Spandidos Publications Logo
  • About
    • About Spandidos
    • Aims and Scopes
    • Abstracting and Indexing
    • Editorial Policies
    • Reprints and Permissions
    • Job Opportunities
    • Terms and Conditions
    • Contact
  • Journals
    • All Journals
    • Oncology Letters
      • Oncology Letters
      • Information for Authors
      • Editorial Policies
      • Editorial Board
      • Aims and Scope
      • Abstracting and Indexing
      • Bibliographic Information
      • Archive
    • International Journal of Oncology
      • International Journal of Oncology
      • Information for Authors
      • Editorial Policies
      • Editorial Board
      • Aims and Scope
      • Abstracting and Indexing
      • Bibliographic Information
      • Archive
    • Molecular and Clinical Oncology
      • Molecular and Clinical Oncology
      • Information for Authors
      • Editorial Policies
      • Editorial Board
      • Aims and Scope
      • Abstracting and Indexing
      • Bibliographic Information
      • Archive
    • Experimental and Therapeutic Medicine
      • Experimental and Therapeutic Medicine
      • Information for Authors
      • Editorial Policies
      • Editorial Board
      • Aims and Scope
      • Abstracting and Indexing
      • Bibliographic Information
      • Archive
    • International Journal of Molecular Medicine
      • International Journal of Molecular Medicine
      • Information for Authors
      • Editorial Policies
      • Editorial Board
      • Aims and Scope
      • Abstracting and Indexing
      • Bibliographic Information
      • Archive
    • Biomedical Reports
      • Biomedical Reports
      • Information for Authors
      • Editorial Policies
      • Editorial Board
      • Aims and Scope
      • Abstracting and Indexing
      • Bibliographic Information
      • Archive
    • Oncology Reports
      • Oncology Reports
      • Information for Authors
      • Editorial Policies
      • Editorial Board
      • Aims and Scope
      • Abstracting and Indexing
      • Bibliographic Information
      • Archive
    • Molecular Medicine Reports
      • Molecular Medicine Reports
      • Information for Authors
      • Editorial Policies
      • Editorial Board
      • Aims and Scope
      • Abstracting and Indexing
      • Bibliographic Information
      • Archive
    • World Academy of Sciences Journal
      • World Academy of Sciences Journal
      • Information for Authors
      • Editorial Policies
      • Editorial Board
      • Aims and Scope
      • Abstracting and Indexing
      • Bibliographic Information
      • Archive
    • International Journal of Functional Nutrition
      • International Journal of Functional Nutrition
      • Information for Authors
      • Editorial Policies
      • Editorial Board
      • Aims and Scope
      • Abstracting and Indexing
      • Bibliographic Information
      • Archive
    • International Journal of Epigenetics
      • International Journal of Epigenetics
      • Information for Authors
      • Editorial Policies
      • Editorial Board
      • Aims and Scope
      • Abstracting and Indexing
      • Bibliographic Information
      • Archive
    • Medicine International
      • Medicine International
      • Information for Authors
      • Editorial Policies
      • Editorial Board
      • Aims and Scope
      • Abstracting and Indexing
      • Bibliographic Information
      • Archive
  • Articles
  • Information
    • Information for Authors
    • Information for Reviewers
    • Information for Librarians
    • Information for Advertisers
    • Conferences
  • Language Editing
Spandidos Publications Logo
  • About
    • About Spandidos
    • Aims and Scopes
    • Abstracting and Indexing
    • Editorial Policies
    • Reprints and Permissions
    • Job Opportunities
    • Terms and Conditions
    • Contact
  • Journals
    • All Journals
    • Biomedical Reports
      • Information for Authors
      • Editorial Policies
      • Editorial Board
      • Aims and Scope
      • Abstracting and Indexing
      • Bibliographic Information
      • Archive
    • Experimental and Therapeutic Medicine
      • Information for Authors
      • Editorial Policies
      • Editorial Board
      • Aims and Scope
      • Abstracting and Indexing
      • Bibliographic Information
      • Archive
    • International Journal of Epigenetics
      • Information for Authors
      • Editorial Policies
      • Editorial Board
      • Aims and Scope
      • Abstracting and Indexing
      • Bibliographic Information
      • Archive
    • International Journal of Functional Nutrition
      • Information for Authors
      • Editorial Policies
      • Editorial Board
      • Aims and Scope
      • Abstracting and Indexing
      • Bibliographic Information
      • Archive
    • International Journal of Molecular Medicine
      • Information for Authors
      • Editorial Policies
      • Editorial Board
      • Aims and Scope
      • Abstracting and Indexing
      • Bibliographic Information
      • Archive
    • International Journal of Oncology
      • Information for Authors
      • Editorial Policies
      • Editorial Board
      • Aims and Scope
      • Abstracting and Indexing
      • Bibliographic Information
      • Archive
    • Medicine International
      • Information for Authors
      • Editorial Policies
      • Editorial Board
      • Aims and Scope
      • Abstracting and Indexing
      • Bibliographic Information
      • Archive
    • Molecular and Clinical Oncology
      • Information for Authors
      • Editorial Policies
      • Editorial Board
      • Aims and Scope
      • Abstracting and Indexing
      • Bibliographic Information
      • Archive
    • Molecular Medicine Reports
      • Information for Authors
      • Editorial Policies
      • Editorial Board
      • Aims and Scope
      • Abstracting and Indexing
      • Bibliographic Information
      • Archive
    • Oncology Letters
      • Information for Authors
      • Editorial Policies
      • Editorial Board
      • Aims and Scope
      • Abstracting and Indexing
      • Bibliographic Information
      • Archive
    • Oncology Reports
      • Information for Authors
      • Editorial Policies
      • Editorial Board
      • Aims and Scope
      • Abstracting and Indexing
      • Bibliographic Information
      • Archive
    • World Academy of Sciences Journal
      • Information for Authors
      • Editorial Policies
      • Editorial Board
      • Aims and Scope
      • Abstracting and Indexing
      • Bibliographic Information
      • Archive
  • Articles
  • Information
    • For Authors
    • For Reviewers
    • For Librarians
    • For Advertisers
    • Conferences
  • Language Editing
Login Register Submit
  • This site uses cookies
  • You can change your cookie settings at any time by following the instructions in our Cookie Policy. To find out more, you may read our Privacy Policy.

    I agree
Search articles by DOI, keyword, author or affiliation
Search
Advanced Search
presentation
Oncology Letters
Join Editorial Board Propose a Special Issue
Print ISSN: 1792-1074 Online ISSN: 1792-1082
Journal Cover
February-2018 Volume 15 Issue 2

Full Size Image

Sign up for eToc alerts
Recommend to Library

Journals

International Journal of Molecular Medicine

International Journal of Molecular Medicine

International Journal of Molecular Medicine is an international journal devoted to molecular mechanisms of human disease.

International Journal of Oncology

International Journal of Oncology

International Journal of Oncology is an international journal devoted to oncology research and cancer treatment.

Molecular Medicine Reports

Molecular Medicine Reports

Covers molecular medicine topics such as pharmacology, pathology, genetics, neuroscience, infectious diseases, molecular cardiology, and molecular surgery.

Oncology Reports

Oncology Reports

Oncology Reports is an international journal devoted to fundamental and applied research in Oncology.

Experimental and Therapeutic Medicine

Experimental and Therapeutic Medicine

Experimental and Therapeutic Medicine is an international journal devoted to laboratory and clinical medicine.

Oncology Letters

Oncology Letters

Oncology Letters is an international journal devoted to Experimental and Clinical Oncology.

Biomedical Reports

Biomedical Reports

Explores a wide range of biological and medical fields, including pharmacology, genetics, microbiology, neuroscience, and molecular cardiology.

Molecular and Clinical Oncology

Molecular and Clinical Oncology

International journal addressing all aspects of oncology research, from tumorigenesis and oncogenes to chemotherapy and metastasis.

World Academy of Sciences Journal

World Academy of Sciences Journal

Multidisciplinary open-access journal spanning biochemistry, genetics, neuroscience, environmental health, and synthetic biology.

International Journal of Functional Nutrition

International Journal of Functional Nutrition

Open-access journal combining biochemistry, pharmacology, immunology, and genetics to advance health through functional nutrition.

International Journal of Epigenetics

International Journal of Epigenetics

Publishes open-access research on using epigenetics to advance understanding and treatment of human disease.

Medicine International

Medicine International

An International Open Access Journal Devoted to General Medicine.

Journal Cover
February-2018 Volume 15 Issue 2

Full Size Image

Sign up for eToc alerts
Recommend to Library

  • Article
  • Citations
    • Cite This Article
    • Download Citation
    • Create Citation Alert
    • Remove Citation Alert
    • Cited By
  • Similar Articles
    • Related Articles (in Spandidos Publications)
    • Similar Articles (Google Scholar)
    • Similar Articles (PubMed)
  • Download PDF
  • Download XML
  • View XML
Case Report

A unique bone marrow lymphoma patient presenting with an isolated mass: A case report

  • Authors:
    • Yi‑Wen Xu
    • Ming‑Hui Duan
  • View Affiliations / Copyright

    Affiliations: Department of Pediatrics, Peking Union Medical College Hospital, Chinese Academy of Medical Sciences and Peking Union Medical College, Beijing 100730, P.R. China, Department of Hematology, Peking Union Medical College Hospital, Chinese Academy of Medical Sciences and Peking Union Medical College, Beijing 100730, P.R. China
  • Pages: 2529-2533
    |
    Published online on: December 6, 2017
       https://doi.org/10.3892/ol.2017.7538
  • Expand metrics +
Metrics: Total Views: 0 (Spandidos Publications: | PMC Statistics: )
Metrics: Total PDF Downloads: 0 (Spandidos Publications: | PMC Statistics: )
Cited By (CrossRef): 0 citations Loading Articles...

This article is mentioned in:



Abstract

Bone marrow lymphoma with the onset of an isolated mass in the bone marrow is extremely rare. The present case report described a unique case of B cell lymphoblastic lymphoma (LBL) presenting with an isolated mass in the bone marrow cavity, without any organopathy or lymphadenopathy. An isolated mass in bone marrow is a rare primary manifestation of LBL. The patient in the present case report presented with pain in the right elbow, a fever, pancytopenia and splenomegaly. Additionally, no abnormality was determined in the lymph nodes, the bone marrow karyotype or a computed tomography scan of the humerus. Positron emission tomography (PET) examination revealed an increased uptake of 18F‑fluorodeoxyglucose in right distal humerus. An isolated mass in the bone marrow cavity was removed by surgery. Pathological findings revealed B cell LBL. The patient received an acute lymphocytic leukemia chemotherapy regimen and achieved complete remission. However, 4 months following the initial diagnosis, the patient succumbed due to a relapse. The present case highlighted the importance of PET examination and biopsy, and the requirement to identify appropriate treatments for LBL. Additionally, it is important to broaden the differential diagnosis when an isolated mass is identified in the bone marrow cavity.

Introduction

Lymphoma originates from the lymph nodes or extra-nodal lymphoid tissue. Lymphoma is a malignant tumor that typically manifests progressive lymph nodes enlargement without pain and occasionally, the liver, bone and bone marrow may be involved (1). Lymphoma with bone marrow involvement is not rare (2). Some types of lymphoma originate directly from bone marrow. Lymphoblastic lymphoma (LBL), marginal zone lymphoma and Burkett lymphoma typically originate from bone marrow (2–4). LBL originates from immature precursor lymphocytes, it is highly invasive and divided into B cell LBL and T cell LBL, with the majority of LBL originating from precursor T cells (2,5,6). Other types of lymphoma rarely originate from the bone marrow, including diffuse large B cell lymphoma (DLBCL) and follicular lymphoma. If these types of lymphoma present with bone marrow involvement as the only clinical manifestation, they are termed primary bone marrow lymphoma (PBML). Lymphoma originating from bone marrow typically manifests with diffuse bone marrow involvement; therefore, it is rare to present with an isolated mass (2,7,8). In the present case study, lymphoma originating from the bone marrow was termed bone marrow lymphoma (BML). The present case study describes a BML case presenting as an isolated mass and the associated literature is reviewed.

Case report

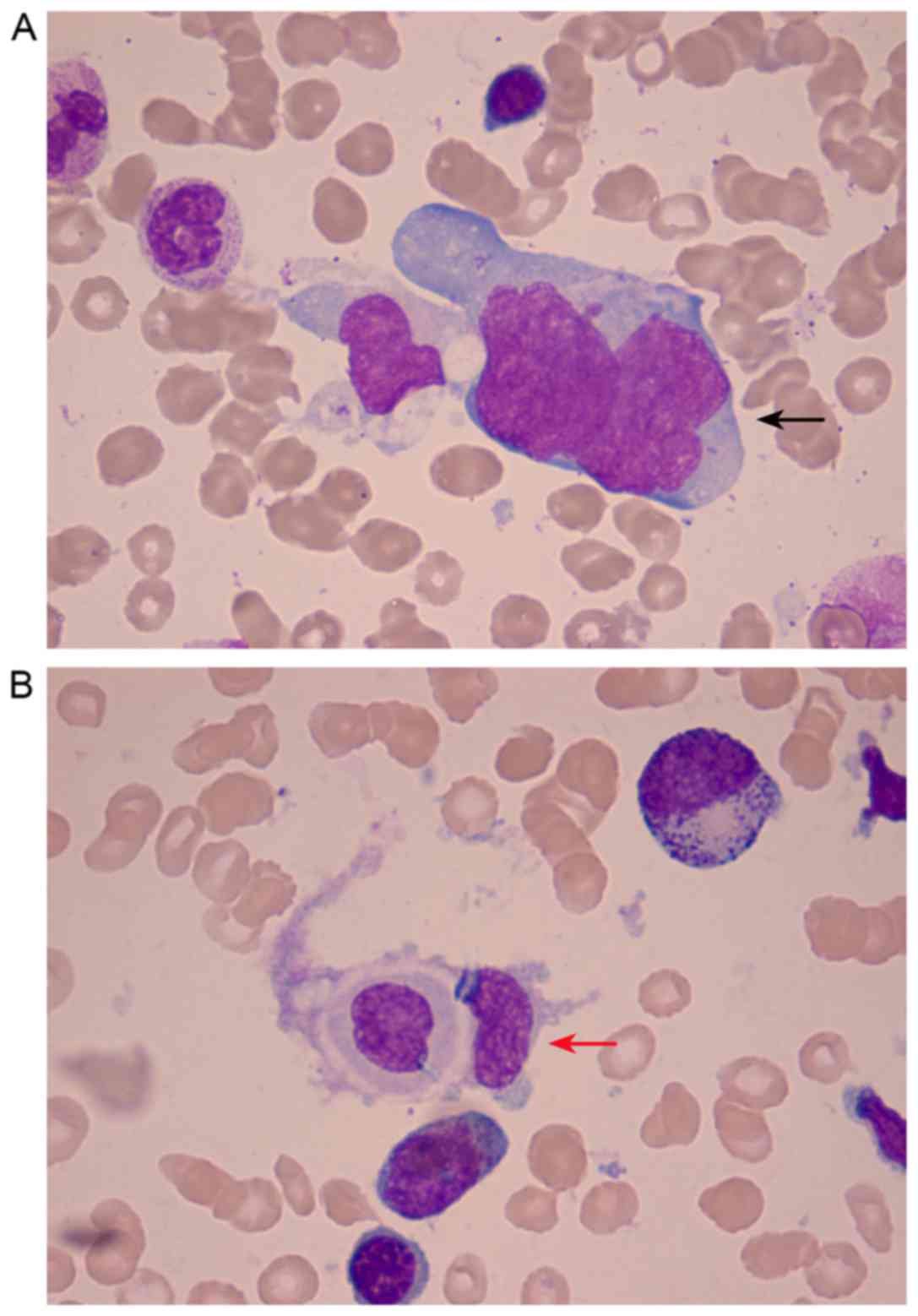
A 29-year-old male was admitted into Peking Union Medical College Hospital (Beijing, China) on October the 12th 2013, presenting with a 6-month history of pain in the right elbow and a 4-month history of fever. Previous examinations of the patient revealed pancytopenia, no tumor cell in bone marrow aspiration (BMA) and no abnormality in a computed tomography (CT) scan of the right upper limb. The patient had received antibiotics, but no improvement was observed. The patient also had a weight loss of ~4 kg. In addition, the patient reported a seafood allergy. Physical examination revealed a fever (37.8°C), a rapid heartbeat (112 beats/min) and a low blood pressure (89/56 mmHg). No superficial lymphadenopathy was determined, and the spleen could be touched under the ribs. A complete blood count (CBC) demonstrated decreased levels of white blood cells (WBC) (2.0×109 cells/l; normal range, 4.0–10.0×109 cells/l), neutrophils (1.2×109 cells/l; normal range, 2.0–7.5×109 cells/l), hemoglobin (8.6 g/dl; normal range, 12.0–16.0 g/dl) and platelets (36×109 cells/l; normal range, 100–300×109 cells/l). The activity of natural killer (NK) cells, determined as the activity to kill fluorescent plasmid transfected cells, was identified to be low (15.0%; normal range, 31.5–41.6%). Soluble cluster of differentiation (CD)25 was >44,000 pg/ml (normal, <6,400 pg/ml). An abdominopelvic CT revealed splenomegaly (9.0×23.0 cm; normal, 4.0×12.0 cm). An 18F-fluorodeoxyglucose (FDG) positron emission tomography (PET) scan demonstrated an increased uptake of FDG in medullary space of the right distal humerus (maximum standardized uptake value, 9.3) without evidence of dissemination at other sites (Fig. 1). BMA, using Wright-Giemsa staining, revealed 4% lymphoma cells and phagocytes engulfing hemocytes (optical microscope; magnification, ×1,000) (Fig. 2). Bone marrow biopsy (BMB) was embedded with paraffin and stained with ready-to-use hematoxylin and eosin for between 30 and 40 min, and incubated between 24 and 28°C (optical microscope; magnification, ×100) (Fig. 3). The proportion of hematopoietic tissue in bone marrow increased and the BMB revealed scattered and focal CD20-positive cells. According to the results of BMB, B cell lymphoma involving bone marrow was not excluded. Gene rearrangement detection, using multiplex polymerase chain reaction (IGH PCR assay; Invivoscribe, San Diego, CA, USA), identified a rearrangement in immunoglobulin κ (Vk−Kde+INTR−Kde+). The bone marrow karyotype was 46, XY [20]. Flow cytometric (FCM) analysis revealed that CD45+CD19+ cells, which were potentially abnormal B lymphocytes, expressed human leukocyte antigen-antigen d related, CD5, CD11c, CD20, CD22, CD38, limited FCM-7 antigen, no κ- or λ-polyclone, and accounted for 0.5% of nuclear cells.

Figure 1.

An increased uptake of 18F-fluorodeoxyglucose as indicated by positron emission tomography examination. The red arrow indicates a standardized uptake value of 9.3 in the bone marrow cavity of the right distal humerus. DFOV, display field of view; R, right; L, left.

Figure 2.

Bone marrow aspiration revealed (A) lymphoma cell (black arrow) and (B) phagocyte engulfing hemocyte (red arrow) (Wright-Giemsa staining; optical microscope; magnification, ×1,000).

Figure 3.

Biopsy of the mass in the bone marrow cavity of the right distal humerus revealed abnormal lymphoid cells gathering in clusters and hemosiderin pigment (hematoxylin and eosin staining; optical microscope; magnification, ×100). Antigen Ki-67 index was 60%. The cells were positive for CD5, CD3, CD20, mutated melanoma-associated antigen 1 and CD99, and negative for anion exchanger 1/3, B cell lymphoma 6, CD10, myeloperoxidase, terminal deoxynucleotidyl transferase and cyclin D1. CD, cluster of differentiation.

Subsequently, the patient received fenestration surgery, a biopsy and bone reconstruction on the right distal humerus. In surgery, it was identified that the bone cortex of the right distal humerus became thin without periosteal reaction, and a tender, dark red, isolated mass was identified in the medullary space. Without the capsule, the size of the mass was ~4.0×2.0×2.0 cm, and it was not able to distinguish the mass from the surrounding tissue. A curettage biopsy was performed and subsequent immunohistochemistry (IHC) was performed. The IHC indicated the following: Gathering of abnormal lymphoid cells in cluster, hemosiderin pigment, anion exchanger 1/3−, CD5+, CD3+ (scattered), CD20+, CD23−, mutated melanoma-associated antigen 1+, B cell lymphoma 6−, CD10−, myeloperoxidase−, antigen Ki-67 (index, 60%), terminal deoxynucleotidyl transferase−, CD99+ and cyclin D1− (Fig. 3). The patient was diagnosed with B cell LBL and secondary hemophagocytic lymphohistiocytosis (HLH). Subsequently, the patient was administered the following chemotherapy: 3 courses of cyclophosphamide (CTX), epirubicin hydrochloride, vindesine sulfate, prednisone (CHOP), a course of high-dose methotrexate, vindesine and pegaspargase (HD-MTX/VL) and a course of etoposide, ara-c, pegaspargase and CTX (CLEA) (Table I).

Table I.

Details of chemotherapy regimen.

Table I.

Details of chemotherapy regimen.

DateAcronym of regimenRegimenNotes
25/10/13CHOCTX, 1.3 g, day 1; epirubicin hydrochloride, 130 mg, day 1; vindesine sulfate, 4 mg, day 1Rituximab (100 mg infusion) was ceased on day 1 due to an allergy, and the regimen did not include prednisone due to a wound in the right upper limb
06/11/13CHOPCTX, 1.3 g, day 1; epirubicin hydrochloride, 130 mg, day 1; vindesine sulfate, 4 mg, day 1; prednisone, 100 mg, days 1–5Lumbar puncture and intrathecal injection (50 mg cytarabine and 5 mg dexamethasone) were performed on November 6, 2013.
28/11/13CHOPCTX, 1.3 g, day 1; epirubicin hydrochloride, 130 mg, day 1; vindesine sulfate, 4 mg, day 1; prednisone, 100 mg, days 1–5N/A
19/12/13HD-MTX/VLMTX, 8.9 g, day 1 and 15; VDS, 4 mg, day 1 and 15; pegaspargase, 3,750 U, day 5 and 19Lumbar puncture and intrathecal injection (50 mg cytarabine and 5 mg dexamethasone) were performed on December 19, 2013 and January 2, 2014.
23/01/14CLEAVP16, 100 mg, days 1–5; ara-c, 130 mg, days 1–5; pegaspargase, 3,750 U, day 1 and 15; CTX, 1.8 g, day 1Lumbar puncture and intrathecal injection (50 mg cytarabine and 5 mg dexamethasone) were performed on January 24, 2014.

[i] HD, high-dose; CTX, cyclophosphamide; MTX, methotrexate; VDS, vindesine; VP16, etoposide; N/A, not applicable.

The patient achieved complete remission following 3 courses of CHOP and a course of HD-MTX/VL (Table I), and during treatment, the patient did not experience discomfort and cerebrospinal fluid was normal. However, 4 months following the initial diagnosis, the patient experienced disease relapse, which manifested as acute leukemia. The patient did not respond to repeated CHOP regimen and succumbed. The present case report obtained informed consent from the patient's next of kin.

Discussion

Lymphoma is a type of malignant tumor and originates from the lymph nodes or extra-nodal lymphoid tissue (5). A study revealed there was 36.4% extra-nodal involvement in non-Hodgkin lymphoma (NHL) (9). Lymphoma arising directly from bone marrow is not rare (2). Although arising from bone marrow, LBL, marginal zone lymphoma and Burkett lymphoma are not classified as PBML (2–4). Other types of lymphoma rarely originate from the bone marrow, including DLBCL and follicular lymphoma (10). If DLBCL or follicular lymphoma initially arises from bone marrow, it is termed PBML (10). In accordance with the World Health Organization's classification of lymphoid neoplasms and criteria (11), PBML is rare. The most common histological subtype of PBML is DLBCL, which accounts for 1.16% of lymphoma and 2.65% of all DLBCL (7). Patients with BML typically present with diffuse bone marrow involvement and leukemia syndrome, increased WBC and immature cells, at the initial diagnosis. To the best of our knowledge, there was no case report of a patient with BML presenting with an isolated mass in the bone marrow cavity.

The patient in the present case report presented with pain in the right distal humerus, a repeated fever of unknown origin, splenomegaly and pancytopenia. Following the completion of examinations, the patient was diagnosed with HLH. Secondary HLH was initially considered due to the age of the patient. Clinicians attempted to identify the cause of secondary HLH and lymphoma was included in consideration. Following overall examination and biopsy, the patient was diagnosed with LBL. LBL which arises from extra-nodal and extramedullary tissue is not rare; for instance, B cell LBL typically involves the skin, liver and bone (12,13). Initially, a number of patients exhibit normal CBC and BMA results at an early stage. However, patients typically develop diffuse bone marrow infiltration and acute lymphocytic leukemia (ALL) transformation in a short time (14). Other patients with onset of bone marrow LBL, directly present with diffuse bone marrow involvement and ALL transformation (14). The present case is unique due to the onset of an isolated mass in the bone marrow cavity. Local pain in right distal humerus was the only complaint at the early stage and 2 months after the initial presentation, the patient experienced HLH manifestation. Subsequently, 6 months after the initial presentation, the patient exhibited diffuse bone marrow involvement without ALL transformation (6). The bone marrow karyotype of the patient was normal. The patient exhibited BML, which did not originate from extramedullary tissue or diffuse bone marrow, but originated from an isolated mass in the bone marrow cavity of the right distal humerus. In addition, pathology revealed B cell LBL with negative Philadelphia chromosome. According to a search by the authors, BML as an isolated mass in bone marrow cavity was not reported in PubMed.

The present case was difficult to diagnose due to the onset of an isolated mass in the bone marrow cavity. At an early stage, CT did not reveal abnormal findings in the right distal humerus, and BMA and BMB results were identified as normal. PET examination served a critical role in identifying the abnormal region early and enabled treatment to begin, despite the CT revealing no abnormality. Although BMA and BMB results revealed the presence of lymphoma cells at a later stage, the number of lymphoma cells was limited for validation of the pathological type. Surgical removal and pathology of the primary abnormality were important for diagnosis and determining the pathological type. Therefore, PET examination may be used to identify an abnormal region and provide a target for surgery and pathology, which may help validate a pathological diagnosis.

Despite the onset of an isolated mass in the bone marrow cavity, the patient developed bone marrow infiltration at a later stage. Additionally, bone marrow involvement is an important characteristic in patients with BML (15). BMA and BMB are important methods to diagnose this type of disease. The morphology of marrow lymphoma cells, observed in the patient, was typical of the disease, with incisura and folding in the round, oval, irregular or rare double nuclei. The coarse granular chromatin was deep purple and the nuclear membrane was thick, determined using Wright-Giemsa staining. There were nucleoli in a limited number of cells, and the lymphoma cells were rich in cytoplasm. Furthermore, there was cytoplasmic extension. IHC of BMA and BMB are required for diagnosis of lymphoma (16). In the present case, IHC of BMB enabled a definitive diagnosis to be made. IHC was able to mark the signal molecules on the lymphoma cells, and the signal molecules may provide information about the characteristics of tumor cells. For example, as a ligand of immunoglobulin on the cell membrane, CD5 mediates the adhesion between cells (17). Therefore, CD5+ may indicate increased adhesion and invasion of lymphoma cells. For a number of cases with a limited number of lymphoma cells involving bone marrow, FCM may assist with diagnosis (18,19). However, there may be different results between BMA/BMB and FCM (20,21).

Patients with NHL, in particular those with BML, may present with HLH. Previous studies have identified that ~43% (21/49) patients with PBML exhibited HLH (22,23). Patients with HLH exhibit NK cells with decreased activity, rendering NK cells unable to eliminate excessive activated T cells, which release a number of cytokines, including interferon-γ and interleukin-10. Excessive cytokines may activate an increased number of macrophages, which serve an important function in cytophagy, leading to HLH (24,25). Therefore, patients with HLH manifest with decreased activity of NK cells and an increased level of CD25, indicating the excessive activation of T cells. To the best of our knowledge, the underlying molecular mechanism of HLH remains unknown and requires additional investigation (26,27). Although the present patient did not exhibit PBML, the patient presented with symptom of HLH including fever, pancytopenia, splenomegaly, a decreased activity of NK cells, an increased level of soluble CD25 and phagocytes engulfing hemocytes in BMA. The manifestation of splenomegaly at the early stage was due to HLH, not lymphoma infiltration, as the PET examination revealed no increased uptake in the spleen. Previous studies have demonstrated that patients with B cell lymphoma and HLH exhibit a poor prognosis, with a median survival time between 8 and 11 months (28,29). In the present report, the patient had a poor prognosis. Although treated with a standard ALL strategy, the patient rapidly relapsed and succumbed following a transient complete remission.

BML with the onset of an isolated mass in bone marrow cavity is extremely rare (14). At the early stage, the patient presented only with HLH and no local bone damage or diffuse bone marrow involvement, which made the present case difficult to diagnose. PET examination enabled a region of focus to be identified early and guided biopsy, which was necessary to validate the diagnosis. In spite of treatment with ALL combined chemotherapy, the present patient relapsed, developed ALL and succumbed. Therefore, the identification of an appropriate treatment strategy is required.

References

1 

Lambertenghi-Deliliers G, Annaloro C, Soligo D, Oriani A, Pozzoli E, Quirici N, Luksch R and Polli EE: Incidence and histological features of bone marrow involvement in malignant lymphomas. Ann Hematol. 65:61–65. 1992. View Article : Google Scholar : PubMed/NCBI

2 

Cortelazzo S, Ferreri A, Hoelzer D and Ponzoni M: Lymphoblastic lymphoma. Crit Rev Oncol Hematol. 113:304–317. 2017. View Article : Google Scholar : PubMed/NCBI

3 

Piris MA, Onaindia A and Mollejo M: Splenic marginal zone lymphoma. Best Pract Res Clin Haematol. 30:56–64. 2017. View Article : Google Scholar : PubMed/NCBI

4 

Linch DC: Burkitt lymphoma in adults. Br J Haematol. 156:693–703. 2012. View Article : Google Scholar : PubMed/NCBI

5 

Vardiman JW: The World Health Organization (WHO) classification of tumors of the hematopoietic and lymphoid tissues: An overview with emphasis on the myeloid neoplasms. Chem Biol Interact. 184:16–20. 2010. View Article : Google Scholar : PubMed/NCBI

6 

Bassan R, Maino E and Cortelazzo S: Lymphoblastic lymphoma: An updated review on biology, diagnosis, and treatment. Eur J Haematol. 96:447–460. 2016. View Article : Google Scholar : PubMed/NCBI

7 

Chang H, Hung YS, Lin TL, Wang PN, Kuo MC, Tang TC, Wu JH, Dunn P and Shih LY: Primary bone marrow diffuse large B cell lymphoma: A case series and review. Ann Hematol. 90:791–796. 2011. View Article : Google Scholar : PubMed/NCBI

8 

Kung TA, Smith LB and Chung KC: Atypical presentation of isolated peripheral T-cell lymphoma in the hand: Case report. J Hand Surg Am. 39:732–736. 2014. View Article : Google Scholar : PubMed/NCBI

9 

Shahid R, Gulzar R, Avesi L, Hassan S, Danish F and Mirza T: Immunohistochemical Profile of Hodgkin and Non-Hodgkin Lymphoma. J Coll Physicians Surg Pak. 26:103–107. 2016.PubMed/NCBI

10 

Martinez A, Ponzoni M, Agostinelli C, Hebeda KM, Matutes E, Peccatori J, Campidelli C, Espinet B, Perea G, Acevedo A, et al: Primary bone marrow lymphoma: An uncommon extranodal presentation of aggressive non-hodgkin lymphomas. Am J Surg Pathol. 36:296–304. 2012. View Article : Google Scholar : PubMed/NCBI

11 

Campo E, Swerdlow SH, Harris NL, Pileri S, Stein H and Jaffe ES: The 2008 WHO classification of lymphoid neoplasms and beyond: Evolving concepts and practical applications. Blood. 117:5019–5032. 2011. View Article : Google Scholar : PubMed/NCBI

12 

Chen CC, Weng HH, Hwang CE, Lu CH, Chen PT and Gau JP: Acute leukemia presenting with extramedullary diseases and completely normal hemogram: An extremely unusual manifestation unique to pre-B ALL. Am J Hematol. 85:729–731. 2010. View Article : Google Scholar : PubMed/NCBI

13 

Lee WJ, Moon HR, Won CH, Chang SE, Choi JH, Moon KC and Lee MW: Precursor B- or T-lymphoblastic lymphoma presenting with cutaneous involvement: A series of 13 cases including 7 cases of cutaneous T-lymphoblastic lymphoma. J Am Acad Dermatol. 70:318–325. 2014. View Article : Google Scholar : PubMed/NCBI

14 

Park JH, Pahk K, Kim S, Lim SM, Cheon GJ, Park YH, Lee SS and Choe JG: Fluorine-18 fluorodeoxyglucose positron emission tomography imaging of T-lymphoblastic lymphoma patients. Oncol Lett. 12:1620–1622. 2016. View Article : Google Scholar : PubMed/NCBI

15 

Alvares CL, Matutes E, Scully MA, Swansbury J, Min T, Gruszka-Westwood AM, Atkinson S, Hilditch B, Morilla R, Wotherspoon AC and Catovsky D: Isolated bone marrow involvement in diffuse large B cell lymphoma: A report of three cases with review of morphological, immunophenotypic and cytogenetic findings. Leuk Lymphoma. 45:769–775. 2004. View Article : Google Scholar : PubMed/NCBI

16 

Strauchen JA: Primary bone marrow B-cell lymphoma: Report of four cases. Mt Sinai J Med. 70:133–138. 2003.PubMed/NCBI

17 

Pospisil R, Fitts MG and Mage RG: CD5 is a potential selecting ligand for B cell surface immunoglobulin framework region sequences. J Exp Med. 184:1279–1284. 1996. View Article : Google Scholar : PubMed/NCBI

18 

Xu Y, McKenna RW and Kroft SH: Comparison of multiparameter flow cytometry with cluster analysis and immunohistochemistry for the detection of CD10 in diffuse large B-Cell lymphomas. Mod Pathol. 15:413–419. 2002. View Article : Google Scholar : PubMed/NCBI

19 

Manabe N, Yamaoka G, Ohnishi H, Arai T, Nakaishi H, Kajikawa T, Kubota Y, Tanaka T, Kitanaka A, Waki M, et al: Sub-classification of diffuse large B-cell lymphoma by semi-quantification of the CD5 expression with flow cytometric analysis. Rinsho Byori. 50:906–911. 2002.(In Japanese). PubMed/NCBI

20 

Sah SP, Matutes E, Wotherspoon AC, Morilla R and Catovsky D: A comparison of flow cytometry, bone marrow biopsy, and bone marrow aspirates in the detection of lymphoid infiltration in B cell disorders. J Clin Pathol. 56:129–132. 2003. View Article : Google Scholar : PubMed/NCBI

21 

Yokote T, Akioka T, Oka S, Hara S, Kobayashi K, Nakajima H, Yamano T, Ikemoto T, Shimizu A, Tsuji M and Hanafusa T: Flow cytometric immunophenotyping of adult T-cell leukemia/lymphoma using CD3 gating. Am J Clin Pathol. 124:199–204. 2005. View Article : Google Scholar : PubMed/NCBI

22 

Wong KF, Chan JK, Ng CS, Chu YC, Li LP and Chan CH: Large cell lymphoma with initial presentation in the bone marrow. Hematol Oncol. 10:261–271. 1992. View Article : Google Scholar : PubMed/NCBI

23 

Kajiura D, Yamashita Y and Mori N: Diffuse large B-cell lymphoma initially manifesting in the bone marrow. Am J Clin Pathol. 127:762–769. 2007. View Article : Google Scholar : PubMed/NCBI

24 

Shimazaki C, Inaba T and Nakagawa M: B-cell lymphoma-associated hemophagocytic syndrome. Leuk Lymphoma. 38:121–130. 2000.PubMed/NCBI

25 

Ohno T, Miyake N, Hada S, Hirose Y, Imura A, Hori T, Uchiyama T, Saiga T, Mizumoto T and Furukawa H: Hemophagocytic syndrome in five patients with Epstein-Barr virus negative B-cell lymphoma. Cancer. 82:1963–1972. 1998. View Article : Google Scholar : PubMed/NCBI

26 

Murase T, Nakamura S, Tashiro K, Suchi T, Hiraga J, Hayasaki N, Kimura M, Murakami M, Mizoguchi Y, Suzuki T and Saito H: Malignant histiocytosis-like B-cell lymphoma, a distinct pathologic variant of intravascular lymphomatosis: A report of five cases and review of the literature. Br J Haematol. 99:656–664. 1997. View Article : Google Scholar : PubMed/NCBI

27 

Murase T, Nakamura S, Kawauchi K, Matsuzaki H, Sakai C, Inaba T, Nasu K, Tashiro K, Suchi T and Saito H: An Asian variant of intravascular large B-cell lymphoma: Clinical, pathological and cytogenetic approaches to diffuse large B-cell lymphoma associated with haemophagocytic syndrome. Br J Haematol. 111:826–834. 2000. View Article : Google Scholar : PubMed/NCBI

28 

Takahashi N, Chubachi A, Miura I, Nakamura S and Miura AB: Lymphoma-associated hemophagocytic syndrome in Japan. Rinsho Ketsueki. 40:542–549. 1999.(In Japanese). PubMed/NCBI

29 

Shimazaki C, Inaba T, Okano A, Hatsuse M, Takahashi R, Hirai H, Sudo Y, Ashihara E, Adachi Y, Murakami S, et al: Clinical characteristics of B-cell lymphoma-associated hemophagocytic syndrome (B-LAHS): Comparison of CD5+ with CD5-B-LAHS. Intern Med. 40:878–882. 2001. View Article : Google Scholar : PubMed/NCBI

Related Articles

  • Abstract
  • View
  • Download
  • Twitter
Copy and paste a formatted citation
Spandidos Publications style
Xu YW and Duan MH: A unique bone marrow lymphoma patient presenting with an isolated mass: A case report. Oncol Lett 15: 2529-2533, 2018.
APA
Xu, Y., & Duan, M. (2018). A unique bone marrow lymphoma patient presenting with an isolated mass: A case report. Oncology Letters, 15, 2529-2533. https://doi.org/10.3892/ol.2017.7538
MLA
Xu, Y., Duan, M."A unique bone marrow lymphoma patient presenting with an isolated mass: A case report". Oncology Letters 15.2 (2018): 2529-2533.
Chicago
Xu, Y., Duan, M."A unique bone marrow lymphoma patient presenting with an isolated mass: A case report". Oncology Letters 15, no. 2 (2018): 2529-2533. https://doi.org/10.3892/ol.2017.7538
Copy and paste a formatted citation
x
Spandidos Publications style
Xu YW and Duan MH: A unique bone marrow lymphoma patient presenting with an isolated mass: A case report. Oncol Lett 15: 2529-2533, 2018.
APA
Xu, Y., & Duan, M. (2018). A unique bone marrow lymphoma patient presenting with an isolated mass: A case report. Oncology Letters, 15, 2529-2533. https://doi.org/10.3892/ol.2017.7538
MLA
Xu, Y., Duan, M."A unique bone marrow lymphoma patient presenting with an isolated mass: A case report". Oncology Letters 15.2 (2018): 2529-2533.
Chicago
Xu, Y., Duan, M."A unique bone marrow lymphoma patient presenting with an isolated mass: A case report". Oncology Letters 15, no. 2 (2018): 2529-2533. https://doi.org/10.3892/ol.2017.7538
Follow us
  • Twitter
  • LinkedIn
  • Facebook
About
  • Spandidos Publications
  • Careers
  • Cookie Policy
  • Privacy Policy
How can we help?
  • Help
  • Live Chat
  • Contact
  • Email to our Support Team