International Journal of Molecular Medicine is an international journal devoted to molecular mechanisms of human disease.
International Journal of Oncology is an international journal devoted to oncology research and cancer treatment.
Covers molecular medicine topics such as pharmacology, pathology, genetics, neuroscience, infectious diseases, molecular cardiology, and molecular surgery.
Oncology Reports is an international journal devoted to fundamental and applied research in Oncology.
Experimental and Therapeutic Medicine is an international journal devoted to laboratory and clinical medicine.
Oncology Letters is an international journal devoted to Experimental and Clinical Oncology.
Explores a wide range of biological and medical fields, including pharmacology, genetics, microbiology, neuroscience, and molecular cardiology.
International journal addressing all aspects of oncology research, from tumorigenesis and oncogenes to chemotherapy and metastasis.
Multidisciplinary open-access journal spanning biochemistry, genetics, neuroscience, environmental health, and synthetic biology.
Open-access journal combining biochemistry, pharmacology, immunology, and genetics to advance health through functional nutrition.
Publishes open-access research on using epigenetics to advance understanding and treatment of human disease.
An International Open Access Journal Devoted to General Medicine.
Pulmonary sarcomatoid carcinoma (PSC) is a rare form of non-small cell lung cancer (NSCLC), accounting for 0.1-0.4% of all lung cancers (1). According to the standards established by the World Health Organization (WHO), PSCs may be subclassified into pleomorphic carcinoma, spindle-cell carcinoma, giant-cell carcinoma, carcinosarcoma and pneumoblastoma (2). PSC is commonly observed in older males with a history of smoking and the average age at diagnosis is 60 years (3).
PSCs are insensitive to conventional radiotherapy and chemotherapy and patients with PSC tend to have a poorer prognosis than other patients with NSCLC due to rapid tumor growth, early metastasis and limited treatment options (4,5). In the past decade, targeted therapy and immunotherapy have made tremendous progress in treating lung cancer and improving patient quality of life. The discovery of therapeutic targets, including the epidermal growth factor receptor (EGFR), anaplastic lymphoma kinase (ALK) and receptor tyrosine kinase ROS, programmed death-1 (PD-1) and programmed death ligand 1 (PD-L1) in NSCLC has had a significant impact on treatment outcomes; however, their PSC remains genetically unexplored. There have been no large prospective studies of PSC due to its rarity and limited targeted therapeutic options, and therefore, the clinical effectiveness of these agents against PSC has remained elusive (6,7). The present study reported a unique case of a young patient with lung adenocarcinoma and sarcomatoid carcinoma, both of which exhibited echinoderm microtubule-associated protein-like 4-anaplastic lymphoma kinase (EML4-ALK) gene fusion. After surgery, the disease progressed rapidly despite treatment with the ALK inhibitor Alectinib and chemotherapy; after initial treatment failure, the patient received combined Alectinib with Tirelizumab (anti-PD-1 antibody) and Anlotinib [anti-vascular endothelial growth factor receptor (VEGFR), anti-angiogenic], which yielded positive results.
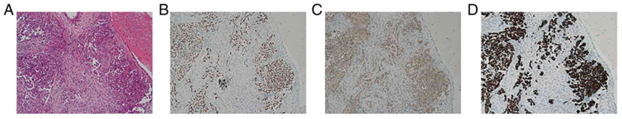
A 29-year-old male patient with no history of smoking presented at The Affiliated Hospital of Panzhihua University (Panzhihua, China) in March 2021 with a cough and chest pain. An enhanced chest CT scan revealed a nodular shadow in the left upper lung (~13×21 mm), a mass-like hyper-density shadow in the left upper lung hilum and enlarged lymph nodes in the left hilum and mediastinum (Fig. 1); no distant organ metastases were observed during the systemic examination. After five days, the patient underwent left upper lung lobectomy, left upper lobe pulmonary artery sleeve resection and systemic lymph node dissection. Post-operatively, the pathological report identified two tumor nodules, one small and one large, in the upper lobe of the left lung. The small nodule was close to the lung pleura (measuring ~2.5×2.0×1.1 cm) and diagnosed as lung adenocarcinoma by immunohistochemistry (IHC) (Fig. 2). The large nodule was located in the bronchus (measuring ~3.5×3.3×2.3 cm) and IHC supported pulmonary sarcomatoid carcinoma that was positive for pancytokeratin (partially) and vimentin (Fig. 3). The IHC protocols are provided in the supplemental data. These findings led to the diagnosis of adenocarcinoma of the upper lobe of the left lung combined with sarcomatoid carcinoma (T4N2M0 stage IIIB).
After one month, a tumor specimen from the patient was examined for a pathological consultation at a different hospital, which corroborated our results. Genetic testing using next-generation sequencing revealed no mutations in commonly implicated genes, such as EGFR, BRAF, MET or RAS; however, the sequencing identified an EML4-ALK fusion and further IHC analysis revealed a high degree of PD-L1 expression [tumor proportion score (TPS) >70%] (Fig. 3). Unfortunately, the patient's cancer progressed rapidly and a comprehensive evaluation revealed enlargement of the bilateral hilar and mediastinal intramural lymph nodes. There were also multiple distant metastatic lesions involving the abdominal mesenteric region, the omental region (the largest measuring ~3.4×2.4 cm), the lateral left lobe of the liver and the left adrenal gland (measuring ~1.3×1.0 cm). Furthermore, multiple bilateral metastases, with edema, were discovered in the brain (Fig. 4). These findings led to the diagnosis of postoperative mediastinal lymph node, abdominal, adrenal and brain metastases from the adenocarcinoma of the upper lobe of the left lung combined with sarcomatoid carcinoma (T4N2M1c stage IVB, EML4/ALK fusion, PD-L1 TPS >70%).
Considering the patient's young age, rapid disease progression and the combination of two tumor components, the adenocarcinoma and sarcomatoid carcinoma, a combination treatment strategy was implemented using the ALK inhibitor Alectinib (600 mg po bid) + Bevacizumab (600 mg dl) + Paclitaxel liposome (270 mg dl) + Carboplatin (500 mg dl); the therapy was administered in 21-day cycles for a total of four cycles. Stereotactic body radiation therapy targeting cranial metastases was initiated simultaneously for 10 irradiation sessions. Following radiotherapy, the intracranial lesions and edema were significantly reduced. After the fourth treatment cycle, enhanced CT revealed that certain metastases in the peritoneal, mesenteric and omental areas were larger than before (the larger one was ~4.5×2.4 cm and had invaded the left lobe of the liver). The number of remaining lesions did not significantly change.
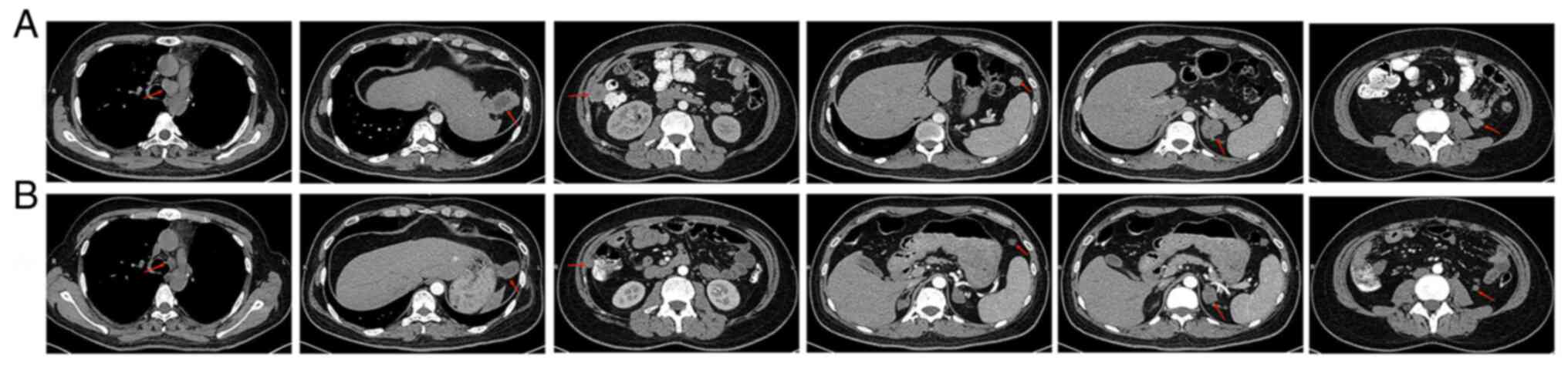
After four months, the patient returned, presenting with cough and back pain. Hematologic examination revealed that the number of white blood cells (WBC) was increased to 14.68×109/l [normal range (NR), 4.0-10.0 ×109/l], accompanied with a platelet count of 517×109/l (NR, 100–300×109/l), without any chills or fever. After five months, the patient returned to the hospital and CT examination revealed enlarged lymph nodes in the mediastinum and a small amount of fluid in the right pleural cavity. Multiple metastases were found in the abdominal cavity, the largest of which was located in the lateral left lobe of the liver (~5.7×3.0×4.0 cm in size), markedly enlarged adrenal glands bilaterally (~2.7 cm) and soft tissue lesions below the left kidney, anterior to the spleen and in the right paracolic sulcus, ~1.8, 1.5 and 2.9 cm in diameter, respectively (Fig. 5). A CT-guided percutaneous biopsy of the lesion on the right paracolonic sulcus was performed and subsequent IHC indicated a malignancy of mesenchymal origin; it was considered a possible metastasis of the sarcomatoid component. After a full discussion, the therapeutic plan was changed to a combination of targeted therapy with immunotherapy (Alectinib + Anlotinib + Tirelizumab). Before the treatment started, informed consent was obtained from the patient and the patient's family. The patient began treatment with Anlotinib (12 mg, qd, d1-14, q21d) and with Tirelizumab (200 mg, q21d). After the first treatment cycle, the patient experienced a significant improvement in his cough and complaints of pain. Furthermore, the patient's WBC and platelet counts decreased to normal and the right retroauricular mass had disappeared. A repeat CT after the second treatment cycle revealed a significant reduction in the pleural effusion of the right lung and in the size of the mediastinal lymph nodes, and the lesions in the abdominal cavity (largest lesion was ~3.2×2.0×2.3 cm); furthermore, the lesions in the lower left kidney, the anterior spleen and the right paracolic sulcus were reduced to ~1.0, 1.1 and 1.2 cm in diameter, respectively (Fig. 5). The tumor response to treatments was evaluated according to the New Response Evaluation Criteria In Solid Tumours: Revised RECIST Guideline (version 1.1) (8). The sum of the diameters of the target lesions was reduced by >30%, taking as reference the baseline sum diameter. These observations resulted in the rating as partial response (PR) for the disease. The patient tolerated the combined treatment (Alectinib + Anlotinib + Tirelizumab) well, only experiencing mild diarrhea over 7 months on the regimen; currently, the patient remains on this treatment plan.
PSC is essentially a carcinoma of epithelial origin with a sarcomatoid component, a spindle-cell variant of cancer cells (9). It is more common in older males who smoke than in younger males (3). The present case was unique, as the patient was 29 years old and denied any history of smoking, but still developed PSC concurrently with an adenocarcinoma component in the lung. Due to its rarity, there is no standardized protocol for treating metastatic PSC and the currently used treatment regimens are derived from those for NSCLC. Current case reports and studies of PSC demonstrate that patients with PSC have worse survival rates and prognosis than other histological subtypes of NSCLC (10). PSC exhibits significant resistance against conventional first-line chemotherapy, with a median progression-free survival (PFS) of only 2.0 months and a median overall survival (OS) of 6.3 months (3). Therefore, the development of new treatment options is necessary to improve the prognosis of patients with PSC.
Over the past decade, there have been significant advances in targeted therapy and immunotherapy for NSCLC, such as EGFR and ALK inhibitors, and more recently, PD-1 inhibitors. Patients with NSCLC with specific driver mutations (e.g., EGFR and ALK) may benefit significantly from targeted therapy (11). The high mutation rate of EGFR in NSCLC makes tyrosine kinase inhibitors (TKI) the first-line therapies for affected patients; however, the mutation rate of EGFR in PSC is significantly lower than that in other types of NSCLC, although the true rate remains controversial (0–28%) (12,13). Studies reported that the efficacy of TKI is variable among patients with PSC who present with EGFR mutations (14,15), suggesting that there are other, more significant, oncogenic drivers for PSC. TP53 and KRAS mutations are also prevalent among patients with PSC; however, the presence of KRAS mutations is frequently predictive of a poor prognosis (16,17). The incidence of MET exon 14 jump mutations is reported to be higher (~20-30%) than lung adenocarcinoma (18,19); furthermore, the incidence of ALK fusion-positive NSCLC is known to be 3–7%. In lung adenocarcinoma, the first-generation ALK inhibitor Crizotinib improved PFS (up to 11.1 months); its second-generation counterpart, Alectinib, further prolonged patient PFS to 34.8 months. ALK fusion is rarely present in PSC and only a small number of cases have been reported. However, a study by Chen et al (20) suggested that the incidence of ALK rearrangement in SC (5/141, 3.5%) was similar to that in other NSCLC subtypes and, of note, EML4-ALK-positive lung cancer is associated with a young age of onset and a history of non-smoking or light smoking. In the present study, the patient was a young non-smoker, who presented with an EML4-ALK gene fusion; therefore, the patient was given the second-generation ALK inhibitor Alectinib. Considering the presence of two tumor components (sarcomatoid and adenocarcinoma) and rapid disease progression, it is understandable that the initial chemotherapeutic approach proved ineffective and the sarcomatoid component progressed despite the robust treatment regimen.
In the era of immunotherapy, immune checkpoint inhibitors (ICIs) targeting PD-1/PD-L1 have become the standard treatment strategy for NSCLC. PD-L1 expression in tumors has become a common and optimal biomarker for predicting the effect of immunotherapy. Naito et al (21) reported that among 35 patients with PSC, ~91% (32/35) were positive for PD-L1 expression (TPS ≥1%) and 60% (21/35) had high PD-L1 expression (TPS ≥50%). By contrast, Yang et al (22) reported that 36.5% of 148 patients with PSC were PD-L1-positive. The differences in PD-L1 expression among studies may be related to differences in antibody clones, positive detection thresholds in testing and tumor heterogeneity; in the present case, the patient had high PD-L1 expression (TPS >70%). Therefore, ICIs are a potential treatment option for patients with PSC concurrent with high PD-L1 expression.
There are a limited number of case reports that demonstrate successful treatment with ICIs and long-term efficacy (23,24), likely due to the rarity of PSC. In a study of 37 patients with PSC treated with a second-generation or newer immunotherapy, the overall response rate was 40.5% and the median OS was 12.7 months (25). However, one-third of the patients in the high PD-L1 expression or KRAS mutation subgroup experienced early disease progression within 2 months.
Tirelizumab was approved by the National Medical Products Administration (NMPA) in December 2019 for the treatment of Hodgkin lymphoma in China. It causes tumor-cell death by blocking PD-L1/PD-L2-related cell signaling used to avoid an immune response, promoting cytokine production and restoring T-cell clearance (26). Previous studies have demonstrated high tolerability, safety and efficacy of Tirelizumab in patients with advanced NSCLC, regardless of the PD-L1 status (27). In 2020, Tirelizumab has gained NMPA approval for the treatment of NSCLC (both advanced squamous cell carcinoma and non-squamous cell carcinoma) (28). However, the use of Tirelizumab in PSC has rarely been reported. In the present case, Tirelizumab immunotherapy was administered along with Anlotinib; Anlotinib is an orally administered anti-angiogenic agent that potently inhibits multiple targets, including VEGFR, platelet-derived growth factor receptor, fibroblast growth factor receptor and c-Ki) and has been approved by the NMPA for soft-tissue sarcomas, and third-line treatment of advanced NSCLC. VEGFR signaling may be inhibited by reducing tumor T-cell infiltration and increasing suppressive immune cells, such as regulatory cells and myeloid-derived suppressor cells, to modulate the immune response and ultimately create an immunosuppressive tumor microenvironment (29). Thus, Anlotinib combined with immunotherapy may synergistically inhibit tumors to improve patient outcomes. The patient in the present case report had a positive response to this combination therapy and continues to demonstrate a controlled disease state.
In conclusion, to the best of our knowledge, the present study was the first report of a young patient exhibiting both PSC and lung adenocarcinoma with an EML4/ALK fusion, who achieved a good response to the combined treatment with Tirelizumab and Anlotinib after failure of initial ALK inhibitor combination with chemotherapy. Immunotherapy in combination with the anti-angiogenic drug Anlotinib may be a promising treatment strategy for patients with PSC. Further study of this strategy in patients with PSC is necessary to corroborate these findings and improve patient outcomes.
Not applicable.
Funding: No funding was received.
The datasets used and/or analyzed during the current study are available from the corresponding author on reasonable request.
MW was responsible for collecting clinical, imaging and pathological data of the patient and responsible for the conception, design, content and writing of the manuscript. XL analyzed the data and revised the manuscript. YG and YC participated in making the pathological diagnosis, and made substantial contributions to design, acquisition of data, analysis and interpretation of data. WW was involved in the clinical and therapeutic management of the patient and was responsible for the acquisition, analysis and interpretation of the images. LY made substantial contributions to the conception and design of the study, revising and proofreading the manuscript. LY and MW confirmed the authenticity of all the raw data. All authors read and approved the final manuscript.
The present study was approved by the ethics committee of the Affiliated Hospital of Panzhihua University (Panzhihua, China; reference no. 202207001).
Written informed consent was provided by the patient.
The authors declare that they have no competing interests.
|
Yendamuri S, Caty L, Pine M, Adem S, Bogner P, Miller A, Demmy TL, Groman A and Reid M: Outcomes of sarcomatoid carcinoma of the lung: A surveillance, epidemiology, and end results database analysis. Surgery. 152:397–402. 2012. View Article : Google Scholar : PubMed/NCBI | |
|
Travis WD, Brambilla E, Nicholson AG, Yatabe Y, Austin JHM, Beasley MB, Chirieac LR, Dacic S, Duhig E, Flieder DB, et al: The 2015 world health organization classification of lung tumors: impact of genetic, clinical and radiologic advances since the 2004 classification. J Thorac Oncol. 10:1243–1260. 2015. View Article : Google Scholar : PubMed/NCBI | |
|
Pelosi G, Sonzogni A, De Pas T, Galetta D, Veronesi G, Spaggiari L, Manzotti M, Fumagalli C, Bresaola E, Nappi O, et al: Review article: Pulmonary sarcomatoid carcinomas: A practical overview. Int J Surg Pathol. 18:103–120. 2010. View Article : Google Scholar : PubMed/NCBI | |
|
Vieira T, Girard N, Ung M, Monnet I, Cazes A, Bonnette P, Duruisseaux M, Mazieres J, Antoine M, Cadranel J and Wislez M: Efficacy of first-line chemotherapy in patients with advanced lung sarcomatoid carcinoma. J Thorac Oncol. 8:1574–1577. 2013. View Article : Google Scholar : PubMed/NCBI | |
|
Chen M, Yang Q, Xu Z, Luo B, Li F, Yu Y and Sun J: Survival analysis and prediction model for pulmonary sarcomatoid carcinoma based on SEER database. Front Oncol. 11:6308852021. View Article : Google Scholar : PubMed/NCBI | |
|
Tsao AS, Scagliotti GV, Bunn PA Jr, Carbone DP, Warren GW, Bai C, de Koning HJ, Yousaf-Khan AU, McWilliams A, Tsao MS, et al: Scientific advances in lung cancer 2015. J Thorac Oncol. 11:613–638. 2016. View Article : Google Scholar : PubMed/NCBI | |
|
Terra SB, Jang JS, Bi L, Kipp BR, Jen J, Yi ES and Boland JM: Molecular characterization of pulmonary sarcomatoid carcinoma: analysis of 33 cases. Mod Pathol. 29:824–831. 2016. View Article : Google Scholar : PubMed/NCBI | |
|
Eisenhauer EA, Therasse P, Bogaerts J, Schwartz LH, Sargent D, Ford R, Dancey J, Arbuck S, Gwyther S, Mooney M, et al: New response evaluation criteria in solid tumours: Revised RECIST guideline (version 1.1). Eur J Cancer. 45:228–247. 2009. View Article : Google Scholar : PubMed/NCBI | |
|
Martin LW, Correa AM, Ordonez NG, Roth JA, Swisher SG, Vaporciyan AA, Walsh GL and Rice DC: Sarcomatoid carcinoma of the lung: A predictor of poor prognosis. Ann Thorac Surg. 84:973–980. 2007. View Article : Google Scholar : PubMed/NCBI | |
|
Ouziane I, Boutayeb S, Mrabti H, Lalya I, Rimani M and Errihani H: Sarcomatoid carcinoma of the lung: A model of resistance of chemotherapy. N Am J Med Sci. 6:342–345. 2014. View Article : Google Scholar : PubMed/NCBI | |
|
Mitsudomi T, Morita S, Yatabe Y, Negoro S, Okamoto I, Tsurutani J, Seto T, Satouchi M, Tada H, Hirashima T, et al: Gefitinib versus cisplatin plus docetaxel in patients with non-small-cell lung cancer harbouring mutations of the epidermal growth factor receptor (WJTOG3405): An open label, randomised phase 3 trial. Lancet Oncol. 11:121–128. 2010. View Article : Google Scholar : PubMed/NCBI | |
|
Fallet V, Saffroy R, Girard N, Mazieres J, Lantuejoul S, Vieira T, Rouquette I, Thivolet-Bejui F, Ung M, Poulot V, et al: High-throughput somatic mutation profiling in pulmonary sarcomatoid carcinomas using the lungcarta panel: Exploring therapeutic targets. Ann Oncol. 26:1748–1753. 2015. View Article : Google Scholar : PubMed/NCBI | |
|
Schrock AB, Li SD, Frampton GM, Suh J, Braun E, Mehra R, Buck SC, Bufill JA, Peled N, Karim NA, et al: Pulmonary sarcomatoid carcinomas commonly harbor either potentially targetable genomic alterations or high tumor mutational burden as observed by comprehensive genomic profiling. J Thorac Oncol. 12:932–942. 2017. View Article : Google Scholar : PubMed/NCBI | |
|
Kaira K, Horie Y, Ayabe E, Murakami H, Takahashi T, Tsuya A, Nakamura Y, Naito T, Endo M, Kondo H, et al: Pulmonary pleomorphic carcinoma: A clinicopathological study including EGFR mutation analysis. J Thorac Oncol. 5:460–465. 2010. View Article : Google Scholar : PubMed/NCBI | |
|
Nakagomi T, Goto T, Hirotsu Y, Shikata D, Yokoyama Y, Higuchi R, Amemiya K, Okimoto K, Oyama T, Mochizuki H and Omata M: New therapeutic targets for pulmonary sarcomatoid carcinomas based on their genomic and phylogenetic profiles. Oncotarget. 9:10635–10649. 2018. View Article : Google Scholar : PubMed/NCBI | |
|
Lococo F, Gandolfi G, Rossi G, Pinto C, Rapicetta C, Cavazza A, Cesario A, Galeone C, Paci M and Ciarrocchi A: Deep sequencing analysis reveals that KRAS mutation is a marker of poor prognosis in patients with pulmonary sarcomatoid carcinoma. J Thorac Oncol. 11:1282–1292. 2016. View Article : Google Scholar : PubMed/NCBI | |
|
Li X, Wang D, Zhao Q, Ren D, Ren F, Chen G, Liu H and Chen J: Clinical significance and next-generation sequencing of chinese pulmonary sarcomatoid carcinoma. Sci Rep. 7:39472017. View Article : Google Scholar : PubMed/NCBI | |
|
Tong JH, Yeung SF, Chan AW, Chung LY, Chau SL, Lung RWM, Tong CY, Chow C, Tin EKY, Yu YH, et al: MET Amplification and exon 14 splice site mutation define unique molecular subgroups of non-small cell lung carcinoma with poor prognosis. Clin Cancer Res. 22:3048–3056. 2016. View Article : Google Scholar : PubMed/NCBI | |
|
Liu X, Jia Y, Stoopler MB, Shen Y, Cheng H, Chen J, Mansukhani M, Koul S, Halmos B and Borczuk AC: Next-generation sequencing of pulmonary sarcomatoid carcinoma reveals high frequency of actionable MET gene mutations. J Clin Oncol. 34:794–802. 2016. View Article : Google Scholar : PubMed/NCBI | |
|
Chen X, Zhang Y, Lu J, Xu C, Liang J, Wang F, Sun W, Fang S, Yuan J, Wang H, et al: Pulmonary sarcomatoid carcinoma with ALK rearrangement: Frequency, clinical-pathologic characteristics, and response to ALK inhibitor. Transl Oncol. 10:115–120. 2017. View Article : Google Scholar : PubMed/NCBI | |
|
Naito M, Tamiya A, Takeda M, Taniguchi Y, Saijo N, Naoki Y, Okishio K, Yoon H, Kasai T, Matsumura A and Atagi S: A High PD-L1 expression in pulmonary pleomorphic carcinoma correlates with parietal-pleural invasion and might predict a poor prognosis. Intern Med. 58:921–927. 2019. View Article : Google Scholar : PubMed/NCBI | |
|
Yang Z, Xu J, Li R, Gao Y and He J: PD-L1 and CD47 co-expression in pulmonary sarcomatoid carcinoma: A predictor of poor prognosis and potential targets of future combined immunotherapy. J Cancer Res Clin Oncol. 145:3055–3065. 2019. View Article : Google Scholar : PubMed/NCBI | |
|
Xu L, Tao NN, Liang B, Li DW, Li HC and Su LL: Use of PD-1 inhibitor tislelizumab in the treatment of advanced pulmonary sarcomatoid carcinoma: A case report. Thorac Cancer. 13:502–505. 2022. View Article : Google Scholar : PubMed/NCBI | |
|
Matsumoto Y, Miura T, Horiuchi H and Usui K: The successful treatment of pulmonary pleomorphic carcinoma with pembrolizumab: A case report. Case Rep Oncol. 10:752–757. 2017. View Article : Google Scholar : PubMed/NCBI | |
|
Domblides C, Leroy K, Monnet I, Mazières J, Barlesi F, Gounant V, Baldacci S, Mennecier B, Toffart AC, Audigier-Valette C, et al: Efficacy of immune checkpoint inhibitors in lung sarcomatoid carcinoma. J Thorac Oncol. 15:860–866. 2020. View Article : Google Scholar : PubMed/NCBI | |
|
Zhang T, Song X, Xu L, Ma J, Zhang Y, Gong W, Zhang Y, Zhou X, Wang Z, Wang Y, et al: The binding of an anti-PD-1 antibody to FcgammaRIota has a profound impact on its biological functions. Cancer Immunol Immunother. 67:1079–1090. 2018. View Article : Google Scholar : PubMed/NCBI | |
|
Shen L, Guo J, Zhang Q, Pan H, Yuan Y, Bai Y, Liu T, Zhou Q, Zhao J, Shu Y, et al: Tislelizumab in chinese patients with advanced solid tumors: An open-label, non-comparative, phase 1/2 study. J Immunother Cancer. 8:e0004372020. View Article : Google Scholar : PubMed/NCBI | |
|
Lee A and Keam SJ: Tislelizumab: First approval. Drugs. 80:617–624. 2020. View Article : Google Scholar : PubMed/NCBI | |
|
Liang H and Wang M: Prospect of immunotherapy combined with anti-angiogenic agents in patients with advanced non-small cell lung cancer. Cancer Manag Res. 11:7707–7719. 2019. View Article : Google Scholar : PubMed/NCBI |