Spandidos Publications Logo
  • About
    • About Spandidos
    • Aims and Scopes
    • Abstracting and Indexing
    • Editorial Policies
    • Reprints and Permissions
    • Job Opportunities
    • Terms and Conditions
    • Contact
  • Journals
    • All Journals
    • Oncology Letters
      • Oncology Letters
      • Information for Authors
      • Editorial Policies
      • Editorial Board
      • Aims and Scope
      • Abstracting and Indexing
      • Bibliographic Information
      • Archive
    • International Journal of Oncology
      • International Journal of Oncology
      • Information for Authors
      • Editorial Policies
      • Editorial Board
      • Aims and Scope
      • Abstracting and Indexing
      • Bibliographic Information
      • Archive
    • Molecular and Clinical Oncology
      • Molecular and Clinical Oncology
      • Information for Authors
      • Editorial Policies
      • Editorial Board
      • Aims and Scope
      • Abstracting and Indexing
      • Bibliographic Information
      • Archive
    • Experimental and Therapeutic Medicine
      • Experimental and Therapeutic Medicine
      • Information for Authors
      • Editorial Policies
      • Editorial Board
      • Aims and Scope
      • Abstracting and Indexing
      • Bibliographic Information
      • Archive
    • International Journal of Molecular Medicine
      • International Journal of Molecular Medicine
      • Information for Authors
      • Editorial Policies
      • Editorial Board
      • Aims and Scope
      • Abstracting and Indexing
      • Bibliographic Information
      • Archive
    • Biomedical Reports
      • Biomedical Reports
      • Information for Authors
      • Editorial Policies
      • Editorial Board
      • Aims and Scope
      • Abstracting and Indexing
      • Bibliographic Information
      • Archive
    • Oncology Reports
      • Oncology Reports
      • Information for Authors
      • Editorial Policies
      • Editorial Board
      • Aims and Scope
      • Abstracting and Indexing
      • Bibliographic Information
      • Archive
    • Molecular Medicine Reports
      • Molecular Medicine Reports
      • Information for Authors
      • Editorial Policies
      • Editorial Board
      • Aims and Scope
      • Abstracting and Indexing
      • Bibliographic Information
      • Archive
    • World Academy of Sciences Journal
      • World Academy of Sciences Journal
      • Information for Authors
      • Editorial Policies
      • Editorial Board
      • Aims and Scope
      • Abstracting and Indexing
      • Bibliographic Information
      • Archive
    • International Journal of Functional Nutrition
      • International Journal of Functional Nutrition
      • Information for Authors
      • Editorial Policies
      • Editorial Board
      • Aims and Scope
      • Abstracting and Indexing
      • Bibliographic Information
      • Archive
    • International Journal of Epigenetics
      • International Journal of Epigenetics
      • Information for Authors
      • Editorial Policies
      • Editorial Board
      • Aims and Scope
      • Abstracting and Indexing
      • Bibliographic Information
      • Archive
    • Medicine International
      • Medicine International
      • Information for Authors
      • Editorial Policies
      • Editorial Board
      • Aims and Scope
      • Abstracting and Indexing
      • Bibliographic Information
      • Archive
  • Articles
  • Information
    • Information for Authors
    • Information for Reviewers
    • Information for Librarians
    • Information for Advertisers
    • Conferences
  • Language Editing
Spandidos Publications Logo
  • About
    • About Spandidos
    • Aims and Scopes
    • Abstracting and Indexing
    • Editorial Policies
    • Reprints and Permissions
    • Job Opportunities
    • Terms and Conditions
    • Contact
  • Journals
    • All Journals
    • Biomedical Reports
      • Information for Authors
      • Editorial Policies
      • Editorial Board
      • Aims and Scope
      • Abstracting and Indexing
      • Bibliographic Information
      • Archive
    • Experimental and Therapeutic Medicine
      • Information for Authors
      • Editorial Policies
      • Editorial Board
      • Aims and Scope
      • Abstracting and Indexing
      • Bibliographic Information
      • Archive
    • International Journal of Epigenetics
      • Information for Authors
      • Editorial Policies
      • Editorial Board
      • Aims and Scope
      • Abstracting and Indexing
      • Bibliographic Information
      • Archive
    • International Journal of Functional Nutrition
      • Information for Authors
      • Editorial Policies
      • Editorial Board
      • Aims and Scope
      • Abstracting and Indexing
      • Bibliographic Information
      • Archive
    • International Journal of Molecular Medicine
      • Information for Authors
      • Editorial Policies
      • Editorial Board
      • Aims and Scope
      • Abstracting and Indexing
      • Bibliographic Information
      • Archive
    • International Journal of Oncology
      • Information for Authors
      • Editorial Policies
      • Editorial Board
      • Aims and Scope
      • Abstracting and Indexing
      • Bibliographic Information
      • Archive
    • Medicine International
      • Information for Authors
      • Editorial Policies
      • Editorial Board
      • Aims and Scope
      • Abstracting and Indexing
      • Bibliographic Information
      • Archive
    • Molecular and Clinical Oncology
      • Information for Authors
      • Editorial Policies
      • Editorial Board
      • Aims and Scope
      • Abstracting and Indexing
      • Bibliographic Information
      • Archive
    • Molecular Medicine Reports
      • Information for Authors
      • Editorial Policies
      • Editorial Board
      • Aims and Scope
      • Abstracting and Indexing
      • Bibliographic Information
      • Archive
    • Oncology Letters
      • Information for Authors
      • Editorial Policies
      • Editorial Board
      • Aims and Scope
      • Abstracting and Indexing
      • Bibliographic Information
      • Archive
    • Oncology Reports
      • Information for Authors
      • Editorial Policies
      • Editorial Board
      • Aims and Scope
      • Abstracting and Indexing
      • Bibliographic Information
      • Archive
    • World Academy of Sciences Journal
      • Information for Authors
      • Editorial Policies
      • Editorial Board
      • Aims and Scope
      • Abstracting and Indexing
      • Bibliographic Information
      • Archive
  • Articles
  • Information
    • For Authors
    • For Reviewers
    • For Librarians
    • For Advertisers
    • Conferences
  • Language Editing
Login Register Submit
  • This site uses cookies
  • You can change your cookie settings at any time by following the instructions in our Cookie Policy. To find out more, you may read our Privacy Policy.

    I agree
Search articles by DOI, keyword, author or affiliation
Search
Advanced Search
presentation
Oncology Letters
Join Editorial Board Propose a Special Issue
Print ISSN: 1792-1074 Online ISSN: 1792-1082
Journal Cover
December-2017 Volume 14 Issue 6

Full Size Image

Sign up for eToc alerts
Recommend to Library

Journals

International Journal of Molecular Medicine

International Journal of Molecular Medicine

International Journal of Molecular Medicine is an international journal devoted to molecular mechanisms of human disease.

International Journal of Oncology

International Journal of Oncology

International Journal of Oncology is an international journal devoted to oncology research and cancer treatment.

Molecular Medicine Reports

Molecular Medicine Reports

Covers molecular medicine topics such as pharmacology, pathology, genetics, neuroscience, infectious diseases, molecular cardiology, and molecular surgery.

Oncology Reports

Oncology Reports

Oncology Reports is an international journal devoted to fundamental and applied research in Oncology.

Experimental and Therapeutic Medicine

Experimental and Therapeutic Medicine

Experimental and Therapeutic Medicine is an international journal devoted to laboratory and clinical medicine.

Oncology Letters

Oncology Letters

Oncology Letters is an international journal devoted to Experimental and Clinical Oncology.

Biomedical Reports

Biomedical Reports

Explores a wide range of biological and medical fields, including pharmacology, genetics, microbiology, neuroscience, and molecular cardiology.

Molecular and Clinical Oncology

Molecular and Clinical Oncology

International journal addressing all aspects of oncology research, from tumorigenesis and oncogenes to chemotherapy and metastasis.

World Academy of Sciences Journal

World Academy of Sciences Journal

Multidisciplinary open-access journal spanning biochemistry, genetics, neuroscience, environmental health, and synthetic biology.

International Journal of Functional Nutrition

International Journal of Functional Nutrition

Open-access journal combining biochemistry, pharmacology, immunology, and genetics to advance health through functional nutrition.

International Journal of Epigenetics

International Journal of Epigenetics

Publishes open-access research on using epigenetics to advance understanding and treatment of human disease.

Medicine International

Medicine International

An International Open Access Journal Devoted to General Medicine.

Journal Cover
December-2017 Volume 14 Issue 6

Full Size Image

Sign up for eToc alerts
Recommend to Library

  • Article
  • Citations
    • Cite This Article
    • Download Citation
    • Create Citation Alert
    • Remove Citation Alert
    • Cited By
  • Similar Articles
    • Related Articles (in Spandidos Publications)
    • Similar Articles (Google Scholar)
    • Similar Articles (PubMed)
  • Download PDF
  • Download XML
  • View XML
Case Report Open Access

Familial genetic tuberous sclerosis complex associated with bilateral giant renal angiomyolipoma: A case report

  • Authors:
    • Lina Wang
    • Dawei Ni
    • Lin Zhong
    • Jianbo Wang
  • View Affiliations / Copyright

    Affiliations: Department of Urology, The First Affiliated Hospital of Dalian Medical University, Dalian, Liaoning 116011, P.R. China, Department of Pathology, The First Affiliated Hospital of Dalian Medical University, Dalian, Liaoning 116011, P.R. China
    Copyright: © Wang et al. This is an open access article distributed under the terms of Creative Commons Attribution License.
  • Pages: 7099-7106
    |
    Published online on: October 10, 2017
       https://doi.org/10.3892/ol.2017.7165
  • Expand metrics +
Metrics: Total Views: 0 (Spandidos Publications: | PMC Statistics: )
Metrics: Total PDF Downloads: 0 (Spandidos Publications: | PMC Statistics: )
Cited By (CrossRef): 0 citations Loading Articles...

This article is mentioned in:



Abstract

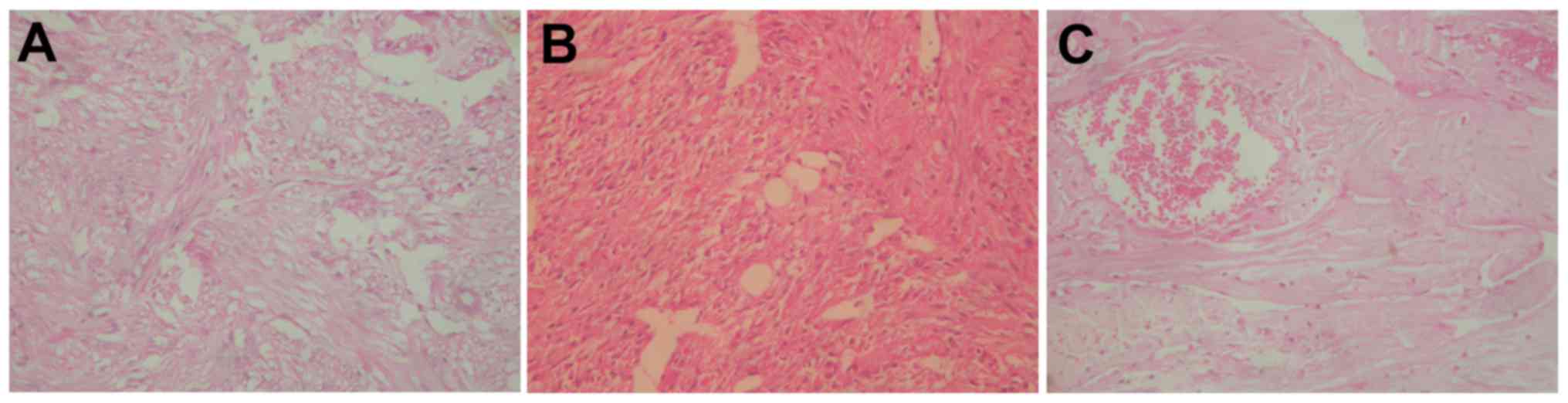
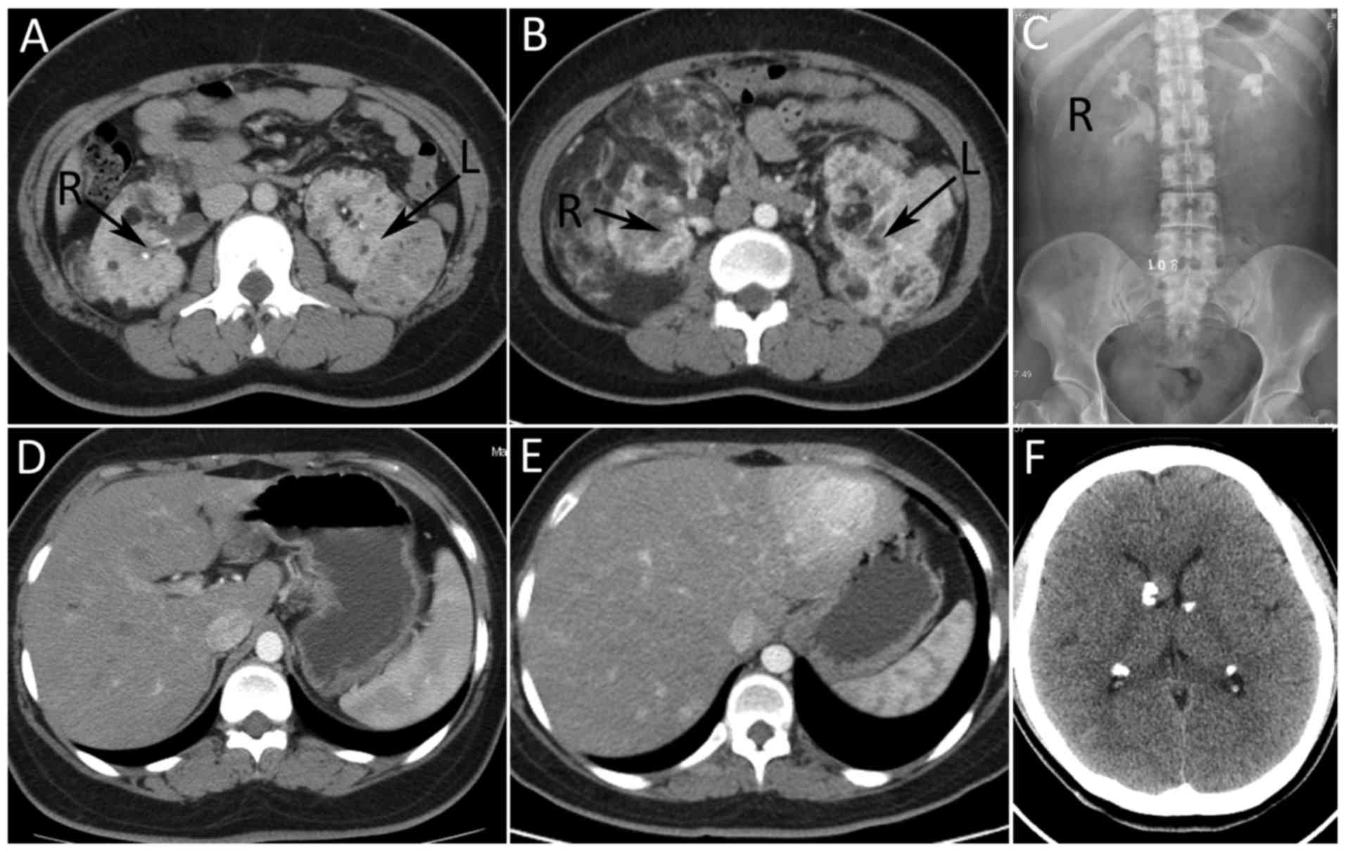
Tuberous sclerosis complex (TSC) is an autosomal dominant disease involving multiple organs, but there are a limited number of reports on family TSC. In the present report, a case of a 52‑year‑old female with a familial genetic TSC, associated with bilateral giant renal angiomyolipoma, was described. The mother, second elder brother and daughter of the patient all exhibited TSC, but the clinical manifestations, and therapeutic prognosis between the family members were not the same. The present case report aimed at identifying an effective diagnostic method and treatment through additional study of familial genetic TSC, in order to prolong and improve the quality of life for patients with TSC. According to the present case and relevant literature reviews, it is suggested that fetal gene detection during pregnancy could prevent the passing of this disease onto further generations. Furthermore, early application of drug treatment may control the development of the disease in diagnosed patients. The combination of classical treatments with a small dose of mammalian target of rapamycin inhibitors is the typical recommendation, which may control the development of the disease more effectively and decrease adverse side‑effects.
View Figures

Figure 1

Figure 2

Figure 3

Figure 4

Figure 5

View References

1 

Zhang Y, Gan J, Pu Z, Xu Mm, Wang Lf, Li Yh and Liu Zg: TSC1 R509X Mutation in a chinese family with tuberous sclerosis complex. Neuromolecular Med. 17:202–208. 2015. View Article : Google Scholar : PubMed/NCBI

2 

Cabrera-López C, Bullich G, Marti T, Català V, Ballarín J, Bissler JJ, Harris PC, Ars E and Torra R: Insight into response to mTOR inhibition when PKD1 and TSC2 are mutated. BMC Med Genet. 16:392015. View Article : Google Scholar : PubMed/NCBI

3 

Hallett L, Foster T, Liu Z, Blieden M and Valentim J: Burden of disease and unmet needs in tuberous sclerosis complex with neurological manifestations: Systematic review. Curr Med Res Opin. 27:1571–1583. 2011. View Article : Google Scholar : PubMed/NCBI

4 

Hyman MH and Whittemore VH: National Institutes of Health consensus conference: Tuberous sclerosis complex. Arch Neurol. 57:662–665. 2000. View Article : Google Scholar : PubMed/NCBI

5 

Rabito MJ and Kaye AD: Tuberous sclerosis complex: Perioperative considerations. Ochsner J. 14:229–239. 2014.PubMed/NCBI

6 

Wang GX, Wang DW, Yi CY, Qu JS and Wang YL: Mutational analyses of the TSC1 and TSC2 genes in cases of tuberous sclerosis complex in Chinese Han children. Genet Mol Res. 12:1168–1175. 2013. View Article : Google Scholar : PubMed/NCBI

7 

Northrup H and Krueger DA: International Tuberous Sclerosis Complex Consensus Group: Tuberous sclerosis complex diagnostic criteria update: Recommendations of the 2012 iinternational tuberous sclerosis complex consensus conference. Pediatr Neurol. 49:243–254. 2013. View Article : Google Scholar : PubMed/NCBI

8 

Sancak O, Nellist M, Goedbloed M, Elfferich P, Wouters C, Maat-Kievit A, Zonnenberg B, Verhoef S, Halley D and van den Ouweland A: Mutational analysis of the TSC1 and TSC2 genes in a diagnostic setting: Genotype-phenotype correlations and comparison of diagnostic DNA techniques in tuberous sclerosis complex. Eur J Hum Genet. 13:731–741. 2005. View Article : Google Scholar : PubMed/NCBI

9 

van Slegtenhorst M, de Hoogt R, Hermans C, Nellist M, Janssen B, Verhoef S, Lindhout D, van den Ouweland A, Halley D, Young J, et al: Identification of the tuberous sclerosis gene TSC1 on chromosome 9q34. Science. 277:805–808. 1997. View Article : Google Scholar : PubMed/NCBI

10 

Habib SL: Tuberous sclerosis complex and DNA repair. Adv Exp Med Biol. 685:84–94. 2010. View Article : Google Scholar : PubMed/NCBI

11 

Inoki K, Corradetti MN and Guan K L: Dysregulation of the TSC-mTOR pathway in human disease. Nat Genet. 37:19–24. 2005. View Article : Google Scholar : PubMed/NCBI

12 

Henske EP, Rasooly R, Siroky B and Bissler J: Tuberous sclerosis complex, mTOR, and the kidney: Report of an NIDDK-sponsored workshop. Am J Physiol Renal Physiol. 306:F279–F283. 2014. View Article : Google Scholar : PubMed/NCBI

13 

Yi L, Guo F and Zhang YB: Diagnosis and analysis of cases of tuberous sclerosis. J Clin Exp Med. 10:819–822. 2015.(In Chinese).

14 

Krummel T, Garnon J, Lang H, Gangi A and Hannedouche T: Percutaneous cryoablation for tuberous sclerosis-associated renal angiomyolipoma with neoadjuvant mTOR inhibition. BMC Urol. 14:772014. View Article : Google Scholar : PubMed/NCBI

15 

Curatolo P and Moavero R: mTOR inhibitors in tuberous sclerosis complex. Curr Neuropharmacol. 10:404–415. 2012. View Article : Google Scholar : PubMed/NCBI

16 

Staehler M, Sauter M, Helck A, Linsenmaier U, Weber L, Mayer K and Fischereder M: Nephron-sparing resection of angiomyolipoma after sirolimus pretreatment in patients with tuberous sclerosis. Int Urol Nephrol. 44:1657–1661. 2012. View Article : Google Scholar : PubMed/NCBI

17 

Sasongko TH, Ismail NF and Zabidi-Hussin Z: Rapamycin and rapalogs for tuberous sclerosis complex. Cochrane Database Syst Rev. 7:CD0112722016.PubMed/NCBI

18 

Peces R, Cuestalópez E, Peces C and Selgas R: Giant bilateral renal angiomyolipomas and lymphangioleiomyomatosis presenting after two successive pregnancies successfully treated with surgery and rapamycin. ScientificWorldJournal. 11:2115–2123. 2011. View Article : Google Scholar : PubMed/NCBI

19 

Hallett L, Foster T, Liu Z, Blieden M and Valentim J: Burden of disease and unmet needs in tuberous sclerosis complex with neurological manifestations: Systematic review. Curr Med Res Opin. 27:1571–1583. 2011. View Article : Google Scholar : PubMed/NCBI

20 

Crino PB, Nathanson KL and Henske EP: The tuberous sclerosis complex. N Engl J Med. 355:1345–1356. 2006. View Article : Google Scholar : PubMed/NCBI

21 

O'Callaghan FJ, Noakes MJ, Martyn CN and Osborne JP: An epidemiological study of renal pathology in tuberous sclerosis complex. BJU Int. 94:853–857. 2004. View Article : Google Scholar : PubMed/NCBI

22 

Mascarenhas R and McLaughlin P: Haemorrhage from angiomyolipoma of kidney during pregnancy-a diagnostic dilemma. Ir Med J. 94:83–84. 2001.PubMed/NCBI

23 

Raft J, Lalot JM, Meistelman C and Longrois D: Influence of pregnancy on renal angiomyolipoma. Gynecol Obstet Fertil. 33:898–906. 2005.(In French). View Article : Google Scholar : PubMed/NCBI

24 

Boorjian SA, Sheinin Y, Crispen PL, Lohse CM, Kwon ED and Leibovich BC: Hormone receptor expression in renal angiomyolipoma: Clinicopathologic correlation. Urology. 72:927–932. 2008. View Article : Google Scholar : PubMed/NCBI

25 

Bissler JJ, Kingswood JC, Radzikowska E, Zonnenberg BA, Frost M, Belousova E, Sauter M, Nonomura N, Brakemeier S, de Vries PJ, et al: Everolimus for angiomyolipoma associated with tuberous sclerosis complex or sporadic lymphangioleiomyomatosis (EXIST-2): A multicentre, randomised, double-blind, placebo-controlled trial. Lancet. 381:817–824. 2013. View Article : Google Scholar : PubMed/NCBI

26 

Franz DN: Everolimus in the treatment of subependymal giant cell astrocytomas, angiomyolipomas, and pulmonary and skin lesions associated with tuberous sclerosis complex. Biologics. 7:211–221. 2013.PubMed/NCBI

27 

Roa J, Garcia-Galiano D, Castellano JM, Gaytan F, Pinilla L and Tena-Sempere M: Metabolic control of puberty onset: New players, new mechanisms. Mol Cell Endocrinol. 324:87–94. 2010. View Article : Google Scholar : PubMed/NCBI

28 

Sauter M, Sigl J, Schotten KJ, Kreuzer L, Günthner-Biller M and Fischereder M: Use of oestrogen-containing medication is not associated with renal angiomyolipoma in tuberous sclerosis: Findings from a survey. Int Urol Nephrol. 47:707–708. 2015. View Article : Google Scholar : PubMed/NCBI

29 

Huang KH, Huang CY, Chung SD, Pu YS, Shun CT and Chen J: Malignant epithelioid angiomyolipoma of the kidney. J Formos Med Assoc. 106 2 Suppl:S51–S54. 2007. View Article : Google Scholar : PubMed/NCBI

30 

Kavaney PB and Fielding I: Angiomyolipoma and renal cell carcinoma in same kidney. Urology. 6:643–646. 1975. View Article : Google Scholar : PubMed/NCBI

31 

Corsenca A, Aebersold F, Moch H, Bird P, Weber M, Hofbauer G, Wüthrich RP and Serra AL: Combined nephrectomy and pre-emptive renal transplantation in a tuberous sclerosis patient with angiomyolipoma, renal carcinoma and life-threatening abdominal haemorrhages. Nephrol Dial Transplant. 22:3330–3333. 2007. View Article : Google Scholar : PubMed/NCBI

32 

Eisenhauer EA, Therasse P, Bogaerts J, Schwartz LH, Sargent D, Ford R, Dancey J, Arbuck S, Gwyther S, Mooney M, et al: New response evaluation criteria in solid tumours: Revised RECIST guideline (version 1.1). Eur J Cancer. 45:228–247. 2009. View Article : Google Scholar : PubMed/NCBI

33 

Eble JN: Angiomyolipoma of kidney. Semin Diagn Pathol. 15:21–40. 1998.PubMed/NCBI

34 

Cichocki M, Sosnowski M and Jablonowski Z: A giant renal angiomyolipoma (AML) in a patient with septo-optic dysplasia (SOD). Eur J Med Res. 19:462014. View Article : Google Scholar : PubMed/NCBI

35 

Hussain M, Mubarak M, Sultan G, Sultan G, Ahmed E, Yunus M, Salehi MA, Asif M, Naqvi Anwer SA and Rizvi SA: Renal transplant in a tuberous sclerosis patient with bilateral giant renal angiomyolipomas and concurrent renal carcinoma. Saudi J Kidney Dis Transpl. 24:318–321. 2013. View Article : Google Scholar : PubMed/NCBI

36 

Taneja R and Singh DV: Giant renal angiomyolipoma: Unusual cause of huge abdominal mass. J Clin Imaging Sci. 3:562013. View Article : Google Scholar : PubMed/NCBI

37 

Miyoshi Y, Iwao K, Nawa G, Yoshikawa H, Ochi T and Nakamura Y: Frequent mutations in the beta-catenin gene in desmoid tumors from patients without familial adenomatous polyposis. Oncol Res. 10:591–594. 1998.PubMed/NCBI

38 

Yamakado K, Tanaka N, Nakagawa T, Kobayashi S, Yanagawa M and Takeda K: Renal angiomyolipoma: Relationships between tumor size, aneurysm formation, and rupture. Radiology. 225:78–82. 2002. View Article : Google Scholar : PubMed/NCBI

39 

Mitra A, Jain Kumar S, Gupta D and Chandra Murthy Kaza R: Giant angiomyolipoma of the kidney presenting as anaemia-a rare presentation. Open J Urol. 2:75–77. 2012. View Article : Google Scholar

40 

Curatolo P, Bombardieri R and Jozwiak S: Tuberous sclerosis. Lancet. 372:657–668. 2008. View Article : Google Scholar : PubMed/NCBI

41 

Yang G, Yang L, Yang X, Shi X, Wang J, Liu Y, Ju J and Zou L: Efficacy and safety of a mammalian target of rapamycin inhibitor in pediatric patients with tuberous sclerosis complex: A systematic review and meta-analysis. Exp Ther Med. 9:626–630. 2015.PubMed/NCBI

42 

Bissler JJ, McCormack FX, Young LR, Elwing JM, Chuck G, Leonard JM, Schmithorst VJ, Laor T, Brody AS, Bean J, et al: Sirolimus for angiomyolipoma in tuberous sclerosis complex or lymphangioleiomyomatosis. N Engl J Med. 358:140–151. 2008. View Article : Google Scholar : PubMed/NCBI

43 

Cabrera-López C, Martí T, Catalá V, Torres F, Mateu S, Ballarín J and Torra R: Assessing the effectiveness of rapamycin on angiomyolipoma in tuberous sclerosis: A two years trial. Orphanet J Rare Dis. 7:872012. View Article : Google Scholar : PubMed/NCBI

44 

Peng ZF, Yang L, Wang TT, Han P, Liu ZH and Wei Q: Efficacy and safety of sirolimus for renal angiomyolipoma in patients with tuberous sclerosis complex or sporadic lymphangioleiomyomatosis: A systematic review. J Urol. 192:1424–1430. 2014. View Article : Google Scholar : PubMed/NCBI

45 

Paul E and Thiele E: Efficacy of sirolimus in treating tuberous sclerosis and lymphangioleiomyomatosis. N Engl J Med. 358:190–192. 2008. View Article : Google Scholar : PubMed/NCBI

Related Articles

  • Abstract
  • View
  • Download
  • Twitter
Copy and paste a formatted citation
Spandidos Publications style
Wang L, Ni D, Zhong L and Wang J: Familial genetic tuberous sclerosis complex associated with bilateral giant renal angiomyolipoma: A case report. Oncol Lett 14: 7099-7106, 2017.
APA
Wang, L., Ni, D., Zhong, L., & Wang, J. (2017). Familial genetic tuberous sclerosis complex associated with bilateral giant renal angiomyolipoma: A case report. Oncology Letters, 14, 7099-7106. https://doi.org/10.3892/ol.2017.7165
MLA
Wang, L., Ni, D., Zhong, L., Wang, J."Familial genetic tuberous sclerosis complex associated with bilateral giant renal angiomyolipoma: A case report". Oncology Letters 14.6 (2017): 7099-7106.
Chicago
Wang, L., Ni, D., Zhong, L., Wang, J."Familial genetic tuberous sclerosis complex associated with bilateral giant renal angiomyolipoma: A case report". Oncology Letters 14, no. 6 (2017): 7099-7106. https://doi.org/10.3892/ol.2017.7165
Copy and paste a formatted citation
x
Spandidos Publications style
Wang L, Ni D, Zhong L and Wang J: Familial genetic tuberous sclerosis complex associated with bilateral giant renal angiomyolipoma: A case report. Oncol Lett 14: 7099-7106, 2017.
APA
Wang, L., Ni, D., Zhong, L., & Wang, J. (2017). Familial genetic tuberous sclerosis complex associated with bilateral giant renal angiomyolipoma: A case report. Oncology Letters, 14, 7099-7106. https://doi.org/10.3892/ol.2017.7165
MLA
Wang, L., Ni, D., Zhong, L., Wang, J."Familial genetic tuberous sclerosis complex associated with bilateral giant renal angiomyolipoma: A case report". Oncology Letters 14.6 (2017): 7099-7106.
Chicago
Wang, L., Ni, D., Zhong, L., Wang, J."Familial genetic tuberous sclerosis complex associated with bilateral giant renal angiomyolipoma: A case report". Oncology Letters 14, no. 6 (2017): 7099-7106. https://doi.org/10.3892/ol.2017.7165
Follow us
  • Twitter
  • LinkedIn
  • Facebook
About
  • Spandidos Publications
  • Careers
  • Cookie Policy
  • Privacy Policy
How can we help?
  • Help
  • Live Chat
  • Contact
  • Email to our Support Team