Spandidos Publications Logo
  • About
    • About Spandidos
    • Aims and Scopes
    • Abstracting and Indexing
    • Editorial Policies
    • Reprints and Permissions
    • Job Opportunities
    • Terms and Conditions
    • Contact
  • Journals
    • All Journals
    • Oncology Letters
      • Oncology Letters
      • Information for Authors
      • Editorial Policies
      • Editorial Board
      • Aims and Scope
      • Abstracting and Indexing
      • Bibliographic Information
      • Archive
    • International Journal of Oncology
      • International Journal of Oncology
      • Information for Authors
      • Editorial Policies
      • Editorial Board
      • Aims and Scope
      • Abstracting and Indexing
      • Bibliographic Information
      • Archive
    • Molecular and Clinical Oncology
      • Molecular and Clinical Oncology
      • Information for Authors
      • Editorial Policies
      • Editorial Board
      • Aims and Scope
      • Abstracting and Indexing
      • Bibliographic Information
      • Archive
    • Experimental and Therapeutic Medicine
      • Experimental and Therapeutic Medicine
      • Information for Authors
      • Editorial Policies
      • Editorial Board
      • Aims and Scope
      • Abstracting and Indexing
      • Bibliographic Information
      • Archive
    • International Journal of Molecular Medicine
      • International Journal of Molecular Medicine
      • Information for Authors
      • Editorial Policies
      • Editorial Board
      • Aims and Scope
      • Abstracting and Indexing
      • Bibliographic Information
      • Archive
    • Biomedical Reports
      • Biomedical Reports
      • Information for Authors
      • Editorial Policies
      • Editorial Board
      • Aims and Scope
      • Abstracting and Indexing
      • Bibliographic Information
      • Archive
    • Oncology Reports
      • Oncology Reports
      • Information for Authors
      • Editorial Policies
      • Editorial Board
      • Aims and Scope
      • Abstracting and Indexing
      • Bibliographic Information
      • Archive
    • Molecular Medicine Reports
      • Molecular Medicine Reports
      • Information for Authors
      • Editorial Policies
      • Editorial Board
      • Aims and Scope
      • Abstracting and Indexing
      • Bibliographic Information
      • Archive
    • World Academy of Sciences Journal
      • World Academy of Sciences Journal
      • Information for Authors
      • Editorial Policies
      • Editorial Board
      • Aims and Scope
      • Abstracting and Indexing
      • Bibliographic Information
      • Archive
    • International Journal of Functional Nutrition
      • International Journal of Functional Nutrition
      • Information for Authors
      • Editorial Policies
      • Editorial Board
      • Aims and Scope
      • Abstracting and Indexing
      • Bibliographic Information
      • Archive
    • International Journal of Epigenetics
      • International Journal of Epigenetics
      • Information for Authors
      • Editorial Policies
      • Editorial Board
      • Aims and Scope
      • Abstracting and Indexing
      • Bibliographic Information
      • Archive
    • Medicine International
      • Medicine International
      • Information for Authors
      • Editorial Policies
      • Editorial Board
      • Aims and Scope
      • Abstracting and Indexing
      • Bibliographic Information
      • Archive
  • Articles
  • Information
    • Information for Authors
    • Information for Reviewers
    • Information for Librarians
    • Information for Advertisers
    • Conferences
  • Language Editing
Spandidos Publications Logo
  • About
    • About Spandidos
    • Aims and Scopes
    • Abstracting and Indexing
    • Editorial Policies
    • Reprints and Permissions
    • Job Opportunities
    • Terms and Conditions
    • Contact
  • Journals
    • All Journals
    • Biomedical Reports
      • Information for Authors
      • Editorial Policies
      • Editorial Board
      • Aims and Scope
      • Abstracting and Indexing
      • Bibliographic Information
      • Archive
    • Experimental and Therapeutic Medicine
      • Information for Authors
      • Editorial Policies
      • Editorial Board
      • Aims and Scope
      • Abstracting and Indexing
      • Bibliographic Information
      • Archive
    • International Journal of Epigenetics
      • Information for Authors
      • Editorial Policies
      • Editorial Board
      • Aims and Scope
      • Abstracting and Indexing
      • Bibliographic Information
      • Archive
    • International Journal of Functional Nutrition
      • Information for Authors
      • Editorial Policies
      • Editorial Board
      • Aims and Scope
      • Abstracting and Indexing
      • Bibliographic Information
      • Archive
    • International Journal of Molecular Medicine
      • Information for Authors
      • Editorial Policies
      • Editorial Board
      • Aims and Scope
      • Abstracting and Indexing
      • Bibliographic Information
      • Archive
    • International Journal of Oncology
      • Information for Authors
      • Editorial Policies
      • Editorial Board
      • Aims and Scope
      • Abstracting and Indexing
      • Bibliographic Information
      • Archive
    • Medicine International
      • Information for Authors
      • Editorial Policies
      • Editorial Board
      • Aims and Scope
      • Abstracting and Indexing
      • Bibliographic Information
      • Archive
    • Molecular and Clinical Oncology
      • Information for Authors
      • Editorial Policies
      • Editorial Board
      • Aims and Scope
      • Abstracting and Indexing
      • Bibliographic Information
      • Archive
    • Molecular Medicine Reports
      • Information for Authors
      • Editorial Policies
      • Editorial Board
      • Aims and Scope
      • Abstracting and Indexing
      • Bibliographic Information
      • Archive
    • Oncology Letters
      • Information for Authors
      • Editorial Policies
      • Editorial Board
      • Aims and Scope
      • Abstracting and Indexing
      • Bibliographic Information
      • Archive
    • Oncology Reports
      • Information for Authors
      • Editorial Policies
      • Editorial Board
      • Aims and Scope
      • Abstracting and Indexing
      • Bibliographic Information
      • Archive
    • World Academy of Sciences Journal
      • Information for Authors
      • Editorial Policies
      • Editorial Board
      • Aims and Scope
      • Abstracting and Indexing
      • Bibliographic Information
      • Archive
  • Articles
  • Information
    • For Authors
    • For Reviewers
    • For Librarians
    • For Advertisers
    • Conferences
  • Language Editing
Login Register Submit
  • This site uses cookies
  • You can change your cookie settings at any time by following the instructions in our Cookie Policy. To find out more, you may read our Privacy Policy.

    I agree
Search articles by DOI, keyword, author or affiliation
Search
Advanced Search
presentation
Oncology Letters
Join Editorial Board Propose a Special Issue
Print ISSN: 1792-1074 Online ISSN: 1792-1082
Journal Cover
February-2023 Volume 25 Issue 2

Full Size Image

Sign up for eToc alerts
Recommend to Library

Journals

International Journal of Molecular Medicine

International Journal of Molecular Medicine

International Journal of Molecular Medicine is an international journal devoted to molecular mechanisms of human disease.

International Journal of Oncology

International Journal of Oncology

International Journal of Oncology is an international journal devoted to oncology research and cancer treatment.

Molecular Medicine Reports

Molecular Medicine Reports

Covers molecular medicine topics such as pharmacology, pathology, genetics, neuroscience, infectious diseases, molecular cardiology, and molecular surgery.

Oncology Reports

Oncology Reports

Oncology Reports is an international journal devoted to fundamental and applied research in Oncology.

Experimental and Therapeutic Medicine

Experimental and Therapeutic Medicine

Experimental and Therapeutic Medicine is an international journal devoted to laboratory and clinical medicine.

Oncology Letters

Oncology Letters

Oncology Letters is an international journal devoted to Experimental and Clinical Oncology.

Biomedical Reports

Biomedical Reports

Explores a wide range of biological and medical fields, including pharmacology, genetics, microbiology, neuroscience, and molecular cardiology.

Molecular and Clinical Oncology

Molecular and Clinical Oncology

International journal addressing all aspects of oncology research, from tumorigenesis and oncogenes to chemotherapy and metastasis.

World Academy of Sciences Journal

World Academy of Sciences Journal

Multidisciplinary open-access journal spanning biochemistry, genetics, neuroscience, environmental health, and synthetic biology.

International Journal of Functional Nutrition

International Journal of Functional Nutrition

Open-access journal combining biochemistry, pharmacology, immunology, and genetics to advance health through functional nutrition.

International Journal of Epigenetics

International Journal of Epigenetics

Publishes open-access research on using epigenetics to advance understanding and treatment of human disease.

Medicine International

Medicine International

An International Open Access Journal Devoted to General Medicine.

Journal Cover
February-2023 Volume 25 Issue 2

Full Size Image

Sign up for eToc alerts
Recommend to Library

  • Article
  • Citations
    • Cite This Article
    • Download Citation
    • Create Citation Alert
    • Remove Citation Alert
    • Cited By
  • Similar Articles
    • Related Articles (in Spandidos Publications)
    • Similar Articles (Google Scholar)
    • Similar Articles (PubMed)
  • Download PDF
  • Download XML
  • View XML
Case Report Open Access

P40 and TTF‑1 double‑expressing non‑small cell lung cancer with EML4‑ALK and PIK3CA gene mutations: A case report and review of the literature

  • Authors:
    • Ying Cai
    • Hongsheng Liu
    • Xiaodan Chen
    • Junjie Yang
    • Bin Huang
  • View Affiliations / Copyright

    Affiliations: Department of Respiratory Medicine, The First People's Hospital of Xiaoshan District, Hangzhou, Zhejiang 311200, P.R. China, Department of Pathology, The First People's Hospital of Xiaoshan District, Hangzhou, Zhejiang 311200, P.R. China
    Copyright: © Cai et al. This is an open access article distributed under the terms of Creative Commons Attribution License.
  • Article Number: 59
    |
    Published online on: December 20, 2022
       https://doi.org/10.3892/ol.2022.13645
  • Expand metrics +
Metrics: Total Views: 0 (Spandidos Publications: | PMC Statistics: )
Metrics: Total PDF Downloads: 0 (Spandidos Publications: | PMC Statistics: )
Cited By (CrossRef): 0 citations Loading Articles...

This article is mentioned in:



Abstract

P40 and thyroid transcription factor‑1 (TTF‑1) dual expression in non‑small cell lung cancer (NSCLC) is a rare occurrence. However, the presence of EML4‑ALK and PIK3CA gene mutations in this type of cancer is unknown. The present study describes the case of a 38‑year‑old male patient who had never smoked. A 4.5‑cm mass adjacent to his right upper mediastinum was detected by a computed tomography (CT) scan of the chest. Biopsy of the level four lymph nodes in the right mediastinum revealed microscopic morphological features typical of high‑grade NSCLC. Immunohistochemical findings resembled those reported previously for several cases of NSCLC with the dual expression of P40 and TTF‑1 markers. In addition, echinoderm microtubule‑associated protein‑like 4‑anaplastic lymphoma kinase (EML4‑ALK) and phosphatidylinositol‑4,5‑bisphosphate 3‑kinase catalytic subunit a (PIK3CA) gene mutations were detected using high‑throughput next‑generation sequencing. To the best of our knowledge, this is the first report of NSCLC with the expression of P40 and TTF‑1 as well as EML4‑ALK and PIK3CA gene mutations. The presence of this type of tumor should be considered in patients with NSCLC who have never smoked and may have unique clinicopathological features.

Introduction

The first study on non-small cell lung cancer (NSCLC) with the double expression of P40 and thyroid transcription factor-1 (TTF-1) was reported by Pelosi et al (1) in 2015. Since then, only a few studies on this topic have been published (2–5). In these studies, immunohistochemistry (IHC) revealed the expression of P40 and TTF-1 in the same tumor cells, while the ultrastructural examination of the cells showed adenoid and squamous differentiation characteristics (1,4). The histological features were consistent with those of NSCLC. In all cases, the high-grade tumor cells presented in solid nests with a lamellar distribution, and exhibited distinct atypia, a high nucleoplasmic ratio and mitotic figures; some were necrotic and some exhibited squamous differentiation, adenoid differentiation and peripheral palisade structures. The gene mutations accompanying this disease vary; all six reported cases had a TP53 mutation or genetic polymorphism, including epidermal growth factor receptor gene (EGFR) (4), KRAS (1), PTEN (2) and neurofibromin 1 (NF1) (4) mutations, and fibroblast growth factor receptor 1 (FGFR1) (1) amplification with programmed death ligand 1 (PD-L1) (3) expression. Treatments administered include surgery, radiotherapy, chemotherapy and targeted therapy, the effects of which were inconsistent.

The present article documents a case of lung adenosquamous carcinoma (LASC), a subtype of NSCLC with P40 and TTF-1 double expression and echinoderm microtubule-associated protein-like 4-anaplastic lymphoma kinase (EML4-ALK) and phosphatidylinositol-4,5-bisphosphate 3-kinase catalytic subunit a (PIK3CA) gene mutations. This case highlights that this tumor cell can exhibit the characteristics of adenosquamous differentiation at the cytological level, which differs from the current definition of LASC recommended by the World Health Organization (WHO) (6).

Case report

A 38-year-old male patient with no history of smoking was admitted to the First People's Hospital of Xiaoshan District (Hangzhou, China) on June 24, 2019 with a cough and expectoration that had persisted for 4 months and become aggravated during the last month. On physical examination post-admission, the patient had a respiratory rate of 18 breaths/min and the lymph nodes on both sides of the clavicle were palpable; the larger nodes were approximately the size of a pea. A chest computed tomography (CT) scan showed a right mediastinal mass 4.5×3.7 cm in size (Fig. 1). Mediastinal lung cancer with superior vena cava invasion was considered as a potential diagnosis. The patient had multiple nodules and patulous shadows in both lungs, numerous enlarged lymph nodes in the mediastinum, right hilum and bilateral supraclavicular region, but no pleural effusion. Multiple ribs, thoracic vertebrae, scapula bone density abnormalities and osteogenic metastases were considered. The serological tumor markers were as follows: Carcinoembryonic antigen 9.20 µg/l (normal range, 0.00-5.00 µg/l), cytokeratin 19 fragment 5.15 ng/ml (normal range, <3.3 ng/ml), cancer antigen (CA) 125 30.80 kU/l (normal range, <35 kU/l), CA199 <2.00 kU/l (normal range, <37 kU/l) and squamous cell carcinoma-associated antigen 1.30 µg/l (normal range <1.5 µg/l). Transbronchial endoscopic ultrasound was employed to perform a biopsy of the level four mediastinal lymph nodes. Cytopathologic investigation of the right supraclavicular lymph nodes was performed using fine needle aspiration. Gross pathological examination of the biopsy of the right level four mediastinal lymph node revealed a large mass of broken tissues that was gray, white and red in color (~1.0×0.8×0.3 cm3). The tissues were fixed with 4% neutral buffered formalin (24 h at 25°C) and paraffinized to prepare 4-µm sections for hematoxylin and eosin staining (according to a standard protocol) and IHC staining. High-throughput next-generation sequencing (NGS) was employed to detect the molecular pathology.

Figure 1.

Prior to treatment, computed tomography showed a mass in the right upper mediastinum with a size of 4.5×3.7 cm. Mediastinal lung cancer was considered.

Microscopic examination of the tissues at low power revealed that the broken tumor tissue was distributed in clusters and nests (Fig. 2), and a small number of lymphocytes were present in a loose cellulose exudate between tumor nests without evident fibrous stroma. At high magnification, solid flake tumor cells were observed with obvious cell atypia, different cell sizes and clear boundaries in some parts. In addition, the cells had a high nucleus-plasma ratio, varying nuclear sizes, coarse chromatin and indistinct nucleoli. Mitotic figures were visible, along with abundant eosinophilic cytoplasm and some nuclear deviation. However, no salt and pepper-like particles, keratinization or necrosis were observed (Fig. 3).

Figure 2.

Microscopic examination revealed that the tumor tissue was distributed in clumps and nests. Hematoxylin and eosin staining (scale bar, 100 µm).

Figure 3.

Tumor tissue observed at high magnification. The tumor cells exhibited obvious atypia, a high nucleoplasmic ratio, variably sized nuclei, coarse chromatin, inconspicuous nucleoli and abundant eosinophilic cytoplasm. In addition, some nuclei were skewed, and appeared to have an adenoid structure. Hematoxylin and eosin staining (scale bar, 50 µm).

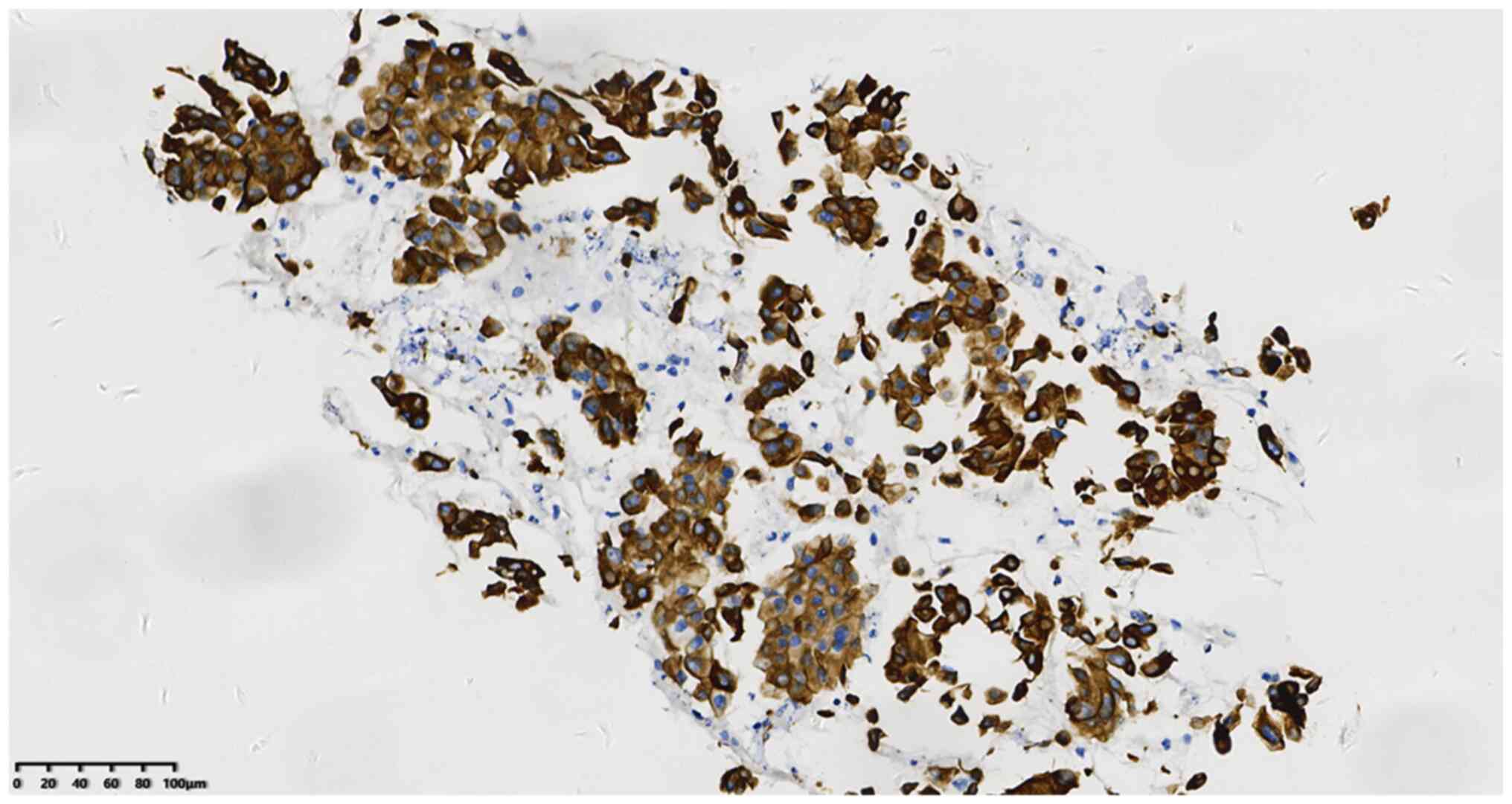
IHC was performed using an EnVision IHC kit (polymer method; cat. no. KIT-0014; Beijing Jinqiao Zhongshan Biological Co. Ltd.) with antibodies from Beijing Zhongshan Jinqiao Biological Co., Ltd. to target the following proteins (pre-diluted working solutions unless otherwise indicated): P40 (cat. no. 2106230815d), TTF-1 (cat. no. 2011260599c7), cytokeratin (CK)7 (cat. no. 21050820), napsin A (cat. no. 21110130), Ki-67 (1:200 dilution; cat. no. 21030436), P63 (cat. no. 21063006), CD56 (cat. no. 21082702), chromograninA (CgA: cat. no. 2108052), synaptophysin (Syn; cat. no. 2105130742c), CK5/6 (cat. no. 21030108), paired box 8 (Pax8; cat. no. 21012350), thyroglobulin (TG; cat. no. 20030932) and Tp53 (cat. no. 20082125). The results were as follows: P40 50–60%+ (Fig. 4), TTF-1+ (Fig. 5), CK7+ (Fig. 6) and napsin A+ (Fig. 7). In addition, the Ki-67 proliferation index was 10% positive, P63, CD56, CgA, Syn, CK5/6, Pax8 and TG staining were negative; and TP53 exhibited no mutations.

Figure 4.

Immunohistochemical staining revealed that the tumor cells were 50–60% positive for P40 (scale bar, 100 µm).

Figure 5.

Immunohistochemical staining revealed that the tumor cells were strongly positive for thyroid transcription factor-1 (scale bar, 100 µm).

Figure 6.

Immunohistochemical staining of the tumor cells was strongly positive for cytokeratin 7 (scale bar, 100 µm).

Figure 7.

Immunohistochemical staining of the tumor cells was strongly positive for napsin A (scale bar, 100 µm).

Molecular pathology

For this analysis, 15 paraffin sections were extracted and library construction and probe capture were performed (AmoyDx Essential NGS Panel; cat. no. 8.0627401X024I; Amoy Diagnostics Co., Ltd.). High-throughput NGS was performed to detect gene mutations associated with drug sensitivity in the solid tumor sections. The reagent used was a 10-gene kit procured from Amoy Diagnostics Co., Ltd. A sequencing platform from Illumina, Inc. was used with a cancer gene mutation information analysis system developed by Amoy Diagnostics Co., Ltd., as the analytical software.

Molecular pathology results and drug sensitivity

The mutation rate was 24.77% for the fusion gene between exon 6 of EML4 and exon 20 of ALK (ALK transcript NM_004304.4 and EML4 transcript NM_019063.4; indel fusion), and according to US Food and Drug Association/National Comprehensive Cancer Network guidelines, this mutation indicates that the tumor is sensitive to crizotinib (www.nccn.org/patients). The mutation rate of the PIK3CA gene was 4.32% (exon10 c.1658 G>C p.S553t, transcript NM_0062182, mutation type single nucleotide variant; indel), suggesting a lack of drug sensitivity, and resistance to gefitinib, erlotinib, afatinib and icotinib. No mutations were observed in EGFR, BRAF, HER2, KRAS, MET, ROS1, RET and NRAS genes.

Pathological diagnosis

The patient presented with lymph node metastatic poorly differentiated carcinoma, combined with a clinical diagnosis of NSCLC with P40 and TTF-1 expression and EML4-ALK and PIK3CA gene mutations. Fine needle aspiration cytology of the right supraclavicular lymph node revealed poorly differentiated cancer cells. The clinical stage was cT3N3M1C-stage IVB.

Treatment and follow-up

In July 2019, 850 mg pemetrexed combined with 600 mg carboplatin was started daily as intravenous chemotherapy. Due to abnormal liver function, the patient stopped chemotherapy immediately after the first chemotherapy cycle, and then began single-agent targeted therapy with 250-mg oral crizotinib capsules 8 days after starting intravenous chemotherapy. The tumor shrank by ~50% within 1 month on CT (Fig. 8). After 3 months, the lung tumor had shrunk further on CT (Fig. 9). The patient was subsequently lost to follow-up.

Figure 8.

After 1 month of treatment, computed tomography showed that the maximum diameter of the right upper mediastinal mass had been reduced by approximately half.

Figure 9.

Three months after treatment, computed tomography showed that the maximum diameter of the right upper mediastinal mass was reduced by more than half.

Discussion

In the GLOBOCAN 2020 estimates reported by Sung et al (7) for 36 types of cancer in 185 countries, the incidence and mortality of lung cancer ranked first and second worldwide, respectively. The section on thoracic neoplasms in the fifth edition of the WHO Classification of Tumors (6) recommends the use of an IHC package containing TTF-1 and P40 as specific markers to diagnose adenocarcinoma and squamous cell carcinoma, respectively, in NSCLC biopsy tissues without distinct morphological differentiation of adenocarcinoma and squamous cell carcinoma. However, no clear definition or explanation has been provided for the double expression of P40 and TTF-1 markers in NSCLC. Following the first case reported by Pelosi et al (1), only six additional cases have been reported, including the current case (2–5). To the best of our knowledge, the present study reports the first-ever case of NSCLC with EML4-ALK and PIK3CA gene mutations. The clinicopathological and molecular characteristics of this disease were analyzed using methods documented in the literature. The clinical features of all the reported cases are presented in Table I. A total of seven cases have been investigated. The tumor has mostly affected males (male to female ratio, 5:2). The age range of the patients is 38–77 (median, 62; mean, 59.6) years, and six of the seven cases reported a history of smoking. A symptomatic cough and expectoration were present in one case, and a persistent headache was reported in one case in which the lung cancer was accompanied by brain metastasis. Lung tumors were found by CT examination in 3 patients. The symptoms of the remaining two cases remains unknown. The cancer was located in the left lobe in four cases and in the right lobe in three cases. The maximum diameter of the tumor was 1.9-8.5 cm. The thorax, liver, bone, brain and other sites were associated with pleural effusion in one case. CT scanning revealed no particular difference between these lung tumors and other cancers.

Table I.

Clinicopathologic information of the seven known cases of P40 and TTF-1 expression in non-small cell lung cancer.

Table I.

Clinicopathologic information of the seven known cases of P40 and TTF-1 expression in non-small cell lung cancer.

First author/s, yearSex/age (years)Smoker (Y/N)SiteMaximum diameter (cm)Pleural effusion (Y/N)IHC findingsElectron microscopy findingsTumor stageTherapyClinical outcome(Refs.)
Pelosi et al, 2015M/77YLeft lung, hilar mass8.5YP40+ and TTF-1+in most tumor cellsCharacteristics of glandular and squamous differentiationc-IVANoneDOD 1.5 months(1)
Hayashi et al, 2018M/73YLeft lung lobe1.9NP40+ and TTF-1+in most tumor cells, CD56 focal+, napsin-, CK5/6-, Syn-, CgA- and Ki-67 (40%)NoneNALCNA(2)
Spinelli et al, 2019M/51YRight upper lobe3.1NP40+ and TTF-1+in most tumor cellsNonec-IVBRT and CTFast progress, no specific details(3)
Pelosi et al, 2021W/62YUpper right lobe4.5NP40+ and TTF-1+in most tumor cellsCharacteristics of glandular and squamous differentiationIIIBLC + CT+ TTDOD 48 months(4)
Pelosi et al, 2021M/62YLeft lower lobe4.7NP40+ and TTF-1+in most tumor cellsCharacteristics of glandular and squamous differentiationyIIIALC + CT + TTDOD 3 months(4)
Chen and Cheng, 2022F/54YCenter of lower left lobe2.2NP40+, TTF-1+,None CK7-, napsin A-, CK5/6+, P63+ and Ki-67 (70%)NANone9 mo Lost to follow-up(5)
Present studyM/38NRight mediastinum4.5NP40 (50–60%), TTF-1+, P53-, P63-, CK7+, CD56-, napsin A+, CK5/6-, Syn-, CgA- and Ki-67 (10%)Nonec-IVBCT + TT3 mo Lost to follow-up-

[i] TTF-1, thyroid transcription factor-1; Y, yes; N, no; M, male; F, female; IHC, immunohistochemistry; CK, cytokeratin; Syn, synaptophysin; CgA, chromogranin A; NA, not available; LC, lobectomy; RT, radiotherapy; CT, chemotherapy; TT, targeted therapy; DOD, died of disease.

Several specimens were obtained for the analysis of pathological features, including bronchial biopsy, lung tumor puncture, lymph node puncture and lobectomy specimens. The findings of the microscopic examination were not unusual compared with those of other lung cancer biopsies, punctures and surgical specimens. On microscopic observation, the high-grade tumor cells showed a solid nested patchy distribution, conspicuous atypia, high nucleoplasmic ratio and mitotic figures in all cells, and necrosis was present in some cases. These features were sometimes accompanied by squamous differentiation, glandular differentiation and peripheral palisading.

Pelosi et al (1,4) performed an electron microscopic examination of three cases, which revealed adenoid and squamous differentiation concurrently in the same tumor cells, which included abundant perinuclear stress fibers, cytoplasmic dense keratin fiber bundles and desmosomal junctions. The features of adenoid differentiation included the formation of extracellular lumen, villous cytoplasmic processes and mucous granules. The IHC results revealed that the same tumor cells co-expressed TTF-1 and P40 in all cases.

With regard to molecular genetic characteristics, no specific pattern in gene mutations was observed in these cases. Six cases had a TP53 mutation or polymorphism, but no TP53 mutation was detected in the current case. EGFR, KRAS, PTEN and NF1 mutations, and FGFR1 amplification with PD-L1 expression were also detected in certain cases. EML4-ALK and PIK3CA gene mutations were concurrently observed in the present case. ALK is a powerful tumor driver gene. In NSCLC, 3–7% of cases have ALK fusion mutations (8), of which EML4-ALK fusion mutations are the most common, with >20 fusion configurations. EML4 exon 13-ALK exon 20 is the most common EML4-ALK fusion mutation, constituting ~50% of all mutations (9). Most fusion breakpoints occur within or upstream of exon 20 in the ALK gene, although a few occur in exon 19, enabling the fused ALK protein to retain an intact kinase region, a key site of carcinogenic activity. PIK3CA, a common proto-oncogene, occurs in 1–3% of lung cancers (10). Most mutations of the PIK3CA gene occur in exons 10 and 21, which encode the helical and kinase domains of the protein, respectively. PIK3CA gene mutation can activate different downstream signaling pathways, including AKT and mTOR pathways, thereby promoting the occurrence and development of tumors. As indicated by clinical analyses, PIK3CA mutation is an important mechanism of secondary resistance to EGFR-tyrosine kinase drugs in lung cancer (11). In the present case, the fusion configuration EML4 exon 6-ALK exon 20 had a mutation proportion of 24.77%. Cancers with this rare mutation are sensitive to treatment with crizotinib. PIK3CA mutations (4.32%) were also detected, for which no drug sensitivity is known, and resistance to gefitinib, erlotinib, afatinib and icotinib is recorded. EGFR mutation, which is most commonly found in patients with NSCLC, especially adenocarcinoma, was found in a previous case. The mutation leads to a change in normal cell biology that results in cancer (12).

No mutations in BRAF, HER2, KRAS, MET, ROS1, RET and NRAS genes were detected in the present case. BRAF-encoded RAF kinase is a key regulator of the MAPK/ERK pathway, and its mutation can lead to the continuous activation of RAF protein, resulting in uncontrolled cell growth and proliferation (13). HER2 mutations occur in ~3% of cases of NSCLC. HER2 is a member of the EGFR family; it is a receptor tyrosine kinase that is bound to the surface of cell membranes and regulates various signal transduction pathways to promote cell growth and differentiation. Mutations in HER2 cause abnormal cell growth and differentiation (14). The KRAS gene is mutated in 20–30% of cases of NSCLC, and these mutations lead to uncontrolled malignant cell proliferation and division (15). MET is a proto-oncogene. The MET gene encodes a transmembrane receptor protein with tyrosine kinase activity, which can affect cell growth, survival, invasion, metastasis and angiogenesis. The mutation of MET is known to cause excessive cell proliferation (16). ROS1 mutation can produce an ROS1 fusion protein in which the ROS1 tyrosine kinase is continuously activated and induces downstream signaling, resulting in excessive cell growth and proliferation (17). The mutation probability of the NRAS gene in NSCLC is ~1%. The NRAS protein encoded by the NRAS gene operates within the RAS/MAPK signaling pathway, and its mutation can lead to continuous activation of the NRAS protein, causing uncontrolled cell proliferation (18).

Hypotheses for the causes of such lesions have been disclosed in previous studies. Specifically, Pelosi et al (1) proposed that the double expression of P40 and TTF-1 may be caused by stem/progenitor cell plasticity. In another study, it was suggested that the common mutation of TP53 and PTEN alleles leads to poorly differentiated and multiphenotypic tumors (2). Pelosi et al (4) also suggested that this tumor may be derived from the co-differentiation of distal bronchial basal stem cells with the double-positive expression of adenosquamous markers. The present case had no TP53 mutations, which supports the third hypothesis. Such lesions are not distinctly classified in the fifth edition of the WHO Classification of Tumors. Multiple names for adenosquamous carcinoma have been proposed, including NSCLC-not otherwise specified, NSCLC with adenosquamous cell immunophenotype, and NSCLC with the double expression of adenocarcinoma and squamous cell carcinoma markers. Based on the observation of the tumor cells using electron microscopy, which revealed that three cases had characteristics of glandular and squamous differentiation, and the detection of seven cases with the concurrent expression of glandular and squamous markers by IHC, an appropriately named adenosquamous carcinoma is likely to be accepted. The current authors propose that the WHO term adenosquamous carcinoma (6) should be renamed as compound carcinoma, defined as squamous carcinoma and adenocarcinoma, each ≥10%. This suggestion is similar to the concept of compound small cell carcinoma (6), which is considered as small cell carcinoma plus any NSCLC, adenocarcinoma, squamous cell carcinoma or large cell carcinoma.

Treatments used for this cancer include surgery, radiotherapy, chemotherapy and targeted therapy. Three patients died during follow-up, and the survival time ranged from 1.5 to 48.0 months (mean, 17.5 months). In the present case, the tumor size shrank remarkably after 3 months of chemotherapy plus targeted therapy, but the patient was lost to further follow-up.

Overall, this type of NSCLC with concurrent P40 and TTF-1 expression presents several unique clinicopathological features. This cancer is not yet mentioned in the guidelines of the WHO Classification of Tumors, the International Association for the Study of Lung Cancer, or other authoritative organizations. For consideration as an independent subtype, the clinicopathological characteristics, molecular phenotype, treatment and prognosis of NSCLC with concurrent P40 and TTF-1 expression warrant further studies and investigation.

Acknowledgements

Not applicable.

Funding

Funding: No funding was received.

Availability of data and materials

The datasets used and/or analyzed during the current study are available from the corresponding author on reasonable request.

Authors' contributions

YC and BH conceived the study and drafted the manuscript. HL and XC were responsible for the collection and analysis of case data and literature. BH and JY interpreted the data and revised the manuscript. YC and HL confirm the authenticity of all the raw data. All authors agreed on the journal to which the article has been submitted and have agreed to be accountable for all aspects of the work. All authors read and approved the final version of the manuscript.

Ethics approval and consent to participate

Not applicable.

Patient consent for publication

As the patient was lost to follow-up, a waiver of patient consent for publication was provided by the Ethics Committee of The First People's Hospital of Xiaoshan District (Hangzhou, China).

Competing interests

The authors declare that they have no competing interests.

References

1 

Pelosi G, Fabbri A, Tamborini E, Perrone F, Testi AM, Settanni G, Busico A, Centonze G, Braidotti P, Bulfamante G, et al: Challenging lung carcinoma with coexistent ΔNp63/p40 and thyroid transcription factor-1 labeling within the same individual tumor cells. J Thorac Oncol. 10:1500–1502. 2015. View Article : Google Scholar : PubMed/NCBI

2 

Hayashi T, Takamochi K, Yanai Y, Mitani K, Tomita H, Mogushi K, Suehara Y, Takahashi F, Suzuki K, Saito T and Yao T: Non-small cell lung carcinoma with diffuse coexpression of thyroid transcription factor-1 and ΔNp63/p40. Hum Pathol. 78:177–181. 2018. View Article : Google Scholar : PubMed/NCBI

3 

Spinelli M, Khorshad J and Viola P: When tumor doesn't read textbook. Third case of TTF1 and p40 co-expression in the same tumour cells in a non-small cell carcinoma. A potential new entity to consider? Pathologica. 111:58–61. 2019.PubMed/NCBI

4 

Pelosi G, Bulloni M, Martina Vescio M, Uccella S, Forest F, Leone G, Barberis M, Rahal D, Bossi P, Finzi G, et al: Coexpression of ΔNp63/p40 and TTF1 within most of the same individual cells identifies life threatening NSCLC featuring squamous and glandular biphenotypic differentiation: Clinicopathologic correlations. JTO Clin Res Rep. 2:1002222021.PubMed/NCBI

5 

Chen B and Cheng N: Coexpression of thyroid transcription factor 1 and P40 in non-small cell lung cancer cells: A case report. Chin J Pathol. 51:558–560. 2022.(In Chinese).

6 

WHO Classification of Tumours Editorial Board, . WHO classification of tumours. Thoracic Tumours. 5th edition. IARC Press; Lyon: 2021

7 

Sung H, Ferlay J, Siegel RL, Laversanne M, Soerjomataram I, Jemal A and Bray F: Global cancer statistics 2020: GLOBOCAN estimates of incidence and mortality worldwide for 36 cancers in 185 countries. CA Cancer J Clin. 71:209–249. 2021. View Article : Google Scholar : PubMed/NCBI

8 

Shi Y, Au JSK, Thongprasert S, Srinivasan S, Tsai CM, Khoa MT, Heeroma K, Itoh Y, Cornelio G and Yang PC: A prospective, molecular epidemiology study of EGFR mutations in Asian patients with advanced non-small-cell lung cancer of adenocarcinoma histology (PIONEER). J Thorac Oncol. 9:154–162. 2014. View Article : Google Scholar : PubMed/NCBI

9 

Pillai RN and Ramalingam SS: The biology and clinical features of non-small cell lung cancers with EML4-ALK translocation. Curr Oncol Rep. 14:105–110. 2012. View Article : Google Scholar : PubMed/NCBI

10 

Samuels Y, Wang Z, Bardelli A, Silliman N, Ptak J, Szabo S, Yan H, Gazdar A, Powell SM, Riggins GJ, et al: High frequency of mutations of the PIK3CA gene in human cancers. Science. 304:5542004. View Article : Google Scholar : PubMed/NCBI

11 

Sequist LV, Waltman BA, Dias-Santagata D, Digumarthy S, Turke AB, Fidias P, Bergethon K, Shaw AT, Gettinger S, Cosper AK, et al: Genotypic and histological evolution of lung cancers acquiring resistance to EGFR inhibitors. Sci Transl Med. 3:75ra262011. View Article : Google Scholar : PubMed/NCBI

12 

Parra HS, Cavina R, Latteri F, Zucali PA, Campagnoli E, Morenghi E, Grimaldi GC, Roncalli M and Santoro A: Analysis of epidermal growth factor receptor expression as a predictive factor for response to gefitinib (‘Iressa’, ZD1839) in non-small-cell lung cancer. Br J Cancer. 91:208–212. 2004. View Article : Google Scholar : PubMed/NCBI

13 

Dalle S, Poulalhon N and Thomas L: Vemurafenib in melanoma with BRAF V600E mutation. N Engl J Med. 365:1448–1449. 2011. View Article : Google Scholar : PubMed/NCBI

14 

Arcila ME, Chaft JE, Nafa K, Roy-Chowdhuri S, Lau C, Zaidinski M, Paik PK, Zakowski MF, Kris MG and Ladanyi M: Prevalence, clinicopathologic associations, and molecular spectrum of ERBB2 (HER2) tyrosine kinase mutations in lung adenocarcinomas. Clin Cancer Res. 18:4910–4918. 2012. View Article : Google Scholar : PubMed/NCBI

15 

Benvenuti S, Sartore-Bianchi A, Di Nicolantonio F, Zanon C, Moroni M, Veronese S, Siena S and Bardelli A: Oncogenic activation of the RAS/RAF signaling pathway impairs the response of metastatic colorectal cancers to anti-epidermal growth factor receptor antibody therapies. Cancer Res. 67:2643–2648. 2007. View Article : Google Scholar : PubMed/NCBI

16 

Schwab R, Petak I, Kollar M, Pinter F, Varkondi E, Kohanka A, Barti-Juhasz H, Schönleber J, Brauswetter D, Kopper L and Urban L: Major partial response to crizotinib, a dual MET/ALK inhibitor, in a squamous cell lung (SCC) carcinoma patient with de novo c-MET amplification in the absence of ALK rearrangement. Lung Cancer. 83:109–111. 2014. View Article : Google Scholar : PubMed/NCBI

17 

Shaw AT and Solomon BJ: Crizotinib in ROS1-rearranged non-small-cell lung cancer. N Engl J Med. 372:683–684. 2015. View Article : Google Scholar : PubMed/NCBI

18 

Dumaz N: Mechanism of RAF isoform switching induced by oncogenic RAS in melanoma. Small GTPases. 2:289–292. 2011. View Article : Google Scholar : PubMed/NCBI

Related Articles

  • Abstract
  • View
  • Download
  • Twitter
Copy and paste a formatted citation
Spandidos Publications style
Cai Y, Liu H, Chen X, Yang J and Huang B: P40 and TTF‑1 double‑expressing non‑small cell lung cancer with EML4‑ALK and PIK3CA gene mutations: A case report and review of the literature. Oncol Lett 25: 59, 2023.
APA
Cai, Y., Liu, H., Chen, X., Yang, J., & Huang, B. (2023). P40 and TTF‑1 double‑expressing non‑small cell lung cancer with EML4‑ALK and PIK3CA gene mutations: A case report and review of the literature. Oncology Letters, 25, 59. https://doi.org/10.3892/ol.2022.13645
MLA
Cai, Y., Liu, H., Chen, X., Yang, J., Huang, B."P40 and TTF‑1 double‑expressing non‑small cell lung cancer with EML4‑ALK and PIK3CA gene mutations: A case report and review of the literature". Oncology Letters 25.2 (2023): 59.
Chicago
Cai, Y., Liu, H., Chen, X., Yang, J., Huang, B."P40 and TTF‑1 double‑expressing non‑small cell lung cancer with EML4‑ALK and PIK3CA gene mutations: A case report and review of the literature". Oncology Letters 25, no. 2 (2023): 59. https://doi.org/10.3892/ol.2022.13645
Copy and paste a formatted citation
x
Spandidos Publications style
Cai Y, Liu H, Chen X, Yang J and Huang B: P40 and TTF‑1 double‑expressing non‑small cell lung cancer with EML4‑ALK and PIK3CA gene mutations: A case report and review of the literature. Oncol Lett 25: 59, 2023.
APA
Cai, Y., Liu, H., Chen, X., Yang, J., & Huang, B. (2023). P40 and TTF‑1 double‑expressing non‑small cell lung cancer with EML4‑ALK and PIK3CA gene mutations: A case report and review of the literature. Oncology Letters, 25, 59. https://doi.org/10.3892/ol.2022.13645
MLA
Cai, Y., Liu, H., Chen, X., Yang, J., Huang, B."P40 and TTF‑1 double‑expressing non‑small cell lung cancer with EML4‑ALK and PIK3CA gene mutations: A case report and review of the literature". Oncology Letters 25.2 (2023): 59.
Chicago
Cai, Y., Liu, H., Chen, X., Yang, J., Huang, B."P40 and TTF‑1 double‑expressing non‑small cell lung cancer with EML4‑ALK and PIK3CA gene mutations: A case report and review of the literature". Oncology Letters 25, no. 2 (2023): 59. https://doi.org/10.3892/ol.2022.13645
Follow us
  • Twitter
  • LinkedIn
  • Facebook
About
  • Spandidos Publications
  • Careers
  • Cookie Policy
  • Privacy Policy
How can we help?
  • Help
  • Live Chat
  • Contact
  • Email to our Support Team