Spandidos Publications Logo
  • About
    • About Spandidos
    • Aims and Scopes
    • Abstracting and Indexing
    • Editorial Policies
    • Reprints and Permissions
    • Job Opportunities
    • Terms and Conditions
    • Contact
  • Journals
    • All Journals
    • Oncology Letters
      • Oncology Letters
      • Information for Authors
      • Editorial Policies
      • Editorial Board
      • Aims and Scope
      • Abstracting and Indexing
      • Bibliographic Information
      • Archive
    • International Journal of Oncology
      • International Journal of Oncology
      • Information for Authors
      • Editorial Policies
      • Editorial Board
      • Aims and Scope
      • Abstracting and Indexing
      • Bibliographic Information
      • Archive
    • Molecular and Clinical Oncology
      • Molecular and Clinical Oncology
      • Information for Authors
      • Editorial Policies
      • Editorial Board
      • Aims and Scope
      • Abstracting and Indexing
      • Bibliographic Information
      • Archive
    • Experimental and Therapeutic Medicine
      • Experimental and Therapeutic Medicine
      • Information for Authors
      • Editorial Policies
      • Editorial Board
      • Aims and Scope
      • Abstracting and Indexing
      • Bibliographic Information
      • Archive
    • International Journal of Molecular Medicine
      • International Journal of Molecular Medicine
      • Information for Authors
      • Editorial Policies
      • Editorial Board
      • Aims and Scope
      • Abstracting and Indexing
      • Bibliographic Information
      • Archive
    • Biomedical Reports
      • Biomedical Reports
      • Information for Authors
      • Editorial Policies
      • Editorial Board
      • Aims and Scope
      • Abstracting and Indexing
      • Bibliographic Information
      • Archive
    • Oncology Reports
      • Oncology Reports
      • Information for Authors
      • Editorial Policies
      • Editorial Board
      • Aims and Scope
      • Abstracting and Indexing
      • Bibliographic Information
      • Archive
    • Molecular Medicine Reports
      • Molecular Medicine Reports
      • Information for Authors
      • Editorial Policies
      • Editorial Board
      • Aims and Scope
      • Abstracting and Indexing
      • Bibliographic Information
      • Archive
    • World Academy of Sciences Journal
      • World Academy of Sciences Journal
      • Information for Authors
      • Editorial Policies
      • Editorial Board
      • Aims and Scope
      • Abstracting and Indexing
      • Bibliographic Information
      • Archive
    • International Journal of Functional Nutrition
      • International Journal of Functional Nutrition
      • Information for Authors
      • Editorial Policies
      • Editorial Board
      • Aims and Scope
      • Abstracting and Indexing
      • Bibliographic Information
      • Archive
    • International Journal of Epigenetics
      • International Journal of Epigenetics
      • Information for Authors
      • Editorial Policies
      • Editorial Board
      • Aims and Scope
      • Abstracting and Indexing
      • Bibliographic Information
      • Archive
    • Medicine International
      • Medicine International
      • Information for Authors
      • Editorial Policies
      • Editorial Board
      • Aims and Scope
      • Abstracting and Indexing
      • Bibliographic Information
      • Archive
  • Articles
  • Information
    • Information for Authors
    • Information for Reviewers
    • Information for Librarians
    • Information for Advertisers
    • Conferences
  • Language Editing
Spandidos Publications Logo
  • About
    • About Spandidos
    • Aims and Scopes
    • Abstracting and Indexing
    • Editorial Policies
    • Reprints and Permissions
    • Job Opportunities
    • Terms and Conditions
    • Contact
  • Journals
    • All Journals
    • Biomedical Reports
      • Information for Authors
      • Editorial Policies
      • Editorial Board
      • Aims and Scope
      • Abstracting and Indexing
      • Bibliographic Information
      • Archive
    • Experimental and Therapeutic Medicine
      • Information for Authors
      • Editorial Policies
      • Editorial Board
      • Aims and Scope
      • Abstracting and Indexing
      • Bibliographic Information
      • Archive
    • International Journal of Epigenetics
      • Information for Authors
      • Editorial Policies
      • Editorial Board
      • Aims and Scope
      • Abstracting and Indexing
      • Bibliographic Information
      • Archive
    • International Journal of Functional Nutrition
      • Information for Authors
      • Editorial Policies
      • Editorial Board
      • Aims and Scope
      • Abstracting and Indexing
      • Bibliographic Information
      • Archive
    • International Journal of Molecular Medicine
      • Information for Authors
      • Editorial Policies
      • Editorial Board
      • Aims and Scope
      • Abstracting and Indexing
      • Bibliographic Information
      • Archive
    • International Journal of Oncology
      • Information for Authors
      • Editorial Policies
      • Editorial Board
      • Aims and Scope
      • Abstracting and Indexing
      • Bibliographic Information
      • Archive
    • Medicine International
      • Information for Authors
      • Editorial Policies
      • Editorial Board
      • Aims and Scope
      • Abstracting and Indexing
      • Bibliographic Information
      • Archive
    • Molecular and Clinical Oncology
      • Information for Authors
      • Editorial Policies
      • Editorial Board
      • Aims and Scope
      • Abstracting and Indexing
      • Bibliographic Information
      • Archive
    • Molecular Medicine Reports
      • Information for Authors
      • Editorial Policies
      • Editorial Board
      • Aims and Scope
      • Abstracting and Indexing
      • Bibliographic Information
      • Archive
    • Oncology Letters
      • Information for Authors
      • Editorial Policies
      • Editorial Board
      • Aims and Scope
      • Abstracting and Indexing
      • Bibliographic Information
      • Archive
    • Oncology Reports
      • Information for Authors
      • Editorial Policies
      • Editorial Board
      • Aims and Scope
      • Abstracting and Indexing
      • Bibliographic Information
      • Archive
    • World Academy of Sciences Journal
      • Information for Authors
      • Editorial Policies
      • Editorial Board
      • Aims and Scope
      • Abstracting and Indexing
      • Bibliographic Information
      • Archive
  • Articles
  • Information
    • For Authors
    • For Reviewers
    • For Librarians
    • For Advertisers
    • Conferences
  • Language Editing
Login Register Submit
  • This site uses cookies
  • You can change your cookie settings at any time by following the instructions in our Cookie Policy. To find out more, you may read our Privacy Policy.

    I agree
Search articles by DOI, keyword, author or affiliation
Search
Advanced Search
presentation
Oncology Letters
Join Editorial Board Propose a Special Issue
Print ISSN: 1792-1074 Online ISSN: 1792-1082
Journal Cover
April-2023 Volume 25 Issue 4

Full Size Image

Sign up for eToc alerts
Recommend to Library

Journals

International Journal of Molecular Medicine

International Journal of Molecular Medicine

International Journal of Molecular Medicine is an international journal devoted to molecular mechanisms of human disease.

International Journal of Oncology

International Journal of Oncology

International Journal of Oncology is an international journal devoted to oncology research and cancer treatment.

Molecular Medicine Reports

Molecular Medicine Reports

Covers molecular medicine topics such as pharmacology, pathology, genetics, neuroscience, infectious diseases, molecular cardiology, and molecular surgery.

Oncology Reports

Oncology Reports

Oncology Reports is an international journal devoted to fundamental and applied research in Oncology.

Experimental and Therapeutic Medicine

Experimental and Therapeutic Medicine

Experimental and Therapeutic Medicine is an international journal devoted to laboratory and clinical medicine.

Oncology Letters

Oncology Letters

Oncology Letters is an international journal devoted to Experimental and Clinical Oncology.

Biomedical Reports

Biomedical Reports

Explores a wide range of biological and medical fields, including pharmacology, genetics, microbiology, neuroscience, and molecular cardiology.

Molecular and Clinical Oncology

Molecular and Clinical Oncology

International journal addressing all aspects of oncology research, from tumorigenesis and oncogenes to chemotherapy and metastasis.

World Academy of Sciences Journal

World Academy of Sciences Journal

Multidisciplinary open-access journal spanning biochemistry, genetics, neuroscience, environmental health, and synthetic biology.

International Journal of Functional Nutrition

International Journal of Functional Nutrition

Open-access journal combining biochemistry, pharmacology, immunology, and genetics to advance health through functional nutrition.

International Journal of Epigenetics

International Journal of Epigenetics

Publishes open-access research on using epigenetics to advance understanding and treatment of human disease.

Medicine International

Medicine International

An International Open Access Journal Devoted to General Medicine.

Journal Cover
April-2023 Volume 25 Issue 4

Full Size Image

Sign up for eToc alerts
Recommend to Library

  • Article
  • Citations
    • Cite This Article
    • Download Citation
    • Create Citation Alert
    • Remove Citation Alert
    • Cited By
  • Similar Articles
    • Related Articles (in Spandidos Publications)
    • Similar Articles (Google Scholar)
    • Similar Articles (PubMed)
  • Download PDF
  • Download XML
  • View XML
Case Report

Spindle cell carcinoma with cystic brain metastasis: Successful treatment with stereotactic radiotherapy and anti‑programmed cell death‑1 antibodies: A case report

  • Authors:
    • Kenta Hamabe
    • Yoshiaki Kuroshima
    • Hisashi Takaya
    • Shojiroh , Morinaga
    • Shinichi Okuzumi
    • Tomoo Kakimoto
    • Naoto Minematsu
  • View Affiliations / Copyright

    Affiliations: Department of Medicine, Hino Municipal Hospital, Tokyo 191‑0062, Japan, Department of Neurosurgery, Hino Municipal Hospital, Tokyo 191‑0062, Japan, Department of Respiratory Medicine, Toranomon Hospital Kajigaya, Kawasaki‑shi, Kanagawa 213‑8587, Japan, Department of Diagnostic Pathology, Hino Municipal Hospital, Tokyo 191‑0062, Japan
  • Article Number: 162
    |
    Published online on: March 8, 2023
       https://doi.org/10.3892/ol.2023.13748
  • Expand metrics +
Metrics: Total Views: 0 (Spandidos Publications: | PMC Statistics: )
Metrics: Total PDF Downloads: 0 (Spandidos Publications: | PMC Statistics: )
Cited By (CrossRef): 0 citations Loading Articles...

This article is mentioned in:



Abstract

Cystic brain metastasis is a rare condition that mainly originates from lung or breast adenocarcinomas. By contrast, pulmonary spindle cell carcinoma, a rare type of non‑small cell carcinoma, has not been reported with this condition. Cystic brain metastases are characterized by larger tumor sizes with increased peritumoral edema compared with solid metastases. Therefore, specific treatment strategies are required for intracranial disease control. Immunotherapy has recently been demonstrated to be crucial for treating pulmonary sarcomatoid carcinomas based on high programmed cell death‑ligand 1 (PD‑L1) expression observed in these cancers. The present report describes the case of an 82‑year‑old man diagnosed with pulmonary spindle cell carcinoma, a rare subtype of sarcomatoid carcinoma. At 7 months after the diagnosis, the patient complained of a walking disturbance for which de novo brain metastasis with peritumoral edema was the causative agent. The brain tumor had a large cystic component, and thus, an Ommaya reservoir catheter was implanted for cyst aspiration but collapsed early without sufficient volume reduction. The patient was transferred to receive twice‑split gamma knife treatment, which shrank the solid compartment and reduced the cyst volume, thereby relieving neurological defects. The patient was subsequently treated with immunotherapy targeting programmed cell death‑1 based on the high PD‑L1 expression in the lung tumor specimen. The thoracic tumors regressed following immunotherapy and progression‑free survival was maintained for 16 months. To the best of our knowledge, the present report provides the first description of focal and systemic therapies for pulmonary spindle cell carcinoma with cystic brain metastasis. The report also discusses the treatment strategies for cystic brain metastases and reviews cases of pulmonary spindle cell carcinoma treated with immune checkpoint inhibitors.

Introduction

Cystic brain metastases (BMs) are rare in lung carcinoma cases. Adenocarcinoma is the leading pathological type that results in cystic BMs, followed by squamous cell carcinoma (1). However, pulmonary sarcomatoid carcinoma or its rare subtype of spindle cell carcinoma has not been previously reported with cystic BMs. Sarcomatoid carcinomas occupied approximately 0.2-0.3% of all lung carcinomas, while spindle cell carcinomas (SpCCs) are rarer, accounting for 13.3% of pulmonary sarcomatoid carcinomas (2,3). According to the World Health Organization, pulmonary SpCCs are resected samples consisting solely of spindle cells, whereas biopsy samples with similar pathological findings are referred to as non-small cell carcinoma with SpCC (2). However, biopsy-proven SpCCs, consisting solely of spindle cells, have been widely discussed in the literature since 70% of patients with lung cancer present at advanced and unresectable stages (2). Clinical studies of biopsy-proven rare malignancies are particularly important for providing clinical information to guide treatment of patients with advanced disease stages.

Cystic BMs are characterized by larger tumor sizes with increased peritumoral edema compared with solid BMs, resulting in poor prognosis (4,5). Therefore, specific treatment strategies are clinically examined including cyst aspiration and stereotactic radiotherapy for cystic BMs (6–8). Also, the crucial role of immunotherapy targeting programmed cell death-1 (PD-1)/programmed cell death-ligand 1 (PD-L1) is recently highlighted in treating pulmonary sarcomatoid carcinomas based on high PD-L1 expression in these tumors (9).

Herein, we report a rare case of biopsy-proven pulmonary SpCC with solitary cystic BM. BM was initially managed with stereotactic irradiation, and subsequent immunotherapy targeting PD-1 conferred long-term disease control. The present report provides the first description of the successful management with focal and systemic therapies for pulmonary SpCC with cystic BM.

Case report

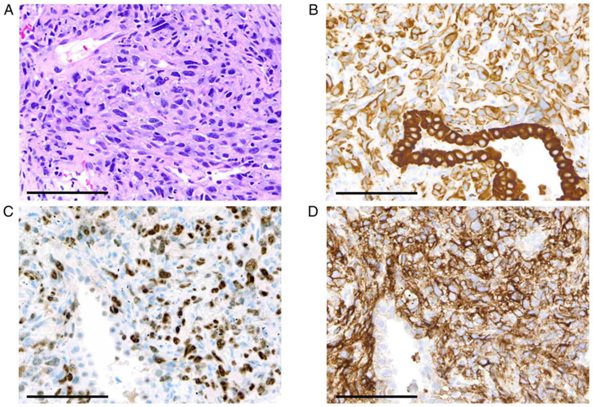
An 82-year-old male was diagnosed with pulmonary SpCC at the clinical stage of T3N2M0 in August of Year X-1 based on the pathological findings of a tumor specimen obtained by transcutaneous core needle biopsy. The biopsy sample was entirely composed of monotonous spindle-shaped tumor cells that were positive for AE1/AE, CK7, and p53 and negative for CK5/6, p40, TTF-1, or Napsin A by immunostaining, which was indicative of SpCC (Fig. 1A-C). The programmed cell death ligand-1 (PD-L1) expression in tumor cells was evaluated by immunostaining using 22C3 PharmDx Dako (Agilent, Santa Clara, CA, United States) (Fig. 1D). The tissue proportion score (TPS) was calculated by dividing the total tumor cells into PD-L1-positive tumor cells and expressed as a percentage, which was high at 90% in the present case. In contrast, oncogene addiction was negative. Owing to the age of the asymptomatic patient, the patient was receiving supportive care at Toranomon Hospital Kajigaya.

Figure 1.

Pathological findings of the tumor specimen. (A) The tumor was composed of monotonous spindle-shaped cells (hematoxylin and eosin staining) that were positive for (B) AE1/AE3 and (C) p53. (D) Programmed cell death-1 ligand was expressed in 90% of tumor cells. Original magnification, ×400. Scale bars, 100 µm.

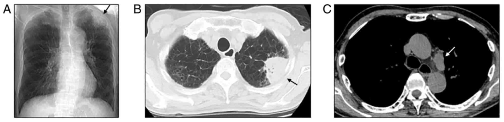
In March of Year X, the patient was admitted to Hino Municipal Hospital complaining of a walking disturbance. The patient was conscious, and his vital signs were intact. Neurological examination revealed unilateral spatial neglect and mild hemiparesis of the left extremities. Chest radiography and computed tomography revealed a primary lung tumor (maximum diameter, 60 mm) invading the chest wall in the left upper lobe and subaortic lymphadenopathy (Fig. 2A-C) without any other metastatic sites. Gadolinium-enhanced magnetic resonance imaging showed a solitary brain tumor in the right parietal lobe (maximum diameter, 40 mm) consisting of solid and cystic components (estimated cyst volume, 37.5 ml) (Fig. 3, reference group). A retrospective review of imaging examinations revealed that the lung tumor was 20 mm in diameter, and brain metastasis was absent 1 year ago. Cyst aspiration of the BM followed by surgical resection or stereotactic irradiation was recommended for the rapid control of neurological symptoms. The patient underwent placement of an Ommaya reservoir catheter, and 7 ml of bloody-yellowish aspirate was collected, in which cohesive pleomorphic malignant cells were detected. Unfortunately, the catheter collapsed early, resulting in insufficient tumor shrinkage. While catheter replacement or surgical resection of the BM were treatment options, split gamma knife (GK) was performed to minimize the patient's therapeutic burden and allow an earlier initiation of immunotherapy. A twice-split GK was performed with a prescription dose to tumor margin of 14 Gy each, resulting in a shrinkage of the solid portion and reduction in cyst volume by 62.2 and 23.0% following the first and second rounds of GK, respectively (Fig. 3). During the period of GK treatment, the patient's neurological symptoms improved to the point where he was able to walk independently and was discharged from the hospital. In July of Year X, the patient started anti-PD-1 immunotherapy (pembrolizumab, 400 mg intravenous administration, every 6 weeks). After two cycles of treatment, substantial regression was observed in the primary tumor and a mediastinal lymph node, thereby indicating a partial response (Fig. 3). In addition, the solitary compartment of the brain metastasis disappeared, and the cyst volume further decreased by 18.4% during this period. Skin eruption and adrenal deficiency appeared after the first and sixth cycles of pembrolizumab treatment, respectively, and were treated appropriately. The patient is currently continuing pembrolizumab for 12 cycles and has maintained progression-free survival. The patient did not complain of any neurological or physical symptoms.

Figure 2.

Radiological images in March of Year X. (A) Chest radiograph showing a tumor in the left upper field (arrow). Chest computed tomography showing (B) a primary lung tumor located in the left upper lobe (arrow) with (C) subaortic mediastinal lymph node metastasis (arrow).

Figure 3.

A schematic presentation of the clinical course. The treatment and clinical events are shown at the top. T1 images of gadolinium-enhanced MRI of the brain are chronologically displayed in the middle. A T2 image of brain MRI (reference group) and contrast medium-enhanced computed tomography images of the chest (other groups) are shown at the bottom. Estimated cyst volumes and a solid portion of brain metastasis were reduced with the gamma knife treatment. The primary lung tumor and brain metastasis regressed following subsequent immunotherapy using pembrolizumab. MRI, magnetic resonance imaging.

Discussion

The present report provides clinical observations of biopsy-proven SpCC with cystic BM. Cystic BMs are rare and account for 1.7-18.8% of all metastatic brain tumors (4–6,10–12). The lungs and breasts were the two leading primary cancer sites that resulted in cystic BMs, and non-small cell lung carcinomas were less frequently accompanied by cystic BMs (7/1099 patients, 0.6%) than breast cancers (11/317 patients, 3.5%) (6,10–12). Xu et al (1) evaluated the histopathological types of 33 cases of lung cancer with cystic BMs, including 26 adenocarcinomas (78.8%) and seven squamous cell carcinomas (21.2%). Few studies have reported small cell lung carcinomas with cystic BMs (13,14). Cystic BM has not been reported with any subtype of pulmonary sarcomatoid carcinoma including SpCC. The mechanisms underlying cyst formation in non-mucinous carcinomas are not fully understood; however, literature suggests that exudate collection results from the breakdown of blood-brain barriers by tumor invasion (15).

BMs are frequently associated with neurological symptoms and poor prognosis without appropriate treatment (16). Poor prognosis has been reported in patients with lung carcinomas (5) and breast cancers (4) with cystic BMs compared to those with solid BMs. Other studies have reported comparable overall survivals of patients with either type of BM following stereotactic radiosurgery (SRS); however, these studies also reported a lower local control rate, slower tumor shrinkage, and higher recurrence rate in cystic BMs (11,12,15). Predictive factors associated with SRS failure include large tumor size, non-lung primary tumor, prior history of whole brain irradiation, and the presence of cystic components (11,15,17). Therefore, prior cyst aspiration was clinically examined to minimize the target volumes and eventually showed time-efficient tumor shrinkage, minimized peritumoral edema, and rapid symptom relief following SRS treatment (6–8). In the present case, the patient had a symptomatic BM with a large cyst volume (37.5 ml), indicative that cyst aspiration was required; however, the Ommaya reservoir catheter collapsed early, resulting in insufficient tumor shrinkage. The catheter was not replaced because the direction of the tube route is one of the relevant factors for successful drainage (18), suggesting that simple replacement would not be sufficient. Alternatively, the patient was dispositioned to receive twice-split GK treatment based on previous reports showing favorable outcomes and safe management by hypo-fractionated SRS for large BMs (19,20). The present case showed effective and safe management of a large cystic BM of pulmonary SpCC using split GK.

Although pulmonary SpCCs are treated using the guidelines for non-small cell lung carcinomas, SpCCs are usually chemoresistant, leading to poor prognosis. In contrast, the use of immunotherapy targeting PD-1/PD-L1 has emerged with recent studies showing high PD-L1 expression and tumor mutation burden in pulmonary sarcomatoid carcinomas (9). Two studies estimated an objective response rate of 26.1-64.8%, disease control rate of 64.8-69.6%, and overall survival of 12.7-18.2 months in patients with sarcomatoid carcinoma following immunotherapy (21,22). Notably, immunotherapy was the only treatment that prolonged the overall survival of patients with pulmonary sarcomatoid carcinomas, whereas platinum-based chemotherapy or molecular targeted therapy for oncogene addiction did not (22). Furthermore, an additive platinum doublet in immunotherapy did not improve the overall survival (22). Six reported cases of pulmonary SpCC have been treated with immune checkpoint inhibitors (Table I) (23–27). Of these cases and the present case, four were diagnosed using surgical specimens and three were diagnosed using biopsy-proven SpCCs. Tumor PD-L1 expression was high (TPS >90%) in all the cases. All cases except one used monotherapy with pembrolizumab in the first (n=5) or second (n=1) treatment line. Notably, all cases showed partial or complete responses for the maximum response, and four cases, including the present case, maintained progression-free survival for more than one year at the reported date. While the therapeutic perspective for pulmonary SpCC is still in debate, immunotherapy is expected to provide a good prognosis for SpCC as other types of sarcomatoid carcinomas.

Table I.

Pulmonary spindle cell carcinoma cases treated with immune checkpoint inhibitors.

Table I.

Pulmonary spindle cell carcinoma cases treated with immune checkpoint inhibitors.

First author/s, yearAge, yearsSexSamplesPD-L1, %StagesBMsRegimenTreatment linesMaximum responseOutcomes(Refs.)
Mizushina et al, 202152MSurgical specimen>95Post-operation recurrence+Pemb (q3w)2ndPR11 cycles, dead(23)
Oshiro et al, 202170MSurgical specimen100Post-operation recurrence-Pemb (q3w)1stPR23 cycles, alive(24)
Akaba et al, 202172FSurgical specimen100Post-operation recurrence-CBDCA/PTX/Bev/Atezo (induction therapy); Bev/Atezo (maintenance therapy)1stPR4 cycles; 15 months, alive(25)
Oshiro et al, 202175FSurgical specimen90Stage IVB-Pemb (q3w)1stCR29 cycles, alive(24)
Awobajo et al, 202069FBiopsy90Post-radiotherapy recurrence+Pemb (q3w)1stPR2 cycles, alive(26)
Tsurumi et al, 202076MBiopsy>90Stage IVB-Pemb (q3w)1stPR7 cycles, alive(27)
Present study82MBiopsy90Stage IVB+Pemb (q6w)1stPR12 cycles, alive-

[i] Atezo, atezolizumab; Bev, bevacizumab; BMs, brain metastases; CBDCA, carboplatin; CR, complete response; F, female; M, male; PD-L1, programmed cell death-ligand 1; Pemb, pembrolizumab; PR, partial response; PTX, paclitaxel; q3w, every 3 weeks; q6w, every 6 weeks.

In summary, we concluded that the large cystic BM of SpCC was radiosensitive and successfully managed using split GK. The present case and current literature indicated the crucial role of immunotherapy targeting PD-1/PD-L1 in treating pulmonary SpCC.

Acknowledgements

Not applicable.

Funding

Funding: No funding was received.

Availability of data and materials

The datasets used and/or analyzed during the current study are available from the corresponding author on reasonable request.

Authors' contributions

KH, YK, HT and NM substantially conceived and designed the study. YK, HT, SM, SO and TK acquired, analyzed and interpreted the data. SM reviewed the pathological specimens. KH, SM and NM drafted the manuscript. SM, SO and TK created the figures. YK, HT, SO and TK critically revised the manuscript for important intellectual content. KH and NM confirm the authenticity of all the raw data. All authors have read and approved the final manuscript.

Ethics approval and consent to participate

Not applicable.

Patient consent for publication

Written informed consent was obtained from the patient for his information to be published in this case report.

Competing interests

The authors declare that they have no competing interests.

Glossary

Abbreviations

Abbreviations:

BM

brain metastasis

GK

gamma knife

PD-1

programmed cell death-1

PD-L1

programmed cell death ligand-1

SpCC

spindle cell carcinoma

SRS

stereotactic radiosurgery

TPS

tissue proportion score

References

1 

Xu YB, Zhang Y, Song Z, Wang W and Shao L: Treatment and prognosis of solid and cystic brain metastases in patients with non-small-cell lung cancer. Cancer Manag Res. 13:6309–6317. 2021. View Article : Google Scholar : PubMed/NCBI

2 

World Health Organization (WHO), . WHO Classification of Tumours. Thoracic Tumours. 5th Edition. International Agency for Research on Cancer; Lyon: 2021

3 

Rossi G, Cavazza A, Sturm N, Migaldi M, Facciolongo N, Longo L, Maiorana A and Brambilla E: Pulmonary carcinomas with pleomorphic, sarcomatoid, or sarcomatous elements: A clinicopathologic and immunohistochemical study of 75 cases. Am J Surg Pathol. 27:311–324. 2003. View Article : Google Scholar : PubMed/NCBI

4 

Brigell RH, Cagney DN, Martin AM, Besse LA, Catalano PJ, Lee EQ, Wen PY, Brown PD, Phillips JG, Pashtan IM, et al: Local control after brain-directed radiation in patients with cystic versus solid brain metastases. J Neurooncol. 142:355–363. 2019. View Article : Google Scholar : PubMed/NCBI

5 

Sun B, Huang Z, Wu S, Ding L, Shen G, Cha L, Wang J and Song S: Cystic brain metastasis is associated with poor prognosis in patients with advanced breast cancer. Oncotarget. 7:74006–74014. 2016. View Article : Google Scholar : PubMed/NCBI

6 

Franzin A, Vimercati A, Picozzi P, Serra C, Snider S, Gioia L, Ferrari da Passano C, Bolognesi A and Giovanelli M: Stereotactic drainage and Gamma Knife radiosurgery of cystic brain metastasis. J Neurosurg. 109:259–267. 2008. View Article : Google Scholar : PubMed/NCBI

7 

Ebinu JO, Lwu S, Monsalves E, Arayee M, Chung C, Laperriere NJ, Kulkarni AV, Goetz P and Zadeh G: Gamma knife radiosurgery for the treatment of cystic cerebral metastases. Int J Radiat Oncol Biol Phys. 85:667–671. 2013. View Article : Google Scholar : PubMed/NCBI

8 

Horiguchi T, Yanagi S, Yatsushiro K, Tsubouchi H, Matsumoto N and Nakazato M: A case of impaired consciousness due to large cystic metastatic brain tumors from lung adenocarcinoma successfully controlled with Ommaya reservoir placement. Respir Med Case Rep. 30:1010692020.PubMed/NCBI

9 

Ağaçkıran Y, Aksu F, Akyürek N, Ercan C, Demiröz M and Aksu K: Programmed death ligand-1 expression levels, clinicopathologic features, and survival in surgically resected sarcomatoid lung carcinoma. Asia Pac J Clin Oncol. 17:280–288. 2021. View Article : Google Scholar : PubMed/NCBI

10 

Higuchi F, Kawamoto S, Abe Y, Kim P and Ueki K: Effectiveness of a 1-day aspiration plus Gamma Knife surgery procedure for metastatic brain tumor with a cystic component. J Neurosurg. 117 (Suppl):S17–S22. 2012. View Article : Google Scholar

11 

Yamanaka Y, Shuto T, Kato Y, Okada T, Inomori S, Fujino H and Nagano H: Ommaya reservoir placement followed by Gamma Knife surgery for large cystic metastatic brain tumors. J Neurosurg. 105 (Suppl):S79–S81. 2006. View Article : Google Scholar

12 

Wang H, Liu X, Jiang X, Song Y, Wang X, Wang J, Dong Y, Li F, Wu Z, Zhang Y and Yuan Z: Cystic brain metastases had slower speed of tumor shrinkage but similar prognosis compared with solid tumors that underwent radiosurgery treatment. Cancer Manag Res. 11:1753–1763. 2019. View Article : Google Scholar : PubMed/NCBI

13 

Ismailoglu O, Albayrak BS and Ciris M: Cerebral metastasis of small-cell lung carcinoma mimicking a supratentorial cystic astrocytoma. Am J Med Sci. 342:5202011. View Article : Google Scholar : PubMed/NCBI

14 

Takeda T, Saitoh M and Takeda S: Solitary cystic brain metastasis of small-cell lung carcinoma controlled by a stereotactically inserted Ommaya reservoir. Am J Med Sci. 337:215–217. 2009. View Article : Google Scholar : PubMed/NCBI

15 

Gardner WJ, Collis JS Jr and Lewis LA: Cystic brain tumors and the blood-brain barrier. Comparison of protein fractions in cyst fluids and sera. Arch Neurol. 8:291–298. 1963. View Article : Google Scholar : PubMed/NCBI

16 

Owonikoko TK, Arbiser J, Zelnak A, Shu HK, Shim H, Robin AM, Kalkanis SN, Whitsett TG, Salhia B, Tran NL, et al: Current approaches to the treatment of metastatic brain tumours. Nat Rev Clin Oncol. 11:203–222. 2014. View Article : Google Scholar : PubMed/NCBI

17 

Pan HC, Sheehan J, Stroila M, Steiner M and Steiner L: Gamma knife surgery for brain metastases from lung cancer. J Neurosurg. 102 (Suppl):S128–S133. 2005. View Article : Google Scholar

18 

Oshima A, Kimura T, Akabane A and Kawai K: Optimal implantation of Ommaya reservoirs for cystic metastatic brain tumors preceding gamma knife radiosurgery. J Clin Neurosci. 39:199–202. 2017. View Article : Google Scholar : PubMed/NCBI

19 

Minniti G, D'Angelillo RM, Scaringi C, Trodella LE, Clarke E, Matteucci P, Osti MF, Ramella S, Enrici RM and Trodella L: Fractionated stereotactic radiosurgery for patients with brain metastases. J Neurooncol. 117:295–301. 2014. View Article : Google Scholar : PubMed/NCBI

20 

Feuvret L, Vinchon S, Martin V, Lamproglou I, Halley A, Calugaru V, Chea M, Valéry CA, Simon JM and Mazeron JJ: Stereotactic radiotherapy for large solitary brain metastases. Cancer Radiother. 18:97–106. 2014. View Article : Google Scholar : PubMed/NCBI

21 

Domblides C, Leroy K, Monnet I, Mazières J, Barlesi F, Gounant V, Baldacci S, Mennecier B, Toffart AC, Audigier-Valette C, et al: Efficacy of immune checkpoint inhibitors in lung sarcomatoid carcinoma. J Thorac Oncol. 15:860–866. 2020. View Article : Google Scholar : PubMed/NCBI

22 

Chang CL, Hsieh MS, Shih JY, Lee YH, Liao WY, Hsu CL, Yang CY, Chen KY, Lee JH, Ho CC, et al: Real-world treatment patterns and outcomes among patients with advanced non-small-cell lung cancer with spindle cell and/or giant cell carcinoma. Ther Adv Med Oncol. 14:175883592211338892022. View Article : Google Scholar : PubMed/NCBI

23 

Mizushina Y, Ohyanagi F, Shiihara J, Nomura M, Ohta H, Oshiro H, Tsubochi H, Kusaka G and Yamaguchi Y: Clinical case of lung spindle cell carcinoma markedly responsive to pembrolizumab. Thorac Cancer. 12:2279–2282. 2021. View Article : Google Scholar : PubMed/NCBI

24 

Oshiro Y, Suzuki S, Sakurada A, Hamada K, Yamamoto R and Kazama A: A long-term survival in two cases of pulmonary spindle cell carcinoma treated with pembrolizumab. Jpn J Lung Cancer. 16:327–335. 2021.(In Japanese). View Article : Google Scholar

25 

Akaba T, Shiota Y, Onizawa F, Isaka T, Nagashima Y and Tagaya E: Recurrent spindle cell carcinoma of the lung successfully treated by chemoimmunotherapy. Respirol Case Rep. 9:e007572021. View Article : Google Scholar : PubMed/NCBI

26 

Awobajo MD, Vaporciyan AA, Lu C and Gandhi SJ: Stereotactic body radiation therapy (SBRT) in the management of pulmonary spindle cell carcinoma. BMJ Case Rep. 13:e2347792020. View Article : Google Scholar : PubMed/NCBI

27 

Tsurumi K, Kawashima Y, Akahira J, Saito R, Toi Y, Nakamura A, Yamanda S, Kimura Y, Honda Y and Sugawara S: A remarkable clinical response to pembrolizumab in a rare spindle cell carcinoma of the lung. JMA J. 3:83–86. 2020.PubMed/NCBI

Related Articles

  • Abstract
  • View
  • Download
  • Twitter
Copy and paste a formatted citation
Spandidos Publications style
Hamabe K, Kuroshima Y, Takaya H, Morinaga S, Okuzumi S, Kakimoto T and Minematsu N: Spindle cell carcinoma with cystic brain metastasis: Successful treatment with stereotactic radiotherapy and anti‑programmed cell death‑1 antibodies: A case report. Oncol Lett 25: 162, 2023.
APA
Hamabe, K., Kuroshima, Y., Takaya, H., Morinaga, S., Okuzumi, S., Kakimoto, T., & Minematsu, N. (2023). Spindle cell carcinoma with cystic brain metastasis: Successful treatment with stereotactic radiotherapy and anti‑programmed cell death‑1 antibodies: A case report. Oncology Letters, 25, 162. https://doi.org/10.3892/ol.2023.13748
MLA
Hamabe, K., Kuroshima, Y., Takaya, H., Morinaga, S., Okuzumi, S., Kakimoto, T., Minematsu, N."Spindle cell carcinoma with cystic brain metastasis: Successful treatment with stereotactic radiotherapy and anti‑programmed cell death‑1 antibodies: A case report". Oncology Letters 25.4 (2023): 162.
Chicago
Hamabe, K., Kuroshima, Y., Takaya, H., Morinaga, S., Okuzumi, S., Kakimoto, T., Minematsu, N."Spindle cell carcinoma with cystic brain metastasis: Successful treatment with stereotactic radiotherapy and anti‑programmed cell death‑1 antibodies: A case report". Oncology Letters 25, no. 4 (2023): 162. https://doi.org/10.3892/ol.2023.13748
Copy and paste a formatted citation
x
Spandidos Publications style
Hamabe K, Kuroshima Y, Takaya H, Morinaga S, Okuzumi S, Kakimoto T and Minematsu N: Spindle cell carcinoma with cystic brain metastasis: Successful treatment with stereotactic radiotherapy and anti‑programmed cell death‑1 antibodies: A case report. Oncol Lett 25: 162, 2023.
APA
Hamabe, K., Kuroshima, Y., Takaya, H., Morinaga, S., Okuzumi, S., Kakimoto, T., & Minematsu, N. (2023). Spindle cell carcinoma with cystic brain metastasis: Successful treatment with stereotactic radiotherapy and anti‑programmed cell death‑1 antibodies: A case report. Oncology Letters, 25, 162. https://doi.org/10.3892/ol.2023.13748
MLA
Hamabe, K., Kuroshima, Y., Takaya, H., Morinaga, S., Okuzumi, S., Kakimoto, T., Minematsu, N."Spindle cell carcinoma with cystic brain metastasis: Successful treatment with stereotactic radiotherapy and anti‑programmed cell death‑1 antibodies: A case report". Oncology Letters 25.4 (2023): 162.
Chicago
Hamabe, K., Kuroshima, Y., Takaya, H., Morinaga, S., Okuzumi, S., Kakimoto, T., Minematsu, N."Spindle cell carcinoma with cystic brain metastasis: Successful treatment with stereotactic radiotherapy and anti‑programmed cell death‑1 antibodies: A case report". Oncology Letters 25, no. 4 (2023): 162. https://doi.org/10.3892/ol.2023.13748
Follow us
  • Twitter
  • LinkedIn
  • Facebook
About
  • Spandidos Publications
  • Careers
  • Cookie Policy
  • Privacy Policy
How can we help?
  • Help
  • Live Chat
  • Contact
  • Email to our Support Team