Spandidos Publications Logo
  • About
    • About Spandidos
    • Aims and Scopes
    • Abstracting and Indexing
    • Editorial Policies
    • Reprints and Permissions
    • Job Opportunities
    • Terms and Conditions
    • Contact
  • Journals
    • All Journals
    • Oncology Letters
      • Oncology Letters
      • Information for Authors
      • Editorial Policies
      • Editorial Board
      • Aims and Scope
      • Abstracting and Indexing
      • Bibliographic Information
      • Archive
    • International Journal of Oncology
      • International Journal of Oncology
      • Information for Authors
      • Editorial Policies
      • Editorial Board
      • Aims and Scope
      • Abstracting and Indexing
      • Bibliographic Information
      • Archive
    • Molecular and Clinical Oncology
      • Molecular and Clinical Oncology
      • Information for Authors
      • Editorial Policies
      • Editorial Board
      • Aims and Scope
      • Abstracting and Indexing
      • Bibliographic Information
      • Archive
    • Experimental and Therapeutic Medicine
      • Experimental and Therapeutic Medicine
      • Information for Authors
      • Editorial Policies
      • Editorial Board
      • Aims and Scope
      • Abstracting and Indexing
      • Bibliographic Information
      • Archive
    • International Journal of Molecular Medicine
      • International Journal of Molecular Medicine
      • Information for Authors
      • Editorial Policies
      • Editorial Board
      • Aims and Scope
      • Abstracting and Indexing
      • Bibliographic Information
      • Archive
    • Biomedical Reports
      • Biomedical Reports
      • Information for Authors
      • Editorial Policies
      • Editorial Board
      • Aims and Scope
      • Abstracting and Indexing
      • Bibliographic Information
      • Archive
    • Oncology Reports
      • Oncology Reports
      • Information for Authors
      • Editorial Policies
      • Editorial Board
      • Aims and Scope
      • Abstracting and Indexing
      • Bibliographic Information
      • Archive
    • Molecular Medicine Reports
      • Molecular Medicine Reports
      • Information for Authors
      • Editorial Policies
      • Editorial Board
      • Aims and Scope
      • Abstracting and Indexing
      • Bibliographic Information
      • Archive
    • World Academy of Sciences Journal
      • World Academy of Sciences Journal
      • Information for Authors
      • Editorial Policies
      • Editorial Board
      • Aims and Scope
      • Abstracting and Indexing
      • Bibliographic Information
      • Archive
    • International Journal of Functional Nutrition
      • International Journal of Functional Nutrition
      • Information for Authors
      • Editorial Policies
      • Editorial Board
      • Aims and Scope
      • Abstracting and Indexing
      • Bibliographic Information
      • Archive
    • International Journal of Epigenetics
      • International Journal of Epigenetics
      • Information for Authors
      • Editorial Policies
      • Editorial Board
      • Aims and Scope
      • Abstracting and Indexing
      • Bibliographic Information
      • Archive
    • Medicine International
      • Medicine International
      • Information for Authors
      • Editorial Policies
      • Editorial Board
      • Aims and Scope
      • Abstracting and Indexing
      • Bibliographic Information
      • Archive
  • Articles
  • Information
    • Information for Authors
    • Information for Reviewers
    • Information for Librarians
    • Information for Advertisers
    • Conferences
  • Language Editing
Spandidos Publications Logo
  • About
    • About Spandidos
    • Aims and Scopes
    • Abstracting and Indexing
    • Editorial Policies
    • Reprints and Permissions
    • Job Opportunities
    • Terms and Conditions
    • Contact
  • Journals
    • All Journals
    • Biomedical Reports
      • Information for Authors
      • Editorial Policies
      • Editorial Board
      • Aims and Scope
      • Abstracting and Indexing
      • Bibliographic Information
      • Archive
    • Experimental and Therapeutic Medicine
      • Information for Authors
      • Editorial Policies
      • Editorial Board
      • Aims and Scope
      • Abstracting and Indexing
      • Bibliographic Information
      • Archive
    • International Journal of Epigenetics
      • Information for Authors
      • Editorial Policies
      • Editorial Board
      • Aims and Scope
      • Abstracting and Indexing
      • Bibliographic Information
      • Archive
    • International Journal of Functional Nutrition
      • Information for Authors
      • Editorial Policies
      • Editorial Board
      • Aims and Scope
      • Abstracting and Indexing
      • Bibliographic Information
      • Archive
    • International Journal of Molecular Medicine
      • Information for Authors
      • Editorial Policies
      • Editorial Board
      • Aims and Scope
      • Abstracting and Indexing
      • Bibliographic Information
      • Archive
    • International Journal of Oncology
      • Information for Authors
      • Editorial Policies
      • Editorial Board
      • Aims and Scope
      • Abstracting and Indexing
      • Bibliographic Information
      • Archive
    • Medicine International
      • Information for Authors
      • Editorial Policies
      • Editorial Board
      • Aims and Scope
      • Abstracting and Indexing
      • Bibliographic Information
      • Archive
    • Molecular and Clinical Oncology
      • Information for Authors
      • Editorial Policies
      • Editorial Board
      • Aims and Scope
      • Abstracting and Indexing
      • Bibliographic Information
      • Archive
    • Molecular Medicine Reports
      • Information for Authors
      • Editorial Policies
      • Editorial Board
      • Aims and Scope
      • Abstracting and Indexing
      • Bibliographic Information
      • Archive
    • Oncology Letters
      • Information for Authors
      • Editorial Policies
      • Editorial Board
      • Aims and Scope
      • Abstracting and Indexing
      • Bibliographic Information
      • Archive
    • Oncology Reports
      • Information for Authors
      • Editorial Policies
      • Editorial Board
      • Aims and Scope
      • Abstracting and Indexing
      • Bibliographic Information
      • Archive
    • World Academy of Sciences Journal
      • Information for Authors
      • Editorial Policies
      • Editorial Board
      • Aims and Scope
      • Abstracting and Indexing
      • Bibliographic Information
      • Archive
  • Articles
  • Information
    • For Authors
    • For Reviewers
    • For Librarians
    • For Advertisers
    • Conferences
  • Language Editing
Login Register Submit
  • This site uses cookies
  • You can change your cookie settings at any time by following the instructions in our Cookie Policy. To find out more, you may read our Privacy Policy.

    I agree
Search articles by DOI, keyword, author or affiliation
Search
Advanced Search
presentation
Oncology Letters
Join Editorial Board Propose a Special Issue
Print ISSN: 1792-1074 Online ISSN: 1792-1082
Journal Cover
July-2017 Volume 14 Issue 1

Full Size Image

Sign up for eToc alerts
Recommend to Library

Journals

International Journal of Molecular Medicine

International Journal of Molecular Medicine

International Journal of Molecular Medicine is an international journal devoted to molecular mechanisms of human disease.

International Journal of Oncology

International Journal of Oncology

International Journal of Oncology is an international journal devoted to oncology research and cancer treatment.

Molecular Medicine Reports

Molecular Medicine Reports

Covers molecular medicine topics such as pharmacology, pathology, genetics, neuroscience, infectious diseases, molecular cardiology, and molecular surgery.

Oncology Reports

Oncology Reports

Oncology Reports is an international journal devoted to fundamental and applied research in Oncology.

Experimental and Therapeutic Medicine

Experimental and Therapeutic Medicine

Experimental and Therapeutic Medicine is an international journal devoted to laboratory and clinical medicine.

Oncology Letters

Oncology Letters

Oncology Letters is an international journal devoted to Experimental and Clinical Oncology.

Biomedical Reports

Biomedical Reports

Explores a wide range of biological and medical fields, including pharmacology, genetics, microbiology, neuroscience, and molecular cardiology.

Molecular and Clinical Oncology

Molecular and Clinical Oncology

International journal addressing all aspects of oncology research, from tumorigenesis and oncogenes to chemotherapy and metastasis.

World Academy of Sciences Journal

World Academy of Sciences Journal

Multidisciplinary open-access journal spanning biochemistry, genetics, neuroscience, environmental health, and synthetic biology.

International Journal of Functional Nutrition

International Journal of Functional Nutrition

Open-access journal combining biochemistry, pharmacology, immunology, and genetics to advance health through functional nutrition.

International Journal of Epigenetics

International Journal of Epigenetics

Publishes open-access research on using epigenetics to advance understanding and treatment of human disease.

Medicine International

Medicine International

An International Open Access Journal Devoted to General Medicine.

Journal Cover
July-2017 Volume 14 Issue 1

Full Size Image

Sign up for eToc alerts
Recommend to Library

  • Article
  • Citations
    • Cite This Article
    • Download Citation
    • Create Citation Alert
    • Remove Citation Alert
    • Cited By
  • Similar Articles
    • Related Articles (in Spandidos Publications)
    • Similar Articles (Google Scholar)
    • Similar Articles (PubMed)
  • Download PDF
  • Download XML
  • View XML
Article Open Access

Expression levels and clinical significance of hepsin and HMGB1 proteins in cervical carcinoma

  • Authors:
    • Hui Cheng
    • Weiqi Wang
    • Yanling Zhang
    • Bei Zhang
    • Jie Cheng
    • Peng Teng
    • Xin Tang
  • View Affiliations / Copyright

    Affiliations: Department of Obstetrics and Gynecology, Xuzhou Central Hospital, Xuzhou, Jiangsu 221009, P.R. China
    Copyright: © Cheng et al. This is an open access article distributed under the terms of Creative Commons Attribution License.
  • Pages: 159-164
    |
    Published online on: May 3, 2017
       https://doi.org/10.3892/ol.2017.6116
  • Expand metrics +
Metrics: Total Views: 0 (Spandidos Publications: | PMC Statistics: )
Metrics: Total PDF Downloads: 0 (Spandidos Publications: | PMC Statistics: )
Cited By (CrossRef): 0 citations Loading Articles...

This article is mentioned in:



Abstract

This study assessed the hypothesis that the protein levels of high mobility group box 1 (HMGB1) and hepsin can be used as markers for diagnosis and prognosis in cervical carcinoma. Seventy patients with cervical cancer who were hospitalized in Xuzhou Central Hospital from May 2008 to June 2010 and underwent surgical treatment were selected for the observation group. At the same time, 20 patients with cervical benign lesions who underwent tumor stripping or accessory resection were selected for the control group. Immunohistochemical (SP) detection methods were used to detect hepsin and HMGB1 protein levels in tissues. The positive rates of HMGB1 cells in normal, paracancerous and cancerous cervical tissues were 5.0% (1/20), 22.9% (16/70) and 95.7% (67/70) (F=24.581, P=0.001) respectively. The positive rates of hepsin in normal, paracancerous and cancerous cervical tissues were respectively 10% (2/20), 61% (43/70) and 90% (63/70) (F=11.538, P=0.001). The HMGB1 expression level was related to the degree of tumor differentiation, lymph node metastasis and TNM stage (P<0.05). While the level of hepsin expression was related to the degree of tumor differentiation, invasion depth, lymph node metastasis and TNM stage (P<0.05). Furthermore, a positive correlation between the levels of hepsin and HMGB1 was found (r=15.27, P<0.05). The overall 5-year survival rates of patients with high expression of HMGB1 (+++) and low expression of HMGB1 (+ to ++) were respectively 51.2 and 29.2% (HR=11.637, 95% CI=4.351‑38.213; P=0.002). The overall 5-year survival rates of patients with high hepsin expression (+++) and low hepsin expression (+ to ++) were respectively 41.3 and 35.3% (HR=10.143, 95% CI=4.285‑33.275; P=0.006). Based on our results, the higher the levels of expression of hepsin and HMGB1 in tissues the higher the degree of invasiveness of the cervical cancers, and the worse the prognoses for the patient.

Introduction

Cervical cancer is the most common malignant tumor of the female reproductive system in China. It is diagnosed mostly at advanced stages when its prognosis is poor. The 5-year survival rate is only 60%. The survival rate of patients with distant metastasis is even lower. In recent years, with the progresses made in surgical treatments, radiotherapy and chemotherapy, the 5-year survival rate of patients has improved. However, the long-term survival rate is still not satisfactory. Therefore, newer approaches like gene therapy against tumor proliferation and invasion have gained widespread interest (1). Hepsin is a recently discovered gene, the hepsin protein is involved in the dissolution of the cell membrane matrix and results in abnormal signal transduction between cells, moreover, the high expression of hepsin is related to the development and metastasis of malignant tumors (2). The high mobility group box 1 (HMGB1) protein, belonging to high mobility group protein family, is a non-histone chromosomal protein, expressed in the early stages of embryonic development, and is almost absent from highly differentiated tissues. HMGB1 has been confirmed to be present in malignant, invasive and poor-prognosis tumors (3). In this study, the immunohistochemical SP method was used to detect HMGB1 and hepsin protein expression in cervical carcinoma and control tissues. We studied the relationship of the levels of expression of these proteins in tumors with their rates of invasion, and metastasis, as well as their prognoses. Our results point to possible pathogenesis mechanisms, aids the search for new tumor markers to more accurately predict prognosis, and provide new ideas for genetic target treatments of cervical cancer.

Patients and methods

Patient data

Seventy cervical cancer patients who initially received surgical treatments and had completely preserved clinical and pathological data, in the Department of Obstetrics and Gynecology, Xuzhou Central Hospital from May 2008 to June 2010, were selected to participate in the study. Inclusion criteria included: i) A definite pathological diagnosis; ii) clinical data were complete; iii) no radiotherapy or chemotherapy had been performed before operation; and iv) there were no brain, liver, kidney or other organ dysfunctions. The age of the patients ranged from 22 to 74 years with an average of 42.6±13.2 years. There were 59 cases of squamous cell carcinoma and 11 cases of adenocarcinoma. Classification according to the FIGO standards (4) placed 28 cases in the low degree (I and II classification), and 42 in the high degree (III and IV classification). Also, based on pathological differentiation, there were 8 patients with high differentiation, 25 with moderate differentiation, and 37 with poor differentiation, and 47 patients had lymph node metastasis, and 23 did not have any. Tissues 2 cm away from the tumor border were used for the paracancerous tissue group, and 20 cases of normal cervical tissue, from accessory resections were taken for the control group. Comparing the average ages of the control and the cervical cancer groups, the difference was not statistically significant (P>0.05), indicating that the division in both groups could be used for other comparisons. All subjects signed written informed consents and the Ethics Committee of Xuzhou Central Hospital approved the study. The 70 cervical cancer patients were followed-up; the last day of the follow-up was July 1, 2015, and the average follow-up time was 52.1 months.

Immunohistochemistry

Paraffin-embedded tissues were collected and immunohistochemistry used the SP method. Mouse polyclonal hepsin antibody (dilution, 1:100; cat. no. sc-517056) and mouse monoclonal HMGB1 antibody (dilution, 1:150; cat. no. sc-135809) (both from Santa Cruz Biotechnology, Inc., Santa Cruz, CA, USA) were used. SP immunohistochemical kits were purchased from Beijing Zhongshan Golden Bridge Biotechnology Co. (Beijing, China). Experimental steps were conducted according to the kit's specifications. Phosphatase-buffered saline (PBS) was used instead of primary antibody as a negative control, and the positive control was an antibody known to be positive on the samples.

Result judgments

HMGB1 positive staining signal was brown and disseminated in small particles, all of which were located in the cytoplasm of the cells. The hepsin protein was distributed in the nucleus and the cytoplasm and consisted of brownish yellow or brown particles. For each slice, 10 consecutive views at ×400 magnification were examined, 200 cells were counted in each view, and all the positive cells were counted, in order to calculate the positivity rate. The percentage of positive cells were then calculated, and each sample was assigned points: 0–5% was noted as 0 points, 6–25% was noted as 1 point, 26–50% was 2 points, and more than 50% was noted as 3 points. Additionally, the staining intensity was also ranked by points: Unpigmented cells were marked 0 points, pale yellow cells were given 1 point, brownish-yellow cells were given 2 points, and brown cells were given 3 points. Multiplying the points of both scores resulted in definite comprehensive scores: A score of 0–1 meant tissue was the negative for HMGB1 or hepsin staining, a score of 2–3 meant the tissue was weakly positive (+), 4–6 meant tissue was moderately positive (++) and a score of 9 meant the tissue was strongly positive (+++).

Statistical analysis

The SPSS software package (SPSS, Inc., Chicago, IL, USA) was used for data analysis, measurement data were expressed by mean ± SD. The t-test (Fisher's exact test) was used in comparison between groups, χ2 test and exact tests were used to compare the rate of two samples, and for correlations the Pearson's test was adopted. The survival rate was calculated using the Kaplan-Meier survival curve and was analyzed by the log-rank test. A P<0.05 was considered to indicate a statistically significant difference.

Results

The expression of HMGB1 and hepsin in cervical carcinoma, paracancerous and normal tissues

HMGB1 was mainly expressed in the cytoplasm of cervical cancer cells, and was almost absent from normal tissues (only 5% of them had some expression). The positive rate for paracancerous tissues was 22.9% (16/70), and the differences between these two groups had statistical significance (P<0.05). The positive expression rate of HMGB1 in cervical cancer tissues was 95.7% (67/70), and when compared to the rates in the normal and paracancerous groups the differences were statistically significant (P<0.05).

The hepsin protein was mainly expressed in the cytoplasm of the cervical cancer cells, and there were only 2 cases of hepsin expression in 20 cases of normal tissues (positive rate of 10%). The positive expression rate in paracancerous tissues was 61% (43/70), and in the cervical carcinoma group was 90% (63/70), the differences among the three groups were statistically significant (P<0.05) (Table I and Fig. 1).

Figure 1.

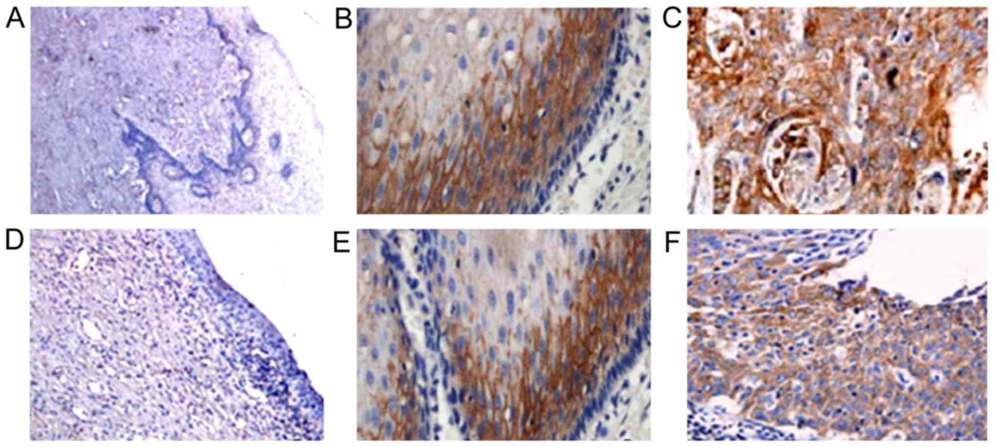
Expression of HMGB1 and hepsin in normal cervical tissues, paracancerous tissues and cervical cancer tissues. (A) HMGB1 protein expression was negative in normal cervical tissues. (B) HMGB1 protein expression in paracancerous tissues was pale yellow moderately positive (++). (C) HMGB1 protein expression in cervical carcinoma tissues was tan color strong positive (+++), and located in the cytoplasm. (D) Hepsin protein expression in normal cervix group was negative. (E) Hepsin protein expression was yellow positive (++) in paracancerous tissues. (F) Hepsin protein expressed in cervical carcinoma tissues was tan strong positive (+++), and located in the cytoplasm. HMGB1, high mobility group box 1.

Table I.

Expression levels of HMGB1 and hepsin in different tissues (n, %).

Table I.

Expression levels of HMGB1 and hepsin in different tissues (n, %).

Positive rate

TissuesCasesHMGB1Hepsin
Normal205.0% (1/20)10% (2/20)
Paracancerous7022.9% (16/70)61% (43/70)
Cervical cancer7095.7% (67/70)90% (63/70)
F-value 24.58111.538
P-value 0.0010.001

[i] HMGB1, high mobility group box 1.

Relationship between expression of HMGB1 and hepsin with the pathological and clinical signs of cervical cancer

In 70 cases of cervical cancer, the expression of HMGB1 was independent of age, histological type, the degree of differentiation, and TNM stage (P-values >0.05). Only the depth of tumor invasion, and presence of lymph node metastasis correlated with the expression of HMGB1 (P<0.05).

The expression of hepsin was not related to the tumor pathological type (P>0.05). But, it was related to the degree of differentiation, the depth of invasion, the presence of lymph node metastasis and the TNM stage (P-values <0.05) (Table II).

Table II.

Relationship of HMGB1 and hepsin with clinicopathological factors of cervical cancer.

Table II.

Relationship of HMGB1 and hepsin with clinicopathological factors of cervical cancer.

HMGB1Hepsin


Pathological factorsCases+P-value+P-value
Age (years)
  <554847 (97.9)0.25744 (91.7)0.126
  ≥552220 (90.9) 18 (81.8)
Pathological types
  Localization3431 (91.2)0.20428 (82.4)0.067
  Infiltrating3636 (100) 35 (97.2)
Degree of differentiation
  Poor3736 (97.3)0.19136 (97.3)0.044
  High and middle3330 (90.9) 27 (81.8)
Depth of invasion
  T1+T21411 (78.6)0.0438 (57.1)0.013
  T3+T45656 (100) 55 (98.2)
Lymph node metastasis
  Negative2320 (87.0)0.04818 (78.3)0.035
  Positive4747 (100) 45 (95.7)
TNM stage
I+II2825 (89.3)0.08724 (85.7)0.021
III+IV4242 (100) 39 (92.9)

[i] HMGB1, high mobility group box 1.

Correlation analysis of hepsin and HMGB1

In 70 cases of cervical cancer tissues, the expressions of hepsin and HMGB1 were simultaneously positive 67.1% (47/70), and simultaneously negative 21.4% (15/70), here was a positive correlation between them (r=15.27, P<0.05) (Table III).

Table III.

Correlation analysis of hepsin and HMGB1 in cervical cancer.

Table III.

Correlation analysis of hepsin and HMGB1 in cervical cancer.

HMGB1

Hepsin+−R-valueP-value
+477
−11515.270.01

[i] HMGB1, high mobility group box 1.

Comparison of prognosis of cervical cancer patients with different expression intensity of hepsin and HMGB1 protein

All subjects were followed-up for 5 years. On July 1, 2015, 66 patients completed their follow-up, while 3 patients with hepsin positive expression and 1 with HMGB1 positive expression failed to complete it. The rate of failure to complete the 5-year follow-up was 5.7%, and the data of patients without a complete follow-up were not used anymore. During the follow-up period, in the 66 cases of cervical cancer patients, 34 (51.5%, 34/66) died, and 32 (48.5%, 32/66) were alive, the 5-year survival rate was 39.3%, and the median survival time was 36.9 months. The log-rank test showed that expression of hepsin and HMGB1 protein (either strong or weak) were related to the patients' 5-year survival rate and median survival time (P<0.05). Comparing the risk of death (HR) in cervical cancer patients with the strongly positive expression of hepsin and HMGB1 protein with weakly and moderately positive expressions, the differences had statistical significance (P<0.05) (Table IV).

Table IV.

Survival analysis of cervical cancer patients with different expression intensity levels for hepsin and HMGB1 protein.

Table IV.

Survival analysis of cervical cancer patients with different expression intensity levels for hepsin and HMGB1 protein.

CategoryCases5-year survival rate (%)Median survival time (month)HR value95% CIP-value
HMGB1 protein expression
  + to ++4322 (51.2)54.111.6374.351–38.2130.002
  +++24  7 (29.2)24.8
Hepsin protein expression
  + to ++4619 (41.3)41.610.1424.285–33.2750.006
  +++17  6 (35.3)27.3

[i] HMGB1, high mobility group box 1; HR, hazard ratio; CI, confidence interval.

Discussion

Cervical cancer is one of the most common malignant tumors in females. The incidence rate increases year by year, with a high degree of malignancy and a high mortality rate. The typical features of malignant tumors are the invasiveness and high metastasis rates. It is thought that cell regulatory factors and other patient inherent factors play an important role in allowing for invasion and metastasis of the tumors. A large number of clinical trials have shown that patients with high expression of invasive biological factors have a worse prognosis. Therefore, it is very important to find new gene therapy targets for cervical cancer (1,2). Study has shown that hepsin and HMGB1 proteins are involved in regulating the development of malignant tumors (3). This study was conducted to investigate the expression of hepsin and HMGB1 proteins in cervical carcinoma tissues, and to explore the relationship between their expression and the tumor proliferation, differentiation, and metastasis. We aimed at providing a theoretical and experimental basis for early diagnosis and prognosis, and new insights for more targeted treatments.

The relationship between HMGB1 protein expression and cervical cancer has been studied. HMGB1 is a cytokine discovered 30 years ago, it is believed to be important for the survival, proliferation, invasion and metastasis of malignant tumor cells, but the research on it is still in the exploratory stages (4). In recent years, many studies have linked the expression of HMGB1 to invasion, distant metastasis and poor prognosis in gastric, colorectal cancer and pancreatic cancers (5–9). However, study of HMGB1 in cervical cancer is scarce, and its pathogenic mechanisms are still not clear. A group of researchers detected the expression of HMGB1 in 3 kinds of cervical cancer cell lines (C-4I, CaSki and ME-180) (10), their results showed that HMGB1 was barely expressed in normal cervical cells, but overexpressed in a highly invasive cervical cancer cell line. Others found that the expression of HMGB1 in cervical cancer was higher than that in normal cervical tissues, and the positivity rate in invasive cervical cancer was significantly higher than that in the pre-invasive carcinoma tissues (11). Yet another study showed HMGB1 being highly expressed in recurrent squamous cell carcinoma of the cervix, compared to other tumor markers, the specificity of HMGB1 was higher, it was suggested that HMGB1 expression levels could be used as a tumor marker to evaluate the prognosis of patients with cervical squamous-cell carcinoma (12). In our study immunohistochemical methods were used to detect the expression of HMGB1 protein in cervical normal and cancer tissues, and results indicated that the HMGB1 protein was not expressed in normal cervical tissues, but highly expressed in cervical cancer tissues. Moreover, a higher positive expression rate of HMGB1 was found in cervical cancer patients with high tumor infiltrating degrees and lymph node metastases. Cervical cancer patients with positive expression of HMGB1 protein had a poor prognosis, which was consistent with findings of others and further suggests a link between HMGB1 overexpression and the development of cervical cancer.

At present, there is no unified theory on the role of HMGB1 in the development of cervical cancer. It was found that HMGB1 stimulates the endothelial progenitor cell migration and neovascularization using its receptor RAGE (13). Also, the expression of HMGB1 was correlated with the expression of the RAGE protein in cervical squamous cell carcinoma tissues, suggesting positive feedback signal is important for cervical cancer. In addition, it was shown that HMGB1 led to MAPKs phosphorylation by Ras and MAPK pathway, thus activating the nuclear factor-κB (NF-κB), which in turn activated gene transcription to promote cell proliferation and differentiation, tumor formation and metastasis (14). Studies have shown that in the process of invasion and metastasis of cervical cancer cells, HMGB1 may be related to the activation of matrix metalloproteinases (MMPs) and protein hydrolases such as MMP-2 and MMP-9, thus dissolving the extracellular matrix and promoting cancer cell invasion and distant metastases (15). Nevertheless, further study is needed in order to clarify the specific mechanisms and pathways involved.

The hepsin gene was first found in the cDNA of hepatocellular carcinoma cells, and mainly locates on the human chromosome 19 (q11-q13.2) (16). The hepsin protein is a type II transmembrane serine protease. It is involved in the dissolution of the extracellular matrix and the abnormal signal transduction between cancerous cells. The dissolution of extracellular matrix is a prerequisite for invasion and metastasis of cancer cells, however, the mechanisms by which hepsin acts are not clear. It was found that hepsin could dissolve extracellular basement membrane and guide cancer cell invasion and metastasis through the activation of a pathway for the plasminogen activator (pro-uPA) of the precursor urokinase type (17). It has been proposed that hepsin may activate the double chain hepatocyte growth factor, which leads to the degradation of the cell basement membrane resulting in a weaker intercellular adhesion force, that facilitates cellular movement, invasion and metastasis (18). Others believe that the hepsin gene may act on cancer cells through the HGF/Met pathway, reducing the adhesion between cells, and thereby promoting invasion and metastasis of malignant tumor cells (19).

A large number of studies have confirmed that hepsin protein is highly expressed in various tumor tissues (20–22). Hepsin is highly overexpressed in prostate cancer tissues, and its expression level correlates with the Gleason score, the prognosis and recurrence rate of the tumor (23). The expression of hepsin in endometrial carcinoma is significantly higher than that in the normal endometrium and in benign hyperplasia, and the levels of expression are related to pathological factors such as infiltration and metastasis (24). Therefore, hepsin is considered a group of key enzymes promoting tumor metastasis (25,26). Then again, there are few studies on the clinical levels of hepsin gene in cervical cancer, although it may be a new marker of cervical cancer and a promising therapeutic target. In this study the expression of hepsin in different cervical tissues was examined. The results suggest that the expression rate of hepsin protein changes gradually start at a low level in normal cervical tissue, increasing in paracancerous tissue and then getting high in cervical cancer tissue. Importantly, the levels of hepsin were related to the differentiation degree, invasion depth, lymph node metastasis presence and TNM stage of cervical cancer, which suggests that hepsin is closely linked with the development, metastasis and invasion of cervical cancer. We conclude the levels of hepsin may be considered a risk factor for tumor development and metastasis.

In conclusion, this study showed that the expression levels of hepsin and HMGB1 were related to the depth of invasion, the presence of lymph node metastasis of cervical cancer and the prognosis for patients. This suggests that both proteins may play a synergistic role in the genesis and development of cervical cancer. We believe that the combined detection of hepsin and HMGB1 expression is helpful in the diagnosis and prognosis of cervical cancer, and propose them as a pair of new markers for cervical cancer. Moreover, blocking both signal transduction pathways may become a successful strategy for inhibiting cervical cancer.

References

1 

Li J, Kang LN and Qiao YL: Review of the cervical cancerdisease burden in mainland China. Asian Pac J Cancer Prev. 12:1149–11453. 2011.PubMed/NCBI

2 

Tanimoto H, Yan Y, Clarke J, Korourian S, Shigemasa K, Parmley TH, Parham GP and O'Brien TJ: Hepsin, a cell surface serine protease identified in hepatoma cells, is overexpressed in ovarian cancer. Cancer Res. 57:2884–2887. 1997.PubMed/NCBI

3 

Ulloa L and Messmer D: High-mobility group box 1 (HMGB1)protein: friend and foe. Cytokine Growth Factor Rev. 17:189–201. 2006. View Article : Google Scholar : PubMed/NCBI

4 

Kong TW, Piao X, Chang SJ, Paek J, Lee Y, Lee EJ and Ryu HS: A predictive model for parametrial invasion in patients with FIGO Stage IB cervical cancer: individualized approach for primary treatment. Int J Gynecol Cancer. 26:184–191. 2016. View Article : Google Scholar : PubMed/NCBI

5 

Ohmori H, Luo Y and Kuniyasu H: Non-histone nuclear factor HMGB1 as a therapeutic target in colorectal cancer. Expert Opin Ther Targets. 15:183–193. 2011. View Article : Google Scholar : PubMed/NCBI

6 

Chung HW, Lee SG, Kim H, Hong DJ, Chung JB, Stroncek D and Lim JB: Serum high mobility group box-1 (HMGB1) is closely associated with the clinical and pathologic features of gastric cancer. J Transl Med. 7:382009. View Article : Google Scholar : PubMed/NCBI

7 

Moriwaka Y, Luo Y, Ohmori H, Fujii K, Tatsumoto N, Sasahira T and Kuniyasu H: HMGB1 attenuates anti-metastatic defense of the lymph nodes in colorectal cancer. Pathobiology. 77:17–23. 2010. View Article : Google Scholar : PubMed/NCBI

8 

Cebrián MJ, Bauden M, Andersson R, Holdenrieder S and Ansari D: Paradoxical role of HMGB1 in pancreatic cancer: tumor suppressor or tumor promoter? Anticancer Res. 36:4381–4389. 2016. View Article : Google Scholar : PubMed/NCBI

9 

Liu Z, Du R, Long J, Guo K, Ge C, Bi S and Xu Y: microRNA-218 promotes gemcitabine sensitivity in human pancreatic cancer cells by regulating HMGB1 expression. Chin J Cancer Res. 27:267–278. 2015.PubMed/NCBI

10 

Bandiera A, Bonifacio D, Manfioletti G, Mantovani F, Rustighi A, Zanconati F, Fusco A, Di Bonito L and Giancotti V: Expression of HMGI(Y) proteins in squamous intraepithelial and invasive lesions of the uterine cervix. Cancer Res. 58:426–431. 1998.PubMed/NCBI

11 

Fu X, Du XQ and Hao H: Study on the expression and clinical significance of high mobility group protein HMGB1 in cervical squamous cell carcinoma. Chinese Journal of Cancer Control. 15:357–359. 2008.

12 

Sheng X, Du X, Zhang X, Li D, Lu C, Li Q, Ma Z, Song Q and Wang C: Clinical value of serum HMGB1 levels in early detection of recurrent squamous cell carcinoma of uterine cervix: comparison with serum SCCA CYFRA21-1, and CEA levels. Croat Med J. 50:455–464. 2009. View Article : Google Scholar : PubMed/NCBI

13 

Mitola S, Belleri M, Urbinati C, Coltrini D, Sparatore B, Pedrazzi M, Melloni E and Presta M: Cutting edge: extracellular high mobility group box-1 protein is a proangiogenic cytokine. J Immunol. 176:12–15. 2006. View Article : Google Scholar : PubMed/NCBI

14 

Weng H, Deng Y, Xie Y, Liu H and Gong F: Expression and significance of HMGB1, TLR4 and NF-κB p65 in human epidermal tumors. BMC Cancer. 13:3112013. View Article : Google Scholar : PubMed/NCBI

15 

Wang JL, Wu DW, Cheng ZZ, Han WZ, Xu SW and Sun NN: Expression of high mobility group box-B1 (HMGB-1) and matrix metalloproteinase-9 (MMP-9) in non-small cell lung cancer (NSCLC). Asian Pac J Cancer Prev. 15:4865–4869. 2014. View Article : Google Scholar : PubMed/NCBI

16 

Yin M, Xu Y, Lou G, Hou Y, Meng F, Zhang H, Li C and Zhou R: LAPTM4B overexpression is a novel predictor of epithelial ovarian carcinoma metastasis. Int J Cancer. 129:629–635. 2011. View Article : Google Scholar : PubMed/NCBI

17 

Lipari MT, Li W, Moran P, Kong-Beltran M, Sai T, Lai J, Lin SJ, Kolumam G, Zavala-Solorio J, Izrael-Tomasevic A, et al: Furin-cleaved proprotein convertase subtilisin/kexin type 9 (PCSK9) is active and modulates low density lipoprotein receptor and serum cholesterol levels. J Biol Chem. 287:43482–43491. 2012. View Article : Google Scholar : PubMed/NCBI

18 

Goulet B, Chan G, Chambers AF and Lewis JD: An emerging role for the nuclear localization of maspin in the suppression of tumor progression and metastasis. Biochem Cell Biol. 90:22–38. 2012.PubMed/NCBI

19 

Secord A Alvarez, Darcy KM, Hutson A, Huang Z, Lee PS, Jewell EL, Havrilesky LJ, Markman M, Muggia F and Murphy SK: The regulation of MASPIN expression in epithelial ovarian cancer: association with p53 status, and MASPIN promoter methylation: a gynecologic oncology group study. Gynecol Oncol. 123:314–319. 2011. View Article : Google Scholar : PubMed/NCBI

20 

Zhang C, Zhang M, Wu Q, Peng J, Ruan Y and Gu J: Hepsin inhibits CDK11p58 IRES activity by suppressing unr expression and eIF-2α phosphorylation in prostate cancer. Cell Signal. 27:789–797. 2015. View Article : Google Scholar : PubMed/NCBI

21 

Zhang M, Zhao J, Tang W, Wang Y, Peng P, Li L, Song S, Wu H, Li C, Yang C, et al: High Hepsin expression predicts poor prognosis in gastric cancer. Sci Rep. 6:369022016. View Article : Google Scholar : PubMed/NCBI

22 

Pelkonen M, Luostari K, Tengström M, Ahonen H, Berdel B, Kataja V, Soini Y, Kosma VM and Mannermaa A: Low expression levels of hepsin and TMPRSS3 are associated with poor breast cancer survival. BMC Cancer. 15:4312015. View Article : Google Scholar : PubMed/NCBI

23 

Stephan C, Yousef GM, Scorilas A, Jung K, Jung M, Kristiansen G, Hauptmann S, Kishi T, Nakamura T, Loening SA, et al: Hepsin is highly overexpressed in and a new candidate for a prognostic indicator in prostate cancer. J Urol. 171:187–191. 2004. View Article : Google Scholar : PubMed/NCBI

24 

Matsuo T, Nakamura K, Takamoto N, Kodama J, Hongo A, Abrzua F, Nasu Y, Kumon H and Hiramatsu Y: Expression of the serine protease hepsin and clinical outcome of human endometrial cancer. Anticancer Res. 28(1A): 159–164. 2008.PubMed/NCBI

25 

Lucas JM, True L, Hawley S, Matsumura M, Morrissey C, Vessella R and Nelson PS: The androgen-regulated type II serine protease TMPRSS2 is differentially expressed and mislocalized in prostate adenocarcinoma. J Pathol. 215:118–125. 2008. View Article : Google Scholar : PubMed/NCBI

26 

Wilson S, Greer B, Hooper J, Zijlstra A, Walker B, Quigley J and Hawthorne S: The membrane-anchored serine protease, TMPRSS2, activates PAR-2 in prostate cancer cells. Biochem J. 388:967–972. 2005. View Article : Google Scholar : PubMed/NCBI

Related Articles

  • Abstract
  • View
  • Download
  • Twitter
Copy and paste a formatted citation
Spandidos Publications style
Cheng H, Wang W, Zhang Y, Zhang B, Cheng J, Teng P and Tang X: Expression levels and clinical significance of hepsin and HMGB1 proteins in cervical carcinoma. Oncol Lett 14: 159-164, 2017.
APA
Cheng, H., Wang, W., Zhang, Y., Zhang, B., Cheng, J., Teng, P., & Tang, X. (2017). Expression levels and clinical significance of hepsin and HMGB1 proteins in cervical carcinoma. Oncology Letters, 14, 159-164. https://doi.org/10.3892/ol.2017.6116
MLA
Cheng, H., Wang, W., Zhang, Y., Zhang, B., Cheng, J., Teng, P., Tang, X."Expression levels and clinical significance of hepsin and HMGB1 proteins in cervical carcinoma". Oncology Letters 14.1 (2017): 159-164.
Chicago
Cheng, H., Wang, W., Zhang, Y., Zhang, B., Cheng, J., Teng, P., Tang, X."Expression levels and clinical significance of hepsin and HMGB1 proteins in cervical carcinoma". Oncology Letters 14, no. 1 (2017): 159-164. https://doi.org/10.3892/ol.2017.6116
Copy and paste a formatted citation
x
Spandidos Publications style
Cheng H, Wang W, Zhang Y, Zhang B, Cheng J, Teng P and Tang X: Expression levels and clinical significance of hepsin and HMGB1 proteins in cervical carcinoma. Oncol Lett 14: 159-164, 2017.
APA
Cheng, H., Wang, W., Zhang, Y., Zhang, B., Cheng, J., Teng, P., & Tang, X. (2017). Expression levels and clinical significance of hepsin and HMGB1 proteins in cervical carcinoma. Oncology Letters, 14, 159-164. https://doi.org/10.3892/ol.2017.6116
MLA
Cheng, H., Wang, W., Zhang, Y., Zhang, B., Cheng, J., Teng, P., Tang, X."Expression levels and clinical significance of hepsin and HMGB1 proteins in cervical carcinoma". Oncology Letters 14.1 (2017): 159-164.
Chicago
Cheng, H., Wang, W., Zhang, Y., Zhang, B., Cheng, J., Teng, P., Tang, X."Expression levels and clinical significance of hepsin and HMGB1 proteins in cervical carcinoma". Oncology Letters 14, no. 1 (2017): 159-164. https://doi.org/10.3892/ol.2017.6116
Follow us
  • Twitter
  • LinkedIn
  • Facebook
About
  • Spandidos Publications
  • Careers
  • Cookie Policy
  • Privacy Policy
How can we help?
  • Help
  • Live Chat
  • Contact
  • Email to our Support Team