International Journal of Molecular Medicine is an international journal devoted to molecular mechanisms of human disease.
International Journal of Oncology is an international journal devoted to oncology research and cancer treatment.
Covers molecular medicine topics such as pharmacology, pathology, genetics, neuroscience, infectious diseases, molecular cardiology, and molecular surgery.
Oncology Reports is an international journal devoted to fundamental and applied research in Oncology.
Experimental and Therapeutic Medicine is an international journal devoted to laboratory and clinical medicine.
Oncology Letters is an international journal devoted to Experimental and Clinical Oncology.
Explores a wide range of biological and medical fields, including pharmacology, genetics, microbiology, neuroscience, and molecular cardiology.
International journal addressing all aspects of oncology research, from tumorigenesis and oncogenes to chemotherapy and metastasis.
Multidisciplinary open-access journal spanning biochemistry, genetics, neuroscience, environmental health, and synthetic biology.
Open-access journal combining biochemistry, pharmacology, immunology, and genetics to advance health through functional nutrition.
Publishes open-access research on using epigenetics to advance understanding and treatment of human disease.
An International Open Access Journal Devoted to General Medicine.
Tumorigenesis is initiated by the activation of oncogenes and the inactivation of tumor suppressor genes, leading to an increase in cell proliferation and a decrease in apoptosis. The proto-oncogene Pim-2 was originally identified as a result of a proviral insertion discovered in a murine T cell lymphoma (1). Overexpression of Pim-2 has been reported to occur in lymphoma (2), leukemia (3) and multiple myeloma (MM) (4). Other previous studies have also suggested that Pim-2 promoting the growth of solid tumors, including prostate cancer (5), gastric liver carcinomas (6) and colorectal carcinoma (7). These observations highlight that Pim-2 serves roles in the tumorigenesis of a number of hematological neoplasms in addition to solid tumors.
Pim kinases are a family of serine/threonine kinases that includes three highly homologous members (Pim1, Pim2 and Pim3). Pim kinases are important regulators of normal cell cycle progression. Pim-1 and Pim-2 have a similar function, highlighted by a study that demonstrated that Pim-1 and Pim-2 genes induced lymphomas alone or in synergy with c-myc (8). Pim kinases inhibit cell growth via the regulation of cell cycle progression (9). Phosphorylation of M-phase inducer phosphatase 1 by Pim-1 amplifies the effects of this critical G1/S-phase phosphatase (10). In addition, the stability of cyclin-dependent kinase (CDK) inhibitor p21, which inhibits G1/S-phase progression, was enhanced by Pim-2 phosphorylation and inhibited cell proliferation in HCT116 cells (7). However, Pim-2 can function as a potent survival factor; Pim-2 has been revealed to be upregulated and associated with the progression of chronic lymphatic leukemia, diffuse large B-cell lymphoma, mantle cell lymphoma and MM (11–13). However, the molecular mechanisms underlying the association between Pim-2 and cell cycle regulators remain unclear in lung cancer and these neoplasms.
p21 Cip1/WAF1 (p21) is a negative modulator of cell cycle progression and inhibits the activity of cyclin/CDK2 complexes, which phosphorylate retinoblastoma protein (Rb) and promote E2F transcription factor 1 (E2F1)-induced proliferation by inducing phosphorylation of its transactivation domain, thus promoting the induction of genes required for S-phase progression (14,15). DNA damage results in p53-dependent induction of p21 during p53-induced apoptosis (16). However, the regulation of p21 expression is primarily regulated at the transcriptional level and may occur via a p53-dependent or p53-independent mechanism (17). Whether the mutation of the p53 gene affects the link between Pim-2 and the p21 signaling pathway is investigated in the present study.
The present study demonstrated that Pim2 was expressed in solid tumors (lung cancer) and hematological neoplasms (leukemia and MM). Downregulation of Pim-2 decreased cell proliferation and cell cycle arrest in the G0/G1 phase via the p21 signaling pathway. Furthermore, the process in the H1299 (p53−) cell line was not p53-dependent.
K562 chronic myelogenous leukemia cell line, RPMI-8226MM cell line and H1299 and A549 non-small cell lung carcinoma cell lines were obtained from the American Type Culture Collection (Manassas, VA, USA), and grown in RPMI-1640 medium (Boehringer, Ingelheim, Germany) supplemented with 10% heat-inactivated fetal calf serum (Boehringer), 100 µg/ml penicillin (Gibco; Thermo Fisher Scientific, Inc., Waltham, MA, USA) and 100 U/ml streptomycin (Gibco; Thermo Fisher Scientific, Inc.), in a humidified atmosphere (37.5°C; 5% CO2). Transfections were performed using Lipofectamine® 2000 (Invitrogen; Thermo Fisher Scientific, Inc.) according to the manufacturer's protocol. Silencer validated short interfering (si)RNA for Pim-2 (sense, 5′-GUGCCAAACUCAUUGAUUUTT-3′ and antisense, 5′-AAAUCAAUGAGUUUGGCACTT-3′) and scrambled siRNA (sense, 5′-AUCCGCGCGAUAGUACGUATT-3′ and antisense, 5′-UACGUACUAUCGCGCGGAUTT-3′) were used. siRNA was diluted to 20 µM with DEPC water and placed in a 6-well plate. A total of 5 µl siRNA (20 µM), 5 µl Lipofectamine® 2000 and 100 µl culture media was added per siRNA mastermix tube and agitated gently. This was incubated for 15 min at room temperature to allow complex formation between siRNA and lipids. Media was removed from the cells and 1,900 µl fresh media was added to each 6-well plate. siRNA mixture (110 µl per well) was added drop-wise while gently swirling the plate. Cells were cultured for 48 h at 37.5°C prior to harvesting for analysis.
Cell viability was evaluated using the tetrazolium salt-based cell counting kit-8 (CCK-8) assay (Dojindo Molecular Technologies, Inc., Kumamoto, Japan). Cells were seeded into 96-well plates at 1.5×105 cell/ml in 200 µl complete medium (RPMI medium + serum). Plates were incubated for siRNA transfection for 48 h at 37°C in 5% CO2, then 20 µl CCK-8 reagent was added to the wells followed by incubation for 1.5 h at 37.5°C. The optical density (OD) was evaluated at 450 nm within 15 min. The experiment was repeated 3 times with each sample in triplicate. Cell viability was determined using the following equation: Proliferation (%)=(OD450 of isogarcinol group/OD450 of control group) ×100%.
Cell cycle analysis was performed using a FACSCalibur (BD Bioscience, Franklin Lakes, NJ, USA). Cells (5×105 cells) were fixed in 70% ethanol for ≥4 h at 4°C and stained with 20 µg/ml propidium iodide supplemented with 10 µg/ml RNaseA for 30 min at room temperature. Resulting DNA distributions were analyzed by Modifit (version 4.0; Verify Software House, Inc., Topsham, ME, USA) for the proportions of cells in the phases of the cell cycle.
Total RNA was extracted from A549, H1299, RPMI8226 and K562 cells using TRIzol® reagent (Invitrogen; Thermo Fisher Scientific, Inc.) at 4°C for 24 h. A total of 1 µg purified total RNA was reverse transcribed to complementary DNA using the SuperScript First-Strand Synthesis System (Invitrogen; Thermo Fisher Scientific, Inc.). RT-qPCR was performed using SYBR Premix Ex Taq (Takara Biotechnology Co., Ltd., Dalian, China) and the Thermal Cycler Dice Real Time system (Takara Biotechnology Co., Ltd.) in a 96-well plate, according to the manufacturer's protocol. The optimized parameters for PCR were: 95°C for 2 min, 94°C for 10 sec, 61.5°C for 30 sec and 72°C for 40 sec (40 cycles). The primers used for RT-qPCR were as follows: Human Pim-2, sense 5′-TTGGGAAGGAATGGAAGATG-3′ and anti-sense, 5′-CAGGAGAACAAACAGCAAGC-3′; human GAPDH sense 5′-AATCCCATCACCATCTTCCA-3′ and antisense, 5′-TGGACTCCACGACGTACTCA-3′. The Pim-2 expression levels were evaluated using the 2−ΔΔCq method, using GAPDH as an internal control (18).
Western blot analysis evaluated the content of Pim-2 P53, P21, CDK2 Rb and phosphorylated (p) Rb in cell extracts following siRNA transfection for 48 h. Cells were cultured with nuclear factor-κB (NF-κB) inhibitor (Ro 106-9920; Tocris Bioscience, Bristol, UK) at 37.5°C for 48 h prior to harvesting for analysis of NF-κB and Pim-2 expression levels. Cells were lysed with a lysis buffer (20 mM Tris-HCl pH 8.0, 150 mM NaCl, 2 mM EDTA, 100 mM NaF,1% NP40, 1 µg/ml leupeptin, 1 µg/ml anti-pain and 1 mM phenylmethylsulfonyl fluoride),and the protein concentrations were determined using a BCA protein assay kit (Pierce; Thermo Fisher Scientific, Inc.). Proteins (30 µg) were separated using 8% SDS-PAGE. Following electrophoresis, the SDS-PAGE gels were transferred electronically to polyvinylidene difluoride (PVDF) membranes (Bio-Rad Laboratories, Inc., Hercules, CA, USA). PVDF membranes were blocked using a solution containing 5% skimmed milk and incubated overnight at 4°C with the following antibodies: Anti-p21 (cat. no. 2947), anti-CDK2 (cat. no. 2546), anti-pRb (cat. no. 9308), anti-Rb (cat. no. 9303), anti-NF-κB (cat. no. 8242), anti-GAPDH (cat. no. 5174; all Cell Signaling Technology, Inc., Danvers, MA, USA), anti-Pim-2 (cat. no. ab97475; Abcam, Cambridge, UK) and anti-p53 (cat. no. sc-126; Santa Cruz Biotechnology, Inc., Dallas, TX, USA) were diluted using PBS (1:1,000). Following washing with Tris-buffered saline with Tween-20, the membranes were incubated for 1 h at room temperature with horseradish peroxidase-conjugated anti-rabbit IgG sheep antibody diluted using PBS (1:2,000; cat no. ab6721; Abcam) or horseradish peroxidase-conjugated anti-mouse IgG sheep antibody diluted using PBS (1:2,000; cat no. ab6785; Abcam). Reactive proteins were visualized using an Immobilon Western horseradish peroxidase chemiluminescence kit (EMD Millipore, Billerica, MA, USA).
Cells were prepared as monolayer on 6-well plates. Monolayers were washed with PBS twice, fixed in 4% ice-cold paraformaldehyde solution for 10 min and subsequently blocked in PBS supplemented with 2% rabbit serum for 1 h at room temperature. Samples were incubated with rabbit anti-Pim-2 (dilution, 1:500) overnight at 4°C followed by a secondary fluorescein isothiocyanate-conjugated anti-rabbit antibody (1:200; ab150077; Abcam) for 1 h at room temperature. Following three washes, monolayers were mounted on glass slides with ProLong antifade mounting medium with DAPI (Molecular Probes; Thermo Fisher Scientific, Inc.). Images were observed under a fluorescence microscope (magnification, ×200).
All results are expressed as the mean and standard deviation of numerous independent experiments. Multiple comparisons of the data were performed by Student's t-test to determine statistical significance of detected differences. P<0.05 was considered to indicate a statistically significant difference.
Western blotting was performed to evaluate the expression levels of Pim-2 in K562, RPMI-8226, H1299 and A549 cell lines. Western blotting demonstrated clear expression of Pim-2 and NF-κB in K562 cells, but lower expression levels in RPMI-8226, H1299 and A549 cell lines (Fig. 1). Immunocytochemistry analysis of all four cell lines revealed that Pim-2 was predominantly located in the cytoplasm (Fig. 2).
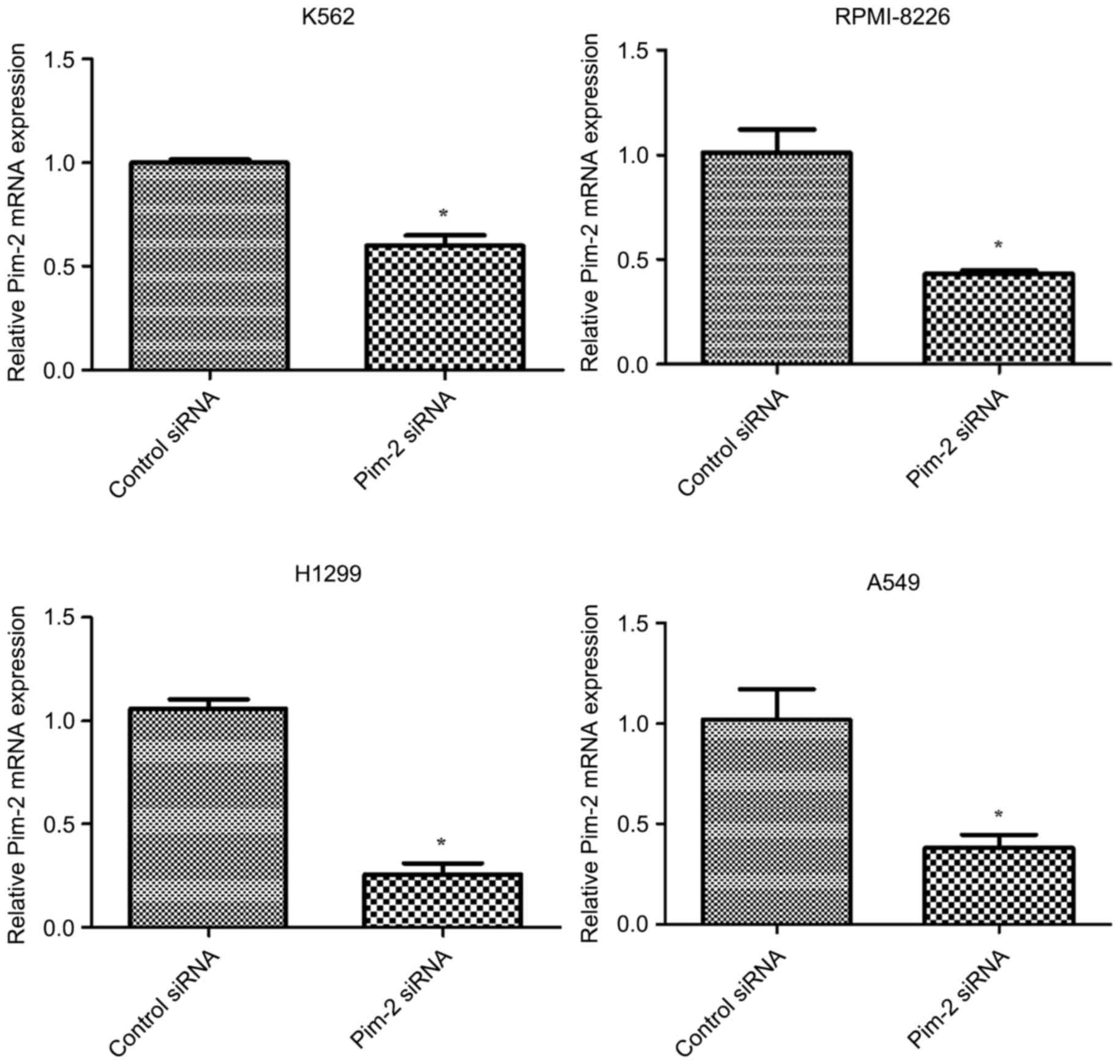
In order to investigate the role of Pim-2 in the cancer cell lines tested, Pim-2 was knocked down using Pim-2 siRNA in K562, RPMI-8226, H1299 and A549 cell lines. The degree of Pim-2 expression knockdown by specific siRNA was determined by RT-qPCR analysis and western blotting. Pim-2-specific siRNAs significantly decreased Pim-2 mRNA levels (P<0.05; Fig. 3) and markedly decreased protein expression levels in all four cell lines (Fig. 4); however, siRNA knockdown exhibited the highest efficiency in H1299 and A549 cells (70 and 62% inhibition at the mRNA level, respectively). In addition, Pim-2 specific siRNAs markedly decreased the protein expression level of NF-κB (Fig. 4).
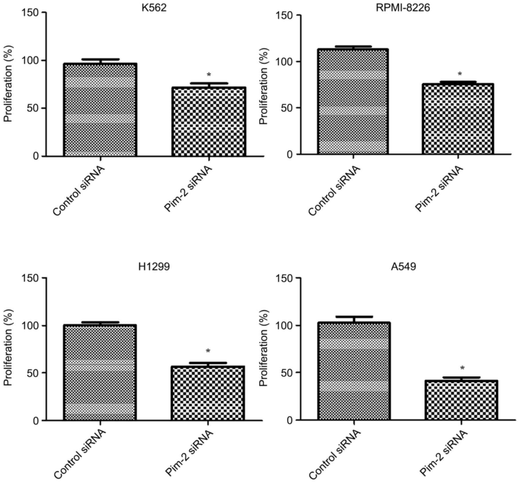
In order to determine whether knockdown of Pim-2 expression by siRNA had an inhibitory effect on cancer cell growth, cell proliferation was determined using CCK-8. Proliferation was significantly reduced by 29 (K562), 24 (RPMI-8226), 44 (H1299) and 59% (A549) in Pim-2 siRNA knockdown cells when compared with the control cells (P<0.05) at 48 h after incubation (Fig. 5). These results suggested that Pim-2 may serve a pivotal role in cell proliferation.
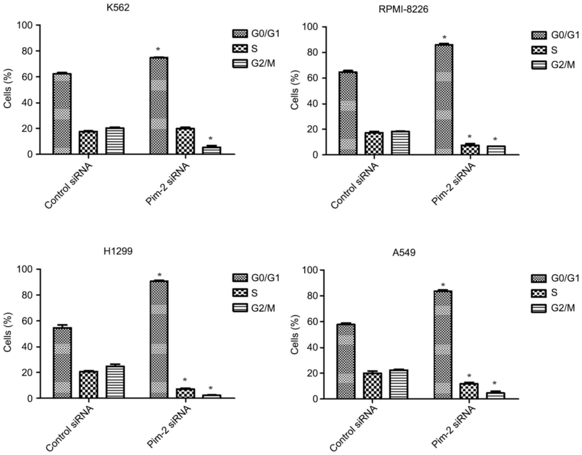
Cell cycle changes following inhibition of Pim-2 were analyzed by flow cytometry. Separation of cells in the G0/G1, S and G2/M phases were based on linear fluorescence intensity following staining with propidium iodide. Cell cycle analysis demonstrated a significant increase in the percentage of cells in the G0/G1 cell cycle phase following transfection with Pim-2 siRNA compared with the control for all cell lines tested (P<0.05; Figs. 6 and 7). A concomitant significant decrease in the percentage of cells in the G2/M cell cycle phase was observed in all cell lines compared with the control (P<0.05) and a significant decrease in the percentage of cells in the S cell cycle phase was observed in RPMI-8226, H1299 and A549 cells compared with the control (P<0.05). Therefore, downregulation of Pim-2 induces accumulation of cells in the G0/G1 phase of the cycle.
Western blotting was performed to investigate the effect of Pim-2 knockdown on the expression level of cell cycle-associated proteins, including CDK inhibitors, p21Cip1/WAF1, CDK2, Rb, pRb and tumor suppressor protein p53. Following the inhibition of Pim-2 in K562, RPMI-8226, H1299 and A549 cells by siRNA, p21 expression was markedly increased and CDK2 expression was markedly decreased in all four cell lines compared with the control (Fig. 8). The p21 protein, as a member of the Cip/Kip family of CDK2 inhibitors, binds to and inhibits CDK2/cyclin complexes during the G1 phase (14,19), which is in accordance with the results from the present study. Rb is a ‘master controller’ of the cell cycle, attributed to its intricate involvement in the regulation of the G1 to S phase transition (20). Mitogenic stimulation during G1 cell cycle phase induces sequential activation of CDK2-cyclin E complexes, which hyperphosphorylate Rb and thereby induce the release of active E2F1 to drive G1 to S-phase progression (21). Therefore, Rb may be affected by the downregulation of Pim-2. To confirm this hypothesis, p-Rb and Rb expression levels were evaluated by western blotting. A marked reduction of p-Rb following the knockdown of Pim-2 was observed compared with the control (Fig. 8).
p53, which is known as a ‘guardian’ of the genome, regulates responses to genotoxic stress through the modulation of the transcription of a number of genes encoding proteins involved in cell cycle control, including p21 Cip1/WAF1 (22). Following downregulation of Pim-2 kinase in K562 (p53+), RPMI-8226 (p53+), H1299 (p53−) and A549 (p53+) cells (Fig. 8), + and -notation refers to p53 expression, p53 expression was markedly increased compared with the control in K562 (p53+), RPMI-8226 (p53+) and A549 (p53+) cell lines, but not in H1299 cells (p53−; Fig. 8).
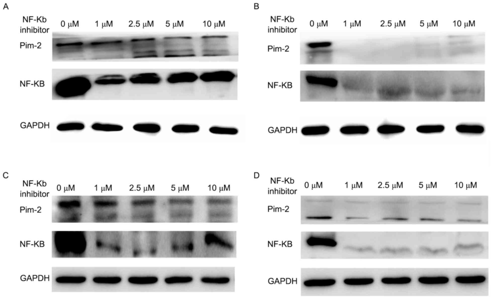
Since treatment with Pim-2 siRNA also markedly decreased the expression of NF-κB, cells were treated with an NF-κB inhibitor (Ro 106-9920) at an increasing concentration for 48 h to analyze the effect on Pim-2 expression. Pim-2 expression was suppressed following the inhibition of NF-κB, but not in a concentration-dependent manner at the concentrations tested (Fig. 9).
Overexpression of Pim in cancer, particularly hematopoietic malignancies, is thought to serve a role in promoting survival and proliferation and inhibition of the expression of Pim-2 in tumor cells may be an effective strategy for treating tumors that overexpress Pim (9,23). The present study investigated the expression level of Pim-2 in solid tumors (lung cancer) and hematopoietic malignancies (leukemia and multiple myeloma), in addition to the effect of Pim-2-targeted siRNA on cell proliferation and the cell cycle in the K562 leukemia (p53+), RPMI-8266 (p53+) MM, and H1299 (p53−) and A549 (p53+) lung cancer cell lines. The present study demonstrated the expression levels of Pim-2 in hematopoietic malignancies (K562, MM) and solid tumors (H1299, A549). Pim-2 was primarily expressed in the cytoplasm. These results were consistent with previous studies that demonstrated that Pim-2 was widely expressed in various types of cancer (11–13). Therefore Pim-2 may be a potential therapy target for novel cancer treatments.
The present study aimed to elucidate the role of Pim-2 in proliferation by inhibiting its expression using siRNA. Treatment of K562, RPMI-8226, H1299 and A549 cells with Pim-2 targeted siRNA resulted in a significant decrease in Pim-2 expression. The efficiency and effects of Pim-2 knockdown were more apparent in H1299 and A549 cells compared with the other cell lines tested. In addition, downregulation of Pim-2 led to the downregulation of NF-κB, a nuclear factor activated by various upstream factors that regulates a number of downstream signaling pathways, and thus serves various roles in the inflammatory response, cell proliferation and tumorigenesis (24).
A CCK-8 assay revealed a significant decrease in the proliferation rate of cells following treatment with Pim-2 siRNA compared with control siRNA (P<0.05) in the experimental cell lines used. In order to investigate the molecular mechanisms underlying the effects of Pim-2 expression on cell proliferation, cell cycles were characterized using flow cytometry analysis. The results demonstrated a significant increase in the proportion of cells in the G0/G1 phase following treatment with Pim-2 siRNA compared with cells treated with control siRNA. There was a concomitant significant decrease in the percentage of S and G2/M phase cells following treatment with Pim-2 siRNA compared with cells treated with control siRNA. These results suggest that Pim-2 may serve a role in cell cycle progression; the delay in progression from G0/G1 to S or arrest in the G0/G1 cell cycle phase may be the reason for the anti-proliferative effect of Pim-2 suppression in cells.
Since downregulation of Pim-2 resulted in the accumulation of cells in the G0/G1 phase, the expression levels of cell cycle regulators were investigated in the present study. The results revealed that CDK2 and pRb were markedly downregulated, whereas p21 was markedly upregulated following treatment with Pim-2 siRNA. These results suggest that the inhibition of CDK2 and pRb expression levels via upregulated p21 is involved in mediating the effects of Pim-2 downregulation on G0/G1 arrest in lung cancer and hematopoietic malignancies. Pim-2 phosphorylation of p21Cip1/WAF1 inhibits cell proliferation in human colon carcinoma (7). Further studies are required in order to verify the results of the present study and to elucidate the molecular mechanisms underlying Pim-2 regulation of p21.
Expression of the p21 gene is tightly controlled by the tumor suppressor p53 (7,25). The present study revealed that p21 was significantly highly expressed in the p53(+) cell lines K562, RPMI-8226 and A549 compared with the p53(−) cell line H1299. Downregulation of Pim-2 decreased cell proliferation and arrested cells in the G0/G1 phase of the cell cycle in p53(+) and p53(−) cells, indicating that p21 was upregulated by a p53-independent signaling pathway following downregulation of Pim-2. Further studies are required to verify the existence of a p53-independent signaling pathway in this context. Regardless of the type of damage and the temporal pattern of p53, induction of p21 occurs only in the presence of DNA damage, and not following spontaneous expression of p53 that occurs without damage (26). Thus, Pim-2 may regulate the cell proliferation via p21 without p53. In addition, downregulation of Pim-2 increased the expression level of p53 in p53(+) cell lines but not H1299 cells [p53(−)]. Therefore the association between Pim-2 and p53 in lung cancer, MM and leukemia requires further investigation. The elevated expression of Pim oncogenes has been suggested to suppress p53 by regulating E3 ubiquitin-protein ligase Mdm2 in mantle cell lymphoma (27).
In addition to the resulting downregulation of NF-κB following Pim-2 downregulation, Pim-2 expression was markedly decreased following treatment with an NF-κB inhibitor. This suggests that there is an association between NF-κB and Pim-2 in cancer cells. Pim-2 has previously been demonstrated to activate API-5 to in order to inhibit the apoptosis of hepatocellular carcinoma cells via the NF-κB signaling pathway (28). The ability of Pim-2 to serve as an oncogene in vivo depends on sustained NF-κB activity in lymphoma (29). NF-κB may be a downstream factor of the Pim-2 signaling pathway. However, bone marrow stromal cells (BMSCs) and osteoclasts have been demonstrated to upregulate Pim-2 expression level in MM cells via the interleukin-6/signal transducer and activator of transcription 3 and NF-κB signaling pathways, respectively (4). Pim-2 and NF-κB promote cell survival in response to a wide variety of proliferative signals (30,31). Numerous previous studies revealed that downstream factors of Pim-2 include the translational repressor 4E-binding protein 1, the BH3 protein BCL2 associated agonist of cell death and tuberous sclerosis 2 (TSC2) (13,32). NF-kB has been demonstrated to regulate TSC2-dependent cell survival (33). Thus, there are certain signals between Pim-2 and NF-κB that have not been described previously. Previous studies have suggested that Pim-2 may be an important survival factor in cancer proliferation and requires further attention (11–13).
In conclusion, the present study demonstrated that Pim-2 was highly expressed in cell lines derived from solid tumors (A549 and H1299 lung cancer cell lines) and hematopoietic malignancies (K562 leukemia cell line and RPMI-8226MM cell line). Further knockdown of Pim-2 by using siRNA potently inhibited proliferation and promoted cell cycle arrest at the G0/G1 phase. Pim-2 overexpression may be associated with cell cycle progression via downregulation of p21, without p53-dependence. Further investigation of the functional role of Pim-2 may lead to an improved understanding of the molecular mechanisms underlying lung cancer and hematopoietic malignancies. Combinations of drugs that induce suppression of Pim-2 may be an effective strategy for treatment of lung cancer and hematopoietic malignancies, and therefore require further evaluation.
The present study was supported by the National Natural Science Foundation of China (grant nos. 81570106, 81400088 and 81400085), the anticancer major special project of Tianjin (grant no. 12ZCDZSY18000) and the Tianjin Municipal Natural Science Foundation (grant nos. 14JCYBJC25400 and 15JCYBJC24300). The authors wish to thank the Tianjin Institute of Lung Cancer for their support in the lab.
The authors declare that they have no competing interests.
|
Breuer ML, Cuypers HT and Berns A: Evidence for the involvement of pim-2, a new common proviral insertion site, in progression of lymphomas. EMBO J. 8:743–748. 1989.PubMed/NCBI | |
|
Yoshida S, Kaneita Y, Aoki Y, Seto M, Mori S and Moriyama M: Identification of heterologous translocation partner genes fused to the BCL6 gene in diffuse large B-cell lymphomas: 5′-RACE and LA-PCR analyses of biopsy samples. Oncogene. 18:7994–7999. 1999. View Article : Google Scholar : PubMed/NCBI | |
|
Amson R, Sigaux F, Przedborski S, Flandrin G, Givol D and Telerman A: The human protooncogene product p33pim is expressed during fetal hematopoiesis and in diverse leukemias. Proc Natl Acad Sci USA. 86:pp. 8857–8861. 1989; View Article : Google Scholar : PubMed/NCBI | |
|
Asano J, Nakano A, Oda A, Amou H, Hiasa M, Takeuchi K, Miki H, Nakamura S, Harada T, Fujii S, et al: The serine/threonine kinase Pim-2 is a novel anti-apoptotic mediator in myeloma cells. Leukemia. 25:1182–1188. 2011. View Article : Google Scholar : PubMed/NCBI | |
|
Dai H, Li R, Wheeler T, Diaz de Vivar A, Frolov A, Tahir S, Agoulnik I, Thompson T, Rowley D and Ayala G: Pim-2 upregulation: Biological implications associated with disease progression and perinueral invasion in prostate cancer. Prostate. 65:276–286. 2005. View Article : Google Scholar : PubMed/NCBI | |
|
Gong J, Wang J, Ren K, Liu C, Li B and Shi Y: Serine/threonine kinase Pim-2 promotes liver tumorigenesis induction through mediating survival and preventing apoptosis of liver cell. J Surg Res. 153:17–22. 2009. View Article : Google Scholar : PubMed/NCBI | |
|
Wang Z, Zhang Y, Gu JJ, Davitt C, Reeves R and Magnuson NS: Pim-2 phosphorylation of p21(Cip1/WAF1) enhances its stability and inhibits cell proliferation in HCT116 cells. Int J Biochem Cell Biol. 42:1030–1038. 2010. View Article : Google Scholar : PubMed/NCBI | |
|
van der Lugt NM, Domen J, Verhoeven E, Linders K, van der Gulden H, Allen J and Berns A: Proviral tagging in E mu-myc transgenic mice lacking the Pim-1 proto-oncogene leads to compensatory activation of Pim-2. EMBO J. 14:2536–2544. 1995.PubMed/NCBI | |
|
Morishita D, Katayama R, Sekimizu K, Tsuruo T and Fujita N: Pim kinases promote cell cycle progression by phosphorylating and down-regulating p27Kip1 at the transcriptional and posttranscriptional levels. Cancer Res. 68:5076–5085. 2008. View Article : Google Scholar : PubMed/NCBI | |
|
Losman J, Chen XP, Jiang H, Pan PY, Kashiwada M, Giallourakis C, Cowan S, Foltenyi K and Rothman P: IL-4 signaling is regulated through the recruitment of phosphatases, kinases, and SOCS proteins to the receptor complex. Cold Spring Harb Symp Quant Biol. 64:405–416. 1999. View Article : Google Scholar : PubMed/NCBI | |
|
Cohen AM, Grinblat B, Bessler H, Kristt D, Kremer A, Schwartz A, Halperin M, Shalom S, Merkel D and Don J: Increased expression of the hPim-2 gene in human chronic lymphocytic leukemia and non-Hodgkin lymphoma. Leuk Lymphoma. 45:951–955. 2004. View Article : Google Scholar : PubMed/NCBI | |
|
Gomez-Abad C, Pisonero H, Blanco-Aparicio C, Roncador G, González-Menchén A, Martinez-Climent JA, Mata E, Rodríguez ME, Muñoz-González G, Sánchez-Beato M, et al: PIM2 inhibition as a rational therapeutic approach in B-cell lymphoma. Blood. 118:5517–5527. 2011. View Article : Google Scholar : PubMed/NCBI | |
|
Lu J, Zavorotinskaya T, Dai Y, Niu XH, Castillo J, Sim J, Yu J, Wang Y, Langowski JL and Holash J: Pim2 is required for maintaining multiple myeloma cell growth through modulating TSC2 phosphorylation. Blood. 122:1610–1620. 2013. View Article : Google Scholar : PubMed/NCBI | |
|
Harper JW, Elledge SJ, Keyomarsi K, Dynlacht B, Tsai LH, Zhang P, Dobrowolski S, Bai C, Connell-Crowley L, Swindell E, et al: Inhibition of cyclin-dependent kinases by p21. Mol Biol Cell. 6:387–400. 1995. View Article : Google Scholar : PubMed/NCBI | |
|
Harbour JW, Luo RX, Dei Santi A, Postigo AA and Dean DC: Cdk phosphorylation triggers sequential intramolecular interactions that progressively block Rb functions as cells move through G1. Cell. 98:859–869. 1999. View Article : Google Scholar : PubMed/NCBI | |
|
Mlynarczyk C and Fåhraeus R: Endoplasmic reticulum stress sensitizes cells to DNA damage-induced apoptosis through p53-dependent suppression of p21(CDKN1A). Nat Commun. 5:50672014. View Article : Google Scholar : PubMed/NCBI | |
|
Gartel AL and Tyner AL: Transcriptional regulation of the p21((WAF1/CIP1)) gene. Exp Cell Res. 246:280–289. 1999. View Article : Google Scholar : PubMed/NCBI | |
|
Livak KJ and Schmittgen TD: Analysis of relative gene expression data using real-time quantitative PCR and the 2(-Delta Delta C(T)) method. Methods. 25:402–408. 2001. View Article : Google Scholar : PubMed/NCBI | |
|
Gartel AL, Serfas MS and Tyner AL: p21-negative regulator of the cell cycle. Proc Soc Exp Biol Med. 213:pp. 138–149. 1996; View Article : Google Scholar : PubMed/NCBI | |
|
Weinberg RA: The retinoblastoma protein and cell cycle control. Cell. 81:323–330. 1995. View Article : Google Scholar : PubMed/NCBI | |
|
Bertoli C, Skotheim JM and de Bruin RA: Control of cell cycle transcription during G1 and S phases. Nat Rev Mol Cell Biol. 14:518–528. 2013. View Article : Google Scholar : PubMed/NCBI | |
|
Lowe SW and Lin AW: Apoptosis in cancer. Carcinogenesis. 21:485–495. 2000. View Article : Google Scholar : PubMed/NCBI | |
|
Amaravadi R and Thompson CB: The survival kinases Akt and Pim as potential pharmacological targets. J Clin Invest. 115:2618–2624. 2005. View Article : Google Scholar : PubMed/NCBI | |
|
Jiang JX, Mikami K, Venugopal S, Li Y and Török NJ: Apoptotic body engulfment by hepatic stellate cells promotes their survival by the JAK/STAT and Akt/NF-kappaB-dependent pathways. J Hepatol. 51:139–148. 2009. View Article : Google Scholar : PubMed/NCBI | |
|
Gartel AL and Radhakrishnan SK: Lost in transcription: p21 repression, mechanisms, and consequences. Cancer Res. 65:3980–3985. 2005. View Article : Google Scholar : PubMed/NCBI | |
|
Loewer A, Batchelor E, Gaglia G and Lahav G: Basal dynamics of p53 reveal transcriptionally attenuated pulses in cycling cells. Cell. 142:89–100. 2010. View Article : Google Scholar : PubMed/NCBI | |
|
Hogan C, Hutchison C, Marcar L, Milne D, Saville M, Goodlad J, Kernohan N and Meek D: Elevated levels of oncogenic protein kinase Pim-1 induce the p53 pathway in cultured cells and correlate with increased Mdm2 in mantle cell lymphoma. J Biol Chem. 283:18012–18023. 2008. View Article : Google Scholar : PubMed/NCBI | |
|
Ren K, Zhang W, Shi Y and Gong J: Pim-2 activates API-5 to inhibit the apoptosis of hepatocellular carcinoma cells through NF-kappaB pathway. Pathol Oncol Res. 16:229–237. 2010. View Article : Google Scholar : PubMed/NCBI | |
|
Hammerman PS, Fox CJ, Cinalli RM, Xu A, Wagner JD, Lindsten T and Thompson CB: Lymphocyte transformation by Pim-2 is dependent on nuclear factor-kappaB activation. Cancer Res. 64:8341–8348. 2004. View Article : Google Scholar : PubMed/NCBI | |
|
White E: The pims and outs of survival signaling: Role for the Pim-2 protein kinase in the suppression of apoptosis by cytokines. Genes Dev. 17:1813–1816. 2003. View Article : Google Scholar : PubMed/NCBI | |
|
Xia Y, Shen S and Verma IM: NF-κB, an active player in human cancers. Cancer Immunol Res. 2:823–830. 2014. View Article : Google Scholar : PubMed/NCBI | |
|
Fox CJ, Hammerman PS, Cinalli RM, Master SR, Chodosh LA and Thompson CB: The serine/threonine kinase Pim-2 is a transcriptionally regulated apoptotic inhibitor. Genes Dev. 17:1841–1854. 2003. View Article : Google Scholar : PubMed/NCBI | |
|
Ghosh S, Tergaonkar V, Rothlin CV, Correa RG, Bottero V, Bist P, Verma IM and Hunter T: Essential role of tuberous sclerosis genes TSC1 and TSC2 in NF-kappaB activation and cell survival. Cancer Cell. 10:215–226. 2006. View Article : Google Scholar : PubMed/NCBI |