Spandidos Publications Logo
  • About
    • About Spandidos
    • Aims and Scopes
    • Abstracting and Indexing
    • Editorial Policies
    • Reprints and Permissions
    • Job Opportunities
    • Terms and Conditions
    • Contact
  • Journals
    • All Journals
    • Oncology Letters
      • Oncology Letters
      • Information for Authors
      • Editorial Policies
      • Editorial Board
      • Aims and Scope
      • Abstracting and Indexing
      • Bibliographic Information
      • Archive
    • International Journal of Oncology
      • International Journal of Oncology
      • Information for Authors
      • Editorial Policies
      • Editorial Board
      • Aims and Scope
      • Abstracting and Indexing
      • Bibliographic Information
      • Archive
    • Molecular and Clinical Oncology
      • Molecular and Clinical Oncology
      • Information for Authors
      • Editorial Policies
      • Editorial Board
      • Aims and Scope
      • Abstracting and Indexing
      • Bibliographic Information
      • Archive
    • Experimental and Therapeutic Medicine
      • Experimental and Therapeutic Medicine
      • Information for Authors
      • Editorial Policies
      • Editorial Board
      • Aims and Scope
      • Abstracting and Indexing
      • Bibliographic Information
      • Archive
    • International Journal of Molecular Medicine
      • International Journal of Molecular Medicine
      • Information for Authors
      • Editorial Policies
      • Editorial Board
      • Aims and Scope
      • Abstracting and Indexing
      • Bibliographic Information
      • Archive
    • Biomedical Reports
      • Biomedical Reports
      • Information for Authors
      • Editorial Policies
      • Editorial Board
      • Aims and Scope
      • Abstracting and Indexing
      • Bibliographic Information
      • Archive
    • Oncology Reports
      • Oncology Reports
      • Information for Authors
      • Editorial Policies
      • Editorial Board
      • Aims and Scope
      • Abstracting and Indexing
      • Bibliographic Information
      • Archive
    • Molecular Medicine Reports
      • Molecular Medicine Reports
      • Information for Authors
      • Editorial Policies
      • Editorial Board
      • Aims and Scope
      • Abstracting and Indexing
      • Bibliographic Information
      • Archive
    • World Academy of Sciences Journal
      • World Academy of Sciences Journal
      • Information for Authors
      • Editorial Policies
      • Editorial Board
      • Aims and Scope
      • Abstracting and Indexing
      • Bibliographic Information
      • Archive
    • International Journal of Functional Nutrition
      • International Journal of Functional Nutrition
      • Information for Authors
      • Editorial Policies
      • Editorial Board
      • Aims and Scope
      • Abstracting and Indexing
      • Bibliographic Information
      • Archive
    • International Journal of Epigenetics
      • International Journal of Epigenetics
      • Information for Authors
      • Editorial Policies
      • Editorial Board
      • Aims and Scope
      • Abstracting and Indexing
      • Bibliographic Information
      • Archive
    • Medicine International
      • Medicine International
      • Information for Authors
      • Editorial Policies
      • Editorial Board
      • Aims and Scope
      • Abstracting and Indexing
      • Bibliographic Information
      • Archive
  • Articles
  • Information
    • Information for Authors
    • Information for Reviewers
    • Information for Librarians
    • Information for Advertisers
    • Conferences
  • Language Editing
Spandidos Publications Logo
  • About
    • About Spandidos
    • Aims and Scopes
    • Abstracting and Indexing
    • Editorial Policies
    • Reprints and Permissions
    • Job Opportunities
    • Terms and Conditions
    • Contact
  • Journals
    • All Journals
    • Biomedical Reports
      • Information for Authors
      • Editorial Policies
      • Editorial Board
      • Aims and Scope
      • Abstracting and Indexing
      • Bibliographic Information
      • Archive
    • Experimental and Therapeutic Medicine
      • Information for Authors
      • Editorial Policies
      • Editorial Board
      • Aims and Scope
      • Abstracting and Indexing
      • Bibliographic Information
      • Archive
    • International Journal of Epigenetics
      • Information for Authors
      • Editorial Policies
      • Editorial Board
      • Aims and Scope
      • Abstracting and Indexing
      • Bibliographic Information
      • Archive
    • International Journal of Functional Nutrition
      • Information for Authors
      • Editorial Policies
      • Editorial Board
      • Aims and Scope
      • Abstracting and Indexing
      • Bibliographic Information
      • Archive
    • International Journal of Molecular Medicine
      • Information for Authors
      • Editorial Policies
      • Editorial Board
      • Aims and Scope
      • Abstracting and Indexing
      • Bibliographic Information
      • Archive
    • International Journal of Oncology
      • Information for Authors
      • Editorial Policies
      • Editorial Board
      • Aims and Scope
      • Abstracting and Indexing
      • Bibliographic Information
      • Archive
    • Medicine International
      • Information for Authors
      • Editorial Policies
      • Editorial Board
      • Aims and Scope
      • Abstracting and Indexing
      • Bibliographic Information
      • Archive
    • Molecular and Clinical Oncology
      • Information for Authors
      • Editorial Policies
      • Editorial Board
      • Aims and Scope
      • Abstracting and Indexing
      • Bibliographic Information
      • Archive
    • Molecular Medicine Reports
      • Information for Authors
      • Editorial Policies
      • Editorial Board
      • Aims and Scope
      • Abstracting and Indexing
      • Bibliographic Information
      • Archive
    • Oncology Letters
      • Information for Authors
      • Editorial Policies
      • Editorial Board
      • Aims and Scope
      • Abstracting and Indexing
      • Bibliographic Information
      • Archive
    • Oncology Reports
      • Information for Authors
      • Editorial Policies
      • Editorial Board
      • Aims and Scope
      • Abstracting and Indexing
      • Bibliographic Information
      • Archive
    • World Academy of Sciences Journal
      • Information for Authors
      • Editorial Policies
      • Editorial Board
      • Aims and Scope
      • Abstracting and Indexing
      • Bibliographic Information
      • Archive
  • Articles
  • Information
    • For Authors
    • For Reviewers
    • For Librarians
    • For Advertisers
    • Conferences
  • Language Editing
Login Register Submit
  • This site uses cookies
  • You can change your cookie settings at any time by following the instructions in our Cookie Policy. To find out more, you may read our Privacy Policy.

    I agree
Search articles by DOI, keyword, author or affiliation
Search
Advanced Search
presentation
Oncology Letters
Join Editorial Board Propose a Special Issue
Print ISSN: 1792-1074 Online ISSN: 1792-1082
Journal Cover
December-2022 Volume 24 Issue 6

Full Size Image

Sign up for eToc alerts
Recommend to Library

Journals

International Journal of Molecular Medicine

International Journal of Molecular Medicine

International Journal of Molecular Medicine is an international journal devoted to molecular mechanisms of human disease.

International Journal of Oncology

International Journal of Oncology

International Journal of Oncology is an international journal devoted to oncology research and cancer treatment.

Molecular Medicine Reports

Molecular Medicine Reports

Covers molecular medicine topics such as pharmacology, pathology, genetics, neuroscience, infectious diseases, molecular cardiology, and molecular surgery.

Oncology Reports

Oncology Reports

Oncology Reports is an international journal devoted to fundamental and applied research in Oncology.

Experimental and Therapeutic Medicine

Experimental and Therapeutic Medicine

Experimental and Therapeutic Medicine is an international journal devoted to laboratory and clinical medicine.

Oncology Letters

Oncology Letters

Oncology Letters is an international journal devoted to Experimental and Clinical Oncology.

Biomedical Reports

Biomedical Reports

Explores a wide range of biological and medical fields, including pharmacology, genetics, microbiology, neuroscience, and molecular cardiology.

Molecular and Clinical Oncology

Molecular and Clinical Oncology

International journal addressing all aspects of oncology research, from tumorigenesis and oncogenes to chemotherapy and metastasis.

World Academy of Sciences Journal

World Academy of Sciences Journal

Multidisciplinary open-access journal spanning biochemistry, genetics, neuroscience, environmental health, and synthetic biology.

International Journal of Functional Nutrition

International Journal of Functional Nutrition

Open-access journal combining biochemistry, pharmacology, immunology, and genetics to advance health through functional nutrition.

International Journal of Epigenetics

International Journal of Epigenetics

Publishes open-access research on using epigenetics to advance understanding and treatment of human disease.

Medicine International

Medicine International

An International Open Access Journal Devoted to General Medicine.

Journal Cover
December-2022 Volume 24 Issue 6

Full Size Image

Sign up for eToc alerts
Recommend to Library

  • Article
  • Citations
    • Cite This Article
    • Download Citation
    • Create Citation Alert
    • Remove Citation Alert
    • Cited By
  • Similar Articles
    • Related Articles (in Spandidos Publications)
    • Similar Articles (Google Scholar)
    • Similar Articles (PubMed)
  • Download PDF
  • Download XML
  • View XML
Case Report Open Access

Ovarian collision tumor consisting of sclerosing stromal tumor and mature cystic teratoma complicated with Meigs syndrome: A case report

  • Authors:
    • Jiaren Zhang
    • Lian He
    • Li Yang
    • Ji Wang
    • Ling Wei
    • Xuejing Ma
    • Lin Jiang
  • View Affiliations / Copyright

    Affiliations: Department of Radiology, The First People's Hospital of Zunyi, The Third Affiliated Hospital of Zunyi Medical University, Zunyi, Guizhou 563000, P.R. China, Department of Radiology, The Second Affiliated Hospital of Zunyi Medical University, Zunyi, Guizhou 563000, P.R. China, Department of Radiology, The First People's Hospital of Zunyi, The Third Affiliated Hospital of Zunyi Medical University, Zunyi, Guizhou 563000, P.R. China
    Copyright: © Zhang et al. This is an open access article distributed under the terms of Creative Commons Attribution License.
  • Article Number: 443
    |
    Published online on: October 26, 2022
       https://doi.org/10.3892/ol.2022.13563
  • Expand metrics +
Metrics: Total Views: 0 (Spandidos Publications: | PMC Statistics: )
Metrics: Total PDF Downloads: 0 (Spandidos Publications: | PMC Statistics: )
Cited By (CrossRef): 0 citations Loading Articles...

This article is mentioned in:



Abstract

Ovarian collision tumors are uncommon and reports of their radiological appearance are even less frequent. The present study reported the world's first case of an ovarian collision tumor consisting of an ovarian sclerosing stromal tumor and a mature cystic teratoma and its imaging presentation. When a cystic solid ovarian mass combined with ascites and elevated CA125 is encountered it is frequently diagnosed as a malignant tumor, but the present case was a benign tumor. Therefore, when encountering similar cases, clinicians should not limit the diagnosis to malignant tumors to avoid rashly expanding the surgery and causing unnecessary harm to the patient. The combination of computed tomography, magnetic resonance imaging and pathology findings presented in the current study enable radiologists to learn about this disease and further assist clinicians in developing the best treatment plan.

Introduction

Collisional tumors are primary tumors in which two or more separate tissue origins coexist in the same anatomical site and are tightly adherent or partially enveloped. However, their diseased tissues are not intermingled (1). The ovaries are less commonly affected by collisional tumors than other organs, such as the digestive and urinary tract organs (2). Ovarian collision tumors lack identifiable clinical and imaging signs and are difficult to distinguish from other tumors, even with intraoperative visualization, due to their complex pathological composition (3). With the development of pathological immunohistochemistry techniques, the accuracy rate of correct postoperative pathological diagnoses has been steadily increasing. However, knowledge about this type of tumor remains limited, particularly with regard to unusual pathological types. The ovary consists of three cell types: Epithelial cells, germ cells and mesenchymal cells. Random combinations of these three cell-derived tumors may generate a variety of collision tumors, the most common of which are combinations of epithelial and germ cell tumors, while the incidence of other combination types is lower (4). To the best of our knowledge, the collision tumor presented in the current study is the first of its kind, comprising a sclerosing stromal tumor and a mature cystic teratoma. The purpose of the present report is to analyze the pathologic and imaging data of this rare ovarian collision tumor. It is esteemed that sharing the experience of this rare tumor type will assist clinicians in choosing the right treatment.

Case report

A 55-year-old female patient presented at the First People's Hospital of Zunyi (Guizhou, China) in August 2021, where a large mass in the right lower abdomen during an abdominal ultrasound examination of a physical examination requested by the patient after retirement. Physical examination indicated mild tenderness in the right lower abdomen. Carbohydrate antigen 125 (CA125; 1,247.7 U/ml) was tens of times higher than the normal reference value (0–35 U/ml), but CA19-9 (8.60 ku/l) and α-fetoprotein (1.56 µg/l) remained within the normal reference range (CA19-9: 0–40 ku/l and α-fetoprotein: 0–20 µg/l). The patient's serum sex hormone levels were within normal ranges. The patient became menopausal at the age of 52 years and denied having any remarkable medical personal or family history.

The CT scan of the pelvis revealed a large mixed-density mass of 12×11×10 cm, with organs around the lesion pushed away (Fig. 1A). The tumor parenchymal section exhibited progressive enhancement (Fig. 1B-D). A thick left uterine artery was seen supplying blood to the mass in the left posterior aspect of the entire mass (Fig. 1E). In the right posterior part of the whole mass, fluid-dense and fat-dense masses were seen and no significant enhancement was observed on enhancement CT (Fig. 1E). Finally, a large amount of pleural fluid was observed on the right side of the patient's chest cavity on the CT plain examination of the chest, while there was no fluid in the left (Fig. 1F). On MRI, a vast mixed-signal mass in the pelvis with an intact envelope was seen in the pelvis, with a predominant hypersignal on T2-weighted imaging (T2WI), a cystic necrotic area or edematous area was observed within the mass and the parenchymal portion of the mass exhibited an isosignal on T1WI and a slight hypersignal on T2WI (with the surrounding muscle tissue signal as an isosignal reference). In addition, liquid and fat signals were observed in the right back of the mass, with clear boundaries, and the fat portion of the mass had significantly lower signals on T2WI (Fig. 2A and B). The necrotic or edematous area of the cystic lesion had a hypersignal (b=1,000 sec/mm2) on diffusion-weighted imaging (DWI) and a hyposignal in the apparent diffusion coefficient (ADC), and the parenchymal portion displayed as an iso-/hypersignal on DWI and an iso-/hypersignal in the ADC (Fig. 2C and D). No enlarged lymph nodes were seen in the pelvis or groin. At the time, radiologists initially considered ovarian cystic adenocarcinoma with mature cystic teratoma and thickening of the peritoneum in both the abdominal and thoracic cavity effusion, suggesting metastasis based on the patient's age and imaging. However, subsequent thoracentesis revealed that the patient's right pleural effusion was a slightly turbid, yellowish exudative fluid with a total protein concentration of 40.3 g/l and no cancer cells were found. However, it was not possible to rule out the possibility of other malignancies and teratomas combined. After a multidisciplinary discussion, it was finally decided that the best treatment strategy was to perform surgery with intraoperative pathological frozen biopsy.

Figure 1.

(A) CT plain scan demonstrating a massive, mixed-density mass in the pelvis of the patient, which pushed away the surrounding tissues and organs; ascites are visible around the mass. (B) CT-enhanced arterial phase image shows extensive distribution of tiny arteries in the tumor, and the parenchymal part of the tumor is mildly enhanced. (C) CT-enhanced venous phase image shows further enhancement of the parenchymal part of the tumor compared with the arterial phase. (D) CT-enhanced delayed phase image shows further intensification of the parenchymal part of the tumor. (E) The arterial phase of CT-enhanced scan shows a thick uterine artery is visible on the left posterior side of the entire mass (arrow); in addition, a small mass composed of fluid and fat is visible on the right posterior side of the entire mass; this small mass is surrounded by a substantial anterior mass and this portion does not enhance. (F) On chest CT, a substantial pleural effusion is detected on the right side of the chest cavity, whereas no fluid is detected on the left side (scale bars, 4 cm).

Figure 2.

(A) Axial T1-weighted MRI indicating a large mixed-signal lesion in the pelvis with a small lobulated solid cystic mass in the right posterior region, which is surrounded by a large anterior mass forming a ‘nested tumor’ pattern containing fatty nodules (arrow) with well-defined margins. (B) On the axial fat-suppressed T2-weighted image, the larger anterior portion of the entire occupying lesion displays with a mixed signal with a predominantly hypersignal, while the posterior portion of the fat nodule has a distinct hyposignal. (C) In the ADC image, the mass is predominantly hypersignal with a lamellar hyposignal. (D) The portion of the ADC image that is hyposignal appears as a slight hypersignal on DWI (b=1,000 sec/mm2) (scale bar, 4 cm).

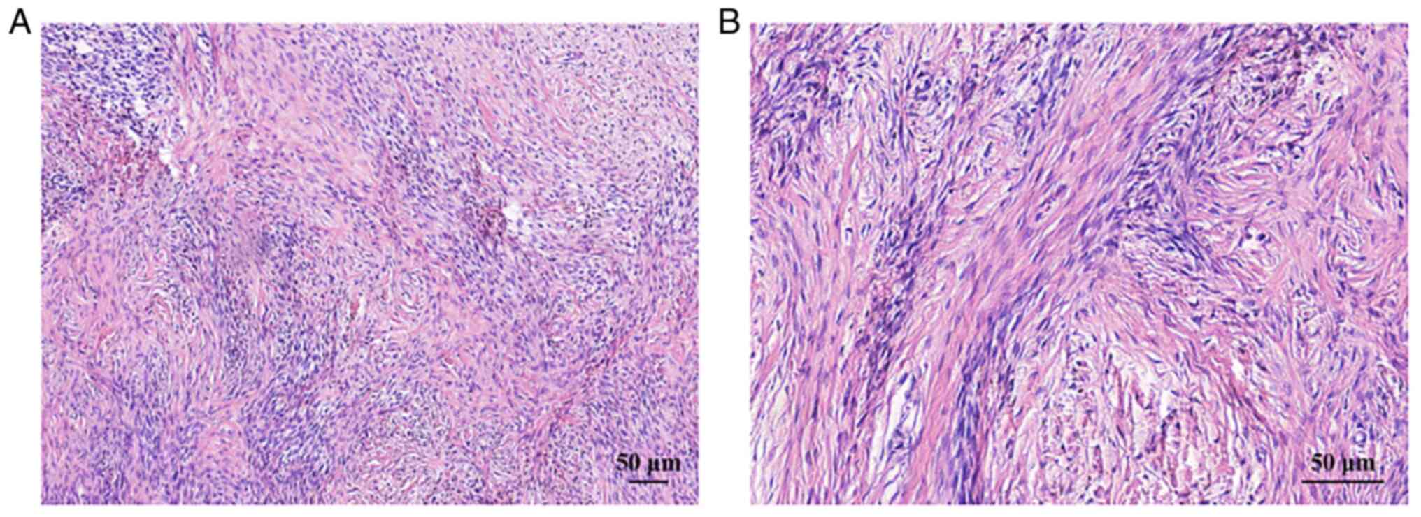
The patient then underwent laparoscopic hysterectomy and bilateral oophorectomy. The surgical specimen had two contiguous masses, the majority of which consisted of grayish flesh-like tissue and the remainder of which consisted of fatty fluid and hair. Intraoperative pathological frozen section findings indicated tumors of the interstitial origin of the sex cords. Postoperative immunohistochemical staining (5) using antibodies from Beijing Zhongshan Golden Bridge Biotechnology Co., Ltd. revealed positivity for Vimentin (cat. no. ZM-0260; prediluted by the manufacturer), smooth muscle actin (cat. no. ZM-0003; prediluted by the manufacturer) and Wilms' tumor protein (WT-1; cat. no. ZM-0269; prediluted by the manufacturer), negativity for S-100 protein (cat. no. ZM-0224; prediluted by the manufacturer) and epithelial markers and a low Ki-67 (cat. no. ZM-0166; prediluted by the manufacturer) proliferation index (~3%). Histopathological analysis (6) of the mass revealed an alternating pseudolobular pattern of a cellular zone composed of ovoid vacuolated oocytes and a hypocellular zone consisting of dense collagenous tissue (Fig. 3A and B). The final pathological diagnosis was a sclerosing stromal tumor of the ovary with a mature cystic teratoma. The patient received postoperative anti-infection treatment, vital signs were stable and the patient recovered well. The abdominal and pleural effusion disappeared within 15 days after surgery and CA125 (cat. no. ZM-0019; prediluted by the manufacturer) decreased significantly (315.50 vs. 1,247.70 U/ml prior to surgery). The patient was followed up for 12 months is now in a healthy condition with good treatment results, and no recurrence or metastasis was detected during an abdominal ultrasound examination in the last month.

Figure 3.

(A) Histology image displaying alternating pseudolobular patterns consisting of cellular and hypocellular areas (H&E; magnification, ×100; scale bar, 50 µm); (B) The first part consists of ovoid to round vacuolated oocytes and fibroblasts and the second part consists of dense collagenous tissue (H&E; magnification, ×200; scale bar, 50 µm).

Discussion

Ovarian collision tumors are rare tumors in which there is no mixture of tumor cells or tissues and they are separated by their respective stroma (1,2). It is important to note that ovarian collision tumors must be primary tumors of ovarian origin and not secondary tumors; for instance, ovarian cancer secondary to lymphoma and mature cystic teratoma secondary to squamous cell carcinoma are not considered to be ovarian collision tumors (7,8). To date, the pathogenesis of collisional tumors has remained elusive; however, there are several hypotheses: i) A mere chance encounter of two different types of tumors at the same anatomical site (9); ii) the occurrence of other different types of tumors due to changes in the surrounding microenvironment caused by the presence of the first type of tumor (10); iii) genetically homogeneous clonal cells that differentiate into two different histological types of tumor cells (11).

Ovarian collision tumors most frequently occur in middle-aged females. Clinical manifestations of ovarian collision tumors are nonspecific and certain patients do not have any clinical manifestations. Certain patients may complain of intermittent abdominal pain, bloating and frequent urination due to large lumps compressing the bladder (1,12), while others may experience ascites and dysfunctional uterine bleeding, although this is not common (13). The biological behavior of ovarian collision tumors depends on the type of tumor. If the composed tumor contains a malignant tumor, it will exhibit that tumor's biological behavior, such as infiltration into adjacent tissues and organs and distant metastasis. However, in the present case, the collision tumor consisted of an ovarian sclerosing stromal tumor (OSST) and a mature cystic teratoma, both of which belonged to the category of benign tumors, and lacked the biological characteristics frequently observed in malignant tumors. OSST is a rare benign tumor of the ovary that was first reported in 1973 (14). It belongs to the category of ovarian gonadal mesenchymal tumors and has an incidence of <5%, with the highest incidence in females aged 25–29 years (15). By contrast, the patient of the present study was a 53-year-old menopausal female. The diagnosis of OSST is rare in postmenopausal women. This may be because symptoms associated with the menstrual cycle in older women may be masked by the patient's menopause, and various common conditions may cause nonspecific abdominal pain in the older population, making the diagnosis of OSST in older women more difficult (16). OSST has an abundant blood supply but is a benign tumor that may be combined with elevated CA125 and Meigs syndrome (pleural and ascites fluid disappeared soon after tumor resection). Mature cystic teratoma is one of the most prevalent benign ovarian tumors. It grows slowly, usually has an intact envelope, rarely invades adjacent structures and may be treated surgically (17).

OSST has a weak sex hormone secretion function and its serum sex hormone indicators are usually in the normal range. Rarely, it may cause elevated levels of estrogen, testosterone and luteinizing hormone, which may result in corresponding clinical symptoms, such as menstrual disorders, infertility and abnormal uterine bleeding, but not all OSSTs have increased hormones (14). The patient of the present study displayed no obvious clinical symptoms. In addition, the patient was detected as having ascites and a right pleural effusion. According to the initial hypothesis of Meigs, ascites and pleural fluid may arise because the benign ovarian tumor irritates the peritoneal surface, causing increased peritoneal exudation, and the increased ascites flow into the thoracic cavity through the orifice on the diaphragm because the channels are more developed on the right side and there is a greater chance of pleural effusion on the right side than on the left side (18); the case of the present study supports this hypothesis. However, there is no conclusive evidence as to the cause of Meigs syndrome. Furthermore, the patient's CA125 levels were also substantially higher than normal. Elevated CA125 is caused by peritoneal and omental expression, not benign tumor expression (19). In addition, Liou et al (20) discovered a substantial positive association between abdominal water volume and CA125 levels in patients with benign ovarian tumors combined with Meigs syndrome and increased CA125, regardless of tumor size. This may be because the peritoneum was mechanically stimulated, causing ascites and CA125 secretion. Finally, the patient of the present study was positive for WT-1, which is encoded by the WT1 gene on chromosome 11 and has an important role in the development of the normal urogenital tract and is highly expressed in 77% of stromal tumors (21). Currently, WT-1 is frequently used as an adjuvant marker to detect ovarian sex cord stromal tumors; therefore, immunohistochemical staining indicating positive WT-1 may also support the tumor being mesenchymal in origin.

The imaging appearance of ovarian collision tumors is dependent not only on the imaging appearance of the individual tumors of which they are composed but also on the pattern of collision. In the present case, a substantial portion of the OSST and the necrotic cystic and edematous areas were iso-intense and slightly hypo-intense on CT, respectively. The tumor signal is more uniform on T1WI because the fibrous tissue, cystic lesion and edematous part inside the tumor are hyposignal or isosignal on T1WI. By contrast, the tumor signal on T2WI is mixed and uneven, and areas of hypersignal within the tumor do not exclusively represent areas of necrotic cystic lesions but may also be sparse edematous connective tissue. The parenchymal portion of the tumor exhibited a hypersignal on DWI (b=1,000 sec/mm2), suggesting a high cell density, which is consistent with the abundance of tumor cells in the pseudolobules seen on pathology. The ADC signal of the tumor is predominantly hypersignal, suggesting to a certain extent that the tumor is benign, while the ADC value of malignant tumors is usually low, which helps differentiate it from malignant ovarian tumors. Enhanced scans indicated a marked enhancement in the solid portion in the arterial phase because of the rich vascularity of the tumor and delayed enhancement in the venous phase due to the rich collagen fiber component inside, showing an enhancement pattern similar to that of cavernous hemangioma of the liver, while the cystic region was not enhanced. A thick and tortuous uterine artery was seen on the left side of the tumor to supply it, revealing the blood-rich properties of OSST. A cystic fluid-dense and fat-dense mass was seen within the whole mass on the right posterior side, which was surrounded by a massive tumor in front. After contrast enhancement, no significant enhancement was seen in this part of the mass. The fatty part of these masses exhibited a significant hyposignal on the T2 fat suppression sequence image. In addition, ascites were observed in the periphery of the tumor, but no enlarged lymph nodes were present, which was consistent with the biological behavior of this tumor.

The differential diagnosis requires to be discussed concerning different ovarian collision tumors among themselves and with nonovarian collision tumors. The imaging appearance of ovarian collision tumors relies on the compositional origin of the tumor. The most frequent combination is an epithelial tumor with a germ cell tumor, and the majority of reported epithelial tumors are mucinous or serous cystadenoma (4). Mucinous cystadenoma usually present as a multilocular cystic mass. The tumor displays with a hypersignal on T1WI and T2WI due to the presence of mucin. Serous cystadenomas are smaller than mucinous cystadenomas, but they frequently have calcifications and papillary soft tissue projections on the cyst wall and are more malignant than mucinous cystadenomas. Imaging may easily diagnose both. Ovarian serous cystadenoma usually deteriorates to form serous cystadenocarcinoma, which has distinct papillary protrusions on the cyst wall and uneven wall thickness compared to serous cystadenoma, with significant enhancement of the septum, cyst wall and the parenchymal portion of the mass enhancement. It is difficult to identify specific masses on imaging when their imaging presentation is atypical. The combination of an epithelial tumor with a sex-cord stromal tumor is rare. Granulosa cell tumors in the interstitial cell tumors of the sex cords produce sex hormones and may cause a range of endocrine-related clinical symptoms. The imaging presentation is varied and may be large multilocular cystic, cystic solid or solid masses that require hormone levels and clinical presentation for diagnosis. Other types of stromal cell tumors, such as ovarian fibrous tumors and Sertoli-Leydig cell tumors, are challenging to diagnose by imaging alone and ultimately require pathology to confirm the diagnosis.

Ovarian collision tumors are easily confused with common mixed and compound tumors of the ovary, which are defined pathologically in completely different ways (22). Mixed tumors have various histologic components from the same stem cell that are mixed at the tissue level, such as mixed germ cell tumors, which appear as a single mass with no separation (23). Complex tumors have a mixture of two cell types of different tissue origins within them, with no clear separation between them, and the two distinct components are indistinguishable. Imaging alone is not adequate to make a conclusive diagnosis.

As ovarian collision tumors have multiple origins, benign tumors may be removed surgically, but malignant tumors may require surgery, radiation and chemotherapy, and different tumors require different treatment options. Once diagnosed, surgical excision is sufficient for OSST and mature cystic teratoma. Since benign and malignant tumors are treated differently, preoperative diagnosis is crucial to avoid causing unnecessary damage to the patient by rashly broadening the scope of surgery. When clinicians encounter patients with ovarian cystic solid masses combined with ascites and elevated CA125, they should not limit their diagnosis to malignancy, particularly when the masse's enhancing pattern on imaging is similar to cavernous hepatic hemangioma, and should also consider OSST combined with Meigs sign and elevated CA125. Both mature cystic teratoma and OSST are benign tumors. No local or distant metastases or recurrences have been reported. The patient had a regular follow-up examination 1 year after surgery and no recurrence or distant metastasis was detected in this patient.

In summary, the present study reported the first case of an ovarian collision tumor consisting of a sclerosing stromal tumor combined with a mature cystic teratoma and its imaging presentation. It is esteemed that this report will enhance the knowledge of this disease among radiologists and further assist clinicians in developing optimal treatment plans.

Acknowledgements

Not applicable.

Funding

Funding: No funding was received.

Availability of data and materials

All data generated or analyzed during this study are included in this published article.

Authors' contributions

JRZ designed the study and wrote the manuscript. LH, LY, JW and LW performed all of the experiments. LJ and XJM were responsible for the collection and analysis of case data and literature and confirmed the authenticity of all the raw data. All authors agreed to the journal to which the article was submitted and agreed to take responsibility for all aspects of the work. All authors read and approved the final version of the manuscript.

Ethics approval and consent to participate

This study was approved by the Ethics Committee of the First People's Hospital of Zunyi (Zunyi, China; approval no. 202112021). The patient provided written informed consent.

Patient consent for publication

The patient provided written informed consent for the case study to be published.

Competing interests

The authors declare that they have no competing interests.

References

1 

Kim SH, Kim YJ, Park BK, Cho JY, Kim BH and Byun JY: Collision tumors of the ovary associated with teratoma: Clues to the correct preoperative diagnosis. J Comput Assist Tomogr. 23:929–933. 1999. View Article : Google Scholar : PubMed/NCBI

2 

Bige O, Demir A, Koyuncuoglu M, Secil M, Ulukus C and Saygili U: Collision tumor: Serous cystadenocarcinoma and dermoid cyst in the same ovary. Arch Gynecol Obstet. 279:767–770. 2009. View Article : Google Scholar : PubMed/NCBI

3 

Weigel J, Neher M, Schrey M, Wünsch PH and Steiner HH: Collision tumor composed of meningioma and cavernoma. J Korean Neurosurg Soc. 60:102–107. 2017. View Article : Google Scholar : PubMed/NCBI

4 

Peng Y, Lin J, Guan J, Chen L, Zhang X, Li S, Wang H, Liu M and Guo Y: Ovarian collision tumors: Imaging findings, pathological characteristics, diagnosis, and differential diagnosis. Abdom Radiol (NY). 43:2156–2168. 2018. View Article : Google Scholar : PubMed/NCBI

5 

Zhu Y, Serpooshan V, Wu S, Demirci U, Chen P and Güven S: Tissue engineering of 3D organotypic microtissues by acoustic assembly. Methods Mol Biol. 1576:301–312. 2019. View Article : Google Scholar : PubMed/NCBI

6 

Roskell DE and Buley ID: Histopathological assessment of metastasis. Methods Mol Biol. 878:51–61. 2012. View Article : Google Scholar : PubMed/NCBI

7 

Singhal N, Quilty S, George M, Davy M and Selva Nayagam S: A tale of two cancers: Collision presentation of ovarian carcinoma and lymphoma. Aust N Z J Obstet Gynaecol. 49:232–234. 2009. View Article : Google Scholar : PubMed/NCBI

8 

Allam-Nandyala P, Bui MM, Caracciolo JT and Hakam A: Squamous cell carcinoma and osteosarcoma arising from a dermoid cyst-a case report and review of literature. Int J Clin Exp Pathol. 3:313–318. 2010.PubMed/NCBI

9 

Brandwein-Gensler M, Urken M and Wang B: Collision tumor of the thyroid: A case report of metastatic liposarcoma plus papillary thyroid carcinoma. Head Neck. 26:637–641. 2004. View Article : Google Scholar : PubMed/NCBI

10 

Rodriguez FJ, Scheithauer BW, Fourney DR and Robinson CA: Ependymoma and intraparenchymal calcifying pseudoneoplasm of the neural axis: Incidental collision or unique reactive phenomenon? Acta Neuropathol. 115:363–366. 2008. View Article : Google Scholar : PubMed/NCBI

11 

Fujii H, Zhu XG, Matsumoto T, Inagaki M, Tokusashi Y, Miyokawa N, Fukusato T, Uekusa T, Takagaki T, Kadowaki N and Shirai T: Genetic classification of combined hepatocellular-cholangiocarcinoma. Hum Pathol. 31:1011–1017. 2000. View Article : Google Scholar : PubMed/NCBI

12 

Seo EJ, Kwon HJ and Shim SI: Ovarian serous cystadenoma associated with Sertoli-Leydig cell tumor-a case report. J Korean Med Sci. 11:84–87. 1996. View Article : Google Scholar : PubMed/NCBI

13 

Roy S, Mukhopadhayay S, Gupta M and Chandramohan A: Mature cystic teratoma with co-existent mucinous cystadenocarcinoma in the same ovary-a diagnostic dilemma. J Clin Diagn Res. 10:ED11–ED13. 2016.PubMed/NCBI

14 

Chalvardjian A and Scully RE: Sclerosing stromal tumors of the ovary. Cancer. 31:664–670. 1973. View Article : Google Scholar : PubMed/NCBI

15 

Zhang X, Li H, Li L, Zhang H, Zhang T and Liu X: Sclerosing stromal tumor with marked atypia that mimics an undifferentiated sarcoma. Pathol Int. 70:53–55. 2020. View Article : Google Scholar : PubMed/NCBI

16 

Kim TH, Lee HH, Hong JA, Park J, Jeon DS, Lee A and Koh ES: Sclerosing stromal tumor in an elderly postmenopausal woman. J Menopausal Med. 20:80–83. 2014. View Article : Google Scholar : PubMed/NCBI

17 

Patel IJ, Hsiao E, Ahmad AH, Schroeder C and Gilkeson RC: AIRP best cases in radiologic-pathologic correlation: Mediastinal mature cystic teratoma. Radiographics. 33:797–801. 2013. View Article : Google Scholar : PubMed/NCBI

18 

Meigs JV: Fibroma of the ovary with ascites and hydrothorax; Meigs' syndrome. Am J Obstet Gynecol. 67:962–985. 1954. View Article : Google Scholar : PubMed/NCBI

19 

Buttin BM, Cohn DE and Herzog TJ: Meigs' syndrome with an elevated CA 125 from benign Brenner tumors. Obstet Gynecol. 98:980–982. 2001. View Article : Google Scholar : PubMed/NCBI

20 

Liou JH, Su TC and Hsu JC: Meigs' syndrome with elevated serum cancer antigen 125 levels in a case of ovarian sclerosing stromal tumor. Taiwan J Obstet Gynecol. 50:196–200. 2011. View Article : Google Scholar : PubMed/NCBI

21 

Marchevsky AM: Application of immunohistochemistry to the diagnosis of malignant mesothelioma. Arch Pathol Lab Med. 132:397–401. 2008. View Article : Google Scholar : PubMed/NCBI

22 

Park SB, Kim JK, Kim KR and Cho KS: Imaging findings of complications and unusual manifestations of ovarian teratomas. Radiographics. 28:969–983. 2008. View Article : Google Scholar : PubMed/NCBI

23 

Rha SE, Byun JY, Jung SE, Kim HL, Oh SN, Kim H, Lee H, Kim BK and Lee JM: Atypical CT and MRI manifestations of mature ovarian cystic teratomas. AJR Am J Roentgenol. 183:743–750. 2004. View Article : Google Scholar : PubMed/NCBI

Related Articles

  • Abstract
  • View
  • Download
  • Twitter
Copy and paste a formatted citation
Spandidos Publications style
Zhang J, He L, Yang L, Wang J, Wei L, Ma X and Jiang L: Ovarian collision tumor consisting of sclerosing stromal tumor and mature cystic teratoma complicated with Meigs syndrome: A case report. Oncol Lett 24: 443, 2022.
APA
Zhang, J., He, L., Yang, L., Wang, J., Wei, L., Ma, X., & Jiang, L. (2022). Ovarian collision tumor consisting of sclerosing stromal tumor and mature cystic teratoma complicated with Meigs syndrome: A case report. Oncology Letters, 24, 443. https://doi.org/10.3892/ol.2022.13563
MLA
Zhang, J., He, L., Yang, L., Wang, J., Wei, L., Ma, X., Jiang, L."Ovarian collision tumor consisting of sclerosing stromal tumor and mature cystic teratoma complicated with Meigs syndrome: A case report". Oncology Letters 24.6 (2022): 443.
Chicago
Zhang, J., He, L., Yang, L., Wang, J., Wei, L., Ma, X., Jiang, L."Ovarian collision tumor consisting of sclerosing stromal tumor and mature cystic teratoma complicated with Meigs syndrome: A case report". Oncology Letters 24, no. 6 (2022): 443. https://doi.org/10.3892/ol.2022.13563
Copy and paste a formatted citation
x
Spandidos Publications style
Zhang J, He L, Yang L, Wang J, Wei L, Ma X and Jiang L: Ovarian collision tumor consisting of sclerosing stromal tumor and mature cystic teratoma complicated with Meigs syndrome: A case report. Oncol Lett 24: 443, 2022.
APA
Zhang, J., He, L., Yang, L., Wang, J., Wei, L., Ma, X., & Jiang, L. (2022). Ovarian collision tumor consisting of sclerosing stromal tumor and mature cystic teratoma complicated with Meigs syndrome: A case report. Oncology Letters, 24, 443. https://doi.org/10.3892/ol.2022.13563
MLA
Zhang, J., He, L., Yang, L., Wang, J., Wei, L., Ma, X., Jiang, L."Ovarian collision tumor consisting of sclerosing stromal tumor and mature cystic teratoma complicated with Meigs syndrome: A case report". Oncology Letters 24.6 (2022): 443.
Chicago
Zhang, J., He, L., Yang, L., Wang, J., Wei, L., Ma, X., Jiang, L."Ovarian collision tumor consisting of sclerosing stromal tumor and mature cystic teratoma complicated with Meigs syndrome: A case report". Oncology Letters 24, no. 6 (2022): 443. https://doi.org/10.3892/ol.2022.13563
Follow us
  • Twitter
  • LinkedIn
  • Facebook
About
  • Spandidos Publications
  • Careers
  • Cookie Policy
  • Privacy Policy
How can we help?
  • Help
  • Live Chat
  • Contact
  • Email to our Support Team