Spandidos Publications Logo
  • About
    • About Spandidos
    • Aims and Scopes
    • Abstracting and Indexing
    • Editorial Policies
    • Reprints and Permissions
    • Job Opportunities
    • Terms and Conditions
    • Contact
  • Journals
    • All Journals
    • Oncology Letters
      • Oncology Letters
      • Information for Authors
      • Editorial Policies
      • Editorial Board
      • Aims and Scope
      • Abstracting and Indexing
      • Bibliographic Information
      • Archive
    • International Journal of Oncology
      • International Journal of Oncology
      • Information for Authors
      • Editorial Policies
      • Editorial Board
      • Aims and Scope
      • Abstracting and Indexing
      • Bibliographic Information
      • Archive
    • Molecular and Clinical Oncology
      • Molecular and Clinical Oncology
      • Information for Authors
      • Editorial Policies
      • Editorial Board
      • Aims and Scope
      • Abstracting and Indexing
      • Bibliographic Information
      • Archive
    • Experimental and Therapeutic Medicine
      • Experimental and Therapeutic Medicine
      • Information for Authors
      • Editorial Policies
      • Editorial Board
      • Aims and Scope
      • Abstracting and Indexing
      • Bibliographic Information
      • Archive
    • International Journal of Molecular Medicine
      • International Journal of Molecular Medicine
      • Information for Authors
      • Editorial Policies
      • Editorial Board
      • Aims and Scope
      • Abstracting and Indexing
      • Bibliographic Information
      • Archive
    • Biomedical Reports
      • Biomedical Reports
      • Information for Authors
      • Editorial Policies
      • Editorial Board
      • Aims and Scope
      • Abstracting and Indexing
      • Bibliographic Information
      • Archive
    • Oncology Reports
      • Oncology Reports
      • Information for Authors
      • Editorial Policies
      • Editorial Board
      • Aims and Scope
      • Abstracting and Indexing
      • Bibliographic Information
      • Archive
    • Molecular Medicine Reports
      • Molecular Medicine Reports
      • Information for Authors
      • Editorial Policies
      • Editorial Board
      • Aims and Scope
      • Abstracting and Indexing
      • Bibliographic Information
      • Archive
    • World Academy of Sciences Journal
      • World Academy of Sciences Journal
      • Information for Authors
      • Editorial Policies
      • Editorial Board
      • Aims and Scope
      • Abstracting and Indexing
      • Bibliographic Information
      • Archive
    • International Journal of Functional Nutrition
      • International Journal of Functional Nutrition
      • Information for Authors
      • Editorial Policies
      • Editorial Board
      • Aims and Scope
      • Abstracting and Indexing
      • Bibliographic Information
      • Archive
    • International Journal of Epigenetics
      • International Journal of Epigenetics
      • Information for Authors
      • Editorial Policies
      • Editorial Board
      • Aims and Scope
      • Abstracting and Indexing
      • Bibliographic Information
      • Archive
    • Medicine International
      • Medicine International
      • Information for Authors
      • Editorial Policies
      • Editorial Board
      • Aims and Scope
      • Abstracting and Indexing
      • Bibliographic Information
      • Archive
  • Articles
  • Information
    • Information for Authors
    • Information for Reviewers
    • Information for Librarians
    • Information for Advertisers
    • Conferences
  • Language Editing
Spandidos Publications Logo
  • About
    • About Spandidos
    • Aims and Scopes
    • Abstracting and Indexing
    • Editorial Policies
    • Reprints and Permissions
    • Job Opportunities
    • Terms and Conditions
    • Contact
  • Journals
    • All Journals
    • Biomedical Reports
      • Information for Authors
      • Editorial Policies
      • Editorial Board
      • Aims and Scope
      • Abstracting and Indexing
      • Bibliographic Information
      • Archive
    • Experimental and Therapeutic Medicine
      • Information for Authors
      • Editorial Policies
      • Editorial Board
      • Aims and Scope
      • Abstracting and Indexing
      • Bibliographic Information
      • Archive
    • International Journal of Epigenetics
      • Information for Authors
      • Editorial Policies
      • Editorial Board
      • Aims and Scope
      • Abstracting and Indexing
      • Bibliographic Information
      • Archive
    • International Journal of Functional Nutrition
      • Information for Authors
      • Editorial Policies
      • Editorial Board
      • Aims and Scope
      • Abstracting and Indexing
      • Bibliographic Information
      • Archive
    • International Journal of Molecular Medicine
      • Information for Authors
      • Editorial Policies
      • Editorial Board
      • Aims and Scope
      • Abstracting and Indexing
      • Bibliographic Information
      • Archive
    • International Journal of Oncology
      • Information for Authors
      • Editorial Policies
      • Editorial Board
      • Aims and Scope
      • Abstracting and Indexing
      • Bibliographic Information
      • Archive
    • Medicine International
      • Information for Authors
      • Editorial Policies
      • Editorial Board
      • Aims and Scope
      • Abstracting and Indexing
      • Bibliographic Information
      • Archive
    • Molecular and Clinical Oncology
      • Information for Authors
      • Editorial Policies
      • Editorial Board
      • Aims and Scope
      • Abstracting and Indexing
      • Bibliographic Information
      • Archive
    • Molecular Medicine Reports
      • Information for Authors
      • Editorial Policies
      • Editorial Board
      • Aims and Scope
      • Abstracting and Indexing
      • Bibliographic Information
      • Archive
    • Oncology Letters
      • Information for Authors
      • Editorial Policies
      • Editorial Board
      • Aims and Scope
      • Abstracting and Indexing
      • Bibliographic Information
      • Archive
    • Oncology Reports
      • Information for Authors
      • Editorial Policies
      • Editorial Board
      • Aims and Scope
      • Abstracting and Indexing
      • Bibliographic Information
      • Archive
    • World Academy of Sciences Journal
      • Information for Authors
      • Editorial Policies
      • Editorial Board
      • Aims and Scope
      • Abstracting and Indexing
      • Bibliographic Information
      • Archive
  • Articles
  • Information
    • For Authors
    • For Reviewers
    • For Librarians
    • For Advertisers
    • Conferences
  • Language Editing
Login Register Submit
  • This site uses cookies
  • You can change your cookie settings at any time by following the instructions in our Cookie Policy. To find out more, you may read our Privacy Policy.

    I agree
Search articles by DOI, keyword, author or affiliation
Search
Advanced Search
presentation
Oncology Letters
Join Editorial Board Propose a Special Issue
Print ISSN: 1792-1074 Online ISSN: 1792-1082
Journal Cover
October-2023 Volume 26 Issue 4

Full Size Image

Sign up for eToc alerts
Recommend to Library

Journals

International Journal of Molecular Medicine

International Journal of Molecular Medicine

International Journal of Molecular Medicine is an international journal devoted to molecular mechanisms of human disease.

International Journal of Oncology

International Journal of Oncology

International Journal of Oncology is an international journal devoted to oncology research and cancer treatment.

Molecular Medicine Reports

Molecular Medicine Reports

Covers molecular medicine topics such as pharmacology, pathology, genetics, neuroscience, infectious diseases, molecular cardiology, and molecular surgery.

Oncology Reports

Oncology Reports

Oncology Reports is an international journal devoted to fundamental and applied research in Oncology.

Experimental and Therapeutic Medicine

Experimental and Therapeutic Medicine

Experimental and Therapeutic Medicine is an international journal devoted to laboratory and clinical medicine.

Oncology Letters

Oncology Letters

Oncology Letters is an international journal devoted to Experimental and Clinical Oncology.

Biomedical Reports

Biomedical Reports

Explores a wide range of biological and medical fields, including pharmacology, genetics, microbiology, neuroscience, and molecular cardiology.

Molecular and Clinical Oncology

Molecular and Clinical Oncology

International journal addressing all aspects of oncology research, from tumorigenesis and oncogenes to chemotherapy and metastasis.

World Academy of Sciences Journal

World Academy of Sciences Journal

Multidisciplinary open-access journal spanning biochemistry, genetics, neuroscience, environmental health, and synthetic biology.

International Journal of Functional Nutrition

International Journal of Functional Nutrition

Open-access journal combining biochemistry, pharmacology, immunology, and genetics to advance health through functional nutrition.

International Journal of Epigenetics

International Journal of Epigenetics

Publishes open-access research on using epigenetics to advance understanding and treatment of human disease.

Medicine International

Medicine International

An International Open Access Journal Devoted to General Medicine.

Journal Cover
October-2023 Volume 26 Issue 4

Full Size Image

Sign up for eToc alerts
Recommend to Library

  • Article
  • Citations
    • Cite This Article
    • Download Citation
    • Create Citation Alert
    • Remove Citation Alert
    • Cited By
  • Similar Articles
    • Related Articles (in Spandidos Publications)
    • Similar Articles (Google Scholar)
    • Similar Articles (PubMed)
  • Download PDF
  • Download XML
  • View XML
Case Report Open Access

Capmatinib‑associated interstitial lung disease in a patient with lung adenocarcinoma harboring a skipping mutation of mesenchymal‑epithelial transition exon 14: A case report

  • Authors:
    • Bing-Jie Lee
    • Cheng-Yu Chang
  • View Affiliations / Copyright

    Affiliations: Department of Internal Medicine, Far Eastern Memorial Hospital, New Taipei City 22000, Taiwan, R.O.C., Division of Chest Medicine, Department of Internal Medicine, Far Eastern Memorial Hospital, New Taipei City 22000, Taiwan, R.O.C.
    Copyright: © Lee et al. This is an open access article distributed under the terms of Creative Commons Attribution License.
  • Article Number: 455
    |
    Published online on: September 4, 2023
       https://doi.org/10.3892/ol.2023.14042
  • Expand metrics +
Metrics: Total Views: 0 (Spandidos Publications: | PMC Statistics: )
Metrics: Total PDF Downloads: 0 (Spandidos Publications: | PMC Statistics: )
Cited By (CrossRef): 0 citations Loading Articles...

This article is mentioned in:



Abstract

Capmatinib is a medication used to treat patients with non‑small cell lung cancer (NSCLC) who have a specific genetic mutation known as a mesenchymal‑epithelial transition exon 14 skipping mutation. Previous clinical trials have reported that capmatinib treatment has a high objective response rate in patients with this genetic mutation. However, there have also been rare reports of patients developing interstitial lung disease (ILD) following capmatinib treatment, which can be life‑threatening. The present case study reports the treatment of a patient who developed ILD after 6 weeks of capmatinib treatment for NSCLC, which was resolved following application of corticosteroids. The present case demonstrated that early recognition of the onset of ILD and discontinuation of capmatinib treatment, along with the prompt initiation of corticosteroid administration, can lead to complete resolution of ILD.

Introduction

Capmatinib is an anticancer medication used to treat certain types of cancer, particularly non-small cell lung cancer (NSCLC) involving a mesenchymal-epithelial transition (MET) exon 14 skipping mutation (1). This mutation leads to overexpression of the MET receptor tyrosine kinase, which is a protein that is involved in a number of important cellular processes, including cell growth, survival and migration, and also promotes the formation of epithelial cells from mesenchymal cells (2). Capmatinib targets NSCLC tumors by inhibiting overactivity of c-Met and blocking tumor growth, and the results of a Phase Ib/II clinical trial previously reported that capmatinib has a high objective response rate in patients with MET exon 14 skipping NSCLC (3). Although capmatinib has demonstrated efficacy in treating NSCLC, side effects of this treatment have been reported. Common side effects include peripheral edema, nausea and a decreased appetite (3). A rare and potentially life-threatening side effect associated with capmatinib treatment is the development of interstitial lung disease (ILD). ILD is a broad term that describes a group of lung disorders that cause inflammation and scarring of the lung tissue, leading to breathing difficulties, coughing and fever (4). ILD can be caused by a variety of factors, such as exposure to environmental toxins and certain medications, including capmatinib (5). However, the incidence of capmatinib-induced ILD is low, with the few case reports that have been published all showing successful treatment with corticosteroids (6–8). However, given the potentially serious nature of this side effect, healthcare providers should be aware of this risk and closely monitor patients receiving capmatinib for signs or symptoms of ILD. Early recognition of the signs or symptoms of ILD, discontinuation of capmatinib treatment and the prompt initiation of corticosteroids have been reported to lead to complete resolution of ILD (4).

Case report

A 50-year-old man with a history of hypertension and a past history of smoking presented to Far Eastern Memorial Hospital (New Taipei City, Taiwan) in March 2018 with the chief complaint of coughing that had persisted for 2 months. The patient smoked one pack of cigarettes/day for 2 years, before quitting smoking 25 years prior to hospital admission. A chest X-ray showed a right upper lobe mass of 3.3 cm and subsequent chest computed tomography (CT) showed multiple nodules, with the largest measuring 3.3 cm in the right upper lobe. The patient was subsequently diagnosed with adenocarcinoma after a CT-guided biopsy in April 2018. The patient underwent a right upper lobe video-assisted thoracoscopic surgery lobectomy with radical lymph node dissection and was diagnosed with pathological stage IB T2aN0M0 (9) adenocarcinoma according to the 8th edition American Joint Committee on Cancer Tumor-Node-Metastasis system, with no mutation of EGFR, anaplastic lymphoma kinase (ALK) or ROS proto-oncogene 1, receptor tyrosine kinase (ROS-1). Due to the healthcare insurance system in Taiwan, following surgical resection of early stage lung cancer, genetic testing was limited to individual testing of commonly observed genes. Adjuvant chemotherapy with Ufur (tegafur, 100 mg; uracil, 224 mg) twice daily was administered to the patient between September 2018 and August 2019, without any evidence of recurrence of the disease. Further CT scans performed in May and November 2020 demonstrated stable disease with no recurrence observed.

However, in May 2021, the patient developed progressive disease with right-sided pleural effusion and small nodules in the left lower lobe. Analysis of the malignant pleural effusion revealed persistent adenocarcinoma via cytology and cell block: Samples were fixed in 10% formalin at 25°C for 24 h and sliced into 4- to 5-µm thick sections. Hematoxylin and eosin staining was applied at 25°C, with hematoxylin used for 1–2 min and eosin for 30 sec. A light field microscope was used to visualize the results. There were no mutations of EGFR, ALK or ROS-1, although the patient was now programmed cell death-ligand 1 (PD-L1)-positive, with a tumor proportion score of ≥50%. The patient received 500 mg pemetrexed and 75 mg cis-platinum (per m2 body surface area, every 3 weeks, in an infusion for 6 cycles) between June 2021 and October 2021, followed by nivolumab between November 2021 and September 2022. The patient then presented with left-sided weakness, slurred speech and an imbalanced gait for 1 week in October 2022. A brain CT showed right temporal, left frontal and left cerebellar metastasis, with a midline shift towards the left side of ~13 mm. The patient underwent a right temporal craniotomy for right temporal tumor excision in October 2022, followed by stereotactic body radiation therapy, with a total of 2,500 cGy administered in five fractions. The pathology of the brain tumor demonstrated metastatic carcinoma and the results of ACTDrug®+ next-generation sequencing-based assay (performed by ACT Genomics, Co. Ltd.) demonstrated the presence of the MET exon 14 skipping mutation. The patient was then prescribed capmatinib (200 mg/three times daily) in November 2022.

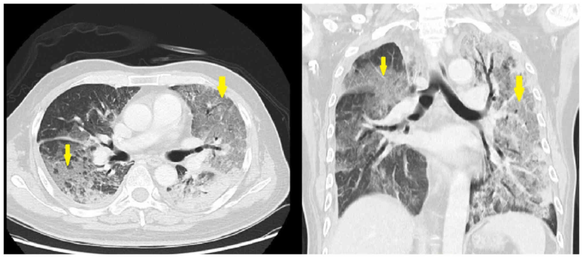
The patient was again admitted to hospital in January 2023 due to progressive dyspnea, and treatment with capmatinib was maintained up to January 2023. A chest X-ray showed bilateral infiltrations. Chest CT scan images showed extensive ground-glass opacity in both lungs and subpleural consolidation, which led to a suspected diagnosis of drug-induced ILD and pneumonia (Fig. 1). The patient was tested for influenza A and B, coronavirus disease 2019, and Legionella and Mycoplasma antibodies, which are potential causes of ILD and were common tests conducted in Taiwan in 2021; however, these tests were negative. Systemic steroids consisting of 120 mg methylprednisolone per day and antibiotics consisting of 750 mg levofloxacin per day were then prescribed and the patient's oxygenation status improved. The follow-up chest X-ray also showed improvement of the bilateral infiltrations. Antibiotics were discontinued and systemic steroids were gradually titrated until the patient was only receiving oral prednisolone. The follow-up chest CT images demonstrated marked regressive changes in the bilateral ground-glass opacity (Fig. 2). The patient was discharged after 14 days of treatment. Treatment with oral tepotinib, another type of MET inhibitor, was provided once daily [administered as two 225 mg tablets (450 mg)] for 21 days at 1 month post-discontinuation of capmatinib treatment. The patient undergoes monthly follow-up chest X-rays, with chest CT scans every 3 months. The last follow-up was in June 2023, and currently, there are no signs of ILD.

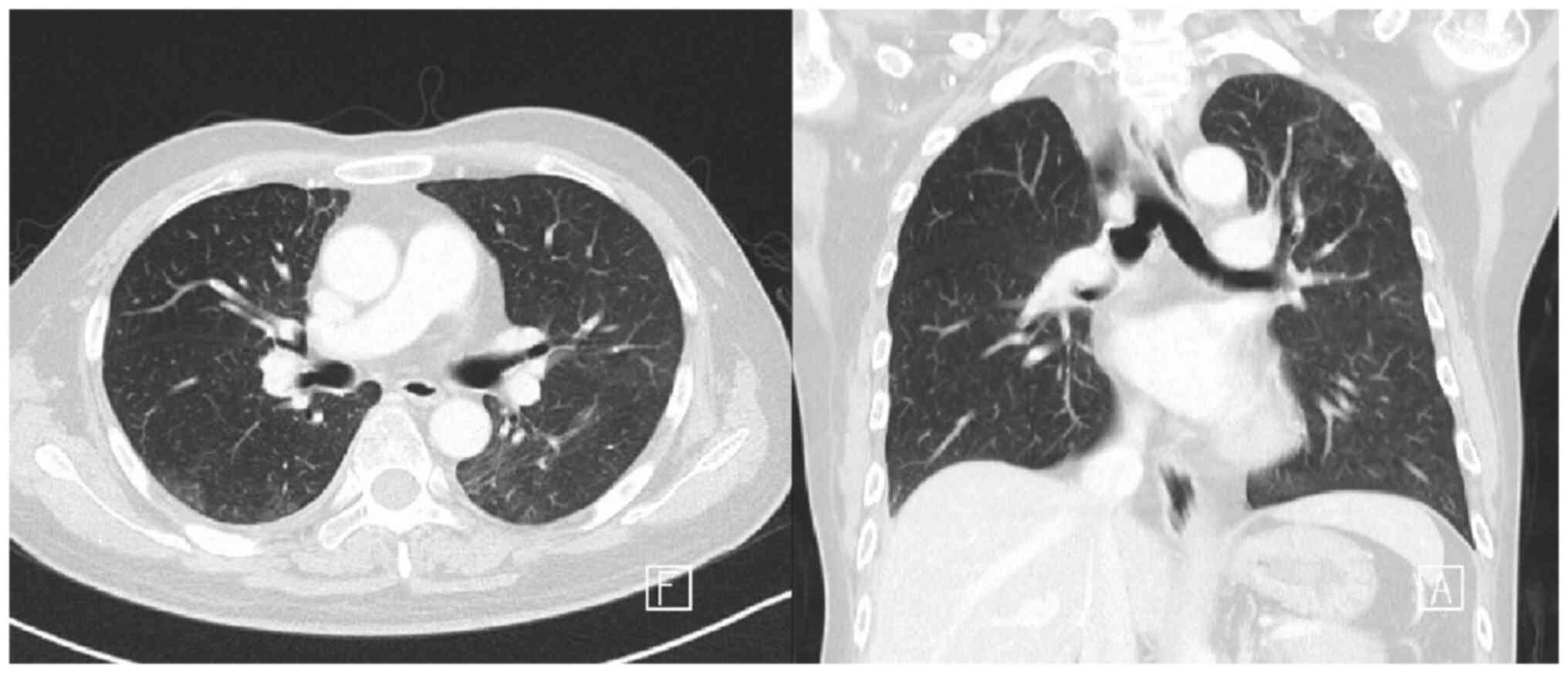
Figure 1.

Chest computed tomography images. Extensive ground-glass opacity in both lungs and subpleural consolidation were observed (arrows), which was suspected to be drug-induced interstitial lung disease and pneumonia.

Figure 2.

Chest computed tomography images. Marked regressive changes were observed in the bilateral ground-glass opacity previously exhibited by the patient (arrows).

Discussion

The development of ILD is a rare but serious side effect associated with the use of capmatinib for NSCLC. Although the incidence of ILD caused by capmatinib treatment is low (three reported cases), it is important for healthcare providers to be aware of the potential risks and to monitor patients closely for signs and symptoms of ILD. There were three case reports that emphasized the emergence of ILD due to capmatinib therapy. Among these, two cases saw resolution after undergoing corticosteroid treatment, while another two cases exhibited a successful shift to tepotinib as an alternative targeted therapy. These findings closely parallel the conclusions drawn in our article (6–8). Both the prompt recognition of signs and symptoms of ILD and the management of capmatinib-induced ILD is crucial to avoid potential complications of this condition and to ensure the best possible outcomes for patients (4,6–8). The discontinuation of capmatinib treatment and prompt initiation of corticosteroid treatment can lead to complete resolution of ILD in certain cases, as demonstrated in the present case report.

The primary emphasis in ILD metabolomics research has centered around the examination of lung tissue, bronchoalveolar lavage fluid and exhaled breath condensate samples derived from individuals suffering from idiopathic pulmonary fibrosis, the prevailing subtype among ILD cases (10). By conducting a thorough analysis of protein precipitation of serum samples, it has been reported that lysophosphatidylcholine (LysoPC), a substance that acts as a precursor for lysophosphatic acid, serves a pivotal role in distinguishing between patients and healthy controls (11). This highlights the significance of LysoPC as a potential biomarker for identifying individuals affected by the condition, providing valuable insights into the underlying mechanisms of the disease and offering a promising avenue for further diagnostic and therapeutic developments in the field of medical research (11).

Given the potential risk of ILD with capmatinib treatment, it is important for healthcare providers to educate patients on the signs and symptoms of this condition and to encourage patients to promptly report any concerns. Further research is needed to better understand the risk factors, pathophysiology and optimal management of this rare but serious side effect of capmatinib treatment.

In conclusion, the present case report demonstrates the potential for capmatinib to cause ILD, a rare but serious side effect resulting from the administration of capmatinib treatment. Early recognition of ILD and discontinuation of the capmatinib treatment, in addition to the prompt administration of corticosteroids, can lead to complete resolution of ILD. Healthcare providers should closely monitor patients taking capmatinib for any signs or symptoms of ILD.

Acknowledgements

Not applicable.

Funding

Funding: No funding was received.

Availability of data and materials

The datasets used and/or analyzed during the current study are available from the corresponding author upon reasonable request.

Authors' contributions

CYC designed the study, revised the manuscript for intellectual content and gave final approval for publication. BJL obtained medical images, analyzed patient data and drafted the manuscript. CYC and BJL confirm the authenticity of all the raw data. Both authors read and approved the final version of the manuscript.

Ethics approval and consent to participate

Not applicable.

Patient consent for publication

The patient provided written informed consent for this case study to be published.

Competing interests

The authors declare that they have no competing interests.

References

1 

Wolf J, Seto T, Han JY, Reguart N, Garon EB, Groen HJ, Tan DSW, Hida T, de Jonge M, Orlov SV, et al: Capmatinib (INC280) in patients (pts) with METex14-mutated advances NSCLC: An update from phase 2 GEOMETRY mono-1 study. Pneumologie. 74((S 01)): S1342020.

2 

Zhang Y, Xia M, Jin K, Wang S, Wei H, Fan C, Wu Y, Li X, Li X, Li G, et al: Function of the c-Met receptor tyrosine kinase in carcinogenesis and associated therapeutic opportunities. Mol Cancer. 17:452018. View Article : Google Scholar : PubMed/NCBI

3 

Wu YL, Zhang L, Kim DW, Liu X, Lee DH, Yang JC, Ahn MJ, Vansteenkiste JF, Su WC, Felip E, et al: Phase Ib/II study of capmatinib (INC280) plus gefitinib after failure of epidermal growth factor receptor (EGFR) inhibitor therapy in patients with EGFR-mutated, MET factor-dysregulated non-small-cell lung cancer. J Clin Oncol. 36:3101–3109. 2018. View Article : Google Scholar : PubMed/NCBI

4 

Kubo K, Azuma A, Kanazawa M, Kameda H, Kusumoto M, Genma A, Saijo Y, Sakai F, Sugiyama Y, Tatsumi K, et al: Consensus statement for the diagnosis and treatment of drug-induced lung injuries. Respir Investig. 51:260–277. 2013. View Article : Google Scholar : PubMed/NCBI

5 

Antoniou KM, Margaritopoulos GA, Tomassetti S, Bonella F, Costabel U and Poletti V: Interstitial lung disease. Eur Respir Rev. 23:40–54. 2014. View Article : Google Scholar : PubMed/NCBI

6 

Kanemura H, Takeda M, Shimizu S and Nakagawa K: Interstitial lung disease associated with capmatinib therapy in a patient with non-small cell lung cancer harboring a skipping mutation of MET exon 14. Thorac Cancer. 12:549–552. 2021. View Article : Google Scholar : PubMed/NCBI

7 

Hashiguchi MH, Sato T, Yamamoto H, Watanabe R, Kagyo J, Domoto H and Shiomi T: Successful tepotinib challenge after capmatinib-induced interstitial lung disease in a patient with lung adenocarcinoma harboring MET exon 14 skipping mutation: Case report. JTO Clin Res Rep. 3:1002712021.PubMed/NCBI

8 

Tseng LW, Chang JWC and Wu CE: Safety of tepotinib challenge after capmatinib-induced pneumonitis in a patient with non-small cell lung cancer harboring MET exon 14 skipping mutation: A case report. Int J Mol Sci. 23:118092022. View Article : Google Scholar : PubMed/NCBI

9 

Amin MB, Greene FL, Edge SB, Compton CC, Gershenwald JE, Brookland RK, Meyer L, Gress DM, Byrd DR and Winchester DP: The eighth edition AJCC cancer staging manual: Continuing to build a bridge from a population-based to a more ‘personalized’ approach to cancer staging. CA Cancer J Clin. 67:93–99. 2017. View Article : Google Scholar : PubMed/NCBI

10 

Kang YP, Lee SB, Lee JM, Kim HM, Hong JY, Lee WJ, Choi CW, Shin HK, Kim DJ, Koh ES, et al: Metabolic profiling regarding pathogenesis of idiopathic pulmonary fibrosis. J Proteome Res. 15:1717–1724. 2016. View Article : Google Scholar : PubMed/NCBI

11 

Rindlisbacher B, Schmid C, Geiser T, Bovet C and Funke-Chambour M: Serum metabolic profiling identified a distinct metabolic signature in patients with idiopathic pulmonary fibrosis-a potential biomarker role for LysoPC. Respir Res. 19:72018. View Article : Google Scholar : PubMed/NCBI

Related Articles

  • Abstract
  • View
  • Download
  • Twitter
Copy and paste a formatted citation
Spandidos Publications style
Lee B and Chang C: Capmatinib‑associated interstitial lung disease in a patient with lung adenocarcinoma harboring a skipping mutation of mesenchymal‑epithelial transition exon 14: A case report. Oncol Lett 26: 455, 2023.
APA
Lee, B., & Chang, C. (2023). Capmatinib‑associated interstitial lung disease in a patient with lung adenocarcinoma harboring a skipping mutation of mesenchymal‑epithelial transition exon 14: A case report. Oncology Letters, 26, 455. https://doi.org/10.3892/ol.2023.14042
MLA
Lee, B., Chang, C."Capmatinib‑associated interstitial lung disease in a patient with lung adenocarcinoma harboring a skipping mutation of mesenchymal‑epithelial transition exon 14: A case report". Oncology Letters 26.4 (2023): 455.
Chicago
Lee, B., Chang, C."Capmatinib‑associated interstitial lung disease in a patient with lung adenocarcinoma harboring a skipping mutation of mesenchymal‑epithelial transition exon 14: A case report". Oncology Letters 26, no. 4 (2023): 455. https://doi.org/10.3892/ol.2023.14042
Copy and paste a formatted citation
x
Spandidos Publications style
Lee B and Chang C: Capmatinib‑associated interstitial lung disease in a patient with lung adenocarcinoma harboring a skipping mutation of mesenchymal‑epithelial transition exon 14: A case report. Oncol Lett 26: 455, 2023.
APA
Lee, B., & Chang, C. (2023). Capmatinib‑associated interstitial lung disease in a patient with lung adenocarcinoma harboring a skipping mutation of mesenchymal‑epithelial transition exon 14: A case report. Oncology Letters, 26, 455. https://doi.org/10.3892/ol.2023.14042
MLA
Lee, B., Chang, C."Capmatinib‑associated interstitial lung disease in a patient with lung adenocarcinoma harboring a skipping mutation of mesenchymal‑epithelial transition exon 14: A case report". Oncology Letters 26.4 (2023): 455.
Chicago
Lee, B., Chang, C."Capmatinib‑associated interstitial lung disease in a patient with lung adenocarcinoma harboring a skipping mutation of mesenchymal‑epithelial transition exon 14: A case report". Oncology Letters 26, no. 4 (2023): 455. https://doi.org/10.3892/ol.2023.14042
Follow us
  • Twitter
  • LinkedIn
  • Facebook
About
  • Spandidos Publications
  • Careers
  • Cookie Policy
  • Privacy Policy
How can we help?
  • Help
  • Live Chat
  • Contact
  • Email to our Support Team