Spandidos Publications Logo
  • About
    • About Spandidos
    • Aims and Scopes
    • Abstracting and Indexing
    • Editorial Policies
    • Reprints and Permissions
    • Job Opportunities
    • Terms and Conditions
    • Contact
  • Journals
    • All Journals
    • Oncology Letters
      • Oncology Letters
      • Information for Authors
      • Editorial Policies
      • Editorial Board
      • Aims and Scope
      • Abstracting and Indexing
      • Bibliographic Information
      • Archive
    • International Journal of Oncology
      • International Journal of Oncology
      • Information for Authors
      • Editorial Policies
      • Editorial Board
      • Aims and Scope
      • Abstracting and Indexing
      • Bibliographic Information
      • Archive
    • Molecular and Clinical Oncology
      • Molecular and Clinical Oncology
      • Information for Authors
      • Editorial Policies
      • Editorial Board
      • Aims and Scope
      • Abstracting and Indexing
      • Bibliographic Information
      • Archive
    • Experimental and Therapeutic Medicine
      • Experimental and Therapeutic Medicine
      • Information for Authors
      • Editorial Policies
      • Editorial Board
      • Aims and Scope
      • Abstracting and Indexing
      • Bibliographic Information
      • Archive
    • International Journal of Molecular Medicine
      • International Journal of Molecular Medicine
      • Information for Authors
      • Editorial Policies
      • Editorial Board
      • Aims and Scope
      • Abstracting and Indexing
      • Bibliographic Information
      • Archive
    • Biomedical Reports
      • Biomedical Reports
      • Information for Authors
      • Editorial Policies
      • Editorial Board
      • Aims and Scope
      • Abstracting and Indexing
      • Bibliographic Information
      • Archive
    • Oncology Reports
      • Oncology Reports
      • Information for Authors
      • Editorial Policies
      • Editorial Board
      • Aims and Scope
      • Abstracting and Indexing
      • Bibliographic Information
      • Archive
    • Molecular Medicine Reports
      • Molecular Medicine Reports
      • Information for Authors
      • Editorial Policies
      • Editorial Board
      • Aims and Scope
      • Abstracting and Indexing
      • Bibliographic Information
      • Archive
    • World Academy of Sciences Journal
      • World Academy of Sciences Journal
      • Information for Authors
      • Editorial Policies
      • Editorial Board
      • Aims and Scope
      • Abstracting and Indexing
      • Bibliographic Information
      • Archive
    • International Journal of Functional Nutrition
      • International Journal of Functional Nutrition
      • Information for Authors
      • Editorial Policies
      • Editorial Board
      • Aims and Scope
      • Abstracting and Indexing
      • Bibliographic Information
      • Archive
    • International Journal of Epigenetics
      • International Journal of Epigenetics
      • Information for Authors
      • Editorial Policies
      • Editorial Board
      • Aims and Scope
      • Abstracting and Indexing
      • Bibliographic Information
      • Archive
    • Medicine International
      • Medicine International
      • Information for Authors
      • Editorial Policies
      • Editorial Board
      • Aims and Scope
      • Abstracting and Indexing
      • Bibliographic Information
      • Archive
  • Articles
  • Information
    • Information for Authors
    • Information for Reviewers
    • Information for Librarians
    • Information for Advertisers
    • Conferences
  • Language Editing
Spandidos Publications Logo
  • About
    • About Spandidos
    • Aims and Scopes
    • Abstracting and Indexing
    • Editorial Policies
    • Reprints and Permissions
    • Job Opportunities
    • Terms and Conditions
    • Contact
  • Journals
    • All Journals
    • Biomedical Reports
      • Information for Authors
      • Editorial Policies
      • Editorial Board
      • Aims and Scope
      • Abstracting and Indexing
      • Bibliographic Information
      • Archive
    • Experimental and Therapeutic Medicine
      • Information for Authors
      • Editorial Policies
      • Editorial Board
      • Aims and Scope
      • Abstracting and Indexing
      • Bibliographic Information
      • Archive
    • International Journal of Epigenetics
      • Information for Authors
      • Editorial Policies
      • Editorial Board
      • Aims and Scope
      • Abstracting and Indexing
      • Bibliographic Information
      • Archive
    • International Journal of Functional Nutrition
      • Information for Authors
      • Editorial Policies
      • Editorial Board
      • Aims and Scope
      • Abstracting and Indexing
      • Bibliographic Information
      • Archive
    • International Journal of Molecular Medicine
      • Information for Authors
      • Editorial Policies
      • Editorial Board
      • Aims and Scope
      • Abstracting and Indexing
      • Bibliographic Information
      • Archive
    • International Journal of Oncology
      • Information for Authors
      • Editorial Policies
      • Editorial Board
      • Aims and Scope
      • Abstracting and Indexing
      • Bibliographic Information
      • Archive
    • Medicine International
      • Information for Authors
      • Editorial Policies
      • Editorial Board
      • Aims and Scope
      • Abstracting and Indexing
      • Bibliographic Information
      • Archive
    • Molecular and Clinical Oncology
      • Information for Authors
      • Editorial Policies
      • Editorial Board
      • Aims and Scope
      • Abstracting and Indexing
      • Bibliographic Information
      • Archive
    • Molecular Medicine Reports
      • Information for Authors
      • Editorial Policies
      • Editorial Board
      • Aims and Scope
      • Abstracting and Indexing
      • Bibliographic Information
      • Archive
    • Oncology Letters
      • Information for Authors
      • Editorial Policies
      • Editorial Board
      • Aims and Scope
      • Abstracting and Indexing
      • Bibliographic Information
      • Archive
    • Oncology Reports
      • Information for Authors
      • Editorial Policies
      • Editorial Board
      • Aims and Scope
      • Abstracting and Indexing
      • Bibliographic Information
      • Archive
    • World Academy of Sciences Journal
      • Information for Authors
      • Editorial Policies
      • Editorial Board
      • Aims and Scope
      • Abstracting and Indexing
      • Bibliographic Information
      • Archive
  • Articles
  • Information
    • For Authors
    • For Reviewers
    • For Librarians
    • For Advertisers
    • Conferences
  • Language Editing
Login Register Submit
  • This site uses cookies
  • You can change your cookie settings at any time by following the instructions in our Cookie Policy. To find out more, you may read our Privacy Policy.

    I agree
Search articles by DOI, keyword, author or affiliation
Search
Advanced Search
presentation
Oncology Letters
Join Editorial Board Propose a Special Issue
Print ISSN: 1792-1074 Online ISSN: 1792-1082
Journal Cover
February-2023 Volume 25 Issue 2

Full Size Image

Sign up for eToc alerts
Recommend to Library

Journals

International Journal of Molecular Medicine

International Journal of Molecular Medicine

International Journal of Molecular Medicine is an international journal devoted to molecular mechanisms of human disease.

International Journal of Oncology

International Journal of Oncology

International Journal of Oncology is an international journal devoted to oncology research and cancer treatment.

Molecular Medicine Reports

Molecular Medicine Reports

Covers molecular medicine topics such as pharmacology, pathology, genetics, neuroscience, infectious diseases, molecular cardiology, and molecular surgery.

Oncology Reports

Oncology Reports

Oncology Reports is an international journal devoted to fundamental and applied research in Oncology.

Experimental and Therapeutic Medicine

Experimental and Therapeutic Medicine

Experimental and Therapeutic Medicine is an international journal devoted to laboratory and clinical medicine.

Oncology Letters

Oncology Letters

Oncology Letters is an international journal devoted to Experimental and Clinical Oncology.

Biomedical Reports

Biomedical Reports

Explores a wide range of biological and medical fields, including pharmacology, genetics, microbiology, neuroscience, and molecular cardiology.

Molecular and Clinical Oncology

Molecular and Clinical Oncology

International journal addressing all aspects of oncology research, from tumorigenesis and oncogenes to chemotherapy and metastasis.

World Academy of Sciences Journal

World Academy of Sciences Journal

Multidisciplinary open-access journal spanning biochemistry, genetics, neuroscience, environmental health, and synthetic biology.

International Journal of Functional Nutrition

International Journal of Functional Nutrition

Open-access journal combining biochemistry, pharmacology, immunology, and genetics to advance health through functional nutrition.

International Journal of Epigenetics

International Journal of Epigenetics

Publishes open-access research on using epigenetics to advance understanding and treatment of human disease.

Medicine International

Medicine International

An International Open Access Journal Devoted to General Medicine.

Journal Cover
February-2023 Volume 25 Issue 2

Full Size Image

Sign up for eToc alerts
Recommend to Library

  • Article
  • Citations
    • Cite This Article
    • Download Citation
    • Create Citation Alert
    • Remove Citation Alert
    • Cited By
  • Similar Articles
    • Related Articles (in Spandidos Publications)
    • Similar Articles (Google Scholar)
    • Similar Articles (PubMed)
  • Download PDF
  • Download XML
  • View XML
Article Open Access

Use of clinicopathological factors to predict prognosis of fertility‑sparing treatment for endometrial endometrioid carcinoma and atypical hyperplasia

  • Authors:
    • Xiaobo Zhang
    • Xiaoya Zhao
    • Chen Wang
    • Shanshan Lu
    • Yiqin Wang
    • Yijiao He
    • Jianliu Wang
    • Danhua Shen
  • View Affiliations / Copyright

    Affiliations: Department of Pathology, Peking University People's Hospital, Beijing 100044, P.R. China, Department of Obstetrics and Gynecology, Peking University People's Hospital, Beijing 100044, P.R. China
    Copyright: © Zhang et al. This is an open access article distributed under the terms of Creative Commons Attribution License.
  • Article Number: 52
    |
    Published online on: December 16, 2022
       https://doi.org/10.3892/ol.2022.13638
  • Expand metrics +
Metrics: Total Views: 0 (Spandidos Publications: | PMC Statistics: )
Metrics: Total PDF Downloads: 0 (Spandidos Publications: | PMC Statistics: )
Cited By (CrossRef): 0 citations Loading Articles...

This article is mentioned in:



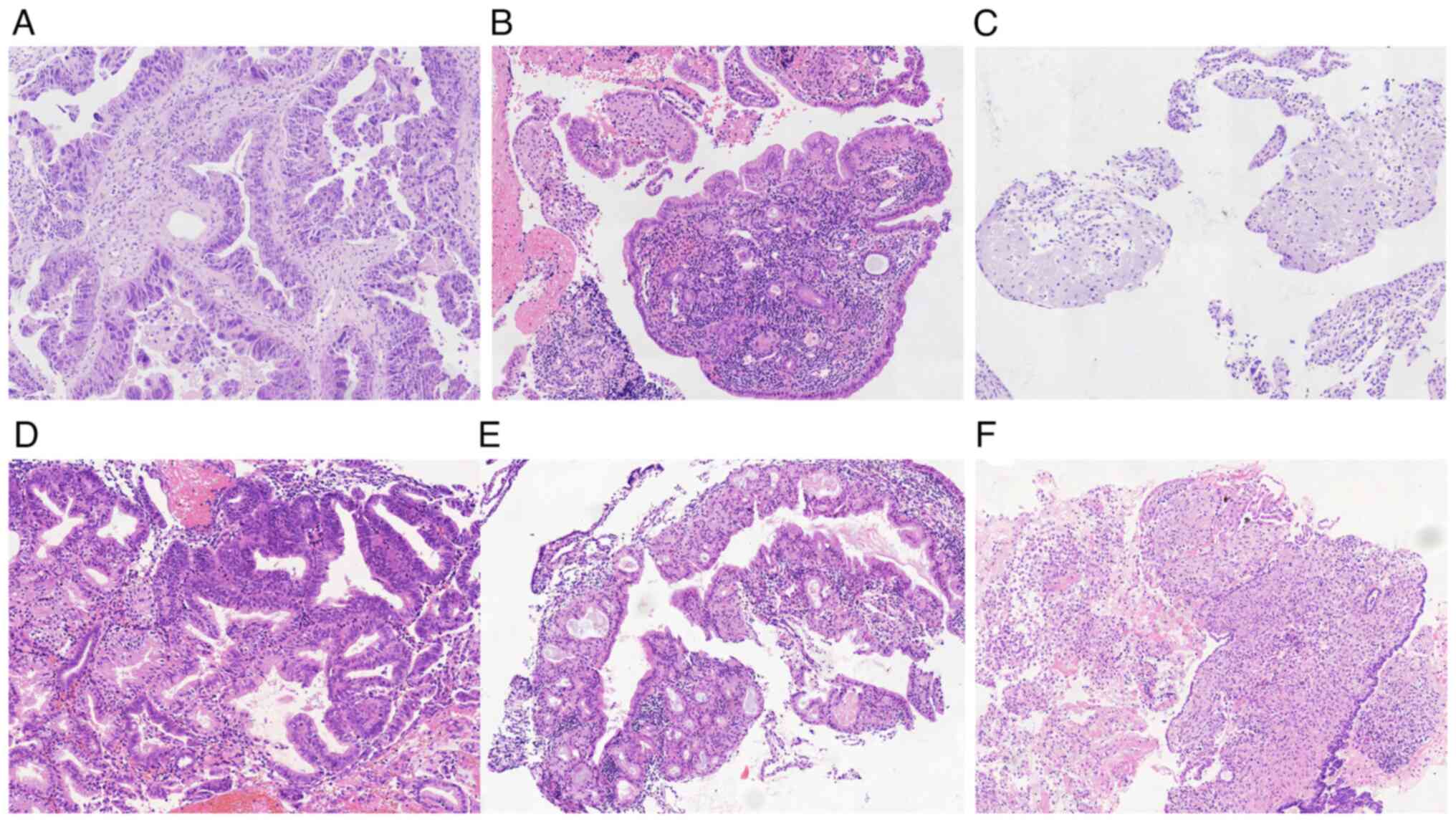
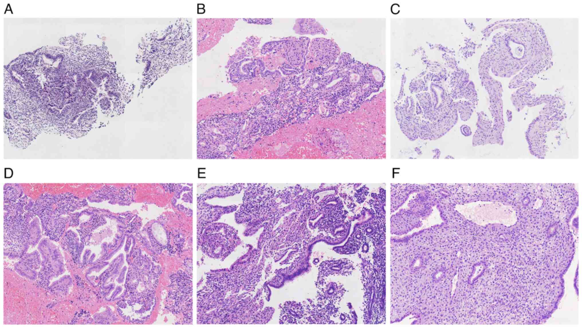
Abstract

The incidence of endometrial endometrioid carcinoma (EEC) has been gradually increasing over the past decade. Fertility‑sparing therapy with progestin is a treatment option for EEC or endometrial atypical hyperplasia (AH). The present study evaluated the role of numerous prognostic factors following fertility‑sparing therapy for EEC or AH. Furthermore, the present study assessed the strength of various clinicopathological indicators for the prediction of treatment efficacy. A retrospective analysis was performed of patients with EEC and AH who received fertility‑sparing therapy between August 2013 and September 2021 at Peking University People's Hospital (Beijing, China). Endometrial specimens were obtained from each patient after 3 months of treatment and at the end of the fertility‑sparing therapy, before treatment efficacy and prognosis were evaluated using the χ2 test. Furthermore, the protein expression levels of EEC biomarkers, such as estrogen receptor (ER), progesterone receptor (PR), paired box 2 (PAX2), PTEN and p53 were assessed using immunohistochemistry. The overall complete response (CR) rate of fertility‑sparing treatment in the EEC group was 67.39% (31/46), whereas that in the AH group was 86.49% (32/37). The difference between the CR rates in the EEC and AH groups was statistically significant (P<0.05). There was no association between prognosis after treatment and ER, PAX2, PTEN or Ki‑67 expression in the initially untreated AH or EEC groups. However, tissues with >50% positive PR expression were demonstrated to have a higher CR rate compared with those with ≤50% positive PR expression in both the EEC and AH groups. Furthermore, the PAX2‑positive group tended to demonstrate higher CR rates compared with the PAX2‑negative group in the patients with EEC. In conclusion, these data suggested that fertility‑sparing therapy is effective for patients with EEC and AH who wish to remain fertile after treatment. Specifically, in the AH group, a higher proportion of patients achieved a CR whilst also achieving this more rapidly. Furthermore, PR was demonstrated to be a useful marker for the evaluation of EEC and AH.
View Figures

Figure 1

Figure 2

Figure 3

Figure 4

View References

1 

Sung H, Ferlay J, Siegel RL, Laversanne M, Soerjomataram I, Jemal A and Bray F: Global cancer statistics 2020: GLOBOCAN estimates of incidence and mortality worldwide for 36 cancers in 185 countries. CA Cancer J Clin. 71:209–249. 2021. View Article : Google Scholar : PubMed/NCBI

2 

Sun P, Shen Y, Wang T, He Y, Zhang Y, Tian W, Yang B and Hu Y: Distinct clinical and genetic mutation characteristics in sporadic and Lynch syndrome-associated endometrial cancer in a Chinese population. Cancer Epidemiol. 73:1019342021. View Article : Google Scholar : PubMed/NCBI

3 

Kurman RJ, Carcangiu ML, Herrington CS and Young RH: WHO Classification of Tumous of Female Reproductive Organs. IARC Press; Lyon: 2014

4 

Chen W, Zheng R, Baade PD, Zhang S, Zeng H, Bray F, Jemal A, Yu XQ and He J: Cancer statistics in China, 2015. CA Cancer J Clin. 66:115–132. 2016. View Article : Google Scholar : PubMed/NCBI

5 

Sanderson PA, Critchley H, Williams A, Arends MJ and Saunders P: New Concepts for an Old Problem: The Diagnosis of Endometrial Hyperplasia. Oxford University Press; 2016, View Article : Google Scholar

6 

Coakley K, Wolford J and Tewari KS: Fertility preserving treatment for gynecologic malignancies: A review of recent literature. Curr Opin Obstet Gynecol. 32:51–56. 2020. View Article : Google Scholar : PubMed/NCBI

7 

Corzo C, Barrientos Santillan N, Westin SN and Ramirez PT: Updates on conservative management of endometrial cancer. Obstet Gynecol Surv. 72:715–716. 2017. View Article : Google Scholar

8 

Kim YB, Holschneider CH, Ghosh K, Nieberg RK and Montz FJ: Progestin alone as primary treatment of endometrial carcinoma in premenopausal women: Report of seven cases and review of the literature. Cancer. 79:320–327. 1997. View Article : Google Scholar : PubMed/NCBI

9 

Aristizabal P, Graesslin O, Barranger E, Clavel-Chapelon F, Haddad B, Luton D, Darai E, Rouzier R and Koskas M: A suggested modification to FIGO stage I endometrial cancer. Gynecol Oncol. 133:192–196. 2014. View Article : Google Scholar : PubMed/NCBI

10 

Moir-Meyer GL, Pearson JF and Lose F; Australian National Endometrial Cancer Study Group, ; Scott RJ, McEvoy M, Attia J, Holliday EG; Hunter Community Study; Studies of Epidemiology and Risk Factors in Cancer Heredity, ; et al: Rare germline copy number deletions of likely functional importance are implicated in endometrial cancer predisposition. Hum Genet. 134:269–278. 2015. View Article : Google Scholar : PubMed/NCBI

11 

Jerzak KJ, Duska L and Mackay HJ: Endocrine therapy in endometrial cancer: An old dog with new tricks. Gynecol Oncol. 153:175–183. 2019. View Article : Google Scholar : PubMed/NCBI

12 

Quick CM, Laury AR, Monte NM and Mutter GL: Utility of PAX2 as a marker for diagnosis of endometrial intraepithelial neoplasia. Am J Clin Pathol. 138:678–684. 2012. View Article : Google Scholar : PubMed/NCBI

13 

Wheeler DT, Bristow RE and Kurman RJ: Histologic alterations in endometrial hyperplasia and well-differentiated carcinoma treated with progestins. Am J Surg Pathol. 31:988–998. 2007. View Article : Google Scholar : PubMed/NCBI

14 

Chen H, Lucas E, Strickland AL, Carrick K, Gwin K, Castrillon DH, Rivera-Colon G, Niu S, Molberg KH and Zheng W: Specific biomarker expression patterns in the diagnosis of residual and recurrent endometrial precancers after progestin treatment: A longitudinal study. Am J Surg Pathol. 44:1429–1439. 2020. View Article : Google Scholar : PubMed/NCBI

15 

Bokhman JV: Two pathogenetic types of endometrial carcinoma. Gynecol Oncol. 15:10–17. 1983. View Article : Google Scholar : PubMed/NCBI

16 

Miller KD, Nogueira L, Mariotto AB, Rowland JH, Yabroff KR, Alfano CM, Jemal A, Kramer JL and Siegel RL: Cancer treatment and survivorship statistics, 2019. CA Cancer J Clin. 69:363–385. 2019. View Article : Google Scholar : PubMed/NCBI

17 

Koh WJ, Abu-Rustum NR, Bean S, Bradley K, Campos SM, Cho KR, Chon HS, Chu C, Cohn D, Crispens MA, et al: Uterine neoplasms, version 1.2018, NCCN clinical practice guidelines in oncology. J Natl Compr Canc Netw. 16:170–199. 2018. View Article : Google Scholar : PubMed/NCBI

18 

Qin Y, Yu Z, Yang J, Cao D, Yu M, Wang Y and Shen K: Oral Progestin Treatment for early-stage endometrial cancer: A systematic review and meta-analysis. Int J Gynecol Cancer. 26:1081–1091. 2016. View Article : Google Scholar : PubMed/NCBI

19 

Wang Y, Yu M, Yang JX, Cao DY, Yuan Z, Zhou HM, Zhang Y, Li L, Shen K and Wu H: Prolonged conservative treatment in patients with recurrent endometrial cancer after primary fertility-sparing therapy: 15-Year experience. Int J Clin Oncol. 24:712–720. 2019. View Article : Google Scholar : PubMed/NCBI

20 

Hwang JY, Kim DH, Bae HS, Kim ML, Jung YW, Yun BS, Seong SJ, Shin E and Kim MK: Combined oral medroxyprogesterone/levonorgestrel-intrauterine system treatment for women with grade 2 stage IA endometrial cancer. Int J Gynecol Cancer. 27:738–742. 2017. View Article : Google Scholar : PubMed/NCBI

21 

Park JY, Kim DY, Kim TJ, Kim JW, Kim JH, Kim YM, Kim YT, Bae DS and Nam JH: Hormonal therapy for women with stage IA endometrial cancer of all grades. Obstet Gynecol. 122:7–14. 2013. View Article : Google Scholar : PubMed/NCBI

22 

Fan Z, Li H, Hu R, Liu Y, Liu X and Gu L: Fertility-preserving treatment in young women with grade 1 presumed stage IA endometrial adenocarcinoma: A meta-analysis. Int J Gynecol Cancer. 28:385–393. 2018. View Article : Google Scholar : PubMed/NCBI

23 

Chen M, Jin Y, Li Y, Bi Y, Shan Y and Pan L: Oncologic and reproductive outcomes after fertility-sparing management with oral progestin for women with complex endometrial hyperplasia and endometrial cancer. Int J Gynaecol Obstet. 132:34–38. 2016. View Article : Google Scholar : PubMed/NCBI

24 

Rodolakis A, Biliatis I, Morice P, Reed N, Mangler M, Kesic V and Denschlag D: European society of gynecological oncology task force for fertility preservation: Clinical recommendations for fertility-sparing management in young endometrial cancer patients. Int J Gynecol Cancer. 25:1258–1265. 2015. View Article : Google Scholar : PubMed/NCBI

25 

Srijaipracharoen S, Tangjitgamol S, Tanvanich S, Manusirivithaya S, Khunnarong J, Thavaramara T, Leelahakorn S and Pataradool K: Expression of ER, PR, and Her-2/neu in endometrial cancer: A clinicopathological study. Asian Pac J Cancer Prev. 11:215–220. 2010.PubMed/NCBI

26 

Sherman ME: Theories of endometrial carcinogenesis: A multidisciplinary approach. Mod Pathol. 13:295–308. 2000. View Article : Google Scholar : PubMed/NCBI

27 

Raffone A, Travaglino A, Saccone G, Mollo A, De Placido G, Insabato L and Zullo F: Should progesterone and estrogen receptors be assessed for predicting the response to conservative treatment of endometrial hyperplasia and cancer? A systematic review and meta-analysis. Acta Obstet Gynecol Scand. 98:976–987. 2019. View Article : Google Scholar : PubMed/NCBI

28 

Travaglino A, Raffone A, Saccone G, Insabato L, Mollo A, De Placido G and Zullo F: Immunohistochemical predictive markers of response to conservative treatment of endometrial hyperplasia and early endometrial cancer: A systematic review. Acta Obstet Gynecol Scand. 98:1086–1099. 2019. View Article : Google Scholar : PubMed/NCBI

29 

Monte NM, Webster KA, Neuberg D, Dressler GR and Mutter GL: Joint loss of PAX2 and PTEN expression in endometrial precancers and cancer. Cancer Res. 70:6225–6232. 2010. View Article : Google Scholar : PubMed/NCBI

30 

Jing W, Zhang W, Feng L and Gao W: Comparison of fertility-sparing treatments in patients with early endometrial cancer and atypical complex hyperplasia: A meta-analysis and systematic review. Medicine (Baltimore). 96:e80342017. View Article : Google Scholar : PubMed/NCBI

31 

Cancer Genome Atlas Research Network, . Kandoth C, Schultz N, Cherniack AD, Akbani R, Liu Y, Shen H, Robertson AG, Pashtan I, Shen R, et al: Integrated genomic characterization of endometrial carcinoma. Nature. 497:67–73. 2013. View Article : Google Scholar : PubMed/NCBI

32 

Horak P: Gene signature profiling of gynaecological malignancies. Memo-Mag Eur Med Oncol. 7:252–255. 2014.

Related Articles

  • Abstract
  • View
  • Download
  • Twitter
Copy and paste a formatted citation
Spandidos Publications style
Zhang X, Zhao X, Wang C, Lu S, Wang Y, He Y, Wang J and Shen D: Use of clinicopathological factors to predict prognosis of fertility‑sparing treatment for endometrial endometrioid carcinoma and atypical hyperplasia. Oncol Lett 25: 52, 2023.
APA
Zhang, X., Zhao, X., Wang, C., Lu, S., Wang, Y., He, Y. ... Shen, D. (2023). Use of clinicopathological factors to predict prognosis of fertility‑sparing treatment for endometrial endometrioid carcinoma and atypical hyperplasia. Oncology Letters, 25, 52. https://doi.org/10.3892/ol.2022.13638
MLA
Zhang, X., Zhao, X., Wang, C., Lu, S., Wang, Y., He, Y., Wang, J., Shen, D."Use of clinicopathological factors to predict prognosis of fertility‑sparing treatment for endometrial endometrioid carcinoma and atypical hyperplasia". Oncology Letters 25.2 (2023): 52.
Chicago
Zhang, X., Zhao, X., Wang, C., Lu, S., Wang, Y., He, Y., Wang, J., Shen, D."Use of clinicopathological factors to predict prognosis of fertility‑sparing treatment for endometrial endometrioid carcinoma and atypical hyperplasia". Oncology Letters 25, no. 2 (2023): 52. https://doi.org/10.3892/ol.2022.13638
Copy and paste a formatted citation
x
Spandidos Publications style
Zhang X, Zhao X, Wang C, Lu S, Wang Y, He Y, Wang J and Shen D: Use of clinicopathological factors to predict prognosis of fertility‑sparing treatment for endometrial endometrioid carcinoma and atypical hyperplasia. Oncol Lett 25: 52, 2023.
APA
Zhang, X., Zhao, X., Wang, C., Lu, S., Wang, Y., He, Y. ... Shen, D. (2023). Use of clinicopathological factors to predict prognosis of fertility‑sparing treatment for endometrial endometrioid carcinoma and atypical hyperplasia. Oncology Letters, 25, 52. https://doi.org/10.3892/ol.2022.13638
MLA
Zhang, X., Zhao, X., Wang, C., Lu, S., Wang, Y., He, Y., Wang, J., Shen, D."Use of clinicopathological factors to predict prognosis of fertility‑sparing treatment for endometrial endometrioid carcinoma and atypical hyperplasia". Oncology Letters 25.2 (2023): 52.
Chicago
Zhang, X., Zhao, X., Wang, C., Lu, S., Wang, Y., He, Y., Wang, J., Shen, D."Use of clinicopathological factors to predict prognosis of fertility‑sparing treatment for endometrial endometrioid carcinoma and atypical hyperplasia". Oncology Letters 25, no. 2 (2023): 52. https://doi.org/10.3892/ol.2022.13638
Follow us
  • Twitter
  • LinkedIn
  • Facebook
About
  • Spandidos Publications
  • Careers
  • Cookie Policy
  • Privacy Policy
How can we help?
  • Help
  • Live Chat
  • Contact
  • Email to our Support Team