Spandidos Publications Logo
  • About
    • About Spandidos
    • Aims and Scopes
    • Abstracting and Indexing
    • Editorial Policies
    • Reprints and Permissions
    • Job Opportunities
    • Terms and Conditions
    • Contact
  • Journals
    • All Journals
    • Oncology Letters
      • Oncology Letters
      • Information for Authors
      • Editorial Policies
      • Editorial Board
      • Aims and Scope
      • Abstracting and Indexing
      • Bibliographic Information
      • Archive
    • International Journal of Oncology
      • International Journal of Oncology
      • Information for Authors
      • Editorial Policies
      • Editorial Board
      • Aims and Scope
      • Abstracting and Indexing
      • Bibliographic Information
      • Archive
    • Molecular and Clinical Oncology
      • Molecular and Clinical Oncology
      • Information for Authors
      • Editorial Policies
      • Editorial Board
      • Aims and Scope
      • Abstracting and Indexing
      • Bibliographic Information
      • Archive
    • Experimental and Therapeutic Medicine
      • Experimental and Therapeutic Medicine
      • Information for Authors
      • Editorial Policies
      • Editorial Board
      • Aims and Scope
      • Abstracting and Indexing
      • Bibliographic Information
      • Archive
    • International Journal of Molecular Medicine
      • International Journal of Molecular Medicine
      • Information for Authors
      • Editorial Policies
      • Editorial Board
      • Aims and Scope
      • Abstracting and Indexing
      • Bibliographic Information
      • Archive
    • Biomedical Reports
      • Biomedical Reports
      • Information for Authors
      • Editorial Policies
      • Editorial Board
      • Aims and Scope
      • Abstracting and Indexing
      • Bibliographic Information
      • Archive
    • Oncology Reports
      • Oncology Reports
      • Information for Authors
      • Editorial Policies
      • Editorial Board
      • Aims and Scope
      • Abstracting and Indexing
      • Bibliographic Information
      • Archive
    • Molecular Medicine Reports
      • Molecular Medicine Reports
      • Information for Authors
      • Editorial Policies
      • Editorial Board
      • Aims and Scope
      • Abstracting and Indexing
      • Bibliographic Information
      • Archive
    • World Academy of Sciences Journal
      • World Academy of Sciences Journal
      • Information for Authors
      • Editorial Policies
      • Editorial Board
      • Aims and Scope
      • Abstracting and Indexing
      • Bibliographic Information
      • Archive
    • International Journal of Functional Nutrition
      • International Journal of Functional Nutrition
      • Information for Authors
      • Editorial Policies
      • Editorial Board
      • Aims and Scope
      • Abstracting and Indexing
      • Bibliographic Information
      • Archive
    • International Journal of Epigenetics
      • International Journal of Epigenetics
      • Information for Authors
      • Editorial Policies
      • Editorial Board
      • Aims and Scope
      • Abstracting and Indexing
      • Bibliographic Information
      • Archive
    • Medicine International
      • Medicine International
      • Information for Authors
      • Editorial Policies
      • Editorial Board
      • Aims and Scope
      • Abstracting and Indexing
      • Bibliographic Information
      • Archive
  • Articles
  • Information
    • Information for Authors
    • Information for Reviewers
    • Information for Librarians
    • Information for Advertisers
    • Conferences
  • Language Editing
Spandidos Publications Logo
  • About
    • About Spandidos
    • Aims and Scopes
    • Abstracting and Indexing
    • Editorial Policies
    • Reprints and Permissions
    • Job Opportunities
    • Terms and Conditions
    • Contact
  • Journals
    • All Journals
    • Biomedical Reports
      • Information for Authors
      • Editorial Policies
      • Editorial Board
      • Aims and Scope
      • Abstracting and Indexing
      • Bibliographic Information
      • Archive
    • Experimental and Therapeutic Medicine
      • Information for Authors
      • Editorial Policies
      • Editorial Board
      • Aims and Scope
      • Abstracting and Indexing
      • Bibliographic Information
      • Archive
    • International Journal of Epigenetics
      • Information for Authors
      • Editorial Policies
      • Editorial Board
      • Aims and Scope
      • Abstracting and Indexing
      • Bibliographic Information
      • Archive
    • International Journal of Functional Nutrition
      • Information for Authors
      • Editorial Policies
      • Editorial Board
      • Aims and Scope
      • Abstracting and Indexing
      • Bibliographic Information
      • Archive
    • International Journal of Molecular Medicine
      • Information for Authors
      • Editorial Policies
      • Editorial Board
      • Aims and Scope
      • Abstracting and Indexing
      • Bibliographic Information
      • Archive
    • International Journal of Oncology
      • Information for Authors
      • Editorial Policies
      • Editorial Board
      • Aims and Scope
      • Abstracting and Indexing
      • Bibliographic Information
      • Archive
    • Medicine International
      • Information for Authors
      • Editorial Policies
      • Editorial Board
      • Aims and Scope
      • Abstracting and Indexing
      • Bibliographic Information
      • Archive
    • Molecular and Clinical Oncology
      • Information for Authors
      • Editorial Policies
      • Editorial Board
      • Aims and Scope
      • Abstracting and Indexing
      • Bibliographic Information
      • Archive
    • Molecular Medicine Reports
      • Information for Authors
      • Editorial Policies
      • Editorial Board
      • Aims and Scope
      • Abstracting and Indexing
      • Bibliographic Information
      • Archive
    • Oncology Letters
      • Information for Authors
      • Editorial Policies
      • Editorial Board
      • Aims and Scope
      • Abstracting and Indexing
      • Bibliographic Information
      • Archive
    • Oncology Reports
      • Information for Authors
      • Editorial Policies
      • Editorial Board
      • Aims and Scope
      • Abstracting and Indexing
      • Bibliographic Information
      • Archive
    • World Academy of Sciences Journal
      • Information for Authors
      • Editorial Policies
      • Editorial Board
      • Aims and Scope
      • Abstracting and Indexing
      • Bibliographic Information
      • Archive
  • Articles
  • Information
    • For Authors
    • For Reviewers
    • For Librarians
    • For Advertisers
    • Conferences
  • Language Editing
Login Register Submit
  • This site uses cookies
  • You can change your cookie settings at any time by following the instructions in our Cookie Policy. To find out more, you may read our Privacy Policy.

    I agree
Search articles by DOI, keyword, author or affiliation
Search
Advanced Search
presentation
Oncology Letters
Join Editorial Board Propose a Special Issue
Print ISSN: 1792-1074 Online ISSN: 1792-1082
Journal Cover
May-2017 Volume 13 Issue 5

Full Size Image

Sign up for eToc alerts
Recommend to Library

Journals

International Journal of Molecular Medicine

International Journal of Molecular Medicine

International Journal of Molecular Medicine is an international journal devoted to molecular mechanisms of human disease.

International Journal of Oncology

International Journal of Oncology

International Journal of Oncology is an international journal devoted to oncology research and cancer treatment.

Molecular Medicine Reports

Molecular Medicine Reports

Covers molecular medicine topics such as pharmacology, pathology, genetics, neuroscience, infectious diseases, molecular cardiology, and molecular surgery.

Oncology Reports

Oncology Reports

Oncology Reports is an international journal devoted to fundamental and applied research in Oncology.

Experimental and Therapeutic Medicine

Experimental and Therapeutic Medicine

Experimental and Therapeutic Medicine is an international journal devoted to laboratory and clinical medicine.

Oncology Letters

Oncology Letters

Oncology Letters is an international journal devoted to Experimental and Clinical Oncology.

Biomedical Reports

Biomedical Reports

Explores a wide range of biological and medical fields, including pharmacology, genetics, microbiology, neuroscience, and molecular cardiology.

Molecular and Clinical Oncology

Molecular and Clinical Oncology

International journal addressing all aspects of oncology research, from tumorigenesis and oncogenes to chemotherapy and metastasis.

World Academy of Sciences Journal

World Academy of Sciences Journal

Multidisciplinary open-access journal spanning biochemistry, genetics, neuroscience, environmental health, and synthetic biology.

International Journal of Functional Nutrition

International Journal of Functional Nutrition

Open-access journal combining biochemistry, pharmacology, immunology, and genetics to advance health through functional nutrition.

International Journal of Epigenetics

International Journal of Epigenetics

Publishes open-access research on using epigenetics to advance understanding and treatment of human disease.

Medicine International

Medicine International

An International Open Access Journal Devoted to General Medicine.

Journal Cover
May-2017 Volume 13 Issue 5

Full Size Image

Sign up for eToc alerts
Recommend to Library

  • Article
  • Citations
    • Cite This Article
    • Download Citation
    • Create Citation Alert
    • Remove Citation Alert
    • Cited By
  • Similar Articles
    • Related Articles (in Spandidos Publications)
    • Similar Articles (Google Scholar)
    • Similar Articles (PubMed)
  • Download PDF
  • Download XML
  • View XML
Article Open Access

Upregulation of maspin expression in human cervical carcinoma cells by transforming growth factor β1 through the convergence of Smad and non‑Smad signaling pathways

  • Authors:
    • Ariyaphong Wongnoppavich
    • Nahathai Dukaew
    • Sirinthip Choonate
    • Kongthawat Chairatvit
  • View Affiliations / Copyright

    Affiliations: Department of Biochemistry, Faculty of Medicine, Chiang Mai University, Chiang Mai 50200, Thailand, Department of Oral Biology, Faculty of Dentistry, Mahidol University, Bangkok 10400, Thailand
    Copyright: © Wongnoppavich et al. This is an open access article distributed under the terms of Creative Commons Attribution License.
  • Pages: 3646-3652
    |
    Published online on: March 28, 2017
       https://doi.org/10.3892/ol.2017.5939
  • Expand metrics +
Metrics: Total Views: 0 (Spandidos Publications: | PMC Statistics: )
Metrics: Total PDF Downloads: 0 (Spandidos Publications: | PMC Statistics: )
Cited By (CrossRef): 0 citations Loading Articles...

This article is mentioned in:


Abstract

Mammary serine protease inhibitor (maspin), encoded by the serpin family B member 5 gene, serves as a tumor suppressor through the inhibition of cancer cell invasion and metastasis. Paradoxically, maspin levels are upregulated in a number of types of malignant cells. Therefore, the regulation of maspin expression may depend on the genetic or epigenetic background and the specific microenvironment of carcinoma cells. In the present study, it was demonstrated that transforming growth factor β1 (TGF‑β1) induced maspin expression at the transcript and protein levels in the human cervical carcinoma HeLa and human oral squamous carcinoma HSC4 cell lines. The inhibition of the mothers against decapentaplegic homolog (Smad)‑dependent pathway by a Smad3‑specific inhibitor suppressed maspin induction by TGF‑β1 in HeLa cells. Inhibition of the non‑Smad pathway by pretreatment with the mitogen‑activated protein kinase kinase 1/2 (MEK1/2) inhibitor U0126, or the p38 mitogen‑activated protein kinase (p38 MAPK) inhibitor SB202190, attenuated the effect of TGF‑β1 on maspin upregulation, whereas pretreatment with pyrrolidine dithiocarbamate (a nuclear factor κB inhibitor), wortmannin (a phosphoinositide 3‑kinase inhibitor) or SP600125 (a c‑Jun N‑terminal kinase inhibitor) did not. Notably, none of these inhibitors eliminated the TGF‑β1‑induced phosphorylation of Smad2. In addition, mutations at p53‑binding sites in the maspin promoter suppressed TGF‑β1‑induced maspin expression, indicating the necessity of intact p53‑binding sites on the maspin promoter. In summary, the induction of maspin expression in HeLa cells requires the convergence of TGF‑β1‑induced Smad and non‑Smad signaling pathways, in which the latter acts via the intermediate signaling molecules MEK1/2 and p38 MAPK.

Introduction

Mammary serine protease inhibitor (maspin), encoded by the serpin family B member 5 gene, belongs to the serine protease inhibitor superfamily of proteins (1). Several studies have revealed that maspin is an effective inhibitor of cancer cell invasion, metastasis and angiogenesis (2). Maspin was originally identified in normal mammary epithelial cells, and is reduced or absent in carcinoma (3). The induction of maspin gene expression in carcinoma cell lines leads to an inhibition of cell invasion and metastasis in vitro and in vivo (4). Therefore, maspin possesses potential as a target for the prognosis and diagnosis of and therapeutic intervention against cancer.

The regulation of maspin expression in cancer cells is tissue-specific. Maspin was originally identified as a tumor suppressor due to its high expression level in normal breast and prostate, and low or absent expression levels in malignancies (5,6). Paradoxically, the expression of maspin is maintained during carcinogenesis in a number of tissue types, including ovarian, lung and pancreatic tissues (7–9). Additionally, the overexpression of maspin has also been detected in inflammatory bowel disease (10), and a high incidence of aberrant maspin expression is associated with intestinal metaplasia and carcinoma of the gall bladder (11).

The growth and invasion of transformed cells in tumors are often accompanied by inflammation, as immune cells and macrophages are recruited to the tumor site and release pro-inflammatory cytokines, including interleukin-6 (IL-6), transforming growth factor β1 (TGF-β1) and tumor necrosis factor α (TNF-α) (12). A number of inflammatory cytokines exert tumor suppressive properties against cells at the early stages of tumorigenesis, but become tumor inducers at the later stages of cancer progression (13). Depending upon the stage of carcinogenesis, the effects of these cytokines vary according to the signaling pathways activated. TGF-β1 stimulates signaling responses via mothers against decapentaplegic homolog (Smad) and non-Smad signaling pathways (14,15). Upon activation by TGF-β1, Smad2 and Smad3 become phosphorylated and form complexes with Smad4, which in turn regulate the transcription of target genes. In the latter pathway, TGF-β1 signaling can occur via several adapter proteins, such as p38 mitogen-activated protein kinase (p38 MAPK), Erk MAP kinases, phosphoinositide-3-kinase (PI3Kinase)/Akt, and c-Jun N-terminal kinases (JNK) (15).

Previous research has suggested that TGF-β1 serves a role in several processes of carcinogenesis, including invasion, migration, mesenchymal transition and extracellular matrix synthesis, in a number of cancer cell types (16). Therefore, changes in maspin expression may be associated with the inflammatory responses mediated by TGF-β1, leading to the progression from hyperplasia to neoplasia. Overexpression of TGF-β1 within the tumor microenvironment may increase the metastatic potential of various types of tumor (17).

Maspin promoters contain Smad- and p53-binding elements, which are required for the upregulation of the maspin gene by TGF-β1 in normal mammary epithelial cells (18). In the present study, the effects of TGF-β1 and the pro-inflammatory cytokines TNF-α and IL-6 on maspin expression in human cervical HeLa and oral squamous carcinoma HSC4 cell lines were investigated.

Materials and methods

Cell cultures

The human cervical carcinoma HeLa and oral squamous carcinoma HSC4 cell lines were provided by the Institute of Biotechnology and Genetic Engineering, Chulalongkorn University (Bangkok, Thailand) and Associate Professor R. Surarit of Mahidol University (Bangkok, Thailand), respectively. The cell cultures were maintained in Dulbecco's modified Eagle's medium (DMEM; Invitrogen; Thermo Fisher Scientific, Inc., Waltham, MA, USA) supplemented with 10% heat-inactivated fetal bovine serum (FBS; Hyclone; GE Healthcare Life Sciences, Logan, UT, USA) and 1X antibiotic-antimycotic solution (Invitrogen; Thermo Fisher Scientific, Inc.) at 37°C in an atmosphere of 5% CO2.

Reverse transcription-quantitative polymerase chain reaction (qPCR)

Total RNA was extracted using TRIzol reagent (Invitrogen; Thermo Fisher Scientific, Inc.). A total of 1 µg RNA was treated with DNase (Invitrogen; Thermo Fisher Scientific, Inc.) and then the half amount of DNase-treated RNA was converted into complementary DNA (cDNA) using oligo-(dT)18 and a RevertAid™ First Strand cDNA Synthesis kit (Fermentas; Thermo Fisher Scientific, Inc.). The reverse transcription reaction was carried out at 42°C for 60 min. qPCR was then performed in an ABI 7500 Real-time PCR system (Applied Biosystems; Thermo Fisher Scientific, Inc.). Each reaction mixture contained 5 µl cDNA (diluted 1:5), 10 µl 2X Maxima™ SYBR-Green/ROX qPCR Master Mix (Fermentas; Thermo Fisher Scientific, Inc.) and 0.3 µM primer pairs for maspin or GAPDH (internal control). The primer pairs were as follows: Maspin forward, 5′-CGTAGAAAACTAATCAAGCGGCTCTAG-3′; maspin reverse, 5′-CCAATTCCTTTGCATAGGGTCTC-3′; GAPDH forward, 5′-CGTTGGGTGAAGGTCGGAGTCAAG-3′; and GAPDH reverse, 5′-GGCAACAATATCCACTTTACCAGA-3′. The thermocycling conditions were as follows: 95°C for 10 min; and 45 cycles of 95°C for 15 sec and 60°C for 60 sec. Relative maspin expression levels were normalized to GAPDH and calculated using the 2-ΔΔCq method (19). All experiments were performed 3 times with 3 replicates per experiment.

Treatment of cell lines with cytokines and inhibitors

The cytokines TGF-β1, TNF-α and IL-6 (Roche Diagnostics; Indianapolis, IN, USA) were added at 0.1, 1, or 10 ng/ml to cancer cells in serum-free DMEM and incubated at 37°C in an atmosphere of 5% CO2 for 48 h or as indicated. Smad3 inhibitor (SIS3; Merck KGaA, Billerica, MA, USA; 1, 5 or 10 µM), 100 µM pyrrolidine dithiocarbamate (PDTC; Sigma-Aldrich; Merck KGaA, Darmstadt, Germany), 1 µM wortmannin (Sigma-Aldrich; Merck KGaA), 10 µM SP600125 (Sigma-Aldrich; Merck KGaA), 10 µM U0126 (Sigma-Aldrich; Merck KGaA) or 10 µM SB202190 (Merck KGaA) were incubated with confluent HeLa cells for 1 h at 37°C in a 5% CO2 atmosphere. A total of 10 ng/ml TGF-β1 was then added and the cells were incubated for an additional 48 h.

Western blotting

Subsequent to the aforementioned treatments, cells were washed twice with cold PBS, lysed with a Mammalian Protein Extraction buffer (GE Healthcare Life Sciences, Piscataway, NJ, USA) containing a protease and phosphatase inhibitor cocktail (Roche Diagnostics), and centrifuged at 14,000 × g for 10 min at 4°C. A total of 10 µg of protein, measured using a Bio-Rad™ Protein Assay (Bio-Rad Laboratories, Inc., Hercules, CA, USA), were separated by 10% SDS-PAGE, then transferred onto a nitrocellulose membrane. The blot was incubated with 5% non-fat dried milk in Tris buffer saline (TBS) with 0.01% Tween-20. Membranes were then treated with 0.5 µg/ml mouse monoclonal anti-human maspin (cat. no. 554292; BD Biosciences, San Jose, CA, USA), rabbit monoclonal anti-Smad2 (cat. no. #3122; Cell Signaling Technology, Inc., Danvers, MA, USA; dilution 1:1,000), rabbit monoclonal anti-phospho-Smad2 (cat. no. #8828; Cell Signaling Technology, Inc.; dilution, 1:2,000), mouse polyclonal anti-p38 mitogen-activated protein kinase (cat. no. #9212; Cell Signaling Technology, Inc.; dilution, 1:2,000), or mouse polyclonal anti-phospho-p38 mitogen-activated protein kinase (p38 MAPK; cat. no. #9211; Cell Signaling Technology, Inc.; dilution, 1:2,000) primary antibodies. Subsequently, the membranes were incubated with horseradish peroxidase-conjugated goat anti-mouse (cat. no. 1706516; dilution, 1:7,500; Bio-Rad Laboratories, Inc.) or goat anti-rabbit immunoglobulin G (cat. no. 1706515; dilution, 1:7500; Bio-Rad Laboratories, Inc.) secondary antibodies, and immunoreactive protein bands were visualized using Western Lightning® Plus-ECL substrate (PerkinElmer, Inc., Waltham, MA, USA). For normalization of protein loading, the blots were then stripped and re-probed with primary rabbit polyclonal anti-human actin antibodies (cat. no. #A2066; Sigma-Aldrich; Merck KGaA; dilution, 1:1,000) as described previously. All experiments were performed 3 times with 3 replicates per experiment.

Transfection and luciferase reporter assay

A full-length maspin promoter in a luciferase reporter plasmid (pLightSwitch; Active Motif, Carlsbad, CA, USA) was used to generate two 5′ truncated maspin promoters (−600 maspin promoter and −300 maspin promoter) in a pLightSwitch luciferase reporter plasmid by a PCR-based method (20). Point mutations in two p53-binding sites, p53 I and p53 II, in the maspin promoter region were constructed using the QuickChange II Site-Directed Mutagenesis kit (Stratagene, La Jolla, CA, USA) and a pLightSwitch plasmid containing −300 maspin promoter as the template. A pair of primers, 5′-GCCCCTTCCTGCCCtatatacaacGAGGCCTTTTGGAAGC-3′ and 5′-GCTTCCAAAAGGCCTCgttgtatataGGGCAGGAAGGGGC-3′ (mutated nucleotides illustrated in lowercase letters), were used to introduce sequence substitution at the p53 I binding site. The primers for mutation of p53 II binding site were 5′-GCCGAGAGGATTGCCGTAatataGTCTGTACGTATGCATG-3′ and 5′-CATGCATACGTACAGACtatatTACGGCAATCCTCTCGGC-3′. The correct changes to the mutated sequences were confirmed by DNA sequencing at First BASE Laboratories (Selangor, Malaysia). Each construct was transfected into the HeLa cells using TurboFect™ in vitro Transfection Reagent (Fermentas; Thermo Fisher Scientific, Inc.) according to the manufacturer's protocol. After 4 h transfection, the medium was replaced with serum free-DMEM and the cells were incubated for a further 2 h. The cells were then incubated with 10 ng/ml TGF-β1, or without TGF-β1 as control, at 37°C in a 5% CO2 atmosphere for 48 h. Luciferase activity was determined by adding LightSwitch Luciferase Assay Reagent™ (Active Motif) according to manufacturer's protocol, and measuring the luminescence in a Synergy™ HT Multi-Detection microplate reader (BioTek Instruments, Inc., Winooski, VT, USA). The results were recorded as the fold of the induction of the reporter plasmid in the presence of TGF-β1, subsequent to normalization with the transfection controls without TGF-β1 treatment.

In vitro invasion assay

The in vitro invasion assay was performed using polycarbonate 8 µM-pore Multiscreen MIC 96-well pre-coated with 5 µg/ml Matrigel (BD Biosciences). A total of 5×104 HeLa cells/well were pre-treated for 24 h with cytokines in serum-free DMEM and then transferred to the upper wells of the filter plate. DMEM culture medium containing 10% FBS was added to the lower chambers. After 48 h incubation at 37°C in a 5% CO2 incubator, the number of invaded cells in the bottom wells were measured using a CyQUANT® Cell Proliferation Assay kit (Molecular Probes; Thermo Fisher Scientific, Inc.); fluorescence (excitation at 450 nm and emission at 530 nm) was measured using a Biotech K-40 spectrofluorometer (BioTek Instruments). Cells in triplicate wells without Transwell inserts served as controls for cell proliferation and/or death during the incubation period. Cell invasion was calculated from the fluorescence values as follows: Cell invasion=Relative fluorescence value of invaded cells/total cells plated in upper chamber without Transwell insert.

Statistical analysis

All experiments were performed at least 3 times with 3–5 replicates per experiment. The differences in the mean values among the groups were determined by one-way analysis of variance, and differences between individual by a Dunnett post-hoc test using SPSS v.18.0 software (SPSS Inc., Chicago, IL, USA). Data are presented as the mean ± standard deviation. P<0.05 was considered to indicate a statistically significant difference.

Results

Effect of pro-inflammatory cytokines on maspin expression in HeLa and HSC4 cell lines

The effects of TGF-β1, TNF-α and IL-6 on maspin gene expression were evaluated in two human cancer cell lines: HeLa cervical carcinoma cells and HSC4 oral squamous cell carcinoma cells. TGF-β1 treatment at a concentration of 10 ng/ml induced an increase in the expression levels of maspin in HeLa and HSC4 cells (Fig. 1A). By contrast, 10 ng/ml IL-6 exhibited no effect, and 10 ng/ml TNF-α demonstrated a slight inhibitory effect on maspin levels in the two cell lines. In the HeLa cells, 0.1–10 ng/ml TGF-β1 treatment increased maspin gene expression levels at 24 and 48 h. in a dose-dependent fashion compared with control cells, and this effect was demonstrated at the mRNA (Fig. 1B) and protein levels (Fig. 1C). Similar effects were observed with HSC4 cells (data not shown).

Figure 1.

Induction of maspin expression by TGF-β1 in human carcinoma cell lines. (A) Cultures of HeLa and HSC4 cells were treated with 10 ng/ml TGF-β1, TNF-α or IL-6, and maspin expression was detected by western blot analysis following 48 h incubation at 37°C. (B) HeLa cells were treated with 0.1, 1 or 10 ng/ml TGF-β1 for 24 h, and the levels of maspin mRNA were subsequently quantified by reverse transcription-quantitative polymerase chain reaction, using GAPDH for normalization. Results are expressed as the mean ± standard deviation fold increase relative to untreated cells from three independent experiments. *P<0.05 vs. untreated control group. (C) Maspin protein levels in HeLa cells treated with 0.1, 1 or 10 ng/ml TGF-β1 for 24 or 48 h were determined by western blotting. Actin was used for normalization of gel loading. TGF-β1, transforming growth factor β1; TNF-α, tumor necrosis factor α; IL-6, interleukin-6.

Convergence of Smad and non-Smad signaling pathways in TGF-β1-induced maspin gene expression in HeLa cells

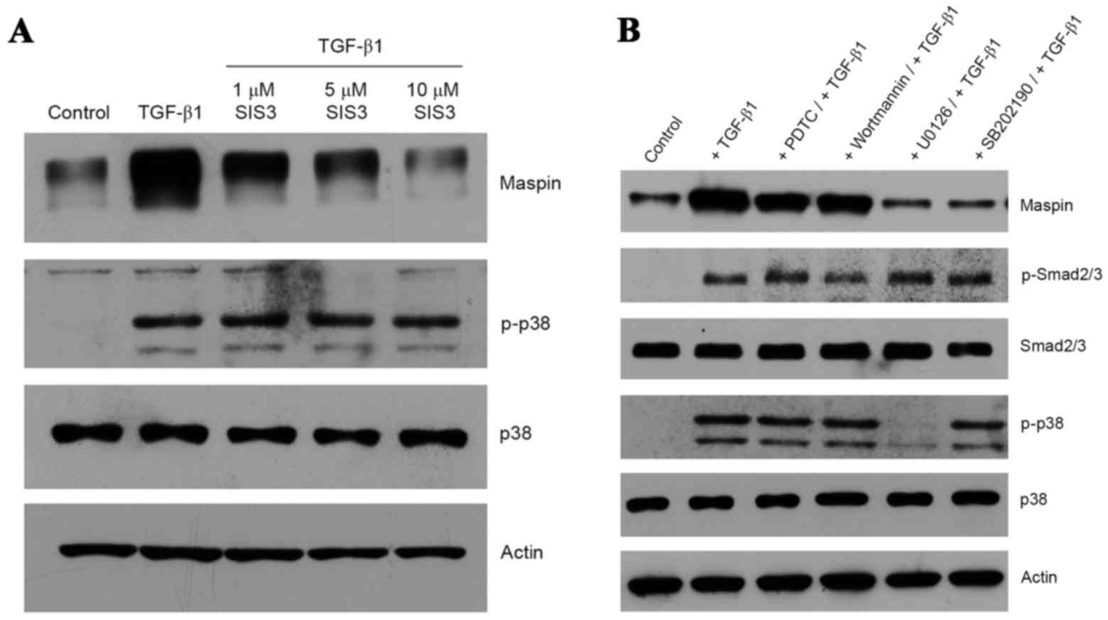
As expected, TGF-β1-treated HeLa cells produced phospho-Smad2, and the presence of SIS3, a specific inhibitor of Smad3 (21), inhibited the induction of maspin gene expression in a dose-dependent manner (Fig. 2A). It is notable that the inhibition of TGF-β1 signaling via the Smad pathway by SIS3 did not interfere with the non-Smad pathway, as demonstrated by the presence of phospho-p38 MAPK (Fig. 2A). In order to determine whether the non-Smad signaling pathway was also activated by TGF-β1, a series of kinase inhibitors, including PDTC (a nuclear factor kB inhibitor), wortmannin (a PI3K inhibitor), SP600125 (a JNK inhibitor), U0126 (a MEK1/2 inhibitor) and SB202190 (a p38 MAPK inhibitor), were employed. U0126 and SB202190 were effective in inhibiting the TGF-β1-induced maspin gene expression, whereas PDTC, wortmannin or SP600125 were not (Fig. 2B). Inhibition by U0126 of MEK1/2, an upstream activator of p38 MAPK, resulted in an absence of p38 MAPK phosphorylation, whereas SB202190 exhibited no effect on p38 MAPK phosphorylation, as the inhibitor only binds to the ATP pocket of p38 and blocks its intrinsic ATPase activity (22). Additionally, TGF-β1-dependent Smad2 phosphorylation was not affected by the presence of these kinase inhibitors (Fig. 2B). Taken together, these data suggest that Smad and non-Smad signaling pathways are involved in TGF-β1-induced maspin gene expression in HeLa cells. Notably, the blockage of TGF-β1-induced maspin expression was achieved by inhibiting one pathway without affecting the activation of the other.

Figure 2.

Induction of maspin expression through Smad and non-Smad signaling pathways. (A) Cultures of HeLa cells were pre-treated with 1, 5 or 10 µM SIS3 prior to the addition of 10 ng/ml TGF-β1 and a 48-h incubation. Maspin, p38 and p-p38 proteins were detected by western blotting. (B) HeLa cells were incubated with 100 µM PDTC, 1 µM wortmannin, 10 µM SP600125, 10 µM U0126 or 10 µM SB202190 for 1 h at 37°C prior to the addition of 10 ng/ml TGF-β1, and then further incubated for 48 h. Maspin, p-Smad2, Smad2, p-p38 and p38 were detected by western blotting. Actin was used for normalization of gel loading. Smad, mothers against decapentaplegic homolog; SIS3, Smad3 inhibitor; TGF-β1, transforming growth factor β1; p-p38, phospho-p38; p-Smad2, phospho-Smad2; PDTC, pyrrolidine dithiocarbamate.

TGF-β1-induced maspin gene expression in HeLa cells requires p53-binding sites in the maspin promoter

The maspin promoter region contains two p53-binding sites, p53 I and p53 II, which are located within the first upstream 300 nucleotides (nt) (Fig. 3A). Using luciferase reporter plasmid constructs, which contain point mutations in maspin promoter p53-binding sites that have been previously demonstrated to abolish p53 protein binding (18), transfection of HeLa cells and subsequent addition of TGF-β1 revealed that mutations in either the p53 I or p53 II binding sites significantly diminished the ability of TGF-β1 to induce luciferase activity compared with control cells transfected with a construct containing the full-length maspin promoter sequence (nt −872 to +193) (Fig. 3B). Therefore, the two p53-binding sites in the maspin promoter are necessary and probably sufficient in HeLa cells for TGF-β1-induced maspin gene expression, as the luciferase expression plasmid containing 5′ truncated maspin promoter element (from nt −600 or −300 to −872) expressed luciferase activity comparable with the cells containing the full length maspin promoter sequence (Fig. 3B).

Figure 3.

Requirement of p53-binding sites in maspin promoter for maspin induction by TGF-β1 in carcinoma cells. (A) Maspin promoter sequence ranging from nucleotides −872 to +193 (wild-type), with putative Smad-binding elements (SBEI and SBEII; boxed), and the two binding sites for p53 (p53 I and p53 II; underlined). (B) HeLa cells were transfected with a luciferase reporter plasmid containing wild-type maspin promoter, two 5′ truncated (−600 and −300) maspin promoters, or −300 maspin promoter with point mutations in p53-binding sites, p53 mut I and p53 mut II. After 4 h transfection, the medium was replaced with serum-free Dulbecco's modified Eagle's medium and, after a further 2 h, 10 ng/ml TGF-β1 was added. After 48 h, the cells were harvested and measured by a luciferase reporter assay. Results are presented as the mean fold induction compared with the control without TGF-β1 treatment; errors bars represent standard deviation. *P<0.05 vs. −300 promoter-transfected cells. TGF-β1, transforming growth factor β1; p53, tumor protein p53.

Effect of TGF-β1 on in vitro invasion of HeLa cells

The biological activities of maspin involve the inhibition of carcinoma cell migration and invasion (23). As incubation with TGF-β1 upregulated the expression of maspin in HeLa cells, whether this inhibits the invasive ability of HeLa cells was examined using a Matrigel invasion assay. Notably, 10 ng/ml TGF-β1 significantly increased the invasiveness of HeLa cells compared with the untreated control (Fig. 4).

Figure 4.

Effect of TGF-β1 on HeLa cell invasion in vitro. HeLa cells were pre-treated with 10 ng/ml TGF-β1 for 48 h prior to in vitro Matrigel invasion assay using a Transwell system. The y-axis illustrates percent cell invasion compared with untreated control. Data are presented as mean ± standard deviation from three independent experiments. *P<0.05 vs. untreated control. TGF-β1, transforming growth factor β1.

Discussion

The present study demonstrated that TGF-β1, but not TNF-α or IL-6, induced maspin gene expression at the mRNA and protein levels in cervical carcinoma HeLa and oral squamous carcinoma HSC4 cell lines. In the HeLa cells, TGF-β1 was able to induce maspin expression through the Smad-dependent and -independent pathways.

Wang et al (18) suggested that the TGF-β1 induction of maspin gene transcription, which occurs within 1 h following the addition of TGF-β1, acts exclusively through the Smad signaling pathway and depends on p53 and Smad2/3 binding to the maspin promoter in normal mammary epithelial cells. However, in their study, p53 binding to maspin promoter was detectable for 8 h in the absence of bound Smad2/3, suggesting the possibility of a Smad-independent TGF-β1-induced signaling pathway of p53-dependent activation of maspin expression. Notably, one observation of the present study in HeLa cells suggested the requirement of both Smad2 and p53 promoter binding for the induction of maspin gene expression by TGF-β1 via the non-Smad pathway. This hypothesis is concomitant with a crosstalk between the TGF-β1 signaling pathway and p53, which has been demonstrated previously (24). Phosphorylated wild-type p53 physically interacts with the phospho-Smad2/3-Smad4 complex upon TGF-β1 induction and in turn binds to promoters of tumor suppressive genes (25).

The non-Smad pathway acts via MEK1/2 and p38 MAPK. MEK1/2 is an upstream signaling molecule of p38 MAPK activation (26). In the present study, the inhibition of MEK1/2 and p38 MAPK in HeLa cells prevented the stimulatory effect of TGF-β1 on maspin expression without affecting Smad phosphorylation. The phosphorylation of p53 at Ser389 by p38 MAPK increases its DNA-binding capability (27). Cordenonsi et al (28) revealed that, in H1299 human lung cancer cells, MEK1/2 inhibition by U0126 blocks the phosphorylation of p53, which is concomitant with the loss of TGF-β1-induced p21 expression. The inhibition of the Smad-dependent TGF-β1 signaling pathway by SIS3 in the present study did not interfere with the non-Smad pathway, as demonstrated by the presence of phospho-p38 MAPK. This is consistent with previous data suggesting that TGF-β1-mediated activation of p38 MAPK signaling is independent of TGF-β1 type I receptor-mediated Smad activation (29). Therefore, it is possible that the non-Smad TGF-β1 pathway of maspin gene expression induction is mediated by MEK1/2 and p38 MAPK phosphorylation of p53, which promotes p53 binding to maspin promoter.

Hypermethylation of the maspin promoter contributes to maspin silencing in cancer cells (30). Previously, TGF-β1 was not observed to have an effect on maspin expression in a number of cancer cell lines, including the mammary carcinoma cell line MDA-MB-231 which has mutant p53 and maspin promoter hypermethylation (18). In maspin-expressing transformed cells, including MCF10A, the maspin promoter is hypomethylated (31). The present study also identified hypomethylated maspin promoters in HeLa cells (data not shown).

TGF-β1 may induce the migration and invasion of several types of carcinoma cells via the activation of the PI3K and Akt pathway (32). In the present study, a similar event, in which TGF-β1 stimulated the migration and invasion of HeLa cells, was observed. Although maspin has been demonstrated to inhibit cancer cell motility and invasiveness (33), in HeLa cells the TGF-β1-induced increase in maspin levels was apparently not sufficient to attenuate the cancer cell migration and invasion properties mediated by TGF-β1. Despite the tumor suppressive activities of maspin in numerous types of cancer cells, a paradoxical increase of maspin expression has been identified in several malignant cell types compared with their normal cells of origin, including those from lung (34), bladder (35), and ovarian tissues (36). An upregulation of maspin expression is also associated with the advanced stages of several types of tumors, including tumors of the cervix (37), endometrium (38), and pancreas (9). In addition, the subcellular localization of maspin may serve a critical role in its biological function. For example, the nuclear localization in cancer cells is essential for the tumor suppressor activity of maspin (39). In addition, an increased cytoplasmic localization of maspin was revealed in an invasive SKOV3 cell line, but any tumor suppressive activity may have been inactivated, as the invasion capabilities were not affected by a blocking antibody (7). Therefore, TGF-β1-induced maspin expression may not be able to inhibit tumor invasion and may serve a role in cancer progression.

In conclusion, the present study demonstrated the increased expression of maspin induced by TGF-β1 in human cervical carcinoma HeLa and oral squamous carcinoma HSC4 cell lines. The results indicated that the upregulation of maspin expression was due to Smad and non-Smad MEK/MAPK TGF-β1 signaling pathways, acting independently but converging to promote p53 binding to the maspin promoter. However, the underlying molecular mechanisms of this phenomenon require additional study, and may provide supporting evidence for an association between the inflammatory response and cancer progression, which may lead to the development of novel cancer prevention and treatment strategies.

Acknowledgements

The present study was supported by grants from the National Research Council of Thailand (grant no. 48499), the Faculty of Medicine Research Fund of Chiang Mai University (grant no. 077/2558), the Office of the Higher Education Commission and Mahidol University under the Thailand National Research Universities Initiative and the Faculty of Dentistry of Mahidol University. The authors would like to thank Professor Prapon Wilairat (Faculty of Science, Mahidol University) for critical reading of the manuscript and useful comments.

References

1 

Silverman GA, Bird PI, Carrell RW, Church FC, Coughlin PB, Gettins PG, Irving JA, Lomas DA, Luke CJ, Moyer RW, et al: The serpins are an expanding superfamily of structurally similar but functionally diverse proteins. Evolution, mechanism of inhibition, novel functions, and a revised nomenclature. J Biol Chem. 276:33293–33296. 2001. View Article : Google Scholar : PubMed/NCBI

2 

Bodenstine TM, Seftor RE, Khalkhali-Ellis Z, Seftor EA, Pemberton PA and Hendrix MJ: Maspin: Molecular mechanisms and therapeutic implications. Cancer Metastasis Rev. 31:529–551. 2012. View Article : Google Scholar : PubMed/NCBI

3 

Zou Z, Anisowicz A, Hendrix MJ, Thor A, Neveu M, Sheng S, Rafidi K, Seftor E and Sager R: Maspin, a serpin with tumor-suppressing activity in human mammary epithelial cells. Science. 263:526–529. 1994. View Article : Google Scholar : PubMed/NCBI

4 

Beltran A, Parikh S, Liu Y, Cuevas BD, Johnson GL, Futscher BW and Blancafort P: Re-activation of a dormant tumor suppressor gene maspin by designed transcription factors. Oncogene. 26:2791–2798. 2007. View Article : Google Scholar : PubMed/NCBI

5 

Maass N, Nagasaki K, Ziebart M, Mundhenke C and Jonat W: Expression and regulation of tumor suppressor gene maspin in breast cancer. Clin Breast Cancer. 3:281–287. 2002. View Article : Google Scholar : PubMed/NCBI

6 

Zou Z, Zhang W, Young D, Gleave MG, Rennie P, Connell T, Connelly R, Moul J, Srivastava S and Sesterhenn I: Maspin expression profile in human prostate cancer (CaP) and in vitro induction of Maspin expression by androgen ablation. Clin Cancer Res. 8:1172–1177. 2002.PubMed/NCBI

7 

Bauerschlag DO, Habermann M, Weimer J, Meinhold-Heerlein I, Hilpert F, Weigel M, Bauer M, Mundhenke C, Jonat W, Maass N and Schem C: Heterogeneous expression of serine protease inhibitor maspin in ovarian cancer. Anticancer Res. 30:2739–2744. 2010.PubMed/NCBI

8 

Frey A, Soubani AO, Adam AK, Sheng S, Pass HI and Lonardo F: Nuclear, compared with combined nuclear and cytoplasmic expression of maspin, is linked in lung adenocarcinoma to reduced VEGF-A levels and in Stage I, improved survival. Histopathology. 54:590–597. 2009. View Article : Google Scholar : PubMed/NCBI

9 

Liu H, Shi J, Anandan V, Wang HL, Diehl D, Blansfield J, Gerhard G and Lin F: Reevaluation and identification of the best immunohistochemical panel (pVHL, Maspin, S100P, IMP-3) for ductal adenocarcinoma of the pancreas. Arch Pathol Lab Med. 136:601–609. 2012. View Article : Google Scholar : PubMed/NCBI

10 

Cao D, Wilentz RE, Abbruzzese JL, Ho L and Maitra A: Aberrant expression of maspin in idiopathic inflammatory bowel disease is associated with disease activity and neoplastic transformation. Int J Gastrointest Cancer. 36:39–46. 2005. View Article : Google Scholar : PubMed/NCBI

11 

Kim J, Jang KT, Kim KH, Park JW, Chang BJ, Lee KH, Lee JK, Heo JS, Choi SH, Choi DW, et al: Aberrant maspin expression is involved in early carcinogenesis of gallbladder cancer. Tumour Biol. 31:471–476. 2010. View Article : Google Scholar : PubMed/NCBI

12 

Dinarello CA: The paradox of pro-inflammatory cytokines in cancer. Cancer Metastasis Rev. 25:307–313. 2006. View Article : Google Scholar : PubMed/NCBI

13 

Gohji K, Nomi M, Hara I, Arakawa S and Kamidono S: Influence of cytokines and growth factors on matrix metalloproteinase-2 production and invasion of human renal cancer. Urol Res. 26:33–37. 1998. View Article : Google Scholar : PubMed/NCBI

14 

Heldin CH and Moustakas A: Role of Smads in TGFb signaling. Cell Tissue Res. 347:21–36. 2012. View Article : Google Scholar : PubMed/NCBI

15 

Mu Y, Gudey SK and Landström M: Non-Smad signaling pathways. Cell Tissue Res. 347:11–20. 2012. View Article : Google Scholar : PubMed/NCBI

16 

Arteaga CL, Dugger TC and Hurd SD: The multifunctional role of transforming growth factor (TGF)-beta s on mammary epithelial cell biology. Breast Cancer Res Treat. 38:49–56. 1996. View Article : Google Scholar : PubMed/NCBI

17 

Drabsch Y and ten Dijke P: TGF-b signaling in breast cancer cell invasion and bone metastasis. J Mammary Gland Biol Neoplasia. 16:97–108. 2011. View Article : Google Scholar : PubMed/NCBI

18 

Wang SE, Narasanna A, Whitell CW, Wu FY, Friedman DB and Arteaga CL: Convergence of p53 and transforming growth factor beta (TGFbeta) signaling on activating expression of the tumor suppressor gene maspin in mammary epithelial cells. J Biol Chem. 282:5661–5669. 2007. View Article : Google Scholar : PubMed/NCBI

19 

Livak KJ and Schmittgen TD: Analysis of relative gene expression data using real-time quantitative PCR and the 2(−Delta Delta C(T)) Method. Methods. 25:402–408. 2001. View Article : Google Scholar : PubMed/NCBI

20 

Jung V, Pestka SB and Pestka S: Cloning of polymerase chain reaction-generated DNA containing terminal restriction endonuclease recognition sites. Methods Enzymol. 218:357–362. 1993. View Article : Google Scholar : PubMed/NCBI

21 

Jinnin M, Ihn H and Tamaki K: Characterization of SIS3, a novel specific inhibitor of Smad3, and its effect on transforming growth factor-beta1-induced extracellular matrix expression. Mol Pharmacol. 69:597–607. 2006. View Article : Google Scholar : PubMed/NCBI

22 

Kumar S, Jiang MS, Adams JL and Lee JC: Pyridinylimidazole compound SB 203580 inhibits the activity but not the activation of p38 mitogen-activated protein kinase. Biochem Biophys Res Commun. 263:825–831. 1999. View Article : Google Scholar : PubMed/NCBI

23 

Bailey CM, Khalkhali-Ellis Z, Seftor EA and Hendrix MJ: Biological functions of maspin. J Cell Physiol. 209:617–624. 2006. View Article : Google Scholar : PubMed/NCBI

24 

Elston R and Inman GJ: Crosstalk between p53 and TGF-beta Signalling. J Signal Transduct. 2012:2940972012. View Article : Google Scholar : PubMed/NCBI

25 

Cordenonsi M, Dupont S, Maretto S, Insinga A, Imbriano C and Piccolo S: Links between tumor suppressors: p53 is required for TGF-beta gene responses by cooperating with Smads. Cell. 113:301–314. 2003. View Article : Google Scholar : PubMed/NCBI

26 

Poddar R and Paul S: Novel crosstalk between ERK MAPK and p38 MAPK leads to homocysteine-NMDA receptor-mediated neuronal cell death. J Neurochem. 124:558–570. 2013. View Article : Google Scholar : PubMed/NCBI

27 

Huang C, Ma WY, Maxiner A, Sun Y and Dong Z: p38 kinase mediates UV-induced phosphorylation of p53 protein at serine 389. J Biol Chem. 274:12229–12235. 1999. View Article : Google Scholar : PubMed/NCBI

28 

Cordenonsi M, Montagner M, Adorno M, Zacchigna L, Martello G, Mamidi A, Soligo S, Dupont S and Piccolo S: Integration of TGF-beta and Ras/MAPK signaling through p53 phosphorylation. Science. 315:840–843. 2007. View Article : Google Scholar : PubMed/NCBI

29 

Yu L, Hebert MC and Zhang YE: TGF-beta receptor-activated p38 MAP kinase mediates Smad-independent TGF-beta responses. EMBO J. 21:3749–3759. 2002. View Article : Google Scholar : PubMed/NCBI

30 

Oshiro MM, Watts GS, Wozniak RJ, Junk DJ, Munoz-Rodriguez JL, Domann FE and Futscher BW: Mutant p53 and aberrant cytosine methylation cooperate to silence gene expression. Oncogene. 22:3624–3634. 2003. View Article : Google Scholar : PubMed/NCBI

31 

Horswill MA, Narayan M, Warejcka DJ, Cirillo LA and Twining SS: Epigenetic silencing of maspin expression occurs early in the conversion of keratocytes to fibroblasts. Exp Eye Res. 86:586–600. 2008. View Article : Google Scholar : PubMed/NCBI

32 

Vo BT, Morton D Jr, Komaragiri S, Millena AC, Leath C and Khan SA: TGF-b effects on prostate cancer cell migration and invasion are mediated by PGE2 through activation of PI3K/AKT/mTOR pathway. Endocrinology. 154:1768–1779. 2013. View Article : Google Scholar : PubMed/NCBI

33 

Ngamkitidechakul C, Warejcka DJ, Burke JM, O'Brien WJ and Twining SS: Sufficiency of the reactive site loop of maspin for induction of cell-matrix adhesion and inhibition of cell invasion. Conversion of ovalbumin to a maspin-like molecule. J Biol Chem. 278:31796–31806. 2003. View Article : Google Scholar : PubMed/NCBI

34 

Yatabe Y, Mitsudomi T and Takahashi T: Maspin expression in normal lung and non-small-cell lung cancers: Cellular property-associated expression under the control of promoter DNA methylation. Oncogene. 23:4041–4049. 2004. View Article : Google Scholar : PubMed/NCBI

35 

Friedrich MG, Toma MI, Petri S, Cheng JC, Hammerer P, Erbersdobler A and Huland H: Expression of Maspin in non-muscle invasive bladder carcinoma: Correlation with tumor angiogenesis and prognosis. Eur Urol. 45:737–743. 2004. View Article : Google Scholar : PubMed/NCBI

36 

Rose SL, Fitzgerald MP, White NO, Hitchler MJ, Futscher BW, De Geest K and Domann FE: Epigenetic regulation of maspin expression in human ovarian carcinoma cells. Gynecol Oncol. 102:319–324. 2006. View Article : Google Scholar : PubMed/NCBI

37 

Nosaka K, Horie Y, Shiomi T, Itamochi H, Oishi T, Shimada M, Sato S, Sakabe T, Harada T and Umekita Y: Cytoplasmic maspin expression correlates with poor prognosis of patients with adenocarcinoma of the uterine cervix. Yonago Acta Med. 58:151–156. 2015.PubMed/NCBI

38 

Torres A, Torres K, Paszkowski T, Radej S, Staśkiewicz GJ, Ceccaroni M, Pesci A and Maciejewski R: Highly increased maspin expression corresponds with up-regulation of miR-21 in endometrial cancer: A preliminary report. Int J Gynecol Cancer. 21:8–14. 2011. View Article : Google Scholar : PubMed/NCBI

39 

Goulet B, Kennette W, Ablack A, Postenka CO, Hague MN, Mymryk JS, Tuck AB, Giguère V, Chambers AF and Lewis JD: Nuclear localization of maspin is essential for its inhibition of tumor growth and metastasis. Lab Invest. 91:1181–1187. 2011. View Article : Google Scholar : PubMed/NCBI

Related Articles

  • Abstract
  • View
  • Download
  • Twitter
Copy and paste a formatted citation
Spandidos Publications style
Wongnoppavich A, Dukaew N, Choonate S and Chairatvit K: Upregulation of maspin expression in human cervical carcinoma cells by transforming growth factor β1 through the convergence of Smad and non‑Smad signaling pathways. Oncol Lett 13: 3646-3652, 2017.
APA
Wongnoppavich, A., Dukaew, N., Choonate, S., & Chairatvit, K. (2017). Upregulation of maspin expression in human cervical carcinoma cells by transforming growth factor β1 through the convergence of Smad and non‑Smad signaling pathways. Oncology Letters, 13, 3646-3652. https://doi.org/10.3892/ol.2017.5939
MLA
Wongnoppavich, A., Dukaew, N., Choonate, S., Chairatvit, K."Upregulation of maspin expression in human cervical carcinoma cells by transforming growth factor β1 through the convergence of Smad and non‑Smad signaling pathways". Oncology Letters 13.5 (2017): 3646-3652.
Chicago
Wongnoppavich, A., Dukaew, N., Choonate, S., Chairatvit, K."Upregulation of maspin expression in human cervical carcinoma cells by transforming growth factor β1 through the convergence of Smad and non‑Smad signaling pathways". Oncology Letters 13, no. 5 (2017): 3646-3652. https://doi.org/10.3892/ol.2017.5939
Copy and paste a formatted citation
x
Spandidos Publications style
Wongnoppavich A, Dukaew N, Choonate S and Chairatvit K: Upregulation of maspin expression in human cervical carcinoma cells by transforming growth factor β1 through the convergence of Smad and non‑Smad signaling pathways. Oncol Lett 13: 3646-3652, 2017.
APA
Wongnoppavich, A., Dukaew, N., Choonate, S., & Chairatvit, K. (2017). Upregulation of maspin expression in human cervical carcinoma cells by transforming growth factor β1 through the convergence of Smad and non‑Smad signaling pathways. Oncology Letters, 13, 3646-3652. https://doi.org/10.3892/ol.2017.5939
MLA
Wongnoppavich, A., Dukaew, N., Choonate, S., Chairatvit, K."Upregulation of maspin expression in human cervical carcinoma cells by transforming growth factor β1 through the convergence of Smad and non‑Smad signaling pathways". Oncology Letters 13.5 (2017): 3646-3652.
Chicago
Wongnoppavich, A., Dukaew, N., Choonate, S., Chairatvit, K."Upregulation of maspin expression in human cervical carcinoma cells by transforming growth factor β1 through the convergence of Smad and non‑Smad signaling pathways". Oncology Letters 13, no. 5 (2017): 3646-3652. https://doi.org/10.3892/ol.2017.5939
Follow us
  • Twitter
  • LinkedIn
  • Facebook
About
  • Spandidos Publications
  • Careers
  • Cookie Policy
  • Privacy Policy
How can we help?
  • Help
  • Live Chat
  • Contact
  • Email to our Support Team