg. 65:63–64. 1995. View Article : Google Scholar : PubMed/NCBI

15 

Nagayoshi J, Kawakami T and Maruyama Y: Sarcomatoid carcinoma of the ureter: A case report. Int J Urol. 4:618–620. 1997. View Article : Google Scholar : PubMed/NCBI

16 

Perimenis P, Athanasopoulos A, Geragthy J and Speakman M: Carcinosarcoma of the ureter: A rare, pleomorphic, aggressive malignancy. Int Urol Nephrol. 35:491–493. 2003. View Article : Google Scholar : PubMed/NCBI

17 

Lee G, Rankin A, Williamson M and Pope A: Case report: Sarcomatoid carcinoma arising from the ureter: A rare case and a treatment dilemma. Int Urol Nephrol. 36:153–154. 2004. View Article : Google Scholar : PubMed/NCBI

18 

Busby JE, Brown GA, Tamboli P, Kamat AM, Dinney CP, Grossman HB and Matin SF: Upper urinary tract tumors with nontransitional histology: A single-center experience. Urology. 67:518–523. 2006. View Article : Google Scholar : PubMed/NCBI

19 

Petsch MJ, Planz B, Tschahargane C and Caspers HP: Primary sarcomatoid carcinoma of the ureter. Aktuelle Urol. 35:137–139. 2004.(In German). View Article : Google Scholar : PubMed/NCBI

20 

Kakoi N, Miyajima A, Motizuku T, Mizuguchi Y, Asano T and Hayakawa M: Carcinosarcoma of the renal pelvis and ureter: A case report. Hinyokika Kiyo. 48:29–32. 2002.(In Japanese). PubMed/NCBI

21 

Nicolas MM, Nazarullah A and Guo CC: Sarcomatoid urothelial carcinoma with chondrosarcomatous differentiation of the ureter: A case report. Anal Quant Cytopathol Histpathol. 36:111–116. 2014.PubMed/NCBI

22 

Darko A, Das K, Bhalla RS and Heller D: Carcinosarcoma of the ureter: Report of a case with unusual histology and review of the literature. Int J Urol. 13:1528–1531. 2006. View Article : Google Scholar : PubMed/NCBI

23 

Johnin K, Kadowaki T, Kushima M, Ushida H, Koizumi S and Okada Y: Primary heterologous carcinosarcoma of the ureter with necrotic malignant polyps. Report of a case and review of the literature. Urol Int. 70:232–235. 2003. View Article : Google Scholar : PubMed/NCBI

24 

Fleming S: Carcinosarcoma (mixed mesodermal tumor) of the ureter. J Urol. 138:1234–1235. 1987.PubMed/NCBI

25 

Lopez-Beltran A, Pacelli A, Rothenberg HJ, Wollan PC, Zincke H, Blute ML and Bostwick DG: Carcinosarcoma and sarcomatoid carcinoma of the bladder: Clinicopathological study of 41 cases. J Urol. 159:1497–1503. 1998. View Article : Google Scholar : PubMed/NCBI

26 

Clark PE, Agarwal N, Biagioli MC, Eisenberger MA, Greenberg RE, Herr HW, Inman BA, Kuban DA, Kuzel TM, Lele SM, et al: Bladder cancer. J Natl Compr Canc Netw. 11:446–475. 2013.PubMed/NCBI

27 

Eble JN, Sauter G, Epstein J and Sesterhenn I: World Health Organiztion Classification of Tumours: Pathology and Genetics of Tumours of the Urinary System and Male Genital Organs. 7. 3rd. IARC Press; Lyon: 2004

28 

Sung MT, Wang M, MacLennan GT, Eble JN, Tan PH, Lopez-Beltran A, Montironi R, Harris JJ, Kuhar M and Cheng L: Histogenesis of sarcomatoid urothelial carcinoma of the urinary bladder: Evidence for a common clonal origin with divergent differentiation. J Pathol. 211:420–430. 2007. View Article : Google Scholar : PubMed/NCBI

29 

Gira FA, Barbieri A, Fellegara G, Zompatori M and Corradi D: Dedifferentiated chromophobe renal cell carcinoma with massive osteosarcoma-like divergent differentiation: A singular entity in the spectrum of retroperitoneal calcifying tumors. Int J Surg Pathol. 18:419–423. 2010.PubMed/NCBI

30 

Cserni G, Kovács BR, Tarján M, Sápi Z, Domján Z and Szabó Z: Sarcomatoid renal cell carcinoma with foci of chromophobe carcinoma. Pathol Oncol Res. 8:142–144. 2002. View Article : Google Scholar : PubMed/NCBI

31 

Wang X, MacLennan GT, Zhang S, Montironi R, Lopez-Beltran A, Tan PH, Foster S, Baldridge LA and Cheng L: Sarcomatoid carcinoma of the upper urinary tract: Clinical outcome and molecular characterization. Hum Pathol. 40:211–217. 2009. View Article : Google Scholar : PubMed/NCBI

32 

Lichtenstein L and Bernstein D: Unusual benign and malignant chondroid tumors of bone. A survey of some mesenchymal cartilage tumors and malignant chondroblastic tumors, including a few multicentric ones, as well as many atypical benign chondroblastomas and chondromyxoid fibromas. Cancer. 12:1142–1157. 1959. View Article : Google Scholar : PubMed/NCBI

33 

Bahr AL and Gayler BW: Cranial chondrosarcomas. Report of four cases and review of the literature. Radiology. 124:151–156. 1977. View Article : Google Scholar : PubMed/NCBI

34 

Huvos AG, Rosen G, Dabska M and Marcove RC: Mesenchymal chondrosarcoma. A clinicopathologic analysis of 35 patients with emphasis on treatment. Cancer. 51:1230–1237. 1983. View Article : Google Scholar : PubMed/NCBI

35 

Shapeero LG, Vanel D, Couanet D, Contesso G and Ackerman LV: Extraskeletal mesenchymal chondrosarcoma. Radiology. 186:819–826. 1993. View Article : Google Scholar : PubMed/NCBI

36 

Yilmaz E, Birlik B, Arican Z and Guney S: Carcinosarcoma of the renal pelvis and urinary bladder: A case report. Korean J Radiol. 4:255–259. 2003. View Article : Google Scholar : PubMed/NCBI

Related Articles

  • Abstract
  • View
  • Download
  • Twitter
Copy and paste a formatted citation
Spandidos Publications style
Lu W, Wang Y, Li Y, Cao Y, Han H and Zhou F: Sarcomatoid urothelial carcinoma with chondrosarcomatous differentiation of the ureter: A case report and review of the literature. Oncol Lett 13: 1331-1337, 2017.
APA
Lu, W., Wang, Y., Li, Y., Cao, Y., Han, H., & Zhou, F. (2017). Sarcomatoid urothelial carcinoma with chondrosarcomatous differentiation of the ureter: A case report and review of the literature. Oncology Letters, 13, 1331-1337. https://doi.org/10.3892/ol.2017.5575
MLA
Lu, W., Wang, Y., Li, Y., Cao, Y., Han, H., Zhou, F."Sarcomatoid urothelial carcinoma with chondrosarcomatous differentiation of the ureter: A case report and review of the literature". Oncology Letters 13.3 (2017): 1331-1337.
Chicago
Lu, W., Wang, Y., Li, Y., Cao, Y., Han, H., Zhou, F."Sarcomatoid urothelial carcinoma with chondrosarcomatous differentiation of the ureter: A case report and review of the literature". Oncology Letters 13, no. 3 (2017): 1331-1337. https://doi.org/10.3892/ol.2017.5575
Copy and paste a formatted citation
x
Spandidos Publications style
Lu W, Wang Y, Li Y, Cao Y, Han H and Zhou F: Sarcomatoid urothelial carcinoma with chondrosarcomatous differentiation of the ureter: A case report and review of the literature. Oncol Lett 13: 1331-1337, 2017.
APA
Lu, W., Wang, Y., Li, Y., Cao, Y., Han, H., & Zhou, F. (2017). Sarcomatoid urothelial carcinoma with chondrosarcomatous differentiation of the ureter: A case report and review of the literature. Oncology Letters, 13, 1331-1337. https://doi.org/10.3892/ol.2017.5575
MLA
Lu, W., Wang, Y., Li, Y., Cao, Y., Han, H., Zhou, F."Sarcomatoid urothelial carcinoma with chondrosarcomatous differentiation of the ureter: A case report and review of the literature". Oncology Letters 13.3 (2017): 1331-1337.
Chicago
Lu, W., Wang, Y., Li, Y., Cao, Y., Han, H., Zhou, F."Sarcomatoid urothelial carcinoma with chondrosarcomatous differentiation of the ureter: A case report and review of the literature". Oncology Letters 13, no. 3 (2017): 1331-1337. https://doi.org/10.3892/ol.2017.5575
Follow us
  • Twitter
  • LinkedIn
  • Facebook
About
  • Spandidos Publications
  • Careers
  • Cookie Policy
  • Privacy Policy
How can we help?
  • Help
  • Live Chat
  • Contact
  • Email to our Support Team