Spandidos Publications Logo
  • About
    • About Spandidos
    • Aims and Scopes
    • Abstracting and Indexing
    • Editorial Policies
    • Reprints and Permissions
    • Job Opportunities
    • Terms and Conditions
    • Contact
  • Journals
    • All Journals
    • Oncology Letters
      • Oncology Letters
      • Information for Authors
      • Editorial Policies
      • Editorial Board
      • Aims and Scope
      • Abstracting and Indexing
      • Bibliographic Information
      • Archive
    • International Journal of Oncology
      • International Journal of Oncology
      • Information for Authors
      • Editorial Policies
      • Editorial Board
      • Aims and Scope
      • Abstracting and Indexing
      • Bibliographic Information
      • Archive
    • Molecular and Clinical Oncology
      • Molecular and Clinical Oncology
      • Information for Authors
      • Editorial Policies
      • Editorial Board
      • Aims and Scope
      • Abstracting and Indexing
      • Bibliographic Information
      • Archive
    • Experimental and Therapeutic Medicine
      • Experimental and Therapeutic Medicine
      • Information for Authors
      • Editorial Policies
      • Editorial Board
      • Aims and Scope
      • Abstracting and Indexing
      • Bibliographic Information
      • Archive
    • International Journal of Molecular Medicine
      • International Journal of Molecular Medicine
      • Information for Authors
      • Editorial Policies
      • Editorial Board
      • Aims and Scope
      • Abstracting and Indexing
      • Bibliographic Information
      • Archive
    • Biomedical Reports
      • Biomedical Reports
      • Information for Authors
      • Editorial Policies
      • Editorial Board
      • Aims and Scope
      • Abstracting and Indexing
      • Bibliographic Information
      • Archive
    • Oncology Reports
      • Oncology Reports
      • Information for Authors
      • Editorial Policies
      • Editorial Board
      • Aims and Scope
      • Abstracting and Indexing
      • Bibliographic Information
      • Archive
    • Molecular Medicine Reports
      • Molecular Medicine Reports
      • Information for Authors
      • Editorial Policies
      • Editorial Board
      • Aims and Scope
      • Abstracting and Indexing
      • Bibliographic Information
      • Archive
    • World Academy of Sciences Journal
      • World Academy of Sciences Journal
      • Information for Authors
      • Editorial Policies
      • Editorial Board
      • Aims and Scope
      • Abstracting and Indexing
      • Bibliographic Information
      • Archive
    • International Journal of Functional Nutrition
      • International Journal of Functional Nutrition
      • Information for Authors
      • Editorial Policies
      • Editorial Board
      • Aims and Scope
      • Abstracting and Indexing
      • Bibliographic Information
      • Archive
    • International Journal of Epigenetics
      • International Journal of Epigenetics
      • Information for Authors
      • Editorial Policies
      • Editorial Board
      • Aims and Scope
      • Abstracting and Indexing
      • Bibliographic Information
      • Archive
    • Medicine International
      • Medicine International
      • Information for Authors
      • Editorial Policies
      • Editorial Board
      • Aims and Scope
      • Abstracting and Indexing
      • Bibliographic Information
      • Archive
  • Articles
  • Information
    • Information for Authors
    • Information for Reviewers
    • Information for Librarians
    • Information for Advertisers
    • Conferences
  • Language Editing
Spandidos Publications Logo
  • About
    • About Spandidos
    • Aims and Scopes
    • Abstracting and Indexing
    • Editorial Policies
    • Reprints and Permissions
    • Job Opportunities
    • Terms and Conditions
    • Contact
  • Journals
    • All Journals
    • Biomedical Reports
      • Information for Authors
      • Editorial Policies
      • Editorial Board
      • Aims and Scope
      • Abstracting and Indexing
      • Bibliographic Information
      • Archive
    • Experimental and Therapeutic Medicine
      • Information for Authors
      • Editorial Policies
      • Editorial Board
      • Aims and Scope
      • Abstracting and Indexing
      • Bibliographic Information
      • Archive
    • International Journal of Epigenetics
      • Information for Authors
      • Editorial Policies
      • Editorial Board
      • Aims and Scope
      • Abstracting and Indexing
      • Bibliographic Information
      • Archive
    • International Journal of Functional Nutrition
      • Information for Authors
      • Editorial Policies
      • Editorial Board
      • Aims and Scope
      • Abstracting and Indexing
      • Bibliographic Information
      • Archive
    • International Journal of Molecular Medicine
      • Information for Authors
      • Editorial Policies
      • Editorial Board
      • Aims and Scope
      • Abstracting and Indexing
      • Bibliographic Information
      • Archive
    • International Journal of Oncology
      • Information for Authors
      • Editorial Policies
      • Editorial Board
      • Aims and Scope
      • Abstracting and Indexing
      • Bibliographic Information
      • Archive
    • Medicine International
      • Information for Authors
      • Editorial Policies
      • Editorial Board
      • Aims and Scope
      • Abstracting and Indexing
      • Bibliographic Information
      • Archive
    • Molecular and Clinical Oncology
      • Information for Authors
      • Editorial Policies
      • Editorial Board
      • Aims and Scope
      • Abstracting and Indexing
      • Bibliographic Information
      • Archive
    • Molecular Medicine Reports
      • Information for Authors
      • Editorial Policies
      • Editorial Board
      • Aims and Scope
      • Abstracting and Indexing
      • Bibliographic Information
      • Archive
    • Oncology Letters
      • Information for Authors
      • Editorial Policies
      • Editorial Board
      • Aims and Scope
      • Abstracting and Indexing
      • Bibliographic Information
      • Archive
    • Oncology Reports
      • Information for Authors
      • Editorial Policies
      • Editorial Board
      • Aims and Scope
      • Abstracting and Indexing
      • Bibliographic Information
      • Archive
    • World Academy of Sciences Journal
      • Information for Authors
      • Editorial Policies
      • Editorial Board
      • Aims and Scope
      • Abstracting and Indexing
      • Bibliographic Information
      • Archive
  • Articles
  • Information
    • For Authors
    • For Reviewers
    • For Librarians
    • For Advertisers
    • Conferences
  • Language Editing
Login Register Submit
  • This site uses cookies
  • You can change your cookie settings at any time by following the instructions in our Cookie Policy. To find out more, you may read our Privacy Policy.

    I agree
Search articles by DOI, keyword, author or affiliation
Search
Advanced Search
presentation
Oncology Letters
Join Editorial Board Propose a Special Issue
Print ISSN: 1792-1074 Online ISSN: 1792-1082
Journal Cover
September-2022 Volume 24 Issue 3

Full Size Image

Sign up for eToc alerts
Recommend to Library

Journals

International Journal of Molecular Medicine

International Journal of Molecular Medicine

International Journal of Molecular Medicine is an international journal devoted to molecular mechanisms of human disease.

International Journal of Oncology

International Journal of Oncology

International Journal of Oncology is an international journal devoted to oncology research and cancer treatment.

Molecular Medicine Reports

Molecular Medicine Reports

Covers molecular medicine topics such as pharmacology, pathology, genetics, neuroscience, infectious diseases, molecular cardiology, and molecular surgery.

Oncology Reports

Oncology Reports

Oncology Reports is an international journal devoted to fundamental and applied research in Oncology.

Experimental and Therapeutic Medicine

Experimental and Therapeutic Medicine

Experimental and Therapeutic Medicine is an international journal devoted to laboratory and clinical medicine.

Oncology Letters

Oncology Letters

Oncology Letters is an international journal devoted to Experimental and Clinical Oncology.

Biomedical Reports

Biomedical Reports

Explores a wide range of biological and medical fields, including pharmacology, genetics, microbiology, neuroscience, and molecular cardiology.

Molecular and Clinical Oncology

Molecular and Clinical Oncology

International journal addressing all aspects of oncology research, from tumorigenesis and oncogenes to chemotherapy and metastasis.

World Academy of Sciences Journal

World Academy of Sciences Journal

Multidisciplinary open-access journal spanning biochemistry, genetics, neuroscience, environmental health, and synthetic biology.

International Journal of Functional Nutrition

International Journal of Functional Nutrition

Open-access journal combining biochemistry, pharmacology, immunology, and genetics to advance health through functional nutrition.

International Journal of Epigenetics

International Journal of Epigenetics

Publishes open-access research on using epigenetics to advance understanding and treatment of human disease.

Medicine International

Medicine International

An International Open Access Journal Devoted to General Medicine.

Journal Cover
September-2022 Volume 24 Issue 3

Full Size Image

Sign up for eToc alerts
Recommend to Library

  • Article
  • Citations
    • Cite This Article
    • Download Citation
    • Create Citation Alert
    • Remove Citation Alert
    • Cited By
  • Similar Articles
    • Related Articles (in Spandidos Publications)
    • Similar Articles (Google Scholar)
    • Similar Articles (PubMed)
  • Download PDF
  • Download XML
  • View XML

  • Supplementary Files
    • Supplementary_Data.pdf
Article Open Access

Simultaneous pathological findings in biopsy specimens of patients with surgically resected lung carcinoids and their role in survival

  • Authors:
    • Vasiliki Epameinondas Georgakopoulou
    • Eleftherios Zygouris
    • Petros Papalexis
    • Aikaterini Gkoufa
    • Christos Damaskos
    • Aikaterini Pierrakou
    • Konstantinos Mantzouranis
    • Serafeim Chlapoutakis
    • Aikaterini Aravantinou-Fatorou
    • Pagona Sklapani
    • Nikolaos Trakas
    • Jim Janinis
    • Jubrail Dahabreh
    • Demetrios A. Spandidos
  • View Affiliations / Copyright

    Affiliations: Department of Pulmonology, Laiko General Hospital, 11527 Athens, Greece, Department Oncology, Athens Medical Group, 15125 Athens, Greece, First Department of Propedeutic Internal Medicine, Laiko General Hospital, Medical School, National and Kapodistrian University of Athens, 11527 Athens, Greece, First Department of Internal Medicine, Laiko General Hospital, 11527 Athens, Greece, Renal Transplantation Unit, Laiko General Hospital, 11527 Athens, Greece, Department of Pathology, Sismanogleio Hospital, 15126 Athens, Greece, First Department of Pulmonology, Sismanogleio Hospital, 15126 Athens, Greece, Department of Thoracic Surgery, Agios Savvas Hospital, 11522 Athens, Greece, First Department of Internal Medicine, Laiko General Hospital, 11527 Athens, Greece, Department of Cytology, Mitera Hospital, 15123 Athens, Greece, Department of Biochemistry, Sismanogleio Hospital, 15126 Athens, Greece, Laboratory of Clinical Virology, School of Medicine, University of Crete, 71003 Heraklion, Greece
    Copyright: © Georgakopoulou et al. This is an open access article distributed under the terms of Creative Commons Attribution License.
  • Article Number: 313
    |
    Published online on: July 15, 2022
       https://doi.org/10.3892/ol.2022.13433
  • Expand metrics +
Metrics: Total Views: 0 (Spandidos Publications: | PMC Statistics: )
Metrics: Total PDF Downloads: 0 (Spandidos Publications: | PMC Statistics: )
Cited By (CrossRef): 0 citations Loading Articles...

This article is mentioned in:



Abstract

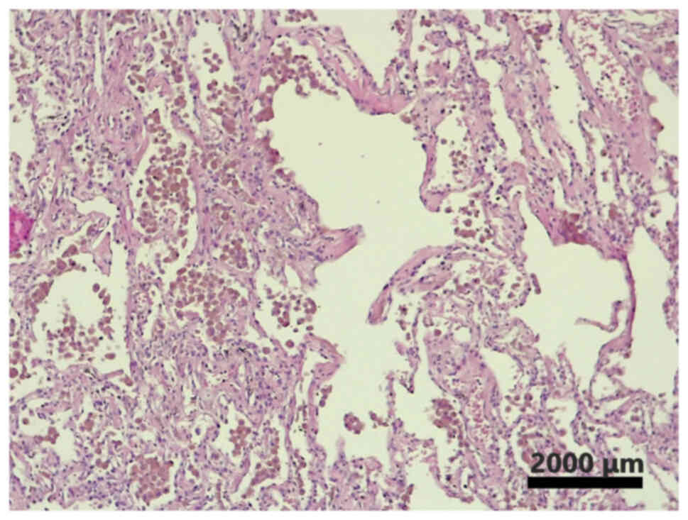
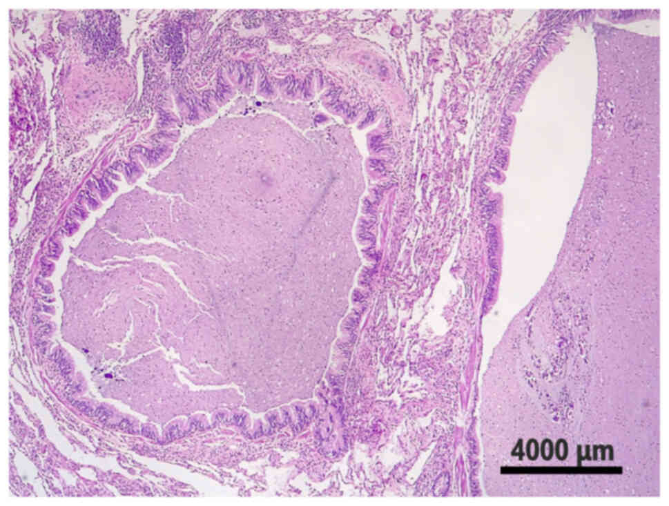
Pulmonary carcinoid tumors are rare, low‑grade malignant tumors that constitute 1‑2% of all lung tumors. The present study aimed to describe the simultaneous pathological findings in biopsy specimens of patients with surgically resected lung carcinoids and determine their association with survival rates. For this purpose, 108 patients with resected carcinoid lung tumors were followed‑up for 96 months and analyzed for simultaneous pathological findings in biopsy specimens. Among these, simultaneous pathological findings were found in 82 patients. The association between these findings and patient survival rates was evaluated. Atelectasis was a simultaneous finding in 52.4% of the patients, desquamative interstitial pneumonia (DIP) in 13.4%, emphysema in 24.4% and bronchiectasis in 9.8%. The survival rate was 100% for the patients with atelectasis, 81.8% for the patients with DIP, 90% for the patients with emphysema and 75% for the patients with bronchiectasis (P<0.05). According to the univariate analysis, the type of carcinoid was associated with patient survival with better survival rates for patients with typical carcinoids, while age, sex, stage and simultaneous pathological findings were not associated with patient survival. On the whole, there was a statistically significant difference in the survival rates of patients with resected lung carcinoids with different simultaneous pathological findings. However, further studies are warranted to assess the role of these findings in the survival of these patients.
View Figures

Figure 1

Figure 2

Figure 3

Figure 4

Figure 5

View References

1 

Yang Z, Wang Z, Duan Y and Xu S: Clinicopathological characteristics and prognosis of resected cases of carcinoid tumors of the lung. Thorac Cancer. 7:633–638. 2016. View Article : Google Scholar : PubMed/NCBI

2 

Kosmidis PA: Treatment of carcinoid of the lung. Curr Opin Oncol. 16:146–149. 2004. View Article : Google Scholar

3 

Fink G, Krelbaum T, Yellin A, Bendayan D, Saute M, Glazer M and Kramer MR: Pulmonary carcinoid: Presentation, diagnosis, and outcome in 142 cases in Israel and review of 640 cases from the literature. Chest. 119:1647–1651. 2001. View Article : Google Scholar

4 

Fraser RS, Muller NL, Colman N and Pare PD: Fraser and Pare's diagnosis of diseases of the chest. Neuroendocrine neoplasms. 4th edition. Philadelphia: WB Saunders Co; pp. 1229–1250. 1999

5 

Colby TV, Koss M and Travis WD: Atlas of tumor pathology. Tumors of the lower respiratory tract. Armed Forces Institute of Pathology; Washington, DC: 1995

6 

Soga J and Yakuwa Y: Bronchopulmonary carcinoids: An analysis of 1,875 reported cases with special reference to a comparison between typical carcinoids and atypical varieties. Ann Thorac Cardiovasc Surg. 5:211–219. 1999.PubMed/NCBI

7 

Mark EJ, Quay SC and Dickersin GR: Papillary carcinoid tumor of the lung. Cancer. 48:316–324. 1981. View Article : Google Scholar : PubMed/NCBI

8 

Travis WD, Linnoila RI, Tsokos MG, Hitchcock CL, Cutler GB Jr, Nieman L, Chrousos G, Pass H and Doppman J: Neuroendocrine tumors of the lung with proposed criteria for large-cell neuroendocrine carcinoma. An ultrastructural, immunohistochemical, and flow cytometric study of 35 cases. Am J Surg Pathol. 15:529–553. 1991. View Article : Google Scholar

9 

Travis WD, Rush W, Flieder DB, Falk R, Fleming MV, Gal AA and Koss MN: Survival analysis of 200 pulmonary neuroendocrine tumors with clarification of criteria for atypical carcinoid and its separation from typical carcinoid. Am J Surg Pathol. 22:934–944. 1998. View Article : Google Scholar

10 

Miller RR and Müller NL: Neuroendocrine cell hyperplasia and obliterative bronchiolitis in patients with peripheral carcinoid tumors. Am J Surg Pathol. 19:653–658. 1995. View Article : Google Scholar

11 

Wang J, Ren S, Liu Y, Guo K, Chen X, Wang Z and Chen R: Carcinoid tumorlets co-existing with chronic pulmonary inflammatory processes: Imaging findings and histological appearances. Med Sci Monit. 26:e9260142020.

12 

Huang Y, Yang X, Lu T, Li M, Zhao M, Yang X, Ma K, Wang S, Zhan C, Liu Y and Wang Q: Assessment of the prognostic factors in patients with pulmonary carcinoid tumor: A population-based study. Cancer Med. 7:2434–2441. 2018. View Article : Google Scholar : PubMed/NCBI

13 

Georgakopoulou VE, Zygouris E, Nikokiris C, Damaskos C, Pierrakou A, Garmpis N, Garmpi A, Sklapani P, Aravantinou A, Trakas N, et al: Predictive indicators of survival in patients with surgically resected lung carcinoid tumors at a Greek medical center. Cureus. 12:e103002020.PubMed/NCBI

14 

Georgakopoulou VE, Zygouris E, Damaskos C, Pierrakou A, Papalexis P, Garmpis N, Aravantinou-Fatorou A, Chlapoutakis S, Diamantis E, Nikokiris C, et al: Prognostic value of the immunohistochemistry markers CD56, TTF-1, synaptophysin, CEA, EMA and NSE in surgically resected lung carcinoid tumors. Mol Clin Oncol. 16:312022. View Article : Google Scholar

15 

Papaxoinis G, Lamarca A, Quinn AM, Mansoor W and Nonaka D: Clinical and pathologic characteristics of pulmonary carcinoid tumors in central and peripheral locations. Endocr Pathol. 29:259–268. 2018. View Article : Google Scholar

16 

Beasley MB, Thunnissen FB, Brambilla E, Hasleton P, Steele R, Hammar SP, Colby TV, Sheppard M, Shimosato Y, Koss MN, et al: Pulmonary atypical carcinoid: Predictors of survival in 106 cases. Hum Pathol. 31:1255–1265. 2000. View Article : Google Scholar

17 

Halabi S and Owzar K: The importance of identifying and validating prognostic factors in oncology. Semin Oncol. 37:e9–e18. 2010. View Article : Google Scholar

18 

Travis WD, Brambilla E, Nicholson AG, Yatabe Y, Austin JHM, Beasley MB, Chirieac LR, Dacic S, Duhig E, Flieder DB, et al: The 2015 World Health Organization classification of lung tumors: Impact of genetic, clinical and radiologic advances since the 2004 classification. J Thorac Oncol. 10:1243–1260. 2015. View Article : Google Scholar

19 

Feng SH and Yang ST: The new 8th TNM staging system of lung cancer and its potential imaging interpretation pitfalls and limitations with CT image demonstrations. Diagn Interv Radiol. 25:270–279. 2019. View Article : Google Scholar

20 

Woodring JH and Reed JC: Types and mechanisms of pulmonary atelectasis. J Thorac Imaging. 11:92–108. 1996. View Article : Google Scholar : PubMed/NCBI

21 

Müller NL, Fraser RS, Colman NC and Paré PD: Radiologic diagnosis of diseases of the chest. WB Saunders; Philadelphia, PA: 2001

22 

Tepavac A, Secen N, Sazdanic Velikic D, Popovic G and Perin B: Atelectasis: Positive or negative prognostic factor on outcome of patients with non-small cell lung cancer? J BUON. 15:679–683. 2010.PubMed/NCBI

23 

Gu K, Lee HY, Lee K, Choi JY, Woo SY, Sohn I, Kim HK, Choi YS, Kim J, Zo JI and Shim YM: Integrated evaluation of clinical, pathological and radiological prognostic factors in squamous cell carcinoma of the lung. PLoS One. 14:e02232982019. View Article : Google Scholar : PubMed/NCBI

24 

Hasbek Z, Yucel B, Salk I, Turgut B, Erselcan T, Babacan NA and Kacan T: Potential impact of atelectasis and primary tumor glycolysis on F-18 FDG PET/CT on survival in lung cancer patients. Asian Pac J Cancer Prev. 15:4085–4089. 2014. View Article : Google Scholar : PubMed/NCBI

25 

Bulbul Y, Eris B, Orem A, Gulsoy A, Oztuna F, Ozlu T and Ozsu S: Pulmonary atelectasis and survival in advanced non-small cell lung carcinoma. Ups J Med Sci. 115:176–180. 2010. View Article : Google Scholar

26 

Dediu M, Crisan E, Radut M, Tarlea A, Median D, Alexandru A, Vremes G and Gal C: The favorable prognostic significance of atelectasis in patients with advanced non-small cell lung cancer: Results of a prospective observational study. Lung Cancer. 63:271–276. 2009. View Article : Google Scholar : PubMed/NCBI

27 

Pang Z, Ding N, Dong W, Ni Y, Zhang T, Qu X, Du J and Liu Q: Prognostic effects of preoperative obstructive pneumonitis or atelectasis and comparison with tumor size in non-small cell lung cancer. J Thorac Dis. 9:768–778. 2017. View Article : Google Scholar : PubMed/NCBI

28 

Standards for the diagnosis and care of patients with chronic obstructive pulmonary disease, . American thoracic society. Am J Respir Crit Care Med. 152:S77–S121. 1995.PubMed/NCBI

29 

Liu S, Ko S and Chen W: Bronchial carcinoid tumor presenting with complete lobar collapse and unilateral lung emphysema. Clin Imaging. 24:159–161. 2000. View Article : Google Scholar : PubMed/NCBI

30 

Sato S, Nakamura M, Shimizu Y, Goto T, Koike T, Ishikawa H and Tsuchida M: The impact of emphysema on surgical outcomes of early-stage lung cancer: A retrospective study. BMC Pulm Med. 19:732019. View Article : Google Scholar : PubMed/NCBI

31 

Lee SJ, Yoo JW, Ju S, Cho YJ, Kim JD, Kim SH, Jang IS, Jeong BK, Lee GW, Jeong YY, et al: Quantitative severity of pulmonary emphysema as a prognostic factor for recurrence in patients with surgically resected non-small cell lung cancer. Thorac Cancer. 10:421–427. 2019. View Article : Google Scholar : PubMed/NCBI

32 

Gao YH, Guan WJ, Liu Q, Wang HQ, Zhu YN, Chen RC and Zhang GJ: Impact of COPD and emphysema on survival of patients with lung cancer: A meta-analysis of observational studies. Respirology. 21:269–279. 2016. View Article : Google Scholar : PubMed/NCBI

33 

Lee HY, Kim EY, Kim YS, Ahn HK and Kim YK: Prognostic significance of CT-determined emphysema in patients with small cell lung cancer. J Thorac Dis. 10:874–881. 2018. View Article : Google Scholar : PubMed/NCBI

34 

Georgakopoulou VE, Trakas N, Damaskos C, Garmpis N, Karakou E, Chatzikyriakou R, Lambrou P and Tsiafaki X: Neutrophils to lymphocyte ratio as a biomarker in bronchiectasis exacerbation: A retrospective study. Cureus. 12:e97282020.PubMed/NCBI

35 

Meng Z and Linian H: A typical carcinoid tumor of the lung presenting as diffuse cystic bronchiectasis. J Coll Physicians Surg Pak. 30:229–230. 2020. View Article : Google Scholar : PubMed/NCBI

36 

Charokopos N, Tsiamita M, Karkoulias K, Koumoundourou D, Aletra C, Dougenis D and Spiropoulos K: Carcinoid tumour behind bronchiectasis. Monaldi Arch Chest Dis. 65:110–113. 2006.PubMed/NCBI

37 

Janah H, Jabri H, Bopaka RG, Khattabi WE and Afif H: Localised bronchiectasis revealing carcinoid tumor. Pan Afr Med J. 24:2782016.(In French). View Article : Google Scholar : PubMed/NCBI

38 

Ghobadi H, Farzaneh E and Darvishkhah H: Carcinoid tumor with localized bronchiectasis. Tanaffos. 12:56–60. 2013.PubMed/NCBI

39 

Liu B, Pu Q, Liu L and Che G: Facial flushing due to multifocal tumorlets in the lung with bronchiectasis. Ann Thorac Surg. 88:641–642. 2009. View Article : Google Scholar : PubMed/NCBI

40 

Klinke F, Bosse U and Höfler H: The tumorlet carcinoid in bronchiectasis-changed lungs. An example of a multifocal, endocrine tumor. Pneumologie. 44 (Suppl 1):S607–S609. 1990.(In German).

41 

Canessa PA, Santini D, Zanelli M and Capecchi V: Pulmonary tumourlets and microcarcinoids in bronchiectasis. Monaldi Arch Chest Dis. 52:138–139. 1997.PubMed/NCBI

42 

Chakraborty RK, Basit H and Sharma S: Desquamative Interstitial Pneumonia. StatPearls Treasure Island (FL): StatPearls Publishing; August 12–2020

43 

Bischoff P, Trinks A, Wiederspahn J, Obermayer B, Pett JP, Jurmeister P, Elsner A, Dziodzio T, Rückert JC, Neudecker J, et al: The single-cell transcriptional landscape of lung carcinoid tumors. Int J Cancer. 150:2058–2071. 2022. View Article : Google Scholar : PubMed/NCBI

Related Articles

  • Abstract
  • View
  • Download
  • Twitter
Copy and paste a formatted citation
Spandidos Publications style
Georgakopoulou VE, Zygouris E, Papalexis P, Gkoufa A, Damaskos C, Pierrakou A, Mantzouranis K, Chlapoutakis S, Aravantinou-Fatorou A, Sklapani P, Sklapani P, et al: Simultaneous pathological findings in biopsy specimens of patients with surgically resected lung carcinoids and their role in survival. Oncol Lett 24: 313, 2022.
APA
Georgakopoulou, V.E., Zygouris, E., Papalexis, P., Gkoufa, A., Damaskos, C., Pierrakou, A. ... Spandidos, D.A. (2022). Simultaneous pathological findings in biopsy specimens of patients with surgically resected lung carcinoids and their role in survival. Oncology Letters, 24, 313. https://doi.org/10.3892/ol.2022.13433
MLA
Georgakopoulou, V. E., Zygouris, E., Papalexis, P., Gkoufa, A., Damaskos, C., Pierrakou, A., Mantzouranis, K., Chlapoutakis, S., Aravantinou-Fatorou, A., Sklapani, P., Trakas, N., Janinis, J., Dahabreh, J., Spandidos, D. A."Simultaneous pathological findings in biopsy specimens of patients with surgically resected lung carcinoids and their role in survival". Oncology Letters 24.3 (2022): 313.
Chicago
Georgakopoulou, V. E., Zygouris, E., Papalexis, P., Gkoufa, A., Damaskos, C., Pierrakou, A., Mantzouranis, K., Chlapoutakis, S., Aravantinou-Fatorou, A., Sklapani, P., Trakas, N., Janinis, J., Dahabreh, J., Spandidos, D. A."Simultaneous pathological findings in biopsy specimens of patients with surgically resected lung carcinoids and their role in survival". Oncology Letters 24, no. 3 (2022): 313. https://doi.org/10.3892/ol.2022.13433
Copy and paste a formatted citation
x
Spandidos Publications style
Georgakopoulou VE, Zygouris E, Papalexis P, Gkoufa A, Damaskos C, Pierrakou A, Mantzouranis K, Chlapoutakis S, Aravantinou-Fatorou A, Sklapani P, Sklapani P, et al: Simultaneous pathological findings in biopsy specimens of patients with surgically resected lung carcinoids and their role in survival. Oncol Lett 24: 313, 2022.
APA
Georgakopoulou, V.E., Zygouris, E., Papalexis, P., Gkoufa, A., Damaskos, C., Pierrakou, A. ... Spandidos, D.A. (2022). Simultaneous pathological findings in biopsy specimens of patients with surgically resected lung carcinoids and their role in survival. Oncology Letters, 24, 313. https://doi.org/10.3892/ol.2022.13433
MLA
Georgakopoulou, V. E., Zygouris, E., Papalexis, P., Gkoufa, A., Damaskos, C., Pierrakou, A., Mantzouranis, K., Chlapoutakis, S., Aravantinou-Fatorou, A., Sklapani, P., Trakas, N., Janinis, J., Dahabreh, J., Spandidos, D. A."Simultaneous pathological findings in biopsy specimens of patients with surgically resected lung carcinoids and their role in survival". Oncology Letters 24.3 (2022): 313.
Chicago
Georgakopoulou, V. E., Zygouris, E., Papalexis, P., Gkoufa, A., Damaskos, C., Pierrakou, A., Mantzouranis, K., Chlapoutakis, S., Aravantinou-Fatorou, A., Sklapani, P., Trakas, N., Janinis, J., Dahabreh, J., Spandidos, D. A."Simultaneous pathological findings in biopsy specimens of patients with surgically resected lung carcinoids and their role in survival". Oncology Letters 24, no. 3 (2022): 313. https://doi.org/10.3892/ol.2022.13433
Follow us
  • Twitter
  • LinkedIn
  • Facebook
About
  • Spandidos Publications
  • Careers
  • Cookie Policy
  • Privacy Policy
How can we help?
  • Help
  • Live Chat
  • Contact
  • Email to our Support Team