Spandidos Publications Logo
  • About
    • About Spandidos
    • Aims and Scopes
    • Abstracting and Indexing
    • Editorial Policies
    • Reprints and Permissions
    • Job Opportunities
    • Terms and Conditions
    • Contact
  • Journals
    • All Journals
    • Oncology Letters
      • Oncology Letters
      • Information for Authors
      • Editorial Policies
      • Editorial Board
      • Aims and Scope
      • Abstracting and Indexing
      • Bibliographic Information
      • Archive
    • International Journal of Oncology
      • International Journal of Oncology
      • Information for Authors
      • Editorial Policies
      • Editorial Board
      • Aims and Scope
      • Abstracting and Indexing
      • Bibliographic Information
      • Archive
    • Molecular and Clinical Oncology
      • Molecular and Clinical Oncology
      • Information for Authors
      • Editorial Policies
      • Editorial Board
      • Aims and Scope
      • Abstracting and Indexing
      • Bibliographic Information
      • Archive
    • Experimental and Therapeutic Medicine
      • Experimental and Therapeutic Medicine
      • Information for Authors
      • Editorial Policies
      • Editorial Board
      • Aims and Scope
      • Abstracting and Indexing
      • Bibliographic Information
      • Archive
    • International Journal of Molecular Medicine
      • International Journal of Molecular Medicine
      • Information for Authors
      • Editorial Policies
      • Editorial Board
      • Aims and Scope
      • Abstracting and Indexing
      • Bibliographic Information
      • Archive
    • Biomedical Reports
      • Biomedical Reports
      • Information for Authors
      • Editorial Policies
      • Editorial Board
      • Aims and Scope
      • Abstracting and Indexing
      • Bibliographic Information
      • Archive
    • Oncology Reports
      • Oncology Reports
      • Information for Authors
      • Editorial Policies
      • Editorial Board
      • Aims and Scope
      • Abstracting and Indexing
      • Bibliographic Information
      • Archive
    • Molecular Medicine Reports
      • Molecular Medicine Reports
      • Information for Authors
      • Editorial Policies
      • Editorial Board
      • Aims and Scope
      • Abstracting and Indexing
      • Bibliographic Information
      • Archive
    • World Academy of Sciences Journal
      • World Academy of Sciences Journal
      • Information for Authors
      • Editorial Policies
      • Editorial Board
      • Aims and Scope
      • Abstracting and Indexing
      • Bibliographic Information
      • Archive
    • International Journal of Functional Nutrition
      • International Journal of Functional Nutrition
      • Information for Authors
      • Editorial Policies
      • Editorial Board
      • Aims and Scope
      • Abstracting and Indexing
      • Bibliographic Information
      • Archive
    • International Journal of Epigenetics
      • International Journal of Epigenetics
      • Information for Authors
      • Editorial Policies
      • Editorial Board
      • Aims and Scope
      • Abstracting and Indexing
      • Bibliographic Information
      • Archive
    • Medicine International
      • Medicine International
      • Information for Authors
      • Editorial Policies
      • Editorial Board
      • Aims and Scope
      • Abstracting and Indexing
      • Bibliographic Information
      • Archive
  • Articles
  • Information
    • Information for Authors
    • Information for Reviewers
    • Information for Librarians
    • Information for Advertisers
    • Conferences
  • Language Editing
Spandidos Publications Logo
  • About
    • About Spandidos
    • Aims and Scopes
    • Abstracting and Indexing
    • Editorial Policies
    • Reprints and Permissions
    • Job Opportunities
    • Terms and Conditions
    • Contact
  • Journals
    • All Journals
    • Biomedical Reports
      • Information for Authors
      • Editorial Policies
      • Editorial Board
      • Aims and Scope
      • Abstracting and Indexing
      • Bibliographic Information
      • Archive
    • Experimental and Therapeutic Medicine
      • Information for Authors
      • Editorial Policies
      • Editorial Board
      • Aims and Scope
      • Abstracting and Indexing
      • Bibliographic Information
      • Archive
    • International Journal of Epigenetics
      • Information for Authors
      • Editorial Policies
      • Editorial Board
      • Aims and Scope
      • Abstracting and Indexing
      • Bibliographic Information
      • Archive
    • International Journal of Functional Nutrition
      • Information for Authors
      • Editorial Policies
      • Editorial Board
      • Aims and Scope
      • Abstracting and Indexing
      • Bibliographic Information
      • Archive
    • International Journal of Molecular Medicine
      • Information for Authors
      • Editorial Policies
      • Editorial Board
      • Aims and Scope
      • Abstracting and Indexing
      • Bibliographic Information
      • Archive
    • International Journal of Oncology
      • Information for Authors
      • Editorial Policies
      • Editorial Board
      • Aims and Scope
      • Abstracting and Indexing
      • Bibliographic Information
      • Archive
    • Medicine International
      • Information for Authors
      • Editorial Policies
      • Editorial Board
      • Aims and Scope
      • Abstracting and Indexing
      • Bibliographic Information
      • Archive
    • Molecular and Clinical Oncology
      • Information for Authors
      • Editorial Policies
      • Editorial Board
      • Aims and Scope
      • Abstracting and Indexing
      • Bibliographic Information
      • Archive
    • Molecular Medicine Reports
      • Information for Authors
      • Editorial Policies
      • Editorial Board
      • Aims and Scope
      • Abstracting and Indexing
      • Bibliographic Information
      • Archive
    • Oncology Letters
      • Information for Authors
      • Editorial Policies
      • Editorial Board
      • Aims and Scope
      • Abstracting and Indexing
      • Bibliographic Information
      • Archive
    • Oncology Reports
      • Information for Authors
      • Editorial Policies
      • Editorial Board
      • Aims and Scope
      • Abstracting and Indexing
      • Bibliographic Information
      • Archive
    • World Academy of Sciences Journal
      • Information for Authors
      • Editorial Policies
      • Editorial Board
      • Aims and Scope
      • Abstracting and Indexing
      • Bibliographic Information
      • Archive
  • Articles
  • Information
    • For Authors
    • For Reviewers
    • For Librarians
    • For Advertisers
    • Conferences
  • Language Editing
Login Register Submit
  • This site uses cookies
  • You can change your cookie settings at any time by following the instructions in our Cookie Policy. To find out more, you may read our Privacy Policy.

    I agree
Search articles by DOI, keyword, author or affiliation
Search
Advanced Search
presentation
Oncology Letters
Join Editorial Board Propose a Special Issue
Print ISSN: 1792-1074 Online ISSN: 1792-1082
Journal Cover
April-2018 Volume 15 Issue 4

Full Size Image

Sign up for eToc alerts
Recommend to Library

Journals

International Journal of Molecular Medicine

International Journal of Molecular Medicine

International Journal of Molecular Medicine is an international journal devoted to molecular mechanisms of human disease.

International Journal of Oncology

International Journal of Oncology

International Journal of Oncology is an international journal devoted to oncology research and cancer treatment.

Molecular Medicine Reports

Molecular Medicine Reports

Covers molecular medicine topics such as pharmacology, pathology, genetics, neuroscience, infectious diseases, molecular cardiology, and molecular surgery.

Oncology Reports

Oncology Reports

Oncology Reports is an international journal devoted to fundamental and applied research in Oncology.

Experimental and Therapeutic Medicine

Experimental and Therapeutic Medicine

Experimental and Therapeutic Medicine is an international journal devoted to laboratory and clinical medicine.

Oncology Letters

Oncology Letters

Oncology Letters is an international journal devoted to Experimental and Clinical Oncology.

Biomedical Reports

Biomedical Reports

Explores a wide range of biological and medical fields, including pharmacology, genetics, microbiology, neuroscience, and molecular cardiology.

Molecular and Clinical Oncology

Molecular and Clinical Oncology

International journal addressing all aspects of oncology research, from tumorigenesis and oncogenes to chemotherapy and metastasis.

World Academy of Sciences Journal

World Academy of Sciences Journal

Multidisciplinary open-access journal spanning biochemistry, genetics, neuroscience, environmental health, and synthetic biology.

International Journal of Functional Nutrition

International Journal of Functional Nutrition

Open-access journal combining biochemistry, pharmacology, immunology, and genetics to advance health through functional nutrition.

International Journal of Epigenetics

International Journal of Epigenetics

Publishes open-access research on using epigenetics to advance understanding and treatment of human disease.

Medicine International

Medicine International

An International Open Access Journal Devoted to General Medicine.

Journal Cover
April-2018 Volume 15 Issue 4

Full Size Image

Sign up for eToc alerts
Recommend to Library

  • Article
  • Citations
    • Cite This Article
    • Download Citation
    • Create Citation Alert
    • Remove Citation Alert
    • Cited By
  • Similar Articles
    • Related Articles (in Spandidos Publications)
    • Similar Articles (Google Scholar)
    • Similar Articles (PubMed)
  • Download PDF
  • Download XML
  • View XML
Case Report

An unusual presentation of pneumothorax associated with cystic lung metastasis from epithelioid sarcoma: A case report and review of the literature

  • Authors:
    • Manabu Hoshi
    • Naoto Oebisu
    • Tadashi Iwai
    • Makoto Ieguchi
    • Yoshitaka Ban
    • Hiroaki Nakamura
  • View Affiliations / Copyright

    Affiliations: Department of Orthopaedic Surgery, Osaka City University Graduate School of Medicine, Abeno, Osaka 545‑8585, Japan
  • Pages: 4531-4534
    |
    Published online on: January 26, 2018
       https://doi.org/10.3892/ol.2018.7868
  • Expand metrics +
Metrics: Total Views: 0 (Spandidos Publications: | PMC Statistics: )
Metrics: Total PDF Downloads: 0 (Spandidos Publications: | PMC Statistics: )
Cited By (CrossRef): 0 citations Loading Articles...

This article is mentioned in:



Abstract

Circumscribed solid nodules are common in pulmonary metastases from sarcoma, but cystic pulmonary metastases from sarcomas are extremely rare. An unusual case of a 33‑year‑old man presenting with left spontaneous pneumothorax in association with cystic pulmonary metastases from an epithelioid sarcoma in the left forearm was discussed in the present study. The patient underwent wide resection of an epithelioid sarcoma in the left forearm 6 years prior. Periodical computed tomography revealed a gradual increase in the number and size of bilateral multiple cystic pulmonary metastases despite repeated chemotherapy treatment. At 33 years of age, the patient visited the outpatient department for sudden left chest pain and dyspnea. Plain radiography demonstrated spontaneous pneumothorax in the left lung; chest tube insertion and pleurodesis were successfully performed thereafter. At the last follow‑up, 24 months after spontaneous pneumothorax, he is still alive and receiving chemotherapy treatment. Spontaneous pneumothorax is a common complication associated with cystic pulmonary metastases from epithelioid sarcoma. Orthopedic oncologists need to be aware of this unusual sarcomatous metastasis during the follow-up of advanced epithelioid sarcoma.

Introduction

Pulmonary metastases from sarcomas form well-circumscribed nodules. The incidence of cystic pulmonary metastasis caused by a soft tissue tumor is extremely rare. When a pulmonary cyst is not accompanied by nodules, it may not be readily identified as a pulmonary metastasis (1). Previously, seven cases with pulmonary cystic metastases from an epithelioid sarcoma have been reported in the English literature (1–7). We report the case of an epithelioid sarcoma of the left forearm, with cystic metastasis to the lung in a 33-year-old man presenting with left spontaneous pneumothorax during repeated chemotherapy treatment; we also reviewed the literature. The clinical behavior of this rare presentation of epithelioid sarcoma is discussed.

This patient and his families were informed that the data from his case would be submitted for publication, and provided consent.

Case report

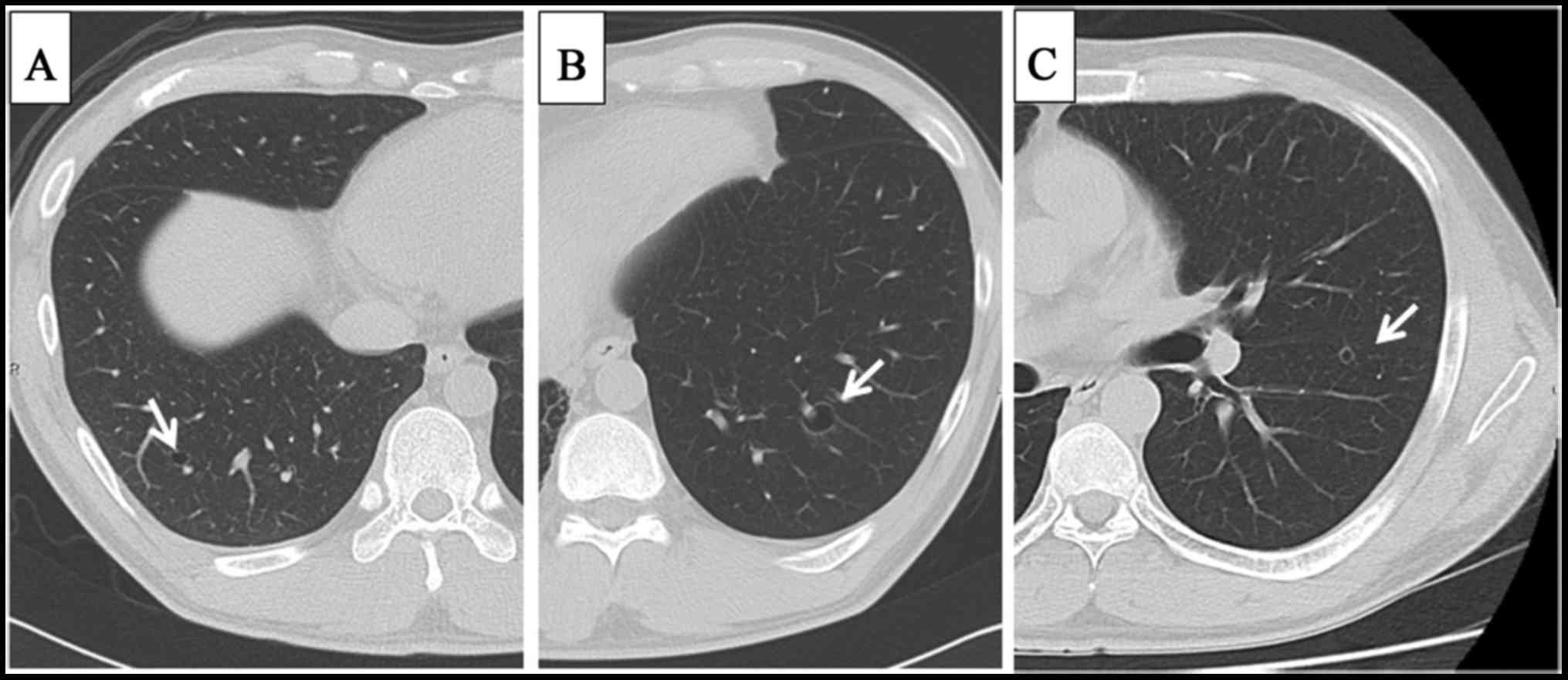
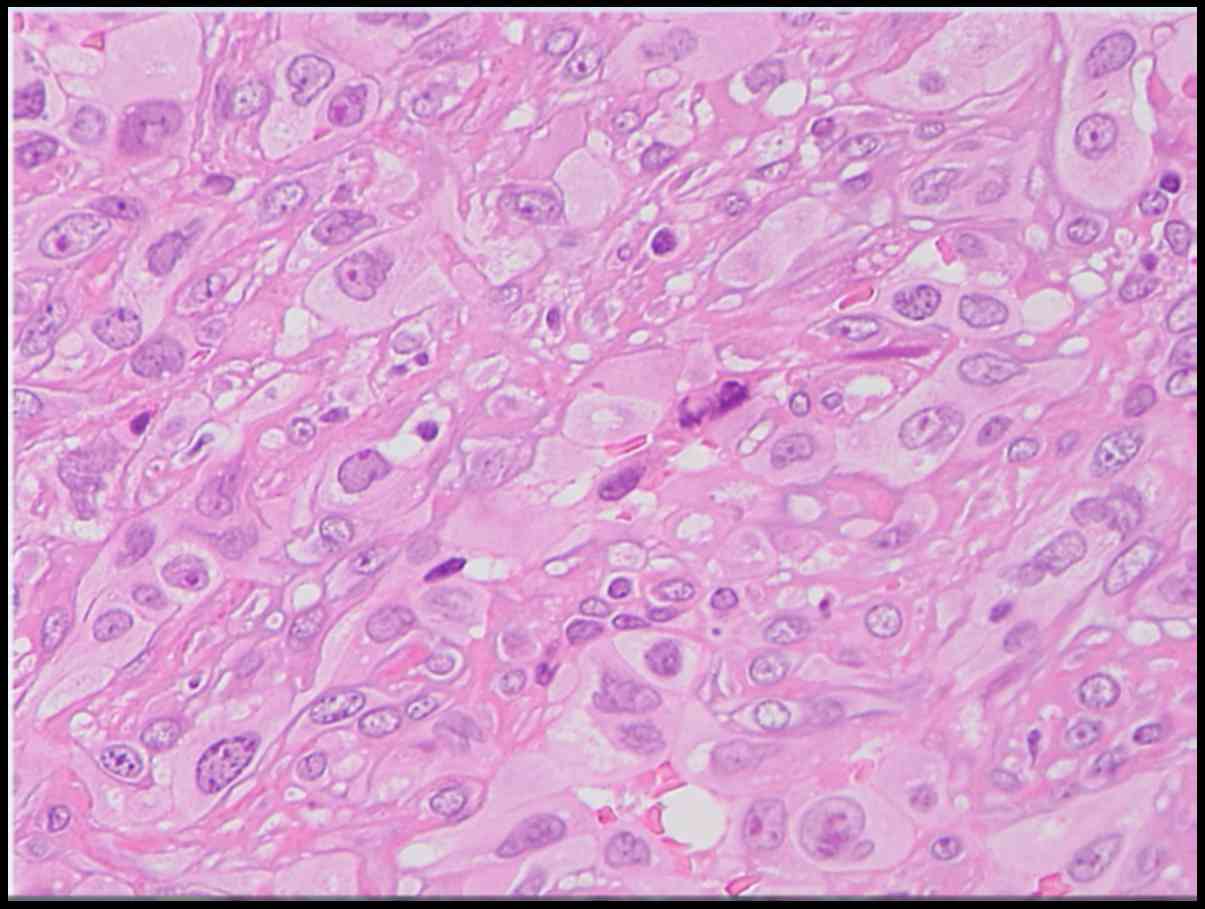
A 33-year old man presented with sudden dyspnea and chest pain on the left side. The patient had undergone wide resection of an epithelioid sarcoma in the left forearm (Fig. 1) and pre- and post-operative chemotherapy treatment 6 years prior. Four years ago, he complained of continuous bloody sputum. A solid nodule of sarcomatous metastasis appeared in the right lung, and histological examination via bronchoscopy confirmed the pulmonary metastases from the epithelioid sarcoma (Fig. 2). Following histological confirmation, he started receiving repeated chemotherapy treatments, composed of doxorubicin (DOX; 60 mg/m2)/ifosfamide (IFM; 10 g/m2), ifosfamide (IFM; 15 g/m2), docetaxel (DTX; 75 mg/m2)/gemcitabine (GEM; 900 mg/m2), and methotrexate (MTX; 10 g/m2). Despite repeated chemotherapy treatments, multiple small, thin-walled cystic metastases in bilateral lungs appeared on computed tomography (CT) examination (Fig. 3), and the number and size of cystic metastases increased in 4 years.

Figure 1.

The primary tumor of the patient in the left forearm on coronal view of (A) the enhanced T1-weighted image; the tumor sounded the left ulna and extended to the subcutaneous on axial view of (B) the T2-weighted image.

Figure 2.

Microscopically, the tumor was composed of nests and sheets of large epithelioid cells, which is consistent with epithelioid sarcoma (hematoxylin and eosin staining; magnification, ×400).

Figure 3.

Pulmonary computed tomography demonstrated cystic pulmonary metastases (white arrows) in the right lung (A) and left lung (B and C).

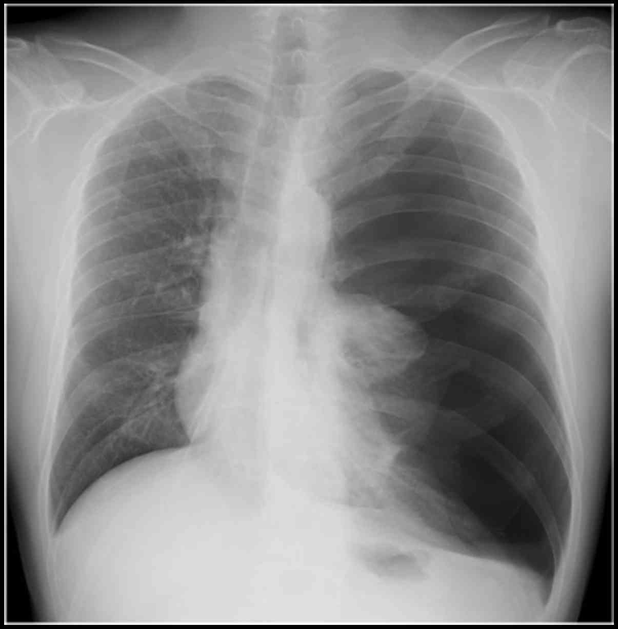
Plain radiography and CT displayed spontaneous pneumothorax in the left lung (Fig. 4). Chest tube placement and pleurodesis in the right lung were performed. Complete pulmonary expansion was achieved. Thereafter, he began receiving chemotherapy again, and 2 years have passed since the recovery from pneumothorax. At the last follow-up, the patient was living with multiple cystic pulmonary metastases, and he developed bone metastases in the rib, sacrum, and left femur; cystic pulmonary metastases gradually appeared, and radiotherapy was administered to each bone metastasis.

Figure 4.

Plain radiograpy showing pneumothorax in the left lung.

Discussion

Epithelioid sarcoma is a rare malignant tumor with an incidence of 0.6–1.0% among sarcomas (8,9), and has an extremely poor prognosis. Metastases develop in 40–50% of patients, usually after repeated recurrences, and frequently involve the lung and regional lymph node (10). Pulmonary metastases from sarcomas usually appear on CT as small, solid, rounded peripheral nodules. Pulmonary cystic metastasis from sarcoma is extremely rare. Only seven previous studies in English on cystic pulmonary metastases from epithelioid sarcoma have been described (1–7).

In our patient, the cystic lesion was not evident on chest radiograpy, but was well visible with CT. CT has been shown to be more sensitive in the detection of small metastatic foci. Small cystic pulmonary lesions are also best visualized with CT. Cystic change associated with primary lung cancer is relatively frequent. Cystic pulmonary metastases usually form a thin smooth wall similar to an emphysematous bulla or a pneumatocele (2). The accurate differential diagnosis of a cavity metastasis from a benign bulla and primary lung cancer is critically important. Metastatic tumor nodules are easily recognizable when many solid tumor nodules are also present. When few or no solid lesions are seen, however, cavity tumor nodules must be differentiated from primary lung cancer, primary benign cystic pulmonary disease (2,11,12). Ultimately, the detailed pathological diagnosis is mandatory to determine a cystic change in sarcoma.

An additional complication of pulmonary metastases is the occurrence of spontaneous pneumothorax. Spontaneous pneumothorax associated with metastatic tumor is a rare condition, despite that sarcomatous pulmonary metastases are relatively common. According to the previous paper by Hoag et al (13), the incidence of pneumothorax was between 5 to 10 per 100,000 per year, and the prevalence of spontaneous pneumothorax in sarcoma was calculated to be 1.9%. Additionally, Hoag et al (13) reviewed 126 cases with pneumothorax secondary to sarcomatous metastases, and the common histologies were found to be osteogenic sarcoma (31.4%), angiosarcoma (18.3%), synovial sarcoma (8.5%), and epithelioid sarcoma (1.3%). Transpleural rupture of subpleural cysts may result in the development of pneumothoraces (14,15).

On reviewing the previously reported seven cases of cystic pulmonary metastases from epithelioid sarcoma (Table I), most cases were found to have multiple metastases in bilateral lungs, and pneumothorax was reported to be a frequent complication (85.7%). Four cases with cystic pulmonary metastases presented with bilateral pneumothorax, two cases presented with unilateral pneumothorax, and only one presented without pneumothorax.

Table I.

Previous case reports of cystic pulmonary metastases from epithelioid sarcoma.

Table I.

Previous case reports of cystic pulmonary metastases from epithelioid sarcoma.

Lung metastases

CaseAuthor, yearAge/sexPrimary lesionLungNumberInitial symptomPneumothoraxTreatment for lungMetastases at other sitesFollow-upOutcome(Refs.)
1Hasegawa et al, 199929/FForearmBilateralMultiplePneumothoraxBilateralThoracotomyUpper arm7 yearsAlive(1)
2Chan et al, 200342/MThighBilateralMultipleIdentification by CTBilateralThoracotomy Mesh pleurodesisNoneN/AAlive(2)
3Kikuchi et al, 200639/FHandBilateralMultiplePneumothoraxBilateralThoracotomyNone38 monthsDead(3)
4Choi et al, 200835/MScaipBilateralMultipleIdentification by CTNoneN/ANoneN/AN/A(4)
5Liu et al, 201130/MHandN/AN/AIdentification by CTRightNoneArm, Shoulder, ScalpN/AN/A(5)
6Chong and Casserly31/MForearmBilateralMultiplePleuritisBilateralPleurodesisNoneN/ADead(6)
7Jeon et al, 201642/MPerianal areaBilateralMultiplePleural effusionRightThoracotomyInguinal lymph node3 monthsDead(7)
8The present case33MForearmBilateralMultipleIdentification by CTRightPleurodesisRib, pelvis, femur24 monthsAlive

[i] CT, computed tomography; N/A, not available; Ref, reference.

Regarding the treatment of pneumothorax, Chan et al (2) reported a case of recurrent spontaneous pneumothorax requiring surgery for the cystic lesions. Traweek et al (14) proposed that these lesions must be surgically removed from the patients. On reviewing 153 cases of spontaneous pneumothorax-complicated sarcoma by Hoag et al (13), chest tube placement was performed most commonly (73.2%), followed by thoracic surgery (36.1%), pleurodesis (21.6%), and aspiration (13.4%).

In the present case, pleurodesis was successfully achieved. In the previous seven cases with pneumothorax of epithelioid sarcoma (Table I), thoracotomies were required in four cases, and pleurodesis in two cases. Considering the treatment of pneumothorax associated with cystic metastases from epithelioid sarcoma, chest tube placement must be performed immediately, and then thoracic surgery should be performed if all lung metastases are locally resectable. In patients with multiple lung metastases, it may be advisable to start systemic chemotherapy promptly at first in pleurodesis. If pleurodesis is not effective, thoracic surgery is considerable.

Although, lung metastasis occasionally undergoes a cystic change from a solid nodule due to central necrosis in the natural cancer course, in the present case, the patient continued to receive repeated chemotherapies of DOX/IFM, IFM, DTX/GEM, and MTX. It is suggested that chemotherapeutic agents are likely to be effective for microscopic lung metastases and responsible for the discharge of necrotic materials inside, resulting in cystic changes in the lung. Moreover, the necrosis of a peripherally located pulmonary metastasis in response to chemotherapy is likely to be responsible for pneumothorax (14).

After spontaneous pneumothorax, Hoag et al (13) reported that the prognoses of sarcomas after pneumothorax is generally poor, with 50% mortality between 4 and 5 months, and 75% with 1-year mortality; furthermore, less than 10% cases survived more than 2 years. However, from the review of previous reports concerning pneumothorax from epithelioid sarcomas, tumor progression with cystic pulmonary metastases of epithelioid sarcoma may be less aggressive. Only one case (7) resulted in death within 3 months due to massive pleural effusion from the first visit. Besides this case, most patients survive for several years even if a pneumothorax due to multiple pulmonary metastases is found. In the present case, the patient was alive 24 months after the development of a spontaneous pneumothorax.

At the follow-up, lung metastasis from sarcoma is common. Close lung follow-up is required by the orthopedic oncologist. Pulmonary metastasis from sarcomas is generally well-circumscribed and solid nodules. However, whether the lung nodule is cystic or non-cystic, careful attention must be paid every three months at least when the nodule size and numbers of are increasing in the lung.

In conclusion, pulmonary metastases forming small, solid, rounded peripheral nodules from soft tissue sarcoma are very common, but cystic pulmonary metastases from epithelioid sarcomas are extremely rare. Additionally, pneumothorax formation is a very common complication associated with cystic pulmonary metastases. For orthopedic oncologists, close observation is mandatory to gain awareness of this serious complication during follow-up in the advanced stage of epithelioid sarcoma. Tumor progression after pneumothorax appears to be less aggressive compared to that for pneumothorax of other sarcoma types.

Acknowledgements

We would like to thank Yuko Kuwae for pathological examinations and interpretations.

References

1 

Hasegawa S, Inui K, Kamakari K, Kotoura Y, Suzuki K and Fukumoto M: Pulmonary cysts as the sole metastatic manifestation of soft tissue sarcoma: Case report and consideration of the pathogenesis. Chest. 116:263–265. 1999. View Article : Google Scholar : PubMed/NCBI

2 

Chan DP, Griffith JF, Lee TW, Chow LT and Yim AP: Cystic pulmonary metastases from epithelioid cell sarcoma. Ann Thorac Surg. 75:1652–1654. 2003. View Article : Google Scholar : PubMed/NCBI

3 

Kikuchi E, Kinoshita I, Yamazaki K, Itoh T, Shimizu T, Shimizu H and Nishimura M: Epithelioid sarcoma presenting as pulmonary cysts with cancer antigen 125 expression. Respirology. 11:826–829. 2006. View Article : Google Scholar : PubMed/NCBI

4 

Choi SY, Kim YH, Kwon JB, Suh JH, Shin OR and Hong SH: Epithelioid sarcoma metastatic to the lung as pulmonary cysts without other metastatic manifestation. J Thorac Oncol. 3:532–533. 2008. View Article : Google Scholar : PubMed/NCBI

5 

Liu Y, Ma X, Zang D, Zhou C and Zhang J: Epithelioid sarcoma with osteoporosis and pneumothorax. Eur J Dermatol. 21:296–297. 2011.PubMed/NCBI

6 

Chong SG and Casserly BP: An unusual cause of spontaneous recurrent pneumothoraces. Br J Hosp Med (Lond). 73:110–111. 2012. View Article : Google Scholar : PubMed/NCBI

7 

Jeon SY, Yhim HY and Lee NR: Epithelioid sarcoma with spontaneous pneumothorax and massive pleural effusion. Korean J Intern Med. 31:191–193. 2016. View Article : Google Scholar : PubMed/NCBI

8 

Ross HM, Lewis JJ, Woodruff JM and Brennan MF: Epithelioid sarcoma: Clinical behavior and prognostic factors of survival. Ann Surg Oncol. 4:491–495. 1997. View Article : Google Scholar : PubMed/NCBI

9 

Livi L, Shah N, Paiar F, Fisher C, Judson I, Moskovic E, Thomas M and Harmer C: Treatment of epithelioid sarcoma at the royal marsden hospital. Sarcoma. 7:149–152. 2003. View Article : Google Scholar : PubMed/NCBI

10 

Oda Y, Cin PD and Laskin WB: Epithelioid sarcoma. Fletcher CDM, Bridge JA, Hogendoorn PCW and Mertens F: World Health Organization Classification of Tumors of Soft Tissue and Bone, Lyon, International Agency for Research on Cancer. 1–217. 2013.

11 

Corrin B, Liebow AA and Friedman PJ: Pulmonary lymphangiomyomatosis. A review. Am J Pathol. 79:348–382. 1975.PubMed/NCBI

12 

Mark EJ: Mesenchymal cystic hamartoma of the lung. N Engl J Med. 315:1255–1259. 1986. View Article : Google Scholar : PubMed/NCBI

13 

Hoag JB, Sherman M, Fasihuddin Q and Lund ME: A comprehensive review of spontaneous pneumothorax complicating sarcoma. Chest. 138:510–518. 2010. View Article : Google Scholar : PubMed/NCBI

14 

Traweek T, Rotter AJ, Swartz W and Azumi N: Cystic pulmonary metastatic sarcoma. Cancer. 65:1805–1811. 1990. View Article : Google Scholar : PubMed/NCBI

15 

Somasekharan Nair KK, Zabell AS, Vo KL and Shaikh MA: Pneumothorax: A classical presentation of metastatic scalp angiosarcoma. Ann Thorac Surg. 94:e77–e78. 2012. View Article : Google Scholar : PubMed/NCBI

Related Articles

  • Abstract
  • View
  • Download
  • Twitter
Copy and paste a formatted citation
Spandidos Publications style
Hoshi M, Oebisu N, Iwai T, Ieguchi M, Ban Y and Nakamura H: An unusual presentation of pneumothorax associated with cystic lung metastasis from epithelioid sarcoma: A case report and review of the literature. Oncol Lett 15: 4531-4534, 2018.
APA
Hoshi, M., Oebisu, N., Iwai, T., Ieguchi, M., Ban, Y., & Nakamura, H. (2018). An unusual presentation of pneumothorax associated with cystic lung metastasis from epithelioid sarcoma: A case report and review of the literature. Oncology Letters, 15, 4531-4534. https://doi.org/10.3892/ol.2018.7868
MLA
Hoshi, M., Oebisu, N., Iwai, T., Ieguchi, M., Ban, Y., Nakamura, H."An unusual presentation of pneumothorax associated with cystic lung metastasis from epithelioid sarcoma: A case report and review of the literature". Oncology Letters 15.4 (2018): 4531-4534.
Chicago
Hoshi, M., Oebisu, N., Iwai, T., Ieguchi, M., Ban, Y., Nakamura, H."An unusual presentation of pneumothorax associated with cystic lung metastasis from epithelioid sarcoma: A case report and review of the literature". Oncology Letters 15, no. 4 (2018): 4531-4534. https://doi.org/10.3892/ol.2018.7868
Copy and paste a formatted citation
x
Spandidos Publications style
Hoshi M, Oebisu N, Iwai T, Ieguchi M, Ban Y and Nakamura H: An unusual presentation of pneumothorax associated with cystic lung metastasis from epithelioid sarcoma: A case report and review of the literature. Oncol Lett 15: 4531-4534, 2018.
APA
Hoshi, M., Oebisu, N., Iwai, T., Ieguchi, M., Ban, Y., & Nakamura, H. (2018). An unusual presentation of pneumothorax associated with cystic lung metastasis from epithelioid sarcoma: A case report and review of the literature. Oncology Letters, 15, 4531-4534. https://doi.org/10.3892/ol.2018.7868
MLA
Hoshi, M., Oebisu, N., Iwai, T., Ieguchi, M., Ban, Y., Nakamura, H."An unusual presentation of pneumothorax associated with cystic lung metastasis from epithelioid sarcoma: A case report and review of the literature". Oncology Letters 15.4 (2018): 4531-4534.
Chicago
Hoshi, M., Oebisu, N., Iwai, T., Ieguchi, M., Ban, Y., Nakamura, H."An unusual presentation of pneumothorax associated with cystic lung metastasis from epithelioid sarcoma: A case report and review of the literature". Oncology Letters 15, no. 4 (2018): 4531-4534. https://doi.org/10.3892/ol.2018.7868
Follow us
  • Twitter
  • LinkedIn
  • Facebook
About
  • Spandidos Publications
  • Careers
  • Cookie Policy
  • Privacy Policy
How can we help?
  • Help
  • Live Chat
  • Contact
  • Email to our Support Team