Spandidos Publications Logo
  • About
    • About Spandidos
    • Aims and Scopes
    • Abstracting and Indexing
    • Editorial Policies
    • Reprints and Permissions
    • Job Opportunities
    • Terms and Conditions
    • Contact
  • Journals
    • All Journals
    • Oncology Letters
      • Oncology Letters
      • Information for Authors
      • Editorial Policies
      • Editorial Board
      • Aims and Scope
      • Abstracting and Indexing
      • Bibliographic Information
      • Archive
    • International Journal of Oncology
      • International Journal of Oncology
      • Information for Authors
      • Editorial Policies
      • Editorial Board
      • Aims and Scope
      • Abstracting and Indexing
      • Bibliographic Information
      • Archive
    • Molecular and Clinical Oncology
      • Molecular and Clinical Oncology
      • Information for Authors
      • Editorial Policies
      • Editorial Board
      • Aims and Scope
      • Abstracting and Indexing
      • Bibliographic Information
      • Archive
    • Experimental and Therapeutic Medicine
      • Experimental and Therapeutic Medicine
      • Information for Authors
      • Editorial Policies
      • Editorial Board
      • Aims and Scope
      • Abstracting and Indexing
      • Bibliographic Information
      • Archive
    • International Journal of Molecular Medicine
      • International Journal of Molecular Medicine
      • Information for Authors
      • Editorial Policies
      • Editorial Board
      • Aims and Scope
      • Abstracting and Indexing
      • Bibliographic Information
      • Archive
    • Biomedical Reports
      • Biomedical Reports
      • Information for Authors
      • Editorial Policies
      • Editorial Board
      • Aims and Scope
      • Abstracting and Indexing
      • Bibliographic Information
      • Archive
    • Oncology Reports
      • Oncology Reports
      • Information for Authors
      • Editorial Policies
      • Editorial Board
      • Aims and Scope
      • Abstracting and Indexing
      • Bibliographic Information
      • Archive
    • Molecular Medicine Reports
      • Molecular Medicine Reports
      • Information for Authors
      • Editorial Policies
      • Editorial Board
      • Aims and Scope
      • Abstracting and Indexing
      • Bibliographic Information
      • Archive
    • World Academy of Sciences Journal
      • World Academy of Sciences Journal
      • Information for Authors
      • Editorial Policies
      • Editorial Board
      • Aims and Scope
      • Abstracting and Indexing
      • Bibliographic Information
      • Archive
    • International Journal of Functional Nutrition
      • International Journal of Functional Nutrition
      • Information for Authors
      • Editorial Policies
      • Editorial Board
      • Aims and Scope
      • Abstracting and Indexing
      • Bibliographic Information
      • Archive
    • International Journal of Epigenetics
      • International Journal of Epigenetics
      • Information for Authors
      • Editorial Policies
      • Editorial Board
      • Aims and Scope
      • Abstracting and Indexing
      • Bibliographic Information
      • Archive
    • Medicine International
      • Medicine International
      • Information for Authors
      • Editorial Policies
      • Editorial Board
      • Aims and Scope
      • Abstracting and Indexing
      • Bibliographic Information
      • Archive
  • Articles
  • Information
    • Information for Authors
    • Information for Reviewers
    • Information for Librarians
    • Information for Advertisers
    • Conferences
  • Language Editing
Spandidos Publications Logo
  • About
    • About Spandidos
    • Aims and Scopes
    • Abstracting and Indexing
    • Editorial Policies
    • Reprints and Permissions
    • Job Opportunities
    • Terms and Conditions
    • Contact
  • Journals
    • All Journals
    • Biomedical Reports
      • Information for Authors
      • Editorial Policies
      • Editorial Board
      • Aims and Scope
      • Abstracting and Indexing
      • Bibliographic Information
      • Archive
    • Experimental and Therapeutic Medicine
      • Information for Authors
      • Editorial Policies
      • Editorial Board
      • Aims and Scope
      • Abstracting and Indexing
      • Bibliographic Information
      • Archive
    • International Journal of Epigenetics
      • Information for Authors
      • Editorial Policies
      • Editorial Board
      • Aims and Scope
      • Abstracting and Indexing
      • Bibliographic Information
      • Archive
    • International Journal of Functional Nutrition
      • Information for Authors
      • Editorial Policies
      • Editorial Board
      • Aims and Scope
      • Abstracting and Indexing
      • Bibliographic Information
      • Archive
    • International Journal of Molecular Medicine
      • Information for Authors
      • Editorial Policies
      • Editorial Board
      • Aims and Scope
      • Abstracting and Indexing
      • Bibliographic Information
      • Archive
    • International Journal of Oncology
      • Information for Authors
      • Editorial Policies
      • Editorial Board
      • Aims and Scope
      • Abstracting and Indexing
      • Bibliographic Information
      • Archive
    • Medicine International
      • Information for Authors
      • Editorial Policies
      • Editorial Board
      • Aims and Scope
      • Abstracting and Indexing
      • Bibliographic Information
      • Archive
    • Molecular and Clinical Oncology
      • Information for Authors
      • Editorial Policies
      • Editorial Board
      • Aims and Scope
      • Abstracting and Indexing
      • Bibliographic Information
      • Archive
    • Molecular Medicine Reports
      • Information for Authors
      • Editorial Policies
      • Editorial Board
      • Aims and Scope
      • Abstracting and Indexing
      • Bibliographic Information
      • Archive
    • Oncology Letters
      • Information for Authors
      • Editorial Policies
      • Editorial Board
      • Aims and Scope
      • Abstracting and Indexing
      • Bibliographic Information
      • Archive
    • Oncology Reports
      • Information for Authors
      • Editorial Policies
      • Editorial Board
      • Aims and Scope
      • Abstracting and Indexing
      • Bibliographic Information
      • Archive
    • World Academy of Sciences Journal
      • Information for Authors
      • Editorial Policies
      • Editorial Board
      • Aims and Scope
      • Abstracting and Indexing
      • Bibliographic Information
      • Archive
  • Articles
  • Information
    • For Authors
    • For Reviewers
    • For Librarians
    • For Advertisers
    • Conferences
  • Language Editing
Login Register Submit
  • This site uses cookies
  • You can change your cookie settings at any time by following the instructions in our Cookie Policy. To find out more, you may read our Privacy Policy.

    I agree
Search articles by DOI, keyword, author or affiliation
Search
Advanced Search
presentation
Oncology Letters
Join Editorial Board Propose a Special Issue
Print ISSN: 1792-1074 Online ISSN: 1792-1082
Journal Cover
October-2023 Volume 26 Issue 4

Full Size Image

Sign up for eToc alerts
Recommend to Library

Journals

International Journal of Molecular Medicine

International Journal of Molecular Medicine

International Journal of Molecular Medicine is an international journal devoted to molecular mechanisms of human disease.

International Journal of Oncology

International Journal of Oncology

International Journal of Oncology is an international journal devoted to oncology research and cancer treatment.

Molecular Medicine Reports

Molecular Medicine Reports

Covers molecular medicine topics such as pharmacology, pathology, genetics, neuroscience, infectious diseases, molecular cardiology, and molecular surgery.

Oncology Reports

Oncology Reports

Oncology Reports is an international journal devoted to fundamental and applied research in Oncology.

Experimental and Therapeutic Medicine

Experimental and Therapeutic Medicine

Experimental and Therapeutic Medicine is an international journal devoted to laboratory and clinical medicine.

Oncology Letters

Oncology Letters

Oncology Letters is an international journal devoted to Experimental and Clinical Oncology.

Biomedical Reports

Biomedical Reports

Explores a wide range of biological and medical fields, including pharmacology, genetics, microbiology, neuroscience, and molecular cardiology.

Molecular and Clinical Oncology

Molecular and Clinical Oncology

International journal addressing all aspects of oncology research, from tumorigenesis and oncogenes to chemotherapy and metastasis.

World Academy of Sciences Journal

World Academy of Sciences Journal

Multidisciplinary open-access journal spanning biochemistry, genetics, neuroscience, environmental health, and synthetic biology.

International Journal of Functional Nutrition

International Journal of Functional Nutrition

Open-access journal combining biochemistry, pharmacology, immunology, and genetics to advance health through functional nutrition.

International Journal of Epigenetics

International Journal of Epigenetics

Publishes open-access research on using epigenetics to advance understanding and treatment of human disease.

Medicine International

Medicine International

An International Open Access Journal Devoted to General Medicine.

Journal Cover
October-2023 Volume 26 Issue 4

Full Size Image

Sign up for eToc alerts
Recommend to Library

  • Article
  • Citations
    • Cite This Article
    • Download Citation
    • Create Citation Alert
    • Remove Citation Alert
    • Cited By
  • Similar Articles
    • Related Articles (in Spandidos Publications)
    • Similar Articles (Google Scholar)
    • Similar Articles (PubMed)
  • Download PDF
  • Download XML
  • View XML
Case Report

Primary synovial sarcoma of the pleura in an 18‑year‑old male patient: A case report

  • Authors:
    • Yibing Zang
    • Chengquan Ma
    • Xiumei Xing
    • Huimin Li
  • View Affiliations / Copyright

    Affiliations: Department of Thoracic Surgery, The Second People's Hospital of Liaocheng, Linqing, Shandong 252600, P.R. China, Department of Urology, Tianjin Medical University General Hospital, Tianjin 300052, P.R. China, Department of Geriatrics Nephrology, Linqing People's Hospital, Linqing, Shandong 252600, P.R. China
  • Article Number: 461
    |
    Published online on: September 12, 2023
       https://doi.org/10.3892/ol.2023.14048
  • Expand metrics +
Metrics: Total Views: 0 (Spandidos Publications: | PMC Statistics: )
Metrics: Total PDF Downloads: 0 (Spandidos Publications: | PMC Statistics: )
Cited By (CrossRef): 0 citations Loading Articles...

This article is mentioned in:



Abstract

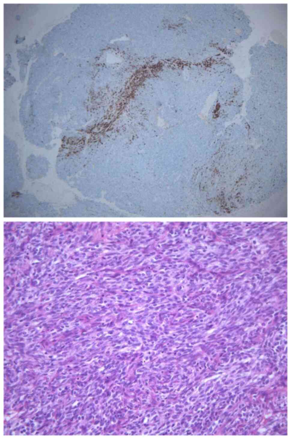
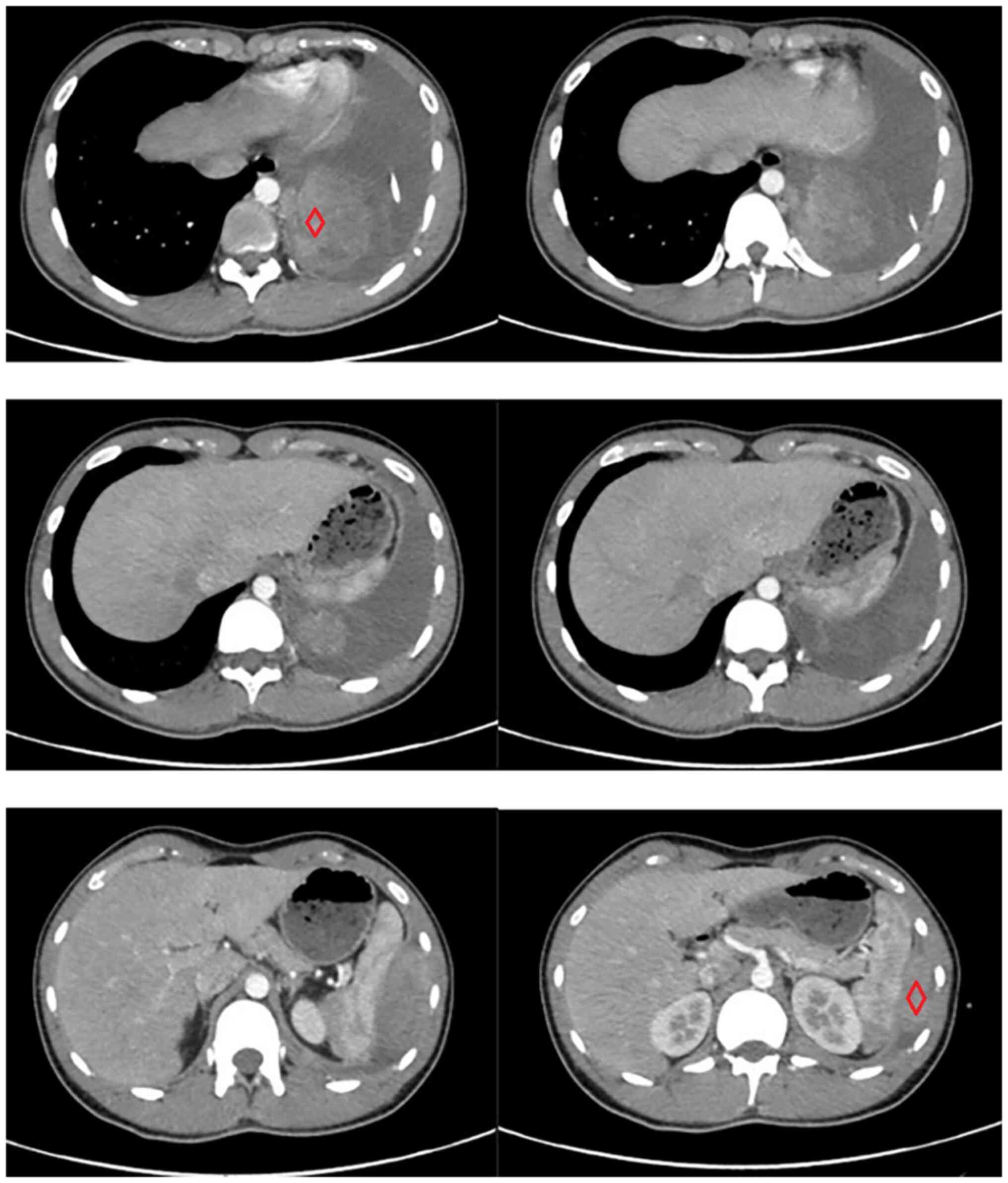
Primary synovial sarcoma of the pleura (PSSP) is a rare disease. The present study reported the case of a patient (male; age, 18 years) with two tumors (7.8x2.8 cm and 6.5x5.8 cm) treated with surgery and chemotherapy. To the best of our knowledge, this is the first reported case of two tumors diagnosed as PSSP, which was confirmed by immunohistochemical staining. After six months of follow‑up, the symptoms of dry cough and wheezing disappeared and all of the laboratory results were within normal limits. PSSP requires clinical suspicion combined with strategic diagnostic evaluation to confirm the diagnosis and a comprehensive treatment program based on surgery and assisted by chemotherapy.
View Figures

Figure 1

Figure 2

Figure 3

View References

1 

Attanoos RL and Pugh MR: The diagnosis of pleural tumors other than mesothelioma. Arch Pathol Lab Med. 142:902–913. 2018. View Article : Google Scholar : PubMed/NCBI

2 

Sandeepa HS, Kate AH, Chaudhari P, Chavan V, Patole K, Lokeshwar N and Chhajed PN: Primary pleural synovial sarcoma: A rare cause of hemorrhagic pleural effusion in a young adult. J Cancer Res Ther. 9:517–519. 2013. View Article : Google Scholar : PubMed/NCBI

3 

Gaertner E, Zeren EH, Fleming MV, Colby TV and Travis WD: Biphasic synovial sarcomas arising in the pleural cavity. A clinicopathologic study of five cases. Am J Surg Pathol. 20:36–45. 1996. View Article : Google Scholar : PubMed/NCBI

4 

Amary MF, Berisha F, Bernardi Fdel C, Herbert A, James M, Reis-Filho JS, Fisher C, Nicholson AG, Tirabosco R, Diss TC and Flanagan AM: Detection of SS18-SSX fusion transcripts in formalin-fixed paraffin-embedded neoplasms: Analysis of conventional RT-PCR, qRT-PCR and dual color FISH as diagnostic tools for synovial sarcoma. Mod Pathol. 20:482–496. 2007. View Article : Google Scholar : PubMed/NCBI

5 

Xu Y, Lin J, Sun H and Xie S: Primary pleural synovial sarcoma in an adolescent: A case report. Transl Cancer Res. 9:3771–3775. 2020. View Article : Google Scholar : PubMed/NCBI

6 

Kang MK, Cho KH, Lee YH, Han IY, Yoon YC, Park KT, Kang DK and Kim BM: Primary synovial sarcoma of the parietal pleura: A case report. Korean J Thorac Cardiovasc Surg. 46:159–161. 2013. View Article : Google Scholar : PubMed/NCBI

7 

Duran-Mendicuti A, Costello P and Vargas SO: Primary synovial sarcoma of the chest: Radiographic and clinicopathologic correlation. J Thorac Imaging. 18:87–93. 2003. View Article : Google Scholar : PubMed/NCBI

8 

Yamaki M, Yonehara S and Noriyuki T: Large primary pleural synovial sarcoma with severe dyspnea: A case report. Surg Case Rep. 3:292017. View Article : Google Scholar : PubMed/NCBI

Related Articles

  • Abstract
  • View
  • Download
  • Twitter
Copy and paste a formatted citation
Spandidos Publications style
Zang Y, Ma C, Xing X and Li H: Primary synovial sarcoma of the pleura in an 18‑year‑old male patient: A case report. Oncol Lett 26: 461, 2023.
APA
Zang, Y., Ma, C., Xing, X., & Li, H. (2023). Primary synovial sarcoma of the pleura in an 18‑year‑old male patient: A case report. Oncology Letters, 26, 461. https://doi.org/10.3892/ol.2023.14048
MLA
Zang, Y., Ma, C., Xing, X., Li, H."Primary synovial sarcoma of the pleura in an 18‑year‑old male patient: A case report". Oncology Letters 26.4 (2023): 461.
Chicago
Zang, Y., Ma, C., Xing, X., Li, H."Primary synovial sarcoma of the pleura in an 18‑year‑old male patient: A case report". Oncology Letters 26, no. 4 (2023): 461. https://doi.org/10.3892/ol.2023.14048
Copy and paste a formatted citation
x
Spandidos Publications style
Zang Y, Ma C, Xing X and Li H: Primary synovial sarcoma of the pleura in an 18‑year‑old male patient: A case report. Oncol Lett 26: 461, 2023.
APA
Zang, Y., Ma, C., Xing, X., & Li, H. (2023). Primary synovial sarcoma of the pleura in an 18‑year‑old male patient: A case report. Oncology Letters, 26, 461. https://doi.org/10.3892/ol.2023.14048
MLA
Zang, Y., Ma, C., Xing, X., Li, H."Primary synovial sarcoma of the pleura in an 18‑year‑old male patient: A case report". Oncology Letters 26.4 (2023): 461.
Chicago
Zang, Y., Ma, C., Xing, X., Li, H."Primary synovial sarcoma of the pleura in an 18‑year‑old male patient: A case report". Oncology Letters 26, no. 4 (2023): 461. https://doi.org/10.3892/ol.2023.14048
Follow us
  • Twitter
  • LinkedIn
  • Facebook
About
  • Spandidos Publications
  • Careers
  • Cookie Policy
  • Privacy Policy
How can we help?
  • Help
  • Live Chat
  • Contact
  • Email to our Support Team