Spandidos Publications Logo
  • About
    • About Spandidos
    • Aims and Scopes
    • Abstracting and Indexing
    • Editorial Policies
    • Reprints and Permissions
    • Job Opportunities
    • Terms and Conditions
    • Contact
  • Journals
    • All Journals
    • Oncology Letters
      • Oncology Letters
      • Information for Authors
      • Editorial Policies
      • Editorial Board
      • Aims and Scope
      • Abstracting and Indexing
      • Bibliographic Information
      • Archive
    • International Journal of Oncology
      • International Journal of Oncology
      • Information for Authors
      • Editorial Policies
      • Editorial Board
      • Aims and Scope
      • Abstracting and Indexing
      • Bibliographic Information
      • Archive
    • Molecular and Clinical Oncology
      • Molecular and Clinical Oncology
      • Information for Authors
      • Editorial Policies
      • Editorial Board
      • Aims and Scope
      • Abstracting and Indexing
      • Bibliographic Information
      • Archive
    • Experimental and Therapeutic Medicine
      • Experimental and Therapeutic Medicine
      • Information for Authors
      • Editorial Policies
      • Editorial Board
      • Aims and Scope
      • Abstracting and Indexing
      • Bibliographic Information
      • Archive
    • International Journal of Molecular Medicine
      • International Journal of Molecular Medicine
      • Information for Authors
      • Editorial Policies
      • Editorial Board
      • Aims and Scope
      • Abstracting and Indexing
      • Bibliographic Information
      • Archive
    • Biomedical Reports
      • Biomedical Reports
      • Information for Authors
      • Editorial Policies
      • Editorial Board
      • Aims and Scope
      • Abstracting and Indexing
      • Bibliographic Information
      • Archive
    • Oncology Reports
      • Oncology Reports
      • Information for Authors
      • Editorial Policies
      • Editorial Board
      • Aims and Scope
      • Abstracting and Indexing
      • Bibliographic Information
      • Archive
    • Molecular Medicine Reports
      • Molecular Medicine Reports
      • Information for Authors
      • Editorial Policies
      • Editorial Board
      • Aims and Scope
      • Abstracting and Indexing
      • Bibliographic Information
      • Archive
    • World Academy of Sciences Journal
      • World Academy of Sciences Journal
      • Information for Authors
      • Editorial Policies
      • Editorial Board
      • Aims and Scope
      • Abstracting and Indexing
      • Bibliographic Information
      • Archive
    • International Journal of Functional Nutrition
      • International Journal of Functional Nutrition
      • Information for Authors
      • Editorial Policies
      • Editorial Board
      • Aims and Scope
      • Abstracting and Indexing
      • Bibliographic Information
      • Archive
    • International Journal of Epigenetics
      • International Journal of Epigenetics
      • Information for Authors
      • Editorial Policies
      • Editorial Board
      • Aims and Scope
      • Abstracting and Indexing
      • Bibliographic Information
      • Archive
    • Medicine International
      • Medicine International
      • Information for Authors
      • Editorial Policies
      • Editorial Board
      • Aims and Scope
      • Abstracting and Indexing
      • Bibliographic Information
      • Archive
  • Articles
  • Information
    • Information for Authors
    • Information for Reviewers
    • Information for Librarians
    • Information for Advertisers
    • Conferences
  • Language Editing
Spandidos Publications Logo
  • About
    • About Spandidos
    • Aims and Scopes
    • Abstracting and Indexing
    • Editorial Policies
    • Reprints and Permissions
    • Job Opportunities
    • Terms and Conditions
    • Contact
  • Journals
    • All Journals
    • Biomedical Reports
      • Information for Authors
      • Editorial Policies
      • Editorial Board
      • Aims and Scope
      • Abstracting and Indexing
      • Bibliographic Information
      • Archive
    • Experimental and Therapeutic Medicine
      • Information for Authors
      • Editorial Policies
      • Editorial Board
      • Aims and Scope
      • Abstracting and Indexing
      • Bibliographic Information
      • Archive
    • International Journal of Epigenetics
      • Information for Authors
      • Editorial Policies
      • Editorial Board
      • Aims and Scope
      • Abstracting and Indexing
      • Bibliographic Information
      • Archive
    • International Journal of Functional Nutrition
      • Information for Authors
      • Editorial Policies
      • Editorial Board
      • Aims and Scope
      • Abstracting and Indexing
      • Bibliographic Information
      • Archive
    • International Journal of Molecular Medicine
      • Information for Authors
      • Editorial Policies
      • Editorial Board
      • Aims and Scope
      • Abstracting and Indexing
      • Bibliographic Information
      • Archive
    • International Journal of Oncology
      • Information for Authors
      • Editorial Policies
      • Editorial Board
      • Aims and Scope
      • Abstracting and Indexing
      • Bibliographic Information
      • Archive
    • Medicine International
      • Information for Authors
      • Editorial Policies
      • Editorial Board
      • Aims and Scope
      • Abstracting and Indexing
      • Bibliographic Information
      • Archive
    • Molecular and Clinical Oncology
      • Information for Authors
      • Editorial Policies
      • Editorial Board
      • Aims and Scope
      • Abstracting and Indexing
      • Bibliographic Information
      • Archive
    • Molecular Medicine Reports
      • Information for Authors
      • Editorial Policies
      • Editorial Board
      • Aims and Scope
      • Abstracting and Indexing
      • Bibliographic Information
      • Archive
    • Oncology Letters
      • Information for Authors
      • Editorial Policies
      • Editorial Board
      • Aims and Scope
      • Abstracting and Indexing
      • Bibliographic Information
      • Archive
    • Oncology Reports
      • Information for Authors
      • Editorial Policies
      • Editorial Board
      • Aims and Scope
      • Abstracting and Indexing
      • Bibliographic Information
      • Archive
    • World Academy of Sciences Journal
      • Information for Authors
      • Editorial Policies
      • Editorial Board
      • Aims and Scope
      • Abstracting and Indexing
      • Bibliographic Information
      • Archive
  • Articles
  • Information
    • For Authors
    • For Reviewers
    • For Librarians
    • For Advertisers
    • Conferences
  • Language Editing
Login Register Submit
  • This site uses cookies
  • You can change your cookie settings at any time by following the instructions in our Cookie Policy. To find out more, you may read our Privacy Policy.

    I agree
Search articles by DOI, keyword, author or affiliation
Search
Advanced Search
presentation
Oncology Letters
Join Editorial Board Propose a Special Issue
Print ISSN: 1792-1074 Online ISSN: 1792-1082
Journal Cover
October-2019 Volume 18 Issue 4

Full Size Image

Sign up for eToc alerts
Recommend to Library

Journals

International Journal of Molecular Medicine

International Journal of Molecular Medicine

International Journal of Molecular Medicine is an international journal devoted to molecular mechanisms of human disease.

International Journal of Oncology

International Journal of Oncology

International Journal of Oncology is an international journal devoted to oncology research and cancer treatment.

Molecular Medicine Reports

Molecular Medicine Reports

Covers molecular medicine topics such as pharmacology, pathology, genetics, neuroscience, infectious diseases, molecular cardiology, and molecular surgery.

Oncology Reports

Oncology Reports

Oncology Reports is an international journal devoted to fundamental and applied research in Oncology.

Experimental and Therapeutic Medicine

Experimental and Therapeutic Medicine

Experimental and Therapeutic Medicine is an international journal devoted to laboratory and clinical medicine.

Oncology Letters

Oncology Letters

Oncology Letters is an international journal devoted to Experimental and Clinical Oncology.

Biomedical Reports

Biomedical Reports

Explores a wide range of biological and medical fields, including pharmacology, genetics, microbiology, neuroscience, and molecular cardiology.

Molecular and Clinical Oncology

Molecular and Clinical Oncology

International journal addressing all aspects of oncology research, from tumorigenesis and oncogenes to chemotherapy and metastasis.

World Academy of Sciences Journal

World Academy of Sciences Journal

Multidisciplinary open-access journal spanning biochemistry, genetics, neuroscience, environmental health, and synthetic biology.

International Journal of Functional Nutrition

International Journal of Functional Nutrition

Open-access journal combining biochemistry, pharmacology, immunology, and genetics to advance health through functional nutrition.

International Journal of Epigenetics

International Journal of Epigenetics

Publishes open-access research on using epigenetics to advance understanding and treatment of human disease.

Medicine International

Medicine International

An International Open Access Journal Devoted to General Medicine.

Journal Cover
October-2019 Volume 18 Issue 4

Full Size Image

Sign up for eToc alerts
Recommend to Library

  • Article
  • Citations
    • Cite This Article
    • Download Citation
    • Create Citation Alert
    • Remove Citation Alert
    • Cited By
  • Similar Articles
    • Related Articles (in Spandidos Publications)
    • Similar Articles (Google Scholar)
    • Similar Articles (PubMed)
  • Download PDF
  • Download XML
  • View XML
Article

The CK2 inhibitor CX4945 reverses cisplatin resistance in the A549/DDP human lung adenocarcinoma cell line

  • Authors:
    • Chengji Jin
    • Ping Song
    • Ji Pang
  • View Affiliations / Copyright

    Affiliations: Respiratory Department, Affiliated Hospital of Jiangsu University, Zhenjiang, Jiangsu 212001, P.R. China, Department of Physiology, School of Medicine, Jiangsu University, Zhenjiang, Jiangsu 212013, P.R. China
  • Pages: 3845-3856
    |
    Published online on: August 1, 2019
       https://doi.org/10.3892/ol.2019.10696
  • Expand metrics +
Metrics: Total Views: 0 (Spandidos Publications: | PMC Statistics: )
Metrics: Total PDF Downloads: 0 (Spandidos Publications: | PMC Statistics: )
Cited By (CrossRef): 0 citations Loading Articles...

This article is mentioned in:



Abstract

Lung cancer negatively impacts global health, and the incidence of non‑small cell lung cancer (NSCLC) is highest among all forms of lung cancer. Chemotherapy failure mainly occurs due to drug resistance; however, the associated molecular mechanism remains unclear. Casein kinase II (CK2), which plays important roles in the occurrence, development and metastasis of many tumours, regulates Wnt signaling by modulating β‑catenin expression. In the present study the effects of the CK2 inhibitor, CX4945 on cisplatin [or cis‑diamminedichloroplatinum (II); (DDP)]‑resistant A549 cells (A549/DDP) were investigated to elucidate the underlying molecular mechanism. A549/DDP cells were divided into four groups (blank control, CX4945, cisplatin and CX4945+cisplatin). Cisplatin resistance was 5.16‑fold greater in A549/DDP cells compared with that in A549 cells, with an optimal cisplatin concentration of 5 µg/ml. Moreover, levels of CK2, dishevelled‑2 (DVL‑2) phosphorylated (p) at Ser143 (p‑DVL‑2Ser143), and major Wnt‑signaling proteins were significantly higher in A549/DDP cells compared with that in A549 cells (P<0.05), with these levels further increased following cisplatin treatment (P<0.05), whereas these levels significantly decreased in A549 cells after cisplatin treatment (P<0.05). Additionally, multidrug‑resistance‑associated protein 1 and lung resistance protein expression was significantly higher in A549/DDP cells compared with that in A549 cells (P<0.05), with these levels increasing further in A549/DDP (P<0.05) but not A549 cells upon cisplatin treatment (P>0.05). In addition, reduced expression of resistance proteins in A549/DDP cells was accompanied by a decline in the 50% growth inhibition after CX4945 pre‑treatment. Furthermore, levels of p‑DVL‑2Ser143 and major Wnt‑signaling proteins decreased significantly after treatment of A549/DDP cells with CX4945+cisplatin, whereas DVL‑2 and p‑DVL‑2Thr224 levels remained unchanged. Additionally, significant elevations in apoptosis rates in the CX4945+cisplatin group relative to the control and cisplatin‑only groups, was observed (P<0.001). These results suggested that inhibiting Wnt/β‑catenin signaling with CX4945, which attenuates levels of drug‑resistance‑associated proteins and induces apoptosis, might reverse cisplatin resistance in NSCLC.

Introduction

Lung cancer is the leading cause of cancer-related mortality worldwide, resulting in ~1.8 million new cases and ~1.6 million deaths annually, with non-small cell lung cancer (NSCLC) accounting for ~80% of all lung cancers (1). The clinical symptoms and manifestations of early lung cancer are often hidden and lack specificity; therefore, most patients are not diagnosed until the disease has reached an advanced stage (2). The recommended first-line therapy for advanced NSCLC (without driver oncogenes targetable by a tyrosine kinase inhibitor and exhibiting low programmed death ligand-1 expression), platinum-based doublet chemotherapy, has significantly improved the overall survival and quality of life for these patients (3,4); however, after multiple cycles of chemotherapy, tumour cells can develop resistance to chemotherapeutic drugs, which lowers their activity against cancer cells (5). Moreover, the efficacy of chemotherapy is often limited by multidrug-resistance (MDR)-related proteins which extrude anticancer drugs (6). Therefore, investigating the molecular mechanisms underlying cisplatin resistance in NSCLC has been a focus of recent research (7,8). Data from many studies show that the mechanism of MDR in tumours is mainly related to altered cell signaling through key proteins, such as phosphoinositide 3-kinase-Akt, Janus N-terminal kinase and Wnt/β-catenin (9–11). Accordingly, disrupting relevant signaling might be an efficient strategy for reversing acquired drug resistance. For example, microRNA (miR)-130a upregulation directly inhibits the expression of the tumour-suppressor gene runt-related transcription factor-3, leading to activation of Wnt/β-catenin signaling and increased cisplatin resistance in hepatocellular carcinoma (12). Additionally, activation of the Wnt/β-catenin signaling pathway due to cytoplasmic glycogen synthase kinase-3β (GSK-3β) inhibition might explain cisplatin resistance observed in A549/cis-diamminedichloroplatinum (II) (DDP) cells (13). Furthermore, maternally expressed 3 and miR-130b were also shown to enhance cisplatin resistance by activating the Wnt/β-catenin signaling pathway in lung cancer (14,15). These findings suggest that Wnt/β-catenin signaling might be closely related to cisplatin resistance.

Casein kinase II (CK2) is a highly conserved serine/threonine kinase commonly found in eukaryotic cells that most often exists as a tetrameric complex comprising of two catalytic subunits and two regulatory subunits (16,17). CK2 exerts a variety of biological functions, including enhancing growth (18), angiogenesis (19), invasion and metastasis (19,20) in various human tumour xenografts, including lung cancer (19), urothelial cancer (21), mesothelioma (22), hepatocellular cancer (23) and gastric cancer (24), as well as participating in the regulation of different signaling pathways. Previous findings suggested CK2 as a positive regulator of Wnt signaling (25,26); however, to the best of our knowledge, its association with cisplatin resistance in lung cancer cells remains to be elucidated. Previous reports have indicated that the inhibition of dishevelled-2 (DVL-2; the most abundant isoform of the mammalian DVL family) can re-sensitize cisplatin-resistant lung cancer cells by downregulating Wnt/β-catenin signaling (27,28). Additionally, a study has shown that DVL-2 is phosphorylated by CK2 (29). In the present study the effect of CK2 on MDR in A549 lung cancer cells using A549/DDP cells as a model system was investigated. Initially, CK2 and DVL-2 levels in A549 and A549/DDP cells were determined, followed by western blot analysis to detect levels of MDR-related proteins, including multidrug-resistance-associated protein 1 (MPR1) and lung resistance protein (LRP), in A549/DDP cells in the presence or absence of CX4945 treatment. Thus, the aim of the present study was to investigate the effects of CX4945 on the cisplatin (DDP)-resistance of A549/DDP lung cancer cells and determine the underlying molecular mechanism.

Materials and methods

Cells and cell culture

The human lung adenocarcinoma cell line A549 and its cisplatin-resistant subline A549/DDP were obtained from the Institute of Cell Biology. Cells were cultured in a humidified incubator at 37°C and 5% CO2 in Roswell Park Memorial Institute (RPMI)-1640 medium (Thermo Fisher Scientific, Inc.) supplemented with 10% heat-inactivated foetal bovine serum (Gibco; Thermo Fisher Scientific, Inc.), 100 U/ml penicillin and 100 µg/ml streptomycin (HyClone; GE Healthcare Life Sciences). To maintain drug resistance, A549/DDP cells were maintained in the presence of 0.5 µg/ml cisplatin (Merck KGaA).

Cell-proliferation analysis

The effect of cisplatin on cell growth was determined using Cell Counting Kit-8 (CCK-8; Dojindo Molecular Technologies Inc.) assays. For this, 100 µl A549 and A549/DDP cell suspensions were distributed in quadruplicate in 96-well plates at a density of 5×104 cells/well. Culture medium (100 µl) was added to the wells of 96-well plates as a blank control group, followed by incubation of both sets of plates at 37°C and 5% CO2 for 24 h. The cells were then treated with or without 15 µM CX4945 (Selleck Chemicals Co., Ltd.) for 24 h, followed by an additional 24 h incubation with 0, 1.25, 2.5, 5, 10, or 20 µg/ml cisplatin. CCK-8 solution (10 µl) was subsequently added to each well of the plates and incubated for 1 h, after which the absorbance at 450 nm was measured. The proliferation of A549 and A549/DDP cells was also determined by the same method after cells were treated with cisplatin (5 µg/ml) for 0, 12, 24, 36, 48 and 72 h. This procedure was performed three times, and the mean value was calculated. The concentration at which cisplatin alone or in combination with CX4945 produced 50% growth inhibition (IC50) was calculated based on the relative survival curve.

Flow cytometric analysis of apoptosis

A total of 5×105 A549/DDP cells/well were cultured overnight in 6-well plates, followed by the addition of CX4945 at a concentration of 0, 5, 10, 15, 20, or 25 µM. After 24 h, after cells were digested with trypsin with no EDTA, they were centrifuged at 350 × g at 4°C for 5 min, washed twice with phosphate-buffered saline, and resuspended in binding buffer (BD Biosciences) at a concentration of 2×105 cells/ml. Annexin V-conjugated fluorescein isothiocyanate and propidium iodide (BioLegend, Inc.) was added to the binding buffer and incubated for 15 min at room temperature. After incubation, the percentage of apoptotic cells was detected using a flow cytometer (BD FACSCalibur; BD Biosciences) and analysed usig FlowJO version 7.6.1 (Tree Star, Inc.). After dividing the A549/DDP cells into four groups based on different treatments (RPMI-1640, DDP alone, CX4949 alone, or combination treatment), apoptosis was detected using flow cytometry.

Western blot analysis

After the treatment with RPMI-1640 medium, CX4945, cisplatin or CX4945+cisplatin, and incubation for 24 h, whole-cell lysates were harvested from A549 and A549/DDP cells using cell lysis buffer (Beyotime Institute of Biotechnology). The protein concentration was measured using a bicinchoninic acid assay, and equal quantities (20 µg) of protein were resolved using SDS-PAGE with a 10% gel. After resolving, the proteins were transferring to polyvinylidene difluoride membranes. The membranes were blocked with 5% bovine serum albumin (Sigma-Aldrich; Merck KGaA) for 1 h at room temperature, and then incubated with a primary antibody overnight at 4°C, followed by incubation with either horseradish peroxidase (HRP) conjugated goat anti-rabbit (cat. no. 111-035-003; 1:10,000) and goat anti-mouse secondary antibodies (cat. no. 115-035-003; 1:10,000) (both from Jackson ImmunoResearch Laboratories, Inc.) for 1 h at room temperature. Protein bands were detected using enhanced chemiluminescence reagents (EMD Millipore).

Antibodies against the following targets were used for western blot analysis: CK2α (cat. no. sc-12738; 1:500; Santa Cruz Biotechnology, Inc.), β-catenin (cat. no. sc-7963; 1:500; Santa Cruz Biotechnology, Inc.), DVL-2 (cat. no. 373413; 1:1,000; R&D Systems, Inc.), p-DVL-2Ser143 (cat. no. ab124933; 1:1,000; Abcam), p-DVL-2Thr224 (cat. no. ab124941; 1:1,000; Abcam), c-Myc (cat. no. 9402; 1:500; Cell Signaling Technology, Inc.), caspase-3 (cat. no. sc-271759; 1:500; Santa Cruz Biotechnology, Inc.), cleaved caspase-3 (cat. no. 9661; 1:500; Cell Signaling Technology, Inc.); cyclin D1 (cat. no. 2922; 1:500; Cell Signaling Technology, Inc.), MRP1 (cat. no. sc-365635; 1:1,000; Santa Cruz Biotechnology, Inc.) and LRP (cat. no. sc-390134; dilution, 1:500; Santa Cruz Biotechnology, Inc.). Densitometry analysis was performed using ImageJ version 1.52a (National Institutes of Health). The respective total protein was used as the loading control for phosphoproteins. β-actin was used as the loading control for all other proteins.

RNA extraction and quantitative reverse transcription polymerase chain reaction (RT-qPCR)

After the indicated treatments, total RNA was extracted from cells from the four groups (blank control, cisplatin alone, CX4945 alone and CX4945+cisplatin) using Trizol® (Thermo Fisher Scientific, Inc.) according to manufacturer instructions. Total RNA was reverse transcribed to cDNA at 42°C for 60 min followed by 72°C for 10 min, using a PrimeScript RT reagent kit (Bio-Rad Laboratories, Inc.). qPCR was conducted using the UltraSYBR reagent (CWBIO, Technology, Co. Ltd.) on a thermocycler with the following cycling conditions: Initial denaturation for 3 min at 94°C, followed by 40 cycles of denaturation for 30 sec at 94°C, annealing for 30 sec at 60°C, extension for 30 sec at 72°C, and a final extension step for 2 min at 72°C. Primer sequences are listed in Table I. The RNA levels of target genes were standardized against that of β-actin using the 2−ΔΔCq method (30). All assays were performed in triplicate to ensure minimum deviation.

Table I.

Primer sequences used in the present study.

Table I.

Primer sequences used in the present study.

Primer nameSequence
DVL-2
  Forward 5′-GAGGAAGAGACTCCCTACCTG-3′
  Reverse 5′-CGGGCGTTGTCATCTGAAAT-3′
β-catenin
  Forward 5′-CATCTACACAGTTTGATGCTGCT-3′
  Reverse 5′-GCAGTTTTGTCAGTTCAGGGA-3′
C-myc
  Forward 5′-GTCAAGAGGCGAACACACAAC-3′
  Reverse 5′-TTGGACGGACAGGATGTATGC-3′
Cyclin D1
  Forward 5′-GCTGCGAAGTGGAAACCATC-3′
  Reverse 5′-CCTCCTTCTGCACACATTTGAA-3′
MRP1
  Forward 5′-AAGGAGGTACTAGGTGGGCTT-3′
  Reverse 5′-CCAGTAGGACCCTTCGAGC-3′
LRP
  Forward 5′-TACATCCGGCAGGACAATGAG-3′
  Reverse 5′-CTGTGCAGTAGTGACGTGGG-3′
Caspase-3
  Forward 5′-CATGGAAGCGAATCAATGGACT-3′
  Reverse 5′-CTGTACCAGACCGAGATGTCA-3′

[i] DVL-2, dishevelled-2; MRP1, multidrug resistance-associated protein 1; LRP, lung resistance protein.

Statistical analysis

Statistical analysis was performed using GraphPad Prism software (v5.01; GraphPad Software, inc.). Data are expressed as the mean ± standard deviation. Independent samples t-tests and paired t-tests were used to compare data between two groups. One-way analysis of variance with Bonferroni's correction was used to compare data among three or more groups. A P<0.05 was considered to indicate a statistically significant difference.

Results

Effects of cisplatin on A549 and A549/DDP cell growth

A549 and A549/DDP cells were treated with cisplatin at increasing concentrations (0, 1.25, 2.5, 5, 10 or 20 µg/ml), and the viability of treated cells was detected using CCK-8 assays. The viability of the cells was also determined by the same method after treatment with cisplatin (5 µg/ml) for 0, 12, 24, 36, 48 and 72 h. Cisplatin significantly inhibited A549 and A549/DDP cell growth in a dose- and time-dependent manner (Fig. 1A and C), with IC50 values for cisplatin of 3.74±0.22 and 19.28±2.17 µg/ml in A549 and A549/DDP cells, respectively (P=0.0002; Fig. 1B). These results indicated that A549/DDP cells were 5.16-fold more resistant to cisplatin compared with that of A549 cells. Moreover, A549/DDP cell viability decreased until the concentration increased to 5 µg/ml; therefore, we chose this as the optimal concentration for treatment.

Figure 1.

Effect of cisplatin on A549 and A549/DDP cell proliferation. (A) A549 and A549/DDP cells were treated with 0, 1.25, 2.5, 5, 10, or 20 µg/ml cisplatin for 24 h, and cell viability was detected using performing CCK-8 assays. (B) IC50 value of cisplatin in A549 and A549/DDP cells (mean ± standard deviation; n=3). ***P<0.001 vs. A549 cells. Statistical analysis was performed using independent samples t-tests. (C) A549 and A549/DDP cells were treated with cisplatin (5 µg/ml) for 0, 12, 24, 36, 48 and 72 h and cell viability was analysed using CCK-8 assay. CCK-8, Cell Counting Kit-8; DDP, cis-diamminedichloroplatinum (II).

Levels of Wnt-signaling-pathway-related proteins and resistance-related proteins in A549 and A549/DDP cells

Activation of Wnt/β-catenin signaling not only leads to a variety of human diseases (31) but it is also associated with cisplatin resistance (13). CK2 and DVL-2 participate in and activate Wnt/β-catenin signaling (26,32). Moreover, S143 and T224 of human DVL-2 are phosphorylated by CK1δ/ε, and the S143A mutation inhibits polo-box domain (PB)-DVL-2 interaction, while the T224A mutation partially inhibits this interaction (33). The phosphorylation of DVL-2 and DVL-2-PBD binding are critical for subsequent interaction with polo-like kinase 1, which is involved in non-canonical Wnt signaling (33). However, whether these two phosphorylation sites are associated with the canonical Wnt signaling pathway remains unclear. Therefore, to determine whether differences in responses to cisplatin between A549 and A549/DDP cells were related to disparities in CK2 and DVL-2 levels, western blot analysis was performed to evaluate CK2, total-DVL-2, p-DVL-2Ser143 and p-DVL-2Thr224 levels in both cell lines. As shown in Fig. 2, CK2 and p-DVL-2Ser143 expression levels were significantly higher in A549/DDP cells compared with the A549 cells (P<0.001). Additionally, β-catenin levels were significantly higher in A549/DDP cells (P<0.001), as were c-Myc and cyclin D1 (P<0.001), which are direct targets of lymphoid-enhancer-binding factor/T cell factor (LEF/TCF) transcription factors and function downstream of Wnt signaling (34). However, the levels of total DVL-2 and p-DVL-2Thr224 in A549 and A549/DDP cells were not significantly different (Fig. 2A and B). To further investigate whether the resistance of A549/DDP was associated with resistance-related proteins, levels of MRP1, LRP, caspase-3 and cleaved-caspase-3 were analyzed using western blot, revealing significantly higher MRP1 and LRP levels (P<0.001) and lower caspase-3 (P<0.001) and cleaved caspase-3 (P<0.001) levels in A549/DDP cells compared with that in A549 cells (Fig. 2C and D). These results suggested that differences in cisplatin resistance between A549 cells and A549/DDP cells might be associated with upregulated levels of MRP1, LRP, CK2 and p-DVL-2Ser143, which are important proteins associated with the Wnt/β-catenin pathway.

Figure 2.

Expression of proteins associated with Wnt signaling and drug resistance, respectively, in A549 and A549/DDP cells. (A and C) Western blot analyses using β-actin as an internal control. Relative protein levels (mean ± standard deviation; n=3) associated with the (B) Wnt signaling pathway and (D) cisplatin resistance, in A549 and A549/DDP cells. **P<0.01, ***P<0.001 vs. A549 cells. Statistical analysis was performed using independent samples t-tests. DDP, cis-diamminedichloroplatinum (II); DVL-2, dishevelled-2; p, phosphorylated; CK2, casein kinase II; MRP1, multidrug resistance-associated protein 1; LRP, lung resistance protein.

Effects of cisplatin on Wnt-signaling-pathway and resistance-related proteins in A549 and A549/DDP cells

Previous studies have not addressed DVL-mediated regulation of cancer cell resistance to chemotherapy. To investigate whether cisplatin resistance in lung adenocarcinoma cells is associated with DVL-2 activity, total DVL-2, p-DVL-2Ser143 and p-DVL-2Thr224 levels were detected after cisplatin treatment of A549 and A549/DDP cells. No changes in total DVL-2 or p-DVL-2Thr224 levels were found upon cisplatin treatment in either cell line; however, cisplatin treatment increased levels of CK2 and p-DVL-2Ser143 in A549/DDP cells but decreased these levels in A549 cells. Additionally, β-catenin, c-Myc and cyclin D1 levels were associated with CK2 levels in A549 and A549/DDP cells (Fig. 3). A previous study showed that the upregulated expression of β-catenin, cyclin D1 and c-Myc resulted in the activation of the Wnt/β-catenin pathway (35); therefore, it was hypothesized that cisplatin activates Wnt/β-catenin signaling in A549/DDP cells, which might be related to upregulated CK2 and p-DVL-2Ser143 levels. Moreover, previous studies suggest that the mechanisms associated with cancer drug resistance are closely related to resistance proteins and apoptosis (36–38). Therefore, MRP1 and LRP levels were analyzed after cisplatin treatment of A549 and A549/DDP cells, which revealed significantly higher levels of these markers in A549/DDP cells (P<0.001), whereas they were unchanged in A549 cells (P<0.001). Furthermore, the levels of caspase-3 decreased and the levels of cleaved caspase-3 increased in both cell lines following cisplatin treatment compared with no cisplatin treatment (P<0.001), but this upregulation was more significant in A549 cells compared with that the A549/DDP cells (Fig. 4).

Figure 3.

Expression of CK2, DVL-2, β-catenin, c-Myc and cyclin D1 in A549 and A549/DDP cells before and after cisplatin treatment. (A and C) Western blot analyses using β-actin as an internal control. (B and D) Relative protein levels (mean ± standard deviation; n=3) of CK2, DVL-2, β-catenin, c-Myc and cyclin D1 were determined in A549 and A549/DDP cells. **P<0.01, ***P<0.001 vs. A549 cells and A549/DDP cells before cisplatin treatment. Statistical analysis was performed using paired t-tests. CK2, casein kinase II; DVL-2, dishevelled-2; DDP, cis-diamminedichloroplatinum (II).

Figure 4.

Expression of MRP1, LRP, caspase-3 and cleaved caspase-3 in A549 and A549/DDP cells before and after cisplatin treatment. (A) Western blot analyses using β-actin as an internal control. (B) Relative protein levels (mean ± standard deviation; n=3) of MRP1, LRP, caspase-3 and cleaved caspase-3 were determined in A549 and A549/DDP cells. ***P<0.001 vs. A549 cells before cisplatin treatment. #P<0.05, ###P<0.001 vs. A549/DDP cells before cisplatin treatment. Statistical analysis was performed using paired t-tests. MRP1, multidrug resistance-associated protein 1; LRP, lung resistance protein; DDP, cis-diamminedichloroplatinum (II).

Effects of CX4945 on apoptosis and resistance-related proteins in A549/DDP cells

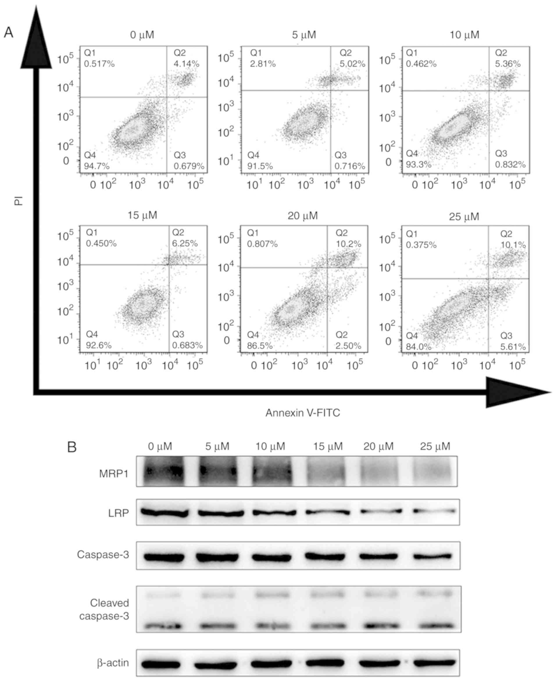
To assess the effects of CX4945 on apoptosis, A549/DDP cells were exposed to increasing concentrations of CX4945 (0, 5, 10, 15, 20, or 25 µM) for 24 h, followed by flow cytometric analysis. Initially, the proportions of apoptotic cells increased from 4.78 to 5.69%, 6.08 and 6.87% after treatment with 5, 10 and 15 µM CX4945, respectively; however, this percentage increased markedly to 13.59% at a CX4945 concentration of 20 µM (Fig. 5A). Western blot analysis of similarly treated A549/DDP cells for proteins associated with drug resistance revealed decreasing levels of MRP1 and LRP with increasing CX4945 concentrations (Fig. 5B); however, levels of caspase-3 decreased and cleaved-caspase-3 increased notably up until a CX4945 concentration of 20 µM, consistent with the flow cytometry data. Therefore, according to a previous finding (39) and these results, 15 µM (as apoptosis only increased at concentrations <20 µM) and 24 h was chosen as the optimal concentration and time for pretreatment.

Figure 5.

Effects of CX4945 on apoptosis- and drug resistance-related proteins in A549/DDP cells. (A) Flow cytometric analysis of apoptosis in A549/DDP cells treated with 0, 5, 10, 15, 20, or 25 µM CX4945 for 24 h. (B) Protein levels of MRP1, LRP, caspase-3 and cleaved caspase-3 in response to different concentrations of CX4945 in A549/DDP cells. MRP1, multidrug resistance-associated protein 1; LRP, lung resistance protein; DDP, cis-diamminedichloroplatinum (II); PI, propidium iodide.

CX4945 increased cisplatin sensitivity and cisplatin-induced apoptosis in A549/DDP cells

To investigate whether CX4945 affects the proliferation of A549/DDP cells, they were incubated with different concentrations of cisplatin (0, 1.25, 2.5, 5, 10, or 20 µg/ml) in the presence or absence of CX4945 (15 µM) for 24 h, followed by assessment of cell viability using CCK-8 assay. The IC50 value for cisplatin in CX4945 treated cells was lower compared with that for parental A549/DDP cells (6.43±0.32 vs. 18.43±1.56 µg/ml, respectively) (Fig. 6A), indicating that CX4945 treatment increased the cisplatin sensitivity of A549/DDP cells. To confirm that CX4945 enhances cisplatin-mediated apoptosis, flow cytometry was performed to detect apoptosis in A549/DDP cells treated with RPMI-1640 (as a blank control group), CX4945, cisplatin, or CX4945+cisplatin. The results revealed that total apoptotic rates in groups treated with CX4945, cisplatin, or CX4945+cisplatin were 8.62±0.43% (compared with the control group; P<0.05), 9.64±0.38% (compared with the control group; P<0.05) or 18.54±0.74% (compared with the control group; P<0.05), which were higher compared with that of the control group (8.05±0.36%). Furthermore, the apoptotic rate in the combination treatment group (18.54±0.74%) was significantly higher compared with that in the groups treated with CX4945 alone (8.65±0.43%) compared with CX4945+cisplatin group (P<0.001), or cisplatin alone (9.64±0.38%) compared with CX4945+cisplatin group (P<0.001; Fig. 6B). These data indicated that inhibition of CK2 activity by CX4945 enhanced cisplatin-induced apoptosis in A549/DDP cells.

Figure 6.

Effect of CX4945 on the proliferation and apoptosis of A549/DDP cells. (A) After pre-treatment with CX4945 for 24 h, A549/DDP cells were treated with 0, 1.25, 2.5, 5, 10, or 20 µg/ml cisplatin for 24 h, and the IC50 values of cisplatin in A549/DDP cells were determined (mean ± standard deviation; n=3). ***P<0.001 vs. A549/DDP cells without CX4945 pre-treatment. Statistical analysis was performed using independent samples t-tests. (B) A549/DDP cells were treated with (Ba) RPMI-1640 medium (blank control), (Bb) CX4945, (Bc) cisplatin, or (Bd) CX4945+cisplatin and incubated for 24 h. Apoptotic cells were analysed by flow cytometry. DDP, cis-diamminedichloroplatinum (II); PI, propidium iodide; IC50, 50% growth inhibition.

CX4945 reversed cisplatin resistance by blocking Wnt/β-catenin signaling in A549/DDP cells

The present study revealed that cisplatin can lead to the activation of Wnt/β-catenin signaling, which might be associated with CK2 and p-DVL-2Ser143 upregulation. To supporting this finding, A549/DDP cells were treated with RPMI-1640, CX4945, cisplatin, or CX4945+cisplatin, followed by detection of mRNA and protein levels of Wnt signaling-related molecules using RT-qPCR and western blot analysis, respectively. p-DVL-2Ser143, β-catenin, c-Myc and cyclin D1 mRNA and protein levels decreased significantly in the combined treatment group compared with cisplatin treatment alone, whereas total DVL-2 and p-DVL-2Thr224 levels did not differ significantly among the groups (P>0.05). Similar results were obtained upon comparison of CX4945 only group with the control group (Fig. 7A-D). These results revealed that inhibition of CK2 activity decreased p-DVL-2Ser143 levels and implied that DVL-2 phosphorylation at Ser143 by CK2 promotes activation of Wnt/β-catenin signaling.

Figure 7.

Protein and mRNA levels of DVL-2, β-catenin, c-Myc and cyclin D1 in A549/DDP cells treated with RPMI-1640, CX4945, cisplatin, or CX4945+cisplatin. RPMI-1640 served as the blank control. (A) Western blot analyses using β-actin as an internal control. Relative protein expression levels of (B) DVL-2, (C) β-catenin, c-Myc and cyclin D1 based on densitometry analysis of (A). (D) mRNA expression of DVL2, β-catenin, c-Myc and cyclin D1 determined using reverse transcription-quantitative PCR. Data represent the mean ± standard deviation of three independent experiments and one-way analysis of variance. ***P<0.001 vs. blank control group; ###P<0.001 vs. the cisplatin only group. DDP, cis-diamminedichloroplatinum (II); DVL-2, dishevelled-2.

Additionally, MRP1, LRP, caspase-3 and cleaved-caspase-3 protein and mRNA levels were analyzed, and revealed that MRP1, LRP and caspase-3 levels in the combined-treatment group were significantly lower compared with that in the cisplatin-only group (P<0.01), whereas cleaved-caspase-3 levels were significantly upregulated in the combined-treatment group (P<0.001). Moreover, compared with that in the control group, MRP1 and LRP mRNA and protein levels decreased in the CX4945-only group, whereas caspase-3 mRNA and protein levels and cleaved-caspase-3 protein levels remained virtually unchanged between both groups. Levels of MRP1, LRP and caspase-3 mRNA are consistent with their protein levels (Fig. 8A-C). These results indicated that CX4945 reversed cisplatin resistance by blocking Wnt/β-catenin signaling, downregulating levels of resistance-associated proteins, and inducing apoptosis.

Figure 8.

Protein and mRNA levels of MRP1, LRP and cleaved caspase-3 in A549/DDP cells treated with RPMI-1640, CX4945, cisplatin, or CX4945+cisplatin. RPMI-1640 served as the blank control. (A) Western blot analyses using β-actin as an internal control. (B) Relative protein expression levels based on densitometry analysis pf (A). (C) mRNA expression of MRP1, LRP and caspase-3 determined using reverse transcription-quantitative PCR. Data are presented as the mean ± standard deviation of three independent experiments and one-way analysis of variance. **P<0.01, ***P<0.001 vs. blank control group; ###P<0.001 vs. cisplatin only group. MRP1, multidrug resistance-associated protein 1; LRP, lung resistance protein; DDP, cis-diamminedichloroplatinum (II).

Discussion

Platinum drugs alone or in combination with other drugs are considered the standard first-line chemotherapy for patients with advanced lung cancer (3). However, intrinsic and acquired resistance to cisplatin is a major obstacle for the clinical treatment of NSCLC. The mechanism of drug resistance in lung cancer is very complex, and many factors are involved. First, studies identified mechanisms associated with membrane-transport protein-mediated drug efflux pumps and associated with upregulation of membrane proteins with efflux functions, such as P-glycoprotein, MRP and LRP (38,40). Second, abnormal activation of intracellular enzyme systems, such as topoisomerase (Topo) and glutamyl transpeptidase, can combine with various chemotherapeutic drug, such as platinum compounds, melphalan, cyclophosphamide, chlorambucil, doxorubicin and nitrogen mustards to reduce their activity (41). For example, decreased DNA Topo II expression can cause tumour cells to rapidly repair DNA and evade DNA-targeted chemotherapeutics, thereby mediating drug resistance (42). Third, upregulation of antiapoptotic markers, such as B-cell lymphoma-2 and c-Myc, can lead to a decrease in cancer cell apoptosis (43).

Cisplatin is the most commonly used chemotherapeutic drug and causes tumour cell death by disrupting DNA structure and function (44). Therefore, we hypothesized that cisplatin resistance might be related to the aberrant expression of signaling molecules induced by DNA destruction, resulting in altered activation of associated pathways. Activation of the Wnt/β-catenin pathway leads to cisplatin resistance in lung cancer (13–15). Moreover, CK2 is a positive regulator of Wnt signaling (25,26). Therefore, we hypothesized that Wnt signaling might be associated with cisplatin resistance in lung cancer cells; however, the role of CK2 in cisplatin resistance in lung cancer cells, as well as the potential underlying mechanism, remained unknown. To the best of our knowledge, this is the first study investigating an association between CK2 and cisplatin resistance. The results from the present study showed that levels of CK2, p-DVL-2Ser143, β-catenin, cyclin D1 and c-Myc were significantly higher in A549/DDP cells compared with that in A549 cells, whereas no differences were observed in total DVL-2 and p-DVL-2Thr224 levels. Furthermore, significantly higher levels of MRP1 and LRP were found in A549/DDP cells compared with that in A549 cells, although the level of cleaved caspase-3 was significantly lower in A549/DDP cells. As well-established components of Wnt/β-catenin signaling, upregulated β-catenin, cyclin D1 and c-Myc represent an activated state (or ‘on-state’) of this pathway (35). Therefore, the differences between A549 cells and A549/DDP cells in terms of cisplatin resistance might be connected to CK2 and p-DVL-2Ser143 upregulation and activation of Wnt signaling.

Previous studies show that the co-receptor LRP5/6 forms a complex with Wnt-bound Frizzled in the presence of a Wnt ligand (on-state), leading to the activation of DVL proteins via sequential phosphorylation, which displaces GSK-3β from the adenomatous polyposis coli/axin/GSK-3β complex (35,45,46). Destruction of this complex stabilizes β-catenin, which accumulates in the cytoplasm and results in its subsequent translocation to the nucleus, where it binds LEF/TCF transcription factors to activate the expression of c-Myc and cyclin D1 (45). DVL-2 participates in and activates Wnt/β-catenin signaling (32); however, the mechanism associated with DVL phosphorylation during Wnt/β-catenin signaling remains unclear. To investigate whether CK2 and p-DVL-2Ser143 are associated with cisplatin resistance, similar analyses was performed in the presence of this drug, finding that following cisplatin treatment, CK2 and p-DVL-2Ser143 levels in A549/DDP cells significantly increased while they were significantly reduced in A549 cells. However, no significant changes were observed in total DVL-2 and p-DVL-2Thr224 levels upon cisplatin treatment of either A549/DDP or A549 cells. Additionally, cisplatin treatment significantly increased β-catenin, cyclin D1 and c-Myc levels in A549/DDP cells but significantly downregulated these markers in A549 cells. These data revealed a positive association between activation of Wnt/β-catenin signaling and CK2 upregulation in A549/DDP cells. Furthermore, MRP1 and LRP protein levels were significantly upregulated after cisplatin treatment in A549/DDP cells; however, these levels remained unchanged in A549 cells. Furthermore, cleaved-caspase-3 levels increased significantly in both cell lines after cisplatin treatment, although their upregulation in A549/DDP cells was not as significant relative to that in A549 cells. Based on these results, we hypothesized that cisplatin activates Wnt/β-catenin signaling by upregulating CK2 in A549/DDP cells but inactivates this pathway in A549 cells. Moreover, DVL-2 phosphorylation at Ser143 by CK2 might account for the activation of Wnt/β-catenin signaling, which was also accompanied by MRP1 and LRP upregulation.

CX4945 is a potent and selective ATP-competitive inhibitor of CK2 (47) and reportedly inhibits not only the migration and invasion of A549 cells (39,48) but also suppresses cell growth through induction of cell cycle arrest at the G2/M phase and apoptosis (49). To address our hypothesis regarding cisplatin resistance, A549/DDP cells were divided into four groups, and similar analyses were performed, revealing significantly decreased p-DVL-2Ser143 levels in the combined treatment group compared with that in the cisplatin only group and accompanied by the inactivation of Wnt/β-catenin signaling and MRP1 and LRP downregulation. Additionally, inhibition of CK2 activity decreased p-DVL-2Ser143 levels, implying DVL-2 phosphorylation at Ser143 by CK2 promoted activation of Wnt/β-catenin signaling. Analysis of cleaved-caspase-3 levels in the four groups revealed that CX4945 treatment increased cisplatin-induced apoptosis in A549/DDP cells by downregulating MRP1 and LRP, with this finding confirmed by flow cytometric analysis. Furthermore, the IC50 value of CX4945 pre-treated cells was lower compared with that of parental A549/DDP cells. These results indicated that CX4945 reversed cisplatin resistance by blocking Wnt/β-catenin signaling and downregulating MRP1 and LRP levels.

In conclusion, the results from the present study suggest that Wnt/β-catenin signaling can be clinically targeted using CK2 inhibitors to induce sensitivity to platinum-based chemotherapeutics used for treating lung cancer. These results support the combined application of cisplatin with CX4945 for the treatment of NSCLC. Further studies are required to confirm that CX4945 will also function in vivo in order to predict the clinical benefit for patients. Additionally, the use of only one DDP resistant cell line may be a potential limitation of the present study. Future studies will address this and also investigate the involvement of associated signaling pathways, besides the Wnt signaling pathway.

Acknowledgements

Not applicable.

Funding

This study was supported by the Scientific Research Foundation Projects of the Affiliated Hospital of Jiangsu University (grant no. 2015-013) and funds from the Zhenjiang Science and Technology Development Project (grant no. SH2013033).

Availability of data and materials

All data generated or analysed during the present study are included in this published article.

Authors' contributions

CJ and PS conceived the study and designed the experiments. CJ performed the experiments. CJ and JP collected and analysed the experimental results. CJ drafted and revised the article.

Ethics approval and consent to participate

Not applicable.

Patient consent for publication

Not applicable.

Competing interests

The authors declare that they have no competing interests.

Glossary

Abbreviations

Abbreviations:

CCK-8

Cell Counting Kit-8

CK2

casein kinase II

DDP

cis-diamminedichloroplatinum (II)

DVL-2

dishevelled-2

GSK-3β

glycogen synthase kinase-3β

IC50

50% growth inhibition

LRP

lung resistance protein

MRP1

multidrug resistance-associated protein 1

NSCLC

non-small cell lung cancer

RPMI

Roswell Park Memorial Institute

Topo

topoisomerase

References

1 

Torre LA, Siegel RL and Jemal A: Lung cancer statistics. Adv Exp Med Biol. 893:1–19. 2016. View Article : Google Scholar : PubMed/NCBI

2 

Maconachie R, Mercer T, Navani N and McVeigh G; Guideline Committee, : Lung cancer: Diagnosis and management: Summary of updated NICE guidance. BMJ. 364:l10492019. View Article : Google Scholar : PubMed/NCBI

3 

Hellmann MD, Li BT, Chaft JE and Kris MG: Chemotherapy remains an essential element of personalized care for persons with lung cancers. Ann Oncol. 27:1829–1835. 2016. View Article : Google Scholar : PubMed/NCBI

4 

Lunacsek OE, Ravelo A, Coutinho AD, Hazard SJ, Green MR, Willey J, Eaddy M and Goertz HP: First-line treatment with bevacizumab and platinum doublet combination in Non-squamous non-small cell lung cancer: A retrospective cohort study in US oncology community practices. Drugs Real World Outcomes. 3:333–343. 2016. View Article : Google Scholar : PubMed/NCBI

5 

Willers H, Azzoli CG, Santivasi WL and Xia F: Basic mechanisms of therapeutic resistance to radiation and chemotherapy in lung cancer. Cancer J. 19:200–207. 2013. View Article : Google Scholar : PubMed/NCBI

6 

Mirzaei SA, Reiisi S, Ghiasi TP, Shekari A, Aliakbari F, Azadfallah E and Elahian F: Broad blocking of MDR efflux pumps by acetylshikonin and acetoxyisovalerylshikonin to generate hypersensitive phenotype of malignant carcinoma cells. Sci Rep. 8:34462018. View Article : Google Scholar : PubMed/NCBI

7 

Wang Y, Zhang L, Yang J, Li B and Wang J: CDH13 promoter methylation regulates cisplatin resistance of non-small cell lung cancer cells. Oncol Lett. 16:5715–5722. 2018.PubMed/NCBI

8 

Rose MC, Kostyanovskaya E and Huang RS: Pharmacogenomics of cisplatin sensitivity in non-small cell lung cancer. Genomics Proteomics Bioinformatics. 12:198–209. 2014. View Article : Google Scholar : PubMed/NCBI

9 

Zhou BG, Wei CS, Zhang S, Zhang Z and Gao HM: Matrine reversed multidrug resistance of breast cancer MCF-7/ADR cells through PI3K/AKT signaling pathway. J Cell Biochem. 119:3885–3891. 2018. View Article : Google Scholar : PubMed/NCBI

10 

Pang L, Lu J, Huang J, Xu C, Li H, Yuan G, Cheng X and Chen J: Upregulation of miR-146a increases cisplatin sensitivity of the non-small cell lung cancer A549 cell line by targeting JNK-2. Oncol Lett. 14:7745–7752. 2017.PubMed/NCBI

11 

Cui J, Jiang W, Wang S, Wang L and Xie K: Role of Wnt/β-catenin signaling in drug resistance of pancreatic cancer. Curr Pharm Des. 18:2464–2471. 2012. View Article : Google Scholar : PubMed/NCBI

12 

Xu N, Shen C, Luo Y, Xia L, Xue F, Xia Q and Zhang J: Upregulated miR-130a increases drug resistance by regulating RUNX3 and Wnt signaling in cisplatin-treated HCC cell. Biochem Biophys Res Commun. 425:468–472. 2012. View Article : Google Scholar : PubMed/NCBI

13 

Gao Y, Liu Z, Zhang X, He J, Pan Y, Hao F, Xie L, Li Q, Qiu X and Wang E: Inhibition of cytoplasmic GSK-3b increases cisplatin resistance through activation of Wnt/β-catenin signaling in A549/DDP cells. Cancer Lett. 336:231–239. 2013. View Article : Google Scholar : PubMed/NCBI

14 

Xia Y, He Z, Liu B, Wang P and Chen Y: Downregulation of Meg3 enhances cisplatin resistance of lung cancer cells through activation of the WNT/β-catenin signaling pathway. Mol Med Rep. 12:4530–4537. 2015. View Article : Google Scholar : PubMed/NCBI

15 

Zhang Q, Zhang B, Sun L, Yan Q, Zhang Y, Zhang Z, Su Y and Wang C: MicroRNA-130b targets PTEN to induce resistance to cisplatin in lung cancer cells by activating Wnt/β-catenin pathway. Cell Biochem Funct. 36:194–202. 2018. View Article : Google Scholar : PubMed/NCBI

16 

Hanif IM, Hanif IM, Shazib MA, Ahmad KA and Pervaiz S: Casein Kinase II: An attractive target for anti-cancer drug design. Int J Biochem Cell Biol. 42:1602–1605. 2010. View Article : Google Scholar : PubMed/NCBI

17 

Litchfield DW: Protein kinase CK2: Structure, regulation and role in cellular decisions of life and death. Biochem J. 369:1–15. 2003. View Article : Google Scholar : PubMed/NCBI

18 

Zou J, Luo H, Zeng Q, Dong Z, Wu D and Liu L: Protein kinase CK2α is overexpressed in colorectal cancer and modulates cell proliferation and invasion via regulating EMT-related genes. J Transl Med. 9:972011. View Article : Google Scholar : PubMed/NCBI

19 

Benavent AF, Capobianco CS, Garona J, Cirigliano SM, Perera Y, Urtreger AJ, Perea SE, Alonso DF and Farina HG: CIGB-300, an anti-CK2 peptide, inhibits angiogenesis, tumor cell invasion and metastasis in lung cancer models. Lung Cancer. 107:14–21. 2017. View Article : Google Scholar : PubMed/NCBI

20 

Liu Y, Amin EB, Mayo MW, Chudgar NP, Bucciarelli PR, Kadota K, Adusumilli PS and Jones DR: CK2α′ drives lung cancer metastasis by targeting BRMS1 nuclear export and degradation. Cancer Res. 76:2675–2686. 2016. View Article : Google Scholar : PubMed/NCBI

21 

Shimada K, Anai S, Marco DA, Fujimoto K and Konishi N: Cyclooxygenase 2-dependent and independent activation of Akt through casein kinase 2α contributes to human bladder cancer cell survival. BMC Urol. 11:82011. View Article : Google Scholar : PubMed/NCBI

22 

Zhang S, Yang YL, Wang Y, You B, Dai Y, Chan G, Hsieh D, Kim IJ, Fang LT, Au A, et al: CK2α, over-expressed in human malignant pleural mesothelioma, regulates the Hedgehog signaling pathway in mesothelioma cells. J Exp Clin Cancer Res. 33:932014. View Article : Google Scholar : PubMed/NCBI

23 

Zhang HX, Jiang SS, Zhang XF, Zhou ZQ, Pan QZ, Chen CL, Zhao JJ, Tang Y, Xia JC and Weng DS: Protein kinase CK2α catalytic subunit is overexpressed and serves as an unfavorable prognostic marker in primary hepatocellular carcinoma. Oncotarget. 6:34800–34817. 2015.PubMed/NCBI

24 

Bae JS, Park SH, Kim KM, Kwon KS, Kim CY, Lee HK, Park BH, Park HS, Lee H, Moon WS, et al: CK2α phosphorylates DBC1 and is involved in the progression of gastric carcinoma and predicts poor survival of gastric carcinoma patients. Int J Cancer. 136:797–809. 2015. View Article : Google Scholar : PubMed/NCBI

25 

Dowling JE, Alimzhanov M, Bao L, Chuaqui C, Denz CR, Jenkins E, Larsen NA, Lyne PD, Pontz T, Ye Q, et al: Potent and selective CK2 kinase inhibitors with effects on Wnt pathway signaling in vivo. ACS Med Chem Lett. 7:300–305. 2016. View Article : Google Scholar : PubMed/NCBI

26 

Seldin DC, Landesman-Bollag E, Farago M, Currier N, Lou D and Dominguez I: CK2 as a positive regulator of Wnt signalling and tumourigenesis. Mol Cell Biochem. 274:63–67. 2005. View Article : Google Scholar : PubMed/NCBI

27 

Lee YN, Gao Y and Wang HY: Differential mediation of the Wnt canonical pathway by mammalian Dishevelleds-1, −2 and −3. Cell Signal. 20:443–452. 2008. View Article : Google Scholar : PubMed/NCBI

28 

Luo K, Gu X, Liu J, Zeng G, Peng L, Huang H, Jiang M, Yang P, Li M, Yang Y, et al: Inhibition of disheveled-2 resensitizes cisplatin-resistant lung cancer cells through down-regulating Wnt/β-catenin signaling. Exp Cell Res. 347:105–113. 2016. View Article : Google Scholar : PubMed/NCBI

29 

Song DH, Sussman DJ and Seldin DC: Endogenous protein kinase CK2 participates in Wnt signaling in mammary epithelial cells. J Biol Chem. 275:23790–23797. 2000. View Article : Google Scholar : PubMed/NCBI

30 

Livak KJ and Schmittgen TD: Analysis of relative gene expression data using real-time quantitative PCR and the 2(-Delta Delta C(T)) method. Methods. 25:402–408. 2001. View Article : Google Scholar : PubMed/NCBI

31 

Clevers H and Nusse R: Wnt/β-catenin signaling and disease. Cell. 149:1192–1205. 2012. View Article : Google Scholar : PubMed/NCBI

32 

Smalley MJ, Signoret N, Robertson D, Tilley A, Hann A, Ewan K, Ding Y, Paterson H and Dale TC: Dishevelled (Dvl-2) activates canonical Wnt signalling in the absence of cytoplasmic puncta. J Cell Sci. 118:5279–5289. 2005. View Article : Google Scholar : PubMed/NCBI

33 

Lee KH, Johmura Y, Yu LR, Park JE, Gao Y, Bang JK, Zhou M, Veenstra TD, Yeon Kim B and Lee KS: Identification of a novel Wnt5a-CK1ε-Dvl2-Plk1-mediated primary cilia disassembly pathway. EMBO J. 31:3104–3117. 2012. View Article : Google Scholar : PubMed/NCBI

34 

Cadigan KM and Waterman ML: TCF/LEFs and Wnt signaling in the nucleus. Cold Spring Harb Perspect Biol. 4(pii): a0079062012.PubMed/NCBI

35 

Angers S and Moon RT: Proximal events in Wnt signal transduction. Nat Rev Mol Cell Biol. 10:468–477. 2009. View Article : Google Scholar : PubMed/NCBI

36 

Liu C, Gong Q, Chen T, Lv J, Feng Z, Liu P and Deng Z: Treatment with 20(S)-ginsenoside Rg3 reverses multidrug resistance in A549/DDP xenograft tumors. Oncol Lett. 15:4376–4382. 2018.PubMed/NCBI

37 

Wu Q, Yang Z, Nie Y, Shi Y and Fan D: Multi-drug resistance in cancer chemotherapeutics: Mechanisms and lab approaches. Cancer Lett. 347:159–166. 2014. View Article : Google Scholar : PubMed/NCBI

38 

Gottesman MM: Mechanisms of cancer drug resistance. Annu Rev Med. 53:615–627. 2002. View Article : Google Scholar : PubMed/NCBI

39 

Ku MJ, Park JW, Ryu BJ, Son YJ, Kim SH and Lee SY: CK2 inhibitor CX4945 induces sequential inactivation of proteins in the signaling pathways related with cell migration and suppresses metastasis of A549 human lung cancer cells. Bioorg Med Chem Lett. 23:5609–5613. 2013. View Article : Google Scholar : PubMed/NCBI

40 

Wei H, Lu W, Li M, Zhang Q and Lu S: Concomitance of P-gp/LRP expression with EGFR mutations in exons 19 and 21 in non-small cell lung cancers. Yonsei Med J. 57:50–57. 2016. View Article : Google Scholar : PubMed/NCBI

41 

Backos DS, Franklin CC and Reigan P: The role of glutathione in brain tumor drug resistance. Biochem Pharmacol. 83:1005–1012. 2012. View Article : Google Scholar : PubMed/NCBI

42 

Huang H, Liu J, Meng Q and Niu G: Multidrug resistance protein and topoisomerase 2 alpha expression in non-small cell lung cancer are related with brain metastasis postoperatively. Int J Clin Exp Pathol. 8:11537–11542. 2015.PubMed/NCBI

43 

Javid J, Mir R, Mirza M, Imtiyaz A, Prasant Y, Mariyam Z, Julka PK, Mohan A, Lone M, Ray PC and Saxena A: CC genotype of anti-apoptotic gene BCL-2 (−938 C/A) is an independent prognostic marker of unfavorable clinical outcome in patients with non-small-cell lung cancer. Clin Transl Oncol. 17:289–295. 2015. View Article : Google Scholar : PubMed/NCBI

44 

Kelland L: The resurgence of platinum-based cancer chemotherapy. Nat Rev Cancer. 7:573–584. 2007. View Article : Google Scholar : PubMed/NCBI

45 

Macdonald BT, Tamai K and He X: Wnt/beta-catenin signaling: Components, mechanisms, and diseases. Dev Cell. 17:9–26. 2009. View Article : Google Scholar : PubMed/NCBI

46 

Nusse R and Clevers H: Wnt/β-catenin signaling, disease and emerging therapeutic modalities. Cell. 169:985–999. 2017. View Article : Google Scholar : PubMed/NCBI

47 

Kim J and Kim SH: Druggability of the CK2 inhibitor CX-4945 as an anticancer drug and beyond. Arch Pharm Res. 35:1293–1296. 2012. View Article : Google Scholar : PubMed/NCBI

48 

Kim J and Hwan KS: CK2 inhibitor CX-4945 blocks TGF-β1-induced epithelial-to-mesenchymal transition in A549 human lung adenocarcinoma cells. PLoS One. 8:e743422013. View Article : Google Scholar : PubMed/NCBI

49 

So KS, Rho JK, Choi YJ, Kim SY, Choi CM, Chun YJ and Lee JC: AKT/mTOR down-regulation by CX-4945, a CK2 inhibitor, promotes apoptosis in chemorefractory non-small cell lung cancer cells. Anticancer Res. 35:1537–1542. 2015.PubMed/NCBI

Related Articles

  • Abstract
  • View
  • Download
  • Twitter
Copy and paste a formatted citation
Spandidos Publications style
Jin C, Song P and Pang J: The CK2 inhibitor CX4945 reverses cisplatin resistance in the A549/DDP human lung adenocarcinoma cell line. Oncol Lett 18: 3845-3856, 2019.
APA
Jin, C., Song, P., & Pang, J. (2019). The CK2 inhibitor CX4945 reverses cisplatin resistance in the A549/DDP human lung adenocarcinoma cell line. Oncology Letters, 18, 3845-3856. https://doi.org/10.3892/ol.2019.10696
MLA
Jin, C., Song, P., Pang, J."The CK2 inhibitor CX4945 reverses cisplatin resistance in the A549/DDP human lung adenocarcinoma cell line". Oncology Letters 18.4 (2019): 3845-3856.
Chicago
Jin, C., Song, P., Pang, J."The CK2 inhibitor CX4945 reverses cisplatin resistance in the A549/DDP human lung adenocarcinoma cell line". Oncology Letters 18, no. 4 (2019): 3845-3856. https://doi.org/10.3892/ol.2019.10696
Copy and paste a formatted citation
x
Spandidos Publications style
Jin C, Song P and Pang J: The CK2 inhibitor CX4945 reverses cisplatin resistance in the A549/DDP human lung adenocarcinoma cell line. Oncol Lett 18: 3845-3856, 2019.
APA
Jin, C., Song, P., & Pang, J. (2019). The CK2 inhibitor CX4945 reverses cisplatin resistance in the A549/DDP human lung adenocarcinoma cell line. Oncology Letters, 18, 3845-3856. https://doi.org/10.3892/ol.2019.10696
MLA
Jin, C., Song, P., Pang, J."The CK2 inhibitor CX4945 reverses cisplatin resistance in the A549/DDP human lung adenocarcinoma cell line". Oncology Letters 18.4 (2019): 3845-3856.
Chicago
Jin, C., Song, P., Pang, J."The CK2 inhibitor CX4945 reverses cisplatin resistance in the A549/DDP human lung adenocarcinoma cell line". Oncology Letters 18, no. 4 (2019): 3845-3856. https://doi.org/10.3892/ol.2019.10696
Follow us
  • Twitter
  • LinkedIn
  • Facebook
About
  • Spandidos Publications
  • Careers
  • Cookie Policy
  • Privacy Policy
How can we help?
  • Help
  • Live Chat
  • Contact
  • Email to our Support Team