Spandidos Publications Logo
  • About
    • About Spandidos
    • Aims and Scopes
    • Abstracting and Indexing
    • Editorial Policies
    • Reprints and Permissions
    • Job Opportunities
    • Terms and Conditions
    • Contact
  • Journals
    • All Journals
    • Oncology Letters
      • Oncology Letters
      • Information for Authors
      • Editorial Policies
      • Editorial Board
      • Aims and Scope
      • Abstracting and Indexing
      • Bibliographic Information
      • Archive
    • International Journal of Oncology
      • International Journal of Oncology
      • Information for Authors
      • Editorial Policies
      • Editorial Board
      • Aims and Scope
      • Abstracting and Indexing
      • Bibliographic Information
      • Archive
    • Molecular and Clinical Oncology
      • Molecular and Clinical Oncology
      • Information for Authors
      • Editorial Policies
      • Editorial Board
      • Aims and Scope
      • Abstracting and Indexing
      • Bibliographic Information
      • Archive
    • Experimental and Therapeutic Medicine
      • Experimental and Therapeutic Medicine
      • Information for Authors
      • Editorial Policies
      • Editorial Board
      • Aims and Scope
      • Abstracting and Indexing
      • Bibliographic Information
      • Archive
    • International Journal of Molecular Medicine
      • International Journal of Molecular Medicine
      • Information for Authors
      • Editorial Policies
      • Editorial Board
      • Aims and Scope
      • Abstracting and Indexing
      • Bibliographic Information
      • Archive
    • Biomedical Reports
      • Biomedical Reports
      • Information for Authors
      • Editorial Policies
      • Editorial Board
      • Aims and Scope
      • Abstracting and Indexing
      • Bibliographic Information
      • Archive
    • Oncology Reports
      • Oncology Reports
      • Information for Authors
      • Editorial Policies
      • Editorial Board
      • Aims and Scope
      • Abstracting and Indexing
      • Bibliographic Information
      • Archive
    • Molecular Medicine Reports
      • Molecular Medicine Reports
      • Information for Authors
      • Editorial Policies
      • Editorial Board
      • Aims and Scope
      • Abstracting and Indexing
      • Bibliographic Information
      • Archive
    • World Academy of Sciences Journal
      • World Academy of Sciences Journal
      • Information for Authors
      • Editorial Policies
      • Editorial Board
      • Aims and Scope
      • Abstracting and Indexing
      • Bibliographic Information
      • Archive
    • International Journal of Functional Nutrition
      • International Journal of Functional Nutrition
      • Information for Authors
      • Editorial Policies
      • Editorial Board
      • Aims and Scope
      • Abstracting and Indexing
      • Bibliographic Information
      • Archive
    • International Journal of Epigenetics
      • International Journal of Epigenetics
      • Information for Authors
      • Editorial Policies
      • Editorial Board
      • Aims and Scope
      • Abstracting and Indexing
      • Bibliographic Information
      • Archive
    • Medicine International
      • Medicine International
      • Information for Authors
      • Editorial Policies
      • Editorial Board
      • Aims and Scope
      • Abstracting and Indexing
      • Bibliographic Information
      • Archive
  • Articles
  • Information
    • Information for Authors
    • Information for Reviewers
    • Information for Librarians
    • Information for Advertisers
    • Conferences
  • Language Editing
Spandidos Publications Logo
  • About
    • About Spandidos
    • Aims and Scopes
    • Abstracting and Indexing
    • Editorial Policies
    • Reprints and Permissions
    • Job Opportunities
    • Terms and Conditions
    • Contact
  • Journals
    • All Journals
    • Biomedical Reports
      • Information for Authors
      • Editorial Policies
      • Editorial Board
      • Aims and Scope
      • Abstracting and Indexing
      • Bibliographic Information
      • Archive
    • Experimental and Therapeutic Medicine
      • Information for Authors
      • Editorial Policies
      • Editorial Board
      • Aims and Scope
      • Abstracting and Indexing
      • Bibliographic Information
      • Archive
    • International Journal of Epigenetics
      • Information for Authors
      • Editorial Policies
      • Editorial Board
      • Aims and Scope
      • Abstracting and Indexing
      • Bibliographic Information
      • Archive
    • International Journal of Functional Nutrition
      • Information for Authors
      • Editorial Policies
      • Editorial Board
      • Aims and Scope
      • Abstracting and Indexing
      • Bibliographic Information
      • Archive
    • International Journal of Molecular Medicine
      • Information for Authors
      • Editorial Policies
      • Editorial Board
      • Aims and Scope
      • Abstracting and Indexing
      • Bibliographic Information
      • Archive
    • International Journal of Oncology
      • Information for Authors
      • Editorial Policies
      • Editorial Board
      • Aims and Scope
      • Abstracting and Indexing
      • Bibliographic Information
      • Archive
    • Medicine International
      • Information for Authors
      • Editorial Policies
      • Editorial Board
      • Aims and Scope
      • Abstracting and Indexing
      • Bibliographic Information
      • Archive
    • Molecular and Clinical Oncology
      • Information for Authors
      • Editorial Policies
      • Editorial Board
      • Aims and Scope
      • Abstracting and Indexing
      • Bibliographic Information
      • Archive
    • Molecular Medicine Reports
      • Information for Authors
      • Editorial Policies
      • Editorial Board
      • Aims and Scope
      • Abstracting and Indexing
      • Bibliographic Information
      • Archive
    • Oncology Letters
      • Information for Authors
      • Editorial Policies
      • Editorial Board
      • Aims and Scope
      • Abstracting and Indexing
      • Bibliographic Information
      • Archive
    • Oncology Reports
      • Information for Authors
      • Editorial Policies
      • Editorial Board
      • Aims and Scope
      • Abstracting and Indexing
      • Bibliographic Information
      • Archive
    • World Academy of Sciences Journal
      • Information for Authors
      • Editorial Policies
      • Editorial Board
      • Aims and Scope
      • Abstracting and Indexing
      • Bibliographic Information
      • Archive
  • Articles
  • Information
    • For Authors
    • For Reviewers
    • For Librarians
    • For Advertisers
    • Conferences
  • Language Editing
Login Register Submit
  • This site uses cookies
  • You can change your cookie settings at any time by following the instructions in our Cookie Policy. To find out more, you may read our Privacy Policy.

    I agree
Search articles by DOI, keyword, author or affiliation
Search
Advanced Search
presentation
Oncology Letters
Join Editorial Board Propose a Special Issue
Print ISSN: 1792-1074 Online ISSN: 1792-1082
Journal Cover
May-2017 Volume 13 Issue 5

Full Size Image

Sign up for eToc alerts
Recommend to Library

Journals

International Journal of Molecular Medicine

International Journal of Molecular Medicine

International Journal of Molecular Medicine is an international journal devoted to molecular mechanisms of human disease.

International Journal of Oncology

International Journal of Oncology

International Journal of Oncology is an international journal devoted to oncology research and cancer treatment.

Molecular Medicine Reports

Molecular Medicine Reports

Covers molecular medicine topics such as pharmacology, pathology, genetics, neuroscience, infectious diseases, molecular cardiology, and molecular surgery.

Oncology Reports

Oncology Reports

Oncology Reports is an international journal devoted to fundamental and applied research in Oncology.

Experimental and Therapeutic Medicine

Experimental and Therapeutic Medicine

Experimental and Therapeutic Medicine is an international journal devoted to laboratory and clinical medicine.

Oncology Letters

Oncology Letters

Oncology Letters is an international journal devoted to Experimental and Clinical Oncology.

Biomedical Reports

Biomedical Reports

Explores a wide range of biological and medical fields, including pharmacology, genetics, microbiology, neuroscience, and molecular cardiology.

Molecular and Clinical Oncology

Molecular and Clinical Oncology

International journal addressing all aspects of oncology research, from tumorigenesis and oncogenes to chemotherapy and metastasis.

World Academy of Sciences Journal

World Academy of Sciences Journal

Multidisciplinary open-access journal spanning biochemistry, genetics, neuroscience, environmental health, and synthetic biology.

International Journal of Functional Nutrition

International Journal of Functional Nutrition

Open-access journal combining biochemistry, pharmacology, immunology, and genetics to advance health through functional nutrition.

International Journal of Epigenetics

International Journal of Epigenetics

Publishes open-access research on using epigenetics to advance understanding and treatment of human disease.

Medicine International

Medicine International

An International Open Access Journal Devoted to General Medicine.

Journal Cover
May-2017 Volume 13 Issue 5

Full Size Image

Sign up for eToc alerts
Recommend to Library

  • Article
  • Citations
    • Cite This Article
    • Download Citation
    • Create Citation Alert
    • Remove Citation Alert
    • Cited By
  • Similar Articles
    • Related Articles (in Spandidos Publications)
    • Similar Articles (Google Scholar)
    • Similar Articles (PubMed)
  • Download PDF
  • Download XML
  • View XML
Article Open Access

Aggressiveness of the tall cell variant of papillary thyroid carcinoma is independent of the tumor size and patient age

  • Authors:
    • Rocío Villar‑Taibo
    • Diego Peteiro‑González
    • José Manuel Cabezas‑Agrícola
    • Elvin Aliyev
    • Francisco Barreiro‑Morandeira
    • Clara Ruiz‑Ponte
    • José M. Cameselle‑Teijeiro
  • View Affiliations / Copyright

    Affiliations: Department of Endocrinology, University of León Hospital, León 24071, Spain, Department of Endocrinology, Hospital El Bierzo, Ponferrada 24411, Spain, Department of Endocrinology, Clinical University Hospital, Faculty of Medicine, Galician Healthcare Service, University of Santiago de Compostela, Santiago de Compostela 15706, Spain, Department of Pediatric Surgery, ʻFederico Gomezʼ Children's Hospital, México City 06720, México, Department of Surgery, Clinical University Hospital, Faculty of Medicine, Galician Healthcare Service, University of Santiago de Compostela, Santiago de Compostela 15706, Spain, Galician Public Foundation of Genomic Medicine, Centre for Biomedical Network Research on Rare Diseases, Santiago de Compostela 15706, Spain, Department of Anatomic Pathology, Clinical University Hospital, Faculty of Medicine, Galician Healthcare Service, University of Santiago de Compostela, Santiago de Compostela 15706, Spain
    Copyright: © Villar‑Taibo et al. This is an open access article distributed under the terms of Creative Commons Attribution License.
  • Pages: 3501-3507
    |
    Published online on: March 29, 2017
       https://doi.org/10.3892/ol.2017.5948
  • Expand metrics +
Metrics: Total Views: 0 (Spandidos Publications: | PMC Statistics: )
Metrics: Total PDF Downloads: 0 (Spandidos Publications: | PMC Statistics: )
Cited By (CrossRef): 0 citations Loading Articles...

This article is mentioned in:


Abstract

The tall cell variant (TCV) of papillary thyroid carcinoma (PTC) is characterized by tall columnar cells with a height of at least three times their width. TCV usually presents at an older age, has a larger size and exhibits more extrathyroidal extension and metastases than classical PTC. The current study compared TCV with the classical and follicular variants (CaFVs) of PTC to determine if, irrespective of the age at diagnosis and tumor size, TCV is more aggressive than its classical and follicular counterparts. A total of 16 (3.66%) patients with TCV were identified in a series of 437 patients with PTC from the Clinical University Hospital (Santiago de Compostela, Spain) between 1990 and 2010. The patient clinicopathological features and B‑Raf proto‑oncogene (BRAF)V600E mutational status were compared with 34 cases of CaFVs of PTC matched for tumor size and patient age. The TCV series included 11 females and 5 males aged 15‑74 years (median, 57 years). In total, 15 (93.8%) patients underwent total or near‑total thyroidectomy, 1 underwent lobectomy and 5 (31.3%) underwent lymph node dissection. In the TCV series, the tumor size ranged from 5‑45 mm (median, 19 mm). Compared with the CaFVs, the TCV of PTC exhibited a significantly higher prevalence of extrathyroidal extension [9/16 (56.3%) vs. 5/34 (14.7%) cases; P=0.007], lymph node metastases [9/16 (56.3%) vs. 9/34 (26.4%) cases; P=0.04], stage III/IV at presentation [10/16 (62.5%) vs. 7/34 (20.5%) cases; P=0.009] and BRAFV600E mutation [12/16 (80.0%) vs. 7/25 (28.0%) cases; P=0.004]. The TCV series also harbored more multifocal papillary carcinomas (50.0% vs. 26.4%), lymphovascular invasion (37.5% vs. 29.4%) and distant metastases (6.2% vs. 0.0%), as compared with the matched patient cohort. In conclusion, the TCV of PTC is frequently associated with BRAFV600E mutation and is more aggressive than the CaFVs of PTC, regardless of tumor size and patient age at diagnosis.

Introduction

Papillary thyroid carcinoma (PTC) is the most prevalent form of thyroid cancer, with an incidence that has continued to increase globally in recent decades (1). This tumor consists of a number of histological variants, the most common of which are conventional (classical) PTC, follicular variant PTC and tall cell variant (TCV) PTC (2). TCV PTC was initially described in 1976 by Hawk and Hazard (3) and is now an established variant composed of cells that are at least three times taller than they are wide, and which occasionally exhibit an abundant eosinophilic cytoplasm and basally oriented nuclei (4,5). The 2004 World Health Organization classification of tumors defined a PTC as TCV if it is composed predominantly of tall cells (6), and the majority of experts consider that a tumor may contain ≥50% tall-cell features to be classified as the TCV of PTC (4,5,7). However, there remains no general consensus on this classification (8–10).

TCV PTC has a relatively higher predominance in males than classical PTC, occurs at an older age and is considered an aggressive variant (5,10). Patients with TCV exhibit poorer survival than those with classical PTC (5,10). The tall-cell feature alone remains a significant prognostic factor for disease-specific mortality when the major prognostic factors for thyroid cancer are controlled for, including age and extrathyroidal extension (11). In a study of 12 cases of TCV PTC, this tumor type had an aggressive clinical course and a poorer prognosis, compared with classical PTC, in patient populations with a similar age and sex distribution, duration of follow-up and tumor size (12). The patient prognosis also remains less favorable in cases without extrathyroidal extension (13). A large multicenter study demonstrated varied prognostic risk for the three major PTC variants, establishing a risk order for PTC as follows: TCV PTC > classical PTC > follicular variant PTC (14). This previous study demonstrated clinical implications for the management of PTC based on the specific variant (14).

In the present study, the main clinicopathological features and the B-Raf proto-oncogene (BRAF) mutational status of a series of TCV PTC with classical and follicular variants (CaFVs) of PTC (matched in size and age) were compared in order to determine if, regardless of patient age at diagnosis and the tumor size, TCV is more aggressive than its classical and follicular counterparts.

Materials and methods

Patient selection

The hospital database was searched for all cases diagnosed as PTC and treated at the Clinical University Hospital (Santiago de Compostela, Galicia, Spain) between January 1st, 1990 and December 31st, 2010. PTCs were re-reviewed according to the criteria of the World Health Organization international classification for thyroid tumors (6) by one of the co-authors (J.M.C.-T.), a pathologist with special expertise in thyroid tumors who was blinded to the clinical outcomes of all patients involved. The tall cells were defined as tall columnar cells whose height was at least three times their width. A tumor was classified as TCV PTC if it contained ≥50% tall cells (5–7). To avoid selection bias, and due to their highly indolent behavior (15), cases of encapsulated follicular variant of PTC were excluded from the current study. For the same reasons, all tumors with ≥3 mitoses/10 high-power fields or necrosis with poorly differentiated-like behavior (6,16) were also excluded. Written informed consent was obtained from all patients. The Independent Ethics Committee of Galicia (Galician Healthcare Service; SERGAS) approved the study protocol, which was conducted in accordance with the Declaration of Helsinki and applicable Spanish laws.

Clinical, histopathological, immunohistochemical and molecular parameters

The following histopathological parameters were assessed: Carcinoma size, multifocality, infiltration of the two thyroid lobes (bilaterality), vascular invasion, perineural infiltration, status of the resection margins, presence of tumor cells invading beyond the thyroid capsule into perithyroid soft tissue or organs (extrathyroid tumor extension) and the presence of metastatic lymph nodes. The largest dimension of the carcinoma was determined by a review of the gross pathology report and direct measurement of the tumor on the microscopic slides. The patient's electronic medical records were reviewed for the age at diagnosis, type of surgery (including re-interventions) and administration of radioactive iodine therapy. Staging was performed according to the American Joint Committee on Cancer staging manual 7th edition (17). The mean follow-up for all patients was 59.6 months [standard deviation (SD), 44.7 months].

Immunohistochemical studies were performed on 4 µm-thick paraffin-embedded representative tumor sections from thyroidectomy specimens. A peroxidase-conjugated labeled dextran polymer (EnVision FLEX/HRP; Dako; Agilent Technologies, Inc., Santa Clara, CA, USA) was used with 3,3′-diaminobenzidine as the chromogen in the Autostainer Link 48 (Dako; Agilent Technologies, Inc.) according to the manufacturer's protocol. Deparaffinization, rehydration and target retrieval (pH 6.0) were performed on a PT Link pretreatment module (Dako; Agilent Technologies, Inc.). Subsequently, samples were incubated with primary antibodies against thyroglobulin (catalog no. IR509; rabbit polyclonal; ready to use; pH 6.0; Dako; Agilent Technologies, Inc.) and calcitonin (catalog no. IR515; polyclonal; ready to use; pH 9.0; Dako; Agilent Technologies, Inc.) at room temperature for 20 and 15 min, respectively. An immunoglobulin fraction of normal rabbit serum supplied in 0.05 mol/l NaCl, 15 and mmol/l NaN3 (pH 7.2), and containing stabilizing protein (catalog no. IR600; Dako; Agilent Technologies, Inc.) was used as the negative control. Tissue sections containing a medullary carcinoma (calcitonin) and normal thyroid (thyroglobulin) obtained from the Carlos III Health Institute (Madrid, Spain; TIROCHUS collection no. 0003960), were simultaneously evaluated as positive controls for thyroglobulin and calcitonin. The slides were counterstained with hematoxylin. The staining for thyroglobulin and for calcitonin was considered positive only if the cytoplasm of tumor cells had been stained brown with the chromogen following microscopic examination (Olympus BX41TF; Olympus Corporation, Tokyo, Japan).

For BRAF molecular genetic analysis, tumor tissue was identified and marked on the hematoxylin and eosin-stained glass slides by the pathologist. Genomic DNA was extracted from the paraffin-embedded tumor tissue using a QIAamp DNA Mini kit (Qiagen Inc., Valencia, CA, USA) according to the manufacturer's protocol. DNA samples were screened for mutations in exons 11 and 15 of the BRAF gene (National Center for Biotechnology Information reference sequence, NM_004333). Exons 11 and 15 of the BRAF gene were amplified by polymerase chain reaction (PCR) using 50–70 ng of genomic DNA. Each 12.5-µl reaction consisted of 1X PCR buffer (catalog no. M7801; Promega Corporation, Madison, WI, USA), 3 mM MgCl2, 200 µM deoxynucleotides, 0.5 µM of each primer and 0.6 U GoTaq Flexi DNA Polymerase (catalog no. M7801; Promega Corporation). Primer sequences were as follows: Exon 11, forward 5′-GCATAAGGTAATGTACTTAGGGTGAA-3′ and reverse 5′-AACAGTGAATATTTCCTTTGATGAT-3′; and exon 15, forward 5′-TCATAATGCTTGCTCTGATAGG-3′ and reverse 5′-GGCCAAAAATTTAATCAGTGGA-3′ (18). The thermocycling conditions consisted of an initial denaturation at 94°C for 3 min; 35 cycles at 94°C for 30 sec, 30 sec of annealing at 60°C for exon 15 and at 55°C for exon 11, and 72°C for 45 sec; and a final extension at 72°C for 7 min. The PCR products were bidirectionally sequenced using capillary electrophoresis (3730 DNA Analyzer; Applied Biosystems; Thermo Fisher Scientific, Inc., Waltham, MA, USA) with the aforementioned primers.

Statistical analysis

Statistical analysis was conducted using SPSS version 18.0 (SPSS Inc., Chicago, IL, USA). The TCV PTC cohort (n=16) was compared with the matched series of classical (n=18) and follicular (n=16) variants of PTC. Data are presented as the mean ± SD or as a percentage. Categorical variables were compared using χ2 analysis, whereas continuous variables were compared using student's t-tests or Mann Whitney U tests, as appropriate. P<0.05 was considered to indicate a statistically significant difference.

Results

Clinicopathological features

In total, 16 (3.66%) patients with TCV PTC were identified in a series of 437 patients with PTC. The TCV series included 11 females and 5 males aged 15–74 years (median, 57 years). Table I presents the clinicopathological features of the TCV PTC series in comparison with the control group of CaFVs of PTC. The clinicopathological features and BRAFV600E mutational status of the TCV PTC series were compared with the 34 cases of CaFVs of PTC matched for tumor size and age at diagnosis (Table II).

Table I.

Clinicopathological features at presentation according to the subtype of PTC.

Table I.

Clinicopathological features at presentation according to the subtype of PTC.

VariableTCV of PTC (n=16)CaFVs of PTC (n=34)P-value
Female gender (%)11 (68.8)28 (82.4)0.400
Age, years (SD)57 (18.5)50.8 (15.7)0.100
Follow-up time, months (%)15 (93.8)34 (100.0)0.100
Type of surgery, n (%) 0.100
  obectomy1 (6.2)1 (2.9)
  Subtotal thyroidectomy2 (12.5)0 (0.0)
  Total thyroidectomy13 (81.3)33 (97.1)
  Lymphadenectomy  5 (31.3)  9 (26.4)0.900
Surgical re-intervention, n (%)  2 (12.5)  2 (5.9)0.800
Received RAI treatment, n (%)15 (93.8)33 (97.1)0.500
Tumor size, cm (SD)  2.1 (0.9)  2.6 (1.7)0.600
Multifocal tumor, n (%)  8 (50.0)  9 (26.4)0.090
Bilateral tumor, n (%)  5 (31.3)  5 (14.7)0.200
Positive margin status, n (%)13 (81.3)24 (70.6)0.300
Lymphovascular invasion, n (%)  6 (37.5)10 (29.4)0.500
Perineural invasion, n (%)0 (0.0)1 (2.9)1.000
Extrathyroid extension, n (%)  9 (56.3)  5 (14.7)0.007b
Lymph node metastases, n (%)  9 (56.3)  9 (26.4)0.040b
Distant metastases, n (%)  1 (6.2)  0 (0.0)0.300
TNM staging, n (%)a 0.010b
  I5 (31.3)19 (55.9)
  II1 (6.2)8 (23.5)
  III2 (12.5)6 (17.6)
  IV  8 (50.0)  1 (2.9)
Tumor stage III/IV, n (%)10 (62.5)  7 (20.5)0.009b

a TNM staging was performed according to the criteria of Edge et al (17).

b Significant values (P≤0.05). TCV, tall cell variant; PTC, papillary thyroid carcinoma; CaFVs, classical and follicular variants; RAI, radioactive iodine; SD, standard deviation; TNM, tumor-node-metastasis.

Table II.

Clinicopathological features in a PTC series according to the BRAF mutation status.

Table II.

Clinicopathological features in a PTC series according to the BRAF mutation status.

Variable BRAFV600E (n=19)BRAF wild type (n=25)P-value
Age, years (SD)54.6 (17.9)51.1 (15.0)0.100
Tumor size, cm (SD)  2.1 (1.1)  2.6 (1.7)0.100
Multifocal tumor, n (%)  7 (41.1)  8 (38.0)0.800
Bilateral tumor, n (%)  4 (23.5)  5 (23.8)1.000
Positive margin status, n (%)15 (83.3)13 (61.9)0.200
Lymphovascular invasion, n (%)  5 (26.3)  9 (42.8)0.200
Perineural invasion, n (%)1 (5.2)0 (0.0)0.400
Extrathyroid extension, n (%)10 (52.6)2 (9.5)0.009a
Lymph nodes metastases, n (%)11 (57.8)5 (23.8)0.028a
Advanced stage (III/IV), n (%)14 (73.6)9 (42.8)0.049a
Persistent.disease, n (%)6 (31.5)3 (14.2)0.300
Disease.free survival, n (%)11 (57.8)18 (85.7)0.100

a Significant values (P.0.05). PTC, papillary thyroid carcinoma; SD, standard deviation; BRAF, B.Raf proto.oncogene.

In the TCV PTC series, the tumor size ranged from 5–45 mm (median, 19 mm). Extrathyroidal extension was present in 9 (56.3%) cases and lymph node metastases were detected in 9 (56.3%) cases. In total, 8 patients (50.0%) had multifocal papillary carcinomas, with lymphovascular invasion in 6 (37.5%) cases and distant metastases in 1 (6.2%) case. A total of 10 patients (62.5%) presented at stage III/IV. At presentation, one patient in the TCV PTC group had distant metastases, whereas no distant metastasis was detected in the control group. During follow-up, two patients with TCV PTC developed metastases (cervical lymph node metastases in one case and lung metastases in one case), and two other patients with TCV PTC succumbed to the disease. No metastases or disease-associated mortalities were observed in the control group. At the end of the study, a lower percentage of disease-free patients and slightly higher rate of recurrence was observed in the TCV PTC group by comparison with the control group (50.0% vs. 85.3% disease-free patients, P=0.02; 37.5% vs. 11.7% rate of recurrence, P=0.08, respectively). The survival rate in patients with TCV PTC was 87.5%, compared with 97.0% in the control group; however, this difference was not statistically significant (P=0.1).

The control group exhibited less extrathyroidal extension and lymph node metastases: 5 (14.7%; P=0.007) and 9 (26.5%; P=0.04) cases, respectively. In total, 9 (26.5%) tumors were multifocal, with lymphovascular invasion in 10 (29.4%), no distant metastases and 7 (20.5%) patients vs. 10 (62.5%) patients presenting at stage III/IV (P=0.04).

Immunohistochemical and molecular findings

In accordance with their follicular cell derivation, in the two series, all tumors were positive for thyroglobulin and negative for calcitonin (Fig. 1). The BRAF mutational analysis was performed in 40 cases. No correlation was detected between age or tumor size and the mutational status of the BRAF gene. The BRAFV600E mutation was higher in the TCV PTC series compared with the CaFVs of PTC series [12/15 (80.0%) vs. 7/25 (28.0%) cases; P=0.004). The BRAFV600E mutation was associated with extrathyroidal extension (P=0.009), lymph node metastases (P=0.028) and the advanced-stage of disease (P=0.049). BRAFV600E mutation was present in the tumor of the patient with distant metastases at diagnosis, in the two patients developing metastases on follow-up, and in the two patients that succumbed to the disease, all of whom belonged to the TCV PTC series.

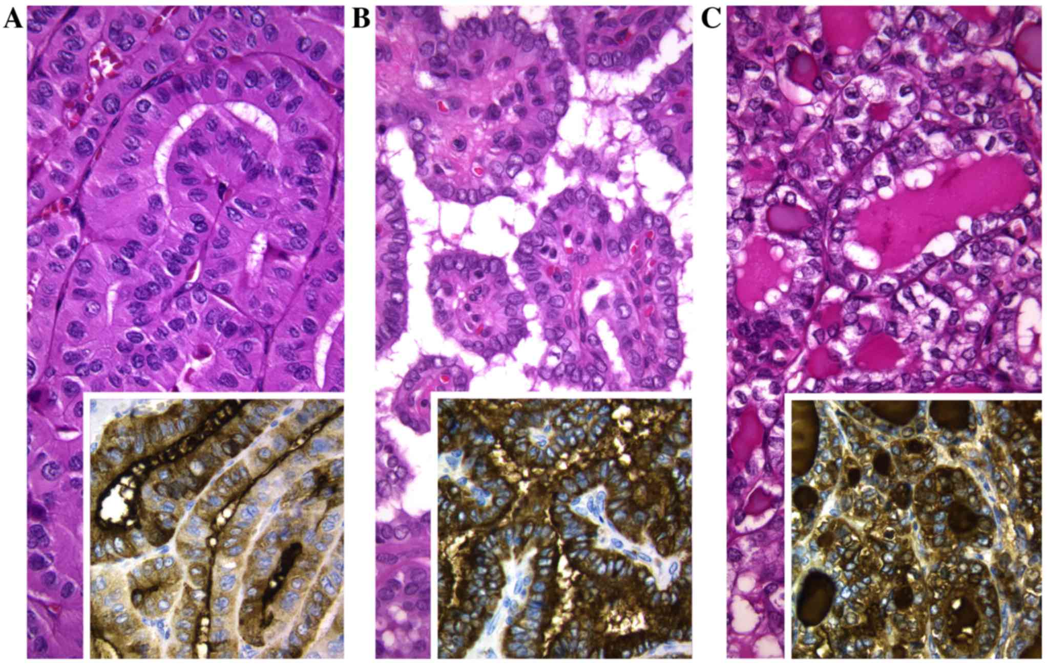
Figure 1.

(A) In the tall cell variant of PTC, the tumor cells are ‘tall’, their cytoplasm is oncocytic and the pattern of growth is that of highly packed, regimented papillae. (B) The classical variant of PTC is composed of branching papillae formed by a central fibrovascular stalk covered by a neoplastic epithelial lining. (C) In the follicular variant of PTC, the pattern of growth is follicular throughout. Hematoxylin and eosin staining; original magnification, ×400. All these variants of PTC were positive for thyroglobulin in the immunohistochemical study (insets; magnification, ×400). PTC, papillary thyroid carcinoma.

Discussion

In the current study, the main clinicopathological features of the TCV of PTC were examined, the frequency of which appears to be rising along with the increased incidence of PTC worldwide (19,20). However, the causes of this increased incidence of the TCV of PTC, and whether it is a true increase, remain to be elucidated. The TCV made up ~10% of all cases of PTC in the initial series studied by Hawk and Hazard (3); however, later studies on the incidence of this entity detected the TCV in between 1.3 and 13% of all PTC cases (21,22). Similar to the findings of Ito et al (23), the current study detected 3.6% of the TCV of PTC in a series of 437 PTC cases. This variation in the reported prevalence of TCV PTC may occur as a consequence of a poor definition of this variant due to the following factors: i) A variance in the height of the neoplastic cells depending on the plane of the section (6); ii) the presence of a significant proportion of tall cells in various types of PTC (6); iii) the differing diagnostic criteria proposed (for example, distinct threshold values in the percentage of tall cells required to determine a particular case of PTC as being a variant of tall cells) (3,4,6); and iv) the misdiagnosis of this variant on routine pathological examination (7). Certain studies have revealed that 1–13% of diagnosed cases of classical PTC were reclassified as TCV PTC following revision by endocrine pathologists (13,24–27). The TCV of PTC has a 6% prevalence (95% confidence interval, 4–7%) in all PTC, following a pooling of the data from the literature (10). Although there is no consensus concerning the threshold of tall cells defining the TCV of PTC, LiVolsi (4) proposed to specify the presence of foci of tall cells in pathological reports irrespective of the percentage of tall cell cytology. Despite the lower number of cases in the current series, all cases of the TCV of PTC had ≥50% tall cells, which may indicate the increased reliability of the study.

Due to the clinical differences between the patients with the TCV of PTC and classical PTC, a control series with exactly the same mean age could not be obtained in the current study; however, no significant differences in patient age were detected between the two groups (P=0.1). The female:male ratio in the patients with TCV of PTC was 2.2, with females accounting for 69%, and males 31% of cases. In the control group of patients in the present study, females accounted for 82%, and males for 18% of cases. Certain studies have also observed that the TCV of PTC has a higher prevalence in males compared with classical PTC (10,19,25). It is established that, in differentiated thyroid carcinoma cases, male patients tend to have more advanced disease diagnosed at an older age, lower disease-free survival and higher mortality compared with female patients (28,29). The mean age at presentation of the patients in the present study with the TCV of PTC (57 years) was similar that to observed in a large population-based cancer registry (Surveillance, Epidemiology and End Results) from 1988–2008 (19). This data was also concordant with the ranges and mean age pooled from the series that has been previously reported (range, 41–66 years; mean, 50.1 years for TCV PTC; range, 34–53 years; mean, 45.7 years for classical PTC) (10). Age at diagnosis is also an important prognostic factor in patients with differentiated thyroid carcinoma (30) and, particularly after 40–45 years, the adverse effect of age on prognosis increases gradually with every decade (31).

The behavior of TCV is more aggressive than that of CaFVs of PTC (3,8,10,12–14,23,24,27,30). Although there is a lack of consensus on whether the TCV of PTC is varied from the classical PTC in terms of tumor size at presentation (10), a previous review revealed that the mean tumor diameter in all cases of the TCV of PTC was 20 mm, by comparison with 19 mm in classical PTC (10). The current series of the TCV of PTC was compared with the two CaFVs to determine if, irrespective of age and size, TCV is more aggressive than its classical and follicular counterparts. The overall percentage of multifocality, bilaterality, positive margins, vascular invasion, extrathyroidal extension, lymph node metastasis, distant metastasis and stage III/IV at presentation was greater in the TCV variant group, as compared with the classical and follicular PTC groups (Table I). Similar figures have been reported by previous studies, and the overall rates of multifocality, extrathyroidal extension, lymph node metastasis, and distant metastasis at the time of diagnosis in patients with TCV PTC were 45.7, 63.9, 59.0 and 8.6% respectively (10). The current study detected significantly higher rates of extrathyroidal extension (56.3 vs. 14.7%; P=0.007), lymph node metastasis (56.3 vs. 26.4%; P=0.04) and advanced-stage disease (62.5 vs. 20.5%; P=0.009) in the TCV series in comparison with the CaFVs, and the tumor size was slightly larger in the latter group [21 mm (SD, 0.9 mm) vs. 26 mm (SD, 1.7 mm), respectively]. A patient with distant metastases was present in the TCV of PTC group in the present study, but no distant metastases were detected in the control group. These findings were consistent with previous studies concerning the increased aggressiveness of TCV compared with the CaFVs of PTC, and support such aggressiveness being independent of tumor size and patient age.

BRAF gene encodes a serine/threonine kinase that belongs to the RAS-RAF-mitogen-activated protein kinase (MAPK) kinase-extracellular signal-regulated kinase-mitogen activated protein kinase signaling pathway, the role of which is to mediate the cellular responses to growth factors. The T1796A BRAF mutation, leading to the substitution of a valine by a glutamic acid at position 600 in exon 15, is the most prevalent mutation in PTC. The BRAFV600E mutation increases BRAF kinase activity, triggering the MAPK signaling pathway independent of the activation of upstream factors. The BRAFV600E mutation is the most frequent point mutation detected in PTC (36–83%), with a strong genotype-phenotype association, and is almost exclusively detected in cases of PTC that exhibit a papillary or mixed papillary-follicular growth pattern (32,33). Previous reports indicate that the BRAF mutation has the highest prevalence in the TCV of PTC (80–100%) (10,34). In the patient series of the current study, the percentage of cases exhibiting the BRAFV600E mutation was also significantly higher in the TCV of PTC group (80%; P=0.004).

Certain studies have reported significant associations between BRAF-positive thyroid tumors and poor prognostic indicators, including male gender, increased age, lymph node metastases, extrathyroid extension, distant metastases, higher tumor staging, tumor size and tumor recurrence (10,32). A retrospective multicenter study demonstrated that the BRAFV600E mutation was significantly correlated with increased cancer-associated mortality in patients with PTC; however, this association was not independent of a number of clinicopathological features of aggressiveness, including older patient age at diagnosis, lymph node metastases, extrathyroidal extension, distant metastasis or advanced disease (stage IV) (35). A recent meta-analysis demonstrated that BRAFV600E-positive papillary thyroid types of microcarcinoma are more likely to possess aggressive clinicopathological characteristics (36). Subsequently, another previous study revealed that the coexistence of BRAFV600E and telomerase reverse transcriptase promoter mutations was particularly associated with high-risk clinicopathological features in PTC (37). Notably, in the current study, the BRAFV600E mutation was associated with extrathyroidal extension (P=0.009), lymph node metastases (P=0.028) and advanced stage (P=0.049) in the TCV of PTC and the CaFVs of PTC groups (Table II). In addition, all the patients that presented with distant metastases at diagnosis, that developed metastases on follow-up or that succumbed to the disease, had BRAFV600E-positive TCV PTC. These results suggest that the BRAFV600E mutation functions in the aggressive biological behavior of the TCV of PTC. The current hypothesis, based on this series of clinically relevant PTC, is concordant with a previous study by Virk et al (38) on papillary microcarcinoma. In this previous study, Virk et al (38) proposed that the BRAFV600E mutation is an early event in thyroid carcinogenesis, and is associated with distinctive morphology and aggressive features, even in papillary thyroid microcarcinomas.

In conclusion, the present study reports a series of PTC strictly classified as the TCV (≥50% of tall cells) and reveals that, irrespective of patient age and tumor size, this variant is significantly associated with a higher rate of extrathyroidal extension, lymph node metastasis, advanced stage and BRAFV600E mutations, compared with the CaFVs of PTC. The higher rate of BRAFV600E mutations in the TCV of PTC compared with the classical and follicular counterparts, also supports the hypothesis of a role for these mutations in the aggressiveness of PTC.

Acknowledgements

The present study was supported by the Carlos III Health Institute, Ministry of Economy and Competitiveness (Madrid, Spain; grant no. PI15/01501-FEDER).

References

1 

Davies L and Welch HG: Current thyroid trends in the United States. JAMA Otolaryngol Head Neck Surg. 140:317–322. 2014. View Article : Google Scholar : PubMed/NCBI

2 

Lam AK, Lo CY and Lam KS: Papillary carcinoma of thyroid: A 30-yr clinicopathological review of the histological variants. Endocr Pathol. 16:323–330. 2005. View Article : Google Scholar : PubMed/NCBI

3 

Hawk WA and Hazard JB: The many appearances of papillary carcinoma of the thyroid. Cleve Clin Q. 43:207–215. 1976. View Article : Google Scholar : PubMed/NCBI

4 

LiVolsi VA: Papillary carcinoma tall cell variant (TCV): A review: Endocr Pathol. 21:12–15. 2010.

5 

Lastra RR, LiVolsi VA and Baloch ZW: Aggressive variants of follicular cell-derived thyroid carcinomas. A cytopathologis's perspective. Cancer Cytopathol. 122:484–503. 2014. View Article : Google Scholar : PubMed/NCBI

6 

LiVolsi VA, Albores-Saavedra J, Asa SL, Baloch ZW, Sobrinho-Simões M, Wenig B, DeLellis RA, Cady B, Mazzaferri EL, Hay I, Fagin JA, et al: Papillary carcinomaDeLellis RA, Heitz PU and Eng C: Pathology and Genetics: Tumours of Endocrine Organs. 3rd. World Health Organization Classification of Tumours. France. IARC Press; Lyon: pp. 57–66. 2004

7 

Ghossein R and Livolsi VA: Papillary thyroid carcinoma tall cell variant. Thyroid. 18:1179–1181. 2008. View Article : Google Scholar : PubMed/NCBI

8 

Ganly I, Ibrahimpasic T, Rivera M, Nixon I, Palmer F, Patel SG, Tuttle RM, Shah JP and Ghossein R: Prognostic implications of papillary thyroid carcinoma with tall-cell features. Thyroid. 24:662–670. 2014. View Article : Google Scholar : PubMed/NCBI

9 

Dettmer MS, Schmitt A, Steinert H, Capper D, Moch H, Komminoth P and Perren A: Tall cell papillary thyroid carcinoma: New diagnostic criteria and mutations in BRAF and TERT. Endocr Relat Cancer. 22:419–429. 2015. View Article : Google Scholar : PubMed/NCBI

10 

Wang X, Cheng W, Liu C and Li J: Tall cell variant of papillary thyroid carcinoma: Current evidence on clinicopathologic features and molecular biology. Oncotarget. 7:40792–40799. 2016.PubMed/NCBI

11 

Morris LG, Shaha AR, Tuttle RM, Sikora AG and Ganly I: Tall-cell variant of papillary thyroid carcinoma: A matched-pair analysis of survival. Thyroid. 20:153–158. 2010. View Article : Google Scholar : PubMed/NCBI

12 

Johnson TL, Lloyd RV, Thompson NW, Beierwaltes WH and Sisson JC: Prognostic implications of the tall cell variant of papillary thyroid carcinoma. Am J Surg Pathol. 12:22–27. 1988. View Article : Google Scholar : PubMed/NCBI

13 

Ghossein RA, Leboeuf R, Patel KN, Rivera M, Katabi N, Carlson DL, Tallini G, Shaha A, Singh B and Tuttle RM: Tall cell variant of papillary thyroid carcinoma without extrathyroid extension: Biologic behavior and clinical implications. Thyroid. 17:655–661. 2007. View Article : Google Scholar : PubMed/NCBI

14 

Shi X, Liu R, Basolo F, Giannini R, Shen X, Teng D, Guan H, Shan Z, Teng W, Musholt TJ, et al: Differential clinicopathological risk and prognosis of major papillary thyroid cancer variants. J Clin Endocrinol Metab. 101:264–274. 2016. View Article : Google Scholar : PubMed/NCBI

15 

Nikiforov YE, Seethala RR, Tallini G, Baloch ZW, Basolo F, Thompson LD, Barletta JA, Wenig BM, Al Ghuzlan A, Kakudo K, et al: Nomenclature revision for encapsulated follicular variant of papillary thyroid carcinoma: A paradigm shift to reduce overtreatment of indolent tumors. JAMA Oncol. 2:1023–1029. 2016. View Article : Google Scholar : PubMed/NCBI

16 

Gnemmi V, Renaud F, Do Cao C, Salleron J, Lion G, Wemeau JL, Copin MC, Carnaille B, Leteurtre E, Pattou F and Aubert S: Poorly differentiated thyroid carcinomas: Application of the Turin proposal provides prognostic results similar to those from the assessment of high-grade features. Histopathology. 64:263–273. 2014. View Article : Google Scholar : PubMed/NCBI

17 

Edge SB, Byrd DR, Compton CC, Fritz AG, Greene FL and Trotti A: AJCC Cancer staging handbook. 7th. NY, Springer; New York: pp. 111–122. 2010

18 

Cameselle-Teijeiro J, Abdulkader I, Pérez-Becerra R, Vázquez-Boquete A, Alberte-Lista L, Ruiz-Ponte C, Forteza J and Sobrinho-Simões M: BRAF mutation in solid cell nest hyperplasia associated with papillary thyroid carcinoma. A precursor lesion? Hum Pathol. 40:1029–1035. 2009. View Article : Google Scholar : PubMed/NCBI

19 

Kazaure HS, Roman SA and Sosa JA: Aggressive variants of papillary thyroid cancer: Incidence, characteristics and predictors of survival among 43,738 patients. Ann Surg Oncol. 19:1874–1880. 2012. View Article : Google Scholar : PubMed/NCBI

20 

Ceresini G, Corcione L, Michiara M, Sgargi P, Teresi G, Gilli A, Usberti E, Silini E and Ceda GP: Thyroid cancer incidence by histological type and related variants in a mildly iodine-deficient area of Northern Italy, 1998 to 2009. Cancer. 118:5473–5480. 2012. View Article : Google Scholar : PubMed/NCBI

21 

Guan H, Vandenbussche CJ, Erozan YS, Rosenthal DL, Tatsas AD, Olson MT, Zheng R, Auger M and Ali SZ: Can the tall cell variant of papillary thyroid carcinoma be distinguished from the conventional type in fine needle aspirates? A cytomorphologic study with assessment of diagnostic accuracy. Acta Cytol. 57:534–542. 2013. View Article : Google Scholar : PubMed/NCBI

22 

Axelsson TA, Hrafnkelsson J, Olafsdottir EJ and Jonasson JG: Tall cell variant of papillary thyroid carcinoma: A population-based study in Iceland. Thyroid. 25:216–220. 2015. View Article : Google Scholar : PubMed/NCBI

23 

Ito Y, Hirokawa M, Fukushima M, Inoue H, Yabuta T, Uruno T, Kihara M, Higashiyama T, Takamura Y, Miya A, et al: Prevalence and prognostic significance of poor differentiation and tall cell variant in papillary carcinoma in Japan. World J Surg. 32:1535–1545. 2008. View Article : Google Scholar : PubMed/NCBI

24 

Terry JH, St John SA, Karkowski FJ, Suarez JR, Yassa NH, Platica CD and Marti JR: Tall cell papillary thyroid cancer: Incidence and prognosis. Am J Surg. 168:459–461. 1994. View Article : Google Scholar : PubMed/NCBI

25 

Rüter A, Nishiyama R and Lennquist S: Tall-cell variant of papillary thyroid cancer: Disregarded entity? World J Surg. 21:15–21. 1997. View Article : Google Scholar : PubMed/NCBI

26 

Michels JJ, Jacques M, Henry-Amar M and Bardet S: Prevalence and prognostic significance of tall cell variant of papillary thyroid carcinoma. Hum Pathol. 38:212–219. 2007. View Article : Google Scholar : PubMed/NCBI

27 

Bernstein J, Virk RK, Hui P, Prasad A, Westra WH, Tallini G, Adeniran AJ, Udelsman R, Sasaki CT, Roman SA, et al: Tall cell variant of papillary thyroid microcarcinoma: Clinicopathologic features with BRAF(V600E) mutational analysis. Thyroid. 23:1525–1531. 2013. View Article : Google Scholar : PubMed/NCBI

28 

Gilliland FD, Hunt WC, Morris DM and Key CR: Prognostic factors for thyroid carcinoma. A population-based study of 15,698 cases from the Surveillance, Epidemiology and End Results (SEER) program 1973–1991. Cancer. 79:564–573. 1997. View Article : Google Scholar : PubMed/NCBI

29 

Kilfoy BA, Devesa SS, Ward MH, Zhang Y, Rosenberg PS, Holford TR and Anderson WF: Gender is an age-specific effect modifier for papillary cancers of the thyroid gland. Cancer Epidemiol Biomarkers Prev. 18:1092–1100. 2009. View Article : Google Scholar : PubMed/NCBI

30 

Soares P, Celestino R, Melo M, Fonseca E and Sobrinho-Simões M: Prognostic biomarkers in thyroid cancer. Virchows Arch. 464:333–346. 2014. View Article : Google Scholar : PubMed/NCBI

31 

Hay ID, Thompson GB, Grant CS, Bergstralh EJ, Dvorak CE, Gorman CA, Maurer MS, McIver B, Mullan BP, Oberg AL, et al: Papillary thyroid carcinoma managed at the Mayo Clinic during six decades (1940–1999): Temporal trends in initial therapy and long-term outcome in 2444 consecutively treated patients. World J Surg. 26:879–885. 2002. View Article : Google Scholar : PubMed/NCBI

32 

Erler P, Keutgen XM, Crowley MJ, Zetoune T, Kundel A, Kleiman D, Beninato T, Scognamiglio T, Elemento O, Zarnegar R and Fahey TJ III: Dicer expression and microRNA dysregulation associate with aggressive features in thyroid cancer. Surgery. 156:1342–1350. 2014. View Article : Google Scholar : PubMed/NCBI

33 

Sobrinho-Simões M, Máximo V, Rocha AS, Trovisco V, Castro P, Preto A, Lima J and Soares P: Intragenic mutations in thyroid cancer. Endocrinol Metab Clin North Am. 37:333–362. 2008. View Article : Google Scholar : PubMed/NCBI

34 

Tavares C, Melo M, Cameselle-Teijeiro JM, Soares P and Sobrinho-Simões M: ENDOCRINE TUMOURS: Genetic predictors of thyroid cancer outcome. Eur J Endocrinol. 174:R117–R126. 2016. View Article : Google Scholar : PubMed/NCBI

35 

Xing M, Alzahrani AS, Carson KA, Viola D, Elisei R, Bendlova B, Yip L, Mian C, Vianello F, Tuttle RM, et al: Association between BRAF V600E mutation and mortality in patients with papillary thyroid cancer. JAMA. 309:1493–1501. 2013. View Article : Google Scholar : PubMed/NCBI

36 

Li F, Chen G, Sheng C, Gusdon AM, Huang Y, Lv Z, Xu H, Xing M and Qu S: BRAFV600E mutation in papillary thyroid microcarcinoma: A meta-analysis. Endocr Relat Cancer. 22:159–168. 2015. View Article : Google Scholar : PubMed/NCBI

37 

Jin L, Chen E, Dong S, Cai Y, Zhang X, Zhou Y, Zeng R, Yang F, Pan C, Liu Y, et al: BRAF and TERT promoter mutations in the aggressiveness of papillary thyroid carcinoma: A study of 653 patients. Oncotarget. 7:18346–18355. 2016.PubMed/NCBI

38 

Virk RK, Van Dyke AL, Finkelstein A, Prasad A, Gibson J, Hui P, Theoharis CG, Carling T, Roman SA, Sosa JA, et al: BRAFV600E mutation in papillary thyroid microcarcinoma: A genotype-phenotype correlation. Mod Pathol. 26:62–70. 2013. View Article : Google Scholar : PubMed/NCBI

Related Articles

  • Abstract
  • View
  • Download
  • Twitter
Copy and paste a formatted citation
Spandidos Publications style
Villar‑Taibo R, Peteiro‑González D, Cabezas‑Agrícola JM, Aliyev E, Barreiro‑Morandeira F, Ruiz‑Ponte C and Cameselle‑Teijeiro JM: Aggressiveness of the tall cell variant of papillary thyroid carcinoma is independent of the tumor size and patient age. Oncol Lett 13: 3501-3507, 2017.
APA
Villar‑Taibo, R., Peteiro‑González, D., Cabezas‑Agrícola, J.M., Aliyev, E., Barreiro‑Morandeira, F., Ruiz‑Ponte, C., & Cameselle‑Teijeiro, J.M. (2017). Aggressiveness of the tall cell variant of papillary thyroid carcinoma is independent of the tumor size and patient age. Oncology Letters, 13, 3501-3507. https://doi.org/10.3892/ol.2017.5948
MLA
Villar‑Taibo, R., Peteiro‑González, D., Cabezas‑Agrícola, J. M., Aliyev, E., Barreiro‑Morandeira, F., Ruiz‑Ponte, C., Cameselle‑Teijeiro, J. M."Aggressiveness of the tall cell variant of papillary thyroid carcinoma is independent of the tumor size and patient age". Oncology Letters 13.5 (2017): 3501-3507.
Chicago
Villar‑Taibo, R., Peteiro‑González, D., Cabezas‑Agrícola, J. M., Aliyev, E., Barreiro‑Morandeira, F., Ruiz‑Ponte, C., Cameselle‑Teijeiro, J. M."Aggressiveness of the tall cell variant of papillary thyroid carcinoma is independent of the tumor size and patient age". Oncology Letters 13, no. 5 (2017): 3501-3507. https://doi.org/10.3892/ol.2017.5948
Copy and paste a formatted citation
x
Spandidos Publications style
Villar‑Taibo R, Peteiro‑González D, Cabezas‑Agrícola JM, Aliyev E, Barreiro‑Morandeira F, Ruiz‑Ponte C and Cameselle‑Teijeiro JM: Aggressiveness of the tall cell variant of papillary thyroid carcinoma is independent of the tumor size and patient age. Oncol Lett 13: 3501-3507, 2017.
APA
Villar‑Taibo, R., Peteiro‑González, D., Cabezas‑Agrícola, J.M., Aliyev, E., Barreiro‑Morandeira, F., Ruiz‑Ponte, C., & Cameselle‑Teijeiro, J.M. (2017). Aggressiveness of the tall cell variant of papillary thyroid carcinoma is independent of the tumor size and patient age. Oncology Letters, 13, 3501-3507. https://doi.org/10.3892/ol.2017.5948
MLA
Villar‑Taibo, R., Peteiro‑González, D., Cabezas‑Agrícola, J. M., Aliyev, E., Barreiro‑Morandeira, F., Ruiz‑Ponte, C., Cameselle‑Teijeiro, J. M."Aggressiveness of the tall cell variant of papillary thyroid carcinoma is independent of the tumor size and patient age". Oncology Letters 13.5 (2017): 3501-3507.
Chicago
Villar‑Taibo, R., Peteiro‑González, D., Cabezas‑Agrícola, J. M., Aliyev, E., Barreiro‑Morandeira, F., Ruiz‑Ponte, C., Cameselle‑Teijeiro, J. M."Aggressiveness of the tall cell variant of papillary thyroid carcinoma is independent of the tumor size and patient age". Oncology Letters 13, no. 5 (2017): 3501-3507. https://doi.org/10.3892/ol.2017.5948
Follow us
  • Twitter
  • LinkedIn
  • Facebook
About
  • Spandidos Publications
  • Careers
  • Cookie Policy
  • Privacy Policy
How can we help?
  • Help
  • Live Chat
  • Contact
  • Email to our Support Team