Spandidos Publications Logo
  • About
    • About Spandidos
    • Aims and Scopes
    • Abstracting and Indexing
    • Editorial Policies
    • Reprints and Permissions
    • Job Opportunities
    • Terms and Conditions
    • Contact
  • Journals
    • All Journals
    • Oncology Letters
      • Oncology Letters
      • Information for Authors
      • Editorial Policies
      • Editorial Board
      • Aims and Scope
      • Abstracting and Indexing
      • Bibliographic Information
      • Archive
    • International Journal of Oncology
      • International Journal of Oncology
      • Information for Authors
      • Editorial Policies
      • Editorial Board
      • Aims and Scope
      • Abstracting and Indexing
      • Bibliographic Information
      • Archive
    • Molecular and Clinical Oncology
      • Molecular and Clinical Oncology
      • Information for Authors
      • Editorial Policies
      • Editorial Board
      • Aims and Scope
      • Abstracting and Indexing
      • Bibliographic Information
      • Archive
    • Experimental and Therapeutic Medicine
      • Experimental and Therapeutic Medicine
      • Information for Authors
      • Editorial Policies
      • Editorial Board
      • Aims and Scope
      • Abstracting and Indexing
      • Bibliographic Information
      • Archive
    • International Journal of Molecular Medicine
      • International Journal of Molecular Medicine
      • Information for Authors
      • Editorial Policies
      • Editorial Board
      • Aims and Scope
      • Abstracting and Indexing
      • Bibliographic Information
      • Archive
    • Biomedical Reports
      • Biomedical Reports
      • Information for Authors
      • Editorial Policies
      • Editorial Board
      • Aims and Scope
      • Abstracting and Indexing
      • Bibliographic Information
      • Archive
    • Oncology Reports
      • Oncology Reports
      • Information for Authors
      • Editorial Policies
      • Editorial Board
      • Aims and Scope
      • Abstracting and Indexing
      • Bibliographic Information
      • Archive
    • Molecular Medicine Reports
      • Molecular Medicine Reports
      • Information for Authors
      • Editorial Policies
      • Editorial Board
      • Aims and Scope
      • Abstracting and Indexing
      • Bibliographic Information
      • Archive
    • World Academy of Sciences Journal
      • World Academy of Sciences Journal
      • Information for Authors
      • Editorial Policies
      • Editorial Board
      • Aims and Scope
      • Abstracting and Indexing
      • Bibliographic Information
      • Archive
    • International Journal of Functional Nutrition
      • International Journal of Functional Nutrition
      • Information for Authors
      • Editorial Policies
      • Editorial Board
      • Aims and Scope
      • Abstracting and Indexing
      • Bibliographic Information
      • Archive
    • International Journal of Epigenetics
      • International Journal of Epigenetics
      • Information for Authors
      • Editorial Policies
      • Editorial Board
      • Aims and Scope
      • Abstracting and Indexing
      • Bibliographic Information
      • Archive
    • Medicine International
      • Medicine International
      • Information for Authors
      • Editorial Policies
      • Editorial Board
      • Aims and Scope
      • Abstracting and Indexing
      • Bibliographic Information
      • Archive
  • Articles
  • Information
    • Information for Authors
    • Information for Reviewers
    • Information for Librarians
    • Information for Advertisers
    • Conferences
  • Language Editing
Spandidos Publications Logo
  • About
    • About Spandidos
    • Aims and Scopes
    • Abstracting and Indexing
    • Editorial Policies
    • Reprints and Permissions
    • Job Opportunities
    • Terms and Conditions
    • Contact
  • Journals
    • All Journals
    • Biomedical Reports
      • Information for Authors
      • Editorial Policies
      • Editorial Board
      • Aims and Scope
      • Abstracting and Indexing
      • Bibliographic Information
      • Archive
    • Experimental and Therapeutic Medicine
      • Information for Authors
      • Editorial Policies
      • Editorial Board
      • Aims and Scope
      • Abstracting and Indexing
      • Bibliographic Information
      • Archive
    • International Journal of Epigenetics
      • Information for Authors
      • Editorial Policies
      • Editorial Board
      • Aims and Scope
      • Abstracting and Indexing
      • Bibliographic Information
      • Archive
    • International Journal of Functional Nutrition
      • Information for Authors
      • Editorial Policies
      • Editorial Board
      • Aims and Scope
      • Abstracting and Indexing
      • Bibliographic Information
      • Archive
    • International Journal of Molecular Medicine
      • Information for Authors
      • Editorial Policies
      • Editorial Board
      • Aims and Scope
      • Abstracting and Indexing
      • Bibliographic Information
      • Archive
    • International Journal of Oncology
      • Information for Authors
      • Editorial Policies
      • Editorial Board
      • Aims and Scope
      • Abstracting and Indexing
      • Bibliographic Information
      • Archive
    • Medicine International
      • Information for Authors
      • Editorial Policies
      • Editorial Board
      • Aims and Scope
      • Abstracting and Indexing
      • Bibliographic Information
      • Archive
    • Molecular and Clinical Oncology
      • Information for Authors
      • Editorial Policies
      • Editorial Board
      • Aims and Scope
      • Abstracting and Indexing
      • Bibliographic Information
      • Archive
    • Molecular Medicine Reports
      • Information for Authors
      • Editorial Policies
      • Editorial Board
      • Aims and Scope
      • Abstracting and Indexing
      • Bibliographic Information
      • Archive
    • Oncology Letters
      • Information for Authors
      • Editorial Policies
      • Editorial Board
      • Aims and Scope
      • Abstracting and Indexing
      • Bibliographic Information
      • Archive
    • Oncology Reports
      • Information for Authors
      • Editorial Policies
      • Editorial Board
      • Aims and Scope
      • Abstracting and Indexing
      • Bibliographic Information
      • Archive
    • World Academy of Sciences Journal
      • Information for Authors
      • Editorial Policies
      • Editorial Board
      • Aims and Scope
      • Abstracting and Indexing
      • Bibliographic Information
      • Archive
  • Articles
  • Information
    • For Authors
    • For Reviewers
    • For Librarians
    • For Advertisers
    • Conferences
  • Language Editing
Login Register Submit
  • This site uses cookies
  • You can change your cookie settings at any time by following the instructions in our Cookie Policy. To find out more, you may read our Privacy Policy.

    I agree
Search articles by DOI, keyword, author or affiliation
Search
Advanced Search
presentation
Oncology Letters
Join Editorial Board Propose a Special Issue
Print ISSN: 1792-1074 Online ISSN: 1792-1082
Journal Cover
December-2017 Volume 14 Issue 6

Full Size Image

Sign up for eToc alerts
Recommend to Library

Journals

International Journal of Molecular Medicine

International Journal of Molecular Medicine

International Journal of Molecular Medicine is an international journal devoted to molecular mechanisms of human disease.

International Journal of Oncology

International Journal of Oncology

International Journal of Oncology is an international journal devoted to oncology research and cancer treatment.

Molecular Medicine Reports

Molecular Medicine Reports

Covers molecular medicine topics such as pharmacology, pathology, genetics, neuroscience, infectious diseases, molecular cardiology, and molecular surgery.

Oncology Reports

Oncology Reports

Oncology Reports is an international journal devoted to fundamental and applied research in Oncology.

Experimental and Therapeutic Medicine

Experimental and Therapeutic Medicine

Experimental and Therapeutic Medicine is an international journal devoted to laboratory and clinical medicine.

Oncology Letters

Oncology Letters

Oncology Letters is an international journal devoted to Experimental and Clinical Oncology.

Biomedical Reports

Biomedical Reports

Explores a wide range of biological and medical fields, including pharmacology, genetics, microbiology, neuroscience, and molecular cardiology.

Molecular and Clinical Oncology

Molecular and Clinical Oncology

International journal addressing all aspects of oncology research, from tumorigenesis and oncogenes to chemotherapy and metastasis.

World Academy of Sciences Journal

World Academy of Sciences Journal

Multidisciplinary open-access journal spanning biochemistry, genetics, neuroscience, environmental health, and synthetic biology.

International Journal of Functional Nutrition

International Journal of Functional Nutrition

Open-access journal combining biochemistry, pharmacology, immunology, and genetics to advance health through functional nutrition.

International Journal of Epigenetics

International Journal of Epigenetics

Publishes open-access research on using epigenetics to advance understanding and treatment of human disease.

Medicine International

Medicine International

An International Open Access Journal Devoted to General Medicine.

Journal Cover
December-2017 Volume 14 Issue 6

Full Size Image

Sign up for eToc alerts
Recommend to Library

  • Article
  • Citations
    • Cite This Article
    • Download Citation
    • Create Citation Alert
    • Remove Citation Alert
    • Cited By
  • Similar Articles
    • Related Articles (in Spandidos Publications)
    • Similar Articles (Google Scholar)
    • Similar Articles (PubMed)
  • Download PDF
  • Download XML
  • View XML
Article Open Access

Expression of NF-κB and PTEN in osteosarcoma and its clinical significance

  • Authors:
    • Teng Gong
    • Xuetao Su
    • Qun Xia
    • Jinggui Wang
    • Shilian Kan
  • View Affiliations / Copyright

    Affiliations: Department of Spinal Surgery, Tianjin Hospital, Tianjin 300211, P.R. China, Department of Orthopaedic Surgery, The Affiliated Hospital of Logistics College of Chinese People's Armed Police Forces, Tianjin 300162, P.R. China
    Copyright: © Gong et al. This is an open access article distributed under the terms of Creative Commons Attribution License.
  • Pages: 6744-6748
    |
    Published online on: September 15, 2017
       https://doi.org/10.3892/ol.2017.6972
  • Expand metrics +
Metrics: Total Views: 0 (Spandidos Publications: | PMC Statistics: )
Metrics: Total PDF Downloads: 0 (Spandidos Publications: | PMC Statistics: )
Cited By (CrossRef): 0 citations Loading Articles...

This article is mentioned in:


Abstract

We investigated the role of nuclear factor-κB (NF-κB) and phosphatase and tensin homolog deleted in chromosome 10 (PTEN) in the pathogenesis of osteosarcoma and its relationship with prognosis. Immunohistochemical method was used to detect the expression of NF-κB and PTEN in osteosarcoma and adjacent tissues. RT-PCR was used to detect the expression of NF-κB and PTEN mRNA in osteosarcoma and adjacent tissues. Western blotting was used to detect the expression of NF-κB and PTEN in osteosarcoma and adjacent tissues and compare their differences. The expression of NF-κB and PTEN was detected in osteosarcoma and adjacent tissues. The positive rate of NF-κB was 75.3 and 32.9%, respectively; while the positive rate of PTEN was 67.1 and 90.4%, respectively. The positive expression of NF-κB and PTEN was statistically significant. There was a negative correlation between NF-κB and PTEN expression (r=-0.502, p<0.05). The positive and negative expression of NF-κB and PTEN was statistically significant for the five-year survival (p<0.05). At gene and protein level, osteosarcoma tissues had higher expression of NF-κB, and lower expression of PTEN, which was significantly different from the adjacent tissues. In osteosarcoma, NF-κB is highly expressed, but PTEN is expressed at low level, and the two are negatively correlated. This is of great significance for the early diagnosis of osteosarcoma and prognosis.

Introduction

As one of the more common malignant bone tumor, osteosarcoma has high degree of malignancy, and relatively poor prognosis (1). The pathogenesis and development process has not yet been studied fully, and the current clinical diagnosis of osteosarcoma lacks more specific indicators (2). PTEN as a tumor suppressor gene, is associated with the occurrence and development of a variety of malignant tumors (3,4). Overexpression of NF-κB is associated physiologically and pathologically with many tumors, and is a bi-directional regulatory factor (5–7). There are few studies on the expression and correlation of PTEN and NF-κB in osteosarcoma to date. The purpose of this study is to use immunohistochemical method to detect the expression of PTEN and NF-κB in tumor tissues, explore their expression changes at genes and protein levels, and analyze statistically the expression of both and the prognosis of patients, to explore their expression correlation in osteosarcoma and the potential use in clinical diagnosis of osteosarcoma.

Materials and methods

Materials
Experimental materials

Pathologically confirmed osteosarcoma tumor tissues (73 cases) and adjacent tissues (73 cases) were selected. All patients signed an informed consent form. The osteosarcoma tissue and adjacent tissues were treated with paraffin embedding, and then paraffin sectioned with a thickness of ~4 µm. The patients with osteosarcoma were follow-up for 5-years.

Reagents

Rabbit antihuman nuclear factor-κB (NF-κB) monoclonal antibody (Beijing Dingguo Changsheng Biotechnology Co., Ltd., Beijing, China) rabbit anti-human phosphatase and tensin homolog deleted in chromosome 10 (PTEN) polyclonal antibody, rabbit anti-human glyceraldehyde 3-phosphate dehydrogenase (GAPDH) polyclonal antibody (cat. no. SPC-1303, SPC-1331 and SPC-689; StressMarq Biosciences Inc., Victoria, BC, Canada), DAB coloring reagent (Shanghai Runwell Technology Co., Ltd., Shanghai, China), citrate buffer powder (Shanghai X-Y Biotechnology Co., Ltd., Shanghai, China), reverse transcription kit (GeneCopoeia, Rockville, MD, USA), real-time fluorescence quantitative PCR and Western Blot test kit (Shanghai Biological BestBio Bebo, Shanghai, China), goat anti-rabbit IgG secondary polyclonal antibody (cat. no. ab150077; Abcam, Cambridge, UK), BCA protein quantitative kit (Nanjing SenBeiJia Biotechnology Co., Ltd., Nanjing, China).

Experimental methods
Immunohistochemical staining

The paraffin sections were subjected to dewaxing and then washed with phosphate-buffered saline. To reduce the nonspecific background staining caused by endogenous peroxidase, blocking was continued for 20 min in the blocking buffer, then blocked in 10% serum for 10 min at room temperature, and incubated overnight at 4°C with the addition of primary antibody dilution buffer (rabbit anti-human NF-κB monoclonal antibody and PTEN polyclonal antibody, 1:50 dilution). It was washed with phosphate buffer solution, adding the goat anti-rabbit IgG secondary polyclonal antibody dilution buffer (1:50 dilution) and incubated at room temperature for 30 min. It was washed again with phosphate buffer, and then incubated with Streptavidin antibiotic protein-peroxidase solution at room temperature for 30 min, washed with phosphate buffer solution, colored with DAB, washed with distilled water, stained and sealed.

Evaluation of results

One hundred cells were randomly selected to observe the visual field under a light microscope, and the average number of cells in the field of view was obtained as the positive cells expressing the protein in the tissue. PTEN staining was mainly located in the cytoplasm, while the positive expression of NF-κB was mainly located in the nucleus. Depth score: scores 0 to 2, was assigned for no coloring, weak coloring and strong coloring, respectively. Cells stained positive score: 1 to 25% was recorded as 1, 26 to 50% as 2, 51 to 75% as 3, 76 to 100% as 4. The scores of the depth score and the positive rate were multiplied, 1 to 2 were negative, and 3 to 8 were positive.

Real-time PCR method to determine the expression of NF-κB and PTEN mRNA

Total RNA was extracted from both tissues and the concentration and purity were determined. Table I shows the primer sequence used in the synthesis of NF-κB and PTEN gene amplification by Nanjing CoBioer Biotechnology Co., Ltd. (Nanjing, China). Reverse transcription synthesis of cDNA, reaction system 20 µl.

Table I.

NF-κB and PTEN gene amplification primer.

Table I.

NF-κB and PTEN gene amplification primer.

GenePrimer sequence
NF-κBF: 5′-TACCCTGAGGCTATAACTC-3′
R: 5′-GACACTTGATAAGGCTTTG-3′
PTENF: 5′-AGTTCCCTCAGCCGTTACCT-3′
R: 5′-ATTTGACGGCTCCTCTACTG-3′
GAPDHF: 5′-TGGGTGTGAACCACGAGAA-3′
R: 5′-GGCATGGACTGTGGTCATGA-3′

[i] NF-κB, nuclear factor-κB; PTEN, phosphatase and tensin homolog deleted in chromosome 10; GAPDH, glyceraldehyde 3-phosphate dehydrogenase; F, forward; R, reverse.

PCR reaction system: 25 µl, reaction conditions: 95°C 10 min, 95°C 30 sec, and 59.4°C 30 sec, 40 cycles, 95°C 15 sec, and maintained at 65°C. With GAPDH as the internal control, RT-PCR instrument automatically calculated the NF-κB and PTEN mRNA relative expression.

Western blot assay for detection of protein

The total protein in the two tissues was extracted according to the instructions in the tissue total protein extraction kit. The concentration of the extracted protein was determined by BCA protein assay, and stored at −70°C. Sodium dodecyl sulfate-polyacrylamide gel electrophoresis (SDS-PAGE) was performed on 10% separation gel and 5% concentrated gel. The gel position of the two proteins was selected according to the marker strip. After transmembrane, the PVDF membrane was washed with 1X TBST solution for 5 min, 5% nonfat dry milk blocking at room temperature (1:1,000 dilution) for 1 h, 1X TBST solution for 1 h, 1X TBST solution for 1 h, 1X TBST solution 5 min, total cleaning 3 times. Anti-dark drop ECL luminescent liquid, dark environment for 2 min for development. Finally, the Multi Gauge Ver. 3.0 imaging system was scanned, and ImageJ professional image analysis software (National Institutes of Health, Bethesda, MD, USA) was used for image analysis and the absorbance value was recorded.

Statistical analysis

The statistical software SPSS 17.0 (Beijing Xinmei Jiahong Technology Co., Ltd., Beijing, China) was used in this study for data analysis. The correlation between the expression of NF-κB and PTEN was tested by Spearmans method, using χ2 to test the difference of positive rates between arms. The survival analysis was analyzed by GraphPad Prism5 software (GraphPad Software Inc., La Jolla, CA, USA). The difference was considered statistically significant when p<0.05.

Results

The expression of PTEN and NF-κB in osteosarcoma tissues and adjacent tissues

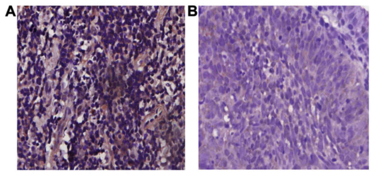
The immunohistochemical staining showed that PTEN had more positive expression granules in osteosarcoma tissues, while in adjacent tissues, PTEN showed diffuse granule-like expression with expression level significantly higher than that of osteosarcoma tissues. The notable difference of the positive expression rate of PTEN in osteosarcoma tissues and adjacent tissues was statistically significant (p<0.05) (Fig. 1).

Figure 1.

Immunohistochemical expression of phosphatase and tensin homolog deleted in chromosome 10 (PTEN) in osteosarcoma tissues and adjacent tissues. Immunohistochemical staining of the two types of tissues. The expression of PTEN in the adjacent tissues was higher than that in the osteosarcoma tissues. (A) Osteosarcoma tissues, (B) adjacent tissues.

Among 73 cases of osteosarcoma tissues, 49 cases were positive in PTEN expression, with positive rate of 67.1%; while in adjacent tissues, 66 cases were positive in PTEN expression, with positive rate of 90.4% (Table II).

Table II.

PTEN expression comparison in both tissues.

Table II.

PTEN expression comparison in both tissues.

PTEN

ArmNo. of cases+−Positive rate %χ2P-value
Osteosarcoma73492467.131.02<0.05
Adjacent tissues7366  790.4

[i] PTEN, phosphatase and tensin homolog deleted in chromosome 10.

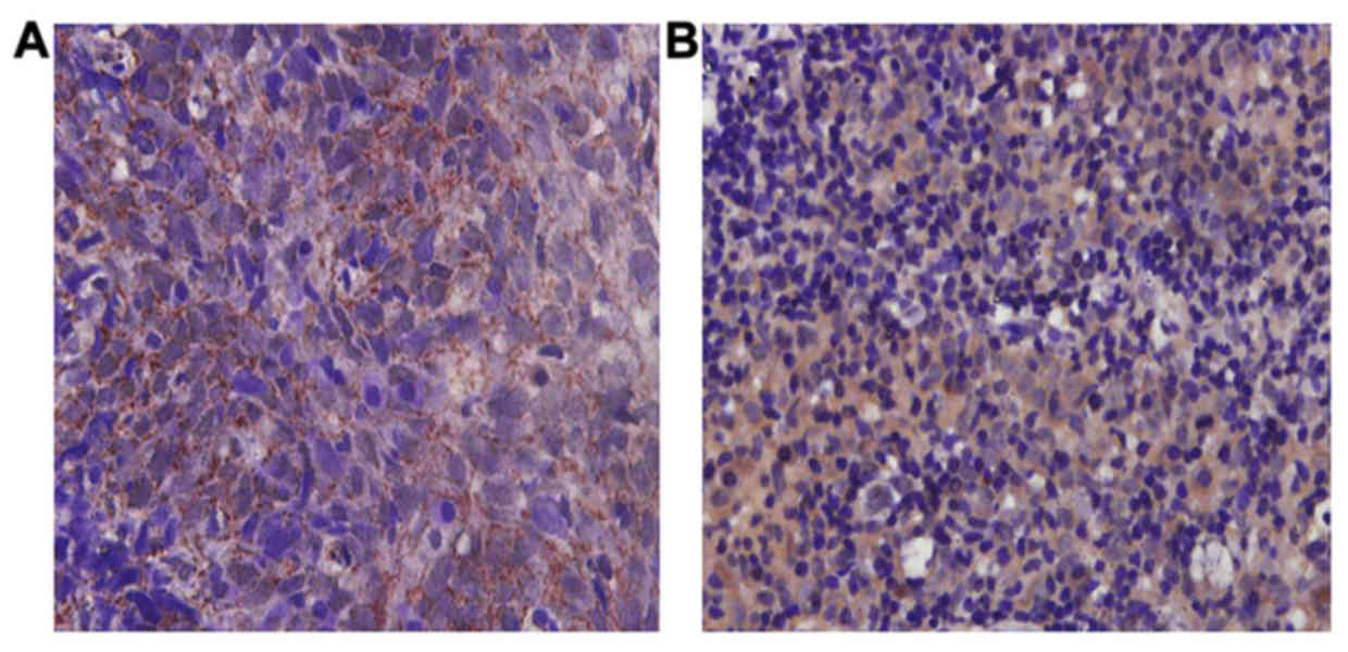
Immunohistochemical staining showed that NF-κB had a significant positive expression of granulocyte in osteosarcoma tissues, while NF-κB expression was not obvious in adjacent tissues. The positive expression of NF-κB in osteosarcoma tissues was statistically significantly higher than that in adjacent tissues (p<0.05) (Fig. 2).

Figure 2.

Immunohistochemical expression of nuclear factor-κB (NF-κB) in osteosarcoma tissues and adjacent tissues. Immunohistochemical staining of the two tissues. The NF-κB in osteosarcoma tissue had significantly positive expression of granules, while the presence of NF-κB in the adjacent tissue was not obvious. (A) Osteosarcoma tissues, (B) adjacent tissues.

Out of 73 osteosarcoma tissues, 53 were positive in NF-κB expression. The positive rate was 75.3%; while 24 adjacent tissues were positive in NF-κB expression. The positive rate was 32.9% (Table III).

Table III.

Comparison of NF-κB expression in both tissues.

Table III.

Comparison of NF-κB expression in both tissues.

NF-κB

ArmNo. of cases+−Positive rate%χ2P-value
Osteosarcoma73551875.340.57<0.01
Adjacent tissues73244932.9

[i] NF-κB, nuclear factor-κB.

Correlative analysis of PTEN and NF-κB expression in osteosarcoma

Out of 73 osteosarcoma tissues, 53 were positive in NF-κB expression. Among them, 16 cases were also positive for PTEN, at a rate of 29.1%. The statistical analysis shows a negative correlation between NF-κB and PTEN (r=−0.502, p<0.05) (Table IV and Fig. 3).

Figure 3.

Relative expression of nuclear factor-κB (NF-κB) and phosphatase and tensin homolog deleted in chromosome 10 (PTEN) mRNA. *p<0.05; #p<0.05.

Table IV.

Correlation of NF-κB and PTEN expression.

Table IV.

Correlation of NF-κB and PTEN expression.

PTEN

NF-κB+−Totalr-valueP-value
+163955−0.502<0.05
−14  418
Total304373

[i] NF-κB, nuclear factor-κB; PTEN, phosphatase and tensin homolog deleted in chromosome 10.

Detecting NF-κB and PTEN mRNA expression by RT-PCR

The relative expression of NF-κB mRNA in osteosarcoma tissues (52.9±4.17) was significantly higher than that in adjacent tissues (39.2±5.94), the difference was statistically significant (p<0.05); and the relative expression of PTEN mRNA (59.3±3.19) was significantly lower than that of adjacent tissues (91.4±5.82), and the difference was statistically significant (p<0.05) (Table V and Figs. 4 and 5).

Figure 4.

Expression of nuclear factor-κB (NF-κB) and phosphatase and tensin homolog deleted in chromosome 10 (PTEN) protein. *p<0.05; #p<0.05.

Figure 5.

Western blot detection of nuclear factor-κB (NF-κB) and phosphatase and tensin homolog deleted in chromosome 10 (PTEN). In osteosarcoma tissues, NF-κB expression is higher, PTEN expression is lower.

Table V.

The relative expression of NF-κB and PTEN mRNA.

Table V.

The relative expression of NF-κB and PTEN mRNA.

ArmNF-κBPTEN
Osteosarcoma 52.9±4.17a 59.3±3.19c
Adjacent tissues 39.2±5.94b 91.4±5.82d
P-values<0.05

[i] Comparison of a and b, p<0.05; comparison of c and d, p<0.05. PTEN, phosphatase and tensin homolog deleted in chromosome 10; NF-κB, nuclear factor-κB.

Detecting NF-κB and PTEN mRNA expression by western blot method

The western blot test indicates the expression of NF-κB protein in osteosarcoma tissues was higher (0.872±0.015), and the expression of κB in adjacent tissues was lower (0.403±0.008). The expression of PTEN protein was lower in osteosarcoma tissues (1.383±0.047), and higher in adjacent tissues (1.902±0.064). The difference in expression between the two proteins was statistically significant (p<0.05) (Table VI).

Table VI.

Expression of NF-κB and PTEN protein.

Table VI.

Expression of NF-κB and PTEN protein.

ArmNF-κBPTEN
Osteosarcoma 0.872±0.015a 1.383±0.047c
Adjacent tissues 0.403±0.008b 1.902±0.064d
P-values<0.05

[i] Comparison of a and b, p<0.05; comparison of c and d, p<0.05. PTEN, phosphatase and tensin homolog deleted in chromosome 10; NF-κB, nuclear factor-κB.

Prognosis of NF-κB and PTEN expression

The survival rate of patients with NF-κB and PTEN positive and negative expression was statistically analyzed. Survival analysis using statistical software showed, the survival rate of those with NF-κB positive expression was lower than that of negative expression (χ2=8.014, p<0.05) (Fig. 6A). However, the 5-year survival of patients with PTEN positive expression was significantly higher than that of negative expression. The result was statistically significant (χ2=7.625, p<0.05) (Fig. 6B).

Figure 6.

The survival curves of patients with positive and negative expression of nuclear factor-κB (NF-κB) and phosphatase and tensin homolog deleted in chromosome 10 (PTEN). The 5-year survival rate was higher for osteosarcoma patients with negative expression of NF-κB and positive expression of PTEN.

Discussion

Osteosarcoma is a type of malignant tumor occurring more frequently in adolescents. Osteosarcoma is developed from the interstitial cell line, with strong infiltration and transfer capacity (8–10) PTEN is a tumor suppressor gene with phosphatase activity (11) and it has been reported that PTEN expression is reduced in a variety of human malignancies, such as breast cancer (12) and prostate cancer (13). PTEN has many important functions in the body, such as the inhibition of cell growth and differentiation (14) and promotion of cell apoptosis (15), making it one of the most noticeable tumor suppressor genes after the p53 gene. NF-κB is a transcription factor with a two-way transcriptional regulation that plays an important role in many pathophysiological processes (16–18). Loftus et al (19) reported a significant increase in NF-κB p65 expression in hepatocellular carcinoma. The study by Lu et al (20) showed that the expression of NF-κB protein in osteosarcoma negative correlates with the apoptotic index of osteosarcoma, and significantly inhibited the apoptosis of osteosarcoma cells. However, reports on the correlation of NF-κB expression and PTEN in osteosarcoma are scarce.

Immunohistochemical method was used in this study. the study results indicated that in osteosarcoma tissues, the positive expression rate of PTEN was significantly lower than that in the adjacent tissues, and the positive expression rate of NF-κB was significantly higher. The difference between the two are statistically significant (r=−0.502, p<0.05). Therefore, we hypothesized that the decrease of PTEN elevated the expression of NF-κB through certain mechanism; or the increased expression of NF-κB leads to decreased expression of PTEN through certain mechanism. In the osteosarcoma tissues and the adjacent tissues, the mRNA expression of NF-κB was 52.9±4.17 and 39.2±5.94, respectively; the mRNA expression of PTEN was 59.3±3.19 and 91.4±5.82, respectively. The difference in expression of NF-κB and PTEN mRNA was statistically significant (p<0.05). The expression of NF-κB protein in osteosarcoma tissues was higher than that in adjacent tissues, and the expression of PTEN protein in osteosarcoma tissues was lower. The experimental results at both gene and protein levels have proved the NF-κB and PTEN expression was negatively correlated, suggesting these two molecules can act as potential biomarkers for the clinical detection of osteosarcoma.

The patients with osteosarcoma were follow-up for five-years. The results showed that the 5-year survival rate was higher in patients with NF-κB negative expression and those with PTEN positive expression. The difference was statistically significant. The result indicates that combining with detection of NF-κB and PTEN expression can better assess clinically the prognosis of patients with osteosarcoma, which provides a new direction for the clinical treatment of osteosarcoma.

Acknowledgements

This study was supported by the Natural Science Program of Science and Technology commission of Tianjin (no. 043609011) and the Launching fund project of Youth Doctor from Logistics College of Chinese People's Armed Police Forces (no. WYB201109).

References

1 

Gao KT and Lian D: Long non-coding RNA MALAT1 is an independent prognostic factor of osteosarcoma. Eur Rev Med Pharmacol Sci. 20:3561–3565. 2016.PubMed/NCBI

2 

Sun XZ, Liao Y and Zhou CM: NKD2 a novel marker to study the progression of osteosarcoma development. Eur Rev Med Pharmacol Sci. 20:2799–2804. 2016.PubMed/NCBI

3 

Yan M, Ni J, Song D, Ding M and Huang J: Activation of unfolded protein response protects osteosarcoma cells from cisplatin-induced apoptosis through NF-κB pathway. Int J Clin Exp Pathol. 8:10204–10215. 2015.PubMed/NCBI

4 

Xia M, Tong JH, Ji NN, Duan ML, Tan YH and Xu JG: Tramadol regulates proliferation, migration and invasion via PTEN/PI3K/AKT signaling in lung adenocarcinoma cells. Eur Rev Med Pharmacol Sci. 20:2573–2580. 2016.PubMed/NCBI

5 

Ersahin A, Acet M, Acet T and Yavuz Y: Disturbed endometrial NF-κB expression in women with recurrent implantation failure. Eur Rev Med Pharmacol Sci. 20:5037–5040. 2016.PubMed/NCBI

6 

Wang L, Yang L, Lu Y, Chen Y, Liu T, Peng Y, Zhou Y, Cao Y, Bi Z, Liu T, et al: Osthole induces cell cycle arrest and inhibits migration and invasion via PTEN/Akt pathways in osteosarcoma. Cell Physiol Biochem. 38:2173–2182. 2016. View Article : Google Scholar : PubMed/NCBI

7 

Ma T, Guo CJ, Zhao X, Wu L, Sun SX and Jin QH: The effect of curcumin on NF-κB expression in rat with lumbar intervertebral disc degeneration. Eur Rev Med Pharmacol Sci. 19:1305–1314. 2015.PubMed/NCBI

8 

Shen L, Chen XD and Zhang YH: MicroRNA-128 promotes proliferation in osteosarcoma cells by downregulating PTEN. Tumour Biol. 35:2069–2074. 2014. View Article : Google Scholar : PubMed/NCBI

9 

Pang PC, Shi XY, Huang WL and Sun K: miR-497 as a potential serum biomarker for the diagnosis and prognosis of osteosarcoma. Eur Rev Med Pharmacol Sci. 20:3765–3769. 2016.PubMed/NCBI

10 

Ju L, Zhou YM and Yang GS: Up-regulation of long non-coding RNA BCAR4 predicts a poor prognosis in patients with osteosarcoma, and promotes cell invasion and metastasis. Eur Rev Med Pharmacol Sci. 20:4445–4451. 2016.PubMed/NCBI

11 

Sun H, Zheng X, Wang Q, Yan J, Li D, Zhou Y, Lin Y, Zhang L and Wang X: Concurrent blockade of NF-κB and Akt pathways potentiates cisplatin's antitumor activity in vivo. Anticancer Drugs. 23:1039–1046. 2012. View Article : Google Scholar : PubMed/NCBI

12 

Mongre RK, Sodhi SS, Ghosh M, Kim JH, Kim N, Sharma N and Jeong DK: A new paradigm to mitigate osteosarcoma by regulation of microRNAs and suppression of the NF-κB signaling cascade. Dev Reprod. 18:197–212. 2014. View Article : Google Scholar : PubMed/NCBI

13 

Liu CJ, Yu KL, Liu GL and Tian DH: MiR 214 promotes osteosarcoma tumor growth and metastasis by decreasing the expression of PTEN. Mol Med Rep. 12:6261–6266. 2015. View Article : Google Scholar : PubMed/NCBI

14 

Kawano M, Tanaka K, Itonaga I, Ikeda S, Iwasaki T and Tsumura H: microRNA-93 promotes cell proliferation via targeting of PTEN in osteosarcoma cells. J Exp Clin Cancer Res. 34:762015. View Article : Google Scholar : PubMed/NCBI

15 

Shang ZM, Tang JD, Jiang QQ, Guo A, Zhang N, Gao ZX and Ji WS: Role of Δ133p53 in tumor necrosis factor-induced survival of p53 functions in MKN45 gastric cancer cell line. Eur Rev Med Pharmacol Sci. 19:2416–2422. 2015.PubMed/NCBI

16 

Tian Z, Guo B, Yu M, Wang C, Zhang H, Liang Q, Jiang K and Cao L: Upregulation of micro-ribonucleic acid-128 cooperating with downregulation of PTEN confers metastatic potential and unfavorable prognosis in patients with primary osteosarcoma. Onco Targets Ther. 7:1601–1608. 2014.PubMed/NCBI

17 

Hu Y, Xu S, Jin W, Yi Q and Wei W: Effect of the PTEN gene on adhesion, invasion and metastasis of osteosarcoma cells. Oncol Rep. 32:1741–1747. 2014. View Article : Google Scholar : PubMed/NCBI

18 

Song D, Ni J, Xie H, Ding M and Wang J: DNA demethylation in the PTEN gene promoter induced by 5-azacytidine activates PTEN expression in the MG-63 human osteosarcoma cell line. Exp Ther Med. 7:1071–1076. 2014. View Article : Google Scholar : PubMed/NCBI

19 

Loftus JP, Cavatorta D, Bushey JJ, Levine CB, Sevier CS and Wakshlag JJ: The 5-lipoxygenase inhibitor tepoxalin induces oxidative damage and altered PTEN status prior to apoptosis in canine osteosarcoma cell lines. Vet Comp Oncol. 14:e17–e30. 2016. View Article : Google Scholar : PubMed/NCBI

20 

Lu Y, Li F, Xu T and Sun J: Tetrandrine prevents multidrug resistance in the osteosarcoma cell line, U-2OS, by preventing Pgp overexpression through the inhibition of NF-κB signaling. Int J Mol Med. 39:993–1000. 2017. View Article : Google Scholar : PubMed/NCBI

Related Articles

  • Abstract
  • View
  • Download
  • Twitter
Copy and paste a formatted citation
Spandidos Publications style
Gong T, Su X, Xia Q, Wang J and Kan S: Expression of NF-κB and PTEN in osteosarcoma and its clinical significance. Oncol Lett 14: 6744-6748, 2017.
APA
Gong, T., Su, X., Xia, Q., Wang, J., & Kan, S. (2017). Expression of NF-κB and PTEN in osteosarcoma and its clinical significance. Oncology Letters, 14, 6744-6748. https://doi.org/10.3892/ol.2017.6972
MLA
Gong, T., Su, X., Xia, Q., Wang, J., Kan, S."Expression of NF-κB and PTEN in osteosarcoma and its clinical significance". Oncology Letters 14.6 (2017): 6744-6748.
Chicago
Gong, T., Su, X., Xia, Q., Wang, J., Kan, S."Expression of NF-κB and PTEN in osteosarcoma and its clinical significance". Oncology Letters 14, no. 6 (2017): 6744-6748. https://doi.org/10.3892/ol.2017.6972
Copy and paste a formatted citation
x
Spandidos Publications style
Gong T, Su X, Xia Q, Wang J and Kan S: Expression of NF-κB and PTEN in osteosarcoma and its clinical significance. Oncol Lett 14: 6744-6748, 2017.
APA
Gong, T., Su, X., Xia, Q., Wang, J., & Kan, S. (2017). Expression of NF-κB and PTEN in osteosarcoma and its clinical significance. Oncology Letters, 14, 6744-6748. https://doi.org/10.3892/ol.2017.6972
MLA
Gong, T., Su, X., Xia, Q., Wang, J., Kan, S."Expression of NF-κB and PTEN in osteosarcoma and its clinical significance". Oncology Letters 14.6 (2017): 6744-6748.
Chicago
Gong, T., Su, X., Xia, Q., Wang, J., Kan, S."Expression of NF-κB and PTEN in osteosarcoma and its clinical significance". Oncology Letters 14, no. 6 (2017): 6744-6748. https://doi.org/10.3892/ol.2017.6972
Follow us
  • Twitter
  • LinkedIn
  • Facebook
About
  • Spandidos Publications
  • Careers
  • Cookie Policy
  • Privacy Policy
How can we help?
  • Help
  • Live Chat
  • Contact
  • Email to our Support Team