Spandidos Publications Logo
  • About
    • About Spandidos
    • Aims and Scopes
    • Abstracting and Indexing
    • Editorial Policies
    • Reprints and Permissions
    • Job Opportunities
    • Terms and Conditions
    • Contact
  • Journals
    • All Journals
    • Oncology Letters
      • Oncology Letters
      • Information for Authors
      • Editorial Policies
      • Editorial Board
      • Aims and Scope
      • Abstracting and Indexing
      • Bibliographic Information
      • Archive
    • International Journal of Oncology
      • International Journal of Oncology
      • Information for Authors
      • Editorial Policies
      • Editorial Board
      • Aims and Scope
      • Abstracting and Indexing
      • Bibliographic Information
      • Archive
    • Molecular and Clinical Oncology
      • Molecular and Clinical Oncology
      • Information for Authors
      • Editorial Policies
      • Editorial Board
      • Aims and Scope
      • Abstracting and Indexing
      • Bibliographic Information
      • Archive
    • Experimental and Therapeutic Medicine
      • Experimental and Therapeutic Medicine
      • Information for Authors
      • Editorial Policies
      • Editorial Board
      • Aims and Scope
      • Abstracting and Indexing
      • Bibliographic Information
      • Archive
    • International Journal of Molecular Medicine
      • International Journal of Molecular Medicine
      • Information for Authors
      • Editorial Policies
      • Editorial Board
      • Aims and Scope
      • Abstracting and Indexing
      • Bibliographic Information
      • Archive
    • Biomedical Reports
      • Biomedical Reports
      • Information for Authors
      • Editorial Policies
      • Editorial Board
      • Aims and Scope
      • Abstracting and Indexing
      • Bibliographic Information
      • Archive
    • Oncology Reports
      • Oncology Reports
      • Information for Authors
      • Editorial Policies
      • Editorial Board
      • Aims and Scope
      • Abstracting and Indexing
      • Bibliographic Information
      • Archive
    • Molecular Medicine Reports
      • Molecular Medicine Reports
      • Information for Authors
      • Editorial Policies
      • Editorial Board
      • Aims and Scope
      • Abstracting and Indexing
      • Bibliographic Information
      • Archive
    • World Academy of Sciences Journal
      • World Academy of Sciences Journal
      • Information for Authors
      • Editorial Policies
      • Editorial Board
      • Aims and Scope
      • Abstracting and Indexing
      • Bibliographic Information
      • Archive
    • International Journal of Functional Nutrition
      • International Journal of Functional Nutrition
      • Information for Authors
      • Editorial Policies
      • Editorial Board
      • Aims and Scope
      • Abstracting and Indexing
      • Bibliographic Information
      • Archive
    • International Journal of Epigenetics
      • International Journal of Epigenetics
      • Information for Authors
      • Editorial Policies
      • Editorial Board
      • Aims and Scope
      • Abstracting and Indexing
      • Bibliographic Information
      • Archive
    • Medicine International
      • Medicine International
      • Information for Authors
      • Editorial Policies
      • Editorial Board
      • Aims and Scope
      • Abstracting and Indexing
      • Bibliographic Information
      • Archive
  • Articles
  • Information
    • Information for Authors
    • Information for Reviewers
    • Information for Librarians
    • Information for Advertisers
    • Conferences
  • Language Editing
Spandidos Publications Logo
  • About
    • About Spandidos
    • Aims and Scopes
    • Abstracting and Indexing
    • Editorial Policies
    • Reprints and Permissions
    • Job Opportunities
    • Terms and Conditions
    • Contact
  • Journals
    • All Journals
    • Biomedical Reports
      • Information for Authors
      • Editorial Policies
      • Editorial Board
      • Aims and Scope
      • Abstracting and Indexing
      • Bibliographic Information
      • Archive
    • Experimental and Therapeutic Medicine
      • Information for Authors
      • Editorial Policies
      • Editorial Board
      • Aims and Scope
      • Abstracting and Indexing
      • Bibliographic Information
      • Archive
    • International Journal of Epigenetics
      • Information for Authors
      • Editorial Policies
      • Editorial Board
      • Aims and Scope
      • Abstracting and Indexing
      • Bibliographic Information
      • Archive
    • International Journal of Functional Nutrition
      • Information for Authors
      • Editorial Policies
      • Editorial Board
      • Aims and Scope
      • Abstracting and Indexing
      • Bibliographic Information
      • Archive
    • International Journal of Molecular Medicine
      • Information for Authors
      • Editorial Policies
      • Editorial Board
      • Aims and Scope
      • Abstracting and Indexing
      • Bibliographic Information
      • Archive
    • International Journal of Oncology
      • Information for Authors
      • Editorial Policies
      • Editorial Board
      • Aims and Scope
      • Abstracting and Indexing
      • Bibliographic Information
      • Archive
    • Medicine International
      • Information for Authors
      • Editorial Policies
      • Editorial Board
      • Aims and Scope
      • Abstracting and Indexing
      • Bibliographic Information
      • Archive
    • Molecular and Clinical Oncology
      • Information for Authors
      • Editorial Policies
      • Editorial Board
      • Aims and Scope
      • Abstracting and Indexing
      • Bibliographic Information
      • Archive
    • Molecular Medicine Reports
      • Information for Authors
      • Editorial Policies
      • Editorial Board
      • Aims and Scope
      • Abstracting and Indexing
      • Bibliographic Information
      • Archive
    • Oncology Letters
      • Information for Authors
      • Editorial Policies
      • Editorial Board
      • Aims and Scope
      • Abstracting and Indexing
      • Bibliographic Information
      • Archive
    • Oncology Reports
      • Information for Authors
      • Editorial Policies
      • Editorial Board
      • Aims and Scope
      • Abstracting and Indexing
      • Bibliographic Information
      • Archive
    • World Academy of Sciences Journal
      • Information for Authors
      • Editorial Policies
      • Editorial Board
      • Aims and Scope
      • Abstracting and Indexing
      • Bibliographic Information
      • Archive
  • Articles
  • Information
    • For Authors
    • For Reviewers
    • For Librarians
    • For Advertisers
    • Conferences
  • Language Editing
Login Register Submit
  • This site uses cookies
  • You can change your cookie settings at any time by following the instructions in our Cookie Policy. To find out more, you may read our Privacy Policy.

    I agree
Search articles by DOI, keyword, author or affiliation
Search
Advanced Search
presentation
Oncology Letters
Join Editorial Board Propose a Special Issue
Print ISSN: 1792-1074 Online ISSN: 1792-1082
Journal Cover
October-2023 Volume 26 Issue 4

Full Size Image

Sign up for eToc alerts
Recommend to Library

Journals

International Journal of Molecular Medicine

International Journal of Molecular Medicine

International Journal of Molecular Medicine is an international journal devoted to molecular mechanisms of human disease.

International Journal of Oncology

International Journal of Oncology

International Journal of Oncology is an international journal devoted to oncology research and cancer treatment.

Molecular Medicine Reports

Molecular Medicine Reports

Covers molecular medicine topics such as pharmacology, pathology, genetics, neuroscience, infectious diseases, molecular cardiology, and molecular surgery.

Oncology Reports

Oncology Reports

Oncology Reports is an international journal devoted to fundamental and applied research in Oncology.

Experimental and Therapeutic Medicine

Experimental and Therapeutic Medicine

Experimental and Therapeutic Medicine is an international journal devoted to laboratory and clinical medicine.

Oncology Letters

Oncology Letters

Oncology Letters is an international journal devoted to Experimental and Clinical Oncology.

Biomedical Reports

Biomedical Reports

Explores a wide range of biological and medical fields, including pharmacology, genetics, microbiology, neuroscience, and molecular cardiology.

Molecular and Clinical Oncology

Molecular and Clinical Oncology

International journal addressing all aspects of oncology research, from tumorigenesis and oncogenes to chemotherapy and metastasis.

World Academy of Sciences Journal

World Academy of Sciences Journal

Multidisciplinary open-access journal spanning biochemistry, genetics, neuroscience, environmental health, and synthetic biology.

International Journal of Functional Nutrition

International Journal of Functional Nutrition

Open-access journal combining biochemistry, pharmacology, immunology, and genetics to advance health through functional nutrition.

International Journal of Epigenetics

International Journal of Epigenetics

Publishes open-access research on using epigenetics to advance understanding and treatment of human disease.

Medicine International

Medicine International

An International Open Access Journal Devoted to General Medicine.

Journal Cover
October-2023 Volume 26 Issue 4

Full Size Image

Sign up for eToc alerts
Recommend to Library

  • Article
  • Citations
    • Cite This Article
    • Download Citation
    • Create Citation Alert
    • Remove Citation Alert
    • Cited By
  • Similar Articles
    • Related Articles (in Spandidos Publications)
    • Similar Articles (Google Scholar)
    • Similar Articles (PubMed)
  • Download PDF
  • Download XML
  • View XML
Case Report

Management of brain metastasis from rectal cancer using whole‑brain radiation therapy followed by bevacizumab and chemotherapy: A case report

  • Authors:
    • Hung Van Nguyen
    • Duong Thuy Phung
    • Trung Thanh Nguyen
    • Bach Trung Tran
    • Kim Ngan Thi Mai
    • Huy Le Trinh
  • View Affiliations / Copyright

    Affiliations: Department of Oncology and Palliative Care, Hanoi Medical University Hospital, Hanoi 100000, Vietnam, Department of Oncology, Hanoi Medical University, Hanoi 100000, Vietnam
  • Article Number: 446
    |
    Published online on: August 30, 2023
       https://doi.org/10.3892/ol.2023.14033
  • Expand metrics +
Metrics: Total Views: 0 (Spandidos Publications: | PMC Statistics: )
Metrics: Total PDF Downloads: 0 (Spandidos Publications: | PMC Statistics: )
Cited By (CrossRef): 0 citations Loading Articles...

This article is mentioned in:



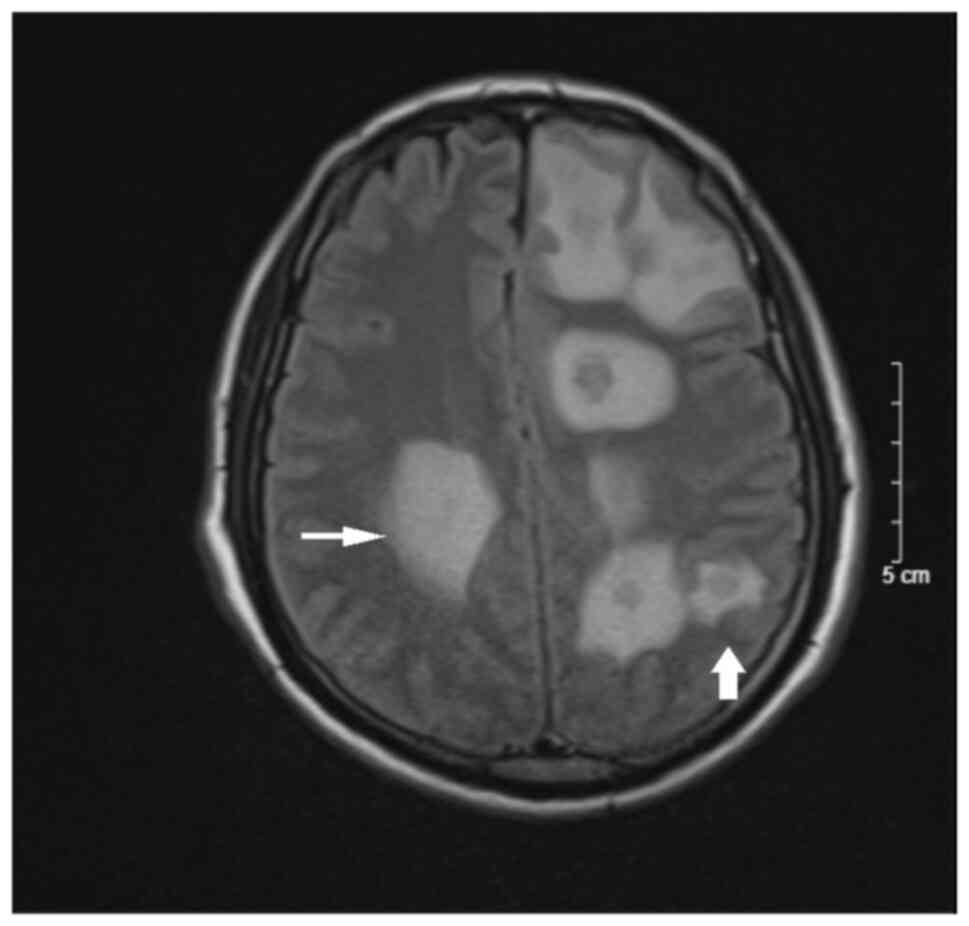
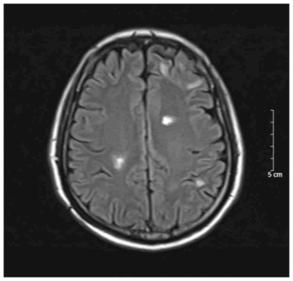
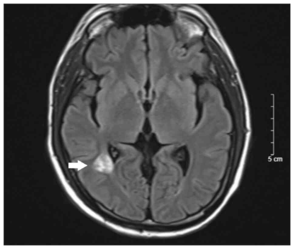
Abstract

Brain metastases in colorectal cancer are uncommon, which has resulted in a shortage of data concerning their screening and management. Multiple therapeutic modalities with chemotherapy, chemoradiation and targeted therapy, including bevacizumab and cetuximab regimens, have shown promising results. The present study describes the case of a 47‑year‑old male, diagnosed with T4N2M1 rectal cancer who underwent systemic therapy with modified FOLFOXIRI and cetuximab. The patient achieved a complete clinical response after 12 cycles. Following the discontinuation of cetuximab, the patient was given capecitabine as a maintenance therapy and subsequently developed brain metastasis. The patient received whole‑brain radiation therapy (WBRT) followed by a bevacizumab plus FOLFIRI regimen. The patient showed a good response as revealed by cranial magnetic resonance imaging, with a reduction in lesion size and no sign of cerebral edema. In addition, the patient maintained a stable neurological condition for >10 months. These findings suggest that the early detection of brain metastases requires the close monitoring of neurological symptoms. In addition, WBRT followed by bevacizumab and chemotherapy is a potential management plan for brain metastasis from rectal cancer.
View Figures

Figure 1

Figure 2

Figure 3

Figure 4

View References

1 

Riihimäki M, Hemminki A, Sundquist J and Hemminki K: Patterns of metastasis in colon and rectal cancer. Sci Rep. 6:297652016. View Article : Google Scholar : PubMed/NCBI

2 

Walasek T, Reinfuss M, Kurzynski M, Pluta E, Patla A, Mituś JW and Sas-Korczyńska B: Brain metastasis from colorectal carcinoma. Clinical picture, treatment and prognosis. Oncol Radiother. 2:11–16. 2018.

3 

Müller S, Köhler F, Hendricks A, Kastner C, Börner K, Diers J, Lock JF, Petritsch B, Germer CT and Wiegering A: Brain metastases from colorectal cancer: A systematic review of the literature and meta-analysis to establish a guideline for daily treatment. Cancers (Basel). 13:9002021. View Article : Google Scholar : PubMed/NCBI

4 

Imaizumi J, Shida D, Narita Y, Miyakita Y, Tanabe T, Takashima A, Boku N, Igaki H, Itami J and Kanemitsu Y: Prognostic factors of brain metastases from colorectal cancer. BMC Cancer. 19:7552019. View Article : Google Scholar : PubMed/NCBI

5 

Benson AB, Venook AP, Al-Hawary MM, Azad N, Chen YJ, Ciombor KK, Cohen S, Cooper HS, Deming D, Garrido-Laguna I, et al: Rectal cancer, version 2.2022, NCCN clinical practice guidelines in oncology. J Natl Compr Canc Netw. 20:1139–1167. 2022. View Article : Google Scholar : PubMed/NCBI

6 

Yoshino T, Cervantes A, Bando H, Martinelli E, Oki E, Xu RH, Mulansari NA, Govind Babu K, Lee MA, Tan CK, et al: Pan-Asian adapted ESMO clinical practice guidelines for the diagnosis, treatment and follow-up of patients with metastatic colorectal cancer. ESMO Open. 8:1015582023. View Article : Google Scholar : PubMed/NCBI

7 

Shindorf ML, Jafferji MS and Goff SL: Incidence of asymptomatic brain metastases in metastatic colorectal cancer. Clin Colorectal Cancer. 19:263–269. 2020. View Article : Google Scholar : PubMed/NCBI

8 

Ko FC, Liu JM, Chen WS, Chiang JK, Lin TC and Lin JK: Risk and patterns of brain metastases in colorectal cancer: 27-Year experience. Dis Colon Rectum. 42:1467–1471. 1999. View Article : Google Scholar : PubMed/NCBI

9 

Falcone A, Ricci S, Brunetti I, Pfanner E, Allegrini G, Barbara C, Crinò L, Benedetti G, Evangelista W, Fanchini L, et al: Phase III trial of infusional fluorouracil, leucovorin, oxaliplatin, and irinotecan (FOLFOXIRI) compared with infusional fluorouracil, leucovorin, and irinotecan (FOLFIRI) as first-line treatment for metastatic colorectal cancer: The gruppo oncologico nord ovest. J Clin Oncol. 25:1670–1676. 2007. View Article : Google Scholar : PubMed/NCBI

10 

Heinemann V, von Weikersthal LF, Decker T, Kiani A, Kaiser F, Al-Batran SE, Heintges T, Lerchenmüller C, Kahl C, Seipelt G, et al: FOLFIRI plus cetuximab or bevacizumab for advanced colorectal cancer: Final survival and per-protocol analysis of FIRE-3, a randomised clinical trial. Br J Cancer. 124:587–594. 2021. View Article : Google Scholar : PubMed/NCBI

11 

Kazama K, Shiozawa M, Numata M, Sugano N, Sato S, Uchiyama M, Sato M, Aoyama T, Tamagawa H, Oshima T, et al: Comparison of safety and efficacy of fluorouracil + oxaliplatin + irinotecan (FOLFOXIRI) and modified FOLFOXIRI with bevacizumab for metastatic colorectal cancer: Data from clinical practice. Int J Colorectal Dis. 37:337–348. 2022. View Article : Google Scholar : PubMed/NCBI

12 

Yuan M, Wang Z, Zhao Y, Feng T, Lv W and Zhong H: Cetuximab can be an effective and low-toxicity maintenance treatment drug in patients with metastatic colorectal cancer: A real-world study of Zhejiang cancer hospital. Front Pharmacol. 12:6320762021. View Article : Google Scholar : PubMed/NCBI

13 

Luo HY, Li YH, Wang W, Wang ZQ, Yuan X, Ma D, Wang FH, Zhang DS, Lin DR, Lin YC, et al: Single-agent capecitabine as maintenance therapy after induction of XELOX (or FOLFOX) in first-line treatment of metastatic colorectal cancer: Randomized clinical trial of efficacy and safety. Ann Oncol. 27:1074–1081. 2016. View Article : Google Scholar : PubMed/NCBI

14 

Vogelbaum MA, Brown PD, Messersmith H, Brastianos PK, Burri S, Cahill D, Dunn IF, Gaspar LE, Gatson NTN, Gondi V, et al: Treatment for brain metastases: ASCO-SNO-ASTRO guideline. J Clin Oncol. 40:492–516. 2022. View Article : Google Scholar : PubMed/NCBI

15 

Damiens K, Ayoub JPM, Lemieux B, Aubin F, Saliba W, Campeau MP and Tehfe M: Clinical features and course of brain metastases in colorectal cancer: An experience from a single institution. Curr Oncol. 19:254–258. 2012. View Article : Google Scholar : PubMed/NCBI

16 

Koo T, Kim K, Park HJ, Han SW, Kim TY, Jeong SY, Park KJ and Chie EK: Prognostic factors for survival in colorectal cancer patients with brain metastases undergoing whole brain radiotherapy: Multicenter retrospective study. Sci Rep. 10:43402020. View Article : Google Scholar : PubMed/NCBI

17 

Ascha MS, Wang JF, Kumthekar P, Sloan AE, Kruchko C and Barnholtz-Sloan JS: Bevacizumab for the treatment of non-small cell lung cancer patients with synchronous brain metastases. Sci Rep. 9:177922019. View Article : Google Scholar : PubMed/NCBI

18 

Berghoff AS, Breckwoldt MO, Riedemann L, Karimian-Jazi K, Loew S, Schlieter F, Furtner J, Cinci M, Thomas M, Strowitzki MJ, et al: Bevacizumab-based treatment as salvage therapy in patients with recurrent symptomatic brain metastases. Neurooncol Adv 2. vdaa0382020.PubMed/NCBI

19 

Chacko AM, Li C, Pryma DA, Brem S, Coukos G and Muzykantov V: Targeted delivery of antibody-based therapeutic and imaging agents to CNS tumors: Crossing the blood-brain barrier divide. Expert Opin Drug Deliv. 10:907–926. 2013. View Article : Google Scholar : PubMed/NCBI

20 

Finkelmeier F, You SJ, Waidmann O, Wolff R, Zeuzem S, Bähr O and Trojan J: Bevacizumab in combination with chemotherapy for colorectal brain metastasis. J Gastrointest Cancer. 47:82–88. 2016. View Article : Google Scholar : PubMed/NCBI

21 

Li W, Wang T, Zhu Y, Yu H, Ma L, Ding Y, Hong G and Lei D: Brain metastasis from colorectal cancer: Treatment, survival, and prognosis. Medicine (Baltimore). 101:e302732022. View Article : Google Scholar : PubMed/NCBI

22 

Chahine G, Ibrahim T, Felefly T, El-Ahmadie A, Freiha P, El-Khoury L, Khalife-Saleh N and Saleh K: Colorectal cancer and brain metastases: An aggressive disease with a different response to treatment. Tumori J. 105:427–433. 2019. View Article : Google Scholar : PubMed/NCBI

Related Articles

  • Abstract
  • View
  • Download
  • Twitter
Copy and paste a formatted citation
Spandidos Publications style
Nguyen HV, Phung DT, Nguyen TT, Tran BT, Thi Mai KN and Trinh HL: Management of brain metastasis from rectal cancer using whole‑brain radiation therapy followed by bevacizumab and chemotherapy: A case report. Oncol Lett 26: 446, 2023.
APA
Nguyen, H.V., Phung, D.T., Nguyen, T.T., Tran, B.T., Thi Mai, K.N., & Trinh, H.L. (2023). Management of brain metastasis from rectal cancer using whole‑brain radiation therapy followed by bevacizumab and chemotherapy: A case report. Oncology Letters, 26, 446. https://doi.org/10.3892/ol.2023.14033
MLA
Nguyen, H. V., Phung, D. T., Nguyen, T. T., Tran, B. T., Thi Mai, K. N., Trinh, H. L."Management of brain metastasis from rectal cancer using whole‑brain radiation therapy followed by bevacizumab and chemotherapy: A case report". Oncology Letters 26.4 (2023): 446.
Chicago
Nguyen, H. V., Phung, D. T., Nguyen, T. T., Tran, B. T., Thi Mai, K. N., Trinh, H. L."Management of brain metastasis from rectal cancer using whole‑brain radiation therapy followed by bevacizumab and chemotherapy: A case report". Oncology Letters 26, no. 4 (2023): 446. https://doi.org/10.3892/ol.2023.14033
Copy and paste a formatted citation
x
Spandidos Publications style
Nguyen HV, Phung DT, Nguyen TT, Tran BT, Thi Mai KN and Trinh HL: Management of brain metastasis from rectal cancer using whole‑brain radiation therapy followed by bevacizumab and chemotherapy: A case report. Oncol Lett 26: 446, 2023.
APA
Nguyen, H.V., Phung, D.T., Nguyen, T.T., Tran, B.T., Thi Mai, K.N., & Trinh, H.L. (2023). Management of brain metastasis from rectal cancer using whole‑brain radiation therapy followed by bevacizumab and chemotherapy: A case report. Oncology Letters, 26, 446. https://doi.org/10.3892/ol.2023.14033
MLA
Nguyen, H. V., Phung, D. T., Nguyen, T. T., Tran, B. T., Thi Mai, K. N., Trinh, H. L."Management of brain metastasis from rectal cancer using whole‑brain radiation therapy followed by bevacizumab and chemotherapy: A case report". Oncology Letters 26.4 (2023): 446.
Chicago
Nguyen, H. V., Phung, D. T., Nguyen, T. T., Tran, B. T., Thi Mai, K. N., Trinh, H. L."Management of brain metastasis from rectal cancer using whole‑brain radiation therapy followed by bevacizumab and chemotherapy: A case report". Oncology Letters 26, no. 4 (2023): 446. https://doi.org/10.3892/ol.2023.14033
Follow us
  • Twitter
  • LinkedIn
  • Facebook
About
  • Spandidos Publications
  • Careers
  • Cookie Policy
  • Privacy Policy
How can we help?
  • Help
  • Live Chat
  • Contact
  • Email to our Support Team