Spandidos Publications Logo
  • About
    • About Spandidos
    • Aims and Scopes
    • Abstracting and Indexing
    • Editorial Policies
    • Reprints and Permissions
    • Job Opportunities
    • Terms and Conditions
    • Contact
  • Journals
    • All Journals
    • Oncology Letters
      • Oncology Letters
      • Information for Authors
      • Editorial Policies
      • Editorial Board
      • Aims and Scope
      • Abstracting and Indexing
      • Bibliographic Information
      • Archive
    • International Journal of Oncology
      • International Journal of Oncology
      • Information for Authors
      • Editorial Policies
      • Editorial Board
      • Aims and Scope
      • Abstracting and Indexing
      • Bibliographic Information
      • Archive
    • Molecular and Clinical Oncology
      • Molecular and Clinical Oncology
      • Information for Authors
      • Editorial Policies
      • Editorial Board
      • Aims and Scope
      • Abstracting and Indexing
      • Bibliographic Information
      • Archive
    • Experimental and Therapeutic Medicine
      • Experimental and Therapeutic Medicine
      • Information for Authors
      • Editorial Policies
      • Editorial Board
      • Aims and Scope
      • Abstracting and Indexing
      • Bibliographic Information
      • Archive
    • International Journal of Molecular Medicine
      • International Journal of Molecular Medicine
      • Information for Authors
      • Editorial Policies
      • Editorial Board
      • Aims and Scope
      • Abstracting and Indexing
      • Bibliographic Information
      • Archive
    • Biomedical Reports
      • Biomedical Reports
      • Information for Authors
      • Editorial Policies
      • Editorial Board
      • Aims and Scope
      • Abstracting and Indexing
      • Bibliographic Information
      • Archive
    • Oncology Reports
      • Oncology Reports
      • Information for Authors
      • Editorial Policies
      • Editorial Board
      • Aims and Scope
      • Abstracting and Indexing
      • Bibliographic Information
      • Archive
    • Molecular Medicine Reports
      • Molecular Medicine Reports
      • Information for Authors
      • Editorial Policies
      • Editorial Board
      • Aims and Scope
      • Abstracting and Indexing
      • Bibliographic Information
      • Archive
    • World Academy of Sciences Journal
      • World Academy of Sciences Journal
      • Information for Authors
      • Editorial Policies
      • Editorial Board
      • Aims and Scope
      • Abstracting and Indexing
      • Bibliographic Information
      • Archive
    • International Journal of Functional Nutrition
      • International Journal of Functional Nutrition
      • Information for Authors
      • Editorial Policies
      • Editorial Board
      • Aims and Scope
      • Abstracting and Indexing
      • Bibliographic Information
      • Archive
    • International Journal of Epigenetics
      • International Journal of Epigenetics
      • Information for Authors
      • Editorial Policies
      • Editorial Board
      • Aims and Scope
      • Abstracting and Indexing
      • Bibliographic Information
      • Archive
    • Medicine International
      • Medicine International
      • Information for Authors
      • Editorial Policies
      • Editorial Board
      • Aims and Scope
      • Abstracting and Indexing
      • Bibliographic Information
      • Archive
  • Articles
  • Information
    • Information for Authors
    • Information for Reviewers
    • Information for Librarians
    • Information for Advertisers
    • Conferences
  • Language Editing
Spandidos Publications Logo
  • About
    • About Spandidos
    • Aims and Scopes
    • Abstracting and Indexing
    • Editorial Policies
    • Reprints and Permissions
    • Job Opportunities
    • Terms and Conditions
    • Contact
  • Journals
    • All Journals
    • Biomedical Reports
      • Information for Authors
      • Editorial Policies
      • Editorial Board
      • Aims and Scope
      • Abstracting and Indexing
      • Bibliographic Information
      • Archive
    • Experimental and Therapeutic Medicine
      • Information for Authors
      • Editorial Policies
      • Editorial Board
      • Aims and Scope
      • Abstracting and Indexing
      • Bibliographic Information
      • Archive
    • International Journal of Epigenetics
      • Information for Authors
      • Editorial Policies
      • Editorial Board
      • Aims and Scope
      • Abstracting and Indexing
      • Bibliographic Information
      • Archive
    • International Journal of Functional Nutrition
      • Information for Authors
      • Editorial Policies
      • Editorial Board
      • Aims and Scope
      • Abstracting and Indexing
      • Bibliographic Information
      • Archive
    • International Journal of Molecular Medicine
      • Information for Authors
      • Editorial Policies
      • Editorial Board
      • Aims and Scope
      • Abstracting and Indexing
      • Bibliographic Information
      • Archive
    • International Journal of Oncology
      • Information for Authors
      • Editorial Policies
      • Editorial Board
      • Aims and Scope
      • Abstracting and Indexing
      • Bibliographic Information
      • Archive
    • Medicine International
      • Information for Authors
      • Editorial Policies
      • Editorial Board
      • Aims and Scope
      • Abstracting and Indexing
      • Bibliographic Information
      • Archive
    • Molecular and Clinical Oncology
      • Information for Authors
      • Editorial Policies
      • Editorial Board
      • Aims and Scope
      • Abstracting and Indexing
      • Bibliographic Information
      • Archive
    • Molecular Medicine Reports
      • Information for Authors
      • Editorial Policies
      • Editorial Board
      • Aims and Scope
      • Abstracting and Indexing
      • Bibliographic Information
      • Archive
    • Oncology Letters
      • Information for Authors
      • Editorial Policies
      • Editorial Board
      • Aims and Scope
      • Abstracting and Indexing
      • Bibliographic Information
      • Archive
    • Oncology Reports
      • Information for Authors
      • Editorial Policies
      • Editorial Board
      • Aims and Scope
      • Abstracting and Indexing
      • Bibliographic Information
      • Archive
    • World Academy of Sciences Journal
      • Information for Authors
      • Editorial Policies
      • Editorial Board
      • Aims and Scope
      • Abstracting and Indexing
      • Bibliographic Information
      • Archive
  • Articles
  • Information
    • For Authors
    • For Reviewers
    • For Librarians
    • For Advertisers
    • Conferences
  • Language Editing
Login Register Submit
  • This site uses cookies
  • You can change your cookie settings at any time by following the instructions in our Cookie Policy. To find out more, you may read our Privacy Policy.

    I agree
Search articles by DOI, keyword, author or affiliation
Search
Advanced Search
presentation
Oncology Letters
Join Editorial Board Propose a Special Issue
Print ISSN: 1792-1074 Online ISSN: 1792-1082
Journal Cover
October-2023 Volume 26 Issue 4

Full Size Image

Sign up for eToc alerts
Recommend to Library

Journals

International Journal of Molecular Medicine

International Journal of Molecular Medicine

International Journal of Molecular Medicine is an international journal devoted to molecular mechanisms of human disease.

International Journal of Oncology

International Journal of Oncology

International Journal of Oncology is an international journal devoted to oncology research and cancer treatment.

Molecular Medicine Reports

Molecular Medicine Reports

Covers molecular medicine topics such as pharmacology, pathology, genetics, neuroscience, infectious diseases, molecular cardiology, and molecular surgery.

Oncology Reports

Oncology Reports

Oncology Reports is an international journal devoted to fundamental and applied research in Oncology.

Experimental and Therapeutic Medicine

Experimental and Therapeutic Medicine

Experimental and Therapeutic Medicine is an international journal devoted to laboratory and clinical medicine.

Oncology Letters

Oncology Letters

Oncology Letters is an international journal devoted to Experimental and Clinical Oncology.

Biomedical Reports

Biomedical Reports

Explores a wide range of biological and medical fields, including pharmacology, genetics, microbiology, neuroscience, and molecular cardiology.

Molecular and Clinical Oncology

Molecular and Clinical Oncology

International journal addressing all aspects of oncology research, from tumorigenesis and oncogenes to chemotherapy and metastasis.

World Academy of Sciences Journal

World Academy of Sciences Journal

Multidisciplinary open-access journal spanning biochemistry, genetics, neuroscience, environmental health, and synthetic biology.

International Journal of Functional Nutrition

International Journal of Functional Nutrition

Open-access journal combining biochemistry, pharmacology, immunology, and genetics to advance health through functional nutrition.

International Journal of Epigenetics

International Journal of Epigenetics

Publishes open-access research on using epigenetics to advance understanding and treatment of human disease.

Medicine International

Medicine International

An International Open Access Journal Devoted to General Medicine.

Journal Cover
October-2023 Volume 26 Issue 4

Full Size Image

Sign up for eToc alerts
Recommend to Library

  • Article
  • Citations
    • Cite This Article
    • Download Citation
    • Create Citation Alert
    • Remove Citation Alert
    • Cited By
  • Similar Articles
    • Related Articles (in Spandidos Publications)
    • Similar Articles (Google Scholar)
    • Similar Articles (PubMed)
  • Download PDF
  • Download XML
  • View XML
Case Report Open Access

Solitary choroidal metastasis of distal cholangiocarcinoma:
A case report

  • Authors:
    • Yukio Shimojima
    • Yuki Hirose
    • Tatsuya Nomura
    • Kabuto Takano
    • Hiroaki Hara
    • Takeo Bamba
    • Masaki Aizawa
    • Hitoshi Nogami
    • Atsushi Matsuki
    • Satoshi Maruyama
    • Yasumasa Takii
    • Hiroshi Yabusaki
    • Jun Sakata
    • Toshifumi Wakai
    • Shunichi Shiozawa
    • Satoru Nakagawa
  • View Affiliations / Copyright

    Affiliations: Department of Digestive Surgery, Niigata Cancer Center Hospital, Niigata 951‑8566, Japan, Department of Ophthalmology, Niigata Cancer Center Hospital, Niigata 951‑8566, Japan, Division of Digestive and General Surgery, Niigata University Graduate School of Medical and Dental Sciences, Niigata 951‑8510, Japan, Department of Surgery, Tokyo Women's Medical University, Adachi Medical Center, Tokyo 123‑8558, Japan
    Copyright: © Shimojima et al. This is an open access article distributed under the terms of Creative Commons Attribution License.
  • Article Number: 419
    |
    Published online on: August 10, 2023
       https://doi.org/10.3892/ol.2023.14004
  • Expand metrics +
Metrics: Total Views: 0 (Spandidos Publications: | PMC Statistics: )
Metrics: Total PDF Downloads: 0 (Spandidos Publications: | PMC Statistics: )
Cited By (CrossRef): 0 citations Loading Articles...

This article is mentioned in:



Abstract

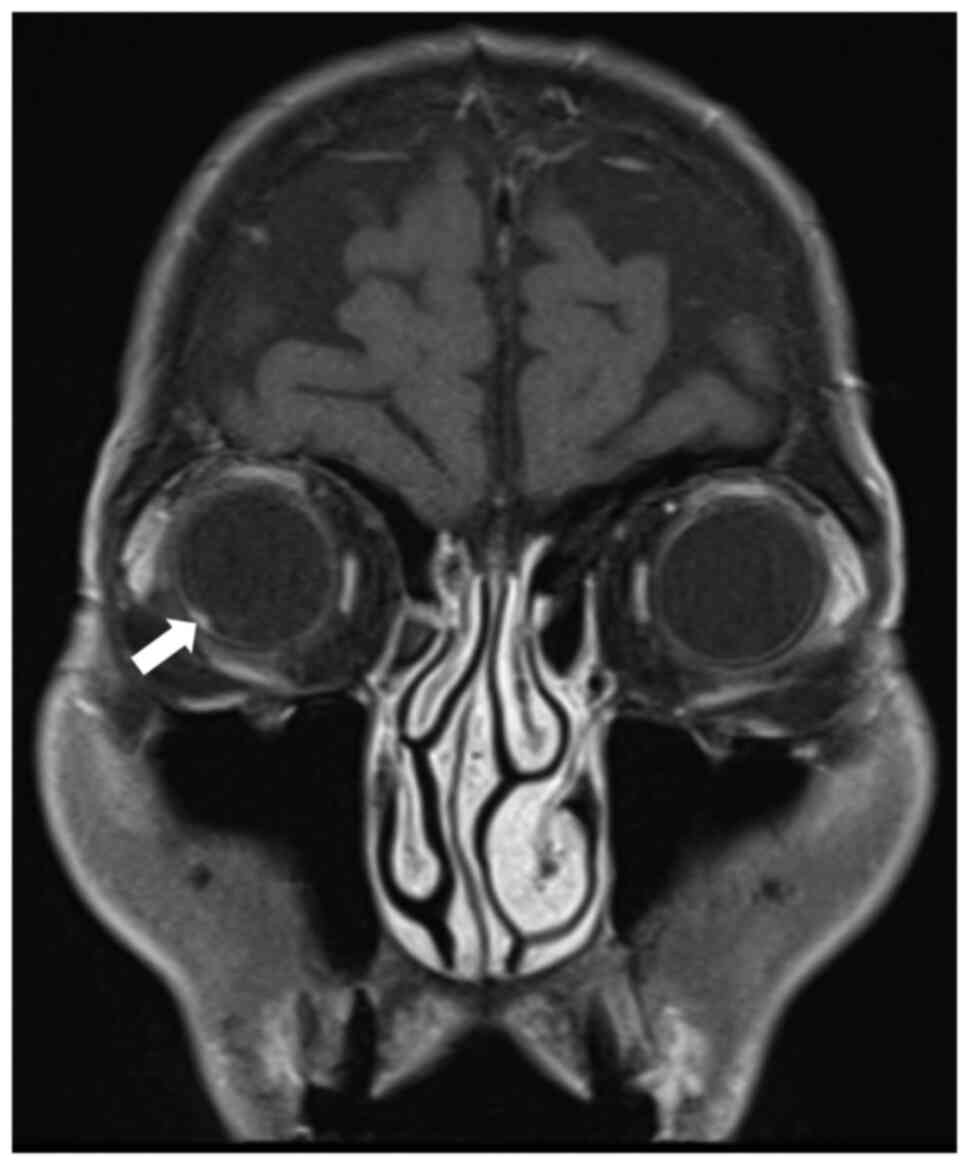
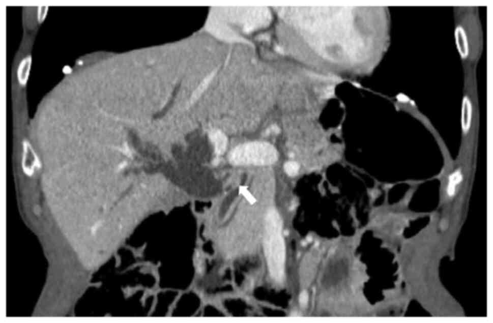
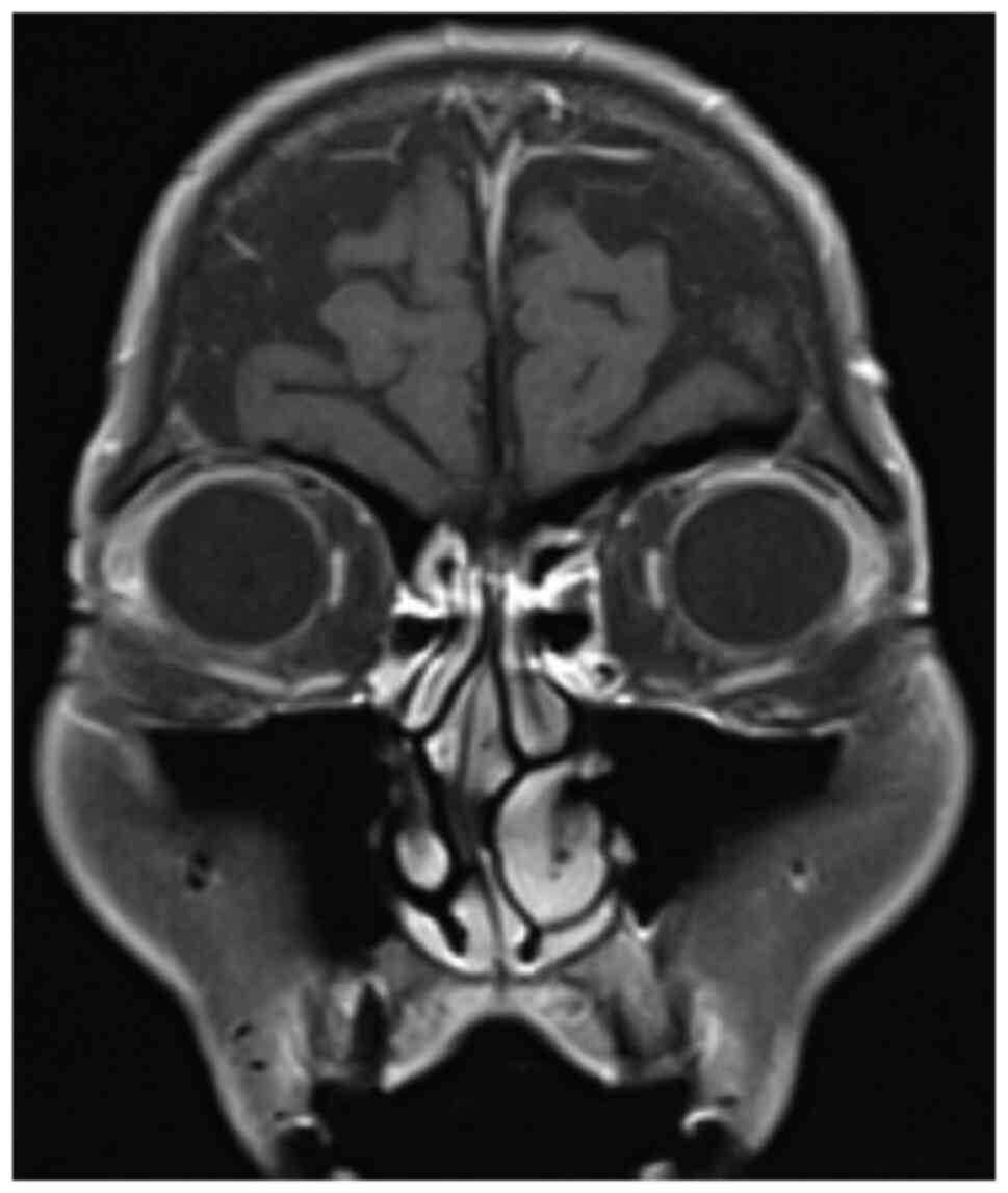
Metastatic choroidal carcinoma is rare and generally has a poor prognosis. The present case report describes a case of choroidal metastasis from distal cholangiocarcinoma, which was successfully managed using stereotactic radiotherapy (SRT). A 67‑year‑old Japanese man underwent pancreaticoduodenectomy for distal cholangiocarcinoma. The pathological stage was T2N0M0 stage ⅡA, according to the Union for International Cancer Control 8th edition. After surgery, the patient received adjuvant chemotherapy with oral TS‑1® for 1 month. A total of 2 months after surgery, the patient was readmitted to hospital due to decreased visual acuity. Fundoscopy revealed a macular hole in the right eye that accounted for the decreased visual acuity. Additionally, Goldmann three‑mirror contact lens examination revealed a 4‑mm choroidal mass with a yellowish color situated at a considerable distance from the optic nerve. Magnetic resonance imaging revealed an enhanced choroidal mass. Based on the findings of ophthalmologic examinations and the patient's history of cholangiocarcinoma, they were diagnosed with choroidal metastasis from distal cholangiocarcinoma. SRT was administered at a total dose of 40 Gy divided into 8 Gy fractions. A total of 1 year after SRT, the patient achieved complete remission without decreased visual acuity. The patient remains alive and in good health without recurrence, 4 years after the diagnosis of choroidal metastasis. To the best of our knowledge, this is the second reported case of intraocular metastasis from cholangiocarcinoma. In conclusion, SRT may provide an opportunity to control metastatic choroidal carcinoma without decreasing visual acuity.
View Figures

Figure 1

Figure 2

Figure 3

Figure 4

Figure 5

View References

1 

Wu SQ, Li QS, Zhang Y and Zhu LW: Spontaneous rupture of the eyeball due to choroidal metastasis of gastric carcinoma A case report. Medicine (Baltimore). 98:e174412019. View Article : Google Scholar : PubMed/NCBI

2 

Shields CL, Shields JA, Gross NE, Schwartz GP and Lally SE: Survey of 520 eyes with uveal metastases. Ophthalmology. 104:1265–1276. 1997. View Article : Google Scholar : PubMed/NCBI

3 

Lee J, Lee S, Sohn J and Yoon YH: Clinical features of uveal metastases in Korean patients. Retina. 23:491–494. 2003. View Article : Google Scholar : PubMed/NCBI

4 

Kurashige Y, Otani A and Yoshimura N: Choroidal metastasis of renal cell carcinoma: A case report. Jpn J Ophthalmol. 54:111–112. 2010. View Article : Google Scholar : PubMed/NCBI

5 

Reddy SC, Madhavan M and Mutum SS: Anterior uveal and episcleral metastases from carcinoma of the breast. Ophthalmologica. 214:368–372. 2000. View Article : Google Scholar : PubMed/NCBI

6 

Bellmann C, Fuss M, Holz FG, Debus J, Rohrschneider K, Völcker HE and Wannenmacher M: Stereotactic radiation therapy for malignant choroidal tumors: Preliminary, short-term results. Ophthalmology. 107:358–365. 2000. View Article : Google Scholar : PubMed/NCBI

7 

Shields CL, Welch RJ, Malik K, Acaba-Berrocal LA, Selzer EB, Newman JH, Mayro EL, Constantinescu AB, Spencer MA, McGarrey MP, et al: Uveal metastasis: Clinical features and survival outcome of 2214 tumors in 1111 patients based on primary tumor origin. Middle East Afr J Ophthalmol. 25:81–90. 2018. View Article : Google Scholar : PubMed/NCBI

8 

Jardel P, Sauerwein W, Olivier T, Bensoussan E, Maschi C, Lanza F, Mosci C, Gastaud L, Angellier G, Marcy PY, et al: Management of choroidal metastases. Cancer Treat Rev. 40:1119–1128. 2014. View Article : Google Scholar : PubMed/NCBI

9 

Stephens RF and Shields JA: Diagnosis and management of cancer metastatic to the uvea: A study of 70 cases. Ophthalmology. 86:1336–1349. 1979. View Article : Google Scholar : PubMed/NCBI

10 

Small W Jr: Management of ocular metastasis. Cancer Control. 5:326–332. 1998. View Article : Google Scholar : PubMed/NCBI

11 

Chen CJ, McCoy AN, Brahmer J and Handa JT: Emerging treatments for choroidal metastases. Surv Ophthalmol. 56:511–521. 2011. View Article : Google Scholar : PubMed/NCBI

12 

Okuma Y, Hosomi Y, Kitamura K, Iguchi M, Okamura T, Fukami S, Hishima T and Shibuya M: Choroidal metastasis in a patient with small cell lung cancer discovered during treatment with chemotherapy. Int J Clin Oncol. 14:541–544. 2009. View Article : Google Scholar : PubMed/NCBI

13 

Trikha R, Morse LS, Zawadzki RJ, Werner JS and Park SS: Ten-year follow-up of eyes treated with stereotactic fractionated external beam radiation for neovascular age-related macular degeneration. Retina. 31:1303–1315. 2011. View Article : Google Scholar : PubMed/NCBI

14 

Rudoler SB, Corn BW, Shields CL, De Potter P, Hyslop T, Shields JA and Curran WJ Jr: External beam irradiation for choroid metastases: Identification of factors predisposing to long-term sequelae. Int J Radiat Oncol Biol Phys. 38:251–256. 1997. View Article : Google Scholar : PubMed/NCBI

15 

Demirci H, Shields CL, Chao AN and Shields JA: Uveal metastasis from breast cancer in 264 patients. Am J Ophthalmol. 136:264–271. 2003. View Article : Google Scholar : PubMed/NCBI

16 

Guckenberger M, Baus WW, Blanck O, Combs SE, Debus J, Engenhart-Cabillic R, Gauer T, Grosu AL, Schmitt D, Tanadini-Lang S and Moustakis C: Definition and quality requirements for stereotactic radiotherapy: Consensus statement from the DEGRO/DGMP Working Group Stereotactic Radiotherapy and Radiosurgery. Strahlenther Onkol. 196:417–420. 2020. View Article : Google Scholar : PubMed/NCBI

17 

Haidar YM, Korn BS and Rose MA: Complete regression of a choroidal metastasis secondary to breast cancer with stereotactic radiation: Case report and review of literature. J Radiosurg SBRT. 2:155–164. 2013.PubMed/NCBI

18 

Komaya K, Ebata T, Shirai K, Ohira S, Morofuji N, Akutagawa A, Yamaguchi R and Nagino M; Nagoya Surgical Oncology Group, : Recurrence after resection with curative intent for distal cholangiocarcinoma. Br J Surg. 104:426–433. 2017. View Article : Google Scholar : PubMed/NCBI

19 

Kim K, Chie EK, Jang JY, Kim SW, Han SW, Oh DY, Im SA, Kim TY, Bang YJ and Ha SW: Distant metastasis risk stratification for patients undergoing curative resection followed by adjuvant chemoradiation for extrahepatic bile duct cancer. Int J Radiat Oncol Biol Phys. 84:81–87. 2012. View Article : Google Scholar : PubMed/NCBI

20 

Bhandare MS, Mondal A, Chaudhari V, Bal M, Yadav S, Ramaswamy A, Ostwal V, Shetty N and Shrikhande SV: Factors influencing local and distant recurrence following resection of periampullary cancer. Br J Surg. 108:427–434. 2021. View Article : Google Scholar : PubMed/NCBI

21 

Lee DH, Kim HJ, Cho CW, Yun SS and Lee DS: Factors influencing patterns of recurrence following pancreaticoduodenectomy for patients with distal bile duct cancer and ampulla of Vater cancer. Ann Hepatobiliary Pancreat Surg. 26:138–143. 2022. View Article : Google Scholar : PubMed/NCBI

Related Articles

  • Abstract
  • View
  • Download
  • Twitter
Copy and paste a formatted citation
Spandidos Publications style
Shimojima Y, Hirose Y, Nomura T, Takano K, Hara H, Bamba T, Aizawa M, Nogami H, Matsuki A, Maruyama S, Maruyama S, et al: Solitary choroidal metastasis of distal cholangiocarcinoma: <br />A case report. Oncol Lett 26: 419, 2023.
APA
Shimojima, Y., Hirose, Y., Nomura, T., Takano, K., Hara, H., Bamba, T. ... Nakagawa, S. (2023). Solitary choroidal metastasis of distal cholangiocarcinoma: <br />A case report. Oncology Letters, 26, 419. https://doi.org/10.3892/ol.2023.14004
MLA
Shimojima, Y., Hirose, Y., Nomura, T., Takano, K., Hara, H., Bamba, T., Aizawa, M., Nogami, H., Matsuki, A., Maruyama, S., Takii, Y., Yabusaki, H., Sakata, J., Wakai, T., Shiozawa, S., Nakagawa, S."Solitary choroidal metastasis of distal cholangiocarcinoma: <br />A case report". Oncology Letters 26.4 (2023): 419.
Chicago
Shimojima, Y., Hirose, Y., Nomura, T., Takano, K., Hara, H., Bamba, T., Aizawa, M., Nogami, H., Matsuki, A., Maruyama, S., Takii, Y., Yabusaki, H., Sakata, J., Wakai, T., Shiozawa, S., Nakagawa, S."Solitary choroidal metastasis of distal cholangiocarcinoma: <br />A case report". Oncology Letters 26, no. 4 (2023): 419. https://doi.org/10.3892/ol.2023.14004
Copy and paste a formatted citation
x
Spandidos Publications style
Shimojima Y, Hirose Y, Nomura T, Takano K, Hara H, Bamba T, Aizawa M, Nogami H, Matsuki A, Maruyama S, Maruyama S, et al: Solitary choroidal metastasis of distal cholangiocarcinoma: <br />A case report. Oncol Lett 26: 419, 2023.
APA
Shimojima, Y., Hirose, Y., Nomura, T., Takano, K., Hara, H., Bamba, T. ... Nakagawa, S. (2023). Solitary choroidal metastasis of distal cholangiocarcinoma: <br />A case report. Oncology Letters, 26, 419. https://doi.org/10.3892/ol.2023.14004
MLA
Shimojima, Y., Hirose, Y., Nomura, T., Takano, K., Hara, H., Bamba, T., Aizawa, M., Nogami, H., Matsuki, A., Maruyama, S., Takii, Y., Yabusaki, H., Sakata, J., Wakai, T., Shiozawa, S., Nakagawa, S."Solitary choroidal metastasis of distal cholangiocarcinoma: <br />A case report". Oncology Letters 26.4 (2023): 419.
Chicago
Shimojima, Y., Hirose, Y., Nomura, T., Takano, K., Hara, H., Bamba, T., Aizawa, M., Nogami, H., Matsuki, A., Maruyama, S., Takii, Y., Yabusaki, H., Sakata, J., Wakai, T., Shiozawa, S., Nakagawa, S."Solitary choroidal metastasis of distal cholangiocarcinoma: <br />A case report". Oncology Letters 26, no. 4 (2023): 419. https://doi.org/10.3892/ol.2023.14004
Follow us
  • Twitter
  • LinkedIn
  • Facebook
About
  • Spandidos Publications
  • Careers
  • Cookie Policy
  • Privacy Policy
How can we help?
  • Help
  • Live Chat
  • Contact
  • Email to our Support Team