Spandidos Publications Logo
  • About
    • About Spandidos
    • Aims and Scopes
    • Abstracting and Indexing
    • Editorial Policies
    • Reprints and Permissions
    • Job Opportunities
    • Terms and Conditions
    • Contact
  • Journals
    • All Journals
    • Oncology Letters
      • Oncology Letters
      • Information for Authors
      • Editorial Policies
      • Editorial Board
      • Aims and Scope
      • Abstracting and Indexing
      • Bibliographic Information
      • Archive
    • International Journal of Oncology
      • International Journal of Oncology
      • Information for Authors
      • Editorial Policies
      • Editorial Board
      • Aims and Scope
      • Abstracting and Indexing
      • Bibliographic Information
      • Archive
    • Molecular and Clinical Oncology
      • Molecular and Clinical Oncology
      • Information for Authors
      • Editorial Policies
      • Editorial Board
      • Aims and Scope
      • Abstracting and Indexing
      • Bibliographic Information
      • Archive
    • Experimental and Therapeutic Medicine
      • Experimental and Therapeutic Medicine
      • Information for Authors
      • Editorial Policies
      • Editorial Board
      • Aims and Scope
      • Abstracting and Indexing
      • Bibliographic Information
      • Archive
    • International Journal of Molecular Medicine
      • International Journal of Molecular Medicine
      • Information for Authors
      • Editorial Policies
      • Editorial Board
      • Aims and Scope
      • Abstracting and Indexing
      • Bibliographic Information
      • Archive
    • Biomedical Reports
      • Biomedical Reports
      • Information for Authors
      • Editorial Policies
      • Editorial Board
      • Aims and Scope
      • Abstracting and Indexing
      • Bibliographic Information
      • Archive
    • Oncology Reports
      • Oncology Reports
      • Information for Authors
      • Editorial Policies
      • Editorial Board
      • Aims and Scope
      • Abstracting and Indexing
      • Bibliographic Information
      • Archive
    • Molecular Medicine Reports
      • Molecular Medicine Reports
      • Information for Authors
      • Editorial Policies
      • Editorial Board
      • Aims and Scope
      • Abstracting and Indexing
      • Bibliographic Information
      • Archive
    • World Academy of Sciences Journal
      • World Academy of Sciences Journal
      • Information for Authors
      • Editorial Policies
      • Editorial Board
      • Aims and Scope
      • Abstracting and Indexing
      • Bibliographic Information
      • Archive
    • International Journal of Functional Nutrition
      • International Journal of Functional Nutrition
      • Information for Authors
      • Editorial Policies
      • Editorial Board
      • Aims and Scope
      • Abstracting and Indexing
      • Bibliographic Information
      • Archive
    • International Journal of Epigenetics
      • International Journal of Epigenetics
      • Information for Authors
      • Editorial Policies
      • Editorial Board
      • Aims and Scope
      • Abstracting and Indexing
      • Bibliographic Information
      • Archive
    • Medicine International
      • Medicine International
      • Information for Authors
      • Editorial Policies
      • Editorial Board
      • Aims and Scope
      • Abstracting and Indexing
      • Bibliographic Information
      • Archive
  • Articles
  • Information
    • Information for Authors
    • Information for Reviewers
    • Information for Librarians
    • Information for Advertisers
    • Conferences
  • Language Editing
Spandidos Publications Logo
  • About
    • About Spandidos
    • Aims and Scopes
    • Abstracting and Indexing
    • Editorial Policies
    • Reprints and Permissions
    • Job Opportunities
    • Terms and Conditions
    • Contact
  • Journals
    • All Journals
    • Biomedical Reports
      • Information for Authors
      • Editorial Policies
      • Editorial Board
      • Aims and Scope
      • Abstracting and Indexing
      • Bibliographic Information
      • Archive
    • Experimental and Therapeutic Medicine
      • Information for Authors
      • Editorial Policies
      • Editorial Board
      • Aims and Scope
      • Abstracting and Indexing
      • Bibliographic Information
      • Archive
    • International Journal of Epigenetics
      • Information for Authors
      • Editorial Policies
      • Editorial Board
      • Aims and Scope
      • Abstracting and Indexing
      • Bibliographic Information
      • Archive
    • International Journal of Functional Nutrition
      • Information for Authors
      • Editorial Policies
      • Editorial Board
      • Aims and Scope
      • Abstracting and Indexing
      • Bibliographic Information
      • Archive
    • International Journal of Molecular Medicine
      • Information for Authors
      • Editorial Policies
      • Editorial Board
      • Aims and Scope
      • Abstracting and Indexing
      • Bibliographic Information
      • Archive
    • International Journal of Oncology
      • Information for Authors
      • Editorial Policies
      • Editorial Board
      • Aims and Scope
      • Abstracting and Indexing
      • Bibliographic Information
      • Archive
    • Medicine International
      • Information for Authors
      • Editorial Policies
      • Editorial Board
      • Aims and Scope
      • Abstracting and Indexing
      • Bibliographic Information
      • Archive
    • Molecular and Clinical Oncology
      • Information for Authors
      • Editorial Policies
      • Editorial Board
      • Aims and Scope
      • Abstracting and Indexing
      • Bibliographic Information
      • Archive
    • Molecular Medicine Reports
      • Information for Authors
      • Editorial Policies
      • Editorial Board
      • Aims and Scope
      • Abstracting and Indexing
      • Bibliographic Information
      • Archive
    • Oncology Letters
      • Information for Authors
      • Editorial Policies
      • Editorial Board
      • Aims and Scope
      • Abstracting and Indexing
      • Bibliographic Information
      • Archive
    • Oncology Reports
      • Information for Authors
      • Editorial Policies
      • Editorial Board
      • Aims and Scope
      • Abstracting and Indexing
      • Bibliographic Information
      • Archive
    • World Academy of Sciences Journal
      • Information for Authors
      • Editorial Policies
      • Editorial Board
      • Aims and Scope
      • Abstracting and Indexing
      • Bibliographic Information
      • Archive
  • Articles
  • Information
    • For Authors
    • For Reviewers
    • For Librarians
    • For Advertisers
    • Conferences
  • Language Editing
Login Register Submit
  • This site uses cookies
  • You can change your cookie settings at any time by following the instructions in our Cookie Policy. To find out more, you may read our Privacy Policy.

    I agree
Search articles by DOI, keyword, author or affiliation
Search
Advanced Search
presentation
Oncology Letters
Join Editorial Board Propose a Special Issue
Print ISSN: 1792-1074 Online ISSN: 1792-1082
Journal Cover
August-2020 Volume 20 Issue 2

Full Size Image

Sign up for eToc alerts
Recommend to Library

Journals

International Journal of Molecular Medicine

International Journal of Molecular Medicine

International Journal of Molecular Medicine is an international journal devoted to molecular mechanisms of human disease.

International Journal of Oncology

International Journal of Oncology

International Journal of Oncology is an international journal devoted to oncology research and cancer treatment.

Molecular Medicine Reports

Molecular Medicine Reports

Covers molecular medicine topics such as pharmacology, pathology, genetics, neuroscience, infectious diseases, molecular cardiology, and molecular surgery.

Oncology Reports

Oncology Reports

Oncology Reports is an international journal devoted to fundamental and applied research in Oncology.

Experimental and Therapeutic Medicine

Experimental and Therapeutic Medicine

Experimental and Therapeutic Medicine is an international journal devoted to laboratory and clinical medicine.

Oncology Letters

Oncology Letters

Oncology Letters is an international journal devoted to Experimental and Clinical Oncology.

Biomedical Reports

Biomedical Reports

Explores a wide range of biological and medical fields, including pharmacology, genetics, microbiology, neuroscience, and molecular cardiology.

Molecular and Clinical Oncology

Molecular and Clinical Oncology

International journal addressing all aspects of oncology research, from tumorigenesis and oncogenes to chemotherapy and metastasis.

World Academy of Sciences Journal

World Academy of Sciences Journal

Multidisciplinary open-access journal spanning biochemistry, genetics, neuroscience, environmental health, and synthetic biology.

International Journal of Functional Nutrition

International Journal of Functional Nutrition

Open-access journal combining biochemistry, pharmacology, immunology, and genetics to advance health through functional nutrition.

International Journal of Epigenetics

International Journal of Epigenetics

Publishes open-access research on using epigenetics to advance understanding and treatment of human disease.

Medicine International

Medicine International

An International Open Access Journal Devoted to General Medicine.

Journal Cover
August-2020 Volume 20 Issue 2

Full Size Image

Sign up for eToc alerts
Recommend to Library

  • Article
  • Citations
    • Cite This Article
    • Download Citation
    • Create Citation Alert
    • Remove Citation Alert
    • Cited By
  • Similar Articles
    • Related Articles (in Spandidos Publications)
    • Similar Articles (Google Scholar)
    • Similar Articles (PubMed)
  • Download PDF
  • Download XML
  • View XML
Article Open Access

Association between TP53 gene deletion and protein expression in esophageal squamous cell carcinoma and its prognostic significance

  • Authors:
    • Madiniyet Niyaz
    • Julaiti Ainiwaer
    • Abulajiang Abudureheman
    • Liwei Zhang
    • Ilyar Sheyhidin
    • Abduheny Turhong
    • Ren Cai
    • Zhichao Hou
    • Edris Awut
  • View Affiliations / Copyright

    Affiliations: Clinical Medicine Research Institute, The First Affiliated Hospital of Xinjiang Medical University, Urumqi, Xinjiang 830054, P.R. China, Department of Thoracic Surgery, The First Affiliated Hospital of Xinjiang Medical University, Urumqi, Xinjiang 830054, P.R. China
    Copyright: © Niyaz et al. This is an open access article distributed under the terms of Creative Commons Attribution License.
  • Pages: 1855-1865
    |
    Published online on: June 9, 2020
       https://doi.org/10.3892/ol.2020.11709
  • Expand metrics +
Metrics: Total Views: 0 (Spandidos Publications: | PMC Statistics: )
Metrics: Total PDF Downloads: 0 (Spandidos Publications: | PMC Statistics: )
Cited By (CrossRef): 0 citations Loading Articles...

This article is mentioned in:



Abstract

The aim of the present study was to investigate the association between tumor protein 53 (TP53) gene deletion and protein expression and clinical features in esophageal squamous cell carcinoma (ESCC), and to evaluate the predictive value of these two characteristics in the prognosis of ESCC. Immunohistochemistry (IHC) and fluorescence in situ hybridization (FISH) were performed to detect the expression of p53 protein and gene deletion in ESCC tissue samples from different ethnic groups in Xinjiang, in order to analyze their association with clinicopathological characteristics and patient prognosis, as well as the sensitivity and specificity of the two methods. In addition, the results were further validated by tissue microarray from a different region. The positive rate of p53 protein expression was 54.5% (201/369) in the multi‑ethnic group, and was significantly different between sex (P=0.026) and between tumor differentiation groups (P=0.032). FISH demonstrated that the TP53 gene deletion rate was 31.8% (68/214), which was significantly different between different tumor differentiation (P=0.002), lymph node metastasis (P=0.005) and vascular invasion (P<0.001) groups. The survival rate of patients with TP53 gene deletion was significantly lower than those without TP53 gene deletion (P<0.05). The positive rate of p53 protein expression in the tissue microarray was 58.1% (68/117), which was significantly different between the depth of invasion groups (P=0.011). The TP53 gene deletion rate was 47.9% (56/117), which significantly differed according to lymph node metastasis (P=0.003) and TNM stage (P=0.01). In addition, the total concordance rates of the two methods were 60.3 and 64.1%, respectively. There were also significant differences in the positive rate of TP53 gene deletion and protein expression in different stages of ESCC (P<0.05), which increased gradually with the progression of ESCC. The deletion of the TP53 gene in esophageal cancer was associated with poor prognosis and may be an important biomarker for evaluating the prognosis of patients with ESCC. The combination of FISH and IHC methods could significantly improve the detection rate of TP53 gene abnormalities and the accuracy of prognostic assessment of ESCC.

Introduction

Esophageal cancer is one of the most common malignant tumors. It is associated with high mortality rates and is the sixth leading cause of cancer-related death in the world (1,2). China has a high incidence of esophageal cancer and the highest morbidity and mortality rates in the world. Approximately one-half of new cases each year are recorded in China, and the majority is squamous cell carcinoma (3–5). The incidence of esophageal cancer exhibits significant regional and ethnic differences (6). Despite great progress in the diagnosis and treatment of esophageal cancer, the 5-year survival rate is still poor (7). Therefore, identifying biomarkers related to the occurrence, development and prognosis of esophageal cancer is important for early diagnosis and treatment, as well as for finding new targets and treatment methods.

Tumor protein 53 (TP53) is a recognized tumor suppressor gene located on chromosome 17q13.1. The TP53 gene plays an important role in regulating the cell cycle, apoptosis and DNA damage repair (8,9). Wild-type TP53 can inhibit the cell cycle and activate apoptosis-related genes that induce apoptosis and regulate cell proliferation (10). Mutations in TP53 can lead to the loss of these functions, inducing uncontrolled cell growth and the promotion of tumor development (11,12). These TP53 abnormalities may lead to DNA damage and subsequent aneuploidy.

The TP53 gene mutation is the most common gene alteration in many tumors, including esophageal cancer. It also plays an important role in the occurrence and development of esophageal cancer (13,14). Although the biological significance of TP53 gene mutation is well characterized, its clinical significance in esophageal cancer remains controversial, especially as a prognostic biomarker. Previous studies demonstrated that p53 was highly expressed in esophageal cancer tissue and was associated with tumor malignancy (15–17). However, other previous studies reported that the expression of p53 protein had no significant association with the prognosis of esophageal cancer (18,19). The detection of mutant p53 protein by immunohistochemistry (IHC) has some limitations. For example, viral infection, stress and the regulation of other proteins can also change the aggregation of p53 protein (20). Therefore, the overexpression of p53 does not always indicate a mutation in the TP53 gene. Similarly, TP53 mutation does not always lead to the accumulation of p53 protein in cells. This characteristic of the TP53 gene limits the use of IHC in TP53 gene research, which may be the cause of the conflicting results in the study of TP53 in esophageal cancer.

Fluorescence in situ hybridization (FISH) is a molecular pathological method with high sensitivity and specificity, which uses specific DNA probes to detect chromosomal aberrations, as well as gene deletion and amplification (21,22). It has been reported that deletion of the TP53 gene plays an important role in the occurrence and development of esophageal cancer (23,24). At present, to the best of the authors' knowledge, associations between the IHC and FISH methods in the detection of TP53 in multi-ethnic esophageal cancer have not been reported.

In the present study, IHC and FISH were used to analyze the role of TP53 in the occurrence, development and adverse prognosis of esophageal cancer in different ethnic groups in Xinjiang (multi-ethnic group). In addition, a tissue microarray (TMA) group from different regions (including other high-incidence areas in China, where the etiology of esophageal cancer is different from Xinjiang province owing to the difference of diet and living habits) was used to validate the results. The complementarity, clinical practicability and the accuracy of the detection of TP53 abnormality in esophageal cancer using these two methods were evaluated.

Patients and methods

Patients and samples

A total of 369 paraffin-embedded esophageal squamous cell carcinoma (ESCC) and 187 matched adjacent normal tissue specimens from patients of Kazakh, Uygur and Han ethnicities, who underwent radical surgery between January 2012 and December 2014 in The Thoracic Surgery Department of The First Affiliated Hospital of Xinjiang Medical University were collected. Glass slides with 4-µm tissue sections were produced from the paraffin-embedded blocks for IHC and FISH detection. Among the 369 patients, 257 were male and 112 were female, with an average age of 60.8 years (range, 37–83 years). With regards to differentiation, 77 cases were poorly differentiated, 196 cases were moderately differentiated and 96 cases were highly differentiated. Lymph node metastasis was detected in 158 cases, while 211 cases exhibited no lymph node metastasis. With regards to TNM stage (25), there were 30 cases with stage I, 119 cases with stage II and 220 cases with stage III. None of the patients had received radiotherapy, chemotherapy or any other cancer treatment before surgery. Complete follow-up data were available for 214 patients. The survival time was measured from the date of surgery to death or the last follow-up date. All experiments were approved by The Ethics Committee of The First Affiliated Hospital of Xinjiang Medical University, and written informed consent was obtained from all participants.

TMA was carried out by Shanghai Core Super Biotechnology Co., Ltd. There were 117 cases of ESCC with one core (diameter, 1.5 mm) for each tumor sample, including 87 males and 30 females, with an average age of 64.7 years (range, 39–82 years). With regards to differentiation, 32 were poorly differentiated, 59 were moderately differentiated and 26 were highly differentiated. There were 63 cases of lymph node metastasis. Furthermore, there were 7 cases with stage I, 49 cases with stage II, 57 cases with stage III and 4 cases with stage IV. The patients received radical surgery between January 2006 and October 2008, and complete follow-up data were available for 100 patients. The follow-up period was terminated in September 2019 and the total follow-up time was 5.8–7.8 years. In addition, 3 normal esophageal mucosa tissues, 97 adjacent normal tissues, 13 precancerous lesions and 9 metastatic lesions of ESCC were included in the TMA.

IHC

Tumor samples were fixed with 10% neutral formalin for 12 h in room temperature, then replaced with new 10% neutral formalin for 24 h, embedded in paraffin, and sectioned into 4-µm-thick slices. IHC was performed as previously described (15). In brief, the tissue sections were incubated at 60°C for 1 h, then dewaxed and hydrated in xylol and gradient alcohol, and placed in 3% hydrogen peroxide solution for 10 min to remove endogenous peroxidase. The antigen retrieval step was performed by heating in a microwave oven at 95°C for 10 min in citrate buffer (pH 7.0). After cooling at room temperature, the sections were treated with mouse anti-human p53 monoclonal antibody (1:400; P 5813, Sigma-Aldrich; Merck KGaA) and incubated at 4°C overnight in a moist chamber. The sections were then treated with universal secondary antibody (ready to use, PV-6000, Beijing Zhongshan Jinqiao Biotechnology Co., Ltd) and incubated at 37°C for 25 min. Finally, DAB and hematoxylin were used to visualize immunoreactivity and for counterstaining, respectively. Both steps were performed at room temperature for 3 min. Retrospective tissue sections of confirmed breast cancer were provided by the Department of Pathology (The First Affiliated Hospital of Xinjiang Medical University) were used as the positive control. Informed consent was provided by patients at the time of tissue collection. PBS was used as the negative control instead of primary antibody.

The results were independently evaluated by two pathologists in a blind manner. A total of five high-power fields of vision (magnification, ×20) were observed under a light microscope (Leica DM 3000B; Lecia Microsystems GmbH) on each slide and 100 tumor cells were counted in each field, and the percentage of positive cells were calculated. Primary lesions with evident nuclear staining in >10% tumor cells, including the basal cell layer of the mucosa that had corresponding p53 characteristic positive staining, was determined as positive. Weak staining limited to basal cells was considered to be negative (26).

FISH

FISH was performed using a mixture of red-labeled TP53 and green-labeled chromosome 17 centromere control probe (Cytocell Ltd.). The amount of p53 probe is 40–50 ng/test and 159 kb in length covers the whole TP53 gene, and amount of control probe is 60–75 ng/test, respectively. Briefly, tissue samples were incubated at 60°C for 2 h, then dewaxed with xylol, hydrated with gradient ethanol solution, and washed with ultra-pure water. The slides were then incubated at 80°C in Vysis pretreatment solution (Vysis, Inc.; Abbot Pharmaceutical, Co., Ltd.) for 15 min. After washing with ultra-pure water, the slides were incubated in Vysis protease I solution (Vysis, Inc.; Abbot Pharmaceutical, Co., Ltd.) at 37°C for 10 min, and then dehydrated in a series of cold ethanol solutions (70, 80, 90 and 100%, each for 2 min) after washing with ultra-pure water. Following this, 10 µl of the hybrid mixture was added and the glass slides were covered with rubber cement. Slides were then denatured at 75°C for 5 min and hybridized at 37°C overnight, using a hybridization instrument. The next day, the slides were washed with 2X SSC (ID Labs™ Inc. Biotechnology, http://www.lookbio.com/) solution for 2 min at 72°C, then at room temperature for 1 min. Subsequently, 5 µl DAPI was applied to each spot and covered with a cover slip. A confocal laser scanning microscope (Leica Microsystems GmbH, magnification, ×100) was used for imaging and analysis. The length of stimulated luminescence were: Blue (DAPI) 405 nm, green (FITC) 488nm, red (Texas Red) 561 nm, respectively.

For analysis, ≥100 non-overlapping and complete nuclei with fluorescent signals were counted, and the results were calculated according to the percentage of nuclei with signal changes. There are two red and two green signals in normal nuclei. Samples with >30% of tumor nuclei with either none or only one red signal per probe were determined to indicate TP53 deletion.

Statistical analysis

Data were analyzed using SPSS 20.0 software (IBM Corp.). The χ2 test and Fisher's exact test were conducted. Survival analysis was performed using Kaplan-Meier and log-rank tests. Univariate and multivariate analyses were conducted by Cox regression. P<0.05 was considered to indicate a statistically significant difference.

Results

Association of p53 protein expression with clinicopathological factors

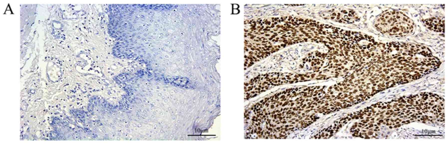
The positive expression rates of p53 protein in cancer tissue and adjacent normal tissue were 54.5% (201/369) and 1.1% (2/187), respectively, and this difference was statistically significant (P<0.001; Fig. 1; Table I). The expression of p53 protein was significantly associated with sex (P=0.026) and tumor differentiation (P=0.032). There were no significant associations between p53 expression and age, TNM stage, lymph node metastasis (N classification), depth of invasion (T classification) or vascular invasion. In addition, the expression rates of p53 in ESCC of the Kazakh, Uygur and Han ethnic groups were 56.3, 53.6 and 53.7%, respectively. There was no significant difference in the expression of p53 protein among the different ethnicities (P>0.05; data not shown).

Figure 1.

p53 protein expression by immunohistochemistry. (A) Adjacent normal tissue. (B) Esophageal squamous cell carcinoma tissue. Magnification, ×10.

Table I.

Association between p53 expression and clinicopathological characteristics of patients with ESCC.

Table I.

Association between p53 expression and clinicopathological characteristics of patients with ESCC.

p53 expression

CharacteristicsnPositive, n (%)Negative, n (%)χ2P-value
Specimen 152.682<0.001
  Adjacent normal tissue1872 (1.1)185 (98.9)
  ESCC369201 (54.5)168 (45.5)
Sex 4.1790.026
  Female11270 (62.5)42 (37.5)
  Male257131 (51.0)126 (49.0)
Age, years 1.6580.119
  >6514585 (58.6)60 (41.4)
  ≤65224116 (51.8)108 (48.2)
TNM stage 0.6150.450
  I–II232130 (56.0)102 (44.0)
  III13771 (51.8)66 (48.2)
T classification 0.7390.226
  T1-T214583 (57.2)62 (42.8)
  T3-T4224118 (52.7)106 (47.3)
N classification 1.6420.120
  No211121 (57.3)90 (42.7)
  Yes15880 (50.6)78 (49.4)
Differentiation 3.9040.032
  Good9644 (45.8)52 (54.2)
  Moderate-poor273157 (57.5)116 (42.2)
Tumor size 3.4840.074
  <4204120 (58.8)84 (41.2)
  ≥416581 (49.1)84 (50.9)
Vascular invasion 0.0490.893
  Negative294161 (54.8)133 (45.2)
  Positive7540 (53.3)35 (45.7)

[i] ESCC, esophageal squamous cell carcinoma.

In the TMA analysis, the positive expression rate of p53 protein was 58.1% (68/117) in cancer tissues and 11.3% (11/97) in adjacent normal tissues. This difference was statistically significant (P<0.001). There was a significant association between p53 protein expression and the depth of invasion (P=0.011; Table II), but there was no significant difference in p53 protein expression between other clinicopathological factors, such as sex, age, TNM stage and lymph node metastasis (Table II).

Table II.

Association between p53 expression and clinicopathological characteristics of patients with ESCC (tissue microarray).

Table II.

Association between p53 expression and clinicopathological characteristics of patients with ESCC (tissue microarray).

p53 expression, IHC

CharacteristicsNPositive, n (%)Negative, n (%)χ2P-value
Specimen 49.833<0.001
  Adjacent normal tissue9711 (11.3)86 (88.7)
  ESCC11768 (58.1)49 (41.9)
Sex 0.0350.509
  Female3017 (56.7)13 (43.3)
  Male8751 (58.6)36 (41.4)
Age, years 0.1060.447
  >607645 (59.2)31 (40.8)
  ≤604123 (56.1)18 (43.9)
TNM stage 0.3370.347
  I–II5631 (55.4)25 (44.6)
  III–IV6137 (60.7)24 (39.3)
T classification 6.4050.011
  T1-T2238 (34.8)15 (65.2)
  T3-T49460 (63.8)34 (36.2)
N classification 0.0540.483
  No5432 (59.3)22 (40.7)
  Yes6336 (57.1)27 (42.6)
Differentiation 0.960.567
  Good2615 (57.7)11 (42.3)
  Moderate-poor9153 (58.2)38 (41.8)

[i] ESCC, esophageal squamous cell carcinoma; IHC, immunohistochemistry.

TP53 gene deletion and its associations with clinicopathological factors

FISH was performed in 214 of the 369 patients with complete follow-up data. The deletion rates of the TP53 gene were 31.8% (68/214) in cancer tissue and 8.3% (2/24) in adjacent normal tissue, and the difference was statistically significant (P=0.01; Fig. 2; Table III). Among these, the TP53 deletion rates in Kazakh, Uygur and Han ethic groups were 31.0, 36.1 and 28.2%, respectively; there was no significant difference when comparing the different ethnic groups (P>0.05, data not shown). TP53 gene deletion was significantly associated with tumor differentiation (P=0.002), lymph node metastasis (P=0.005) and vascular invasion (P<0.001; Table III). There were no significant associations between TP53 gene deletion and other clinicopathological factors (P>0.05).

Figure 2.

Representative results of esophageal cancer samples detected using FISH showing TP53 gene deletion (laser confocal). (A) Overlay, (B) TP53 signal and (C) chromosome 17 centromere signals. Blue arrows refer to the cells with TP53 gene deletion. Magnification, ×100. TP53, tumor protein 53; FISH, fluorescence in situ hybridization.

Table III.

Association between p53 gene deletion and clinicopathological characteristics of patients with ESCC.

Table III.

Association between p53 gene deletion and clinicopathological characteristics of patients with ESCC.

p53 FISH

CharacteristicsPositive, n (%)Negative, n (%)χ2P-value
Specimen 5.7120.01
  Adjacent normal tissue2 (8.3)22 (91.7)
  ESCC68 (31.8)146 (68.2)
Sex 0.0510.872
  Female19 (30.6)43 (69.4)
  Male49 (32.2)103 (67.8)
Age, years 1.6530.224
  >6029 (37.2)49 (62.8)
  ≤6039 (28.7)97 (71.3)
TNM stage 3.230.089
  I–II39 (27.7)102 (72.3)
  III29 (39.7)44 (60.3)
T classification 0.0430.881
  T1-T226 (31.0)58 (69.0)
  T3-T442 (32.3)88 (67.7)
N classification 7.2780.005
  No30 (24.4)93 (75.6)
  Yes38 (41.8)53 (58.2)
Differentiation 8.9630.002
  Good11 (17.2)53 (82.8)
  Moderate-Poor57 (38.0)93 (62.0)
Tumor size 0.2730.66
  <438 (33.3)76 (66.7)
  ≥430 (30.0)70 (70.0)
Vascular invasion 16.274<0.001
  Negative45 (25.7)130 (74.3)
  Positive23 (59.0)16 (41.0)

[i] ESCC, esophageal squamous cell carcinoma

In the TMA analysis, the deletion rates of the TP53 gene were 47.9% (56/117) in cancer tissues and 2.1% (2/97) in adjacent normal tissues (P<0.001). TP53 gene deletion was significantly associated with lymph node metastasis (P=0.003) and TNM stage (P=0.01). However, there was no significant difference in TP53 gene deletion between other clinicopathological factors (P>0.05; Table IV).

Table IV.

Association between p53 gene deletion and clinicopathological characteristics of patients with ESCC (tissue microarray).

Table IV.

Association between p53 gene deletion and clinicopathological characteristics of patients with ESCC (tissue microarray).

p53 FISH

CharacteristicsNPositive (%)Negative (%)χ2P-value
Specimen 56.31<0.001
  Adjacent normal tissue972 (2.1)95 (97.9)
  ESCC11756 (47.9)61 (52.1)
Sex 0.4840.487
  Male8740 (46)47 (54)
  Female3016 (53.3)14 (46.7)
Age, years 1.5060.22
  ≤604016 (40)24 (60)
  >607740 (51.9)37 (48.1)
N classification 8.4840.003
  No5418 (33.3)36 (66.7)
  Yes6338 (60.3)25 (39.7)
T classification 0.0080.557
  T1-T22311 (47.8)12 (52.2)
  T3-T49445 (47.9)49 (52.1)
TNM stage 6.3530.01
  I–II5620 (35.7)36 (64.3)
  III–IV6136 (41.0)25 (59.0)
Differentiation 1.1840.194
  Good2610 (38.5)16 (61.5)
  Moderate-poor9146 (50.5)45 (49.5)

[i] ESCC, esophageal squamous cell carcinoma; FISH, fluorescence in situ hybridization.

Association between TP53 gene abnormalities and prognosis

Kaplan-Meier survival analysis was used to further analyze the relationship between TP53 gene abnormalities and ESCC prognosis. There were no significant associations between p53 protein expression and the overall survival of patients with ESCC (P>0.05, data not shown). However, TP53 gene deletion was negatively associated with overall survival. Patients with TP53 gene deletion had a worse prognosis (P<0.05; Fig. 3A). In addition, univariate Cox regression analysis demonstrated that TP53 gene deletion, lymph node metastasis and vascular invasion were significantly associated with the overall survival of patients with ESCC (P<0.05; Table V). Multivariate Cox analysis demonstrated that lymph node metastasis and vascular invasion were independent prognostic factors for ESCC.

Figure 3.

Kaplan-Meier survival analysis of patients with esophageal squamous cell carcinoma with tumor protein 53 gene deletion. (A) Multi-ethnic group. (B) Tissue microarray. FISH, fluorescence in situ hybridization.

Table V.

Univariate and multivariate analysis of overall survival in patients with esophageal squamous cell carcinoma.

Table V.

Univariate and multivariate analysis of overall survival in patients with esophageal squamous cell carcinoma.

Univariate analysisMultivariate analysis


VariablesHR (95% CI)P-valueHR (95% CI)P-value
Sex, female vs. male1.271 (0.843–1.918)0.252
Age, ≤60 vs. >60 years1.365 (0.955–1.952)0.087
T classification, T1-T2 vs. T3-T41.335 (0.926–1.925)0.121
N classification, negative vs. positive2.336 (1.630–3.348)<0.0010.500 (0.341–0.733)<0.001
Differentiation, good vs. moderate-poor1.229 (0.964–1.569)0.097
Tumor size, <4 cm vs. ≥4 cm1.116 (0.785–1.587)0.54
Vascular invasion, negative vs. positive2.386 (1.585–3.593)<0.0010.563 (0.363–0.874)0.01
p53 FISH, negative vs. positive1.457 (1.009–2.105)0.040.863 (0.589–1.265)0.45
p54 IHC, negative vs. positive1.122 (0.785–1.603)0.527

[i] FISH, fluorescence in situ hybridization; IHC, immunohistochemistry; HR, hazard ratio.

In the TMA group, Kaplan-Meier analysis demonstrated that both p53 protein expression and TP53 gene deletion were not associated with the overall survival of patients with ESCC. However, patients with the TP53 gene deletion had a worse prognosis than those without the deletion (Fig. 3B). In addition, univariate Cox regression analysis showed that the depth of invasion, lymph node metastasis and tumor differentiation were significantly associated with overall survival (P<0.05; Table VI). Furthermore, multivariate Cox analysis suggested that the depth of invasion and tumor differentiation were independent prognostic factors, patients with deeper invasion and lower differentiation had a worse prognosis.

Table VI.

Univariate and multivariate analysis of overall survival in patients with esophageal squamous cell carcinoma (tissue microarray).

Table VI.

Univariate and multivariate analysis of overall survival in patients with esophageal squamous cell carcinoma (tissue microarray).

Univariate analysisMultivariate analysis


VariablesHR (95% CI)P-valueHR (95% CI)P-value
Sex, female vs. male1.842 (1.043–3.254)0.0350.728 (0.446–1.187)0.203
Age, ≤60 vs. >60 years0.990 (0.615–1.594)0.967
T classification, T1-T2 vs. T3-T40.339 (0.155–0.745)0.0071.925 (1.073–3.451)0.028
N classification, negative vs. positive0.544 (0.340–0.871)0.0110.449 (0.201–1.007)0.052
Differentiation, good vs. moderate-poor0.295 (0.150–0.580)<0.0010.324 (0.162–0.646)0.001
p53 FISH, negative vs. positive0.701 (0.445–1.105)0.126
p53 IHC, negative vs. positive1.117 (0.705–1.770)0.638

[i] FISH, fluorescence in situ hybridization; IHC, immunohistochemistry; HR, hazard ratio.

Concordance between the results of IHC and FISH

The χ2 test suggested that there was a significant association between the results of IHC and FISH (P=0.007). The positive concordance rate between IHC and FISH was 41.1% (39/95), the negative concordance rate was 75.6% (90/119), and the total concordance rate was 60.3% (129/214). There was also a significant association between IHC and FISH in the TMA analysis (P=0.001). The positive concordance rate of IHC and FISH was 60.3% (41/68), while the negative concordance rate was 69.4% (34/49), and the total concordance rate was 64.1% (75/117; Table VII).

Table VII.

Concordance between the results of IHC and FISH in esophageal squamous cell carcinoma.

Table VII.

Concordance between the results of IHC and FISH in esophageal squamous cell carcinoma.

A, Multi ethnic group

p53 FISH

p53 IHCPositive, %Negative, %Concordance rate, %
Negative299075.6
Positive395641.1
Total6814660.3

B, Tissue microarray
p53 FISH

p53 IHCPositive, %Negative, %Concordance rate, %

Negative153469.4
Positive412760.3
Total566164.1

[i] FISH, fluorescence in situ hybridization; IHC, immunohistochemistry.

The present study also analyzed TP53 gene deletion and protein expression in different stages of esophageal cancer (Fig. 4). The positive rates of TP53 gene deletion in normal esophageal mucosa, adjacent normal tissues, precancerous lesions, ESCC tissues and metastatic lesions of esophageal cancer were 0% (0/3), 2.1% (2/97), 30.8% (4/13), 47.9% (56/117) and 88.9% (8/9), respectively. The positive expression rates of p53 protein in these tissues were 0% (0/3), 11.3% (11/97), 46.2% (6/13), 58.1% (68/117) and 77.8% (7/9), respectively. There were significant differences in TP53 gene deletion and protein expression when comparing the different histological stages (P<0.05; Table VIII).

Figure 4.

Tumor protein 53 protein expression and gene deletion status at different histological stages of ESCC. Magnification, IHC ×10, FISH ×100. ESCC, esophageal squamous cell carcinoma; FISH, fluorescence in situ hybridization; IHC, immunohistochemistry.

Table VIII.

p53 abnormalities detected by FISH and IHC at different histological stages.

Table VIII.

p53 abnormalities detected by FISH and IHC at different histological stages.

A, FISH

p53

HistologynPositive (%)NegativeP-value
Normal esophageal mucosa303
Adjacent normal tissue972 (2.1)95
Precancerous lesion134 (30.8)9<0.001
ESCC tissue11756 (47.9)61
Metastatic lesion98 (88.9)1

B, IHC

p53

HistologynPositive (%) NegativeP-value

Normal esophageal mucosa303
Adjacent normal tissue9711 (11.3)86
Precancerous lesion136 (46.2)7<0.001
ESCC tissue11768 (58.1)49
Metastatic lesion97 (77.8)2

C, FISH and IHC

p53

HistologynPositive (%) NegativeP-value

Normal esophageal mucosa303
Adjacent normal tissue9713 (13.4)84
Precancerous lesion139 (69.2)4<0.001
ESCC tissue11783 (70.9)34
Metastatic lesion98 (88.9)1

[i] ESCC, esophageal squamous cell carcinoma; FISH, fluorescence in situ hybridization; IHC, immunohistochemistry.

Discussion

Mutations in p53 protein are carcinogenic and can promote the invasion, metastasis, proliferation and survival of tumors (27). The accumulation of p53 protein may indicate TP53 gene mutation and detection of p53 protein accumulation by IHC can indirectly evaluate TP53 gene mutation. However, IHC may miss TP53 gene deletion (20). DNA FISH can directly detect the loss of the TP53 gene locus, which is one of the main molecular features of the tumor suppressor gene variation and an important marker for the transformation of some normal cells.

The present study demonstrated that the positive rates of p53 protein expression in ESCC of in two groups, a multi-ethnic group and a TMA group, were 54.5 and 58.1%, respectively. It was also demonstrated that p53 protein expression was associated with tumor differentiation and depth of invasion, which indicated that the TP53 mutation was not only related to the occurrence of ESCC, but also to prognostic factors such as malignant phenotype, invasion and metastasis, which were indirectly related to adverse prognosis. However, there was no significant association between p53 protein expression and other clinical factors, such as lymph node metastasis, TNM stage and overall survival, which was consistent with previous studies by Taghavi et al (19) and Yen et al (28). By contrast, previous studies have reported that mutated p53 protein could promote the invasion and metastasis of tumors and affect the prognosis of patients with ESCC (15,29,30). These conflicting results could be due to different patient selection processes, differences in the types of antibodies used and cut-ff values for p53 expression used in the different studies (18,31).

The present study also detected p53 protein expression in Han, Uygur and Kazakh ethnic groups from Xinjiang, and identified that there were no significant differences in p53 protein expression among the three ethnicities, indicating that p53 protein expression was similar in patients with ESCC from different ethnic groups. In addition, the present results demonstrated that the expression of p53 protein was significantly associated with sex in the multi-ethnic group. However, the majority of previous studies on p53 suggested that there were no associations with sex (15,19,28). It was hypothesized that the present results could be an incidental anomaly due to the small sample size. The possible association between p53 and sex may be further confirmed by a larger sample size in future studies.

Moreover, the present study also detected TP53 gene deletion. TP53 gene deletion rates were 31.8 and 47.9% in the tumor tissues of the multi-ethnic and the TMA groups, respectively. In addition, TP53 gene deletion was also related to prognostic factors such as tumor differentiation and lymph node metastasis. In a previous study of p53 IHC and loss of heterozygosity (LOH) analysis with similar experimental conditions, including 94 resected ESCC samples, the TP53 LOH rate was 67.5%, but it was not associated with the malignant phenotype of ESCC (22). In our previous study, FISH was used to detect TP53 gene deletion in patients with ESCC of Kazakh background, which suggested that TP53 gene deletion was related to tumor differentiation and lymph node metastasis (32). In the present study, additional ethnicities and samples were included, and TP53 gene deletion was demonstrated to be more common in patients with poor differentiation, lymph node metastasis and vascular invasion at advanced stages, which was consistent with our previous study, suggesting that the altered TP53 may play an important role in predicting the prognosis of ESCC. In addition, there was a significant association between TP53 gene deletion and overall survival in multi-ethnic groups. Although there was no significant association between TP53 gene deletion and overall survival in the TMA group, patients with TP53 gene deletion displayed a tendency towards worse prognosis, compared with those without the deletion, which was consistent with the result of multi-ethnic groups. Overall, the present results suggested that TP53 gene deletion was associated with poor prognosis and may be a potential and effective prognostic indicator of ESCC.

The expression rates of p53 protein were 54.5 and 58.1%, and the deletion rates of the TP53 gene were 31.8 and 47.9% in the two groups, respectively. The total concordance rates of FISH and IHC for detecting TP53 gene abnormality were 60.3 and 64.1%, respectively. When both methods were used simultaneously, the detection rate of TP53 gene abnormalities was significantly increased. A previous study by Graesslin et al (33) reported that there was no significant association between TP53 gene deletion and p53 protein expression in endometrial cancer, and there was no significant association between TP53 gene deletion and clinical prognostic factors. Therefore, FISH was not recommended for the routine detection of the TP53 gene in endometrial cancer (33). However, the present results support the combination of FISH and IHC in assessing TP53 abnormalities in ESCC. Although FISH allows objective quantification of results by counting intranuclear signals, there are some disadvantages to this method, such as the influence of non-tumor cells on the results. However, the present study suggested that IHC combined with FISH could overcome this limitation.

In addition, the present study also detected TP53 abnormalities in different stages of ESCC and found that TP53 gene deletion and protein expression increased with the progression of ESCC. In a study of Barrett's esophagus, Davelaar et al (34) reported that the positive rates of TP53 FISH and IHC increased with the progression of the disease, and the combined use of FISH and IHC technology could significantly improve the detection rate of TP53 gene abnormalities at different stages of the disease, which is similar to the present results in ESCC. These results also indicated that TP53 gene abnormalities are not only an early event of esophageal cancer, but also play an important role in tumor progression.

However, the sample size was relatively small and only one core of tumor tissue for each patient was included in TMA, which may account for the difference in the results observed between the TMA and the multi-ethnic group. Therefore, verification of the results with TMA, including larger sample size and more tumor cores is required in subsequent studies.

In conclusion, the present results demonstrated that the TP53 gene mutation played an important role in the occurrence and development of ESCC. The factors affecting p53 overexpression are complex, and TP53 gene deletion is one of the most important. These results suggested that FISH could be used as an additional method in the diagnosis of ESCC, especially when IHC results are negative. The application of FISH could increase the accuracy of chromosome karyotype determination, improve the detection efficiency of TP53 gene abnormalities in ESCC, and help accurately evaluate the malignancy and prognosis of esophageal cancer.

Acknowledgements

Not applicable.

Funding

The present study was funded by The National Natural Science Foundation (grant no. 81360305).

Availability of data and materials

The datasets used and/or analyzed during the current study are available from the corresponding author on reasonable request.

Authors' contributions

MN and EA was mainly responsible for designing and performing the experiments. JA and AA was mainly responsible for analyzing and interpreting the data, and performed statistical analysis. LZ and IS provided the study materials and revised the manuscript critically, and also guided the research design and experiment. AT was mainly responsible for drafting the manuscript and collecting clinical data, including clinicopathological data and patient follow-up data. RC and ZH helped with performing the experiments. All authors read and approved the final manuscript.

Ethics approval and consent to participate

All experiments were approved by The Ethics Committee of The First Affiliated Hospital of Xinjiang Medical University, and written informed consent was obtained from all participants.

Patient consent for publication

Not applicable.

Competing interests

The authors declare that they have no competing interests.

References

1 

Napier KJ, Scheerer M and Misra S: Esophageal cancer: A review of epidemiology, pathogenesis, staging workup and treatment modalities. World J Gastrointest Oncol. 6:112–120. 2014. View Article : Google Scholar

2 

Bray F, Ferlay J, Soerjomataram I, Siegel RL, Torre LA and Jemal A: Global cancer statistics 2018: GLOBOCAN estimates of incidence and mortality worldwide for 36 cancers in 185 countries. CA Cancer J Clin. 68:394–424. 2018. View Article : Google Scholar : PubMed/NCBI

3 

Siegel R, Ma J, Zou Z and Jemal A: Cancer statistics, 2014. CA Cancer J Clin. 64:9–29. 2014. View Article : Google Scholar : PubMed/NCBI

4 

Zeng H, Zheng R, Zhang S, Zuo T, Xia C, Zou X and Chen W: Esophageal cancer statistics in China, 2011: Estimates based on 177 cancer registries. Thorac Cancer. 7:232–237. 2016. View Article : Google Scholar : PubMed/NCBI

5 

Chen W, Zheng R, Baade PD, Zhang S, Zeng H, Bray F, Jemal A, Yu XQ and He J: Cancer statistics in China, 2015. CA Cancer J Clin. 66:115–132. 2016. View Article : Google Scholar : PubMed/NCBI

6 

Lin Y, Totsuka Y, He Y, Kikuchi S, Qiao Y, Ueda J, Wei W, Inoue M and Tanaka H: Epidemiology of esophageal cancer in Japan and China. J Epidemiol. 23:233–242. 2013. View Article : Google Scholar : PubMed/NCBI

7 

Pennathur A, Gibson MK, Jobe BA and Luketich JD: Oesophageal carcinoma. Lancet. 381:400–412. 2013. View Article : Google Scholar : PubMed/NCBI

8 

Soussi T: The p53 pathway and human cancer. Brit J Surg. 92:1331–1332. 2005. View Article : Google Scholar : PubMed/NCBI

9 

Vousden KH and Lane DP: p53 in health and disease. Nat Rev Mol Cell Biol. 8:275–283. 2007. View Article : Google Scholar : PubMed/NCBI

10 

da Silva GN, Evangelista AF, Magalhães DA, Macedo C, Búfalo MC, Sakamoto-Hojo ET, Passos GA and Salvadori DM: Expression of genes related to apoptosis, cell cycle and signaling pathways are independent of TP53 status in urinary bladder cancer cells. Mol Biol Rep. 38:4159–4170. 2011. View Article : Google Scholar

11 

Cardin R, Piciocchi M, Tieppo C, Maddalo G, Zaninotto G, Mescoli C, Rugge M and Farinati F: Oxidative DNA damage in Barrett mucosa: Correlation with telomeric dysfunction and p53 mutation. Ann Surg Oncol. 20 (Suppl 3):S583–S589. 2013. View Article : Google Scholar : PubMed/NCBI

12 

Di Agostino S, Strano S and Blandino G: Gender, mutant p53 and PML: A growing ‘affaire’ in tumor suppression and oncogenesis. Cell Cycle. 12:1824–1825. 2013. View Article : Google Scholar : PubMed/NCBI

13 

Greenblatt MS, Bennett WP, Hollstein M and Harris CC: Mutations in the p53 tumor suppressor gene: Clues to cancer etiology and molecular pathogenesis. Cancer Res. 54:4855–4878. 1994.PubMed/NCBI

14 

Song Y, Li L, Ou Y, Gao Z, Li E, Li X, Zhang W, Wang J, Xu L, Zhou Y, et al: Identification of genomic alterations in oesophageal squamous cell cancer. Nature. 509:91–95. 2014. View Article : Google Scholar : PubMed/NCBI

15 

Huang K, Chen L, Zhang J, Wu Z, Lan L, Wang L, Lu B and Liu Y: Elevated p53 expression levels correlate with tumor progression and poor prognosis in patients exhibiting esophageal squamous cell carcinoma. Oncol Lett. 8:1441–1446. 2014. View Article : Google Scholar : PubMed/NCBI

16 

Okumura H, Kita Y, Yokomakura N, Uchikado Y, Setoyama T, Sakurai H, Omoto I, Matsumoto M, Owaki T, Ishigami S and Natsugoe S: Nuclear expression of 14-3-3 sigma is related to prognosis in patients with esophageal squamous cell carcinoma. Anticancer Res. 30:5175–5179. 2010.PubMed/NCBI

17 

Zhao Z, Wang P, Gao Y and He J: The high expression instead of mutation of p53 is predictive of overall survival in patients with esophageal squamous-cell carcinoma: A meta-analysis. Cancer Med. 6:54–66. 2017. View Article : Google Scholar : PubMed/NCBI

18 

Murata A, Baba Y, Watanabe M, Shigaki H, Miyake K, Karashima R, Imamura Y, Ida S, Ishimoto T, Iwagami S, et al: p53 immunohistochemical expression and patient prognosis in esophageal squamous cell carcinoma. Med Oncol. 30:7282013. View Article : Google Scholar : PubMed/NCBI

19 

Taghavi N, Biramijamal F, Sotoudeh M, Moaven O, Khademi H, Abbaszadegan MR and Malekzadeh R: Association of p53/p21 expression with cigarette smoking and prognosis in esophageal squamous cell carcinoma patients. World J Gastroenterol. 16:4958–4967. 2010. View Article : Google Scholar : PubMed/NCBI

20 

Nenutil R, Smardova J, Pavlova S, Hanzelkova Z, Muller P, Fabian P, Hrstka R, Janotova P, Radina M, Lane DP, et al: Discriminating functional and non-functional p53 in human tumours by p53 and MDM2 immunohistochemistry. J Pathol. 207:251–259. 2005. View Article : Google Scholar : PubMed/NCBI

21 

Halling KC and Kipp BR: Fluorescence in situ hybridization in diagnostic cytology. Hum Pathol. 38:1137–1144. 2007. View Article : Google Scholar : PubMed/NCBI

22 

Tafe LJ, Allen SF, Steinmetz HB, Dokus BA, Cook LJ, Marotti JD and Tsongalis GJ: Automated processing of fluorescence in-situ hybridization slides for HER2 testing in breast and gastro-esophageal carcinomas. Exp Mol Pathol. 97:116–119. 2014. View Article : Google Scholar : PubMed/NCBI

23 

Egashira A, Morita M, Yoshida R, Saeki H, Oki E, Sadanaga N, Kakeji Y, Tsujitani S and Maehara Y: Loss of p53 in esophageal squamous cell carcinoma and the correlation with survival: Analyses of gene mutations, protein expression, and loss of heterozygosity in Japanese patients. J Surg Oncol. 104:169–175. 2011. View Article : Google Scholar : PubMed/NCBI

24 

Bellini MF, Cadamuro AC, Succi M, Proenca MA and Silva AE: Alterations of the TP53 gene in gastric and esophageal carcinogenesis. J Biomed Biotechnol. 2012:8919612012. View Article : Google Scholar : PubMed/NCBI

25 

Edge SB and Compton CC: The American joint committee on cancer: The 7th edition of the AJCC cancer staging manual and the future of TNM. Ann Surg Oncol. 17:1471–1474. 2010. View Article : Google Scholar : PubMed/NCBI

26 

Fagundes RB, Melo CR, Pütten AC, Moreira LF and de Barros SG: p53 immunoexpression: An aid to conventional methods in the screening of precursor lesions of squamous esophageal cancer in patients at high-risk? Cancer Detect Prev. 29:227–232. 2005. View Article : Google Scholar : PubMed/NCBI

27 

Muller PA and Vousden KH: p53 mutations in cancer. Nat Cell Biol. 15:2–8. 2013. View Article : Google Scholar : PubMed/NCBI

28 

Yen CC, Tsao YP, Chen PC, Wu YC, Liu JH, Pan CC, Liu CY, Tzeng CH, Chen PM, Chen YJ, et al: PML protein as a prognostic molecular marker for patients with esophageal squamous cell carcinomas receiving primary surgery. J Surg Oncol. 103:761–767. 2011. View Article : Google Scholar : PubMed/NCBI

29 

Wang L, Yu X, Li J, Zhang Z, Hou J and Li F: Prognostic significance of p53 expression in patients with esophageal cancer: A meta-analysis. BMC Cancer. 16:3732016. View Article : Google Scholar : PubMed/NCBI

30 

Melling N, Norrenbrock S, Kluth M, Simon R, Hube-Magg C, Steurer S, Hinsch A, Burandt E, Jacobsen F, Wilczak W, et al: p53 overexpression is a prognosticator of poor outcome in esophageal cancer. Oncol Lett. 17:3826–3834. 2019.PubMed/NCBI

31 

Yamamoto S, Yashima K, Kawata S, Hosoda K, Tamoto A, Ikebuchi Y, Matsumoto K, Kawaguchi K, Harada K, Murawaki Y and Isomoto H: Frequent aberrant p53 and Fhit expression in endoscopically resected superficial hypopharyngeal cancer and esophageal cancer. Oncol Lett. 14:587–592. 2017. View Article : Google Scholar : PubMed/NCBI

32 

Niyaz M, Turghun A, Ping ZH, Zhu Z, Sheyhedin I, Ren C and Awut I: TP53 gene deletion in esophageal cancer tissues of patients and its clinical significance. Mol Med Rep. 7:122–126. 2013. View Article : Google Scholar : PubMed/NCBI

33 

Graesslin O, Chantot-Bastaraud S, Lorenzato M, Birembaut P, Quéreux C and Daraï E: Fluorescence in situ hybridization and immunohistochemical analysis of p53 expression in endometrial cancer: Prognostic value and relation to ploidy. Ann Surg Oncol. 15:484–492. 2008. View Article : Google Scholar : PubMed/NCBI

34 

Davelaar AL, Calpe S, Lau L, Timmer MR, Visser M, Ten Kate FJ, Parikh KB, Meijer SL, Bergman JJ, Fockens P and Krishnadath KK: Aberrant TP53 detected by combining immunohistochemistry and DNA-FISH improves Barrett's esophagus progression prediction: A prospective follow-up study. Genes Chromosomes Cancer. 54:82–90. 2015. View Article : Google Scholar : PubMed/NCBI

Related Articles

  • Abstract
  • View
  • Download
  • Twitter
Copy and paste a formatted citation
Spandidos Publications style
Niyaz M, Ainiwaer J, Abudureheman A, Zhang L, Sheyhidin I, Turhong A, Cai R, Hou Z and Awut E: Association between TP53 gene deletion and protein expression in esophageal squamous cell carcinoma and its prognostic significance. Oncol Lett 20: 1855-1865, 2020.
APA
Niyaz, M., Ainiwaer, J., Abudureheman, A., Zhang, L., Sheyhidin, I., Turhong, A. ... Awut, E. (2020). Association between TP53 gene deletion and protein expression in esophageal squamous cell carcinoma and its prognostic significance. Oncology Letters, 20, 1855-1865. https://doi.org/10.3892/ol.2020.11709
MLA
Niyaz, M., Ainiwaer, J., Abudureheman, A., Zhang, L., Sheyhidin, I., Turhong, A., Cai, R., Hou, Z., Awut, E."Association between TP53 gene deletion and protein expression in esophageal squamous cell carcinoma and its prognostic significance". Oncology Letters 20.2 (2020): 1855-1865.
Chicago
Niyaz, M., Ainiwaer, J., Abudureheman, A., Zhang, L., Sheyhidin, I., Turhong, A., Cai, R., Hou, Z., Awut, E."Association between TP53 gene deletion and protein expression in esophageal squamous cell carcinoma and its prognostic significance". Oncology Letters 20, no. 2 (2020): 1855-1865. https://doi.org/10.3892/ol.2020.11709
Copy and paste a formatted citation
x
Spandidos Publications style
Niyaz M, Ainiwaer J, Abudureheman A, Zhang L, Sheyhidin I, Turhong A, Cai R, Hou Z and Awut E: Association between TP53 gene deletion and protein expression in esophageal squamous cell carcinoma and its prognostic significance. Oncol Lett 20: 1855-1865, 2020.
APA
Niyaz, M., Ainiwaer, J., Abudureheman, A., Zhang, L., Sheyhidin, I., Turhong, A. ... Awut, E. (2020). Association between TP53 gene deletion and protein expression in esophageal squamous cell carcinoma and its prognostic significance. Oncology Letters, 20, 1855-1865. https://doi.org/10.3892/ol.2020.11709
MLA
Niyaz, M., Ainiwaer, J., Abudureheman, A., Zhang, L., Sheyhidin, I., Turhong, A., Cai, R., Hou, Z., Awut, E."Association between TP53 gene deletion and protein expression in esophageal squamous cell carcinoma and its prognostic significance". Oncology Letters 20.2 (2020): 1855-1865.
Chicago
Niyaz, M., Ainiwaer, J., Abudureheman, A., Zhang, L., Sheyhidin, I., Turhong, A., Cai, R., Hou, Z., Awut, E."Association between TP53 gene deletion and protein expression in esophageal squamous cell carcinoma and its prognostic significance". Oncology Letters 20, no. 2 (2020): 1855-1865. https://doi.org/10.3892/ol.2020.11709
Follow us
  • Twitter
  • LinkedIn
  • Facebook
About
  • Spandidos Publications
  • Careers
  • Cookie Policy
  • Privacy Policy
How can we help?
  • Help
  • Live Chat
  • Contact
  • Email to our Support Team