Spandidos Publications Logo
  • About
    • About Spandidos
    • Aims and Scopes
    • Abstracting and Indexing
    • Editorial Policies
    • Reprints and Permissions
    • Job Opportunities
    • Terms and Conditions
    • Contact
  • Journals
    • All Journals
    • Oncology Letters
      • Oncology Letters
      • Information for Authors
      • Editorial Policies
      • Editorial Board
      • Aims and Scope
      • Abstracting and Indexing
      • Bibliographic Information
      • Archive
    • International Journal of Oncology
      • International Journal of Oncology
      • Information for Authors
      • Editorial Policies
      • Editorial Board
      • Aims and Scope
      • Abstracting and Indexing
      • Bibliographic Information
      • Archive
    • Molecular and Clinical Oncology
      • Molecular and Clinical Oncology
      • Information for Authors
      • Editorial Policies
      • Editorial Board
      • Aims and Scope
      • Abstracting and Indexing
      • Bibliographic Information
      • Archive
    • Experimental and Therapeutic Medicine
      • Experimental and Therapeutic Medicine
      • Information for Authors
      • Editorial Policies
      • Editorial Board
      • Aims and Scope
      • Abstracting and Indexing
      • Bibliographic Information
      • Archive
    • International Journal of Molecular Medicine
      • International Journal of Molecular Medicine
      • Information for Authors
      • Editorial Policies
      • Editorial Board
      • Aims and Scope
      • Abstracting and Indexing
      • Bibliographic Information
      • Archive
    • Biomedical Reports
      • Biomedical Reports
      • Information for Authors
      • Editorial Policies
      • Editorial Board
      • Aims and Scope
      • Abstracting and Indexing
      • Bibliographic Information
      • Archive
    • Oncology Reports
      • Oncology Reports
      • Information for Authors
      • Editorial Policies
      • Editorial Board
      • Aims and Scope
      • Abstracting and Indexing
      • Bibliographic Information
      • Archive
    • Molecular Medicine Reports
      • Molecular Medicine Reports
      • Information for Authors
      • Editorial Policies
      • Editorial Board
      • Aims and Scope
      • Abstracting and Indexing
      • Bibliographic Information
      • Archive
    • World Academy of Sciences Journal
      • World Academy of Sciences Journal
      • Information for Authors
      • Editorial Policies
      • Editorial Board
      • Aims and Scope
      • Abstracting and Indexing
      • Bibliographic Information
      • Archive
    • International Journal of Functional Nutrition
      • International Journal of Functional Nutrition
      • Information for Authors
      • Editorial Policies
      • Editorial Board
      • Aims and Scope
      • Abstracting and Indexing
      • Bibliographic Information
      • Archive
    • International Journal of Epigenetics
      • International Journal of Epigenetics
      • Information for Authors
      • Editorial Policies
      • Editorial Board
      • Aims and Scope
      • Abstracting and Indexing
      • Bibliographic Information
      • Archive
    • Medicine International
      • Medicine International
      • Information for Authors
      • Editorial Policies
      • Editorial Board
      • Aims and Scope
      • Abstracting and Indexing
      • Bibliographic Information
      • Archive
  • Articles
  • Information
    • Information for Authors
    • Information for Reviewers
    • Information for Librarians
    • Information for Advertisers
    • Conferences
  • Language Editing
Spandidos Publications Logo
  • About
    • About Spandidos
    • Aims and Scopes
    • Abstracting and Indexing
    • Editorial Policies
    • Reprints and Permissions
    • Job Opportunities
    • Terms and Conditions
    • Contact
  • Journals
    • All Journals
    • Biomedical Reports
      • Information for Authors
      • Editorial Policies
      • Editorial Board
      • Aims and Scope
      • Abstracting and Indexing
      • Bibliographic Information
      • Archive
    • Experimental and Therapeutic Medicine
      • Information for Authors
      • Editorial Policies
      • Editorial Board
      • Aims and Scope
      • Abstracting and Indexing
      • Bibliographic Information
      • Archive
    • International Journal of Epigenetics
      • Information for Authors
      • Editorial Policies
      • Editorial Board
      • Aims and Scope
      • Abstracting and Indexing
      • Bibliographic Information
      • Archive
    • International Journal of Functional Nutrition
      • Information for Authors
      • Editorial Policies
      • Editorial Board
      • Aims and Scope
      • Abstracting and Indexing
      • Bibliographic Information
      • Archive
    • International Journal of Molecular Medicine
      • Information for Authors
      • Editorial Policies
      • Editorial Board
      • Aims and Scope
      • Abstracting and Indexing
      • Bibliographic Information
      • Archive
    • International Journal of Oncology
      • Information for Authors
      • Editorial Policies
      • Editorial Board
      • Aims and Scope
      • Abstracting and Indexing
      • Bibliographic Information
      • Archive
    • Medicine International
      • Information for Authors
      • Editorial Policies
      • Editorial Board
      • Aims and Scope
      • Abstracting and Indexing
      • Bibliographic Information
      • Archive
    • Molecular and Clinical Oncology
      • Information for Authors
      • Editorial Policies
      • Editorial Board
      • Aims and Scope
      • Abstracting and Indexing
      • Bibliographic Information
      • Archive
    • Molecular Medicine Reports
      • Information for Authors
      • Editorial Policies
      • Editorial Board
      • Aims and Scope
      • Abstracting and Indexing
      • Bibliographic Information
      • Archive
    • Oncology Letters
      • Information for Authors
      • Editorial Policies
      • Editorial Board
      • Aims and Scope
      • Abstracting and Indexing
      • Bibliographic Information
      • Archive
    • Oncology Reports
      • Information for Authors
      • Editorial Policies
      • Editorial Board
      • Aims and Scope
      • Abstracting and Indexing
      • Bibliographic Information
      • Archive
    • World Academy of Sciences Journal
      • Information for Authors
      • Editorial Policies
      • Editorial Board
      • Aims and Scope
      • Abstracting and Indexing
      • Bibliographic Information
      • Archive
  • Articles
  • Information
    • For Authors
    • For Reviewers
    • For Librarians
    • For Advertisers
    • Conferences
  • Language Editing
Login Register Submit
  • This site uses cookies
  • You can change your cookie settings at any time by following the instructions in our Cookie Policy. To find out more, you may read our Privacy Policy.

    I agree
Search articles by DOI, keyword, author or affiliation
Search
Advanced Search
presentation
Oncology Letters
Join Editorial Board Propose a Special Issue
Print ISSN: 1792-1074 Online ISSN: 1792-1082
Journal Cover
December-2023 Volume 26 Issue 6

Full Size Image

Sign up for eToc alerts
Recommend to Library

Journals

International Journal of Molecular Medicine

International Journal of Molecular Medicine

International Journal of Molecular Medicine is an international journal devoted to molecular mechanisms of human disease.

International Journal of Oncology

International Journal of Oncology

International Journal of Oncology is an international journal devoted to oncology research and cancer treatment.

Molecular Medicine Reports

Molecular Medicine Reports

Covers molecular medicine topics such as pharmacology, pathology, genetics, neuroscience, infectious diseases, molecular cardiology, and molecular surgery.

Oncology Reports

Oncology Reports

Oncology Reports is an international journal devoted to fundamental and applied research in Oncology.

Experimental and Therapeutic Medicine

Experimental and Therapeutic Medicine

Experimental and Therapeutic Medicine is an international journal devoted to laboratory and clinical medicine.

Oncology Letters

Oncology Letters

Oncology Letters is an international journal devoted to Experimental and Clinical Oncology.

Biomedical Reports

Biomedical Reports

Explores a wide range of biological and medical fields, including pharmacology, genetics, microbiology, neuroscience, and molecular cardiology.

Molecular and Clinical Oncology

Molecular and Clinical Oncology

International journal addressing all aspects of oncology research, from tumorigenesis and oncogenes to chemotherapy and metastasis.

World Academy of Sciences Journal

World Academy of Sciences Journal

Multidisciplinary open-access journal spanning biochemistry, genetics, neuroscience, environmental health, and synthetic biology.

International Journal of Functional Nutrition

International Journal of Functional Nutrition

Open-access journal combining biochemistry, pharmacology, immunology, and genetics to advance health through functional nutrition.

International Journal of Epigenetics

International Journal of Epigenetics

Publishes open-access research on using epigenetics to advance understanding and treatment of human disease.

Medicine International

Medicine International

An International Open Access Journal Devoted to General Medicine.

Journal Cover
December-2023 Volume 26 Issue 6

Full Size Image

Sign up for eToc alerts
Recommend to Library

  • Article
  • Citations
    • Cite This Article
    • Download Citation
    • Create Citation Alert
    • Remove Citation Alert
    • Cited By
  • Similar Articles
    • Related Articles (in Spandidos Publications)
    • Similar Articles (Google Scholar)
    • Similar Articles (PubMed)
  • Download PDF
  • Download XML
  • View XML
Case Report Open Access

Endobronchial pigmented mass in a patient with primary malignant melanoma of the lung: A case report

  • Authors:
    • Hansheng Wang
    • Jun Cheng
    • Dan Li
    • Senyuan Luo
    • Xiao Wang
    • Yan Liu
    • Meifang Wang
    • Tao Ren
  • View Affiliations / Copyright

    Affiliations: Department of Pulmonary and Critical Care Medicine, Taihe Hospital, Hubei University of Medicine, Shiyan, Hubei 442000, P.R. China, Department of Pathology, Taihe Hospital, Hubei University of Medicine, Shiyan, Hubei 442000, P.R. China
    Copyright: © Wang et al. This is an open access article distributed under the terms of Creative Commons Attribution License.
  • Article Number: 517
    |
    Published online on: October 17, 2023
       https://doi.org/10.3892/ol.2023.14104
  • Expand metrics +
Metrics: Total Views: 0 (Spandidos Publications: | PMC Statistics: )
Metrics: Total PDF Downloads: 0 (Spandidos Publications: | PMC Statistics: )
Cited By (CrossRef): 0 citations Loading Articles...

This article is mentioned in:



Abstract

Malignant melanoma (MM) commonly presents as a primary skin tumor and respiratory MM cases are almost all metastatic. Primary lung MM (PMML) is quite rare, especially when manifested as an endobronchial pigmented mass, its diagnosis is relatively difficult and MM has a poor prognosis. Only a few cases have been described previously and the pathologic features, clinical behavior and therapeutic options are not well established. The present study reports the case of a 72‑year‑old female patient with PMML who denied any history of tumors. The patient complained of chest pain and coughing for 2 weeks. Chest computed tomography (CT) revealed a mass in the right upper lobe and an enlarged mediastinal lymph node. Positron emission tomogram‑CT suggested a hypermetabolic tumor. To confirm the diagnosis, the patient underwent a transbronchial forceps biopsy and endobronchial ultrasound‑guided transbronchial needle aspiration, which confirmed the diagnosis of PMML. Genetic testing identified a BRAF V600E mutation, so the patient received treatment with dabrafenib plus trametinib. PMML is extremely rare and is easily misdiagnosed as lung cancer due to its nonspecific clinical manifestations and imaging features. The diagnosis of PMML remains challenging due to its morphologic and immunophenotypic variability. Targeted therapy is a good option for advanced PMML patients with BRAF V600E mutations.

Introduction

Malignant melanoma (MM) is a malignant tumor originating from melanocytes, which accounts for 1–3% of all malignant tumors, and usually arises from the skin or mucus membranes (1). MM is very aggressive and can metastasise in an early phase of the disease. MM generally presents as a primary neoplasm of the skin but may also arise in other organs and tissues, such as the respiratory tract, oral cavity, liver, ovaries, oesophagus, larynx, cervix, vagina and gallbladder. Most MM cases of the respiratory system are metastatic at the time of diagnosis. The typical therapy for MM is surgical excision, immunotherapy such as use of interleukin 2, gene therapy and biochemotherapy. Primary malignant melanoma of the lung (PMML) is extremely rare, accounting for 0.01% of all lung tumors (2). PMML is characterized by high malignancy, a high recurrence rate and a poor prognosis, its clinical manifestation and imaging features are not specific, and it does not differ from the more usual primary bronchogenic carcinoma. In addition, it cannot be discriminated from other forms of primary melanoma according to its histology and immunohistochemistry. Jensen and Egedorf suggested six criteria to specifically diagnose PMML: i) No previously removed skin tumors; ii) no previously removed ocular tumors; iii) a solitary lung tumor; iv) tumor morphology compatible with a primary tumor; v) no other organ involvement; and vi) autopsy without primary MM demonstrated elsewhere, especially not in the skin or eyes (3). Like other MM, the usual treatment for PMML is an aggressive surgical approach, combined with radiation therapy, chemotherapy and immunotherapy (4,5). The present study, reports the case of a 72-year-old PMML patient with an endobronchial pigmented mass on bronchoscopy.

Case report

A 72-year-old non-smoking female presented to Taihe Hospital (Shiyan, China) after experiencing a 2-week history of cough and expectoration. The patient denied a prior history of skin, ear or ocular lesions. Physical examination showed percussive dullness of the right upper lung and decreased breath sounds; no nevus, hemorrhoids or pigmentation was observed on the skin, eyes, perianal or external genitals. Laboratory tests reported that the patient's carcinoembryonic antigen, cytokeratin 19 fragment, neuron-specific enolase and squamous cell carcinoma antigen levels were 1.79 µg/l (normal, 0–5.0 µg/l), 1.31 ng/ml (normal, 0–3.3 ng/ml), 10.8 ng/ml (normal, 0–16.3 ng/ml) and 0.58 ng/ml (normal, 0–2.7 ng/ml), respectively. Chest X-ray indicated an irregular mass in the upper lobe of the right lung with a rough margin. Chest CT showed a solid mass with a size of 2.1×3.9×3.0 cm in the upper lobe of the right lung, with a CT value of 56 HU. Multiple enlarged lymph nodes with a short diameter of 1.4 cm were observed in the mediastinum and bilateral pleural effusion was found (Fig. 1A). Thoracentesis cytology using hematoxylin and eosin staining showed that lymphocytes and mesothelial cells were predominant and there was no evidence of malignancy. Bronchoscopy showed an endobronchial mass in the right main bronchus (Fig. 2A), and the local mucosa in the distal bronchus of the right upper lobe was rough, hypertrophic and gray-black (Fig. 2B). Transbronchial forceps biopsy of the mass was performed and rapid on-site evaluation (ROSE) identified this as MM (Fig. 3A and B). Based on the preliminary ROSE diagnosis, endobronchial ultrasound-guided transbronchial needle aspiration (EBUS-TBNA) was performed directly for staging of the lung cancer during the procedure.

Figure 1.

Diagnostic chest imaging. (A) Chest computed tomography scan showed a mass in the right upper lobe (red arrow) and enlargement of mediastinal lymph nodes (yellow arrow). (B) Positron emission tomography revealed a lung mass with a SUVmax of 24.7 and enlarged mediastinal lymph nodes with a SUVmax of 15.9. SUVmax, maximum standardized uptake value.

Figure 2.

Bronchoscopy images. Bronchoscopy showed (A) an endobronchial mass (arrow) in the right main bronchus and (B) that the local mucosa in the distal bronchus of the right upper lobe was rough, hypertrophic and gray-black (arrow).

Figure 3.

ROSE and pathological features of malignant melanoma. (A and B) Diff-Quik staining of the melanoma cells indicated that they were plasmacytoid with eccentrically placed nuclei, the cytoplasm appeared shifted to one side of the nucleus or the other. Only rarely was cytoplasm visible around the entire circumference of the nucleus, and the cells showed both opaque clumps of pigment and dusty pigment in their cytoplasm. Magnification, (A) ×100 and (B) ×400. (C and D) Hematoxylin and eosin staining of the tumor cells indicted that they were distributed in sheets and grew infiltratively, accompanied by a small number of inflammatory cells in the interstitium. The tumor cells showed epithelioid or histiocytoid changes, with abundant cytoplasm and round, oval or irregular nuclei. Some cells showed nucleoli or intracellular pigment particles. Magnification, (C) ×200 and (D) ×400. ROSE, rapid on-site evaluation.

Biopsy samples were fixed in 10% neutral buffered formalin at room temperature for 4–6 h, dehydrated using an increasing alcohol series, embedded in paraffin and sectioned into 3-µm slices. Hematoxylin and eosin staining was performed at room temperature for 40 min and sections imaged using a CX31 light microscope (Olympus Corporation). Imaging demonstrated that the tumor cells were distributed in sheets and grew infiltratively; the tumor cells were accompanied by a small number of inflammatory cells in the interstitium. The tumor cells showed epithelioid or histiocytoid changes, with abundant cytoplasm and round, oval or irregular nuclei. Certain cells showed nucleoli or intracellular pigment particles (Fig. 3C and D).

Immunohistochemistry was performed using the aforementioned biopsy sections. Sections were heated at 65°C for 120 min and then dewaxed by incubation with xylene for 3 min (six times). Sections were rehydrated using a decreasing alcohol series and antigen repair was performed using EDTA repair solution (pH 9.0; Fuzhou Maixin Biotech Co., Ltd.) by heating in a pressure cooker to boiling and then being kept warm for 20 min. Sections were incubated with 3% H2O2 for 10 min and then rinsed with PBS for 3 min to block endogenous peroxidase activity. Sections were incubated with ready-to-use primary antibodies against HMB45 (cat. no. MAB-0098; Fuzhou Maixin Biotech Co., Ltd.), SOX-10 (cat. no. MAB-0726; Fuzhou Maixin Biotech Co., Ltd.), S-100 (cat. no. Kit-0007; Fuzhou Maixin Biotech Co., Ltd.), Melan-A (cat. no. JY-0083; Dako; Agilent Technologies, Inc.) and Ki-67 (cat. no. JY-0222; Dako; Agilent Technologies, Inc.) for 1 h at room temperature. Washing was performed using PBS. Sections were then incubated with EnVision Detection Systems Peroxidase/DAB, Rabbit/Mouse (cat. no. K5007; ready-to-use; Dako; Agilent Technologies, Inc.) secondary antibodies for 30 min at room temperature. DAB from the aforementioned secondary staining kit was added for detection. Sections were counterstained with hematoxylin for 2 min at room temperature and imaged using a CX31 light microscope (Olympus Corporation). Immunostaining revealed melanin pigmentation and malignant cells that were positive for HMB-45, Melan-A, SOX-10, S-100 and Ki-67 (>20%) and negative for CKAE1/AE3 (cat. no. JY-0047), CK5/6 (cat. no. MAB-0744), TTF-1 (cat. no. MAB-0677), CD-45 (cat. no. Kit-0024) and synaptophysin (cat. no. MAB-0742) (all ready-to-use; Fuzhou Maixin Biotech Co., Ltd.) (Fig. 4). Whole-body 18F-FDG PET-CT revealed a density anomaly in the mass in the right upper lung complicated by elevated glucose metabolism with a maximum standardized uptake value (SUVmax) of 24.7 and elevated glucose metabolism of the hilar/mediastinum lymph nodes with an SUVmax of 15.9 (Fig. 1B). There were multiple metastatic lesions in the kidney, liver and bones. On the 10th day following admission, genetic molecular testing for BRAF or NRAS mutations using PCR-Sanger sequencing was performed by the Clinical Molecular Diagnostic Center of Taihe Hospital, Hubei University of Medicine, and a BRAF V600E mutation was reported (Table I). Dabrafenib (150 mg orally twice daily) plus trametinib (2 mg orally once daily) was subsequently administered, and following 2 months of therapy, a chest contrast-enhanced CT scan revealed that the malignant melanoma mass in the right lung had markedly reduced in size (Fig. 5). The patient was followed up, 15 months to date, and remained in good health with no evidence of recurrence. However, close follow-up of the patient is ongoing.

Figure 4.

Immunohistochemical staining of MM cells. (A) The cytoplasm of MM cells stained strongly positive with antibodies against HMB-45 and showed brown granules (magnification, ×400). (B) The cytoplasm of cells was positive for Melan-A protein and presented brown-yellow particles (magnification, ×400). (C) The nucleus and cytoplasm of malignant melanoma cells were both positive for S-100 protein and presented brown-yellow particles (magnification, ×400). (D) The nuclei of malignant melanoma were positive for SOX-10 protein and presented brown particles (magnification, ×400). MM, malignant melanoma.

Figure 5.

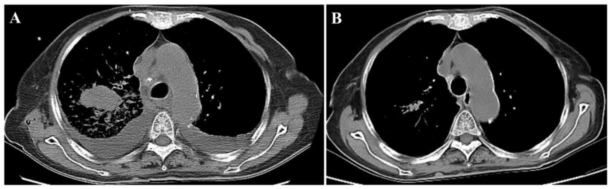
Chest contrast-enhanced CT scan before and after treatment. (A) Chest contrast-enhanced CT scan before treatment showed a mass in the right upper lobe pretreatment. (B) Chest contrast-enhanced CT scan showed that the mass had almost disappeared in the right upper lobe post-treatment. CT, computed tomography.

Table I.

Results of genetic testing.

Table I.

Results of genetic testing.

Genetic testing targetItemsResult
BRAFV600EMutation
NRASQ61R, G12V and G12DNo mutation

Discussion

Melanoma usually occurs on the skin, mucous membranes and eyeball but rarely outside cutaneous areas (6). In cases of MM in the lung, most (87%) are metastatic MM from cutaneous lesions, and PMML is extremely rare, accounting for only 0.01% of lung tumors (2). Therefore, prior to the diagnosis of primary melanoma of the lung, it must be demonstrated that there is no primary lesion at more common primary sites (6). As with the present case, it has been previously reported that PMML may present as a bronchial mass and, a literature review reported that from 13 patients diagnosed with PMML by bronchoscopy, 8 had tumors detected on examination. In addition, 16 of 20 patients were found to have endobronchial tumor spread during surgery or autopsy (7).

There have been no significant differences reported in PMML incidence by sex and the mean age at diagnosis reported in the literature was 51 years (45–71 years) (2). Clinical symptoms are nonspecific, characterized by local symptoms such as cough, sputum and chest pain, as well as systemic symptoms such as weight loss, night sweats and fever. In the present study, chest CT of the patient showed an irregular lobulated mass in the right upper lobe of the lung, which was not distinguishable from images of lung cancer. Histologically, some of the tumor cells were arranged like acini, some were arranged like clumps, and the cells were epithelioid with obvious atypia, abundant cytoplasm and vacuolated nuclei, usually with obvious nucleoli. Mitotic figures were common and melanin granules were usually seen in the tumor cells (2). Immunohistochemical staining was positive for HMB45, S-100, vimentin and Melan-A. HMB45 is a specific antigen for MM and positivity for HMB45 can be used to confirm the diagnosis of MM (8,9). However, a subset of MM cases are negative for HMB45, mainly in metastatic settings, and the marker is not entirely specific (10). Melan-A and vimentin are highly sensitive but less specific than HMB45 (11). To date, to the best of our knowledge, this case is the only one reported which used real-time diagnosis by ROSE. The cytomorphology of malignant melanomas presents as dispersed or solid aggregates of highly pleomorphic cells with large nucleoli that usually contain melanin pigment (12). Ronchi et al (13) stated that when present in the appropriate morphological background, for example, morphological features of malignant melanoma metastasis on direct smears are shown, including large epithelioid cells with round-to-oval nuclei and abundant, sometimes microvacuolized cytoplasm; discohesive plasmocytoid cells with round nuclei and dense cytoplasm, well defined borders, and evident nucleoli; numerous spindle-shaped cells with oval-to-fusiform nuclei and evident cytoplasmatic projections; a small cell component with inconspicuous nucleoli and scarce cytoplasm mixed with a larger cellular component; and malignant multinucleated cells mixed with an epithelioid and plasmocytoid cell population, melanin pigmentation is an important cytomorphologic indicator for the diagnosis of MM. In addition, MMs with an epithelioid cytomorphology represent >70% of all cases and are characterized by the presence of cells with a polygonal shape, moderate-to-abundant granular or clear cytoplasm, indistinct cytoplasmatic borders and mildly or moderately hyperchromatic large nuclei with granular and clumped chromatin (4,10) Therefore, the diagnosis of PMML was established. Due to the rarity of this disease, it is easily missed by clinicians, radiologists and pathologists. In addition, melanin granules in the cytoplasm may not be identified in the pathological examination performed using the microscope, so it is easily misdiagnosed as small cell lung cancer, poorly differentiated squamous cell carcinoma or poorly differentiated adenocarcinoma. PMML needs to be differentiated from other conditions, such as pulmonary malignant lymphoma, undifferentiated carcinoma, stromal sarcoma and plasma cell sarcoma. It has been previously suggested that in clinical practice, immunohistochemical detection should be routinely performed for patients with rapid tumor progression and a lack of typical characteristics to prevent a missed diagnosis or misdiagnosis (4).

The optimal treatment for patients with PMML remains to be determined. For patients whose lesions are confined to the lung, lobectomy or pneumonectomy with lymph node dissection remains the first choice of treatment for PMML patients (14). In cases where surgery is not possible or not desired by the patient, chemotherapy, radiation and immunotherapy may be considered. The conventional preferred chemotherapy agent is dacarbazine, which is usually used in combination with immunotherapies such as interleukin-2 or interferon (15). Robert et al (16) performed randomized trials and reported that first-line treatment with dabrafenib plus trametinib led to long-term benefits in ~1/3 of patients who had unresectable or metastatic melanoma with a BRAF V600E or V600K mutation. Moreover, in two independent phase 3 trials (COMBI-d and COMBI-v) (17,18), treatment with the BRAF inhibitor dabrafenib (150 mg twice daily) plus the MEK inhibitor trametinib (2 mg once daily) improved overall survival in patients with unresectable or metastatic melanoma with BRAF V600E or V600K mutations (72% overall survival rate at 12 months). As in the aforementioned randomized trial, after 2 months of treatment, the mass in the upper lobe of the right lung and the mediastinal lymph node lesions in the present patient had almost disappeared, thus dabrafenib plus trametinib demonstrated therapeutic efficacy.

PMML is extremely rare and is easily misdiagnosed as lung cancer due to its nonspecific clinical manifestations and imaging features. The diagnosis of PMML remains challenging due to its morphologic and immunophenotypic variability. Targeted therapy is a good option for patients with advanced PMML with BRAF V600E mutations.

Acknowledgements

Not applicable.

Funding

Funding: No funding was received.

Availability of data and materials

The datasets generated and/or analyzed during the current study are not publicly available to protect the patient's privacy but are available from the corresponding author on reasonable request.

Authors' contributions

HW and TR executed the conception or design of the written study. HW and JC drafted the manuscript and performed the acquisition, analysis or interpretation of data for the study. MW and TR made contributions to the interpretation of the data for the work, and revised the manuscript critically for important intellectual content. DL and SL collected pathological data from the patient. XW and YL assisted with updating the patient follow-up information and the literature search. TR and HW confirm the authenticity of all the raw data. All authors read and approved the final manuscript.

Ethics approval and consent to participate

The publication of the study was approved by Taihe Hospital Ethics Committee and performed in accordance with the principles of Good Clinical Practice following the Tri-Council guidelines.

Patient consent for publication

Written informed consent was obtained from the patient for anonymized information to be published in this article.

Competing interests

The authors declare that they have no competing interests.

References

1 

Kim CI, Hwang SM, Park EB, Won CH and Lee JH: Computer-aided diagnosis algorithm for classification of malignant melanoma using deep neural networks. Sensors (Basel). 21:55512021. View Article : Google Scholar : PubMed/NCBI

2 

Wilson RW and Moran CA: Primary melanoma of the lung: A clinicopathologic and immunohistochemical study of eight cases. Am J Surg Pathol. 21:1196–1202. 1997. View Article : Google Scholar : PubMed/NCBI

3 

Jensen OA and Egedorf J: Primary malignant melanoma of the lung. Scand J Respir Dis. 48:127–135. 1967.PubMed/NCBI

4 

Pan XD, Zhang B, Guo LC, Gu DM, Mao YQ, Li J, Xie Y and Wang L: Primary malignant melanoma of the lung in the elderly: Case report and literature review. Chin Med J (Engl). 123:1815–1817. 2010.PubMed/NCBI

5 

Dountsis A, Zisis C, Karagianni E and Dahabreh J: Primary malignant melanoma of the lung: A case report. World J Surg Oncol. 1:262003. View Article : Google Scholar : PubMed/NCBI

6 

Allen AC and Spitz S: Malignant melanoma; a clinicopathological analysis of the criteria for diagnosis and prognosis. Cancer. 6:1–45. 1953. View Article : Google Scholar : PubMed/NCBI

7 

Ost D, Joseph C, Sogoloff H and Menezes G: Primary pulmonary melanoma: Case report and literature review. Mayo Clin Proc. 74:62–66. 1999. View Article : Google Scholar : PubMed/NCBI

8 

Allen MS Jr and Drash EC: Primary melanoma of the lung. Cancer. 21:154–159. 1968. View Article : Google Scholar : PubMed/NCBI

9 

Alghanem AA, Mehan J and Hassan AA: Primary malignant melanoma of the lung. J Surg Oncol. 34:109–112. 1987. View Article : Google Scholar : PubMed/NCBI

10 

Boulaiz H, Prados J, Melguizo C, Marchal JA, Carrillo E, Peran M, Rodríguez-Serrano F, Martínez-Amat A, Caba O, Hita F, et al: Tumour malignancy loss and cell differentiation are associated with induction of gef gene in human melanoma cells. Br J Dermatol. 159:370–378. 2008. View Article : Google Scholar : PubMed/NCBI

11 

Achilles E and Schröder S: Positive cytokeratin results in malignant melanoma. Pitfall in differential immunohistologic diagnosis of occult neoplasms. Pathologe. 15:235–241. 1994.(In German). View Article : Google Scholar : PubMed/NCBI

12 

Geijer M and Domanski HA: Image-guided fine-needle aspiration cytology. Atlas of fine needle aspiration cytology. Domanski HA: Springer International Publishing; pp. pp43–55, Cham. 2019, View Article : Google Scholar

13 

Ronchi A, Montella M, Zito Marino F, Argenziano G, Moscarella E, Brancaccio G, Ferraro G, Nicoletti GF, Troiani T, Franco R and Cozzolino I: Cytologic diagnosis of metastatic melanoma by fna: A practical review. Cancer Cytopathol. 130:18–29. 2022. View Article : Google Scholar : PubMed/NCBI

14 

Peng J, Han F, Yang T, Sun J, Guan W and Guo X: Primary malignant melanoma of the lung: A case report and literature review. Medicine (Baltimore). 96:e87722017. View Article : Google Scholar : PubMed/NCBI

15 

Gong L, Liu XY, Zhang WD, Zhu SJ, Yao L, Han XJ, Lan M, Li YH and Zhang W: Primary pulmonary malignant melanoma: A clinicopathologic study of two cases. Diagn Pathol. 7:1232012. View Article : Google Scholar : PubMed/NCBI

16 

Robert C, Grob JJ, Stroyakovskiy D, Karaszewska B, Hauschild A, Levchenko E, Chiarion Sileni V, Schachter J, Garbe C, Bondarenko I, et al: Five-year outcomes with dabrafenib plus trametinib in metastatic melanoma. N Engl J Med. 381:626–636. 2019. View Article : Google Scholar : PubMed/NCBI

17 

Long GV, Stroyakovskiy D, Gogas H, Levchenko E, de Braud F, Larkin J, Garbe C, Jouary T, Hauschild A, Grob JJ, et al: Combined braf and mek inhibition versus braf inhibition alone in melanoma. N Engl J Med. 371:1877–1888. 2014. View Article : Google Scholar : PubMed/NCBI

18 

Robert C, Karaszewska B, Schachter J, Rutkowski P, Mackiewicz A, Stroiakovski D, Lichinitser M, Dummer R, Grange F, Mortier L, et al: Improved overall survival in melanoma with combined dabrafenib and trametinib. N Engl J Med. 372:30–39. 2015. View Article : Google Scholar : PubMed/NCBI

Related Articles

  • Abstract
  • View
  • Download
  • Twitter
Copy and paste a formatted citation
Spandidos Publications style
Wang H, Cheng J, Li D, Luo S, Wang X, Liu Y, Wang M and Ren T: Endobronchial pigmented mass in a patient with primary malignant melanoma of the lung: A case report. Oncol Lett 26: 517, 2023.
APA
Wang, H., Cheng, J., Li, D., Luo, S., Wang, X., Liu, Y. ... Ren, T. (2023). Endobronchial pigmented mass in a patient with primary malignant melanoma of the lung: A case report. Oncology Letters, 26, 517. https://doi.org/10.3892/ol.2023.14104
MLA
Wang, H., Cheng, J., Li, D., Luo, S., Wang, X., Liu, Y., Wang, M., Ren, T."Endobronchial pigmented mass in a patient with primary malignant melanoma of the lung: A case report". Oncology Letters 26.6 (2023): 517.
Chicago
Wang, H., Cheng, J., Li, D., Luo, S., Wang, X., Liu, Y., Wang, M., Ren, T."Endobronchial pigmented mass in a patient with primary malignant melanoma of the lung: A case report". Oncology Letters 26, no. 6 (2023): 517. https://doi.org/10.3892/ol.2023.14104
Copy and paste a formatted citation
x
Spandidos Publications style
Wang H, Cheng J, Li D, Luo S, Wang X, Liu Y, Wang M and Ren T: Endobronchial pigmented mass in a patient with primary malignant melanoma of the lung: A case report. Oncol Lett 26: 517, 2023.
APA
Wang, H., Cheng, J., Li, D., Luo, S., Wang, X., Liu, Y. ... Ren, T. (2023). Endobronchial pigmented mass in a patient with primary malignant melanoma of the lung: A case report. Oncology Letters, 26, 517. https://doi.org/10.3892/ol.2023.14104
MLA
Wang, H., Cheng, J., Li, D., Luo, S., Wang, X., Liu, Y., Wang, M., Ren, T."Endobronchial pigmented mass in a patient with primary malignant melanoma of the lung: A case report". Oncology Letters 26.6 (2023): 517.
Chicago
Wang, H., Cheng, J., Li, D., Luo, S., Wang, X., Liu, Y., Wang, M., Ren, T."Endobronchial pigmented mass in a patient with primary malignant melanoma of the lung: A case report". Oncology Letters 26, no. 6 (2023): 517. https://doi.org/10.3892/ol.2023.14104
Follow us
  • Twitter
  • LinkedIn
  • Facebook
About
  • Spandidos Publications
  • Careers
  • Cookie Policy
  • Privacy Policy
How can we help?
  • Help
  • Live Chat
  • Contact
  • Email to our Support Team