Spandidos Publications Logo
  • About
    • About Spandidos
    • Aims and Scopes
    • Abstracting and Indexing
    • Editorial Policies
    • Reprints and Permissions
    • Job Opportunities
    • Terms and Conditions
    • Contact
  • Journals
    • All Journals
    • Oncology Letters
      • Oncology Letters
      • Information for Authors
      • Editorial Policies
      • Editorial Board
      • Aims and Scope
      • Abstracting and Indexing
      • Bibliographic Information
      • Archive
    • International Journal of Oncology
      • International Journal of Oncology
      • Information for Authors
      • Editorial Policies
      • Editorial Board
      • Aims and Scope
      • Abstracting and Indexing
      • Bibliographic Information
      • Archive
    • Molecular and Clinical Oncology
      • Molecular and Clinical Oncology
      • Information for Authors
      • Editorial Policies
      • Editorial Board
      • Aims and Scope
      • Abstracting and Indexing
      • Bibliographic Information
      • Archive
    • Experimental and Therapeutic Medicine
      • Experimental and Therapeutic Medicine
      • Information for Authors
      • Editorial Policies
      • Editorial Board
      • Aims and Scope
      • Abstracting and Indexing
      • Bibliographic Information
      • Archive
    • International Journal of Molecular Medicine
      • International Journal of Molecular Medicine
      • Information for Authors
      • Editorial Policies
      • Editorial Board
      • Aims and Scope
      • Abstracting and Indexing
      • Bibliographic Information
      • Archive
    • Biomedical Reports
      • Biomedical Reports
      • Information for Authors
      • Editorial Policies
      • Editorial Board
      • Aims and Scope
      • Abstracting and Indexing
      • Bibliographic Information
      • Archive
    • Oncology Reports
      • Oncology Reports
      • Information for Authors
      • Editorial Policies
      • Editorial Board
      • Aims and Scope
      • Abstracting and Indexing
      • Bibliographic Information
      • Archive
    • Molecular Medicine Reports
      • Molecular Medicine Reports
      • Information for Authors
      • Editorial Policies
      • Editorial Board
      • Aims and Scope
      • Abstracting and Indexing
      • Bibliographic Information
      • Archive
    • World Academy of Sciences Journal
      • World Academy of Sciences Journal
      • Information for Authors
      • Editorial Policies
      • Editorial Board
      • Aims and Scope
      • Abstracting and Indexing
      • Bibliographic Information
      • Archive
    • International Journal of Functional Nutrition
      • International Journal of Functional Nutrition
      • Information for Authors
      • Editorial Policies
      • Editorial Board
      • Aims and Scope
      • Abstracting and Indexing
      • Bibliographic Information
      • Archive
    • International Journal of Epigenetics
      • International Journal of Epigenetics
      • Information for Authors
      • Editorial Policies
      • Editorial Board
      • Aims and Scope
      • Abstracting and Indexing
      • Bibliographic Information
      • Archive
    • Medicine International
      • Medicine International
      • Information for Authors
      • Editorial Policies
      • Editorial Board
      • Aims and Scope
      • Abstracting and Indexing
      • Bibliographic Information
      • Archive
  • Articles
  • Information
    • Information for Authors
    • Information for Reviewers
    • Information for Librarians
    • Information for Advertisers
    • Conferences
  • Language Editing
Spandidos Publications Logo
  • About
    • About Spandidos
    • Aims and Scopes
    • Abstracting and Indexing
    • Editorial Policies
    • Reprints and Permissions
    • Job Opportunities
    • Terms and Conditions
    • Contact
  • Journals
    • All Journals
    • Biomedical Reports
      • Information for Authors
      • Editorial Policies
      • Editorial Board
      • Aims and Scope
      • Abstracting and Indexing
      • Bibliographic Information
      • Archive
    • Experimental and Therapeutic Medicine
      • Information for Authors
      • Editorial Policies
      • Editorial Board
      • Aims and Scope
      • Abstracting and Indexing
      • Bibliographic Information
      • Archive
    • International Journal of Epigenetics
      • Information for Authors
      • Editorial Policies
      • Editorial Board
      • Aims and Scope
      • Abstracting and Indexing
      • Bibliographic Information
      • Archive
    • International Journal of Functional Nutrition
      • Information for Authors
      • Editorial Policies
      • Editorial Board
      • Aims and Scope
      • Abstracting and Indexing
      • Bibliographic Information
      • Archive
    • International Journal of Molecular Medicine
      • Information for Authors
      • Editorial Policies
      • Editorial Board
      • Aims and Scope
      • Abstracting and Indexing
      • Bibliographic Information
      • Archive
    • International Journal of Oncology
      • Information for Authors
      • Editorial Policies
      • Editorial Board
      • Aims and Scope
      • Abstracting and Indexing
      • Bibliographic Information
      • Archive
    • Medicine International
      • Information for Authors
      • Editorial Policies
      • Editorial Board
      • Aims and Scope
      • Abstracting and Indexing
      • Bibliographic Information
      • Archive
    • Molecular and Clinical Oncology
      • Information for Authors
      • Editorial Policies
      • Editorial Board
      • Aims and Scope
      • Abstracting and Indexing
      • Bibliographic Information
      • Archive
    • Molecular Medicine Reports
      • Information for Authors
      • Editorial Policies
      • Editorial Board
      • Aims and Scope
      • Abstracting and Indexing
      • Bibliographic Information
      • Archive
    • Oncology Letters
      • Information for Authors
      • Editorial Policies
      • Editorial Board
      • Aims and Scope
      • Abstracting and Indexing
      • Bibliographic Information
      • Archive
    • Oncology Reports
      • Information for Authors
      • Editorial Policies
      • Editorial Board
      • Aims and Scope
      • Abstracting and Indexing
      • Bibliographic Information
      • Archive
    • World Academy of Sciences Journal
      • Information for Authors
      • Editorial Policies
      • Editorial Board
      • Aims and Scope
      • Abstracting and Indexing
      • Bibliographic Information
      • Archive
  • Articles
  • Information
    • For Authors
    • For Reviewers
    • For Librarians
    • For Advertisers
    • Conferences
  • Language Editing
Login Register Submit
  • This site uses cookies
  • You can change your cookie settings at any time by following the instructions in our Cookie Policy. To find out more, you may read our Privacy Policy.

    I agree
Search articles by DOI, keyword, author or affiliation
Search
Advanced Search
presentation
Oncology Letters
Join Editorial Board Propose a Special Issue
Print ISSN: 1792-1074 Online ISSN: 1792-1082
Journal Cover
December-2023 Volume 26 Issue 6

Full Size Image

Sign up for eToc alerts
Recommend to Library

Journals

International Journal of Molecular Medicine

International Journal of Molecular Medicine

International Journal of Molecular Medicine is an international journal devoted to molecular mechanisms of human disease.

International Journal of Oncology

International Journal of Oncology

International Journal of Oncology is an international journal devoted to oncology research and cancer treatment.

Molecular Medicine Reports

Molecular Medicine Reports

Covers molecular medicine topics such as pharmacology, pathology, genetics, neuroscience, infectious diseases, molecular cardiology, and molecular surgery.

Oncology Reports

Oncology Reports

Oncology Reports is an international journal devoted to fundamental and applied research in Oncology.

Experimental and Therapeutic Medicine

Experimental and Therapeutic Medicine

Experimental and Therapeutic Medicine is an international journal devoted to laboratory and clinical medicine.

Oncology Letters

Oncology Letters

Oncology Letters is an international journal devoted to Experimental and Clinical Oncology.

Biomedical Reports

Biomedical Reports

Explores a wide range of biological and medical fields, including pharmacology, genetics, microbiology, neuroscience, and molecular cardiology.

Molecular and Clinical Oncology

Molecular and Clinical Oncology

International journal addressing all aspects of oncology research, from tumorigenesis and oncogenes to chemotherapy and metastasis.

World Academy of Sciences Journal

World Academy of Sciences Journal

Multidisciplinary open-access journal spanning biochemistry, genetics, neuroscience, environmental health, and synthetic biology.

International Journal of Functional Nutrition

International Journal of Functional Nutrition

Open-access journal combining biochemistry, pharmacology, immunology, and genetics to advance health through functional nutrition.

International Journal of Epigenetics

International Journal of Epigenetics

Publishes open-access research on using epigenetics to advance understanding and treatment of human disease.

Medicine International

Medicine International

An International Open Access Journal Devoted to General Medicine.

Journal Cover
December-2023 Volume 26 Issue 6

Full Size Image

Sign up for eToc alerts
Recommend to Library

  • Article
  • Citations
    • Cite This Article
    • Download Citation
    • Create Citation Alert
    • Remove Citation Alert
    • Cited By
  • Similar Articles
    • Related Articles (in Spandidos Publications)
    • Similar Articles (Google Scholar)
    • Similar Articles (PubMed)
  • Download PDF
  • Download XML
  • View XML

  • Supplementary Files
    • Supplementary_Data.pdf
Article Open Access

LAMC2 is a potential prognostic biomarker for cholangiocarcinoma

  • Authors:
    • Khaa Hoo Ong
    • Yao-Yu Hsieh
    • Hong-Yue Lai
    • Ding-Ping Sun
    • Tzu-Ju Chen
    • Steven Kuan‑Hua Huang
    • Yu-Feng Tian
    • Chia-Lin Chou
    • Yow-Ling Shiue
    • Hung-Chang Wu
    • Ti-Chun Chan
    • Hsin-Hwa Tsai
    • Chien-Feng Li
    • Yu-Hsuan Kuo
  • View Affiliations / Copyright

    Affiliations: Department of Surgery, Division of Gastroenterology and General Surgery, Chi Mei Medical Center, Tainan 710, Taiwan, R.O.C., Division of Hematology and Oncology, Taipei Medical University Shuang Ho Hospital, New Taipei 23561, Taiwan, R.O.C., Department of Pharmacology, School of Medicine, College of Medicine, China Medical University, Taichung 404, Taiwan, R.O.C., Department of Medical Technology, Chung Hwa University of Medical Technology, Tainan 717, Taiwan, R.O.C., Department of Surgery, Division of Urology, Chi Mei Medical Center, Tainan 710, Taiwan, R.O.C., Department of Surgery, Division of Colon and Rectal Surgery, Chi Mei Medical Center, Tainan 710, Taiwan, R.O.C., Institute of Biomedical Sciences, National Sun Yat‑sen University, Kaohsiung 804, Taiwan, R.O.C., Department of Internal Medicine, Division of Hematology and Oncology, Chi‑Mei Medical Center, Tainan 71004, Taiwan, R.O.C., Department of Medical Research, Chi Mei Medical Center, Tainan 710, Taiwan, R.O.C., Department of Laboratory Medicine, China Medical University Hospital, Taichung 404, Taiwan, R.O.C., Institute of Precision Medicine, National Sun Yat‑sen University, Kaohsiung 804, Taiwan, R.O.C.
    Copyright: © Ong et al. This is an open access article distributed under the terms of Creative Commons Attribution License.
  • Article Number: 533
    |
    Published online on: October 30, 2023
       https://doi.org/10.3892/ol.2023.14120
  • Expand metrics +
Metrics: Total Views: 0 (Spandidos Publications: | PMC Statistics: )
Metrics: Total PDF Downloads: 0 (Spandidos Publications: | PMC Statistics: )
Cited By (CrossRef): 0 citations Loading Articles...

This article is mentioned in:



Abstract

Cholangiocarcinoma is a common malignancy with increasing incidence worldwide. Most patients are diagnosed at the advanced stage with poor survival rate. Laminin subunit γ2 (LAMC2) is a heparin binding‑associated gene involved in tumorigenesis and has been implicated in the prognosis of various types of cancers. However, it is unclear whether expression of LAMC2 is associated with the clinical outcome of patients with cholangiocarcinoma. In the present study, the role and prognostic value of LAMC2 expression in patients with cholangiocarcinoma was investigated. Clinical information and pathological characteristics were analyzed and the association between LAMC2 expression and clinical characteristics, pathological findings and patient outcomes, including metastasis‑free and disease‑specific survival, were investigated. Data from 182 patients with cholangiocarcinoma were evaluated. High LAMC2 expression was associated with higher tumor stage (P<0.001), large duct type (P=0.024) and poor histological grade (P=0.002). Kaplan‑Meier analysis showed high LAMC2 expression was associated with lower overall (P=0.003), disease‑specific (P=0.0025), local recurrence‑free (P<0.0001) and metastasis‑free survival (P<0.0001). Moreover, multivariate analysis demonstrated that increased LAMC2 expression was a significant predictive risk factor for overall [hazard ratio (HR) 1.713; P=0.034], disease‑specific (HR 2.011; P=0.039), local recurrence‑free (HR 2.721; P<0.001) and metastasis‑free survival (HR 3.117; P<0.001). Gene enrichment analysis using Gene Ontology showed that terms associated with LAMC2 upregulation were ‘regulation of platelet‑derived growth factor receptor‑βsignaling pathway’ and ‘platelet‑derived growth factor receptor‑β signaling pathway’. The present study indicated that LAMC2 was upregulated in cholangiocarcinoma tumor tissue and had an inverse association with overall, disease‑specific, local recurrence‑free and metastasis‑free survival in patients with cholangiocarcinoma. These results suggested that LAMC2 may serve as a potential biomarker for cholangiocarcinoma.

Introduction

Cholangiocarcinoma is a malignant tumor located in the bile duct epithelium and is the second most common primary hepatobiliary malignancy after hepatocellular carcinoma (1). According to the American Cancer Society, ~12,000 people in the United States are diagnosed with cholangiocarcinoma each year (2). Cholangiocarcinoma is more common in East and Southeast Asia, potentially because eating raw, fermented or undercooked fish leads to parasitic (liver fluke) infection, which in turn triggers chronic bile duct inflammation and increases cancer risk (3,4). Since cholangiocarcinoma lacks diagnostic markers and has limited diagnostic methods, the five-year survival rate of patients with cholangiocarcinoma is <10% (5). Treatment guidelines for cholangiocarcinoma are primarily surgery, radiation therapy and chemotherapy (CT), depending on the disease stage (6). However, most patients with cholangiocarcinoma are asymptomatic at the early stage and are typically only diagnosed when the cholangiocarcinoma has spread to other tissue beyond the bile duct, which limits the treatment options (7). Accordingly, comprehensive identification of potential cholangiocarcinoma diagnostic biomarkers may facilitate design of more effective and targeted therapeutic strategies.

Laminin subunit γ2 (LAMC2) is a member of the extracellular matrix (ECM) glycoprotein family (8). It has been reported that LAMC2 is implicated in various biological processes, including cell adhesion, differentiation, migration, signaling and cancer metastasis (9). For example, previous report have shown that LAMC2 increases cell migration, invasion and metastasis in lung adenocarcinoma by regulating epithelial-mesenchymal transition (EMT) (10). Additionally, expression of LAMC2 enhances cell migration and invasion via directly targeting EMT regulator zinc finger E-box binding homeobox 1 in colorectal cells (11). Conversely, the inhibition of LAMC2 expression promotes gemcitabine sensitivity and decreases cancer progression via EMT signaling and ATP-binding cassette transporters in pancreatic ductal adenocarcinoma (12). Moreover, clinical data have demonstrated that LAMC2 is upregulated in patients with pancreatic (13), bladder (14), lung (10), colorectal (11) and cervical cancer (15). Furthermore, high expression of LAMC2 is associated with worse clinical outcome for different cancer types, such as pancreas, stomach, tongue, bladder, colorectal, lung, squamous cell carcinoma of vulva, cervix andesophagus (squamous) as well as melanoma and anaplasticthyroid carcinom (9). However, the association between LAMC2 expression, clinical significance and survival outcomes in patients with cholangiocarcinoma is unknown.

The present study aimed to investigate the expression of LAMC2 in cholangiocarcinoma and how it can impact prognosis. By uncovering the potential of LAMC2 as a prognostic indicator, the present study aim to provide valuable insights that can improve the care and treatment outcomes for individuals with cholangiocarcinoma.

Materials and methods

Analysis of expression profiles from publicly available cholangiocarcinoma transcriptomic datasets

The cholangiocarcinoma gene expression dataset (accession no. GSE26566) includes information on 59 non-cancerous liver and 104 cholangiocarcinoma tumor tissue samples; data were downloaded from Gene Expression Omnibus (GEO) (https://www.ncbi.nlm.nih.gov/geo/) and analyzed using GeneChip™ Human Genome U133 Plus 2.0 Array (Thermo Fisher Scientific). The comparative analysis was conducted to generate the heatmap of significantly differently expressed genes associated with heparin binding (GO:0008201; geneontology.org/). The expression of the genes was then calculated by probes combinations without preselection or filtering. Genes with significant differential expression (log2 ratio >2; P<0.01) were used for further study.

Patients and tumor specimens

Paraffin-embedded tissue blocks were retrieved from 182 patients with intrahepatic cholangiocarcinoma who had no lymph node or distant metastasis and had received curative surgery. Only individuals with T1-3N0M0 disease were included. No patients received adjuvant CT or radiotherapy. The initial diagnosis was made from January 1990 to December 2010 at The Chi Mei Medical Center (Tainan, Taiwan). The present study was conducted in accordance with the Declaration of Helsinki and approved by The Institutional Review Board of Chi-Mei Medical Center (approval no. 09912003). Informed consent was signed and obtained from all subjects.

In addition, histological subtypes were reevaluated by two pathologists. The tumor stage was assessed by the 7th edition of the American Joint Committee on Cancer (AJCC) staging system (16).

Immunohistochemistry (IHC) staining

The tissue blocks of cholangiocarcinoma were fixed in 4% paraformaldehyde in PBS (4 °C), made transparent, paraffin-embedded, and sliced into 4-µm thick serial sections using a microtome. For antigen retrieval, slides were pressure-cooked in 10 mmol/l citrate buffer at pH 6 for 7 min and washed using TBS buffer with 0.1% Tween-80. The tissues were dewaxed, rehydrated in a graded ethanol submerged in 0.3% H2O2 and in 95% ethanol for 5 min and placed in citrate buffer (pH 6). For H&E staining, tissue section was stained in Mayers Hematoxylin for 1 mi followed by staining blue nuclei in 1X PBS for 1 min and counterstaining in Alcoholic-Eosin for 1 min. Then the tissue sections were dehydrated through 100% EtOH. For immunohistochemistry staining, the sections were stained overnight at 4°C with anti-LAMC2 primary antibody (cat. no. ab125679; Abcam; 1:100) followed by incubation with secondary antibody HRP polymer (car. no. ab214880; Abcam; 1:2,000) for 30 min at room temperature. A total of two pathologists calculated H-score as follows: H-score=π(i +1), where π is the percentage of stained tumor cells and i is the degree of staining (0–3). The i values are indicated as 0 (no evidence of staining), 1 (weak staining), 2 (moderate staining), and 3 (strong staining). Based on the median H-score, the immunostaining was categorized as low or high expression of LAMC2.

Gene function prediction and classification

To determine the function of LAMC2 in intrahepatic cholangiocarcinoma, the association between the mRNA expression levels of LAMC2 and its co-expressed genes from the cholangiocarcinoma dataset containing 51 samples in The Cancer Genome Atlas (TCGA) database (dbGaP Study Accession no.phs000178, cancer.gov/ccg/research/genome-sequencing/tcga) were assessed. The top 200 differentially expressed transcripts exhibiting positive or negative associations with LAMC2 were downloaded. These genes were undergoing functional annotation by the GO classification system (geneontology.org/) and rated by fold enrichment. Fisher's exact test was performed to identify GO terms that were over-represented amongst differentially expressed genes. In this test, the P-value denotes the likelihood of observing ≥x genes from the entire set of n genes associated with a specific GO term. Subsequently, to minimize false positives (type I errors), the original P-value was adjusted for multiple hypothesis testing, resulting in false discovery rate (FDR). P-value and FDR <0.05 were considered to indicate a statistically significant difference.

Statistical analysis

All the data were analyzed using SPSS version 17.0 software (SPSS, Inc.). To explore the association between LAMC2 expression and clinicopathological characteristics in patients with cholangiocarcinoma, medical records were collected and overall, disease-specific, local recurrence-free and metastasis-free survival of patients with cholangiocarcinoma from treatment start date to the event occurrence were analyzed. Using uni- and multivariate analysis, LAMC2 expression and clinicopathological variables were discovered as predictors of OS (measured from curative surgery to the time of any cause mortality), DSS (measured from curative surgery to the time of cancer mortality), LRS (measured from curative surgery to the time of first local recurrence) and MFS (measured from curative surgery to the first metastasis). Survival curves were obtained by Kaplan-Meier analysis and log-rank test. P<0.05 was considered to indicate a statistically significant difference.

Results

Heparin binding-associated gene LAMC2 is significantly upregulated in patients with cholangiocarcinoma

To identify a potential target for diagnosis of patients with cholangiocarcinoma, the public cholangiocarcinoma transcriptome dataset (accession no. GSE26566) in the GEO database, which contains 104 cholangiocarcinoma tumor and 59 non-cancerous liver tissue samples. The comparative analysis was conducted to detect significantly differently expressed genes associated with heparin binding (GO:0008201). The heatmap data revealed 19 heparin binding-associated genes with significant differential expression (Fig. 1). In GO Term database, three probes for LAMC2 are used including: ILMN_1701424, ILMN_1653824 and ILMN_1706519. All LAMC2 probes exhibited significant expression fold-change between cholangiocarcinoma tumor tissue and non-cancerous liver tissue. Specifically, ILMN_1701424 probe exhibited the highest expression fold change (log ratio, 2.7229; Table I). Collectively, these findings demonstrated that LAMC2 may play an essential role in cancer progression in cholangiocarcinoma.

Figure 1.

Analysis of gene expression in cholangiocarcinoma using a published trascriptome dataset (GSE26566). Heatmap showing differential expression of genes associated with heparin binding (GO:0008201) in cholangiocarcinoma (cluster 1) and non-cholangiocarcinoma tumors (cluster 2). Black, mean expression; green, downregulation; red, upregulation. A total of three probes were utilized to detect LAMC2.

Table I.

Alteration of genes associated with heparin binding (accession no. GO:0008201) in cholangiocarcinoma (accession no.GSE26566).

Table I.

Alteration of genes associated with heparin binding (accession no. GO:0008201) in cholangiocarcinoma (accession no.GSE26566).

Cholangiocarcinoma vs. non-tumoraCholangiocarcinoma vs. normal intrahepatic bile ductb


ProbeLog ratioP-valueLog ratioP-valueGeneMolecular functionBiological process
ILMN_17014242.7229<0.00012.3705<0.0001LAMC2‘Heparin binding’, ‘protein binding’‘Cell adhesion’, ‘epidermis development’
ILMN_16538241.7967<0.00011.7476<0.0001LAMC2‘Heparin binding’, ‘protein binding’‘Cell adhesion’, ‘epidermis development’
ILMN_16788421.25880.00081.9732<0.0001THBS2‘Structural molecule activity’, ‘heparinbinding’, ‘calcium ion binding’,‘protein binding’‘Cell adhesion’
ILMN_17065190.76680.00070.626<0.0001LAMC2‘Heparin binding’, ‘protein binding’‘Cell adhesion’, ‘epidermis development’
ILMN_1813753−0.31560.0065−0.1140.0043PTN‘Cytokine activity’, ‘protein phosphatase inhibitor activity’, ‘heparin binding, growth factor activity’Cell proliferation’, ‘transmembrane receptor protein tyrosine phosphatase signaling pathway’, ‘positive regulation of cell proliferation’
ILMN_1682937−0.37740.0003−0.2562<0.0001RSPO1‘Electron carrier activity’, ‘iron ion binding’, ‘heparin binding’‘Wnt receptor signaling pathway’, ‘electron transport’
ILMN_1764030−0.65380.0005−0.3667<0.0001CCL23‘Heparin binding’, ‘chemokine activity’Cell-cell signaling’, ‘negative regulation of cell proliferation’, ‘chemotaxis’, ‘calcium ion homeostasis’, ‘G-protein coupled receptor protein signaling pathway’, ‘signal transduction’, ‘inflammatory response’
ILMN_1807101−1.00340.0001−1.7784<0.0001F11‘Coagulation factor XIa activity’, ‘peptidase activity’, ‘heparin binding’, ‘coagulation factor IXa activity’‘Blood coagulation’
ILMN_1681983−1.0244<0.0001−0.3955<0.0001RSPO3‘Electron carrier activity’, ‘iron ion binding’, ‘heparin binding’‘Wnt receptor signaling pathway’, ‘electrontransport’
ILMN_1686109−1.3490.0001−0.7483<0.0001CCL23‘Heparin binding’, ‘chemokine activity’‘Cell-cell signaling’, ‘negative regulation of cell proliferation’, ‘chemotaxis’, ‘calcium ion homeostasis’, ‘G-protein coupled receptor protein signaling pathway’, ‘signal transduction, inflammatory response’
ILMN_1696974−1.99490.0006−2.6032<0.0001ANG‘Pancreatic ribonuclease activity’, ‘hydrolase activity’, ‘ribonuclease activity’, ‘DNA binding’, ‘endo-nuclease activity’, ‘receptor binding, copper ion binding’, ‘rRNA binding’, ‘heparin binding, actin binding’‘Negative regulation of protein biosynthesis’, ‘calcium-dependent phospholipase A2 activation’, ‘positive regulation of endothelial cell proliferation’, ‘homeostasis’, ‘response to hypoxia’, ‘angiogenesis’, ‘phospholipase C activation’, ‘ovarian follicle developpment’, ‘diacylglycerol biosynthesis’, ‘ribosome biogenesis’, ‘rRNA transcription’, ‘cell differentiation’, ‘positive regulation of protein secretion’, ‘negative regulation of smooth muscle cell proliferation’, ‘cell communication’, ‘actin filament polymerization’
ILMN_1707975−2.05030.0002−3.0614<0.0001SER-PIND1‘Serine-type endopeptidase inhibitor activity’, ‘heparin binding’‘Blood coagulation’, ‘chemotaxis’
ILMN_1691127−2.06250.0053−2.6248<0.0001VTN‘Heparin binding’, ‘protein binding’‘Immune response’, ‘cell adhesion’
ILMN_1740609−2.2868<0.0001−1.5285<0.0001CCL15‘Chemokine activity’, ‘chemoattractant activity’, ‘signal transducer activity’, ‘heparin binding’‘Signal transduction’, ‘immune response’, ‘antimicrobial humoral response (sensu Vertebrata)’, ‘cell-cell signaling’, ‘chemotaxis’, ‘calcium ion homeostasis’
ILMN_1664024−2.42240.0010−3.0416<0.0001APOB‘Receptor binding’, ‘lipid transporteractivity’, ‘heparin binding’‘Circulation, cholesterol metabolism’, ‘lipid trans port’, ‘lipid metabolism’, ‘steroid metabolism’, ‘signal transduction’
ILMN_1807339−2.65980.0005−3.8929<0.0001HRG‘Heparin binding’, ‘cysteine protease inhibitor activity’
ILMN_1761511−2.73740.0001−3.4698<0.0001APOH‘Lipid transporter activity’, ‘heparin binding’‘Defense response’
ILMN_1673566−2.8885<0.0001−0.6183<0.0001ADAMTS1‘Zinc ion binding, metal ion binding’, ‘integrin binding, heparin binding’, ‘metalloendopeptidase‘Negative regulation of cell proliferation’, ‘integrinmediated signaling pathway’
ILMN_1753729−3.12260.0014−3.8105<0.0001KNG1activity’ ‘Receptor binding, cysteine proteaseinhibitor activity’, ‘zinc ion binding’, ‘heparin binding’‘Diuresis’, ‘negative regulation of cell adhesion’, ‘vasodilation’, ‘positive regulation of apoptosis’, ‘blood coagulation’, ‘smooth muscle contraction’, ‘natriuresis’,‘negative regulation of blood coagulation’, ‘inflammatory response’
ILMN_1762605−3.6489<0.0001−4.0868<0.0001SERPINC1‘Serine-type endopeptidase inhibitor activity’, ‘heparin binding’, ‘protein binding’‘Blood coagulation’
ILMN_1723418−6.3865<0.0001−0.38660.0084CEL‘Hydrolase activity’, ‘serine esterase activity’, ‘triacylglycerol lipase activity’, ‘sterol esterase activity’, ‘heparin binding’‘Pancreatic juice secretion’, ‘protein amino acid esterification’, ‘cholesterol absorption’, ‘cholesterol catabolism’, ‘triacylglycerol metabolism’, ‘fatty acid catabolism’, ‘lipid metabolism’, ‘lipid catabolism’

{ label (or @symbol) needed for fn[@id='tfn1-ol-26-6-14120'] } Cholangiocarcinoma (n=104) vs.

a surrounding liver (n=59) and normal intrahepatic bile duct tissue (n=6) and

b normal intrahepatic bile duct tissue (n=6).

LAMC2 expression is associated with poorer clinical pathological parameters of patients with cholangiocarcinoma

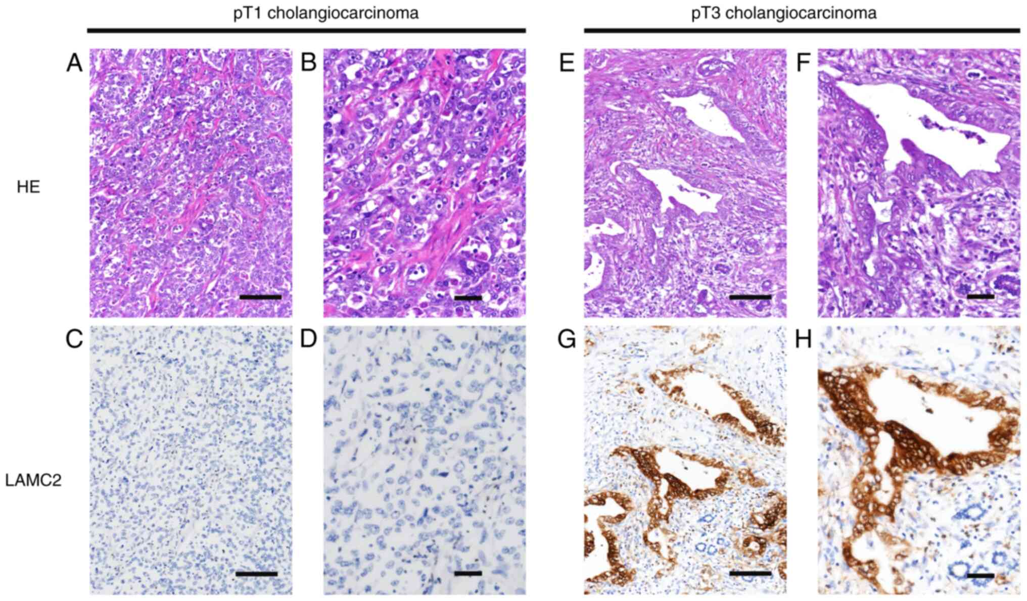
The aforementioned data confirmed that high expression of LAMC2 may be associated with cholangiocarcinoma progression. Therefore, the association between LAMC2 expression and the clinicopathological features of patients with cholangiocarcinoma was explored (Table II). A total of 182 patients with cholangiocarcinoma were collected including 108 male patients and 75 patients ≥65 years old. Moreover, the clinicopathological parameters were analyzed; LAMC2 (low vs. high expression) in the tumors of patients with cholangiocarcinoma was significantly associated with the status of primary tumor, histological variant and the histological grade. However, sex, age, hepatitis, intrahepatic lithiasis and surgical margin showed no significant difference between tumor tissue of patients with cholangiocarcinoma with differential LAMC2 expression. LAMC2 protein expression in human cholangiocarcinoma tumor tissue was further confirmed by IHC staining. Low-stage cholangiocarcinoma tissue had lower LAMC2 expression (Fig. 2A-D) than high-stage cholangiocarcinoma tissue (Fig. 2E-H). These data showed that LAMC2 expression was markedly associated with clinicopathological characteristics and cancer progression in patients with cholangiocarcinoma.

Figure 2.

Representative sections of LAMC2 immunostaning. Immunohistochemistry staining showed lower LAMC2 expression in pT1 stage cholangiocarcinoma HE staining at (A) magnification, ×200; scale bar, 500 µm and (B) magnification, ×400; scale bar 200 µm. LAMC2 staining at (C) magnification, ×200; scale bar, 500 µm and (D) magnification, ×400; scale bar 200 µm compared with pT3 stage cholangiocarcinoma HE staining at (E) magnification, ×200; scale bar, 500 µm and (F) magnification, ×400; scale bar 200 µm. LAMC2 staining at (G) magnification, ×200; scale bar, 500 µm and (H) magnification, ×400; scale bar 200 µm. HE, hematoxylin and eosin; LAMC2, laminin subunit γ2; pT, pathological T.

Table II.

Association between LAMC2 expression and clinicopathological parameters in primary localized cholangiocarcinoma.

Table II.

Association between LAMC2 expression and clinicopathological parameters in primary localized cholangiocarcinoma.

LAMC2 expression

ParameternLowHighP-value
Sex
  Male10857510.365
  Female743440
Age, years
  <6510749580.175
  ≥65754233
Hepatitis
  B7238340.353
  C291712
  Non-B, non-C813645
Intrahepatic lithiasis
  Absent10253490.550
  Present803842
Surgical margin
  R016383800.467
  R119811
Primary tumor stage
  T1875631 <0.001a
  T2612734
  T334826
Histological type
  Large duct10545600.024a
  Small duct774631
Histological grade
  Well differentiated6138230.002a
  Moderately
  differentiated663630
  Poorly differentiated551738

a P<0.05. LAMC2, laminin subunit γ2.

LAMC2 expression is associated with survival of patients with cholangiocarcinoma

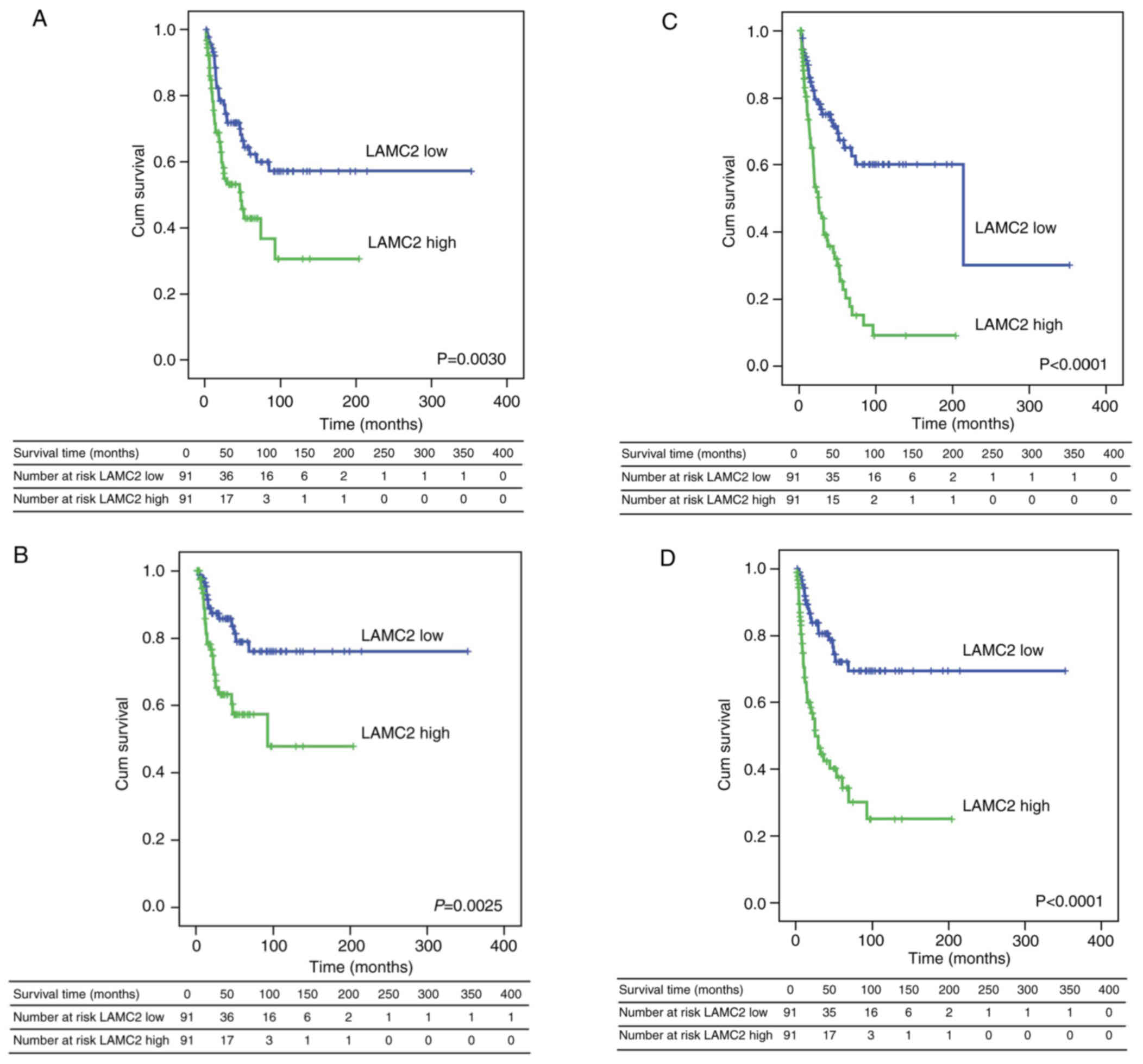
Whether differential expression of the LAMC2 gene affects the survival outcomes of patients with cholangiocarcinoma was explored. Kaplan-Meier survival analysis was performed to confirm that LAMC2 expression was associated with clinicopathological characteristics and prognosis in patients with cholangiocarcinoma. High LAMC2 expression was significantly associated with lower overall (Fig. 3A), disease-specific (Fig. 3B), local recurrence-free (Fig. 3C) and metastasis-free survival (Fig. 3D). Univariate and multivariate analyses revealed the association between prognostic factors of LAMC2 expression and clinicopathological factors in patients with cholangiocarcinoma. Sex, surgical margin (R0 and R1), primary tumor stage (T1, T2 and T3) and LAMC2 expression (high or low) were significantly associated with overall and disease-specific survival (Table III). However, age, hepatitis, intrahepatic lithiasis and histological type (large and small duct) and grade (well, moderately or poorly differentiated) did not differ significantly in overall and disease-specific survival (Table III). The association between local recurrence-free and metastasis-free survival with clinical characteristics was also evaluated by univariate and multivariate analyses. Local recurrence-free and metastasis-free survival were markedly associated with surgical margins, primary tumor stage and LAMC2 expression. Local recurrence-free survival was significantly associated with histological type and grade by univariate, but not multivariate, analysis (Table IV). These results demonstrated that LAMC2 may be a potential indicator of prognosis in patients with cholangiocarcinoma.

Figure 3.

Kaplan-Meier survival analysis of the prognostic significance of LAMC2 expression. Kaplan-Meier survival rates in patients with cholangiocarcinoma showed that high LAMC2 expression associated with worse (A) overall, (B) disease-specific, (C) local recurrence-free and (D) metastasis-free survival. LAMC2, laminin subunit γ2.

Table III.

Univariate log-rank and multivariate analysis for overall and disease-specific survival in primary localized cholangiocarcinoma.

Table III.

Univariate log-rank and multivariate analysis for overall and disease-specific survival in primary localized cholangiocarcinoma.

Overall survivalDisease-specific survival


Univariate analysisMultivariate analysisUnivariate analysisMultivariate analysis




ParameternnP-valueHR95% CIP-valuenP-valueHR95% CIP-value
Sex
  Male108500.0254a1-0.048a90.0072a1-0.023a
  Female7421 1.6811.004–2.814-32 2.3771.123–5.025-
Age, years
  <65107370.2626---280.2125---
  ≥657534 ---13 ---
Hepatitis
  B72320.2379---160.4561---
  C298 ---19 ---
  Non-B, non-C8131 ---6 ---
Intrahepatic lithiasis
  Absent102360.2831---190.1613---
  Present8035 ---22 ---
Surgical margin
  R016359 <0.0001a1-0.002a31 <0.0001a1- <0.001a
  R11912 2.9781.513–5.862 10 4.4462.012–9.827
Primary tumor stage
  T187250.0001a1-0.012a9 <0.0001a1-0.003a
  T26127 1.5790.900–2.770-19 2.8861.279–6.510-
  T33419 2.2701.185–4.347-13 3.8151.544–9.426-
Histological type
  Large duct105430.4281---270.1984---
  Small duct7728 ---14 ---
Differentiation
  Well61200.1663---120.3881---
  Moderately6628 ---16 ---
  Poorly5523 ---13 ---
LAMC2 expression
  Low91300.0030a1-0.034a150.0025a1-0.039a
  High9141 1.7131.042–2.818-26 2.0111.037–3.901-

a P<0.05. LAMC2, laminin subunit γ2; -, not applicable.

Table IV.

Univariate log-rank and multivariate analysis for local recurrence-free and metastasis-free survival in primary localized cholangiocarcinoma.

Table IV.

Univariate log-rank and multivariate analysis for local recurrence-free and metastasis-free survival in primary localized cholangiocarcinoma.

Local recurrence-free survivalMetastasis-free survival


Univariate analysisMultivariate analysisUnivariate analysisMultivariate analysis




ParameternnP-valueHR95% CIP-valuenP-valueHR95% CIP-value
Sex
  Male108540.2170---210.1008---
  Female7431 ---44 ---
Age, years
  <65107550.2993---420.2936---
  ≥657530 ---23 ---
Hepatitis
  B72330.7333---260.8762---
  C2913 ---11 ---
  Non-B, non-C8139 ---28 ---
Intrahepatic lithiasis
  Absent102410.0551---310.1000---
  Present8044 ---34 ---
Surgical margin
  R016371 <0.0001a1- <0.001a54 <0.0001a1 0.001a
  R11914 4.1202.145–7.913 11 3.2501.607–6.577
Primary tumor stage
  T18728 <0.0001a1-0.004a21 <0.0001a1-0.018a
  T26132 1.4450.827–2.524 26 1.8261.011–3.298
  T33425 2.2321.230–4.048 18 2.1661.110–4.227
Histological type
  Large duct105580.0085a1-0.373430.0759---
  Small duct7727 0.8030.495–1.301 22 ---
Differentiation
  Well61280.0299a1-0.794220.1794---
  Moderately6627 0.8690.498–1.516 22 ---
  Poorly5530 1.0830.616–1.903 21 ---
LAMC2 expression
  Low9128 <0.0001a1- <0.001a20 <0.0001a1- <0.001a
  High9157 2.7211.656–4.470 45 3.1171.799–5.403

a P<0.05. LAMC2, laminin subunit γ2; -, not applicable.

LAMC2 gene function prediction

To determine the functions of LAMC2 in cholangiocarcinoma, the top 200 differentially expressed transcripts exhibiting positive (Table SI) or negative association (Table SII) with LAMC2 were downloaded from TCGA cholangiocarcinoma dataset (n=51). GO enrichment showed that the most significant biological processes associated with LAMC2 upregulation were the ‘regulation of platelet-derived growth factor receptor-β signaling pathway’ (GO: 2000586; fold-enrichment, 38.22) and ‘platelet-derived growth factor receptor-β signaling pathway’ (GO: 0035791; fold-enrichment, 38.22; Fig. 4A). Lysyl oxidase (LOX) gene was involved in both aforementioned biological processes. The most significant molecular function associated with LAMC2 upregulation was ‘laminin binding’ (GO: 0043236; fold-enrichment, 25.48; Fig 4B). Moreover, the most significant cellular component associated with LAMC2 upregulation was ‘integrin alpha3-beta1 complex’ (GO: 0034667; fold-enrichment, >100; Fig. 4C). The integrin subunit β1 (ITGB1) and ITGA3 genes, which are implicated in both laminin binding and integrin α3-β1 complex, were identified.

Figure 4.

GO terms enriched in LAMC2 upregulation. GO classification of (A) biological process, (B) molecular function and (C) cellular component exhibiting positive association with LAMC2. GO, Gene Ontology; LAMC2, laminin subunit γ2.

Discussion

Cholangiocarcinoma is a rare malignant tumor located in the bile duct. However, its incidence is increasing globally and it is a global public health problem that needs attention (1,17). To the best of our knowledge, there is no literature identifying the cause of cholangiocarcinoma. Certain studies have investigated risk factors that may serve essential roles in increasing the risk of cholangiocarcinoma, including primary sclerosing cholangitis, chronic liver disease, smoking, diabetes and liver parasites (liver fluke infection) (18,19). Cholangiocarcinoma is divided into three types based on where it occurs in the bile ducts: Intrahepatic, extrahepatic and distal cholangiocarcinoma (20). Cholangiocarcinoma is asymptomatic in the early stages and is often diagnosed when the disease is already at an advanced stage, which decreases affects treatment options and leads to poor prognosis (21). The 5-year survival rate for intrahepatic cholangiocarcinoma is 9%. However, if the cancer is diagnosed at an early stage, the 5-year survival rate is 25%. If the tumor has spread to the regional lymph nodes, 5-year survival rate is 8%. However, if the tumor has spread to a distant part of the body, 5-year survival rate is 2% (22,23). Thus, identifying potential novel biomarkers is a promising approach to enhancing strategies to treat cholangiocarcinoma.

Here, the tumorigenesis-associated genes in the transcriptome of cholangiocarcinoma (GSE26566) were compared with heparin binding in GO (GO:0008201). Heparin-binding associated gene LAMC2 showed upregulated expression in the cholangiocarcinoma compared with non-tumor tissue. LAMC2 is a key laminin in the ECM glycoprotein family and regulates numerous biological processes, including cell adhesion, differentiation, migration, signaling and metastasis (24). Moreover, accumulating evidence indicates that LAMC2 is also involved in regulating progression in multiple types of cancer (25–27). For example, inhibition of LAMC2 expression decreases cell proliferation, migration and invasion in non-small-cell lung cancer (28). In pancreatic cancer, upregulation of LAMC2 enhances cell migration and invasion through the activation of Akt/sodium-hydrogen antiporter 1) signaling (26). Furthermore, overexpression of LAMC2 increases cell proliferation and decreases cell apoptosis via p38/MAPK signaling activation in ovarian cancer (29). Zhou et al (27) demonstrated that silencing LAMC2 expression suppresses cell migration, invasion and cancer stemness by inhibiting the PI3K/Akt signaling pathway in oral squamous cell carcinoma. Clinical results have shown that LAMC2 is highly expressed and associated with worse survival outcomes in pancreatic, bladder, colorectal, oral and ovarian cancer (9,30,31). To the best of our knowledge, no studies have investigated the association between LAMC2 expression and prognostic outcomes and survival in patients with cholangiocarcinoma. In the present study, IHC showed that LAMC2 protein was upregulated in advanced cholangiocarcinoma tumor tissues compared with early cholangiocarcinoma tumor tissue. Patients with cholangiocarcinoma with a high LAMC2 expression had worse overall, disease-specific, local recurrence-free and metastasis-free survival than patients with cholangiocarcinoma with low LAMC2 expression. Collectively, these results indicated that LAMC2 may serve as a novel predictive marker for patients with cholangiocarcinoma.

The association between LAMC2 and clinicopathological parameters of patients with cholangiocarcinoma was investigated. It was found that LAMC2 expression was markedly associated with primary tumor stage and histological type and grade. Moreover, univariate log-rank and multivariate analyses were performed for overall, disease-specific, local recurrence-free and metastasis-free survival in primary localized IHCC. Univariate and multivariate analysis indicated that sex, surgical margin, primary tumor stage and LAMC2 expression were markedly associated with overall, disease-specific, local recurrence-free and metastasis-free survival. Additionally, univariate, but not multivariate, analysis showed that histological type and grade were significantly associated with local recurrence-free survival in patients with cholangiocarcinoma. These analyses suggested that LAMC2 may be a potential biomarker in patients with cholangiocarcinoma.

A characteristic of cholangiocarcinoma is dense ECM featuring highly desmoplastic stroma comprising collagen, which increases tumor stiffness and decreases drug penetration (32). The LOX family, composed of LOX and LOX-like 1–4, is characterized by catalytic activity leading to collagen crosslinking and ECM remodeling (33). Notably, LOX was a significant gene that was positively associated with LAMC2 in the context of biological processes. LOX also plays a crucial role in EMT and its elevated expression is associated with poor prognosis in hepatocellular carcinoma (34). Nevertheless, whether LAMC2 promotes cholangiocarcioma progression via LOX needs further exploration. ITGB1 and ITGA3 genes were positively associated with LAMC2 in terms of molecular functions and cellular components. Integrin α3β1, formed of ITGA3 and ITGB1, is a receptor for ECM components including laminin, collagen and fibronectin (35,36). Integrin α3β1 is suggested to play an important role in tumor cell invasion of the basement membrane (37). Additionally, the role of laminin in cholangiocarcinoma cell migration (38) and upregulated ITGA3 and ITGB1 levels in cholangiocarcinoma (39) have been documented. Accordingly, the involvement of ITGA3 and ITGB1 in cholangiocarcinoma development mediated by LAMC2 (a laminin component) deserves further investigation.

The present study research has certain limitations. Firstly, it was a retrospective study conducted at a single institution and lacked experimental validation. Secondly, the exact molecular mechanism underlying disease progression and adverse outcomes in LAMC2-overexpressing cholangiocarcinoma remains unclear. Thirdly, there is currently no standardized immunostaining and scoring scheme for assessing LAMC2 expression. Due to the lack of agreed staining standards, it is difficult to reach a consensus. Lastly, to validate the findings, prospective multicenter studies are required.

In conclusion, to the best of our knowledge, the present study is the first to indicate that LAMC2 may serve as a novel biomarker for prognosis of patients with cholangiocarcinoma. Public transcriptome datasets were analyzed with clinical cohorts and LAMC2 was notably upregulated in cholangiocarcinoma tumor tissues. IHC staining was consistent with this result. The expression of LAMC2 in patients with advanced cholangiocarcinoma was higher than in patients with early cholangiocarcinoma. Furthermore, the present study demonstrated that high expression of LAMC2 was associated with poorer overall, disease-specific, local recurrence-free and metastasis-free survival in patients with cholangiocarcinoma. Notably, differential expression of LAMC2 was significantly associated with the primary tumor stage and histological type and histological grade. Therefore, LAMC2 may be a novel biomarker to detect cholangiocarcinoma.

Supplementary Material

Supporting Data

Acknowledgements

Not applicable.

Funding

Funding: No funding was received.

Availability of data and materials

The datasets generated and analyzed during the current study are available in the Gene Expression Omnibus database (National Center for Biotechnology Information, ncbi.nlm.nih.gov/geo/) and in The Cancer Genome Atlas database (National Cancer Institute and National Human Genome Research Institute, cancer.gov/ccg/research/genome-sequencing/tcga).

Authors' contributions

YLS, CFL, KHO, YYH, HYL and YHK conceptualized the study. SKHH and YFT performed the experiments. HCW, TCC, TJC, DPS, CLC and HHT performed the data analysis. KHO, YYH and HYL wrote the manuscript. CLC, CFL and YHK wrote, reviewed and edited the manuscript. YLS, CFL, YHK, SKHH, YFT, TJC, DPS, HCW, TCC, HHT, KHO, YYH, HYL and CLC confirm the authenticity of all the raw data. All authors have read and approved the final manuscript.

Ethics approval and consent to participate

The present study was conducted in accordance with the Declaration of Helsinki and approved by The Institutional Review Board of Chi-Mei Medical Center (Tainan, Taiwan; approval no. 09912003). Informed consent was signed and obtained from all subjects.

Patient consent for publication

Not applicable.

Competing interests

The authors declare that they have no competing interests.

References

1 

Banales JM, Marin JJG, Lamarca A, Rodrigues PM, Khan SA, Roberts LR, Cardinale V, Carpino G, Andersen JB, Braconi C, et al: Cholangiocarcinoma 2020: The next horizon in mechanisms and management. Nat Rev Gastroenterol Hepatol. 17:557–588. 2020. View Article : Google Scholar : PubMed/NCBI

2 

Neuzillet C, Emery C, Teissier C, Bouée S and Lièvre A: Patient healthcare trajectories of intrahepatic cholangiocarcinoma in France: A nationwide retrospective analysis. Lancet Reg Health Eur. 15:1003242022. View Article : Google Scholar : PubMed/NCBI

3 

Khuntikeo N, Titapun A, Loilome W, Yongvanit P, Thinkhamrop B, Chamadol N, Boonmars T, Nethanomsak T, Andrews RH, Petney TN and Sithithaworn P: Current perspectives on opisthorchiasis control and cholangiocarcinoma detection in Southeast Asia. Front Med (Lausanne). 5:1172018. View Article : Google Scholar : PubMed/NCBI

4 

Arunsan P, Ittiprasert W, Smout MJ, Cochran CJ, Mann VH, Chaiyadet S, Karinshak SE, Sripa B, Young ND, Sotillo J, et al: Programmed knockout mutation of liver fluke granulin attenuates virulence of infection-induced hepatobiliary morbidity. Elife. 8:e414632019. View Article : Google Scholar : PubMed/NCBI

5 

Hoyos S, Navas MC, Restrepo JC and Botero RC: Current controversies in cholangiocarcinoma. Biochim Biophys Acta Mol Basis Dis. 1864:1461–1467. 2018. View Article : Google Scholar : PubMed/NCBI

6 

Rizvi S, Khan SA, Hallemeier CL, Kelley RK and Gores GJ: Cholangiocarcinoma-evolving concepts and therapeutic strategies. Nat Rev Clin Oncol. 15:95–111. 2018. View Article : Google Scholar : PubMed/NCBI

7 

Brindley PJ, Bachini M, Ilyas SI, Khan SA, Loukas A, Sirica AE, The BT, Wongkham S and Gores GJ: Cholangiocarcinoma. Nat Rev Dis Primers. 7:652021. View Article : Google Scholar : PubMed/NCBI

8 

Ljubimova JY, Fujita M, Khazenzon NM, Ljubimov AV and Black KL: Changes in laminin isoforms associated with brain tumor invasion and angiogenesis. Front Biosci. 11:81–88. 2006. View Article : Google Scholar : PubMed/NCBI

9 

Garg M, Braunstein G and Koeffler HP: LAMC2 as a therapeutic target for cancers. Expert Opin Ther Targets. 18:979–982. 2014. View Article : Google Scholar : PubMed/NCBI

10 

Moon YW, Rao G, Kim JJ, Shim HS, Park KS, An SS, Kim B, Steeg PS, Sarfaraz S, Changwoo Lee L, et al: LAMC2 enhances the metastatic potential of lung adenocarcinoma. Cell Death Differ. 22:1341–1352. 2015. View Article : Google Scholar : PubMed/NCBI

11 

Huang D, Du C, Ji D, Xi J and Gu J: Overexpression of LAMC2 predicts poor prognosis in colorectal cancer patients and promotes cancer cell proliferation, migration, and invasion. Tumour Biol. 39:10104283177058492017. View Article : Google Scholar : PubMed/NCBI

12 

Okada Y, Takahashi N, Takayama T and Goel A: LAMC2 promotes cancer progression and gemcitabine resistance through modulation of EMT and ATP-binding cassette transporters in pancreatic ductal adenocarcinoma. Carcinogenesis. 42:546–556. 2021. View Article : Google Scholar : PubMed/NCBI

13 

Takahashi S, Hasebe T, Oda T, Sasaki S, Kinoshita T, Konishi M, Ochiai T and Ochiai A: Cytoplasmic expression of laminin gamma2 chain correlates with postoperative hepatic metastasis and poor prognosis in patients with pancreatic ductal adenocarcinoma. Cancer. 94:1894–1901. 2002. View Article : Google Scholar : PubMed/NCBI

14 

Yang JL, Wang CCN, Cai JH, Chou CY, Lin YC and Hung CC: Identification of GSN and LAMC2 as key prognostic genes of bladder cancer by integrated bioinformatics analysis. Cancers (Basel). 12:18092020. View Article : Google Scholar : PubMed/NCBI

15 

Guess CM and Quaranta V: Defining the role of laminin-332 in carcinoma. Matrix Biol. 28:445–455. 2009. View Article : Google Scholar : PubMed/NCBI

16 

Edge SB and Compton CC: The American joint committee on cancer: The 7th edition of the AJCC cancer staging manual and the future of TNM. Ann Surg Oncol. 17:1471–1474. 2010. View Article : Google Scholar : PubMed/NCBI

17 

Khan SA, Tavolari S and Brandi G: Cholangiocarcinoma: Epidemiology and risk factors. Liver Int. 39 (Suppl 1):S19–S31. 2019. View Article : Google Scholar

18 

Ceci L, Zhou T, Lenci I, Meadows V, Kennedy L, Li P, Ekser B, Milana M, Zhang W, Wu C, et al: Molecular mechanisms linking risk factors to cholangiocarcinoma development. Cancers (Basel). 14:14422022. View Article : Google Scholar : PubMed/NCBI

19 

Baidoun F, Sarmini MT, Merjaneh Z and Moustafa MA: Controversial risk factors for cholangiocarcinoma. Eur J Gastroenterol Hepatol. 34:338–344. 2022. View Article : Google Scholar : PubMed/NCBI

20 

Cholangiocarcinoma Working Group, : Italian clinical practice guidelines on cholangiocarcinoma-part I: Classification, diagnosis and staging. Dig Liver Dis. 52:1282–1293. 2020. View Article : Google Scholar : PubMed/NCBI

21 

Chung T and Park YN: Up-to-date pathologic classification and molecular characteristics of intrahepatic cholangiocarcinoma. Front Med (Lausanne). 9:8571402022. View Article : Google Scholar : PubMed/NCBI

22 

Forner A, Vidili G, Rengo M, Bujanda L, Ponz-Sarvisé M and Lamarca A: Clinical presentation, diagnosis and staging of cholangiocarcinoma. Liver Int. 39 (Suppl 1):S98–S107. 2019. View Article : Google Scholar

23 

Geizhals S and Lipner SR: Review of onychocryptosis: Epidemiology, pathogenesis, risk factors, diagnosis and treatment. Dermatol Online J. 25:13030/qt9985w2n0. 2019. View Article : Google Scholar : PubMed/NCBI

24 

Rousselle P and Scoazec JY: Laminin 332 in cancer: When the extracellular matrix turns signals from cell anchorage to cell movement. Semin Cancer Biol. 62:149–165. 2020. View Article : Google Scholar : PubMed/NCBI

25 

Tsuruta D, Kobayashi H, Imanishi H, Sugawara K, Ishii M and Jones JCR: Laminin-332-integrin interaction: A target for cancer therapy? Curr Med Chem. 15:1968–1975. 2008. View Article : Google Scholar : PubMed/NCBI

26 

Wang H, Cai J, Du S, Wei W and Shen X: LAMC2 modulates the acidity of microenvironments to promote invasion and migration of pancreatic cancer cells via regulating AKT-dependent NHE1 activity. Exp Cell Res. 391:1119842020. View Article : Google Scholar : PubMed/NCBI

27 

Zhou YM, Yao YL, Liu W, Shen XM, Shi LJ and Wu L: MicroRNA-134 inhibits tumor stem cell migration and invasion in oral squamous cell carcinomas via downregulation of PI3K-Akt signaling pathway by inhibiting LAMC2 expression. Cancer Biomark. 29:51–67. 2020. View Article : Google Scholar : PubMed/NCBI

28 

Liu M, Cai R, Wang T, Yang X, Wang M, Kuang Z, Xie Y, Zhang J and Zheng Y: LAMC2 promotes the proliferation of cancer cells and induce infiltration of macrophages in non-small cell lung cancer. Ann Transl Med. 9:13922021. View Article : Google Scholar : PubMed/NCBI

29 

Zhang D, Guo H, Feng W and Qiu H: LAMC2 regulated by microRNA-125a-5p accelerates the progression of ovarian cancer via activating p38 MAPK signalling. Life Sci. 232:1166482019. View Article : Google Scholar : PubMed/NCBI

30 

Islam S, Kitagawa T, Baron B, Abiko Y, Chiba I and Kuramitsu Y: ITGA2, LAMB3, and LAMC2 may be the potential therapeutic targets in pancreatic ductal adenocarcinoma: an integrated bioinformatics analysis. Sci Rep. 11:105632021. View Article : Google Scholar : PubMed/NCBI

31 

Garg M, Kanojia D, Okamoto R, Jain S, Madan V, Chien W, Sampath A, Ding LW, Xuan M, Said JW, et al: Laminin-5γ-2 (LAMC2) is highly expressed in anaplastic thyroid carcinoma and is associated with tumor progression, migration, and invasion by modulating signaling of EGFR. J Clin Endocrinol Metab. 99:E62–E72. 2014. View Article : Google Scholar : PubMed/NCBI

32 

Carpino G, Overi D, Melandro F, Grimaldi A, Cardinale V, Di Matteo S, Mennini G, Rossi M, Alvaro D, Barnaba V, et al: Matrisome analysis of intrahepatic cholangiocarcinoma unveils a peculiar cancer-associated extracellular matrix structure. Clin Proteomics. 16:372019. View Article : Google Scholar : PubMed/NCBI

33 

Ye M, Song Y, Pan S, Chu M, Wang ZW and Zhu X: Evolving roles of lysyl oxidase family in tumorigenesis and cancer therapy. Pharmacol Ther. 215:1076332020. View Article : Google Scholar : PubMed/NCBI

34 

Lin HY, Li CJ, Yang YL, Huang YH, Hsiau YT and Chu PY: Roles of lysyl oxidase family members in the tumor microenvironment and progression of liver cancer. Int J Mol Sci. 21:97512020. View Article : Google Scholar : PubMed/NCBI

35 

Barczyk M, Carracedo S and Gullberg D: Integrins. Cell Tissue Res. 339:269–280. 2010. View Article : Google Scholar : PubMed/NCBI

36 

Brown AC, Dysart MM, Clarke KC, Stabenfeldt SE and Barker TH: Integrin α3β1 binding to fibronectin is dependent on the ninth type III repeat. J Biol Chem. 290:25534–25547. 2015. View Article : Google Scholar : PubMed/NCBI

37 

Giannelli G, Astigiano S, Antonaci S, Morini M, Barbieri O, Noonan DM and Albini A: Role of the alpha3beta1 and alpha6beta4 integrins in tumor invasion. Clin Exp Metastasis. 19:217–223. 2002. View Article : Google Scholar : PubMed/NCBI

38 

Islam K, Thummarati P, Kaewkong P, Sripa B and Suthiphongchai T: Role of laminin and cognate receptors in cholangiocarcinoma cell migration. Cell Adh Migr. 15:152–165. 2021. View Article : Google Scholar : PubMed/NCBI

39 

Samaržija I, Dekanić A, Humphries JD, Paradžik M, Stojanović N, Humphries MJ and Ambriović-Ristov A: Integrin crosstalk contributes to the complexity of signalling and unpredictable cancer cell fates. Cancers (Basel). 12:19102020. View Article : Google Scholar : PubMed/NCBI

Related Articles

  • Abstract
  • View
  • Download
  • Twitter
Copy and paste a formatted citation
Spandidos Publications style
Ong KH, Hsieh Y, Lai H, Sun D, Chen T, Huang SK, Tian Y, Chou C, Shiue Y, Wu H, Wu H, et al: LAMC2 is a potential prognostic biomarker for cholangiocarcinoma. Oncol Lett 26: 533, 2023.
APA
Ong, K.H., Hsieh, Y., Lai, H., Sun, D., Chen, T., Huang, S.K. ... Kuo, Y. (2023). LAMC2 is a potential prognostic biomarker for cholangiocarcinoma. Oncology Letters, 26, 533. https://doi.org/10.3892/ol.2023.14120
MLA
Ong, K. H., Hsieh, Y., Lai, H., Sun, D., Chen, T., Huang, S. K., Tian, Y., Chou, C., Shiue, Y., Wu, H., Chan, T., Tsai, H., Li, C., Kuo, Y."LAMC2 is a potential prognostic biomarker for cholangiocarcinoma". Oncology Letters 26.6 (2023): 533.
Chicago
Ong, K. H., Hsieh, Y., Lai, H., Sun, D., Chen, T., Huang, S. K., Tian, Y., Chou, C., Shiue, Y., Wu, H., Chan, T., Tsai, H., Li, C., Kuo, Y."LAMC2 is a potential prognostic biomarker for cholangiocarcinoma". Oncology Letters 26, no. 6 (2023): 533. https://doi.org/10.3892/ol.2023.14120
Copy and paste a formatted citation
x
Spandidos Publications style
Ong KH, Hsieh Y, Lai H, Sun D, Chen T, Huang SK, Tian Y, Chou C, Shiue Y, Wu H, Wu H, et al: LAMC2 is a potential prognostic biomarker for cholangiocarcinoma. Oncol Lett 26: 533, 2023.
APA
Ong, K.H., Hsieh, Y., Lai, H., Sun, D., Chen, T., Huang, S.K. ... Kuo, Y. (2023). LAMC2 is a potential prognostic biomarker for cholangiocarcinoma. Oncology Letters, 26, 533. https://doi.org/10.3892/ol.2023.14120
MLA
Ong, K. H., Hsieh, Y., Lai, H., Sun, D., Chen, T., Huang, S. K., Tian, Y., Chou, C., Shiue, Y., Wu, H., Chan, T., Tsai, H., Li, C., Kuo, Y."LAMC2 is a potential prognostic biomarker for cholangiocarcinoma". Oncology Letters 26.6 (2023): 533.
Chicago
Ong, K. H., Hsieh, Y., Lai, H., Sun, D., Chen, T., Huang, S. K., Tian, Y., Chou, C., Shiue, Y., Wu, H., Chan, T., Tsai, H., Li, C., Kuo, Y."LAMC2 is a potential prognostic biomarker for cholangiocarcinoma". Oncology Letters 26, no. 6 (2023): 533. https://doi.org/10.3892/ol.2023.14120
Follow us
  • Twitter
  • LinkedIn
  • Facebook
About
  • Spandidos Publications
  • Careers
  • Cookie Policy
  • Privacy Policy
How can we help?
  • Help
  • Live Chat
  • Contact
  • Email to our Support Team