Spandidos Publications Logo
  • About
    • About Spandidos
    • Aims and Scopes
    • Abstracting and Indexing
    • Editorial Policies
    • Reprints and Permissions
    • Job Opportunities
    • Terms and Conditions
    • Contact
  • Journals
    • All Journals
    • Oncology Letters
      • Oncology Letters
      • Information for Authors
      • Editorial Policies
      • Editorial Board
      • Aims and Scope
      • Abstracting and Indexing
      • Bibliographic Information
      • Archive
    • International Journal of Oncology
      • International Journal of Oncology
      • Information for Authors
      • Editorial Policies
      • Editorial Board
      • Aims and Scope
      • Abstracting and Indexing
      • Bibliographic Information
      • Archive
    • Molecular and Clinical Oncology
      • Molecular and Clinical Oncology
      • Information for Authors
      • Editorial Policies
      • Editorial Board
      • Aims and Scope
      • Abstracting and Indexing
      • Bibliographic Information
      • Archive
    • Experimental and Therapeutic Medicine
      • Experimental and Therapeutic Medicine
      • Information for Authors
      • Editorial Policies
      • Editorial Board
      • Aims and Scope
      • Abstracting and Indexing
      • Bibliographic Information
      • Archive
    • International Journal of Molecular Medicine
      • International Journal of Molecular Medicine
      • Information for Authors
      • Editorial Policies
      • Editorial Board
      • Aims and Scope
      • Abstracting and Indexing
      • Bibliographic Information
      • Archive
    • Biomedical Reports
      • Biomedical Reports
      • Information for Authors
      • Editorial Policies
      • Editorial Board
      • Aims and Scope
      • Abstracting and Indexing
      • Bibliographic Information
      • Archive
    • Oncology Reports
      • Oncology Reports
      • Information for Authors
      • Editorial Policies
      • Editorial Board
      • Aims and Scope
      • Abstracting and Indexing
      • Bibliographic Information
      • Archive
    • Molecular Medicine Reports
      • Molecular Medicine Reports
      • Information for Authors
      • Editorial Policies
      • Editorial Board
      • Aims and Scope
      • Abstracting and Indexing
      • Bibliographic Information
      • Archive
    • World Academy of Sciences Journal
      • World Academy of Sciences Journal
      • Information for Authors
      • Editorial Policies
      • Editorial Board
      • Aims and Scope
      • Abstracting and Indexing
      • Bibliographic Information
      • Archive
    • International Journal of Functional Nutrition
      • International Journal of Functional Nutrition
      • Information for Authors
      • Editorial Policies
      • Editorial Board
      • Aims and Scope
      • Abstracting and Indexing
      • Bibliographic Information
      • Archive
    • International Journal of Epigenetics
      • International Journal of Epigenetics
      • Information for Authors
      • Editorial Policies
      • Editorial Board
      • Aims and Scope
      • Abstracting and Indexing
      • Bibliographic Information
      • Archive
    • Medicine International
      • Medicine International
      • Information for Authors
      • Editorial Policies
      • Editorial Board
      • Aims and Scope
      • Abstracting and Indexing
      • Bibliographic Information
      • Archive
  • Articles
  • Information
    • Information for Authors
    • Information for Reviewers
    • Information for Librarians
    • Information for Advertisers
    • Conferences
  • Language Editing
Spandidos Publications Logo
  • About
    • About Spandidos
    • Aims and Scopes
    • Abstracting and Indexing
    • Editorial Policies
    • Reprints and Permissions
    • Job Opportunities
    • Terms and Conditions
    • Contact
  • Journals
    • All Journals
    • Biomedical Reports
      • Information for Authors
      • Editorial Policies
      • Editorial Board
      • Aims and Scope
      • Abstracting and Indexing
      • Bibliographic Information
      • Archive
    • Experimental and Therapeutic Medicine
      • Information for Authors
      • Editorial Policies
      • Editorial Board
      • Aims and Scope
      • Abstracting and Indexing
      • Bibliographic Information
      • Archive
    • International Journal of Epigenetics
      • Information for Authors
      • Editorial Policies
      • Editorial Board
      • Aims and Scope
      • Abstracting and Indexing
      • Bibliographic Information
      • Archive
    • International Journal of Functional Nutrition
      • Information for Authors
      • Editorial Policies
      • Editorial Board
      • Aims and Scope
      • Abstracting and Indexing
      • Bibliographic Information
      • Archive
    • International Journal of Molecular Medicine
      • Information for Authors
      • Editorial Policies
      • Editorial Board
      • Aims and Scope
      • Abstracting and Indexing
      • Bibliographic Information
      • Archive
    • International Journal of Oncology
      • Information for Authors
      • Editorial Policies
      • Editorial Board
      • Aims and Scope
      • Abstracting and Indexing
      • Bibliographic Information
      • Archive
    • Medicine International
      • Information for Authors
      • Editorial Policies
      • Editorial Board
      • Aims and Scope
      • Abstracting and Indexing
      • Bibliographic Information
      • Archive
    • Molecular and Clinical Oncology
      • Information for Authors
      • Editorial Policies
      • Editorial Board
      • Aims and Scope
      • Abstracting and Indexing
      • Bibliographic Information
      • Archive
    • Molecular Medicine Reports
      • Information for Authors
      • Editorial Policies
      • Editorial Board
      • Aims and Scope
      • Abstracting and Indexing
      • Bibliographic Information
      • Archive
    • Oncology Letters
      • Information for Authors
      • Editorial Policies
      • Editorial Board
      • Aims and Scope
      • Abstracting and Indexing
      • Bibliographic Information
      • Archive
    • Oncology Reports
      • Information for Authors
      • Editorial Policies
      • Editorial Board
      • Aims and Scope
      • Abstracting and Indexing
      • Bibliographic Information
      • Archive
    • World Academy of Sciences Journal
      • Information for Authors
      • Editorial Policies
      • Editorial Board
      • Aims and Scope
      • Abstracting and Indexing
      • Bibliographic Information
      • Archive
  • Articles
  • Information
    • For Authors
    • For Reviewers
    • For Librarians
    • For Advertisers
    • Conferences
  • Language Editing
Login Register Submit
  • This site uses cookies
  • You can change your cookie settings at any time by following the instructions in our Cookie Policy. To find out more, you may read our Privacy Policy.

    I agree
Search articles by DOI, keyword, author or affiliation
Search
Advanced Search
presentation
Oncology Letters
Join Editorial Board Propose a Special Issue
Print ISSN: 1792-1074 Online ISSN: 1792-1082
Journal Cover
January-2023 Volume 25 Issue 1

Full Size Image

Sign up for eToc alerts
Recommend to Library

Journals

International Journal of Molecular Medicine

International Journal of Molecular Medicine

International Journal of Molecular Medicine is an international journal devoted to molecular mechanisms of human disease.

International Journal of Oncology

International Journal of Oncology

International Journal of Oncology is an international journal devoted to oncology research and cancer treatment.

Molecular Medicine Reports

Molecular Medicine Reports

Covers molecular medicine topics such as pharmacology, pathology, genetics, neuroscience, infectious diseases, molecular cardiology, and molecular surgery.

Oncology Reports

Oncology Reports

Oncology Reports is an international journal devoted to fundamental and applied research in Oncology.

Experimental and Therapeutic Medicine

Experimental and Therapeutic Medicine

Experimental and Therapeutic Medicine is an international journal devoted to laboratory and clinical medicine.

Oncology Letters

Oncology Letters

Oncology Letters is an international journal devoted to Experimental and Clinical Oncology.

Biomedical Reports

Biomedical Reports

Explores a wide range of biological and medical fields, including pharmacology, genetics, microbiology, neuroscience, and molecular cardiology.

Molecular and Clinical Oncology

Molecular and Clinical Oncology

International journal addressing all aspects of oncology research, from tumorigenesis and oncogenes to chemotherapy and metastasis.

World Academy of Sciences Journal

World Academy of Sciences Journal

Multidisciplinary open-access journal spanning biochemistry, genetics, neuroscience, environmental health, and synthetic biology.

International Journal of Functional Nutrition

International Journal of Functional Nutrition

Open-access journal combining biochemistry, pharmacology, immunology, and genetics to advance health through functional nutrition.

International Journal of Epigenetics

International Journal of Epigenetics

Publishes open-access research on using epigenetics to advance understanding and treatment of human disease.

Medicine International

Medicine International

An International Open Access Journal Devoted to General Medicine.

Journal Cover
January-2023 Volume 25 Issue 1

Full Size Image

Sign up for eToc alerts
Recommend to Library

  • Article
  • Citations
    • Cite This Article
    • Download Citation
    • Create Citation Alert
    • Remove Citation Alert
    • Cited By
  • Similar Articles
    • Related Articles (in Spandidos Publications)
    • Similar Articles (Google Scholar)
    • Similar Articles (PubMed)
  • Download PDF
  • Download XML
  • View XML
Case Report Open Access

Death within 9 months in patient with follicular dendritic cell sarcoma of spleen: A case report

  • Authors:
    • Zhao-Yang Xing
  • View Affiliations / Copyright

    Affiliations: Department of Critical Medicine, The First People's Hospital of Guangyuan, Guangyuan, Sichuan 628017, P.R. China
    Copyright: © Xing et al. This is an open access article distributed under the terms of Creative Commons Attribution License.
  • Article Number: 15
    |
    Published online on: November 21, 2022
       https://doi.org/10.3892/ol.2022.13601
  • Expand metrics +
Metrics: Total Views: 0 (Spandidos Publications: | PMC Statistics: )
Metrics: Total PDF Downloads: 0 (Spandidos Publications: | PMC Statistics: )
Cited By (CrossRef): 0 citations Loading Articles...

This article is mentioned in:



Abstract

Follicular dendritic cells are derived from the stroma. They are present in the germinal centers of lymph nodes and involved in antigen presentation, proliferation and differentiation of B cells. Follicular dendritic cell sarcoma (FDCS) is a relatively rare malignant tumor and its biological behavior is usually indolent. Most patients may be cured by complete surgical resection. Local recurrence may be present in >40% of cases and ~25% of cases may have metastasis. Recurrence or metastasis may not occur until numerous years later. In previous case reports, patients with splenic FDCS recovered or were stable after surgical resection of the tumor. In the present case, the tumor was initially located at the lower end of the spleen and radical resection was performed by laparoscopy without lymph node and distant organ metastasis. However, multiple metastases occurred after surgical resection. The patient received chemotherapy and radiotherapy, but his condition did not improve. The time from discovery of spleen tumor to death of the patient was 9 months. The purpose of the present case report was to raise clinicians' awareness of the disease, provide information about the treatment process and incite research on splenic FDCS and its prognosis.

Introduction

Pathological examination and immunohistochemical analysis are the main methods to diagnose follicular dendritic cell sarcoma (FDCS). The diagnosis of FDCS is challenging and even oncologists frequently misdiagnose it. Surgical resection is the first choice of treatment for confirmed patients. The best chemotherapy scheme is still under investigation and there is currently no unified standard. The effect of neoadjuvant therapy on extranodal FDCS is not described in the literature (1). However, there is no evidence that adjuvant therapy contributes to improved survival (2). Radical resection of tumors is the standard treatment for patients with local tumors and radiotherapy does not significantly improve the survival rate (3). Patients who cannot remove tumors or patients whose multiple organs are infiltrated by tumors are more suitable for chemotherapy (4). The best chemotherapy regimen for this rare disease has not been determined and some patients with FDCS have been treated with cytotoxic drugs for malignant lymphoma or soft tissue sarcoma (5–8). Therefore, in order to clarify the pathophysiology of FDCS and formulate the best treatment strategy, it is required to accumulate more clinical cases. The present study reported a case of FDCS whose disease was not improved through a variety of treatment schemes and the survival time was only 9 months.

Case report

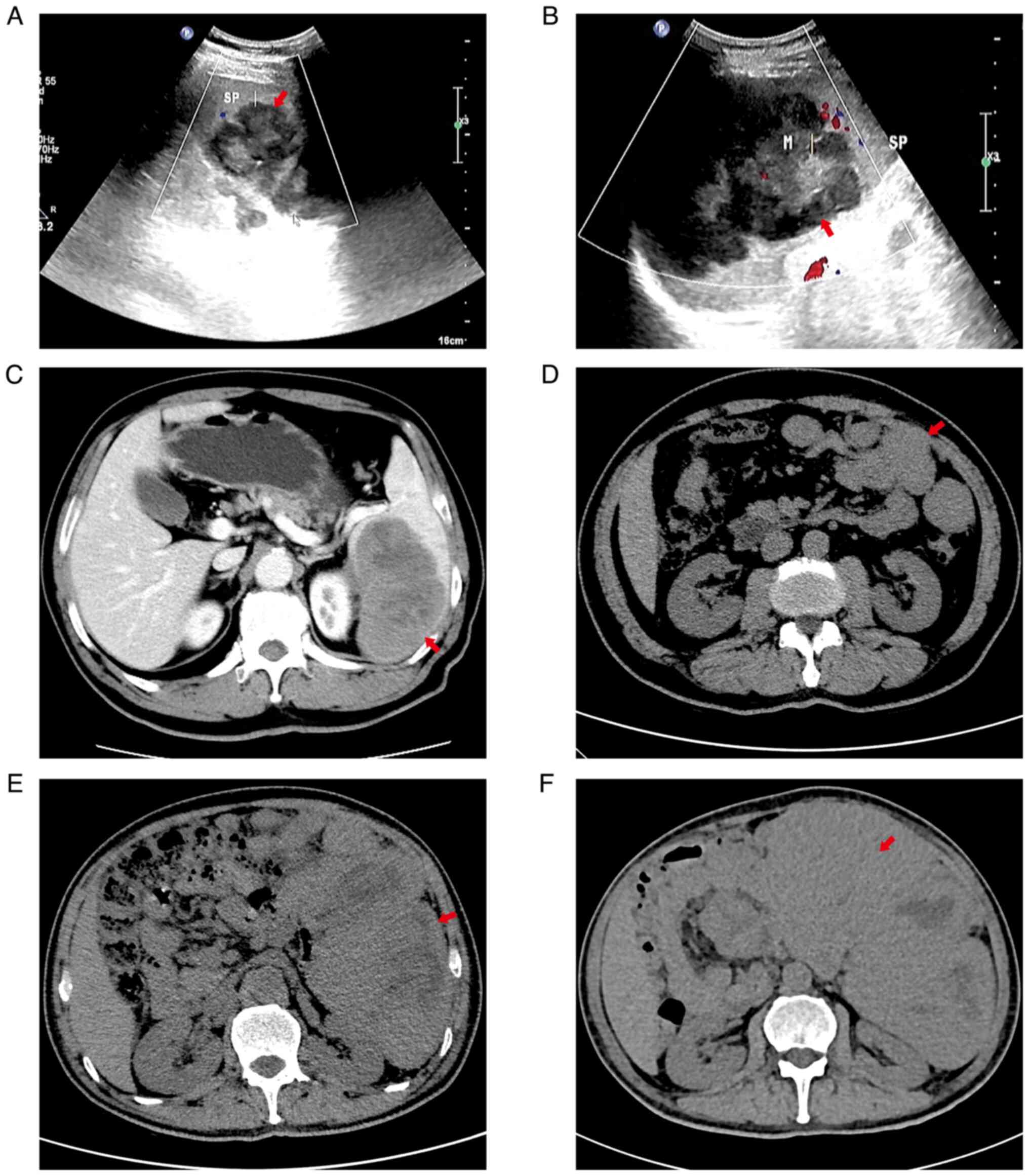
In November 2020, a male patient came to the First People's Hospital of Guangyuan (Guangyuan, China) for routine physical examination and a spleen mass was identified. There were no obvious symptoms at that time. Ultrasound and computed tomography images of the patient are provided in Fig. 1. At the first presentation, ultrasound examination with a Mindray M9 (Shenzhen Mindray Biomedical Electronics Co., Ltd; two-dimensional; Colo Flow; model of ultrasonic probe, C5-1S, 8 Hz) indicated that the dimensions of the tumor were 4.5×7.5 cm (Fig. 1A) and the patient did not undergo any immediate surgical treatment, as there was no discomfort. The patient was hospitalized at the First People's Hospital of Guangyuan due to left abdominal pain (Guangyuan, China) 74 days after the first presentation. Ultrasound indicated a tumor mass in the spleen, which had grown, with a measured size of 10.4×8.5 cm (Fig. 1B). A contrast-enhanced computed tomography scan (Ingenuity CT; Philips Medical Systems Inc.; slice thickness, 1 mm; center, 45; width, 250) of the patient's abdomen suggested that the spleen was slightly enlarged, there was a mass in the spleen and multiple necrotic areas were visible in the mass. The measured dimensions of the mass were 10×7.5 cm (Fig. 1C). Splenectomy with perisplenic lymph nodes and pancreatic tail lymphadenectomy was performed using laparoscopy 78 days after the first presentation. During the operation, the measured value of the spleen was 15×12×8 cm, and there was a mass at the lower end of the spleen, with the measured dimensions of 8×7×5 cm. The mass protruded from the spleen capsule and the mass adhered to the anterior fascia of the left kidney. The pathological examination of frozen splenic masses during the operation indicated sarcoma (Fig. 2A). The pathological examination results of perisplenic lymph nodes were normal and no sarcoma cells were found (Fig. 2B). The spleen tumor tissue was collected and fixed in 10% formalin solution, then dehydrated, cut into 4-µm-thick sections, stained with hematoxylin and eosin, and then observed under a microscope. Microscopic observation indicated that the spindle-shaped tumor cells were arranged in bundles with a large number of lymphocytes and plasma cells in the background (Fig. 2C). The tumor boundary was clear (Fig. 2D). The tumor cells were spindle cells, focal coagulative necrosis was present and tumor cells invaded the fat and vascular tissue on the concave surface of the spleen (Fig. 2E and F). The sections were analyzed with an immunohistochemical (IHC) staining instrument (IHC pretreatment system: PT Link PT200; Dako Denmark A/S. Pathological section tissue staining machine: Autostainer Link 48; Dako North America, Inc.). First, the tumor was immersed in a fixation solution containing 10% formalin for 24 h at 25°C. The tissue was then embedded in paraffin for 3 h at 56°C and cut into 4-µm-thick sections. The mounted, formalin-fixed, paraffin-embedded tissue sections were immersed in pre-heated EnVision FLEX Target Retrieval Solution (working solution; cat. no. K8004; Agilent Technologies, Inc.) in tanks and incubated for 20 min at 97°C. The sections were left to cool in PT Link to 65°C. Each Autostainer slide rack with the slides from the tank was removed and slides were soaked in diluted EnVision FLEX Wash Buffer (20X) (cat. no. K8007; Agilent Technologies, Inc.) for 5 min at 25°C. Slides were placed on an Autostainer Link instrument and further processed. Each section was blown to remove excess buffer and 100 µl EnVision FLEX Peroxidase-Blocking Reagent (cat. no. K8002; Agilent Technologies, Inc.) was applied with incubation for 10 min at 25°C. The tissue sections were rinsed with EnVision FLEX Wash Buffer (20X) (cat. no. K8007; Agilent Technologies, Inc.) for 10 min at 25°C. Each section was blown again and 100 µl Ready-to-Use primary antibody was applied with incubation for 30 min at 25°C. The following antibodies were used (all for IHC): CD21 (cat. no. AR0038), discovered on gastrointestinal tumor-1 (DOG1; cat. no. Kit-0029), proliferating cell nuclear antigen Ki-67 (cat. no. AM0383), the common acute lymphoblastic leukemia antigen CD10 (cat. no. AM0032), myeloperoxidase (cat. no. AP0239), cytokeratin-7 (CK7; cat. no. AM0098), Vimentin (cat. no. AM0234), tumor-associated macrophage marker CD68 (cat. no. AM0059), Desmin (cat. no. AM0104); vascular endothelial cell-related factor CD34 (cat. no. AM0045; all from Xiamen Tongling Biomedical Technology Co., Ltd.); calcium binding protein S100 (mouse; cat. no. Kit-0007), activin receptor like kinase 1 (ALK1; mouse; cat. no. MAB-0281), IgE receptor CD23 (rabbit; cat. no. RMA-0504), smooth muscle actin (SMA; cat. no. Kit-0006), mast/stem cell growth factor receptor CD117 (cat. no. Kit-0029), biomarker for macrophages CD163 (cat. no. MAB-0869), CD31 (PECAM-1; cat. no. MAB-0720), transmembrane glycoprotein CD4 (cat. no. RMA-0620), Lysozyme (cat. no. RAB-0115), transfer membrane glycoprotein CD1a (cat. no. MAB-0336), Langerin (cat. no. MAB-0633), CD15 (cat. no. MAB-0779), Myogenin (cat. no. MAB-0362), myogenic differentiation 1 (MyoD1; cat. no. MAB-0822), murine double minute 2 (MDM2; cat. no. MAB-0774), cyclin- dependent kinase 4 (CDK4; cat. no. MAB-0771), transmembrane protein CD30 (cat. no. MAB-0023), SRY-related HMG-box 10 (SOX-10; cat. no. RMA-0726), melanoma antigen recognized by T cells-1 (Melan-A; cat. no. MAB-1033), signal transducer and activator of transcription 6 (STAT6; cat. no. RMA-0845) and complement receptor 1 (CD35; mouse monoclonal antibody; cat. no. MAB-0340; all from Fuzhou Maixin Biotechnology Development Co., Ltd.); transmembrane protease CD13 (cat. no. APC100; Shenzhen Dakewei Bioengineering Co., Ltd); and Epstein-BarrVirus (EBV)-encoded RNA (cat. no. ISH-7001; Wuxi Aorui Dongyuan Biotechnology Co., Ltd). The tissue sections were rinsed with EnVision FLEX Wash Buffer (20X) (cat. no. K8007; Agilent Technologies, Inc.) for 10 min at 25°C. Each section was blown and 100 µl Ready-to-Use secondary antibody EnVision FLEX/HRP (cat. no. K8002, Agilent Technologies, Inc.) was applied with incubation for 20 min at 25°C. The tissue sections were rinsed with EnVision FLEX Wash Buffer (20X) (cat. no. K8007; Agilent Technologies, Inc.) twice for 10 min each at 25°C. Every section was blown and 200 µl Substrate Working Solution was applied with incubation for 5 min at 25°C. Substrate Working Solution was prepared by adding 20 drops of EnVision FLEX DAB + Chromogen (cat. no. K8002; Agilent Technologies, Inc.) to 20 ml EnVision FLEX Substrate Buffer (cat. no. K8002; Agilent Technologies, Inc.). The specimen was stained with Mayer's hematoxylin for 3 min at 25°C and then rinsed with water. When the staining procedure was completed, the specimen was dehydrated and permanent mounting was performed. The inspection results indicated the following: CD21 (+) (Fig. 3A), CD23 (+) (Fig. 3B), CD35 (+) (Fig. 3C), CD34 (−) (Fig. 3D), Desmin (−) (Fig. 3E), S-100 (−) (Fig. 3F), ALK1 (−) (Fig. 3G), Vimentin (−), CD68 (−), CD16.3 (−), CD31 (−), CD4 (−), CD13 (−), CD10 (−), Lysozyme (−), CD1a (−), Langerin (−), CD15 (−), Myeloperoxidase (−), CD117 (−), CK7 (−), SMA (−), Myogenin (−), MyoD1 (−), MDM2 (−), CDK4 (−), CD30 (−), SOX-10 (−), Melan-A (−), STAT6 (−), DOG1 (−), Ki-67 (+, 5–10%) and EBV-encoded RNA (−). The patient was diagnosed with FDCS of the spleen. The Affiliated Hospital of Chongqing Medical University of China (Chongqing, China) obtained no different diagnosis when re-examining the sections. The patient's abdominal computed tomography indicated that more nodules and lumpy soft tissue density shadows were present in the spleen area, intestinal space and anterior abdominal wall incision area, and the measured dimensions of the larger mass were 4.4×2.3 cm (Fig. 1D) 53 days after the splenectomy. The patient preferred not to be treated. The patient's blood parameters (ADVIA Centaur XP; Siemens Healthcare Diagnostics, Inc.) indicated that the blood total prostate-specific antigen (PSA) was 5.58 ng/ml (normal range, 0–4 ng/ml), free PSA was 1.46 ng/ml (normal range, 0–0.93 ng/ml) and neuron-specific enolase was 41.69 ng/ml (normal range, 0–16.3 ng/ml) 88 days after the splenectomy. According to the advice of oncologists, the patient was treated with cyclophosphamide, epirubicin, vindesin sulfate and prednisone acetate. In addition, 200 mg of sintilimab injection was used for targeted treatment (Table I). The computed tomography scan of the patient's abdomen suggested that the volume of the abdominal mass had increased, and the measured dimensions were 10.6×10.2 cm (Fig. 1E) 114 days after the splenectomy. The patient was treated again with cyclophosphamide, epirubicin, vindesin sulfate and prednisone acetate, and 200 mg of sintilimab injection was used for targeted treatment (Table I). The computed tomography scan of the patient's abdomen indicated that the size of abdominal mass had yet increased to 13.6×11.6 cm (Fig. 1F) 135 days after the splenectomy. Gene detection in the sarcoma tissue suggested that the patient had no mutated tumor genes. The patient was treated with 80 mg docetaxel and 1 g gemcitabine intravenously (Table I). The patient's body weight decreased significantly, complicated by intraperitoneal infection and bleeding. The patient began oral anlotinib hydrochloride treatment (Table I) 151 days after the splenectomy. At the same time, the patient was subjected to several radiotherapy sessions for abdominal metastatic tumors, with a total dose of 18 F/4,500 cGy. The patient's condition did not improve, the body weight decreased significantly, a large amount of intra-abdominal bleeding was present and basic vital signs were abnormal. The patient died 9 months after the splenic mass was found.

Figure 1.

(A) Spleen mass found on the day of routine physical examination. Ultrasound examination revealed a mass in the spleen. The mass measured 4.5×7.5 cm. The mass displayed with hyperecho, clear boundary and irregular shape. CDFI indicated blood flow signals. Red arrow denotes the mass. (B) Ultrasound examination at 74 days after the spleen mass was found indicated a mass in the spleen. The mass measured 10.4×8.5 cm. The mass displayed with hyperecho, clear boundary and irregular shape. CDFI indicated blood flow signals. Red arrow denotes the mass. (C) Contrast-enhanced computed tomography at 74 days after the spleen mass was found revealed enlargement of the spleen, a low-density mass shadow was observed in the spleen parenchyma, and the mass measured 10×7.5 cm; the boundary of the mass was clear and multiple small patchy low-density areas were visible in the mass. Enhanced scanning indicated that most areas of the mass had gradual moderate enhancement and multiple patchy non-enhanced areas. Red arrow denotes the mass. (D) Computed tomography at 53 days after the splenectomy indicated that there were numerous masses of different sizes in the spleen operation area, the gap between the intestines and around the incision of the anterior abdominal wall, of which the largest mass measured 4.4×3.2 cm. The boundary between the mass and the small intestine was not clear. There was no peritoneal effusion. Red arrow denotes the mass. (E) Computed tomography at 114 days after the splenectomy indicated that numerous masses were located in the splenic surgical area, abdominal cavity, pelvic cavity, bowel space and around the incision of the anterior abdominal wall. The maximum measures of the mass were 10.6×10.2 cm and the boundary was not clear. Certain masses fused and their interior had low-density tissue necrosis areas. There was no clear boundary between the masses and bilateral rectus abdominis, peritoneum and bowel, and the surgical area had strip-shaped high-density images. Red arrow denotes the mass. (F) Computed tomography at 135 days after the splenectomy indicated that numerous masses were located in the splenic surgery area, abdominal cavity, pelvic cavity, bowel space and around the incision of the anterior abdominal wall. The maximum mass measured 13.6×11.6 cm and the boundary was not clear. Certain masses fused and the interior had a low-density tissue necrosis area. The boundary between the mass and rectus abdominis, peritoneum and bowel was not clear and the adjacent tissues were compressed and deformed by the mass. Red arrow denotes the mass. CDFI, colour Doppler flow imaging.

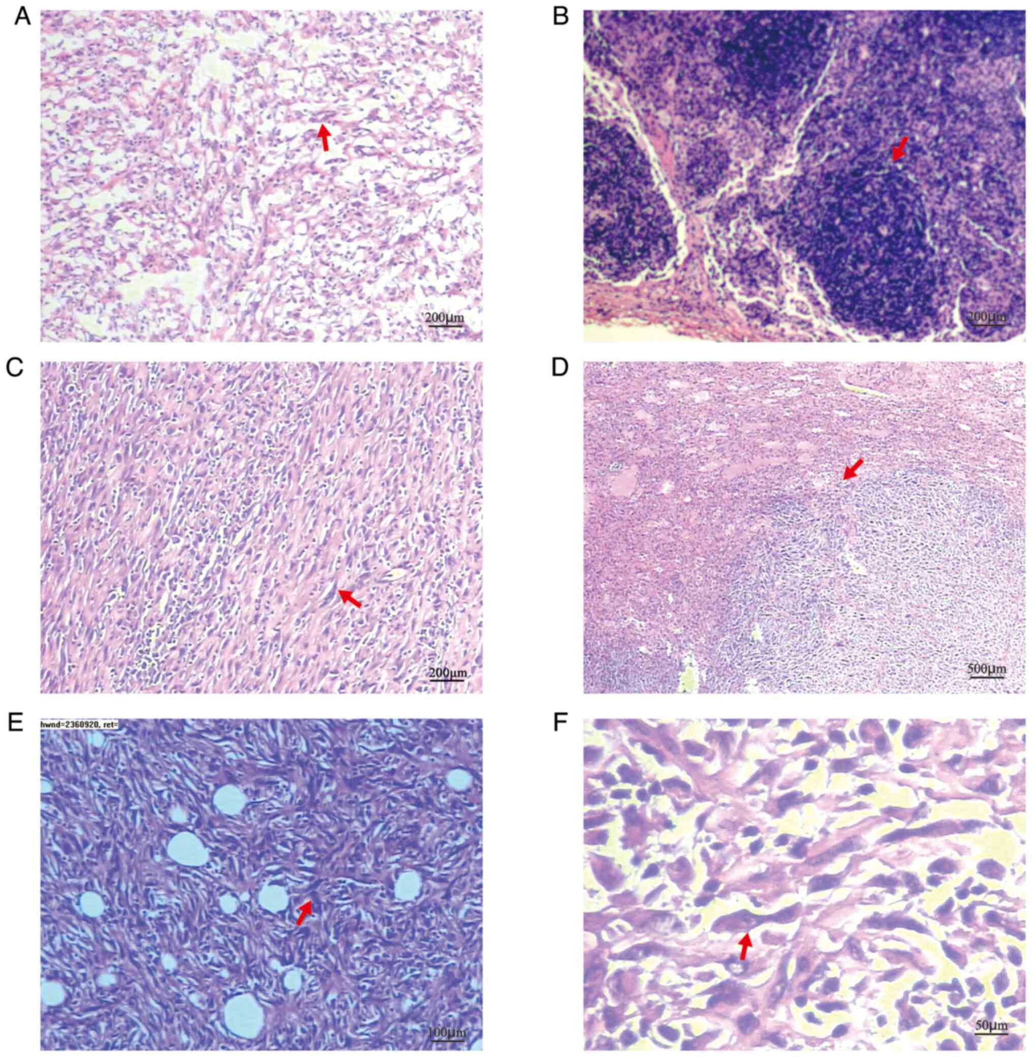
Figure 2.

Histology images. (A) Tumor cells. A large number of tumor cells were spindle-shaped. Red arrow denotes tumor cells. (B) Perisplenic lymph node. Red arrow denotes lymphoid nodule. (C) Tumor cells. The spindle-shaped tumor cells are arranged in bundles with a large number of lymphocytes and plasma cells in the background. Red arrow denotes tumor cells (scale bars, 200 µm). (D) Boundary of the tumor. The tumor boundary is clear. Red arrow denotes boundary (scale bar, 500 µm). (E) The tumor cells had a spindle-like morphology, focal coagulative necrosis was present and tumor cells invaded the fat and vascular tissue on the concave surface of the spleen. Red arrow denotes tumor cells (scale bar, 100 µm). (F) Tumor cells. Red arrow denotes spindle-shaped tumor cell (scale bar, 50 µm).

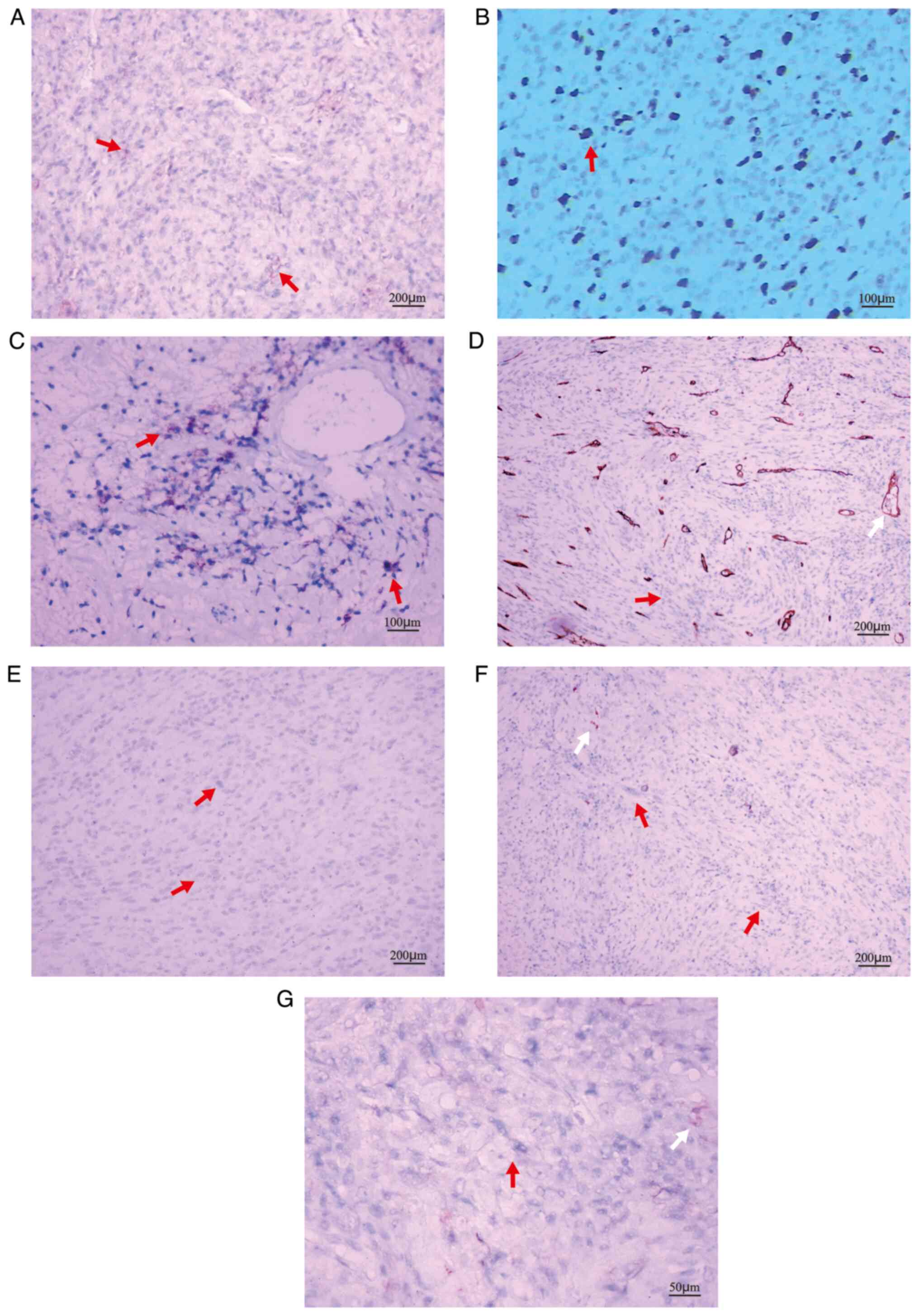
Figure 3.

Representative immunohistochemical staining images. (A) CD 21 (+) (magnification, ×100; scale bar, 200 µm); (B) CD23 (+); (C) CD35 (+) (magnification, ×200; scale bar, 100 µm); red arrow denotes tumor cells with positive staining. Positive expression of markers is indicated by pale brown staining. (D) CD34 (−), the vascular endothelium was brown (white arrow); (E) Desmin (−); (F) S100 (−) (magnification, ×100; scale bar, 200 µm); (G) ALK1 (−) (magnification, ×400; scale bar, 50 µm). In D-G, red arrow denotes tumor cells without special color and non-specific staining (white arrow) was brown.

Table I.

Chemical drugs administered to the patient (dose and number of days of treatment).

Table I.

Chemical drugs administered to the patient (dose and number of days of treatment).

Time of starting drug treatment after splenectomy, days

Drug94114136137151157178
Cyclophosphamide1 g/d; 1 d1.2 g/d; 1 d
Epirubicin80 mg/d; 1 d80 mg/d; 1 d
Vindesin sulfate4 mg/d; 1 d4 mg/d; 1 d
Prednisone tablets100 mg/d; 5 d100 mg/d; 5 d
Sintilimab injection 200 mg/d; 1 d200 mg/d; 1 d 200 mg/d; 1 d200 mg/d; 1 d
Docetaxel 80 mg/d; 1 d
Gemcitabine 1 g/d; 1 d
Anlotinib 12 mg/d; 21 d
hydrochloride

[i] d, day(s).

Discussion

FDCS is the proliferation of spindle or oval cells. These cells have histomorphological and immunophenotypic characteristics similar to follicular dendritic cells. The age span of patients with FDCS is wide, the prevalence rate in adults is higher than that in children and there is no significant difference between males and females in terms of incidence rate. Epstein Barr virus (EBV) infection may be one of the predisposing factors for FDCS (9). EBV may carry latent membrane protein 1, which is frequently detected in the spleen and liver of patients with FDCS. It has the function of promoting viral oncogene transformation (10,11). A small number of cases may be accompanied by Castelman disease, which may also occur several years prior to FDCS (12). The etiology of FDCS has remained to be fully elucidated. In most cases, FDCS occurs in lymph nodes, and one-third to two-thirds of patients present with lymphadenopathy, the most common of which is cervical lymphadenopathy. FDCS may also occur in organs outside lymph nodes, such as the mouth, tonsils, mediastinum, gastropancreas, liver, spleen, intestine and soft tissue. Lymph nodes, lungs and liver are common metastatic sites. Most tumors grow slowly. Patients have no obvious symptoms and signs in the early stage of the disease and the tumor is detected at the late stage. Abdominal tumors are frequently uncovered due to abdominal discomfort. When abdominal tumors are found, the tumor volume is relatively large (13). The clinical manifestations with FDCS vary greatly among patients. The disease may involve lymph nodes and extranodal parts of the body (14,15).

FDCS is composed of spindle to oval cells, arranged in bundles, bamboo mat stripes, whirlpools, diffuse flakes or fuzzy nodules. A single tumor cell has clear boundaries and increased cytoplasm and is eosinophilic. The nucleus is oval or long spindle-shaped, the chromatin is vacuolated or fine granular and the nucleolus of the nucleus is small and clear. It is common for giant cells with double nuclei or multinucleated tumors to be present. Certain cases have obvious cell atypia, with a higher proportion of nuclear division. Atypical mitotic images and coagulative necrosis are common. FDCS express one or more follicular dendritic cell markers, such as CD21, CD23, CD35 and KiM4P. Clusterin is almost always strongly positive. Fascin and aodoplanin are uniformly positive. In addition, the diagnosis of FDCS outside lymph nodes is more difficult (16–18). The pathological images of the patient of the present study indicated a clear boundary between the tumor tissue and the surrounding normal tissue. The spindle-shaped tumor cells were arranged in bundles with a large number of lymphocytes and plasma cells in the background. On IHC, CD21 (+), CD23 (+) and CD35 (+) are characteristic markers of FDCS (18). Positive expression of the markers is indicated by a pale brown stain. Vimentin (−), CD68 (−), CD163 (−), CD31 (−), CD4 (−), CD13 (−), CD10 (−), Lysozyme (−), CD34 (−), CD1a (−), Langerin (−), CD15 (−), myeloperoxidase (−), CD117 (−), CK7 (−), SMA (−), Desmin (−), Myogenin (−), MyoD1 (−), S-100 (−), MDM2 (−), CDK4 (−), CD30 (−), ALK1 (−), SOX-10 (−), Melan-A (−), STAT6 (−) and DOG1 (−) are used to identify other tumors and no misdiagnosis occurred. There are limited research data on genetic changes of FDCS. Its origin cells are follicular dendritic cells in lymphoid follicles. FDCS has high histological similarity with sarcoma, non-Hodgkin's lymphoma, melanoma, undifferentiated cancer and other dendritic cell and histiocytic diseases, which may lead to misdiagnosis of FDCS as other tumors (19).

Due to the rarity of the disease, small number of reported cases and limited research on prognosis, there is currently no unified standard and no guideline for the treatment of FDCS. In most cases, patients with FDCS receive surgery and adjuvant radiotherapy or chemotherapy. Radical resection is an important treatment for local masses (20). However, adjuvant radiotherapy had no significant effect on survival outcomes. The development of medical molecular genetics may contribute to research on tumor targeted therapies. There is no conclusion as to whether patients with FDCS should receive radiotherapy or chemotherapy after surgery. The choice rather depends on the experience of clinicians and the comprehensive condition of the patients. Current treatment options include surgery, radiotherapy and chemotherapy alone or in combination. Although surgical resection is the preferred treatment, for cases that cannot be resected or patients with tumor recurrence and metastasis after resection, chemotherapy or radiotherapy is still required (21). In addition, FDCS is regarded as lymphoma or sarcoma according to its tumor cell origin, and thus, cyclophosphamide, epirubicin, oncovin, prednisone (CHOP) chemotherapy is used in certain patients; however, the therapeutic effect of CHOP chemotherapy in patients with FDCS is lower than that in patients with non-Hodgkin's lymphoma. The reason for the decreased treatment effect may be that the drugs used in the CHOP regimen do not directly break down follicular dendritic cells (22). Follicular dendritic cells have an important role in the formation of systemic follicular B cells during chronic inflammation (23). However, the case of the present study is different. The spleen and surrounding lymph nodes were removed. Pathological images indicated no infiltration of sarcoma cells in lymph nodes and distant organs. The patient relapsed again after a short period. After chemotherapy, tumor targeted drug therapy and radiotherapy, the condition was not improved.

FDCS is rare in the clinic and the effect of radiotherapy and chemotherapy is not significant. FDCS is inert to moderately malignant. Its biological behavior and prognosis are related to patient age, tumor size, lymphoplasmacyte infiltration, tumor cell nuclear division count, necrosis and lymph node metastasis (2). Patients with large tumors outside lymph nodes or intraperitoneal tumors have a poor prognosis (24). In general, the prognosis of FDCS is favorable (25–27). Wang et al (12) reported that a patient with FDCS of the spleen was in good condition after 3 years of surgical treatment. Their study indicated that the prognosis of FDCS is generally favorable. However, the present case is different from common FDCS. Although Ki-67 was 5–10%, the tumor of the patient soon spread to the whole abdominal cavity. The size of the sarcoma of >6 cm and intra-abdominal involvement in the patient may be associated with poor prognosis. The mass protruded from the splenic membrane and attached to the left renal anterior fascia. It is possible for the cancer to spread to the abdominal cavity via this way. The poor prognosis of this patient may be related to the mass of splenic capsule protrusion. Even for cases with no tumor-cell infiltration in perisplenic lymph nodes, it may be necessary to remove the tissues or organs around the spleen, such as the left kidney fascia and the left kidney, while removing the spleen. More data and further research are urgently needed. As the disease is rare and the treating clinician was inexperienced, the patient did not undergo any fine-needle biopsy prior to surgery. One limitation of the present case report is that the photos of the mass attached to the spleen were not retained, so that they could not be provided to be viewed in the present study. In the late stage of the disease, the patient refused to accept next-generation gene sequencing. Thus, no further genetic information for treatment that may have been provided by genetic testing was available. The lack of these assays is another limitation of the present case report.

In conclusion, the prognosis of FDCS is not necessarily favorable. Even if no tumor cells are present in the perisplenic lymph nodes, tumor cells may metastasize to distant sites via different ways. The patient's regret was that no surgical treatment was performed as soon as possible after the spleen mass was found in the physical examination. Whether the delayed operation time is the cause of tumor recurrence requires further study. The accumulation of case reports provides evidence support for clarifying the pathophysiology of splenic FDCS and formulating the best treatment strategy.

Acknowledgements

The author would like to acknowledge Mr. He Xingzhuang and Ms. Mou Hui, Pathologists at the Department of Pathology, The First People's Hospital of Guangyuan (Guangyuan, China) for performing parts of the immunohistochemistry experiments.

Funding

Funding: No funding was received.

Availability of data and materials

The datasets used and/or analyzed during the current study are available from the corresponding author on reasonable request.

Author's contributions

ZYX has completed the work of designing the study and writing the manuscript, treating the patient, accumulating and analyzing data and images and revising the manuscript. The author has read and approved the final manuscript. ZYX confirmed the authenticity of all the raw data.

Ethics approval and consent to participate

Not applicable.

Patient consent for publication

As the patient died before the study was written, the patient's wife provided written informed consent for the publication of the case data and images.

Competing interests

The authors declare that they have no competing interests.

References

1 

Ferede A, O'Connor R, Stafford A and Swan N: Follicular dendritic cell sarcoma of the duodenum: An extremely rare entity. BMJ Case Rep. 2018:bcr20172215052018. View Article : Google Scholar : PubMed/NCBI

2 

Saygin C, Uzunaslan D, Ozguroglu M, Senocak M and Tuzuner N: Dendritic cell sarcoma: A pooled analysis including 462 cases with presentation of our case series. Crit Rev Oncol Hematol. 88:253–271. 2013. View Article : Google Scholar : PubMed/NCBI

3 

Perkins SM and Shinohara ET: Interdigitating and follicular dendritic cell sarcomas: A SEER analysis. Am J Clin Oncol. 36:395–398. 2013. View Article : Google Scholar : PubMed/NCBI

4 

Soriano AO, Thompson MA, Admirand JH, Fayad LE, Rodriguez AM, Romaguera JE, Hagemeister FB and Pro B: Follicular dendritic cell sarcoma: A report of 14 cases and a review of the literature. Am J Hematol. 82:725–728. 2007. View Article : Google Scholar : PubMed/NCBI

5 

Dalia S, Shao H, Sagatys E, Cualing H and Sokol L: Dendritic cell and histiocytic neoplasms: Biology, diagnosis, and treatment. Cancer Control. 21:290–300. 2014. View Article : Google Scholar : PubMed/NCBI

6 

Dalia S, Jaglal M, Chervenick P, Cualing H and Sokol L: Clinicopathologic characteristics and outcomes of histiocytic and dendritic cell neoplasms: The moffitt cancer center experience over the last twenty five years. Cancers. 6:2275–2295. 2014. View Article : Google Scholar : PubMed/NCBI

7 

Shinagare AB, Ramaiya NH, Jagannathan JP, Hornick JL and Swanson RS: Primary follicular dendritic cell sarcoma of liver treated with cyclophosphamide, doxorubicin, vincristine, and prednisone regimen and surgery. J Clin Oncol. 29:e849–e851. 2011. View Article : Google Scholar : PubMed/NCBI

8 

Choi BS, Baek JH, Shin YM, Kim JH, Kim HW, Lee SJ and Cha HJ: Follicular dendritic cell sarcoma: A case report and review of the literature. Cancer Res Treat. 42:121–124. 2010. View Article : Google Scholar : PubMed/NCBI

9 

Sun J, Wang C, Wang D, Wu J, Wang L, Zhao L and Teng L: Follicular dendritic cell sarcoma (FDCS) of urinary bladder with coexisting urothelial carcinoma-a case report. BMC Urol. 19:832019. View Article : Google Scholar : PubMed/NCBI

10 

Haranhalli N, Ammar AE, Weidenheim KM, Rosenblum MK and Altschul DJ: Hemorrhagic intracranial follicular dendritic cell sarcoma: A case report. Surg Neurol Int. 8:2482017. View Article : Google Scholar : PubMed/NCBI

11 

Mondal SK, Bera H, Bhattacharya B and Dewan K: Follicular dendritic cell sarcoma of the tonsil. Natl J Maxillofac Surg. 3:62–64. 2012. View Article : Google Scholar : PubMed/NCBI

12 

Wang L, Xu D, Qiao Z, Shen L, Dai H and Ji Y: Follicular dendritic cell sarcoma of the spleen: A case report and review of the literature. Oncol Lett. 12:2062–2064. 2016. View Article : Google Scholar : PubMed/NCBI

13 

Sarkar R, Sharma S, Roy N, Shankar A and Basu S: Follicular dendritic cell sarcoma of Ileoceacal region in a young woman: A rare case report with review of literature. Oman Med J. 28:e0552013. View Article : Google Scholar : PubMed/NCBI

14 

Ohtake H and Yamakawa M: Interdigitating dendritic cell sarcoma and follicular dendritic cell sarcoma: Histopathological findings for differential diagnosis. J Clin Exp Hematop. 53:179–184. 2013. View Article : Google Scholar : PubMed/NCBI

15 

Pai VD, Desai S, Desouza A and Saklani AP: Extranodal follicular dendritic cell sarcoma: A frequently misdiagnosed entity. J Postgrad Med. 61:55–56. 2015. View Article : Google Scholar : PubMed/NCBI

16 

Su Z, Liu G, Liu J, Fang T, Zeng Y, Zhang H, Yang S, Wang Y, Zhang J, Wei J, et al: Paraneoplastic pemphigus associated with follicular dendritic cell sarcoma: Report of a case and review of literature. Int J Clin Exp Pathol. 8:11983–11994. 2015.PubMed/NCBI

17 

Zhang BX, Chen ZH, Liu Y, Zeng YJ and Li YC: Inflammatory pseudotumor-like follicular dendritic cell sarcoma: A brief report of two cases. World J Gastrointest Oncol. 11:1231–1239. 2019. View Article : Google Scholar : PubMed/NCBI

18 

Yuan T, Yang Q, Zhang H, Li J and Zhang X: A 46-year-old Chinese woman presenting with retroperitoneal follicular dendritic cell sarcoma: A case report. J Med Case Rep. 8:1132014. View Article : Google Scholar : PubMed/NCBI

19 

Xiaofei C, Juan W, Qingxin X, Fangfang G, Zhandong Z, Shuke Z, Yanyan L, Jianbo Z and Ling M: Clinicopathological analysis of colon follicular dentritic cell sarcomawith metastasis. J Basic Clin Oncol. 30:209–212. 2017.

20 

De Pas T, Spitaleri G, Pruneri G, Curigliano G, Noberasco C, Luini A, Andreoni B, Testori A and de Braud F: Dendritic cell sarcoma: An analytic overview of the literature and presentation of original five cases. Crit Rev Oncol Hematol. 65:1–7. 2008. View Article : Google Scholar : PubMed/NCBI

21 

Xu HL, Chen B, Jiang CW, Yang ZL and Wang KR: Follicular dendritic cell sarcoma in the right chest wall: A case report. Medicine (Baltimore). 99:e219352020. View Article : Google Scholar : PubMed/NCBI

22 

Conry RM: Response of follicular dendritic cell sarcoma to gemcitabine and docetaxel: Report of two cases and literature review. Clin Sarcoma Res. 4:62014. View Article : Google Scholar : PubMed/NCBI

23 

Vermi W, Giurisato E, Lonardi S, Balzarini P, Rossi E, Medicina D, Bosisio D, Sozzani S, Pellegrini W, Doglioni C, et al: Ligand-dependent activation of EGFR in follicular dendritic cells sarcoma is sustained by local production of cognate ligands. Clin Cancer Res. 19:5027–5038. 2013. View Article : Google Scholar : PubMed/NCBI

24 

Jain P, Milgrom SA, Patel KP, Nastoupil L, Fayad L, Wang M, Pinnix CC, Dabaja BS, Smith GL, Yu J, et al: Characteristics, management, and outcomes of patients with follicular dendritic cell sarcoma. Br J Haematol. 178:403–412. 2017. View Article : Google Scholar : PubMed/NCBI

25 

Clement P, Saint-Blancard P, Minvielle F, Le Page P and Kossowski M: Follicular dendritic cell sarcoma of the tonsil: A case report. Am J Otolaryngol. 27:207–210. 2006. View Article : Google Scholar : PubMed/NCBI

26 

Nakashima T, Kuratomi Y, Shiratsuchi H, Yamamoto H, Yasumatsu R, Yamamoto T and Komiyama S: Follicular dendritic cell sarcoma of the neck; a case report and literature review. Auris Nasus Larynx. 29:401–403. 2002. View Article : Google Scholar : PubMed/NCBI

27 

Domínguez-Malagón H, Cano-Valdez AM, Mosqueda-Taylor A and Hes O: Follicular dendritic cell sarcoma of the pharyngeal region: Histologic, cytologic, immunohistochemical, and ultrastructural study of three cases. Ann Diagn Pathol. 8:325–332. 2004. View Article : Google Scholar : PubMed/NCBI

Related Articles

  • Abstract
  • View
  • Download
  • Twitter
Copy and paste a formatted citation
Spandidos Publications style
Xing Z: Death within 9 months in patient with follicular dendritic cell sarcoma of spleen: A case report. Oncol Lett 25: 15, 2023.
APA
Xing, Z. (2023). Death within 9 months in patient with follicular dendritic cell sarcoma of spleen: A case report. Oncology Letters, 25, 15. https://doi.org/10.3892/ol.2022.13601
MLA
Xing, Z."Death within 9 months in patient with follicular dendritic cell sarcoma of spleen: A case report". Oncology Letters 25.1 (2023): 15.
Chicago
Xing, Z."Death within 9 months in patient with follicular dendritic cell sarcoma of spleen: A case report". Oncology Letters 25, no. 1 (2023): 15. https://doi.org/10.3892/ol.2022.13601
Copy and paste a formatted citation
x
Spandidos Publications style
Xing Z: Death within 9 months in patient with follicular dendritic cell sarcoma of spleen: A case report. Oncol Lett 25: 15, 2023.
APA
Xing, Z. (2023). Death within 9 months in patient with follicular dendritic cell sarcoma of spleen: A case report. Oncology Letters, 25, 15. https://doi.org/10.3892/ol.2022.13601
MLA
Xing, Z."Death within 9 months in patient with follicular dendritic cell sarcoma of spleen: A case report". Oncology Letters 25.1 (2023): 15.
Chicago
Xing, Z."Death within 9 months in patient with follicular dendritic cell sarcoma of spleen: A case report". Oncology Letters 25, no. 1 (2023): 15. https://doi.org/10.3892/ol.2022.13601
Follow us
  • Twitter
  • LinkedIn
  • Facebook
About
  • Spandidos Publications
  • Careers
  • Cookie Policy
  • Privacy Policy
How can we help?
  • Help
  • Live Chat
  • Contact
  • Email to our Support Team