Spandidos Publications Logo
  • About
    • About Spandidos
    • Aims and Scopes
    • Abstracting and Indexing
    • Editorial Policies
    • Reprints and Permissions
    • Job Opportunities
    • Terms and Conditions
    • Contact
  • Journals
    • All Journals
    • Oncology Letters
      • Oncology Letters
      • Information for Authors
      • Editorial Policies
      • Editorial Board
      • Aims and Scope
      • Abstracting and Indexing
      • Bibliographic Information
      • Archive
    • International Journal of Oncology
      • International Journal of Oncology
      • Information for Authors
      • Editorial Policies
      • Editorial Board
      • Aims and Scope
      • Abstracting and Indexing
      • Bibliographic Information
      • Archive
    • Molecular and Clinical Oncology
      • Molecular and Clinical Oncology
      • Information for Authors
      • Editorial Policies
      • Editorial Board
      • Aims and Scope
      • Abstracting and Indexing
      • Bibliographic Information
      • Archive
    • Experimental and Therapeutic Medicine
      • Experimental and Therapeutic Medicine
      • Information for Authors
      • Editorial Policies
      • Editorial Board
      • Aims and Scope
      • Abstracting and Indexing
      • Bibliographic Information
      • Archive
    • International Journal of Molecular Medicine
      • International Journal of Molecular Medicine
      • Information for Authors
      • Editorial Policies
      • Editorial Board
      • Aims and Scope
      • Abstracting and Indexing
      • Bibliographic Information
      • Archive
    • Biomedical Reports
      • Biomedical Reports
      • Information for Authors
      • Editorial Policies
      • Editorial Board
      • Aims and Scope
      • Abstracting and Indexing
      • Bibliographic Information
      • Archive
    • Oncology Reports
      • Oncology Reports
      • Information for Authors
      • Editorial Policies
      • Editorial Board
      • Aims and Scope
      • Abstracting and Indexing
      • Bibliographic Information
      • Archive
    • Molecular Medicine Reports
      • Molecular Medicine Reports
      • Information for Authors
      • Editorial Policies
      • Editorial Board
      • Aims and Scope
      • Abstracting and Indexing
      • Bibliographic Information
      • Archive
    • World Academy of Sciences Journal
      • World Academy of Sciences Journal
      • Information for Authors
      • Editorial Policies
      • Editorial Board
      • Aims and Scope
      • Abstracting and Indexing
      • Bibliographic Information
      • Archive
    • International Journal of Functional Nutrition
      • International Journal of Functional Nutrition
      • Information for Authors
      • Editorial Policies
      • Editorial Board
      • Aims and Scope
      • Abstracting and Indexing
      • Bibliographic Information
      • Archive
    • International Journal of Epigenetics
      • International Journal of Epigenetics
      • Information for Authors
      • Editorial Policies
      • Editorial Board
      • Aims and Scope
      • Abstracting and Indexing
      • Bibliographic Information
      • Archive
    • Medicine International
      • Medicine International
      • Information for Authors
      • Editorial Policies
      • Editorial Board
      • Aims and Scope
      • Abstracting and Indexing
      • Bibliographic Information
      • Archive
  • Articles
  • Information
    • Information for Authors
    • Information for Reviewers
    • Information for Librarians
    • Information for Advertisers
    • Conferences
  • Language Editing
Spandidos Publications Logo
  • About
    • About Spandidos
    • Aims and Scopes
    • Abstracting and Indexing
    • Editorial Policies
    • Reprints and Permissions
    • Job Opportunities
    • Terms and Conditions
    • Contact
  • Journals
    • All Journals
    • Biomedical Reports
      • Information for Authors
      • Editorial Policies
      • Editorial Board
      • Aims and Scope
      • Abstracting and Indexing
      • Bibliographic Information
      • Archive
    • Experimental and Therapeutic Medicine
      • Information for Authors
      • Editorial Policies
      • Editorial Board
      • Aims and Scope
      • Abstracting and Indexing
      • Bibliographic Information
      • Archive
    • International Journal of Epigenetics
      • Information for Authors
      • Editorial Policies
      • Editorial Board
      • Aims and Scope
      • Abstracting and Indexing
      • Bibliographic Information
      • Archive
    • International Journal of Functional Nutrition
      • Information for Authors
      • Editorial Policies
      • Editorial Board
      • Aims and Scope
      • Abstracting and Indexing
      • Bibliographic Information
      • Archive
    • International Journal of Molecular Medicine
      • Information for Authors
      • Editorial Policies
      • Editorial Board
      • Aims and Scope
      • Abstracting and Indexing
      • Bibliographic Information
      • Archive
    • International Journal of Oncology
      • Information for Authors
      • Editorial Policies
      • Editorial Board
      • Aims and Scope
      • Abstracting and Indexing
      • Bibliographic Information
      • Archive
    • Medicine International
      • Information for Authors
      • Editorial Policies
      • Editorial Board
      • Aims and Scope
      • Abstracting and Indexing
      • Bibliographic Information
      • Archive
    • Molecular and Clinical Oncology
      • Information for Authors
      • Editorial Policies
      • Editorial Board
      • Aims and Scope
      • Abstracting and Indexing
      • Bibliographic Information
      • Archive
    • Molecular Medicine Reports
      • Information for Authors
      • Editorial Policies
      • Editorial Board
      • Aims and Scope
      • Abstracting and Indexing
      • Bibliographic Information
      • Archive
    • Oncology Letters
      • Information for Authors
      • Editorial Policies
      • Editorial Board
      • Aims and Scope
      • Abstracting and Indexing
      • Bibliographic Information
      • Archive
    • Oncology Reports
      • Information for Authors
      • Editorial Policies
      • Editorial Board
      • Aims and Scope
      • Abstracting and Indexing
      • Bibliographic Information
      • Archive
    • World Academy of Sciences Journal
      • Information for Authors
      • Editorial Policies
      • Editorial Board
      • Aims and Scope
      • Abstracting and Indexing
      • Bibliographic Information
      • Archive
  • Articles
  • Information
    • For Authors
    • For Reviewers
    • For Librarians
    • For Advertisers
    • Conferences
  • Language Editing
Login Register Submit
  • This site uses cookies
  • You can change your cookie settings at any time by following the instructions in our Cookie Policy. To find out more, you may read our Privacy Policy.

    I agree
Search articles by DOI, keyword, author or affiliation
Search
Advanced Search
presentation
Oncology Letters
Join Editorial Board Propose a Special Issue
Print ISSN: 1792-1074 Online ISSN: 1792-1082
Journal Cover
April-2023 Volume 25 Issue 4

Full Size Image

Sign up for eToc alerts
Recommend to Library

Journals

International Journal of Molecular Medicine

International Journal of Molecular Medicine

International Journal of Molecular Medicine is an international journal devoted to molecular mechanisms of human disease.

International Journal of Oncology

International Journal of Oncology

International Journal of Oncology is an international journal devoted to oncology research and cancer treatment.

Molecular Medicine Reports

Molecular Medicine Reports

Covers molecular medicine topics such as pharmacology, pathology, genetics, neuroscience, infectious diseases, molecular cardiology, and molecular surgery.

Oncology Reports

Oncology Reports

Oncology Reports is an international journal devoted to fundamental and applied research in Oncology.

Experimental and Therapeutic Medicine

Experimental and Therapeutic Medicine

Experimental and Therapeutic Medicine is an international journal devoted to laboratory and clinical medicine.

Oncology Letters

Oncology Letters

Oncology Letters is an international journal devoted to Experimental and Clinical Oncology.

Biomedical Reports

Biomedical Reports

Explores a wide range of biological and medical fields, including pharmacology, genetics, microbiology, neuroscience, and molecular cardiology.

Molecular and Clinical Oncology

Molecular and Clinical Oncology

International journal addressing all aspects of oncology research, from tumorigenesis and oncogenes to chemotherapy and metastasis.

World Academy of Sciences Journal

World Academy of Sciences Journal

Multidisciplinary open-access journal spanning biochemistry, genetics, neuroscience, environmental health, and synthetic biology.

International Journal of Functional Nutrition

International Journal of Functional Nutrition

Open-access journal combining biochemistry, pharmacology, immunology, and genetics to advance health through functional nutrition.

International Journal of Epigenetics

International Journal of Epigenetics

Publishes open-access research on using epigenetics to advance understanding and treatment of human disease.

Medicine International

Medicine International

An International Open Access Journal Devoted to General Medicine.

Journal Cover
April-2023 Volume 25 Issue 4

Full Size Image

Sign up for eToc alerts
Recommend to Library

  • Article
  • Citations
    • Cite This Article
    • Download Citation
    • Create Citation Alert
    • Remove Citation Alert
    • Cited By
  • Similar Articles
    • Related Articles (in Spandidos Publications)
    • Similar Articles (Google Scholar)
    • Similar Articles (PubMed)
  • Download PDF
  • Download XML
  • View XML
Case Report

Colon cancer with colovesical fistula:
A report of four cases and a literature review

  • Authors:
    • Changming Dong
    • Xiang Pan
    • Lifu Wei
    • Xiaojun Man
    • Zhengxi Zhou
    • Yanping Huang
    • Xiaoxiang Wang
    • Lezhong Qi
    • Feng Xue
    • Yifan Li
  • View Affiliations / Copyright

    Affiliations: Department of Urology, Affiliated Hospital of Yangzhou University, Yangzhou University, Yangzhou, Jiangsu 225000, P.R. China, Department of General Surgery, Affiliated Hospital of Yangzhou University, Yangzhou University, Yangzhou, Jiangsu 225000, P.R. China, Department of Urology, First Hospital of China Medical University, Shenyang, Liaoning 110001, P.R. China, Department of General Surgery, Affiliated Hospital of Yangzhou University, Yangzhou University, Yangzhou, Jiangsu 225000, P.R. China
  • Article Number: 158
    |
    Published online on: March 7, 2023
       https://doi.org/10.3892/ol.2023.13744
  • Expand metrics +
Metrics: Total Views: 0 (Spandidos Publications: | PMC Statistics: )
Metrics: Total PDF Downloads: 0 (Spandidos Publications: | PMC Statistics: )
Cited By (CrossRef): 0 citations Loading Articles...

This article is mentioned in:


Abstract

Colon cancer with colovesical fistula (CVF) is a rare complication of colon cancer that possesses an extremely poor prognosis. Surgical treatment can improve the prognosis. The current study presents four cases of CVF, in which the first two cases were treated conservatively and the other two were treated surgically. The first case presented with intestinal obstruction for 3 days, and computed tomography (CT) was performed. The patient refused surgery and still exhibited lower abdominal pain 11 months later. The second case presented with urinary frequency and urgency that lasted for 2 days, and CT was performed. The patient refused surgery and died 2 months later. The third case presented with fecaluria that lasted for 1 month, and CT, endoscopy and one‑stage palliative surgery were performed. The patient was lost to follow‑up 5 months later. The fourth case presented with acute urinary tract symptoms for 4 months, and CT, endoscopy and one‑stage radical surgery were performed. The patient remained disease‑free 10 months later. The four cases reported in the present study not only represent excellent examples of the disease spectrum, but also act as a reminder of the possibility of detecting CVF at an early stage of the disease. The present study discusses the epidemiology of CVF, and presents the pattern of CVF in terms of signs, symptoms and imaging examinations, including CT, cystoscopy and colonoscopy, as well as treatment in the early stage of the disease.

Introduction

A colovesical fistula (CVF), a communication between the colon and bladder, is a known but rare complication of colon cancer (1–3), and it can occur secondary to other diseases (4). The prognosis of CVF is poor, and is often accompanied by uremia, septicemia and even renal failure (5). If CVF could be detected in the early stage of the disease, the poor prognosis of CVF may be changed. However, due to the rarity of CVF, the non-specificity of the symptoms (6), signs and imaging examination findings (7), and the poor prognosis, it is challenging and yet crucial to confirm CVF early. Currently, considerable debate exists in the literature on the choice of the initial diagnostic study (6); there is no single optimal test and the investigations employed vary. We recommend computed tomography (CT) as the primary imaging investigation in a suspected CVF. In the present study, the case database of Yangzhou First People's Hospital (Yangzhou, China) was reviewed, and out of a total of 39 suspected cases, four cases of CVF with different grades of disease and different prognoses were identified for discussion. The present study was approved by the Ethics Committee of Yangzhou First People's Hospital and written informed consent for future publication was obtained from all patients, including the patient who died.

Case report

Case one

A 59-year-old man presented to the Affiliated Hospital of Yangzhou University (Yangzhou, China) on 30 July 2020 with abdominal pain and distention accompanied by cessation of anal gas and defecation that had persisted for 3 days. The patient had recurrent colon cancer and had previously undergone a radical resection of colon cancer. The patient was afebrile with normal vital signs. A routine blood test showed a neutrophil level of 87.1×109/l (reference range, 0.04-0.5×109/l). A routine urine test showed a red blood cell level of 3/high-power field (HPF) (reference range, 0/HPF). A kidney function test showed a creatinine level of 130.2 µmol/l (reference range, 50–110 µmol/l). CT revealed recurrence of the colon cancer, with invasion in the left posterior bladder wall, and gas in the ascending and sigmoid colon (Fig. 1). The diagnosis was colon cancer with a CVF. The patient refused surgical treatment and was treated with 0.5 g levofloxacin, once a day for 10–14 days. The symptom of lower abdominal pain remained 11 months later.

Figure 1.

Computed tomography scan showing recurrent colon cancer invading the left posterior bladder wall (arrow).

The final pathological diagnosis was sigmoid colon cancer. According to the American Joint Committee on Cancer Tumor-Node-Metastasis (AJCC TNM) classification (8), the patient was diagnosed with stage T4N0M0 disease, indicating intermediate-grade colon cancer.

Case two

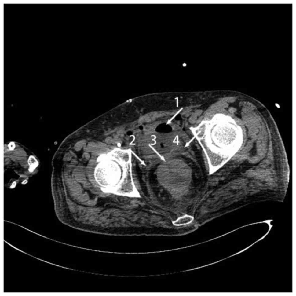
An 84-year-old man presented to the Affiliated Hospital of Yangzhou University in April 2015, with urinary frequency and urgency that had persisted for 2 days. On presentation, the patient was afebrile with normal vital signs. A routine blood test showed a hemoglobin level of 84 g/l (reference range, 100–160 g/l) and a neutrophil level of 81.1×109/l (reference range, 0.04-0.5×109/l). A routine urine test showed a red blood cell level of 2,452.2/HPF (reference range, 0–3/HPF) and a white blood cell level of 15,619.2/HPF (reference range, 0–5/HPF). CT revealed thickening in the sigmoid colon, rectum and bladder wall, which was considered to be colon cancer, and air in the bladder (Fig. 2). The diagnosis was colon cancer with a CVF. The patient refused surgical treatment and was treated with levofloxacin 0.5 g once, once a day, for 10 to 14 days. The subsequent clinical course was marked by deterioration, and the patient died due to the CVF 2 months later.

Figure 2.

Computed tomography scan showing air in the bladder (arrow 1), irregular thickening and enhancement of the sigmoid in the distal parts of the sigmoid colon and proximal parts of the rectal wall (arrows 2 and 4), and a fistula between the colon and bladder (arrow 3).

According to the AJCC TNM classification, the patient was diagnosed with stage T4N0M0 disease, indicating low-grade colon cancer.

Case three

A 45-year-old man presented to the Affiliated Hospital of Yangzhou University in June 2020 with fecaluria that had persisted for 1 month. The patient had a background of colon cancer. On presentation, the patient was afebrile with normal vital signs. A routine blood test showed a hemoglobin level of 57×1012 g/l (reference range, 100–160×1012 g/l), neutrophils of 9.81×109 g/l (reference range, 0.04-0.5×109 g/l). A routine urine test showed a red blood cell level of 3/HPF (reference range, 0–3/HPF). A liver function test showed a creatinine level of 380 µmol/l (reference range, 50–110 µmol/l) and urea nitrogen level of 42.65 mmol/l (reference range, 2.86-7.14 mmol/l). Cystoscopy showed cloudy urine and fecal scraps in the bladder. Enteroscopy revealed multiple tumors 10 cm above the anus. CT showed uneven thickening, with enhancement in the distal regions of the sigmoid colon and proximal regions of the rectum wall, which was colon cancer and a fistula (Fig. 3). The diagnosis was colon cancer with a CVF. The patient was treated with 0.5 g levofloxacin, once a day for 10–14 days. Due to the patient's good physical condition and lack of obvious manifestations of inflammation or intestinal obstruction, the patient underwent a palliative sigmoidectomy, proximal colostomy, partial small intestine resection and partial cystectomy, and was lost to follow-up subsequent to a period of 5 months.

Figure 3.

Computed tomography showing air in the bladder (arrow 1), thickening in the sigmoid colon, rectum and bladder wall (arrows 3 and 4), and a fistula between the colon and bladder (arrow 2).

The tumor was formed of infiltrating extra-muscular fibrous adipose tissue. A total of eight metastatic tumors were indicated in the peri-intestinal lymph node. The final pathological diagnosis was of sigmoid colon cancer. According to the AJCC TNM classification, the patient was diagnosed with stage T4N3M0 disease, indicating low-grade colon cancer.

Case four

A 55-year-old man presented to the Affiliated Hospital of Yangzhou University in December 2020 with urinary frequency, urgency and pain that had persisted for 4 months. The patient had a background of sigmoid cancer. On presentation, the patient was afebrile with normal vital signs. A routine blood test showed a neutrophil level of 87.1×109 g/l (reference range, 0.04-0.5 ×109 g/l), a hemoglobin level of 84×1012 g/l (reference range, 120–160 g/l). A routine urine test showed a red blood cell level of 3/HPF (reference range, 0–3/HPF) and a white blood cell level of 139.8/HPF (reference range, 0–5/HPF). The urine culture found Escherichia coli, and the fecal occult blood test was positive. CT showed sigmoid cancer with invasion and a fistula in the bladder wall. Cystoscopy revealed hyperemia, edema and thickening in the bladder wall. Colonoscopy confirmed colon cancer (Fig. 4). The patient was treated with 0.5 g levofloxacin, once a day for 10–14 days. Due to the patient's good physical condition and a lack of obvious manifestations of inflammation or intestinal obstruction, a laparoscopic palliative sigmoidectomy and a partial cystectomy were performed. The diagnosis was colon cancer with a CVF. The patient remained asymptomatic after 10 months.

Figure 4.

Computed tomography showing air in the bladder (arrow 1), thickening in the sigmoid colon, rectum and bladder wall (arrows 2 and 4), and a fistula between the colon and bladder (arrow 3).

The tumor measured 4.5×3.5×2.5 cm in size and the final pathological diagnosis was sigmoid colon cancer. According to the AJCC TNM classification, the patient was diagnosed with stage T4N0M0 disease, indicating low-grade colon cancer.

Discussion

A CVF is a communication between the colon and bladder that is caused by colon cancer, and it has a poor prognosis. The clinicopathological characteristics of CVF in the four cases presented in the current study are summarized in Table I. However, CVF is extremely rarely reported worldwide. As CVF as an abbreviation has many ambiguities, an electronic search of PubMed (https://pubmed.ncbi.nlm.nih.gov) was performed using the key words ‘colovesical fistula’, and reviewing the previous literature, only 17 cases were found. The characteristics of each case are shown in Table II (1–3,9–19). The leading cause of CVF is diverticulitis, accounting for 72–75% of cases, followed by colon cancer at 16% (3). Due to the differences in anatomy, the probability of a CVF in women is lower (20). Colon cancer invasion can lead to bladder wall ulceration and necrosis, and even CVF (21,22).

Table I.

Clinicopathological characteristics of four cases of colovesical fistula.

Table I.

Clinicopathological characteristics of four cases of colovesical fistula.

Case no.Age, yearsSexEtiologyPresenting symptomsSite of causative lesionAir in bladderBladder and/or bowel wall thickeningFistulous tract visualizedInvasion in the bladder wallExtravesival mass that often contained airCytoscopyColonscopyClinical stageTreatmentPrognosis
159MaleColon cancerAbdominal pain and distention accompanied by cessation of anal gas and defecationSigmoid colonNNNYYNot performedNot performedT4N0M0Refused surgeryAbdominal pain remained
284MaleColon cancerUrinary frequency and urgencySigmoid colonYYNNNNot performedNot performedT4N0M0Refused surgeryDied of CVF
345MaleColon cancerFecal urineSigmoid colonNYNNNCloudy urine and fecal scraps in the bladderMultiple tumors 10 cm above the anusT4N3M0Underwent surgeryLost to follow-up
455MaleSigmoid cancerUrinary frequency, urgency and painSigmoid colonNNYYNHyperemia, edema and thickening of the bladder wallColon cancerT4N0M0Underwent surgeryAsymptomatic

[i] Y, yes; N, no.

Table II.

Reported cases of colon cancer with vesical fistula.

Table II.

Reported cases of colon cancer with vesical fistula.

First author/s, yearCountryAge, yearsSexChief complaintTumor locationCT descriptionUreteroscopy or cystoscopy/biopsy result(Refs.)
Oda et al, 1984Japan50MaleHematuria, constipation, lower abdominal discomfort, fecaluriaSigmoid colonDeformity and a tumor mass in the bladderA fistula in the posterior bladder wall, a mass at 35 cm from the anal margin(15)
Kao et al, 1997China73MaleTerminal gross hematuria, fecaluria, diarrhea and painful urinationSigmoid colonCT not performedColon adenocarcinoma(14)
Repici et al, 2000Italy76FemaleLarge bowel obstruction, severe anemia, fecaluria and pneumaturiaSigmoid colonA neoplastic mass infiltrating the entire pelvic cavityA mass 7 to 8 cm from the anal margin; colon adenocarcinoma(13)
Godbole and Loughridge, 2003UK75FemalePainless hematuriaSigmoid colonA fistula between the ileum and bladderA globular swelling at the fundus of the bladder(12)
Yabuki et al, 2004Japan76MalePain in urination, abdominal pain during defecation and feverSigmoid colonCT not performedA fistula in the bladder dome(11)
Medlicott et al, 2007Canada69MaleRecurrent urinary tract infections with pneumaturiaRight colonDiverticulosis coli complicated by a CVFColon adenocarcinoma(33)
Patel et al, 2009USA43FemaleWeight loss, nausea, vomiting, stool incontinence and tenesmusSigmoid colonA sigmoid colon mass lesion invading the bladderA sigmoid mass with ulceration, a fistula between the mass and the urinary bladder; colon adenocarcinoma(34)
Ahmad et al, 2010UK62MaleRecurrent urinary tract infections and fecaluriaSigmoid colonProgression of sigmoid cancerExaminations not performed(17)
Pineda and Maxwell, 2012USA82FemaleLeft lower abdominal pain, pneumaturia and particulate in the urineSigmoid colonSigmoid colonic thickening and air in the bladderSmall cell carcinoma(35)
Kim et al, 2015Korea70MaleAsymptomaticSigmoid colonThickening of the sigmoid colon and a fistula of the colon and bladderExaminations not performed(19)
Nakazawa et al, 2015Japan84MaleHematuria, fecaluria, pneumaturia and micturitional painSigmoid colonCVFColon adenocarcinoma(10)
Kachaamy et al, 2016USA56MaleVomiting and fecaluriaTerminal ileumA rectal mass invading the terminal ileum and bladder, and air in the bladderFistula with distal obstruction(16)
Li et al, 2017China54MaleUrinary frequency, urge incontinence, urodynia, dysuria, hematuria and hypogastralgia20 cm from the anal marginThickening in the bladder wall and a mass on the left anterior bladder wallA mass in the sigmoid colon; tumor in sigmoid colon(1)
Yang et al, 2018Korea71MaleWeight loss with diarrheaSigmoid colonIrregular thickening in the sigmoid colonA mass in the sigmoid colon; colon adenocarcinoma(3)
Skierucha et al, 2018Poland81FemaleDiarrhea10 cm from the anal vergeA heterogeneous conglomerate of structures in the bladderA mass and leakage in the sigmoid colon(2)
Ashrafi and Sotelo, 2019USA72FemalePassing gas in the urineSigmoid colonA mass extending from the sigmoid colon to the bladderDiverticulosis in the sigmoid colon; gas in bladder(18)
Pineda and Maxwell, 2012USA63MaleBurning and the passage of flatus with urinationSigmoid colonDiverticula, and bladder and sigmoid wall thickeningIrregularity of the dome of the bladder; colon adenocarcinoma(35)

[i] CVF, colovesical fistula.

The chief complaints caused by a fistula are pneumaturia and fecaluria, and these non-specific symptoms can delay the diagnosis. Considering the risk of uremia, septicemia and renal failure, a patient with advanced colon cancer presenting with urinary tract symptoms should be considered for CVF and imaging examinations should be performed (5). In the four presented cases, CT, cystoscopy, colonoscopy and biopsy were performed to detect the fistulae. Clinically, CT is the first method selected to examine patients with CVF due to its non-invasiveness and high sensitivity. CT could provide information about the complexity of the fistula (23) and the surrounding anatomical structures (24), which could help the next treatment plan (5). An early, small bladder fistula caused by colon cancer is not easy to diagnose, as compared with that of Crohn's disease or an intestinal diverticulum, the bladder fistula caused by colon cancer is usually smaller, mainly manifesting as inflammatory changes, and it is difficult to obtain an accurate biopsy. In colon cancer cases, it is difficult for feces to enter the bladder through the small fistula, so the fecal and urinary symptoms are not obvious, but this can become a source of bacterial cystitis, which is difficult to cure. Therefore, CT is a suitable primary choice for patients with a suspected CVF. Air in the bladder, uneven thickening in the sigmoid colon and rectal wall (1–3,25,26), a fistula in the bladder or colon wall (1), invasion in the bladder wall, and gas in the ascending and sigmoid colon are common findings on CT scans, which may indicate the diagnosis of a CVF. Due to inflammatory signs, it is not always possible to perform a cystoscopy or biopsy (7), and a cystoscopy cannot always find the fistula directly. Likewise, due to intestinal obstruction, a colonoscopy is not always available (7). In particular, an endoscopy is not suitable for patients who require urgent surgery. According to a previous study, the poppy seed test, which involves swallowing poppy seeds and detecting their presence in the urine, is recommended, as it is highly sensitive (100%), non-invasive and easy to perform (27). While the poppy seed test is indeed sensitive, it cannot provide much more information about etiology or location, and this test should be treated as a screening test only. Although magnetic resonance imaging is not used as a routine test, a number of previous studies have recommended it, due to its intrinsic soft-tissue resolution (6,28–31).

The present four cases, which underwent different therapies, including conservative treatment and surgery, were in stark contrast to each other. The cases of conservative treatment refused surgery and were prescribed antibiotics on a long-term low-dose basis. The cases of surgery underwent a palliative sigmoidectomy, proximal colostomy, partial small intestine resection and partial cystectomy, and a laparoscopic palliative sigmoidectomy and partial cystectomy, respectively. The patients who underwent surgery had better outcomes and quality of life compared with the patients who underwent conservative treatment. To the best of our knowledge, surgery is a favorable prognostic factor for CVF. According to a previous study, conservative treatment is usually reserved for patients who are unsuitable for major surgery, for patients with multiple complications and comorbidities, or for patients too old to tolerate general anesthesia (5). The present study is consistent with this in that the patient in case 2 accepted conservative treatment. Due to the potential risk of uremia and septicemia, surgery is often necessary, although some cases can heal with conservative management. Moreover, staged repairs may be reserved for patients with advanced malignancy, and could be performed as palliative surgery to manage complications from CVF (5,23).

When CVF is confirmed, one-stage radical surgery is recommended for patients without intestinal obstruction. According to a previous study, the outcome of staged surgery is not better than that of one-stage surgery (23). Palliative surgery, such as a partial colon resection and simple division of the fistula, leads to a greater probability of recurrence (26). In patients with a shorter expected life span, a colostomy often leads to discomfort and even death, especially in cases requiring urgent surgery (13). Laparoscopic surgery has been widely accepted to treat malignancy, due to its shorter hospital stay, better resulting postoperative quality of life and fewer complications (32). Some studies have recommended stent implantation surgery to help close the fistula; however, since this is not a common treatment for vesical fistulas, this hypothesis requires additional study (17,28). Among the four cases in the present study, the prognosis of the patients who received surgery was better, while the prognosis of the patients who refused surgery was associated with the clinical staging of the primary disease. Moreover, the patient in case one had difficulty in alleviating the symptoms and experienced a poor quality of life, as the fistula could not heal itself without surgery.

The major strength of the present study is the relatively large number of patients with CVF. However, the study has several limitations. First, the available imaging investigations in the Affiliated Hospital of Yangzhou University are less. Second, since treatment with laparoscopic surgery is rarely performed, valuable recommendations could not be provided for specific surgical approaches. Additional studies with a greater number of imaging investigation methods is needed to confirm any suggestions. Larger studies with longer follow-up times are also needed to conclude specific surgical methods.

In conclusion, CVF is a rare complication of colon cancer. The four CVF cases with a mix of favorable and poor prognoses are examples of the disease spectrum and act as a reminder that certain imaging evidence, including invasion and fistula in the bladder wall, gas in the colon and bladder, and uneven thickening in the colon and rectal wall, may indicate a CVF and point to the need for surgery.

Acknowledgements

The authors would like to thank Dr Hailiang Liang (Department of General Surgery, Affiliated Hospital of Yangzhou University, Yangzhou University, Yangzhou, China) for their valuable discussions with regard to the study.

Funding

This study was supported by the National Natural Science Foundation of China (grant no. 82002675), the Jiangsu Natural Science Research of Colleges and Universities-General Project (grant no. 20KJB320014), the Jiangsu Science and Technology Program-Youth Fund Project (grant no. BK2020938), the Yangzhou Key Research and Development-Social Development Project (grant no. YZ2020110), the Yangzhou Soft Science Research Program (grant no. YZ2020258), the Jiangsu Postdoctoral Research Funding Program (grant no. 2020Z268) and the Yangzhou University High-level Talent Research Start-up Fund (grant no. 2019LYF).

Availability of data and materials

All data generated or analyzed during this study are included in this published article.

Authors' contributions

CD, XP, LW, ZZ, YH, XM, XW, YL, FX and LQ contributed to the acquisition, analysis and interpretation of the patient data presented in this case report. CD, XP, YL and FX drafted the manuscript. All authors made critical revisions. All authors read and approved the final manuscript. CD, XP, YL and FX confirm the authenticity of all the raw data.

Ethics approval and consent to participate

The ethical approval and documentation for a case report was approved by the Ethical Committee of the Affiliated Hospital of Yangzhou University (Yangzhou, China; approval no. 2020-YKL03-G042).

Patient consent for publication

All patients provided written informed consent for the publication of this study. Informed consent for future publication was obtained before the patient in case two died.

Competing interests

The authors declare that they have no competing interests.

References

1 

Li S, Chen Z, Zhang Q, Huang C, Wang Z and Du S: Four cases of enterovesical fistula and the importance of CT in the diagnosis. BJR Case Rep. 3:201501242017.PubMed/NCBI

2 

Skierucha M, Barud W, Baraniak J and Krupski W: Colovesical fistula as the initial manifestation of advanced colon cancer: A case report and review of literature. World J Clin Cases. 6:538–541. 2018. View Article : Google Scholar : PubMed/NCBI

3 

Yang DM, Kim HC, Kim SW, Lim SJ and Kim JS: Sonographic diagnosis of a colovesical fistula due to sigmoid colon cancer. J Med Ultrasound. 26:160–162. 2018. View Article : Google Scholar : PubMed/NCBI

4 

Velayos B, Del Olmo L, Merino L, Valsero M and González JM: Non-visible colovesical fistula located by cystoscopy and successfully managed with the novel Padlock(®) device for endoscopic closure. Int J Colorectal Dis. 33:827–829. 2018. View Article : Google Scholar : PubMed/NCBI

5 

Solkar MH, Forshaw MJ, Sankararajah D, Stewart M and Parker MC: Colovesical fistula-is a surgical approach always justified? Colorectal Dis. 7:467–471. 2005. View Article : Google Scholar : PubMed/NCBI

6 

Tang YZ, Booth TC, Swallow D, Shahabuddin K, Thomas M, Hanbury D, Chang S and King C: Imaging features of colovesical fistulae on MRI. Br J Radiol. 85:1371–1375. 2012. View Article : Google Scholar : PubMed/NCBI

7 

de la Fuente Hernández N, Sánchez CM, Solerdelcoll MS, Casanovas PH, Rodríguez JB, Sopena JMG and Soler ET: Colovesical FIstula: Applicability of the laparoscopic approach and results according to etiology. Cir Esp (Engl Ed). 98:336–341. 2020.(In English, Spanish). View Article : Google Scholar : PubMed/NCBI

8 

Olawaiye AB, Baker TP, Washington MK and Mutch DG: The new (Version 9) American joint committee on cancer tumor, node, metastasis staging for cervical cancer. CA Cancer J Clin. 71:287–298. 2021. View Article : Google Scholar : PubMed/NCBI

9 

Danjoux CE and Catton GE: Delayed complications in colo-rectal carcinoma treated by combination radiotherapy and 5-fluorouracil-Eastern Cooperative Oncology Group (E.C.O.G.) pilot study. Int J Radiat Oncol Biol Phys. 5:311–315. 1979. View Article : Google Scholar : PubMed/NCBI

10 

Nakazawa S, Uemura M, Miyagawa Y, Tsujimura A and Nonomura N: Urethral fistula and scrotal abscess associated with colovesical fistula due to the sigmoid colon cancer. Hinyokika Kiyo. 61:375–378. 2015.(In Japanese). PubMed/NCBI

11 

Yabuki D, Sawada Y, Takeuchi Y, Masuda E, Satoh D, Kuroda K, Tajima M, Sawamura Y, Matsushima M and Shibuya K: Sigmoid colovesical fistula associated with cancer of the sigmoid colon. Arch Esp Urol. 57:557–559. 2004.(In Spanish). PubMed/NCBI

12 

Godbole HC and Loughridge WG: Entero-cutaneous-vesical fistula: An unusual presentation. Ulster Med J. 72:1172003.PubMed/NCBI

13 

Repici A, Reggio D, Saracco G, Marchesa P, De Angelis C, Barletti C, Musso A, Falco M and Rizzetto M: Self-expanding covered esophageal ultraflex stent for palliation of malignant colorectal anastomotic obstruction complicated by multiple fistulas. Gastrointest Endosc. 51:346–348. 2000. View Article : Google Scholar : PubMed/NCBI

14 

Kao PF, Tzen KY, Chang PL, Chang-Chien CR, Tsai MF and You DL: Diuretic renography findings in enterovesical fistula. Br J Radiol. 70:421–423. 1997. View Article : Google Scholar : PubMed/NCBI

15 

Oda Y, Hamami G, Umezu K, Sugimoto M, Yasumuro C, Fujii A, Kamidono S and Ishigami J: Vesicocolic fistula formed by ‘collision’ tumor between transitional cell carcinoma of urinary bladder and adenocarcinoma of the sigmoid colon. Hinyokika Kiyo. 30:55–58. 1984.PubMed/NCBI

16 

Kachaamy T, Weber J, Weitz D, Vashi P and Kundranda M: Successful endoscopic management of a malignant ileovesicular fistula. Gastrointest Endosc. 84:536–537. 2016. View Article : Google Scholar : PubMed/NCBI

17 

Ahmad M, Nice C and Katory M: Covered metallic stents for the palliation of colovesical fistula. Ann R Coll Surg Engl. 92:W43–W45. 2010. View Article : Google Scholar : PubMed/NCBI

18 

Ashrafi AN and Sotelo R: Colovesical fistula. N Engl J Med. 380:e512019. View Article : Google Scholar : PubMed/NCBI

19 

Kim SH, Song BI and Won KS: Colon visualization on (99m)Tc-HDP whole-body bone scan due to sigmoid colon cancer-related enterovesical fistula. Clin Nucl Med. 40:68–69. 2015. View Article : Google Scholar : PubMed/NCBI

20 

Aurello P, Cicchini C, D'Angelo F, Ramacciato G and Giuliani A: Localization of a colovesical fistula using a retrograde guide-wire: Report of a case. Surg Today. 34:799–801. 2004. View Article : Google Scholar : PubMed/NCBI

21 

Krausz M, Manny J, Aviad I and Charuzi I: Vesicocolic fistula due to ‘collision’ between adenocarcinoma of the colon and transitional cell carcinoma of the urinary bladder. Cancer. 38:335–340. 1976. View Article : Google Scholar : PubMed/NCBI

22 

Hughes ES: Vesicocolic fistula. Dis Colon Rectum. 3:103–112. 1960. View Article : Google Scholar : PubMed/NCBI

23 

Garcea G, Majid I, Sutton CD, Pattenden CJ and Thomas WM: Diagnosis and management of colovesical fistulae; six-year experience of 90 consecutive cases. Colorectal Dis. 8:347–352. 2006. View Article : Google Scholar : PubMed/NCBI

24 

Goldman SM, Fishman EK, Gatewood OM, Jones B and Siegelman SS: CT in the diagnosis of enterovesical fistulae. AJR Am J Roentgenol. 144:1229–1233. 1985. View Article : Google Scholar : PubMed/NCBI

25 

Nguyen TC, Jaffe AM, Gray D, Cain J and Brown T: Colovesical fistula as an uncommon presentation of metastatic lung cancer. Cureus. 10:e27672018.PubMed/NCBI

26 

Di Buono G, Bonventre G, Buscemi S, Randisi B, Romano G and Agrusa A: The colovescical fistula in diverticular disease: Laparoscopic approach in two different cases. Int J Surg Case Rep. 77S:S112–S115. 2020. View Article : Google Scholar : PubMed/NCBI

27 

Kwon EO, Armenakas NA, Scharf SC, Panagopoulos G and Fracchia JA: The poppy seed test for colovesical fistula: Big bang little bucks! J Urol. 179:1425–1427. 2008. View Article : Google Scholar : PubMed/NCBI

28 

Golabek T, Szymanska A, Szopinski T, Bukowczan J, Furmanek M, Powroznik J and Chlosta P: Enterovesical fistulae: Aetiology, imaging, and management. Gastroenterol Res Pract. 2013:6179672013. View Article : Google Scholar : PubMed/NCBI

29 

Schmidt S, Chevallier P, Bessoud B, Meuwly JY, Felley C, Meuli R, Schnyder P and Denys A: Diagnostic performance of MRI for detection of intestinal fistulas in patients with complicated inflammatory bowel conditions. Eur Radiol. 17:2957–2963. 2007. View Article : Google Scholar : PubMed/NCBI

30 

Melchior S, Cudovic D, Jones J, Thomas C, Gillitzer R and Thüroff J: Diagnosis and surgical management of colovesical fistulas due to sigmoid diverticulitis. J Urol. 182:978–982. 2009. View Article : Google Scholar : PubMed/NCBI

31 

Ravichandran S, Ahmed HU, Matanhelia SS and Dobson M: Is there a role for magnetic resonance imaging in diagnosing colovesical fistulas? Urology. 72:832–837. 2008. View Article : Google Scholar : PubMed/NCBI

32 

Coco C, Rizzo G, Manno A, Mattana C and Verbo A: Surgical treatment of small bowel neoplasms. Eur Rev Med Pharmacol Sci. 14:327–333. 2010.PubMed/NCBI

33 

Medlicott SA, Brown HA, Roland B, Beck PL, Auer I and Mansoor A: Multiple lymphomatous diverticulosis and comorbid chronic lymphocytic leukemia: Novel manifestations of ileocolic mantle cell lymphoma. Int J Surg Pathol. 15:408–413. 2007. View Article : Google Scholar : PubMed/NCBI

34 

Patel DH, Dang S, Bentley FR, Julka RN, Olden KW and Aduli F: Carcinosarcoma of the colon: A rare cause of colovesical fistula. Am Surg. 75:335–337. 2009. View Article : Google Scholar : PubMed/NCBI

35 

Pineda D and Maxwell PJ IV: Small cell lung cancer metastasizing to the colon in a colovesicular fistula in the setting of diverticulitis. Am Surg. 78:E280–E281. 2012. View Article : Google Scholar

Related Articles

  • Abstract
  • View
  • Download
  • Twitter
Copy and paste a formatted citation
Spandidos Publications style
Dong C, Pan X, Wei L, Man X, Zhou Z, Huang Y, Wang X, Qi L, Xue F, Li Y, Li Y, et al: Colon cancer with colovesical fistula: <br />A report of four cases and a literature review. Oncol Lett 25: 158, 2023.
APA
Dong, C., Pan, X., Wei, L., Man, X., Zhou, Z., Huang, Y. ... Li, Y. (2023). Colon cancer with colovesical fistula: <br />A report of four cases and a literature review. Oncology Letters, 25, 158. https://doi.org/10.3892/ol.2023.13744
MLA
Dong, C., Pan, X., Wei, L., Man, X., Zhou, Z., Huang, Y., Wang, X., Qi, L., Xue, F., Li, Y."Colon cancer with colovesical fistula: <br />A report of four cases and a literature review". Oncology Letters 25.4 (2023): 158.
Chicago
Dong, C., Pan, X., Wei, L., Man, X., Zhou, Z., Huang, Y., Wang, X., Qi, L., Xue, F., Li, Y."Colon cancer with colovesical fistula: <br />A report of four cases and a literature review". Oncology Letters 25, no. 4 (2023): 158. https://doi.org/10.3892/ol.2023.13744
Copy and paste a formatted citation
x
Spandidos Publications style
Dong C, Pan X, Wei L, Man X, Zhou Z, Huang Y, Wang X, Qi L, Xue F, Li Y, Li Y, et al: Colon cancer with colovesical fistula: <br />A report of four cases and a literature review. Oncol Lett 25: 158, 2023.
APA
Dong, C., Pan, X., Wei, L., Man, X., Zhou, Z., Huang, Y. ... Li, Y. (2023). Colon cancer with colovesical fistula: <br />A report of four cases and a literature review. Oncology Letters, 25, 158. https://doi.org/10.3892/ol.2023.13744
MLA
Dong, C., Pan, X., Wei, L., Man, X., Zhou, Z., Huang, Y., Wang, X., Qi, L., Xue, F., Li, Y."Colon cancer with colovesical fistula: <br />A report of four cases and a literature review". Oncology Letters 25.4 (2023): 158.
Chicago
Dong, C., Pan, X., Wei, L., Man, X., Zhou, Z., Huang, Y., Wang, X., Qi, L., Xue, F., Li, Y."Colon cancer with colovesical fistula: <br />A report of four cases and a literature review". Oncology Letters 25, no. 4 (2023): 158. https://doi.org/10.3892/ol.2023.13744
Follow us
  • Twitter
  • LinkedIn
  • Facebook
About
  • Spandidos Publications
  • Careers
  • Cookie Policy
  • Privacy Policy
How can we help?
  • Help
  • Live Chat
  • Contact
  • Email to our Support Team