Spandidos Publications Logo
  • About
    • About Spandidos
    • Aims and Scopes
    • Abstracting and Indexing
    • Editorial Policies
    • Reprints and Permissions
    • Job Opportunities
    • Terms and Conditions
    • Contact
  • Journals
    • All Journals
    • Oncology Letters
      • Oncology Letters
      • Information for Authors
      • Editorial Policies
      • Editorial Board
      • Aims and Scope
      • Abstracting and Indexing
      • Bibliographic Information
      • Archive
    • International Journal of Oncology
      • International Journal of Oncology
      • Information for Authors
      • Editorial Policies
      • Editorial Board
      • Aims and Scope
      • Abstracting and Indexing
      • Bibliographic Information
      • Archive
    • Molecular and Clinical Oncology
      • Molecular and Clinical Oncology
      • Information for Authors
      • Editorial Policies
      • Editorial Board
      • Aims and Scope
      • Abstracting and Indexing
      • Bibliographic Information
      • Archive
    • Experimental and Therapeutic Medicine
      • Experimental and Therapeutic Medicine
      • Information for Authors
      • Editorial Policies
      • Editorial Board
      • Aims and Scope
      • Abstracting and Indexing
      • Bibliographic Information
      • Archive
    • International Journal of Molecular Medicine
      • International Journal of Molecular Medicine
      • Information for Authors
      • Editorial Policies
      • Editorial Board
      • Aims and Scope
      • Abstracting and Indexing
      • Bibliographic Information
      • Archive
    • Biomedical Reports
      • Biomedical Reports
      • Information for Authors
      • Editorial Policies
      • Editorial Board
      • Aims and Scope
      • Abstracting and Indexing
      • Bibliographic Information
      • Archive
    • Oncology Reports
      • Oncology Reports
      • Information for Authors
      • Editorial Policies
      • Editorial Board
      • Aims and Scope
      • Abstracting and Indexing
      • Bibliographic Information
      • Archive
    • Molecular Medicine Reports
      • Molecular Medicine Reports
      • Information for Authors
      • Editorial Policies
      • Editorial Board
      • Aims and Scope
      • Abstracting and Indexing
      • Bibliographic Information
      • Archive
    • World Academy of Sciences Journal
      • World Academy of Sciences Journal
      • Information for Authors
      • Editorial Policies
      • Editorial Board
      • Aims and Scope
      • Abstracting and Indexing
      • Bibliographic Information
      • Archive
    • International Journal of Functional Nutrition
      • International Journal of Functional Nutrition
      • Information for Authors
      • Editorial Policies
      • Editorial Board
      • Aims and Scope
      • Abstracting and Indexing
      • Bibliographic Information
      • Archive
    • International Journal of Epigenetics
      • International Journal of Epigenetics
      • Information for Authors
      • Editorial Policies
      • Editorial Board
      • Aims and Scope
      • Abstracting and Indexing
      • Bibliographic Information
      • Archive
    • Medicine International
      • Medicine International
      • Information for Authors
      • Editorial Policies
      • Editorial Board
      • Aims and Scope
      • Abstracting and Indexing
      • Bibliographic Information
      • Archive
  • Articles
  • Information
    • Information for Authors
    • Information for Reviewers
    • Information for Librarians
    • Information for Advertisers
    • Conferences
  • Language Editing
Spandidos Publications Logo
  • About
    • About Spandidos
    • Aims and Scopes
    • Abstracting and Indexing
    • Editorial Policies
    • Reprints and Permissions
    • Job Opportunities
    • Terms and Conditions
    • Contact
  • Journals
    • All Journals
    • Biomedical Reports
      • Information for Authors
      • Editorial Policies
      • Editorial Board
      • Aims and Scope
      • Abstracting and Indexing
      • Bibliographic Information
      • Archive
    • Experimental and Therapeutic Medicine
      • Information for Authors
      • Editorial Policies
      • Editorial Board
      • Aims and Scope
      • Abstracting and Indexing
      • Bibliographic Information
      • Archive
    • International Journal of Epigenetics
      • Information for Authors
      • Editorial Policies
      • Editorial Board
      • Aims and Scope
      • Abstracting and Indexing
      • Bibliographic Information
      • Archive
    • International Journal of Functional Nutrition
      • Information for Authors
      • Editorial Policies
      • Editorial Board
      • Aims and Scope
      • Abstracting and Indexing
      • Bibliographic Information
      • Archive
    • International Journal of Molecular Medicine
      • Information for Authors
      • Editorial Policies
      • Editorial Board
      • Aims and Scope
      • Abstracting and Indexing
      • Bibliographic Information
      • Archive
    • International Journal of Oncology
      • Information for Authors
      • Editorial Policies
      • Editorial Board
      • Aims and Scope
      • Abstracting and Indexing
      • Bibliographic Information
      • Archive
    • Medicine International
      • Information for Authors
      • Editorial Policies
      • Editorial Board
      • Aims and Scope
      • Abstracting and Indexing
      • Bibliographic Information
      • Archive
    • Molecular and Clinical Oncology
      • Information for Authors
      • Editorial Policies
      • Editorial Board
      • Aims and Scope
      • Abstracting and Indexing
      • Bibliographic Information
      • Archive
    • Molecular Medicine Reports
      • Information for Authors
      • Editorial Policies
      • Editorial Board
      • Aims and Scope
      • Abstracting and Indexing
      • Bibliographic Information
      • Archive
    • Oncology Letters
      • Information for Authors
      • Editorial Policies
      • Editorial Board
      • Aims and Scope
      • Abstracting and Indexing
      • Bibliographic Information
      • Archive
    • Oncology Reports
      • Information for Authors
      • Editorial Policies
      • Editorial Board
      • Aims and Scope
      • Abstracting and Indexing
      • Bibliographic Information
      • Archive
    • World Academy of Sciences Journal
      • Information for Authors
      • Editorial Policies
      • Editorial Board
      • Aims and Scope
      • Abstracting and Indexing
      • Bibliographic Information
      • Archive
  • Articles
  • Information
    • For Authors
    • For Reviewers
    • For Librarians
    • For Advertisers
    • Conferences
  • Language Editing
Login Register Submit
  • This site uses cookies
  • You can change your cookie settings at any time by following the instructions in our Cookie Policy. To find out more, you may read our Privacy Policy.

    I agree
Search articles by DOI, keyword, author or affiliation
Search
Advanced Search
presentation
Oncology Letters
Join Editorial Board Propose a Special Issue
Print ISSN: 1792-1074 Online ISSN: 1792-1082
Journal Cover
September-2022 Volume 24 Issue 3

Full Size Image

Sign up for eToc alerts
Recommend to Library

Journals

International Journal of Molecular Medicine

International Journal of Molecular Medicine

International Journal of Molecular Medicine is an international journal devoted to molecular mechanisms of human disease.

International Journal of Oncology

International Journal of Oncology

International Journal of Oncology is an international journal devoted to oncology research and cancer treatment.

Molecular Medicine Reports

Molecular Medicine Reports

Covers molecular medicine topics such as pharmacology, pathology, genetics, neuroscience, infectious diseases, molecular cardiology, and molecular surgery.

Oncology Reports

Oncology Reports

Oncology Reports is an international journal devoted to fundamental and applied research in Oncology.

Experimental and Therapeutic Medicine

Experimental and Therapeutic Medicine

Experimental and Therapeutic Medicine is an international journal devoted to laboratory and clinical medicine.

Oncology Letters

Oncology Letters

Oncology Letters is an international journal devoted to Experimental and Clinical Oncology.

Biomedical Reports

Biomedical Reports

Explores a wide range of biological and medical fields, including pharmacology, genetics, microbiology, neuroscience, and molecular cardiology.

Molecular and Clinical Oncology

Molecular and Clinical Oncology

International journal addressing all aspects of oncology research, from tumorigenesis and oncogenes to chemotherapy and metastasis.

World Academy of Sciences Journal

World Academy of Sciences Journal

Multidisciplinary open-access journal spanning biochemistry, genetics, neuroscience, environmental health, and synthetic biology.

International Journal of Functional Nutrition

International Journal of Functional Nutrition

Open-access journal combining biochemistry, pharmacology, immunology, and genetics to advance health through functional nutrition.

International Journal of Epigenetics

International Journal of Epigenetics

Publishes open-access research on using epigenetics to advance understanding and treatment of human disease.

Medicine International

Medicine International

An International Open Access Journal Devoted to General Medicine.

Journal Cover
September-2022 Volume 24 Issue 3

Full Size Image

Sign up for eToc alerts
Recommend to Library

  • Article
  • Citations
    • Cite This Article
    • Download Citation
    • Create Citation Alert
    • Remove Citation Alert
    • Cited By
  • Similar Articles
    • Related Articles (in Spandidos Publications)
    • Similar Articles (Google Scholar)
    • Similar Articles (PubMed)
  • Download PDF
  • Download XML
  • View XML
Case Report Open Access

Atezolizumab‑associated encephalitis in metastatic breast cancer: A case report

  • Authors:
    • Guixian Chen
    • Changlin Zhang
    • Jiaying Lan
    • Zhenzhen Lou
    • Haibo Zhang
    • Yuanqi Zhao
  • View Affiliations / Copyright

    Affiliations: The Second School of Clinical Medicine, Guangzhou University of Chinese Medicine, Guangzhou, Guangdong 510006, P.R. China
    Copyright: © Chen et al. This is an open access article distributed under the terms of Creative Commons Attribution License [CC BY_NC 4.0].
  • Article Number: 324
    |
    Published online on: July 27, 2022
       https://doi.org/10.3892/ol.2022.13444
  • Expand metrics +
Metrics: Total Views: 0 (Spandidos Publications: | PMC Statistics: )
Metrics: Total PDF Downloads: 0 (Spandidos Publications: | PMC Statistics: )
Cited By (CrossRef): 0 citations Loading Articles...

This article is mentioned in:



Abstract

Immune checkpoint inhibitors have been critical in the treatment of advanced malignancies in recent years. Encephalitis caused by atezolizumab is an uncommon immune‑related adverse event. The case of a 65‑year‑old female diagnosed with encephalitis closely associated with atezolizumab medication for metastatic advanced breast cancer is presented in the current study. Following a fourth atezolizumab dose 10 days previously, the patient fell into a deep coma. Initial brain magnetic resonance imaging revealed multiple patchy T2 hyperintensities in the bilateral cerebellar hemisphere, vermis of the cerebellum, bilateral frontal lobe, temporal lobe, parietal lobe and occipital cortex. Meanwhile, there were aberrant signs on diffusion‑weighted imaging. The diagnosis of atezolizumab‑induced encephalitis seemed probable after ruling out other possible causes of encephalitis. Subsequently, the condition of the patient worsened and there were indications of cardiac and respiratory arrest. Chest compressions were provided immediately, as well as a balloon mask for assisted ventilation, a medication boost, stimulated breathing and other symptomatic therapy. The patient's vital signs temporarily stabilised after this series of rescue measures. The patient refused further therapy and insisted on being discharged, and died a few days after being discharged from the hospital. In this case, the patient's encephalitis symptoms associated with atezolizumab were not as typical as previously documented. The patient's condition swiftly deteriorated to heartbeat apnea, and steroid pulse therapy was not received in a timely manner, resulting in an unfavourable outcome.

Introduction

Immune checkpoint inhibitors (ICIs), which can block the cytotoxic T lymphocyte-associated protein 4 (CTLA-4) or programmed cell death 1 (PD-1) pathways, have recently played an important role in the treatment of advanced malignancies (1,2). Atezolizumab, an ICI that inhibits PD-L1 to promote endogenous antitumour immunity, has been utilised in the treatment of malignant tumours. However, as ICIs have become more commonly used, different autoimmune side effects known as immune-related adverse events (irAEs) have become a rising source of concern. Neurological irAEs are seldom documented, and extensive studies show that the prevalence of neurological AEs caused by immune checkpoint inhibitor medication is ~1% (3). Neurological irAEs can cause central and peripheral nervous system damage, resulting in encephalopathy/encephalitis, central nervous system (CNS) demyelination, aseptic meningitis, transverse myelitis, posterior reversible leukoencephalopathy syndrome, peripheral neuropathy, myasthenia-like syndrome, Guillain-Barré syndrome-like illness and myopathy (4,5). Encephalitis is estimated to occur in 0.1-0.2% of patients treated with ICIs (6). To the best of our knowledge, atezolizumab-associated encephalitis has been reported in bladder cancer, cervical cancer, lung cancer, hepatocellular carcinoma and breast cancer (7–15). It is clinically characterized by seizures, confusion, altered behavior, headaches and alterations of consciousness (16). Brain MRI revealed T2 hyperintensities with or without contrast enhancement. Lumbar puncture frequently revealed lymphocytic and leucocytic pleiocytosis, while cytopathology was negative (17). Patients with ICI-related encephalitis generally recovered completely or partially after corticosteroid therapy. The current study presents a case of irAEs in the CNS. To the best of our knowledge, this is the first case of encephalitis in China closely linked to atezolizumab.

Case report

In May 2019, a 65-year-old female was admitted to Boai Hospital of Zhongshan (Zhongshan, China) with redness, swelling, heat, and pain in the left breast for one month. The patient was diagnosed with infiltrating ductal carcinoma of the left breast via fine-needle aspiration. No metastatic signs were present at first, and stage II disease (18) was indicated from the histological analysis. Six sessions of chemotherapy were administered, the first four of which consisted of epirubicin and cyclophosphamide, followed by two treatments of docetaxel. As the patient did not respond well to docetaxel, the chemotherapy regimen was modified to paclitaxel and carboplatin. The breast tumour was significantly decreased in size after a further three lines of treatment. Due to grade IV myelosuppression, the fourth round of chemotherapy was not finished.

In December 2019, the patient was scheduled for a subcutaneous mastectomy with axillary and subclavian lymph node dissection. Pathological findings revealed multiple metastases to the left axillary lymph nodes and latissimus dorsi. A diagnosis of triple-negative breast carcinoma (rT4N0M1) (19) was made based on the immunohistochemistry results. The patient refused the chemotherapy regimens recommended by the doctors and instead received radiotherapy. After 6 months, the patient was diagnosed with a metastatic tumour of the 9th thoracic vertebrae and left anterior chest using integrated positron emission tomography and computed tomography, indicating progression of the disease. At that time, PDL-1 testing was negative. To inhibit the progression of the tumor, doctors decided to begin treatment with atezolizumab at 1,200 mg in conjunction with paclitaxel at 200 mg per dose. Chemotherapy had to be put on hold during treatment due to a lung infection and a urinary tract infection.

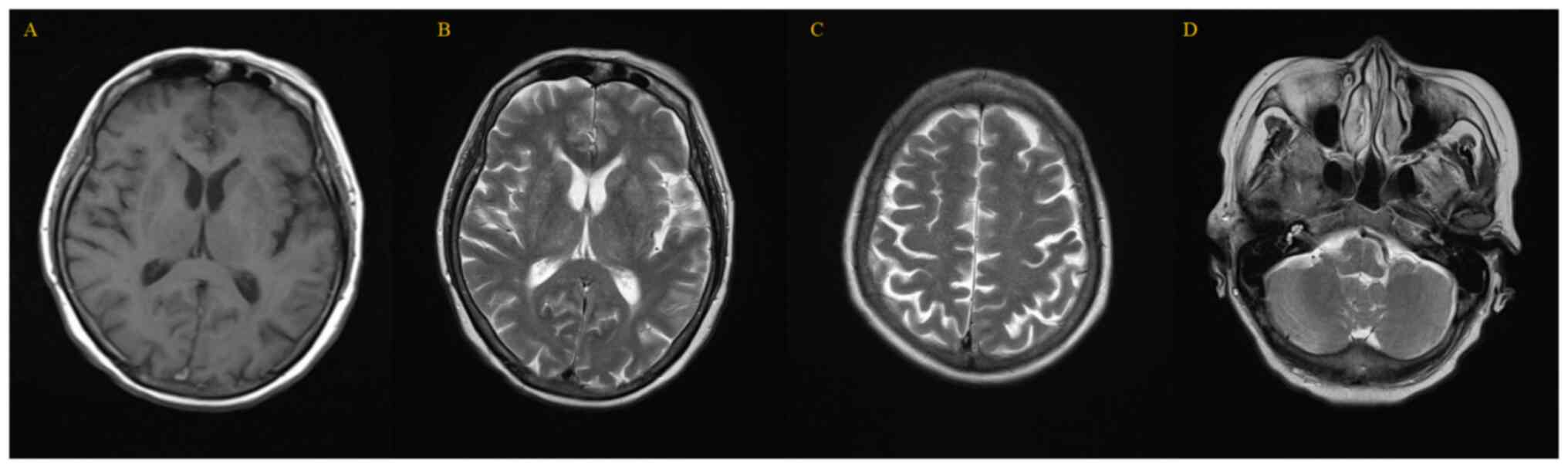
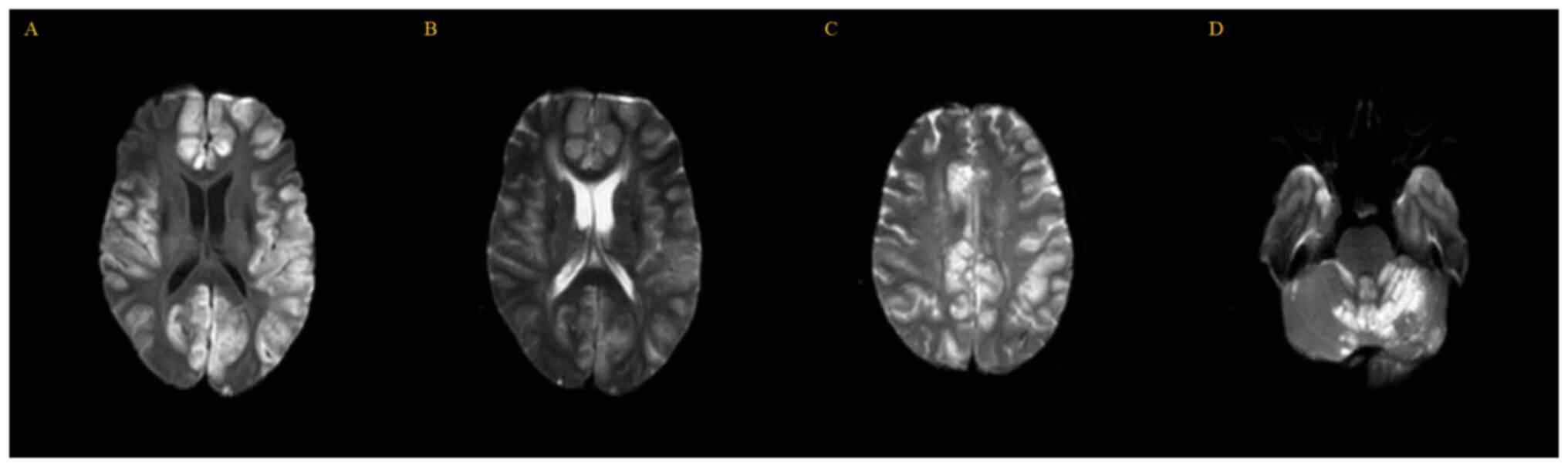
The patient became somnolent 10 days after taking a fourth dose of atezolizumab and was admitted to Guangdong Provincial Hospital of Chinese Medicine (Guangzhou, China). The neurological examination revealed a disruption in consciousness (Glasgow Coma Scale E1V1M3) (19) but no other abnormal findings. MRI of the brain (Fig. 1) revealed multiple patchy T2 hyperintensities in the bilateral cerebellar hemisphere, vermis of the cerebellum, bilateral frontal lobe, temporal lobe, parietal lobe and occipital cortex. These lesions exhibited hyperintense signal on diffusion-weighted imaging, which was suggestive of intracellular edema. However, when doctors reviewed the previous MRI report from 23 days before, no abnormal signals were found in the brain parenchyma, and the size and shape of each ventricle and cistern was normal (Fig. 2). The appearance of these new lesions confirmed the deterioration of the patient's condition. At that time, the possibility of immune-related encephalitis was considered first, so the patient was administered an intravenous infusion of 10 ml dexamethasone. However, brain metastases and paraneoplastic neurological syndrome were not ruled out. As a result, a lumbar puncture, cerebrospinal fluid (CSF) culture and cytology, viral serologies of the blood and cerebrospinal fluid, and antineuronal antibody detection were all necessary for the diagnosis. However, the patient's physical health rapidly deteriorated and she eventually fell into a deep coma with no response to any stimulus. The heart rate was 140 (normal ranges, 60–100) beats/min and the blood pressure was 150/110 (normal range, 90–140/60–90) mmHg. At that time, the workup revealed a white blood cell count of 3.87 (normal range, 3.5-9.5) ×109/l, a lymphocyte count of 0.39 (normal range, 1.1-3.2) ×109/l, a red blood cell count of 3.63 (normal range, 3.8-5.1) ×109/l, a haemoglobin level of 88 (normal range, 115–150) g/l, a D-dimer level of 7.84 (normal range, 0–0.5) mg/l and a fibrinogen degradation product of 25.52 (normal range, 0–5) mg/l. Importantly, blood oxygen saturation declined to 83% (normal range, 91.9–99%). The partial pressures of oxygen and carbon dioxide were 54.1 (normal range, 80–100) and 53.8 (normal range, 35–45) mmHg, respectively, indicating type 2 respiratory failure. Ventilation with a non-invasive ventilator was provided; however, the patient's condition worsened and cardiac and respiratory arrest occurred. Doctors performed chest compressions, airbag mask-assisted ventilation, medication boosting, stimulated breathing and other symptomatic treatments. The patient and family refused endotracheal intubation or being transferred to the intensive care unit. After a temporary stabilization of viatal signs as a result of a series of rescue measures, the patient was discharged. A telephone follow-up conversation later revealed that the patient had died a few days after being discharged from the hospital.

Figure 1.

Brain MRI at 10 days after the patient received the fourth atezolizumab dose. MRI showed multiple hyperintense signals in (A) the bilateral frontal lobe and (D) bilateral cerebellar hemisphere and cerebellar vermis on diffusion-weighted imaging. It also revealed hyperintense signal in (B) the temporal lobe and (C) parietal lobe and occipital cortex on T2WI, which indicated intracellular edema. MRI, magnetic resonance imaging; T2WI, T2-weighted imaging.

Figure 2.

Brain MRI at 13 days before the patient received the fourth atezolizumab dose. No basal ganglia lesions were observed on (A) T1WI and (B) T2WI. No abnormal signal was observed in the (C) bilateral frontal and temporal lobes and (D) cerebellum on T2WI. MRI, magnetic resonance imaging; T1WI, T1-weighted imaging.

Discussion

Immune checkpoint inhibitors have a well-documented history of causing neurological adverse results, with an incidence ranging from 3.8-6.1% (16,20). The beginning of neurological irAEs ranges from 6–13 weeks after the initiation of ICI, but they can occur at any time during treatment and even after termination (10,21). It is possible that the central and/or peripheral nervous systems are affected. According to the European Society for Medical Oncology clinical practice guidelines recommended, symptoms of irAEs may be divided into four grades (22). Asthenia, headaches, dizziness, paresthesia or dysgeusia are common symptoms of grades 1 and 2 (22,23). Myasthenia gravis, Guillain-Barré syndrome, chronic inflammatory polyneuropathy, myelitis, aseptic meningitis, encephalitis and posterior-reversible encephalopathy are the more common authentic neurological syndromes in grades 3 and 4 (22,23). Although neurological irAEs are uncommon, they often manifest as serious diseases with a high fatality rate (24). Encephalitis caused by atezolizumab has only been recorded in a few cases as an irAE. To the best of our knowledge, only 9 cases have been reported (7–15). The main information for these cases is shown in Table I.

Table I.

Main information on cases of atezolizumab-associated encephalitis.

Table I.

Main information on cases of atezolizumab-associated encephalitis.

First author, yearPatient

Manifestation of encephalitis
Age, yearsSexType of malignant tumour
Time of onsetMain symptomsMRICSFInterventionsOutcome(Refs.)
Levine et al, 201759FemaleMetastatic bladderr cance12 days after first doseConfusion, fatigue, spastic tremors and vomitingLeft frontal lobe mildly enhancing lesionGlucose: 80 mg/dl; protein: 100 mg/dl; negative paraneoplastic testsSteroidsSymptoms improved, with upper extremity weakness left(7)
Laserna et al, 201853FemaleCervical squamous cell carcinoma13 days after first doseAltered mental statusand headacheDiffuse leptomeningeal enhancementProtein: >600 mg/dl; glucose: 92 mg/dl; negative CSF culturesSteroidsSymptoms improved, with muscle weakness left(8)
Arakawa et al, 201878MaleMetastatic lung cancer13 days after first doseConfusion and feverUnmentionedCell count: 139/µl; protein 132 mg/dlSteroidsRecovered(9)
Robert et al, 202048/FFemaleMetastatic lung adenocarcinoma13 days after first doseFever, temporospatial disorientation, memory impairment and aphasiaPachytomeningitis and leptomeningitis.Elevated proteinSteroidsRecovered(10)
Yamaguchi et al, 202056FemaleMetastatic lung adenocarcinoma17 days after first doseFever, consciousness disorder and motor aphasiaUnmentionedCell count: 20/µl; protein: 166 mg/glucose: 73 mg/dl; interleukin: 682.9 pg/mlSteroidsRecovered(11)
Tatsumi et al, 202076MaleSmall cell lung cancer5 months after first doseIrritability and forgetfulnessT2-hyper-intensity in the bilateral striatum.A high titer of anti-CRMP5 antibodySteroidsRecovered(12)
Nader et al, 202138FemaleMetastatic triple-negative breast cancer10 days after first doseFever, seizures and somnolenceModerate diffuse leptomeningeal enhancement bilaterallyNo malignant cells and negative CSF culturesSteroidsRemained stable for ~1 year, passed away after 5 years due to an infection(13)
Özdirik et al, 202170FemaleMultifocal hepatocellular carcinoma10 days after first doseImpaired cognition and language, somnolence, emesis and dyspneaUnmentionedLeucocyte count: 179/ml; protein: 5,494 mg/dl; negative CSF culturesSteroids and plasma-pheresisDied due to multi-organ failure(14)
Nishijima et al, 202272FemaleNon-small cell lung cancerUncertainGait disturbance and mild disturbance of consciousnessSymmetrical high signal in the thalamus bilaterallyUnmentionedSteroids and IVIGDied due to aspiration pneumonia(15)
Chen et al, 202265FemaleMetastatic triple-negative breast cancer10 days after fourth doseComa and respiratory failureT2 and DWI hyperintense signals in the bilateral cerebellar hemisphere, vermis of the cerebellum, bilateral frontal lobe, temporal lobe, parietal lobe and occipital cortexNoneSteroidsDeadPresent case

[i] MRI, magnetic resonance imaging; CSF, cerebrospinal fluid; IVIG, intravenous immune globulin; CRMP5, collapsin response mediator protein 5. sT2, T2 weighted imaging. DWI, diffusion-weighted imaging.

Table I reveals that atezolizumab-associated encephalitis has been described in bladder cancer, cervical cancer, lung cancer, hepatocellular carcinoma and breast cancer. Furthermore, 3 cases were noted in an atezolizumab clinical study in triple-negative breast cancer (25). The current case is the fifth case associated with breast cancer.

It is possible to draw conclusions based on the clinical symptoms of those cases mentioned in the Table I. First, symptoms of neurological irAEs appeared ~2 weeks after the patients received their first dose of atezolizumab in all cases. Second, the predominant symptoms were a high fever and a disturbance of consciousness. Third, MRI revealed encephalitis symptoms. CSF investigation revealed encephalitis due to an increase in the number of leucocytes, lymphocytes and protein. Furthermore, CSF was negative for bacterial and fungal cultures, as were other associated autoantibodies. Consequently, atezolizumab-associated encephalitis was discovered after ruling out other possible causes of encephalitis using MRI, CSF analysis and autoantibody assays. Fourth, in these cases, steroid pulse therapy has been shown to be helpful. Since atezolizumab-associated encephalitis is rare, it may be seen from the existing case reports and clinical guidelines that the most direct objective index of this rare encephalitis for diagnosis is still uncertain (17). Clinicians rely on an exclusive diagnosis, i.e., a diagnosis of atezolizumab-associated encephalitis after excluding other causes of encephalitis, including infectious, toxic and metabolic causes. Therefore, in the diagnosis, the results of CSF-related examinations are necessary (10). In terms of treatment, timely administration of steroids may prevent rapid deterioration of patients (16).

In contrast to those previously described cases of atezolizumab-associated encephalitis (Table I), the patient in the present case displayed distinct clinical manifestations. Fig. 3 shows the patient's overall course of treatment, particularly the duration of atezolizumab treatment. No discomfort was noted after the first dose of atezolizumab and there was no sign of prodromal infection based on the results of an MRI and a chest X-ray prior to admission. However, encephalitis developed 10 days after the fourth dose of atezolizumab therapy. An immediate loss of consciousness, with multiple T2 hyperintensities in the initial brain MRI, indicated encephalitis. This outbreak of encephalitis affected a wide area, including bilateral cerebellar hemispheres, vermis, bilateral frontal lobe, temporal lobe, parietal lobe, occipital cortex and medulla oblonata, resulting in loss of consciousness and respiratory failure. Although physicians fully explained the patient's condition and treatment plans to the family, they refused to allow further treatments or a full inspection, including the CSF and autoantibody examinations, which accounted for the difficulty in verifying the diagnosis. After ruling out other possible causes, the physicians highly suspected that the encephalitis was caused by atezolizumab.

Figure 3.

Timeline of treatments. PTV, planning target volume.

The precise mechanism of neurological irAEs has not yet been established. In ICI therapies, monoclonal antibodies are employed to block the expression of proteins [CTLA4, PD-1 and programmed death-ligand 1 (PD-L1)] and thereby increase T-cell activation against tumours (5). The onset of immune-associated AEs may be more closely associated with anti-PD-1 and anti-PD-L1 antibody responses than with anti-CTLA-4 antibody responses (26). A post-hoc analysis of a phase II trial assessing the efficacy of ipilimumab as a combination with chemotherapy in the treatment of metastatic small-cell lung cancer indicated that the presence of antineuronal antibodies was associated with more irAEs and particularly neurological toxicity (27).

ICI-mediated encephalitis is a medical emergency and a diagnosis by exclusion; it can be present in a variety of clinical manifestations, making diagnosis and therapy problematic. The diagnosis of ICI-mediated neurotoxicities is difficult due to the rich variety of differential diagnoses, which includes tumour progression, paraneoplastic neurologic disorders, metabolic derangements, infections and complications associated with concurrent treatment modalities (21). The present study emphasizes the important relevance of MRI in the early detection of ICI-related encephalitis. MRI is considered to be the one of the accurate and non-invasive tests available to evaluate the changes of lesions in the brain. MRI is also a powerful basis for clinicians to diagnose and make medical decisions in such cases. Complementary examinations are also essential, including a full biological assessment, viral serologies in the blood and cerebrospinal fluid and antineuronal antibody determination (10). Although they were invasive tests and could not give immediate results, the lack of additional examinations to support the diagnosis was considered as a limitation in the present case.

When atezolizumab-associated encephalitis occurs, steroid pulse treatment is used to alleviate brain inflammation, according to current irAE care guidelines (16). After visiting a neurologist, serious cases should be treated with intravenous immunoglobulin and plasmapheresis (28). If the patient and family members in the present study had agreed to active treatment, the patient's results would likely have been completely different. The doctors might have been able to confirm the diagnosis and steroid pulse treatment could have been administered to the patient. Therefore, the manner in which rare ICI-mediated encephalitis can be accurately identified in clinical practice and how to make the most beneficial medical decisions for patients are directions for our future efforts.

In conclusion, as the application of ICIs for treating diverse types of malignancies expands, the occurrence of clinical irAEs will surely increase. Despite an uncertain cause and the lack of focused treatment for atezolizumab-associated encephalitis, doctors are obliged to constantly update their working knowledge in order to appropriately diagnose and manage these cases. Prompt identification and treatment are essential for successful management. Therefore, it is very important to consult experts in order to clarify a diagnosis in a timely manner. Physicians are obliged to decide the optimal measures after carefully examining the severity of the irAEs and the condition of the patient. Since irAEs can affect different organs, a collaborative approach connecting with experts from multiple fields is useful.

Acknowledgements

Not applicable.

Funding

This case report was supported by the Special project of Guangdong Provincial Key Laboratory of Traditional Chinese Medicine Emergency Research (grant no. 2019KT1340).

Availability of data and materials

The datasets used and/or analyzed during the current study are available from the corresponding author on reasonable request.

Authors' contributions

GC was responsible for the study conception, reviewed the literature and drafted the manuscript. CZ and JL confirmed the authenticity of all the raw data analyzed and interpreted the data and edited the manuscript. ZL obtained medical images (MRI scans) and analyzed patient data. YZ and HZ contributed to the study conception, overall design and quality control. All authors reviewed the manuscript critically and approved the submission.

Ethics approval and consent to participate

This case report was approved by the Ethics Committee of Guangdong Provincial Hospital of Chinese Medicine (Guangzhou, China).

Patient consent for publication

The patient's family provided oral consent for the article to be published. The Ethics Committee of Guangdong Provincial Hospital of Chinese Medicine (Guangzhou, China) approved that oral consent was sufficient in this case report.

Competing interests

The authors declare that they have no competing interests.

References

1 

Topalian SL, Taube JM and Pardoll DM: Neoadjuvant checkpoint blockade for cancer immunotherapy. Science. 367:eaax01822020. View Article : Google Scholar : PubMed/NCBI

2 

Ribas A and Wolchok JD: Cancer immunotherapy using checkpoint blockade. Science. 359:1350–1355. 2018. View Article : Google Scholar : PubMed/NCBI

3 

Möhn N, Beutel G, Gutzmer R, Ivanyi P, Satzger I and Skripuletz T: Neurological immune related adverse events associated with nivolumab, ipilimumab, and pembrolizumab therapy-review of the literature and future outlook. J Clin Med. 8:17772019. View Article : Google Scholar : PubMed/NCBI

4 

Pan PC and Haggiagi A: Neurologic immune-related adverse events associated with immune checkpoint inhibition. Curr Oncol Rep. 21:1082019. View Article : Google Scholar : PubMed/NCBI

5 

Darnell EP, Mooradian MJ, Baruch EN, Yilmaz M and Reynolds KL: Immune-related adverse events (irAEs): Diagnosis, management, and clinical pearls. Curr Oncol Rep. 22:392020. View Article : Google Scholar : PubMed/NCBI

6 

Williams TJ, Benavides DR, Patrice KA, Dalmau JO, de Ávila AL, Le DT, Lipson EJ, Probasco JC and Mowry EM: Association of autoimmune encephalitis with combined immune checkpoint inhibitor treatment for metastatic cancer. JAMA Neurol. 73:928–933. 2016. View Article : Google Scholar : PubMed/NCBI

7 

Levine JJ, Somer RA, Hosoya H and Squillante C: Atezolizumab-induced encephalitis in metastatic bladder cancer: A case report and review of the literature. Clin Genitourin Cancer. 15:e847–e849. 2017. View Article : Google Scholar : PubMed/NCBI

8 

Laserna A, Tummala S, Patel N, El Hamouda DEM and Gutiérrez C: Atezolizumab-related encephalitis in the intensive care unit: Case report and review of the literature. SAGE Open Med Case Rep. 6:2050313X187924222018.PubMed/NCBI

9 

Arakawa M, Yamazaki M, Toda Y, Saito R, Ozawa A, Kosaihira S and Kimura K: Atezolizumab-induced encephalitis in metastatic lung cancer: A case report and literature review. eNeurologicalSci. 14:49–50. 2018. View Article : Google Scholar : PubMed/NCBI

10 

Robert L, Langner-Lemercier S, Angibaud A, Sale A, Thepault F, Corre R, Lena H and Ricordel C: Immune-related encephalitis in two patients treated with immune checkpoint inhibitor. Clin Lung Cancer. 21:e474–e477. 2020. View Article : Google Scholar : PubMed/NCBI

11 

Yamaguchi Y, Nagasawa H, Katagiri Y and Wada M: Atezolizumab-associated encephalitis in metastatic lung adenocarcinoma: A case report. J Med Case Rep. 14:882020. View Article : Google Scholar : PubMed/NCBI

12 

Tatsumi S, Uryu K, Iwasaki S and Harada H: A case of anti-CRMP5 paraneoplastic neurological syndrome induced by atezolizumab for small cell lung cancer. Intern Med. Aug 12–2020.(Epub ahead of print).

13 

Nader R, Tannoury E, Rizk T and Ghanem H: Atezolizumab-induced encephalitis in a patient with metastatic breast cancer: A case report and review of neurological adverse events associated with checkpoint inhibitors. Autops Case Rep. 11:e20212612021. View Article : Google Scholar : PubMed/NCBI

14 

Özdirik B, Jost-Brinkmann F, Savic LJ, Mohr R, Tacke F, Ploner CJ, Roderburg C and Müller T: Atezolizumab and bevacizumab-induced encephalitis in advanced hepatocellular carcinoma: Case report and literature review. Medicine (Baltimore). 100:e263772021. View Article : Google Scholar : PubMed/NCBI

15 

Nishijima H, Kon T, Seino Y, Yagihashi N, Suzuki C, Nakamura T, Tanaka H, Sakamoto Y, Wakabayashi K and Tomiyama M: Bilateral thalamic lesions associated with atezolizumab-induced encephalitis: A follow-up report with autopsy findings. Neurology. 98:204–205. 2022. View Article : Google Scholar : PubMed/NCBI

16 

Brahmer JR, Lacchetti C, Schneider BJ, Atkins MB, Brassil KJ, Caterino JM, Chau I, Ernstof MS, Gardner JM, Ginex P, et al: Management of immune-related adverse events in patients treated with immune checkpoint inhibitor therapy: American society of clinical oncology clinical practice guideline. J Clin Oncol. 36:1714–1768. 2018. View Article : Google Scholar : PubMed/NCBI

17 

Velasco R, Villagrán M, Jové M, Simó M, Vilariño N, Alemany M, Palmero R, Martínez-Villacampa MM, Nadal E and Bruna J: Encephalitis induced by immune checkpoint inhibitors: A systematic review. JAMA Neurol. 78:864–873. 2021. View Article : Google Scholar : PubMed/NCBI

18 

Giuliano AE, Edge SB and Hortobagyi GN: Eighth edition of the AJCC cancer staging manual: Breast cancer. Ann Surg Oncol. 25:1783–1785. 2018. View Article : Google Scholar : PubMed/NCBI

19 

Mehta R GP trainee and Chinthapalli K consultant neurologist: Glasgow coma scale explained. BMJ. 365:l12962019. View Article : Google Scholar : PubMed/NCBI

20 

Trinh S, Le A, Gowani S and La-Beck N: Management of immune-related adverse events associated with immune checkpoint inhibitor therapy: A minireview of current clinical guidelines. Asia Pac J Oncol Nurs. 6:154–160. 2019. View Article : Google Scholar : PubMed/NCBI

21 

Duong SL, Barbiero FJ, Nowak RJ and Baehring JM: Neurotoxicities associated with immune checkpoint inhibitor therapy. J Neurooncol. 152:265–277. 2021. View Article : Google Scholar : PubMed/NCBI

22 

Haanen JB, Carbonnel F, Robert C, Kerr KM, Peters S, Larkin J and Jordan K; ESMO Guidelines Committee, : Management of toxicities from immunotherapy: ESMO clinical practice guidelines for diagnosis, treatment and follow-up. Ann Oncol. 28 (Suppl 4):iv119–iv142. 2017. View Article : Google Scholar : PubMed/NCBI

23 

Touat M, Talmasov D, Ricard D and Psimaras D: Neurological toxicities associated with immune-checkpoint inhibitors. Curr Opin Neurol. 30:659–668. 2017. View Article : Google Scholar : PubMed/NCBI

24 

Vogrig A, Muñiz-Castrillo S, Joubert B, Picard G, Rogemond V, Marchal C, Chiappa AM, Chanson E, Skowron F, Leblanc A, et al: Central nervous system complications associated with immune checkpoint inhibitors. J Neurol Neurosurg Psychiatry. 91:772–778. 2020. View Article : Google Scholar : PubMed/NCBI

25 

Schmid P, Rugo HS, Adams S, Schneeweiss A, Barrios CH, Iwata H, Diéras V, Henschel V, Molinero L, Chui SY, et al: Atezolizumab plus nab-paclitaxel as first-line treatment for unresectable, locally advanced or metastatic triple-negative breast cancer (IMpassion130): Updated efficacy results from a randomised, double-blind, placebo-controlled, phase 3 trial. Lancet Oncol. 21:44–59. 2020. View Article : Google Scholar : PubMed/NCBI

26 

Das S and Johnson DB: Immune-related adverse events and anti-tumor efficacy of immune checkpoint inhibitors. J Immunother Cancer. 7:3062019. View Article : Google Scholar : PubMed/NCBI

27 

Arriola E, Wheater M, Galea I, Cross N, Maishman T, Hamid D, Stanton L, Cave J, Geldart T, Mulatero C, et al: Outcome and biomarker analysis from a multicenter phase 2 study of ipilimumab in combination with carboplatin and etoposide as first-line therapy for extensive-stage SCLC. J Thorac Oncol. 11:1511–1521. 2016. View Article : Google Scholar : PubMed/NCBI

28 

Kumar V, Chaudhary N, Garg M, Floudas CS, Soni P and Chandra AB: Current diagnosis and management of immune related adverse events (irAEs) induced by immune checkpoint inhibitor therapy. Front Pharmacol. 8:492017. View Article : Google Scholar : PubMed/NCBI

Related Articles

  • Abstract
  • View
  • Download
  • Twitter
Copy and paste a formatted citation
Spandidos Publications style
Chen G, Zhang C, Lan J, Lou Z, Zhang H and Zhao Y: Atezolizumab‑associated encephalitis in metastatic breast cancer: A case report. Oncol Lett 24: 324, 2022.
APA
Chen, G., Zhang, C., Lan, J., Lou, Z., Zhang, H., & Zhao, Y. (2022). Atezolizumab‑associated encephalitis in metastatic breast cancer: A case report. Oncology Letters, 24, 324. https://doi.org/10.3892/ol.2022.13444
MLA
Chen, G., Zhang, C., Lan, J., Lou, Z., Zhang, H., Zhao, Y."Atezolizumab‑associated encephalitis in metastatic breast cancer: A case report". Oncology Letters 24.3 (2022): 324.
Chicago
Chen, G., Zhang, C., Lan, J., Lou, Z., Zhang, H., Zhao, Y."Atezolizumab‑associated encephalitis in metastatic breast cancer: A case report". Oncology Letters 24, no. 3 (2022): 324. https://doi.org/10.3892/ol.2022.13444
Copy and paste a formatted citation
x
Spandidos Publications style
Chen G, Zhang C, Lan J, Lou Z, Zhang H and Zhao Y: Atezolizumab‑associated encephalitis in metastatic breast cancer: A case report. Oncol Lett 24: 324, 2022.
APA
Chen, G., Zhang, C., Lan, J., Lou, Z., Zhang, H., & Zhao, Y. (2022). Atezolizumab‑associated encephalitis in metastatic breast cancer: A case report. Oncology Letters, 24, 324. https://doi.org/10.3892/ol.2022.13444
MLA
Chen, G., Zhang, C., Lan, J., Lou, Z., Zhang, H., Zhao, Y."Atezolizumab‑associated encephalitis in metastatic breast cancer: A case report". Oncology Letters 24.3 (2022): 324.
Chicago
Chen, G., Zhang, C., Lan, J., Lou, Z., Zhang, H., Zhao, Y."Atezolizumab‑associated encephalitis in metastatic breast cancer: A case report". Oncology Letters 24, no. 3 (2022): 324. https://doi.org/10.3892/ol.2022.13444
Follow us
  • Twitter
  • LinkedIn
  • Facebook
About
  • Spandidos Publications
  • Careers
  • Cookie Policy
  • Privacy Policy
How can we help?
  • Help
  • Live Chat
  • Contact
  • Email to our Support Team