International Journal of Molecular Medicine is an international journal devoted to molecular mechanisms of human disease.
International Journal of Oncology is an international journal devoted to oncology research and cancer treatment.
Covers molecular medicine topics such as pharmacology, pathology, genetics, neuroscience, infectious diseases, molecular cardiology, and molecular surgery.
Oncology Reports is an international journal devoted to fundamental and applied research in Oncology.
Experimental and Therapeutic Medicine is an international journal devoted to laboratory and clinical medicine.
Oncology Letters is an international journal devoted to Experimental and Clinical Oncology.
Explores a wide range of biological and medical fields, including pharmacology, genetics, microbiology, neuroscience, and molecular cardiology.
International journal addressing all aspects of oncology research, from tumorigenesis and oncogenes to chemotherapy and metastasis.
Multidisciplinary open-access journal spanning biochemistry, genetics, neuroscience, environmental health, and synthetic biology.
Open-access journal combining biochemistry, pharmacology, immunology, and genetics to advance health through functional nutrition.
Publishes open-access research on using epigenetics to advance understanding and treatment of human disease.
An International Open Access Journal Devoted to General Medicine.
Lung cancer accounts for 22.7% of all cases of malignant tumors (1). It is also the most common cause of mortality among all types of cancer worldwide, comprising 17.6% of the world total (2,3). Cavitation is relatively common in lung cancer, occurring in 2–16% cases. Typically, the cysts have thick walls (4). A cyst is defined as an air-containing space surrounded by a thin wall (4 mm or less), while a cavity is defined as a space with a wall at least 5 mm thick. A typical lung cancer presenting as solitary thin-wall cysts may occasionally occur (5–7). Accordingly, 45 patients with solitary thin-wall cystic lung cancer were reviewed, in order to better understand this type of lung cancer. In the present study, the solitary thin-wall cystic lung cancer is defined as a cystic lesion with a wall of less than 4 mm.
Clinical information on 45 patients (32 males, 13 females; mean age, 55 years; range, 33–78 years) with thin-wall cystic lung cancer treated in Beijing Shijitan Hospital (Beijing, China) between 2006 and 2017 was collected. Thin-wall cystic changes in the lungs could be observed in all patients. Meanwhile, the diagnosis of this disease was based on radiological findings and biopsy following surgical resection or bronchoscopic biopsy. Patients without the above typical imaging features were excluded. All images and pathology were confirmed by two experts affiliated with the Beijing Shijitan Hospital, if there was a dispute, a more experienced expert would be asked to decide. All patients underwent chest computed tomography (CT), 6 patients underwent positron emission tomography (PET)/CT (a number of patients did not undergo PET scans due to the prohibitive cost), 39 patients underwent pulmonary lobectomy or wedge excision, and four patients were administered with Iressa (250 mg once a day; reexamined every month) due to metastasis. CT scans were performed using 64-section spiral CT with a slice thickness of 1.25 or 1.5 mm for all patients. These cases were retrospectively analyzed following review of patient medical records, radiological findings, pathological changes and treatment strategies. Additionally, certain patients were telephoned in order to learn about their recent physical conditions. Telephone consultations were only used when patients were unable to travel to the hospital. The present study was conducted in accordance with the institutional policy regarding the protection of patient confidential information and was approved by the Research Ethics Committee of Beijing Shijitan Hospital affiliated to Capital Medical University. All procedures were performed in accordance with the approved guidelines of Beijing Shijitan Hospital affiliated to Capital Medical University.
There were 32 male (71.1%) and 13 female (28.9%) patients enrolled in the present study (Table I). Their ages ranged between 33 and 78 years old, and 55.5% of them were below 60 years of age. Furthermore, 72.5% of the patients stated that they had no history of smoking. A total of 23 patients (45.7%) were asymptomatic, and the others exhibited a cough, sputum or bloody sputum.
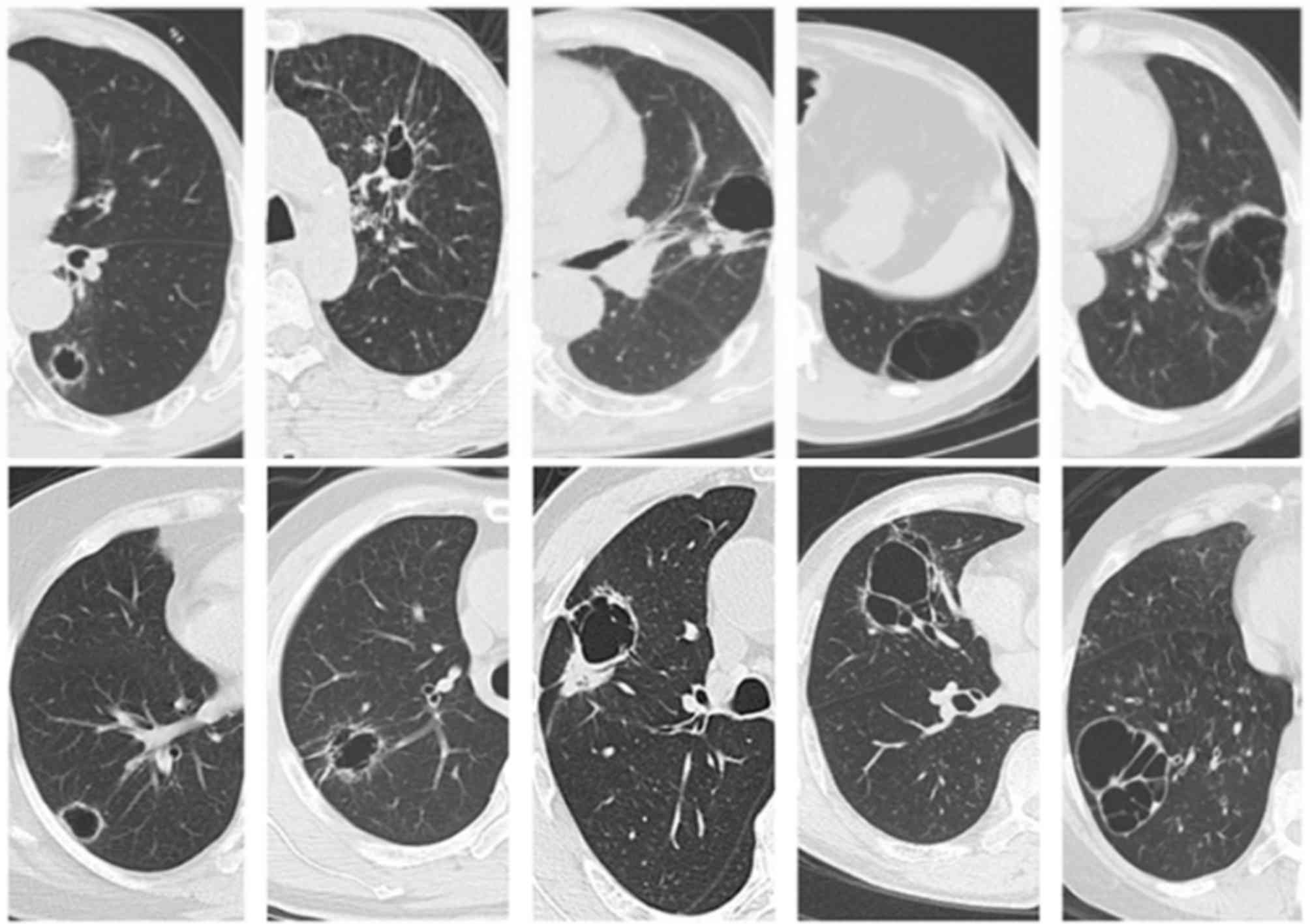
Fig. 1 demonstrates CT manifestations of thin-wall cystic lung cancer. The primary lesions occurred at the right lower lobe in 14 patients, at the right middle lobe in 5 patients, at the right upper lobe in 4 patients, at the left upper lobe in 10 patients, and at the left lower lobe in 12 patients. The wall thickness of cysts ranged between 1 and 4 mm. Each of them displayed one or more suspected malignant signs of lung cancer, including asymmetric thickening (96.8%), separation in cysts (54.8%), irregular margin (51.6%), small spicules (35.5%), dragging sensation in the pleura (22.6%), lobulation (19.3%) and ground-glass opacity (9.6%).
A total of 6 patients underwent PET/CT scans, one of which demonstrated a SUVmax value of 3.9, while the others exhibited normal values (0.8–1.7). The serum tumor markers (CEA, 8.28 µg/l) were higher than normal (0–5 µg/l) in only one patient.
Metastasis to the fourth lumbar vertebra was noted in the whole-body bone scan of one patient (Fig. 2), which was confirmed as metastatic adenocarcinoma by pathological findings following percutaneous needle washing (PNW).
One 33-year-old patient with a 2-month history of cough and sputum presented with a large, abnormal cystic lesion in the left lung and multiple cystic lesions in the two lungs on CT images (Fig. 3). The diagnosis by CT and PET/CT was pulmonary bullae. Pleural involvement, repeated pneumothorax and choking sensations in the chest were evident. Due to these signs, the possibility of malignant lesions was not ruled out. Therefore, bronchoscopic biopsy was performed, which confirmed these cystic lesions as intrapulmonary metastatic adenocarcinoma.
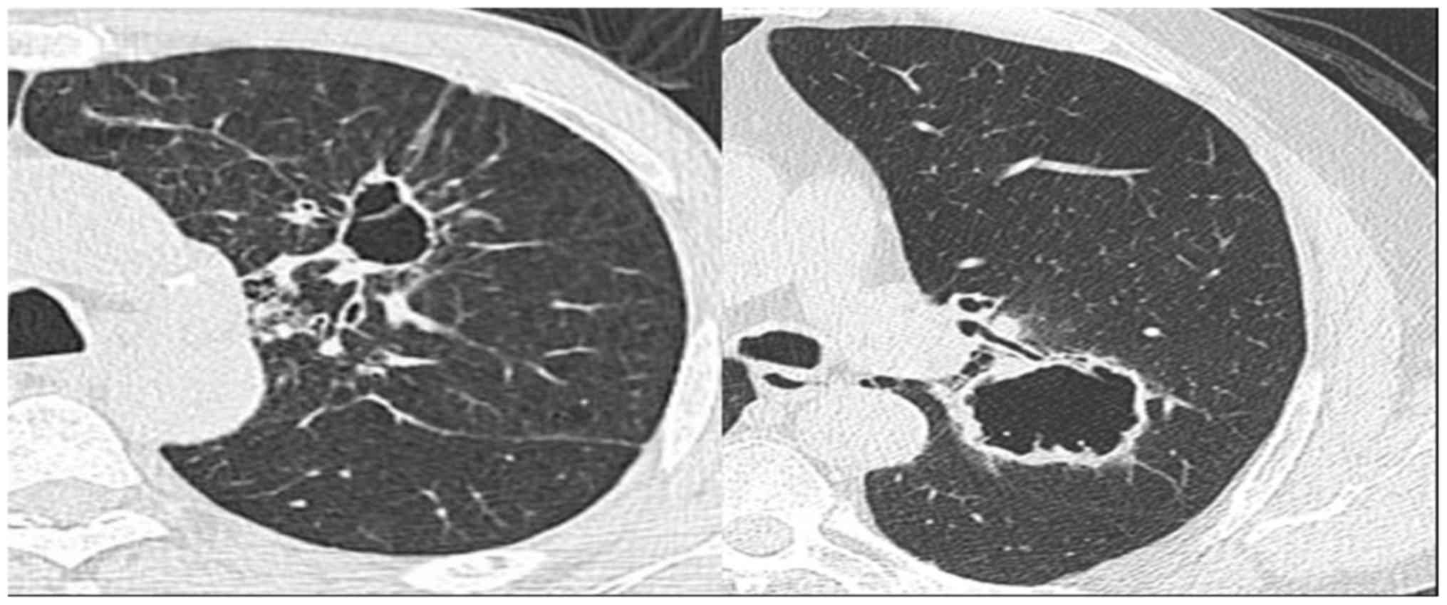
One 60-year-old patient who had interstitial lung disease presented with a small cystic lesion on CT images in January 2016. A chest CT performed after a month revealed that the cystic lesion had become larger, and its wall had become slightly irregularly thickened, compared with the previous CT findings. Close clinical follow-up on a monthly basis was recommended for the patient. Over the following two months, the cystic lesion grew larger than previously and seemed to be uniform in size, but its wall became irregularly thickened with certain malignant observations, including irregular margin, small spicules, signs of pleural indentation, ground-glass opacity and clear nodules. This cystic lesion was suspected to be a malignant lesion. Finally, imaging examinations revealed that the cystic lesion was getting smaller and the wall was getting thicker (Fig. 4).
A cystic lesion was identified in the right upper lung of a 51-year-old patient, who had a long history of smoking and occasional bloody sputum, when he was admitted to hospital for fracture. PET/CT revealed a highly metabolic lesion with multiple highly metabolic lymph nodes in the right hilum. Pathology revealed a poorly differentiated adenocarcinoma with multiple lymph node metastases, and the patient received Iressa (250 mg once a day). Patients were followed up since 2015. Imaging examinations revealed an increasingly smaller cyst and increasing parenchyma. In the final imaging scans, formation of a new cavity was noted (Fig. 5).
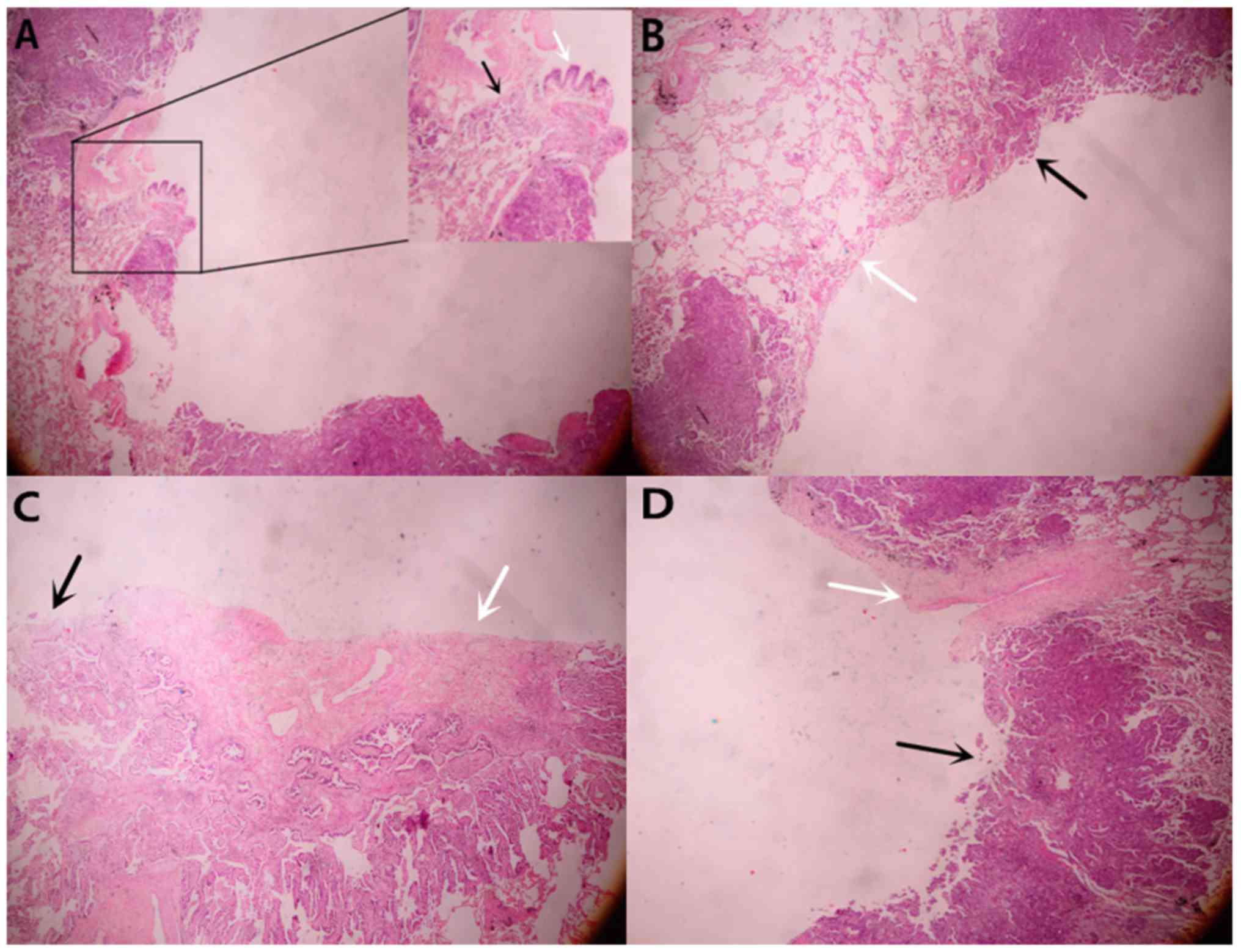
The pathological results confirmed the diagnosis of adenocarcinoma in the 43 patients. Two patients had squamous cell carcinoma, and also displayed cysts on the images (Fig. 6). Tumor cells (black arrow) destroyed the wall of bronchi (white arrow) (Fig. 7A). The entire cavity wall was covered with tumor cells in patients who underwent surgery. The black arrow represents area of the wall covered with tumor cells and the white arrow represents the area of the wall not covered with tumor cells (Fig. 7B). Hyperplastic fibrous tissue was observed inside the cyst (Fig. 7C). The blood vessels (indicated by the white arrow) blocked the proliferation of tumor cells (Fig. 7D).
Follow-up information was available for 37 patients. The patient with metastasis to the fourth lumbar vertebrae has, to the present date, maintained a healthy condition through oral intake of Iressa (250 mg once a day), which has been taken for the past year. One patient succumbed to mortality as a result of tumor recurrence four years after surgery. One patient succumbed to mortality as a result of intestinal obstruction, but this was not associated with the primary lung cancer. One patient was suspected to experience tumor recurrence half a year after surgery. The other patients had no signs of recurrence and no symptoms following surgery. The one who survived the longest survived for 8 years after surgery.
Cavities are frequently observed manifestations of a wide variety of pathological processes involving the lung. Cavitation detected by CT has been reported in up to 22% of primary lung cancer cases (8), but lung cancer presenting as a thin-wall cyst is unusual and may easily mislead clinicians to diagnoses of other benign diseases, including infection, tuberculosis, and emphysema. Pulmonary tuberculosis generally presents sub-acutely, with weeks to months of a productive cough, fever, night sweats and weight loss. The chest radiograph typically reveals pulmonary infiltrates in the apical and posterior segments of the upper lobe or the superior segment of the lower lobe, often with cavitation (8). Infection often presents acutely, with fever, cough and an increased neutrophil ratio. The cavitary lesion observed in CT scans may shrink or disappear following the administration of antibiotics. Patients with pulmonary emphysema often have an identified history of bullae. In the present study, one patient with the above malignant findings was recommended reexamination after one month. In the following two months, the cystic lesion became larger than previously and finally was confirmed to be adenocarcinoma. Patients with new cystic lesions in the lung may take monthly reexaminations in the first three months. If cystic lesions persist, patients may receive follow-up CT scans for a longer period. Progressive wall thickening of a cystic airspace or the appearance of a nodule abutting a cystic airspace should raise suspicion of lung cancer (9).
Watanabe et al (10) designated cavities as being either thick-walled (≥4 mm) or thin-walled (<4 mm), and revealed that the thick-wall cavities may negatively affect prognosis. In the present study, however, all the patients presented with thin-wall (<4 mm) cysts and three of them exhibited distant metastasis. In the first patient, metastasis to the fourth lumbar spinal vertebra was identified by whole-body bone scan, which was confirmed as metastatic adenocarcinoma from the lung by the pathological findings following PNW. Pathological findings of the second patient following bronchoscopic biopsy confirmed these cystic lesions as intrapulmonary metastatic adenocarcinoma. Pathology confirmed that the third patient exhibited poorly differentiated adenocarcinoma with multiple lymph node metastases, meaning that they had missed the optimum time for surgery. Therefore, thin-wall cystic lung cancer requires more attention. Missing the optimum opportunity for surgical treatment results in a markedly diminished quality of life. Two patients who had missed the optimum time for surgical treatment were followed up and it was revealed that the cyst was getting smaller and the parenchyma was increasing in size.
Thin-wall cystic lung cancer is most common in adenocarcinomas. Xue et al (11) reported that thin-wall cystic lesions were detected in 15/18 patients with moderately- or well-differentiated adenocarcinoma. Qi et al (12) also reported 16 cases of adenocarcinoma. In the present study, a 57-year-old man presented with primary thin-wall cystic squamous cell carcinoma. Initially he was diagnosed with tuberculosis cysts, but a bronchoscopic biopsy identified it as poorly-differentiated squamous cell carcinoma. The lesion displayed the suspected malignant signs of lung cancer, including asymmetric thickening of the wall, short spicules, lobulation and irregular margins. However, no necrosis was observed inside the lesion. This case indicates that thin-wall cystic lesions are not limited to adenocarcinoma.
The follow-up results were retrospectively analyzed. Only one patient died of recurrent tumor four years after surgery. One patient died of another disease. One patient was suspected to have tumor recurrence half a year after surgery. Early surgical treatment for primary thin-wall cystic lung cancer may, in practice, obtain a good outcome.
A check-valve mechanism is widely accepted (13–16). The check-valve is difficult to observe in pathological sections. Out of 45 patients in the present study, tumor cell infringed bronchiolar walls were only observed in 3 patients, which may alter bronchial structure and lead to obstruction and collapse of the trachea. We hypothesized that with air in the trachea, enclosure will be formed during expiration, forming a one-way flutter valve. The hyperplastic fibrous tissue maintains a certain tension within the cyst.
In conclusion, the results of the present study indicated that patients who present with new cystic lesions in the lung may take monthly reexaminations in the first three months. The malignant radiographic signs may be valuable indications for early accurate diagnosis. This type of lung cancer is not limited to adenocarcinoma. A total of 6 patients underwent PET/CT scans, 5 of which exhibited normal values. Due to the small number of patients, the results of the present study could not be statistically analyzed. A total of 41 of these patients survived following surgery. However, metastasis may occur in thin-wall cystic lung cancer. If the patients missed the optimum time for surgical treatment, their quality of life may be markedly reduced. In the present study, the imaging features, diagnosis, pathology, metastasis and prognosis of the disease are systematically described. Prognosis and confirmed metastasis in pathology have not been previously reported. The present study will permit an improved understanding of the disease. To begin with, 45 cases of thin-wall cystic lung cancer were assessed in the present study, a number that is greater than that in aforementioned studies (11–13,15,16). Secondly, the present study demonstrated that squamous cell carcinoma may also manifest as a thin-wall cystic lung cancer. Thirdly, the metastases were confirmed by pathology. Finally, the development of thin-wall cystic lung cancer was observed in imaging in the present study. Future studies should incorporate more cases for data analysis.
Not applicable.
The present study was supported by Beijing Outstanding Young Talent Fund (grant no. 2014000021469G253) and the National Natural Science Fund Youth Project (grant no. 81700007). Additionally, the study was supported by a special fund from the Railway Head Corporation (grant no. J2015C001-B).
All data generated or analyzed during this study are included in this published article.
HD is responsible for writing this paper and collecting data. CCW and JG are responsible for the pathology and image review, and JYZ, JZ, SZ, HJ, XLC, DXW, LP, YW and XYX were responsible for the collection of data.
The present study was conducted in compliance with the institutional policy regarding the protection of patient confidential information and was approved by the Research Ethics Committee of Beijing Shijitan Hospital affiliated to Capital Medical University. All procedures were performed in accordance with the approved guidelines of Beijing Shijitan Hospital affiliated to Capital Medical University.
Patients provided written informed consent for the publication of their data.
The authors declare that they have no competing interests.
|
Chen Z: Third national retrospect port-check of death-causation. 1st edition. Peking Union Medical College Press; Beijing, China: pp. 153–154. 2008 | |
|
Ferlay J, Shin HR, Bray F, Forman D, Mathers C and Parkin DM: Estimates of worldwide burden of cancer in 2008: GLOBOCAN 2008. Int J Cancer. 127:2893–2917. 2010. View Article : Google Scholar : PubMed/NCBI | |
|
Parkin DM, Bray F, Ferlay J and Pisani P: Global cancer statistics, 2002. CA Cancer J Clin. 55:74–108. 2005. View Article : Google Scholar : PubMed/NCBI | |
|
Woodring JH: Pitfalls in the radiologic diagnosis of lung cancer. AJR Am J Roentgenol. 154:1165–1175. 1990. View Article : Google Scholar : PubMed/NCBI | |
|
Matsuoka T, Fukamitsu G, Onoda M, Uesugi N, Kawano K and Katou T: Synchronous multiple lung cancer including a lesion with a thin-wall cavity; report of a case. Kyobu Geka. 63:164–167. 2010.(In Japanese). PubMed/NCBI | |
|
Isobe K, Hata Y, Iwata M, Ishida F, Kaburaki K, Gocho K, Kobayashi M, Sakaguchi S, Satou D, Sano G, et al: An autopsied case of mucinous bronchioloalveolar carcinoma associated with multiple thin-wall cavities. Nihon Kokyuki Gakkai Zasshi. 47:512–517. 2009.(In Japanese). PubMed/NCBI | |
|
Sekine A, Hagiwara E, Ogura T, Sato T, Shinohara T, Baba T, Endo T, Sogo Y, Nishihira R, Komatsu S, et al: A case of lung adenocarcinoma with gradual enlargement of thin-wall cavity causing pneumothorax. Nihon Kokyuki Gakkai Zasshi. 46:552–557. 2008.(In Japanese). PubMed/NCBI | |
|
Gadkowski LB and Stout JE: Cavitary pulmonary disease. Clin Microbiol Rev. 21:305–333. 2008. View Article : Google Scholar : PubMed/NCBI | |
|
Mascalchi M, Attinà D, Bertelli E, Falchini M, Vella A, Pegna AL, Ambrosini V and Zompatori M: Lung cancer associated with cystic airspaces. J Comput Assist Tomogr. 39:102–108. 2015. View Article : Google Scholar : PubMed/NCBI | |
|
Watanabe Y, Kusumoto M, Yoshida A, Shiraishi K, Suzuki K, Watanabe SI and Tsuta K: Cavity wall thickness in solitary cavitary lung adenocarcinomas is a prognostic indicator. Ann Thorac Surg. 102:1863–1871. 2016. View Article : Google Scholar : PubMed/NCBI | |
|
Xue X, Wang P, Xue Q, Wang N, Zhang L, Sun J, Wang K, Yang B and Wang J: Comparative study of solitary thin-wall cavity lung cancer with computed tomography and pathological findings. Lung Cancer. 78:45–50. 2012. View Article : Google Scholar : PubMed/NCBI | |
|
Qi Y, Zhang Q, Huang Y and Wang D: Manifestations and pathological features of solitary thin-wall cavity lung cancer observed by CT and PET/CT imaging. Oncol Lett. 8:285–290. 2014. View Article : Google Scholar : PubMed/NCBI | |
|
Sugimoto Y, Semba H, Fujii S, Furukawa E and Kurano R: Clinical analysis of primary lung cancer with a thin-wall cavity to explain the mechanism of thin-wall cavity formation. Nihon Kokyuki Gakkai Zasshi. 45:460–464. 2007.(In Japanese). PubMed/NCBI | |
|
Kim TS, Koh WJ, Han J, Chung MJ, Lee JH, Lee KS and Kwon OJ: Hypothesis on the evolution of cavitary lesions in nontuberculous mycobacterial pulmonary infection: Thin-section CT and histopathologic correlation. Am J Roentgenol. 184:1247–1252. 2005. View Article : Google Scholar | |
|
Lu M, Zhu X, Liu C, Cao B, Yao W and Chen Y: Squamous cell carcinoma presenting as a refilled thin-wall cavity in lung: A case report. Clin Respir J. 10:520–523. 2016. View Article : Google Scholar : PubMed/NCBI | |
|
Iwata T, Nishiyama N, Nagano K, Izumi N, Tsukioka T, Hanada S, Kimura T, Kudoh S, Hirata K and Suehiro S: Squamous cell carcinoma presenting as a solitary growing cyst in lung: A diagnostic pitfall in daily clinical practice. Ann Thorac Cardiovasc Surg. 15:174–177. 2009.PubMed/NCBI |