Spandidos Publications Logo
  • About
    • About Spandidos
    • Aims and Scopes
    • Abstracting and Indexing
    • Editorial Policies
    • Reprints and Permissions
    • Job Opportunities
    • Terms and Conditions
    • Contact
  • Journals
    • All Journals
    • Oncology Letters
      • Oncology Letters
      • Information for Authors
      • Editorial Policies
      • Editorial Board
      • Aims and Scope
      • Abstracting and Indexing
      • Bibliographic Information
      • Archive
    • International Journal of Oncology
      • International Journal of Oncology
      • Information for Authors
      • Editorial Policies
      • Editorial Board
      • Aims and Scope
      • Abstracting and Indexing
      • Bibliographic Information
      • Archive
    • Molecular and Clinical Oncology
      • Molecular and Clinical Oncology
      • Information for Authors
      • Editorial Policies
      • Editorial Board
      • Aims and Scope
      • Abstracting and Indexing
      • Bibliographic Information
      • Archive
    • Experimental and Therapeutic Medicine
      • Experimental and Therapeutic Medicine
      • Information for Authors
      • Editorial Policies
      • Editorial Board
      • Aims and Scope
      • Abstracting and Indexing
      • Bibliographic Information
      • Archive
    • International Journal of Molecular Medicine
      • International Journal of Molecular Medicine
      • Information for Authors
      • Editorial Policies
      • Editorial Board
      • Aims and Scope
      • Abstracting and Indexing
      • Bibliographic Information
      • Archive
    • Biomedical Reports
      • Biomedical Reports
      • Information for Authors
      • Editorial Policies
      • Editorial Board
      • Aims and Scope
      • Abstracting and Indexing
      • Bibliographic Information
      • Archive
    • Oncology Reports
      • Oncology Reports
      • Information for Authors
      • Editorial Policies
      • Editorial Board
      • Aims and Scope
      • Abstracting and Indexing
      • Bibliographic Information
      • Archive
    • Molecular Medicine Reports
      • Molecular Medicine Reports
      • Information for Authors
      • Editorial Policies
      • Editorial Board
      • Aims and Scope
      • Abstracting and Indexing
      • Bibliographic Information
      • Archive
    • World Academy of Sciences Journal
      • World Academy of Sciences Journal
      • Information for Authors
      • Editorial Policies
      • Editorial Board
      • Aims and Scope
      • Abstracting and Indexing
      • Bibliographic Information
      • Archive
    • International Journal of Functional Nutrition
      • International Journal of Functional Nutrition
      • Information for Authors
      • Editorial Policies
      • Editorial Board
      • Aims and Scope
      • Abstracting and Indexing
      • Bibliographic Information
      • Archive
    • International Journal of Epigenetics
      • International Journal of Epigenetics
      • Information for Authors
      • Editorial Policies
      • Editorial Board
      • Aims and Scope
      • Abstracting and Indexing
      • Bibliographic Information
      • Archive
    • Medicine International
      • Medicine International
      • Information for Authors
      • Editorial Policies
      • Editorial Board
      • Aims and Scope
      • Abstracting and Indexing
      • Bibliographic Information
      • Archive
  • Articles
  • Information
    • Information for Authors
    • Information for Reviewers
    • Information for Librarians
    • Information for Advertisers
    • Conferences
  • Language Editing
Spandidos Publications Logo
  • About
    • About Spandidos
    • Aims and Scopes
    • Abstracting and Indexing
    • Editorial Policies
    • Reprints and Permissions
    • Job Opportunities
    • Terms and Conditions
    • Contact
  • Journals
    • All Journals
    • Biomedical Reports
      • Information for Authors
      • Editorial Policies
      • Editorial Board
      • Aims and Scope
      • Abstracting and Indexing
      • Bibliographic Information
      • Archive
    • Experimental and Therapeutic Medicine
      • Information for Authors
      • Editorial Policies
      • Editorial Board
      • Aims and Scope
      • Abstracting and Indexing
      • Bibliographic Information
      • Archive
    • International Journal of Epigenetics
      • Information for Authors
      • Editorial Policies
      • Editorial Board
      • Aims and Scope
      • Abstracting and Indexing
      • Bibliographic Information
      • Archive
    • International Journal of Functional Nutrition
      • Information for Authors
      • Editorial Policies
      • Editorial Board
      • Aims and Scope
      • Abstracting and Indexing
      • Bibliographic Information
      • Archive
    • International Journal of Molecular Medicine
      • Information for Authors
      • Editorial Policies
      • Editorial Board
      • Aims and Scope
      • Abstracting and Indexing
      • Bibliographic Information
      • Archive
    • International Journal of Oncology
      • Information for Authors
      • Editorial Policies
      • Editorial Board
      • Aims and Scope
      • Abstracting and Indexing
      • Bibliographic Information
      • Archive
    • Medicine International
      • Information for Authors
      • Editorial Policies
      • Editorial Board
      • Aims and Scope
      • Abstracting and Indexing
      • Bibliographic Information
      • Archive
    • Molecular and Clinical Oncology
      • Information for Authors
      • Editorial Policies
      • Editorial Board
      • Aims and Scope
      • Abstracting and Indexing
      • Bibliographic Information
      • Archive
    • Molecular Medicine Reports
      • Information for Authors
      • Editorial Policies
      • Editorial Board
      • Aims and Scope
      • Abstracting and Indexing
      • Bibliographic Information
      • Archive
    • Oncology Letters
      • Information for Authors
      • Editorial Policies
      • Editorial Board
      • Aims and Scope
      • Abstracting and Indexing
      • Bibliographic Information
      • Archive
    • Oncology Reports
      • Information for Authors
      • Editorial Policies
      • Editorial Board
      • Aims and Scope
      • Abstracting and Indexing
      • Bibliographic Information
      • Archive
    • World Academy of Sciences Journal
      • Information for Authors
      • Editorial Policies
      • Editorial Board
      • Aims and Scope
      • Abstracting and Indexing
      • Bibliographic Information
      • Archive
  • Articles
  • Information
    • For Authors
    • For Reviewers
    • For Librarians
    • For Advertisers
    • Conferences
  • Language Editing
Login Register Submit
  • This site uses cookies
  • You can change your cookie settings at any time by following the instructions in our Cookie Policy. To find out more, you may read our Privacy Policy.

    I agree
Search articles by DOI, keyword, author or affiliation
Search
Advanced Search
presentation
Oncology Letters
Join Editorial Board Propose a Special Issue
Print ISSN: 1792-1074 Online ISSN: 1792-1082
Journal Cover
May-2021 Volume 21 Issue 5

Full Size Image

Sign up for eToc alerts
Recommend to Library

Journals

International Journal of Molecular Medicine

International Journal of Molecular Medicine

International Journal of Molecular Medicine is an international journal devoted to molecular mechanisms of human disease.

International Journal of Oncology

International Journal of Oncology

International Journal of Oncology is an international journal devoted to oncology research and cancer treatment.

Molecular Medicine Reports

Molecular Medicine Reports

Covers molecular medicine topics such as pharmacology, pathology, genetics, neuroscience, infectious diseases, molecular cardiology, and molecular surgery.

Oncology Reports

Oncology Reports

Oncology Reports is an international journal devoted to fundamental and applied research in Oncology.

Experimental and Therapeutic Medicine

Experimental and Therapeutic Medicine

Experimental and Therapeutic Medicine is an international journal devoted to laboratory and clinical medicine.

Oncology Letters

Oncology Letters

Oncology Letters is an international journal devoted to Experimental and Clinical Oncology.

Biomedical Reports

Biomedical Reports

Explores a wide range of biological and medical fields, including pharmacology, genetics, microbiology, neuroscience, and molecular cardiology.

Molecular and Clinical Oncology

Molecular and Clinical Oncology

International journal addressing all aspects of oncology research, from tumorigenesis and oncogenes to chemotherapy and metastasis.

World Academy of Sciences Journal

World Academy of Sciences Journal

Multidisciplinary open-access journal spanning biochemistry, genetics, neuroscience, environmental health, and synthetic biology.

International Journal of Functional Nutrition

International Journal of Functional Nutrition

Open-access journal combining biochemistry, pharmacology, immunology, and genetics to advance health through functional nutrition.

International Journal of Epigenetics

International Journal of Epigenetics

Publishes open-access research on using epigenetics to advance understanding and treatment of human disease.

Medicine International

Medicine International

An International Open Access Journal Devoted to General Medicine.

Journal Cover
May-2021 Volume 21 Issue 5

Full Size Image

Sign up for eToc alerts
Recommend to Library

  • Article
  • Citations
    • Cite This Article
    • Download Citation
    • Create Citation Alert
    • Remove Citation Alert
    • Cited By
  • Similar Articles
    • Related Articles (in Spandidos Publications)
    • Similar Articles (Google Scholar)
    • Similar Articles (PubMed)
  • Download PDF
  • Download XML
  • View XML
Article Open Access

MicroRNA‑27b inhibits the development of melanoma by targeting MYC

  • Authors:
    • Yi Tian
    • Juanni Zeng
    • Zongliang Yang
  • View Affiliations / Copyright

    Affiliations: Department of Dermatology, The Second Affiliated Hospital, Hunan University of Chinese Medicine, Changsha, Hunan 410005, P.R. China, Department of Anorectal Disease, The Second Affiliated Hospital, Hunan University of Chinese Medicine, Changsha, Hunan 410005, P.R. China
    Copyright: © Tian et al. This is an open access article distributed under the terms of Creative Commons Attribution License.
  • Article Number: 370
    |
    Published online on: March 12, 2021
       https://doi.org/10.3892/ol.2021.12631
  • Expand metrics +
Metrics: Total Views: 0 (Spandidos Publications: | PMC Statistics: )
Metrics: Total PDF Downloads: 0 (Spandidos Publications: | PMC Statistics: )
Cited By (CrossRef): 0 citations Loading Articles...

This article is mentioned in:



Abstract

Cutaneous malignant melanoma is a malignancy with one of the fastest increasing incidence rates worldwide; however, the mechanism underlying the occurrence and development of melanoma remains unclear. The aim of the present study was to identify novel biomarkers for the occurrence and development of melanoma. The results of the present study demonstrated that the expression levels of microRNA (miR)‑27b were decreased in melanoma tissue samples compared with those in adjacent noncancerous tissue samples and cells according to online and experimental data. By contrast, MYC expression levels were upregulated in melanoma compared with those in adjacent noncancerous tissue samples. miR‑27b overexpression significantly inhibited A375 and A2085 melanoma cell DNA synthesis, viability and invasive ability. Dual‑luciferase reporter assay results demonstrated that miR‑27b inhibited MYC expression through binding to the 3'‑untranslated region of MYC mRNA. MYC knockdown in melanoma cells exerted similar effects to those of miR‑27b overexpression on DNA synthesis, cell viability and invasive ability; the effects of miR‑27b inhibition were significantly reversed by MYC knockdown. In conclusion, the miR‑27b/MYC axis may modulate malignant melanoma cell biological behaviors and may be a potential target for melanoma treatment.

Introduction

Cutaneous malignant melanoma is a malignancy with one of the fastest increasing incidence rates worldwide (1,2). Although melanoma accounts for only a limited proportion of all skin malignancies, it causes the largest number of skin cancer-related deaths, with ~55,500 deaths each year (3). The high mortality of melanoma mainly occurs due to distant metastasis (4). Immunotherapy has transformed the treatment of melanoma in the past decade, with a significant increase in overall survival (5). For example, an antibody against cytotoxic T-lymphocyte-associated protein 4 (CTLA-4), ipilimumab, increased the 2-year survival rates of patients with metastatic melanoma from 14 to 24% (6). With the application of monoclonal antibodies against inhibitory immune checkpoints, such as CTLA-4 and anti-programmed death 1, the treatment efficacy for metastatic melanoma has improved (5,7). However, predictive biomarkers for melanoma are still lacking. The occurrence and progression of melanoma is considered to result from disorders of the oncogenic and tumor inhibitory pathway functions (8). The importance and relevance of various biomarkers have been demonstrated in melanoma studies (9,10), and targeted agents such as vemurafenib and dabrafenib have enhanced the survival of patients with melanoma; however, patient prognosis remains poor (3). Therefore, it is crucial to study novel biomarkers that drive the occurrence and development of melanoma, which may contribute to the development of new diagnostic and treatment targets.

The Wnt/β-catenin pathway contributes to cancer metastasis through regulating the epithelial-mesenchymal transition (EMT) (11,12), which has been reported in melanoma (13). The Wnt/β-catenin signaling pathway is often abnormally activated and may participate in the occurrence and development of tumors (14), leading to β-catenin nuclear translocation and the transcription of downstream target genes, such as MYC (15). The MYC gene is typically expressed constitutively in malignancies, and c-Myc, which is encoded by MYC, has been reported to regulate the gene expression of ≤15% of the human genome (16). From a clinical perspective, high expression levels of c-Myc protein exhibit a significant association with distant metastasis and impaired prognosis; from a biological perspective, the overexpression of c-Myc results in a significant increase in cell viability, invasion and migration (17). Furthermore, c-Myc increases the protein expression levels of Snail, which is an EMT marker, in vivo and in vitro (18). Thus, MYC may be a novel therapeutic target in melanoma, and the suppression of MYC expression may be an effective therapeutic option for patients with melanoma.

MicroRNAs (miRNAs), a type of noncoding RNAs that are <22 nucleotides long, bind to the 3′-untranslated region (3′-UTR) of their downstream target mRNAs, inhibiting their expression (19,20). Depending on the extent of base pairing, miRNAs lead to translational repression, mRNA deadenylation or decay (21). Changes in miRNA expression levels contribute to human tumor occurrence and development (19). In melanoma, deregulation of miRNA expression levels has also been reported previously. Using C57BL/6 mice, Noori et al (22) have demonstrated that high levels of miRNA (miR)-30a expression in melanoma suppress metastasis in vivo through binding to zinc finger E-box-binding homeobox 2 and E-cadherin. A series of miRNAs, such as miR-1908, miR-199a-5p and miR-199a-3p, have been reported as endogenous factors promoting melanoma metastatic invasion, angiogenesis and colonization (23). Since distinct miRNA expression profiles have been investigated at various stages of melanoma progression (24,25), identifying additional miRNAs that target MYC may provide new therapeutic options for melanoma treatment.

The aim of the present study was to identify a miRNA/mRNA axis that may modulate the biological malignant behaviors of melanoma cells in vitro. To achieve this, an online tool was used to select the candidate miRNAs that could bind to the MYC 3′UTR, and the effects of the miR-27b/MYC axis on melanoma progression were determined.

Materials and methods

Clinical sampling

A total of 18 paired melanoma and adjacent noncancerous tissue samples (5 cm from the edge of the tumor) were collected from patients who received surgical treatment for cutaneous melanoma at the Second Affiliated Hospital of Hunan University of Chinese Medicine (Changsha, China) with the approval of the Ethics Committee of the Second Affiliated Hospital of Hunan University of Chinese Medicine (approval no. 2019-KY-031). All patients provided written informed consent. The obtained clinical samples were stored at −80°C or fixed in 10% formalin at room temperature until further use.

Hematoxylin and eosin (H&E) and immunohistochemical (IHC) staining

The histomorphological changes in melanoma and adjacent noncancerous tissues were evaluated by H&E staining at room temperature. The 5-µm sections were stained with hematoxylin solution for 5 min, destained with 0.5% acid ethanol (pH 2.0) and stained with eosin for 30 sec. Following dehydration with graded ethanol (80, 90, 95% and absolute ethanol incubated for 3 min each) and clearing with xylene, the sections were mounted with neutral balsam and observed under an optical microscope (Olympus Corporation) with ×100 magnification in three fields per sample.

The protein content and distribution of c-Myc in tissue samples were detected by IHC as previously described (26). Briefly, 5-µm tissue sections were deparaffinized in xylene and rehydrated using graded ethanol (absolute ethanol, 95, 90, 80 and 75% ethanol incubated for 3 min each) in PBS. Endogenous peroxidase was blocked with 0.3% hydrogen peroxide for 10 min at room temperature. The sections were incubated with 5% normal rat serum (Beijing Solarbio Science & Technology Co., Ltd.) at room temperature for 10 min, followed by incubation with anti-c-Myc (1:200, cat. no. ab32072; Abcam) at 4°C overnight. Subsequently, the sections were incubated with an HRP-polymer-conjugated anti-rabbit/mouse secondary antibody (1:500; cat. no. SV0004; Wuhan Boster Biological Technology, Ltd) at 37°C for 30 min and stained using a diaminobenzidine staining kit (Wuhan Boster Biological Technology, Ltd.). The nuclei were counterstained with hematoxylin. The sections were mounted with neutral balsam and observed under an optical microscope (Olympus Corporation) with ×100 magnification in three fields per sample.

Bioinformatics analysis

For miRNA target gene prediction, the online tool TargetScan was used (http://www.targetscan.org/vert_72/) (27). To analyze the differentially expressed miRNAs (|logFC|>0.56; P<0.05) in melanoma cells, the GEO dataset GSE77090 (https://www.ncbi.nlm.nih.gov/geo/query/acc.cgi?acc=GSE77090) was downloaded and analyzed using the ‘Limma’ package in R (28,29).

Cell lines and culture

Normal human melanocytes (MC) were obtained from ATCC (cat. no. PCS-200-013) and cultured using an Adult Melanocyte Growth kit (cat. no. PCS-200-042; ATCC). The human melanoma cell lines A375 and A2058 were obtained from ATCC (cat. nos. CRL-1619 and CRL-11147) and cultured in DMEM (cat. no. 30-2002) supplemented with 10% fetal bovine serum (FBS; Invitrogen; Thermo Fisher Scientific, Inc.), 100 mg/m penicillin and 100 U/ml streptomycin. The cells were incubated with 5% CO2 at 37°C.

Cell transfection

For miR-27b overexpression or inhibition, miR-27b mimics, mimics-negative control (NC), miR-27b inhibitor or inhibitor-NC were transfected into A375 and A2058 cells (1×106 cells/ml). MYC knockdown was achieved by transfection of small interfering (si)RNA specific to MYC (si-MYC). All transfection vectors (final concentration, 20 nM) were synthesized by Shanghai GenePharm Co., Ltd. The transfections were performed using Lipofectamine® 3000 (Invitrogen; Thermo Fisher Scientific, Inc.) at 37°C for 6 h. Subsequently, the culture medium was replaced with fresh culture medium. At 48 h post-transfection, the cells were harvested for further experiments. The sequences of the miR-27b mimics, inhibitor, si-MYC and the corresponding NC vectors are listed in Table I.

Table I.

Primer and microRNA sequences.

Table I.

Primer and microRNA sequences.

A, Primers used for RT-quantitative PCR

GeneSequences (5′→3′)
miR-27b-5pRT: GTCGTATCCAGTGCGTGTCGTGGAGTCGGCAATTGCACTGGATACGACGTTCAC
F: GCCAGAGCTTAGCTGATTG
R: CAGTGCGTGTCGTGGA
MYCF: GGCTCCTGGCAAAAGGTCA
R: CTGCGTAGTTGTGCTGATGT
GAPDHF: ACAGCCTCAAGATCATCAGC
R: GGTCATGAGTCCTTCCACGAT
U6F: CTCGCTTCGGCAGCACA
R: AACGCTTCACGAATTTGCGT
MYC (RIP assay)F: GCCTTGGTTCATCTGGGTCTAA
R: TGGGGTTGATGTAGAGTTAGGGAT

B, Vectors used for transfections

OligomerSequences (5′→3′)

Mimics NCS: UUCUCCGAACGUGUCACGUTT
AS: ACGUGACACGUUCGGAGAATT
miR-27b mimicsS: AGAGCUUAGCUGAUUGGUGAAC
AS: UCACCAAUCAGCUAAGCUCUUU
Inhibitor NCS: CAGUACUUUUGUGUAGUACAA
miR-27b inhibitorS: GUUCACCAAUCAGCUAAGCUCU
Wt-MYC 3′-UTRS: aattctaggcgatcgctcgagAGATAATACAAAGCAGCAATCTGGAC
AS: attttattgcggccagcggccgcTTCCCTATCAGTGAATCTTGGGC
Mut-MYC 3′-UTRS: GgcctaCTCTATTTGTGTCCCAAGCACTCCTA
CACAAATAGAGtaggcCATTGTTATGACTTGAGTCTGTCCATT
Si-NCS: UUCUCCGAACGUGUCACGUTT
AS: ACGUGACACGUUCGGAGAATT
Si-MYCS: AGAAUGAUUAAAAUAACCCTT
AS: GGGUUAUUUUAAUCAUUCUTT

[i] RT, reverse transcription; miR, microRNA; RIP, radioimmunoprecipitation; F, forward; R, reverse; NC, negative control; Wt, wild-type; UTR, untranslated region; Mut, mutant; si, small interfering RNA; S, sense; AS, antisense.

5-bromo-2-deoxyuridine (BrdU) assay

The DNA synthesis ability of the cells was examined using BrdU assay by determining the BrdU incorporation by proliferating cells. A375 and A2058 cells were transfected with the miR-27b mimics, inhibitor or si-MYC for 48 h. Subsequently, 1×104 A375 and A2058 cells were cultured in 24-well plates for 8 h and incubated with 10 µg/ml BrdU (Sigma-Aldrich; Merck KGaA) for 24 and 48 h at 37°C with 5% CO2; subsequently, the BrdU solution was removed. Following fixation by 4% paraformaldehyde and permeabilized by 0.1% Triton for 10 min each at room temperature, the cells were incubated sequentially with a BrdU antibody (1:50; cat. no. 5290; Cell Signaling Technology, Inc.) at 4°C overnight and an HRP-goat anti-mouse secondary antibody (1:200; cat. no. A0216; Beyotime Institute of Biotechnology) for 1 h at room temperature. The optical density at 450 nm was measured using a microplate reader (Bio-Rad Laboratories, Inc.).

MTT assay

The MTT assay was used to determine the cell viability. A375 and A2058 cells transfected with the miR-27b mimics, inhibitor or si-MYC were collected and, following 24-h culture in 96-well plates (5×103 cells/well) at 37°C, the cells were supplemented with 20 µl MTT (5 mg/ml; Sigma-Aldrich; Merck KGaA) and incubated for 4 h in a humidified incubator at 37°C. Subsequently, the supernatant was removed, and 200 µl DMSO was added to dissolve the formazan crystals. The optical density at 490 nm was measured using a microplate reader.

Transwell assay

The invasive ability of A375 and A2058 cells was determined using a Transwell invasion assay. A375 and A2058 cells transfected with the miR-27b mimics, inhibitor or si-MYC were collected, suspended in FBS-free DMEM and seeded into the upper chambers of the Transwell inserts pre-coated with Matrigel for 4 h at 37°C. DMEM with 10% FBS was added to the lower chambers. Following 24-h culture at 37°C, cells adhering to the upper surface of the membrane were removed with a cotton swab, and the cells that had penetrated to the lower surface of the membrane were fixed with 4% paraformaldehyde for 20 min, stained with crystal violet for 5 min at room temperature, and counted under an inverted optical microscope (Olympus Corporation) with ×100 magnification in three fields per sample.

Immunoblotting

The protein expression levels of c-Myc were determined by western blotting. A375 and A2058 cells were transfected with the miR-27b mimics, inhibitor or si-MYC for 48 h. Protein samples were extracted from the cells using RIPA lysis buffer (Beyotime Institute of Biotechnology). The protein concentration was determined by a BCA kit (Beyotime Institute of Biotechnology). The isolated proteins (20–100 µg) were separated by 10% SDS-PAGE. The proteins were transferred to polyvinylidene difluoride (PVDF) membranes (Bio-Rad Laboratories, Inc.). Following blocking with 3% skim milk for 2 h at room temperature in Tris-buffered saline containing 0.1% Tween-20, the membranes were incubated with an anti-c-Myc primary antibody (1:1,000; cat. no. ab32072; Abcam) for 1 h at room temperature. Following washing with tris-buffered saline with 0.1% Tween 20 for 5 min thrice at room temperature, the membranes were incubated with HRP-conjugated secondary IgG antibodies (1:5,000; cat. no. A0208; Beyotime Institute of Biotechnology) for 1 h at room temperature. The signals were visualized using enhanced chemiluminescence (ECL) with a ChemiDOC XRS system (Bio-Rad Laboratories, Inc.). The densitometry analysis was performed by ImageJ 1.52 software (National Institutes of Health).

Reverse transcription-quantitative (RT-q)PCR

A375 and A2058 cells were transfected with the miR-27b mimics, inhibitor or si-MYC for 48 h. Total RNA was extracted from the A375 and A2058 cells using TRIzol® reagent (Invitrogen; Thermo Fisher Scientific, Inc.) according to the manufacturer's instructions. Complementary DNA was synthesized from the extracted RNA using the StarScript II First-strand cDNA Synthesis Mix (cat. no. A223-2; GenStar) according to the manufacturer's protocol (42°C for 30 min and 85°C for 5 min, followed by storage at 4°C). The expression levels of miRNA and mRNA were examined using a SYBR® Green PCR Master Mix (Qiagen GmbH). An ABI7500 real-time PCR detection system (Applied Biosystems; Thermo Fisher Scientific, Inc.) was used for qPCR, and the thermocycling conditions were as follows: Initial denaturation at 95°C for 2 min, followed by 40 cycles of denaturation at 95°C for 15 sec, and annealing and extension at 60°C for 30 sec. GAPDH (for mRNA) or RNU6B (for miRNA) expression was used as an internal reference. The relative expression levels were calculated using the 2−ΔΔCq method (30). The primer sequences are listed in Table I.

Dual-luciferase reporter assay

The dual-luciferase reporter assay was used to determine the potential binding between miR-27b and MYC predicted by TargetScan. The wild-type vector (wt-MYC 3′-UTR) was generated by amplifying and cloning the MYC 3′-UTR into the downstream region of the Renilla psiCHECK2 vector (Promega Corporation). The mutant reporter (mut-MYC 3′-UTR) was generated by mutating the predicted miR-27b binding site in MYC 3′-UTR. Subsequently, ~5×104 293T cells/ml (cat. no. CRL-3216; ATCC) were cultured in DMEM supplemented with 10% FBS and were co-transfected with 1 µg/ml luciferase reporter vectors and 20 nM miR-27b mimics or inhibitor using Lipofectamine® 3000 for 48 h at 37°C. Following transfection, the luciferase activity was evaluated by the Dual-Luciferase Reporter Assay System (Promega Corporation) using firefly luciferase activity for normalization. The primers used for plasmid construction are listed in Table I.

RNA immunoprecipitation (RIP)

The RIP assay was used to confirm the predicted binding between miR-27b and MYC 3′-UTR using a Magna RIP RNA-Binding Protein Immunoprecipitation kit (cat. no. 17-700; MilliporeSigma) according to the manufacturer's protocol. Briefly, A2058 cells were lysed using RIP lysis buffer (MilliporeSigma) and centrifuged at 10,000 × g for 10 min at 4°C to collect the supernatant. The magnetic A/G beads (50 µl) were incubated with 5 µg argonaute 2 (Ago2; cat. no. ab186733; Abcam) or IgG (cat. no. ab109489; Abcam) antibodies. Subsequently, the bead-antibody complex was rinsed, resuspended in 900 µl RIP Wash Buffer, and incubated with 100 µl supernatant at 4°C overnight. Following incubation with protease K, the RNA was extracted from the samples for RT-qPCR detection for miR-27b and the 3′UTR of MYC.

Statistical analysis

Data from triplicate experiments were analyzed with GraphPad Prism 6 software (GraphPad Software, Inc.) and presented as the mean ± SD. Data normality was assessed by the Kolmogorov-Smirnov test. Paired Student's t-test was used for statistical comparison between tumor tissues group and adjacent noncancerous tissues group. Differences among multiple groups were determined using one-way ANOVA with Tukey's post hoc test. The correlation between miR-27b and MYC mRNA expression levels was analyzed by Pearson's correlation analysis. P<0.05 was considered to indicate a statistically significant difference.

Results

c-Myc protein levels and distribution in melanoma and adjacent noncancerous tissue samples

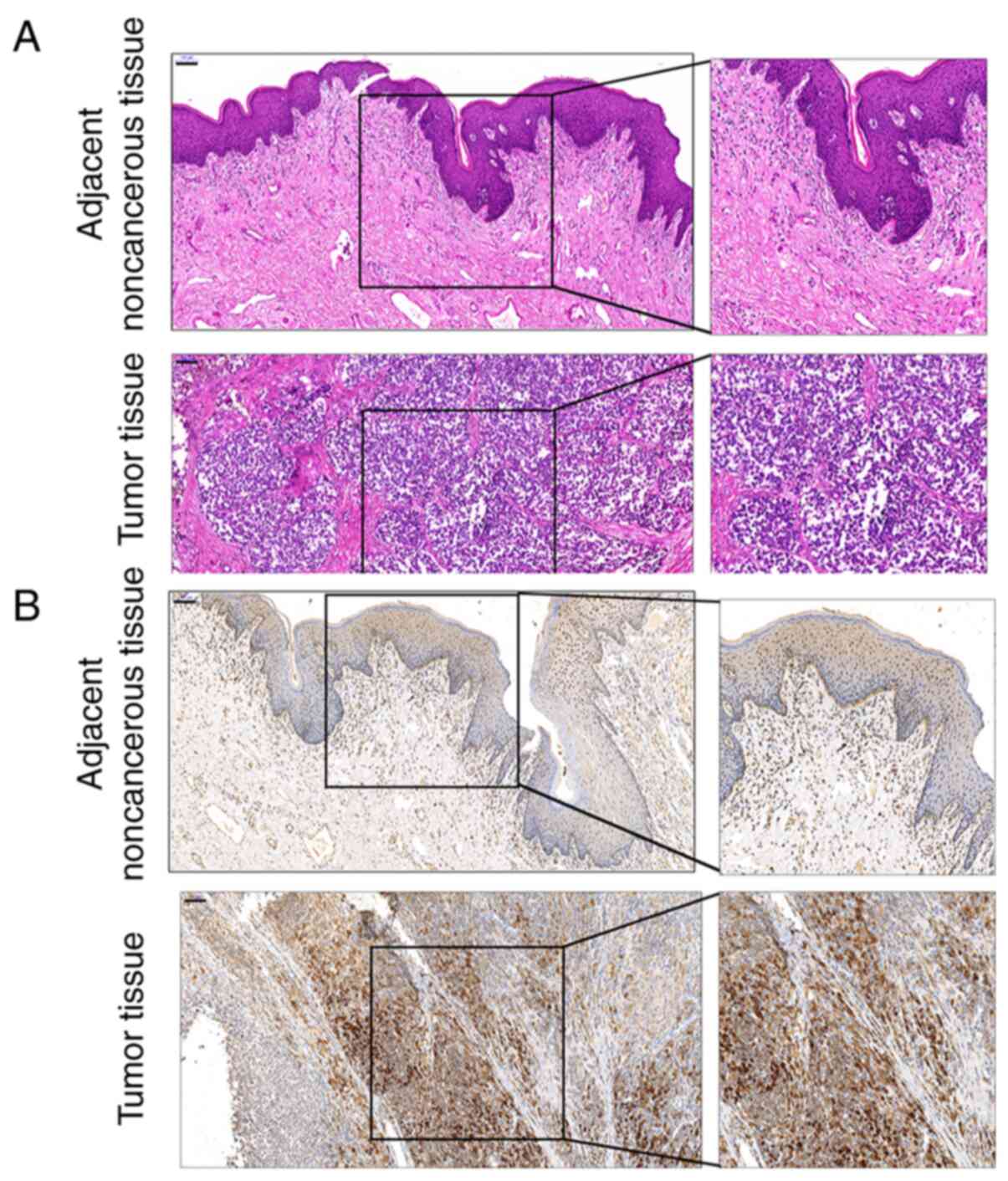
To determine the mechanism of c-Myc functions in melanoma, melanoma and paired adjacent noncancerous tissue samples were collected, and the histomorphological changes in these samples were examined by H&E staining. As demonstrated in Fig. 1A, melanoma cells were heteromorphic and exhibited no signs of maturity. IHC staining revealed that melanoma cells were c-Myc-positive (Fig. 1B).

Figure 1.

Protein levels and distribution of c-Myc in tissue samples. (A) Histomorphological changes in melanoma and adjacent noncancerous normal tissues were observed by hematoxylin and eosin staining (×100 magnification). (B) The protein contents and distribution of c-Myc were determined using immunohistochemical staining. c-Myc levels appeared higher in tumor tissues compared with those in adjacent noncancerous tissues (×100 magnification).

Expression levels and correlation of miR-27b and MYC within tissues

Since the online tool TargetScan predicted that miR-27b may target MYC, the present study determined the miR-27b and MYC expression levels in 18 paired melanoma and noncancerous normal tissue samples. The expression levels of miR-27b were markedly reduced, whereas the expression levels of MYC were increased in the melanoma tissues compared with those in the adjacent noncancerous tissues (Fig. 2A and B). In addition, the expression levels of miR-27b were negatively correlated with those of MYC within the tumor and adjacent noncancerous tissues (r=−0.6120; Fig. 2C), suggesting that miR-27b may target MYC to negatively regulate MYC expression levels.

Figure 2.

Expression levels and correlation of miR-27b and MYC in tissue samples from patients with melanoma. (A and B) The expression levels of miR-27b and MYC in 18 paired melanoma and adjacent noncancerous tissue samples were determined using reverse transcription-quantitative PCR. The expression levels of miR-27b were lower, whereas the MYC mRNA levels were higher in tumor tissues compared with those in the adjacent noncancerous tissues. (C) The correlation of miR-27b and MYC expression levels in patient tissue samples was analyzed using Pearson's correlation analysis. ***P<0.001. miR, microRNA.

Effects of miR-27b on the phenotype of melanoma cells

To validate the specific roles of miR-27b in melanoma cell lines, miR-27b expression levels were determined in a normal cell line, MC, and two melanoma cell lines, A375 and A2058, by RT-qPCR; consistent with the results observed in patient tissue samples, miR-27b expression levels were markedly lower in the two melanoma cell lines compared with those in the MCs (Fig. 3A). The melanoma cells were transfected with miR-27b mimics or inhibitor to achieve overexpress or inhibit the levels of miR-27b, and the transfection efficiency was verified by RT-qPCR; transfection with the miR-27b mimics significantly increased the cellular miR-27b levels, whereas the miR-27b inhibitor decreased the cellular miR-27b levels compared with those in the corresponding NC groups (Fig. 3B). The phenotypes of the A375 and A2058 cells transfected with the miR-27b mimics or inhibitor were subsequently examined. The BrdU assay results demonstrated that transfection with the miR-27b mimics significantly inhibited the DNA synthesis ability in melanoma cells compared with that in cells in the mimics-NC group (Fig. 3C). The results of the MTT and Transwell assay revealed that the A375 and A2058 cell viability and invasive ability were inhibited by the miR-27b mimics compared with those in the mimics-NC-transfected cells (Fig. 3D-G); by contrast, miR-27b inhibition promoted the DNA synthesis ability, viability and invasive ability compared with those in the cells in the inhibitor-NC group (Fig. 3D-G). Therefore, miR-27b overexpression suppressed the biological malignant behaviors of A375 and A2058 melanoma cells.

Figure 3.

Effects of miR-27b on melanoma cell phenotype. (A) miR-27b expression was examined in a normal cell line, MC, and two melanoma cell lines, A375 and A2058, using RT-qPCR. miR-27b expression levels were lower in melanoma cell lines compared with those in MC. (B) miR-27b overexpression or miR-27b inhibition was achieved in two melanoma cell lines by the transfection of the miR-27b mimics or inhibitor; mimics-NC and inhibitor-NC were used as negative controls. The transfection efficiency was validated by RT-qPCR. (C) DNA synthesis ability of A375 and A2058 cells transfected with the miR-27b mimics or inhibitor by BrdU assay; the miR-27b mimics decreased, whereas the miR-27b inhibitor increased the DNA synthesis ability compared with that in the corresponding NC groups. (D and E) Cell viability was determined by MTT assay at 24, 48 and 72 h; the miR-27b mimics decreased, whereas the miR-27b inhibitor increased cell viability compared with that in the corresponding NC groups. (F and G) Cell invasive ability was determined by Transwell assay; the miR-27b mimics decreased, whereas the miR-27b inhibitor increased the invasive ability of A375 and A2058 cells compared with that in the corresponding NC groups. $$P<0.01 vs. MC, **P<0.01 vs. mimics-NC; ##P<0.01 vs. inhibitor-NC. miR, microRNA; MC, melanocytes; NC, negative control; BrdU, 5-bromo-2-deoxyuridine; RT-qPCR, reverse transcription-quantitative PCR.

miR-27b targets MYC by binding to MYC 3′-UTR

In order to validate the binding between miR-27b and MYC predicted by the online tool TargetScan, the A375 and A2058 cell lines were transfected with the miR-27b mimics or inhibitor, and the c-Myc protein content was detected by immunoblotting. Overexpression of miR-27b downregulated the protein levels of c-Myc, whereas the inhibition of miR-27b upregulated the levels of c-Myc compared with those in the corresponding NC groups (Fig. 4A and B).

Figure 4.

miR-27b targets MYC by binding to the MYC 3′-UTR. (A and B) A375 and A2058 cells were transfected with the miR-27b mimics or inhibitor, and immunoblotting revealed that the miR-27b mimics decreased, whereas the miR-27b inhibitor increased the c-Myc protein levels compared with those in the corresponding NC groups. (C) Wt and mut MYC 3′-UTR luciferase reporter vectors were constructed; the mut-MYC 3′-UTR vector contained a 5-bp mutation in the predicted miR-27b binding site. (D) Dual-luciferase reporter assay in 293T cells demonstrated that the miR-27b mimics reduced, whereas the miR-27b inhibitor increased the luciferase activity in the wt-MYC group; no changes were observed in the mut-MYC group. (E and F) RIP assay was performed to confirm the binding of miR-27b to the MYC 3′-UTR using the Ago2 antibody; the levels of miR-27b and MYC 3′-UTR in the precipitates were examined using reverse transcription-quantitative PCR. The miR-27b and MYC 3′-UTR fragments were enriched in the Ago2 precipitate compared with the IgG group. In the miR-27b mimics-transfected cells, the MYC 3′-UTR fragments were more highly enriched compared with those in the mimics-NC transfected cells. **P<0.01 vs. mimics-NC; ##P<0.01 vs. inhibitor-NC. miR, microRNA; UTR, untranslated region; NC, negative control; wt, wild-type; mut, mutant; RIP, radioimmunoprecipitation; Ago2, argonaute 2.

The dual-luciferase reporter assay was subsequently used. The predicted binding site is presented in Fig. 4C. The reporter vectors were co-transfected into 293T cells with the miR-27b mimics or inhibitor. The luciferase activity of wt-MYC 3′-UTR was decreased by the overexpression of miR-27b, but increased following inhibition of miR-27b compared with that in the corresponding NC groups (Fig. 4D). In the presence of mut-MYC 3′-UTR, transfection with the miR-27b mimics or inhibitor did not affect luciferase activity, suggesting that miR-27b bound to the predicted binding site in the MYC 3′-UTR

To confirm the binding of miR-27b to MYC, RIP assay was performed using an Ago2 antibody. Anti-AGO2 immunoprecipitants containing miRNAs and their interacting RNA components were examined for the levels of miR-27b and MYC in A2058 cells; as demonstrated in Fig. 4E, compared with the anti-IgG group, miR-27b and MYC were more abundant in the Ago2 group. In addition, the miR-27b mimics or mimics-NC were transfected into A2058 cells. Higher levels of MYC mRNA were detected in the anti-Ago2 immunoprecipitants of miR-27b mimics-transfected cells compared with those in the mimics-NC-transfected cells (Fig. 4F). These results confirmed that miR-27b bound to the MYC 3′-UTR.

miR-27b modulates the melanoma cell phenotype through MYC

The present study further validated the dynamic effects of the miR-27b/MYC axis on the melanoma cell phenotype. A375 and A2058 cells were transfected with si-MYC to achieve MYC knockdown; the transfection efficiency was confirmed using immunoblotting, and the results demonstrated that si-MYC successfully reduced the c-Myc protein levels compared with those in the cells transfected with si-NC (Fig. 5A and B). Subsequently, A375 and A2058 cells we co-transfected with the miR-27b inhibitor and si-MYC. The results of the in vitro assays demonstrated miR-27b inhibition promoted, whereas MYC knockdown inhibited the DNA synthesis ability (Fig. 5C), cell viability (Fig. 5D and E) and invasive ability (Fig. 5F and G) compared with those in the si-NC and inhibitor-NC group; additionally, MYC knockdown significantly attenuated the effects of miR-27b inhibition (Fig. 5C-G). Thus, miR-27b may exert its effects on melanoma cells through MYC.

Figure 5.

miR-27b modulates the melanoma cell phenotype through MYC. (A and B) MYC knockdown was achieved in A375 and A2058 cells by the transfection with si-MYC; the transfection efficiency was confirmed by western blotting. (C) A375 and A2058 cells were co-transfected with the miR-27b inhibitor and si-MYC, and the DNA synthesis ability was determined by BrdU assay; si-MYC inhibited the DNA synthesis ability compared with that in the si-NC + inhibitor-NC group, which was reversed by the miR-27b inhibitor at 48 h in both cell lines. (D and E) Cell viability was determined by MTT assay at 24, 48 and 72 h. si-MYC inhibited the cell viability compared with that in the si-NC + inhibitor-NC group, which was reversed by miR-27b inhibitor transfection. (F and G) Cell invasive ability was determined by Transwell assay. si-MYC inhibited the cell invasive ability compared with that in the si-NC + inhibitor-NC group, which was reversed by the miR-27b inhibitor. *P<0.05 and **P<0.01 vs. si-NC + inhibitor-NC; ##P<0.01 vs. si-NC + miR-27b inhibitor. miR, microRNA; si, small interfering RNA; BrdU, 5-bromo-2-deoxyuridine.

Discussion

The results of the present study demonstrated that the expression levels of miR-27b were markedly decreased in melanoma tissue samples and cells compared with those in adjacent normal tissues and normal cells, respectively. By contrast, MYC expression levels were upregulated in melanoma tissues and cells compared with those in the corresponding control groups. miR-27b overexpression significantly inhibited melanoma cell DNA synthesis ability, viability and invasive ability compared with those in cells transfected with the mimic-NC. Through binding to MYC 3′-UTR, miR-27b inhibited MYC expression. MYC knockdown in melanoma cells exerted similar effects as miR-27b overexpression on the DNA synthesis ability, cell viability and invasive ability; the effects of miR-27b inhibition were significantly reversed by MYC knockdown.

miRNAs regulate a number of biological and pathological processes, such as the biological malignant behaviors of cancer cells (23). For example, miR-21 inhibits malignant biological behaviors of melanoma (31). The abnormal regulation and dysfunction of miRNAs have been reported in patients with melanoma as well as in melanoma cells (32). In addition, miR-137, miR-148 and miR-182 have been demonstrated to regulate the levels of microphthalmia-associated transcription factor in melanoma (33). miR-26a induces apoptosis in melanoma cells by modulating SMAD1 and silencer of death domains (34). miRNAs have also been implicated in the development of melanoma drug resistance and organ-specific metastasis (35). For example, a miR-150-5p, miR-15b-5p, miR-16-5p and miR-374b-3p prognostic signature distinguishes brain metastatic melanomas and non-brain metastatic primary melanomas (36). miR-200c inhibits melanoma progression and drug resistance through downregulation of BMI-1 (37). According to the online expression profiles GSE77090, a total of 58 miRNAs are downregulated in melanoma (data not shown); among them, miR-27b may target MYC, which is a proto-oncogene (17). As previously reported, miR-27b suppresses the capacity of a number of cancer cell types to proliferate, invade and migrate. For example, miR-27b inhibits the capacity of aggressive prostate cancer cells to migrate and invade, but does not affect their proliferative ability (38). By targeting peroxisome proliferator-activated receptor γ, miR-27b suppresses neuroblastoma cell proliferation, tumor development and inflammatory response (39). In colorectal cancer, miR-27b binds to vascular endothelial growth factor C to suppress tumor development and the formation of new blood vessels (40). In the present study, consistent with its abnormal downregulation in melanoma, miR-27b inhibition significantly promoted melanoma cell DNA synthesis ability, viability and invasive ability; by contrast, miR-27b overexpression markedly suppressed these biological malignant behaviors of melanoma cells, suggesting that miR-27b may exert a tumor-suppressive effect on melanoma.

Regarding the mechanisms by which miRNAs exert their biological functions, miRNAs are considered to target various downstream mRNAs, leading to translation inhibition, mRNA deadenylation or decay (21). Based on the TargetScan analysis performed in the preliminary experiments of the present study, it was determined that miR-27b may target the 3′-UTR of MYC, which was confirmed by experimental analyses. The c-Myc proto-oncogene is located on chromosome 8, and a variety of anomalies related to its activated expression occur during the development of numerous types of malignant tumors (41). c-Myc is considered to modulate the expression of ≤15% of all human genes (16). A number of genes modulated by c-Myc are involved in cell proliferation, migration, invasion and apoptosis, thus promoting the occurrence and development of tumors (42–45). A previous study supports the suggestion that oncogenic c-Myc affects the presence of determinants of immunological importance on melanoma cells (46). c-Myc overexpression promotes melanoma metastasis by promoting vasculogenic mimicry (18). By contrast, MYC depletion results in the repression of the expression of a number of genes encoding enzymes that are rate-limiting for dNTP metabolism, including phosphoribosyl pyrophosphate synthetase 2 and inosine monophosphate dehydrogenase 2, resulting in the inhibition of melanoma proliferation (47). In the present study, MYC mRNA expression levels were demonstrated to be upregulated in melanoma tissue samples compared with those in paired adjacent noncancerous tissues. MYC knockdown in melanoma cells significantly inhibited the DNA synthesis ability, viability and invasive ability compared with those in the cells transfected with si-NC. In addition, miR-27b served as a tumor suppressor in melanoma cells, as miR-27b overexpression inhibited melanoma cell proliferation and invasive capability compared with those in the NC group. By contrast, miR-27b inhibition promoted cell proliferation and invasion compared with those in the inhibitor-NC-transfected cells. Additionally, MYC expression levels were reduced by miR-27b overexpression and increased by miR-27b inhibition compared with those in the corresponding NC groups. MYC knockdown significantly reversed the effects of miR-27b inhibition, indicating that miR-27b may serve as a tumor suppressor in melanoma by targeting MYC. Due to the crucial role of c-Myc in melanoma progression, targeting c-Myc is considered a potential therapeutic strategy for melanoma. In a previous study, nanodelivery of the c-Myc inhibitor 10058-F4 effectively inhibited human and mouse melanoma cell proliferation (10). Nanoparticle-delivered si-c-Myc sensitizes melanoma cells to paclitaxel and inhibits tumor growth (48).

In conclusion, the results of the present study demonstrated that the miR-27b/MYC axis modulated melanoma cell biological malignant behaviors, suggesting that it may be a potential target for melanoma treatment.

Acknowledgements

Not applicable.

Funding

This study was supported by the National Natural Science Foundation of China (grant no. 81774325) and the project of the Hunan Province Health Committee (grant no. 20201683).

Availability of data and materials

All data generated or analyzed during this study are included in this published article.

Authors' contributions

YT and JZ performed the experiments and wrote the manuscript. ZY supervised the research. JZ revised the manuscript. ZY designed the study. YT, ZY and JZ confirm the authenticity of all the raw data. All authors read and approve the final manuscript.

Ethics approval and consent to participate

The study was approved by the Ethics Committee of the Second Affiliated Hospital of Hunan University of Chinese Medicine (approval No. 2019-KY-031; Changsha, China). All patients provided written informed consent.

Patient consent for publication

Not applicable.

Competing interests

The authors declare that they have no competing interests.

References

1 

Dimitriou F, Krattinger R, Ramelyte E, Barysch MJ, Micaletto S, Dummer R and Goldinger SM: The world of melanoma: Epidemiologic, genetic, and anatomic differences of melanoma across the globe. Curr Oncol Rep. 20:872018. View Article : Google Scholar : PubMed/NCBI

2 

Carr S, Smith C and Wernberg J: Epidemiology and risk factors of melanoma. Surg Clin North Am. 100:1–12. 2020. View Article : Google Scholar : PubMed/NCBI

3 

Schadendorf D, van Akkooi ACJ, Berking C, Griewank KG, Gutzmer R, Hauschild A, Stang A, Roesch A and Ugurel S: Melanoma. Lancet. 392:971–984. 2018. View Article : Google Scholar : PubMed/NCBI

4 

Lopez-Soto A, Gonzalez S, Smyth MJ and Galluzzi L: Control of metastasis by NK cells. Cancer Cell. 32:135–154. 2017. View Article : Google Scholar : PubMed/NCBI

5 

Bhandaru M and Rotte A: Monoclonal antibodies for the treatment of melanoma: Present and future strategies. Methods Mol Biol. 1904:83–108. 2019. View Article : Google Scholar : PubMed/NCBI

6 

McDermott D, Haanen J, Chen TT, Lorigan P and O'Day S; MDX010-20 investigators, : Efficacy and safety of ipilimumab in metastatic melanoma patients surviving more than 2 years following treatment in a phase III trial (MDX010-20). Ann Oncol. 24:2694–2698. 2013. View Article : Google Scholar : PubMed/NCBI

7 

Weiss SA, Wolchok JD and Sznol M: Immunotherapy of melanoma: Facts and hopes. Clin Cancer Res. 25:5191–5201. 2019. View Article : Google Scholar : PubMed/NCBI

8 

Paluncic J, Kovacevic Z, Jansson PJ, Kalinowski D, Merlot AM, Huang MLH, Lok HC, Sahni S, Lane DJR and Richardson DR: Roads to melanoma: Key pathways and emerging players in melanoma progression and oncogenic signaling. Biochim Biophys Acta. 1863:770–784. 2016. View Article : Google Scholar : PubMed/NCBI

9 

Ankeny JS, Labadie B, Luke J, Hsueh E, Messina J and Zager JS: Review of diagnostic, prognostic, and predictive biomarkers in melanoma. Clin Exp Metastasis. 35:487–493. 2018. View Article : Google Scholar : PubMed/NCBI

10 

Karagiannis P, Fittall M and Karagiannis SN: Evaluating biomarkers in melanoma. Front Oncol. 4:3832015.PubMed/NCBI

11 

Sun J, Zhang D, Bae DH, Sahni S, Jansson P, Zheng Y, Zhao Q, Yue F, Zheng M, Kovacevic Z and Richardson DR: Metastasis suppressor, NDRG1, mediates its activity through signaling pathways and molecular motors. Carcinogenesis. 34:1943–1954. 2013. View Article : Google Scholar : PubMed/NCBI

12 

Smalley MJ and Dale TC: Wnt signalling in mammalian development and cancer. Cancer Metastasis Rev. 18:215–230. 1999. View Article : Google Scholar : PubMed/NCBI

13 

Zheng L and Pan J: The anti-malarial drug artesunate blocks wnt/beta-catenin pathway and inhibits growth, migration and invasion of uveal melanoma cells. Curr Cancer Drug Targets. 18:988–998. 2018. View Article : Google Scholar : PubMed/NCBI

14 

Sinnberg T, Levesque MP, Krochmann J, Cheng PF, Ikenberg K, Meraz-Torres F, Niessner H, Garbe C and Busch C: Wnt-signaling enhances neural crest migration of melanoma cells and induces an invasive phenotype. Mol Cancer. 17:592018. View Article : Google Scholar : PubMed/NCBI

15 

Clevers H: Wnt/beta-catenin signaling in development and disease. Cell. 127:469–480. 2006. View Article : Google Scholar : PubMed/NCBI

16 

Gearhart J, Pashos EE and Prasad MK: Pluripotency redux-advances in stem-cell research. N Engl J Med. 357:1469–1472. 2007. View Article : Google Scholar : PubMed/NCBI

17 

Meškytė EM, Keskas S and Ciribilli Y: MYC as a multifaceted regulator of tumor microenvironment leading to metastasis. Int J Mol Sci. 21:77102020. View Article : Google Scholar

18 

Lin X, Sun R, Zhao X, Zhu D, Zhao X, Gu Q, Dong X, Zhang D, Zhang Y, Li Y and Sun B: C-myc overexpression drives melanoma metastasis by promoting vasculogenic mimicry via c-myc/snail/Bax signaling. J Mol Med (Berl). 95:53–67. 2017. View Article : Google Scholar : PubMed/NCBI

19 

Calin GA and Croce CM: MicroRNA signatures in human cancers. Nat Rev Cancer. 6:857–866. 2006. View Article : Google Scholar : PubMed/NCBI

20 

Nishikawa S, Ishii H, Haraguchi N, Kano Y, Fukusumi T, Ohta K, Ozaki M, Dewi DL, Sakai D, Satoh T, et al: microRNA-based cancer cell reprogramming technology. Exp Ther Med. 4:8–14. 2012. View Article : Google Scholar : PubMed/NCBI

21 

Ha M and Kim VN: Regulation of microRNA biogenesis. Nat Rev Mol Cell Biol. 15:509–524. 2014. View Article : Google Scholar : PubMed/NCBI

22 

Noori J, Sharifi M and Haghjooy Javanmard S: miR-30a inhibits melanoma tumor metastasis by targeting the E-cadherin and zinc finger E-box binding homeobox 2. Adv Biomed Res. 7:1432018. View Article : Google Scholar : PubMed/NCBI

23 

Pencheva N, Tran H, Buss C, Huh D, Drobnjak M, Busam K and Tavazoie SF: Convergent multi-miRNA targeting of ApoE drives LRP1/LRP8-dependent melanoma metastasis and angiogenesis. Cell. 151:1068–1082. 2012. View Article : Google Scholar : PubMed/NCBI

24 

Gajos-Michniewicz A and Czyz M: Role of miRNAs in melanoma metastasis. Cancers (Basel). 11:3262019. View Article : Google Scholar

25 

Sole C, Tramonti D, Schramm M, Goicoechea I, Armesto M, Hernandez LI, Manterola L, Fernandez-Mercado M, Mujika K, Tuneu A, et al: The circulating transcriptome as a source of biomarkers for melanoma. Cancers (Basel). 11:702019. View Article : Google Scholar

26 

Wang X, Zou M, Li J, Wang B, Zhang Q, Liu F and Lü G: LncRNA H19 targets miR-22 to modulate H2O2-induced deregulation in nucleus pulposus cell senescence, proliferation, and ECM synthesis through Wnt signaling. J Cell Biochem. 119:4990–5002. 2018. View Article : Google Scholar : PubMed/NCBI

27 

Agarwal V, Bell GW, Nam JW and Bartel DP: Predicting effective microRNA target sites in mammalian mRNAs. ELife. 4:e050052015. View Article : Google Scholar

28 

Ritchie ME, Phipson B, Wu D, Hu Y, Law CW, Shi W and Smyth GK: limma powers differential expression analyses for RNA-sequencing and microarray studies. Nucleic Acids Res. 43:e472015. View Article : Google Scholar : PubMed/NCBI

29 

Team RC: R: A language and environment for statistical computing. R Foundation for Statistical Computing; Vienna: 2013

30 

Livak KJ and Schmittgen TD: Analysis of relative gene expression data using real-time quantitative PCR and the 2(-Delta Delta C(T)) method. Methods. 25:402–408. 2001. View Article : Google Scholar : PubMed/NCBI

31 

Javanmard SH, Vaseghi G, Ghasemi A, Rafiee L, Ferns GA, Esfahani HN and Nedaeinia R: Therapeutic inhibition of microRNA-21 (miR-21) using locked-nucleic acid (LNA)-anti-miR and its effects on the biological behaviors of melanoma cancer cells in preclinical studies. Cancer Cell Int. 20:3842020. View Article : Google Scholar : PubMed/NCBI

32 

Lorusso C, De Summa S, Pinto R, Danza K and Tommasi S: miRNAs as key players in the management of cutaneous melanoma. Cells. 9:4152020. View Article : Google Scholar

33 

Kunz M: MicroRNAs in melanoma biology. Adv Exp Med Biol. 774:103–120. 2013. View Article : Google Scholar : PubMed/NCBI

34 

Qian H, Yang C and Yang Y: MicroRNA-26a inhibits the growth and invasiveness of malignant melanoma and directly targets on MITF gene. Cell Death Discov. 3:170282017. View Article : Google Scholar : PubMed/NCBI

35 

Ryu B, Hwang S and Alani RM: MicroRNAs as an emerging target for melanoma therapy. J Invest Dermatol. 133:1137–1139. 2013. View Article : Google Scholar : PubMed/NCBI

36 

Hanniford D, Zhong J, Koetz L, Gaziel-Sovran A, Lackaye DJ, Shang S, Pavlick A, Shapiro R, Berman R, Darvishian F, et al: A miRNA-based signature detected in primary melanoma tissue predicts development of brain metastasis. Clin Cancer Res. 21:4903–4912. 2015. View Article : Google Scholar : PubMed/NCBI

37 

Liu S, Tetzlaff MT, Cui R and Xu X: miR-200c inhibits melanoma progression and drug resistance through down-regulation of BMI-1. Am J Pathol. 181:1823–1835. 2012. View Article : Google Scholar : PubMed/NCBI

38 

Ishteiwy RA, Ward TM, Dykxhoorn DM and Burnstein KL: The microRNA-23b/-27b cluster suppresses the metastatic phenotype of castration-resistant prostate cancer cells. PLoS One. 7:e521062012. View Article : Google Scholar : PubMed/NCBI

39 

Lee JJ, Drakaki A, Iliopoulos D and Struhl K: MiR-27b targets PPARg to inhibit growth, tumor progression and the inflammatory response in neuroblastoma cells. Oncogene. 31:3818–3825. 2012. View Article : Google Scholar : PubMed/NCBI

40 

Ye J, Wu X, Wu D, Wu P, Ni C, Zhang Z, Chen Z, Qiu F, Xu J and Huang J: miRNA-27b targets vascular endothelial growth factor C to inhibit tumor progression and angiogenesis in colorectal cancer. PLoS One. 8:e606872013. View Article : Google Scholar : PubMed/NCBI

41 

Stine ZE, Walton ZE, Altman BJ, Hsieh AL and Dang CV: MYC, metabolism, and cancer. Cancer Discov. 5:1024–1039. 2015. View Article : Google Scholar : PubMed/NCBI

42 

Campbell KJ and White RJ: MYC regulation of cell growth through control of transcription by RNA polymerases I and III. Cold Spring Harb Perspect Med. 4:a0184082014. View Article : Google Scholar : PubMed/NCBI

43 

Zhang Q, Spears E, Boone DN, Li Z, Gregory MA and Hann SR: Domain-specific c-Myc ubiquitylation controls c-Myc transcriptional and apoptotic activity. Proc Natl Acad Sci USA. 110:978–983. 2013. View Article : Google Scholar : PubMed/NCBI

44 

Kong LM, Liao CG, Zhang Y, Xu J, Li Y, Huang W, Zhang Y, Bian H and Chen ZN: A regulatory loop involving miR-22, Sp1, and c-Myc modulates CD147 expression in breast cancer invasion and metastasis. Cancer Res. 74:3764–3778. 2014. View Article : Google Scholar : PubMed/NCBI

45 

Zhang L, Hou Y, Ashktorab H, Gao L, Xu Y, Wu K, Zhai J and Zhang L: The impact of C-MYC gene expression on gastric cancer cell. Mol Cell Biochem. 344:125–135. 2010. View Article : Google Scholar : PubMed/NCBI

46 

Poźniak J, Nsengimana J, Laye JP, O'Shea SJ, Diaz JMS, Droop AP, Filia A, Harland M, Davies JR, Mell T, et al: Genetic and environmental determinants of immune response to cutaneous melanoma. Cancer Res. 79:2684–2696. 2019. View Article : Google Scholar : PubMed/NCBI

47 

Mannava S, Grachtchouk V, Wheeler LJ, Im M, Zhuang D, Slavina EG, Mathews CK, Shewach DS and Nikiforov MA: Direct role of nucleotide metabolism in C-MYC-dependent proliferation of melanoma cells. Cell Cycle. 7:2392–2400. 2008. View Article : Google Scholar : PubMed/NCBI

48 

Chen Y, Bathula SR, Yang Q and Huang L: Targeted nanoparticles deliver siRNA to melanoma. J Invest Dermatol. 130:2790–2798. 2010. View Article : Google Scholar : PubMed/NCBI

Related Articles

  • Abstract
  • View
  • Download
  • Twitter
Copy and paste a formatted citation
Spandidos Publications style
Tian Y, Zeng J and Yang Z: MicroRNA‑27b inhibits the development of melanoma by targeting MYC. Oncol Lett 21: 370, 2021.
APA
Tian, Y., Zeng, J., & Yang, Z. (2021). MicroRNA‑27b inhibits the development of melanoma by targeting MYC. Oncology Letters, 21, 370. https://doi.org/10.3892/ol.2021.12631
MLA
Tian, Y., Zeng, J., Yang, Z."MicroRNA‑27b inhibits the development of melanoma by targeting MYC". Oncology Letters 21.5 (2021): 370.
Chicago
Tian, Y., Zeng, J., Yang, Z."MicroRNA‑27b inhibits the development of melanoma by targeting MYC". Oncology Letters 21, no. 5 (2021): 370. https://doi.org/10.3892/ol.2021.12631
Copy and paste a formatted citation
x
Spandidos Publications style
Tian Y, Zeng J and Yang Z: MicroRNA‑27b inhibits the development of melanoma by targeting MYC. Oncol Lett 21: 370, 2021.
APA
Tian, Y., Zeng, J., & Yang, Z. (2021). MicroRNA‑27b inhibits the development of melanoma by targeting MYC. Oncology Letters, 21, 370. https://doi.org/10.3892/ol.2021.12631
MLA
Tian, Y., Zeng, J., Yang, Z."MicroRNA‑27b inhibits the development of melanoma by targeting MYC". Oncology Letters 21.5 (2021): 370.
Chicago
Tian, Y., Zeng, J., Yang, Z."MicroRNA‑27b inhibits the development of melanoma by targeting MYC". Oncology Letters 21, no. 5 (2021): 370. https://doi.org/10.3892/ol.2021.12631
Follow us
  • Twitter
  • LinkedIn
  • Facebook
About
  • Spandidos Publications
  • Careers
  • Cookie Policy
  • Privacy Policy
How can we help?
  • Help
  • Live Chat
  • Contact
  • Email to our Support Team