Spandidos Publications Logo
  • About
    • About Spandidos
    • Aims and Scopes
    • Abstracting and Indexing
    • Editorial Policies
    • Reprints and Permissions
    • Job Opportunities
    • Terms and Conditions
    • Contact
  • Journals
    • All Journals
    • Oncology Letters
      • Oncology Letters
      • Information for Authors
      • Editorial Policies
      • Editorial Board
      • Aims and Scope
      • Abstracting and Indexing
      • Bibliographic Information
      • Archive
    • International Journal of Oncology
      • International Journal of Oncology
      • Information for Authors
      • Editorial Policies
      • Editorial Board
      • Aims and Scope
      • Abstracting and Indexing
      • Bibliographic Information
      • Archive
    • Molecular and Clinical Oncology
      • Molecular and Clinical Oncology
      • Information for Authors
      • Editorial Policies
      • Editorial Board
      • Aims and Scope
      • Abstracting and Indexing
      • Bibliographic Information
      • Archive
    • Experimental and Therapeutic Medicine
      • Experimental and Therapeutic Medicine
      • Information for Authors
      • Editorial Policies
      • Editorial Board
      • Aims and Scope
      • Abstracting and Indexing
      • Bibliographic Information
      • Archive
    • International Journal of Molecular Medicine
      • International Journal of Molecular Medicine
      • Information for Authors
      • Editorial Policies
      • Editorial Board
      • Aims and Scope
      • Abstracting and Indexing
      • Bibliographic Information
      • Archive
    • Biomedical Reports
      • Biomedical Reports
      • Information for Authors
      • Editorial Policies
      • Editorial Board
      • Aims and Scope
      • Abstracting and Indexing
      • Bibliographic Information
      • Archive
    • Oncology Reports
      • Oncology Reports
      • Information for Authors
      • Editorial Policies
      • Editorial Board
      • Aims and Scope
      • Abstracting and Indexing
      • Bibliographic Information
      • Archive
    • Molecular Medicine Reports
      • Molecular Medicine Reports
      • Information for Authors
      • Editorial Policies
      • Editorial Board
      • Aims and Scope
      • Abstracting and Indexing
      • Bibliographic Information
      • Archive
    • World Academy of Sciences Journal
      • World Academy of Sciences Journal
      • Information for Authors
      • Editorial Policies
      • Editorial Board
      • Aims and Scope
      • Abstracting and Indexing
      • Bibliographic Information
      • Archive
    • International Journal of Functional Nutrition
      • International Journal of Functional Nutrition
      • Information for Authors
      • Editorial Policies
      • Editorial Board
      • Aims and Scope
      • Abstracting and Indexing
      • Bibliographic Information
      • Archive
    • International Journal of Epigenetics
      • International Journal of Epigenetics
      • Information for Authors
      • Editorial Policies
      • Editorial Board
      • Aims and Scope
      • Abstracting and Indexing
      • Bibliographic Information
      • Archive
    • Medicine International
      • Medicine International
      • Information for Authors
      • Editorial Policies
      • Editorial Board
      • Aims and Scope
      • Abstracting and Indexing
      • Bibliographic Information
      • Archive
  • Articles
  • Information
    • Information for Authors
    • Information for Reviewers
    • Information for Librarians
    • Information for Advertisers
    • Conferences
  • Language Editing
Spandidos Publications Logo
  • About
    • About Spandidos
    • Aims and Scopes
    • Abstracting and Indexing
    • Editorial Policies
    • Reprints and Permissions
    • Job Opportunities
    • Terms and Conditions
    • Contact
  • Journals
    • All Journals
    • Biomedical Reports
      • Information for Authors
      • Editorial Policies
      • Editorial Board
      • Aims and Scope
      • Abstracting and Indexing
      • Bibliographic Information
      • Archive
    • Experimental and Therapeutic Medicine
      • Information for Authors
      • Editorial Policies
      • Editorial Board
      • Aims and Scope
      • Abstracting and Indexing
      • Bibliographic Information
      • Archive
    • International Journal of Epigenetics
      • Information for Authors
      • Editorial Policies
      • Editorial Board
      • Aims and Scope
      • Abstracting and Indexing
      • Bibliographic Information
      • Archive
    • International Journal of Functional Nutrition
      • Information for Authors
      • Editorial Policies
      • Editorial Board
      • Aims and Scope
      • Abstracting and Indexing
      • Bibliographic Information
      • Archive
    • International Journal of Molecular Medicine
      • Information for Authors
      • Editorial Policies
      • Editorial Board
      • Aims and Scope
      • Abstracting and Indexing
      • Bibliographic Information
      • Archive
    • International Journal of Oncology
      • Information for Authors
      • Editorial Policies
      • Editorial Board
      • Aims and Scope
      • Abstracting and Indexing
      • Bibliographic Information
      • Archive
    • Medicine International
      • Information for Authors
      • Editorial Policies
      • Editorial Board
      • Aims and Scope
      • Abstracting and Indexing
      • Bibliographic Information
      • Archive
    • Molecular and Clinical Oncology
      • Information for Authors
      • Editorial Policies
      • Editorial Board
      • Aims and Scope
      • Abstracting and Indexing
      • Bibliographic Information
      • Archive
    • Molecular Medicine Reports
      • Information for Authors
      • Editorial Policies
      • Editorial Board
      • Aims and Scope
      • Abstracting and Indexing
      • Bibliographic Information
      • Archive
    • Oncology Letters
      • Information for Authors
      • Editorial Policies
      • Editorial Board
      • Aims and Scope
      • Abstracting and Indexing
      • Bibliographic Information
      • Archive
    • Oncology Reports
      • Information for Authors
      • Editorial Policies
      • Editorial Board
      • Aims and Scope
      • Abstracting and Indexing
      • Bibliographic Information
      • Archive
    • World Academy of Sciences Journal
      • Information for Authors
      • Editorial Policies
      • Editorial Board
      • Aims and Scope
      • Abstracting and Indexing
      • Bibliographic Information
      • Archive
  • Articles
  • Information
    • For Authors
    • For Reviewers
    • For Librarians
    • For Advertisers
    • Conferences
  • Language Editing
Login Register Submit
  • This site uses cookies
  • You can change your cookie settings at any time by following the instructions in our Cookie Policy. To find out more, you may read our Privacy Policy.

    I agree
Search articles by DOI, keyword, author or affiliation
Search
Advanced Search
presentation
Oncology Letters
Join Editorial Board Propose a Special Issue
Print ISSN: 1792-1074 Online ISSN: 1792-1082
Journal Cover
October-2023 Volume 26 Issue 4

Full Size Image

Sign up for eToc alerts
Recommend to Library

Journals

International Journal of Molecular Medicine

International Journal of Molecular Medicine

International Journal of Molecular Medicine is an international journal devoted to molecular mechanisms of human disease.

International Journal of Oncology

International Journal of Oncology

International Journal of Oncology is an international journal devoted to oncology research and cancer treatment.

Molecular Medicine Reports

Molecular Medicine Reports

Covers molecular medicine topics such as pharmacology, pathology, genetics, neuroscience, infectious diseases, molecular cardiology, and molecular surgery.

Oncology Reports

Oncology Reports

Oncology Reports is an international journal devoted to fundamental and applied research in Oncology.

Experimental and Therapeutic Medicine

Experimental and Therapeutic Medicine

Experimental and Therapeutic Medicine is an international journal devoted to laboratory and clinical medicine.

Oncology Letters

Oncology Letters

Oncology Letters is an international journal devoted to Experimental and Clinical Oncology.

Biomedical Reports

Biomedical Reports

Explores a wide range of biological and medical fields, including pharmacology, genetics, microbiology, neuroscience, and molecular cardiology.

Molecular and Clinical Oncology

Molecular and Clinical Oncology

International journal addressing all aspects of oncology research, from tumorigenesis and oncogenes to chemotherapy and metastasis.

World Academy of Sciences Journal

World Academy of Sciences Journal

Multidisciplinary open-access journal spanning biochemistry, genetics, neuroscience, environmental health, and synthetic biology.

International Journal of Functional Nutrition

International Journal of Functional Nutrition

Open-access journal combining biochemistry, pharmacology, immunology, and genetics to advance health through functional nutrition.

International Journal of Epigenetics

International Journal of Epigenetics

Publishes open-access research on using epigenetics to advance understanding and treatment of human disease.

Medicine International

Medicine International

An International Open Access Journal Devoted to General Medicine.

Journal Cover
October-2023 Volume 26 Issue 4

Full Size Image

Sign up for eToc alerts
Recommend to Library

  • Article
  • Citations
    • Cite This Article
    • Download Citation
    • Create Citation Alert
    • Remove Citation Alert
    • Cited By
  • Similar Articles
    • Related Articles (in Spandidos Publications)
    • Similar Articles (Google Scholar)
    • Similar Articles (PubMed)
  • Download PDF
  • Download XML
  • View XML
Case Report Open Access

Laparoscopic hepatopancreatoduodenectomy for synchronous intrahepatic and extrahepatic cholangiocarcinoma: A case report

  • Authors:
    • Bo Wu
    • Yang Bai
    • Shi'an Yu
  • View Affiliations / Copyright

    Affiliations: Department of Hepatobiliary and Pancreatic Surgery, Affiliated Jinhua Hospital, Zhejiang University School of Medicine, Jinhua, Zhejiang 321099, P.R. China, Department of Surgery, The Second Affiliated Hospital, Zhejiang University School of Medicine, Hangzhou, Zhejiang 310009, P.R. China, Department of Hepatobiliary and Pancreatic Surgery, Affiliated Jinhua Hospital, Zhejiang University School of Medicine, Jinhua, Zhejiang 321099, P.R. China
    Copyright: © Wu et al. This is an open access article distributed under the terms of Creative Commons Attribution License.
  • Article Number: 449
    |
    Published online on: August 31, 2023
       https://doi.org/10.3892/ol.2023.14036
  • Expand metrics +
Metrics: Total Views: 0 (Spandidos Publications: | PMC Statistics: )
Metrics: Total PDF Downloads: 0 (Spandidos Publications: | PMC Statistics: )
Cited By (CrossRef): 0 citations Loading Articles...

This article is mentioned in:



Abstract

Laparoscopic hepatopancreatoduodenectomy (LHPD) is a complex surgical procedure with high rates of complications and mortality and is performed in a limited number of medical centers. The present study reports a case of a synchronous primary malignant tumor of the left hepatic common bile ducts. A 63‑year‑old male was admitted to Affiliated Jinhua Hospital, Zhejiang University School of Medicine (Jinhua, China) with a 1 week history of right upper abdominal distension and pain associated with yellow sclera. Preoperative CT and MRI imaging demonstrated a synchronous primary malignant tumor of the left hepatic and common bile ducts; therefore, laparoscopic left hemihepatectomy and pancreaticoduodenectomy were performed. There was no biliary or pancreatic leakage following the operation and the patient was discharged 16 days later. Postoperative pathology verified that the synchronous primary cholangiocarcinoma originated in the left hepatic and common bile ducts. Therefore, LHPD for synchronous primary cholangiocarcinoma may be a safe and feasible treatment for this condition.

Introduction

Hepatopancreatoduodenectomy (HPD), first reported in 1974 for the treatment of locally advanced gallbladder cancer, is currently performed in a limited number of medical centers due to the complexity of the operation, high incidence of complications and high mortality rate (1). HPD has a high surgical resection rate. According to literature reports (2,3), in 1979 to 1996, among 32 patients who underwent HPD surgery, radical resection can reach 20 patients (63%). However, due to immature surgical experience and medical equipment, complications occurred in 29 patients (91%) and perioperative deaths occurred in 15 patients (47%) after surgery. With the advancement of surgical technology and the accumulation of experience, clinical doctors have reduced the surgical resection range, achieving the same cure rate while significantly reducing the incidence of postoperative complications and mortality. Over the following eight years, the incidence of postoperative complications decreased to 31% and the postoperative mortality rate decreased to zero (2). With the progress of laparoscopic technology, various types of complex laparoscopic hepatectomy and laparoscopic pancreaticoduodenectomy have been widely used, but there are few reports on the use of laparoscopic HPD (LHPD) (3–6). To the best of our knowledge, the present study is the first to report a synchronous primary malignant tumor originating in the left hepatic and common bile ducts treated using LHPD.

Case presentation

A 63-year-old male was admitted to Affiliated Jinhua Hospital, Zhejiang University School of Medicine (Jinhua, China) in October 2022 with right upper abdominal distension and pain associated with yellow sclera for 1 week. Physical examination demonstrated yellow skin and sclera. Laboratory testing demonstrated that bilirubin and transaminase levels were elevated and tumor marker testing demonstrated elevated CA199 levels (Table I). Upper abdominal enhanced computed tomography (CT; Fig. 1), enhanced magnetic resonance imaging (MRI) and magnetic resonance cholangiopancreatogram (MRCP; Fig. 2) demonstrated that the local wall of the middle and lower segments of the common bile duct were thickened, the lumen was narrow and the enhancement of common bile duct wall was visible. The intrahepatic and extrahepatic bile ducts above the stenosis were dilated, local wall of the left hepatic duct was thickened and the enhancement of left hepatic duct wall was visible. After reviewing patient medical history and imaging, the patient was diagnosed with cholangiocarcinoma arising in the left liver and in the middle and lower segment of the common bile duct. The liver function was Child B grade according to the Child-Pugh classification (7), therefore, laparoscopic left hemihepatectomy and caudate lobectomy and pancreatoduodenectomy were performed.

Figure 1.

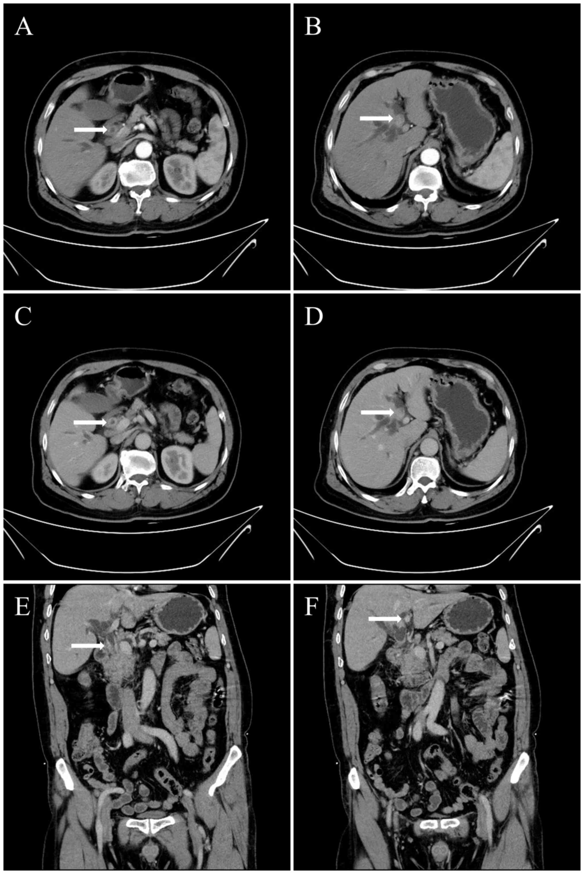
Preoperative CT scan images. (A) CT arterial phase demonstrated moderate enhancement of the common bile duct wall. (B) CT arterial phase demonstrated moderate enhancement of the left hepatic duct wall. (C) CT venous phase demonstrated moderate enhancement of the common bile duct wall (horizontal position). (D) CT venous phase demonstrated moderate enhancement of the left hepatic duct wall (horizontal position). (E) CT venous phase demonstrated moderate enhancement of the common bile duct wall (coronal position). (F) CT venous phase demonstrated moderate enhancement of the left hepatic duct wall (coronal position). White arrows indicate location of the lesion.

Figure 2.

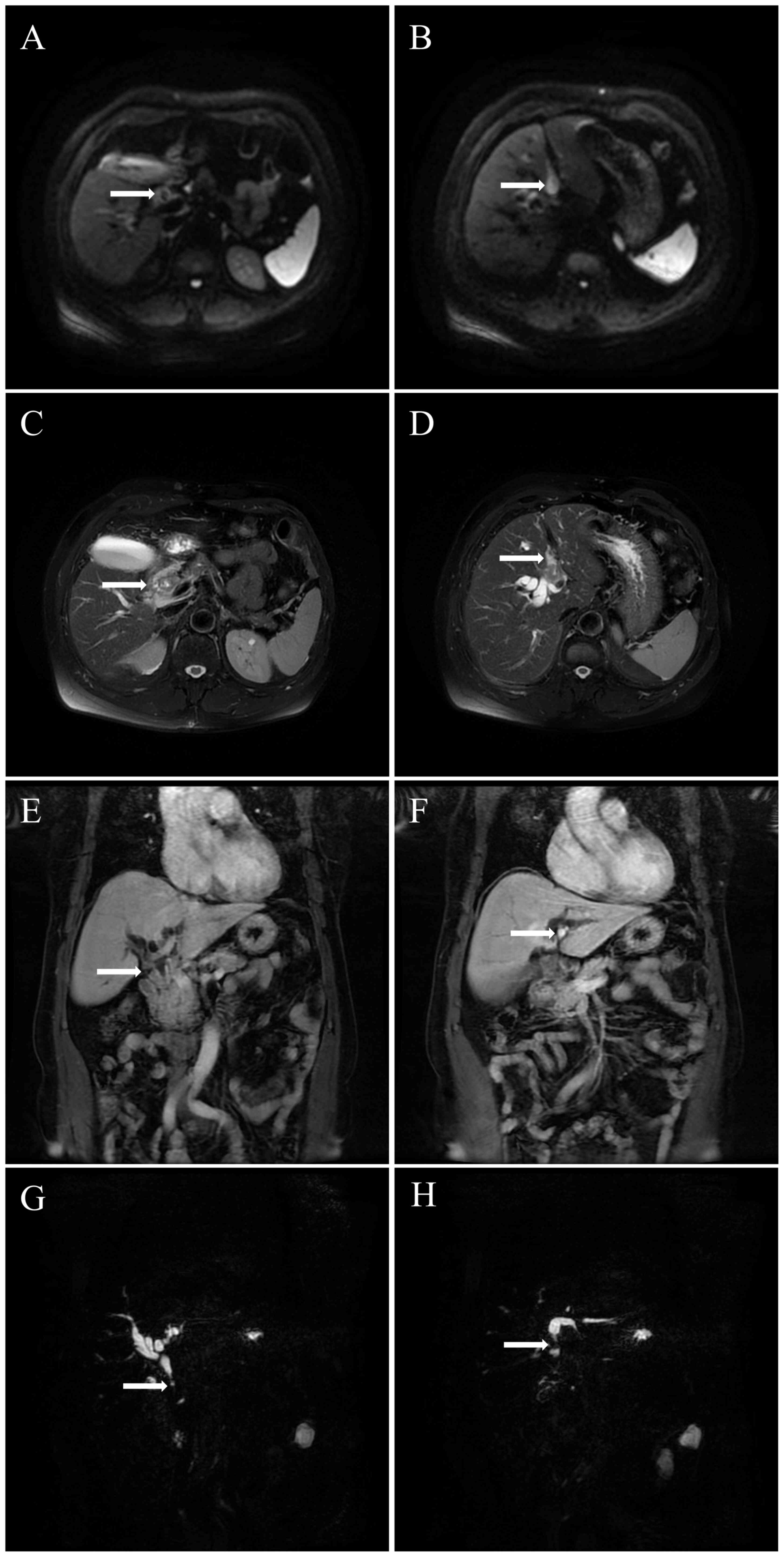
Preoperative MRI and MRCP scan. diffusion-weighted imaging demonstrated (A) common bile duct wall thickening with diffusion limitation and (B) diffusion limitation of the left hepatic duct. T2WI demonstrated thickening of (C) common bile duct wall and (D) local wall of the left hepatic with an equal T2 signal. T2WI enhancement demonstrated (E) local wall of the common bile duct was moderately enhanced and (F) local wall of left hepatic duct was moderately enhanced. MRCP demonstrated local (G) stricture of common bile duct and (H) obvious stenosis of left hepatic duct. White arrows indicate location of the lesion. MRCP, magnetic resonance cholangiopancreatogram; T2WI, T2-weighted imaging.

Table I.

Preoperative hematological laboratory results.

Table I.

Preoperative hematological laboratory results.

Laboratory testResultReference value
Hemoglobin, g/l120.0120.0–165.0
Albumin, g/l35.035.0–51.0
TBil, µmol/l110.43.4–17.1
DBil, µmol/l74.61.7–10.2
ALT, U/l179.60.0–40.0
AST, U/l85.50.0–40.0
CEA, ng/ml5.7<5.0
CA199, U/ml199.6<37.0

[i] TBil, Total bilirubin; DBil, Direct bilirubin; ALT, Alanine aminotransferase; AST, Aspartate aminotransferase; CEA, Carcinoembryonic antigen.

The position of the abdominal puncture hole for the patient undergoing the surgery was the same as that of the laparoscopic pancreaticoduodenal surgery, which was a V-shaped five-hole method (8) (Fig. 3) with the patient in a supine split leg position. The chief surgeon was on the right of the patient while the first assistant was on the left side of the patient with a supporting hand between the patient's legs. After administration of general anesthesia, the patient was placed in a flat position with the head high and legs apart. The laparoscope was placed under the umbilicus and surgical instruments were placed under the left and right costal margins and outside the rectus abdominis. First, the gallbladder triangle, artery and bed were separated. After the lesser omentum was opened, the lymph nodes of groups 6, 8a, 8p, 13a, 13b, 14a, 14b, 17a and 17b were removed along the upper edge of the pancreas. To ligate and disconnect the right gastric and gastroduodenal artery, the proper hepatic, gastroduodenal and left and right hepatic arteries were separated. The common hepatic artery was suspended to the left to expose the main portal vein and lymph nodes of group 12 were cleaned. After confirmation that the tumor was consistent with the preoperative image without vascular invasion, pancreatoduodenectomy was performed via the superior mesenteric vein approach. The left hepatic artery and left branch of the portal vein were disconnected and the pancreaticoduodenal specimen was placed in the left upper quadrant of the abdominal cavity. The liver parenchyma was dissected along the gallbladder bed and the segment IV branch of middle hepatic vein was ligated and disconnected. The liver parenchyma was dissected along the middle hepatic vein trunk to the head to expose the right front and rear bile ducts. Next, the caudate lobe along the right side of the inferior vena cava was disconnected and the left hepatic vein was cut using an Endo-GIA Stapler. The left half of the liver, left caudate lobe and pancreaticoduodenum were removed (Figs. 4 and 5A and 5C). For surgical excision of pathological specimens, specimens were placed in the left upper abdomen and reconstruction process was completed under laparoscopy. The pancreaticojejunal anastomosis was performed using double-pouch sutures (9). After the right anterior and posterior bile ducts were reshaped, the cholangiojejunal anastomosis was continuously sutured using 4-0 Purdis sutures. The posterior wall of the greater curvature of the stomach and mesenteric margin of the small intestine were anastomosed laterally using a linear cutting closure device. An incision of 3–4 cm in the upper abdomen was made to remove specimens for pathology. After washing the abdominal cavity with distilled water, drainage tubes were placed before and after the cholangiojejunostomy and pancreaticojejunostomy.

Figure 3.

Positioning of the puncture holes.

Figure 4.

Intraoperative images of patient. (A) Broken end of the bile duct seen under laparoscopy. (B) Surgical wounds after LHPD surgery.

Figure 5.

Postoperative pathology specimens. (A) Gross specimens and location of each organ. (B) Cholangiocarcinoma originating in the common bile duct (100×). (C) Location of intrahepatic and extrahepatic cholangiocarcinoma originating from the common bile duct (white arrow) and the black arrow indicates cholangiocarcinoma originating from the left hepatic duct. (D) Cholangiocarcinoma originating in the left hepatic duct (100×).

The operation took 540 min and the bleeding volume of the patient was ~500 ml. After the operation, the patient was transferred to the intensive care unit for monitoring and treatment. The patient was moved to the general ward on the second day after the operation and diet was returned to normal on the third day after the operation. There was no bile leakage or gastrointestinal dysfunction after the operation, however, a minor pancreatic fistula was observed. The drainage tube in front of the biliary intestinal anastomosis was removed 7 days after surgery and the drainage tube behind the biliary intestinal anastomosis was removed 12 days after surgery. The drainage tube in front of the pancreatic intestinal anastomosis was removed 15 days after surgery and the drainage tube behind the pancreatic intestinal anastomosis was removed 19 days after surgery. The patient was discharged 16 days after the operation. To study the number of lymph node metastases, the dewaxed sample was placed in a hematoxylin staining solution with a concentration of 0.5% and stained at room temperature for 10 min, then placed in an eosin staining solution with a concentration of 0.05% and stained at room temperature for 2 min, and finally observed under a light microscope (Leica DM IL LED). The results demonstrated that a total of 36 lymph nodes were removed during surgery, including eight lymph nodes demonstrating cancer metastasis. According to the pathological findings, the tumor at the left hepatic duct was diagnosed a poorly differentiated adenocarcinoma with squamous cell carcinoma and the tumor at common bile duct was diagnosed as poorly differentiated adenocarcinoma (Fig. 5B and D). Synchronous primary cancer was considered and the pathological stage was T4N1M0. The patient received chemotherapy with gemcitabine (1,000 mg/m2 at day 1 and day 8, oxaliplatin, 130 mg/m2 at day 2) for 1 month after surgery but was unable to tolerate this treatment. At 4 months after surgery, the patient's postoperative tumor marker results are within the expected range and the postoperative CT results demonstrated no tumor recurrence (Fig. 6).

Figure 6.

Postoperative CT scan. CT results of the patient's follow-up 4 months after surgery showed that the tumor at the (A) common bile duct and (B) left hepatic duct had been removed. The white arrow next to the liver shows the silver clip; red arrow shows the stapler used during the operation.

Discussion

HPD is a complex operation in the field of hepatobiliary and pancreatic surgery. Due to the high incidence of complications and mortality (1), this surgical method is controversial. A previous study reported that the mortality rate after HPD is 26% and the complication rate is 87% (10). For certain patients with locally advanced cholangiocarcinoma, the operation is the only treatment option to cure the disease (11). Ebata et al (1) reported that the 5-year survival rate of 85 consecutive patients with cholangiocarcinoma after HPD treatment was 37.4%. Sakamoto et al (12) and Jiang et al (13) reported that the 5-year survival rate of cholangiocarcinoma after HPD treatment is 45%, significantly higher compared with non-resectable tumors. To date, HPD treatment for synchronous primary cholangiocarcinoma is rarely performed; to the best of our knowledge, only one case of synchronous primary cholangiocarcinoma has previously been reported (3,5) (Table II). To the best of our knowledge, the present study reported the first case of synchronous primary cholangiocarcinoma treated with LHPD.

Table II.

Articles on LPD surgery.

Table II.

Articles on LPD surgery.

Patient diagnosisOperationFirst author and year(Refs.)
Extrahepatic cholangiocarcinomaLPD + LRHZhang et al, 2014(3)
Extrahepatic cholangiocarcinomaLPD + LLHChong et al, 2019(5)
Gallbladder cancerLPD + LSHJames et al, 2021(6)
Gallbladder cancer and extrahepatic cholangiocarcinomaLPD + LSHYao et al, 2022(4)

[i] LPD, laparoscopic pancreaticoduodenectomy; LRH, laparoscopic right hemihepatectomy; LLH, laparoscopic left hemihepatectomy; LSH, laparoscopic segmental hepatectomy.

HPD involves simultaneous hepatectomy and pancreatoduodenectomy so is highly technical, has a long operation time and is associated with large volume of bleeding during operation. A previous study reported that the average operation time is 850 min and the intraoperative bleeding volume is 1.8 l (14). The present study adopted a double-main surgeon method. The surgeon on the left completed the hilar anatomy, pancreatectomy and pancreaticojejunostomy and the surgeon on the right completed the uncinate process anatomy, liver parenchyma disconnection and cholangiojejunostomy. In the present case, the operation time was 540 min and the bleeding volume was ~500 ml, which improved the operation efficiency and ensured the safety and quality of the procedure.

Liver failure is the primary cause of death after liver surgery (15). Ebata et al (1) performed portal vein embolization (PVE) on 78.8% of patients with an estimated hepatectomy volume >60%, with a mortality rate of 2.4%. The aforementioned study suggested that PVE may avoid liver failure in patients with HPD with extensive hepatectomy. Nagaraj et al (16) reported two cases of central hepatectomy with liver parenchyma preservation, which increased 55 and 25% of remnant liver volumes, respectively, and avoided liver failure. Preoperative biliary drainage (PBD) is a controversial procedure (17). A previous study reported that PBD increases risk of postoperative infection and does not improve the mortality and complication rate following hepatectomy (18). However, another study reported that PBD is not associated with postoperative infection (19). Accurate preoperative evaluation is important for LHPD. Thin slice CT, MRI and three-dimensional (3D) reconstruction and cholangiography should be performed routinely to evaluate the scope and stage of the tumor (20,21). Liver function should be also evaluated by 15-min indocyanine green retention rate and the residual liver ratio should be calculated using the resulting CT images (22).

Pancreatic leakage is a major complication of pancreatectomy. Pancreaticojejunostomy is difficult as the pancreas of patients with cholangiocarcinoma is soft and the pancreatic duct is thin (23). A previous study reported the incidence of pancreatic leakage in patients with HPD is 69.4% (1). Aoki et al (24) reported that the mortality rate of patients with HPD following secondary pancreaticojejunostomy is low (1/52 patients). Secondary pancreaticojejunostomy can reduce complications such as pancreatic leakage, infection and bleeding, as pancreatic enzymes are not activated by enterokinase (24). In hepatectomy after pancreaticoduodenectomy, the obstruction of the hepatic hilus causes congestion of the residual pancreas and promotes pancreatic leakage and it is recommended that hepatectomy be performed first (25). A previous study reported that the incidence of pancreatic leakage in patients with HPD with small-scale hepatectomy is similar to that of patients undergoing pancreaticoduodenectomy, but the incidence of pancreatic leakage in patients with HPD with large-scale hepatectomy is higher compared with patients with HPD with small-scale hepatectomy (31.4 vs. 21.0%, respectively) (26). This suggests that large-scale hepatectomy could delay healing of wounds such as pancreatic anastomosis. The surgery in the present study routinely placed pancreatic duct stents consistent with pancreatic duct diameters and performed precise pancreaticojejunal double-pouch anastomosis using 3D laparoscopy. The incidence of pancreatic leakage at Affiliated Jinhua Hospital, Zhejiang University School of Medicine from 2013 to 2021 was ~10% after pancreaticoduodenectomy (9).

In conclusion, the present study demonstrated that it is feasible to perform LHPD in a center with proficiency in laparoscopy via precise preoperative evaluation and strengthening perioperative management.

Acknowledgements

Not applicable.

Funding

Funding: No funding was received.

Availability of data and materials

The datasets used and/or analyzed during the current study are available from the corresponding author on reasonable request.

Authors' contributions

SY and YB conceived and designed the study. BW and YB conducted the surgery. YB and BW analyzed and interpreted the data. SY and YB reviewed the manuscript. SY and BW confirm the authenticity of all the raw data. All authors have read and approved the final manuscript.

Ethics approval and consent to participate

Written informed consent to participate was obtained from the patients for this study.

Patient consent for publication

Written informed consent was obtained from the patient for the publication of any potentially identifiable images or data included in this article.

Competing interests

The authors declare that they have no competing interests.

Glossary

Abbreviations

Abbreviations:

LHPD

laparoscopic hepatopancreatoduodenectomy

CT

computed tomography

MRI

magnetic resonance imaging

MRCP

magnetic resonance cholangiopancreatogram

PVE

portal vein embolization

PBD

preoperative biliary drainage

3D

three-dimensional

References

1 

Ebata T, Yokoyama Y, Igami T, Sugawara G, Takahashi Y, Nimura Y and Nagino M: Hepatopancreatoduodenectomy for cholangiocarcinoma: A single-center review of 85 consecutive patients. Ann Surg. 256:297–305. 2012. View Article : Google Scholar : PubMed/NCBI

2 

Ota T, Araida T, Yamamoto M and Takasaki K: Operative outcome and problems of right hepatic lobectomy with pancreatoduodenectomy for advanced carcinoma of the biliary tract. J Hepatobiliary Pancreat Surg. 14:155–158. 2007. View Article : Google Scholar : PubMed/NCBI

3 

Zhang MZ, Xu XW, Mou YP, Yan JF, Zhu YP, Zhang RC, Zhou YC, Chen K, Jin WW, Matro E and Ajoodhea H: Resection of a cholangiocarcinoma via laparoscopic hepatopancreato-duodenectomy: A case report. World J Gastroenterol. 20:17260–17264. 2014. View Article : Google Scholar : PubMed/NCBI

4 

Yao GL: Laparoscopic hepatopancreaticoduodenectomy for synchronous gallbladder cancer and extrahepatic cholangiocarcinoma: A case report. World J Surg Oncol. 20:1902022. View Article : Google Scholar : PubMed/NCBI

5 

Chong EH and Choi SH: Hybrid laparoscopic and robotic hepatopancreaticoduodenectomy for cholangiocarcinoma. J Gastrointest Surg. 23:1947–1948. 2019. View Article : Google Scholar : PubMed/NCBI

6 

James M, Kalayarasan R, Gnanasekaran S and Pottakkat B: Laparoscopic hepatopancreatoduodenectomy for locally advanced gall bladder cancer. J Minim Access Surg. 17:369–372. 2021. View Article : Google Scholar : PubMed/NCBI

7 

Bolukbas FF, Bolukbas C, Horoz M, Gumus M, Erdogan M, Zeyrek F, Yayla A and Ovunc O: Child-Pugh classification dependent alterations in serum leptin levels among cirrhotic patients: A case controlled study. BMC Gastroenterol. 4:232004. View Article : Google Scholar : PubMed/NCBI

8 

Wang M, Zhang H, Wu Z, Zhang Z and Peng B: Laparoscopic pancreaticoduodenectomy: Single-surgeon experience. Surg Endosc. 29:3783–3794. 2015. View Article : Google Scholar : PubMed/NCBI

9 

Zhou H, Yu S, Wu X and Li X: Application of purse string suture pancreaticojejunostomy for undilated pancreatic duct in total laparoscopic pancreaticoduodenectomy. BMC Surg. 22:1952022. View Article : Google Scholar : PubMed/NCBI

10 

Welch JC, Gleeson EM, Karachristos A and Pitt HA: Hepatopancreatoduodenectomy in North America: Are the outcomes acceptable? HPB (Oxford). 22:360–367. 2020. View Article : Google Scholar : PubMed/NCBI

11 

Moris D, Palta M, Kim C, Allen PJ, Morse MA and Lidsky ME: Advances in the treatment of intrahepatic cholangiocarcinoma: An overview of the current and future therapeutic landscape for clinicians. CA Cancer J Clin. 73:198–222. 2023. View Article : Google Scholar : PubMed/NCBI

12 

Sakamoto Y, Nara S, Kishi Y, Esaki M, Shimada K, Kokudo N and Kosuge T: Is extended hemihepatectomy plus pancreaticoduodenectomy justified for advanced bile duct cancer and gallbladder cancer? Surgery. 153:794–800. 2013. View Article : Google Scholar : PubMed/NCBI

13 

Jiang Y, Zeng Z, Zeng J, Liu C, Qiu J, Li Y, Tang J, Mo N, Du L and Ma J: Efficacy and safety of first-line chemotherapies for patients with advanced biliary tract carcinoma: A systematic review and network meta-analysis. Front Oncol. 11:7361132021. View Article : Google Scholar : PubMed/NCBI

14 

Dai WC, Chok KS, Cheung TT, Chan AC, Chan SC and Lo CM: Hepatopancreatoduodenectomy for advanced hepatobiliary malignancies: A single-center experience. Hepatobiliary Pancreat Dis Int. 16:382–386. 2017. View Article : Google Scholar : PubMed/NCBI

15 

Schreckenbach T, Liese J, Bechstein WO and Moench C: Posthepatectomy liver failure. Dig Surg. 29:79–85. 2012. View Article : Google Scholar : PubMed/NCBI

16 

Nagaraj K, Goto Y, Kojima S, Sakai H, Hisaka T, Akagi Y and Okuda K: Central hepatopancreatoduodenectomy-oncological effectiveness and parenchymal sparing option for diffusely spreading bile duct cancer: Report of two cases. BMC Surg. 21:232021. View Article : Google Scholar : PubMed/NCBI

17 

Zhu L, Yang Y, Cheng H, Cai Z, Tang N, Mao L, Fu X and Qiu Y: The role of preoperative biliary drainage on postoperative outcome after pancreaticoduodenectomy in patients with obstructive jaundice. Gland Surg. 12:593–608. 2023. View Article : Google Scholar : PubMed/NCBI

18 

Ferrero A, Lo Tesoriere R, Viganò L, Caggiano L, Sgotto E and Capussotti L: Preoperative biliary drainage increases infectious complications after hepatectomy for proximal bile duct tumor obstruction. World J Surg. 33:318–325. 2009. View Article : Google Scholar : PubMed/NCBI

19 

Sugawara G, Ebata T, Yokoyama Y, Igami T, Takahashi Y, Takara D and Nagino M: The effect of preoperative biliary drainage on infectious complications after hepatobiliary resection with cholangiojejunostomy. Surgery. 153:200–210. 2013. View Article : Google Scholar : PubMed/NCBI

20 

Awad S, Fagan S, Abudayyeh S, Karim N, Berger D and Ayub K: Preoperative evaluation of hepatic lesions for the staging of hepatocellular and metastatic liver carcinoma using endoscopic ultrasonography. Am J Surg. 184:601–605. 2002. View Article : Google Scholar : PubMed/NCBI

21 

Gefter W: Magnetic resonance imaging in the evaluation of lung cancer. Semin Roentgenol. 25:73–84. 1990. View Article : Google Scholar : PubMed/NCBI

22 

Shimizu A, Motoyama H, Kubota K, Notake T, Fukushima K, Ikehara T, Hayashi H, Yasukawa K, Kobayashi A and Soejima Y: Safety and oncological benefit of hepatopancreatoduodenectomy for advanced extrahepatic cholangiocarcinoma with horizontal tumor spread: Shinshu university experience. Ann Surg Oncol. 28:2012–2025. 2021. View Article : Google Scholar : PubMed/NCBI

23 

Gai YW, Wang HT and Tan XD: Pancreaticojejunostomy conducive to biological healing in minimally invasive pancreaticoduodenectomy. J Gastrointest Surg. 26:1967–1981. 2022. View Article : Google Scholar : PubMed/NCBI

24 

Aoki T, Sakamoto Y, Kohno Y, Akamatsu N, Kaneko J, Sugawara Y, Hasegawa K, Makuuchi M and Kokudo N: Hepatopancreaticoduodenectomy for biliary cancer: Strategies for near-zero operative mortality and acceptable long-term outcome. Ann Surg. 267:332–337. 2018. View Article : Google Scholar : PubMed/NCBI

25 

Fukami Y, Kaneoka Y, Maeda A, Takayama Y and Onoe S: Major hepatopancreatoduodenectomy with simultaneous resection of the hepatic artery for advanced biliary cancer. Langenbecks Arch Surg. 401:471–478. 2016. View Article : Google Scholar : PubMed/NCBI

26 

Andrianello S, Paiella S, Allegrini V, Ramera M, Pulvirenti A, Malleo G, Salvia R and Bassi C: Pancreaticoduodenectomy for distal cholangiocarcinoma: Surgical results, prognostic factors, and long-term follow-up. Langenbecks Arch Surg. 400:623–628. 2015. View Article : Google Scholar : PubMed/NCBI

Related Articles

  • Abstract
  • View
  • Download
  • Twitter
Copy and paste a formatted citation
Spandidos Publications style
Wu B, Bai Y and Yu S: Laparoscopic hepatopancreatoduodenectomy for synchronous intrahepatic and extrahepatic cholangiocarcinoma: A case report. Oncol Lett 26: 449, 2023.
APA
Wu, B., Bai, Y., & Yu, S. (2023). Laparoscopic hepatopancreatoduodenectomy for synchronous intrahepatic and extrahepatic cholangiocarcinoma: A case report. Oncology Letters, 26, 449. https://doi.org/10.3892/ol.2023.14036
MLA
Wu, B., Bai, Y., Yu, S."Laparoscopic hepatopancreatoduodenectomy for synchronous intrahepatic and extrahepatic cholangiocarcinoma: A case report". Oncology Letters 26.4 (2023): 449.
Chicago
Wu, B., Bai, Y., Yu, S."Laparoscopic hepatopancreatoduodenectomy for synchronous intrahepatic and extrahepatic cholangiocarcinoma: A case report". Oncology Letters 26, no. 4 (2023): 449. https://doi.org/10.3892/ol.2023.14036
Copy and paste a formatted citation
x
Spandidos Publications style
Wu B, Bai Y and Yu S: Laparoscopic hepatopancreatoduodenectomy for synchronous intrahepatic and extrahepatic cholangiocarcinoma: A case report. Oncol Lett 26: 449, 2023.
APA
Wu, B., Bai, Y., & Yu, S. (2023). Laparoscopic hepatopancreatoduodenectomy for synchronous intrahepatic and extrahepatic cholangiocarcinoma: A case report. Oncology Letters, 26, 449. https://doi.org/10.3892/ol.2023.14036
MLA
Wu, B., Bai, Y., Yu, S."Laparoscopic hepatopancreatoduodenectomy for synchronous intrahepatic and extrahepatic cholangiocarcinoma: A case report". Oncology Letters 26.4 (2023): 449.
Chicago
Wu, B., Bai, Y., Yu, S."Laparoscopic hepatopancreatoduodenectomy for synchronous intrahepatic and extrahepatic cholangiocarcinoma: A case report". Oncology Letters 26, no. 4 (2023): 449. https://doi.org/10.3892/ol.2023.14036
Follow us
  • Twitter
  • LinkedIn
  • Facebook
About
  • Spandidos Publications
  • Careers
  • Cookie Policy
  • Privacy Policy
How can we help?
  • Help
  • Live Chat
  • Contact
  • Email to our Support Team