Spandidos Publications Logo
  • About
    • About Spandidos
    • Aims and Scopes
    • Abstracting and Indexing
    • Editorial Policies
    • Reprints and Permissions
    • Job Opportunities
    • Terms and Conditions
    • Contact
  • Journals
    • All Journals
    • Oncology Letters
      • Oncology Letters
      • Information for Authors
      • Editorial Policies
      • Editorial Board
      • Aims and Scope
      • Abstracting and Indexing
      • Bibliographic Information
      • Archive
    • International Journal of Oncology
      • International Journal of Oncology
      • Information for Authors
      • Editorial Policies
      • Editorial Board
      • Aims and Scope
      • Abstracting and Indexing
      • Bibliographic Information
      • Archive
    • Molecular and Clinical Oncology
      • Molecular and Clinical Oncology
      • Information for Authors
      • Editorial Policies
      • Editorial Board
      • Aims and Scope
      • Abstracting and Indexing
      • Bibliographic Information
      • Archive
    • Experimental and Therapeutic Medicine
      • Experimental and Therapeutic Medicine
      • Information for Authors
      • Editorial Policies
      • Editorial Board
      • Aims and Scope
      • Abstracting and Indexing
      • Bibliographic Information
      • Archive
    • International Journal of Molecular Medicine
      • International Journal of Molecular Medicine
      • Information for Authors
      • Editorial Policies
      • Editorial Board
      • Aims and Scope
      • Abstracting and Indexing
      • Bibliographic Information
      • Archive
    • Biomedical Reports
      • Biomedical Reports
      • Information for Authors
      • Editorial Policies
      • Editorial Board
      • Aims and Scope
      • Abstracting and Indexing
      • Bibliographic Information
      • Archive
    • Oncology Reports
      • Oncology Reports
      • Information for Authors
      • Editorial Policies
      • Editorial Board
      • Aims and Scope
      • Abstracting and Indexing
      • Bibliographic Information
      • Archive
    • Molecular Medicine Reports
      • Molecular Medicine Reports
      • Information for Authors
      • Editorial Policies
      • Editorial Board
      • Aims and Scope
      • Abstracting and Indexing
      • Bibliographic Information
      • Archive
    • World Academy of Sciences Journal
      • World Academy of Sciences Journal
      • Information for Authors
      • Editorial Policies
      • Editorial Board
      • Aims and Scope
      • Abstracting and Indexing
      • Bibliographic Information
      • Archive
    • International Journal of Functional Nutrition
      • International Journal of Functional Nutrition
      • Information for Authors
      • Editorial Policies
      • Editorial Board
      • Aims and Scope
      • Abstracting and Indexing
      • Bibliographic Information
      • Archive
    • International Journal of Epigenetics
      • International Journal of Epigenetics
      • Information for Authors
      • Editorial Policies
      • Editorial Board
      • Aims and Scope
      • Abstracting and Indexing
      • Bibliographic Information
      • Archive
    • Medicine International
      • Medicine International
      • Information for Authors
      • Editorial Policies
      • Editorial Board
      • Aims and Scope
      • Abstracting and Indexing
      • Bibliographic Information
      • Archive
  • Articles
  • Information
    • Information for Authors
    • Information for Reviewers
    • Information for Librarians
    • Information for Advertisers
    • Conferences
  • Language Editing
Spandidos Publications Logo
  • About
    • About Spandidos
    • Aims and Scopes
    • Abstracting and Indexing
    • Editorial Policies
    • Reprints and Permissions
    • Job Opportunities
    • Terms and Conditions
    • Contact
  • Journals
    • All Journals
    • Biomedical Reports
      • Information for Authors
      • Editorial Policies
      • Editorial Board
      • Aims and Scope
      • Abstracting and Indexing
      • Bibliographic Information
      • Archive
    • Experimental and Therapeutic Medicine
      • Information for Authors
      • Editorial Policies
      • Editorial Board
      • Aims and Scope
      • Abstracting and Indexing
      • Bibliographic Information
      • Archive
    • International Journal of Epigenetics
      • Information for Authors
      • Editorial Policies
      • Editorial Board
      • Aims and Scope
      • Abstracting and Indexing
      • Bibliographic Information
      • Archive
    • International Journal of Functional Nutrition
      • Information for Authors
      • Editorial Policies
      • Editorial Board
      • Aims and Scope
      • Abstracting and Indexing
      • Bibliographic Information
      • Archive
    • International Journal of Molecular Medicine
      • Information for Authors
      • Editorial Policies
      • Editorial Board
      • Aims and Scope
      • Abstracting and Indexing
      • Bibliographic Information
      • Archive
    • International Journal of Oncology
      • Information for Authors
      • Editorial Policies
      • Editorial Board
      • Aims and Scope
      • Abstracting and Indexing
      • Bibliographic Information
      • Archive
    • Medicine International
      • Information for Authors
      • Editorial Policies
      • Editorial Board
      • Aims and Scope
      • Abstracting and Indexing
      • Bibliographic Information
      • Archive
    • Molecular and Clinical Oncology
      • Information for Authors
      • Editorial Policies
      • Editorial Board
      • Aims and Scope
      • Abstracting and Indexing
      • Bibliographic Information
      • Archive
    • Molecular Medicine Reports
      • Information for Authors
      • Editorial Policies
      • Editorial Board
      • Aims and Scope
      • Abstracting and Indexing
      • Bibliographic Information
      • Archive
    • Oncology Letters
      • Information for Authors
      • Editorial Policies
      • Editorial Board
      • Aims and Scope
      • Abstracting and Indexing
      • Bibliographic Information
      • Archive
    • Oncology Reports
      • Information for Authors
      • Editorial Policies
      • Editorial Board
      • Aims and Scope
      • Abstracting and Indexing
      • Bibliographic Information
      • Archive
    • World Academy of Sciences Journal
      • Information for Authors
      • Editorial Policies
      • Editorial Board
      • Aims and Scope
      • Abstracting and Indexing
      • Bibliographic Information
      • Archive
  • Articles
  • Information
    • For Authors
    • For Reviewers
    • For Librarians
    • For Advertisers
    • Conferences
  • Language Editing
Login Register Submit
  • This site uses cookies
  • You can change your cookie settings at any time by following the instructions in our Cookie Policy. To find out more, you may read our Privacy Policy.

    I agree
Search articles by DOI, keyword, author or affiliation
Search
Advanced Search
presentation
Oncology Letters
Join Editorial Board Propose a Special Issue
Print ISSN: 1792-1074 Online ISSN: 1792-1082
Journal Cover
October-2017 Volume 14 Issue 4

Full Size Image

Sign up for eToc alerts
Recommend to Library

Journals

International Journal of Molecular Medicine

International Journal of Molecular Medicine

International Journal of Molecular Medicine is an international journal devoted to molecular mechanisms of human disease.

International Journal of Oncology

International Journal of Oncology

International Journal of Oncology is an international journal devoted to oncology research and cancer treatment.

Molecular Medicine Reports

Molecular Medicine Reports

Covers molecular medicine topics such as pharmacology, pathology, genetics, neuroscience, infectious diseases, molecular cardiology, and molecular surgery.

Oncology Reports

Oncology Reports

Oncology Reports is an international journal devoted to fundamental and applied research in Oncology.

Experimental and Therapeutic Medicine

Experimental and Therapeutic Medicine

Experimental and Therapeutic Medicine is an international journal devoted to laboratory and clinical medicine.

Oncology Letters

Oncology Letters

Oncology Letters is an international journal devoted to Experimental and Clinical Oncology.

Biomedical Reports

Biomedical Reports

Explores a wide range of biological and medical fields, including pharmacology, genetics, microbiology, neuroscience, and molecular cardiology.

Molecular and Clinical Oncology

Molecular and Clinical Oncology

International journal addressing all aspects of oncology research, from tumorigenesis and oncogenes to chemotherapy and metastasis.

World Academy of Sciences Journal

World Academy of Sciences Journal

Multidisciplinary open-access journal spanning biochemistry, genetics, neuroscience, environmental health, and synthetic biology.

International Journal of Functional Nutrition

International Journal of Functional Nutrition

Open-access journal combining biochemistry, pharmacology, immunology, and genetics to advance health through functional nutrition.

International Journal of Epigenetics

International Journal of Epigenetics

Publishes open-access research on using epigenetics to advance understanding and treatment of human disease.

Medicine International

Medicine International

An International Open Access Journal Devoted to General Medicine.

Journal Cover
October-2017 Volume 14 Issue 4

Full Size Image

Sign up for eToc alerts
Recommend to Library

  • Article
  • Citations
    • Cite This Article
    • Download Citation
    • Create Citation Alert
    • Remove Citation Alert
    • Cited By
  • Similar Articles
    • Related Articles (in Spandidos Publications)
    • Similar Articles (Google Scholar)
    • Similar Articles (PubMed)
  • Download PDF
  • Download XML
  • View XML
Case Report Open Access

Metastasis of breast cancer to an endometrial polyp, the cervix and a leiomyoma: A case report and review of the literature

  • Authors:
    • Sultana Razia
    • Kentaro Nakayama
    • Mayu Tsukao
    • Kohei Nakamura
    • Masako Ishikawa
    • Tomoka Ishibashi
    • Noriyoshi Ishikawa
    • Kaori Sanuki
    • Hitomi Yamashita
    • Ruriko Ono
    • Mohammad Mahmud Hossain
    • Toshiko Minamoto
    • Satoru Kyo
  • View Affiliations / Copyright

    Affiliations: Department of Obstetrics and Gynecology, Shimane University School of Medicine, Izumo, Shimane 6938501, Japan, Department of Organ Pathology, Shimane University School of Medicine, Izumo, Shimane 6938501, Japan
    Copyright: © Razia et al. This is an open access article distributed under the terms of Creative Commons Attribution License.
  • Pages: 4585-4592
    |
    Published online on: August 24, 2017
       https://doi.org/10.3892/ol.2017.6822
  • Expand metrics +
Metrics: Total Views: 0 (Spandidos Publications: | PMC Statistics: )
Metrics: Total PDF Downloads: 0 (Spandidos Publications: | PMC Statistics: )
Cited By (CrossRef): 0 citations Loading Articles...

This article is mentioned in:



Abstract

Haematogenous metastases of breast cancer tumors has previously been demonstrated to frequently occur at the sites of the lung, bones, liver and brain, however presence in the uterine remains a rare occurrence. Metastatic carcinoma of the uterus usually originates from other genital sites, most frequently from the ovaries. The current review presents the first reported case of lobular breast carcinoma metastasizing to an endometrial polyp, the cervix and a leiomyoma simultaneously. The patient (58 years, female) first presented with abnormal uterine bleeding. Invasive ductal carcinoma had previously been diagnosed in her right breast, with lobular and ductal cancer cells observed to be present in her lymph nodes. A hysteroscopic procedure to examine the postmenopausal bleeding revealed an endometrial polyp, which was subsequently resected. The morphology and immunohistochemical studies confirmed the diagnosis of metastasis of lobular breast carcinoma to an endometrial polyp. An 18F fludeoxyglucose positron emission tomography/computed tomography (PET‑CT) scan performed following the diagnosis, revealed a slightly increased uptake in the myoma, which is often observed in benign uterine leiomyoma. The patient then underwent a total abdominal hysterectomy with bilateral salpingo‑oophorectomy and partial colectomy. Pathology results demonstrated that the uterine leiomyoma and cervix shared the same histopathological features as those presented by the primary lobular breast carcinoma. Although rare, breast tumors may metastasize to an endometrial polyp, cervix and leiomyoma concurrently in patients, therefore physicians may now consider the potential of the diagnosis of metastatic spread to the genital tract, in a patient with abnormal uterine bleeding and a history of lobular breast cancer. Gynecologists planning a laparoscopic hysterectomy for a patient with a history of lobular breast carcinoma may consider abdominal rather than laparoscopic hysterectomy, as lobular carcinoma is difficult to detect. The use of PET‑CT may be beneficial for the identification of an unexpected mass.

Introduction

The female genital tract is rarely involved by metastatic tumors. The most common anatomic locations for metastases to the female genital tract are the ovaries and the vagina. Among extragenital cancers metastasizing to the female genital tract, breast is the most common primary site, followed by the gastrointestinal tract, lung, kidney, and skin (melanoma) (1,2). Metastases to the uterus from extragenital cancer are less common (3), but up to 8% of breast carcinomas will metastasize to that organ (4). Lobular carcinoma is the most common type of breast carcinoma that metastasizes to the uterus (5). When an extragenital tumor metastasizes to the uterus, it is predominantly located in the myometrium; in a minority of cases, the metastasis is confined to the endometrium (1,2). In this article, we present a case of concurrent metastatic breast carcinoma to an endometrial polyp, a uterine leiomyoma, and the uterine cervix. This is the first reported case with this combination. We also review the literature.

Case report

A 58-year-old postmenopausal Japanese woman presented to our gynecological outpatient department with abnormal uterine bleeding in 2015. Nine years previously, she had undergone breast-conserving surgery for cancer of the right breast. Histopathologic examination of that mass revealed a stage IIIc invasive ductal carcinoma in the breast, with large groups of lobular cancer cells and very small groups of ductal cancer cells found in the lymph nodes. After surgery of the breast cancer, the patient had been received adjuvant chemotherapy (doxifluridine 5 years, cyclophosphamide 3 years and docetaxel 1 years) radiotherapy (60 Gy to the right breast) and hormone therapy (goserelin acetate 6 years, tamoxifen 4 months, toremifene citrate 3 years).

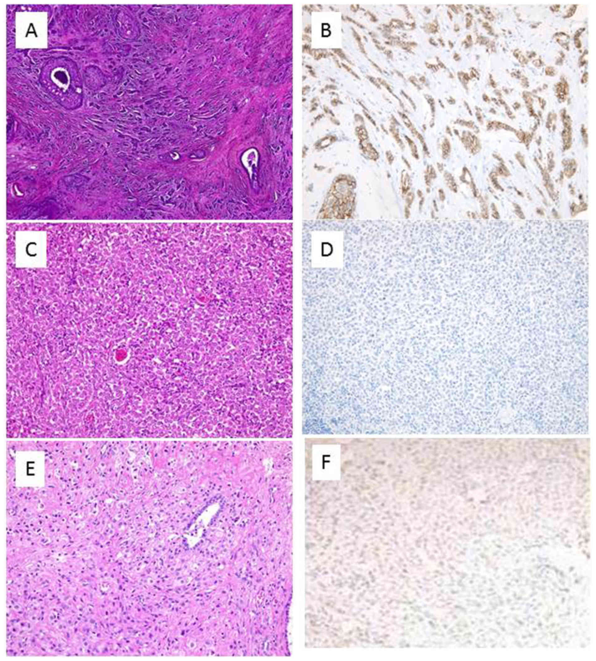
A diagnostic work-up was initiated to detect possible causes of vaginal bleeding. She underwent transvaginal ultrasound, which revealed endometrial thickening (9 mm). Magnetic resonance imaging (MRI) revealed a thickened endometrial myometrium (16×32 mm) with multicystic tumors (Fig. 1). A hysteroscopic examination revealed an endometrial polyp in the uterine cavity, which was resected (Fig. 2). A pathological examination, including hematoxylin-eosin staining and immunohistochemical staining, was performed (Fig. 3). The acquisition of tumor tissues of the patients was approved by the Shimane University Institutional Review Board. Hematoxylin and eosin revealed the absence of solid, alveolar, papillary, or gland-forming units. The tumor cells were arranged in slender linear strands, one to two cells in thickness. The tumor cells may have been dispersed in an irregular fashion in a densely fibrotic stroma. Results of immunohistochemical staining for estrogen receptor, progesterone receptor, and HER2 were positive, whereas those for E-cadherin were negative. The morphology, along with the immunohistochemical findings and the clinical history, supported the diagnosis of lobular breast carcinoma metastatic to the endometrial polyp.

Figure 1.

Magnetic resonance imaging of the pelvis. T2-weighted imaging revealed thickened endometrial myometrium (16×32 mm) with multicystic tumors.

Figure 2.

Polyp-like tumor in the uterine cavity. The surface of the polyp is smooth.

Figure 3.

Pathological examination. (A) microscopic image of ductal carcinoma of the right breast. (B) Immunohistochemical staining positive for E-cadherin of ductal carcinoma. (C) Microscopic image of lobular carcinoma of the lymph node. (D) Immunohistochemical staining negative for E-cadherin of lobular carcinoma of lymph node. (E) Metastatic tumor cells from breast lobular carcinoma of leiomyoma, cervix and an endometrial polyp (hematoxylin and eosin). (F) Immunohistochemical staining negative for E-cadherine of uterus.

A positron emission tomography/computed tomography (PET-CT) examination showed slightly increased uptake in the myoma. The standardized uptake value (SUV) on the PET was 9 in the early phase and 11 in the late phage. Multiple reports suggest that mild or moderate uptake of 18F-fludeoxyglucose is often observed in benign uterine leiomyoma and should not be confused with malignant accumulation, and our experience is consistent with this observation. Therefore, the tumor was assumed to be benign, and a laparoscopic hysterectomy was planned. However, because of the large size of the uterus and copious adhesions between the ovary, uterus, and rectum, the procedure was changed to an abdominal hysterectomy. The patient underwent total abdominal hysterectomy, bilateral salpingo-oophorectomy, and partial colectomy. Interestingly, the uterine leiomyoma and cervix shared the same histopathologic features as the primary lobular carcinoma of the breast, indicating that metastatic tumor arose from the original breast carcinoma after a 9-year interval. At the time of this report, the patient is alive and receiving aromatase inhibitor therapy.

Discussion

Metastases to the female genital tract from extragenital cancers are less common than metastases from genital tract cancers and most often affect the ovaries, with the breast and gastrointestinal tract being the most common sites of the primary tumor (2). The ovaries are often first in the path of spread of malignant cells. They provide an optimal environment for implantation of malignant cells, because they are very vascular with a well-developed lymph network. Additionally, the stroma of ovaries has a favorable pH and oxygen pressure (6). On the other hand, the other female genital tract organs, including the uterus, seem resistant to metastasis. Mazur et al (1) reported that, among 149 metastatic tumors to the female genital tract from extragenital primaries, the ovary and vagina were the most frequent locations of metastases (75.8 and 13.4%, respectively), while only 8.1% were to the uterus (4.7% to the endometrium, 3.4% to the cervix). Breast was the second-most common primary site after gastrointestinal tumors; of 52 breast cancer cases metastatic to the gynecologic organs, ovaries were affected in 88.5% cases, vagina in 5.8%, endometrium in 3.8%, vulva in 1.9% and none to the cervix (1).

Metastases to the uterus from extragenital cancers are significantly rarer than metastases to the ovaries. Piura et al (7) reported 198 cases of extragenital metastases to the uterus, 112 of which originated from primary breast carcinoma. However, reports of breast cancer metastasis to uterine leiomyoma were limited. Leiomyoma of the uterus is the most common benign tumor in women, and it can be found in 20% of women at autopsy (8). The low incidence of cancer metastatic to uterine leiomyoma may be explained by the lack of routine autopsy. Kondo et al (9) described presenting signs and symptoms that may result from metastasis to a uterine leiomyoma in 13 cases, including abnormal bleeding in 6 cases (6/13, 46.2%), enlargement of the uterus in 4 cases, and no symptoms in 3 cases. In view of these observations, abnormal uterine bleeding may be a characteristic of a patient with metastasis to a uterine leiomyoma. Our review of the literature regarding metastasis of a carcinoma to a uterine leiomyoma is summarized in Table I. Reviewing the histological types of breast cancer in these reports, ductal carcinoma comprised 61.55% (8/13) and lobular carcinoma comprised 38.4% (5/13) of metastases to uterine leiomyoma. In our case, the patient was diagnosed with both ductal and lobular breast carcinoma, but only lobular carcinoma metastasized to the uterine leiomyoma, and abnormal uterine bleeding was the first sign of metastasis.

Table I.

Cases of resected breast cancer metastases to uterine leiomyoma.

Table I.

Cases of resected breast cancer metastases to uterine leiomyoma.

Case no.Author'sPrimary histologyResidual metastasisHormonal receptorPostoperative therapyPrognosis(Refs.)
  1Di Bonito et alLobular carcinomaOvary and boneUnknownUnknownDied, 5 months(5)
  2Sugiyama et alDuctal carcinomaAxLN and boneUnknownUnknownDied, 14 months(8)
  3Charvolin et alDuctal carcinomaNilER(+), PR(−)C and EAlive, 2 years(16)
  4Uner et alDuctal carcinomaAxLN and boneER(+), PR(−)UnknownDied, 4 months(17)
  5Liebmann et alLobular carcinomaUnknownUnknownUnknownUnknown(18)
  6Minelli et alDuctal carcinomaBone and brainER(+), PR(+)C and RDied, 1 year(19)
  7Afriat et alLobular carcinomaAxLNUnknownC and EAlive, 4 years(20)
  8Beattie et alDuctal carcinomaAxLN and boneUnknownCUnknown(21)
  9SpiroDuctal carcinomaAxLN and pleuraUnknownUnknownUnknown(22)
10SpiroLobular carcinomaLiverUnknownCDied, 1 year(22)
11Banooni et alLobular carcinomaAxLN and boneUnknownNoneUnknown(23)
12Birdsall et alDuctal carcinomaAxLNUnknownNoneAlive, 10 months(24)
13Weingold et alDuctal carcinomaBoneUnknownUnknownUnknown(25)
14Current caseDuctal and lobular carcinomalymph nodeER(+), PR(+) HER2(2+)C, R, and EAlive

[i] ER, estrogen receptor; PR, progesterone receptor; AxLN, indicates axillary lymph nodes; C, chemotherapy; E, endocrine therapy; R, radiation therapy.

Most extragenital metastases to the cervix arise from primary tumors of the gastrointestinal tract (1). Other primary sites include the lung, pancreas, melanoma, urethra, and breast. Breast cancer often metastasizes to the ovary, but rarely to the cervix. Possible explanations for this rarity include the small size of the cervix, its reduced blood flow and distal circulation, and the presence of abundant fibrous tissue, which make the uterine cervix unfavorable for the propagation of malignant cells (10). Yazigi et al (11) summarized the first 24 cases in the literature of breast metastasis to the uterine cervix from his series and previous authors in 1988. Two subsequent cases were reported by Piura et al (7), and Kennebeck and Alagoz (12). Yazigi drew some general conclusions of the patients reviewed. More than two-thirds had vaginal bleeding as a presenting symptom, and greater than 60% had no evidence of disease on examination. Thus, the metastasis would have been missed if complete evaluations had not been performed, including Pap smear, colposcopy, and biopsy. In our case, the patient had irregular vaginal bleeding, and her cervical Pap smear was normal. In most cases, cervical metastasis of breast cancer is a manifestation of widespread disease. In 67–89% of the reported cases, distant metastases of other sites were present at diagnosis of cervical metastasis (12,13). The response of the cervix to metastatic disease is fibrous proliferation and an inflammatory cellular reaction, which may explain the clinical finding of an expanded, indurated cervix (2). After reviewing the literature, 8 cases (including our case) of metastatic breast carcinoma to the cervix are presented in Table II. Of these 8 cases, 3 (37.5%) had ductal carcinoma and 5 (62.5%) had lobular carcinoma.

Table II.

Reported cases of breast cancer with synchronous metastasis to the uterine cervix.

Table II.

Reported cases of breast cancer with synchronous metastasis to the uterine cervix.

Case no.Author'sPatient no.Age (yr)Clinical presentationPapInitial impressionPrimary histologyTreatmentSurvival(Refs.)
1Hepp et al155Abdominal painNPCervical tumorLobular carcinomaMastectomy chemotherapy loop excision of cervical tumorNM(13)
2Song245AVB+Cervical cancerDuctal carcinomaRadiationAAR (6 months)(26)
349AVB−Cervical cancerDuctal carcinomaNoneAAR (4 months)
3Limoine et al439AVBNPCervical cancerDuctal carcinomaNM6 months(27)
4Fiorella et al554AVB+Endometrial cancerSignet ring cellNone6 months(28)
5Bogliolo et al678none−Cervical cancerLobular carcinomaQuadrantectomy radiation (breast) chemotherapyAAR (2.5 years)(29)
6D'souza et al744AVB+Cervical cancerLobular carcinomaNMNM(30)
7Horikawa et al852Abdominal discomfort−LeiomyomaLobular carcinomaHysterectomy mastectomy chemotherapyAAR (7 years)(31)
8Current case958AVB−Endometrial polypDuctal and lobular carcinomaRadiation chemotherapy hormone therapyAlive

[i] Pap, Pap smear; NP, not performed; AAR, alive at time of report; AVB, abnormal vaginal bleeding.

Endometrial metastasis from a breast cancer is also uncommon. Kumar and Hart (2) found 2 of 63 cases (3.8%) and Mazur et al (1) found 7 of 149 cases (4.7%) with metastases to the endometrium. Polyps are the most common benign lesion in the endometrium, and metastasis to a polyp is exceptional. Abrams et al (4) described 15 cases of breast cancer metastatic to endometrial polyps. Of them, 7 patients had lobular breast cancer, 7 had ductal adenocarcinoma, and 1 had an apocrine type. Ductal carcinoma accounts for approximately 70–75% of all breast cancers, while lobular carcinoma only accounts for 5–20%. Despite its lower incidence among breast cancers, lobular carcinoma is the most frequent histologic type that metastasizes to the female genital tract, being found in more than 80% of all cases. In our case, the patient was diagnosed invasive ductal carcinoma in the breast; lobular and ductal carcinoma both were found together in the lymph node, but histological examination of the endometrial polyp identified only metastatic lobular carcinoma. Thus, our study supports the observation that the metastatic potential of lobular carcinoma for gynecologic organs is higher than that of ductal carcinoma. After analyzing 261 cases of breast cancer, Lamovec and Bracko concluded that lobular carcinoma spreads more frequently to gynecologic organs than ductal carcinoma does (15). This may be explained by the more frequent loss of the adhesive molecule E-cadherin in lobular carcinoma. We believe that a similar phenomenon might have taken place in our patient. A summary of all reported cases to date with metastatic carcinoma to an endometrial polyp is presented in Table III.

Table III.

Summary of reported cases of breast cancer metastases to endometrial polyp.

Table III.

Summary of reported cases of breast cancer metastases to endometrial polyp.

Case no.Author'sAgeHistologic type primary tumorLymph node metastasisClinical symptomMaximal diameter polyp (cm)Treatment procedure(Refs.)
  1Kennebeck et al71DuctalYesNoNMPalliative RT/CT(12)
  2Hooker et al83LobularYesVaginal bleeding3.5Polyp resection(14)
  3Sullivan et al83DuctalYesNo11.5TAH+BSO(32)
  4Corley et al58DuctalYesVaginal bleedingNMTAH+BSO(33)
  5Aranda et al76LobularNoNo9TAH+BSO(34)
  6Martinez et al78LobularYesVaginal bleeding3.3TAH+BSO(35)
  7Martinez et al58DuctalYesVaginal bleedingNMTAH+BSO(35)
  8Lambot et al70ApocrineYesVaginal bleeding1.5TAH+BSO(36)
  9Horn et al73DuctalNoNo8TAH+BSO(37)
10Alvarez et al69LobularYesVaginal bleeding1.5None d(38)
11Houghton et al62LobularYesVaginal bleeding3Polyp resection(39)
12Houghton et al92LobularUnknownVaginal bleeding3Polyp resection(39)
13Al-brahim et al53LobularYesVaginal bleeding7Polyp resection(40)
14Acikalin et al58DuctalYesNo5TAH+BSO(41)
15Manipadam et al70LobularYesVaginal bleeding3Polyp resection(42)
16Aydin et al60DuctalUnknownVaginal bleeding6.5CT, ANA(43)
17Current case58Ductal and lobularYesVaginal bleeding3.2Polyp resection

[i] BSO, bilateral salpingo-oophorectomy; RT, radiotherapy; CT, chemotherapy; ANA, anastrozole; NM, not mentioned; TAH, total abdominal hysterectomy.

Uterine metastases from extragenital cancers are significantly rarer than metastases to the ovary, and when they occur, they are usually secondary to lymphatic spread from preceding ovarian metastases. Metastases restricted to the uterus, without involvement of the ovaries, are indeed very rare and can be explained by hematogenous spread.

In our case, lobular breast carcinoma metastasized to a uterine leiomyoma, the cervix, and an endometrial polyp concurrently, which is exceedingly rare. Although the ovary and vagina are the most common locations of metastasis, the entire organ system is at risk for metastatic disease. Therefore, abnormal uterine bleeding in patients with a history of breast carcinoma should always alert the physician to consider the diagnosis of metastatic spread to the genital tract. Gynecologists who are planning a laparoscopic operation for the patient with a history of lobular breast cancer should consider abdominal dissection rather than laparoscopy, even if the tumor is thought to be benign. If lobular carcinoma remains dormant in the myoma or other gynecological organs, as our case, and the surgeon misses any tissue during the operation, residual disease may spread elsewhere in the peritoneal cavity. Before surgery, the use of PET-CT may be beneficial for identifying an unanticipated mass.

References

1 

Mazur MT, Hsuesh S and Gersell DJ: Metastases to the female genital tract. Analysis of 325 cases. Cancer. 53:1978–1984. 1984. View Article : Google Scholar : PubMed/NCBI

2 

Kumar NB and Hart WR: Metastases to the uterine corpus from extragenital cancer. A clinicopathological study of 63 cases. Cancer. 50:2163–2169. 1982. View Article : Google Scholar : PubMed/NCBI

3 

Charache H: Metastatic carcinoma in the uterus. AM J Surg. 53:152–157. 1941. View Article : Google Scholar

4 

Abrams HL, Spiro R and Goldstein N: Metastases in carcinoma: Analysis of 1000 autopside cases. Cancer. 3:74–85. 1950. View Article : Google Scholar : PubMed/NCBI

5 

Di Bonito L, Patriarca S and Alberico S: Breast carcinoma metastasizing to the uterus. Eur J Gynaecol Oncol. 6:211–217. 1985.PubMed/NCBI

6 

Perisić D, Jancić S, Kalinović D and Cekerevac M: Metastasis of lobular breast carcinoma to the cervix. J Obstet Gynaecol Res. 33:578–580. 2007. View Article : Google Scholar : PubMed/NCBI

7 

Piura B, Yanai-Inbar I, Rabinovich A, Zalmanov S and Goldstein J: Abnormal uterine bleeding as a presenting sign of metastases to the uterine corpus, cervix and vagina in a breast cancer patient on tamoxifen therapy. Eur J Obstet Gynecol Reprod Biol. 83:57–61. 1999. View Article : Google Scholar : PubMed/NCBI

8 

Sugiyama T, Toyoda N, Nose J, Kihira N, Ando Y and Ishihara A: Breast cancer metastatic to uterine leiomyoma: A case report. J Obstet Gynaecol (Tokyo 1995). 21:349–355. 1995. View Article : Google Scholar : PubMed/NCBI

9 

Kondo NI, Yoshida S, Kajiyama H, Nagasaka T and Uematsu T: Metastasis of breast cancer to a uterine leiomyoma. Breast Cancer. 16:157–161. 2009. View Article : Google Scholar : PubMed/NCBI

10 

Pérez-Montiel D, Serrano-Olvera A, Salazar LC, Cetina-Pérez L, Candelaria M, Coronel J, Montalvo LA and de León DC: Adenocarcinoma metastatic to the uterine cervix: A case series. J Obstet Gynaecol Res. 38:541–549. 2012. View Article : Google Scholar : PubMed/NCBI

11 

Yazigi R, Sandstad R and Munoz A: Breast cancer metastasizing to the uterine cervix. Cancer. 61:2558–2560. 1988. View Article : Google Scholar : PubMed/NCBI

12 

Kennebeck C and Alagoz T: Signet ring breast carcinoma metastases limited to the endometrium and cervix. Gynecol Oncol. 71:461–464. 1998. View Article : Google Scholar : PubMed/NCBI

13 

Hepp HH, Hoos A, Leppien G and Wallwiener D: Breast cancer metastatic to the uterine cervix: Analysis of a rare event. Cancer Invest. 17:468–473. 1999. View Article : Google Scholar : PubMed/NCBI

14 

Hooker AB, Radder CM, van de Wiel B and Geenen MM: Metastasis from breast cancer to an endometrial polyp; treatment options and follow-up. Report of a case and review of the literature. Eur J Gynaec Oncol. 32:228–230. 2011.

15 

Lamovec J and Bracko M: Metastatic pattern of infiltrating lobular carcinoma of the breast: An autopsy study. J Surg Oncol. 48:28–33. 1991. View Article : Google Scholar : PubMed/NCBI

16 

Charvolin JY, Salmon RJ, Pecking A and Mareschal V: Positron emission tomography detection of breast cancer metastasis to the uterus. Obstet Gynecol. 99:915–917. 2002. View Article : Google Scholar : PubMed/NCBI

17 

Uner A, Tiras MB, Kilic D, Dursun A and Dilek U: Uterine lipoleiomyoma containing metastatic breast carcinoma: A case with two unusual pathologies. Eur J Obstet Gynecol Reprod Biol. 106:76–78. 2003. View Article : Google Scholar : PubMed/NCBI

18 

Liebmann RD, Jones KD, Hamid R and Lapsley M: Fortuitous diagnosis in a uterine leiomyoma of metastatic lobular carcinoma of the breast. Histopathology. 32:577–578. 1998. View Article : Google Scholar : PubMed/NCBI

19 

Minelli L, Romagnolo C, Giambanco L and Bongiorno E: Uterine leiomyoma metastasis as a first sign of breast cancer. J Am Assoc Gynecol Laparosc. 5:213–215. 1998. View Article : Google Scholar : PubMed/NCBI

20 

Afriat R, Lenain H, Vuagnat C, Michenet P, Luthier F, Maitre F and Grossetti D: Metastasis of breast cancer to a uterine leiomyoma. J Gynecol Obstet Biol Rep (Paris). 22:243–244. 1993.(In French).

21 

Beattie GJ, Duncan AJ, Paterson AJ, Williams AR and Geirsson RT: Breast carcinoma metastatic to uterine leiomyoma. Gynecol Oncol. 51:255–257. 1993. View Article : Google Scholar : PubMed/NCBI

22 

Spiro RK: Breast cancer metastatic to uterine leiomyoma. J Med Soc N J. 76:285–287. 1979.PubMed/NCBI

23 

Banooni F, Labes J and Goodman PA: Uterine leiomyoma containing metastatic breast carcinoma. Am J Obstet Gynecol. 111:427–430. 1971. View Article : Google Scholar : PubMed/NCBI

24 

Birdsall CJ, Dockerty MB and Pratt JH: Mammary carcinoma metastasis to uterine myoma. Obstet Gynecol. 23:229–231. 1964.PubMed/NCBI

25 

Weingold AB and Boltuch SM: Extragenital metastases to the uterus. Am J Obstet Gynecol. 82:1267–1272. 1961. View Article : Google Scholar : PubMed/NCBI

26 

Song J: Metastatic carcinoma of the uterine cervix from primary breast cancer. JAMA. 184:498–500. 1963. View Article : Google Scholar : PubMed/NCBI

27 

Limoine NR and Hall PA: Epithelial tumors metastatic to the uterine cervix. A study of 33 cases and review of the literature. Cancer. 57:2002–2005. 1986. View Article : Google Scholar : PubMed/NCBI

28 

Fiorella RM, Beckwith LG, Miller LK and Kragel PJ: Metastatic signet ring carcinoma of the breast as a source of positive cervicovaginal cytology. A case report. Acta Cytol. 37:948–952. 1993.PubMed/NCBI

29 

Bogliolo S, Morotti M, Menada Valenzano M, Fulcheri E, Musizzano Y and Casabona F: Breast cancer with synchronous massive metastasis in the uterine cervix: A case report and review of the literature. Arch Gynecol Obstet. 281:769–773. 2010. View Article : Google Scholar : PubMed/NCBI

30 

D'souza MM, Sharma RS, Tripathi M, Saw SK, Anad A, Singh D and Mondal A: Cervical and uterine metastasis from carcinoma of breast diagnosed by PET/CT. An unusual presentation. Clin Nucl Med. 35:820–823. 2010. View Article : Google Scholar : PubMed/NCBI

31 

Horikawa M, Mori Y, Nagai S, Tanaka S, Saito S and Okamoto T: Metastatic breast cancer to the uterine cervix mimicking a giant cervical leiomyoma. J Med Sci. 74:347–351. 2012.

32 

Sullivan LG, Sullivan JL and Fairey WF: Breast carcinoma metastatic to endometrial polyps. Gynecol Oncol. 39:96–98. 1990. View Article : Google Scholar : PubMed/NCBI

33 

Corley D, Rowe J, Curtis MT, Hogan WM, Noumoff JS and Livolsi VA: Postmenopausal bleeding from unusual endometrial polyps in women on chronic tamoxifen therapy. Obstet Gynecol. 79:111–116. 1992.PubMed/NCBI

34 

Aranda FI, Laforga JB and Martinez MA: Metastasis from breast lobular carcinoma to an endometrial polyps: Reports of a case with immunohistochemical study. Acta Obstet Gynecol Scand. 72:585–587. 1993. View Article : Google Scholar : PubMed/NCBI

35 

Martinez-Montero I, Dominguez-Cunchillos F, Muruzabal JC, de Míguel C, Recari E and Ezcurdia M: Uterine metastases from breast cancer. Acta Obstet Gynecol Scand. 78:165–167. 1999.PubMed/NCBI

36 

Lambot MA, Eddafali B, Simon P, Fayt I and Noël JC: Metastasis from apocrine carcinoma of the breast to an endometrial polyp. Virchows Arch. 438:517–518. 2001. View Article : Google Scholar : PubMed/NCBI

37 

Horn LC, Einenkel J and Baier D: Endometrial metastasis from breast cancer in a patient receiving tamoxifen therapy. Gynecol Obstet Invest. 50:136–138. 2000. View Article : Google Scholar : PubMed/NCBI

38 

Alvarez C, Ortiz-Rey JA, Estévez F, Estevez F and de la Fuente A: Metastatic lobular breast carcinoma to an endometrial polyps diagnosed by hysteroscopic biopsy. Obstet Gynecol. 102:1149–1151. 2003. View Article : Google Scholar : PubMed/NCBI

39 

Houghton JP, Ioffe OB, Silverberg SG, McGrady B and McCluggaga WG: Metastatic breast lobular carcinoma involving tamoxifen-associated endometrial polyps: Report of two cases and review of tamoxifen-associated polypoid uterine lesions. Mod Pathol. 16:395–398. 2003. View Article : Google Scholar : PubMed/NCBI

40 

Al-brahim N and Elavathil LJ: Metastatic breast lobular carcinoma to tamoxifen-associated endometrial polyp: Case report and literature review. Ann Diagn Pathol. 9:166–168. 2005. View Article : Google Scholar : PubMed/NCBI

41 

Acikalin MF, Oner U, Tekin B, Yakuz E and Cengiz O: Metastastasis from breast carcinoma to a tamoxifen-related endometrial polyp. Gynecol Oncol. 97:946–948. 2005. View Article : Google Scholar : PubMed/NCBI

42 

Manipadam MT, Walter NM and Selvamnani B: Lobular carcinoma metastasis to endometrial polyp unrelated to tamoxifen. Report of a case and review of the literature. APMIS. 116:538–540. 2008. View Article : Google Scholar : PubMed/NCBI

43 

Aydin O, Bagic P, Akyildiz EU, Ozguroglu M and Ilvan S: Metastasis from breast carcinoma to endometrial polyp. Eur J Gynaecol Oncol. 29:666–668. 2008.PubMed/NCBI

Related Articles

  • Abstract
  • View
  • Download
  • Twitter
Copy and paste a formatted citation
Spandidos Publications style
Razia S, Nakayama K, Tsukao M, Nakamura K, Ishikawa M, Ishibashi T, Ishikawa N, Sanuki K, Yamashita H, Ono R, Ono R, et al: Metastasis of breast cancer to an endometrial polyp, the cervix and a leiomyoma: A case report and review of the literature. Oncol Lett 14: 4585-4592, 2017.
APA
Razia, S., Nakayama, K., Tsukao, M., Nakamura, K., Ishikawa, M., Ishibashi, T. ... Kyo, S. (2017). Metastasis of breast cancer to an endometrial polyp, the cervix and a leiomyoma: A case report and review of the literature. Oncology Letters, 14, 4585-4592. https://doi.org/10.3892/ol.2017.6822
MLA
Razia, S., Nakayama, K., Tsukao, M., Nakamura, K., Ishikawa, M., Ishibashi, T., Ishikawa, N., Sanuki, K., Yamashita, H., Ono, R., Hossain, M. M., Minamoto, T., Kyo, S."Metastasis of breast cancer to an endometrial polyp, the cervix and a leiomyoma: A case report and review of the literature". Oncology Letters 14.4 (2017): 4585-4592.
Chicago
Razia, S., Nakayama, K., Tsukao, M., Nakamura, K., Ishikawa, M., Ishibashi, T., Ishikawa, N., Sanuki, K., Yamashita, H., Ono, R., Hossain, M. M., Minamoto, T., Kyo, S."Metastasis of breast cancer to an endometrial polyp, the cervix and a leiomyoma: A case report and review of the literature". Oncology Letters 14, no. 4 (2017): 4585-4592. https://doi.org/10.3892/ol.2017.6822
Copy and paste a formatted citation
x
Spandidos Publications style
Razia S, Nakayama K, Tsukao M, Nakamura K, Ishikawa M, Ishibashi T, Ishikawa N, Sanuki K, Yamashita H, Ono R, Ono R, et al: Metastasis of breast cancer to an endometrial polyp, the cervix and a leiomyoma: A case report and review of the literature. Oncol Lett 14: 4585-4592, 2017.
APA
Razia, S., Nakayama, K., Tsukao, M., Nakamura, K., Ishikawa, M., Ishibashi, T. ... Kyo, S. (2017). Metastasis of breast cancer to an endometrial polyp, the cervix and a leiomyoma: A case report and review of the literature. Oncology Letters, 14, 4585-4592. https://doi.org/10.3892/ol.2017.6822
MLA
Razia, S., Nakayama, K., Tsukao, M., Nakamura, K., Ishikawa, M., Ishibashi, T., Ishikawa, N., Sanuki, K., Yamashita, H., Ono, R., Hossain, M. M., Minamoto, T., Kyo, S."Metastasis of breast cancer to an endometrial polyp, the cervix and a leiomyoma: A case report and review of the literature". Oncology Letters 14.4 (2017): 4585-4592.
Chicago
Razia, S., Nakayama, K., Tsukao, M., Nakamura, K., Ishikawa, M., Ishibashi, T., Ishikawa, N., Sanuki, K., Yamashita, H., Ono, R., Hossain, M. M., Minamoto, T., Kyo, S."Metastasis of breast cancer to an endometrial polyp, the cervix and a leiomyoma: A case report and review of the literature". Oncology Letters 14, no. 4 (2017): 4585-4592. https://doi.org/10.3892/ol.2017.6822
Follow us
  • Twitter
  • LinkedIn
  • Facebook
About
  • Spandidos Publications
  • Careers
  • Cookie Policy
  • Privacy Policy
How can we help?
  • Help
  • Live Chat
  • Contact
  • Email to our Support Team