Spandidos Publications Logo
  • About
    • About Spandidos
    • Aims and Scopes
    • Abstracting and Indexing
    • Editorial Policies
    • Reprints and Permissions
    • Job Opportunities
    • Terms and Conditions
    • Contact
  • Journals
    • All Journals
    • Oncology Letters
      • Oncology Letters
      • Information for Authors
      • Editorial Policies
      • Editorial Board
      • Aims and Scope
      • Abstracting and Indexing
      • Bibliographic Information
      • Archive
    • International Journal of Oncology
      • International Journal of Oncology
      • Information for Authors
      • Editorial Policies
      • Editorial Board
      • Aims and Scope
      • Abstracting and Indexing
      • Bibliographic Information
      • Archive
    • Molecular and Clinical Oncology
      • Molecular and Clinical Oncology
      • Information for Authors
      • Editorial Policies
      • Editorial Board
      • Aims and Scope
      • Abstracting and Indexing
      • Bibliographic Information
      • Archive
    • Experimental and Therapeutic Medicine
      • Experimental and Therapeutic Medicine
      • Information for Authors
      • Editorial Policies
      • Editorial Board
      • Aims and Scope
      • Abstracting and Indexing
      • Bibliographic Information
      • Archive
    • International Journal of Molecular Medicine
      • International Journal of Molecular Medicine
      • Information for Authors
      • Editorial Policies
      • Editorial Board
      • Aims and Scope
      • Abstracting and Indexing
      • Bibliographic Information
      • Archive
    • Biomedical Reports
      • Biomedical Reports
      • Information for Authors
      • Editorial Policies
      • Editorial Board
      • Aims and Scope
      • Abstracting and Indexing
      • Bibliographic Information
      • Archive
    • Oncology Reports
      • Oncology Reports
      • Information for Authors
      • Editorial Policies
      • Editorial Board
      • Aims and Scope
      • Abstracting and Indexing
      • Bibliographic Information
      • Archive
    • Molecular Medicine Reports
      • Molecular Medicine Reports
      • Information for Authors
      • Editorial Policies
      • Editorial Board
      • Aims and Scope
      • Abstracting and Indexing
      • Bibliographic Information
      • Archive
    • World Academy of Sciences Journal
      • World Academy of Sciences Journal
      • Information for Authors
      • Editorial Policies
      • Editorial Board
      • Aims and Scope
      • Abstracting and Indexing
      • Bibliographic Information
      • Archive
    • International Journal of Functional Nutrition
      • International Journal of Functional Nutrition
      • Information for Authors
      • Editorial Policies
      • Editorial Board
      • Aims and Scope
      • Abstracting and Indexing
      • Bibliographic Information
      • Archive
    • International Journal of Epigenetics
      • International Journal of Epigenetics
      • Information for Authors
      • Editorial Policies
      • Editorial Board
      • Aims and Scope
      • Abstracting and Indexing
      • Bibliographic Information
      • Archive
    • Medicine International
      • Medicine International
      • Information for Authors
      • Editorial Policies
      • Editorial Board
      • Aims and Scope
      • Abstracting and Indexing
      • Bibliographic Information
      • Archive
  • Articles
  • Information
    • Information for Authors
    • Information for Reviewers
    • Information for Librarians
    • Information for Advertisers
    • Conferences
  • Language Editing
Spandidos Publications Logo
  • About
    • About Spandidos
    • Aims and Scopes
    • Abstracting and Indexing
    • Editorial Policies
    • Reprints and Permissions
    • Job Opportunities
    • Terms and Conditions
    • Contact
  • Journals
    • All Journals
    • Biomedical Reports
      • Information for Authors
      • Editorial Policies
      • Editorial Board
      • Aims and Scope
      • Abstracting and Indexing
      • Bibliographic Information
      • Archive
    • Experimental and Therapeutic Medicine
      • Information for Authors
      • Editorial Policies
      • Editorial Board
      • Aims and Scope
      • Abstracting and Indexing
      • Bibliographic Information
      • Archive
    • International Journal of Epigenetics
      • Information for Authors
      • Editorial Policies
      • Editorial Board
      • Aims and Scope
      • Abstracting and Indexing
      • Bibliographic Information
      • Archive
    • International Journal of Functional Nutrition
      • Information for Authors
      • Editorial Policies
      • Editorial Board
      • Aims and Scope
      • Abstracting and Indexing
      • Bibliographic Information
      • Archive
    • International Journal of Molecular Medicine
      • Information for Authors
      • Editorial Policies
      • Editorial Board
      • Aims and Scope
      • Abstracting and Indexing
      • Bibliographic Information
      • Archive
    • International Journal of Oncology
      • Information for Authors
      • Editorial Policies
      • Editorial Board
      • Aims and Scope
      • Abstracting and Indexing
      • Bibliographic Information
      • Archive
    • Medicine International
      • Information for Authors
      • Editorial Policies
      • Editorial Board
      • Aims and Scope
      • Abstracting and Indexing
      • Bibliographic Information
      • Archive
    • Molecular and Clinical Oncology
      • Information for Authors
      • Editorial Policies
      • Editorial Board
      • Aims and Scope
      • Abstracting and Indexing
      • Bibliographic Information
      • Archive
    • Molecular Medicine Reports
      • Information for Authors
      • Editorial Policies
      • Editorial Board
      • Aims and Scope
      • Abstracting and Indexing
      • Bibliographic Information
      • Archive
    • Oncology Letters
      • Information for Authors
      • Editorial Policies
      • Editorial Board
      • Aims and Scope
      • Abstracting and Indexing
      • Bibliographic Information
      • Archive
    • Oncology Reports
      • Information for Authors
      • Editorial Policies
      • Editorial Board
      • Aims and Scope
      • Abstracting and Indexing
      • Bibliographic Information
      • Archive
    • World Academy of Sciences Journal
      • Information for Authors
      • Editorial Policies
      • Editorial Board
      • Aims and Scope
      • Abstracting and Indexing
      • Bibliographic Information
      • Archive
  • Articles
  • Information
    • For Authors
    • For Reviewers
    • For Librarians
    • For Advertisers
    • Conferences
  • Language Editing
Login Register Submit
  • This site uses cookies
  • You can change your cookie settings at any time by following the instructions in our Cookie Policy. To find out more, you may read our Privacy Policy.

    I agree
Search articles by DOI, keyword, author or affiliation
Search
Advanced Search
presentation
Oncology Letters
Join Editorial Board Propose a Special Issue
Print ISSN: 1792-1074 Online ISSN: 1792-1082
Journal Cover
February-2023 Volume 25 Issue 2

Full Size Image

Sign up for eToc alerts
Recommend to Library

Journals

International Journal of Molecular Medicine

International Journal of Molecular Medicine

International Journal of Molecular Medicine is an international journal devoted to molecular mechanisms of human disease.

International Journal of Oncology

International Journal of Oncology

International Journal of Oncology is an international journal devoted to oncology research and cancer treatment.

Molecular Medicine Reports

Molecular Medicine Reports

Covers molecular medicine topics such as pharmacology, pathology, genetics, neuroscience, infectious diseases, molecular cardiology, and molecular surgery.

Oncology Reports

Oncology Reports

Oncology Reports is an international journal devoted to fundamental and applied research in Oncology.

Experimental and Therapeutic Medicine

Experimental and Therapeutic Medicine

Experimental and Therapeutic Medicine is an international journal devoted to laboratory and clinical medicine.

Oncology Letters

Oncology Letters

Oncology Letters is an international journal devoted to Experimental and Clinical Oncology.

Biomedical Reports

Biomedical Reports

Explores a wide range of biological and medical fields, including pharmacology, genetics, microbiology, neuroscience, and molecular cardiology.

Molecular and Clinical Oncology

Molecular and Clinical Oncology

International journal addressing all aspects of oncology research, from tumorigenesis and oncogenes to chemotherapy and metastasis.

World Academy of Sciences Journal

World Academy of Sciences Journal

Multidisciplinary open-access journal spanning biochemistry, genetics, neuroscience, environmental health, and synthetic biology.

International Journal of Functional Nutrition

International Journal of Functional Nutrition

Open-access journal combining biochemistry, pharmacology, immunology, and genetics to advance health through functional nutrition.

International Journal of Epigenetics

International Journal of Epigenetics

Publishes open-access research on using epigenetics to advance understanding and treatment of human disease.

Medicine International

Medicine International

An International Open Access Journal Devoted to General Medicine.

Journal Cover
February-2023 Volume 25 Issue 2

Full Size Image

Sign up for eToc alerts
Recommend to Library

  • Article
  • Citations
    • Cite This Article
    • Download Citation
    • Create Citation Alert
    • Remove Citation Alert
    • Cited By
  • Similar Articles
    • Related Articles (in Spandidos Publications)
    • Similar Articles (Google Scholar)
    • Similar Articles (PubMed)
  • Download PDF
  • Download XML
  • View XML
Case Report Open Access

Apatinib combined with trastuzumab and albumin‑bound paclitaxel for treatment of HER2+ breast cancer with brain metastases resistant to anti‑HER2 TKIs: A case report

  • Authors:
    • Jiayi Huang
    • Xiao Chen
    • Jinfeng Guo
    • Lin Song
    • Yanxi Mu
    • Han Zhao
    • Caiwen Du
  • View Affiliations / Copyright

    Affiliations: Department of Medical Oncology, National Cancer Center/National Clinical Research Center for Cancer/Cancer Hospital and Shenzhen Hospital, Chinese Academy of Medical Sciences and Peking Union Medical College, Shenzhen, Guangdong 518116, P.R. China
    Copyright: © Huang et al. This is an open access article distributed under the terms of Creative Commons Attribution License.
  • Article Number: 56
    |
    Published online on: December 20, 2022
       https://doi.org/10.3892/ol.2022.13642
  • Expand metrics +
Metrics: Total Views: 0 (Spandidos Publications: | PMC Statistics: )
Metrics: Total PDF Downloads: 0 (Spandidos Publications: | PMC Statistics: )
Cited By (CrossRef): 0 citations Loading Articles...

This article is mentioned in:



Abstract

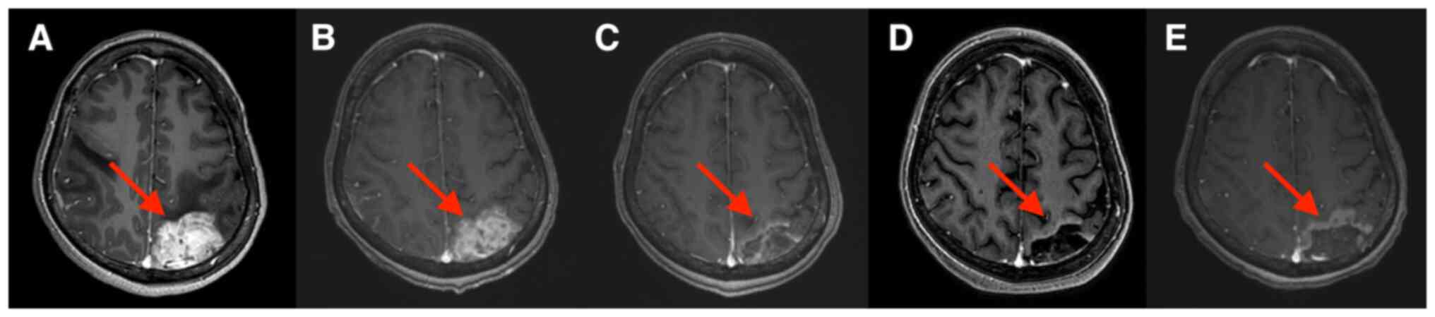
Although human epidermal growth factor receptor 2 (HER2)‑targeted therapy significantly improves the prognosis of patients with HER2‑positive breast cancer, most patients with advanced breast cancer eventually progress due to drug resistance. At present, there is no standard treatment after patients become resistant to HER2‑targeted therapy. Previous studies have indicated that anti‑angiogenesis drugs have potential efficacy in the treatment of advanced breast cancer. The present study reported on a case of a pretreated patient with HER2‑positive advanced breast cancer with brain metastases who developed resistance to multiple lines of HER2‑targeted treatment. The patient was treated with apatinib combined with trastuzumab and albumin‑bound paclitaxel. The patient achieved partial response to the third‑line treatment with a progression‑free survival of 9 months. After combination treatment, the symptoms of headache and vomiting were relieved and all the brain metastases were significantly reduced. The present case indicated that apatinib may have anti‑tumor activity in patients with HER2‑positive breast cancer with HER2‑targeted drug resistance. The present case provides valuable information and may offer a new possibility for the treatment of patients with breast cancer with brain metastases who progressed after clinical treatment with small‑molecule anti‑HER2 tyrosine kinase inhibitor drugs.
View Figures

Figure 1

Figure 2

Figure 3

View References

1 

Bray F, Ferlay J, Soerjomataram I, Siegel RL, Torre LA and Jemal A: Global cancer statistics 2018: GLOBOCAN estimates of incidence and mortality worldwide for 36 cancers in 185 countries. CA Cancer J Clin. 68:394–424. 2018. View Article : Google Scholar : PubMed/NCBI

2 

Loibl S and Gianni L: HER2-positive breast cancer. Lancet. 389:2415–2429. 2017. View Article : Google Scholar : PubMed/NCBI

3 

Wang Q, Li J, Zheng S, Li JY, Pang Y, Huang R, Zhang BN, Zhang B, Yang HJ, Xie XM, et al: Breast cancer stage at diagnosis and area-based socioeconomic status: A multicenter 10-year retrospective clinical epidemiological study in China. BMC Cancer. 12:1222012. View Article : Google Scholar : PubMed/NCBI

4 

Heinemann V, Di Gioia D, Vehling-Kaiser U, Harich HD, Heinrich B, Welt A, Ziske C, Deutsch G, Pihusch R, Kölbl H, et al: A prospective multicenter phase II study of oral and i.v. vinorelbine plus trastuzumab as first-line therapy in HER2-overexpressing metastatic breast cancer. Ann Oncol. 22:603–608. 2011. View Article : Google Scholar : PubMed/NCBI

5 

Cameron D, Piccart-Gebhart MJ, Gelber RD, Procter M, Goldhirsch A, de Azambuja E, Castro G Jr, Untch M, Smith I, Gianni L, et al: 11 years' follow-up of trastuzumab after adjuvant chemotherapy in HER2-positive early breast cancer: Final analysis of the HERceptin Adjuvant (HERA) trial. Lancet. 389:1195–1205. 2017. View Article : Google Scholar : PubMed/NCBI

6 

Chen X, Wang J, Fan Y, Luo Y, Zhang P, Li Q, Ma F, Yuan P, Chen S, Li Q, et al: Primary trastuzumab resistance after (Neo)adjuvant Trastuzumab-containing treatment for patients with HER2-positive breast cancer in real-world practice. Clin Breast Cancer. 21:191–198. 2021. View Article : Google Scholar : PubMed/NCBI

7 

Viallard C and Larrivee B: Tumor angiogenesis and vascular normalization: Alternative therapeutic targets. Angiogenesis. 20:409–426. 2017. View Article : Google Scholar : PubMed/NCBI

8 

Banerjee S, Dowsett M, Ashworth A and Martin LA: Mechanisms of disease: angiogenesis and the management of breast cancer. Nat Clin Pract Oncol. 4:536–550. 2007. View Article : Google Scholar : PubMed/NCBI

9 

Zhou Y, Ren X, Hou Z, Wang N, Jiang Y and Luan Y: Engineering a photosensitizer nanoplatform for amplified photodynamic immunotherapy via tumor microenvironment modulation. Nanoscale Horiz. 6:120–131. 2021. View Article : Google Scholar : PubMed/NCBI

10 

Miller K, Wang M, Gralow J, Dickler M, Cobleigh M, Perez EA, Shenkier T, Cella D and Davidson NE: Paclitaxel plus bevacizumab versus paclitaxel alone for metastatic breast cancer. N Engl J Med. 357:2666–2676. 2007. View Article : Google Scholar : PubMed/NCBI

11 

Robert NJ, Diéras V, Glaspy J, Brufsky AM, Bondarenko I, Lipatov ON, Perez EA, Yardley DA, Chan SY, Zhou X, et al: RIBBON-1: Randomized, double-blind, placebo-controlled, phase III trial of chemotherapy with or without bevacizumab for first-line treatment of human epidermal growth factor receptor 2-negative, locally recurrent or metastatic breast cancer. J Clin Oncol. 29:1252–1260. 2011. View Article : Google Scholar : PubMed/NCBI

12 

Brufsky AM, Hurvitz S, Perez E, Swamy R, Valero V, O'Neill V and Rugo HS: RIBBON-2: A randomized, double-blind, placebo-controlled, phase III trial evaluating the efficacy and safety of bevacizumab in combination with chemotherapy for second-line treatment of human epidermal growth factor receptor 2-negative metastatic breast cancer. J Clin Oncol. 29:4286–4293. 2011. View Article : Google Scholar : PubMed/NCBI

13 

Cobleigh MA, Langmuir VK, Sledge GW, Miller KD, Haney L, Novotny WF, Reimann JD and Vassel A: A phase I/II dose-escalation trial of bevacizumab in previously treated metastatic breast cancer. Semin Oncol. 30:117–124. 2003. View Article : Google Scholar : PubMed/NCBI

14 

Baselga J, Segalla JG, Roché H, Del Giglio A, Pinczowski H, Ciruelos EM, Filho SC, Gómez P, Van Eyll B, Bermejo B, et al: Sorafenib in combination with capecitabine: An oral regimen for patients with HER2-negative locally advanced or metastatic breast cancer. J Clin Oncol. 30:1484–1491. 2012. View Article : Google Scholar : PubMed/NCBI

15 

Burstein HJ, Elias AD, Rugo HS, Cobleigh MA, Wolff AC, Eisenberg PD, Lehman M, Adams BJ, Bello CL, DePrimo SE, et al: Phase II study of sunitinib malate, an oral multitargeted tyrosine kinase inhibitor, in patients with metastatic breast cancer previously treated with an anthracycline and a taxane. J Clin Oncol. 26:1810–1816. 2008. View Article : Google Scholar : PubMed/NCBI

16 

Hu N, Si Y, Yue J, Sun T, Wang X, Jia Z, Gao S, Li Q, Shao Y, Wang J, et al: Anlotinib has good efficacy and low toxicity: A phase II study of anlotinib in pre-treated HER-2 negative metastatic breast cancer. Cancer Biol Med. 18:849–859. 2021. View Article : Google Scholar : PubMed/NCBI

17 

Li J, Qin S, Xu J, Xiong J, Wu C, Bai Y, Liu W, Tong J, Liu Y, Xu R, et al: Randomized, double-blind, placebo-controlled phase III trial of apatinib in patients with chemotherapy-refractory advanced or metastatic adenocarcinoma of the stomach or gastroesophageal junction. J Clin Oncol. 34:1448–14454. 2016. View Article : Google Scholar : PubMed/NCBI

18 

Hu X, Zhang J, Xu B, Jiang Z, Ragaz J, Tong Z, Zhang Q, Wang X, Feng J, Pang D, et al: Multicenter phase II study of apatinib, a novel VEGFR inhibitor in heavily pretreated patients with metastatic triple-negative breast cancer. Int J Cancer. 135:1961–1969. 2014. View Article : Google Scholar : PubMed/NCBI

19 

Hu X, Cao J, Hu W, Wu C, Pan Y, Cai L, Tong Z, Wang S, Li J, Wang Z, et al: Multicenter phase II study of apatinib in non-triple-negative metastatic breast cancer. BMC Cancer. 14:8202014. View Article : Google Scholar : PubMed/NCBI

20 

Zhu A, Yuan P, Wang J, Fan Y, Luo Y, Cai R, Zhang P, Li Q, Ma F and Xu B: Apatinib combined with chemotherapy in patients with previously treated advanced breast cancer: An observational study. Oncol Lett. 17:4768–4778. 2019.PubMed/NCBI

21 

Patchell RA, Tibbs PA, Walsh JW, Dempsey RJ, Maruyama Y, Kryscio RJ, Markesbery WR, Macdonald JS and Young B: A randomized trial of surgery in the treatment of single metastases to the brain. N Engl J Med. 322:494–500. 1990. View Article : Google Scholar : PubMed/NCBI

22 

Kalkanis SN, Kondziolka D, Gaspar LE, Burri SH, Asher AL, Cobbs CS, Ammirati M, Robinson PD, Andrews DW, Loeffler JS, et al: The role of surgical resection in the management of newly diagnosed brain metastases: A systematic review and evidence-based clinical practice guideline. J Neurooncol. 96:33–43. 2010. View Article : Google Scholar : PubMed/NCBI

23 

Mills MN, Figura NB, Arrington JA, Yu HM, Etame AB, Vogelbaum MA, Soliman H, Czerniecki BJ, Forsyth PA, Han HS and Ahmed KA: Management of brain metastases in breast cancer: A review of current practices and emerging treatments. Breast Cancer Res Treat. 180:279–300. 2020. View Article : Google Scholar : PubMed/NCBI

24 

Brown PD, Jaeckle K, Ballman KV, Farace E, Cerhan JH, Anderson SK, Carrero XW, Barker FG II, Deming R, Burri SH, et al: Effect of radiosurgery alone vs. radiosurgery with whole brain radiation therapy on cognitive function in patients with 1 to 3 brain metastases: A randomized clinical trial. JAMA. 316:401–409. 2016. View Article : Google Scholar : PubMed/NCBI

25 

Soffietti R, Abacioglu U, Baumert B, Combs SE, Kinhult S, Kros JM, Marosi C, Metellus P, Radbruch A, Villa Freixa SS, et al: Diagnosis and treatment of brain metastases from solid tumors: Guidelines from the european association of neuro-oncology (EANO). Neuro Oncol. 19:162–174. 2017. View Article : Google Scholar : PubMed/NCBI

26 

Krop IE, Lin NU, Blackwell K, Guardino E, Huober J, Lu M, Miles D, Samant M, Welslau M and Diéras V: Trastuzumab emtansine (T-DM1) versus lapatinib plus capecitabine in patients with HER2-positive metastatic breast cancer and central nervous system metastases: A retrospective, exploratory analysis in EMILIA. Ann Oncol. 26:113–119. 2015. View Article : Google Scholar : PubMed/NCBI

27 

Jerusalem G, Park YH, Yamashita T, Hurvitz SA, Modi S, Andre F, Krop IE, Gonzàlez Farré X, You B, Saura C, et al: Trastuzumab deruxtecan in HER2-positive metastatic breast cancer patients with brain metastases: A DESTINY-Breast01 subgroup analysis. Cancer Discov. 12:2754–2762. 2022. View Article : Google Scholar : PubMed/NCBI

28 

Alameddine RS, Otrock ZK, Awada A and Shamseddine A: Crosstalk between HER2 signaling and angiogenesis in breast cancer: Molecular basis, clinical applications and challenges. Curr Opin Oncol. 25:313–324. 2013. View Article : Google Scholar : PubMed/NCBI

29 

Nasir A, Holzer TR, Chen M, Man MZ and Schade AE: Differential expression of VEGFR2 protein in HER2 positive primary human breast cancer: Potential relevance to anti-angiogenic therapies. Cancer Cell Int. 17:562017. View Article : Google Scholar : PubMed/NCBI

30 

Yen L, You XL, Al Moustafa AE, Batist G, Hynes NE, Mader S, Meloche S and Alaoui-Jamali MA: Heregulin selectively upregulates vascular endothelial growth factor secretion in cancer cells and stimulates angiogenesis. Oncogene. 19:3460–3469. 2000. View Article : Google Scholar : PubMed/NCBI

31 

Schwartzberg LS, Badarinath S, Keaton MR and Childs BH: Phase II multicenter study of docetaxel and bevacizumab with or without trastuzumab as first-line treatment for patients with metastatic breast cancer. Clin Breast Cancer. 14:161–168. 2014. View Article : Google Scholar : PubMed/NCBI

32 

Lin NU, Seah DS, Gelman R, Desantis S, Mayer EL, Isakoff S, Dipiro P, Krop IE, Come SE, Weckstein D, et al: A phase II study of bevacizumab in combination with vinorelbine and trastuzumab in HER2-positive metastatic breast cancer. Breast Cancer Res Treat. 139:403–410. 2013. View Article : Google Scholar : PubMed/NCBI

33 

Martin M, Makhson A, Gligorov J, Lichinitser M, Lluch A, Semiglazov V, Scotto N, Mitchell L and Tjulandin S: Phase II study of bevacizumab in combination with trastuzumab and capecitabine as first-line treatment for HER-2-positive locally recurrent or metastatic breast cancer. Oncologist. 17:469–475. 2012. View Article : Google Scholar : PubMed/NCBI

34 

Rugo HS, Chien AJ, Franco SX, Stopeck AT, Glencer A, Lahiri S, Arbushites MC, Scott J, Park JW, Hudis C, et al: A phase II study of lapatinib and bevacizumab as treatment for HER2-overexpressing metastatic breast cancer. Breast Cancer Res Treat. 134:13–20. 2012. View Article : Google Scholar : PubMed/NCBI

35 

He C, Cai P, Li J, Zhang T, Lin L, Abbasi AZ, Henderson JT, Rauth AM and Wu XY: Blood-brain barrier-penetrating amphiphilic polymer nanoparticles deliver docetaxel for the treatment of brain metastases of triple negative breast cancer. J Control Release. 246:98–109. 2017. View Article : Google Scholar : PubMed/NCBI

36 

Zhang H, Chen F, Wang Z and Wu S: Successful treatment with apatinib for refractory recurrent malignant gliomas: A case series. Onco Targets Ther. 10:837–845. 2017. View Article : Google Scholar : PubMed/NCBI

37 

Song Y MD, PhD, Liu B MD, PhD; Guan M Master of Medicine, ; Liu M: Successful treatment using apatinib in intractable brain edema: A case report and literatures review. Cancer Biol Ther. 19:1093–1096. 2018. View Article : Google Scholar : PubMed/NCBI

38 

Hu T, Liu C, Li Q, Xiong J, Ma Y, Wu G and Zhao Y: Apatinib + CPT-11 + S-1 for treatment of refractory brain metastases in patient with triple-negative breast cancer: Case report and literature review. Medicine (Baltimore). 97:e03492018. View Article : Google Scholar : PubMed/NCBI

39 

Li T, Wang SB, Lei KJ, Jiang MQ and Jia YM: Significant response of low-dose apatinib monotherapy in brain metastases of triple-negative breast cancer: A case report. Medicine (Baltimore). 98:e141822019. View Article : Google Scholar : PubMed/NCBI

40 

Gradishar WJ, Tjulandin S, Davidson N, Shaw H, Desai N, Bhar P, Hawkins M and O'Shaughnessy J: Phase III trial of nanoparticle albumin-bound paclitaxel compared with polyethylated castor oil-based paclitaxel in women with breast cancer. J Clin Oncol. 23:7794–803. 2005. View Article : Google Scholar : PubMed/NCBI

41 

Lin T, Zhao P, Jiang Y, Tang Y, Jin H, Pan Z, He H, Yang VC and Huang Y: Blood-brain-barrier-penetrating albumin nanoparticles for biomimetic drug delivery via albumin-binding protein pathways for antiglioma therapy. ACS Nano. 10:9999–10012. 2016. View Article : Google Scholar : PubMed/NCBI

Related Articles

  • Abstract
  • View
  • Download
  • Twitter
Copy and paste a formatted citation
Spandidos Publications style
Huang J, Chen X, Guo J, Song L, Mu Y, Zhao H and Du C: Apatinib combined with trastuzumab and albumin‑bound paclitaxel for treatment of HER2+ breast cancer with brain metastases resistant to anti‑HER2 TKIs: A case report. Oncol Lett 25: 56, 2023.
APA
Huang, J., Chen, X., Guo, J., Song, L., Mu, Y., Zhao, H., & Du, C. (2023). Apatinib combined with trastuzumab and albumin‑bound paclitaxel for treatment of HER2+ breast cancer with brain metastases resistant to anti‑HER2 TKIs: A case report. Oncology Letters, 25, 56. https://doi.org/10.3892/ol.2022.13642
MLA
Huang, J., Chen, X., Guo, J., Song, L., Mu, Y., Zhao, H., Du, C."Apatinib combined with trastuzumab and albumin‑bound paclitaxel for treatment of HER2+ breast cancer with brain metastases resistant to anti‑HER2 TKIs: A case report". Oncology Letters 25.2 (2023): 56.
Chicago
Huang, J., Chen, X., Guo, J., Song, L., Mu, Y., Zhao, H., Du, C."Apatinib combined with trastuzumab and albumin‑bound paclitaxel for treatment of HER2+ breast cancer with brain metastases resistant to anti‑HER2 TKIs: A case report". Oncology Letters 25, no. 2 (2023): 56. https://doi.org/10.3892/ol.2022.13642
Copy and paste a formatted citation
x
Spandidos Publications style
Huang J, Chen X, Guo J, Song L, Mu Y, Zhao H and Du C: Apatinib combined with trastuzumab and albumin‑bound paclitaxel for treatment of HER2+ breast cancer with brain metastases resistant to anti‑HER2 TKIs: A case report. Oncol Lett 25: 56, 2023.
APA
Huang, J., Chen, X., Guo, J., Song, L., Mu, Y., Zhao, H., & Du, C. (2023). Apatinib combined with trastuzumab and albumin‑bound paclitaxel for treatment of HER2+ breast cancer with brain metastases resistant to anti‑HER2 TKIs: A case report. Oncology Letters, 25, 56. https://doi.org/10.3892/ol.2022.13642
MLA
Huang, J., Chen, X., Guo, J., Song, L., Mu, Y., Zhao, H., Du, C."Apatinib combined with trastuzumab and albumin‑bound paclitaxel for treatment of HER2+ breast cancer with brain metastases resistant to anti‑HER2 TKIs: A case report". Oncology Letters 25.2 (2023): 56.
Chicago
Huang, J., Chen, X., Guo, J., Song, L., Mu, Y., Zhao, H., Du, C."Apatinib combined with trastuzumab and albumin‑bound paclitaxel for treatment of HER2+ breast cancer with brain metastases resistant to anti‑HER2 TKIs: A case report". Oncology Letters 25, no. 2 (2023): 56. https://doi.org/10.3892/ol.2022.13642
Follow us
  • Twitter
  • LinkedIn
  • Facebook
About
  • Spandidos Publications
  • Careers
  • Cookie Policy
  • Privacy Policy
How can we help?
  • Help
  • Live Chat
  • Contact
  • Email to our Support Team