Spandidos Publications Logo
  • About
    • About Spandidos
    • Aims and Scopes
    • Abstracting and Indexing
    • Editorial Policies
    • Reprints and Permissions
    • Job Opportunities
    • Terms and Conditions
    • Contact
  • Journals
    • All Journals
    • Oncology Letters
      • Oncology Letters
      • Information for Authors
      • Editorial Policies
      • Editorial Board
      • Aims and Scope
      • Abstracting and Indexing
      • Bibliographic Information
      • Archive
    • International Journal of Oncology
      • International Journal of Oncology
      • Information for Authors
      • Editorial Policies
      • Editorial Board
      • Aims and Scope
      • Abstracting and Indexing
      • Bibliographic Information
      • Archive
    • Molecular and Clinical Oncology
      • Molecular and Clinical Oncology
      • Information for Authors
      • Editorial Policies
      • Editorial Board
      • Aims and Scope
      • Abstracting and Indexing
      • Bibliographic Information
      • Archive
    • Experimental and Therapeutic Medicine
      • Experimental and Therapeutic Medicine
      • Information for Authors
      • Editorial Policies
      • Editorial Board
      • Aims and Scope
      • Abstracting and Indexing
      • Bibliographic Information
      • Archive
    • International Journal of Molecular Medicine
      • International Journal of Molecular Medicine
      • Information for Authors
      • Editorial Policies
      • Editorial Board
      • Aims and Scope
      • Abstracting and Indexing
      • Bibliographic Information
      • Archive
    • Biomedical Reports
      • Biomedical Reports
      • Information for Authors
      • Editorial Policies
      • Editorial Board
      • Aims and Scope
      • Abstracting and Indexing
      • Bibliographic Information
      • Archive
    • Oncology Reports
      • Oncology Reports
      • Information for Authors
      • Editorial Policies
      • Editorial Board
      • Aims and Scope
      • Abstracting and Indexing
      • Bibliographic Information
      • Archive
    • Molecular Medicine Reports
      • Molecular Medicine Reports
      • Information for Authors
      • Editorial Policies
      • Editorial Board
      • Aims and Scope
      • Abstracting and Indexing
      • Bibliographic Information
      • Archive
    • World Academy of Sciences Journal
      • World Academy of Sciences Journal
      • Information for Authors
      • Editorial Policies
      • Editorial Board
      • Aims and Scope
      • Abstracting and Indexing
      • Bibliographic Information
      • Archive
    • International Journal of Functional Nutrition
      • International Journal of Functional Nutrition
      • Information for Authors
      • Editorial Policies
      • Editorial Board
      • Aims and Scope
      • Abstracting and Indexing
      • Bibliographic Information
      • Archive
    • International Journal of Epigenetics
      • International Journal of Epigenetics
      • Information for Authors
      • Editorial Policies
      • Editorial Board
      • Aims and Scope
      • Abstracting and Indexing
      • Bibliographic Information
      • Archive
    • Medicine International
      • Medicine International
      • Information for Authors
      • Editorial Policies
      • Editorial Board
      • Aims and Scope
      • Abstracting and Indexing
      • Bibliographic Information
      • Archive
  • Articles
  • Information
    • Information for Authors
    • Information for Reviewers
    • Information for Librarians
    • Information for Advertisers
    • Conferences
  • Language Editing
Spandidos Publications Logo
  • About
    • About Spandidos
    • Aims and Scopes
    • Abstracting and Indexing
    • Editorial Policies
    • Reprints and Permissions
    • Job Opportunities
    • Terms and Conditions
    • Contact
  • Journals
    • All Journals
    • Biomedical Reports
      • Information for Authors
      • Editorial Policies
      • Editorial Board
      • Aims and Scope
      • Abstracting and Indexing
      • Bibliographic Information
      • Archive
    • Experimental and Therapeutic Medicine
      • Information for Authors
      • Editorial Policies
      • Editorial Board
      • Aims and Scope
      • Abstracting and Indexing
      • Bibliographic Information
      • Archive
    • International Journal of Epigenetics
      • Information for Authors
      • Editorial Policies
      • Editorial Board
      • Aims and Scope
      • Abstracting and Indexing
      • Bibliographic Information
      • Archive
    • International Journal of Functional Nutrition
      • Information for Authors
      • Editorial Policies
      • Editorial Board
      • Aims and Scope
      • Abstracting and Indexing
      • Bibliographic Information
      • Archive
    • International Journal of Molecular Medicine
      • Information for Authors
      • Editorial Policies
      • Editorial Board
      • Aims and Scope
      • Abstracting and Indexing
      • Bibliographic Information
      • Archive
    • International Journal of Oncology
      • Information for Authors
      • Editorial Policies
      • Editorial Board
      • Aims and Scope
      • Abstracting and Indexing
      • Bibliographic Information
      • Archive
    • Medicine International
      • Information for Authors
      • Editorial Policies
      • Editorial Board
      • Aims and Scope
      • Abstracting and Indexing
      • Bibliographic Information
      • Archive
    • Molecular and Clinical Oncology
      • Information for Authors
      • Editorial Policies
      • Editorial Board
      • Aims and Scope
      • Abstracting and Indexing
      • Bibliographic Information
      • Archive
    • Molecular Medicine Reports
      • Information for Authors
      • Editorial Policies
      • Editorial Board
      • Aims and Scope
      • Abstracting and Indexing
      • Bibliographic Information
      • Archive
    • Oncology Letters
      • Information for Authors
      • Editorial Policies
      • Editorial Board
      • Aims and Scope
      • Abstracting and Indexing
      • Bibliographic Information
      • Archive
    • Oncology Reports
      • Information for Authors
      • Editorial Policies
      • Editorial Board
      • Aims and Scope
      • Abstracting and Indexing
      • Bibliographic Information
      • Archive
    • World Academy of Sciences Journal
      • Information for Authors
      • Editorial Policies
      • Editorial Board
      • Aims and Scope
      • Abstracting and Indexing
      • Bibliographic Information
      • Archive
  • Articles
  • Information
    • For Authors
    • For Reviewers
    • For Librarians
    • For Advertisers
    • Conferences
  • Language Editing
Login Register Submit
  • This site uses cookies
  • You can change your cookie settings at any time by following the instructions in our Cookie Policy. To find out more, you may read our Privacy Policy.

    I agree
Search articles by DOI, keyword, author or affiliation
Search
Advanced Search
presentation
Oncology Letters
Join Editorial Board Propose a Special Issue
Print ISSN: 1792-1074 Online ISSN: 1792-1082
Journal Cover
April-2024 Volume 27 Issue 4

Full Size Image

Sign up for eToc alerts
Recommend to Library

Journals

International Journal of Molecular Medicine

International Journal of Molecular Medicine

International Journal of Molecular Medicine is an international journal devoted to molecular mechanisms of human disease.

International Journal of Oncology

International Journal of Oncology

International Journal of Oncology is an international journal devoted to oncology research and cancer treatment.

Molecular Medicine Reports

Molecular Medicine Reports

Covers molecular medicine topics such as pharmacology, pathology, genetics, neuroscience, infectious diseases, molecular cardiology, and molecular surgery.

Oncology Reports

Oncology Reports

Oncology Reports is an international journal devoted to fundamental and applied research in Oncology.

Experimental and Therapeutic Medicine

Experimental and Therapeutic Medicine

Experimental and Therapeutic Medicine is an international journal devoted to laboratory and clinical medicine.

Oncology Letters

Oncology Letters

Oncology Letters is an international journal devoted to Experimental and Clinical Oncology.

Biomedical Reports

Biomedical Reports

Explores a wide range of biological and medical fields, including pharmacology, genetics, microbiology, neuroscience, and molecular cardiology.

Molecular and Clinical Oncology

Molecular and Clinical Oncology

International journal addressing all aspects of oncology research, from tumorigenesis and oncogenes to chemotherapy and metastasis.

World Academy of Sciences Journal

World Academy of Sciences Journal

Multidisciplinary open-access journal spanning biochemistry, genetics, neuroscience, environmental health, and synthetic biology.

International Journal of Functional Nutrition

International Journal of Functional Nutrition

Open-access journal combining biochemistry, pharmacology, immunology, and genetics to advance health through functional nutrition.

International Journal of Epigenetics

International Journal of Epigenetics

Publishes open-access research on using epigenetics to advance understanding and treatment of human disease.

Medicine International

Medicine International

An International Open Access Journal Devoted to General Medicine.

Journal Cover
April-2024 Volume 27 Issue 4

Full Size Image

Sign up for eToc alerts
Recommend to Library

  • Article
  • Citations
    • Cite This Article
    • Download Citation
    • Create Citation Alert
    • Remove Citation Alert
    • Cited By
  • Similar Articles
    • Related Articles (in Spandidos Publications)
    • Similar Articles (Google Scholar)
    • Similar Articles (PubMed)
  • Download PDF
  • Download XML
  • View XML
Case Report Open Access

Occult urothelial carcinoma with mediastinal metastasis: A case report

  • Authors:
    • Jingfan Zheng
    • Xintong Peng
    • Xiaoqing Li
    • Yuyu Chen
    • Xinyi Li
    • Ling Fu
    • Ao Li
    • Zhong Lu
  • View Affiliations / Copyright

    Affiliations: School of Clinical Medicine, Weifang Medical University, Weifang, Shandong 261041, P.R. China, Department of Oncology, Affiliated Hospital of Weifang Medical University, Weifang, Shandong 261041, P.R. China
    Copyright: © Zheng et al. This is an open access article distributed under the terms of Creative Commons Attribution License.
  • Article Number: 148
    |
    Published online on: February 9, 2024
       https://doi.org/10.3892/ol.2024.14281
  • Expand metrics +
Metrics: Total Views: 0 (Spandidos Publications: | PMC Statistics: )
Metrics: Total PDF Downloads: 0 (Spandidos Publications: | PMC Statistics: )
Cited By (CrossRef): 0 citations Loading Articles...

This article is mentioned in:



Abstract

Occult urothelial carcinoma (UC), particularly with mediastinal metastases, is an uncommon clinical occurrence. The present study describes the unusual case of a 70‑year‑old male patient who developed mediastinal metastases from an occult UC. Histological evaluations and immunohistochemical features of the mediastinal tumor were indicative of UC; however, extensive imaging failed to identify the primary urological lesion. The findings suggest that mediastinal metastases from UCs, despite their rarity, should be considered in cases where patients with mediastinal tumors exhibit chest‑related symptoms. Prompt pathological examinations are crucial for ascertaining the nature and origin of the tumor. Moreover, individualized treatment should be performed in strict accordance with the established oncology guidelines.

Introduction

Urothelial carcinoma (UC) is a common tumor found in clinical settings. The majority of UC (90–95%), resides in the bladder and is known as urinary bladder urothelial carcinoma (UBUC) (1). In 2020, UBUC ranked as the 10th most commonly diagnosed malignancy, with approximately 573,000 new cases and 213,000 deaths around the world (2). Although most UC cases involve the urinary bladder, ~5% originate in the upper urinary tract (3). Notably, 15–25% of invasive UC cases exhibit morphological variations, such as squamous, glandular, trophoblastic or small cell/high-grade neuroendocrine differentiation, either individually or in combination (4). Patients with early stage UC are often asymptomatic or present only with hematuria, and once distant metastases develop, the prognosis becomes poor (5,6). UC typically metastasizes to distant organs at an advanced stage after the initial diagnosis (6). In addition, occult cancer is rare, and its primary lesion is difficult to detect using standard clinical methods. To date, most reported cases of occult cancer occur in breast cancer, with few cases in thyroid and gynecological cancer types (6). However, to the best of our knowledge, occult UC with mediastinal metastasis has not previously been reported. The current study presents an unusual case of occult urothelial cancer manifesting as a mediastinal metastasis at an early stage.

Case report

A 70-year-old man was initially diagnosed with coronary artery disease at the Department of Cardiology at Weifang People's Hospital (Weifang, China) in September 2022. The patient presented with precordial pain, characterized by stabbing sensations radiating to the back of the shoulder, which were particularly intense during the nighttime. The patient was treated conservatively with oral isosorbide mononitrate [20 mg, twice a day (bid)] for two weeks. During this period, a computed tomography (CT) scan revealed a mediastinal mass in the upper mediastinum posterior to the esophagus, which was considered benign and was not treated further. The patient had a history of smoking for >40 years, with 20 cigarettes per day, and had no notable family medical history.

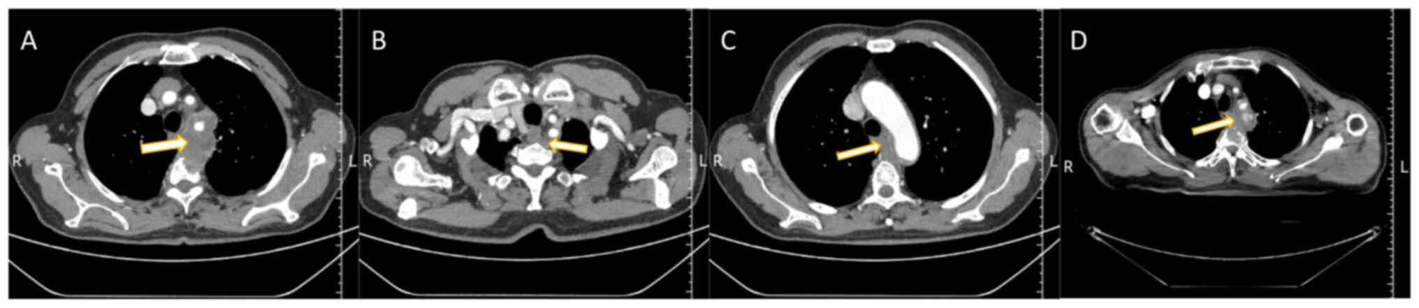
Over the subsequent 5 months, the patient experienced worsening chest pain with a numerical rating scale (7) score of 2, and reported additional symptoms, including blood in the sputum, chest tightness and shortness of breath after physical activity. In late January 2023, a follow-up chest CT conducted at the Department of Cardiology of the Affiliated Hospital of Weifang Medical University (Weifang, China) revealed a soft-tissue density mass in the upper mediastinum posterior to the esophagus. The mass, with unclear boundaries, was ~68.5×45.9×60.0 mm in size. Additionally, there was evidence of bone destruction in the T2 and T3 vertebrae (Fig. 1A-C), suggesting the possibility of a malignant tumor. Subsequent examinations included a CT-guided biopsy of the mediastinal mass, and the postoperative pathology results identified the mass as a metastatic migratory cell carcinoma with a urothelial epithelial origin, characterized as a poorly differentiated carcinoma (tumor biopsy tissue was fixed with 10% neutral buffered formalin at 37°C for 6–8 h. Following gradient ethanol dehydration, xylene transparency and wax dipping, and embedding, the 3-micron paraffin sections were subjected to hematoxylin-eosin staining, where hematoxylin staining was performed for 6–8 min at 22°C and eosin staining was performed for 20–30 sec. Then gradient ethanol dehydration, xylene transparency, sealing, air drying, and finally the sections were successively observed and diagnosed under light microscope at 40 magnification) (Fig. 2A). Immunohistochemical (IHC) analysis yielded positive findings for p40 (cat. no. RMA-1006), cytokeratin 5/6 (CK5/6; cat. no. MAB-0744), p63 (cat. no. MAB-0694), GATA binding factor 3 (GATA-3; cat. no. MAB-0695), CK7 (cat. no. MAB-0828) and Ki-67 labeling index (40%) (cat. no. MAB-0672) (Fig. 2B-G) and negative findings for CD117 (cat. no. Kit-0029), CD5 (cat. no. MAB-0827), CD56 (cat. no. MAB-0743), synaptophysin (Syn) (cat. no. MAB-0742) and thyroid transcription factor-1 (TTF-1) (cat. no. MAB-0599). The paraffin-embedded tissue sections were stained with immunohistochemistry. The tissues were all fixed in 10% neutral buffered formalin at 37°C for 6–8 h. The paraffin sections with the thickness of 3 microns were rinsed with PBS liquid was washed three times, 5 min each time, then 3% methanol hydrogen peroxide liquid was dropwise added on the slides to block endogenous peroxidase (22°C, 10 min), PBS was washed once, and then the primary antibodies were dropwise added (all primary antibodies were purchased from ready-to-use antibodies of China Fuzhou Maixin Biotech, Co., Ltd.), Then incubated for 1 h in a wet box at the constant temperature of 37°C, and rinsed with PBS solution for 3 times, 5 min each time after incubation, then the secondary antibody (purchased from China Fuzhou Maixin Biotech, Co., Ltd., ready-to-use antibody, cat. no. KIT-5030) was added dropwise, and then incubated for 30 min at the constant temperature of 37°C in a wet box, rinsed with PBS solution for 3 times, 5 min each time, then DAB was added dropwise for 3–5 min, and the staining was stopped by washing with distilled water. The sections were observed under light microscope (magnification, ×40). All the analyses were conducted according to standard procedures. Brain magnetic resonance imaging (MRI) showed no metastases, and abdominal MRI revealed no primary lesions in the urinary tract. In February 2023, the patient's family sought a second opinion by taking the pathology slides to a referral hospital. After reviewing the initial puncture pathology findings and the consultation opinion from the referral hospital, the mediastinal mass was considered to be of urological origin. Consequently, the patient was diagnosed with occult UC with mediastinal metastases, without primary lesions in the urinary tract. After pre-treatment preparations, the patient started chemotherapy in February 2023. Two cycles of gemcitabine [1,000 mg/m2 on day 1, day 8, every 21 days (q21d)] and cisplatin (70 mg/m2 on days 1–2, q21d) chemotherapy were administered to stabilize the patient's condition, and osteoprotective treatment with inkadronate disodium (5 mg, q28d) was administered to address the vertebral destruction. Local radiotherapy for the mediastinal tumor and thoracic spine metastases was started 1 month later in April 2023, with a radiation dosage of 2 Gy/30 fractions. In May 2023, a follow-up CT scan was performed, revealing a reduction in the size of the mediastinal mass after radiotherapy (Fig. 1D). This finding led to an adjustment in the radiotherapy regimen; while the radiation dosage remained unchanged, the radiation field was reduced. The patient finished radiotherapy after 43 days. The patient experienced radiotherapy-induced esophagitis, manifesting as a feeling of obstruction during eating, for which a month of symptomatic treatment with continuous intravenous infusion of sodium riboflavin phosphate, intermittent intravenous infusion of sodium methylprednisolone succinate, and oral administration of Kangfuxin solution had been provided. Notably, the patient maintained good overall health and did not experience myelosuppression following the radiation therapy up to the time of writing this study. The patient had no obvious discomfort and had a good prognosis. The patient was asked to have a follow up every 2 months thereafter.

Figure 1.

Chest computed tomography scans of a 70-year-old male patient. (A) The largest cross-section of the mediastinal mass (arrow). (B) The upper border of the mediastinal mass (arrow). (C) The lower border of the mediastinal mass (arrow). (D) Reduced mediastinal mass (arrow) after radiotherapy.

Figure 2.

Histological analyses of biopsied tissue samples. (A) Hematoxylin and eosin staining revealing polygonal tumor cells with eosinophilic cytoplasm and nuclear atypia (magnification, ×400; scale bar, 55 µm). Immunohistochemical staining showing positive expression of (B) p63, (C) CK7, (D) GATA binding factor 3, (E) p40, (F) CK5/6 and (G) Ki-67 (40%) in tumor cells. Immunohistochemical staining showing negative expression of (H) CD5, (I) CD56, (J) CD117, (K) synaptophysin, (L) thyroid transcription factor-1 in tumor cells. (Magnification, ×400; scale bar, 55 µm). CK, cytokeratin.

Discussion

Primary mediastinal tumors commonly include germ cell tumors, thymomas and lymphomas. All cases of UC demonstrate strong diffuse expression of p63 and the majority of cases (94%) demonstrate strong expression of CK7 (8). GATA-3, a zinc finger transcription factor, has now been demonstrated as a valuable, sensitive and relatively specific marker for conventional urothelial carcinoma (9–12). TTF-1 or napsin A and p40 or p63 are the best markers for lung adenocarcinoma and the squamous cell carcinoma (SCC) spectrum, respectively (13–15). Thymic carcinoma is positive for CK5 and CD117 immunoreactivity (16). Established IHC markers for diagnosing neuroendocrine tumor neoplasms include Syn, CD56 and TTF-1, which demonstrate notable sensitivity and specificity in their diagnostic utility (17–19). IHC staining for GATA3 in mediastinal masses is not routinely performed by the Affiliated Hospital of Weifang Medical University (Weifang, China). In the present case, the tumor cells detected by hematoxylin and eosin staining were arranged in nested and solid sheets under the microscope, and the possibility of urothelial and SCC was considered; therefore, IHC staining for GATA3 was performed. In this case, the IHC analysis of the mediastinal tumor revealed significant findings. Positive results for p63, GATA-3 and CK7 supported the diagnosis of UC, with GATA-3 positivity being specific for this type of carcinoma. The presence of p40(+) and CK5/6(+) cells indicated squamous cell differentiation within the tumor, while the negative result for CD117 suggested no tumors of germ cell origin or stromal tumor metastasis, as well as thymic carcinoma. Additionally, the absence of CD5 did not support a diagnosis of thymoma, the negative findings for CD56 and Syn effectively excluded the possibility of a neuroendocrine carcinoma, and the negative TTF-1 status made a pulmonary origin less likely. The pathological morphology of the tumor, in conjunction with these IHC results, supported a diagnosis of metastatic UC. This diagnosis was further confirmed by a pathological consultation at a higher-level hospital. Moreover, a comprehensive abdominal MRI scan revealed no primary lesions in the urinary tract, thereby solidifying the diagnosis of metastatic UC without identifiable primary urinary tract lesions.

UC arises from the uroepithelium, affecting the proximal urethra, urinary bladder and upper urinary tract, with bladder cancer accounting for 90% of UC cases (20). Globally, UC is a leading cause of cancer-related deaths and stands as the most common malignant tumor in the urinary system, with approximately half a million patients diagnosed each year (6,21). UC usually invades nearby tissues and organs, but a small percentage of UC cases can metastasize to distant organs, including the lymph nodes, liver, lungs, bones and adrenal glands (22). The pelvis (68%), spine (12% cervical, 38% thoracic and 34% lumbar), ribs (24%) and femurs (22%) are the most common sites of bone metastasis (23). In the present study, the patient presented with bone destruction in the T2 and T3 spinal areas. This condition was not a result of metastasis; instead, it was caused by the invasion of the vertebral body by a mediastinal mass. Notably, cases of mediastinal metastases are quite rare.

Thoracic metastases from UC are frequently noted, predominantly as solid parenchymal lesions, which are characteristic of hematogenous seeding in the lung. Hiensch et al (24) highlighted several atypical thoracic metastases from UC, including mediastinal lymphadenopathy. Notably, all these cases showed clear evidence of primary tumors. Occult cancers are characterized by metastases that manifest before the primary site is detected, with the primary lesions often being challenging to identify. This phenomenon is observed in breast, thyroid and genitourinary cancers. Specifically, occult breast cancer accounts for 0.3–1% of all breast cancer cases, with axillary nodal metastasis as the first presentation (25). Occult thyroid cancer primarily leads to regional lymph node metastasis and is rarely associated with distant metastasis (26). Clinical evidence suggests that >30% of men without a history of prostate cancer have occult prostate cancer (27), and ~50% of patients with UC have occult regional or distant metastases at the muscle-invasive bladder cancer stage (28). To the best of our knowledge, the present study documents only the second case of occult UC. Bu et al (6) previously reported a case of occult UC with widespread multiorgan metastases. However, the present study uniquely focused on the mediastinal metastasis of occult UC.

In the realm of imaging examinations, CT is effective in identifying metastatic diseases, although it is suboptimal for local staging up to T3a (29). A review by Mirmomen et al (30) highlighted that the accuracy of CT in detecting perivesical infiltration for tumors at stage ≥T3 ranged between 49 and 93%. MRI is more accurate for the early diagnosis of local lesions and has become the preferred imaging method for tumor staging, with a reported accuracy rate of >90% (31). Therefore, MRI of the abdomen and pelvis was selected to identify the primary site in the present case. Unexpectedly, no lesions were detected in the urinary tract. Fluoro-2-deoxy-D-glucose positron emission tomography-CT (FDG PET-CT) has demonstrated high specificity for lymph node staging in patients with UC (32). A prospective study by Kibel et al (33) showed that out of 42 bladder UC cases initially assessed as non-metastatic, 7 cases of occult metastasis were identified by FDG PET/CT (33). This finding underscores the value of FDG PET-CT in the comprehensive assessment of UC, especially in detecting covert metastatic spread. However, FDG PET-CT is not the first choice for diagnosing local lesions due to its high cost. Cystoscopy and ureteroscopy are considered the gold standards for evaluating urinary tract conditions, and a multipoint biopsy can be used to identify carcinoma in situ (34–37). Nevertheless, in clinical practice, cystoscopy and ureteroscopy are rarely supported in patients with negative imaging results and no urinary symptoms. A biopsy of the area where the mass occurs is usually performed to determine the origin of the primary lesion to diagnose occult UC. In the present study, the patient's pathological IHC results showed a urinary epithelial origin. A urologist was consulted who reported that occult UC could be diagnosed combining the aforementioned even without endoscopy, as long as the imaging did not reveal a space-occupying lesion. However, the patient refused to undergo endoscopy. Therefore, IHC analysis was the foundational method for the pathological diagnosis of mediastinal masses in this case. IHC staining for p63 and CK7 helps distinguish adenocarcinoma of the prostate from UC of the bladder (38). Notably, the expression of CK7 is found in 100% of transitional cell carcinomas (39). Furthermore, IHC staining for GATA3 helps distinguish UCs from SCCs of the penile urethra (40). CK5/6, typically present in the normal keratinizing epidermis, is also expressed in the basal cells of both low- and high-grade UCs (41). These IHC markers play a significant role in accurately diagnosing and differentiating UC, particularly when other diagnostic procedures are not an option.

Current imaging techniques do not support the visualization of UC in situ (42). Therefore, a rare case of metastasis of carcinoma in situ cannot be ruled out. Metastasis without an invasive component is extremely rare, with only three other documented cases in the medical literature (43–45). Kim et al (43) reported a case of inguinal and pelvic lymph node metastases from carcinoma in situ in the penis. Avrach and Christensen (44) described a case of erythroplasia of Queyrat with associated lymph node involvement. Additionally, Eng et al (45) detailed a case of lymph node metastasis from carcinoma in situ in the penis. Several relevant theories have attempted to explain this unusual phenomenon of metastasis from carcinoma in situ. Tumor cells can disseminate even from earliest epithelial alterations, and that carcinoma in situ may have the ability to transfer tumor cells into the blood circulation (46). The finding of circulating tumour cells in the peripheral blood (or bone marrow) of patients with ductal carcinoma in situ supports the idea that cancer dissemination may occur in the pre-infiltrative phase before tumour progression, but it is unclear whether these cells are derived from truly pre-invasive breast lesion or represent the earliest stage of micro-infiltration (46). Meanwhile, an article proposes a parallel progression model for breast cancer, suggesting that early carcinogenesis and metastasis are two separate processes rather than sequential events, and that tiny cancers are capable of metastasis prior to invasion into the breast; there is a small subset of cancer stem cells that have metastatic potential from the outset and spread synchronously by multiple pathways, and they are considered to be the founding cells of metastatic lesions (47). That is to say, primary (intramammary) cancer and metastases may appear and grow simultaneously (48). While these theories provide valuable insights, they remain hypothetical and speculative. The occurrence of such events, though acknowledged as true, is extremely rare in clinical practice.

Effective treatment plans should be developed based on patient tumor status. For metastatic UC, gemcitabine combined with cisplatin is one of the standard regimens of systemic chemotherapy (49,50). In recent years, the use of immunotherapy in UC treatment has gradually become a remedial measure for first-line chemotherapy failure or as second-line treatment (51–53). In addition, antibody-drug conjugates have been approved for UC treatment (53,54). Local radiotherapy may be beneficial for the survival of patients with UC, especially those with oligometastases, as described in the present case. A meta-analysis by Longo et al (55) revealed that local radiotherapy not only promoted disease control but was also an effective and safe treatment option for oligometastatic UC (55). Consistent with these findings, the patient in the present study was treated with radiotherapy, and subsequent radiological evaluation by CT showed a significant overall response to the treatment, indicating a favorable sensitivity of the disease to radiotherapy.

The present patient was diagnosed with occult UC through a collaborative effort between pathologists and clinicians. This case report highlights the diagnostic challenges posed by the rarity of mediastinal metastatic occult UCs. In terms of symptoms, the patient initially presented with chest pain and breathlessness; these symptoms can be observed in UC and lung cancer, both of which are smoking-related malignancies. This overlap necessitates a careful differential diagnosis to avoid diagnostic errors. It is hoped that this case report will prompt clinicians to consider occult UC with mediastinal metastasis as a potential diagnosis in similar clinical circumstances.

In summary, mediastinal metastasis originating from UC is rare and may result in a poor prognosis. Therefore, when a patient is diagnosed with a mediastinal tumor, clinicians should consider the possibility of metastasis from UC. If the diagnosis of a mediastinal tumor is confirmed and immunohistochemistry indicates a uroepithelial origin, additional diagnostic procedures such as retrograde urography and FDG PET-CT should be considered. Subsequent individualized treatment in strict accordance with oncology guidelines is effective in preventing complications. Early interventions can effectively prolong survival time.

Acknowledgements

Not applicable.

Funding

Funding: No funding was received.

Availability of data and materials

The data generated in the present study may be requested from the corresponding author.

Authors' contributions

JFZ, XTP, XQL, YYC, XYL, LF, AL and ZL contributed to the study conception and design. Material preparation, and data collection and analysis were performed by ZL, XQL, YYC, XYL, LF and AL. JFZ and XTP wrote the manuscript. JFZ, XTP, ZL and AL confirm the authenticity of all the raw data. All authors have read and approved the final manuscript.

Ethics approval and consent to participate

The study was conducted in accordance with the Declaration of Helsinki and approved by the Institutional Review Board of the Affiliated Hospital of Weifang Medical University (Weifang, China; approval no. wyfy-2023-96-026; 18 May 2023).

Patient consent for publication

Written informed consent has been obtained from family members of the patient to publish this case report with the accompanying images.

Competing interests

The authors declare that they have no competing interests.

Glossary

Abbreviations

Abbreviations:

CK

cytokeratin

GATA-3

GATA binding factor 3

CT

computed tomography

IHC

immunohistochemical

MRI

magnetic resonance imaging

UC

urothelial carcinoma

FDG PET-CT

fluoro-2-deoxy-D-glucose positron emission tomography-CT

TTF-1

thyroid transcription factor-1

Syn

synaptophysin

References

1 

Chan TC, Shiue YL and Li CF: The biological impacts of CEBPD on urothelial carcinoma development and progression. Front Oncol. 13:11237762023. View Article : Google Scholar : PubMed/NCBI

2 

You X, Zhu C, Yu P, Wang X, Wang Y, Wang J, Yu J and Wang K: Emerging strategy for the treatment of urothelial carcinoma: Advances in antibody-drug conjugates combination therapy. Biomed Pharmacother. 171:1161522024.(Epub ahead of print). View Article : Google Scholar : PubMed/NCBI

3 

Szarvas T, Módos O, Horváth A and Nyirády P: Why are upper tract urothelial carcinoma two different diseases? Transl Androl Urol. 5:636–647. 2016. View Article : Google Scholar : PubMed/NCBI

4 

Gandhi J, Chen JF and Al-Ahmadie H: Urothelial carcinoma: Divergent differentiation and morphologic subtypes. Surg Pathol Clin. 15:641–659. 2022. View Article : Google Scholar : PubMed/NCBI

5 

Rayn KN, Hale GR, Bloom JB, Gold SA, Carvalho FLF, Mehralivand S, Czarniecki M, Wood BJ, Merino MJ, Choyke P, et al: Incidental bladder cancers found on multiparametric MRI of the prostate gland: A single center experience. Diagn Interv Radiol. 24:316–320. 2018. View Article : Google Scholar : PubMed/NCBI

6 

Bu K, Shi Z, Lu Y, Zhao J and Li B: An occult urothelial carcinoma with wide multiorgan metastases and its genetic alteration profiling: Case report and literature review. Medicine (Baltimore). 98:e152452019. View Article : Google Scholar : PubMed/NCBI

7 

Alghadir AH, Anwer S, Iqbal A and Iqbal ZA: Test-retest reliability, validity, and minimum detectable change of visual analog, numerical rating, and verbal rating scales for measurement of osteoarthritic knee pain. J Pain Res. 11:851–856. 2018. View Article : Google Scholar : PubMed/NCBI

8 

Carvalho JC, Thomas DG, McHugh JB, Shah RB and Kunju LP: p63, CK7, PAX8 and INI-1: An optimal immunohistochemical panel to distinguish poorly differentiated urothelial cell carcinoma from high-grade tumours of the renal collecting system. Histopathology. 60:597–608. 2012. View Article : Google Scholar : PubMed/NCBI

9 

Higgins JP, Kaygusuz G, Wang L, Montgomery K, Mason V, Zhu SX, Marinelli RJ, Presti JC Jr, van de Rijn M and Brooks JD: Placental S100 (S100P) and GATA3: Markers for transitional epithelium and urothelial carcinoma discovered by complementary DNA microarray. Am J Surg Pathol. 31:673–680. 2007. View Article : Google Scholar : PubMed/NCBI

10 

Liu H, Shi J, Wilkerson ML and Lin F: Immunohistochemical evaluation of GATA3 expression in tumors and normal tissues: A useful immunomarker for breast and urothelial carcinomas. Am J Clin Pathol. 138:57–64. 2012. View Article : Google Scholar : PubMed/NCBI

11 

Ordóñez NG: Value of GATA3 immunostaining in tumor diagnosis: A review. Adv Anat Pathol. 20:352–360. 2013. View Article : Google Scholar : PubMed/NCBI

12 

Rana C, Babu S, Agarwal H, Singhai A, Kumar M, Singh V, Sinha RJ and Shankhwar SN: Diagnostic relevance of GATA 3 expression in urinary bladder carcinoma of divergent differentiation and other histological variants. Indian J Surg Oncol. 12:678–685. 2021. View Article : Google Scholar : PubMed/NCBI

13 

Rossi G, Pelosi G, Barbareschi M, Graziano P, Cavazza A and Papotti M: Subtyping non-small cell lung cancer: Relevant issues and operative recommendations for the best pathology practice. Int J Surg Pathol. 21:326–336. 2013. View Article : Google Scholar : PubMed/NCBI

14 

Pelosi G, Rossi G, Cavazza A, Righi L, Maisonneuve P, Barbareschi M, Graziano P, Pastorino U, Garassino M, de Braud F and Papotti M: ΔNp63 (p40) distribution inside lung cancer: A driver biomarker approach to tumor characterization. Int J Surg Pathol. 21:229–239. 2013. View Article : Google Scholar : PubMed/NCBI

15 

Lam KY, Dickens P and Chan AC: Tumors of the heart. A 20-year experience with a review of 12,485 consecutive autopsies. Arch Pathol Lab Med. 117:1027–1031. 1993.PubMed/NCBI

16 

Nakagawa K, Matsuno Y, Kunitoh H, Maeshima A, Asamura H and Tsuchiya R: Immunohistochemical KIT (CD117) expression in thymic epithelial tumors. Chest. 128:140–144. 2005. View Article : Google Scholar : PubMed/NCBI

17 

Parent AD, Bebin J and Smith RR: Incidental pituitary adenomas. J Neurosurg. 54:228–231. 1981. View Article : Google Scholar : PubMed/NCBI

18 

Yu L, Dong Y, Xue J, Xu S, Wang G, Kuang D and Duan Y: SOX11 is a sensitive and specific marker for pulmonary high-grade neuroendocrine tumors. Diagn Pathol. 17:22022. View Article : Google Scholar : PubMed/NCBI

19 

He Y, Zhao L, Tang X, Jiang Q, Zhao X and Cao Y: Prognostic implications of synaptophysin, CD56, thyroid transcription factor-1, and Ki-67 in pulmonary high-grade neuroendocrine carcinomas. Ann Diagn Pathol. 68:1522392024. View Article : Google Scholar : PubMed/NCBI

20 

Giudici N, Bonne F, Blarer J, Minoli M, Krentel F and Seiler R: Characteristics of upper urinary tract urothelial carcinoma in the context of bladder cancer: A narrative review. Transl Androl Urol. 10:4036–4050. 2021. View Article : Google Scholar : PubMed/NCBI

21 

Siegel RL, Miller KD and Jemal A: Cancer statistics, 2019. CA Cancer J Clin. 69:7–34. 2019. View Article : Google Scholar : PubMed/NCBI

22 

Liu YH, Chou MH, Meng E and Kao CC: A rare case report of metastatic urothelial carcinoma to skull with significant reossification after pembrolizumab. Medicina (Kaunas). 57:9872021. View Article : Google Scholar : PubMed/NCBI

23 

Stellato M, Santini D, Cursano MC, Foderaro S, Tonini G and Procopio G: Bone metastases from urothelial carcinoma. The dark side of the moon. J Bone Oncol. 31:1004052021. View Article : Google Scholar : PubMed/NCBI

24 

Hiensch R, Belete H, Rashidfarokhi M, Galperin I, Shakil F and Epelbaum O: Unusual patterns of thoracic metastasis of urinary bladder carcinoma. J Clin Imaging Sci. 7:232017. View Article : Google Scholar : PubMed/NCBI

25 

Ofri A and Moore K: Occult breast cancer: Where are we at? Breast. 54:211–215. 2020. View Article : Google Scholar : PubMed/NCBI

26 

Chen WH, Wang YH, Lu YC, Huang CC and Wong SL: Endobronchial metastasis from an occult papillary thyroid carcinoma: A case report. Changgeng Yi Xue Za Zhi. 21:200–205. 1998.PubMed/NCBI

27 

Iguchi T, Wang CY, Delongchamps NB, Sunheimer R, Nakatani T, de la Roza G and Haas GP: Occult prostate cancer effects the results of case-control studies due to verification bias. Anticancer Res. 28:3007–3010. 2008.PubMed/NCBI

28 

Merseburger AS, Matuschek I and Kuczyk MA: Bladder preserving strategies for muscle-invasive bladder cancer. Curr Opin Urol. 18:513–518. 2008. View Article : Google Scholar : PubMed/NCBI

29 

Galgano SJ, Porter KK, Burgan C and Rais-Bahrami S: The role of imaging in bladder cancer diagnosis and staging. Diagnostics (Basel). 10:7032020. View Article : Google Scholar : PubMed/NCBI

30 

Mirmomen SM, Shinagare AB, Williams KE, Silverman SG and Malayeri AA: Preoperative imaging for locoregional staging of bladder cancer. Abdom Radiol (NY). 44:3843–3857. 2019. View Article : Google Scholar : PubMed/NCBI

31 

Lee CH, Tan CH, Faria SC and Kundra V: Role of imaging in the local staging of urothelial carcinoma of the bladder. AJR Am J Roentgenol. 208:1193–1205. 2017. View Article : Google Scholar : PubMed/NCBI

32 

Aydh A, Abufaraj M, Mori K, Quhal F, Pradere B, Motlagh RS, Mostafaei H, Karakiewicz PI and Shariat SF: Performance of fluoro-2-deoxy-D-glucose positron emission tomography-computed tomography imaging for lymph node staging in bladder and upper tract urothelial carcinoma: A systematic review. Arab J Urol. 19:59–66. 2020. View Article : Google Scholar : PubMed/NCBI

33 

Kibel AS, Dehdashti F, Katz MD, Klim AP, Grubb RL, Humphrey PA, Siegel C, Cao D, Gao F and Siegel BA: Prospective study of [18F]fluorodeoxyglucose positron emission tomography/computed tomography for staging of muscle-invasive bladder carcinoma. J Clin Oncol. 27:4314–4320. 2009. View Article : Google Scholar : PubMed/NCBI

34 

Babjuk M, Böhle A, Burger M, Capoun O, Cohen D, Compérat EM, Hernández V, Kaasinen E, Palou J, Rouprêt M, et al: EAU Guidelines on non-muscle-invasive urothelial carcinoma of the bladder: Update 2016. Eur Urol. 71:447–461. 2017. View Article : Google Scholar : PubMed/NCBI

35 

Rafiemanesh H, Lotfi Z, Bakhtazad S, Ghoncheh M and Salehiniya H: The epidemiological and histological trend of bladder cancer in Iran. J Cancer Res Ther. 14:532–536. 2018. View Article : Google Scholar : PubMed/NCBI

36 

Bader MJ, Sroka R, Gratzke C, Seitz M, Weidlich P, Staehler M, Becker A, Stief CG and Reich O: Laser therapy for upper urinary tract transitional cell carcinoma: Indications and management. Eur Urol. 56:65–71. 2009. View Article : Google Scholar : PubMed/NCBI

37 

Vicente-Rodriguez J, Chéchile G, Algaba F and Amaral J Jr: Value of random endoscopic biopsy in the diagnosis of bladder carcinoma in situ. Eur Urol. 13:150–152. 1987. View Article : Google Scholar : PubMed/NCBI

38 

Sakr SA, Abdel-Wahed MM and El-Sahra DG: Immunohistochemical differential diagnosis between urothelial carcinoma and prostate adenocarcinoma among Egyptian patients. Biomed Pharmacother. 68:685–692. 2014. View Article : Google Scholar : PubMed/NCBI

39 

Kim DH, Joo JE, Kim EK, Lee HJ and Lee WM: The expressions of cytokeratin 7 and 20 in epithelial tumors: A survey of 91 cases. Cancer Res Treat. 35:355–363. 2003. View Article : Google Scholar : PubMed/NCBI

40 

Chaux A, Han JS, Lee S, Gonzalez-Roibon N, Sharma R, Burnett AL, Cubilla AL and Netto GJ: Immunohistochemical profile of the penile urethra and differential expression of GATA3 in urothelial versus squamous cell carcinomas of the penile urethra. Hum Pathol. 44:2760–2767. 2013. View Article : Google Scholar : PubMed/NCBI

41 

Akhtar M, Rashid S, Gashir MB, Taha NM and Al Bozom I: CK20 and CK5/6 immunohistochemical staining of urothelial neoplasms: A perspective. Adv Urol. 2020:49202362020. View Article : Google Scholar : PubMed/NCBI

42 

Kata SG and Aboumarzouk O: Are we closer to seeing carcinoma in situ in the upper urinary tract? Cent European J Urol. 69:157–161. 2016.PubMed/NCBI

43 

Kim B, Garcia F, Touma N, Moussa M and Izawa JI: A rare case of penile cancer in situ metastasizing to lymph nodes. Can Urol Assoc J. 1:404–407. 2007. View Article : Google Scholar : PubMed/NCBI

44 

Avrach WW and Christensen HE: Metastasizing erythroplasia Queyrat. Report of a case. Acta Derm Venereol. 56:409–412. 1976. View Article : Google Scholar : PubMed/NCBI

45 

Eng TY, Petersen JP, Stack RS and Judson PH: Lymph node metastasis from carcinoma in situ of the penis: A case report. J Urol. 153:432–434. 1995. View Article : Google Scholar : PubMed/NCBI

46 

Banys M, Hahn M, Gruber I, Krawczyk N, Wallwiener M, Hartkopf A, Taran FA, Röhm C, Kurth R, Becker S, et al: Detection and clinical relevance of hematogenous tumor cell dissemination in patients with ductal carcinoma in situ. Breast Cancer Res Treat. 144:531–538. 2014. View Article : Google Scholar : PubMed/NCBI

47 

Narod SA and Sopik V: Is invasion a necessary step for metastases in breast cancer? Breast Cancer Res Treat. 169:9–23. 2018. View Article : Google Scholar : PubMed/NCBI

48 

Klein CA: Parallel progression of primary tumours and metastases. Nat Rev Cancer. 9:302–312. 2009. View Article : Google Scholar : PubMed/NCBI

49 

Yang HY, Wu CY, Chen JJ and Lee TH: Treatment strategies and metabolic pathway regulation in urothelial cell carcinoma: A comprehensive review. Int J Mol Sci. 21:89932020. View Article : Google Scholar : PubMed/NCBI

50 

Yuasa T, Urakami S and Yonese J: Recent advances in medical therapy for metastatic urothelial cancer. Int J Clin Oncol. 23:599–607. 2018. View Article : Google Scholar : PubMed/NCBI

51 

Rhea LP, Mendez-Marti S, Kim D and Aragon-Ching JB: Role of immunotherapy in bladder cancer. Cancer Treat Res Commun. 26:1002962021. View Article : Google Scholar : PubMed/NCBI

52 

Ten Eyck JE, Kahlon N, Masih S, Hamouda DM and Petros FG: Clinical evaluation of avelumab in the treatment of advanced urothelial carcinoma: Focus on patient selection and outcomes. Cancer Manag Res. 14:729–738. 2022. View Article : Google Scholar : PubMed/NCBI

53 

Tassinari E, Mollica V, Nuvola G, Marchetti A, Rosellini M and Massari F: Treatment options for metastatic urothelial carcinoma after first-line chemotherapy. Cancer Manag Res. 14:1945–1960. 2022. View Article : Google Scholar : PubMed/NCBI

54 

Fenton SE and VanderWeele DJ: Antibody-drug conjugates and predictive biomarkers in advanced urothelial carcinoma. Front Oncol. 12:10693562023. View Article : Google Scholar : PubMed/NCBI

55 

Longo N, Celentano G, Napolitano L, La Rocca R, Capece M, Califano G, Collà Ruvolo C, Mangiapia F, Fusco F, Morra S, et al: Metastasis-directed radiation therapy with consolidative intent for oligometastatic urothelial carcinoma: A systematic review and meta-analysis. Cancers (Basel). 14:23732022. View Article : Google Scholar : PubMed/NCBI

Related Articles

  • Abstract
  • View
  • Download
  • Twitter
Copy and paste a formatted citation
Spandidos Publications style
Zheng J, Peng X, Li X, Chen Y, Li X, Fu L, Li A and Lu Z: Occult urothelial carcinoma with mediastinal metastasis: A case report. Oncol Lett 27: 148, 2024.
APA
Zheng, J., Peng, X., Li, X., Chen, Y., Li, X., Fu, L. ... Lu, Z. (2024). Occult urothelial carcinoma with mediastinal metastasis: A case report. Oncology Letters, 27, 148. https://doi.org/10.3892/ol.2024.14281
MLA
Zheng, J., Peng, X., Li, X., Chen, Y., Li, X., Fu, L., Li, A., Lu, Z."Occult urothelial carcinoma with mediastinal metastasis: A case report". Oncology Letters 27.4 (2024): 148.
Chicago
Zheng, J., Peng, X., Li, X., Chen, Y., Li, X., Fu, L., Li, A., Lu, Z."Occult urothelial carcinoma with mediastinal metastasis: A case report". Oncology Letters 27, no. 4 (2024): 148. https://doi.org/10.3892/ol.2024.14281
Copy and paste a formatted citation
x
Spandidos Publications style
Zheng J, Peng X, Li X, Chen Y, Li X, Fu L, Li A and Lu Z: Occult urothelial carcinoma with mediastinal metastasis: A case report. Oncol Lett 27: 148, 2024.
APA
Zheng, J., Peng, X., Li, X., Chen, Y., Li, X., Fu, L. ... Lu, Z. (2024). Occult urothelial carcinoma with mediastinal metastasis: A case report. Oncology Letters, 27, 148. https://doi.org/10.3892/ol.2024.14281
MLA
Zheng, J., Peng, X., Li, X., Chen, Y., Li, X., Fu, L., Li, A., Lu, Z."Occult urothelial carcinoma with mediastinal metastasis: A case report". Oncology Letters 27.4 (2024): 148.
Chicago
Zheng, J., Peng, X., Li, X., Chen, Y., Li, X., Fu, L., Li, A., Lu, Z."Occult urothelial carcinoma with mediastinal metastasis: A case report". Oncology Letters 27, no. 4 (2024): 148. https://doi.org/10.3892/ol.2024.14281
Follow us
  • Twitter
  • LinkedIn
  • Facebook
About
  • Spandidos Publications
  • Careers
  • Cookie Policy
  • Privacy Policy
How can we help?
  • Help
  • Live Chat
  • Contact
  • Email to our Support Team