Spandidos Publications Logo
  • About
    • About Spandidos
    • Aims and Scopes
    • Abstracting and Indexing
    • Editorial Policies
    • Reprints and Permissions
    • Job Opportunities
    • Terms and Conditions
    • Contact
  • Journals
    • All Journals
    • Oncology Letters
      • Oncology Letters
      • Information for Authors
      • Editorial Policies
      • Editorial Board
      • Aims and Scope
      • Abstracting and Indexing
      • Bibliographic Information
      • Archive
    • International Journal of Oncology
      • International Journal of Oncology
      • Information for Authors
      • Editorial Policies
      • Editorial Board
      • Aims and Scope
      • Abstracting and Indexing
      • Bibliographic Information
      • Archive
    • Molecular and Clinical Oncology
      • Molecular and Clinical Oncology
      • Information for Authors
      • Editorial Policies
      • Editorial Board
      • Aims and Scope
      • Abstracting and Indexing
      • Bibliographic Information
      • Archive
    • Experimental and Therapeutic Medicine
      • Experimental and Therapeutic Medicine
      • Information for Authors
      • Editorial Policies
      • Editorial Board
      • Aims and Scope
      • Abstracting and Indexing
      • Bibliographic Information
      • Archive
    • International Journal of Molecular Medicine
      • International Journal of Molecular Medicine
      • Information for Authors
      • Editorial Policies
      • Editorial Board
      • Aims and Scope
      • Abstracting and Indexing
      • Bibliographic Information
      • Archive
    • Biomedical Reports
      • Biomedical Reports
      • Information for Authors
      • Editorial Policies
      • Editorial Board
      • Aims and Scope
      • Abstracting and Indexing
      • Bibliographic Information
      • Archive
    • Oncology Reports
      • Oncology Reports
      • Information for Authors
      • Editorial Policies
      • Editorial Board
      • Aims and Scope
      • Abstracting and Indexing
      • Bibliographic Information
      • Archive
    • Molecular Medicine Reports
      • Molecular Medicine Reports
      • Information for Authors
      • Editorial Policies
      • Editorial Board
      • Aims and Scope
      • Abstracting and Indexing
      • Bibliographic Information
      • Archive
    • World Academy of Sciences Journal
      • World Academy of Sciences Journal
      • Information for Authors
      • Editorial Policies
      • Editorial Board
      • Aims and Scope
      • Abstracting and Indexing
      • Bibliographic Information
      • Archive
    • International Journal of Functional Nutrition
      • International Journal of Functional Nutrition
      • Information for Authors
      • Editorial Policies
      • Editorial Board
      • Aims and Scope
      • Abstracting and Indexing
      • Bibliographic Information
      • Archive
    • International Journal of Epigenetics
      • International Journal of Epigenetics
      • Information for Authors
      • Editorial Policies
      • Editorial Board
      • Aims and Scope
      • Abstracting and Indexing
      • Bibliographic Information
      • Archive
    • Medicine International
      • Medicine International
      • Information for Authors
      • Editorial Policies
      • Editorial Board
      • Aims and Scope
      • Abstracting and Indexing
      • Bibliographic Information
      • Archive
  • Articles
  • Information
    • Information for Authors
    • Information for Reviewers
    • Information for Librarians
    • Information for Advertisers
    • Conferences
  • Language Editing
Spandidos Publications Logo
  • About
    • About Spandidos
    • Aims and Scopes
    • Abstracting and Indexing
    • Editorial Policies
    • Reprints and Permissions
    • Job Opportunities
    • Terms and Conditions
    • Contact
  • Journals
    • All Journals
    • Biomedical Reports
      • Information for Authors
      • Editorial Policies
      • Editorial Board
      • Aims and Scope
      • Abstracting and Indexing
      • Bibliographic Information
      • Archive
    • Experimental and Therapeutic Medicine
      • Information for Authors
      • Editorial Policies
      • Editorial Board
      • Aims and Scope
      • Abstracting and Indexing
      • Bibliographic Information
      • Archive
    • International Journal of Epigenetics
      • Information for Authors
      • Editorial Policies
      • Editorial Board
      • Aims and Scope
      • Abstracting and Indexing
      • Bibliographic Information
      • Archive
    • International Journal of Functional Nutrition
      • Information for Authors
      • Editorial Policies
      • Editorial Board
      • Aims and Scope
      • Abstracting and Indexing
      • Bibliographic Information
      • Archive
    • International Journal of Molecular Medicine
      • Information for Authors
      • Editorial Policies
      • Editorial Board
      • Aims and Scope
      • Abstracting and Indexing
      • Bibliographic Information
      • Archive
    • International Journal of Oncology
      • Information for Authors
      • Editorial Policies
      • Editorial Board
      • Aims and Scope
      • Abstracting and Indexing
      • Bibliographic Information
      • Archive
    • Medicine International
      • Information for Authors
      • Editorial Policies
      • Editorial Board
      • Aims and Scope
      • Abstracting and Indexing
      • Bibliographic Information
      • Archive
    • Molecular and Clinical Oncology
      • Information for Authors
      • Editorial Policies
      • Editorial Board
      • Aims and Scope
      • Abstracting and Indexing
      • Bibliographic Information
      • Archive
    • Molecular Medicine Reports
      • Information for Authors
      • Editorial Policies
      • Editorial Board
      • Aims and Scope
      • Abstracting and Indexing
      • Bibliographic Information
      • Archive
    • Oncology Letters
      • Information for Authors
      • Editorial Policies
      • Editorial Board
      • Aims and Scope
      • Abstracting and Indexing
      • Bibliographic Information
      • Archive
    • Oncology Reports
      • Information for Authors
      • Editorial Policies
      • Editorial Board
      • Aims and Scope
      • Abstracting and Indexing
      • Bibliographic Information
      • Archive
    • World Academy of Sciences Journal
      • Information for Authors
      • Editorial Policies
      • Editorial Board
      • Aims and Scope
      • Abstracting and Indexing
      • Bibliographic Information
      • Archive
  • Articles
  • Information
    • For Authors
    • For Reviewers
    • For Librarians
    • For Advertisers
    • Conferences
  • Language Editing
Login Register Submit
  • This site uses cookies
  • You can change your cookie settings at any time by following the instructions in our Cookie Policy. To find out more, you may read our Privacy Policy.

    I agree
Search articles by DOI, keyword, author or affiliation
Search
Advanced Search
presentation
Oncology Letters
Join Editorial Board Propose a Special Issue
Print ISSN: 1792-1074 Online ISSN: 1792-1082
Journal Cover
June-2018 Volume 15 Issue 6

Full Size Image

Sign up for eToc alerts
Recommend to Library

Journals

International Journal of Molecular Medicine

International Journal of Molecular Medicine

International Journal of Molecular Medicine is an international journal devoted to molecular mechanisms of human disease.

International Journal of Oncology

International Journal of Oncology

International Journal of Oncology is an international journal devoted to oncology research and cancer treatment.

Molecular Medicine Reports

Molecular Medicine Reports

Covers molecular medicine topics such as pharmacology, pathology, genetics, neuroscience, infectious diseases, molecular cardiology, and molecular surgery.

Oncology Reports

Oncology Reports

Oncology Reports is an international journal devoted to fundamental and applied research in Oncology.

Experimental and Therapeutic Medicine

Experimental and Therapeutic Medicine

Experimental and Therapeutic Medicine is an international journal devoted to laboratory and clinical medicine.

Oncology Letters

Oncology Letters

Oncology Letters is an international journal devoted to Experimental and Clinical Oncology.

Biomedical Reports

Biomedical Reports

Explores a wide range of biological and medical fields, including pharmacology, genetics, microbiology, neuroscience, and molecular cardiology.

Molecular and Clinical Oncology

Molecular and Clinical Oncology

International journal addressing all aspects of oncology research, from tumorigenesis and oncogenes to chemotherapy and metastasis.

World Academy of Sciences Journal

World Academy of Sciences Journal

Multidisciplinary open-access journal spanning biochemistry, genetics, neuroscience, environmental health, and synthetic biology.

International Journal of Functional Nutrition

International Journal of Functional Nutrition

Open-access journal combining biochemistry, pharmacology, immunology, and genetics to advance health through functional nutrition.

International Journal of Epigenetics

International Journal of Epigenetics

Publishes open-access research on using epigenetics to advance understanding and treatment of human disease.

Medicine International

Medicine International

An International Open Access Journal Devoted to General Medicine.

Journal Cover
June-2018 Volume 15 Issue 6

Full Size Image

Sign up for eToc alerts
Recommend to Library

  • Article
  • Citations
    • Cite This Article
    • Download Citation
    • Create Citation Alert
    • Remove Citation Alert
    • Cited By
  • Similar Articles
    • Related Articles (in Spandidos Publications)
    • Similar Articles (Google Scholar)
    • Similar Articles (PubMed)
  • Download PDF
  • Download XML
  • View XML
Article Open Access

Silibinin induces G1 arrest, apoptosis and JNK/SAPK upregulation in SW1990 human pancreatic cancer cells

  • Authors:
    • Xiaokai Zhang
    • Jiming Liu
    • Peng Zhang
    • Liting Dai
    • Zhihui Wu
    • Li Wang
    • Mingrong Cao
    • Jianwei Jiang
  • View Affiliations / Copyright

    Affiliations: Department of General Surgery, The First Affiliated Hospital, Jinan University, Guangzhou, Guangdong 510630, P.R. China, Department of Biochemistry, Medical College, Jinan University, Guangzhou, Guangdong 510630, P.R. China, Department of Laboratory, Panyu Center Hospital, Guangzhou, Guangdong 511400, P.R. China
    Copyright: © Zhang et al. This is an open access article distributed under the terms of Creative Commons Attribution License.
  • Pages: 9868-9876
    |
    Published online on: April 19, 2018
       https://doi.org/10.3892/ol.2018.8541
  • Expand metrics +
Metrics: Total Views: 0 (Spandidos Publications: | PMC Statistics: )
Metrics: Total PDF Downloads: 0 (Spandidos Publications: | PMC Statistics: )
Cited By (CrossRef): 0 citations Loading Articles...

This article is mentioned in:



Abstract

The aim of the present study was to investigate the inhibitory effect of silibinin on SW1990 pancreatic cancer cells. An MTT assay following silibinin treatment demonstrated an inhibitory effect on AsPC‑1 and SW1990 cells in a dose‑ and time‑dependent manner. Propidium iodide staining analysis identified the cell cycle arrest of G1 phase and western blotting analysis demonstrated that the expression levels of cyclin D1, cyclin E2, cyclin A and cyclin B1 were decreased. The expression of G1‑associated cell cycle‑dependent kinases, cyclin‑dependent kinase (CDK)4 and CDK6, were also decreased, whereas the expression of p15 (p15INK4B) was increased. In addition, after SW1990 cells were incubated with various concentrations of silibinin, early and late apoptotic cells were detected using flow cytometry. Silibinin increased the activities of caspase‑9 and caspase‑3, and subsequent cleavage of poly (ADP‑ribose) polymerase (PARP) was also observed. The expression levels of B‑cell lymphoma (Bcl)‑2, Bcl‑2‑like 1 and myeloid cell leukemia 1 were decreased, whereas the expression of Bcl‑like protein 4 did not alter and the expression levels of Bcl‑2‑like 1 small and Bcl‑2‑like protein 11 were increased. The expression levels of c‑Jun N‑terminal kinase (JNK) and phospho‑JNK were also increased. In conclusion, silibinin inhibited cell proliferation, induced cell cycle G1 arrest via upregulating p15INK4B and induced mitochondrial apoptosis via upregulating JNK/stress‑activated protein kinase (SAPK) signaling pathway in human pancreatic cancer SW1990 cells.

Introduction

Pancreatic cancer is one of the most frequently malignant gastrointestinal cancer types and has a high mortality rate for the majority of patients in advanced stages, with a median survival of 3–6 months and a 5-year survival rate of less than 5% (1). Pancreatic cancer ranks as the tenth highest incidence, and the sixth most frequent cause of mortality in China (2). In addition, the incidence and mortality rate of pancreatic cancer has been increasing yearly (3,4). The high mortality incidence is due to the tumors being frequently metastatic at the time of initial diagnosis, and despite an aggressive clinical approach systemic therapies fail to treat pancreatic cancer (5). There are no specific clinical symptoms in the early stages of the disease, and only mild symptoms will appear in stage I pancreatic cancer, including epigastric discomfort or indigestion. Surgery remains the primary treatment for pancreatic cancer; however, only 5–25% of patients with clinically diagnosed pancreatic cancer are eligible to receive surgical treatment. Following complete resection of tumors and adjuvant administration of gemcitabine, the median disease-free survival for patients with pancreatic cancer is 13.4 months. The 5-year survival rate following pancreatic cancer resection is <10%, and 50% of patients who have survived for 5 years succumb to recurrence of disease within the subsequent 5 years (6,7). With respect to the development of surgical treatments for pancreatic cancer, novel therapy options remain challenging.

Patients who are not recommended for surgical resection require adjuvant therapy, including chemotherapy and radiotherapy, to extend their survival. Currently, the chemotherapy drugs of choice for patients with pancreatic cancer are gemcitabine, capecitabine, fluorouracil, mitomycin, adriamycin and arsenic trioxide, and these are used in combination (8). However, as pancreatic cancer is frequently insensitive to chemotherapy, the curative effect of chemotherapy for this cancer type is poor (9). Therefore, it is important to identify chemotherapy drugs to which patients with pancreatic cancer are sensitive, or to identify alternative methods to improve the sensitivity of patients to chemotherapeutic agents. It is also important to reduce the side effects of radiation and chemotherapy to improve the therapeutic effects and the prognosis of patients with pancreatic cancer. There have been numerous previous studies that have focused on natural anti-tumor drugs, and there is increasing consideration of the anti-tumor effects of natural products. A group of anti-cancer drugs from natural products, including camptothecin and paclitaxel, have been established in clinical practice and have demonstrated a curative effect for certain types of cancer (10).

Silibinin is a flavonoid that is extracted from milk thistle plants and has traditionally been used for detoxification and in the treatment of liver diseases, as it is a natural drug that protects the liver (11). Silibinin has potential clinical value and has exhibited positive effects in the treatment of liver diseases, diabetes, mushroom poisoning, neurodegenerative diseases and numerous types of cancer (12,13).

In vitro and in vivo studies, silibinin has been established to have inhibitory effects in a number of cancer types, including cutaneous carcinoma, breast, cervical, prostate, colorectal, gastric carcinoma, bladder, lung, ovarian, kidney, tongue, hepatocellular carcinoma and leukemia (14). However, there have only been a small number of studies on the inhibition effects of silibinin on pancreatic cancer cells (15,16). Therefore, the present study used pancreatic cancer SW1990 cells as a model to investigate the inhibitory effects of silibinin on cell proliferation in pancreatic cancer.

Materials and methods

Cell lines and reagents

The LO2 human hepatic cell line and the AsPC-1 and SW1990 human pancreatic cancer cell lines were obtained from the Department of Biochemistry, Medical College of Jinan University (Guangzhou, China). All cells were maintained in RPMI-1640 supplemented with 5% fetal bovine serum at 37°C in 95% humidified air containing 5% CO2. Silibinin (Fig. 1A) was purchased from Sichuan Weikeqi Biological Technology Co., Ltd. (Chengdu, China).

Figure 1.

Inhibition of proliferation of LO2, AsPC-1 and SW1990 cells by silibinin. (A) Structure of silibinin. LO2, AsPC-1 and SW1990 cells were incubated with various concentrations of silibinin for (B) 24, (C) 48 and (D) 72 h. The cell inhibitory rates were determined using an MTT assay and the half maximal inhibitory concentration values were calculated as described. Each value represents the mean ± standard deviation of 3 independent experiments.

Fetal bovine serum, RPMI-1640, trypsin and EDTA were purchased from Gibco (Thermo Fisher Scientific, Inc., Waltham, MA, USA). MTT, dimethyl sulfoxide (DMSO), Annexin V-fluorescein isothiocyanate (FITC) and propidium iodide (PI) were purchased from Sigma-Aldrich (Merck KGaA, Darmstadt, Germany). The antibody against cleaved caspase-3 was purchased from Epitomics (Burlingame, CA, USA). Antibodies against cyclin D1 (cat. no. 2978; dilution 1:1,000), cyclin E2 (cat. no. 4132; dilution 1:1,000), cyclin A (cat. no. 4656; dilution 1:1,000), cyclin B2 (cat. no. 4135; dilution 1:1,000), cyclin-dependent kinase (CDK)4 (cat. no. 12790; dilution 1:1,000), CDK6 (cat. no. 13331; dilution 1:1,000), p15 (cat. no. 8762; dilution 1:1,000), p21 (cat. no. 2947; dilution 1:1,000), B-cell lymphoma 2 associated protein X (Bax; cat. no. 5023; dilution 1:1,000), B-cell lymphoma 2 (Bcl-2; cat. no. 15071; dilution 1:1,000), Bcl-2-like 1 (Bcl-xl; cat. no. 2764; dilution 1:1,000), myeloid cell leukemia 1(Mcl-1; cat. no. 94296; dilution 1:1,000), Bcl-2-like 1 small (Bcl-xs; cat. no. 2764; dilution 1:1,000), Bcl-2-like 11 (Bim; cat. no. 2933; dilution 1:1,000), Jun N-terminal kinase (JNK; cat. no. 9252; dilution 1:1,000), phosphorylated JNK (p-JNK; cat. no. 4668; dilution 1:1,000), caspase-9 (cat. no. 9508; dilution 1:1,000), caspase-3 (cat. no. 9665; dilution 1:1,000), poly (ADP-ribose) polymerase (PARP; cat. no. 9532; dilution 1:1,000), GAPDH (cat. no. 5174; dilution 1:1,000) and horseradish peroxidase-conjugated goat anti-rabbit immunoglobulin G secondary antibody (cat. no. 7054; dilution, 1:5,000), and horseradish peroxidase-conjugated goat anti-mouse immunoglobulin G secondary antibody (cat. no. 7056; dilution, 1:5,000) were purchased from Cell Signaling Technology, Inc. (Danvers, MA, USA).

Cell growth and viability assay

Cell growth and viability were measured using an MTT assay. The normal liver cell LO2 and human pancreatic cancer AsPC-1 and SW1990 cell lines in logarithmic growth phase were seeded into 96-well plates at a density of 5×103 cells/well and incubated at 37°C overnight. Subsequently, the cells were treated with varying concentrations of silibinin (50, 100, 200, 300, 400 and 500 µM) and DMSO (<0.1%) was used as the vehicle control (5 repeats were performed in each group). Cells were incubated for 24 to 72 h in standard culture conditions (37°C containing 5% CO2). Subsequently, 20 µl MTT (5 mg/ml) reagent was added to each well followed by an additional incubation of 4 h at 37°C. The supernatants were discarded and 150 µl of DMSO was added, and the cells were agitated to dissolve the purple precipitate. A spectrophotometer was used to measure the absorbance at a wavelength of 570 nm. The cell inhibitory rate was calculated using the following equation: Cell inhibitory rate=(1-Atreatment/Ablank) ×100%, where A was the absorbance.

Flow cytometry analysis for cell cycle distribution

SW1990 cells in the logarithmic growth phase were seeded at a density of 3×105 cells/well into 6-well tissue culture plates. The cells were treated with various concentrations of silibinin (50, 100 and 200 µM) and DMSO (<0.1%) was used as the vehicle control. Following 48 h of incubation at 37°C, cells were harvested using trypsin. The cells were washed twice with ice-cold PBS and fixed in 70% ethanol overnight at 4°C. Subsequently, the cell pellets were washed three times with PBS and incubated with PI (500 g/l) and RNase (20 U/ml) for 30 min at room temperature in the dark. The DNA content was determined by flow cytometry by ModFit 2.0 software (FCM; Beckman Coulter, Inc., Brea, CA, USA).

Annexin V-FITC/PI staining and flow cytometric analysis to detect apoptosis

SW1990 cells in logarithmic growth phase were seeded at a density of 3×105 per well into 6-well tissue culture plates. Subsequently, cells were treated with various concentrations of silibinin (50, 100 and 200 µM), and DMSO (<0.1%) was used as the vehicle control. Following 48 h of incubation at 37°C, the cells were harvested using trypsin. The cells were washed twice with ice-cold PBS, re-suspended in 200 µl of binding buffer (HEPES, NaCl and CaCl2) and incubated with 10 µl Annexin V-FITC and 5 µl of PI for 15 min at room temperature in the dark. A flow cytometer was used to analyze the percentage of early and late apoptotic cells. A total of 10,000 cells were analyzed by WinMDI version 2.9 software (The Scripps Research Institute, San Diego, CA, USA).

Western blotting analysis

SW1990 cells were seeded at a density of 3×105 per well into 6-well tissue culture plates. The cells were incubated at 37°C with various concentrations of silibinin (50, 100, 150 and 200 µM) for 48 h, and DMSO (<0.1%) was used as the vehicle control. Subsequently, the cells were harvested and washed twice with ice-cold PBS. The cells were lysed in buffer (Biospec, Inc., Bartlesville, OK, USA) on ice for 30 min and centrifuged at 12,000 × g for 15 min at 4°C. The cell proteins were extracted and the concentrations were determined using a bicinchoninic acid assay. A total of 30 µg of protein was denatured by the addition of 5X reducing sample buffer (Biospec, Inc.), incubated for 5 min at 100°C and separated by SDS-PAGE (10% or 15%). The proteins were transferred to polyvinylidene difluoride membranes. Following blocking with 5% dried skimmed milk, the membranes were incubated overnight at 4°C with the appropriate primary antibodies. Subsequently, the membranes were washed 3 times in TBST (10 mM Tris, 100 mM NaCl and 0.1% Tween 20) for 5 min each and incubated for 1 h at room temperature with a secondary antibody conjugated to horseradish peroxidase. Following washing in TBST, the bound antibody complex was detected using an electrochemiluminescence reagent (HRP Substrate Luminol Reagent and HRP Substrate Peroxide Solution; Biospec, Inc.) and XAR film (Kodak, Rochester, NY, USA) as described previously (ImageJ v1.46d; National Institutes of Health, Bethesda, MD, USA) (17). The data were quantitated from at least three separate experiments.

Statistical analysis

The results are expressed as the mean ± standard error from 3 independent experiments using SPSS 16.0 software (SPSS, Inc., Chicago, IL, USA). Student's t-tests were used to determine the significance between the control and test groups. P<0.05 was considered to indicate a statistically significant difference.

Results

Silibinin inhibits the proliferation of LO2, AsPC-1 and SW1990 cells

To investigate the effects of silibinin on cell proliferation, an MTT assay was used to analyze the proliferation of LO2, AsPC-1 and SW1990 cells. The results demonstrated that varying concentrations of silibinin had little effect on LO2 cells. Notably, silibinin enhanced LO2 cell proliferation at concentrations <300 µM (Fig. 1B-D). The proliferation of AsPC-1 and SW1990 cells was significantly inhibited with silibinin treatment in a dose- and time-dependent manner (Fig. 1B-D). The half maximal inhibitory concentration (IC50) values of silibinin on AsPC-1 at 48 and 72 h were 224.20 and 87.25 µM, respectively. The IC50 values on SW1990 cells at 48 and 72 h were and 218.41 and 86.91 µM, respectively.

Effects of silibinin on cell cycle distribution

As the decrease in cell growth was observed following silibinin treatment, which may be due to the induction of cell cycle arrest, the effect of silibinin on cell cycle distribution was examined in SW1990 cells. Flow cytometry following PI staining assay was used to analyze the effects of silibinin on cell cycle distribution. As presented in Fig. 2A, the population of cells was arrested in G1 phase (48.6–77.0% compared with 46.8% in DMSO-treated controls). The populations of cells in S phase and G2-M phase were reduced with increasing concentrations of silibinin. These results suggest that cell cycle progression was arrested in G1 phase.

Figure 2.

Effect of silibinin on cell cycle distribution and on the expression of cell cycle-associated proteins in SW1990 cells. SW1990 cells were incubated with a number of silibinin concentrations for 48 h. (A) Flow cytometry to detect cell cycle distributions, (B) Western blotting assay to detect the expression of cell cycle-associated proteins. The data represent one of three experiments that yielded similar results. DMSO, dimethyl sulfoxide; CDK, cyclin-dependent kinase.

Silibinin modulates the expression of cell cycle regulatory proteins

As significant cell cycle arrest was observed following silibinin treatment, the expressions of cell cycle regulatory proteins as Cyclins, CDKs and CDK inhibitors were analyzed using western blotting analysis. The results demonstrated that the protein expression levels of cyclin D1, cyclin E, cyclin A, cyclin B1 and G1 phase-associated CDK4 and CDK6 were significantly reduced following treatment with silibinin for 48 h. However, the expression level of p15 increased, whereas the level of p21 was not altered (Fig. 2B).

Silibinin induces apoptosis in human pancreatic cancer SW1990 cells

To determine whether silibinin induces apoptosis, the SW1990 cells were treated with silibinin at 0, 50, 100 or 200 µM or 0.1% DMSO for 48 h. Cells were double stained with Annexin V-FITC and PI. Annexin V assay identified that the populations of apoptotic cells increased with higher silibinin concentrations. The apoptosis rate was 27.69% when the SW1990 cells were treated with silibinin at a concentration of 200 µM for 48 h, while in the control group, the apoptosis rate was 8.84% (Fig. 3A).

Figure 3.

Effect of silibinin on apoptosis in SW1990 cells. SW1990 cells were incubated with different concentrations of silibinin for 48 h. (A) Flow cytometry assay to detect the apoptotic cells using Annexin V-fluorescein isothiocyanate and PI staining. (B) Western blotting assay to detect the expression of apoptosis-associated proteins caspase-3, caspase-9 and PARP. The data represent one of three experiments that yielded similar results. PARP, poly(ADP-ribose) polymerase; DMSO, dimethyl sulfoxide; PI, propidium iodide.

To investigate the underlying mechanism by which silibinin induced apoptosis, western blotting analysis was conducted with antibodies against caspase-3, caspase-9 or PARP. Treatment with silibinin for 48 h promoted the activation of a number of apoptotic proteins, including caspase-9, caspase-3 and its substrate, PARP, via protein cleavage (Fig. 3B). Increased silibinin concentrations resulted in a reduction of the intact proteins and an increase in proteolytic cleavage bands in a concentration-dependent manner.

Detection of the protein expression levels of Bcl-2 family proteins and JNK using western blotting analysis

The mitochondrial death pathway is controlled by members of the Bcl-2 family. The Bcl-2 family serves a central regulatory role in deciding the fate of cells via the interaction between pro- and anti-apoptotic members (18). Therefore, whether the mitochondrial-mediated apoptosis in SW1990 cells induced by silibinin treatment was modulated by Bcl-2 family members was investigated.

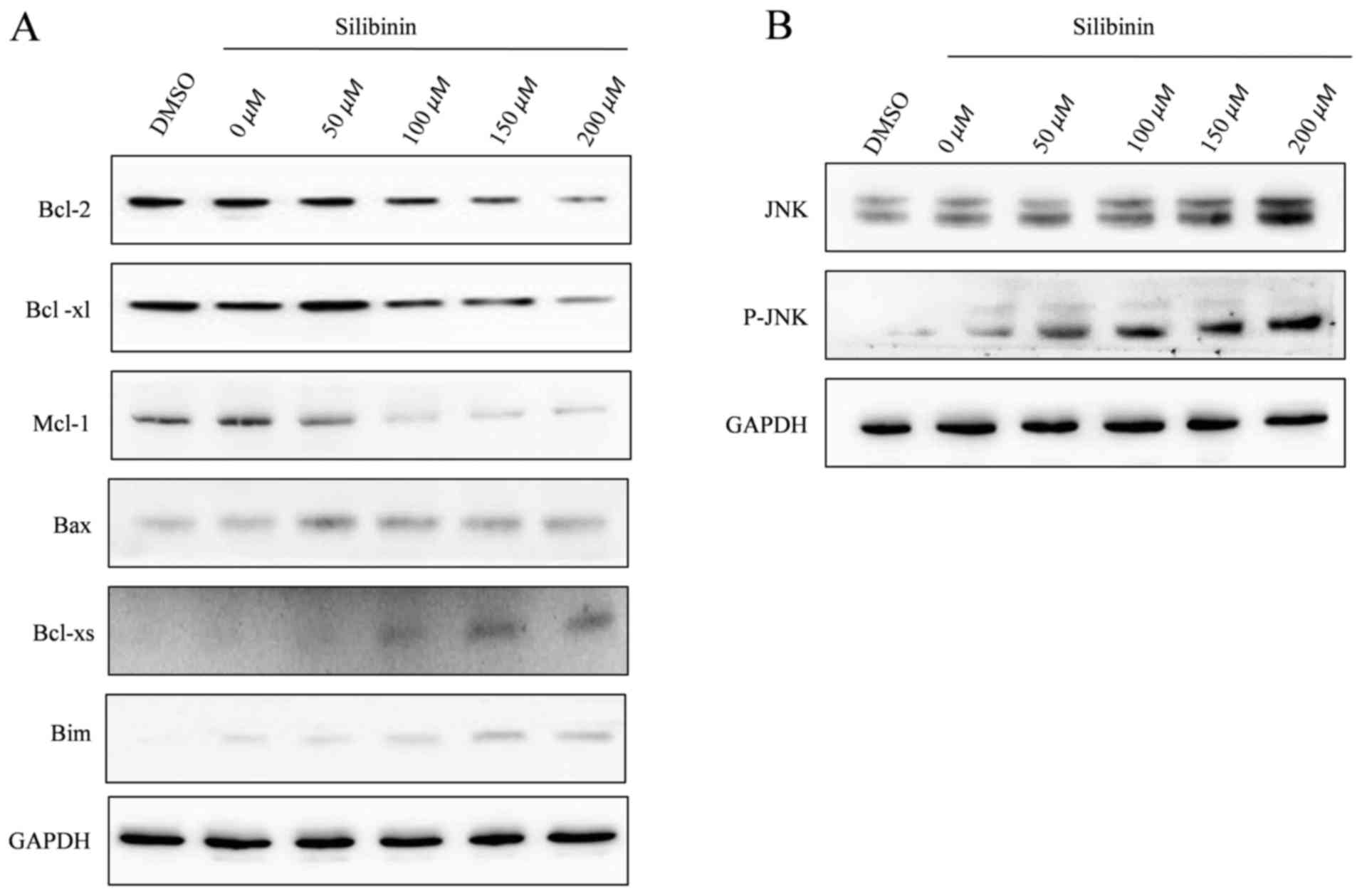
Silibinin suppressed the expression levels of Bcl-2, Mcl-1 and Bcl-xl, but did not alter the expression of Bax. The expression of pro-apoptotic protein (Bcl-xs) and the BH3-only protein, Bim, increased (Fig. 4A). As a result of these effects, the ratios of Bcl-2/Bax, Mcl-1/Bax and Bcl-xl/Bax were reduced during apoptosis. The protein expression levels of JNK and p-JNK increased with higher concentrations of silibinin (Fig. 4B). These results suggest that silibinin induces apoptosis in SW1990 cells through the activation of JNK and altering the expression levels of the Bcl-2 anti-apoptotic proteins and BH3-only proteins triggering the mitochondrial apoptosis signaling pathway.

Figure 4.

Expression of apoptosis-associated proteins analyzed using western blotting analysis. SW1990 cells were incubated with different concentration of silibinin for 48 h. (A) The expression of Bcl-2 family proteins and (B) the expression of JNK and P-JNK were detected using western blotting assay. The data represent one of three experiments that yielded similar results. DMSO, dimethyl sulfoxide; Bcl, B-cell lymphoma; Bcl-xl, Bcl-2-like-1; Mcl-1, myeloid cell leukemia 1; Bax, Bcl-2 associated protein X; Bcl-xs, Bcl-2-like 1 small; Bim, Bcl-2-like 11; JNK, Jun N-terminal kinase; p-JNK, phosphorylated JNK.

Discussion

Certain anti-cancer agents have been extracted and purified from plants, including taxol and camptothecin. These drugs have been established in the clinic as effective chemotherapy agents and have demonstrated beneficial effects in certain types of carcinoma. In addition, numerous plant extracts including, tea polyphenol, resveratrol, ginger extract and soy isoflavones, have demonstrated potential anti-tumor effects, which may provide a novel direction for the study of potential anti-cancer drugs. Pancreatic cancer has poor outcomes with regards to surgical resection and chemotherapy (19,20). In China, the incidence of pancreatic cancer has continued to increase yearly (21). The search for an effective chemotherapeutic drug with low toxicity is an important focus of studying pancreatic cancer treatment. Silibinin serves a role in anti-oxidation, anti-fibrosis, anti-inflammation, immunoregulation and in the promotion of hepatocyte regeneration (22). It has been used in the clinic for >20 years for the treatment of hepatitis, fatty liver, cirrhosis and other diseases (23). Apart from its hepatoprotective effects, silibinin has received increased interest due to its anti-tumor efficacy. It was identified that silymarin and silibinin exhibit anti-tumor effects and may inhibit the growth of prostate, skin, bladder, lung, colon, breast, ovarian, renal, liver and tongue cancer (24–29). Notably, silibinin has been used in phase I clinical trial for the treatment of prostate cancer. Silymarin and silibinin exhibit low toxicity, and consequently their median lethal dosage values are unable to be measured in animal experiments. Additionally, silibinin is used as an antioxidant food additive in the United States and Europe (30,31).

The present study investigated the inhibitory effects of silibinin on the proliferation of SW1990 pancreatic cancer cells and the potential underlying mechanisms of action. An MTT assay was used to detect the inhibitory effect of varying concentrations of silibinin on the proliferation of LO2 normal human liver cell line and on AsPC-1 and SW1990 pancreatic cancer cell lines. The results demonstrated that there was no marked inhibitory effect of silibinin on the proliferation of LO2 cells, whereas the inhibition of proliferation of AsPC-1 and SW1990 cells was significantly altered and occurred in a time- and dose-dependent manner.

The effects of silibinin treatment on cell cycle distribution differ between cell types. For example, silibinin promotes a G2 phase cell cycle arrest in human gastric carcinoma SGC7901 cells (32); however, it also triggers G2/M and G1 arrest in the TCC-SUP and T-24 human bladder transitional cell carcinoma cell lines, respectively (33). Silibinin promotes AsPC-1 human pancreatic cancer cells to arrest in G1 phase but does not markedly affect BxPC-3 and Panc-1 cells (17). Kaur et al (34) indicated that silibinin treatment notably inhibits the growth of Lovo cells and induces increased levels of the apoptosis-associated cleaved caspases (caspases 3 and 9) and cleaved PARP, and therefore promotes cell cycle arrest at G1 phase.

Using flow cytometry assay, a significant G1 phase arrest in the silibinin group was identified and western blotting analysis demonstrated that silibinin increased the expression of p15INK4B and did not alter the expression of p21Cip1 in SW1990 cells. p15, which is upstream of CDK4/CDK6, inhibits CDK4/CDK6 activity, as well as inhibits the activity of the CDK4/cyclin D and CDK6/cyclin D complexes. In the current study, a decrease in the expression of the G1 phase-associated cell cycle proteins cyclin D1 and the cyclin-dependent kinases CDK4 and CDK6 was revealed using western blotting analysis. As the majority of cells cannot proceed to the next phase, the expression of late G1 phase-, S phase- and G2 phase-associated cell cycle proteins, including cyclin E2, cyclin A and cyclin B1, was also reduced in the cells that were treated with silibinin. These results are consistent with G1 phase arrest, as well as with the results of the flow cytometry experiments.

Previous studies have demonstrated that apoptosis may occur via three signaling pathways, including the death receptor-mediated pathway, the mitochondrial-mediated pathway and the endoplasmic reticulum-associated pathway (35,36). Caspase-9 is linked to the mitochondrial death pathway and once the mitochondrial pathway is initiated, pro-caspase-9 is cleaved into its active form. Activated caspase-9 cleaves its downstream signaling protein pro-caspase-3, which promotes caspase-3 activation. PARP, an enzyme that is involved in the recognition of genomic integrity and DNA repair, is inactivated by caspase cleavage and is therefore regarded as a molecular marker of apoptosis (29,37–39).

In the present study, SW1990 cells were stained with Annexin V-FITC and PI and the cells in the silibinin-treated groups were apoptotic; the percentage of apoptotic cells increased with higher concentrations of silibinin. These results also demonstrated that SW1990 cells treated with silibinin have activated pro-caspase-9 and pro-caspase-3, and PARP was also cleaved into its active form. These data suggest that silibinin induces apoptosis via the mitochondrial-mediated signaling pathway in SW1990 cells and this was consistent with the results of flow cytometry analysis.

The mitochondrial-mediated apoptotic signaling pathway is associated with the expression and activation of the Bcl-2 protein family. Bcl-2 proteins are grouped into three classes: Those that inhibit apoptosis (Bcl-2, Bcl-xl, Bcl-2-like 2, Mcl-1, Bcl-10, Boo/Diva, NR-13 and Bcl-2-related protein A1); those that promote apoptosis (Bak, Bax, Bcl-xs, Bcl2-related ovarian killer); and the pro-apoptotic BH3-only proteins (Bad, Bid, Bcl2-interacting killer, Bim, B lymphocyte kinase, Bcl2-modifiying factor (Bmf), harakiki Bcl2-interacting factor, Bcl2-interacting protein 23, NIP3-like protein X and Noxa) that bind and regulate the anti-apoptotic Bcl-2 proteins (40,41). In the present study, western blotting analysis demonstrated that with increasing concentrations of silibinin, the expression of the anti-apoptotic Bcl-2 family of proteins Bcl-2, Bcl-xl and Mcl-1 was decreased, whereas the expression of the BH3-only protein Bim was increased in a concentration-dependent manner. The expression of the pro-apoptotic protein Bcl-xs was increased, whereas the expression of another pro-apoptotic protein Bax was unaltered. These results suggest that Bim may form a heterodimer with Bcl-2 or Mcl-1 and promote dissociation of Bax/Bcl-2 or Bax/Mcl-1 heterodimers. This event promotes Bax oligomerization and cytochrome-c release from the mitochondria, which initiates the mitochondrial-mediated apoptotic signaling pathway. The expression of the pro-apoptotic protein Bcl-xs was increased, and therefore Bcl-xs may be able to activate Bak or Bax through inhibiting the function of voltage-dependent anion channel 2 and Bcl-xl (42). Although the protein levels of anti-apoptotic proteins, including Bcl-2, Mcl-1 and Bcl-xl, were decreased, the ratios of Bax/Bcl-2, Bax/Mcl-1 and Bax/Bcl-xl were increased, resulting in an increased quantity of unbound Bax and initiation of the mitochondrial-mediated apoptotic signaling pathway.

JNK serves an important role in the death receptor-initiated extrinsic apoptotic signaling pathway and the mitochondrial intrinsic apoptotic signaling pathway. JNK promotes apoptosis through two actions. Firstly, activated JNK locates to the nucleus and activates transcription factors, including c-Jun. This activation of c-Jun/AP1 or p53/p73, leads to the increased expression of pro-apoptotic genes. The second action requires JNK to locate into the mitochondria and phosphorylate BH3-only Bcl-2 proteins, including Bad Ser128, which inhibits 14-3-3 protein interactions and therefore reducing the anti-apoptotic activity of Bcl-2 and Bcl-xl. Phosphorylation of 14-3-3ξ at Ser184 by JNK does not allow 14-3-3ξ to relocate. JNK is able to induce the cleavage of Bid, independently of caspase-8, in HeLa cells during JNK-induced apoptosis. The 21 kDa Bid fragment promotes the release of the second mitochondria-derived activator of caspase, which is a pro-apoptotic protein (43). Apoptosis may also be initiated by JNK activation of Bax or Bak via the phosphorylation of Bim and Bmf, which has been demonstrated in HEK293T cells during UV-induced apoptosis (44). Finally, JNK phosphorylates Bcl-2 at Ser70 and causes the dissociation of the Bcl-2/Bax heterodimer and promotes cell apoptosis (45). The present study identified that following treatment with silibinin, the expression levels of JNK and p-JNK were increased in SW1990 cells, which was consistent with the results of Duan et al (46). The results of the present study indicated that the pro-apoptotic effects on SW1990 cells were mediated via the JNK signaling pathway, and the activation of this signaling pathway may activate the downstream mitochondrial-associated apoptotic signaling pathway to induce cell apoptosis.

In conclusion, silibinin suppresses the proliferation of pancreatic cancer cells by the induction of G1 phase cell cycle arrest and through an increase in the expression of p15INK4B. In addition, silibinin induced JNK activation and initiated the mitochondrial-associated apoptotic signaling pathway, which promoted the pancreatic cancer SW1990 cells to undergo apoptosis. The signaling pathway by which silibinin upregulates p15INK4B in pancreatic cancer SW1990 cells remains to be elucidated. Additionally, whether the activation of JNK by silibinin promotes the dissociation of Bcl-2/Bax or Bcl-xl/Bax and the oligomerization of Bax, and whether silibinin suppresses the growth of pancreatic cancer in SW1990 xenograft mice are yet to be determined.

Acknowledgements

Not applicable.

Funding

The present study was supported by grants from the Sci-Tech Project Foundation of Guangdong Province in China (grant no. 2011B031800012), the Medical Science Research Foundation of Guangdong Province in China (grant no. A2013338) and the Natural Science Foundation of Guangdong Province in China (grant no. 2014A030313356).

Availability of data and materials

The datasets used and/or analyzed during the current study are available from the corresponding author on reasonable request.

Author's contributions

JJ and MC contributed to the conception of the study, and conceived and designed the experiments. XZ performed the experiments and data analyses and wrote the manuscript. JL, PZ and LD helped perform the analysis with constructive discussions, and contributed significantly to analysis and manuscript preparation. ZW and LW contributed reagents, materials and analysis tools and helped perform the analysis with constructive discussions. All authors read and approved the final manuscript.

Ethics approval and consent to participate

Not applicable.

Consent for publication

Not applicable.

Competing interests

The authors declare that they have no competing interests.

References

1 

Quan JL, Feng Y, Chen J and Fu DL: Current status and progress of pancreatic cancer in China. World J Gastroenterol. 21:7988–8003. 2015. View Article : Google Scholar : PubMed/NCBI

2 

Chen WQ, Li H, Sun KX, Zheng RS, Zhang SW, Zeng HM, Zou XN, Gu XY and He J: Report of cancer incidence and mortality in different areas of China, 2014. Zhonghua Zhong Liu Za Zhi. 40:5–13. 2018.(In Chinese). PubMed/NCBI

3 

Kongkam P, Benjasupattananun P, Taytawat P, Navicharoen P, Sriuranpong V, Vajragupta L, Klaikaew N, Ridtitid W, Treeprasertsuk S, Rerknimitr R and Kullavanijaya P: Pancreatic cancer in an Asian population. Endosc Ultrasound. 4:56–62. 2015. View Article : Google Scholar : PubMed/NCBI

4 

Gall TMH, Tsakok M, Wasan H and Jiao LR: Pancreatic cancer: Current management and treatment strategies. Postgrad Med J. 91:601–607. 2015. View Article : Google Scholar : PubMed/NCBI

5 

Pliarchopoulou K and Pectasides D: Pancreatic cancer: Current and future treatment strategies. Cancer Treat Rev. 35:431–436. 2009. View Article : Google Scholar : PubMed/NCBI

6 

Luo G, Guo M, Liu Z, Xiao Z, Jin K, Long J, Liu L, Liu C, Xu J, Ni Q and Yu X: Blood neutrophil-lymphocyte ratio predicts survival in patients with advanced pancreatic cancer treated with chemotherapy. Ann Surg Oncol. 22:670–676. 2015. View Article : Google Scholar : PubMed/NCBI

7 

Foley K, Kim V, Jaffee E and Zheng L: Current progress in immunotherapy for pancreatic cancer. Cancer Lett. 381:244–251. 2016. View Article : Google Scholar : PubMed/NCBI

8 

Shi S, Yao W, Xu J, Long J, Liu C and Yu X: Combinational therapy: New hope for pancreatic cancer? Cancer Lett. 317:127–135. 2012. View Article : Google Scholar : PubMed/NCBI

9 

Seicean A, Petrusel L and Seicean R: New targeted therapies in pancreatic cancer. World J Gastroenterol. 21:6127–6145. 2015. View Article : Google Scholar : PubMed/NCBI

10 

Rodeiro I, Magarino Y, Ocejo O, Garrido G and Delgado R: Use of natural products in anti-cancer alternative therapy: Risk of interactions with conventional anti-cancer drugs. Bol. Latinoam Caribe Plant Med Aromaticas. 7:332–344. 2008.

11 

Sozen H, Celik OI, Cetin ES, Yilmaz N, Aksozek A, Topal Y, Cigerci IH and Beydilli H: Evaluation of the protective effect of silibinin in rats with liver damage caused by itraconazole. Cell Biochem Biophys. 71:1215–1223. 2015. View Article : Google Scholar : PubMed/NCBI

12 

Cheung CW, Gibbons N, Johnson DW and Nicol DL: Silibinin-a promising new treatment for cancer. Anti Cancer Agents Med Chem. 10:186–195. 2010. View Article : Google Scholar

13 

Gazák R, Walterová D and Kren V: New and emerging applications in medicine. Curr Med Chem. 14:315–338. 2007. View Article : Google Scholar : PubMed/NCBI

14 

Tiwari P and Kaushala PM: Silibinin in cancer therapy: A promising prospect. Cancer Res Front. 1:303–318. 2015. View Article : Google Scholar

15 

Ge Y, Zhang Y, Chen Y, Li Q, Chen J, Dong Y and Shi W: Silibinin causes apoptosis and cell cycle arrest in some human pancreatic cancer cells. Int J Mol Sci. 12:4861–4871. 2011. View Article : Google Scholar : PubMed/NCBI

16 

Nambiar D, Prajapati V, Agarwal R and Singh RP: In vitro and in vivo anticancer efficacy of silibinin against human pancreatic cancer BxPC-3 and PANC-1 cells. Cancer Lett. 334:109–117. 2013. View Article : Google Scholar : PubMed/NCBI

17 

Deng R, Jun T, Xia LP, Li DD, Zhou WJ, Wang LL, Feng GK, Zeng YX, Gao YH and Zhu XF: ExcisaninA, a diterpenoid compound purified from Isodon MacrocalyxinD, induces tumor cells apoptosis and suppresses tumor growth through inhibition of PKB/AKT kinase activity and blockade of its signal pathway. Mol Cancer Ther. 8:873–882. 2009. View Article : Google Scholar : PubMed/NCBI

18 

Brunelle JK and Letai A: Control of mitochondrial apoptosis by the Bcl-2 family. J Cell Sci. 122:437–441. 2009. View Article : Google Scholar : PubMed/NCBI

19 

Conroy T, Bachet JB, Ayav A, Huguet F, Lambert A, Caramella C, Maréchal R, Van Laethem JL and Ducreux M: Current standards and new innovative approaches for treatment of pancreatic cancer. Eur J Cancer. 57:10–22. 2016. View Article : Google Scholar : PubMed/NCBI

20 

Yang X, Hao J, Zhu CH, Niu YY, Ding XL, Liu C and Wu XZ: Survival benefits of western and traditional Chinese medicine treatment for patients with pancreatic cancer. Medicine (Baltimore). 94:e10082015. View Article : Google Scholar : PubMed/NCBI

21 

Sultana A, Smith Tudur C, Cunningham D, Starling N, Tait D, Neoptolemos JP and Ghaneh P: Systematic review, including meta-analyses, on the management of locally advanced pancreatic cancer using radiation/combined modality therapy. Brit J Cancer. 96:1183–1190. 2007. View Article : Google Scholar : PubMed/NCBI

22 

Pradhan S and Girish C: Hepatoprotective herbal drug, silymarin from experimental pharmacology to clinical medicine. Indian J Med Res. 124:491–504. 2006.PubMed/NCBI

23 

Magliulo E, Gagliardi B and Fiori GP: Results of a double blind study on the effect of silymarin in the treatment of acute viral hepatitis, carried out at two medical centres (author's transl). Med Klin. 73:1060–1065. 1978.(In German). PubMed/NCBI

24 

Deep G and Agarwal R: Antimetastatic efficacy of silibinin: Molecular mechanisms and therapeutic potential against cancer. Cancer Metastasis Rev. 29:447–463. 2010. View Article : Google Scholar : PubMed/NCBI

25 

Zheng D, Wang Y, Zhang D, Liu Z, Duan C, Jia L, Wang F, Liu Y, Liu G, Hao L and Zhang Q: In vitro antitumor activity of silybin nanosuspension in PC-3 cells. Cancer Lett. 307:158–164. 2011. View Article : Google Scholar : PubMed/NCBI

26 

Wu KJ, Zeng J, Zhu GD, Zhang LL, Zhang D, Li L, Fan JH, Wang XY and He DL: Silibinin inhibits prostate cancer invasion, motility and migration by suppressing vimentin and MMP-2 expression. Acta Pharmacol Sin. 30:1162–1168. 2009. View Article : Google Scholar : PubMed/NCBI

27 

Hogan FS, Krishnegowda NK, Mikhailova M and Kahlenberg MS: Flavonoid, silibinin inhibits proliferation and promotes cell-cycle arrest of human colon cancer. J Surg Res. 143:58–65. 2007. View Article : Google Scholar : PubMed/NCBI

28 

Zhang Y, Li Q, Ge Y, Chen Y, Chen J, Dong Y and Shi W: Silibinin triggers apoptosis and cell-cycle arrest of SGC7901 cells. Phytother Res. 27:397–403. 2013. View Article : Google Scholar : PubMed/NCBI

29 

Lah JJ, Cui W and Hu KQ: Effects and mechanisms of silibinin on human hepatoma cell lines. World J Gastroenterol. 13:5299–5305. 2007. View Article : Google Scholar : PubMed/NCBI

30 

Wu K, Zeng J, Li L, Fan J, Zhang D, Xue Y, Zhu G, Yang L, Wang X and He D: Silibinin reverses epithelial-to-mesenchymal transition in metastatic prostate cancer cells by targeting transcription factors. Oncol Rep. 23:1545–1552. 2010.PubMed/NCBI

31 

Tyagi A, Bhatia N, Condon MS, Bosland MC, Agarwal C and Agarwal R: Antiproliferative and apoptotic effects of silibinin in rat prostate cancer cells. Prostate. 53:211–217. 2002. View Article : Google Scholar : PubMed/NCBI

32 

Zhang Y, Ge Y, Chen Y, Li Q, Chen J, Dong Y and Shi W: Cellular and molecular mechanisms of silibinin induces cell-cycle arrest and apoptosis on HeLa cells. Cell Biochem Funct. 30:243–248. 2012. View Article : Google Scholar : PubMed/NCBI

33 

Tyagi A, Agarwal C, Harrison G, Glode LM and Agarwal R: Silibinin causes cell cycle arrest and apoptosis in human bladder transitional cell carcinoma cells by regulating CDKI-CDK-cyclin cascade, and caspase 3 and PARP cleavages. Carcinogenesis. 25:1711–1720. 2004. View Article : Google Scholar : PubMed/NCBI

34 

Kaur M, Velmurugan B, Tyagi A, Deep G, Katiyar S, Agarwal C and Agarwal R: Silibinin suppresses growth and induces apoptotic death of human colorectal carcinoma LoVo cells in culture and tumor xenograft. Mol Cancer Ther. 8:2366–2374. 2009. View Article : Google Scholar : PubMed/NCBI

35 

Indran IR, Tufo G, Pervaiz S and Brenner C: Recent advances in apoptosis, mitochondria and drug resistance in cancer cells. Biochem Biophys Acta. 1807:735–745. 2011.PubMed/NCBI

36 

Gogvadze V, Orrenius S and Zhivotovsky B: Mitochondria as targets for cancer chemotherapy. Semin Cancer Biol. 19:57–66. 2009. View Article : Google Scholar : PubMed/NCBI

37 

Costantini P, Bruey JM, Castedo M, Métivier D, Loeffler M, Susin SA, Ravagnan L, Zamzami N, Garrido C and Kroemer G: Pre-processed caspase-9 contained in mitochondria participates in apoptosis. Cell Death Differ. 9:82–88. 2002. View Article : Google Scholar : PubMed/NCBI

38 

Bialik S, Zalckvar E, Ber Y, Rubinstein AD and Kimchi A: Systems biology analysis of programmed cell death. Trends Biochem Sci. 35:556–564. 2010. View Article : Google Scholar : PubMed/NCBI

39 

Lüthi AU and Martin SJ: The CASBAH: A searchable database of caspase substrates. Cell Death Differ. 14:641–650. 2007. View Article : Google Scholar : PubMed/NCBI

40 

Kang MH and Reynolds CP: Bcl-2 inhibitors: Targeting mitochondrial apoptotic pathways in cancer therapy. Clin Cancer Res. 15:1126–1132. 2009. View Article : Google Scholar : PubMed/NCBI

41 

Ola MS, Nawaz M and Ahsan H: Role of Bcl-2 family proteins and caspases in the regulation of apoptosis. Mol Cell Biochem. 351:41–58. 2011. View Article : Google Scholar : PubMed/NCBI

42 

Plötz M, Gillissen B, Hossini AM, Daniel PT and Eberle J: Disruption of the VDAC2-Bak interaction by Bcl-x(S) mediates efficient induction of apoptosis in melanoma cells. Cell Death Differ. 19:1928–1938. 2012. View Article : Google Scholar : PubMed/NCBI

43 

Deng Y, Ren X, Yang L, Lin Y and Wu X: A JNK-dependent pathway is required for TNFalpha-induced apoptosis. Cell. 115:61–70. 2003. View Article : Google Scholar : PubMed/NCBI

44 

Letai A, Bassik MC, Walensky LD, Sorcinelli MD, Weiler S and Korsmeyer SJ: Distinct BH3 domains either sensitize or activate mitochondrial apoptosis, serving as prototype cancer therapeutics. Cancer Cell. 2:183–192. 2002. View Article : Google Scholar : PubMed/NCBI

45 

Wei Y, Sinha S and Lebive B: Dual role of JNK1-mediated phosphorylation of Bcl-2 in autophagy and apoptosis regulation. Autophagy. 4:949–951. 2008. View Article : Google Scholar : PubMed/NCBI

46 

Duan WJ, Li QS, Xia MY, Tashiro S, Onodera S and Ikejima T: Silibinin activated p53 and induced autophagic death in human fibrosarcoma HT1080 cells via reactive oxygen species-p38 and c-Jun N-terminal kinase pathways. Biol Pharm Bull. 34:47–53. 2011. View Article : Google Scholar : PubMed/NCBI

Related Articles

  • Abstract
  • View
  • Download
  • Twitter
Copy and paste a formatted citation
Spandidos Publications style
Zhang X, Liu J, Zhang P, Dai L, Wu Z, Wang L, Cao M and Jiang J: Silibinin induces G1 arrest, apoptosis and JNK/SAPK upregulation in SW1990 human pancreatic cancer cells. Oncol Lett 15: 9868-9876, 2018.
APA
Zhang, X., Liu, J., Zhang, P., Dai, L., Wu, Z., Wang, L. ... Jiang, J. (2018). Silibinin induces G1 arrest, apoptosis and JNK/SAPK upregulation in SW1990 human pancreatic cancer cells. Oncology Letters, 15, 9868-9876. https://doi.org/10.3892/ol.2018.8541
MLA
Zhang, X., Liu, J., Zhang, P., Dai, L., Wu, Z., Wang, L., Cao, M., Jiang, J."Silibinin induces G1 arrest, apoptosis and JNK/SAPK upregulation in SW1990 human pancreatic cancer cells". Oncology Letters 15.6 (2018): 9868-9876.
Chicago
Zhang, X., Liu, J., Zhang, P., Dai, L., Wu, Z., Wang, L., Cao, M., Jiang, J."Silibinin induces G1 arrest, apoptosis and JNK/SAPK upregulation in SW1990 human pancreatic cancer cells". Oncology Letters 15, no. 6 (2018): 9868-9876. https://doi.org/10.3892/ol.2018.8541
Copy and paste a formatted citation
x
Spandidos Publications style
Zhang X, Liu J, Zhang P, Dai L, Wu Z, Wang L, Cao M and Jiang J: Silibinin induces G1 arrest, apoptosis and JNK/SAPK upregulation in SW1990 human pancreatic cancer cells. Oncol Lett 15: 9868-9876, 2018.
APA
Zhang, X., Liu, J., Zhang, P., Dai, L., Wu, Z., Wang, L. ... Jiang, J. (2018). Silibinin induces G1 arrest, apoptosis and JNK/SAPK upregulation in SW1990 human pancreatic cancer cells. Oncology Letters, 15, 9868-9876. https://doi.org/10.3892/ol.2018.8541
MLA
Zhang, X., Liu, J., Zhang, P., Dai, L., Wu, Z., Wang, L., Cao, M., Jiang, J."Silibinin induces G1 arrest, apoptosis and JNK/SAPK upregulation in SW1990 human pancreatic cancer cells". Oncology Letters 15.6 (2018): 9868-9876.
Chicago
Zhang, X., Liu, J., Zhang, P., Dai, L., Wu, Z., Wang, L., Cao, M., Jiang, J."Silibinin induces G1 arrest, apoptosis and JNK/SAPK upregulation in SW1990 human pancreatic cancer cells". Oncology Letters 15, no. 6 (2018): 9868-9876. https://doi.org/10.3892/ol.2018.8541
Follow us
  • Twitter
  • LinkedIn
  • Facebook
About
  • Spandidos Publications
  • Careers
  • Cookie Policy
  • Privacy Policy
How can we help?
  • Help
  • Live Chat
  • Contact
  • Email to our Support Team