Spandidos Publications Logo
  • About
    • About Spandidos
    • Aims and Scopes
    • Abstracting and Indexing
    • Editorial Policies
    • Reprints and Permissions
    • Job Opportunities
    • Terms and Conditions
    • Contact
  • Journals
    • All Journals
    • Oncology Letters
      • Oncology Letters
      • Information for Authors
      • Editorial Policies
      • Editorial Board
      • Aims and Scope
      • Abstracting and Indexing
      • Bibliographic Information
      • Archive
    • International Journal of Oncology
      • International Journal of Oncology
      • Information for Authors
      • Editorial Policies
      • Editorial Board
      • Aims and Scope
      • Abstracting and Indexing
      • Bibliographic Information
      • Archive
    • Molecular and Clinical Oncology
      • Molecular and Clinical Oncology
      • Information for Authors
      • Editorial Policies
      • Editorial Board
      • Aims and Scope
      • Abstracting and Indexing
      • Bibliographic Information
      • Archive
    • Experimental and Therapeutic Medicine
      • Experimental and Therapeutic Medicine
      • Information for Authors
      • Editorial Policies
      • Editorial Board
      • Aims and Scope
      • Abstracting and Indexing
      • Bibliographic Information
      • Archive
    • International Journal of Molecular Medicine
      • International Journal of Molecular Medicine
      • Information for Authors
      • Editorial Policies
      • Editorial Board
      • Aims and Scope
      • Abstracting and Indexing
      • Bibliographic Information
      • Archive
    • Biomedical Reports
      • Biomedical Reports
      • Information for Authors
      • Editorial Policies
      • Editorial Board
      • Aims and Scope
      • Abstracting and Indexing
      • Bibliographic Information
      • Archive
    • Oncology Reports
      • Oncology Reports
      • Information for Authors
      • Editorial Policies
      • Editorial Board
      • Aims and Scope
      • Abstracting and Indexing
      • Bibliographic Information
      • Archive
    • Molecular Medicine Reports
      • Molecular Medicine Reports
      • Information for Authors
      • Editorial Policies
      • Editorial Board
      • Aims and Scope
      • Abstracting and Indexing
      • Bibliographic Information
      • Archive
    • World Academy of Sciences Journal
      • World Academy of Sciences Journal
      • Information for Authors
      • Editorial Policies
      • Editorial Board
      • Aims and Scope
      • Abstracting and Indexing
      • Bibliographic Information
      • Archive
    • International Journal of Functional Nutrition
      • International Journal of Functional Nutrition
      • Information for Authors
      • Editorial Policies
      • Editorial Board
      • Aims and Scope
      • Abstracting and Indexing
      • Bibliographic Information
      • Archive
    • International Journal of Epigenetics
      • International Journal of Epigenetics
      • Information for Authors
      • Editorial Policies
      • Editorial Board
      • Aims and Scope
      • Abstracting and Indexing
      • Bibliographic Information
      • Archive
    • Medicine International
      • Medicine International
      • Information for Authors
      • Editorial Policies
      • Editorial Board
      • Aims and Scope
      • Abstracting and Indexing
      • Bibliographic Information
      • Archive
  • Articles
  • Information
    • Information for Authors
    • Information for Reviewers
    • Information for Librarians
    • Information for Advertisers
    • Conferences
  • Language Editing
Spandidos Publications Logo
  • About
    • About Spandidos
    • Aims and Scopes
    • Abstracting and Indexing
    • Editorial Policies
    • Reprints and Permissions
    • Job Opportunities
    • Terms and Conditions
    • Contact
  • Journals
    • All Journals
    • Biomedical Reports
      • Information for Authors
      • Editorial Policies
      • Editorial Board
      • Aims and Scope
      • Abstracting and Indexing
      • Bibliographic Information
      • Archive
    • Experimental and Therapeutic Medicine
      • Information for Authors
      • Editorial Policies
      • Editorial Board
      • Aims and Scope
      • Abstracting and Indexing
      • Bibliographic Information
      • Archive
    • International Journal of Epigenetics
      • Information for Authors
      • Editorial Policies
      • Editorial Board
      • Aims and Scope
      • Abstracting and Indexing
      • Bibliographic Information
      • Archive
    • International Journal of Functional Nutrition
      • Information for Authors
      • Editorial Policies
      • Editorial Board
      • Aims and Scope
      • Abstracting and Indexing
      • Bibliographic Information
      • Archive
    • International Journal of Molecular Medicine
      • Information for Authors
      • Editorial Policies
      • Editorial Board
      • Aims and Scope
      • Abstracting and Indexing
      • Bibliographic Information
      • Archive
    • International Journal of Oncology
      • Information for Authors
      • Editorial Policies
      • Editorial Board
      • Aims and Scope
      • Abstracting and Indexing
      • Bibliographic Information
      • Archive
    • Medicine International
      • Information for Authors
      • Editorial Policies
      • Editorial Board
      • Aims and Scope
      • Abstracting and Indexing
      • Bibliographic Information
      • Archive
    • Molecular and Clinical Oncology
      • Information for Authors
      • Editorial Policies
      • Editorial Board
      • Aims and Scope
      • Abstracting and Indexing
      • Bibliographic Information
      • Archive
    • Molecular Medicine Reports
      • Information for Authors
      • Editorial Policies
      • Editorial Board
      • Aims and Scope
      • Abstracting and Indexing
      • Bibliographic Information
      • Archive
    • Oncology Letters
      • Information for Authors
      • Editorial Policies
      • Editorial Board
      • Aims and Scope
      • Abstracting and Indexing
      • Bibliographic Information
      • Archive
    • Oncology Reports
      • Information for Authors
      • Editorial Policies
      • Editorial Board
      • Aims and Scope
      • Abstracting and Indexing
      • Bibliographic Information
      • Archive
    • World Academy of Sciences Journal
      • Information for Authors
      • Editorial Policies
      • Editorial Board
      • Aims and Scope
      • Abstracting and Indexing
      • Bibliographic Information
      • Archive
  • Articles
  • Information
    • For Authors
    • For Reviewers
    • For Librarians
    • For Advertisers
    • Conferences
  • Language Editing
Login Register Submit
  • This site uses cookies
  • You can change your cookie settings at any time by following the instructions in our Cookie Policy. To find out more, you may read our Privacy Policy.

    I agree
Search articles by DOI, keyword, author or affiliation
Search
Advanced Search
presentation
Oncology Letters
Join Editorial Board Propose a Special Issue
Print ISSN: 1792-1074 Online ISSN: 1792-1082
Journal Cover
December-2023 Volume 26 Issue 6

Full Size Image

Sign up for eToc alerts
Recommend to Library

Journals

International Journal of Molecular Medicine

International Journal of Molecular Medicine

International Journal of Molecular Medicine is an international journal devoted to molecular mechanisms of human disease.

International Journal of Oncology

International Journal of Oncology

International Journal of Oncology is an international journal devoted to oncology research and cancer treatment.

Molecular Medicine Reports

Molecular Medicine Reports

Covers molecular medicine topics such as pharmacology, pathology, genetics, neuroscience, infectious diseases, molecular cardiology, and molecular surgery.

Oncology Reports

Oncology Reports

Oncology Reports is an international journal devoted to fundamental and applied research in Oncology.

Experimental and Therapeutic Medicine

Experimental and Therapeutic Medicine

Experimental and Therapeutic Medicine is an international journal devoted to laboratory and clinical medicine.

Oncology Letters

Oncology Letters

Oncology Letters is an international journal devoted to Experimental and Clinical Oncology.

Biomedical Reports

Biomedical Reports

Explores a wide range of biological and medical fields, including pharmacology, genetics, microbiology, neuroscience, and molecular cardiology.

Molecular and Clinical Oncology

Molecular and Clinical Oncology

International journal addressing all aspects of oncology research, from tumorigenesis and oncogenes to chemotherapy and metastasis.

World Academy of Sciences Journal

World Academy of Sciences Journal

Multidisciplinary open-access journal spanning biochemistry, genetics, neuroscience, environmental health, and synthetic biology.

International Journal of Functional Nutrition

International Journal of Functional Nutrition

Open-access journal combining biochemistry, pharmacology, immunology, and genetics to advance health through functional nutrition.

International Journal of Epigenetics

International Journal of Epigenetics

Publishes open-access research on using epigenetics to advance understanding and treatment of human disease.

Medicine International

Medicine International

An International Open Access Journal Devoted to General Medicine.

Journal Cover
December-2023 Volume 26 Issue 6

Full Size Image

Sign up for eToc alerts
Recommend to Library

  • Article
  • Citations
    • Cite This Article
    • Download Citation
    • Create Citation Alert
    • Remove Citation Alert
    • Cited By
  • Similar Articles
    • Related Articles (in Spandidos Publications)
    • Similar Articles (Google Scholar)
    • Similar Articles (PubMed)
  • Download PDF
  • Download XML
  • View XML
Case Report Open Access

Papillary thyroid carcinoma with clear cell renal cell carcinoma metastasized to the thyroid gland: A case report

  • Authors:
    • Fei Wu
    • Chengwei Xia
    • Rui Hai
    • Xiaodong Chen
    • Meirong Li
    • Qingxi Guo
    • Shanshan Liu
    • Xiangyu Zhou
  • View Affiliations / Copyright

    Affiliations: Department of Thyroid Surgery, The Affiliated Hospital of Southwest Medical University, Luzhou, Sichuan 646000, P.R. China, Department of Thyroid Surgery, The Affiliated Hospital of Southwest Medical University, Luzhou, Sichuan 646000, P.R. China, Department of Pathology, The Affiliated Hospital of Southwest Medical University, Luzhou, Sichuan 646000, P.R. China, Department of Pathology, The Affiliated Hospital of Southwest Medical University, Luzhou, Sichuan 646000, P.R. China, Department of General Medicine, The Affiliated Hospital of Southwest Medical University, Luzhou, Sichuan 646000, P.R. China
    Copyright: © Wu et al. This is an open access article distributed under the terms of Creative Commons Attribution License.
  • Article Number: 528
    |
    Published online on: October 24, 2023
       https://doi.org/10.3892/ol.2023.14115
  • Expand metrics +
Metrics: Total Views: 0 (Spandidos Publications: | PMC Statistics: )
Metrics: Total PDF Downloads: 0 (Spandidos Publications: | PMC Statistics: )
Cited By (CrossRef): 0 citations Loading Articles...

This article is mentioned in:



Abstract

Metastasis of clear cell renal cell carcinoma (ccRCC) to the thyroid gland is rare, and simultaneous occurrence of ccRCC and papillary thyroid carcinoma (PTC) is even rarer. Due to the occult nature of the disease, the clinical diagnosis is difficult. In the case of multiple tumors, the possibility of thyroid metastasis should not be ignored during the clinical diagnosis and treatment of PTC. The present study reported a case with initial diagnosis of PTC and accidental discovery of thyroid metastasis of ccRCC. This case study aims to improve the understanding of occult thyroid metastasis, providing a reference for its clinical diagnosis and treatment. Accordingly, misdiagnosis and missed diagnosis of this disease may be reduced and the survival rate and the life quality of patients can be improved.

Introduction

Renal cell carcinoma (RCC) is the most common solid lesion within the kidney and accounts for ~90% of all kidney malignancies. There is a 1.5:1 predominance for men over women and the peak incidence of RCC is at 60–70 years of age (1). RCC comprises different subtypes with specific histopathological and genetic characteristics, of which clear cell RCC (ccRCC) is the predominant pathological type, accounting for nearly 80% of all RCC cases (2). ccRCC is the most aggressive RCC subtype with high metastasis, chemotherapy and radiotherapy resistance, and poor prognosis (3,4). The most common metastasis site of ccRCC is the lung, followed by regional lymph nodes, bone, liver and brain (5). Metastasis to the head and neck is less frequent; furthermore, thyroid metastasis is rare (6). ccRCC has previously been reported to metastasize to normal thyroid tissue (7) or benign thyroid tumors (8). However, thyroid metastasis of ccRCC combined with papillary thyroid carcinoma (PTC) is rarely reported. Because of the occult nature of thyroid metastasis in ccRCC, it is easy to be misdiagnosed or missed. Therefore, preoperative examination is important, and its exact diagnosis depends on the intraoperative frozen section and pathological examination. The present study, reported a case of PTC with ccRCC metastasized to the thyroid gland.

Case report

The patient was a 55-year-old male who was admitted to the Thyroid Surgery Department of The Affiliated Hospital of Southwest Medical University (Luzhou, China) in February 2022 due to the presence of thyroid nodules. In April 2018, the patient underwent radical resection of the left kidney for ccRCC at Xinqiao Hospital, Third Military Medical University (Chongqing, China). After the operation, the pathological examination results suggested the following: Renal clear cell carcinoma, pT1aN0M0, the tumor sized ~4.0×4×3.5 cm3, with no lymph node cancer metastases or distant metastasis. Therefore, the patient refused conventional adjuvant therapy after the surgery and underwent regular physical examination follow-up. In November 2021, abdominal computed tomography (CT) revealed para-aortic lymph node carcinoma metastasis (Fig. 1A), positron emission tomography (PET)-CT showed that the patient had a left para-aortic nodule after left nephrectomy and furthermore, glucose metabolism was slightly increased, and the nodule was suspected to be lymph node metastasis (Fig. 2A and B). Bilateral thyroid nodules and increased glucose metabolism were considered to indicate thyroid cancer (Fig. 2C and D), and the patient underwent laparoscopic retroperitoneal mass resection. Postoperative pathological examination suggested lymph node metastasis of ccRCC. Postoperative review via enhanced abdominal CT indicated complete resection of the retroperitoneal metastases (Fig. 1B). In November 2021, thyroid ultrasound Doppler revealed hypoechoic nodules in the left thyroid gland, resembling Chinese-Thyroid Imaging Reporting and Data System (C-TIRADS) 4C (nodule 1: Red arrow) and C-TIRADS 4B (nodule 2: Green arrow) (Fig. 3A). Of note, C-TIRADS is Chinese version of TIRADS suitable for Chinese clinical practice modified based on thyroid ultrasound data in China. The Chinese Medical Association Ultrasound Medical Expert Committee modified the data system by current TIRADS and non-TIRADS risk stratification, combined with the latest literature reported in China and worldwide, keeping in mind the national conditions (9). The cervical lymph node at level VI was enlarged with an abnormal structure, with a maximum size of 0.5×0.3 cm2. Histocytological examination performed according to standard procedures (10) by fine-needle aspiration (FNA) suggested PTC (nodule 1) (Fig. 3B). As the time interval between thyroid surgery and the previous retroperitoneal mass resection was relatively short, contrast-enhanced CT of the head, neck, chest and abdomen was performed prior to thyroid surgery and no obvious evidence of metastasis was found. Therefore, PET-CT was not performed again. However, it was recommended to the patient to repeat the PET-CT for the systemic assessment at a later follow-up visit. Based on the abovementioned examination results, papillary carcinoma of the left thyroid gland was suspected before surgery and surgical resection was performed in February 2022. During surgery, two gray hard masses sized ~0.4×0.3×0.3 cm3 (nodule 1: red arrow) and 1.3×1.3×1.2 cm3 (nodule 2: Green arrow) were found in the left thyroid gland close to the capsule, with an unclear boundary (Fig. 4), and the distance between the two tumors was ~1 cm. Intraoperative frozen section analysis showed that the nodules were neoplastic, with capsule invasion and suspected vascular invasion, and were suggestive of follicular or medullary carcinoma. Accordingly, the nature of the tumor could not be determined as PTC, follicular carcinoma or medullary carcinoma based on FNA and intraoperative frozen section analysis results of the thyroid nodule alone. According to the 2021 Chinese Society of Clinical Oncology differentiated thyroid cancer guidelines (11) and the revised American Thyroid Association guidelines for the diagnosis and treatment of medullary thyroid cancer (12), the patient then underwent total thyroidectomy and bilateral central lymph node dissection. The histopathological examination results were as follows: Left lobe thyroid tumor (two nodules), nodule 1: The nodule composed of partly follicles and partly papillary structures lined by tumor cells with enlarged, crowded and overlapping nuclei; the tumor cells showed nuclear furrows and prominent nucleoli, and certain nuclei had a ground-glass appearance (Fig. 5A); nodule 2: The tumor cells were arranged in nests and sheets, with a large volume, clear cytoplasm, round and centered nuclei and no obvious nucleoli; abundant blood vessels were seen in the background of the tumor (Fig. 5B); follicular adenoma of the right lobe of the thyroid and reactive hyperplasia of bilateral central lymph nodes were observed. Immunohistochemistry (dewaxing of paraffin sections using xylene and descending ethanol 5 min → 100% ethanol 5 min → 90% ethanol 5 min → 80% ethanol 5 min 70% ethanol 5 min → PBS buffer rinse three times, 5 min each time. 2. Antigen repair: EDTA repair solution (PH=9.0), high-pressure repair, and steam was added for 6 min; Citric acid buffer (PH=6.0) was used for repair under high pressure, and steam was added for 3 min. The sample was naturally cooled to room temperature. 3. Further, 3.3% methanol H2O2 was soaked for 10 min to eliminate the endogenous peroxidase activity, and PBS buffer was used to rinse three times (3 min each time). 4. The primary antibody was added and incubated at 37°C for 60 min; followed by washing with PBS three times, each time for 3 min. The secondary antibody (MaxVision™ 2/HRP) was then added and incubates at 37°C for 30 min; followed by washing with PBS three times, each time for 3 min. DAB color development was performed at room temperature for 0.5–1 min; the process was controlled using a microscope, and the sample was washed with tap water to stop color development. 7. Rinsing with running water for 5 min. 8. Re-staining with hematoxylin for 2 min. 9. Further, differentiation was performed using 0.1% diluted hydrochloric acid, and saturated lithium carbonate turned blue. 10. Dehydration, transparency, and sealing: 95% ethanol (l) 1 min → 95% ethanol (l) 5 min → 100% ethanol (l) 5 min → 100% ethanol (II) 5 min → xylene 2 min → neutral gum resin sealing.) revealed the following: Nodule 1: The tumor cell component was immunoreactive to thyroglobulin (TG), thyroid transcription factor-1 (TTF-1), cytokeratin 19 (CK19) and galectin-3 (Fig. 6A-D), but common acute lymphocyte leukemia antigen (CD10) and renal cell carcinoma marker (RCC) staining were negative (data not shown). Nodule 2: The clear cell component showed immunopositivity for CD10, paired box gene 8 (PAX8) and RCC (Fig. 7A-C), but TG and TTF-1 staining were negative (data not shown). In brief, consecutive parallel sections were stained with the following antibodies according to the manufacturers' recommendations: TG (cat. no. MAB-0797), TTF-1 (mouse anti-human mAb; cat. no. MAB-0677; Maixin Fuzhou), CK19 (mouse anti-human mAb; cat. no. MAB-0829), galectin-3 (cat. no. MAB-0835; Maixin Fuzhou), CD10 (cat. no.MAB-0668), PAX8 (cat. no. MAB-0837; Maixin Fuzhou), RCC (all mouse anti-human mAb; cat. no. MAB-0309; all Maixin Fuzhou). The secondary antibody was MaxVision™ 2 plus polymer HRP (mouse/rabbit) IHC Kit (cat. no. KIT-5930; Maixin Fuzhou). However, the absence of quantitative results for these experiments is a limitation of the present study. On postoperative day 1, the parathyroid hormone level was 5.14 pg/ml (reference range, 8.7–79.6 pg/ml) and the blood calcium concentration was 1.98 mmol/l (reference range, 2.11–2.52 mmol/l). The patient presented with fingertip and perioral numbness, which may be caused by transient hypocalcemia resulting from impaired parathyroid blood supply. Treatment with calcium supplementation was provided, and the parathyroid hormone and blood calcium concentration were reexamined on postoperative day 3. The parathyroid hormone levels were 10.4 pg/ml and the blood calcium concentration was 2.36 mmol/l. The patient did not show any hypocalcemia again. Levothyroxine (100 mg qd) was administered on postoperative day 2. Following thyroid surgery, multidisciplinary consultations were acquired from the Departments of Urology, Oncology and Thyroid Surgery, and other disciplines. This patient had undergone surgical resection and was treated with sunitinib (50 mg qd) for 2 cycles (taking sunitinib for four weeks per cycle followed by a two-week interval). The patient was followed up for 14 months and followed a good diet and having a good sleep, and normal thyroid function and no new metastasis was observed. Hereafter, the patient will be followed up every 3 months and the results will be reported.

Figure 1.

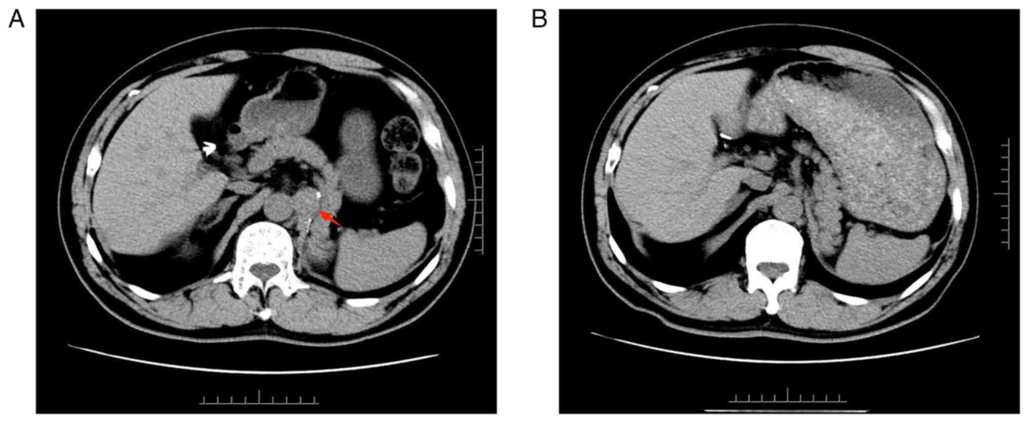
Abdominal CT. (A) Abdominal CT in November 2021 revealed para-aortic lymph node carcinoma metastasis (red arrow). (B) Postoperative review via enhanced abdominal CT in February 2022 indicated complete resection of retroperitoneal metastases. CT, computed tomography.

Figure 2.

Positron emission tomography-computed tomography in November 2021. (A) Coronal section demonstrated that the left kidney and left adrenal gland are not shown. A soft tissue density nodule (red arrow) is seen on the left side of the abdominal aorta and there were no swollen lymph nodes in the remaining pelvic abdominal cavity. (B) Transverse sections demonstrated that a soft tissue density nodule of ~2.3×2.0 cm2 in size (red arrow) on the left side of the abdominal aorta. The margin of the nodule are poorly demarcated with the left crus of the diaphragm. The imaging agent intake increased unevenly. SUVMAX was ~3.1. (C) Nodule of the right lobe of the thyroid (red arrow): Poorly defined border, significantly increased imaging agent uptake, SUVMAX of ~12.2. (D) Nodule of the left lobe of the thyroid (red arrow): Border clear, slightly increased imaging agent uptake and SUVMAX of ~3.1. SUVMAX, maximum standard uptake values at the PET scan.

Figure 3.

(A) Thyroid ultrasound Doppler in November 2021 revealed hypoechoic nodules in the left thyroid gland, resembling C-TIRADS 4C (nodule 1: Red arrow) and C-TIRADS 4B (nodule 2: Green arrow) (scale bar, 4 cm). (B) Fine-needle aspiration with hematoxylin and eosin staining in November 2021 suggested papillary thyroid carcinoma (nodule 1) (scale bar, 50 µm).

Figure 4.

During surgery, two gray, hard masses were found in the left thyroid gland sized ~0.4×0.3×0.3 cm (nodule 1: Red arrow) and 1.3×1.3×1.2 cm (nodule 2: Green arrow), with unclear boundary and close to the capsule, with the distance between two tumors being ~1 cm.

Figure 5.

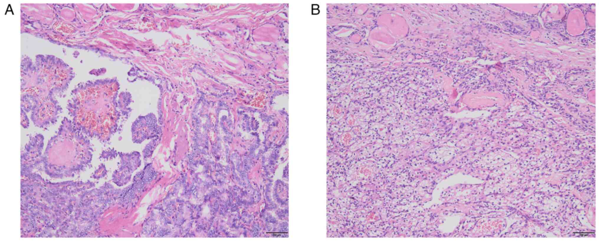
Histopathological examination. (A) Nodule 1: The nodule composed of partly follicles and partly papillary structures lined by tumor cells with enlarged, crowded and overlapping nuclei. The tumor cells showed nuclear furrows and prominent nucleoli, and some nuclei showed ground glass appearance. (B) Nodule 2: The tumor cells were arranged in nests and sheets, with large volume, clear cytoplasm, round and centered nuclei, and no obvious nucleoli. Abundant blood vessels were observed in the background of the tumor (H&E; magnification, ×40; scale bar, 200 µm).

Figure 6.

Immunohistochemical analysis showing that nodule 1 was papillary thyroid carcinoma. (A) Thyroglobulin staining was positive in tumor tissue and non-tumor thyroid follicles. (B) The nuclei in tumor tissues were immunoreactive for TTF-1 and non-neoplastic thyroid follicles were negative for TTF-1. (C) CK19 was strongly expressed in tumor tissue and CK19 was not expressed in non-tumor thyroid follicles. (D) Galectin-3 immunohistochemistry showed that tumor tissue was cytoplasmic colored and non-neoplastic thyroid follicles were not colored (magnification, ×40; scale bar, 200 µm). TTF-1, thyroid transcription factor-1; CK19, cytokeratin 19.

Figure 7.

Immunohistochemical analysis showed that nodule 2 was clear cell renal clear cell carcinoma metastasis: (A) Membranous staining for CD10 in the clear cell component was observed. (B) Paired box gene 8 staining was positive in the nuclei. (C) Renal cell carcinoma marker staining was positive in the cell membrane and cytoplasm (magnification, ×40; scale bar, 200 µm). CD10, common acute lymphocyte leukemia antigen.

Discussion

The thyroid is an organ with the most adequate blood supply in the body; however, the incidence of thyroid metastasis is rare and can hardly be detected accurately during clinical and pathological examination. Thyroid metastasis accounts for 0.36–2.1% of all thyroid malignant tumors (13), which may be related to the occult nature of thyroid metastasis. In the present case, based on the results of preoperative thyroid ultrasound, FNA and intraoperative frozen section analysis, the patient underwent bilateral thyroid lobectomy and bilateral central lymph node dissection. Preoperative thyroid ultrasound, FNA and intraoperative frozen section analysis only indicated thyroid malignancy. However, postoperative pathological examination and IHC were suggestive of PTC with ccRCC metastasis to the thyroid gland. The possible reasons for the abovementioned misdiagnosis and missed diagnosis are as follows. First, metastatic thyroid cancer often lacks typical clinical symptoms. Furthermore, doctors have an insufficient understanding of carcinoma metastasis to the thyroid. Accordingly, if preoperative thyroid ultrasound is indicative of typical characteristics of PTC and FNA also suggests PTC, the doctor will conclude the diagnosis as PTC and may not consider other tumors. In addition, carcinoma metastasis to the thyroid is not readily discernable before surgery.

Thyroid metastases are usually associated with other organs and lymph nodes. Chun et al (14) showed that 59.7% of patients with carcinoma metastasis to the thyroid also had metastasis to other sites. The present patient had been diagnosed ccRCC only with lymph node metastasis, but no other organs were involved. In addition, this patient was diagnosed with PTC during the initial diagnosis, which was accidentally found to be accompanied with ccRCC metastasis to the thyroid gland. The incidence of thyroid metastasis from ccRCC is rare and the concurrent occurrence of PTC is even rarer (6).

While the thyroid gland is a blood-rich organ, it is a rare site of metastases (15). RCC is one of the more common cancers to metastasize to the thyroid gland (16). Although the mechanism of thyroid metastasis remains elusive, most authors believe that the abundant blood supply of the thyroid becomes a favorable factor for thyroid metastasis (15). It has been proposed that the thyroid gland may be more susceptible to metastatic growth when affected by goiter, neoplasms or thyroiditis due to metabolic changes that consist of decrements in the oxygen and iodine content (8). Heffess et al (17), in the largest case series of thyroid metastasis from RCC, found pre-existing thyroid disease in 42% of the 36 cases. Other malignant tumors (18,19) in the abdominal cavity may also metastasize to the thyroid gland, but the mechanism of metastasis has remained largely elusive. In the present case, it may be assumed that the abundant blood flow to the thyroid gland may provide a nutritional basis for the metastasis of ccRCC. Meanwhile, PTC may also change the metabolism of the thyroid gland and the tumor microenvironment, thus inducing metastasis of ccRCC to the thyroid gland. Therefore, when thyroid nodules are preliminarily diagnosed as PTC, with ccRCC or other malignant tumors in the abdominal cavity, it is necessary to consider whether there is a possibility of thyroid metastatic cancer.

The diagnosis of ccRCC metastasis to the thyroid gland is difficult, given that it is a rare metastatic disease. Most studies (8,17,20) report that it is difficult to make a clear diagnosis during preoperative examination and that intraoperative freezing and postoperative pathological examination are required, which need to be further judged by IHC analysis. In previous reports (8,20,21), tissue of ccRCC metastasized to the thyroid gland was found to be positive for CD10, whereas it was negative for TG and TTF-1. However, in the present case, the preoperative results suggested that the nodule was PTC, and according to the IHC analysis, the PTC tissue was positive for TG, TTF-1, CK19 and galectin-3, and the ccRCC tissue was positive for RCC, CD10 and PAX-8. The case was found to be ccRCC thyroid metastasis combined with PTC by IHC analysis. Compared with previously reported cases of ccRCC metastasized to the thyroid gland, the present case is rare; however, previous reports (8,20,21) have only verified part of the IHC results, and the present study provided more comprehensive data.

The present case is different from a case of concurrent primary ccRCC and PTC, and the perioperative management and treatment may differ, particularly the postoperative systemic management (15). At present, there is no specific diagnosis and treatment plan for PTC with ccRCC metastasis to the thyroid. However, it appears that complete surgical resection is key in the treatment of PTC without lymph node metastasis, and precise postoperative treatment of ccRCC should be conducted. To date, angiogenesis inhibitors, rapamycin (mTOR)-targeted inhibitors and immune checkpoint inhibitors, have been approved by the Food and Drug Administration for the first-line treatment of patients with advanced ccRCC (22). The first-line treatment options for advanced ccRCC include: i) Targeted monotherapy, including Sunitinib, Pezopanib and Cabozantinib; ii) Combined immunotherapy, Immunocombination targeting (Pembrolizumab + Axitinib, Avelumab + Axitinib, Nivolumab + Cabozantinib, pembrolizumab + Lenvatinib) and dual immunocombination (Nivolumab + Ipilimumab). There is no clear literature to support whether metastasis of ccRCC to the thyroid gland affects the efficacy of iodine-131 treatment and whether iodine-131 radiotherapy should be continued. In the present case, the patient was subjected to standard clinical treatment. The postoperative pathological examination of the patient indicated PTC with ccRCC metastasis to the thyroid gland, and the cervical lymph nodes did not suggest cancer metastasis. Given that PTC without lymph node metastasis would be classified as low-risk for recurrence, iodine-131 treatment was not performed (23). ccRCC with metastasis to the thyroid gland was considered advanced ccRCC and sunitinib treatment was conducted (24). Close follow-up monitoring of the current patient will continue in the future.

Acknowledgements

Not applicable.

Funding

The present study was funded by The Key Laboratory of Medical Electrophysiology (Southwest Medical University), Open Fund (grant no. KeyME-2020-011).

Availability of data and materials

The datasets used and/or analyzed during the current study are available from the corresponding author on reasonable request.

Authors' contributions

FW, CX, RH, XC, ML, QG, SL and XZ made substantial contributions to the conception, design and data acquisition of the article. FW, CX and XZ obtained and analyzed the patient's information and wrote the manuscript. RH, XC, SL and XZ analyzed the patient information and reviewed the discussion part of the clinical diagnosis and treatment. XZ critically revised the article. ML and QG provided the pathological images and diagnosis. SL partially revised the article and generated the figures. XZ ensured that questions related to the integrity of any part of the work were appropriately investigated and resolved. FW, CX, SL and XZ confirm the authenticity of all the raw data. All authors have read and approved the final version of the manuscript.

Ethics approval and consent to participate

The study was approved by the Ethics Committee of the Affiliated Hospital of Southwest Medical University (Luzhou, China; ethics approval no. KY2023140).

Patient consent for publication

Written informed consent to publish this case information and accompanying images was obtained from the patient.

Competing interests

The authors declare that they have no competing interests.

References

1 

Ljungberg B, Albiges L, Abu-Ghanem Y, Bedke J, Capitanio U, Dabestani S, Fernández-Pello S, Giles RH, Hofmann F, Hora M, et al: European Association of Urology Guidelines on renal cell carcinoma: The 2022 update. Eur Urol. 82:399–410. 2022. View Article : Google Scholar : PubMed/NCBI

2 

Jiang A, Ye J, Zhou Y, Zhu B, Lu J, Ge S, Qu L, Xiao J, Wang L and Cai C: Copper death inducer, FDX1, as a prognostic biomarker reshaping tumor immunity in clear cell renal cell carcinoma. Cells. 12:3492023. View Article : Google Scholar : PubMed/NCBI

3 

Feng X, Yan N, Sun W, Zheng S, Jiang S, Wang J, Guo C, Hao L, Tian Y, Liu S and Sun MZ: miR-4521-FAM129A axial regulation on ccRCC progression through TIMP-1/MMP2/MMP9 and MDM2/p53/Bcl2/Bax pathways. Cell Death Discov. 5:892019. View Article : Google Scholar : PubMed/NCBI

4 

Qu Y, Feng J, Wu X, Bai L, Xu W, Zhu L, Liu Y, Xu F, Zhang X, Yang G, et al: A proteogenomic analysis of clear cell renal cell carcinoma in a Chinese population. Nat Commun. 13:20522022. View Article : Google Scholar : PubMed/NCBI

5 

Beutner U, Leowardi C, Bork U, Lüthi C, Tarantino I, Pahernik S, Wente MN, Büchler MW, Schmied BM and Müller SA: Survival after renal cell carcinoma metastasis to the thyroid: Single center experience and systematic review of the literature. Thyroid. 25:314–324. 2015. View Article : Google Scholar : PubMed/NCBI

6 

Ramírez-Plaza CP, Domínguez-López ME and Blanco-Reina F: Thyroid metastasis as initial presentation of clear cell renal carcinoma. Int J Surg Case Rep. 10:101–103. 2015. View Article : Google Scholar : PubMed/NCBI

7 

Tian P, Du W, Liu X, Xu W, Rong X, Zhang Z and Wang Y: Ultrasonographic characteristics of thyroid metastasis from clear cell renal cell carcinoma: A case report. Medicine (Baltimore). 99:e230702020. View Article : Google Scholar : PubMed/NCBI

8 

Medas F, Calò PG, Lai ML, Tuveri M, Pisano G and Nicolosi A: Renal cell carcinoma metastasis to thyroid tumor: A case report and review of the literature. J Med Case Rep. 7:2652013. View Article : Google Scholar : PubMed/NCBI

9 

Zhou J, Yin L, Wei X, Zhang S, Song Y, Luo B, Li J, Qian L, Cui L, Chen W, et al: 2020 Chinese guidelines for ultrasound malignancy risk stratification of thyroid nodules: The C-TIRADS. Endocrine. 70:256–279. 2020. View Article : Google Scholar : PubMed/NCBI

10 

Huang CG, Li MZ, Wang SH, Liu Y, Zhang HL, Haybaeck J and Yang ZH: Analysis of cytological misdiagnosis and oversight of adenoid cystic carcinoma of salivary gland. Cancer Control. 30:107327482211316522023. View Article : Google Scholar : PubMed/NCBI

11 

Guidelines Working Committee of Chinese Society of Clinical Oncology, . Guidelines of chinese society of clinical oncology (CSCO) differentiated thyroid cancer. J Cancer Control Treat. 34:1164–1201. 2021.

12 

Wells SA Jr, Asa SL, Dralle H, Elisei R, Evans DB, Gagel RF, Lee N, Machens A, Moley JF, Pacini F, et al: Revised American Thyroid Association guidelines for the management of medullary thyroid carcinoma. Thyroid. 25:567–610. 2015. View Article : Google Scholar : PubMed/NCBI

13 

Ghossein CA, Khimraj A, Dogan S and Xu B: Metastasis to the thyroid gland: A single-institution 16-year experience. Histopathology. 78:508–519. 2021. View Article : Google Scholar : PubMed/NCBI

14 

Chung AY, Tran TB, Brumund KT, Weisman RA and Bouvet M: Metastases to the thyroid: A review of the literature from the last decade. Thyroid. 22:258–268. 2012. View Article : Google Scholar : PubMed/NCBI

15 

Velez Torres JM, Briski LM, Martinez Duarte E, Sadow PM, Kerr DA and Kryvenko ON: Metastatic clear cell renal cell carcinoma involving the thyroid gland: A clinicopathologic study of 17 patients. Int J Surg Pathol. 30:743–752. 2022. View Article : Google Scholar : PubMed/NCBI

16 

Tjahjono R, Phung D, Gurney H, Gupta R, Riffat F and Palme CE: Thyroid gland metastasis from renal cell carcinoma: A case series and literature review. ANZ J Surg. 91:708–715. 2021. View Article : Google Scholar : PubMed/NCBI

17 

Heffess CS, Wenig BM and Thompson LD: Metastatic renal cell carcinoma to the thyroid gland: A clinicopathologic study of 36 cases. Cancer. 95:1869–1878. 2002. View Article : Google Scholar : PubMed/NCBI

18 

Minami S, Inoue K, Irie J, Mine T, Tada N, Hirabaru M, Noda K, Ito S and Haraguchi M: Metastasis of colon cancer to the thyroid and cervical lymph nodes: A case report. Surg Case Rep. 2:1082016. View Article : Google Scholar : PubMed/NCBI

19 

Delitala AP, Vidili G, Manca A, Dial U, Delitala G and Fanciulli G: A case of thyroid metastasis from pancreatic cancer: case report and literature review. BMC Endocr Disord. 14:62014. View Article : Google Scholar : PubMed/NCBI

20 

Yu J, Nikiforova MN, Hodak SP, Yim JH, Cai G, Walls A, Nikiforov YE and Seethala RR: Tumor-to-tumor metastases to follicular variant of papillary thyroid carcinoma: Histologic, immunohistochemical, and molecular studies of two unusual cases. Endocr Pathol. 20:235–242. 2009. View Article : Google Scholar : PubMed/NCBI

21 

Kefeli M and Mete O: An unusual solitary thyroid nodule with bloody follicles: Metastatic renal cell carcinoma within an infiltrative follicular variant papillary carcinoma. Endocr Pathol. 27:171–174. 2016. View Article : Google Scholar : PubMed/NCBI

22 

Schiavoni V, Campagna R, Pozzi V, Cecati M, Milanese G, Sartini D, Salvolini E, Galosi AB and Emanuelli M: Recent advances in the management of clear cell renal cell carcinoma: Novel biomarkers and targeted therapies. Cancers (Basel). 15:32072023. View Article : Google Scholar : PubMed/NCBI

23 

Pacini F, Fuhrer D, Elisei R, Handkiewicz-Junak D, Leboulleux S, Luster M, Schlumberger M and Smit JW: 2022 ETA Consensus Statement: What are the indications for post-surgical radioiodine therapy in differentiated thyroid cancer? Eur Thyroid J. 11:e2100462022. View Article : Google Scholar : PubMed/NCBI

24 

Goebell PJ, Ivanyi P, Bedke J, Bergmann L, Berthold D, Boegemann M, Busch J, Doehn C, Krege S, Retz M, et al: Consensus paper: Current state of first- and second-line therapy in advanced clear-cell renal cell carcinoma. Future Oncol. 16:2307–2328. 2020. View Article : Google Scholar : PubMed/NCBI

Related Articles

  • Abstract
  • View
  • Download
  • Twitter
Copy and paste a formatted citation
Spandidos Publications style
Wu F, Xia C, Hai R, Chen X, Li M, Guo Q, Liu S and Zhou X: Papillary thyroid carcinoma with clear cell renal cell carcinoma metastasized to the thyroid gland: A case report. Oncol Lett 26: 528, 2023.
APA
Wu, F., Xia, C., Hai, R., Chen, X., Li, M., Guo, Q. ... Zhou, X. (2023). Papillary thyroid carcinoma with clear cell renal cell carcinoma metastasized to the thyroid gland: A case report. Oncology Letters, 26, 528. https://doi.org/10.3892/ol.2023.14115
MLA
Wu, F., Xia, C., Hai, R., Chen, X., Li, M., Guo, Q., Liu, S., Zhou, X."Papillary thyroid carcinoma with clear cell renal cell carcinoma metastasized to the thyroid gland: A case report". Oncology Letters 26.6 (2023): 528.
Chicago
Wu, F., Xia, C., Hai, R., Chen, X., Li, M., Guo, Q., Liu, S., Zhou, X."Papillary thyroid carcinoma with clear cell renal cell carcinoma metastasized to the thyroid gland: A case report". Oncology Letters 26, no. 6 (2023): 528. https://doi.org/10.3892/ol.2023.14115
Copy and paste a formatted citation
x
Spandidos Publications style
Wu F, Xia C, Hai R, Chen X, Li M, Guo Q, Liu S and Zhou X: Papillary thyroid carcinoma with clear cell renal cell carcinoma metastasized to the thyroid gland: A case report. Oncol Lett 26: 528, 2023.
APA
Wu, F., Xia, C., Hai, R., Chen, X., Li, M., Guo, Q. ... Zhou, X. (2023). Papillary thyroid carcinoma with clear cell renal cell carcinoma metastasized to the thyroid gland: A case report. Oncology Letters, 26, 528. https://doi.org/10.3892/ol.2023.14115
MLA
Wu, F., Xia, C., Hai, R., Chen, X., Li, M., Guo, Q., Liu, S., Zhou, X."Papillary thyroid carcinoma with clear cell renal cell carcinoma metastasized to the thyroid gland: A case report". Oncology Letters 26.6 (2023): 528.
Chicago
Wu, F., Xia, C., Hai, R., Chen, X., Li, M., Guo, Q., Liu, S., Zhou, X."Papillary thyroid carcinoma with clear cell renal cell carcinoma metastasized to the thyroid gland: A case report". Oncology Letters 26, no. 6 (2023): 528. https://doi.org/10.3892/ol.2023.14115
Follow us
  • Twitter
  • LinkedIn
  • Facebook
About
  • Spandidos Publications
  • Careers
  • Cookie Policy
  • Privacy Policy
How can we help?
  • Help
  • Live Chat
  • Contact
  • Email to our Support Team