Spandidos Publications Logo
  • About
    • About Spandidos
    • Aims and Scopes
    • Abstracting and Indexing
    • Editorial Policies
    • Reprints and Permissions
    • Job Opportunities
    • Terms and Conditions
    • Contact
  • Journals
    • All Journals
    • Oncology Letters
      • Oncology Letters
      • Information for Authors
      • Editorial Policies
      • Editorial Board
      • Aims and Scope
      • Abstracting and Indexing
      • Bibliographic Information
      • Archive
    • International Journal of Oncology
      • International Journal of Oncology
      • Information for Authors
      • Editorial Policies
      • Editorial Board
      • Aims and Scope
      • Abstracting and Indexing
      • Bibliographic Information
      • Archive
    • Molecular and Clinical Oncology
      • Molecular and Clinical Oncology
      • Information for Authors
      • Editorial Policies
      • Editorial Board
      • Aims and Scope
      • Abstracting and Indexing
      • Bibliographic Information
      • Archive
    • Experimental and Therapeutic Medicine
      • Experimental and Therapeutic Medicine
      • Information for Authors
      • Editorial Policies
      • Editorial Board
      • Aims and Scope
      • Abstracting and Indexing
      • Bibliographic Information
      • Archive
    • International Journal of Molecular Medicine
      • International Journal of Molecular Medicine
      • Information for Authors
      • Editorial Policies
      • Editorial Board
      • Aims and Scope
      • Abstracting and Indexing
      • Bibliographic Information
      • Archive
    • Biomedical Reports
      • Biomedical Reports
      • Information for Authors
      • Editorial Policies
      • Editorial Board
      • Aims and Scope
      • Abstracting and Indexing
      • Bibliographic Information
      • Archive
    • Oncology Reports
      • Oncology Reports
      • Information for Authors
      • Editorial Policies
      • Editorial Board
      • Aims and Scope
      • Abstracting and Indexing
      • Bibliographic Information
      • Archive
    • Molecular Medicine Reports
      • Molecular Medicine Reports
      • Information for Authors
      • Editorial Policies
      • Editorial Board
      • Aims and Scope
      • Abstracting and Indexing
      • Bibliographic Information
      • Archive
    • World Academy of Sciences Journal
      • World Academy of Sciences Journal
      • Information for Authors
      • Editorial Policies
      • Editorial Board
      • Aims and Scope
      • Abstracting and Indexing
      • Bibliographic Information
      • Archive
    • International Journal of Functional Nutrition
      • International Journal of Functional Nutrition
      • Information for Authors
      • Editorial Policies
      • Editorial Board
      • Aims and Scope
      • Abstracting and Indexing
      • Bibliographic Information
      • Archive
    • International Journal of Epigenetics
      • International Journal of Epigenetics
      • Information for Authors
      • Editorial Policies
      • Editorial Board
      • Aims and Scope
      • Abstracting and Indexing
      • Bibliographic Information
      • Archive
    • Medicine International
      • Medicine International
      • Information for Authors
      • Editorial Policies
      • Editorial Board
      • Aims and Scope
      • Abstracting and Indexing
      • Bibliographic Information
      • Archive
  • Articles
  • Information
    • Information for Authors
    • Information for Reviewers
    • Information for Librarians
    • Information for Advertisers
    • Conferences
  • Language Editing
Spandidos Publications Logo
  • About
    • About Spandidos
    • Aims and Scopes
    • Abstracting and Indexing
    • Editorial Policies
    • Reprints and Permissions
    • Job Opportunities
    • Terms and Conditions
    • Contact
  • Journals
    • All Journals
    • Biomedical Reports
      • Information for Authors
      • Editorial Policies
      • Editorial Board
      • Aims and Scope
      • Abstracting and Indexing
      • Bibliographic Information
      • Archive
    • Experimental and Therapeutic Medicine
      • Information for Authors
      • Editorial Policies
      • Editorial Board
      • Aims and Scope
      • Abstracting and Indexing
      • Bibliographic Information
      • Archive
    • International Journal of Epigenetics
      • Information for Authors
      • Editorial Policies
      • Editorial Board
      • Aims and Scope
      • Abstracting and Indexing
      • Bibliographic Information
      • Archive
    • International Journal of Functional Nutrition
      • Information for Authors
      • Editorial Policies
      • Editorial Board
      • Aims and Scope
      • Abstracting and Indexing
      • Bibliographic Information
      • Archive
    • International Journal of Molecular Medicine
      • Information for Authors
      • Editorial Policies
      • Editorial Board
      • Aims and Scope
      • Abstracting and Indexing
      • Bibliographic Information
      • Archive
    • International Journal of Oncology
      • Information for Authors
      • Editorial Policies
      • Editorial Board
      • Aims and Scope
      • Abstracting and Indexing
      • Bibliographic Information
      • Archive
    • Medicine International
      • Information for Authors
      • Editorial Policies
      • Editorial Board
      • Aims and Scope
      • Abstracting and Indexing
      • Bibliographic Information
      • Archive
    • Molecular and Clinical Oncology
      • Information for Authors
      • Editorial Policies
      • Editorial Board
      • Aims and Scope
      • Abstracting and Indexing
      • Bibliographic Information
      • Archive
    • Molecular Medicine Reports
      • Information for Authors
      • Editorial Policies
      • Editorial Board
      • Aims and Scope
      • Abstracting and Indexing
      • Bibliographic Information
      • Archive
    • Oncology Letters
      • Information for Authors
      • Editorial Policies
      • Editorial Board
      • Aims and Scope
      • Abstracting and Indexing
      • Bibliographic Information
      • Archive
    • Oncology Reports
      • Information for Authors
      • Editorial Policies
      • Editorial Board
      • Aims and Scope
      • Abstracting and Indexing
      • Bibliographic Information
      • Archive
    • World Academy of Sciences Journal
      • Information for Authors
      • Editorial Policies
      • Editorial Board
      • Aims and Scope
      • Abstracting and Indexing
      • Bibliographic Information
      • Archive
  • Articles
  • Information
    • For Authors
    • For Reviewers
    • For Librarians
    • For Advertisers
    • Conferences
  • Language Editing
Login Register Submit
  • This site uses cookies
  • You can change your cookie settings at any time by following the instructions in our Cookie Policy. To find out more, you may read our Privacy Policy.

    I agree
Search articles by DOI, keyword, author or affiliation
Search
Advanced Search
presentation
Oncology Letters
Join Editorial Board Propose a Special Issue
Print ISSN: 1792-1074 Online ISSN: 1792-1082
Journal Cover
April-2018 Volume 15 Issue 4

Full Size Image

Sign up for eToc alerts
Recommend to Library

Journals

International Journal of Molecular Medicine

International Journal of Molecular Medicine

International Journal of Molecular Medicine is an international journal devoted to molecular mechanisms of human disease.

International Journal of Oncology

International Journal of Oncology

International Journal of Oncology is an international journal devoted to oncology research and cancer treatment.

Molecular Medicine Reports

Molecular Medicine Reports

Covers molecular medicine topics such as pharmacology, pathology, genetics, neuroscience, infectious diseases, molecular cardiology, and molecular surgery.

Oncology Reports

Oncology Reports

Oncology Reports is an international journal devoted to fundamental and applied research in Oncology.

Experimental and Therapeutic Medicine

Experimental and Therapeutic Medicine

Experimental and Therapeutic Medicine is an international journal devoted to laboratory and clinical medicine.

Oncology Letters

Oncology Letters

Oncology Letters is an international journal devoted to Experimental and Clinical Oncology.

Biomedical Reports

Biomedical Reports

Explores a wide range of biological and medical fields, including pharmacology, genetics, microbiology, neuroscience, and molecular cardiology.

Molecular and Clinical Oncology

Molecular and Clinical Oncology

International journal addressing all aspects of oncology research, from tumorigenesis and oncogenes to chemotherapy and metastasis.

World Academy of Sciences Journal

World Academy of Sciences Journal

Multidisciplinary open-access journal spanning biochemistry, genetics, neuroscience, environmental health, and synthetic biology.

International Journal of Functional Nutrition

International Journal of Functional Nutrition

Open-access journal combining biochemistry, pharmacology, immunology, and genetics to advance health through functional nutrition.

International Journal of Epigenetics

International Journal of Epigenetics

Publishes open-access research on using epigenetics to advance understanding and treatment of human disease.

Medicine International

Medicine International

An International Open Access Journal Devoted to General Medicine.

Journal Cover
April-2018 Volume 15 Issue 4

Full Size Image

Sign up for eToc alerts
Recommend to Library

  • Article
  • Citations
    • Cite This Article
    • Download Citation
    • Create Citation Alert
    • Remove Citation Alert
    • Cited By
  • Similar Articles
    • Related Articles (in Spandidos Publications)
    • Similar Articles (Google Scholar)
    • Similar Articles (PubMed)
  • Download PDF
  • Download XML
  • View XML
Article

Post-operative unadjuvanted therapeutic xenovaccination with chicken whole embryo vaccine suppresses distant micrometastases and prolongs survival in a murine Lewis lung carcinoma model

  • Authors:
    • Jan Aleksander Kraśko
    • Karolina Žilionytė
    • Adas Darinskas
    • Neringa Dobrovolskienė
    • Agata Mlynska
    • Svetlana Riabceva
    • Iosif Zalutsky
    • Marina Derevyanko
    • Vladimir Kulchitsky
    • Olga Karaman
    • Natalia Fedosova
    • Tatiana Vasyliyvna Symchych
    • Gennady Didenko
    • Vasyl Chekhun
    • Marius Strioga
    • Vita Pašukonienė
  • View Affiliations / Copyright

    Affiliations: Laboratory of Immunology, National Cancer Institute, Vilnius, Vilnius LT‑08660, Lithuania, Departments of Neurophysiology and Pathology, Institute of Physiology, Minsk, Minsk BY‑220072, Republic of Belarus, Laboratory of Oncoimmunology and Antitumour Vaccine Engineering, R.E. Kavetsky Institute of Experimental Pathology, Oncology and Radiobiology, NAS of Ukraine, Kyiv, Kyivs'ka 03022, Ukraine
  • Pages: 5098-5104
    |
    Published online on: February 5, 2018
       https://doi.org/10.3892/ol.2018.7950
  • Expand metrics +
Metrics: Total Views: 0 (Spandidos Publications: | PMC Statistics: )
Metrics: Total PDF Downloads: 0 (Spandidos Publications: | PMC Statistics: )
Cited By (CrossRef): 0 citations Loading Articles...

This article is mentioned in:



Abstract

Immunotherapy in the form of anticancer vaccination relies on the mobilization of the patient's immune system against specific cancer antigens. Instead of focusing on an autologous cell lysate, which is not always available in clinical practice, the present study investigates vaccines utilizing xenogeneic foetal tissue that are rich in oncofoetal antigens. Lewis lung carcinoma (LLC)‑challenged C57BL/6 mice were treated with either a xenogeneic vaccine made from chicken whole embryo, or a xenogeneic vaccine made from rat embryonic brain tissue, supplemented with a Bacillus subtilis protein fraction as an adjuvant. Median and overall survival, size of metastatic foci in lung tissue and levels of circulating CD8a+ T cells were evaluated and compared with untreated control mice. Following primary tumour removal, a course of three subcutaneous vaccinations with xenogeneic chicken embryo vaccine led to significant increase in overall survival rate (100% after 70 days of follow‑up vs. 40% in untreated control mice), significant increase in circulating CD8a+ T cells (18.18 vs. 12.6% in untreated control mice), and a significant decrease in the area and incidence of metastasis foci. The xenogeneic rat brain tissue‑based vaccine did not improve any of the investigated parameters, despite promising reports in other models. We hypothesize that the proper selection of antigen source (tissue) can constitute an effective immunotherapeutic product.

Introduction

Through the immunosurveillance process, the immune system is the main line of defence against cancer (1). Nevertheless, ~14 million cancer cases are diagnosed worldwide annually (2), indicating that, under certain circumstances, malignant cells can break the protective barrier of spontaneous antitumour immunity and develop into clinically detectable cancer. Malignant cells exploit various immune escape mechanisms, creating a microenvironment favourable for cancer growth and metastasis (3). Therefore, substantial effort has been initiated to manipulate antitumour immune responses by therapeutic interventions, known as cancer immunotherapy. Of the various types of cancer immunotherapy (4), therapeutic cancer vaccinations are one of the most extensively studied, with the first clinical trial in melanoma patients dating back to 1998 (5). Therapeutic cancer vaccinations exploit dendritic cells in situ and their unique capacity to induce and orchestrate antigen-specific immune responses (6). These vaccinations aim to reprogram imbalanced antitumour immunity by inducing or re-stimulating robust tumour-associated antigen (TAA)-specific cytotoxic immune responses (7).

The inherent tolerogenicity/low immunogenicity of TAAs is an obstacle to effective spontaneous and vaccination-induced antitumour immunity. Since all TAAs (apart from oncoviral TAAs) are derived from self-proteins, TAAs possess a certain degree of tolerance, depending on their type (4,8). Changes in the structure and/or expression pattern of TAAs should be sensed as a danger by the immune system and invoke its reactivity. However, TAAs with minor alterations can resemble self-proteins and sneak through the ‘detectors’ of the immune system (8). Therefore, a concept of xenogeneic immunization, using homologous antigens derived from different species (xenoantigens), was proposed to overcome immune tolerance to such sham TAAs (9–12). A number of genes are evolutionarily conserved between different animal species (13,14). However, interspecies sequence variations also exist (9,15,16). Therefore, homologous xenoantigens differ sufficiently from self-antigens to render them immunogenic, but preserve an optimal homology range with self-proteins enabling them to induce T cell cross-reactivity with self TAAs (9,16,17). Moreover, xenoepitopes can bind host major histocompatibility complex (MHC) molecules even more strongly compared with native homologous epitopes (15). Sustained xenogeneic peptide/MHC complexes induce more robust xenoantigen-specific T-cell responses that are cross-reactive with self TAAs.

Of the various TAAs, oncofoetal (18) and cancer-testis (CT) (19) antigens are of great interest in the context of tumour immunotherapy. These antigens are products of ‘silent’ genes whose expression is normally repressed in postnatal organisms with the exception of the immune-privileged organs, including the testes and placenta. The expression of these antigens can be aberrantly reactivated in cancer cells (19). CT antigens possess a high immunogenic potential since they are ‘unknown’ to the adult immune system (19). Oncofoetal antigens are usually not expressed in adult organisms, or are expressed in a limited quantity in specific organs. However, oncofoetal antigens can be expressed in cancer cells (20). Notably, antibodies against CT antigens were detected in patients with gastric and lung cancer, and were associated with prolonged survival time (21). Similarly, tumour-bearing mice expressed antibodies against chicken embryo protein (CEP)-containing vaccine even prior to the administration of the vaccine, indicating that the CEP vaccine (hereafter referred to as ‘xeno chicken’) contains antigens that were in common with various types of cancer, including Lewis lung carcinoma (LLC), Ehrlich carcinoma and Sarcoma 37 (22). This data supports the credibility of using prenatal tissues as a source of antigens in therapeutic cancer vaccines, with the aim of exploiting their strong intrinsic immunogenicity and potential in facilitating immune recognition. The availability of xenogeneic foetal tissue would make it an affordable form of treatment among others, which are very expensive immunotherapies. This potential is already being investigated in recent trials involving xenogeneic vaccines (23,24), where patients with stage III melanoma were treated with xenogeneic polyvalent vaccine, based on murine B16 and LLC tumours. The 5-year survival rate for patients treated with the vaccine was significantly better compared with the controls (55 vs. 18%).

The present study investigated the immunological and therapeutic (micrometastases-suppressing) efficacy of postoperative xenovaccination in a murine LLC model. In spite of the reports raising the question whether LLC and 3LL cell lines are actually the same cell line, all sources cited in the present study were using the LLC-labelled cell line for the LLC model, therefore this variant was used to maintain consistency across the studies. Two xenogeneic vaccines were investigated, a patented rat embryonic nervous tissue-based xenovaccine adjuvanated with a protein-containing metabolite of Bacillus subtilis В-7025 (25) and unadjuvanted whole chicken embryo xenogeneic vaccine (22).

Materials and methods

Mice and cell lines

A total of 30 C57BL/6 mice (8–12 weeks old; female) were obtained from the State Research Institute Centre for Innovative Medicine (Vilnius, Lithuania). The mice were housed in plastic cages (≤15 mice per cage) under normal daylight conditions with ad libitum access to water and food. All animal procedures were performed in accordance with the directive of the European Parliament and of the Council on the protection of animals used for scientific purposes (26) alongside the approval of Lithuania State Food and Veterinary Service. The mice were sacrificed by cervical dislocation.

The murine metastatic Lewis lung carcinoma LLC1 cell line was a gift from the RE Kavetsky Institute of Experimental Pathology, Oncology and Radiobiology (Kiev, Ukraine). The cells were cultivated in Dulbecco's modified Eagle's medium (Lonza Group, Ltd., Basel, Switzerland) containing 2 mM L-glutamine, 10% foetal bovine serum (Gibco; Thermo Fisher Scientific, Inc., Waltham, MA, USA), 100 U/ml penicillin and 100 µg/ml streptomycin (Gibco; Thermo Fisher Scientific, Inc.) in a humidified atmosphere containing 5% CO2 at 37°C.

Vaccine preparation

The rat embryo nervous tissue vaccine (‘xeno rat’ vaccine) used in the present study has been patented by the Ukrainian Intellectual Property Institute (27). The vaccine contains a protein fraction of nervous tissue from late gestation stage rat embryo (a source of TAAs) and an adjuvant, which is a protein-containing metabolite of B. subtilis В-7025 (molecular weight, 70 kDa) (27). The whole chicken embryo vaccine was prepared as follows: 7-day-old chicken embryos were rinsed twice briefly in cold 0.9% NaCl solution, homogenized and then extracted with 0.9% NaCl solution containing 0.1% EDTA for 60 min at 4°C by agitation. Following extraction, chicken embryo tissue was removed by centrifugation at 1,500 × g for 30 min at 4°C. The resulting supernatant containing chicken embryo protein was collected and frozen at −20°C (the ‘xeno chicken’ vaccine) (28,29). The two vaccines were developed at the R. E. Kavetsky Institute of Experimental Pathology, Oncology and Radiobiology (Kyiv, Ukraine).

Postoperative (adjuvant) therapeutic xenovaccination in the LLC model

On day 0, 30 C57BL/6 mice received a subcutaneous injection of 3×105 LLC cells in the left hind foot. The foot was chosen as the site of tumour inoculation owing to the ease of resection, which contributed to the 100% surgical survival rate in the present study. The hind foot was specifically chosen as mice recover better with their front legs intact. Although the tumours were located in the foot, no bleeding or self-harm was noted at the tumour site. On day 14 following injection, primary tumours were surgically removed by amputating the foot under general anaesthesia, using intraperitoneal ketamine (100 mg/kg)-xylazine (10 mg/kg) injections. The mice were allowed to recover under a heat lamp and were monitored for 2 h or until they were able to uphold an upright position, at which point they were returned to standard cages. The mice with the primary tumour removed were subsequently treated with either the xeno rat vaccine (n=10) or the xeno chicken vaccine (n=10). The mice that underwent surgical LLC removal and were receiving saline injections (n=10) served as the control group. The mice in each group were vaccinated as follows: Each vaccine was injected subcutaneously into the nape of the neck on days 17, 20 and 23. Internal organs were analysed for detection and characterization of LLC metastases in animals that has succumbed to disease. Blood samples were collected at various time points for analysis of cluster of differentiation 8+ (CD8+) T-lymphocyte population. The experimental design is depicted in Fig. 1.

Figure 1.

Experimental anticancer vaccination and sampling scheme for C57BL/6 mice challenged with LLC cells. Experiment design depicted from the time of tumor challenge (day 0) to the end of the survival observation (day 70). Figure presented previously (39).

Sampling

To assess the anticancer effects of the vaccines, mice lung and blood samples were obtained (Fig. 1). The lungs were analysed histologically for metastasis, as this is the preferred metastatic location for the LLC cell line (30). Other internal organs (liver, kidney, pancreas and brain) were visually analysed for metastases. Blood samples were collected from the hip vein prior to the onset of vaccination (on day 16), 3 days after the completion of therapeutic vaccination (on day 26) and at the end of the experiment (on day 70) from the surviving mice of each experimental group. The mice that were found to have succumbed or sacrificed owing to critical condition during the follow-up period underwent histological analysis, as did mice sacrificed at the end of the experiment.

The survival of mice was observed daily throughout the experiment. Owing to the primary tumour resection, tumour growth could not be used to establish a humane endpoint of the study. Therefore, a time limit of 70 days was introduced. The humane endpoint for individual mice was set subjectively by the technical staff, which were blinded to the purpose of the experiment, and euthanized the animal when they appeared to be in a critical condition. This procedure could only be applied within working hours (07:00-17:00) and at two time points during the weekends (mornings and evenings). Owing to these time constraints, one control mouse was not euthanized, but found to have succumbed at the beginning of the working day, which was fixed as the date of mortality. This event contributed to 8% of the total of mice that succumbed to disease by the end of the experiment.

Histological analysis of LLC metastases

For histological analysis, lung tissue was fixed in 10% neutral buffered formalin for 24 h at room temperature, dehydrated in alcohol baths at room temperature (70% for 12 h; 90% for 12 h; 100% for 24 h) and embedded in paraffin. The paraffinized samples were serially cut into sections (thickness, 3 µm) using a microtome. The sections were deparaffinized, rehydrated and stained with haematoxylin (15 min) and eosin (5 sec) at room temperature. Each section was examined under a light microscope to identify the tumour-infiltrated areas. The images were captured using an automated Leica DM50000 B microscope equipped with a Leica DFC420 C digital camera (Leica Microsystems, GmbH, Wetzlar, Germany). Images were processed and analysed using the ImageJ image analysis program (version 1.48 k; National Institutes of Health, Bethesda, MD, USA), as described previously (31). The area of all tumour nodules that were found in lung tissue was estimated using the ‘Freehand selection tool’ in ImageJ and measurements were expressed in mm2.

Flow cytometry

For analysis of CD8a+ T cell population, 100 µl blood were collected from the hip vein from each mouse. Whole blood was stained with anti-CD8-phycoerythrin (PE) (cat no. 552877; BD Biosciences, Franklin Lakes, NJ, USA) and anti-CD3-allophycocyanin (APC) (cat no. 553066, BD Biosciences) antibodies (1 µl/100 µl blood, 25 min incubation at room temperature). Erythrocytes were lysed using ACK Lysing buffer (Gibco; Thermo Fisher Scientific, Inc.). For FACS, 20,000 events were collected using BD FACSDiva™ 7.0 flow cytometer (BD Biosciences) and analyzed with FlowJo™ (version 10.2; FlowJo LLC, USA) software.

Statistical analysis

P≤0.05 was considered to indicate a statistically significant difference. For statistical analysis Statistica 12 (Tibco Software, Inc., La Jolla, CA, USA) software was used. Non-parametric Kruskal-Wallis was used for statistical survival data analysis of the animals surviving at the end of the experiment. Once this test was performed, Kaplan-Meier analysis followed by long-rank analysis was used for group analysis as it is the most widely used test for survival analysis (32). As it was shown that for smaller samples (n<50 per group) it is worth using a more powerful statistical test (33), Cox's F-test (34) was also used, as groups in this study were smaller than 50 specimens. Flow cytometry data was analysed using an unpaired, two-tailed Student's t-test (35). The differences between tumour areas in lung histological slides were assessed using the Mann-Whitney U-test (36).

Results

Survival of mice treated with postoperative therapeutic xenovaccination in the LLC-metastatic model

A total of 30 C57BL/6 female mice were subcutaneously injected with 3×105 LLC cells in the left hind-foot, and all of the mice developed visually detectable tumours at the injection site. On day 14, the foot with the primary tumour was surgically resected. No surgery-associated causalities were recorded. The mice were subsequently treated with either the xeno rat vaccine (n=10) or the xeno chicken vaccine (n=10) or injected with saline solution (n=10).

Mice treated with the xeno chicken vaccine maintained a 100% survival rate over the observation period of 70 days. The xeno chicken vaccine-treated mice survived significantly longer compared with the mice treated with the xeno rat-vaccine and control group animals [Kruskal-Wallis analysis, H (2, n=31)=9.644; P=0.008; Fig. 2].

Figure 2.

Kaplan-Meier survival curves for mice receiving adjuvant treatment with different xenogeneic vaccines following the removal of primary LLC-derived tumors. The mice that were treated with the xeno chicken vaccine survived significantly longer (mOS, 70 days) compared with the mice that were treated with the xeno rat vaccine (mOS, 60 days; P=0.003) and control group animals (mOS, 55 days; P=0.003). There was no significant difference in survival between the xeno rat and control groups. For each treatment arm, n=10. LLC, Lewis lung carcinoma; mOS, mean overall survival.

Xenovaccination-associated changes in circulating CD8a+ cytotoxic T-cell population

In each experimental group, blood samples were collected from the hip vein at three time points: i) On day 16 (i.e., two days after tumour removal and one day prior to the start of therapeutic xenovaccination); ii) on day 26 (two days after completion of therapeutic xenovaccination), and iii) on day 70 (at the end of the experiment for the surviving mice).

As shown in Fig. 3, a significant increase in circulating CD8a+ T-cell level was observed at the end of the observation period (day 70) only in mice treated with the xeno chicken vaccine.

Figure 3.

Percentage of CD8a+ T cells in circulating peripheral blood monocytes prior to therapeutic xenovaccination (day 16, white column), 3 days after the completion of xenovaccination (day 26, black columns) and at the end of the study (day 70, grey columns). There were no significant changes in the levels of circulating CD8a+ T cells 3 days after the completion of xenovaccination, compared with the levels prior to the start of vaccination (within and between the experimental arms). However, on day 70 (at the end of the observation period), the levels of circulating CD8a+ T cells were significantly higher in the surviving mice vaccinated with the xeno chicken vaccine (n=10) compared with surviving mice (n=4) in the control group (P=0.002) or in the Xeno Rat group (P=0.049). In xeno chicken vaccine-treated mice, the level of CD8a+ T cells on day 70 was significantly higher compared with the level on day 16 (following tumor removal, prior to xenovaccination) (P=0.036) and on day 26 (3 days after the completion of xenovaccination) (P=0.003). There were no significant differences in the levels of circulating CD8a+ T cells in the mice that were treated with xeno rat vaccines evaluated at different time points or comparing T-cell levels with those in control group animals. Additionally, there was a significantly lower CD8a+ T-cell population in the control mice at the end of the study (day 70) compared with the level following the completion of vaccination (day 16) (P=0.028). CD8a, cluster of differentiation 8a. *P≤0.05.

As indicated in Fig. 4, the results from the control (Fig. 4A), xeno rat (Fig. 4B) and xeno chicken (Fig. 4C) treatment groups are presented as histograms. Notably, a strong positive correlation (r=0.985, α=0.05) was established between mean overall survival (mOS) and circulating CD8a+ T-cell level.

Figure 4.

CD8a+ flow cytometric analysis. Histograms for the (A) control, (B) xeno rat and (C) xeno chicken treatment groups. CD8a, cluster of differentiation 8a.

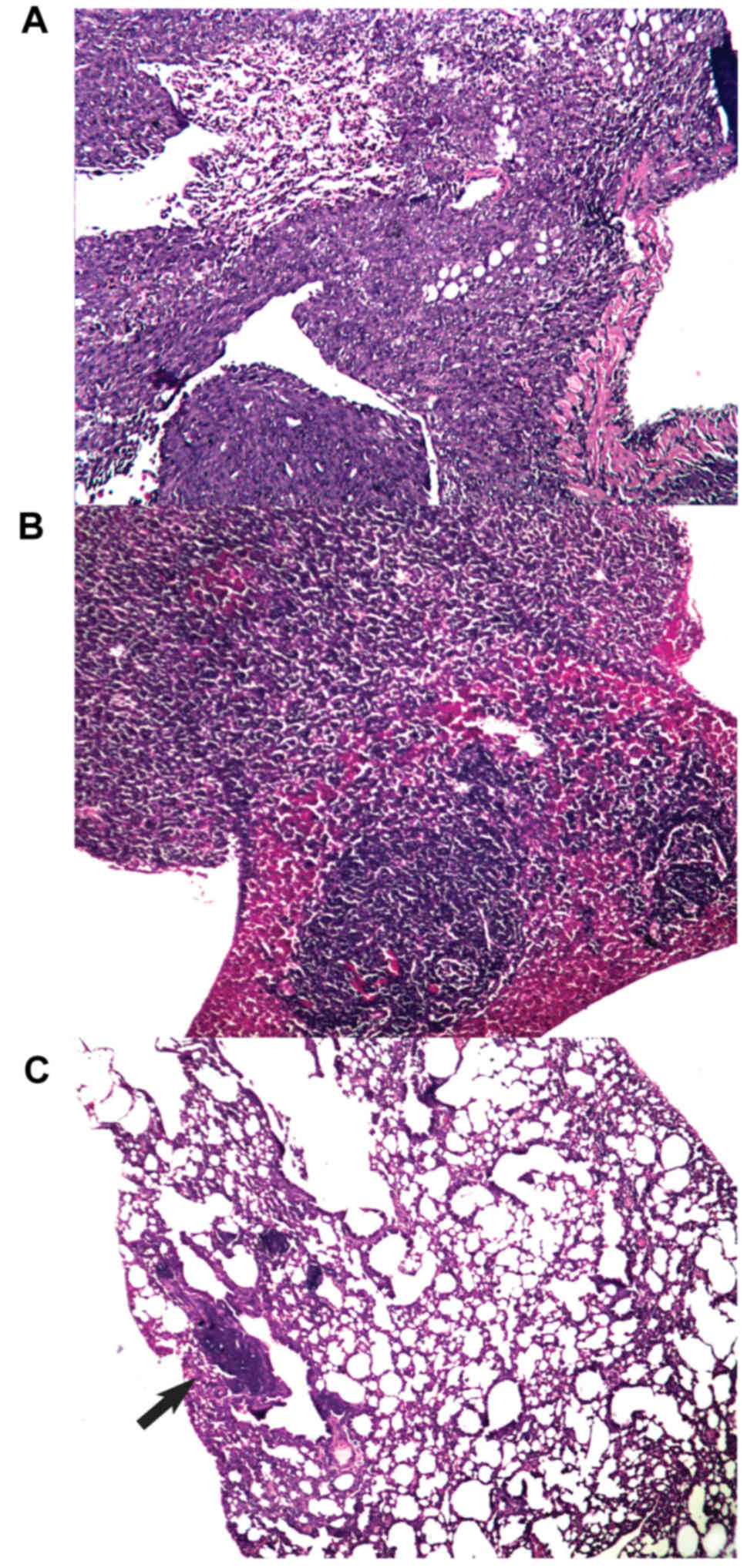
Effect of xenogeneic vaccines on metastatic spread into the lungs. All mice that succumbed to disease in any experimental arm during the observation period had metastatic infiltrates in the lungs. Additionally, all control mice had metastatic foci in the liver. On day 70 (at the end of the observation/experiment), metastatic foci in the lungs were detected in 3 out of 10 of the surviving mice that were treated with the xeno chicken vaccine and in 1 out of 4 of the surviving mice that were treated with the xeno rat vaccine. All surviving mice in the control group (n=4) had metastatic infiltrates in lung tissue (see Fig. 5 for representative images of metastatic infiltration). Notably, the analysis of lung metastases from animals with metastatic spread revealed that the mean area of metastatic foci in the xeno chicken vaccination group was significantly smaller compared with mice that were treated with xeno rat vaccine (0.04±0.001 mm2 vs. 1.812±0.647 mm2, respectively; P=0.034) or the control mice (1.62±0.2.2 mm2; P=0.027). However, metastatic foci in mice that were treated with xeno rat vaccine did not differ significantly from the foci detected in control mice (P=0.753).

Figure 5.

Histological analysis of lung samples from mice surviving the experiment (day 70). Histological slides from (A) control mice, (B) mice in the xeno rat experimental arm and (C) mice in the xeno chicken experimental arm. Metastatic foci (A and B) fill the whole field of view or are (C) indicated by an arrow. Magnification, ×100.

Discussion

The metastatic LLC model was introduced in the present study since the handling of oncological patients following primary tumour removal remains a challenge in modern oncology (37,38). Lungs were primarily investigated for metastatic spread owing to the known characteristic of the LLC cell line, which spreads preferentially to lung tissue (30).

Survival analysis (Fig. 2) revealed that the xeno rat vaccine (rat brain adjuvanted with B. subtilis) produced results that were not statistically significant from the control (P=0.989). The mice in the xeno chicken vaccine group exhibited a 100% survival rate throughout the observation period. However, metastasis data (Fig. 5) revealed that 33% of slides produced from the lungs of mice that were treated with the xeno chicken vaccine had metastatic infiltrates in them. However, the size of these foci was considerably smaller compared with the control or xeno rat groups.

The long-surviving xeno chicken vaccination group was characterized by the highest proportion of CD8a+ in circulating blood from all investigated groups (18.8% of T lymphocytes vs. 12,4% in Xeno Rat and 11,2% in control groups). This was a larger percentage compared with the value reported in a previous study (39), where a value of 16.6% CD8+ T lymphocytes was reported for an autologous lysate-based vaccine, which was considered to be clinically successful. The strong statistical correlation between the mean survival time and CD8a+ population size in the present study (r=0.985) indicates that cytotoxic T-lymphocytes may be a pivotal element in the vaccine-induced antitumour immune response, which is in agreement with data from the literature (40–44).

It is already recognized that individual xenogeneic vaccines do not work equally well against all types of cancer, as previously demonstrated for xeno chicken vaccine (22). Similarly, it was demonstrated in the present study that the xeno rat vaccine, which had a significant anti-metastatic effect following tumour resection on B16-bearing mice (25), does not succeed in the metastatic LLC setup. We hypothesize that, for the xeno rat vaccine, the cross-reactivity between the vaccine proteins and LLC antigens is inadequate, likely to be due to insufficient protein homology. In addition, distinct spectrum of TAAs in B16 melanoma and LCC lung cancer cells may be responsible for the xeno rat vaccine exhibiting activity in the former, but not the latter, tumour model, indicating that different xenovaccine formulations may be required for inducing or expanding immune responses against different tumours.

Moreover, in a previously investigated metastatic LLC model, where B. subtilis was used as an adjuvant for an autologous tumour lysate-based vaccine, B. subtilis failed to demonstrate satisfactory clinical benefit (39), and this underperformance was repeated in the present study. Various vaccines (preventive and therapeutic) are generally used with vaccine adjuvants that shape and potentiate the induced immune responses, thereby increasing the efficacy of vaccination (45,46). The present study, however, demonstrates that a unadjuvanted xenogeneic vaccine (xeno chicken) can be successfully applied, and the xenogeneic component of the vaccine can serve as sufficient adjuvant on in its own right.

Therapeutic cancer vaccinations are the source of a great deal of interest and following various clinical successes and failures continues to be promising for oncological patients (47), particularly in combinational therapy settings (48). Despite the investigation of various therapeutic vaccines and application regimes in a plethora of clinical studies (49), only sipuleucel-T (Provenge; Dendreon Pharmaceuticals LLC, Seal Beach, CA, USA) has been approved to treat patients with metastatic, asymptomatic, castration-resistant prostate cancer (50). This indicates that therapeutic cancer vaccination protocols should be optimized and standardized in terms of selection of appropriate TAAs, adjuvants and regimens (route, dose and frequency of treatments) of vaccine administration, preferably in combination with other cancer treatment modalities. One of the critical factors determining the activity of vaccination is the immunogenicity of TAAs used for vaccination. It is believed that xenogeneic TAAs have increased immunogenicity due to the lack of intrinsic tolerogenicity, which is characteristic of self-protein-derived TAAs (8). Polyvalent vaccines based on lysates, with a rich pool of various antigens, are advantageous as the broad spectrum of targets provides cover for possible immunoediting (51) and tumour escape (52). The insight into the clinical outcomes of various xenovaccination therapies, highlighted in the present study, may benefit such trials and further enhance the therapeutic potential of xenogeneic therapeutic cancer vaccination.

Various preventive and therapeutic vaccines are generally used with vaccine adjuvants that shape and potentiate the induced immune responses, thereby increasing the efficacy of vaccination (45,46). In a previously investigated metastatic LLC model, where B. subtilis was used as an adjuvant for an autologous tumour lysate-based vaccine, it failed to demonstrate satisfactory clinical benefits (39); an underperformance repeated in the present study. It is well established that the choice of an appropriate vaccine adjuvant is of critical importance, since inappropriate adjuvants may not only lack its desired activity, but also trigger tolerogenic immune response (53). Notably in the present study, it was revealed that the unadjuvanted xeno chicken vaccine was effective in terms of immune response and clinical outcome. The xenogeneic component of the vaccine may serve as a damage-associated molecular pattern that acts as an adjuvant. The identification of xenovaccine components that act as the source of immunogenic TAAs and as immune potentiators would allow for a reduction in the number of variables responsible for vaccine activity and the development of a more straightforward and standardised therapeutic product.

The results of the present study provide a further insight into the therapeutic potential of xenogeneic therapeutic cancer vaccinations, and may aid the direction of preclinical research and clinical trials in this field.

References

1 

Mittal D, Gubin MM, Schreiber RD and Smyth MJ: New insights into cancer immunoediting and its three component phases-elimination, equilibrium and escape. Curr Opin Immunol. 27:16–25. 2014. View Article : Google Scholar : PubMed/NCBI

2 

Ferlay J, Soerjomataram I, Ervik M, Dikshit R, Eser S, Mathers C, Rebelo M, Parkin DM, Forman D and Bray F: GLOBOCAN 2012 v1.0, Cancer Incidence and Mortality Worldwide: IARC Cancer Base No. 11 [Internet]. Lyon, France: 2013

3 

Zitvogel L, Tesniere A and Kroemer G: Cancer despite immunosurveillance: Immunoselection and immunosubversion. Nat Rev Immunol. 6:715–727. 2006. View Article : Google Scholar : PubMed/NCBI

4 

Galluzzi L, Vacchelli E, Bravo-San Pedro JM, et al: Classification of current anticancer immunotherapies. Oncotarget. 5:12472–12508. 2014. View Article : Google Scholar : PubMed/NCBI

5 

Nestle FO, Alijagic S, Gilliet M, Sun Y, Grabbe S, Dummer R, Burg G and Schadendorf D: Vaccination of melanoma patients with peptide- or tumor lysate-pulsed dendritic cells. Nat Med. 4:328–332. 1998. View Article : Google Scholar : PubMed/NCBI

6 

Strioga M, Schijns V, Powell DJ Jr, Pasukoniene V, Dobrovolskiene N and Michalek J: Dendritic cells and their role in tumor immunosurveillance. Innate Immun. 19:98–111. 2013. View Article : Google Scholar : PubMed/NCBI

7 

Strioga MM, Felzmann T, Powell DJ Jr, Ostapenko V, Dobrovolskiene NT, Matuskova M, Michalek J and Schijns VE: Therapeutic dendritic cell-based cancer vaccines: The state of the art. Crit Rev Immunol. 33:489–547. 2013. View Article : Google Scholar : PubMed/NCBI

8 

Strioga MM, Darinskas A, Pasukoniene V, Mlynska A, Ostapenko V and Schijns V: Xenogeneic therapeutic cancer vaccines as breakers of immune tolerance for clinical application: To use or not to use? Vaccine. 32:4015–4024. 2014. View Article : Google Scholar : PubMed/NCBI

9 

Weber LW, Bowne WB, Wolchok JD, Srinivasan R, Qin J, Moroi Y, Clynes R, Song P, Lewis JJ and Houghton AN: Tumor immunity and autoimmunity induced by immunization with homologous DNA. J Clin Invest. 102:1258–1264. 1998. View Article : Google Scholar : PubMed/NCBI

10 

Overwijk WW, Lee DS, Surman DR, Irvine KR, Touloukian CE, Chan CC, Carroll MW, Moss B, Rosenberg SA and Restifo NP: Vaccination with a recombinant vaccinia virus encoding a ‘self’ antigen induces autoimmune vitiligo and tumor cell destruction in mice: requirement for CD4(+) T lymphocytes. Proc Natl Acad Sci USA. 96:pp. 2982–2987. 1999; View Article : Google Scholar : PubMed/NCBI

11 

Wei YQ, Wang QR, Zhao X, Yang L, Tian L, Lu Y, Kang B, Lu CJ, Huang MJ, Lou YY, et al: Immunotherapy of tumors with xenogeneic endothelial cells as a vaccine. Nat Med. 6:1160–1166. 2000. View Article : Google Scholar : PubMed/NCBI

12 

Steitz J, Brück J, Steinbrink K, Enk A, Knop J and Tüting T: Genetic immunization of mice with human tyrosinase-related protein 2: Implications for the immunotherapy of melanoma. Int J Cancer. 86:89–94. 2000. View Article : Google Scholar : PubMed/NCBI

13 

Kornberg TB and Krasnow MA: The Drosophila genome sequence: Implications for biology and medicine. Science. 287:2218–2220. 2000. View Article : Google Scholar : PubMed/NCBI

14 

Nilsson S, Helou K, Walentinsson A, Szpirer C, Nerman O and Ståhl F: Rat-mouse and rat-human comparative maps based on gene homology and high-resolution zoo-FISH. Genomics. 74:287–298. 2001. View Article : Google Scholar : PubMed/NCBI

15 

Overwijk WW, Tsung A, Irvine KR, Parkhurst MR, Goletz TJ, Tsung K, Carroll MW, Liu C, Moss B, Rosenberg SA and Restifo NP: gp100/pmel 17 is a murine tumor rejection antigen: Induction of ‘self’-reactive, tumoricidal T cells using high-affinity, altered peptide ligand. J Exp Med. 188:277–286. 1998. View Article : Google Scholar : PubMed/NCBI

16 

Soong RS, Trieu J, Lee SY, He L, Tsai YC, Wu TC and Hung CF: Xenogeneic human p53 DNA vaccination by electroporation breaks immune tolerance to control murine tumors expressing mouse p53. PLoS One. 8:e569122013. View Article : Google Scholar : PubMed/NCBI

17 

Fong L, Brockstedt D, Benike C, Breen JK, Strang G, Ruegg CL and Engleman EG: Dendritic cell-based xenoantigen vaccination for prostate cancer immunotherapy. J Immunol. 167:7150–7156. 2001. View Article : Google Scholar : PubMed/NCBI

18 

Wepsic HT: Overview of oncofetal antigens in cancer. Ann Clin Lab Sci. 13:261–266. 1983.PubMed/NCBI

19 

Lim SH, Zhang Y and Zhang J: Cancer-testis antigens: The current status on antigen regulation and potential clinical use. Am J Blood Res. 2:29–35. 2012.PubMed/NCBI

20 

Malati T: Tumour markers: An overview. Indian J Clin Biochem. 22:17–31. 2007. View Article : Google Scholar : PubMed/NCBI

21 

Ohue Y, Wada H, Oka M and Nakayama E: Antibody response to cancer/testis (CT) antigens: A prognostic marker in cancer patients. Oncoimmunology. 3:e9700322014. View Article : Google Scholar : PubMed/NCBI

22 

Symchych TV, Fedosova NI, Karaman OM, Yevstratieva LM, Lisovenko HS, Voyejkova IM and Potebnia HP: The anticancer efficiency of the xenogeneic vaccine and the indication for its use. Exp Oncol. 36:79–84. 2014.PubMed/NCBI

23 

Seledtsova GV, Shishkov AA, Kaschenko EA, Goncharov AG, Gazatova ND and Seledtsov VI: Xenogeneic cell-based vaccine therapy for stage III melanoma: Safety, immune-mediated responses and survival benefits. Eur J Dermatol. 26:138–143. 2016.PubMed/NCBI

24 

Seledtsova GV, Shishkov AA, Kaschenko EA and Seledtsov VI: Xenogeneic cell-based vaccine therapy for colorectal cancer: Safety, association of clinical effects with vaccine-induced immune responses. Biomed Pharmacother. 83:1247–1252. 2016. View Article : Google Scholar : PubMed/NCBI

25 

Voeykova IM, Fedosova NI, Karaman OM, Yudina OY, Didenko GV, Lisovenko GS, Evstratieva LM and Potebnya GP: Use of xenogeneic vaccine modified with embryonal nervous tissue antigens in the treatment of B16-melanoma-bearing mice. Exp Oncol. 36:24–28. 2014.PubMed/NCBI

26 

Directive 2010/63/EU of the European Parliament and of the Council of 22 September 2010 on the protection of animals used for scientific purposes. 33–79. 2010.

27 

Potebnya GP VI, Yudina OYu, Fedosova NI, Karaman OM, Didenko GV, Yevstratyeva LM, Lisovenko GS and Chekhun VF: The way to generate cancer vaccine. UKRPATENT: Ukraine: 2013

28 

Isokawa K, Rezaee M, Wunsch A, Markwald RR and Krug EL: Identification of transferrin as one of multiple EDTA-extractable extracellular proteins involved in early chick heart morphogenesis. J Cell Biochem. 54:207–218. 1994. View Article : Google Scholar : PubMed/NCBI

29 

Symchych TV, Fedosova NI, Karaman ОМ, Yevstratieva LM, Lisovenko HS, Voyeykova IM and Potebnia HP: Anticancer effectiveness of vaccination based on xenogeneic embryo proteins applied in different schedules. Exp Oncol. 37:197–202. 2015.PubMed/NCBI

30 

Niu PG, Zhang YX, Shi DH, Liu Y, Chen YY and Deng J: Cardamonin inhibits metastasis of lewis lung carcinoma cells by decreasing mTOR activity. PLoS One. 10:e01277782015. View Article : Google Scholar : PubMed/NCBI

31 

Schneider CA, Rasband WS and Eliceiri KW: NIH Image to ImageJ: 25 years of image analysis. Nat Methods. 9:671–675. 2012. View Article : Google Scholar : PubMed/NCBI

32 

Bland JM and Altman DG: The logrank test. BMJ. 328:10732004. View Article : Google Scholar : PubMed/NCBI

33 

Judge GD, William EG, Hill RC and Lee TC: The theory and practise of econometrics. John Wiley & Sons; New York: pp. 7391980

34 

Box GEP and Cox DR: An analysis of transformations. J R Stat Soc. 26:211–252. 1964.

35 

Gosset WS: The probable error of a mean. Biometrica. 6:1–25. 1908. View Article : Google Scholar

36 

Mann HB and Whitney DR: On a test of whether one of two random variables is stochastically larger than the other. Ann Math Stat. 18:50–60. 1947. View Article : Google Scholar

37 

Schirrmacher V, Fournier P and Schlag P: Autologous tumor cell vaccines for post-operative active-specific immunotherapy of colorectal carcinoma: Long-term patient survival and mechanism of function. Expert Rev Vaccines. 13:117–130. 2014. View Article : Google Scholar : PubMed/NCBI

38 

Laufer I, Iorgulescu JB, Chapman T, Lis E, Shi W, Zhang Z, Cox BW, Yamada Y and Bilsky MH: Local disease control for spinal metastases following ‘separation surgery’ and adjuvant hypofractionated or high-dose single-fraction stereotactic radiosurgery: Outcome analysis in 186 patients. J Neurosurg Spine. 18:207–214. 2013. View Article : Google Scholar : PubMed/NCBI

39 

Kraśko JA, Žilionytė K, Darinskas A, Strioga M, Rjabceva S, Zalutsky I, Derevyanko M, Kulchitsky V, Lubitz W, Kudela P, et al: Bacterial ghosts as adjuvants in syngeneic tumour cell lysate-based anticancer vaccination in a murine lung carcinoma model. Oncol Rep. 37:171–178. 2017. View Article : Google Scholar : PubMed/NCBI

40 

Foged C, Hansen J and Agger EM: License to kill: Formulation requirements for optimal priming of CD8(+) CTL responses with particulate vaccine delivery systems. Eur J Pharm Sci. 45:482–491. 2012. View Article : Google Scholar : PubMed/NCBI

41 

Sandoval F, Terme M, Nizard M, Badoual C, Bureau MF, Freyburger L, Clement O, Marcheteau E, Gey A, Fraisse G, et al: Mucosal imprinting of vaccine-induced CD8(+)T cells is crucial to inhibit the growth of mucosal tumors. Sci Transl Med. 5:172ra1202013. View Article : Google Scholar

42 

Chen LJ, Zheng X, Shen YP, Zhu YB, Li Q, Chen J, Xia R, Zhou SM, Wu CP, Zhang XG, et al: Higher numbers of T-bet(+) intratumoral lymphoid cells correlate with better survival in gastric cancer. Cancer Immunol Immunother. 62:553–561. 2013. View Article : Google Scholar : PubMed/NCBI

43 

Noguchi A, Kaneko T, Naitoh K, Saito M, Iwai K, Maekawa R, Kamigaki T and Goto S: Impaired and imbalanced cellular immunological status assessed in advanced cancer patients and restoration of the T cell immune status by adoptive T-cell immunotherapy. Int Immunopharmacol. 18:90–97. 2014. View Article : Google Scholar : PubMed/NCBI

44 

Thiery J and Lieberman J: Perforin: A key pore-forming protein for immune control of viruses and cancer. Subcell Biochem. 80:197–220. 2014. View Article : Google Scholar : PubMed/NCBI

45 

Pérez O, Batista-Duharte A, González E, Zayas C, Balboa J, Cuello M, Cabrera O, Lastre M and Schijns VE: Human prophylactic vaccine adjuvants and their determinant role in new vaccine formulations. Braz J Med Biol Res. 45:681–692. 2012. View Article : Google Scholar : PubMed/NCBI

46 

Schijns V, Tartour E, Michalek J, Stathopoulos A, Dobrovolskiene NT and Strioga MM: Immune adjuvants as critical guides directing immunity triggered by therapeutic cancer vaccines. Cytotherapy. 16:427–439. 2014. View Article : Google Scholar : PubMed/NCBI

47 

Guo C, Manjili MH, Subjeck JR, Sarkar D, Fisher PB and Wang XY: Therapeutic cancer vaccines: Past, present, and future. Adv Cancer Res. 119:421–475. 2013. View Article : Google Scholar : PubMed/NCBI

48 

Andersen MH, Junker N, Ellebaek E, Svane IM and Thor Straten P: Therapeutic cancer vaccines in combination with conventional therapy. J Biomed Biotechnol. 2010:2376232010. View Article : Google Scholar : PubMed/NCBI

49 

Melero I, Gaudernack G, Gerritsen W, Huber C, Parmiani G, Scholl S, Thatcher N, Wagstaff J, Zielinski C, Faulkner I and Mellstedt H: Therapeutic vaccines for cancer: An overview of clinical trials. Nat Rev Clin Oncol. 11:509–524. 2014. View Article : Google Scholar : PubMed/NCBI

50 

Cheever MA and Higano CS: PROVENGE (Sipuleucel-T) in prostate cancer: The first FDA-approved therapeutic cancer vaccine. Clin Cancer Res. 17:3520–3526. 2011. View Article : Google Scholar : PubMed/NCBI

51 

Vesely MD and Schreiber RD: Cancer immunoediting: Antigens, mechanisms, and implications to cancer immunotherapy. Ann N Y Acad Sci. 1284:1–5. 2013. View Article : Google Scholar : PubMed/NCBI

52 

Dunn GP, Old LJ and Schreiber RD: The three Es of cancer immunoediting. Annu Rev Immunol. 22:329–360. 2004. View Article : Google Scholar : PubMed/NCBI

53 

Dang Y, Wagner WM, Gad E, Rastetter L, Berger CM, Holt GE and Disis ML: Dendritic cell-activating vaccine adjuvants differ in the ability to elicit antitumor immunity due to an adjuvant-specific induction of immunosuppressive cells. Clin Cancer Res. 18:3122–3131. 2012. View Article : Google Scholar : PubMed/NCBI

Related Articles

  • Abstract
  • View
  • Download
  • Twitter
Copy and paste a formatted citation
Spandidos Publications style
Kraśko JA, Žilionytė K, Darinskas A, Dobrovolskienė N, Mlynska A, Riabceva S, Zalutsky I, Derevyanko M, Kulchitsky V, Karaman O, Karaman O, et al: Post-operative unadjuvanted therapeutic xenovaccination with chicken whole embryo vaccine suppresses distant micrometastases and prolongs survival in a murine Lewis lung carcinoma model. Oncol Lett 15: 5098-5104, 2018.
APA
Kraśko, J.A., Žilionytė, K., Darinskas, A., Dobrovolskienė, N., Mlynska, A., Riabceva, S. ... Pašukonienė, V. (2018). Post-operative unadjuvanted therapeutic xenovaccination with chicken whole embryo vaccine suppresses distant micrometastases and prolongs survival in a murine Lewis lung carcinoma model. Oncology Letters, 15, 5098-5104. https://doi.org/10.3892/ol.2018.7950
MLA
Kraśko, J. A., Žilionytė, K., Darinskas, A., Dobrovolskienė, N., Mlynska, A., Riabceva, S., Zalutsky, I., Derevyanko, M., Kulchitsky, V., Karaman, O., Fedosova, N., Symchych, T. V., Didenko, G., Chekhun, V., Strioga, M., Pašukonienė, V."Post-operative unadjuvanted therapeutic xenovaccination with chicken whole embryo vaccine suppresses distant micrometastases and prolongs survival in a murine Lewis lung carcinoma model". Oncology Letters 15.4 (2018): 5098-5104.
Chicago
Kraśko, J. A., Žilionytė, K., Darinskas, A., Dobrovolskienė, N., Mlynska, A., Riabceva, S., Zalutsky, I., Derevyanko, M., Kulchitsky, V., Karaman, O., Fedosova, N., Symchych, T. V., Didenko, G., Chekhun, V., Strioga, M., Pašukonienė, V."Post-operative unadjuvanted therapeutic xenovaccination with chicken whole embryo vaccine suppresses distant micrometastases and prolongs survival in a murine Lewis lung carcinoma model". Oncology Letters 15, no. 4 (2018): 5098-5104. https://doi.org/10.3892/ol.2018.7950
Copy and paste a formatted citation
x
Spandidos Publications style
Kraśko JA, Žilionytė K, Darinskas A, Dobrovolskienė N, Mlynska A, Riabceva S, Zalutsky I, Derevyanko M, Kulchitsky V, Karaman O, Karaman O, et al: Post-operative unadjuvanted therapeutic xenovaccination with chicken whole embryo vaccine suppresses distant micrometastases and prolongs survival in a murine Lewis lung carcinoma model. Oncol Lett 15: 5098-5104, 2018.
APA
Kraśko, J.A., Žilionytė, K., Darinskas, A., Dobrovolskienė, N., Mlynska, A., Riabceva, S. ... Pašukonienė, V. (2018). Post-operative unadjuvanted therapeutic xenovaccination with chicken whole embryo vaccine suppresses distant micrometastases and prolongs survival in a murine Lewis lung carcinoma model. Oncology Letters, 15, 5098-5104. https://doi.org/10.3892/ol.2018.7950
MLA
Kraśko, J. A., Žilionytė, K., Darinskas, A., Dobrovolskienė, N., Mlynska, A., Riabceva, S., Zalutsky, I., Derevyanko, M., Kulchitsky, V., Karaman, O., Fedosova, N., Symchych, T. V., Didenko, G., Chekhun, V., Strioga, M., Pašukonienė, V."Post-operative unadjuvanted therapeutic xenovaccination with chicken whole embryo vaccine suppresses distant micrometastases and prolongs survival in a murine Lewis lung carcinoma model". Oncology Letters 15.4 (2018): 5098-5104.
Chicago
Kraśko, J. A., Žilionytė, K., Darinskas, A., Dobrovolskienė, N., Mlynska, A., Riabceva, S., Zalutsky, I., Derevyanko, M., Kulchitsky, V., Karaman, O., Fedosova, N., Symchych, T. V., Didenko, G., Chekhun, V., Strioga, M., Pašukonienė, V."Post-operative unadjuvanted therapeutic xenovaccination with chicken whole embryo vaccine suppresses distant micrometastases and prolongs survival in a murine Lewis lung carcinoma model". Oncology Letters 15, no. 4 (2018): 5098-5104. https://doi.org/10.3892/ol.2018.7950
Follow us
  • Twitter
  • LinkedIn
  • Facebook
About
  • Spandidos Publications
  • Careers
  • Cookie Policy
  • Privacy Policy
How can we help?
  • Help
  • Live Chat
  • Contact
  • Email to our Support Team