Spandidos Publications Logo
  • About
    • About Spandidos
    • Aims and Scopes
    • Abstracting and Indexing
    • Editorial Policies
    • Reprints and Permissions
    • Job Opportunities
    • Terms and Conditions
    • Contact
  • Journals
    • All Journals
    • Oncology Letters
      • Oncology Letters
      • Information for Authors
      • Editorial Policies
      • Editorial Board
      • Aims and Scope
      • Abstracting and Indexing
      • Bibliographic Information
      • Archive
    • International Journal of Oncology
      • International Journal of Oncology
      • Information for Authors
      • Editorial Policies
      • Editorial Board
      • Aims and Scope
      • Abstracting and Indexing
      • Bibliographic Information
      • Archive
    • Molecular and Clinical Oncology
      • Molecular and Clinical Oncology
      • Information for Authors
      • Editorial Policies
      • Editorial Board
      • Aims and Scope
      • Abstracting and Indexing
      • Bibliographic Information
      • Archive
    • Experimental and Therapeutic Medicine
      • Experimental and Therapeutic Medicine
      • Information for Authors
      • Editorial Policies
      • Editorial Board
      • Aims and Scope
      • Abstracting and Indexing
      • Bibliographic Information
      • Archive
    • International Journal of Molecular Medicine
      • International Journal of Molecular Medicine
      • Information for Authors
      • Editorial Policies
      • Editorial Board
      • Aims and Scope
      • Abstracting and Indexing
      • Bibliographic Information
      • Archive
    • Biomedical Reports
      • Biomedical Reports
      • Information for Authors
      • Editorial Policies
      • Editorial Board
      • Aims and Scope
      • Abstracting and Indexing
      • Bibliographic Information
      • Archive
    • Oncology Reports
      • Oncology Reports
      • Information for Authors
      • Editorial Policies
      • Editorial Board
      • Aims and Scope
      • Abstracting and Indexing
      • Bibliographic Information
      • Archive
    • Molecular Medicine Reports
      • Molecular Medicine Reports
      • Information for Authors
      • Editorial Policies
      • Editorial Board
      • Aims and Scope
      • Abstracting and Indexing
      • Bibliographic Information
      • Archive
    • World Academy of Sciences Journal
      • World Academy of Sciences Journal
      • Information for Authors
      • Editorial Policies
      • Editorial Board
      • Aims and Scope
      • Abstracting and Indexing
      • Bibliographic Information
      • Archive
    • International Journal of Functional Nutrition
      • International Journal of Functional Nutrition
      • Information for Authors
      • Editorial Policies
      • Editorial Board
      • Aims and Scope
      • Abstracting and Indexing
      • Bibliographic Information
      • Archive
    • International Journal of Epigenetics
      • International Journal of Epigenetics
      • Information for Authors
      • Editorial Policies
      • Editorial Board
      • Aims and Scope
      • Abstracting and Indexing
      • Bibliographic Information
      • Archive
    • Medicine International
      • Medicine International
      • Information for Authors
      • Editorial Policies
      • Editorial Board
      • Aims and Scope
      • Abstracting and Indexing
      • Bibliographic Information
      • Archive
  • Articles
  • Information
    • Information for Authors
    • Information for Reviewers
    • Information for Librarians
    • Information for Advertisers
    • Conferences
  • Language Editing
Spandidos Publications Logo
  • About
    • About Spandidos
    • Aims and Scopes
    • Abstracting and Indexing
    • Editorial Policies
    • Reprints and Permissions
    • Job Opportunities
    • Terms and Conditions
    • Contact
  • Journals
    • All Journals
    • Biomedical Reports
      • Information for Authors
      • Editorial Policies
      • Editorial Board
      • Aims and Scope
      • Abstracting and Indexing
      • Bibliographic Information
      • Archive
    • Experimental and Therapeutic Medicine
      • Information for Authors
      • Editorial Policies
      • Editorial Board
      • Aims and Scope
      • Abstracting and Indexing
      • Bibliographic Information
      • Archive
    • International Journal of Epigenetics
      • Information for Authors
      • Editorial Policies
      • Editorial Board
      • Aims and Scope
      • Abstracting and Indexing
      • Bibliographic Information
      • Archive
    • International Journal of Functional Nutrition
      • Information for Authors
      • Editorial Policies
      • Editorial Board
      • Aims and Scope
      • Abstracting and Indexing
      • Bibliographic Information
      • Archive
    • International Journal of Molecular Medicine
      • Information for Authors
      • Editorial Policies
      • Editorial Board
      • Aims and Scope
      • Abstracting and Indexing
      • Bibliographic Information
      • Archive
    • International Journal of Oncology
      • Information for Authors
      • Editorial Policies
      • Editorial Board
      • Aims and Scope
      • Abstracting and Indexing
      • Bibliographic Information
      • Archive
    • Medicine International
      • Information for Authors
      • Editorial Policies
      • Editorial Board
      • Aims and Scope
      • Abstracting and Indexing
      • Bibliographic Information
      • Archive
    • Molecular and Clinical Oncology
      • Information for Authors
      • Editorial Policies
      • Editorial Board
      • Aims and Scope
      • Abstracting and Indexing
      • Bibliographic Information
      • Archive
    • Molecular Medicine Reports
      • Information for Authors
      • Editorial Policies
      • Editorial Board
      • Aims and Scope
      • Abstracting and Indexing
      • Bibliographic Information
      • Archive
    • Oncology Letters
      • Information for Authors
      • Editorial Policies
      • Editorial Board
      • Aims and Scope
      • Abstracting and Indexing
      • Bibliographic Information
      • Archive
    • Oncology Reports
      • Information for Authors
      • Editorial Policies
      • Editorial Board
      • Aims and Scope
      • Abstracting and Indexing
      • Bibliographic Information
      • Archive
    • World Academy of Sciences Journal
      • Information for Authors
      • Editorial Policies
      • Editorial Board
      • Aims and Scope
      • Abstracting and Indexing
      • Bibliographic Information
      • Archive
  • Articles
  • Information
    • For Authors
    • For Reviewers
    • For Librarians
    • For Advertisers
    • Conferences
  • Language Editing
Login Register Submit
  • This site uses cookies
  • You can change your cookie settings at any time by following the instructions in our Cookie Policy. To find out more, you may read our Privacy Policy.

    I agree
Search articles by DOI, keyword, author or affiliation
Search
Advanced Search
presentation
Oncology Letters
Join Editorial Board Propose a Special Issue
Print ISSN: 1792-1074 Online ISSN: 1792-1082
Journal Cover
May-2024 Volume 27 Issue 5

Full Size Image

Sign up for eToc alerts
Recommend to Library

Journals

International Journal of Molecular Medicine

International Journal of Molecular Medicine

International Journal of Molecular Medicine is an international journal devoted to molecular mechanisms of human disease.

International Journal of Oncology

International Journal of Oncology

International Journal of Oncology is an international journal devoted to oncology research and cancer treatment.

Molecular Medicine Reports

Molecular Medicine Reports

Covers molecular medicine topics such as pharmacology, pathology, genetics, neuroscience, infectious diseases, molecular cardiology, and molecular surgery.

Oncology Reports

Oncology Reports

Oncology Reports is an international journal devoted to fundamental and applied research in Oncology.

Experimental and Therapeutic Medicine

Experimental and Therapeutic Medicine

Experimental and Therapeutic Medicine is an international journal devoted to laboratory and clinical medicine.

Oncology Letters

Oncology Letters

Oncology Letters is an international journal devoted to Experimental and Clinical Oncology.

Biomedical Reports

Biomedical Reports

Explores a wide range of biological and medical fields, including pharmacology, genetics, microbiology, neuroscience, and molecular cardiology.

Molecular and Clinical Oncology

Molecular and Clinical Oncology

International journal addressing all aspects of oncology research, from tumorigenesis and oncogenes to chemotherapy and metastasis.

World Academy of Sciences Journal

World Academy of Sciences Journal

Multidisciplinary open-access journal spanning biochemistry, genetics, neuroscience, environmental health, and synthetic biology.

International Journal of Functional Nutrition

International Journal of Functional Nutrition

Open-access journal combining biochemistry, pharmacology, immunology, and genetics to advance health through functional nutrition.

International Journal of Epigenetics

International Journal of Epigenetics

Publishes open-access research on using epigenetics to advance understanding and treatment of human disease.

Medicine International

Medicine International

An International Open Access Journal Devoted to General Medicine.

Journal Cover
May-2024 Volume 27 Issue 5

Full Size Image

Sign up for eToc alerts
Recommend to Library

  • Article
  • Citations
    • Cite This Article
    • Download Citation
    • Create Citation Alert
    • Remove Citation Alert
    • Cited By
  • Similar Articles
    • Related Articles (in Spandidos Publications)
    • Similar Articles (Google Scholar)
    • Similar Articles (PubMed)
  • Download PDF
  • Download XML
  • View XML
Article Open Access

Clinicopathological features of cholangiolocarcinoma and impact of tumor heterogeneity on prognosis: A single institution retrospective study

  • Authors:
    • Hiroaki Sugita
    • Shinichi Nakanuma
    • Ryosuke Gabata
    • Tomokazu Tokoro
    • Ryohei Takei
    • Mitsuyoshi Okazaki
    • Kaichiro Kato
    • Satoshi Takada
    • Isamu Makino
    • Kazuto Kozaka
    • Kenichi Harada
    • Shintaro Yagi
  • View Affiliations / Copyright

    Affiliations: Department of Hepato‑Biliary‑Pancreatic Surgery and Transplantation, Kanazawa University, Kanazawa, Ishikawa 920‑8641, Japan, Department of Radiology, Kanazawa University, Kanazawa, Ishikawa 920‑8641, Japan, Department of Human Pathology, Kanazawa University Graduate School of Medicine, Kanazawa, Ishikawa 920‑8640, Japan
    Copyright: © Sugita et al. This is an open access article distributed under the terms of Creative Commons Attribution License.
  • Article Number: 213
    |
    Published online on: March 15, 2024
       https://doi.org/10.3892/ol.2024.14346
  • Expand metrics +
Metrics: Total Views: 0 (Spandidos Publications: | PMC Statistics: )
Metrics: Total PDF Downloads: 0 (Spandidos Publications: | PMC Statistics: )
Cited By (CrossRef): 0 citations Loading Articles...

This article is mentioned in:



Abstract

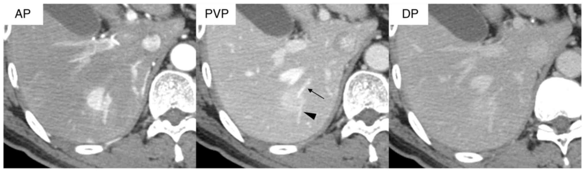
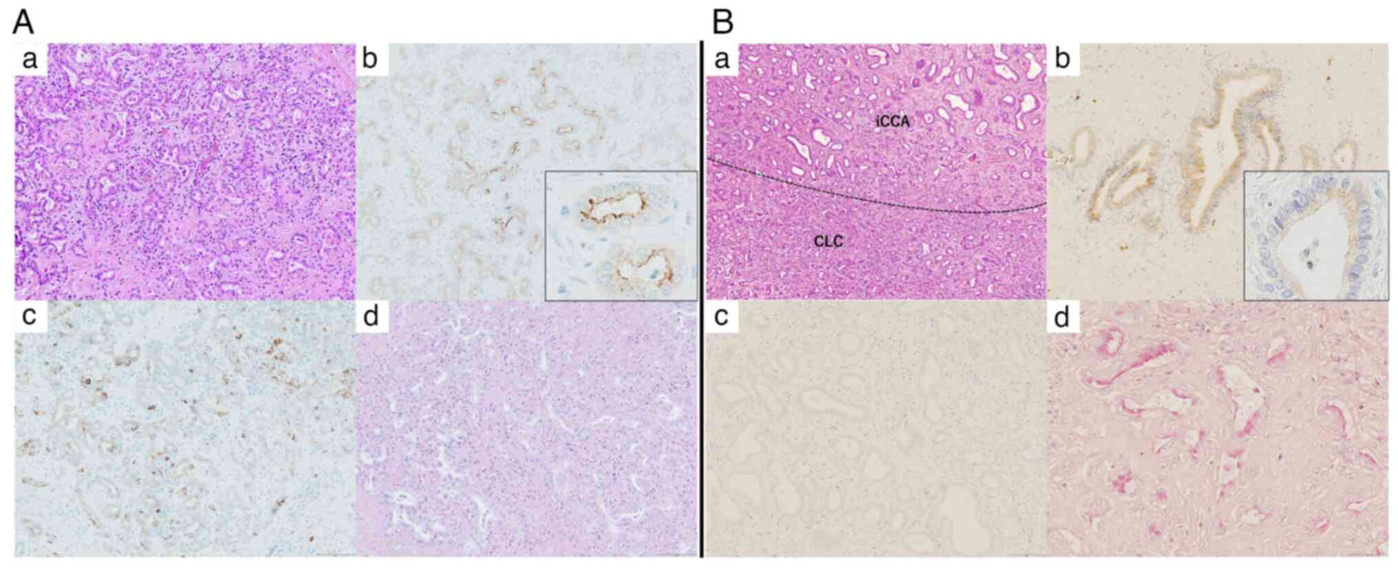
Cholangiolocarcinoma (CLC) is an extremely rare tumor classified as a subtype of small duct‑type intrahepatic cholangiocarcinoma (iCCA). There are few detailed reports on CLC and the prognostic impact of tumor heterogeneity is not clear. Between April 2006 and June 2022, of the 774 primary liver cancer resection cases who presented at Kanazawa University Hospital, 14 patients were pathologically diagnosed with CLC through immunohistochemical analysis of their molecular and biological features. Clinicopathological features and prognoses were evaluated retrospectively. Additionally, tumor heterogeneity was assessed and tumors were classified into pure and partial types according to the CLC component proportion in a single tumor. Chronic liver disease was observed in nine patients (64.3%). All tumors were mass‑forming, and pathological R0 resection was achieved in 11 patients (78.6%). Tumor heterogeneity was classified as pure in 11 (78.6%) and partial in three (21.4%) patients. The median follow‑up was 59.5 months (12‑114 months). There was no difference in the 5‑year disease‑specific survival rates between the pure and partial (90.0% vs. 100.0%; P=0.200) types, but rates were significantly higher in the R0 resection group compared with those in the R1 resection group (100.0% vs. 50.0%; P=0.025). In conclusion, these results suggest that it is important for CLC patients to achieve curative resection, and CLC may have a good prognosis regardless of the proportion of CLC components in a single tumor.
View Figures

Figure 1

Figure 2

Figure 3

Figure 4

View References

1 

Altekruse SF, Devesa SS, Dickie LA, McGlynn KA and Kleiner DE: Histological classification of liver and intrahepatic bile duct cancers in SEER registries. J Registry Manag. 38:201–205. 2011.PubMed/NCBI

2 

Shiota K, Taguchi J, Nakashima O, Nakashima M and Kojiro M: Clinicopathologic study on cholangiolocellular carcinoma. Oncol Rep. 8:263–268. 2001.PubMed/NCBI

3 

Nagtegaal ID, Odze RD, Klimstra D, Paradis V, Rugge M, Schirmacher P, Washington KM, Carneiro F and Cree IA: The 2019 WHO classification of tumours of the digestive system. Histopathology. 76:182–188. 2020. View Article : Google Scholar : PubMed/NCBI

4 

Sirica AE, Gores GJ, Groopman JD, Selaru FM, Strazzabosco M, Wei Wang X and Zhu AX: Intrahepatic cholangiocarcinoma: Continuing challenges and translational advances. Hepatology. 69:1803–1815. 2019. View Article : Google Scholar : PubMed/NCBI

5 

Fabris L, Sato K, Alpini G and Strazzabosco M: The tumor microenvironment in cholangiocarcinoma progression. Hepatology. 73 (Suppl 1):S75–S85. 2021. View Article : Google Scholar

6 

Hayashi A, Misumi K, Shibahara J, Arita J, Sakamoto Y, Hasegawa K, Kokudo N and Fukayama N: Distinct clinicopathologic and genetic features of 2 histologic subtypes of intrahepatic cholangiocarcinoma. Am J Surg Pathol. 40:1021–1030. 2016. View Article : Google Scholar : PubMed/NCBI

7 

Ariizumi S, Kotera Y, Katagiri S, Nakano M, Nakanuma Y, Saito A and Yamamoto M: Long-term survival of patients with cholangiolocellular carcinoma after curative hepatectomy. Ann Surg Oncol. 21:451–458. 2014. View Article : Google Scholar

8 

Nakanuma Y, Sasaki M, Ikeda H, Sato Y, Zen Y, Kosaka K and Harada K: Pathology of peripheral intrahepatic cholangiocarcinoma with reference to tumorigenesis. Hepatol Res. 38:325–334. 2008. View Article : Google Scholar : PubMed/NCBI

9 

Steiner PE and Higginson J: Cholangiolocellular carcinoma of the liver. Cancer. 12:753–759. 1959. View Article : Google Scholar : PubMed/NCBI

10 

Moeini A, Haber PK and Sia D: Cell of origin in biliary tract cancers and clinical implications. JHEP Rep. 3:1002262021. View Article : Google Scholar : PubMed/NCBI

11 

Wang H, Chen J, Zhang X, Sheng X, Chang XY, Chen J, Chen MS, Dong H and Duan GJ: Expert consensus on pathological diagnosis of intrahepatic cholangiocarcinoma (2022 version). J Clin Transl Hepatol. 11:1553–1564. 2023. View Article : Google Scholar : PubMed/NCBI

12 

Rizvi S, Khan SA, Hallemeier CL, Kelley RK and Gores GJ: Cholangiocarcinoma-evolving concepts and therapeutic strategies. Nat Rev Clin Oncol. 15:95–111. 2018. View Article : Google Scholar : PubMed/NCBI

13 

Banales JM, Marin JJG, Lamarca A, Rodrigues PM, Khan SA, Roberts LR, Cardinale V, Carpino G and Andersen JB: Cholangiocarcinoma 2020: The next horizon in mechanisms and management. Nat Rev Gastroenterol Hepatol. 17:557–588. 2020. View Article : Google Scholar : PubMed/NCBI

14 

Dagogo-Jack I and Shaw AT: Tumour heterogeneity and resistance to cancer therapies. Nat Rev Clin Oncol. 15:81–94. 2018. View Article : Google Scholar : PubMed/NCBI

15 

Nguyen Canh H, Takahashi K, Yamamura M, Li Z, Sato Y, Yoshimura K, Kozaka K, Tanaka M, Nakanuma Y and Harada K: Diversity in cell differentiation, histology, phenotype and vasculature of mass-forming intrahepatic cholangiocarcinomas. Histopathology. 79:731–750. 2021. View Article : Google Scholar : PubMed/NCBI

16 

Komuta M, Spee B, Vander Borght S, De Vos R, Verslype C, Aerts R, Yano H, Suzuki T and Matsuda M: Clinicopathological study on cholangiolocellular carcinoma suggesting hepatic progenitor cell origin. Hepatology. 47:1544–1556. 2008. View Article : Google Scholar : PubMed/NCBI

17 

Matsuda M, Hara M, Suzuki T, Kono H and Fujii H: Synchronously resected double primary hepatic cancers-hepatocellular carcinoma and cholangiolocellular carcinoma. J Hepatobiliary Pancreat Surg. 13:571–576. 2006. View Article : Google Scholar : PubMed/NCBI

18 

Kihara Y, Takeda Y, Ohmura Y, Katsura Y, Shinke G, Kinoshita M, Aoyama S, Yanagisawa K, Katsuyama S, Ikeshima R, et al: Minimally invasive liver resection for cholangiolocellular carcinoma: A single-institution experience. Asian J Endosc Surg. 17:2024. View Article : Google Scholar

19 

Motosugi U, Ichikawa T, Nakajima H, Sou H, Sano M, Sano K, Araki T, Iino H, Fujii H and Nakazawa T: Imaging of small hepatic metastases of colorectal carcinoma: How to use superparamagnetic iron oxide-enhanced magnetic resonance imaging in the multidetector-row computed tomography age? J Comput Assist Tomogr. 33:266–272. 2009. View Article : Google Scholar : PubMed/NCBI

20 

Nagata K, Einama T, Kimura A, Murayama M, Takeo H, Nishikawa M, Hoshikawa M, Noro T and Ogata S: A case of intrahepatic cholangiocarcinoma that was difficult to diagnose prior to surgery: A case report. Oncol Lett. 17:823–830. 2019.PubMed/NCBI

21 

Lee AJ and Chun YS: Intrahepatic cholangiocarcinoma: the AJCC/UICC 8th edition updates. Chin Clin Oncol. 7:522018. View Article : Google Scholar : PubMed/NCBI

22 

Liver Cancer Study Group of Japan, . The general rules for the clinical and pathological study of primary liver cancer. 6th edition. Kanehara; Tokyo: 2019

23 

Orimo T, Kamiyama T, Mitsuhashi T, Kamachi H, Yokoo H, Wakayama K, Shimada S, Nagatsu A and Taketomi A: Impact of tumor localization on the outcomes of surgery for an intrahepatic cholangiocarcinoma. J Gastoroenterol. 53:1206–1215. 2018. View Article : Google Scholar

24 

Japanese Society of Biliary Surgery, . General rules for surgical and pathological studies on cancer of the biliary tract. 6th edition. Kanehara; Tokyo: 2013

25 

Dindo D, Demartines N and Clavien P: Classification of surgical complications: A new proposal with evaluation in a cohort of 6336 patients and results of a survey. Ann Surg. 240:205–213. 2004. View Article : Google Scholar : PubMed/NCBI

26 

Akiyama K, Abe T, Oshita A, Shimizu A, Hanada K, Yonehara S, Kobayashi T, Ohdan H, Noriyuki T and Nakahara M: Gradually progressive cholangiolocellular carcinoma: A case report. Surg Case Rep. 7:2632021. View Article : Google Scholar : PubMed/NCBI

27 

Sempoux C, Fan C, Singh P, Obeidat K, Roayaie S, Schwartz M, Fiel MI and Thung SN: Cholangiolocellular carcinoma: An innocent-looking malignant liver tumor mimicking ductular reaction. Semin Liver Dis. 31:104–110. 2011. View Article : Google Scholar : PubMed/NCBI

28 

Kozaka K, Matsui O, Kobayashi S, Koda W, Minami T, Kitao A, Inoue D, Yoneda N and Yoshida K: Dynamic CT findings of cholangiolocellular carcinoma: Correlation with angiography-assisted CT and histopathology. Abdom Radiol. 42:861–869. 2017. View Article : Google Scholar : PubMed/NCBI

29 

Asayama Y, Tajima T, Okamoto D, Nishie A, Ishigami K, Ushijima Y, Kakihara D, Aishima S, Taketomi A and Honda H: Imaging of cholangiolocellular carcinoma of the liver. Eur J Radiol. 75:120–125. 2010. View Article : Google Scholar

30 

Kadono M, Kimura K, Imamura J, Saeki S, Kurata M, Honda G, Tsuruta K, Horiguchi S and Hayashi S: A case of a large cholangiolocellular carcinoma. Clin J Gastroenterol. 4:340–346. 2011. View Article : Google Scholar : PubMed/NCBI

Related Articles

  • Abstract
  • View
  • Download
  • Twitter
Copy and paste a formatted citation
Spandidos Publications style
Sugita H, Nakanuma S, Gabata R, Tokoro T, Takei R, Okazaki M, Kato K, Takada S, Makino I, Kozaka K, Kozaka K, et al: Clinicopathological features of cholangiolocarcinoma and impact of tumor heterogeneity on prognosis: A single institution retrospective study. Oncol Lett 27: 213, 2024.
APA
Sugita, H., Nakanuma, S., Gabata, R., Tokoro, T., Takei, R., Okazaki, M. ... Yagi, S. (2024). Clinicopathological features of cholangiolocarcinoma and impact of tumor heterogeneity on prognosis: A single institution retrospective study. Oncology Letters, 27, 213. https://doi.org/10.3892/ol.2024.14346
MLA
Sugita, H., Nakanuma, S., Gabata, R., Tokoro, T., Takei, R., Okazaki, M., Kato, K., Takada, S., Makino, I., Kozaka, K., Harada, K., Yagi, S."Clinicopathological features of cholangiolocarcinoma and impact of tumor heterogeneity on prognosis: A single institution retrospective study". Oncology Letters 27.5 (2024): 213.
Chicago
Sugita, H., Nakanuma, S., Gabata, R., Tokoro, T., Takei, R., Okazaki, M., Kato, K., Takada, S., Makino, I., Kozaka, K., Harada, K., Yagi, S."Clinicopathological features of cholangiolocarcinoma and impact of tumor heterogeneity on prognosis: A single institution retrospective study". Oncology Letters 27, no. 5 (2024): 213. https://doi.org/10.3892/ol.2024.14346
Copy and paste a formatted citation
x
Spandidos Publications style
Sugita H, Nakanuma S, Gabata R, Tokoro T, Takei R, Okazaki M, Kato K, Takada S, Makino I, Kozaka K, Kozaka K, et al: Clinicopathological features of cholangiolocarcinoma and impact of tumor heterogeneity on prognosis: A single institution retrospective study. Oncol Lett 27: 213, 2024.
APA
Sugita, H., Nakanuma, S., Gabata, R., Tokoro, T., Takei, R., Okazaki, M. ... Yagi, S. (2024). Clinicopathological features of cholangiolocarcinoma and impact of tumor heterogeneity on prognosis: A single institution retrospective study. Oncology Letters, 27, 213. https://doi.org/10.3892/ol.2024.14346
MLA
Sugita, H., Nakanuma, S., Gabata, R., Tokoro, T., Takei, R., Okazaki, M., Kato, K., Takada, S., Makino, I., Kozaka, K., Harada, K., Yagi, S."Clinicopathological features of cholangiolocarcinoma and impact of tumor heterogeneity on prognosis: A single institution retrospective study". Oncology Letters 27.5 (2024): 213.
Chicago
Sugita, H., Nakanuma, S., Gabata, R., Tokoro, T., Takei, R., Okazaki, M., Kato, K., Takada, S., Makino, I., Kozaka, K., Harada, K., Yagi, S."Clinicopathological features of cholangiolocarcinoma and impact of tumor heterogeneity on prognosis: A single institution retrospective study". Oncology Letters 27, no. 5 (2024): 213. https://doi.org/10.3892/ol.2024.14346
Follow us
  • Twitter
  • LinkedIn
  • Facebook
About
  • Spandidos Publications
  • Careers
  • Cookie Policy
  • Privacy Policy
How can we help?
  • Help
  • Live Chat
  • Contact
  • Email to our Support Team